맨위로가기

인두후농양

"오늘의AI위키"는 AI 기술로 일관성 있고 체계적인 최신 지식을 제공하는 혁신 플랫폼입니다.
"오늘의AI위키"의 AI를 통해 더욱 풍부하고 폭넓은 지식 경험을 누리세요.

1. 개요

인두후농양은 비인두, 편도, 부비동 등에서 시작된 세균 감염으로 발생하는 질환이다. 목 경직, 통증, 발열, 삼키기 어려움 등의 증상이 나타나며, 심할 경우 기도 폐쇄, 종격동염, 패혈증으로 이어질 수 있다. 진단은 CT 스캔을 통해 이루어지며, 목 X-레이, 혈액 검사도 보조적으로 사용된다. 치료는 수술적 중재가 필요하며, 고용량 정맥 항생제를 투여한다. 2~4세 유아에게서 많이 발생하며, 드물게 기도 손상 후 성인에게서 나타나기도 한다.

더 읽어볼만한 페이지

  • 상기도 질환 - 감기
    감기는 다양한 바이러스에 의해 발생하는 상기도 감염으로, 기침, 콧물, 재채기 등의 증상이 나타나며, 특별한 치료법은 없고 증상 완화를 위한 대증요법을 사용한다.
  • 상기도 질환 - 후두개염
    후두개염은 후두덮개의 염증으로 발열, 인후통, 삼킴 곤란, 쉰 목소리, 천명 등을 유발하며, 과거 헤모필루스 인플루엔자 b형 감염이 주 원인이었으나 현재는 다른 세균 감염이 흔하고, 후두경 검사로 진단하며 기도 확보와 항생제 투여, 필요시 기관 삽관 또는 절개술을 시행한다.
  • 세균성 질병 - 장티푸스
    장티푸스는 살모넬라 엔테리카 세로바르 티피균에 의해 발생하는 수인성 전염병으로, 고열, 두통, 복통 등의 증상을 보이며, 항생제를 사용하여 치료하고 개인 위생과 환경 위생을 통해 예방한다.
  • 세균성 질병 - 메티실린 내성 황색포도상구균
    메티실린 내성 황색포도상구균(MRSA)은 β-락탐계 항생제에 내성을 보이는 황색포도상구균으로, 피부 감염을 일으키고 면역력 저하 환자에게 심각한 기회감염을 유발하며, 병원 획득 감염과 지역사회 획득 감염으로 나뉜다.
인두후농양
질병 정보
인두후농양 환자의 측면 X선 사진. 척추 앞쪽의 연조직이 부어오른 것을 화살표로 표시.
인두후농양 환자의 측면 X선 사진. 척추 앞쪽의 연조직이 부어오른 것을 화살표로 표시.
다른 이름해당 정보 없음
분야해당 정보 없음
증상해당 정보 없음
합병증해당 정보 없음
발병 시기해당 정보 없음
지속 기간해당 정보 없음
유형해당 정보 없음
원인해당 정보 없음
위험 요인해당 정보 없음
진단해당 정보 없음
감별 진단해당 정보 없음
예방해당 정보 없음
치료해당 정보 없음
약물해당 정보 없음
예후해당 정보 없음
빈도해당 정보 없음
사망해당 정보 없음
DiseasesDB11461
ICD10J39.0
ICD9478.24
ICDO해당 정보 없음
OMIM해당 정보 없음
MedlinePlus000984
eMedicine 응급506
eMedicine 소아2682
MeshIDD017703
참고 문헌

2. 원인

인두후농양은 일반적으로 비인두, 편도, 부비동, 아데노이드, 어금니 또는 중이에서 시작되는 세균 감염으로 인해 발생한다. 모든 상기도 감염 (URI)이 원인이 될 수 있다. 인두후농양은 관통상 또는 이물로 인한 직접적인 감염으로 인해 발생할 수도 있다. 인두후농양은 적절한 치과 치료를 받지 않거나 치아를 제대로 닦지 않는 어린 아이들과도 관련이 있을 수 있다.

인두 후벽과 경추 앞면 사이의 인두 후 간극에 있는 인두 후 림프절 및 그 주변에 농양이 형성된다.

사슬알균, 포도알균, 혐기성 세균 등이 원인인 경우가 많다. 하행성 종격동염이나 패혈증으로 이어져, 급속히 전신 상태가 악화될 수 있다.

3. 증상

인두후농양의 증상 및 징후는 다음과 같다. 목 경직(목 운동 제한 또는 사경)[3], 어떤 형태의 촉진되는 목의 통증 ( "목 앞" 또는 아담의 사과 주변), 불쾌감, 삼키기 어려움, 발열, 천명, 침 흘림, 크루프와 유사한 기침 또는 비대해진 경부 림프절이 나타날 수 있다. 이러한 증상이 복합적으로 나타나면 인두후농양을 의심해야 한다.

발열, 인두통, 연하통, 유연, 발성 곤란(쉰 목소리) 등을 주로 호소한다.[6] 천명, 경부 종창, 경부 림프절 종창 등의 소견이 보이며, 특히 사경과 항부 강직(경부 신전 제한)이 특징적이다. 발열과 항부 강직이 있는 소아의 경우, 수막염과 함께 인두후농양도 감별 진단에 포함해야 한다. 진행될 경우, 기도 폐쇄, 종격동염[7], 내경정맥의 혈전성 정맥염(레미에르 증후군) 등을 합병할 수 있다.

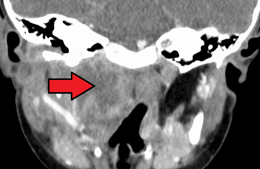
4. 진단

CT에서 보이는 큰 인두후농양
CT에서 보이는 큰 인두후농양


CT 스캔은 확실한 진단 영상 검사이다.[4]

목의 X-레이는 종종(80%의 경우) 영향을 받은 사람의 인두후 공간의 부기를 보여준다. 인두후 공간이 C2 척추의 크기의 절반보다 크면 인두후농양을 나타낼 수 있다.[5] 혈액 검사에서 백혈구 수 증가, CRP 수치 상승을 보이는 경우가 많다. 경부 측면 X선 사진(경부 신전위, 흡기 시 촬영)에서 인두후벽-경추 전면 간 거리는 C2-3 레벨에서 소아, 성인 모두 7mm 이내, C6 레벨에서 소아 14mm 이내, 성인 22mm 이내가 정상이다. 이를 초과하는 경우 인두후벽의 종창이 시사된다. 인두후농양과 급성 후두개염은 증상만으로는 감별이 어려울 수 있으므로 적극적으로 경부 조영 CT를 시행하여 진단을 내린다.

5. 감별 진단

다음과 같은 질병을 감별해야 한다.


  • 급성 상기도 감염
  • 크루프
  • 급성 후두개염
  • 레미에르 증후군
  • 편도 주위 농양
  • 가와사키병 - 인두후 농양과 유사한 소견이 있으며, 항생제가 무효인 경우에는 염두에 둔다.

6. 치료

인두후농양의 치료는 종종 수술적 중재가 필요하다. 농양에 접근/배액하기 위해 일반적으로 편도 절제술 접근법이 사용되며, 결과는 보통 긍정적이다. 성인의 경우 기관 삽관 중 농양 파열의 위험이 있어 전신 마취 없이 수술을 할 수 있다. 이는 농양에서 나온 고름이 폐로 흡인될 수 있기 때문이다. 복잡한 경우에는 목의 부종으로 인한 상기도 폐쇄를 예방하기 위해 응급 기관 절개술이 필요할 수 있다.

고용량 정맥 항생제는 감염을 조절하고 수술 전에 농양의 크기를 줄이기 위해 필요하다. 만성 인두후 농양은 일반적으로 결핵에 이차적으로 발생하며, 환자는 가능한 한 빨리 항결핵 치료를 시작해야 한다.

7. 역학

인두후농양은 2~4세의 림프절이 풍부한 유아에게서 많이 나타난다.[6] 기도 손상 후의 성인 사례도 드물게 보인다.[6]

8. 예후

참조

[1] 문서 John Grosso, MD, Charles M. Meyer, MD http://archpedi.ama-[...]
[2] 논문 Images in emergency medicine: retropharyngeal abscess 2008-01
[3] 문서 Retropharyngeal Abscess in Children: Clinical Presentation, Utility of Imaging, and Current Management http://pediatrics.aa[...]
[4] 서적 Emergency medicine: avoiding the pitfalls and improving the outcomes https://archive.org/[...] Blackwell Pub./BMJ Books
[5] 서적 The Philadelphia guide: inpatient pediatrics https://books.google[...] Lippincott Williams & Wilkins 2010-05-26
[6] 논문 Retropharyngeal abscess in children: clinical presentation, utility of imaging, and current management 2003
[7] 문서 John Grosso, MD, Charles M. Meyer, MD http://archpedi.ama-[...]
[8] 논문 Contemporary management of deep infections of the neck 1993
[9] 문서 プライマリ・ケアの現場で役立つ一発診断100
[10] 문서 John Grosso, MD, Charles M. Meyer, MD http://archpedi.ama-[...]
[11] 저널 Images in emergency medicine: retropharyngeal abscess 2008-01



본 사이트는 AI가 위키백과와 뉴스 기사,정부 간행물,학술 논문등을 바탕으로 정보를 가공하여 제공하는 백과사전형 서비스입니다.
모든 문서는 AI에 의해 자동 생성되며, CC BY-SA 4.0 라이선스에 따라 이용할 수 있습니다.
하지만, 위키백과나 뉴스 기사 자체에 오류, 부정확한 정보, 또는 가짜 뉴스가 포함될 수 있으며, AI는 이러한 내용을 완벽하게 걸러내지 못할 수 있습니다.
따라서 제공되는 정보에 일부 오류나 편향이 있을 수 있으므로, 중요한 정보는 반드시 다른 출처를 통해 교차 검증하시기 바랍니다.

문의하기 : help@durumis.com