방광요관역류
"오늘의AI위키"의 AI를 통해 더욱 풍부하고 폭넓은 지식 경험을 누리세요.
1. 개요
방광요관역류(Vesicoureteral reflux, VUR)는 소변이 방광에서 요관으로 거꾸로 흐르는 질환이다. 건강한 사람의 요관은 방광으로 비스듬히 들어가 밸브 역할을 하지만, VUR 환자는 이러한 메커니즘에 이상이 생겨 소변이 역류한다. 원인은 요관의 선천적 결함, 방광 압력 증가 등 다양하며, 증상은 무증상인 경우가 많지만 요로 감염, 발열, 배뇨통 등을 동반할 수 있다. 진단은 방광조영술, 초음파, 핵의학 검사 등을 통해 이루어지며, VUR의 중증도는 1~5등급으로 분류된다. 치료는 예방적 항생제 투여, 내시경 주입술, 수술적 치료 등이 있으며, 경과 관찰을 통해 자연 치유 여부를 확인하기도 한다.
더 읽어볼만한 페이지
- 방광 질환 - 방광삼각염
방광삼각염은 방광 삼각부에 발생하는 염증으로, 혈뇨, 빈뇨, 배뇨 시 통증 등의 증상을 보이며 방광경 검사 및 조직 검사를 통해 진단한다. - 방광 질환 - 신경인성 방광
신경인성 방광은 신경계 손상이나 질환으로 소변 저장 및 배출 조절에 장애가 생겨 절박뇨, 요실금, 배뇨 곤란 등을 유발하는 방광 기능 장애로, 원인에 따라 다양한 유형으로 분류되며, 진단 후 요도 카테터, 약물 요법, 수술 등으로 치료한다. - 비뇨기 질환 - 물음낭종
물음낭종은 다양한 원인으로 고환 부위에 액체가 고여 낭종을 형성하는 질환으로, 선천적 또는 이차적으로 발생하며, 흡인 및 경화 요법과 수술적 치료를 통해 치료할 수 있고, 파열, 출혈 등의 합병증을 유발할 수 있다. - 비뇨기 질환 - 요실금
요실금은 의지와 상관없이 소변이 새는 증상으로, 방광 기능 장애, 요도 괄약근 기능 부전, 신경계 질환 등 다양한 원인으로 발생하며, 복압성, 절박성, 일류성 등 여러 유형으로 나뉘고 남녀 모두, 특히 고령층에서 흔히 나타나 삶의 질에 영향을 미치며, 배뇨 패턴 확인, 신체 검사, 요검사, 요역학 검사 등으로 진단하고 행동 요법, 약물 치료, 수술 등으로 치료한다.
| 방광요관역류 | |
|---|---|
| 질병 정보 | |
| 이름 | 방광요관역류 |
| 영어 | Vesicoureteral reflux |
| ICD10 | N13.7 |
| ICD9 | 593.7 |
![]() | |
| 메쉬 아이디 | D014718 |
| 일반 정보 | |
| 추가 정보 | |
| 온라인 의학 백과사전 | 000459 |
| 이메디신 주제 | ped/2750 |
| 질병 데이터베이스 | 13835 |
2. 원인
건강한 사람의 경우 요관은 비스듬히 방광으로 들어가 점막 아래로 일정 거리 뻗어 있다. 이는 요관의 근육 부착과 함께 요관을 뒤쪽에서 고정하고 지지하는 데 도움이 된다. 이러한 특징들은 함께 소변 저장 및 배출 시 요관 입구를 막는 판막과 유사한 효과를 낸다. 방광요관역류 환자의 경우 이러한 메커니즘에 이상이 생겨 소변이 역류(거꾸로 흐름)하게 된다.
방광요관역류는 소변이 역류하는 병적인 상태로, 만성적인 신우신염을 일으킬 수 있다. 방광요관역류에는 원발성과 속발성이 있다.[14]
2. 1. 원발성 방광요관역류
요관의 직경에 비해 점막하 길이가 불충분하면 밸브 메커니즘이 제대로 작동하지 못한다. 이는 선천적 결함 또는 방광 내 요관 부분의 종주근 부재로 인해 요관방광 접합부(UVJ) 이상이 발생하여 촉진된다.[15] 원발성 방광요관역류는 요관 방광 접합부의 선천적인 형성 부전으로 발생한다.[14][15]2. 2. 속발성 방광요관역류
속발성 방광요관역류는 요관의 판막 기전이 처음에는 건강했으나, 폐쇄와 관련된 방광 압력 증가로 인해 요관 방광 이행부가 변형되어 발생한다. 폐쇄는 해부학적이거나 기능적일 수 있다.[14][15] 정상적인 경우 방광 내압이 상승해도 신장과 요관으로 역류가 일어나지 않지만, 방광요관역류는 소변이 역류하는 병적인 상태로 만성적인 신우신염을 유발할 수 있다.[15]2. 2. 1. 해부학적 원인
후부 요도 판막, 요도 또는 요도구 협착. 이러한 원인은 가능하면 수술적으로 치료한다.2. 2. 2. 기능적 원인
방광 불안정, 신경인성 방광 및 비신경성 방광은 방광 감염으로 인한 염증과 관련된 압력 상승으로 역류를 일으킬 수 있다.[3] 기능성 방광요관역류는 대개 유발 원인을 치료하고 해결하면 발생하며, 약물 및/또는 수술 치료가 필요할 수 있다.3. 증상
대부분의 방광요관역류 환아는 증상이 없다. 방광요관역류는 자궁 내에서 신장의 확장 또는 신장에서 소변을 배출하는 요관에 대한 추가 평가 결과로 진단될 수 있으며, 형제자매가 방광요관역류를 앓고 있는 경우에도 진단될 수 있다(하지만, 두 경우 모두에서 정기적인 검사는 논란의 여지가 있다). 또한 역류는 급성 방광 및 신장 감염의 위험을 증가시키므로, 소아는 1회 이상의 감염 후 역류 검사를 받을 수 있다.
영아의 경우, 요로 감염의 징후와 증상으로는 고열과 무기력증, 식욕 부진 및 때때로 악취가 나는 소변 등이 있을 수 있으며, 연령이 더 많은 소아는 일반적으로 배뇨 시 불편감 또는 통증 및 빈뇨를 나타낸다.
4. 진단
방광요관역류(VUR)의 진단에는 다음의 방법을 사용할 수 있다.
- 방광조영법
- 형광 투시 배뇨성 방광 요도 조영술 (VCUG)
- 복부 초음파
- 테크네튬-99m 디메르캅토호박산(DMSA) 신티그래피
조기 진단은 매우 중요하다. 연구에 따르면 요로 감염과 관련된 급성 신우신염이 있는 VUR 환아는 그렇지 않은 경우보다 영구적인 신장 피질 반흔이 발생할 가능성이 더 높으며(오즈비 2.8),[7] 이는 VUR이 요로 감염 빈도뿐만 아니라 상부 요로 구조 손상 및 말기 신부전의 위험도 증가시키기 때문이다.[8]
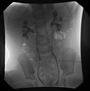
4. 1. 배뇨성 방광 요도 조영술 (Voiding Cystourethrogram, VCUG)
배뇨성 방광 요도 조영술(VCUG)은 방광요관역류의 등급 분류 및 초기 검사에 선호되는 방법이다. 요로 감염이 있는 소아의 경우, 해부학적 원인을 배제하기 위해 VCUG와 복부 초음파 검사를 수행해야 한다.확정 진단은 배뇨 시 엑스레이를 통해 조영제의 역류 여부를 확인하는 배뇨성 방광 요도 조영술로 실시한다.[14][15] 늑골 척추각(CAV) 타진도 신우신염을 나타내므로 유효하다.[16]

4. 2. 초음파 검사
요관 확장이 있는 경우 복부 초음파로 방광요관역류(VUR)의 존재를 시사할 수 있다. 그러나 저등급에서 중등도, 심지어 고등급 VUR의 많은 상황에서 초음파 검사는 완전히 정상일 수 있으므로, 출생 전 수신증 또는 요로 감염과 같이 VUR이 의심되는 소아를 평가하는 단일 진단 검사로서는 유용성이 부족하다.[4]소아가 요로 감염으로 나타나는 모든 경우에 높은 의심 지수를 부여하고 해부학적 원인을 배제해야 한다. 이러한 경우 배뇨성 방광 요도 조영술(VCUG)와 복부 초음파를 수행해야 한다.
4. 3. 핵의학 신장 스캔 (DMSA 신티그래피)
테크네튬-99m 디메르캅토호박산(DMSA) 신티그래피는 피질 반흔으로 보이는 실질 손상을 평가하는 데 사용된다. 첫 번째 발열성 요로 감염 이후, 배뇨방광요도조영술 (VCUG) 전에 손상을 감지하기 위한 초기 신티그래피의 진단 역할이 조사되었으며 피질 반흔과 요로 확장이 없는 어린이의 경우 VCUG를 생략할 수 있다고 제안되었다.[5][6]5. 국제 분류 (등급)
방광요관역류(VUR)는 그 심각성에 따라 다음과 같이 등급이 매겨진다.[1]
| 등급 | 설명 |
|---|---|
| I | 확장되지 않은 요관으로 역류한다. |
| II | 신우 및 신배로 역류하나, 확장되지 않는다. |
| III | 요관, 신우 및 신배가 경미하거나 중간 정도로 확장되고, 원개(fornix)가 최소한으로 둔화된다. |
| IV | 신우 및 신배가 확장되고, 중간 정도의 요관 꼬임이 나타난다. |
| V | 요관, 신우 및 신배가 심하게 확장되고, 요관이 꼬이며, 유두 돌기가 소실된다. |
환자의 나이가 어릴수록, 그리고 처음 진단 시 등급이 낮을수록 자연적으로 치유될 가능성이 높다. 1단계 및 2단계 VUR 사례의 약 85%는 자연적으로 치유된다. 3단계 사례의 약 50%와 더 높은 단계의 낮은 비율의 사례 또한 자연적으로 치유된다.
6. 치료
방광요관역류 치료의 목표는 감염을 최소화하는 것이다. 신장 흉터는 방광요관역류 자체가 아니라 감염에 의해 유발되기 때문이다.[9]
감염을 최소화하기 위해 배변 훈련을 받지 않은 신생아와 영아에게는 예방적 항생제를 투여한다. 나이가 더 많은 어린이의 경우, 장과 방광 관리에 집중해야 한다. 방광을 참거나 변비가 있는 어린이는 규칙적인 배뇨를 하는 어린이보다 감염 횟수가 더 많다.
약물 요법으로 재발성 요로 감염을 예방하지 못하거나, 신장에서 진행성 신장 흉터가 나타나는 경우 수술적 중재가 필요할 수 있다. 1~3등급 방광요관역류(VUR)가 있는 어린이에게는 의료 관리가 권장되며, 대부분의 경우 자연적으로 해결된다. 4등급 방광요관역류(VUR) 환자, 특히 어린 환자나 편측성 질환이 있는 환자에게는 약물 치료를 시도해 볼 수 있다. 5등급 방광요관역류(VUR) 환자 중 영아만 수술 전에 약물 요법을 시도하며, 나이가 더 많은 환자에게는 수술만이 유일한 선택지이다.
원발성 방광요관역류는 자연 치유되는 경우가 많으므로 경증 환자에게는 경과를 관찰하고, 중증 환자에게는 요관 방광 재문합술을 시행한다.[14][15] 속발성 방광요관역류는 원인 질환을 치료한다.[14]
6. 1. 내과적 치료
의학적 치료는 방광요관역류가 해결될 때까지 저용량 항생제 예방 요법을 포함한다. 항생제는 일반적인 치료 용량의 절반으로 매일 밤 투여된다. 사용되는 특정 항생제는 환자의 연령에 따라 다르며 다음을 포함한다.2개월 후에는 다음 항생제가 적합하다.
돌파 감염을 배제하기 위해 3개월마다 소변 배양 검사를 수행한다. 연간 방사선 검사 또한 권장된다. 훌륭한 회음부 위생, 그리고 시간 맞춰 소변을 보고 이중 배뇨하는 것 또한 의학적 치료의 중요한 측면이다. 방광 기능 장애는 항콜린제 투여로 치료한다.
6. 2. 수술적 치료
내시경 주입술은 요관 입구 주변에 젤을 적용하여 밸브 기능을 생성하고 소변이 요관으로 역류하는 것을 막는 시술이다. 젤은 덱스트라노머와 히알루론산이라는 두 종류의 당 기반 분자로 구성된다. 이 조합의 상품명으로는 '''Deflux'''와 '''Zuidex'''가 있다. 두 성분 모두 의학에서 이전 사용 사례를 통해 잘 알려져 있으며, 생체 적합성이 뛰어나 신체 내에서 유의미한 반응을 일으키지 않는다. 실제로 히알루론산은 신체 내에서 자연적으로 생성되고 발견된다.예방 요법에도 불구하고 돌파 감염이 발생하거나, 예방 요법에 대한 불응이 있는 경우, 또는 방광요관역류가 심각한 경우(4~5등급), 신우신염 변화 또는 선천적 기형이 있는 경우에는 수술적 접근이 필요하다. 신장 성장 부전, 새로운 흉터 형성, 신장 기능 저하, 그리고 사춘기에 접어드는 여자아이의 방광요관역류도 수술적 중재가 필요한 이유이다.[10]
방광요관역류 치료를 위해 사용할 수 있는 수술적 절차에는 내시경(STING/HIT 시술), 복강경, 로봇 보조 복강경, 개복 수술(코헨 시술, 리드베터-폴리타노 시술, 리치-그레고어 기법)의 네 가지 유형이 있다. 복강경 및 로봇 보조 복강경 시술은 복강경 또는 로봇 보조 복강경 환경에서 고전적인 개복 수술을 모방한 경우가 많다.[10]
원발성은 자연 치유되는 경우도 많으므로 경증 환자에게는 경과 관찰, 중증 환자에게는 요관 방광 재문합술을 시행한다.[14][15] 속발성은 원인 질환을 치료한다.[14]
6. 3. 경과 관찰
미국 비뇨기과학회(American Urological Association)는 방광요관역류가 해결되거나 더 이상 임상적으로 유의미하지 않을 때까지 방광요관역류가 있는 어린이에 대한 지속적인 모니터링을 권장한다. 권장 사항은 혈압, 키, 체중, 소변 검사 및 신장 초음파를 매년 평가하는 것이다.[7]원발성 방광요관역류는 자연 치유되는 경우도 많으므로 경증 환자에게는 경과를 관찰하고, 중증 환자에게는 요관 방광 재문합술을 시행한다.[14][15] 속발성 방광요관역류는 원인 질환을 치료한다.[14]
7. 역학
방광요관역류의 유병률은 특정 시점에 파악하기 어려우며, 조사 대상 인구에 따라 다르다. 건강한 어린이의 방광요관역류 유병률은 0.4~1.8%로 추정된다. 하지만 요로감염(UTI)이 있는 어린이의 경우 유병률이 최대 30%까지 증가한다. 건강한 인구에서의 유병률은 전통적인 추정치보다 훨씬 높을 가능성이 있으며, 최대 10%에 달할 수 있다.[11] 어린이는 점막하 요관의 상대적인 짧이 때문에 방광요관역류에 더 취약하다. 이러한 민감성은 아이가 성장하면서 요관의 길이가 길어짐에 따라 나이가 들면서 감소한다.
어린 시절에 방광요관역류로 진단받는 여자 아이가 남자 아이보다 4배 더 많다. 남자 아이는 주로 첫 해에 발병하는 반면, 여자 아이는 어린 시절 전반에 걸쳐 누적적으로 발병한다.[12]
8. 역사
그리스-로마 시대의 의사이자 해부학자인 갈레노스는 요로에 대해 설명하면서 소변 역류를 막는 구체적인 메커니즘이 존재한다는 점을 언급했다.[13]
참조
[1]
논문
Vesicoureteral Reflux
https://jasn.asnjour[...]
2008-05-01
[2]
논문
Guidelines for the medical management of pediatric vesicoureteral reflux
2020-04-01
[3]
간행물
The cellular basis of bladder instability
http://www.urologyjo[...]
Institute of Urology & Nephrology, London, UK
[4]
논문
Renal ultrasound and DMSA screening for high-grade vesicoureteral reflux
2016-03-01
[5]
논문
Accuracy of Early DMSA Scan for VUR in Young Children With Febrile UTI
http://pediatrics.aa[...]
2014-01-01
[6]
논문
Acute 99mTc DMSA Scan Predicts Dilating Vesicoureteral Reflux in Young Children With a First Febrile Urinary Tract Infection
[7]
논문
Summary of the AUA Guideline on Management of Primary Vesicoureteral Reflux in Children
2010-09
[8]
논문
Vesicoureteral Reflux, Reflux Nephropathy, and End-Stage Renal Disease
2008-07-21
[9]
논문
EAU guidelines on vesicoureteral reflux in children.
2012-09
[10]
논문
Robot-assisted extravesical ureteral reimplantation: Outcomes and conclusions from 78 ureters
[11]
논문
What is the normal prevalence of vesicoureteral reflux?
https://doi.org/10.1[...]
2000-08-01
[12]
서적
Pediatric Urology
Saunders/Elsevier
2010
[13]
논문
The history of urologic surgery: from reeds to robotics.
2011
[14]
서적
病気がみえる 〈vol.8〉 腎・泌尿器
メディックメディア社発行
[15]
서적
南山堂医学大辞典 第12版
[16]
서적
病気がみえる 〈vol.8〉 腎・泌尿器
メディックメディア社発行
본 사이트는 AI가 위키백과와 뉴스 기사,정부 간행물,학술 논문등을 바탕으로 정보를 가공하여 제공하는 백과사전형 서비스입니다.
모든 문서는 AI에 의해 자동 생성되며, CC BY-SA 4.0 라이선스에 따라 이용할 수 있습니다.
하지만, 위키백과나 뉴스 기사 자체에 오류, 부정확한 정보, 또는 가짜 뉴스가 포함될 수 있으며, AI는 이러한 내용을 완벽하게 걸러내지 못할 수 있습니다.
따라서 제공되는 정보에 일부 오류나 편향이 있을 수 있으므로, 중요한 정보는 반드시 다른 출처를 통해 교차 검증하시기 바랍니다.
문의하기 : help@durumis.com
