요실금
"오늘의AI위키"의 AI를 통해 더욱 풍부하고 폭넓은 지식 경험을 누리세요.
1. 개요
요실금은 자신의 의지와 관계없이 소변이 새는 증상으로, 방광 기능 이상이나 요도 괄약근 기능 부전 등 비뇨기과적 문제와 감염, 약물, 심리적 요인 등 비뇨기과적이지 않은 원인으로 발생할 수 있다. 여성에게는 복압성 요실금과 과민성 방광이 흔하며, 남성에게는 과민성 방광과 전립선 수술 후 발생하는 긴장성 요실금이 주로 나타난다. 치료 방법으로는 행동 치료, 약물 치료, 수술 등이 있으며, 전 세계 60세 이상 인구의 최대 35%가 요실금을 겪는 것으로 추정된다.
더 읽어볼만한 페이지
- 비뇨계통의 증상 및 징후 - 요독증
요독증은 신장 기능 저하로 혈액 내 노폐물이 쌓여 피로, 식욕 부진, 구토, 정신 기능 이상을 일으키며 심할 경우 혼수, 사망에 이르는 증상군으로, 신부전이 주요 원인이며 투석이나 신장 이식으로 치료하고 치과 치료 시 주의가 필요하다. - 비뇨계통의 증상 및 징후 - 다뇨증
다뇨증은 과도한 소변 생성으로 특징지어지는 질환이며, 조절되지 않는 당뇨병, 과도한 수분 섭취, 이뇨제 등의 다양한 요인에 의해 발생하고, 소변 검사 등을 통해 진단하며, 원인 질환에 따라 치료한다. - 비뇨기 질환 - 물음낭종
물음낭종은 다양한 원인으로 고환 부위에 액체가 고여 낭종을 형성하는 질환으로, 선천적 또는 이차적으로 발생하며, 흡인 및 경화 요법과 수술적 치료를 통해 치료할 수 있고, 파열, 출혈 등의 합병증을 유발할 수 있다. - 비뇨기 질환 - 농뇨
농뇨는 소변에서 과도한 백혈구가 검출되는 상태로, 하루 200만 개 이상 배출 시 판단하며, 요로 감염, 사구체신염, 신우신염 등과 관련되고 현미경 검사나 신속 검사 스트립으로 진단하여 원인 질환 감별 및 항생제 치료 판단에 활용된다.
요실금 | |
---|---|
일반 정보 | |
분야 | 비뇨기과 부인과 |
증상 | |
추가 정보 | |
동의어 | 불수의적 배뇨 |
2. 원인
요실금은 비뇨기과적 원인과 비뇨기과적이지 않은 원인 모두에서 발생할 수 있다. 비뇨기과적 원인은 방광 기능 장애 또는 요도 괄약근 기능 부전으로 분류될 수 있으며, 과민성 방광, 방광 순응도 저하, 요도 과운동성, 내인성 괄약근 결손 등이 이에 해당한다. 비뇨기과적이지 않은 원인으로는 감염, 약물, 심리적 요인, 다뇨증, 수두증,[12] 분변 매복, 운동 제한 등이 있다.[13]
요실금의 위험 요인은 다음과 같다.
- 나이: 나이는 요실금의 심각성과 유병률을 모두 증가시킨다.
- 다뇨증: 과도한 소변 생성. 당뇨병, 원발성 다음증(과도한 수분 섭취), 중추성 요붕증, 신성 요붕증이 주요 원인이다.[19] 다뇨증은 요절박 및 빈뇨를 유발할 수 있지만, 반드시 요실금으로 이어지는 것은 아니다.
- 신경성 질환: 다발성 경화증, 척추 이분증, 파킨슨병, 뇌졸중, 척수 손상 등은 방광의 신경 기능에 영향을 주어 신경성 방광 기능 장애를 일으킬 수 있다.[20]
- 과민성 방광 증후군
- 기타: 흡연, 카페인 섭취, 우울증
2. 1. 여성
요실금은 남성보다 여성에게서 발생 빈도가 높으며, 우리나라 여성의 40%가 요실금을 경험한다.[89] 모든 연령에서 발생할 수 있으나 연령이 증가할수록 빈도가 증가한다. 여성에게서 가장 흔한 요실금 유형은 복압성 요실금과 과민성 방광이다. 두 가지 유형의 증상을 모두 보이는 여성은 "혼합형" 요실금이라고 한다. 폐경 후, 에스트로겐 생성이 감소하고, 일부 여성의 경우 요도 조직이 위축되어 약해지고 얇아지면서 요실금 발생에 영향을 미칠 수 있다.[6]
여성의 복압성 요실금은 일반적으로 임신, 출산, 비만, 노화 등으로 인해 골반 지지 구조가 손상되어 요도 지지력이 상실되면서 가장 흔하게 발생한다.[14] 전체 여성의 약 33%가 출산 후 요실금을 경험하며, 질식 분만을 한 여성은 제왕 절개를 한 여성보다 요실금을 겪을 가능성이 약 2배 더 높다.[15] 복압성 요실금은 기침, 재채기, 웃음, 물건 들기 등 복부 압력을 증가시키는 활동 시 소량의 소변이 누출되는 특징을 보인다. 이는 요도 괄약근 자체가 손상되었거나 주변 조직 손상으로 인해 괄약근이 완전히 닫히지 못할 때 발생한다. 또한, 고강도 운동을 자주 하면 운동 유발성 요실금이 발생할 수 있다.
절박성 요실금은 과민성 방광 증후군으로 알려진 방광 배뇨근의 억제되지 않은 수축으로 인해 발생한다. 이러한 유형의 요실금은 고령 여성에게서 더 흔하게 나타난다.[16] 이는 화장실에 제때 갈 수 있는 충분한 경고 없이 대량의 소변이 누출되는 특징을 보인다.
복압성 요실금은 복압이 가해질 때 발생하는 요실금으로, 35세 이상의 여성에게 많이 나타나지만, 10대나 20대의 젊은 여성에게도 드물지 않게 나타난다. 출산이나 비만으로 인한 골반저근의 이완이 원인이다. 재채기, 크게 웃을 때, 무거운 물건을 들 때 등 평소보다 힘이 가해질 때 소변이 새는 증상을 보인다. 일상적인 배뇨는 자신의 의지로 할 수 있지만, 증상이 악화되면 화장실로 가는 한 걸음 한 걸음마다 새고, 자신의 의지로는 어쩔 수 없는 상태[87]가 되거나, 뛰는 중에 갑자기 새어 바지가 젖는[88] 경우도 있다. 치료를 위해서는 골반저근을 단련하는 것이 필요하다.
2. 2. 남성
요실금은 여성에게 더 흔하지만, 남성에게도 나타난다. 남성 요실금의 가장 흔한 유형은 절박성 요실금이다.[17] 이는 매우 강한 배뇨감과 함께 소변이 새는 현상으로, 과민성 방광 증후군이라고도 한다. 남성의 경우, 전립선 비대증이 방광 출구 폐색을 유발하고, 배뇨근 (방광의 근육) 기능 장애를 일으켜 절박성 요실금을 유발하는 경우가 많다.[17]긴장성 요실금 또한 남성에게 흔하며, 주로 전립선 절제술, 경요도 전립선 절제술, 전립선 근접 방사선 치료, 방사선 요법 등 전립선 수술 후에 발생한다.[18] 이러한 수술은 요도 괄약근과 주변 조직에 손상을 주어 괄약근 기능을 저하시킨다. 기능이 저하된 요도 괄약근은 기침, 재채기, 웃음 등 복압이 증가할 때 소변이 새는 것을 막지 못한다. 전립선 수술 후 6~12개월 이내에 대부분 요실금이 호전되지만, 5~10% 정도는 지속적인 증상을 겪는다.[17]
2. 3. 공통
요실금은 본인의 의지와 관계없이 소변이 유출되어 속옷을 적시는 현상으로, 사회적 또는 위생적인 문제를 일으킬 수 있다. 남성보다 여성에게서 더 흔하게 발생하며, 연령이 증가할수록 발생 빈도가 높아진다. 요실금은 방광과 요도괄약근의 기능 이상으로 인해 발생할 수 있으며,[89] 비뇨기과적 원인과 비뇨기과적이지 않은 원인 모두에서 발생할 수 있다.비뇨기과적 원인으로는 과민성 방광, 방광 순응도 저하, 요도 과운동성, 내인성 괄약근 결손 등이 있으며, 비뇨기과적이지 않은 원인으로는 감염, 약물, 심리적 요인, 다뇨증, 수두증,[12] 분변 매복, 운동 제한 등이 있다.[13]
요실금을 유발하는 원인은 성별에 따라 다르지만, 일부는 남녀 모두에게 공통적으로 나타난다.
- 나이는 요실금의 심각성과 유병률을 모두 증가시키는 위험 요인이다.
- 다뇨증(과도한 소변 생성)의 가장 흔한 원인은 조절되지 않는 당뇨병, 원발성 다음증(과도한 수분 섭취), 중추성 요붕증, 신성 요붕증이다.[19] 다뇨증은 요절박 및 빈뇨를 유발할 수 있지만, 반드시 요실금으로 이어지는 것은 아니다.
- 다발성 경화증, 척추 이분증, 파킨슨병, 뇌졸중, 척수 손상과 같은 신경성 질환은 방광의 신경 기능에 영향을 줄 수 있다.[20] 이는 신경성 방광 기능 장애로 이어질 수 있다.
- 과민성 방광 증후군.
- 흡연, 카페인 섭취, 우울증도 위험 요인으로 제안된다.
진성 요실금은 요로 이상으로 인한 요실금으로, 요관 이소 개구, 방광 질루 등이 원인이다. 치료법으로는 요로 재건술이나 인공 요도 괄약근 삽입술 등의 수술 요법이 있다.
가성 요실금은 요로 자체에는 이상이 없지만, 요로 주변 장기의 이상으로 인해 발생한다.
- 절박성 요실금은 요의가 절박해진 후 발생하는 요실금으로, 뇌혈관 장애, 파킨슨병 등 대뇌 장애로 인한 배설 중추 장애가 원인이다. 70세 이상에게 많이 나타나며, 항콜린제를 사용한 약물 요법으로 치료한다.
- 이류성 요실금은 소변이 방광에 다 채워지지 않고 넘쳐흐르는 요실금으로, 신경인성 방광이나 전립선 비대증이 원인이다. 50세 이상 남성에게서 많이 나타나며, 자가 도뇨법이나 전립선 비대증의 경우 수술 요법으로 치료한다.
- 복압성 요실금은 복압이 가해질 때 발생하는 요실금으로, 출산이나 비만으로 인한 골반저근 이완이 원인이다. 35세 이상 여성에게 많이 나타나지만, 젊은 여성에게도 드물지 않게 나타난다. 골반저근 단련으로 치료한다.
- 기능성 요실금은 요로계 이외의 신체 정신 장애로 인해 발생하는 요실금으로, 반신 마비 등으로 인해 화장실에 가는 데 시간이 걸려 참지 못하는 경우 등이 해당된다.
3. 기전
배뇨는 신경, 근육, 척수, 뇌가 관여하는 복잡한 활동이다. 방광은 복부 아랫부분에 위치한 풍선 모양의 근육으로, 소변을 저장했다가 요도를 통해 배출한다. 방광은 방광 배뇨근과 괄약근이라는 두 가지 근육으로 구성된다. 방광 배뇨근은 소변을 저장하고 배출하기 위해 수축하는 근육 주머니이며, 괄약근은 방광 바닥이나 옆면에 연결되어 자동으로 수축하여 소변을 유지하는 원형 근육 그룹이다. 방광 아래의 골반 기저 근육은 수축하여 소변을 막을 수 있다.
절박성 요실금은 요의가 절박해진 후 발생하는 요실금이다. 상위 운동 신경 장애 중 하나로, 대뇌(하행로)의 장애로 인해 발생하는 무억제성 신경인성 방광이며, 과민성 방광의 한 증상이다. 요도 괄약근 등을 움직이는 중추 신경이 손상되었지만, 감각 신경은 건재하므로 요의는 느끼지만 운동 신경 손상으로 골반저근을 의도적으로 움직일 수 없다. 원인으로는 뇌혈관 장애, 파킨슨병 등의 발병 후 배설 중추 장애 등이 있으며, 70세 이상에게 많이 발생한다. 요의를 느끼면서도 의도적으로 제지하지 못하고 실금을 일으키는 증상을 보이며, 약물 요법으로 항콜린제를 사용하여 불수의적인 수축을 억제한다.
반사성 요실금은 반사적으로 일어나는 요실금이다. 상위 운동 신경 손상 중 하나로, 척수(하행로, 상행로) 손상으로 인해 발생하는 자동성(반사성) 신경인성 방광이다. 상위 운동 신경 손상으로 요의가 대뇌까지 전달되지 않고, 요도 괄약근 등을 움직일 수 없다. 하위 운동 신경의 탈억제로 인해 반사 항진이 일어난다. 요의가 대뇌까지 전달되지 않으므로 요의가 절박하지 않으며, 방광으로부터의 감각은 척수 반사를 통해 방광 괄약근 등을 자극하여 반사적으로 소변을 실금한다. 약물 요법으로 항콜린제를 사용하여 반사를 억제한다.
3. 1. 성인
소변은 신장에서 제거된 물과 노폐물로, 풍선 모양의 기관인 방광에 저장된다. 방광은 소변이 몸 밖으로 배출되는 관인 요도와 연결된다.[21]요실금과 배뇨는 요도 폐쇄와 방광 배뇨근 활동 (방광 근육) 사이의 균형을 포함한다. 배뇨하는 동안 방광 벽의 방광 배뇨근이 수축하여 소변을 방광 밖으로 밀어내어 요도로 보낸다. 동시에, 요도를 둘러싼 괄약근이 이완되어 소변이 몸 밖으로 배출된다. 요도 괄약근은 방광 출구를 닫아 소변이 몸 밖으로 배출되는 것을 막는 근육 링이다. 요도 압력은 정상적으로 방광 압력보다 높아서 소변이 방광에 남아있고 요실금을 유지한다.[22] 요도는 골반 기저근과 조직에 의해 지지되어 단단히 닫힐 수 있다. 방광 배뇨근, 요도 괄약근, 지지 조직 및 신경 사이의 이러한 균형에 손상이 발생하면 일부 유형의 요실금으로 이어질 수 있다.
예를 들어, 복압성 요실금은 보통 요도 괄약근의 부적절한 폐쇄의 결과이다. 이것은 괄약근 자체, 괄약근을 지지하는 근육 또는 괄약근에 공급하는 신경의 손상으로 인해 발생할 수 있다. 남성의 경우, 이 손상은 보통 전립선 수술이나 방사선 치료 후에 발생하며,[17] 여성의 경우, 출산과 임신으로 인해 발생한다.[23] 복부 내부의 압력 (기침 및 재채기)은 일반적으로 요도와 방광 모두에 동일하게 전달되어 압력 차이가 변하지 않고 요실금이 유지된다. 괄약근이 부적절하면 이러한 압력 증가는 소변을 괄약근에 밀어 넣어 요실금으로 이어진다.
또 다른 예는 절박성 요실금이다. 이 요실금은 방광 배뇨근 (방광 근육)의 갑작스럽고 강력한 수축과 관련되어 배뇨에 대한 강렬한 느낌을 유발하고, 사람이 제 시간에 화장실에 가지 못하면 요실금으로 이어진다. 이 증후군은 과민성 방광으로 알려져 있으며 방광 배뇨근의 기능 장애와 관련이 있다.[24]
3. 2. 어린이
아기의 방광은 일정 수준까지 소변이 차면 자동적으로 수축하여 비워진다. 아이가 성장하면서 신경계가 발달하고, 뇌는 채워지는 방광으로부터 메시지를 받기 시작한다. 그리고 아이가 배뇨할 때와 장소를 결정할 때까지 방광이 자동적으로 비워지는 것을 막기 위해 방광으로 메시지를 보내기 시작한다.[1]이러한 제어 메커니즘이 실패하면 요실금이 발생한다. 실패 원인은 단순한 것부터 복잡한 것까지 다양하다.[2]
4. 진단
요실금 진단을 위해서는 먼저 요실금 유형을 파악하기 위한 배뇨 및 요실금 패턴을 확인하는 것이 중요하다. 힘든 배뇨, 불편함, 약물 사용, 최근 수술, 질병 등도 확인해야 한다.[89]
신체 검사를 통해 요로를 막는 종양, 변비, 반사 신경 저하 또는 감각 이상 등 요실금을 유발하는 의학적 상태의 징후를 찾을 수 있다. 이는 신경 관련 원인의 증거일 수 있다.
다른 검사에는 다음이 포함된다:[25]
- 스트레스 검사: 환자가 편안하게 있는 동안 의사가 요실금을 관찰하기 위해 힘차게 기침을 한다.
- 요검사: 감염, 요로 결석 또는 기타 원인에 대한 증거를 확인하기 위해 소변을 검사한다.
- 혈액 검사: 혈액을 채취하여 실험실로 보내 요실금의 원인과 관련된 물질을 검사한다.
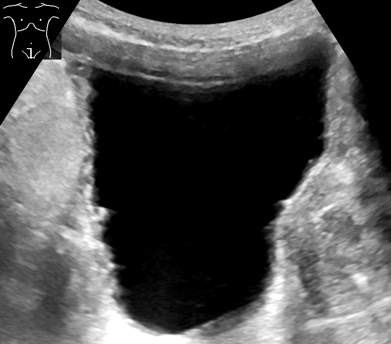
- 초음파 검사: 음파를 사용하여 신장 및 요도를 시각화하고, 배뇨 전 방광의 용량과 배뇨 후 남은 소변의 양을 평가한다. 이는 배뇨에 문제가 있는지 파악하는 데 도움이 된다.

- 방광경 검사: 얇은 튜브와 작은 카메라를 요도에 삽입하여 요도와 방광 내부를 확인한다.
- 요역학 검사: 다양한 기술을 사용하여 방광의 압력과 소변의 흐름을 측정한다.
환자는 종종 배뇨 패턴을 기록하기 위해 하루 이상, 최대 일주일 동안 배뇨 일기를 쓰도록 요청받으며, 시간과 배출된 소변량을 기록한다.
항요실금 치료법의 효능을 평가하는 연구는 종종 요실금의 정도를 정량화한다. 방법으로는 1시간 패드 검사(누출량 측정), 배뇨 일지 사용(하루에 요실금 에피소드 횟수 계산), 골반저근의 강도 평가(최대 질 압박 압력 측정) 등이 있다.
여성 예방 서비스 이니셔티브(WPSI)는 여성에 대한 연례 선별 검사를 권장하며, 선별 검사에서 양성으로 판정된 사람은 상태를 치료하는 데 도움이 되는 방법을 이해하기 위해 추가 검사를 받도록 의뢰해야 한다.[34][33] 선별 질문은 경험한 증상, 증상의 심각성, 증상이 일상생활에 영향을 미치는지에 대해 질문해야 한다.[34]
5. 분류
요실금은 크게 복압성 요실금, 절박 요실금, 일류성 요실금, 혼합성 요실금의 네 가지 주요 유형으로 분류된다.[89] 이 외에도 다양한 유형의 요실금이 존재한다.
- '''기타 유형'''
- 기능성 요실금: 소변을 볼 필요는 느끼지만 화장실까지 갈 수 없는 경우에 발생한다.
- 구조적 요실금: 드물게 발생하는 요실금으로, 주로 어린 시절에 진단된다.
- 야뇨증: 수면 중 간헐적으로 발생하는 요실금으로, 어린아이에게는 정상적인 현상이다.
- 일과성 요실금: 일시적인 요실금으로, 임산부에게 가장 흔하게 나타나며 출산 후 자연스럽게 해결된다.
- 웃음 요실금: 웃음에 대한 무의식적인 반응으로, 일반적으로 어린이에게 영향을 미친다.
- 이중 요실금: 변실금과 함께 나타나는 경우로, 방광 및 장 조절 근육이 같아 발생 가능성이 높다.
- 배뇨 후 요점적: 방광을 비운 후 요도에 남아있는 소변이 천천히 새어 나오는 현상이다.
- 성교 요실금(CI): 삽입 또는 오르가슴 중에 발생하는 요실금이다.
- 절정 요실금: 오르가슴 순간에 발생하는 요실금으로, 전립선 절제술의 결과일 수 있다.
5. 1. 주요 유형
요실금은 크게 네 가지 주요 유형으로 분류된다.[89]- 복압성 요실금: '노력성 요실금'이라고도 불리며, 기침, 재채기, 운동 등 복압이 증가할 때 소변이 새는 현상이다. 요도 괄약근 자체 또는 골반 바닥 근육의 약화가 원인이다.[26]
- 절박 요실금: 갑작스러운 요의와 함께 소변이 새는 현상으로, 과민성 방광 증후군과 관련이 깊다.
- 일류성 요실금: '비활성 방광 증후군'이라고도 불리며, 소변을 보고 싶은 느낌 없이 갑자기 소변이 새는 현상이다. 방광 출구의 만성 폐쇄나 방광 신경 손상이 원인이다.[27]
- 혼합성 요실금: 여러 유형의 요실금 증상이 복합적으로 나타나는 경우로, 고령 여성에게 흔하며 요폐 합병증을 유발할 수 있다.
이 외에도 다음과 같은 요실금 유형이 있다.
- 진성 요실금 (요도 외 요실금): 요관 이소 개구, 방광 질루 등 요로 이상이 원인이며, 인공 요도 괄약근 삽입 등의 수술로 치료한다.
- 가성 요실금: 요로 주변 장기 이상으로 인한 요실금이다.
- 절박성 요실금: 요의가 절박해진 후 발생하는 요실금이다. 뇌혈관 장애, 파킨슨병 등 배설 중추 장애로 인해 골반저근을 조절하지 못해 발생하며, 항콜린제로 치료한다.
- 반사성 요실금: 척수 손상으로 인해 반사적으로 발생하는 요실금으로, 항콜린제로 치료한다.
- 일류성 요실금 (기이성 요실금): 신경인성 방광이나 전립선 비대 등이 원인으로, 방광에 소변이 다 차지 않았는데도 넘쳐흐르는 요실금이다. 50세 이상 남성에게 많이 나타난다.
- 복압성 요실금: 출산, 비만 등으로 골반저근이 이완되어 복압이 가해질 때 발생하는 요실금이다. 35세 이상 여성에게 흔하지만, 젊은 여성에게도 나타날 수 있다.
- 기능성 요실금: 반신 마비 등 신체 장애로 인해 화장실에 가는 시간이 늦어져 발생하는 요실금이다.
5. 2. 기타 유형
- 기능성 요실금은 소변을 볼 필요는 느끼지만 화장실까지 갈 수 없는 경우에 발생한다. 소변 손실량이 많을 수 있다. 기능성 요실금의 원인으로는 혼란, 치매, 시력 저하, 이동성 또는 손재주 부족, 우울증이나 불안으로 인한 화장실 사용 거부 또는 알코올 섭취로 인한 취기 등이 있다.[28] 기능성 요실금은 생물학적 또는 의학적 문제가 없는 특정 상황에서도 발생할 수 있다. 예를 들어, 소변을 볼 필요는 느끼지만 근처에 화장실이 없거나 화장실 접근이 제한된 상황에 처할 수 있다.
- 구조적 요실금: 드물게, 구조적 문제로 인해 요실금이 발생할 수 있으며, 이는 주로 어린 시절에 진단된다(예: 요관 이소). 산부인과적 외상이나 부상으로 인한 누공은 일반적으로 산과 누공으로 알려져 있으며 요실금으로 이어질 수 있다. 이러한 유형의 질 누공에는 가장 흔하게 방광질 누공이 있으며, 드물게 요관질 누공이 있다. 이는 진단하기 어려울 수 있다. 질 조영술과 같은 표준 기술을 사용하거나 조영제를 주입하여 질 원개를 방사선학적으로 관찰할 수 있다.[29]
- 야뇨증은 수면 중 간헐적인 요실금이다. 어린 아이에게는 정상이다.
- 일과성 요실금은 일시적인 요실금으로, 임산부에게 가장 흔하게 나타나며, 출산 후에는 자연스럽게 해결된다.[30]
- 웃음 요실금은 웃음에 대한 무의식적인 반응이다. 일반적으로 어린이에게 영향을 미친다.
- 이중 요실금: 배변과 관련된 상태인 변실금도 있다. 방광 및 장 조절에 동일한 근육군(항문거근)이 관여하기 때문에, 요실금이 있는 환자는 추가적으로 변실금이 발생할 가능성이 더 높다.[31] 이는 때때로 "이중 요실금"이라고 불린다.
- 배뇨 후 요점적은 방광을 비운 후 요도에 남아있는 소변이 배뇨 후 천천히 새어 나오는 현상이다.
- 성교 요실금(CI)은 삽입 또는 오르가슴 중에 발생하는 요실금으로, 성 파트너 또는 자위 시 발생할 수 있다. 골반저 질환이 있는 성적으로 활동적인 여성의 10%에서 24%에서 발생하는 것으로 보고되었다.[32]
- 절정 요실금은 오르가슴 순간에 발생하는 요실금이다. 전립선 절제술의 결과일 수 있다.
6. 치료
요실금 치료에는 보존적 치료, 행동 요법, 약물 치료, 수술 등 다양한 방법이 있다.[36][37] 비약물적 치료와 약물 치료 모두 임신하지 않은 여성의 요실금 치료에 효과적일 수 있으며,[16] 호르몬 및 요도 주위 증량제를 제외한 모든 치료법은 무(無)치료보다 효과적이다.[16][39]
일반적으로 여성의 요실금 치료는 행동 요법으로 시작하여 효과가 없으면 경구 약물 치료를 시행하고, 두 가지 모두 효과가 없으면 방광 보톡스 또는 신경 조절 요법을 시행할 수 있다.[16]
6. 1. 비수술적 치료
행동 치료는 억제 기술(주의 돌리기, 이완)과 요실금을 악화시킬 수 있는 음식을 피하는 법을 배우는 것을 포함한다. 여기에는 카페인과 알코올 섭취를 피하거나 제한하는 것이 포함될 수 있다. 방광 훈련, 생체 되먹임, 골반저 근육 운동을 포함한 행동 치료는 여성의 요실금 개선에 가장 효과적이며 부작용 위험이 낮다.[38][39][40][16] 행동 치료는 요실금을 치료하지는 않지만, 환자의 삶의 질을 향상시킬 수 있다. 행동 치료는 단독 요법(행동 치료만)과 증상 감소를 위한 약물 보조 요법(여러 치료법 결합)으로서 모두 효과가 있다.[41]배뇨 시간 조절과 방광 훈련은 생체 되먹임을 사용하는 기술이다. 배뇨 시간 조절에서 환자는 배뇨 및 누출 차트를 작성한다. 차트에 나타나는 패턴을 통해 환자는 누출되기 전에 방광을 비울 계획을 세울 수 있다.[16] 생체 되먹임과 근육 조절은 방광 훈련으로 알려져 있으며, 방광의 소변 저장 및 비우기 일정을 변경할 수 있다. 이러한 기술은 절박성 요실금에 효과적이다.[42]
무거운 물건 들기 회피 및 변비 예방은 조절할 수 없는 소변 누출에 도움이 될 수 있다. 흡연 중단 또한 권장되며, 이는 남성과 여성의 요실금 개선과 관련이 있다.[43] 과체중인 사람은 체중 감량이 요실금 증상 개선에 도움이 될 수 있다.[48][44][39]
물리 치료는 여성의 요실금 감소에 효과적일 수 있다.[45] 골반저 물리 치료사는 환자와 협력하여 요실금을 멈출 수 있는 근본적인 골반 근육 기능 장애를 식별하고 치료한다. 그들은 근육 강화 운동, 전기 자극 또는 생체 되먹임 치료를 권장할 수 있다.[46][47] 케겔 운동과 같이 골반 근육을 운동하는 것은 복압성 요실금이 있는 여성에게 일차적인 치료법이다.[48] 절박성 요실금이 있는 환자에게는 배뇨 간격을 늘리려는 노력인 방광 훈련이 권장된다.[48] 이 두 가지 모두 혼합 요실금이 있는 환자에게 사용할 수 있다.[48] 물리 치료는 단독으로 또는 항콜린성 약물과 함께 사용할 때 항콜린성 약물만 사용하는 것보다 여성의 요실금 감소에 더 성공적인 것으로 나타났다.[16]
점점 무게가 증가하는 작은 질 원추를 운동에 사용할 수 있다.[49][50] 이는 복압성 요실금 여성에게 적극적인 치료를 하지 않는 것보다 더 효과적이며, 골반저 근육 운동 또는 전기 자극 훈련과 유사한 효과가 있다.[50]
생체 되먹임은 측정 장치를 사용하여 환자가 자신의 신체 기능을 인식하도록 돕는다. 전자 장치 또는 일기를 사용하여 방광 및 요도 근육이 수축하는 시기를 추적함으로써 환자는 이러한 근육을 제어할 수 있다. 생체 되먹임은 골반 근육 운동 및 전기 자극과 함께 사용하여 복압성 및 절박성 요실금을 완화할 수 있다. 요실금 치료에서 생체 되먹임 장치의 역할에 대한 증거는 엇갈린다.[51] 저주파 전기 자극이 과민성 방광 상태가 있는 여성의 다른 표준 치료법과 함께 도움이 될 수 있다는 매우 약한 증거가 있지만,[52] 골반저 근육 훈련과 결합된 생체 되먹임의 역할을 뒷받침하는 증거는 매우 약하며, 과민성 방광에 대한 보존적 치료와 함께 포함될 때 생체 되먹임 지원이 도움이 되지 않음을 나타낼 수 있다.[51]
근치적 전립선 절제술을 받는 남성의 수술 전 골반저 근육 훈련은 요실금 감소에 효과적이지 않았다.[18] 여성의 복압성 요실금에 대한 대체 운동이 연구되었다.[53] Paula 방법, 복부 근육 훈련, 필라테스, 태극권, 호흡 운동, 자세 훈련 및 일반적인 건강 관리에 대한 증거는 불충분했다.[53]

요실금 증상이 지속되는 사람은 개별적인 상황에 맞는 관리 방안을 찾아야 한다. 2014년 기준으로, 기계적 장치의 사용은 여성에 대해 잘 연구되지 않았다.[54]
- 남성용 외부 소변 수집 장치: 음경 위에 착용하여 소변을 다리에 착용하는 소변 주머니로 유입시키는 덮개로 구성된다. 이 제품은 개별적인 맞춤을 위해 다양한 재료와 크기로 제공된다. 연구[55]에 따르면 요도 덮개와 소변 주머니가 흡수성 제품보다 선호되는데, 특히 '일상 활동의 제한'과 관련하여 그렇다. 모든 수준의 요실금에 대한 솔루션이 존재한다. 수집 시스템의 장점은 눈에 띄지 않고, 피부가 항상 건조하며, 낮과 밤 모두 사용하기 편리하다는 것이다. 단점은 적절한 착용감을 위해 측정을 해야 하고, 일부 국가에서는 처방전이 필요하다는 것이다.
- 흡수성 제품( 보호대, 요실금 패드, 속옷, 보호용 속옷, 팬티, 기저귀, 성인용 기저귀 및 팬티 포함)은 요실금을 관리하는 가장 잘 알려진 제품 유형이다. 이들은 약국과 슈퍼마켓에서 널리 구할 수 있다. 이러한 제품을 사용하는 것의 장점은 의료 전문가의 특별한 맞춤이나 소개가 거의 필요하지 않다는 것이다. 흡수성 제품의 단점은 부피가 크고, 새고, 냄새가 나며, 지속적인 습기로 인해 피부가 손상될 수 있다는 것이다.
- 간헐적 카테터는 비울 때 방광에 삽입하여 비운 후 제거하고 폐기하는 일회용 카테터이다. 간헐적 카테터는 주로 요저류(방광을 비울 수 없음)에 사용되지만, 일부 사람들에게는 요실금을 줄이거나 피하는 데 사용할 수 있다. 이는 처방전이 필요한 의료 기기이다.
- 영구 도뇨관(폴리라고도 함)은 종종 병원 환경에서 사용되거나, 사용자가 위에 언급된 해결책을 스스로 처리할 수 없는 경우(예: 심각한 신경학적 손상 또는 신경 퇴행성 질환)에 사용된다. 이것 또한 처방전이 필요한 의료 기기이다. 영구 도뇨관은 일반적으로 다리에 착용하거나 침대 옆에 걸 수 있는 소변 주머니에 연결된다. 영구 도뇨관은 의료 전문가가 정기적으로 모니터링하고 교체해야 한다. 영구 도뇨관의 장점은 소변이 신체에서 멀리 흘러나가기 때문에 피부가 건조하게 유지된다는 것이다. 그러나 단점은 영구 도뇨관을 사용할 때 요로 감염이 발생하는 것이 매우 흔하다는 것이다. 방광 경련 및 기타 문제도 영구 도뇨관의 장기 사용으로 인해 발생할 수 있다.[56]
- 음경 압박기(또는 음경 압축 장치)는 자연적인 요도 괄약근의 오작동을 보상하기 위해 요도를 압박하여 방광에서 누출을 방지한다.[57] 이 관리 솔루션은 가볍거나 중간 정도의 요실금에만 적합하다.
- 여성용 질내 삽입기는 질에 삽입하는 장치이다. 이 장치는 그 바로 앞을 지나가는 요도를 지지하여 더욱 단단히 닫히도록 한다.
요실금을 치료하기 위해 페소테로딘, 톨테로딘, 옥시부티닌 등의 여러 약물이 존재한다.[58] 이 약물들은 방광의 평활근을 이완시켜 작용한다.[59][60][61] 이러한 약물 중 일부는 약간의 효과가 있는 것으로 보이지만, 부작용의 위험이 우려된다.[58] 약물은 10명 중 약 1명에게 효과적이며, 모든 약물은 비슷한 효능을 보인다.[58]
약물은 긴장성 요실금 환자에게는 권장되지 않으며, 방광 훈련으로 개선되지 않는 절박성 요실금 환자에게만 권장된다.[48] 약물이 요실금 치료에 도움이 되는 것으로 나타났지만, 연구에 따르면 요실금에 가장 효과적인 1차 치료법은 행동 치료이다.[78] 주사형 증량제는 요도 지지력을 강화하는 데 사용될 수 있지만, 그 효과는 불분명하다.[62][63]
6. 2. 수술적 치료
수술은 최적의 보존적 치료에도 불구하고 지속적인 요실금이 있는 여성과 남성에게 선택지가 될 수 있다. 수술은 복압성 요실금 또는 과다 활동 방광을 치료하는 데 사용될 수 있다.[8] 복압성 요실금에 대한 일반적인 수술 기법에는 슬링, 무장력 질 테이프, 방광 현탁, 인공 요도 괄약근 등이 있다.[8] 수술 후 항생제를 예방적으로 복용하는 것이 수술 후 감염 위험을 줄이는 데 도움이 되는지는 불분명하다.[64]질 내 메쉬 임플란트와 방광 슬링의 사용은 질 침식과 같은 쇠약성 통증 부작용의 위험 때문에 논란의 여지가 있다.[65] 2012년에는 질 내 메쉬 임플란트가 미국 식품의약국(US Food and Drug Administration)에 의해 고위험 장치로 분류되었다.[66] 요역학 검사는 수술을 통한 자궁 탈출 복원이 운동성 절박성 요실금을 치료할 수 있다는 것을 확인해 주는 것으로 보인다.
전통적인 요도 하 슬링 수술은 개복 복강경 치골 질 고정술보다 약간 더 나은 효과를 보이며 여성의 요실금 감소에 있어서 중간 요도 슬링 수술보다 약간 덜 효과적일 수 있지만, 다양한 유형의 전통적인 요도 하 슬링 수술 중 어느 것이 다른 것보다 더 나은지는 아직 불확실하다.[67] 마찬가지로 여성의 요실금에 대한 단일 절개 슬링 수술의 효과나 안전성에 대해 확신할 수 있는 장기적인 증거가 부족하다.[68] 전통적인 요도 하 슬링은 최소 침습 슬링보다 수술 합병증의 위험이 더 높을 수 있지만, 다른 유형의 수술에 비해 합병증의 위험이 여전히 불확실하다.[67]
봉합사를 이용한 복강경 수술 치골 질 고정술(복부를 통한 열쇠 구멍 수술)은 수술 후 최대 18개월까지 여성의 요실금을 치료하는 데 개복 치골 질 고정술만큼 효과적이지만, 수술 중 또는 수술 후에 합병증 위험이 더 적은지는 불분명하다.[69] 개복 복강경 치골 질 고정술보다 전통적인 요도 하 슬링의 합병증 위험이 더 높을 수 있다.[69]

인공 요도 괄약근은 주로 남성의 복압성 요실금을 치료하는 데 사용되는 이식형 장치이다. 이 장치는 2~3개의 부분으로 구성된다. 펌프, 커프, 풍선 저장조가 특수 튜브로 서로 연결되어 있다. 커프는 요도를 감싸고 닫는다. 소변을 보고 싶을 때, 사람은 펌프(음낭에 이식됨)를 눌러 커프를 팽창시키고 소변이 통과하도록 한다. 커프는 몇 분 안에 압력을 회복하여 요실금을 회복한다.[70] 유럽 비뇨기과 학회는 인공 요도 괄약근을 전립선 절제술 후 남성의 복압성 요실금 수술적 관리의 표준으로 간주한다.[71]
진성 요실금(真性尿失禁)은 요로 이상으로 인한 요실금이다. 요도 외 요실금이라고도 한다. 원인은 요관 이소 개구, 방광 질루 등이다. 근본적인 치료법으로 수술 요법을 시행한다. 수술은 요로 재건술을 시행한다. 또한, 인공 요도 괄약근을 삽입하는 수술 요법도 있다.
이류성 요실금(溢流性尿失禁)은 소변이 방광에 다 채워지지 않고 넘쳐흐르는 요실금이다. 기이성 요실금(奇異性尿失禁)이라고도 한다. 신경인성 방광이나 전립선 비대 등이 원인이 된다. 50세 이상의 남성에게서 많이 나타난다. 신경인성 방광이나 전립선 비대 등이 원인이 된다. 전립선 비대의 경우에는 근본적인 치료법으로 수술 요법을 시행한다.
7. 역학
요실금은 남성보다 여성에게서 발생 빈도가 높으며, 대한민국 여성의 40%가 요실금을 경험한다. 모든 연령에서 발생할 수 있으나 연령이 증가할수록 빈도가 증가한다.[89] 전 세계적으로 60세 이상 인구의 최대 35%가 요실금으로 추정된다.[72]
방광 조절 문제는 우울증 발병률을 높이고 활동 수준을 제한한다.[76] 요실금은 개인에게는 방광 조절 제품 형태로, 의료 시스템 및 요양원 산업에는 관련 부상으로 인해 비용이 많이 든다. 요양 시설 및 간병 시설 입원의 주요 원인이며, 1997년에는 요양 시설 입원의 50% 이상이 요실금과 관련이 있었다.[77]
비임신 여성의 약 17%는 요실금을 겪고 있으며, 가장 흔한 유형은 긴장성, 절박성 및 혼합성 요실금이다.[78] 60세 이상 여성은 남성에 비해 요실금을 경험할 가능성이 두 배 더 높으며, 60세 이상 여성 3명 중 1명이 방광 조절 문제를 겪는 것으로 추정된다.[72] 여성이 더 큰 영향을 받는 이유 중 하나는 골반저 근육이 임신으로 인해 약해지기 때문이다.[80]
남성은 여성보다 요실금을 경험하는 경우가 적으며, 이는 남성의 요로계 구조가 다르기 때문이다. 전립선암 치료 후에는 긴장성 요실금이 흔하게 나타난다. 2007년경 미국에서 60세 이상 남성의 17%(약 60만 명)가 요실금을 경험했으며, 이 비율은 나이가 들수록 증가했다.[81]
5세 이후에는 요실금 발생 빈도가 줄어든다. 5세 어린이의 약 10%, 10세 어린이의 5%, 18세 청소년의 1%가 요실금 증상을 경험하며, 남아보다 여아에게서 두 배 더 흔하게 나타난다.[82]
8. 사회적 문제 및 법률
요실금은 사회적 또는 위생적으로 문제를 일으킬 수 있다.[89] 역사적으로 서양 문화에서 금기시되는 주제였으나, 1980년대 킴벌리-클라크가 배우 준 앨리슨을 대변인으로 내세워 성인용 기저귀를 적극적으로 마케팅하면서 상황이 다소 변화했다. 앨리슨은 처음에는 참여를 꺼렸지만, 요실금 환자였던 어머니가 성공적인 경력을 감안할 때 그것이 그녀의 의무라고 설득했다. 이 제품은 성공을 거두었다.[84]
2011년 미국 미주리 서부 지방 법원의 ''Hiltibran 외 v. Levy 외'' 사건에서 법원은 메디케이드의 지원을 받는 요실금 팬티를 미주리 주가 요실금 팬티 없이는 시설에 입소해야 하는 성인에게 제공하도록 명령을 내렸다.[85][86]
9. 연구 동향
뇌졸중으로 인해 요실금을 겪는 사람들에게는 물리 치료, 인지 치료, 보완 의학, 숙련된 의료 전문가와의 특수 중재 등의 치료법이 제안되기도 하지만, 이러한 치료법이 요실금 개선에 얼마나 효과적인지는 명확하지 않다. 임상 진료를 안내할 강력한 의학적 증거는 없다.[20]
참조
[1]
서적
Nursing diagnosis handbook : an evidence-based guide to planning care
Mosby
[2]
웹사이트
Urinary Incontinence in Older Adults
https://www.nia.nih.[...]
2018-03-18
[3]
서적
Taber's cyclopedic medical dictionary
F.A. Davis
[4]
웹사이트
Enuresis
http://www.medicaldi[...]
[5]
간행물
"My bladder and bowel own my life." A collaborative workshop addressing the need for continence research.
https://gutscharity.[...]
Guts UK
[6]
웹사이트
Urinary incontinence fact sheet
https://www.womenshe[...]
Womenshealth.gov
2016-12-05
[7]
웹사이트
Medicinewise News
http://www.nps.org.a[...]
2013-09-24
[8]
서적
Mayo Clinic internal medicine concise textbook
https://books.google[...]
Mayo Clinic Scientific Press
2008
[9]
서적
Pelvic Floor Disorders: Surgical Approach
https://www.worldcat[...]
Springer
2013-11-19
[10]
논문
Pharmacologic and Nonpharmacologic Treatments for Urinary Incontinence in Women: A Systematic Review and Network Meta-analysis of Clinical Outcomes
2019-04
[11]
논문
Nonsurgical Treatments for Urinary Incontinence in Adult Women: Diagnosis and Comparative Effectiveness
https://www.ncbi.nlm[...]
Agency for Healthcare Research and Quality (US)
2012-04
[12]
논문
Chronic hydrocephalus in adults
2004-07
[13]
웹사이트
American Urological Association - Medical Student Curriculum: Urinary Incontinence
http://www.auanet.or[...]
2018-01-11
[14]
웹사이트
Urinary incontinence - Causes
https://www.nhs.uk/c[...]
2020-05-08
[15]
논문
Prevalence of postpartum urinary incontinence: a systematic review
2010-12
[16]
보고서
Nonsurgical Treatments for Urinary Incontinence in Women: A Systematic Review Update
https://www.pcori.or[...]
Agency for Healthcare Research and Quality (AHRQ)
2018-08-08
[17]
웹사이트
Urinary Incontinence in Men
https://www.uptodate[...]
2020-05-08
[18]
논문
Effectiveness of preoperative pelvic floor muscle training for urinary incontinence after radical prostatectomy: a meta-analysis
2014-12
[19]
웹사이트
Pathophysiology of Polyuria
http://www.merck.com[...]
2022-12
[20]
논문
Interventions for treating urinary incontinence after stroke in adults
2019-02
[21]
논문
Urinary bladder contraction and relaxation: physiology and pathophysiology
2004-07
[22]
논문
Anatomy and physiology of urinary continence
1990-06
[23]
논문
The pathophysiology of stress urinary incontinence in women and its implications for surgical treatment
1997-10-01
[24]
웹사이트
Overactive Bladder (OAB): Symptoms, Diagnosis & Treatment
https://www.urologyh[...]
2020-05-08
[25]
웹사이트
Evaluation of Females with Urinary Incontinence
https://www.uptodate[...]
2023-08-02
[26]
웹사이트
Urinary incontinence: MedlinePlus Medical Encyclopedia
https://medlineplus.[...]
U.S. National Library of Medicine
2021-03-31
[27]
웹사이트
Overflow Incontinence
https://www.uofmheal[...]
2020-05-08
[28]
웹사이트
Functional incontinence
http://www.health.go[...]
Australian Government Department of Health and Ageing
2008-08-29
[29]
논문
Ureterovaginal fistula detected by vaginogram
1981-09
[30]
논문
Stress urinary incontinence in pregnant women: a review of prevalence, pathophysiology, and treatment
2013-06
[31]
논문
Prevention of urinary and fecal incontinence in adults
2007-12
[32]
웹사이트
Female Urinary Incontinence During Sexual Intercourse (Coital Incontinence): A Review
http://www.femalepat[...]
[33]
논문
Urinary Incontinence: Screening Recommendation from the WPSI
https://www.aafp.org[...]
2019-02
[34]
논문
Screening for Urinary Incontinence in Women: A Recommendation From the Women's Preventive Services Initiative
2018-09
[35]
논문
Screening for Urinary Incontinence in Women: A Systematic Review for the Women's Preventive Services Initiative
2018-09
[36]
웹사이트
Bladder retraining
http://www.ichelp.or[...]
2012-07-13
[37]
논문
Clinical audit of the use of tension-free vaginal tape as a surgical treatment for urinary stress incontinence, set against NICE guidelines
2004-08
[38]
논문
Adverse Events Associated with Nonsurgical Treatments for Urinary Incontinence in Women: a Systematic Review
2019-08
[39]
논문
Conservative interventions for treating urinary incontinence in women: an Overview of Cochrane systematic reviews
2022-09
[40]
논문
Lifestyle interventions for the treatment of urinary incontinence in adults
2015-12
[41]
논문
Urinary Incontinence: What Pharmacists Should Know
2018-02
[42]
웹사이트
Treatment for Incontinence
https://www.beaumont[...]
2018-10-19
[43]
논문
Practical aspects of lifestyle modifications and behavioural interventions in the treatment of overactive bladder and urgency urinary incontinence
2009-08
[44]
논문
Weight loss with bariatric surgery or behaviour modification and the impact on female obesity-related urine incontinence: A comprehensive systematic review and meta-analysis
https://pure.ulster.[...]
2021-08
[45]
논문
Effectiveness of Physiotherapy Treatment for Urinary Incontinence in Women: A Systematic Review
2019-04
[46]
논문
Pelvic floor physical therapy in the treatment of pelvic floor dysfunction in women
2019-12
[47]
논문
Pelvic floor involvement in male and female sexual dysfunction and the role of pelvic floor rehabilitation in treatment: a literature review
2007-01
[48]
논문
Nonsurgical management of urinary incontinence in women: a clinical practice guideline from the American College of Physicians
2014-09
[49]
웹사이트
How to Use Vaginal Weights
http://www.nationali[...]
National Incontinence
2012-09-04
[50]
논문
Weighted vaginal cones for urinary incontinence
2013-07
[51]
논문
Biofeedback-assisted pelvic floor muscle training and pelvic electrical stimulation in women with overactive bladder: A systematic review and meta-analysis of randomized controlled trials
2022-08
[52]
논문
Electrical stimulation with non-implanted devices for stress urinary incontinence in women
2017-12
[53]
논문
There is not yet strong evidence that exercise regimens other than pelvic floor muscle training can reduce stress urinary incontinence in women: a systematic review
2013-09
[54]
논문
Mechanical devices for urinary incontinence in women
2014-12
[55]
논문
Randomized, crossover study evaluating patient preference and the impact on quality of life of urisheaths vs absorbent products in incontinent men
2011-07
[56]
논문
Urinary catheter management
2000-01
[57]
논문
A historical perspective and evolution of the treatment of male urinary incontinence
2018-03
[58]
논문
Benefits and harms of pharmacologic treatment for urinary incontinence in women: a systematic review
2012-06
[59]
웹사이트
Oxybutynin Chloride Monograph for Professionals
https://www.drugs.co[...]
2019-08-05
[60]
웹사이트
Tolterodine Tartrate Tablets - FDA prescribing information, side effects and uses
https://www.drugs.co[...]
2019-08-05
[61]
웹사이트
Fesoterodine Tablets - FDA prescribing information, side effects and uses
https://www.drugs.co[...]
2019-08-05
[62]
논문
Urethral injection therapy for urinary incontinence in women
2017-07
[63]
논문
The efficacy and safety of urethral injection therapy for urinary incontinence in women: a systematic review
2016-02
[64]
논문
Prophylactic antibiotics for preventing infection after continence surgery in women with stress urinary incontinence
2022-03
[65]
웹사이트
Vaginal Mesh & Bladder Sling Complications and Lawsuits
https://www.lieffcab[...]
2018-05-10
[66]
뉴스
What does pelvic mesh do and why are women suing over it? – explainer
https://www.theguard[...]
2018-05-10
[67]
논문
Traditional suburethral sling operations for urinary incontinence in women
2020-01
[68]
논문
Single-incision sling operations for urinary incontinence in women
2023-10
[69]
논문
Laparoscopic colposuspension for urinary incontinence in women
2019-12
[70]
논문
Recent advances in surgical management of urinary incontinence
2019-07-31
[71]
논문
EAU Guidelines on Urinary Incontinence in Adults
https://uroweb.org/w[...]
[72]
논문
A community-based epidemiological survey of female urinary incontinence: the Norwegian EPINCONT study. Epidemiology of Incontinence in the County of Nord-Trøndelag
2000-11-01
[73]
웹사이트
Prevalence of Incontinence Among Older Americans
https://www.cdc.gov/[...]
2014-06-01
[74]
논문
Continence, dementia, and care that preserves dignity
https://evidence.nih[...]
2022-06-21
[75]
논문
First diagnosis and management of incontinence in older people with and without dementia in primary care: a cohort study using The Health Improvement Network primary care database
2013-08-01
[76]
논문
Urinary incontinence and depression in middle-aged United States women
2003-01-01
[77]
논문
Medically recognized urinary incontinence and risks of hospitalization, nursing home admission and mortality
1997-09-01
[78]
보고서
Nonsurgical Treatments for Urinary Incontinence in Women: A Systematic Review Update
https://effectivehea[...]
Agency for Healthcare Research and Quality (AHRQ)
2018-08-08
[79]
논문
How widespread are the symptoms of an overactive bladder and how are they managed? A population-based prevalence study
2001-06-01
[80]
뉴스
An 'Emotional Burden' Rarely Discussed
http://newoldage.blo[...]
2014-07-29
[81]
서적
Urologic Diseases in America Report
(US) National Institutes of Health
2007-01-01
[82]
서적
Pediatric incontinence - Franco - 2015 - Wiley Online Books - Wiley Online Library
[83]
서적
Urinary and fecal incontinence : an interdisciplinary approach; with 89 tables
Springer
[84]
뉴스
Now Splinter Free: How Marketing Broke Taboos
http://www.cbc.ca/ra[...]
CBC Radio One
2017-06-08
[85]
웹사이트
Recent Cases - Olmstead Rights
https://www.olmstead[...]
[86]
판결
https://www.govinfo.[...]
2011-06-24
[87]
웹사이트
最終警告!たけしの本当は怖い家庭の医学 診察室
https://www.asahi.co[...]
[88]
웹사이트
ためしてガッテン:過去の放送回
https://web.archive.[...]
[89]
문서
국가건강정보포털 의학정보
본 사이트는 AI가 위키백과와 뉴스 기사,정부 간행물,학술 논문등을 바탕으로 정보를 가공하여 제공하는 백과사전형 서비스입니다.
모든 문서는 AI에 의해 자동 생성되며, CC BY-SA 4.0 라이선스에 따라 이용할 수 있습니다.
하지만, 위키백과나 뉴스 기사 자체에 오류, 부정확한 정보, 또는 가짜 뉴스가 포함될 수 있으며, AI는 이러한 내용을 완벽하게 걸러내지 못할 수 있습니다.
따라서 제공되는 정보에 일부 오류나 편향이 있을 수 있으므로, 중요한 정보는 반드시 다른 출처를 통해 교차 검증하시기 바랍니다.
문의하기 : help@durumis.com