용종
"오늘의AI위키"의 AI를 통해 더욱 풍부하고 폭넓은 지식 경험을 누리세요.
1. 개요
용종은 내시경 검사 등에서 관찰되는 융기성 병변을 통칭하는 용어이다. 소화기, 여성 생식기, 코, 후두 등 다양한 부위에 발생하며, 과형성 용종, 선종성 용종, 자궁내막 용종, 코 용종 등이 있다. 용종은 발생 위치와 조직학적 특징에 따라 분류되며, 악성으로 발전할 위험이 있어 병리 검사를 통해 정확한 진단을 내린다. 치료 방법으로는 폴리페크토미, 내시경적 점막 절제술 등이 있으며, 한국에서는 국가암검진사업을 통해 대장암 조기 발견을 위한 검진을 지원한다.
더 읽어볼만한 페이지
- 소화기 신생물 - 간세포암
간세포암은 간에서 발생하는 악성 종양으로, 만성 간 질환 환자에게서 주로 발생하며, 다양한 원인과 위험 요인에 의해 발생하고, 복통, 황달 등의 증상이 나타날 수 있으며, 수술, 간 이식 등의 치료 방법이 사용되고, 예방을 위해 B형 간염 예방 접종 등이 중요하다. - 소화기 신생물 - 쓸개암
쓸개암은 담낭에 발생하는 악성 종양으로, 초기 증상이 미미하여 진단이 어렵고, 여성, 고령, 비만, 담석증 등의 위험 요인이 있으며, 영상 검사 및 생검을 통해 진단하고 수술, 항암화학요법 등으로 치료하며, 예후는 좋지 않지만 조기 발견과 치료가 중요하고, 발생률은 낮으나 특정 지역에서 높게 나타난다. - 소화기 질환 - 식도암
식도암은 식도 상피세포에서 발생하는 악성 종양으로, 편평상피세포암과 선암이 주된 유형이며, 진행될수록 연하곤란, 체중 감소, 흉통 등이 나타나고 흡연, 음주 등이 위험 요인으로 작용하며, 내시경 검사, 조직검사 등으로 진단하고 수술, 화학요법 등으로 치료하며 예방을 위해서는 금연, 절주 등이 중요하다. - 소화기 질환 - 위염
위염은 헬리코박터 파일로리 감염, 비스테로이드성 소염제, 알코올, 스트레스 등으로 인해 위 점막에 염증이 생기는 질환으로, 상복부 통증, 메스꺼움, 구토 등의 증상이 나타나거나 무증상일 수 있으며, 급성 또는 만성으로 분류되고, 내시경 검사 등으로 진단하여 제산제, 항생제 등으로 치료한다. - 빈 문단이 포함된 문서 - 광주고등법원
광주고등법원은 1952년에 설치되어 광주광역시, 전라남도, 전북특별자치도, 제주특별자치도를 관할하며, 제주와 전주에 원외재판부를 두고 있다. - 빈 문단이 포함된 문서 - 1502년
1502년은 율리우스력으로 수요일에 시작하는 평년으로, 이사벨 1세의 이슬람교 금지 칙령 발표, 콜럼버스의 중앙아메리카 해안 탐험, 바스쿠 다 가마의 인도 상관 설립, 크리미아 칸국의 킵차크 칸국 멸망, 비텐베르크 대학교 설립, 최초의 아프리카 노예들의 신대륙 도착 등의 주요 사건이 있었다.
| 용종 | |
|---|---|
| 일반 정보 | |
![]() | |
| 의학 정보 | |
| 분야 | 병리학 |
| 증상 | (내용 없음) |
| 합병증 | (내용 없음) |
| 발병 | (내용 없음) |
| 지속 기간 | (내용 없음) |
| 유형 | (내용 없음) |
| 원인 | (내용 없음) |
| 위험 요인 | (내용 없음) |
| 진단 | (내용 없음) |
| 감별 진단 | (내용 없음) |
| 예방 | (내용 없음) |
| 치료 | (내용 없음) |
| 약물 | (내용 없음) |
| 예후 | (내용 없음) |
| 빈도 | (내용 없음) |
| 사망 | (내용 없음) |
| 기타 정보 | |
| 라틴어 | polypus |
| 메쉬 명칭 | 폴립 |
| 메쉬 번호 | C23.300.825 |
2. 정의
폴립은 내시경 검사 등에서 관찰되는 융기성 병변 전체를 형태적으로 표현하는 용어이다. 100개 이상 다발성으로 형성된 경우에는 폴리포시스라고 부른다.
용종은 발생하는 위치에 따라 다양하게 분류할 수 있다.
비용종(코 폴립), 성대 폴립, 자궁경부 폴립 등과 같이 특정 장기 질환명으로 "폴립"이라는 진단명이 사용되기도 한다. 이들은 대부분 양성 질환이다.
사마귀나 유두종 등과 같이 융기성 병변이지만 폴립으로 표현되지 않는 병변도 있다.
3. 종류
내시경 검사 등에서 관찰되는 융기성 병변은 폴립이라는 용어로 표현되는 경우가 많다. 폴립이 100개 이상 형성된 경우에는 '''폴리포시스'''라고 부른다.
비용종(코 폴립), 성대 용종(후두 결절), 자궁경부 폴립 등은 장기 특유의 질환명으로 "폴립"이라는 진단이 내려지기도 한다. 이들은 대부분 양성 질환이며, 발생 빈도가 높다.
폴립으로 표현되지 않는 융기성 병변도 있다.
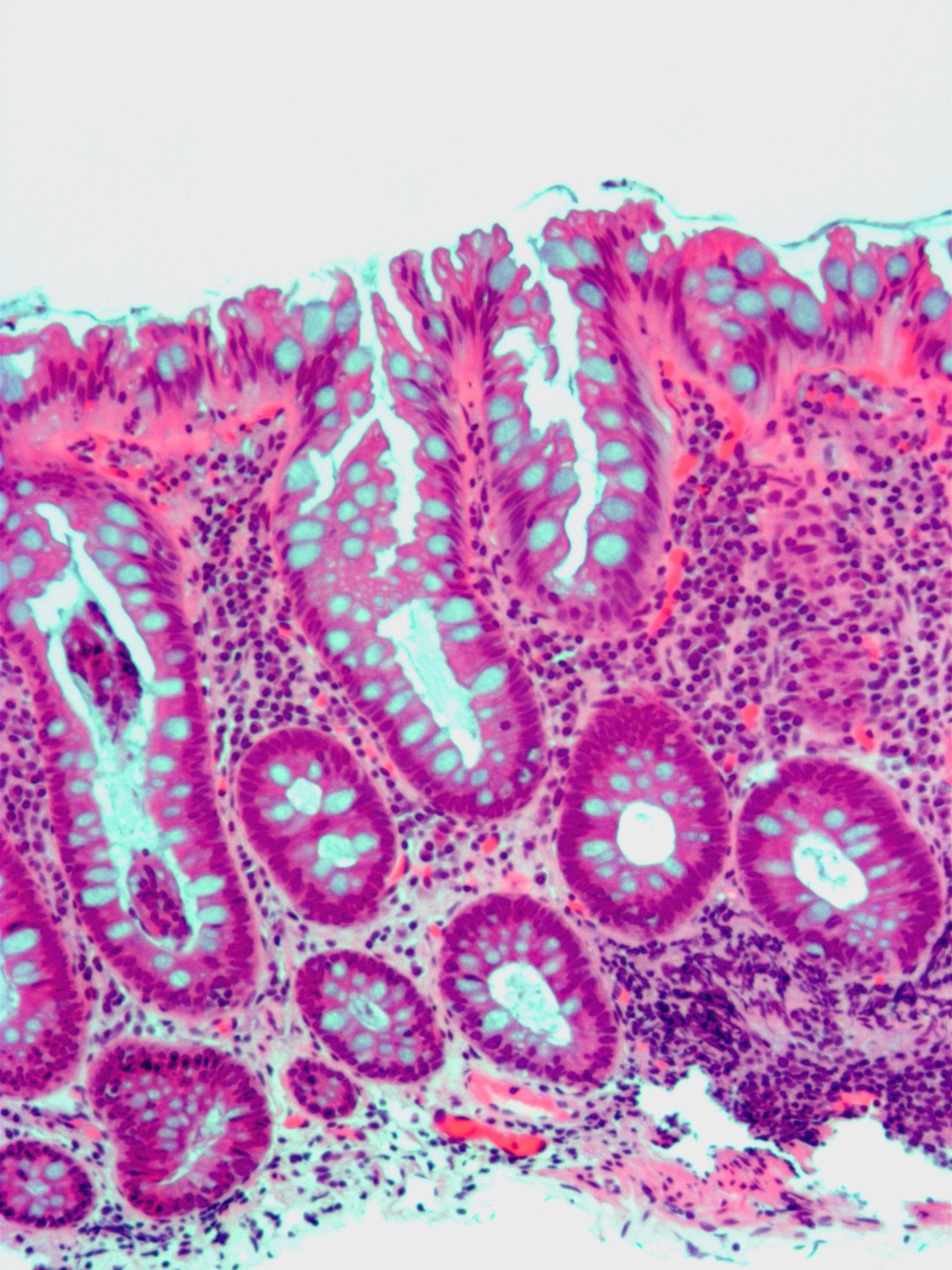
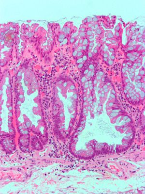
'''선종성 용종'''(선종)은 결장 내벽에서 자라며 암의 위험이 높은 용종이다. 전암성으로, 결장암으로 발전할 가능성이 높다.[14] 60세 인구의 약 5%가 직경 1cm 이상의 선종성 용종을 하나 이상 가지고 있다.[16]
3. 1. 소화기 용종
소화기계에 발생하는 용종은 다음과 같다.
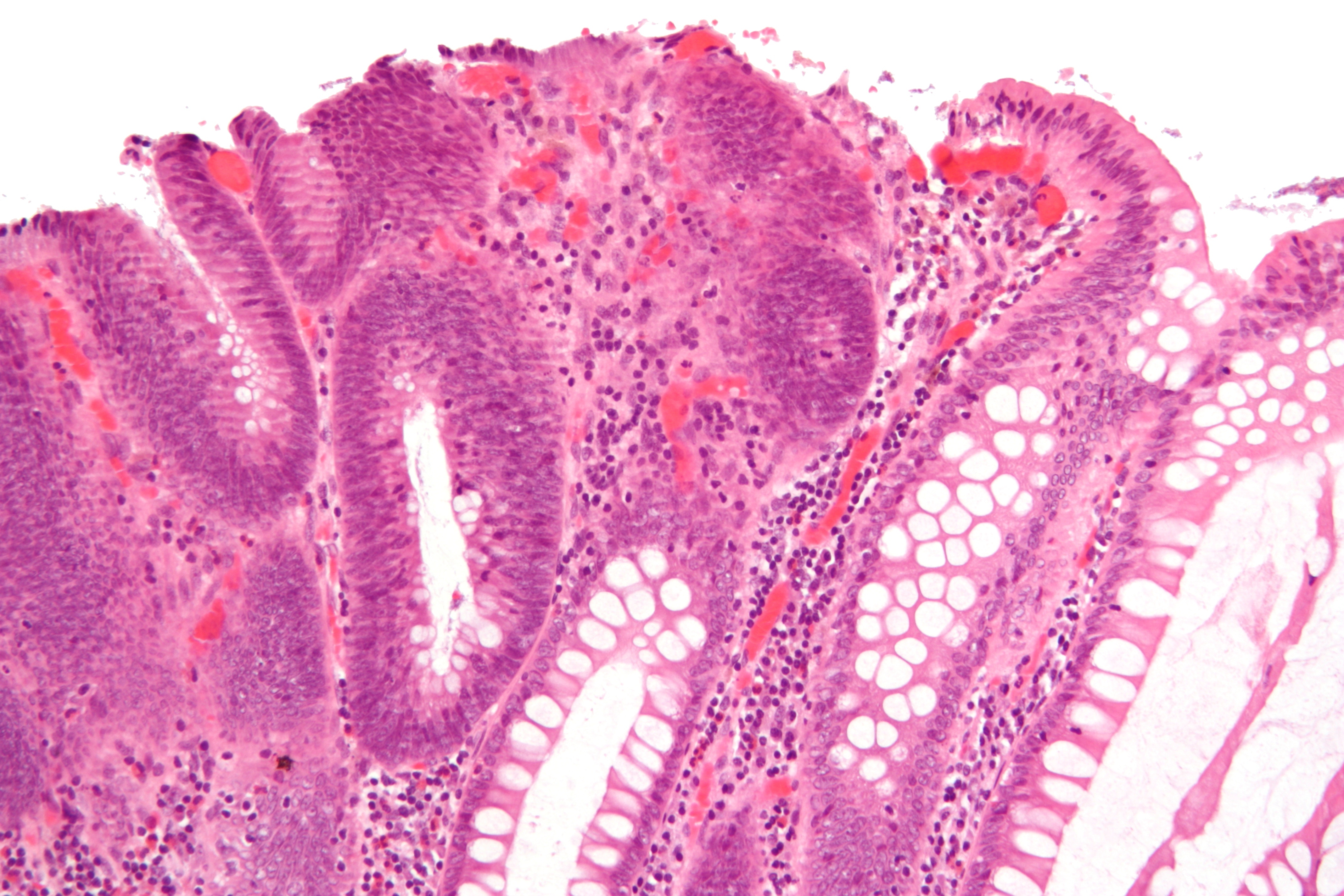
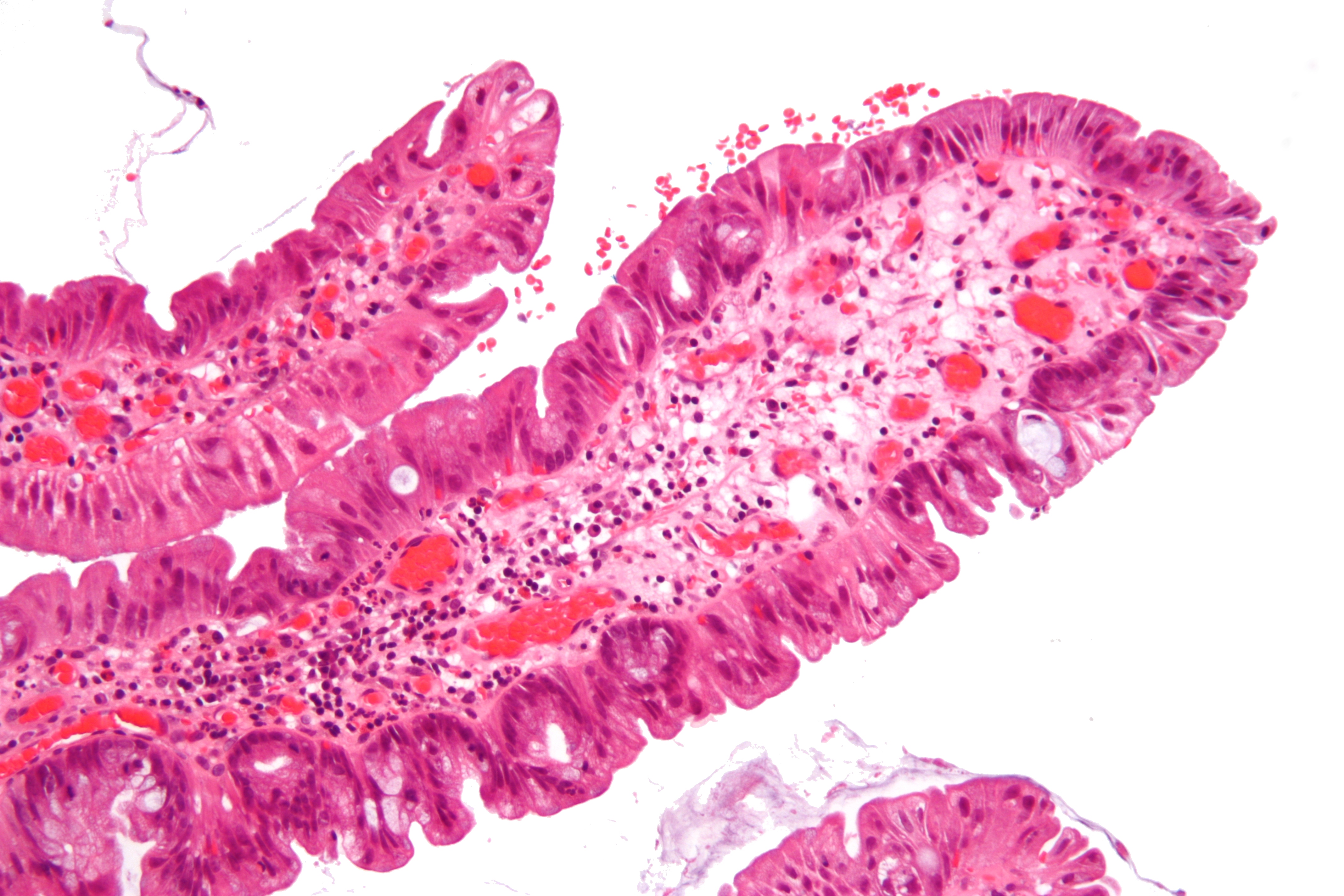
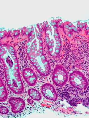
| 용종 | 일반적인 위치 | 조직학적 특징 | 악성 위험 | 사진 | 증후군 |
|---|---|---|---|---|---|
| 과형성 용종 | 대장 (별도로 명시되지 않는 한) | 톱니 모양의 분지되지 않은 샘 | 용종이 100개 이상인 경우 | ![]() | 톱니 용종증 증후군 |
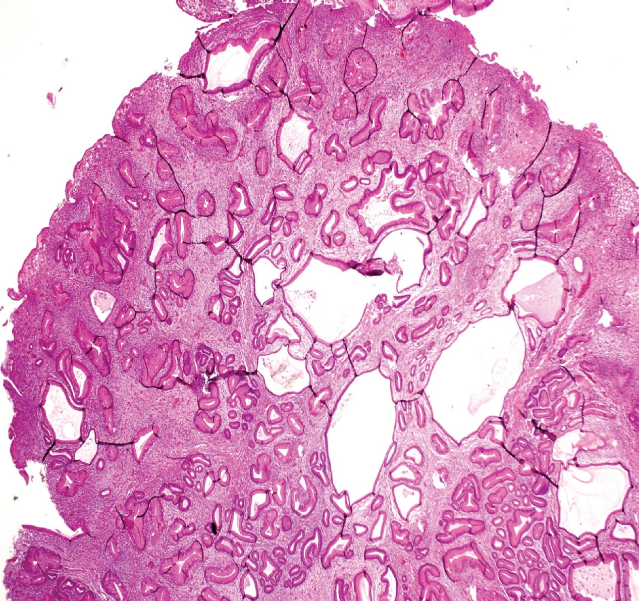
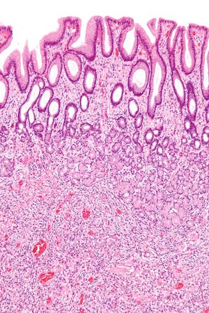
| 위 과형성 용종 | 위 | 부종성 및 염증성 기질로 분리된 신장되고 뒤틀린 낭포성 와상 | ![]() | 위 과형성 용종증 | |
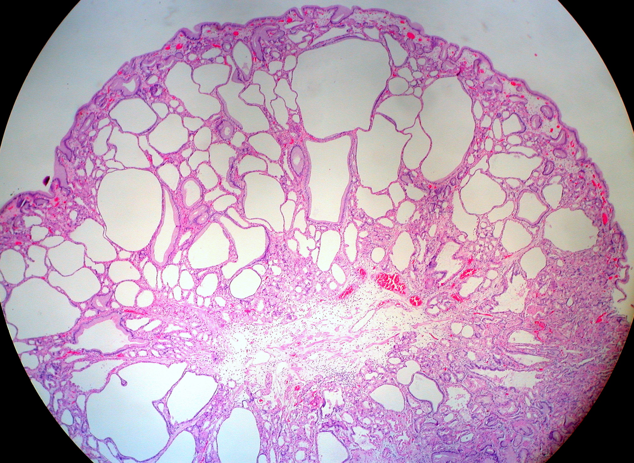
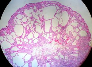
| 샘 용종 | 위의 바닥 | 주세포, 벽세포 및 점액성 와상 세포로 덮인 낭성 확장된 샘[5] | 산발적인 경우 매우 낮거나 없음[6] | ![]() | 샘 용종증 |
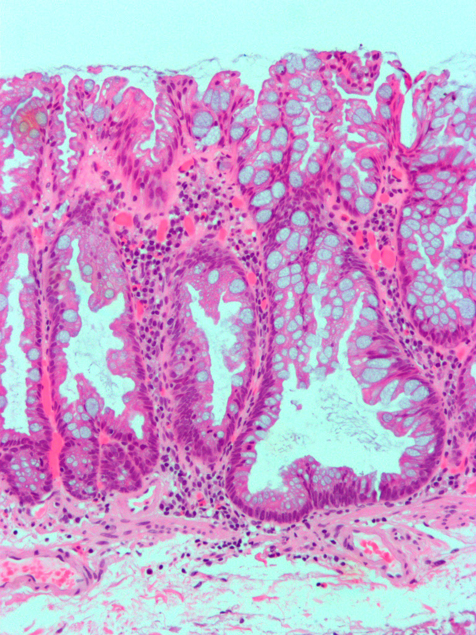
| 무경 톱니 모양 선종 | 대장 | 과톱니 모양, 확장/분지된 샘 기저부, 샘 기저부의 두드러진 점액 세포를 가진 과형성과 유사함 | 예 | ![]() | 톱니 용종증 증후군 |
| 염증성 용종 | 비특이적 | 염증을 동반한 융기된 점막/점막하 조직 | 이형성이 발생하면 | 염증성 장 질환, 궤양, 감염, 점막 탈출 | |
| 관상 선종 (융모상, 관상융모상) | 대장 | 신장된 핵을 가진 관상 샘 (최소한 낮은 등급의 비정형) | 예 | ![]() | |
| 전형적인 톱니 모양 선종 | 대장 | 톱니 모양 샘, 종종 융모상 구조, 세포학적 비정형, 호산구성 세포 | 예 | ![]() | 톱니 용종증 증후군 |
| Peutz-Jeghers 용종 | 모든 소화관 | 비종양성 상피와 "크리스마스 트리" 모양 사이의 평활근 다발 | 아니오 | ![]() | Peutz–Jeghers 증후군 |
| 유년성 용종 | 상부 위장관 및 결장 | 확장된 고유층을 가진 낭성 확장된 샘 | 본질적으로는 아니지만, 이형성이 발생할 수 있음 | ![]() | 유년성 용종증 증후군, Cronkhite–Canada 증후군에서 동일한 용종 |
| 과오종 용종 (Cowden 증후군) | 주로 대장 | 가변적; 근육 점막의 배열이 흐트러지고, 림프구, 염증성, 유년성, 지방종, 신경절종, 약간 섬유화된 고전적인 용종 | 아니오 | Cowden 증후군 | |
| 염증성 섬유 용종 | 모든 소화관 | 방추형 세포, 혈관 주위에 동심원 배열, 호산구가 풍부한 염증을 특징으로 함 | 없음 | ![]() | |
[7][8]
대장 용종은 일반적으로 증상이 없지만, 때때로 직장 출혈을 일으킬 수 있으며, 드물게 통증, 설사 또는 변비를 유발할 수 있다.[9] 이는 현미경적으로 대장암이 존재할 가능성과 시간이 지남에 따라 양성 대장 용종이 악성으로 변할 위험이 있기 때문에 우려된다.[10] 대부분의 용종은 무증상이므로, 대장암 검진 시 발견된다. 일반적인 검진 방법으로는 잠혈 검사, 대장 내시경 검사, S자 결장경 검사, 하부 위장관 시리즈 (바륨 관장), 직장 검사, 가상 대장 내시경 검사 등이 있다.[11]
용종은 대장 내시경 검사 시 폴리펙토미 올가미(1970년 독일 P. Deyhle에 의해 최초 기술됨)라고 알려진 철사 루프를 사용하거나[12], 생검 겸자를 사용하여 제거한다. 선종성 용종은 전암성이므로 제거해야 한다. 모든 진단 방식으로 발견된 용종은 대장 내시경 검사로 제거한다. 2.5cm 미만의 용종에서는 대장암이 발견되지 않지만, 모든 용종을 제거하면 향후 대장암 발생 가능성이 줄어든다. 선종성 용종 제거 후, 3~5년 후에 대장 내시경 검사를 반복한다.
대부분의 대장 용종은 산발적인 것으로 분류될 수 있다.
유전성 용종증 증후군
- 가족성 선종성 용종증
- 퓌츠-예거 증후군
- 튀르코 증후군
- 유년기 용종증 증후군
- 코우덴병
- 바나얀-라일리-루발카바 증후군 (바나얀-조나나 증후군)
- 가드너 증후군
- 톱니 용종증 증후군
비유전성 용종증 증후군
- 크론카이트-캐나다 증후군
기타 용종
'''선종성 용종'''(선종)은 결장 내벽에서 자라며 암의 위험이 높은 용종이다. 전암성으로, 결장암으로 발전할 가능성이 높다.[14] 결장에서 발생할 수 있는 다른 유형의 용종은 과형성성 용종과 염증성 용종인데, 이들은 대장암으로 발전할 가능성이 낮다.[15] 60세 인구의 약 5%가 직경 1cm 이상의 선종성 용종을 하나 이상 가지고 있다.[16] 다발성 선종성 용종은 종종 가족성 용종증 또는 가족성 선종성 용종증으로 인해 발생하며, 이는 결장암의 위험이 매우 높은 질환이다.[13]
장기별로는 주로 다음과 같은 것들이 있다.
- 대장 용종
- 위 용종
- 후두 용종
- 비용종
- 후두 결절 (성대 용종)
- 자궁 경관 용종
- 자궁 내막 용종
3. 2. 여성 생식기 용종
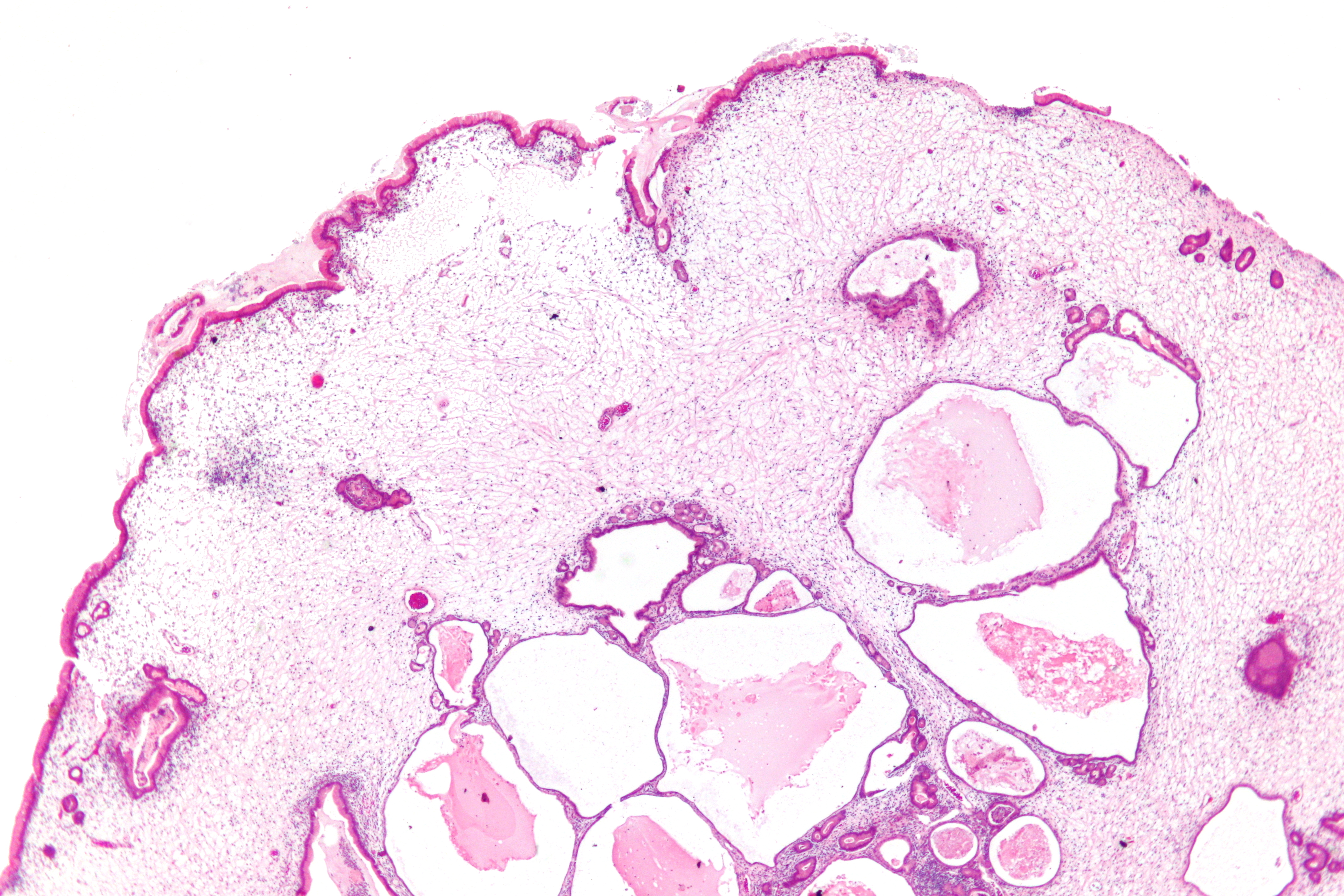
여성 생식기에 발생하는 용종은 다음과 같다.- 자궁내막 용종: 자궁 내막(자궁내막)에 생기는 용종(병변)으로, 자궁강 내에서 공간을 차지한다. 여성의 최대 10%가 경험할 정도로 흔하게 발생한다.[24] 넓고 평평한 기저부(무경성)를 가지거나, 길쭉한 자루(유경성)에 의해 자궁에 부착될 수 있다.[24][25] 유경성 용종이 무경성 용종보다 더 흔하며,[26] 크기는 몇 밀리미터에서 수 센티미터까지 다양하다.[25] 유경성인 경우 자궁경부를 통해 질로 돌출될 수 있다.[24][27] 특히 큰 용종에는 작은 혈관이 존재할 수 있다.[24]
3. 3. 기타 용종
4. 병리
폴립의 정확한 진단은 내시경 생검 또는 폴립 절제술(폴리펙토미)을 통해 병변의 일부를 채취하여 병리 조직 검사를 시행함으로써 이루어진다.[9] 병리 검사 결과와 내시경 검사 결과를 종합하여 최종 진단을 내린다.[9]
| 용종 | 일반적인 위치 | 조직학적 특징 | 악성 위험 | 사진 | 증후군 |
|---|---|---|---|---|---|
| 과형성 용종 | 대장 (별도로 명시되지 않는 한) | 톱니 모양의 분지되지 않은 샘 | 용종이 100개 이상인 경우 | 톱니 용종증 증후군 | |
| 위 과형성 용종 | 위 | 부종성 및 염증성 기질로 분리된 신장되고 뒤틀린 낭포성 와상 | 위 과형성 용종증 | ||
| 샘 용종 | 위의 바닥 | 주세포, 벽세포 및 점액성 와상 세포로 덮인 낭성 확장된 샘[5] | 산발적인 경우 매우 낮거나 없음[6] | 샘 용종증 | |
| 무경 톱니 모양 선종 | 대장 | 과톱니 모양, 확장/분지된 샘 기저부, 샘 기저부의 두드러진 점액 세포를 가진 과형성과 유사함 | 예 | 톱니 용종증 증후군 | |
| 염증성 | 비특이적 | 염증을 동반한 융기된 점막/점막하 조직 | 이형성이 발생하면 | 염증성 장 질환, 궤양, 감염, 점막 탈출 | |
| 관상 선종 (융모상, 관상융모상) | 대장 | 신장된 핵을 가진 관상 샘 (최소한 낮은 등급의 비정형) | 예 | ||
| 전형적인 톱니 모양 선종 | 대장 | 톱니 모양 샘, 종종 융모상 구조, 세포학적 비정형, 호산구성 세포 | 예 | 톱니 용종증 증후군 | |
| Peutz-Jeghers 용종 | 모든 소화관 | 비종양성 상피와 "크리스마스 트리" 모양 사이의 평활근 다발 | 아니오 | Peutz–Jeghers 증후군 | |
| 유년성 용종 | 상부 위장관 및 결장 | 확장된 고유층을 가진 낭성 확장된 샘 | 본질적으로는 아니지만, 이형성이 발생할 수 있음 | 유년성 용종증 증후군, Cronkhite–Canada 증후군에서 동일한 용종 | |
| 과오종 용종 (Cowden 증후군) | 주로 대장 | 가변적; 근육 점막의 배열이 흐트러지고, 림프구, 염증성, 유년성, 지방종, 신경절종, 약간 섬유화된 고전적인 용종; | 아니오 | Cowden 증후군 | |
| 염증성 섬유 용종 | 모든 소화관 | 방추형 세포, 혈관 주위에 동심원 배열, 호산구가 풍부한 염증을 특징으로 함 | 없음 | ||
5. 치료
용종의 치료는 용종의 위치, 크기, 종류에 따라 달라진다.
대부분의 용종은 대장 내시경 검사를 통해 제거할 수 있다. 이때, 폴리펙토미 올가미라고 하는 철사 루프를 사용하거나[12], 생검 겸자를 사용한다. 선종성 용종은 전암성 병변으로 암으로 발전할 가능성이 있으므로 반드시 제거해야 한다. 대장암은 일반적으로 2.5cm 미만의 용종에서는 발견되지 않지만, 모든 용종을 제거하면 향후 대장암 발생 가능성이 줄어든다.[11] 선종성 용종을 제거한 경우, 일반적으로 3~5년 후에 대장 내시경 검사를 반복한다.
자궁내막 폴립 또는 자궁 폴립은 자궁 내막(자궁내막)의 폴립 또는 병변으로, 여성의 최대 10%가 경험한다.[24] 크기는 몇 밀리미터에서 여러 센티미터에 이르기까지 다양하며[25], 자궁경부를 통해 질로 돌출될 수 있다.[24][27]
자궁경부 폴립은 자궁 경부관 표면에 생기는 양성 폴립 또는 종양으로,[28] 불규칙한 생리 출혈이나 통증을 유발할 수 있지만, 증상이 없는 경우가 많다.[29]
코 용종은 코와 부비동의 점막에서 발생하는 용종 모양의 덩어리로, 알레르기 비염과 관련이 있다.
성대 용종은 음성 남용으로 인해 발생하기도 하며, 한쪽 또는 양쪽 성대에 발생할 수 있다. 의학적, 외과적 또는 행동적 중재로 치료할 수 있는데, 외과적 중재는 성대에서 용종을 제거하는 것이다.
그 외에도 폴리페크토미, 내시경적 점막 절제술 (EMR), 내시경적 점막하 박리술 (ESD) 등의 치료 방법들이 있다.
6. 한국의 대장암 검진
한국에서는 국가암검진사업을 통해 만 50세 이상 남녀에게 1년마다 분변잠혈검사(대변검사)를 무료로 제공하고, 이상 소견이 있을 경우 대장내시경 검사를 지원한다.[11] 분변잠혈검사는 대장 용종이 성장하면서 발생할 수 있는 장 출혈을 감지하는 검사 방법이다.[11]
참조
[1]
OED
polyp
[2]
문서
References for diagram are located at: [[Commons:Template:Pie chart of colorectal polyp etiologies - Source]].
[3]
논문
Gastric polyps: analysis of endoscopic and histological features in our center
[4]
논문
Metastatic Carcinoma Occurring in a Gastric Hyperplastic Polyp Mimicking Primary Gastric Cancer: The First Reported Case
[5]
웹사이트
Stomach Polyps – Fundic gland polyp
https://www.patholog[...]
[6]
웹사이트
Gastric polyps
https://www.uptodate[...]
[7]
서적
"Fletcher's Diagnostic Histopathology of Tumors"
[8]
서적
"Sternberg's Diagnostic Surgical Pathology"
[9]
웹사이트
Colonic Polyps
https://medlineplus.[...]
2020-04-30
[10]
웹사이트
Colon polyps – Symptoms and causes
https://www.mayoclin[...]
2020-04-30
[11]
간행물
Five Things Physicians and Patients Should Question
http://choosingwisel[...]
American Gastroenterological Association
2012-08-17
[12]
논문
Results of endoscopic polypectomy in the gastrointestinal tract
[13]
웹사이트
Familial Adenomatous Polyposis
https://www.lecturio[...]
2021-07-22
[14]
웹사이트
Adenomatous Polyps
http://www.gicare.co[...]
2010-04-13
[15]
웹사이트
Colon Cancer Treatment (PDQ®)
http://www.cancer.go[...]
2014-06-29
[16]
웹사이트
Polyps in the colon (large bowel)
http://www.netdoctor[...]
2010-04-13
[17]
웹사이트
Colonic Polyps
http://emedicine.med[...]
2010-04-13
[18]
웹사이트
Management of Colonic Polyps and Adenomas
http://www.ssat.com/[...]
2010-04-13
[19]
간행물
Tubular Adenoma
http://www.ncbi.nlm.[...]
StatPearls Publishing
2023-03-31
[20]
웹사이트
Colon Polyps (cont.)
http://www.medicinen[...]
2010-06-25
[21]
논문
Colorectal cancer screening and surveillance: Clinical guidelines and rationale – Update based on new evidence
[22]
웹사이트
Adenomatous Polyps Symptoms and Prevention
http://www.adenomato[...]
2010-06-25
[23]
웹사이트
Colonoscopy Risks
http://ibdcrohns.abo[...]
2010-06-25
[24]
서적
Practical Gynaecological Ultrasound
https://books.google[...]
Cambridge University Press
[25]
웹사이트
Uterine polyps
http://www.mayoclini[...]
MayoClinic.com
2007-10-20
[26]
서적
"Sternberg's Diagnostic Surgical Pathology"
https://books.google[...]
Lippincott Williams & Wilkins
[27]
웹사이트
Dysmenorrhea: Menstrual abnormalities
http://www.merck.com[...]
Merck Manual of Diagnosis and Therapy
2007-10-20
[28]
서적
The Pap Smear
https://books.google[...]
Taylor & Francis
[29]
서적
Practical Gynaecological Ultrasound
https://books.google[...]
Cambridge University Press
1997-01-08
본 사이트는 AI가 위키백과와 뉴스 기사,정부 간행물,학술 논문등을 바탕으로 정보를 가공하여 제공하는 백과사전형 서비스입니다.
모든 문서는 AI에 의해 자동 생성되며, CC BY-SA 4.0 라이선스에 따라 이용할 수 있습니다.
하지만, 위키백과나 뉴스 기사 자체에 오류, 부정확한 정보, 또는 가짜 뉴스가 포함될 수 있으며, AI는 이러한 내용을 완벽하게 걸러내지 못할 수 있습니다.
따라서 제공되는 정보에 일부 오류나 편향이 있을 수 있으므로, 중요한 정보는 반드시 다른 출처를 통해 교차 검증하시기 바랍니다.
문의하기 : help@durumis.com









