비후성 심근병증
"오늘의AI위키"의 AI를 통해 더욱 풍부하고 폭넓은 지식 경험을 누리세요.
1. 개요
비후성 심근병증(HCM)은 심장 근육이 비정상적으로 두꺼워지는 질환으로, 많은 환자들이 무증상이거나 경미한 증상을 보이지만 호흡 곤란, 흉통, 심계항진, 현기증, 실신 등의 증상이 나타날 수 있다. 유전적 요인이 주요 원인이며, 근절 단백질을 암호화하는 유전자 돌연변이가 HCM의 대부분을 차지한다. 진단에는 심장 초음파 검사, 심전도, 유전자 검사 등이 사용되며, 폐쇄성 HCM과 비폐쇄성 HCM으로 분류된다. 치료는 증상 완화와 급사 위험 감소를 목표로 하며, 베타 차단제, 칼슘 채널 차단제 등의 약물 치료와 외과적 중격 절제술, 알코올 중격 절제술, 승모판 클립, 이식형 심박 조율기/제세동기, 심장 이식 등의 방법이 사용될 수 있다. HCM은 고양이에게서도 흔하게 발생하며, 사람과 유사한 질병 과정을 보인다.
더 읽어볼만한 페이지
- 심근병증 - 확장성 심근병증
확장성 심근병증은 좌심실 확장과 심근 수축 기능 저하를 특징으로 하는 질환으로, 다양한 원인에 의해 발생하며 호흡 곤란, 흉통 등의 증상을 보이고 약물, 전기적, 외과적 치료를 시행한다. - 심근병증 - 상심 증후군
상심 증후군은 신체적, 정신적 스트레스가 원인이 되어 흉통, 호흡 곤란, 심전도 변화 등 심근 경색과 유사한 증상을 보이는 심장 질환으로, 주로 폐경기 여성에게 발병 위험이 높고 스트레스 관리, 생활 습관 변화, 심리 치료 등으로 관리하며, 1990년대에 과학적으로 설명되고 2005년 국제적으로 알려졌다. - 상염색체 우성 질환 - 헌팅턴병
헌팅턴병은 헌팅턴 유전자 내 CAG 삼염기 반복 서열의 이상으로 인해 발생하는 진행성 신경퇴행성 질환으로, 운동, 인지, 정신 기능에 다양한 증상을 유발하며, 상염색체 우성 유전 방식으로 유전된다. - 상염색체 우성 질환 - 결절성 경화증
결절성 경화증은 뇌, 피부, 신장, 심장, 폐 등 여러 장기에 양성 종양 및 과오종을 유발하며 발작, 지적 장애, 자폐 스펙트럼 장애, 신장 혈관근종, 림프관평활근종증 등의 증상을 보이는 상염색체 우성 유전 질환으로, 임상적 특징과 유전자 검사를 통해 진단하고 증상 완화 및 합병증 관리를 위한 다학제적 치료가 필요하다.
| 비후성 심근병증 | |
|---|---|
| 일반 정보 | |
![]() | |
| 진료 분야 | 심장학 |
| 기타 명칭 | 비대칭 중격 비후 (Asymmetric septal hypertrophy) 특발성 비후성 대동맥판하 협착 (idiopathic hypertrophic subaortic stenosis) 비후성 폐쇄성 심근병증 (hypertrophic obstructive cardiomyopathy, HOCM) |
| 증상 | |
| 주요 증상 | 피로감 다리 부종 (leg swelling) 호흡 곤란 흉통 실신 |
| 합병증 | |
| 주요 합병증 | 심부전 불규칙한 심장 박동 심정지 |
| 원인 | |
| 주요 원인 | 유전 파브리병 프리드리히 운동실조 특정 약물 |
| 진단 | |
| 진단 방법 | 심전도 심초음파 부하 검사 유전자 검사 |
| 감별 진단 | |
| 유사 질환 | 고혈압성 심장 질환 대동맥 협착 운동선수 심장 |
| 예방 | |
| 예방 방법 | 알려진 예방 방법 없음 |
| 치료 | |
| 치료 방법 | 약물 삽입형 심장 제세동기 수술 (대동맥판막 상부 중격근 절제술) |
| 투약 | 베타 차단제 베라파밀 디소피라미드 |
| 예후 | |
| 사망 위험 | 치료 시 연간 사망 위험 1% 미만 |
| 빈도 | |
| 발생 빈도 | 최대 200명 중 1명 |
2. 징후 및 증상
많은 환자들이 무증상이거나 증상이 경미하며, HCM 질병 유전자를 가진 많은 사람들은 임상적으로 감지 가능한 질병을 가지고 있지 않다.[38] HCM의 증상에는 심실의 경직 및 혈액 충전 감소로 인한 호흡 곤란, 관상 동맥으로의 혈류 감소로 인한 운동성 흉통(때로는 협심증이라고 함), 심장 박동에 대한 불편한 인식(심계항진), 비정상적인 심장 근육을 통과하는 전기 시스템의 장애, 현기증, 쇠약, 실신 및 돌연 심장사가 포함된다.[15][16]
비후성 심근병증은 대부분 상염색체 우성 형질로 유전되며, 근절 단백질을 암호화하는 여러 유전자 중 하나의 돌연변이가 원인이다.[23][3] 진단받은 사람의 약 50~60%는 최소 9개의 근절 유전자 중 하나에서 돌연변이가 발견된다. 이 중 약 40%는 염색체 14 q11.2-3의 β-미오신 중쇄 유전자에서, 또 다른 40%는 심장 미오신 결합 단백질 C 유전자에서 발생한다. 비후성 심근병증은 일반적으로 상염색체 우성 형질이므로, 부모 중 한 명이 질환을 앓고 있을 경우 자녀가 질병 유발 돌연변이를 물려받을 확률은 50%이다. 가족 특이 유전자 검사를 통해 질병 위험이 있는 친척을 식별할 수 있지만, 임상적 심각도와 발병 연령은 예측하기 어렵다.[24]
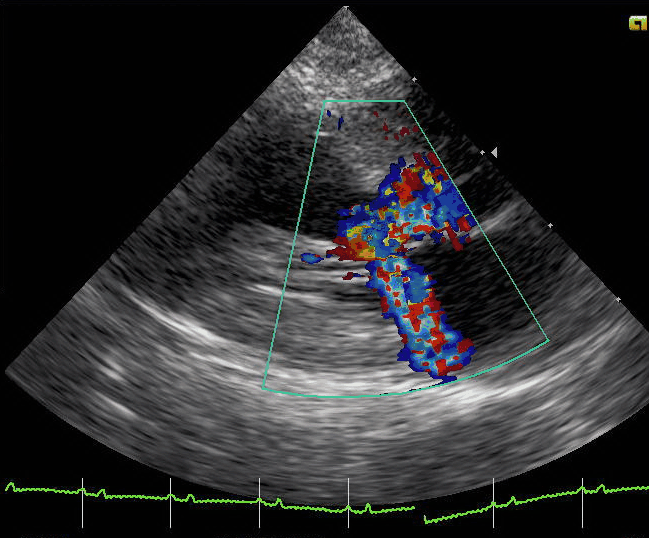
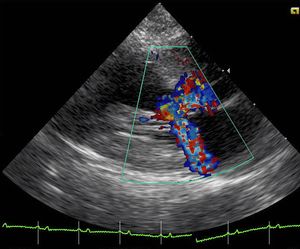
심실 비대는 좌심실 유출로(LVOT)를 가로지르는 역동적인 압력 기울기를 유발하며, 이는 수축기 동안 유출로의 추가적인 협착과 관련이 있다. 승모판 엽이 중격 쪽으로 당겨지면서 유출 폐쇄에 기여한다. 이러한 당김은 여러 제안된 메커니즘에 의해 발생한다고 생각되는데, 좁아진 유출로를 통과하는 혈류가 더 높은 속도를 갖게 되고, 벤투리 효과를 통해 압력이 낮아지기 때문이다.[16] 이 낮은 압력은 승모판의 전방 엽을 유출로로 당기게 하여 추가적인 폐쇄를 유발한다.[31]
비후성 심근병증의 진단은 심장 초음파 검사, 심장 도관술, 심장 MRI 등을 통해 이루어진다. 심전도(ECG), 유전자 검사(주로 진단에 사용되지는 않음),[50] HCM 가족력 또는 건강한 개인의 설명되지 않는 급사 등도 진단에 중요한 고려 사항이다.
호흡 곤란은 주로 좌심실의 두께 증가로 인해 발생하며, 이는 심실의 충전을 방해한다. 또한 좌심실 유출을 막는 심실 중격의 두께 증가로 인해 좌심실과 좌심방의 압력이 상승하여 폐의 압박 및 간질 울혈을 유발한다. 증상은 유출로 구배의 존재 또는 심각도와 밀접한 관련이 없다.[17] 종종, 증상은 울혈성 심부전의 증상과 유사하지만(특히 활동 불내성 및 호흡 곤란), 각 질환의 치료법은 다르다. 베타 차단제는 두 경우 모두 사용되지만, 이뇨제 치료는 심실 전 부하량을 감소시키고, 이로 인해 유출 저항을 증가시켜(두꺼워진 막힌 조직을 밀어낼 혈액이 적어짐) 비후성 폐쇄성 심근병증의 증상을 악화시킨다.[18]
HCM 환자의 돌연사의 주요 위험 요소에는 심정지 또는 심실 세동의 병력, 자발적인 지속성 심실 빈맥, 비정상적인 운동 혈압 및 비지속성 심실 빈맥,[19][20] 설명되지 않는 실신, 조기 돌연사의 가족력, 그리고 심초음파에서 15mm에서 30mm 이상인 좌심실벽(LVW) 두께가 포함된다.
HCM은 또한 감소된 전 부하(발살바 수기 또는 기립과 같이) 또는 감소된 후 부하(혈관 확장제 투여와 같이)에 따라 강도가 증가하는 수축기 사출 심잡음을 나타낸다. 반면에, 잡음의 강도는 증가된 전 부하(쪼그리고 앉기와 같이) 또는 증가된 후 부하(악력 수기와 같이)에 따라 감소한다.[16] "스파이크 앤 돔" 맥박과 "트리플 리플 심첨 맥박"은 신체 검사에서 발견될 수 있는 다른 두 가지 징후이다.[21]
맥파 이중화는 검사 중에 가끔 발견될 수 있다.[22]
3. 유전학
안지오텐신 전환 효소 (ACE) 유전자의 삽입/삭제 다형성은 질병의 임상적 표현형을 변화시킨다. ACE의 D/D(삭제/삭제) 유전자형은 좌심실 비대를 더 심화시키고, 더 위험한 결과를 초래할 수 있다.[25][26]
현재까지 비후성 심근병증을 유발하는 것으로 알려진 유전자에서 1400개 이상의 돌연변이가 확인되었다.[27] MYH7 유전자 돌연변이는 질병 발병 연령이 더 빠르고 증상이 더 심각하다.[29] 트로포닌 T 돌연변이는 과거 40세 이전 50% 사망률과 관련이 있었으나, 최근 연구에서는 다른 근절 단백질 돌연변이와 유사한 위험도를 보였다.[28] 트로포닌 C의 돌연변이는 심장 근육의 힘 발달에 대한 Ca+2 감수성을 변화시킬 수 있으며, A8V, A31S, C84Y, D145E와 같이 돌연변이가 발생한 위치와 아미노산 변화를 따라 이름이 붙여진다.[30]유전자 유전자좌 유형 MYH7 14q12 CMH1 TNNT2 1q32 CMH2 TPM1 15q22.1 CMH3 MYBPC3 11p11.2 CMH4 ? ? CMH5 PRKAG2 7q36 CMH6 TNNI3 19q13.4 CMH7 MYL3 3p CMH8 TTN 2q24.3 CMH9 MYL2 12q23-q24 CMH10 ACTC1 15q14 CMH11 CSRP3 11p15.1 CMH12
4. 병태 생리
5. 진단
심장 MRI는 약 60~70%의 환자에게서 심실 중격 하부의 15mm 이상 비후를 보인다. T1 강조 영상은 심장 조직의 흉터를, T2 강조 영상은 심장 조직의 부종 및 염증을 식별하여 흉통 및 실신 에피소드의 급성 임상 증상과 관련하여 진단에 도움을 준다.[32]
심전도(ECG)는 가장 민감한 진단 검사 중 하나로,[16] 좌심실 비대와 우심방 확장의 조합은 HCM을 강력하게 시사한다.[16]
가족성 비대성 심근증은 상염색체 우성 형질로 유전되며, 근절 단백질을 암호화하는 여러 유전자 중 하나의 돌연변이에 기인한다. HCM 환자의 약 50~60%는 최소 9개의 근절 유전자 중 하나에서 돌연변이가 확인된다. 이 중 약 40%는 염색체 14 q11.2-3의 β-미오신 중쇄 유전자에서, 약 40%는 심장 미오신 결합 단백질 C 유전자에서 발생한다. 부모 중 한 명에게서 질병을 유발하는 돌연변이를 물려받을 확률은 50%이다. 유전자 검사를 통해 질병 위험이 있는 친척을 식별할 수 있지만, 임상적 심각도와 발병 연령은 예측할 수 없다.[24] HCM을 유발하는 유전자에서는 1400개 이상의 돌연변이가 확인되었다.[27]유전자 유전자좌 유형 MYH7 14q12 CMH1 TNNT2 1q32 CMH2 TPM1 15q22.1 CMH3 MYBPC3 11p11.2 CMH4 ? ? CMH5 PRKAG2 7q36 CMH6 TNNI3 19q13.4 CMH7 MYL3 3p CMH8 TTN 2q24.3 CMH9 MYL2 12q23-q24 CMH10 ACTC1 15q14 CMH11 CSRP3 11p15.1 CMH12
5. 1. 변이형
비후성 심근병증(HCM)의 폐쇄성 변이형은 비대성 폐쇄성 심근병증(HOCM)이며, 과거에는 특발성 비대성 상심실하 협착증(IHSS) 또는 비대칭적 중격 비대(ASH)로 불렸다.[34] 좌심실 유출로 폐쇄는 일반적으로 심초음파 평가를 통해 진단되며, 최고 좌심실 유출로 기울기가 30 mmHg 이상인 경우로 정의된다.[33]
HCM의 또 다른 비폐쇄성 변이형으로는 심첨부 비대성 심근병증(AHCM 또는 ApHCM)이 있으며,[35] 야마구치 증후군이라고도 불린다. 이는 일본계 사람들에게서 처음 발견되었다.[36] 야마구치 증후군은 유럽 인구에서는 흔하지 않은 HCM의 변종이다. ApHCM은 상염색체 우성 유전으로 추정되며, 대부분 근절을 암호화하는 유전자에서 돌연변이가 발생한다. 심장 조직의 두꺼운 미세 섬유에서 주요 유전자 돌연변이는 "미오신 결합 단백질 C (MYBPC3)" 및 "미오신 중쇄 (MYH7)"에서 나타난다. 심근 경색, 심방 세동, 심실 세동, 색전증 및/또는 울혈성 심부전은 이 질환의 잠재적 결과이다. 청진 시 네 번째 심장음(S4) 존재, 특히 흉부 유도에서 심전도상 깊은 음성 T파, 좌심실조영술 및 2D 에코에서 확장기 말 좌심실의 "삽 모양" 구조는 심첨부 HCM의 일반적인 징후이다. 때때로 심전도와 임상 증상이 급성 관상 동맥 증후군으로 오인될 수 있다. 심첨부 HCM은 다른 HCM 변종 유형보다 사망률이 낮고 예후가 더 좋은 편이다.[37]
5. 2. 심장 도관술
심장 카테터 삽입술을 통해 좌심실과 상행 대동맥에 카테터를 삽입하여 이 구조들 간의 압력 차이를 측정할 수 있다. 정상인의 경우, 심실 수축기 동안 상행 대동맥과 좌심실의 압력은 같아지고, 대동맥 판막은 열린다. 대동맥 협착증이 있거나 유출로 구배가 있는 HCM 환자의 경우, 좌심실과 대동맥 사이에 압력 구배(차이)가 발생하며, 좌심실 압력이 대동맥 압력보다 높다. 이 구배는 좌심실에서 혈액을 배출하기 위해 극복해야 하는 폐쇄의 정도를 나타낸다.
브로켄브로-브라운왈드-모로우 징후는 유출로 구배가 있는 HCM 환자에서 관찰된다. 이 징후는 HCM과 대동맥 협착증을 구별하는 데 사용될 수 있다. 대동맥 협착증 환자는 조기 심실 수축 (PVC) 후, 다음 심실 수축이 더 강력해지고, 좌심실에서 생성되는 압력이 더 높아진다. 협착된 대동맥 판막이 나타내는 고정된 폐쇄로 인해, PVC 후 상행 대동맥 압력도 증가한다. 그러나 HCM 환자의 경우, 폐쇄 정도가 PVC 후 박동에서 수축력이 증가하는 것보다 더 많이 증가한다. 그 결과 좌심실 압력이 증가하고 상행 대동맥 압력이 ''감소''하여 LVOT 구배가 증가한다.
브로켄브로-브라운왈드-모로우 징후는 동시 심장 내 및 대동맥 내 카테터를 사용하여 가장 극적으로 나타나지만, HCM 환자의 PVC 후 박동에서 맥압 감소로 일반적인 신체 검사에서도 확인할 수 있다.
6. 선별 검사
비후성 심근병증(HCM)은 증상이 없는 경우가 많아 조기 진단이 중요하다. 특히 가족력이 있거나 운동선수의 경우 정기적인 선별 검사가 필요하다. HCM은 미국 젊은 운동선수의 급성 심장사의 주요 원인 중 하나이며, 가장 흔한 유전성 심혈관 질환이다.[7]
HCM 진단에는 심장 초음파 검사, 심장 도관술, 심장 MRI 등이 사용될 수 있다. 심전도(ECG)는 가장 민감한 진단 검사로, 좌심실 비대와 우심방 확장의 조합은 HCM을 강력하게 시사한다.[16] 심장 초음파 검사는 80% 이상의 정확도로 HCM을 감지할 수 있다.[43] 심장 자기 공명 영상(CMR)은 좌심실벽의 물리적 특성을 결정하는 데 있어 가장 정확한 방법으로 간주되며, 심장 초음파 검사 결과가 불확실할 경우 사용될 수 있다.[44]
1982년 운동선수를 대상으로 한 정기적인 심장 선별 검사가 도입된 이후, 이탈리아 베네토 지역의 젊은 경쟁 운동선수의 급성 심장사 발생률은 89% 감소했다.[40] 2010년 연구에 따르면 HCM 환자 전체의 급성 심장사 발생률은 1% 이하로 감소했다.[41] 심장 질환으로 진단받은 사람은 일반적으로 경쟁적인 운동을 피하도록 권고받는다.[42]
가족성 비대성 심근증은 상염색체 우성 형질로 유전되며, 근절 단백질을 암호화하는 여러 유전자 중 하나의 돌연변이에 기인한다. HCM 부모에게서 태어난 자녀는 질병을 유발하는 돌연변이를 물려받을 확률이 50%이다. 이러한 돌연변이가 확인되면, 가족 특이 유전자 검사를 사용하여 질병 위험이 있는 친척을 식별할 수 있지만, 임상적 심각도와 발병 연령은 예측할 수 없다.[24]
6. 1. 미국
미국에서는 비후성 심근병증(HCM)에 대한 정기적인 선별 검사와 관련하여 몇 가지 문제점이 제기되고 있다.[46] 미국의 운동선수는 약 1,500만 명으로 이탈리아보다 거의 두 배나 많다.[46] HCM으로 인한 사망은 연간 100명 미만, 즉 운동선수 22만 명당 약 1명 꼴로 드물게 발생한다.[47][48] 유전자 검사가 확정적인 진단을 제공할 수 있지만, HCM을 유발하는 돌연변이가 많아 복잡하고 비용 효율성이 떨어진다.[38]이러한 이유로 미국의 유전자 검사는 HCM 증상이 명확한 개인과 그 가족으로 제한된다. 이는 심실 비대증의 다른 원인을 감지하는 데 검사가 낭비되지 않도록 하고, 가족 구성원에게 돌연변이 유전자 보균 가능성에 대한 정보를 제공하기 위함이다.[49]
6. 2. 캐나다
캐나다에서는 가족 구성원 선별을 위한 목적으로 유전자 검사를 시행하고 있으며, 진단 확정이나 위험 평가를 위한 유전자 검사는 권장하지 않는다.[24]7. 치료
비후성 심근병증(HCM)의 치료는 증상 완화와 합병증 예방을 목표로 한다. 치료 방법에는 약물 치료, 외과적 중격 절제술, 알코올 중격 절제술, 심박 조율기/제세동기 삽입, 심장 이식 등이 있다.
- 약물 치료: 베타 차단제가 1차 치료제로 사용되며, 심박수를 늦추고 심실성 기외수축 가능성을 줄인다.[16] 베타 차단제에 내성이 없는 환자에게는 베라파밀과 같은 비디히드로피리딘 칼슘 채널 차단제를 사용할 수 있지만, 저혈압이나 심한 숨가쁨이 있는 환자에게는 주의해야 한다. 디히드로피리딘 칼슘 채널 차단제는 폐색이 있는 환자에게는 피해야 한다. 위의 치료로 증상이 완화되지 않는 경우 디소피라미드를 추가로 고려할 수 있다. 이뇨제는 과부하 증거가 있는 경우 고려할 수 있지만, 폐색이 있는 경우에는 주의해야 한다. 정맥 내 페닐에프린(또는 다른 순수 혈관 수축제)은 폐색성 비후성 심근병증 환자 중 수액 투여에 반응하지 않는 저혈압의 급성 상황에서 사용할 수 있다.[10]
- 심장 미오신 억제제: 좌심실 수축력을 감소시키는 약물로, 마바캄텐은 좌심실 유출로 기울기를 감소시키고 증상을 개선하여 2022년 4월 미국에서 승인되었다.[52] 아피캄텐은 뉴욕 심장 협회(NYHA) 기능적 분류 II 또는 III 심부전 환자에서 운동 능력을 개선하는 것으로 나타났다.[53]
- 외과적 중격 절제술: 내과적 치료에 반응하지 않는 심한 증상을 가진 환자에게 시행되는 개심술이다. 1960년대 초부터 시행되었으며,[19] 좌심실 유출로 폐색을 감소시키고 증상을 개선한다. 숙련된 의료기관에서는 수술 사망률이 1% 미만, 성공률은 85%이다.[39] 합병증으로는 사망, 부정맥, 감염, 출혈, 중격 천공/결손, 뇌졸중 등이 있다.[39]
- 알코올 중격 절제술: 1994년 울리히 지그바르트가 도입한 경피적 기법으로, 좌전하행 동맥의 중격 분지에 알코올을 주입하여 조절된 심근 경색을 유발해 심실 중격을 축소시킨다.[38][58] 외과적 절제술보다 덜 침습적이며, 고령자나 기타 의학적 문제가 있는 환자에게 유용할 수 있다.[38][58]
- 승모판 클립: 2013년부터 사용된 카테터 삽입 장치로, 승모판 엽을 고정하여 혈류 유출을 개선한다.[60][61] 중격 절제술이나 알코올 중격 절제술만큼 장기적인 신뢰성은 확보되지 않았지만, 덜 침습적인 치료 옵션으로 제공되고 있다.
- 심박 조율기/제세동기: 심박 조율기는 좌심실의 비동기 수축을 유발하여 좌심실 유출로 압력 경사를 감소시킬 수 있지만, 외과적 절제술보다 효과가 적다.[62] 이식형 제세동기(ICD) 또는 심박 조율기/ICD 결합 장치는 급성 심장사 위험이 높은 환자에게 권장된다.[10][19][63][64]
소아의 경우, 치료는 질병 증상 완화와 급사 위험 감소를 목표로 하며, 질병의 이질성으로 인해 개인별 맞춤 치료가 필요하다.[68] β-차단제(예: 프로프라놀롤)는 좌심실 충만과 이완을 개선하고 급사 위험을 줄이는 데 효과적일 수 있다.[68] 칼슘 채널 차단제(베라파밀) 및 항부정맥제는 β-차단제 보조 요법으로 사용될 수 있지만, 추가 검사가 필요하다.[68]
7. 1. 무증상 환자
비후성 심근병증 환자 중 상당수는 증상이 없으며 정상적인 기대 수명을 가지지만, 특히 격렬한 활동이나 경쟁적인 운동은 피해야 한다. 무증상 환자는 급성 심장사의 위험 요인에 대한 선별 검사를 받아야 한다.[10] 안정 시 또는 유발성 유출 폐쇄가 있는 환자의 경우 탈수 또는 혈관 확장(혈관 확장제 또는 이뇨 혈압 약물 사용 등)을 유발할 수 있는 상황을 피해야 한다. 무증상 환자에게는 중격 절제술은 권장되지 않는다.[10]7. 2. 약물 치료
약물 치료의 주요 목표는 흉통, 숨가쁨, 심계항진과 같은 증상을 완화하는 것이다.[10] 베타 차단제는 심박수를 늦추고 심실성 기외수축의 가능성을 줄일 수 있어 1차 치료제로 간주된다.[16] 베타 차단제를 견딜 수 없는 사람에게는 베라파밀과 같은 비디히드로피리딘 칼슘 채널 차단제를 사용할 수 있지만, 저혈압 또는 휴식 시 심한 숨가쁨이 있는 사람에게는 잠재적으로 해로울 수 있다.[16] 이 약물은 또한 심박수를 감소시키지만, 심한 유출 폐색, 폐동맥 쐐기압 상승, 저혈압이 있는 사람에게는 주의해서 사용해야 한다. 디히드로피리딘 칼슘 채널 차단제는 폐색 증거가 있는 사람에게는 피해야 한다.[16]위의 치료법으로 증상이 완화되지 않는 사람에게는 디소피라미드를 추가로 고려할 수 있다.[16] 이뇨제는 과부하 증거가 있는 사람에게 고려할 수 있지만, 폐색 증거가 있는 사람에게는 주의해서 사용해야 한다.[16] 페닐에프린(또는 다른 순수한 혈관 수축제) 정맥 주사는 폐색성 비후성 심근병증 환자 중 수액 투여에 반응하지 않는 저혈압의 급성 상황에서 사용할 수 있다.[10]
심장 미오신 억제제는 심근 세포 사르코미어 내의 활성 액틴-미오신 가교의 수를 줄여 좌심실 수축력을 감소시킨다.[51] 마바캄텐은 좌심실 유출로 기울기(폐색의 척도)를 감소시키고 폐색성 비후성 심근병증 환자의 증상을 개선하는 것으로 나타났으며, 2022년 4월 미국에서 의료용으로 승인되었다.[52] 아피캄텐은 마바캄텐보다 반감기가 짧아 2주 이내에 정상 상태에 도달하고 넓은 치료 범위를 갖는 것으로 보이며, 뉴욕 심장 협회(NYHA) 기능적 분류 II 또는 III 심부전 환자에서 심폐 운동 검사 중 최대 산소 섭취량을 개선하고 운동 능력을 감소시키는 것으로 나타났다.[53]
약물 치료에도 증상이 지속되는 사람은 보다 침습적인 치료법을 고려할 수 있다.
7. 3. 외과적 중격 절제술
외과적 중격 절제술은 내과적 치료에 반응하지 않는 심한 증상을 가진 환자에게 시행되는 개심술이다. 1960년대 초부터 성공적으로 시행되어 왔다.[19] 외과적 중격 절제술은 좌심실 유출로 폐색을 일관되게 감소시키고 증상을 개선하며, 경험이 풍부한 의료기관에서는 수술 사망률이 1% 미만이며 85%의 성공률을 보인다.[39]이 수술은 정중 흉골 절개술(전신 마취, 흉부 개방 및 체외 순환)과 심실 중격의 일부를 제거하는 것을 포함한다.[38] 벤투리 효과를 줄이기 위해 유출로의 크기를 늘리는 데 초점을 맞춘 외과적 절제술은 승모판의 전방 잎의 수축기 전방 운동(SAM)을 없애기에 부적절할 수 있다. 이렇게 제한적인 절제술을 시행하면 잔여 중격 돌출부가 여전히 혈류를 후방으로 되돌려 SAM이 지속되기 때문이다. 중격 돌출부의 더 깊은 부분을 절제해야만 혈류가 승모판에서 멀리 떨어진 전방으로 되돌려져 SAM이 사라진다.
이를 염두에 두고 모로우 절제술을 변형한 확장 절제술, 유두근의 동원 및 부분 절제술이 최선의 절제술이 되었다.[54][55][56][57] 특히 크고 과도한 승모판을 가진 환자의 경우, 승모판과 유출로의 완전한 분리를 위해 전방 잎 주름 성형술을 추가할 수 있다.[57] 중격 절제술의 합병증으로는 사망 가능성, 부정맥, 감염, 지속적인 출혈, 중격 천공/결손 및 뇌졸중 등이 있다.[39]
7. 4. 알코올 중격 절제술
알코올 중격 절제술은 1994년 울리히 지그바르트가 도입한 경피적 기법으로, 좌전하행 동맥의 하나 이상의 중격 분지에 알코올을 주입하는 방식이다. 이는 카테터 기술을 이용해 외과적 중격 근절제술과 유사한 결과를 내지만, 전신 마취와 흉벽 및 심낭 절개가 필요 없어 덜 침습적이다.[38][58] 높은 유출로 기울기로 인한 증상이 있는 특정 환자군에서 알코올 중격 절제술은 비후성 심근병증 증상을 완화할 수 있다. 또한 수술적 근절제술이 절차적 위험을 증가시킬 수 있는 고령자 및 기타 의학적 문제가 있는 사람들도 덜 침습적인 중격 절제술의 혜택을 받을 수 있다.[38][58]알코올 중격 절제술을 제대로 수행하면 조절된 심근 경색이 유발되어 좌심실 유출로를 포함하는 심실 중격 부분이 경색되고 흉터로 수축된다. 외과적 근절제술, 알코올 중격 절제술, 약물 치료 중 어떤 것이 최적인지에 대한 논쟁이 있다.[59]
7. 5. 승모판 클립
승모판 클립은 2013년부터 심한 폐쇄성 비후성 심근병증 환자의 승모판 운동을 교정하기 위해 카테터를 통해 삽입되는 장치이다. 이 장치는 승모판 엽을 함께 고정하여 심장의 혈류 유출을 개선한다.[60][61] 중격 절제술 또는 알코올 중격 절제술과 같은 장기적인 신뢰성을 아직 확보하지는 못했지만, 비후성 심근병증 전문가들은 승모판 클립을 덜 침습적인 치료 옵션으로 점점 더 많이 제공하고 있다.7. 6. 이식형 심박 조율기 또는 제세동기
심박 조율기는 좌심실의 비동기 수축을 유발하기 위해 특정 개인에게 사용이 권장되어 왔다. 심박 조율기는 좌심실 자유벽보다 심실 중격을 먼저 활성화시키기 때문에 좌심실 유출로의 압력 경사가 감소할 수 있다. 이러한 형태의 치료는 외과적 근절제술에 비해 증상 완화 및 좌심실 유출로 압력 경사 감소 효과가 적은 것으로 나타났다.[62] 기술 발전으로 필요할 때만 켜지는 이중 챔버 심박 조율기가 개발되었다(지속적인 자극을 제공하는 일반 심박 조율기와 대조적). 이중 챔버 심박 조율기는 심실 유출로 폐쇄를 감소시키는 것으로 나타났지만, 실험 연구에서는 증상이 개선된 개인은 거의 발견되지 않았다.[45] 연구자들은 이러한 증상 개선 보고가 위약 효과 때문이라고 의심한다.[39]시술은 쇄골 아래 앞쪽 옆 부위에 절개를 가하는 것으로 시작한다. 그런 다음 두 개의 전극이 삽입되는데, 하나는 상대 정맥을 통해 우심방에, 다른 하나는 우심실 심첨에 삽입된다. 삽입 후 고정되어 흉근 앞쪽의 근막 내부에 남게 될 발생기에 연결된다.[39] 이 시술의 합병증으로는 감염, 전극 및 발생기 오작동이 있으며, 이는 교체를 필요로 한다.[39]
비후성 심근병증 환자 중 급성 심장사의 주요 위험 요인 중 하나 이상을 보이는 사람에게는 이식형 제세동기(ICD) 또는 심박 조율기/ICD가 결합된 올인원 장치가 적절한 예방 조치로 권장될 수 있다.[10][19][63][64] 2014년, 유럽 심장 학회는 이러한 위험을 계산하기 위한 실용적인 위험 점수를 제안했다.[65]
7. 7. 심장 이식
심장 이식술은 다른 모든 치료법에 반응하지 않는 경우에 선택할 수 있는 방법이자 말기 심부전의 유일한 치료법이다.[45] 그러나 이식술이 성공하려면 폐 혈관 고혈압, 신장 기능 부전, 혈전색전증과 같은 증상이 나타나기 전에 이식이 이루어져야 한다. 연구에 따르면 심장 이식 후 비후성 심근병증 환자의 7년 생존율은 94%이다.[45]8. 예후
비후성 심근병증 환자 대부분은 증상이 없거나 경미하여 정상적인 기대 수명을 가진다. 그러나 일부 환자는 심각한 증상을 겪거나 조기 사망에 이르기도 한다.[38]
HCM 환자의 돌연사 주요 위험 요소는 다음과 같다:
- 심정지 또는 심실 세동 병력
- 자발적인 지속성 심실 빈맥
- 비정상적인 운동 혈압 및 비지속성 심실 빈맥[19][20]
- 원인 불명의 실신
- 조기 돌연사 가족력
- 심초음파상 15mm~30mm 이상 좌심실벽(LVW) 두께
2002년 체계적인 검토에 따르면, 비후성 심근병증의 연간 사망률은 약 1% 정도이다. 비후성 심근병증은 중요한 증상 및 조기 사망과 관련될 수 있지만, 더 흔하게는 장애가 없거나 비교적 경미하며 정상적인 기대 수명을 보인다.[38]
9. 소아
비후성 심근병증(HCM)은 어린 나이에 나타날 수 있으며 선천적일 가능성이 높지만, 소아 심장학에서는 드물게 나타나는 심장 기형 중 하나이다. 이는 증상 발현이 보통 없거나 불완전하거나 성인기까지 지연되기 때문이다. HCM에 관한 현재 정보의 대부분은 성인 집단을 대상으로 한 연구에서 비롯되었으며, 이러한 관찰 결과가 소아 집단에 미치는 영향은 종종 불확실하다.[66] 소아 심장학 분야의 최근 연구에 따르면 HCM은 소아 심근병증의 42%를 차지하며, 소아의 연간 발병률은 10만 명당 0.47명이다.[67] 무증상인 경우, 급사는 특정 소아 집단에서 이 질환과 관련된 가장 두려운 합병증 중 하나로 여겨진다. 따라서, 질병의 추가적인 합병증을 예방하기 위해, 영향을 받은 개인의 자녀들을 소아기 내내 선별 검사하여 조기에 심장 이상을 감지하는 것이 권장된다.[66]
일반적으로 소아 집단에서 HCM 진단은 심잡음, 울혈성 심부전, 신체적 피로, 그리고 영향을 받은 개인 자녀들에 대한 유전자 검사를 통해 이루어진다.[66] 심장 초음파 검사(ECHO)는 거의 모든 소아에서 결정적인 비침습적 진단 도구로 사용되어 왔다. ECHO는 심실 크기, 벽 두께, 수축 및 이완 기능, 유출 폐쇄를 평가하므로, HCM에서 과도한 심근 벽 비후를 감지하는 이상적인 수단으로 선택되었다.[66]
HCM을 앓고 있는 소아의 경우, 치료 전략은 질병 증상을 줄이고 급사 위험을 낮추는 것을 목표로 한다.[68] 질병의 이질성으로 인해, 치료는 개인의 필요에 따라 수정된다.[68] β-차단제는 좌심실 충만과 이완을 개선하여 증상을 완화시킨다. 일부 소아에서 β-차단제(예: 프로프라놀롤)는 급사 위험을 줄이는 데 효과적인 것으로 나타났다.[68] 칼슘 채널 차단제(베라파밀) 및 항부정맥제는 증상이 있는 소아에서 β-차단제에 대한 보조 요법으로 사용될 수 있지만, 결정적인 이점을 확인하기 위해 추가 검사가 필요하다.[68]
10. 역학
비후성 심근병증(HCM)은 전 세계적으로 일반 인구의 약 0.2%에서 나타나며, 이는 성인 500명 중 1명 꼴이다.[16] 남성이 여성보다 더 흔하게 발생한다.[16] 주로 30대에 발병하지만, 신생아부터 노인까지 모든 연령대에서 나타날 수 있다.[16]
11. 다른 동물
고양이에서 비후성 심근병증(HCM)은 가장 흔한 심장 질환이다. 메인 쿤, 래그돌과 같은 특정 품종에서 이 질환의 유전적 요인이 확인되었다.[23][3] 

참조
[1]
웹사이트
Other Names for Cardiomyopathy
http://www.nhlbi.nih[...]
2016-06-22
[2]
서적
Cardiac Surgery: A Complete Guide
Springer
2022-10-20
[3]
서적
StatPearls
StatPearls Publishing
2020-09-20
[4]
웹사이트
What Is Cardiomyopathy?
https://www.nhlbi.ni[...]
2016-06-22
[5]
간행물
Diagnostic and prognostic electrocardiographic features in patients with hypertrophic cardiomyopathy
2023-05
[6]
웹사이트
What Are the Signs and Symptoms of Cardiomyopathy?
https://www.nhlbi.ni[...]
2016-06-22
[7]
간행물
Genetics of sudden cardiac death
2011-10
[8]
웹사이트
What Causes Cardiomyopathy?
https://www.nhlbi.ni[...]
2016-06-22
[9]
서적
Ferri's Clinical Advisor 2018 E-Book: 5 Books in 1
https://books.google[...]
Elsevier Health Sciences
2017-11-10
[10]
간행물
2011 ACCF/AHA guideline for the diagnosis and treatment of hypertrophic cardiomyopathy: executive summary: a report of the American College of Cardiology Foundation/American Heart Association Task Force on Practice Guidelines
2011-12
[11]
간행물
Hypertrophic cardiomyopathy: present and future, with translation into contemporary cardiovascular medicine
2014-07
[12]
웹사이트
Types of Cardiomyopathy
https://www.nhlbi.ni[...]
2016-06-22
[13]
간행물
Asymmetrical hypertrophy of the heart in young adults
1958-01
[14]
간행물
From Teare to the present day: a fifty year odyssey in hypertrophic cardiomyopathy, a paradigm for the logic of the discovery process
http://www.revespcar[...]
2017-02-06
[15]
간행물
Management of symptoms in hypertrophic cardiomyopathy
2008-01
[16]
서적
StatPearls
StatPearls Publishing
2023-10-25
[17]
서적
Braunwald's heart disease: a textbook of cardiovascular medicine
WB Saunders
[18]
간행물
Hypertrophic cardiomyopathy. Clinical spectrum and treatment
1995-10
[19]
간행물
American College of Cardiology/European Society of Cardiology clinical expert consensus document on hypertrophic cardiomyopathy. A report of the American College of Cardiology Foundation Task Force on Clinical Expert Consensus Documents and the European Society of Cardiology Committee for Practice Guidelines
2003-11
[20]
간행물
Biochemical characterisation of Troponin C mutations causing hypertrophic and dilated cardiomyopathies
2014-04
[21]
서적
Mayo Clinic Cardiology Concise Textbook and Mayo Clinic Cardiology Board Review Questions & Answers: (TEXT AND Q&A SET)
https://books.google[...]
CRC Press
2018-10-22
[22]
서적
Interventions in Structural, Valvular and Congenital Heart Disease
https://books.google[...]
CRC Press
2018-01-02
[23]
간행물
The genetics and semantics of hypertrophic cardiomyopathy
https://journal.ches[...]
2023-04-02
[24]
서적
GeneReviews
University of Washington, Seattle
2017-02-11
[25]
간행물
Progression of left ventricular hypertrophy and the angiotensin-converting enzyme gene polymorphism in hypertrophic cardiomyopathy
2004-08
[26]
간행물
Angiotensin-converting enzyme polymorphism in hypertrophic cardiomyopathy and sudden cardiac death
1993-10
[27]
간행물
Hypertrophic cardiomyopathy
2013-01
[28]
간행물
Long-term outcomes in hypertrophic cardiomyopathy caused by mutations in the cardiac troponin T gene
2012-02
[29]
간행물
Clinical outcomes associated with sarcomere mutations in hypertrophic cardiomyopathy: a meta-analysis on 7675 individuals
2018-01
[30]
간행물
Cardiac troponin structure-function and the influence of hypertrophic cardiomyopathy associated mutations on modulation of contractility
2016-07
[31]
웹사이트
Venturi effect
https://www.healio.c[...]
2023-10-25
[32]
간행물
Cardiac MR Imaging of Hypertrophic Cardiomyopathy: Techniques, Findings, and Clinical Relevance
2018-04
[33]
간행물
2020 AHA/ACC Guideline for the Diagnosis and Treatment of Patients With Hypertrophic Cardiomyopathy: A Report of the American College of Cardiology/American Heart Association Joint Committee on Clinical Practice Guidelines
2020-12
[34]
서적
Kirklin/Barratt-Boyes Cardiac Surgery E-Book
https://bookshelf.he[...]
Elsevier
2022-12-02
[35]
간행물
Apical hypertrophic cardiomyopathy
1996-07
[36]
논문
Hypertrophic nonobstructive cardiomyopathy with giant negative T waves (apical hypertrophy): ventriculographic and echocardiographic features in 30 patients
1979-09
[37]
간행물
Yamaguchi Syndrome: A Hidden Masquerader of Ischemic Heart Disease
2022-06
[38]
간행물
Hypertrophic cardiomyopathy: a systematic review
2002-03
[39]
간행물
Hypertrophic Cardiomyopathy
2002-12
[40]
간행물
Trends in sudden cardiovascular death in young competitive athletes after implementation of a preparticipation screening program
2006-10
[41]
간행물
Hypertrophic Cardiomyopathy
2010-12
[42]
간행물
Cardiac screening to prevent sudden death in young athletes
2017-07
[43]
간행물
Echocardiographic diagnosis of the different phenotypes of hypertrophic cardiomyopathy
2016-08
[44]
간행물
Structural abnormalities of the inferoseptal left ventricular wall detected by cardiac magnetic resonance imaging in carriers of hypertrophic cardiomyopathy mutations
2006-12
[45]
간행물
Current management of hypertrophic cardiomyopathy
2008-12
[46]
간행물
National electrocardiography screening for competitive athletes: Feasible in the United States?
2010-03
[47]
간행물
Sudden deaths in young competitive athletes: analysis of 1866 deaths in the United States, 1980-2006
2009-03
[48]
간행물
Prevalence of sudden cardiac death during competitive sports activities in Minnesota high school athletes
1998-12
[49]
간행물
Genetic evaluation of cardiomyopathy--a Heart Failure Society of America practice guideline
2009-03
[50]
간행물
Recommendations for the use of genetic testing in the clinical evaluation of inherited cardiac arrhythmias associated with sudden cardiac death: Canadian Cardiovascular Society/Canadian Heart Rhythm Society joint position paper
[51]
간행물
Cardiac Myosin Inhibitors as a Novel Treatment Option for Obstructive Hypertrophic Cardiomyopathy: Addressing the Core of the Matter
2022-05-03
[52]
뉴스
U.S. Food and Drug Administration Approves Camzyos (mavacamten) for the Treatment of Adults With Symptomatic New York Heart Association Class II-III Obstructive Hypertrophic Cardiomyopathy (HCM) to Improve Functional Capacity and Symptoms
https://www.business[...]
Bristol Myers Squibb
2022-04-29
[53]
간행물
Aficamten for Symptomatic Obstructive Hypertrophic Cardiomyopathy
http://www.nejm.org/[...]
2024-05-13
[54]
간행물
Obstructive hypertrophic cardiomyopathy: echocardiography, pathophysiology, and the continuing evolution of surgery for obstruction
2003-02
[55]
간행물
Extended myectomy for hypertrophic obstructive cardiomyopathy
1994-08
[56]
간행물
Long-term clinical and echocardiographic follow-up after surgical correction of hypertrophic obstructive cardiomyopathy with extended myectomy and reconstruction of the subvalvular mitral apparatus
1995-11
[57]
간행물
Beyond extended myectomy for hypertrophic cardiomyopathy: the resection-plication-release (RPR) repair
2005-07
[58]
간행물
Non-surgical myocardial reduction for hypertrophic obstructive cardiomyopathy
1995-07
[59]
간행물
Myectomy or alcohol septal ablation surgery and percutaneous intervention go another round
2007-01
[60]
간행물
Obstructive Form of Hypertrophic Cardiomyopathy-Left Ventricular Outflow Tract Gradient: Novel Methods of Provocation, Monitoring of Biomarkers, and Recent Advances in the Treatment
2016-05
[61]
간행물
First Experience With Percutaneous Mitral Valve Plication as Primary Therapy for Symptomatic Obstructive Hypertrophic Cardiomyopathy
2016-06
[62]
간행물
Comparison of dual-chamber pacing versus septal myectomy for the treatment of patients with hypertrophic obstructive cardiomyopathy: a comparison of objective hemodynamic and exercise end points
1999-07
[63]
간행물
Implantable cardioverter-defibrillators and prevention of sudden cardiac death in hypertrophic cardiomyopathy
2007-07
[64]
웹사이트
ICDs and Pacemakers
http://www.4hcm.org/[...]
Hypertrophic Cardiomyopathy Association
2016-11-14
[65]
웹사이트
2014 ESC Guidelines on diagnosis and management of hypertrophic cardiomyopathy
https://www.escardio[...]
2020-11-22
[66]
간행물
Hypertrophic cardiomyopathy in childhood
2010-10
[67]
간행물
The incidence of pediatric cardiomyopathy in two regions of the United States
2003-04
[68]
간행물
Hypertrophic cardiomyopathy: infants, children, and adolescents
[69]
간행물
Cardiomyopathy prevalence in 780 apparently healthy cats in rehoming centres (the CatScan study)
https://researchonli[...]
2020-09-28
[70]
간행물
Prevalence of cardiomyopathy in apparently healthy cats
http://hdl.handle.ne[...]
2020-09-14
[71]
논문
Comparison of auscultatory and echocardiographic findings in healthy adult cats
https://researchonli[...]
2023-01-24
[72]
웹사이트
Hypertrophic Cardiomyopathy (HCM) in Cats
http://www.vet.corne[...]
2017-02-24
[73]
논문
Familial hypertrophic cardiomyopathy in maine coon cats: an animal model of human disease
1999-06
[74]
웹사이트
Feline Hypertrophic Cardiomyopathy: Advice for Breeders
http://www.cfa.org/a[...]
Cat Fancier's Association
[75]
논문
A cardiac myosin binding protein C mutation in the Maine Coon cat with familial hypertrophic cardiomyopathy
2005-12
[76]
웹사이트
Genetics: Maine Coon Cat Hypertrophic Cardiomyopathy
https://cvm.ncsu.edu[...]
North Carolina State University, College of Veterinary Medicine
2016-12-29
[77]
논문
A substitution mutation in the myosin binding protein C gene in ragdoll hypertrophic cardiomyopathy
2007-08
[78]
웹사이트
Genetics: Ragdoll Cat Hypertrophic Cardiomyopathy
https://cvm.ncsu.edu[...]
North Carolina State University, College of Veterinary Medicine
2016-12-29
[79]
논문
Echocardiographic assessment of left ventricular geometry and the mitral valve apparatus in cats with hypertrophic cardiomyopathy
2010-04
[80]
논문
International collaborative study to assess cardiovascular risk and evaluate long-term health in cats with preclinical hypertrophic cardiomyopathy and apparently healthy cats: The REVEAL Study
2018-05
[81]
논문
Long-term incidence and risk of noncardiovascular and all-cause mortality in apparently healthy cats and cats with preclinical hypertrophic cardiomyopathy
2019-11
[82]
논문
Asymptomatic Hypertrophic Cardiomyopathy: Diagnosis and Therapy
https://researchonli[...]
2020-09-28
[83]
논문
Screening for hypertrophic cardiomyopathy in cats
http://researchonlin[...]
2015-12
[84]
논문
ACVIM consensus statement guidelines for the classification, diagnosis, and management of cardiomyopathies in cats
2020-05
[85]
논문
Multicenter evaluation of plasma N-terminal probrain natriuretic peptide (NT-pro BNP) as a biochemical screening test for asymptomatic (occult) cardiomyopathy in cats
2011-09
[86]
논문
Utility of measuring plasma N-terminal pro-brain natriuretic peptide in detecting hypertrophic cardiomyopathy and differentiating grades of severity in cats
2011-06
[87]
논문
Cardiac biomarkers in cats
https://researchonli[...]
2020-09-28
[88]
논문
Effect of feline characteristics on plasma N-terminal-prohormone B-type natriuretic peptide concentration and comparison of a point-of-care test and an ELISA test
2020-05
[89]
논문
Multi-centered investigation of a point-of-care NT-proBNP ELISA assay to detect moderate to severe occult (pre-clinical) feline heart disease in cats referred for cardiac evaluation
2014-12
[90]
논문
Investigation of an N-Terminal Prohormone of Brain Natriuretic Peptide Point-of-Care ELISA in Clinically Normal Cats and Cats With Cardiac Disease
2017-07
[91]
논문
The effect of ramipril on left ventricular mass, myocardial fibrosis, diastolic function, and plasma neurohormones in Maine Coon cats with familial hypertrophic cardiomyopathy without heart failure
2006
[92]
웹사이트
The Fragile Fate of FATEs: The Management and Prognosis of Feline Aortic Thromboembolism
https://www.mspca.or[...]
Massachusetts Society for the Prevention of Cruelty to Animals-Angell
2016-10-08
[93]
논문
Arterial thromboembolism in 250 cats in general practice: 2004-2012
2014
[94]
뉴스
Silverback gorilla Rigo died of heart failure at Melbourne Zoo
http://www.theage.co[...]
2013-07-26
[95]
웹사이트
Other Names for Cardiomyopathy
http://www.nhlbi.nih[...]
2016-08-31
[96]
서적
Cardiac Surgery: A Complete Guide
Springer
2022-10-13
[97]
웹사이트
What Are the Signs and Symptoms of Cardiomyopathy?
https://www.nhlbi.ni[...]
National Heart Lung and Blood Institute
2022-10-13
[98]
웹사이트
What Is Cardiomyopathy?
https://www.nhlbi.ni[...]
2017-11-10
[99]
논문
Genetics of sudden cardiac death
2011-10
[100]
웹사이트
What Causes Cardiomyopathy?
https://www.nhlbi.ni[...]
2017-11-10
[101]
서적
Ferri's Clinical Advisor 2018 E-Book: 5 Books in 1
https://books.google[...]
Elsevier Health Sciences
2017-11-10
[102]
웹사이트
Hypertrophic Cardiomyopathy (HCM)
https://www.heart.or[...]
American Heart Association
2022-10-13
[103]
논문
2020 AHA/ACC Guideline for the Diagnosis and Treatment of Patients With Hypertrophic Cardiomyopathy: Executive Summary
https://www.jacc.org[...]
2020-12-22
[104]
서적
Sports Cardiology: Care of the Athletic Heart from the Clinic to the Sidelines
https://books.google[...]
Springer
2022-10-14
[105]
웹사이트
Hypertrophic Cardiomyopathy Treatment & Management: Approach Considerations, Left Ventricular Myomectomy and Mitral Valve Replacement, Pacemaker Implantation
https://emedicine.me[...]
emedicine
2022-10-13
[106]
논문
Transaortic septal myectomy: techniques and pitfalls
https://www.ncbi.nlm[...]
2017-07
[107]
논문
Hypertrophic cardiomyopathy: present and future, with translation into contemporary cardiovascular medicine
2014-07
[108]
웹사이트
Types of Cardiomyopathy
https://www.nhlbi.ni[...]
2016-06-22
[109]
논문
Asymmetrical hypertrophy of the heart in young adults
1958-01
[110]
논문
From Teare to the present day: a fifty year odyssey in hypertrophic cardiomyopathy, a paradigm for the logic of the discovery process
http://www.revespcar[...]
2008-12
[111]
웹인용
Other Names for Cardiomyopathy
http://www.nhlbi.nih[...]
2016-06-22
[112]
간행물
Hypertrophic Cardiomyopathy
http://www.ncbi.nlm.[...]
StatPearls Publishing
2020
[113]
웹인용
What Is Cardiomyopathy?
https://www.nhlbi.ni[...]
2016-06-22
[114]
웹인용
What Are the Signs and Symptoms of Cardiomyopathy?
https://www.nhlbi.ni[...]
2016-06-22
[115]
논문
Genetics of sudden cardiac death
2011-10
[116]
웹인용
What Causes Cardiomyopathy?
https://www.nhlbi.ni[...]
2016-06-22
[117]
서적
Ferri's Clinical Advisor 2018 E-Book: 5 Books in 1
https://books.google[...]
Elsevier Health Sciences
2017
[118]
논문
2011 ACCF/AHA guideline for the diagnosis and treatment of hypertrophic cardiomyopathy: executive summary: a report of the American College of Cardiology Foundation/American Heart Association Task Force on Practice Guidelines
2011-12
[119]
논문
Hypertrophic cardiomyopathy: present and future, with translation into contemporary cardiovascular medicine
2014-07
[120]
웹인용
Types of Cardiomyopathy
https://www.nhlbi.ni[...]
2016-06-22
[121]
논문
Asymmetrical hypertrophy of the heart in young adults
1958-01
[122]
논문
From Teare to the present day: a fifty year odyssey in hypertrophic cardiomyopathy, a paradigm for the logic of the discovery process
http://www.revespcar[...]
2008-12
본 사이트는 AI가 위키백과와 뉴스 기사,정부 간행물,학술 논문등을 바탕으로 정보를 가공하여 제공하는 백과사전형 서비스입니다.
모든 문서는 AI에 의해 자동 생성되며, CC BY-SA 4.0 라이선스에 따라 이용할 수 있습니다.
하지만, 위키백과나 뉴스 기사 자체에 오류, 부정확한 정보, 또는 가짜 뉴스가 포함될 수 있으며, AI는 이러한 내용을 완벽하게 걸러내지 못할 수 있습니다.
따라서 제공되는 정보에 일부 오류나 편향이 있을 수 있으므로, 중요한 정보는 반드시 다른 출처를 통해 교차 검증하시기 바랍니다.
문의하기 : help@durumis.com
