폭식증
"오늘의AI위키"의 AI를 통해 더욱 풍부하고 폭넓은 지식 경험을 누리세요.
1. 개요
폭식증은 과식과 보상 행동이 반복적으로 나타나 건강, 심리, 사회적 기능에 심각한 영향을 미치는 섭식 장애이다. DSM-5 진단 기준에 따르면, 폭식 행동과 체중 증가를 막기 위한 행동이 3개월 동안 1주일에 1회 이상 나타나며, 신체와 체중에 대한 과도한 자기 평가가 특징이다. 원인으로는 심리적, 생물학적, 사회적 요인이 복합적으로 작용하며, 우울증, 불안 장애, 심장마비, 치아 부식 등 다양한 신체적, 정신적 합병증을 유발할 수 있다. 치료는 인지 행동 치료, 약물 치료, 영양 관리, 필요시 입원 치료를 병행하며, 1979년 제럴드 러셀에 의해 처음 기술되었고, 1980년 DSM-III에 등재되었다.
더 읽어볼만한 페이지
- 식사 장애 - 식사장애
식사장애는 체중, 체형, 음식 섭취에 대한 과도한 집착과 비정상적인 식사 행동을 보이는 정신 질환으로, 신경성 식욕부진증, 신경성 폭식증, 폭식 장애 등 다양한 유형이 있으며, 유전적, 심리적, 환경적 요인이 복합적으로 작용하여 발생하고 심각한 합병증과 높은 사망률을 유발할 수 있어 조기 진단과 치료가 중요하다. - 식사 장애 - 신경성 식욕부진증
신경성 식욕부진증은 심리적, 사회적, 생물학적 요인이 복합적으로 작용하여 섭식 행동에 장애를 일으키는 정신 질환으로, 극단적인 체중 감소와 체중 증가에 대한 두려움, 체형에 대한 왜곡된 인식을 특징으로 하며 심각한 영양실조와 사망에 이를 수 있어 의학적, 심리적, 영양학적 치료를 통해 체중 회복과 심리적 문제 해결을 목표로 한다.
| 폭식증 | |
|---|---|
| 일반 정보 | |
![]() | |
| 증상 | 짧은 시간 안에 많은 양의 음식을 먹고 토하거나 설사제를 사용하는 행동, 종종 정상 체중을 유지함. |
| 진단 | 개인의 병력에 근거함 |
| 감별 진단 | 거식증, 폭식 장애, 클라인-레빈 증후군, 경계선 성격 장애 |
| 발병 시기 | 알 수 없음 |
| 지속 기간 | 알 수 없음 |
| 원인 | 유전적 요인 및 환경적 요인 |
| 합병증 | 치아 손상, 우울증, 불안, 약물 사용 장애, 자살 |
| 치료 | 인지 행동 치료 |
| 약물 | 선택적 세로토닌 재흡수 억제제, 삼환계 항우울제 |
| 예후 | 치료를 통해 10년 동안 절반이 회복됨 |
| 빈도 | 2015년 기준 360만 명 |
| 질병 코드 | |
| DiseasesDB | 1770 |
| ICD-10 | F50.2 |
| ICD-9 | 307.51 |
| MedlinePlus | 000341 |
| eMedicineSubj | emerg |
| eMedicineTopic | 810 |
| eMedicine_mult | med |
| MeshID | D052018 |
2. 정의
섭식 장애는 주로 거식증(신경성 식욕 부진증)과 폭식증(신경성 폭식증)으로 나뉜다. 이 둘은 상반되어 보이지만, 실제로는 거식증 환자의 약 60~70%가 폭식증으로 이행하는 경향을 보인다.[112][113] 두 질환 모두 극단적인 마름에 대한 소망이나 비만에 대한 강한 공포를 공통적으로 가지고 있어, 단순히 다른 단계에 있는 같은 질환으로 여겨지기도 한다.[112][113] 거식증과 폭식증을 구분하는 주요 지표 중 하나는 정상적인 최소 체중 유지 여부이다.[114]
신경성 폭식증은 단순히 많이 먹는 과식과는 구별되는 정신 질환으로, 음식 섭취에 대한 통제력을 잃고 짧은 시간 안에 많은 양의 음식을 먹는 폭식 행동과, 이후 체중 증가를 막기 위해 스스로 구토를 유도하거나 설사제·이뇨제 등을 남용하고, 단식이나 과도한 운동과 같은 부적절한 보상 행동을 반복하는 특징을 보인다. 이러한 행동은 환자의 신체적 건강뿐만 아니라 심리적, 사회적 기능에도 심각한 부정적 영향을 미친다.
폭식증 환자는 명칭과 달리 반드시 비만인 것은 아니며, 보상 행동 때문에 오히려 표준 체중이거나 마른 경우도 많다. 대부분은 구토나 이후의 단식 등으로 체중을 유지하려 한다. 이들은 음식에 대한 강렬하고 저항하기 힘든 갈망을 느끼면서도, 동시에 비만에 대한 극심한 두려움과 마른 몸매에 대한 강한 소망을 가지고 있다.[115] 폭식 후에는 심한 자책감과 패배감을 느끼며 자기 평가가 크게 낮아지는 경향이 있다. 고통을 느끼기 때문에 스스로 의료기관을 찾는 경우도 있지만, 자신의 식사 행동 문제에 대해 죄책감을 느껴 치료에 소극적일 수 있으므로 신중한 접근이 필요하다.[116]
폭식증의 원인은 단순한 식욕 문제가 아니라, 욕구 불만의 해소와 같은 정신적인 요인이 복합적으로 작용하는 것으로 알려져 있다. 정신분석가 힐데 브루흐는 섭식 장애를 "식욕의 병이 아니라, 타인에게 어떻게 비춰지는지와 관련된 자존감의 병리"라고 지적하며, 환자 내면의 근원적인 부정감과 자기 불신이 문제의 핵심일 수 있음을 시사했다.[117] 이 때문에 폭식증은 경계성 인격 장애, 자기애성 인격 장애와 같은 다른 인격 장애와 함께 나타나거나, 해당 인격 장애의 한 증상으로 나타나는 경우도 많다.[117]
또한 우울 증상, 기분부전증, 비정형 우울증, 불안 장애 등 다른 기분 장애를 동반하는 경우가 흔하다.[118] 반복적인 구토나 약물 남용 등은 부기, 탈수, 타액선 부어오름, 테타니(저림), 손등의 굳은살(토하는 과정에서 생기는 상처), 구강 및 식도·위 손상, 전해질 불균형(특히 저칼륨혈증)으로 인한 신장 및 심장 기능 저하(부정맥, 심장 발작에 의한 급사 위험), 치아 부식(산식증), 충치(우식), 저혈당, 저혈압, 전신 권태감 등 심각한 신체적 합병증을 유발할 수 있다. 그 외에도 간 기능 장애, 월경 이상, 피부 건조 등이 나타날 수 있다.
2. 1. DSM-5 진단 기준
폭식증은 ''정신질환 진단 및 통계 편람(DSM-5)''을 사용하여 진단한다. 진단 기준은 다음과 같다:[11][62]- 반복적인 폭식 에피소드: 다음 두 가지 특징을 모두 갖는다.
- 일정 시간(예: 2시간 이내) 동안 대부분의 사람이 유사한 상황에서 먹는 양보다 현저히 많은 양의 음식을 섭취한다.
- 폭식 중 먹는 것에 대한 자제력을 잃는 느낌(예: 먹는 것을 멈출 수 없거나 무엇을 얼마나 먹는지 조절할 수 없음)을 경험한다.
- 반복적인 부적절한 보상 행동: 체중 증가를 막기 위해 스스로 유도한 구토, 설사제, 이뇨제, 관장 또는 기타 약물의 오용, 단식, 또는 과도한 운동과 같은 행동을 반복적으로 한다.
- 빈도: 폭식과 부적절한 보상 행동이 모두 평균적으로 3개월 동안 최소 주 1회 이상 발생한다.
- 자기 평가: 자기 평가가 신체 형태와 체중에 의해 과도하게 영향을 받는다.
- 배제 기준: 이러한 장애가 신경성 식욕 부진증(거식증)의 에피소드 중에만 발생하지 않아야 한다.
대개 이러한 이상 행동이 적어도 1주일에 1회 이상씩, 3개월 넘게 지속되면 폭식증 진단을 내릴 수 있다.
'''병형'''[120]
신경성 폭식증은 나타나는 보상 행동의 종류에 따라 다음과 같이 나뉜다.
- '''배출형(Purging type)''': 현재 폭식증 에피소드 동안 정기적으로 스스로 유도한 구토를 하거나 설사제, 이뇨제, 관장 등을 오용한다.
- '''비배출형(Non-purging type)''': 현재 폭식증 에피소드 동안 단식이나 과도한 운동과 같은 다른 부적절한 보상 행동을 하지만, 배출형에서 보이는 행동(자가 유발 구토, 약물 오용 등)은 정기적으로 하지 않는다.
2. 2. ICD-10 진단 기준
확정 진단에는 다음의 장애가 모두 필요하다[121].:(a) 지속적인 섭식에 대한 몰두와 음식에 대한 저항할 수 없는 갈망이 존재한다. 환자는 짧은 시간에 대량의 음식을 먹어 치우는 과식 에피소드에 빠진다.
:(b) 환자는 음식의 살찌는 효과에 다음 중 1가지 이상의 방법으로 저항하려 한다. 즉, 스스로 유발하는 구토, 완하제 남용, 교대로 나타나는 단식 기간, 식욕 억제제나 갑상선 말, 이뇨제 등의 약물 사용. 당뇨병 환자에게 폭식증이 발생하면 인슐린 치료를 게을리할 수 있다.
:(c) 이 장애의 정신 병리는 비만에 대한 병적인 공포로 이루어져 있으며, 환자는 스스로에게 엄격한 체중 제한을 가한다. 그것은 의사가 이상적 또는 건강하다고 생각하는 병전 체중에 비해 상당히 낮다. 양쪽 문항에 수개월에서 수년에 걸친 간격을 두고 신경성 식욕 부진증의 병력이 항상은 아니지만 종종 인정된다. 이 병력의 에피소드는 완전한 형태로 나타날 수도 있지만, 중등도의 체중 감소 및/또는 일과성 무월경을 동반한 경미하고 불분명한 형태를 취할 수도 있다.
::〈포함〉 특정 불가능한 과식
:::: 신경성 식욕 항진
3. 증상
짧은 시간 동안 일반적인 사람들에 비해 뚜렷하게 많은 양의 음식을 통제력을 잃고 먹는 폭식 행동이 되풀이된다. 이때 맛을 느끼기보다는 기계적으로 먹는 경향이 있으며, 복통과 구역질이 날 때까지 먹기도 한다. 폭식 시에는 주로 달고 기름진 음식을 선호한다.[9][4]
폭식 후에는 체중 증가를 막기 위해 스스로 구토를 유발하거나, 변비약(하제), 이뇨제, 관장 등을 사용하며, 단식을 하거나 심한 운동에 집착하는 등의 보상 행동을 반복한다. 처음에는 구토가 어렵지만 점차 쉬워지며, 나중에는 구토 자체가 폭식을 유발하는 악순환이 생기기도 한다.
심리적으로 폭식 당시에는 일시적인 쾌감을 느낄 수 있으나, 곧 불쾌감으로 바뀌며 이는 다시 구토를 유발하는 요인이 된다. 폭식 후에는 강한 죄책감, 자신에 대한 혐오감, 열등감, 낮은 자존감 등을 느낀다. 자신의 행동에 대한 수치심이 커서 가족이나 주변 사람들에게 이러한 사실을 숨기려는 경향이 강하다. 또한, 자신의 몸매와 체중에 대해 지나치게 신경 쓰며 스스로를 뚱뚱하다고 생각하여 다이어트에 매우 집착하고, 음식 조절이 되지 않는 것에 대한 두려움을 가진다. 자기 평가가 몸매와 체중에 의해 과도하게 좌우된다.
폭식증 환자는 내수용 감각에 결함을 보이는 경우가 많아, 자신의 내부 감각(예: 포만감)이나 감정, 정서를 제대로 인지하거나 구별하는 데 어려움을 겪는다.[19] 이로 인해 식사 중 적절한 포만감을 느끼지 못하고 단시간에 많은 칼로리를 섭취하게 될 수 있다.[19] 또한 체성 신경계 및 정동 상태에 부정적으로 반응할 수 있다.[20]

폭식과 보상 행동의 반복은 다양한 신체적 문제를 유발할 수 있다. 심한 경우 이 주기가 일주일에 여러 번 또는 하루에도 여러 번 반복될 수 있으며[10], 주요 신체적 영향은 다음과 같다.[9][4][11][12][13][14][15]
- 탈수
- 수분-전해질 불균형: 저칼륨혈증 등이 나타날 수 있으며, 이는 심장 부정맥, 심정지, 심지어 사망으로 이어질 수 있다.
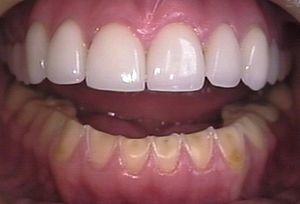
- 구강 및 소화기계 손상: 강제로 토하는 과정에서 구강 또는 인두 내막의 열상(신체적 외상), 식도염, 위산 역류 등이 발생할 수 있다. 반복적인 구토는 위산에 의해 치아 법랑질이 부식되는 치아산식증이나 우식(충치)을 유발한다.
- 러셀 증후군: 구토를 유발하기 위해 손가락을 입에 넣는 행동을 반복하면서 앞니와의 마찰로 인해 손가락 관절이나 손등에 굳은살이 생기는 증상이다.
- 침샘 부종: 특히 귀밑샘이나 턱밑샘이 붓는 경우가 흔하다.
- 위장 문제: 변비 또는 설사가 나타날 수 있다.
- 기타 순환기 및 내분비계 문제: 저혈압, 불임 및/또는 불규칙한 생리 주기, 저혈당, 부기, 테타니(저림), 전신 권태감, 간 기능 장애 등이 나타날 수 있다.
- 체중 변동: 폭식과 절식, 보상 행동의 반복으로 체중이 불안정하게 변동할 수 있다.
폭식증을 앓고 있음을 시사하는 행동적, 심리적 징후는 다음과 같다.[16][17][18]
- 섭취하는 칼로리 수에 대한 집착
- 자신의 체중에 대한 극단적인 의식
- 낮은 자존감 및/또는 자해 행동
- 자살 생각 또는 시도
- 여성의 경우 불규칙한 생리 주기
- 화장실에 자주 가는 행동, 특히 식사 직후
- 우울증, 불안 장애, 수면 장애 등 다른 정신 건강 문제 동반
- 비정상적으로 많은 양의 음식을 한 번에 먹는 행동의 빈번한 발생
- 하제, 이뇨제, 다이어트 약 등의 약물 사용
- 강박적이거나 과도한 운동 (다른 일상 활동을 희생하면서까지 운동에 몰두)
- 건강하지 못하거나 건조한 피부, 머리카락, 손톱, 입술
- 만성적인 피로 또는 탈진 상태
- 다른 사람들이 일반적으로 받아들이지 않는 잘못된 믿음(망상)을 가질 수도 있다.
폭식증은 명칭과 달리 반드시 비만으로 이어지는 것은 아니며, 보상 행동 때문에 표준 체중이거나 오히려 마른 경우도 많다. 많은 환자들이 구토나 이후의 단식, 다이어트 등으로 체중을 조절한다. 폭식증은 신경성 식욕부진증(거식증)과 밀접한 관련이 있으며, 약 60-70%의 경우 거식증에서 폭식증으로 이행하는 것으로 알려져 있다.[112][113] 두 질환 모두 "극단적인 마름에 대한 소망" 또는 "비만에 대한 공포"라는 공통된 심리를 가지며, 질병의 단계가 다를 뿐 동일한 질환 스펙트럼으로 간주되기도 한다.[112][113] 거식증과 폭식증을 구분하는 주요 지표는 정상적인 최소한의 체중 유지 여부이다.
폭식의 원인은 다이어트와 같은 극단적인 절식 행동에 대한 반동으로 생기기도 하고, 욕구 불만의 보상과 같은 정신적 요인이나 퇴행 현상과 관련되기도 한다.[115] 음식에 대한 저항할 수 없는 갈망을 느끼면서도 동시에 비만에 대한 극심한 두려움과 마른 몸매에 대한 강한 소망을 품고 있다.[115] 폭식 후에는 자신의 행동에 대한 자책감과 패배감을 느끼며 자기 평가가 현저하게 떨어진다. 거식증 환자와 달리, 폭식증 환자는 자신의 행동으로 인한 고통을 느끼기 때문에 스스로 의료기관을 찾는 경우가 상대적으로 많다. 그러나 자신의 식행동 이상에 대해 죄책감이나 수치심을 느끼고 있어, 이 부분을 자극하면 치료를 거부할 수 있으므로 신중한 접근이 필요하다.[116]
정신분석가 힐데 브루흐는 섭식 장애를 "식욕의 병이 아니라, 타인에게 어떻게 비춰지는가와 관련된 자존심의 병리"라고 지적했다. 섭식 장애 환자들은 근원적인 자기 부정감을 가지고 있으며, 식행동 이상의 배경에는 막연한 자기 불신이 자리 잡고 있다고 이해된다. 이러한 불안을 떨쳐내기 위해 강박적으로 완벽을 추구하는 경향을 보인다. 섭식 장애는 경계성 인격 장애나 자기애성 인격 장애와 같은 인격 장애와 함께 나타나거나, 이러한 인격 장애의 한 증상으로 나타나는 경우도 많다.[117]
폭식증 환자는 우울 증상, 기분부전 장애, 비정형 우울증, 불안 장애 등 기분 장애를 동반하는 경우가 많으며, 폭식증 치료가 성공적으로 이루어지면 이러한 기분 장애도 호전될 수 있다.[118]
폭식 충동은 자포자기의 감정, 기분 저하, 좌절감, 거부당하거나 부정당했다고 느낄 때, 외로움 등 부정적인 감정 상태에서 유발되기 쉽다. 특히 열심히 노력해 온 체중 감량 노력이 수포로 돌아갔다고 느낄 때 폭식이 일어나기도 한다.[124] 반복되는 폭식은 때로 환상 속에서 모성적인 대상과의 일체화를 추구하는 퇴행적 의미를 띠기도 한다. 분노, 절망, 고립감, 우울, 허무감 등 경계선 성격 장애와 관련된 감정이 강해질 때, 환상 속에서 모성적인 것과의 일체화를 추구하며 폭식 행동이 나타날 수 있다. 이때는 맛을 느끼지 못하고 음식을 마구 먹어 치우는 양상을 보이는데, 이는 마치 유아가 젖을 탐욕스럽게 빠는 모습과 유사하며, 어린 시절 충족되지 못한 욕구를 채우려는 시도로 해석될 수 있다. 이러한 폭식은 일시적인 황홀감이나 충족감을 줄 수 있어 습관화되기 쉽지만, 이후에는 강한 후회감이 뒤따르며 구토 등의 정화 행동으로 이어진다.[125]
정신질환 진단 및 통계 편람(DSM-5)에 따른 폭식증의 진단 기준은 다음과 같다.[11][62]
- 반복적인 폭식 삽화: 일정 시간 동안(예: 2시간 이내) 대부분의 사람들이 유사한 상황에서 먹는 것보다 현저히 많은 양의 음식을 먹으며, 이 시간 동안 먹는 것에 대한 통제력을 상실한 느낌을 받는다.
- 반복적인 부적절한 보상 행동: 체중 증가를 막기 위해 스스로 유도한 구토, 하제, 이뇨제, 기타 약물의 오용, 단식, 과도한 운동 등을 한다.
- 빈도: 폭식과 부적절한 보상 행동이 모두 평균적으로 적어도 3개월 동안 일주일에 1회 이상 발생한다.
- 자기 평가: 자기 평가가 신체 형태와 체중에 의해 과도하게 영향을 받는다.
- 신경성 식욕부진증의 삽화 중에는 발생하지 않는다.
4. 원인
폭식증의 원인은 단순히 한 가지로 설명하기 어려우며, 심리적, 생물학적, 사회적 요인이 복합적으로 작용하는 것으로 알려져 있다.
심리적 요인외모에 대한 사회적 압력과 타인의 시선에 민감하게 반응하는 경향이 주요한 심리적 요인으로 작용한다.[117] 폭식증 환자 중에는 성취지향적이고 화를 잘 내며 충동적인 성격이 많고, 가까운 사람에 대해 애정과 증오라는 양가감정을 느끼며 이들과 분리되는 것에 대한 갈등이 폭식증을 유발하기도 한다. 낮은 자존감 역시 중요한 요인으로, 정신분석가 힐데 브루흐는 섭식 장애를 "식욕의 병이 아니라 타인에게 어떻게 비춰지는가와 관련된 자존심의 병리"라고 지적했다.[117] 근원적인 부정감과 자기 불신을 떨쳐내기 위해 강박적으로 완벽을 추구하는 경향도 나타난다.[117]
자기애, 특히 취약성 자기애와의 관련성도 연구되고 있다.[26][27][28] 호주 국립 대학교의 연구에 따르면, 어린 시절 부모에게 감정이나 생각이 무시당한 경험이 긍정적인 자아감을 유지하기 위해 타인의 인정에 과도하게 의존하게 만들고, 이는 섭식 장애에 취약하게 만들 수 있다.[29] 또한, 폭식증 환자의 상당수가 경계선 성격 장애를 동시에 가지고 있다는 보고도 있다.[30][117]
인지적인 측면에서는 크리스토퍼 페어번(Christopher Fairburn) 등의 인지 행동 모델이 주로 언급된다.[50] 이 모델에 따르면, 체중과 체형에 대한 극심한 관심과 낮은 자존감이 엄격하고 융통성 없는 식이 규칙으로 이어지고, 이를 조금이라도 어기면('실수') 이분법적 사고로 인해 폭식으로 이어진다. 폭식 후에는 통제력 상실감 때문에 이를 상쇄하려는 정화 행동(구토 등)을 하게 되며, 이 과정이 반복된다는 것이다.[51] 반면에, 번과 맥클린은 마름에 대한 열망이 정화 행동을 먼저 유발하고, 이것이 폭식으로 이어지는 '정화-폭식 주기'를 주장하기도 했다.[52][53] 이러한 인지 모델은 개인차가 크고 서구 문화 중심적이라는 한계가 있으며, 인과관계(왜곡된 식습관이 인지 왜곡을 유발하는지, 그 반대인지)가 불분명하다는 비판도 있다.[52][53]
생물학적 요인세로토닌, 노르에피네프린, 엔도르핀과 같은 신경전달물질 시스템의 이상이 폭식증과 관련이 있는 것으로 추정된다.[35][36] 특히 세로토닌은 식욕 조절에 중요한 역할을 하는데, 다이어트 등으로 인한 낮은 혈장 트립토판 수치는 뇌의 세로토닌 합성을 감소시켜 폭식 충동을 증가시킬 수 있다.[40][41][42] 도파민 D2 수용체 관련 취약성을 물질 사용 장애 환자와 공유할 가능성도 제기되었다.[39] 식욕과 에너지 균형 조절에 중요한 펩타이드의 혈중 수치 이상도 관찰되지만, 이것이 원인인지 결과인지는 아직 불분명하다.[43]
유전적 요인도 폭식증 발병에 영향을 미치는 것으로 보인다.[34] 우울증의 가족력이 많이 발견되어 우울증과의 유전적 연관성이 추정되며,[118] 뇌 유래 신경 영양 인자(BDNF) 유전자의 관련성도 연구되고 있다.[35][36]
폭식증 환자는 내수용성 결함을 보이는 경우가 많다. 이는 배고픔, 포만감 등 내부 감각이나 감정을 인지하고 구별하는 데 어려움을 겪는 것을 의미한다.[19] 포만감을 제때 느끼지 못해 단시간에 과도한 칼로리를 섭취하게 될 수 있다.[19] 내수용성과 정서 조절에 관여하는 뇌 영역(내측 전전두피질, 전방 및 후방 대상피질, 전방 섬엽피질)의 기능 이상이 관련될 수 있다.[21] 장기적인 회복 후에는 감소했던 뇌 물질의 부피가 정상으로 돌아올 수 있다는 연구 결과도 있다.[33]
성 호르몬의 영향도 연구되고 있다. 고안드로겐혈증이나 다낭성 난소 증후군이 있는 여성에게서 나타나는 식욕 조절 장애가 폭식증 환자에게서도 관찰된다.[37] 에스트로겐 수용체 β(ERβ) 유전자의 다형성과 폭식증 발병 간의 연관성이 보고되기도 했다.[37] 갑상선 기능 장애와의 관련성도 제기되었다.[32]
사회적 요인미디어가 묘사하는 비현실적으로 '이상적인' 마른 신체 이미지는 폭식증의 주요 원인 중 하나로 지목된다.[18] 마른 몸매를 칭찬하고 비만을 멸시하는 사회적 분위기는 젊은 여성들이 자신의 신체에 불만족을 느끼고 극단적인 다이어트를 시도하게 만들 수 있다.[126] 일본 여고생 대상 조사에서 약 90%가 '더 말라야 한다'고 답한 것은 이러한 사회적 압력을 보여준다. 마른 몸매는 극기심, 아름다움 등의 긍정적 가치와 연결되기도 한다.[126]
사회적으로 제시되는 '마름 이상'을 내면화하는 정도가 폭식증 발병에 영향을 미친다. 가족, 친구, 미디어 등을 통해 마름 이상을 받아들이게 되면, 자신의 실제 모습과의 괴리감 때문에 신체 불만족을 느끼고 다이어트나 정화 행동으로 이어질 수 있다.[56] J. 케빈 톰슨과 에릭 스티스의 연구는 미디어 리터러시 교육을 통해 마름 이상 내면화를 줄일 수 있음을 보여주었다.[57] 피지 나드로가-나보사 주에서 텔레비전 도입 후 청소년들의 정화 행동 보고율이 0%에서 11.3%로 급증한 사례는 미디어의 강력한 영향을 시사한다.[48]
특정 직업군, 예를 들어 패션 모델, 발레리나, 피겨 스케이팅 선수, 유도, 복싱 선수, 기수 등 엄격한 체중 관리가 요구되는 직업에서 폭식증 발병률이 높게 나타난다. 하지만 이 경우에도 직업적 요구는 계기일 뿐, 근본 원인은 심리적 갈등에 있는 경우가 많다.[126]
기타 관련 요인상당수의 연구에서 어린 시절의 성적 학대 경험과 폭식증 발병 사이에 상관관계가 있음이 밝혀졌다. 특히 원치 않는 성적 접촉 경험은 신경성 식욕부진증보다 폭식증 환자에게서 더 많이 보고된다.[54]
극단적인 다이어트는 만성적인 기아 상태를 유발하여 폭식을 초래하는 직접적인 원인이 될 수 있다.[124] 폭식은 거식(마르고 싶은 욕구)의 반동으로 나타나는 경우가 많다.[124]
폭식증은 다른 정신 질환과 함께 나타나는 경우가 많다. 우울증, 불안 장애, 기분부전증, 비정형 우울증 등의 기분 장애 발병 위험이 높으며,[22][118] 특히 양극성 장애(주로 제2형)와의 관련성이 깊다는 연구 결과가 많다.[23][31] 신시내티 대학교 의과대학 연구진은 두 장애가 증상, 경과, 가족력, 치료 반응 등에서 많은 부분을 공유한다고 밝혔다.[31] 또한, 물질 사용 장애와의 동반 발병률도 높다.[81]
5. 역학
폭식증은 주로 13세에서 20세 사이의 청소년기에 시작되는 경우가 많으며, 이전에 비만을 경험했던 사람에게서 나타나기도 한다. 초기 치료 후 증상이 완화되더라도 성인이 되어 발작적인 폭식과 제거 행위가 재발하는 경우도 흔하다.[59] 미국 인구 중 성인의 평생 유병률은 0.5%, 청소년은 0.9%로 추정된다.[60] 젊은 여성의 경우 최대 1%가 폭식증의 영향을 받을 수 있으며, 진단 후 10년이 지나면 절반은 완전히 회복되고, 3분의 1은 부분적으로 회복되며, 10~20%는 여전히 증상을 보이는 것으로 알려져 있다.[6]
폭식증을 앓는 청소년은 스스로 높은 기준을 설정하는 완벽주의 성향과 강박적인 식습관 문제를 가질 가능성이 또래보다 높다. 이는 사회적 시선이나 기대보다는 스스로 설정한 비현실적인 목표와 기대치에서 비롯되는 경향이 있다.[61]
일반 인구에서 폭식증 환자의 비율에 대한 정확한 데이터는 부족한 편이다.[7] 지금까지 이루어진 대부분의 연구는 병원 환자나 특정 학교(고등학교, 대학교)의 학생들을 대상으로 한 편의 표본에 의존해 왔으며, 소수 민족에 대한 연구는 더욱 제한적이었다.[82] 이로 인해 기존 연구 결과는 남성의 경우 0.1%에서 1.4%, 여성의 경우 0.3%에서 9.4%까지 매우 넓은 범위의 유병률을 보여준다.[83] 시간에 따른 폭식증 유병률 변화 추세에 대한 연구 역시 일관된 결과를 보여주지 못하고 있다.[84]
일본에서는 1970년대부터 섭식 장애 전반이 증가하기 시작했으며, 현재 유병률은 미국이나 유럽의 선진국들과 비슷한 수준이다.[122] 일본의 청소년기부터 청년 성인기 여성의 폭식증 유병률은 1~3%로 추정되며, 일생 동안 한 번이라도 폭식증 진단 기준을 만족하는 여성은 전체의 약 12%에 달할 것으로 보인다. 한국에서도 청소년 및 젊은 여성의 폭식증 유병률은 비슷한 수준인 1~3% 정도로 추정된다. 미국에서는 젊은 여성의 약 2%가 폭식증을 앓고 있는 것으로 추정된다.[123] 1980년대 중반에는 거식증과 폭식증의 비율이 비슷했지만, 최근에는 폭식증의 비율이 압도적으로 증가하여 거식증의 약 2배에 달하며, 환자 수도 지난 20년간 약 10배 증가한 것으로 보고된다. 또한, 환자의 직계 가족, 특히 어머니에게서 폭식증, 우울증 등의 기분 장애, 약물 남용 및 알코올 의존증의 빈도가 높게 나타나는 경향이 있다는 연구 결과도 있다.
젤더, 메이우, 게데스(2005)에 따르면, 폭식증은 15세에서 40세 사이 여성의 1~2%에서 나타난다. 폭식증은 선진국[85]과 도시 지역에서 더 흔하게 발생하며, 한 연구에서는 도시 지역의 유병률이 시골 지역보다 5배 높다고 보고했다.[86] 과거에는 중산층 가정의 소녀들에게 가장 흔하다는 인식이 있었지만,[87] 2009년 연구에서는 오히려 최저 소득 계층 가정의 소녀들이 최고 소득 계층 소녀들보다 폭식증에 걸릴 확률이 153% 더 높다는 결과가 나왔다.[88] 다양한 진단 도구(SCID, MRFS, EDE, SSAGA, EDDI 등)를 사용한 통계를 통합한 실렌 등(2022)의 연구에 따르면, 30세 미만 여성의 폭식증 유병률은 미국 2.1%, 핀란드 2.4%, 호주 1.0%, 네덜란드 0.8%로 추정되었다.[89] 이는 서구 선진국에서의 폭식증 유병률을 보여주며, 청소년 여성 치료의 시급성을 나타낸다. 다만, 이러한 통계는 증상을 숨기려는 경향(과소 보고 편향)으로 인해 실제 환자 수를 정확히 반영하지 못할 가능성이 있다.
무용, 체조, 모델링, 치어리딩, 달리기, 연기, 수영, 다이빙, 조정 및 피겨 스케이팅과 같이 날씬한 체격을 이상적으로 여기는 활동에 참여하는 집단에서 섭식 장애 발병률이 더 높게 나타난다. 과거에는 폭식증이 백인 미국인에게 더 흔하다고 여겨졌지만,[90] 최근 연구에 따르면 흑인 십 대 소녀가 백인 소녀보다 폭식 및 제거 행동을 보일 확률이 50% 더 높다는 결과가 나왔다.[91]
아래는 여러 국가에서 진행된 폭식증 유병률 연구 결과의 일부이다.
| 국가 | 연도 | 표본 크기 및 유형 | 유병률 (%) | |
|---|---|---|---|---|
| 포르투갈 | 2006 | 고등학생 2,028명 | 0.3% 여성[92] | |
| 브라질 | 2004 | 학생 1,807명 (7~19세) | 0.8% 남성 | 1.3% 여성[93] |
| 스페인 | 2004 | 10대 여성 2,509명 (13~22세) | 1.4% 여성[94] | |
| 헝가리 | 2003 | 부다페스트 거주자 580명 | 0.4% 남성 | 3.6% 여성[95] |
| 호주 | 1998 | 고등학생 4,200명 | 0.3% (남녀 합계)[96] | |
| 미국 | 1996 | 대학생 1,152명 | 0.2% 남성 | 1.3% 여성[97] |
| 노르웨이 | 1995 | 정신과 환자 19,067명 | 0.7% 남성 | 7.3% 여성[98] |
| 캐나다 | 1995 | 8,116명 (무작위 표본) | 0.1% 남성 | 1.1% 여성[99] |
| 일본 | 1995 | 고등학생 2,597명 | 0.7% 남성 | 1.9% 여성[100] |
| 미국 | 1992 | 대학생 799명 | 0.4% 남성 | 5.1% 여성[101] |
6. 합병증 및 관련 질환
폭식증은 다양한 신체적, 정신적 합병증을 유발할 수 있다. 반복적인 폭식과 구토, 하제 사용 등 부적절한 보상 행동은 심각한 건강 문제로 이어질 수 있다.[9][4]
신체적 합병증
- 수분-전해질 불균형: 구토나 하제, 이뇨제 남용은 체내 수분과 전해질(특히 저칼륨혈증)의 균형을 깨뜨려 탈수를 유발한다. 이는 심장 부정맥, 심정지, 심장마비의 위험성을 높이며, 심각한 경우 사망에 이를 수도 있다.[11] 또한 신장 기능 저하를 일으키기도 한다.[118]
- 소화기계 문제:
- 잦은 구토로 인한 위산 역류는 식도 손상 및 역류성 식도염을 유발할 수 있다.
- 심한 경우 위확장이나 위천공(gastric perforation)이 발생할 수 있다.
- 변비나 설사와 같은 위장 문제가 흔하게 나타난다.[11]
- 구강 문제:
- 잦은 구토로 인한 위산 노출은 치아 에나멜질을 부식시켜(주로 치아 뒷면) 산식증이나 우식(충치)을 유발한다.[8][118]
- 구토 유도를 위한 손가락 사용은 구강이나 인두 내벽에 상처(구강 신체적 외상)를 남길 수 있다.[11]
- 러셀 증후군: 구토 유도를 위해 손가락을 반복적으로 사용하면서 앞니와의 마찰로 인해 손가락 관절이나 손등에 굳은살(토흔)이 생기는 현상이다.[12][13][118]
- 침샘 부종: 타액 과다 분비로 귀밑샘(이하선) 등 타액선이 붓는 증상이 나타날 수 있다.[14][15][118]
- 기타 신체 증상: 부종,[118] 저혈압,[11][118] 불임 및 불규칙한 월경 주기,[11][118] 잦은 체중 변동, 건조한 피부/머리카락/손톱/입술,[16] 만성적인 피로 및 전신 권태감,[16][118] 저혈당,[118] 간 기능 장애[118] 등이 나타날 수 있다.
정신 질환 동반폭식증 환자는 다른 정신 질환을 함께 겪을 위험이 높다.
- 기분 장애: 우울증, 불안 장애, 수면 장애 등이 흔하게 동반된다.[16] 한 연구에 따르면 폭식증 환자의 70%가 일생 중 우울증을 경험하며(일반 성인 여성 26% 대비), 모든 정동 장애를 합하면 88%에 달한다.[22] 기분부전증, 비정형 우울증 등도 나타날 수 있으며, 폭식증 치료 후 호전되기도 한다.[118]
- 양극성 장애: 폭식증, 특히 제2형 양극성 장애와의 관련성이 높다는 연구 결과가 있다. 두 질환은 섭식 조절, 기분 조절, 충동성, 강박성 등에서 유사한 특징을 보이며, 동반 이환율이 높다.[23][31]
- 성격 장애: 경계선 성격 장애[30]나 자기애성 성격 장애[26][27][28](특히 취약성 자기애[29])를 함께 겪는 경우가 많다. 이는 타인의 인정에 대한 과도한 갈망이나 근원적인 자기 부정감과 관련될 수 있다.[117]
- 기타: 낮은 자존감, 자해,[16] 자살 성향,[16] 현실과 동떨어진 믿음(망상)[18] 등이 나타날 수 있다.
기타 관련 질환 및 영향
- 제2형 당뇨병: 폭식증은 제2형 당뇨병 발병 위험을 높일 수 있다.[25]
- 갑상선 기능 장애: 신진대사율 및 칼로리 섭취에 미치는 영향과 관련하여 갑상선 기능 장애와의 연관성이 보고되었다.[32]
- 뇌 변화: 폭식증 환자는 뇌 특정 영역의 물질 부피가 감소할 수 있다는 연구 결과가 있으며, 장기적인 회복 후에는 이러한 변화가 되돌릴 수 있는 것으로 나타났다.[33]
- 생물학적 요인: 신경성 식욕부진증과 마찬가지로 유전적 소인이 있으며,[34] 세로토닌[41][42], 뇌 유래 신경 영양 인자(BDNF)[35][36] 등 신경전달물질 및 호르몬 불균형이 영향을 미칠 수 있다. 낮은 혈장 트립토판 수치는 폭식 충동과 관련이 있다.[40][41][42] 성 호르몬(고안드로겐혈증, 다낭성 난소 증후군, 에스트로겐 수용체 등)과의 관련성도 연구되고 있다.[37] 식욕 조절에 중요한 펩타이드의 비정상적인 혈중 수치도 관찰된다.[43]
- 물질 사용 장애: 폭식증 환자는 물질 사용 장애가 있는 사람들과 유사한 도파민 D2 수용체 관련 취약성을 공유할 수 있다는 연구가 있다.[39] 여성의 경우, 섭식 장애와 물질 사용 장애가 함께 발병하는 경우가 보고된다.[81]
7. 치료
폭식증의 치료에는 크게 심리 치료와 약물 치료가 있으며, 영양 관리 및 교육 또한 중요한 부분을 차지한다.[63] 이러한 치료법들은 단독으로 시행하기보다는 병행하는 것이 더 효과적이며, 특히 환자의 무의식적인 측면에 대한 이해와 성찰이 행동 개선에 중요하므로 심리 치료의 역할이 크다. 영양 관리 및 교육은 가족 상담과 함께 이루어질 때 더욱 효과적이다.
심리 치료심리 치료는 폭식증의 핵심 증상과 그 기저에 있는 심리적 문제를 다루는 데 중점을 둔다.
- 인지 행동 치료 (CBT): 폭식증 치료의 표준적인 방법으로 간주된다.[64][65] 이 치료는 환자가 식사, 신체 이미지, 자존감 등과 관련된 왜곡된 사고방식을 파악하고 이를 건강하게 바꾸도록 돕는다.[65] 환자는 음식 섭취량과 구토 행동 등을 기록하는 음식 일지를 작성하며[85], 이를 통해 폭식 행동을 유발하는 감정적 요인을 파악하고 대처하는 방법을 배운다. CBT는 폭식과 제거 행동의 악순환을 끊는 것을 목표로 하며[4][66][67], 치료 초기에 행동 변화를 보이는 환자들이 장기적으로 가장 좋은 예후를 보이는 경향이 있다.[68] 인지 행동 치료 과정에서는 환자의 상황에 맞춰 문제를 분석하고[131][132], 과식이나 구토가 나타나더라도 비난하지 않고 수용적인 태도를 유지하며, 긍정적인 행동 변화에 대해서는 인정과 칭찬을 통해 환자가 스스로 발전하고 있음을 느끼도록 돕는다.[132] 일본에서는 섭식 장애에 대한 인지 행동 치료 (CBT-E) 치료자용 매뉴얼이 공개되어 있기도 하다.[133]
- 대인 관계 정신 치료 (IPT) 및 변증법적 행동 치료 (DBT): 이 치료법들 역시 긍정적인 결과가 보고되었으며[69][70], 특히 감정 조절의 어려움이나 대인 관계 문제가 폭식 행동과 연관된 환자들에게 도움이 될 수 있다.[64] CBT만큼 연구가 많이 이루어지지는 않았지만, 포괄적인 치료 계획의 일부로 활용될 수 있다.[64]
- 가족 기반 치료 (FBT): 주로 청소년 환자들에게 효과적인 접근법이다.[64] FBT는 치료 과정에 가족 구성원을 적극적으로 참여시켜, 부모가 자녀의 회복 과정에서 중요한 역할을 하도록 지원한다.[64] 청소년기는 뇌가 발달하는 과정에 있어[73] 폭식증의 해로운 결과를 충분히 인지하지 못하거나 변화에 대한 동기가 부족할 수 있으므로[74], 가족의 지지와 개입이 특히 중요하다.[71] FBT를 통해 가족은 청소년의 식사 습관과 행동 관리에 참여하고, 점차적으로 청소년이 건강한 식습관을 배우면서 자율성을 회복하도록 돕는다.[71]
- 기타 심리 치료: 정신 치료의 다른 형태로는 역동 정신 치료, 행동 치료, 인지 치료 등이 있으며, 환자의 상태에 따라 적용될 수 있다.
약물 치료약물 치료는 주로 심리 치료의 보조적인 역할로 사용되며, 동반된 정신과적 증상을 완화하는 데 도움을 줄 수 있다.[141]
- 항우울제: 선택적 세로토닌 재흡수 억제제(SSRI) 계열의 약물이 가장 흔하게 처방된다.[11][64] 이 약물들은 폭식 행동을 줄이고, 동반된 우울증이나 불안 장애 증상을 완화하는 데 효과적일 수 있다.[11][64] 위약과 비교했을 때 항우울제 단독 사용도 효과가 있는 것으로 나타났지만[75], 일반적으로 약물 치료만으로는 충분하지 않으며 정신 요법과 병행할 때 더 나은 결과를 보인다.[11][64][76] SSRI는 비교적 안전성이 높으며, 우울증 치료 시보다 더 높은 용량(플루옥세틴 60~80mg 등)이 필요할 수 있다.[142]
- 주의사항: 일부 환자는 약물에 잘 반응하지 않을 수 있다. 삼환계 항우울제는 자살 위험이 있는 환자에게는 권장되지 않으며[142], 구토 증상이 심한 경우 약물 복용이 어려울 수 있다.[142]
- 기타: 월경전 증후군(PMS)과 관련하여 주기적인 과식이 나타나는 경우, PMS 치료가 과식 증상 개선에 도움이 될 수도 있다.[143]
병행 치료 및 기타 접근법
- 병행 치료: 인지 행동 치료와 같은 정신 요법과 SSRI와 같은 약물 치료를 병행하는 것은 많은 환자에게 더 나은 결과를 가져오며, 특히 증상이 심각하거나 만성적인 경우에 효과적이다.[64]
- 영양 관리 및 교육: 건강한 식습관 회복을 위한 영양 상담과 교육이 필수적이다. 이는 섭식 행동 자체뿐 아니라 그 배경에 있는 마음의 문제를 해결하는 데 중요하며, 가족의 협조와 지지가 큰 도움이 된다.[128][129]
- 최면 요법: 일부 연구에서 긍정적인 결과가 보고되었다.[77] 최면 요법은 폭식 및 구토에 대한 자기 통제력 향상, 자극 통제 기술 강화, 자아 강화, 체중 조절 개선, 신체 이미지 변화 등을 목표로 할 수 있다.[78]
- 마음챙김 식사법: 먹는 행위에 집중하며 식사를 천천히 음미하는 방법을 배우는 것이다.[138] 음식의 냄새, 질감, 맛을 충분히 느끼고, 씹는 과정과 삼키는 감각에 주의를 기울이는 연습을 통해[139] 먹는 속도와 양을 조절하고 식사와의 건강한 관계를 회복하는 데 도움이 될 수 있다.[139]
- 치료 동기 부여 및 지원: 동기 강화 면담 등을 통해 환자가 치료에 적극적으로 참여하도록 동기 부여를 높이는 것이 권장된다.[130] 치료 과정에서는 과식의 원인이 되는 스트레스 요인이나 배경의 어려움을 지지적으로 다루고[140], 스트레스 관리 기술을 익히도록 돕는다.[136][137] 또한, 체중이나 체형 외에 환자가 가진 긍정적인 측면을 인정하고 격려하여 자존감과 자기 긍정감을 높이는 것이 중요하다.[134][140]
입원 치료외래 치료만으로 호전되지 않거나, 심각한 신체적 합병증(대사 이상, 토혈, 조절되지 않는 구토 등), 자살 위험이 높거나, 알코올 또는 약물 의존 문제가 동반된 경우에는 입원 치료가 필요할 수 있다.[142]
8. 역사
'폭식증'이라는 단어는 고대 그리스어 βουλιμία|불리미아grc(''boulīmia'')에서 유래했으며, "탐욕스러운 굶주림"이라는 뜻이다. 이는 '황소'를 의미하는 βοῦς|보스grc(''bous'')와 '굶주림'을 의미하는 λιμός|리모스grc(''līmos'')의 합성어이다.[102] 이 질환의 학명인 '폭식증 신경증'(bulimia nervosa|불리미아 네르보사la)은 문자 그대로 "신경성 탐욕스러운 굶주림"으로 번역될 수 있다.
폭식증의 공식적인 진단 기준은 1979년에야 등장했지만, 폭식과 이후의 정화(구토 등) 행위는 고대 문화에서도 발견된다. 폭식증과 유사한 행동에 대한 가장 오래된 기록 중 하나는 기원전 370년경 크세노폰의 저서 아나바시스에서 찾아볼 수 있다. 여기서 그리스 군인들이 소아시아 산에서 스스로 정화하는 장면이 묘사되지만, 이것이 폭식 후에 이루어진 것인지는 명확하지 않다.[103] 고대 이집트에서는 의사들이 건강 유지를 위해 한 달에 한 번, 사흘 동안 정화할 것을 권장했다.[104] 이는 모든 질병이 음식에서 비롯된다는 믿음 때문이었다. 고대 로마의 상류층은 연회에서 더 많은 음식을 즐기기 위해 의도적으로 구토를 하기도 했다. 클라우디우스와 비텔리우스 황제는 모두 대식가였으며 습관적으로 구토를 이용한 것으로 알려져 있다.
역사적으로 신경성 식욕 부진증을 앓았던 일부 종교적 인물들도 폭식증과 유사한 행동을 보였을 가능성이 있다. 마리아 막달레나 데 파치(1566–1607)와 베로니카 줄리아니(1660–1727)는 폭식 행위를 악마의 유혹에 굴복한 것으로 여겼다. 시에나의 카타리나(1347–1380)는 엄격한 금식을 하면서 죄를 속죄하기 위해 구토를 병행했으며, 결국 33세의 나이에 굶주림으로 사망했다.
'폭식증(bulimia)'이라는 단어 자체는 과식을 의미하는 용어로 수 세기 동안 사용되었지만, 오늘날과 같은 심리적 장애를 의미하지는 않았다. 바빌론 탈무드에서도 'bulimia'가 언급되지만, 학자들은 이것이 단순히 과식을 의미하며 현대적인 폭식증의 심리적 측면과는 관련이 없다고 본다. 17세기부터 19세기 후반까지의 기록을 살펴보면, 과식 사례 중 폭식 후 구토를 한 경우는 4분의 1에 불과했으며, 이는 체중 조절을 위한 의도적인 행위는 아니었다.
20세기 초, 폭식(과식)은 임상 증상으로 인식되기 시작했지만, 체중 조절과의 연관성은 드물었다.[109] 거식증 환자들에게서 구토와 같은 정화 행위가 관찰되었으나, 이는 체중 조절보다는 위장 통증 완화를 위한 것으로 여겨졌다.[109] 1930년 메이요 클리닉의 기록에 따르면, 1917년부터 1929년 사이에 입원한 거식증 환자의 55~65%가 체중에 대한 걱정을 덜기 위해 스스로 구토를 했다고 보고했다.[109] 체중 조절을 위한 정화 행위는 1900년대 중반까지 계속해서 보고되었다. 1939년 라만과 리처드슨은 거식증 환자 6명 중 1명이 과식 기간을 가졌고, 다른 1명은 스스로 구토를 유발했다고 보고했다.[109] 1932년 울프는 음식에 대한 강렬한 갈망과 빈번한 구토를 동반한 과식을 몇 주간 지속한 "환자 D"를 치료했다. 1958년 루드비히 빈스방거가 기술한 환자 엘렌 웨스트는 체중 감량을 위해 갑상선 호르몬제를 과다 복용하고 완하제와 구토를 이용했다. 이러한 사례들은 현대적인 폭식증의 특징을 보이지만, 당시에는 정신 질환 진단 및 통계 편람(DSM)에 폭식증이라는 진단명이 없었기 때문에 공식적인 진단을 받지는 못했다.
20세기에 들어서면서 마른 몸매를 이상적으로 여기는 사회적 분위기가 형성된 것이 폭식증 증가의 한 원인으로 지목된다.[109] 1940년대부터 뚱뚱함에 대한 부정적인 인식이 나타나기 시작했고, 1950년대에는 마른 몸매에 대한 열망이 본격화되었다.[109]
1979년, 영국의 정신과 의사 제럴드 러셀은 "뚱뚱해지는 것에 대한 병적인 두려움"을 가지고 과식 후 정화 행위를 하는 환자들을 설명하며 '폭식증 신경증'이라는 용어를 처음으로 사용하고 기술했다.[107][108] 그는 이 질환이 우울증이나 자살로 이어질 수 있는 심각한 상태임을 지적했다.[107] 1980년, 폭식증은 DSM-III에 공식적으로 등재되었다.[107]
DSM-III 등재 이후 폭식증 진단 건수는 급격히 증가했다. 1980년대 초에는 인구 10만 명당 약 40건으로 발생률이 증가했다가, 1980년대 말에서 1990년대 초에는 10만 명당 약 27건으로 다소 감소했다. 그럼에도 불구하고 폭식증의 유병률은 당시 10만 명당 약 14명 수준이었던 거식증보다 훨씬 높았다. 1991년 켄들러 등의 연구에 따르면, 1959년 이후에 태어난 사람들의 폭식증 누적 위험도가 그 이전에 태어난 사람들보다 현저히 높은 것으로 나타났다.[110]
2015년 기준으로 전 세계적으로 약 360만 명이 폭식증을 앓고 있는 것으로 추정된다.[105] 젊은 여성의 약 1%가 특정 시점에 폭식증을 겪으며, 전체 여성의 약 2~3%가 평생에 걸쳐 이 질환을 경험한다.[106] 폭식증은 개발도상국에서는 상대적으로 덜 흔하게 나타나며,[6] 남성보다 여성에게 약 9배 더 많이 발생한다.[7] 여성 중에서는 특히 젊은 성인에게서 발병률이 가장 높다.[7]
9. 폭식증을 겪은 인물
- 카렌 카펜터: 만년에는 거식증뿐만 아니라 폭식 발작에도 시달렸으며, 급성 심부전으로 사망했다.
- 다이애나비: 찰스 3세와의 불화를 계기로 폭식증을 겪었다고 알려져 있다.
- 엘비스 프레슬리: 만년에 이혼과 어머니의 죽음 등으로 인한 스트레스로 폭식증에 빠졌다.
- 엘튼 존: 1980년대 후반, 정신적으로 불안정한 상태가 되어 폭식과 알코올 과다 섭취를 했다고 한다.
- 제인 폰다: 10대 시절부터 약 30년 동안 거식증 및 폭식증으로 고통받았다.[144]
이 외에도 여배우 등 할리우드 스타 중 언론에 폭식증을 고백한 인물이 많이 존재한다. 일반적으로 "폭식증"이라고 칭하지만, 실제로는 거식증(신경성 식욕 부진증)의 폭식·배출형이나 폭식 장애인 경우도 있다.
참조
[1]
논문
The changing "weightscape" of bulimia nervosa
2012-10
[2]
논문
A systematic review of evidence for psychological treatments in eating disorders: 2005-2012
2013-07
[3]
논문
Current pharmacotherapy options for bulimia nervosa and binge eating disorder
2012-10
[4]
웹사이트
Bulimia nervosa - Symptoms and causes
https://www.mayoclin[...]
2024-12-05
[5]
웹사이트
Bulimia nervosa fact sheet
http://www.womenshea[...]
2015-06-27
[6]
논문
Bulimia nervosa
2010-07
[7]
서적
Diagnostic and Statistical Manual of Mental Disorders
https://archive.org/[...]
American Psychiatric Publishing
[8]
웹사이트
The Center for Special Dentistry
http://www.nycdentis[...]
[9]
논문
The Outcome of Bulimia Nervosa: Findings From One-Quarter Century of Research
https://psychiatryon[...]
2009-12
[10]
논문
Bulimia Nervosa
http://www.psychiatr[...]
2013-09-13
[11]
웹사이트
Bulimia Nervosa
https://my.cleveland[...]
2022-05-15
[12]
논문
Finger calluses in bulimia
1985-05
[13]
논문
A physical sign of bulimia
1984-10
[14]
웹사이트
Eating Disorders
http://www.ada.org/p[...]
American Dental Association
[15]
논문
Assessment and treatment of bulimia nervosa
http://www.aafp.org/[...]
1998-06
[16]
뉴스
Symptoms Of Bulimia Nervosa
http://torontostar.i[...]
2001-02-23
[17]
웹사이트
Bulimia Nervosa
https://www.national[...]
The National Eating Disorders Association
2014-12-05
[18]
서적
Psychiatric and Mental Health Nursing: The Craft of Caring
Arnold
[19]
논문
Integration of Interoceptive Exposure in Eating Disorder Treatment
2015-06
[20]
논문
From the body's viscera to the body's image: Is there a link between interoception and body image concerns?
2017-06
[21]
논문
Interoceptive predictions in the brain
2015-07
[22]
논문
Bulimia and depression
[23]
논문
Prevalence and correlates of DSM-5 eating disorders in patients with bipolar disorder
https://linkinghub.e[...]
2016-02
[24]
문서
Carlson, N.R., et al. (2007). Psychology: The Science of Behaviour – 4th Canadian ed. Toronto, ON: Pearson Education Canada.
[25]
논문
Are Eating Disorders Risk Factors for Type 2 Diabetes? A Systematic Review and Meta-analysis
2017-11
[26]
논문
Differences between grandiose and vulnerable narcissism and bulimic symptoms in young women
2011-01
[27]
논문
A controlled study of trait narcissism in anorexia and bulimia nervosa
1997-09
[28]
논문
Bulimia as a disturbance of narcissism: self-esteem and the capacity to self-soothe
1997
[29]
논문
Vulnerable narcissism as a mediator of the relationship between perceived parental invalidation and eating disorder pathology
2019-12
[30]
논문
Impact of comorbid borderline personality disorder on inpatient treatment for bulimia nervosa: Analysis of routine data
[31]
논문
Comorbidity of bipolar and eating disorders: distinct or related disorders with shared dysregulations?
2005-06
[32]
논문
Thyroid function in bulimia nervosa
1996-04
[33]
논문
Normal Brain Tissue Volumes after Long-Term Recovery in Anorexia and Bulimia Nervosa
https://linkinghub.e[...]
2006-02-01
[34]
웹사이트
Biological Causes of Anorexia Nervosa and Bulimia Nervosa
http://serendip.bryn[...]
2016-07-04
[35]
논문
Association of BDNF with anorexia, bulimia and age of onset of weight loss in six European populations
2004-06
[36]
서적
Annual Review of Eating Disorders – part 2
Radcliffe Publishing
[37]
논문
Sex hormones, appetite and eating behaviour in women
2012-03
[38]
논문
Striatal dopamine in bulimia nervosa: a PET imaging study
2012-07
[39]
논문
Does a shared neurobiology for foods and drugs of abuse contribute to extremes of food ingestion in anorexia and bulimia nervosa?
2013-05
[40]
논문
Diet Versus Exercise in Weight Loss and Maintenance: Focus on Tryptophan
[41]
논문
Symptomatic relapse in bulimia nervosa following acute tryptophan depletion
1999-02
[42]
논문
Acute tryptophan depletion and increased food intake and irritability in bulimia nervosa
1995-11
[43]
논문
Central and peripheral peptides regulating eating behaviour and energy homeostasis in anorexia nervosa and bulimia nervosa: a literature review
2014-09
[44]
논문
The sexual competition hypothesis for eating disorders
1998-12
[45]
논문
Evolutionary Psychology of Eating Disorders: An Explorative Study in Patients With Anorexia Nervosa and Bulimia Nervosa
2018
[46]
서적
Good reasons for bad feelings: insights from the frontier of evolutionary psychiatry
Penguin Books, Limited
2020
[47]
서적
Psychology: the science of behaviour
Pearson Education Canada
[48]
논문
Eating behaviours and attitudes following prolonged exposure to television among ethnic Fijian adolescent girls
2002-06
[49]
문서
Bulimia Nervosa
http://connect.mhedu[...]
''
2014
[50]
논문
The Evolution of "Enhanced" Cognitive Behavior Therapy for Eating Disorders: Learning From Treatment Nonresponse
[51]
논문
Studies of the epidemiology of bulimia nervosa
1990-04
[52]
서적
Abnormal Psychology and Life: A Dimensional Approach
https://books.google[...]
Wadsworth, Cengage Learning
2010-10-08
[53]
논문
The cognitive-behavioral model of bulimia nervosa: a direct evaluation
2002-01
[54]
논문
Sexual abuse and the severity of bulimic symptoms
1992-07
[55]
서적
"(Ab)normal Psychology"
McGraw Hill
2013
[56]
웹사이트
Bulimia
https://www.ncbi.nlm[...]
PubMed Health
2011-04-18
[57]
논문
Thin-Ideal Internalization: Mounting Evidence for a New Risk Factor for Body-Image Disturbance and Eating Pathology
[58]
논문
Inspiration or deflation? Feeling similar or dissimilar to slim and plus-size models affects self-evaluation of restrained eaters
2012-01
[59]
서적
Manual of Psychiatric Therapeutics
Lippincott Williams & Wilkins
[60]
문서
"(Ab)normal Psychology"
McGraw-Hill
2013
[61]
논문
Self-oriented perfectionism in eating disorders
2007-09
[62]
논문
Initial Evaluation, Diagnosis, and Treatment of Anorexia Nervosa and Bulimia Nervosa
https://www.aafp.org[...]
2015-01-01
[63]
논문
Adolescent bulimia nervosa
2012-08
[64]
논문
Bulimia Nervosa
2010-07-19
[65]
논문
State of the Art: The Therapeutic Approaches to Bulimia Nervosa
2021-01-01
[66]
논문
Outcome predictors for the cognitive behavior treatment of bulimia nervosa: data from a multisite study
2000-08
[67]
논문
Psychological versus pharmacological treatments of bulimia nervosa: predictors and processes of change
1999-08
[68]
논문
Management of bulimia nervosa
2007-03
[69]
논문
Prediction of outcome in bulimia nervosa by early change in treatment
2004-12
[70]
논문
Dialectical behavior therapy for bulimia nervosa
2001-04
[71]
논문
Evidence-based psychosocial treatments for eating problems and eating disorders
2008-01
[72]
논문
Treating Bulimia in Adolescents: A Family-Based Approach
2009-02
[73]
논문
Family-based therapy for adolescents with bulimia nervosa
[74]
논문
Motivation to change in adolescents with bulimia nervosa mediates clinical change after treatment
[75]
논문
Antidepressants versus placebo for people with bulimia nervosa
2003
[76]
논문
Antidepressants versus psychological treatments and their combination for bulimia nervosa
2001
[77]
논문
Efficacy of hypnotherapy in the treatment of eating disorders
2007-07
[78]
논문
The use of hypnotherapy in the treatment of eating disorders
http://dx.doi.org/10[...]
1988-09
[79]
논문
Lifetime anxiety disorders in women with bulimia nervosa
http://dx.doi.org/10[...]
1996-09
[80]
논문
Coming to Terms With Risk Factors for Eating Disorders: Application of Risk Terminology and Suggestions for a General Taxonomy.
https://doi.apa.org/[...]
2004
[81]
논문
Comorbidity of Bulimia Nervosa and Substance Abuse: Etiologies, Treatment Issues, and Treatment Approaches
http://dx.doi.org/10[...]
2010-04-01
[82]
논문
Prevalence and early risk factors for bulimia nervosa symptoms in inner-city youth: gender and ethnicity perspectives
2021-10-21
[83]
논문
Prevalence of eating disorders: a comparison of Western and non-Western countries
2004-09
[84]
논문
Eating disorder behaviors are increasing: findings from two sequential community surveys in South Australia
2008-02
[85]
서적
Psychiatry
https://archive.org/[...]
Oxford University Press
[86]
논문
Urbanisation and the incidence of eating disorders
2006-12
[87]
웹사이트
Bulimia
http://finddoctorson[...]
[88]
뉴스
Black Girls At Risk for Bulimia
http://psychcentral.[...]
2009-03-19
[89]
논문
Worldwide prevalence of DSM-5 eating disorders among young people
2022
[90]
논문
Cross-ethnic differences in eating disorder symptoms and related distress
2007-03
[91]
웹사이트
Study Reveals Stunning Prevalence of Bulimia Among African-American Girls
http://www.teen-eati[...]
[92]
논문
The prevalence of eating disorders not otherwise specified
2007-04
[93]
논문
"[Eating disorders in school children]"
[94]
논문
Incidence of eating disorders in Navarra (Spain)
2005-03
[95]
논문
Epidemiological studies on adverse dieting behaviours and eating disorders among young people in Hungary
2004-08
[96]
논문
The epidemiology of eating disorder behaviors: an Australian community-based survey
1998-05
[97]
논문
Prevalence and correlates of bulimia nervosa and bulimic behaviors in a racially diverse sample of undergraduate students in two universities in southeast Texas
1996-09
[98]
논문
An epidemiological study of eating disorders in Norwegian psychiatric institutions
1995-11
[99]
논문
Bulimia nervosa in a Canadian community sample: prevalence and comparison of subgroups
1995-07
[100]
논문
Coprevalence of bulimia with alcohol abuse and smoking among Japanese male and female high school students
1995-07
[101]
논문
Body weight, dieting, and eating disorder symptoms among college students, 1982 to 1992
1995-11
[102]
웹사이트
Online Etymology Dictionary: bulimia
http://www.etymonlin[...]
2008-04-06
[103]
문서
A history of bulimia
Springer New York
[104]
문서
The history of bulimia nervosa
The Guilford Press
[105]
논문
Global, regional, and national incidence, prevalence, and years lived with disability for 310 diseases and injuries, 1990-2015: a systematic analysis for the Global Burden of Disease Study 2015
2016-10
[106]
논문
Epidemiology of eating disorders: incidence, prevalence and mortality rates
2012-08
[107]
논문
Bulimia nervosa: an ominous variant of anorexia nervosa
1979-08
[108]
논문
Bulimia nervosa: 25 years on
2004-12
[109]
논문
On the emergence of bulimia nervosa as a syndrome a historical view
[110]
논문
The genetic epidemiology of bulimia nervosa
1991-12
[111]
문서
水島広子 (2009)
[112]
문서
切池信夫 (2004)
[113]
문서
高木洲一郎、浜中禎子 (2011)
[114]
문서
水島広子 (2001)
[115]
서적
現代臨床精神医学 改訂第11版
金原出版
[116]
서적
こころの医学事典
日本評論社
[117]
문서
市橋秀夫 (2012)
[118]
웹사이트
井出草平の研究ノート・神経性大食症
https://ides.hatenab[...]
2006-03-03
[119]
문서
下坂幸三 (2007)
[120]
문서
アメリカ精神医学会 DSM-IV-TR (2004)
[121]
문서
世界保健機関 ICD-10 (2005)
[122]
문서
西園マーハ文 (2010)
[123]
문서
摂食障害の基礎知識
[124]
문서
市橋秀夫 (2006)
[125]
문서
ヒルデ・ブルック (1979)
[126]
문서
切池信夫 (2009)
[127]
서적
わかりやすい子どもの精神科薬物療法ガイドブック
星和書店
[128]
문서
西園文 (2004)
[129]
문서
野間俊一 (2003)
[130]
논문
摂食障害の動機づけについて
[131]
논문
摂食障害の認知行動療法
https://doi.org/10.1[...]
日本総合病院精神医学会
[132]
서적
摂食障害治療ガイドライン
医学書院
[133]
논문
摂食障害の認知行動療法改良版(Enhanced Cognitive Behavior Therapy:CBT-E)
[134]
서적
摂食障害とは
日本評論社
[135]
서적
彼女たちをとりまく世界――摂食障害とこころの環境――
日本評論社
[136]
서적
摂食障害の行動療法
日本評論社
[137]
서적
事例で学ぶ認知行動療法
誠心書房
[138]
서적
事例で学ぶ認知行動療法
誠心書房
[139]
서적
事例で学ぶ認知行動療法
誠信書房
[140]
논문
"ストレスの時、甘いものを一杯食べてしまうのは病気?"―疾患であるという認識が乏しい過食性障害患者―
[141]
간행물
日本摂食障害学会 (2012)
[142]
서적
米国精神医学会治療ガイドラインクイックリファレンス
医学書院
[143]
논문
神経性過食症の診断と治療
[144]
서적
ジェーン・フォンダ わが半生
ソニーマガジンズ
본 사이트는 AI가 위키백과와 뉴스 기사,정부 간행물,학술 논문등을 바탕으로 정보를 가공하여 제공하는 백과사전형 서비스입니다.
모든 문서는 AI에 의해 자동 생성되며, CC BY-SA 4.0 라이선스에 따라 이용할 수 있습니다.
하지만, 위키백과나 뉴스 기사 자체에 오류, 부정확한 정보, 또는 가짜 뉴스가 포함될 수 있으며, AI는 이러한 내용을 완벽하게 걸러내지 못할 수 있습니다.
따라서 제공되는 정보에 일부 오류나 편향이 있을 수 있으므로, 중요한 정보는 반드시 다른 출처를 통해 교차 검증하시기 바랍니다.
문의하기 : help@durumis.com
![거식증의 결과로 인한 위쪽 앞니 안쪽의 에나멜 손실 ([[산 부식]])](https://cdn.onul.works/wiki/noimage.png)