문맥고혈압
"오늘의AI위키"의 AI를 통해 더욱 풍부하고 폭넓은 지식 경험을 누리세요.
1. 개요
문맥고혈압은 간문맥계의 혈압이 상승하는 질환으로, 간전성, 간내성, 간후성 원인으로 분류된다. 가장 흔한 원인은 간경변증이며, 간문맥 혈전증, 간염, 심부전 등도 원인이 될 수 있다. 주요 증상으로는 복수, 비장비대, 식도 정맥류, 토혈 등이 나타나며, 초음파, 간정맥압력차 측정 등을 통해 진단한다. 치료는 원인 질환 치료와 더불어 문맥압을 낮추는 약물, 내시경적 치료, 중재 시술, 외과적 치료를 시행하며, 복수, 자발성 세균성 복막염, 정맥류 출혈, 간성 뇌증, 간신 증후군, 심근병증 등의 합병증이 발생할 수 있다.
더 읽어볼만한 페이지
- 고혈압 - 폐고혈압
폐고혈압은 폐동맥의 혈압이 높아지는 질환으로, 5가지 그룹으로 분류되며 호흡 곤란, 피로, 가슴 통증 등의 증상을 유발하고, 진단 및 치료는 질환의 종류에 따라 다르게 이루어진다. - 고혈압 - 화이트 코트 신드롬
화이트 코트 신드롬은 진료실에서 혈압이 높게 측정되지만, 가정에서는 정상 혈압을 보이는 현상을 의미하며, 불안감이나 스트레스 등이 원인으로 추정되고, 생활 습관 개선 또는 약물 치료를 통해 관리한다. - 소화기 질환 - 식도암
식도암은 식도 상피세포에서 발생하는 악성 종양으로, 편평상피세포암과 선암이 주된 유형이며, 진행될수록 연하곤란, 체중 감소, 흉통 등이 나타나고 흡연, 음주 등이 위험 요인으로 작용하며, 내시경 검사, 조직검사 등으로 진단하고 수술, 화학요법 등으로 치료하며 예방을 위해서는 금연, 절주 등이 중요하다. - 소화기 질환 - 위염
위염은 헬리코박터 파일로리 감염, 비스테로이드성 소염제, 알코올, 스트레스 등으로 인해 위 점막에 염증이 생기는 질환으로, 상복부 통증, 메스꺼움, 구토 등의 증상이 나타나거나 무증상일 수 있으며, 급성 또는 만성으로 분류되고, 내시경 검사 등으로 진단하여 제산제, 항생제 등으로 치료한다. - 간장학 - 간세포암
간세포암은 간에서 발생하는 악성 종양으로, 만성 간 질환 환자에게서 주로 발생하며, 다양한 원인과 위험 요인에 의해 발생하고, 복통, 황달 등의 증상이 나타날 수 있으며, 수술, 간 이식 등의 치료 방법이 사용되고, 예방을 위해 B형 간염 예방 접종 등이 중요하다. - 간장학 - 담관
담관은 간에서 십이지장으로 연결되는 관 네트워크로, 담즙을 운반하여 지방의 소화와 흡수를 돕고, 폐쇄 시 황달을 유발하며, 담관 배액 시술 등으로 치료한다.
문맥고혈압 | |
---|---|
일반 정보 | |
분야 | 소화기학 |
증상 | 복수 |
원인 | 지라정맥의 혈전증, 간문맥의 협착 |
진단 | 초음파 |
치료 | 문맥전신순환지름술, 비선택적 베타 차단제 |
추가 정보 | |
영어 이름 | Portal hypertension |
관련 질환 | 간 질환 |
2. 원인
문맥고혈압은 간으로 들어가는 혈류의 저항이 증가하여 발생하는 질환이다. 간문맥계가 간에 이르기 전에 문제가 있는 간전성, 간 안에서 문제가 생긴 간내성, 간과 심장 사이의 위치에서 문제가 생긴 간후성으로 분류된다.[47][45][46] 문맥(문맥)은 소화관에서 간으로 흐르는 혈관이며, 간의 앞, 안, 뒤의 혈관이 막히면서 문맥압이 상승한다.
문맥고혈압의 가장 흔한 원인은 만성 간부전인 간경변증이다.
2. 1. 간전성 원인
- 간문맥혈전증[47][45][46]
- 지라정맥 혈전증[47][45][46]
- 동정맥샛길 - 이로 인해 간문맥으로의 혈류가 증가한다.[47][45][46]
- 지라비대, 지라기능항진증으로 인한 간문맥으로의 혈류 증가[47][45][46]
- 간외 문맥 폐쇄증, 문맥 결손증
2. 2. 간내성 원인
간경변증이 가장 흔한 원인이며, 알코올 의존증, 만성 바이러스성 간염, 담도폐쇄증, 원발 쓸개관 간경화, 주혈흡충증, 선천성 간섬유증 등 다양한 간 질환에 의해 발생할 수 있다.[47][45][46]원인 |
---|
간경변증 |
알코올 의존증 |
만성 바이러스성 간염 |
담도폐쇄증 |
원발 쓸개관 간경화 |
원발 경화 쓸개관염 |
만성 췌장염 |
유전성 출혈 모세혈관확장증 |
주혈흡충증 |
선천성 간섬유증 |
결절성 재생성 과증식 |
굴주위공간(디세공간)의 섬유화 |
육아종성 또는 침윤성 간질환 (고셔병, 점액다당류증, 유육종증, 림프증식성 악성 종양, 아밀로이드증 등) |
간독성 (비소, 구리, 염화 비닐 단량체, 무기질유, 비타민 A, 아자티오프린, 다카바진, 메토트렉세이트, 아미오다론 등) |
바이러스성 간염 |
지방간 |
간정맥 폐색성 질환 |
2. 3. 간후성 원인
- 아래대정맥 폐색[47][45][46]
- 협착심장막염과 같은 원인으로 발생한 (오른쪽 심장의) 심부전[47][45][46]
- 간정맥혈전증이라고도 불리는 버드-키아리 증후군[47][45][46]
3. 병태생리학
문맥고혈압은 여러 원인으로 인해 혈관 저항이 증가하면서 나타난다. 이때 간별세포와 근섬유아세포가 활성화된다. 일산화 질소(NO)와 같은 내인성 혈관확장 인자들이 증가하면서 간문맥으로 더 많은 혈액이 흘러가도록 한다.[47][48] 일산화 질소는 L-아르기닌으로부터 만들어지며 간내 혈관의 수축 정도를 조절한다. 몇몇 연구에서 일산화 질소가 억제되면 간문맥고혈압을 증가시키고 노르에피네프린에 대한 간의 반응도 강하게 만든다고 밝혔다.[49]
간경변성 문맥고혈압은 동모세혈관 내피 세포 (SEC) 기능 부전, 간성상세포 (HSC) 활성화, 쿠퍼 세포 활성화, 그리고 근섬유아세포 활성화 등 여러 기전을 통해 혈관 내 혈류에 대한 저항이 증가하면서 발생한다.[11] 정상적인 SEC는 산화질소를 생성하여 HSC 활성화를 예방한다. HSC 활성화는 간 섬유화를 유발하여 문맥고혈압을 일으킨다.[11] 산화 질소는 내인성 혈관 확장제이며, 간내 혈관 긴장을 조절한다(이는 L-아르기닌으로부터 생성된다). 산화질소 억제는 일부 연구에서 문맥고혈압과 노르에피네프린에 대한 간 반응을 증가시키는 것으로 나타났다.[12]
문맥 압력 상승은 혈관 확장제 생산 증가, 혈관 수축제에 대한 반응 감소, 내장 순환 내 새로운 혈관 형성을 초래한다. 이 모든 과정은 더 많은 혈액을 동모세혈관으로 유입시켜 문맥 내 혈류를 촉진하여 문맥고혈압에 더욱 기여한다.[13][6][14] 내장 혈관 확장으로 인해 동맥 혈액량이 감소하여 저혈압이 발생한다. 이를 보상하기 위해 신경체액적 요인 (RAAS, SNS, ADH)이 활성화되어 나트륨과 수분 저류를 일으켜 고용량 상태를 유발한다.[15]
비(非) 간경변성 문맥고혈압은 간으로의 혈류 유입 또는 유출 장애가 가장 흔하다.[3][5] 이는 간이나 간에 혈액을 공급하는 혈관 내 혈액 정체를 유발하여 문맥압 상승으로 이어진다.
장관에서 흡수된 영양분과 독소는 문맥계를 거쳐 간 내에서 처리된 후, 하대정맥을 통해 전신으로 보내진다. 간경변 등으로 문맥압이 상승하여 갈 곳을 잃은 혈류는 제정맥, 좌위정맥, 하직장정맥 등을 우회하여 간을 거치지 않고 직접 체순환으로 흐른다. 본래의 경로를 단축하는 것을 단락(션트)이라고 하며, 문맥계에서 문맥을 거치지 않고 체순환으로 흐르는 것을 문맥전신단락이라고 한다.
4. 증상과 징후
복수로 인해 복부가 팽만되고 압박감이 나타날 수 있다.[47][6] 복통이나 압통은 자발성 세균성 복막염과 같이 복수가 세균에 감염된 경우에 나타난다.[42] 비장이 커지는 비장비대가 나타나고,[47][6] 이로 인해 혈소판 수가 감소하는 혈소판감소증으로 이어질 수 있다. 항문직장정맥류가 나타나고,[43][7] 앞배벽의 정맥이 부풀어 오르는 메두사머리가 나타나기도 한다.[47][6]
CT 스캔이나 MRI에서 간문맥이 팽창한 것이 보이면 문맥고혈압을 더 강하게 의심할 수 있다. 간문맥 직경의 기준치는 13mm가 널리 사용되지만, 정상인에서도 간문맥이 이보다 큰 경우가 자주 있다.[44][8]
간경변 등으로 문맥압이 상승하면, 장관에서 흡수된 영양분과 독소가 문맥계를 거쳐 간에서 처리된 후 하대정맥을 통해 전신으로 보내져야 하는데, 갈 곳을 잃은 혈류는 제정맥, 좌위정맥, 하직장정맥 등을 우회하여 간을 거치지 않고 직접 체순환으로 흐른다. 본래의 경로를 단축하는 것을 단락(션트)이라고 하며, 문맥계에서 문맥을 거치지 않고 체순환으로 흐르는 것을 문맥전신단락이라고 한다.
복부 정맥의 울혈 외에도, 문맥압 항진의 원인이 되는 질환에 따라 다양한 증상을 나타낸다. (간경변에서는 에스트로겐 대사 장애에 의한 거미상 혈관종, 손바닥 홍반 등)
5. 진단
초음파(US)는 비침습적이며 비용이 저렴하고, 현장에서 바로 시행 가능하기 때문에 문맥고혈압의 진단과 추적관찰에 가장 먼저 사용되는 영상 기법이다.[50]
직경이 13mm 또는 15mm 이상으로 팽창된 간문맥은 문맥고혈압의 소견으로, 민감도가 12.5~40% 정도이다.[51] 도플러 초음파검사에서는 혈류 속도가 16cm/s 아래로 느리고 간문맥이 팽창되어 있다면 문맥고혈압을 진단할 수 있다.[52] 초음파상에서 문맥고혈압의 또 다른 소견으로는 혈류의 평균 속도가 12cm/s보다 느리거나, 곁순환을 이루는 정맥(열린 상태의 배꼽옆정맥, 비장과 콩팥의 곁순환, 팽창된 왼위정맥과 짧은위정맥)이 존재하는 경우, 지라비대, 간경변증의 소견(간 표면의 결절 형성) 등이 있다.[50]
간정맥압력차(HVPG) 측정은 문맥고혈압의 중증도 평가에 최적표준으로 여겨져 왔다. 문맥고혈압은 HVPG가 5mmHg 이상인 경우로 정의되는데, 그중에서도 HVPG가 10~12mmHg를 넘으면 임상적으로 중증이라고 간주한다.[53]
6. 치료
문맥고혈압의 치료는 원인 질환 치료와 함께 합병증 예방 및 관리에 중점을 둔다. 문맥압을 낮추기 위해 β 차단제[38], ARB가 투여될 수 있으며, 복수 조절을 위해 이뇨제가 사용된다. 알부민 수치를 높여 복수를 조절하고 간성 혼수의 원인이 되는 암모니아를 줄이기 위해 분지쇄 아미노산 제제 (BCAA) 투여, 완하제, 항생 물질에 의한 장내 세균총 조절 및 식사 요법이 시행된다.[38]
합병증 중 가장 심각한 위·식도 정맥류 파열에는 내시경적 경화 요법(EIS), 내시경적 식도 정맥류 결찰술(EVL), 풍선 탐포네이드법, 투시 하에 시행하는 풍선 폐쇄하 역행성 경정맥적 색전술(B-RTO)이 시행된다. 과거에는 개복하여 문맥-하대정맥 단락술 등을 시행했으나, 암모니아 등을 포함한 장관에서의 혈류가 직접 대순환으로 유입되어 합병증이 나타나는 경우가 있었다.
6. 1. 약물 치료
베타 차단제[38], 바소프레신 유사체 (테를리프레신 등)를 사용하여 문맥압을 낮춘다.[58] 이소소르비드 모노니트레이트와 같은 약물도 사용될 수 있다. 복수 조절을 위해 이뇨제를 사용한다.[38] 간성 뇌증 예방을 위해 락툴로스, 관장, 리팍시민, 네오마이신, 반코마이신, 퀴놀론 등의 항생제를 사용한다.[30] 과거에는 식이 단백질 제한이 권장되었지만, 현재는 적절한 영양 섭취 유지가 권장된다.[30] 알부민 수치를 높여 복수를 조절하고 간성 혼수의 원인이 되는 암모니아를 줄이기 위해 분지쇄 아미노산 제제 (BCAA) 투여, 완하제, 항생 물질에 의한 장내 세균총 조절 및 식사 요법이 시행된다.[38]6. 2. 내시경적 치료
정맥류 출혈 예방 및 치료를 위해 내시경적 밴드 결찰술, 내시경적 경화 요법(EIS), 내시경적 식도 정맥류 결찰술(EVL) 등을 시행한다.[58]6. 3. 중재 시술
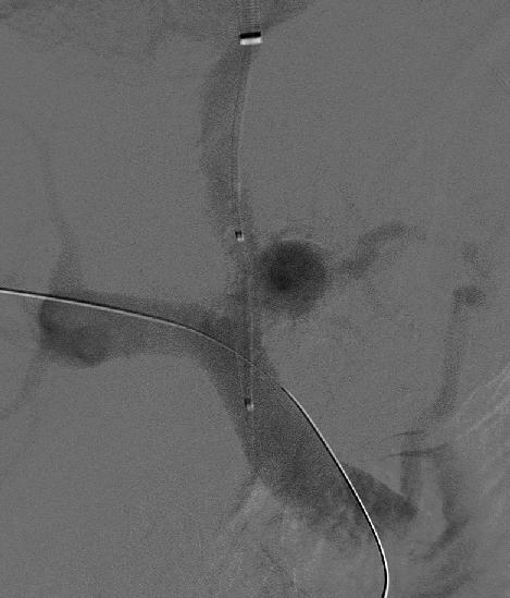
목정맥경유간속문맥전신순환지름술(TIPS)은 문맥과 전신 순환 사이에 새로운 혈관을 연결하여 문맥압을 낮추는 시술이다. TIPS는 시술이 더 쉽고 간의 혈관을 막지 않는다는 장점이 있어, 다른 문맥전신지름술보다 더 많이 쓰이게 되었다.[57] 경경정맥 간내 문맥전신 단락술(TIPS)는 재출혈률을 감소시키는 데 효과적이다.[26][27]
활성 정맥류 출혈의 관리는 혈관 활성 약물(소마토스타틴, 옥트레오티드), 내시경 결찰술, 풍선 지혈법 및 TIPS를 포함한다.[28][26]
최근에는 혈관 내 치료로서 경경정맥 간내 문맥 정맥 단락술(Transjugular Intrahepatic Portasystemic Shunt: TIPS)이 시도되고 있다. 이는 경부에서 카테터를 삽입하여 문맥과 간정맥을 직접 연결하는 수술이다.
6. 4. 외과적 치료
과거에는 개복하여 문맥-하대정맥 단락술 등을 시행했으나, 암모니아 등을 포함한 장관에서의 혈류가 직접 대순환으로 유입되기 때문에 합병증이 나타나는 경우가 있었다.[37] 최근에는 혈관 내 치료로서 목정맥경유간속문맥전신순환지름술(TIPS)이 시도되고 있다. 이는 경부에서 카테터를 삽입하여 문맥과 간정맥을 직접 연결하는 수술이다.[37]TIPS는 시술이 더 쉽고 간의 혈관 분포를 방해하지 않는다는 장점이 있다.[37]
7. 합병증
문맥고혈압은 여러 합병증을 유발할 수 있다. 간 손상으로 인한 신경 장애인 간성 뇌증은 장내 세균이 생성한 암모니아 등의 독소가 문맥-전신 단락을 통해 직접 전신 순환으로 들어가 발생한다.[29] 위와 식도 정맥류는 문맥압 항진으로 인해 혈관이 확장되고 약해져 출혈을 일으킬 수 있다. 그 외에도 문맥압 항진성 위장병증, 난치성 복수 등이 나타날 수 있다.
7. 1. 복수
복수는 문맥고혈압과 알부민 감소로 인해 복강 내에 체액이 축적되는 현상이다. 간경변증의 경우, 증가된 정수압과 감소된 알부민 생성으로 교질 삼투압이 감소하여 복강 내로 체액이 누출된다.[20]복수 관리는 전신 혈액량 상태의 급격한 변화를 피하기 위해 점진적으로 이루어져야 하며, 이는 간성 뇌증, 신부전 및 사망을 유발할 수 있다. 관리에는 식단의 염분 제한, 과도한 염분과 수분을 배출하기 위한 이뇨제(푸로세미드, 스피로놀락톤), 복수를 수동으로 제거하는 복수 천자 및 경정맥 간내 문맥전신 단락술(TIPS)이 포함된다.[21][22]
원인 질환에 따른 치료와 함께 합병증에 대한 대증 요법도 실시한다. 문맥압을 낮추기 위해 β 차단제[38], ARB를 투여하고, 이뇨제를 사용하여 복수를 조절한다. 알부민 수치를 높여 복수를 조절하고 간성 혼수의 원인이 되는 암모니아를 줄이기 위해 분지쇄 아미노산 제제 (BCAA) 투여, 완하제, 항생 물질에 의한 장내 세균총 조절 및 식사 요법이 시행된다.
7. 2. 자발성 세균성 복막염
간경변증 환자에게서는 장내 세균 과증식과 장벽 투과성 증가가 나타난다. 이러한 세균(가장 흔하게는 대장균(E. coli)과 클렙시엘라)은 장벽을 통과하여 복수액으로 들어가 염증 반응을 일으킬 수 있다.[23]진단적 복수 천자 후에는 일반적으로 3세대 세팔로스포린(세프트리악손 또는 세포탁심)으로 항생제 치료를 한다. 환자에게 알부민도 투여한다.[23]
1차 예방은 고위험군에게 제공되며, 2차 예방은 이전에 수축기 혈압(SBP)으로 진단받은 모든 사람에게 제공된다. 예방을 위한 약물은 일반적으로 플루오로퀴놀론 또는 설폰아미드이다.[23]
7. 3. 정맥류 출혈
문맥 고혈압이 증가하면 기존 혈관이 확장되고 새로운 혈관 연결이 형성된다. 새롭게 형성된 이러한 혈관 연결은 약하며 파열되기 쉬워 출혈을 유발한다. 식도 정맥류는 좌위 정맥과 기정맥-반기정맥 사이의 연결로 인해 발생한다. 위식도 정맥류는 좌위 정맥의 전방 분지와 식도 정맥 사이 또는 단위 정맥 및 후위 정맥과 식도 정맥 사이의 연결로 인해 발생한다.약물 치료(비선택적 β-차단제, 질산염 이소소르비드 질산염, 테리프레신과 같은 바소프레신)과 내시경 치료(결찰술) 모두 유사한 결과를 보인다. 경경정맥 간내 문맥전신 단락술(TIPS)은 재출혈률을 감소시키는 데 효과적이다.[26][27]
활성 정맥류 출혈의 관리는 혈관 활성 약물(소마토스타틴, 옥트레오티드), 내시경 결찰술, 풍선 지혈법 및 TIPS를 포함한다.[28][26] 합병증 중 가장 심각한 것은 위·식도 정맥류 파열이며, 내시경적 경화 요법 (Endoscopic Injection Sclerotherapy: '''EIS''')이나 내시경적 식도 정맥류 결찰술 (Endoscopic Variceal Ligation: '''EVL'''), 풍선 탐포네이드법, 투시 하에 시행하는 풍선 폐쇄하 역행성 경정맥적 색전술 (Balloon occulted -Retrograde Trasvenous obliteration: '''B-RTO''')이 시행된다.
7. 4. 간성 뇌증
간 기능 저하로 인해 혈액 내 암모니아 등 독성 물질이 증가하여 발생하는 신경정신 증상이다. 문맥-전신 단락에 의해 장내 세균이 생성한 암모니아 등의 독소가 단락으로 인해 직접 전신 순환으로 흘러 들어가 신경계에 장애가 나타난다.[29] 뇌 세포가 암모니아를 제거하려 할 때, 글루타민이 과도하게 생성되어 뇌 세포의 부종과 신경 기능 장애를 유발한다.[29]치료에는 락툴로오즈, 관장이나 리팍시민, 네오마이신, 반코마이신, 퀴놀론계 항생제 등 여러 가지 항생제가 쓰일 수 있다.[62] 암모니아를 줄이기 위해 분지쇄 아미노산 제제 (BCAA) 투여, 완하제 등이 사용되기도 한다. 식사 단백질 제한이 권장되기도 했으나 현재는 여러 임상 시험에서 효과가 없음이 밝혀져 시행되지 않는다. 대신 적절한 영양 공급을 유지하도록 권장하고 있다.[62]
7. 5. 간신 증후군
신경체액 인자의 활성화는 신장 혈관 수축으로 이어져, 신장으로 가는 혈액 공급이 줄어들고 사구체 여과율이 감소한다. 이는 급성 신장 손상(HRS 1형) 또는 서서히 진행되는 신부전(HRS 2형)일 수 있다.[5]문맥고혈압 환자의 관리는 중환자실(ICU) 입원 여부에 따라 달라진다. 중환자실에 있지 않은 환자에게는 테리프레신과 같은 알부민 및 내장 혈관 수축제를 투여한다.[31] 이러한 내장 혈관 수축제는 평균 동맥압을 증가시켜 신장에 공급되는 혈액량을 늘린다.[31] 이는 신장 혈관 수축을 유발한 보상성 신경체액 반응을 줄여 전반적인 신장 기능을 개선한다.
7. 6. 심근병증
초기에는 심장이 내장 혈관 확장의 결과로 감소된 효과적인 동맥 혈액량을 보상하기 위해 심박출량을 증가시키며, 이는 고박출성 심부전을 초래한다.[15] 결국, 심장은 장기간의 내장 혈관 확장이 지속되는 상황에서 이러한 증가된 심박출량을 유지할 수 없게 된다. 그 결과, 심장은 적절하게 혈액을 채우거나 펌프질하지 못하게 된다.비선택적 베타 차단제는 일부 임상 연구에서 성공적인 결과를 보였다. 환자는 또한 이뇨제로 치료받는다. 간 이식은 심근병증을 역전시킬 수 있다.[32][33]
참조
[1]
웹사이트
Portal hypertension
https://radiopaedia.[...]
2021-03-11
[2]
웹사이트
Portal hypertension {{!}} Disease {{!}} Overview
https://rarediseases[...]
2016-01-08
[3]
논문
Clinical Assessment and Management of Portal Hypertension
2018-08
[4]
웹사이트
Portal Hypertension - Liver and Gallbladder Disorders
https://www.msdmanua[...]
2021-03-11
[5]
논문
Management of Portal Hypertension
2022-07
[6]
웹사이트
Portal Hypertension. Learn about Portal Hypertension {{!}} Patient
http://patient.info/[...]
2016-01-08
[7]
논문
Anorectal varices, haemorrhoids, and portal hypertension
1989-02
[8]
논문
Normal main portal vein diameter measured on CT is larger than the widely referenced upper limit of 13 mm
2016-10
[9]
논문
Portal hypertension: pathophysiology, diagnosis and management
2015-01
[10]
서적
Robbins basic pathology
Elsevier/Saunders
2013-01-01
[11]
논문
Portal hypertension in cirrhosis: Pathophysiological mechanisms and therapy
2021-08
[12]
논문
Pathophysiology of portal hypertension and esophageal varices
2012
[13]
논문
Functional aspects on the pathophysiology of portal hypertension in cirrhosis
2012-08
[14]
논문
Portal Hypertension: Practice Essentials, Background, Anatomy
http://emedicine.med[...]
2017-11-30
[15]
논문
Hypotension in Cirrhosis
2019-06
[16]
웹사이트
Assessing Portal Hypertension in Liver Diseases: Noninvasive Techniques to Assess Portal Hypertension
https://www.medscape[...]
2013-01-28
[17]
논문
The role of ultrasonography in portal hypertension
[18]
논문
Altered Doppler flow patterns in cirrhosis patients: an overview
2016-01
[19]
논문
Clinical manifestations of portal hypertension
[20]
논문
Unexplained ascites
2016-03
[21]
논문
Current management of the complications of portal hypertension: variceal bleeding and ascites
2006-05
[22]
논문
Introduction to the revised American Association for the Study of Liver Diseases Practice Guideline management of adult patients with ascites due to cirrhosis 2012
2013-04
[23]
논문
Spontaneous Bacterial Peritonitis in Decompensated Liver Cirrhosis—A Literature Review
2022-09
[24]
논문
Relationship between esophageal varices and azygos vein evaluated by cineportography
1991-05
[25]
논문
Prevention and management of gastroesophageal varices
2018-03
[26]
논문
Treatment of portal hypertension
2012-03
[27]
논문
Management of varices and variceal hemorrhage in liver cirrhosis: a recent update
2022-01
[28]
웹사이트
Portal Hypertension Medication: Somatostatin Analogs, Beta-Blockers, Nonselective, Vasopressin-Related, Vasodilators
http://emedicine.med[...]
2016-01-08
[29]
논문
Hepatic encephalopathy: Novel insights into classification, pathophysiology and therapy
2020-12
[30]
웹사이트
Hepatic Encephalopathy. Free Medical information
http://www.patient.i[...]
2022-01-11
[31]
논문
Management of hepatorenal syndrome in liver cirrhosis: a recent update
2022-01
[32]
논문
Diagnosis and Management of Cirrhotic Cardiomyopathy
2022-01
[33]
논문
Cirrhotic Cardiomyopathy: The Interplay Between Liver and Heart
2022-08
[34]
논문
A simplified technique of performing splenorenal shunt (Omar's technique)
2005-01-01
[35]
서적
Vascular and Endovascular Surgery: A Comprehensive Review
https://books.google[...]
Elsevier Health Sciences
2012-11-23
[36]
논문
The surgical treatment for portal hypertension: a systematic review and meta-analysis
2013
[37]
논문
The transjugular intrahepatic portosystemic shunt in the treatment of portal hypertension: current status
2012
[38]
간행물
門脈血行異常症 (門脈圧亢進症) による上部消化管出血に対する塩酸[[プロプラノロール]]の予防効果および安全性の検討
2004
[39]
웹인용
Portal Hypertension - Liver and Gallbladder Disorders
https://www.msdmanua[...]
2021-03-11
[40]
웹인용
Portal hypertension
https://radiopaedia.[...]
2021-03-11
[41]
웹인용
Portal hypertension
https://rarediseases[...]
2016-01-08
[42]
저널
Spontaneous Bacterial Peritonitis
http://www.karger.co[...]
2016-01-08
[43]
저널
ANORECTAL VARICES, HAEMORRHOIDS, AND PORTAL HYPERTENSION
https://www.scienced[...]
1989-02-18
[44]
저널
Normal main portal vein diameter measured on CT is larger than the widely referenced upper limit of 13 mm
[45]
저널
Portal hypertension: pathophysiology, diagnosis and management
2015-01-01
[46]
서적
Robbins basic pathology
Elsevier/Saunders
2013-01-01
[47]
웹인용
Portal Hypertension. Learn about Portal Hypertension
http://patient.info/[...]
2016-01-08
[48]
저널
Portal Hypertension: Practice Essentials, Background, Anatomy
http://emedicine.med[...]
2018-10-11
[49]
저널
Pathophysiology of Portal Hypertension and Esophageal Varices
2012
[50]
웹인용
Assessing Portal Hypertension in Liver Diseases: Noninvasive Techniques to Assess Portal Hypertension
https://www.medscape[...]
2013-01-28
[51]
저널
The role of ultrasonography in portal hypertension
http://www.saudijgas[...]
[52]
저널
Altered Doppler flow patterns in cirrhosis patients: an overview
[53]
저널
Clinical manifestations of portal hypertension
[54]
저널
A Simplified Technique of Performing Splenorenal Shunt (Omar's Technique)
2005-01-01
[55]
서적
Vascular and Endovascular Surgery: A Comprehensive Review
https://books.google[...]
Elsevier Health Sciences
2012-11-23
[56]
저널
The Surgical Treatment for Portal Hypertension: A Systematic Review and Meta-Analysis
2013
[57]
저널
The Transjugular Intrahepatic Portosystemic Shunt in the Treatment of Portal Hypertension: Current Status
2012
[58]
저널
Treatment of portal hypertension
2012-03-21
[59]
웹인용
Portal Hypertension Medication: Somatostatin Analogs, Beta-Blockers, Nonselective, Vasopressin-Related, Vasodilators
http://emedicine.med[...]
2016-01-08
[60]
저널
Current management of the complications of portal hypertension: variceal bleeding and ascites
2006-05-09
[61]
저널
Introduction to the revised American Association for the Study of Liver Diseases Practice Guideline management of adult patients with ascites due to cirrhosis 2012.
2013-04
[62]
웹인용
Hepatic Encephalopathy. Free Medical information
http://www.patient.i[...]
본 사이트는 AI가 위키백과와 뉴스 기사,정부 간행물,학술 논문등을 바탕으로 정보를 가공하여 제공하는 백과사전형 서비스입니다.
모든 문서는 AI에 의해 자동 생성되며, CC BY-SA 4.0 라이선스에 따라 이용할 수 있습니다.
하지만, 위키백과나 뉴스 기사 자체에 오류, 부정확한 정보, 또는 가짜 뉴스가 포함될 수 있으며, AI는 이러한 내용을 완벽하게 걸러내지 못할 수 있습니다.
따라서 제공되는 정보에 일부 오류나 편향이 있을 수 있으므로, 중요한 정보는 반드시 다른 출처를 통해 교차 검증하시기 바랍니다.
문의하기 : help@durumis.com