바렛 식도
"오늘의AI위키"의 AI를 통해 더욱 풍부하고 폭넓은 지식 경험을 누리세요.
1. 개요
바렛 식도는 식도 하부의 점막이 위산 역류로 인해 손상되어 위 점막과 유사한 원주 상피로 변하는 질환이다. 1950년 노먼 바렛의 이름을 따서 명명되었으며, 만성적인 위식도 역류 질환(GERD)이 주요 원인으로 작용한다. 바렛 식도는 속쓰림, 삼킴 곤란 등의 증상을 동반하며, 심한 경우 식도 선암종으로 발전할 수 있어 정기적인 내시경 검사와 생검을 통한 관리가 필요하다. 진단은 내시경 검사 및 조직 검사를 통해 이루어지며, 장상피화생이라는 특징적인 소견이 나타난다. 치료 방법으로는 약물 치료, 내시경적 절제술, 고주파 절제술 등이 있으며, 식도암 발생 위험을 낮추기 위해 저용량 아스피린과 같은 약물이 사용되기도 한다.
더 읽어볼만한 페이지
- 소화기 질환 - 식도암
식도암은 식도 상피세포에서 발생하는 악성 종양으로, 편평상피세포암과 선암이 주된 유형이며, 진행될수록 연하곤란, 체중 감소, 흉통 등이 나타나고 흡연, 음주 등이 위험 요인으로 작용하며, 내시경 검사, 조직검사 등으로 진단하고 수술, 화학요법 등으로 치료하며 예방을 위해서는 금연, 절주 등이 중요하다. - 소화기 질환 - 위염
위염은 헬리코박터 파일로리 감염, 비스테로이드성 소염제, 알코올, 스트레스 등으로 인해 위 점막에 염증이 생기는 질환으로, 상복부 통증, 메스꺼움, 구토 등의 증상이 나타나거나 무증상일 수 있으며, 급성 또는 만성으로 분류되고, 내시경 검사 등으로 진단하여 제산제, 항생제 등으로 치료한다.
| 바렛 식도 | |
|---|---|
| 질병 정보 | |
![]() | |
| 다른 이름 | 바렛 식도 앨리슨-존스톤 기형 원주 상피로 덮인 하부 식도 (CELLO) |
| 진료과 | 소화기내과 일반외과 |
| 증상 | |
| 증상 | 메스꺼움 |
| 합병증 | |
| 발병 시기 | |
| 지속 기간 | |
| 유형 | |
| 원인 | |
| 위험 요인 | |
| 진단 | |
| 감별 진단 | |
| 질병 분류 | |
| 관련 분야 | |
| 관련 분야 | 소화기학 |
2. 역사
1950년에 런던 대학교의 흉부 외과 의사인 Norman Barrett|노먼 바렛영어에 의해 보고되어 명명되었다.[58]
바렛 식도는 만성 염증으로 인해 발생하며, 만성 염증의 주요 원인은 위 식도 역류병(GERD)이다. 이 질환에서 산성 위, 담즙, 소장 및 췌장의 내용물이 하부 식도의 세포에 손상을 일으킨다. 이는 특히 원위부(장) 특성을 특징으로 하고 정상 편평 세포보다 경쟁 우위를 점하는 HOXA13 발현 줄기 세포와 같이 이러한 유해 자극에 더 강한 세포에 유리하게 작용한다.[70][10]
바렛 식도에서 정상 세포가 전암성 세포로 변화하는 것은 일반적으로 특별한 증상을 유발하지 않는다. 그러나 바렛 식도는 주로 기저 위식도 역류 질환(GERD)으로 인해 다음과 같은 증상과 관련이 있다.[7]
바렛 식도(Barrett's esophagus)라는 명칭은 1950년, 호주 출신의 흉부외과 외과의사 노먼 바렛(1903–1979)의 이름을 따서 명명되었는데, 그는 "궤양은 편평원주 상피 접합부 아래에서 발견되며 ... 위 궤양이 '흉막강 내로 흉터 조직에 의해 당겨진 ... 위 주머니' 내에 존재한다"고 주장했다.[54][55] 반면, 필립 롤랜드 앨리슨과 앨런 존스턴은 이 질환이 "바렛이 잘못 믿었던 것처럼 흉강 내 위가 아닌 위 점막으로 덮인 식도"와 관련이 있다고 주장했다.[56][57] 옥스퍼드 대학교 외과 과장이자 흉부외과 의사인 필립 앨리슨은 "식도의 만성 소화성 궤양 분화구를 '바렛 궤양'이라고 부르자"고 제안했지만, 이 명칭이 "위 점막으로 덮인 식도에 대한 바렛의 설명이 위와 같다"는 데 동의한다는 것을 의미하지는 않는다고 덧붙였다.[56][57]
바니-하니 KE와 바니-하니 KR은 바렛 식도의 용어와 정의가 다른 대부분의 의학적 상태와 달리 특별한 혼란에 휩싸여 있으며, "[이 질환]을 설명하기 위해 '바렛'이라는 고유 명칭을 사용하는 것은 역사적인 관점에서 정당화되지 않는다"고 주장한다.[57] 이들은 이 질환의 역사적 측면을 조사하여 "노먼 바렛이 이 질환의 핵심 개념에 기여한 바가 다른 연구자들, 특히 필립 앨리슨의 기여에 비해 얼마나 적은지"를 밝혀낼 수 있었다.[57]
1975년에는 선암종과의 추가적인 연관성이 밝혀졌다.[58]
3. 병태생리학
이 메커니즘은 또한 발암 과정에서 HER2/neu(ERBB2라고도 함)를 선택하고 과발현하는(계통 중독) 암세포와 위식도 접합부의 선암종 치료에서 트라스투주맙(허셉틴)을 사용한 Her-2 수용체에 대한 표적 치료의 효과를 설명한다.
연구자들은 속쓰림 환자 중 누가 바렛 식도로 발전할지 예측할 수 없다. 속쓰림의 심각성과 바렛 식도의 발생 사이에는 관련이 없지만, 만성 속쓰림과 바렛 식도의 발생 사이에는 관련이 있다. 때로는 바렛 식도 환자가 속쓰림 증상을 전혀 느끼지 못하기도 한다.
일부 일화적 증거에 따르면, 섭식 장애인 폭식증 환자가 바렛 식도로 발전할 가능성이 더 높은데, 이는 폭식증이 심한 산 역류를 유발할 수 있고, 구토 또한 식도에 산을 범람시키기 때문이다. 그러나 폭식증과 바렛 식도 사이의 연관성은 아직 입증되지 않았다.[11][12]
역류 에피소드 동안 담즙산이 식도로 들어가는데, 이는 발암의 중요한 요인이 될 수 있다.[13] GERD 및 BE 환자는 세포 독성 효과가 있고 DNA 손상을 일으킬 수 있는 고농도의 데옥시콜산에 노출된다.[4][14]
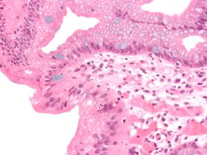
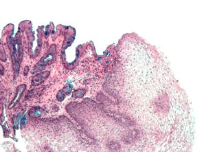
조직학적, 병리학적인 정의로는 "바렛 식도(Barrett's esophagus)란 식도 내에 존재하는 원주상피로 장상피화생을 동반한 것"으로 정의된다. 원주상피화생과 점막근판의 2층화를 특징으로 한다. 위식도 역류 질환(GERD)에 의해 발생하며, 위산과 십이지장액이 모두 관련되어 있는 것으로 알려져 있다.
4. 징후 및 증상
바렛 식도의 발병 위험은 복부 비만(말초 비만과 비교)에 의해 증가한다.[8] 정확한 메커니즘은 불분명하다. 남성(보다 중심적)과 여성(보다 말초적)의 지방 분포 차이가 남성에게서 증가된 위험을 설명할 수 있다.[9]
5. 진단
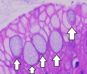
바렛 식도의 진단에는 내시경 검사와 현미경을 통한 조직학적 확인이 모두 필요하다. 특히, 장(腸) 형성이상이라고 불리는 술잔 세포의 존재가 필수적이다.[21]


바렛 식도는 정상 식도 점막하선 관의 이행 상피에서 발생하는 술잔 세포나 "가성 술잔 세포" 등과 같이 유사한 조직학적 소견을 보이는 경우가 많으므로, 감별 진단이 중요하다. Alcian blue pH 2.5 조직화학 염색이나 CDX-2 항체를 이용한 면역조직화학 분석을 통해 진정한 장 형성이상 세포를 확인할 수 있다. AGR2 단백질은 바렛 식도에서 발현이 증가하며,[22] 바렛 상피와 정상 식도 상피를 구별하는 생체표지자로 사용할 수 있다.[23]
바렛 식도에서 장 형성이상의 존재는 형성이상이 이형성증으로 진행되고 궁극적으로 선암종으로 진행되는 지표이다. 이 요인과 p53, Her2 및 p16의 면역조직화학적 발현 양상을 결합하면 바렛 식도에서 이형성증으로 진행될 가능성이 높은 두 가지 유전적 경로를 추정할 수 있다.[24] 또한 장 형성이상 세포는 CK 7+/CK20- 양성 반응을 보일 수 있다.[25]
5. 1. 내시경 검사
진단을 내리기 위해서는 육안적(내시경 검사) 및 현미경적 양성 소견이 모두 필요하다. 바렛 식도는 정상적인 편평 세포 상피를 대체하는 하부 식도에 원주 상피의 존재로 특징지어진다. 이는 화생의 예시이다. 분비성 원주 상피는 위액의 침식 작용을 더 잘 견딜 수 있지만, 이러한 화생은 선암종의 위험을 증가시킨다.[15]
선별 내시경 검사는 장기간 지속되며 치료로 조절되지 않는 역류 증상이 있는 60세 이상의 남성에게 권장된다.[16] 5년 이상 생존할 것으로 예상되지 않는 사람들에게는 선별 검사가 권장되지 않는다.[16]
시애틀 프로토콜은 위식도 접합부에서 1~2cm 간격으로 내시경 생검을 채취하여 선별 검사에 일반적으로 사용된다.
스코틀랜드의 코로나19 범유행 이후, NHS는 진단을 위해 세포 샘플을 채취하기 위해 삼킬 수 있는 스펀지(Cytosponge)를 병원에서 사용하기 시작했다.[17] 예비 연구에 따르면 이 진단 검사는 속쓰림 증상이 있는 사람들을 선별하고 진단을 개선하는 데 유용한 도구인 것으로 나타났다.[18][19]
광 간섭 단층 촬영법 (OCT)은 바렛 식도를 감지하는 데 중간 정도의 민감도와 특이성을 갖는 고해상도 식도 이미지를 생성할 수 있지만, 아직 표준 생검을 대체할 만큼 정확하지 않을 수 있다.[20]
위식도 역류 질환 증상이 있으면 제산제 투여 등이 이루어진다. 실제 임상에서는 그 후에 발생할 수 있는 "바렛 선암"의 발생을 조기에 발견하는 것과, 이를 위한 정기적인 상부 소화관 내시경 검사를 통한 정기적인 관찰이 이루어진다.
SSBE(Short Segment Barrett's Esophagus, 단분절 바렛 식도)에서는 식도암의 발생 빈도가 드물지만, LSBE(Long Segment Barrett's Esophagus, 장분절 바렛 식도)에서는 식도암의 발생 빈도가 높다. 구미에서는 LSBE가 비교적 많고, 일본에서는 SSBE가 많다. 일본의 "바렛 식도"의 대부분이 "SSBE"이며, "LSBE"는 드물다. 다만, 소화기 전문의라도, 엄격하게는 "SSBE"로 간주되는 증례에서도, 쉽게 "LSBE"라는 진단이 내려지는 경우가 많다.
5. 2. 조직 검사
바렛 식도 진단에는 내시경 검사를 통한 육안적 소견과 현미경을 이용한 조직학적 소견이 모두 필요하다. 바렛 식도는 하부 식도에서 정상적인 편평 세포 상피가 원주 상피로 대체되는 화생 현상이다. 분비성 원주 상피는 위산에 의한 손상에 더 강하지만, 선암 발생 위험을 높인다.[15]치료에도 불구하고 역류 증상이 오래 지속되는 60세 이상 남성은 선별 내시경 검사를 받는 것이 좋다.[16] 예상 생존 기간이 5년 미만인 경우에는 선별 검사가 권장되지 않는다.[16]
선별 검사 시에는 위식도 접합부에서 1~2cm 간격으로 내시경 생검을 시행하는 시애틀 프로토콜이 주로 사용된다.
스코틀랜드의 코로나19 범유행 이후, 스코틀랜드 NHS에서는 세포 채취용 삼킴형 스펀지(Cytosponge)를 병원에서 사용하기 시작했다.[17] 예비 연구 결과, 이 검사는 속쓰림 환자 선별 및 진단 개선에 유용한 것으로 나타났다.[18][19]
광 간섭 단층 촬영법(OCT) 같은 새로운 기술은 고해상도 식도 이미지를 제공하여 바렛 식도 진단에 사용되지만, 아직까지는 표준 생검을 대체할 정도로 정확하지는 않다.[20]
바렛 식도를 확진하려면 술잔 세포의 존재, 즉 장 형성이상이 필수적이다. 술잔 세포는 다른 형성이상 원주 세포와 함께 나타나는 경우도 많지만, 진단을 위해서는 반드시 존재해야 한다. 형성이상은 내시경으로 확인할 수 있지만, 세포의 성격(위 또는 결장)을 확인하려면 생검 표본을 현미경으로 검사해야 한다. 결장 형성이상은 상피에서 술잔 세포를 확인하여 감별하며, 정확한 진단을 위해 필수적이다.[21]
정상 식도 점막하선 관의 이행 상피에서 발생하는 술잔 세포나 "가성 술잔 세포" 등 바렛 식도와 유사한 조직학적 소견이 많다. Alcian blue pH 2.5 조직화학 염색은 진정한 장형 점액과 유사 소견을 감별하는 데 사용된다. 최근에는 CDX-2 항체를 이용한 면역조직화학 분석으로 진정한 장 형성이상 세포를 확인하기도 한다. AGR2 단백질은 바렛 식도에서 발현이 증가하며,[22] 바렛 상피와 정상 식도 상피를 구별하는 생체표지자로 활용될 수 있다.[23]
바렛 식도에서 장 형성이상이 존재한다는 것은 이형성증, 나아가 선암으로 진행될 가능성이 높다는 것을 의미한다. 이 요인과 p53, Her2, p16의 면역조직화학적 발현 양상을 결합하면 이형성증으로 진행될 가능성이 높은 두 가지 유전적 경로를 추정할 수 있다.[24] 장 형성이상 세포는 CK 7+/CK20- 양성 반응을 보일 수 있다.[25]
조직학적, 병리학적 정의에 따르면, 바렛 식도는 "식도 내 장상피화생을 동반한 원주상피"로 정의되며, 원주상피화생과 점막근판의 2층화가 특징이다.
5. 3. 기타 진단 방법
스코틀랜드의 코로나19 범유행 이후, NHS 스코틀랜드는 진단을 위해 세포 샘플을 채취하는 삼킬 수 있는 스펀지(Cytosponge)를 병원에서 사용하기 시작했다.[17] 예비 연구에 따르면 이 진단 검사는 속쓰림 증상이 있는 사람들을 선별하고 진단을 개선하는 데 유용한 도구인 것으로 나타났다.[18][19]광간섭 단층 촬영법(OCT)은 선별 및 진단을 위한 새로운 기술로, 바렛 식도를 감지하는 데 중간 정도의 민감도와 특이성을 갖는 고해상도 식도 이미지를 생성할 수 있다. 그러나 아직 표준 생검을 대체할 만큼 정확하지는 않다.[20]
6. 분류
실제 임상에서 사용되는 상부 소화관 내시경 관찰에 의한 진단 정의는 다양하게 존재한다. 식도 위 접합부(EGJ)를 넘어 식도 편평 상피 부분에서 선원주 상피를 인정하는 것으로 되어 있다.[1]
2003년에 미국, 일본, 유럽을 중심으로 한 국제 연구 조직 IWGCO (International Working Group for the Classification of Oesophagitis)에서 발표된 분류는 "Prague C & M classification"(프라하 분류)이라고 불린다.[1]
| 용어 | 설명 |
|---|---|
| EGJ (Esophago gastric junction: 식도 위 접합부) | 위 점막 주름의 상단 |
| C-extent (circumferential extent) | EGJ에서 전주성 식도 원주 상피(장상피화생)까지의 거리 |
| M-extent (maximum extent) | EGJ에서 식도 원주 상피(장상피화생)의 설상 부분을 더한 최대 거리 |
일본 식도 학회에 의한 분류 정의는 다음과 같다.[1]
| 용어 | 설명 |
|---|---|
| EGJ (Esophago gastric junction: 식도 위 접합부) | 하부 식도의 울타리 모양 혈관의 하단 |
| SCJ (squamocolumnar junction: 편평 원주 상피 접합부) | 식도 편평 상피와 위 원주 상피의 경계 |
바렛 식도는 이후 바렛 선암 발생 확률에 따라 "길이"에 따라 간략하게 다음과 같이 대별하여 표현된다.[1]
| 용어 | 설명 |
|---|---|
| SSBE (단구간 바렛 식도) | EGJ(식도 위 접합부)에서 연속된 원주상피가 전주적으로 3cm 이내로 인정되는 것 |
| LSBE (장구간 바렛 식도) | EGJ(식도 위 접합부)에서 연속된 원주상피가 전주적으로 3cm 이상으로 인정되는 것 |
7. 관리
바렛 식도를 가진 많은 사람들은 이형성증이 없다. 의사회에서는 환자가 바렛식도를 가지고 있고 과거 2회의 내시경 및 생검 검사에서 이형성증이 없는 것으로 확인된 경우 환자는 3년 이내에 다른 내시경 검사를 받지 않아야 한다고 권장한다.[71][72][73]
바렛식도가 있는 사람에 대한 내시경적 감시가 종종 권장되지만 이 관행을 뒷받침하는 직접적인 증거는 거의 없다.[74] 고도 이형성증에 대한 치료 옵션에는 외과적 식도 제거(식도 절제술) 또는 내시경 점막 절제술 또는 절제(파괴)와 같은 내시경 치료가 포함된다.[74] 바렛 식도 초기 진단을 받은 후, 영향을 받는 사람들은 암으로 진행될 위험이 더 높은 변화를 감지하기 위해 매년 추적 관찰을 받는다. 이는 상피 이형성증 (또는 "상피내 종양")의 발생을 확인하기 위함이다.[26]
모든 화생성 병변 중 약 8%가 이형성증과 관련이 있었으며, 특히 최근 연구에 따르면 이형성 병변은 주로 식도의 후벽에 위치하는 것으로 나타났다.[27]
병리학자들 간의 이형성증 평가에는 상당한 변동성이 있다. 최근, 소화기내과 및 소화기 병리 학회에서는 바렛 식도에서 고등급 이형성증 진단이 내려진 경우, 환자에 대한 확정적인 치료를 시작하기 전에 최소 2명의 펠로우십 과정을 마친 소화기 병리 전문의에 의해 확인되어야 한다고 권고했다.[15] 더 정확하고 재현 가능한 결과를 위해, "비엔나 분류" (2000)와 같은 위장관 상피 종양의 국제 분류 시스템을 따르는 것도 권장된다.[28]
악성 종양의 위험은 증상이 5년 이상 지속된 50세 이상의 백인 남성에서 미국에서 가장 높다. 현재 권장 사항에는 정기적인 내시경 검사와 생검(이형성 변화를 찾기 위한)이 포함된다. 과거에는 의사들이 관망하는 접근 방식을 취했지만, 최근 발표된 연구에서는 바렛 식도에 대한 개입을 고려하는 것을 지지한다. Ganz, Stern 및 Zelickson이 1999년에 발명한 풍선 기반 고주파 절제술은 바렛 식도 및 이형성증 치료를 위한 새로운 치료 방식이며 수많은 임상 시험의 대상이 되었다.[32][33][34][35] 연구 결과에 따르면 고주파 절제술은 바렛 식도와 이형성증을 완전히 제거하는 데 90% 이상 효과적이며, 최대 5년의 지속성과 유리한 안전성을 보인다.[32][33][34][35]
역류 방지 수술이 식도암을 예방하는 것으로 입증되지 않았다. 양성자 펌프 억제제가 식도암의 진행을 제한하는 데 효과적이다. 레이저 치료는 심각한 이형성증에 사용되며, 명백한 악성 종양의 경우 수술, 방사선 치료, 또는 전신 화학 요법이 필요할 수 있다. 최근 5년간의 무작위 대조 시험에서 광역학 치료를 통해 포토프린을 사용하면 양성자 펌프 억제제 단독 사용보다 이형성 증식 부위를 제거하는 데 통계적으로 더 효과적인 것으로 나타났다.[36]
현재 바렛 식도를 가진 환자 중 누가 식도암으로 발전할지 결정할 수 있는 신뢰할 수 있는 방법은 없지만, 최근 연구에서 세 가지 다른 유전자 이상을 감지하면 6년 안에 암이 발생할 확률이 최대 79%까지 되는 것으로 나타났다.[37]
내시경 점막 절제술 또한 관리 기법으로 평가되었다.[38] 또한 Nissen fundoplication으로 알려진 수술은 위에서 식도로의 산 역류를 줄일 수 있다.[39]
다양한 연구에서 저용량 아스피린 (75mg/day–300mg/day)과 같은 비스테로이드성 소염제 (NSAIDS)가 바렛 식도 환자의 식도암 예방에 효과가 있다는 증거를 보였다.[40][41][42][43] 위식도 역류 질환 증상이 있으면 제산제 투여 등이 이루어진다. 실제 임상에서는 그 후에 발생할 수 있는 "바렛 선암"의 발생을 조기에 발견하는 것과, 이를 위한 정기적인 상부 소화관 내시경 검사를 통한 정기적인 관찰이 이루어진다.
SSBE에서는 식도암의 발생 빈도가 드물지만, LSBE에서는 식도암의 발생 빈도가 높다. 구미에서는 LSBE가 비교적 많고, 일본에서는 SSBE가 많다. 일본의 "바렛 식도"의 대부분이 "SSBE"이며, "LSBE"는 드물다. 다만, 소화기 전문의라도, 엄격하게는 "SSBE"로 간주되는 증례에서도, 쉽게 "LSBE"라는 진단이 내려지는 경우가 많다. 내시경적 치료로는 고주파 절제술[59][60][61][62][63], 냉동 요법 등이 있다. 다만, 일본에서는 충분한 합의를 얻지 못하고 있다.
8. 예후
바렛 식도는 암이 아닌 전암성 질환이다. 바렛 식도를 가진 환자 중 일부는 결국 악성 식도위접합부 선암종으로 발전하며, 이 암의 사망률은 85%가 넘는다.[44] 식도 선암종 발생 위험은 바렛 식도의 중증도에 따라 증가하며,[45] 바렛 식도 부위의 길이가 길수록 암 발생 위험도 증가한다.[45][46]
바렛 식도의 진행 및 중증도는 세포의 이형성 정도에 따라 측정되며, 이형성은 5단계 시스템으로 점수가 매겨진다:[46]
- 이형성 음성 (비이형성 바렛 식도 또는 NDBE)
- 이형성 불확정 (IND)
- 저등급 이형성 (LGD)
- 고등급 이형성 (HGD)
- 암종
2016년 연구에 따르면, 이형성이 없는 바렛 식도 환자, 저등급 이형성 환자, 고등급 이형성 환자에서 식도 선암종으로 진행될 확률은 각각 약 0.6%, 13.4%, 25%이다.[47] 그러나 저등급 이형성의 경우, 실제 연간 암 진행률은 연구마다 13.4%에서 0.84%까지 큰 차이를 보여 추정하기 어렵다.[45] 이는 각 연구에서 LGD라는 포괄적인 진단 아래 중간 단계의 질병 상태를 다르게 조합했기 때문이다.[46] 또한 출판 편향으로 인해 문헌상 위험이 다소 과대평가되었을 수 있다는 우려도 제기된다.[48][49]
위식도 역류 질환 증상이 있는 경우 제산제 투여 등이 이루어진다. 실제 임상에서는 바렛 선암의 조기 발견을 위해 정기적인 상부 소화관 내시경 검사를 통한 관찰이 이루어진다.
SSBE에서는 식도암 발생 빈도가 드물지만, LSBE에서는 식도암 발생 빈도가 높다. 구미에서는 LSBE가 비교적 많고, 일본에서는 SSBE가 많다. 일본의 바렛 식도 대부분은 SSBE이며, LSBE는 드물다. 다만, 소화기 전문의라도 엄밀하게는 SSBE로 간주되는 증례에서도 LSBE로 진단하는 경우가 많다.
9. 역학
미국에서 백인 남성의 발병률은 백인 여성의 8배이며, 아프리카계 미국인 남성보다 5배 높다. 전체적으로 바렛 식도의 남녀 비율은 10:1이다.[50] 여러 연구에서 일반 인구의 바렛 식도 유병률을 이탈리아[51] 및 스웨덴[52]에서 1.3%에서 1.6%로, 한국 인구에서 3.6%로 추정했다.[53]
참조
[1]
논문
Barrett's oesophagus
2009-03
[2]
논문
The molecular biology of esophageal adenocarcinoma
2005-12
[3]
논문
Barrett's esophagus: pathogenesis, epidemiology, functional abnormalities, malignant degeneration, and surgical management
[4]
논문
ACG Clinical Guideline: Diagnosis and Management of Barrett's Esophagus
https://cdr.lib.unc.[...]
2016-01
[5]
논문
Peptic ulcer of the oesophagus
1948-03
[6]
서적
Barrett's Esophagus - Emerging Evidence for Improved Clinical Practice
[7]
웹사이트
Barrett's Esophagus
https://www.hopkinsm[...]
2024-10-05
[8]
논문
Central adiposity and risk of Barrett's esophagus
2007-08
[9]
논문
Barrett's oesophagus and oesophageal adenocarcinoma: time for a new synthesis
2010-02
[10]
논문
HOXA13 in etiology and oncogenic potential of Barrett's esophagus
2021-06
[11]
논문
Bulimia nervosa complicated by Barrett's esophagus and esophageal cancer
http://www.giejourna[...]
2018-07-28
[12]
웹사이트
Bulimia and cancer - what you need to know - Bulimia Help
http://www.bulimiahe[...]
2018-07-28
[13]
논문
The role of bile acids in the neoplastic progression of Barrett's esophagus - a short representative overview
2012-09
[14]
논문
Bile acids as carcinogens in human gastrointestinal cancers
2005-01
[15]
논문
Barrett's oesophagus: from metaplasia to dysplasia and cancer
2005-03
[16]
논문
BOB CAT: A Large-Scale Review and Delphi Consensus for Management of Barrett's Esophagus With No Dysplasia, Indefinite for, or Low-Grade Dysplasia
2015-05
[17]
웹사이트
Cytosponge
https://www.nhsinfor[...]
2022-04-05
[18]
Plain English summary
An innovative swallowable sponge detects Barrett's oesophagus in people with heartburn, study shows
https://evidence.nih[...]
2021-02-16
[19]
논문
Cytosponge-trefoil factor 3 versus usual care to identify Barrett's oesophagus in a primary care setting: a multicentre, pragmatic, randomised controlled trial
2020-08-01
[20]
논문
Performance characteristics of optical coherence tomography in assessment of Barrett's esophagus and esophageal cancer: systematic review
2017-11
[21]
웹사이트
Barrett's Esophagus
https://www.lecturio[...]
2021-07-03
[22]
논문
The Barrett's antigen anterior gradient-2 silences the p53 transcriptional response to DNA damage
2004-06
[23]
논문
Microarray-formatted clinical biomarker assay development using peptide aptamers to anterior gradient-2
2007-12
[24]
논문
Intestinal metaplasia in Barrett's oesophagus: An essential factor to predict the risk of dysplasia and cancer development
2016-02
[25]
논문
Evaluation of Barrett's esophagus with CK7, CK20, p53, Ki67, and COX2 expressions using chromoendoscopical examination
2013
[26]
논문
Diagnosis and grading of dysplasia in Barrett's oesophagus
2006-10
[27]
논문
Barrett's oesophagus and associated dysplasia are not equally distributed within the esophageal circumference
2016-09
[28]
논문
The Vienna classification of gastrointestinal epithelial neoplasia
2000-08
[29]
간행물
Five Things Physicians and Patients Should Question
http://choosingwisel[...]
American Gastroenterological Association
2012-08-17
[30]
논문
American Gastroenterological Association medical position statement on the management of Barrett's esophagus
2011-03
[31]
논문
Updated guidelines 2008 for the diagnosis, surveillance and therapy of Barrett's esophagus
2008-03
[32]
논문
Endoscopic radiofrequency ablation for Barrett's esophagus: 5-year outcomes from a prospective multicenter trial
2010-10
[33]
논문
Radiofrequency ablation in Barrett's esophagus with dysplasia
2009-05
[34]
논문
Durability of radiofrequency ablation in Barrett's esophagus with dysplasia
2011-08
[35]
논문
Stepwise radical endoscopic resection versus radiofrequency ablation for Barrett's oesophagus with high-grade dysplasia or early cancer: a multicentre randomised trial
2011-06
[36]
논문
Five-year efficacy and safety of photodynamic therapy with Photofrin in Barrett's high-grade dysplasia
2007-09
[37]
논문
NSAIDs modulate CDKN2A, TP53, and DNA content risk for progression to esophageal adenocarcinoma
2007-02
[38]
논문
Endoscopic management of early gastric cancer
2006-09
[39]
논문
Barrett's esophagus: the role of laparoscopic fundoplication
2004-02
[40]
논문
Protective association of aspirin/NSAIDs and esophageal cancer: a systematic review and meta-analysis
2003-01
[41]
논문
Non-steroidal anti-inflammatory drugs and risk of neoplastic progression in Barrett's oesophagus: a prospective study
2005-12
[42]
논문
Low-dose aspirin and risk of gastric and oesophageal cancer: A population-based study in the United Kingdom using The Health Improvement Network
2020-05-07
[43]
웹사이트
Study Shows Association Between Low-Dose Aspirin Use and Risk for Gastric and Esophageal Cancers
https://www.oncology[...]
2019-09-29
[44]
논문
Epidemiology and pathogenesis of esophageal cancer
2007-01
[45]
논문
Molecular Biology and Clinical Management of Esophageal Adenocarcinoma
2023-11
[46]
논문
Barrett's Esophagus: An Updated Review
2023-01
[47]
논문
Genetic progression of Barrett's oesophagus to oesophageal adenocarcinoma
2016-07
[48]
논문
Is there publication bias in the reporting of cancer risk in Barrett's esophagus?
2000-08
[49]
논문
Barrett's esophagus: An overrated cancer risk factor
2000-08
[50]
논문
An overview: Current clinical guidelines for the evaluation, diagnosis, treatment, and management of dyspepsia
2013-03
[51]
논문
Gastro-oesophageal reflux symptoms, oesophagitis and Barrett's oesophagus in the general population: the Loiano-Monghidoro study
2008-10
[52]
논문
Prevalence of Barrett's esophagus in the general population: an endoscopic study
2005-12
[53]
논문
Prevalence of Barrett's esophagus in Korea
2005-04
[54]
논문
Chronic peptic ulcer of the oesophagus and 'oesophagitis'
1950-10
[55]
논문
Columnar mucosa and intestinal metaplasia of the esophagus: fifty years of controversy
2000-03
[56]
논문
The oesophagus lined with gastric mucous membrane
1953-06
[57]
논문
Columnar-lined esophagus: time to drop the eponym of "Barrett": Historical review
2008-05
[58]
논문
Columnar-lined lower esophagus: an acquired lesion with malignant predisposition. Report on 140 cases of Barrett's esophagus with 12 adenocarcinomas
1975-11
[59]
논문
Complete Ablation of Esophageal Epithelium Using a Balloon-based Bipolar Electrode
[60]
논문
Endoscopic radiofrequency ablation for Barrett's esophagus: 5-year outcomes from a prospective multicenter trial
[61]
논문
Radiofrequency Ablation in Barrett's Esophagus with Dysplasia
[62]
논문
Durability of Ablation in Barrett's Esophagus with Dysplasia
[63]
논문
Stepwise radical endoscopic resection versus radiofrequency ablation for Barrett's oesophagus with high grade dysplasia or early cancer: a multicentre randomised trial
2011-06
[64]
논문
The molecular biology of esophageal adenocarcinoma
2005-12
[65]
논문
Barrett's esophagus: pathogenesis, epidemiology, functional abnormalities, malignant degeneration, and surgical management
https://archive.org/[...]
[66]
논문
ACG Clinical Guideline: Diagnosis and Management of Barrett's Esophagus
https://cdr.lib.unc.[...]
2016-01
[67]
논문
Peptic ulcer of the oesophagus
1948-03
[68]
논문
Columnar-lined esophagus: time to drop the eponym of "Barrett": Historical review
2008-05
[69]
서적
Genetics and Biomarkers in Barrett's Esophagus and Esophageal Adenocarcinoma
2016-01-01
[70]
논문
HOXA13 in etiology and oncogenic potential of Barrett's esophagus
2021-06
[71]
간행물
http://choosingwisel[...]
American Gastroenterological Association
[72]
논문
American Gastroenterological Association medical position statement on the management of Barrett's esophagus
2011-03
[73]
논문
Updated guidelines 2008 for the diagnosis, surveillance and therapy of Barrett's esophagus
2008-03
[74]
논문
Barrett's oesophagus
2009-03
본 사이트는 AI가 위키백과와 뉴스 기사,정부 간행물,학술 논문등을 바탕으로 정보를 가공하여 제공하는 백과사전형 서비스입니다.
모든 문서는 AI에 의해 자동 생성되며, CC BY-SA 4.0 라이선스에 따라 이용할 수 있습니다.
하지만, 위키백과나 뉴스 기사 자체에 오류, 부정확한 정보, 또는 가짜 뉴스가 포함될 수 있으며, AI는 이러한 내용을 완벽하게 걸러내지 못할 수 있습니다.
따라서 제공되는 정보에 일부 오류나 편향이 있을 수 있으므로, 중요한 정보는 반드시 다른 출처를 통해 교차 검증하시기 바랍니다.
문의하기 : help@durumis.com
