가와사키병
"오늘의AI위키"의 AI를 통해 더욱 풍부하고 폭넓은 지식 경험을 누리세요.
1. 개요
가와사키병은 주로 5세 미만 소아에게 발생하는 급성 혈관염으로, 전신적인 혈관의 염증을 특징으로 한다. 1961년 가와사키 도미사쿠에 의해 처음 보고되었으며, 정확한 원인은 밝혀지지 않았지만 유전적 요인과 환경적 요인이 복합적으로 작용하는 것으로 추정된다. 주요 증상으로는 5일 이상 지속되는 고열, 양측성 결막염, 입술 및 구강 점막의 변화, 다양한 형태의 발진, 손발의 홍반 및 부종, 경부 림프절 비대 등이 나타난다. 진단은 임상 증상과 검사 소견을 종합하여 이루어지며, 치료는 급성기 염증 반응을 억제하고 관상동맥 합병증을 예방하는 데 중점을 둔다. 정맥내 면역글로불린(IVIG)과 아스피린이 표준 치료법이며, 관상동맥류와 같은 합병증이 발생할 수 있어 조기 진단과 치료가 중요하다. 가와사키병은 아시아 국가에서 발병률이 높으며, 혈관 조영술과 심장 초음파 검사 등을 통해 관상동맥의 상태를 확인한다.
더 읽어볼만한 페이지
- 혈관 질환 - 동맥경화증
동맥경화증은 동맥 벽이 굳고 두꺼워지는 질환으로, 세동맥경화증, 묀케베르크 경화증, 죽상동맥경화증으로 나뉘며, 특히 죽상동맥경화증은 혈관 내 죽상판 형성으로 심혈관 질환을 유발하는 주요 질환이다. - 혈관 질환 - 동맥류
동맥류는 동맥벽 약화로 동맥이 비정상적으로 부풀어 오르는 질환으로, 진성 동맥류와 가성 동맥류로 나뉘며, 크기, 위치, 원인에 따라 다양한 종류가 있고 파열 시 심각한 합병증을 유발할 수 있어 영상검사를 통해 진단 후 수술 또는 혈관내 시술로 치료한다. - 원인 불명의 질병 - 파킨슨병
파킨슨병은 뇌의 흑질에서 도파민을 생성하는 신경세포 손실로 발생하는 신경퇴행성 질환으로, 진전, 서동증, 근육 강직, 자세 불안정과 같은 운동 증상과 신경정신 증상, 인지 장애, 자율신경계 장애와 같은 비운동 증상이 나타나며, 증상 관리를 위한 약물 치료, 심부 뇌 자극술, 재활 치료 등이 시행된다. - 원인 불명의 질병 - 섬유근육통
섬유근육통은 중추신경계의 통증 신호 처리 이상으로 발생하는 만성 전신 통증 질환으로, 만성적인 전신 통증, 피로, 수면 장애가 주요 증상이며, 삶의 질 저하를 초래한다. - 자가 면역 질환 - 류마티스 관절염
류마티스 관절염은 관절 활막의 만성 염증성 질환으로, 조기 진단과 적극적인 치료를 통해 질병 진행을 늦추고 삶의 질을 향상시키는 것이 중요하며, 진단에는 류마티스 인자와 항CCP 항체가 사용되고 메토트렉세이트 등의 약물로 치료한다. - 자가 면역 질환 - 크론병
크론병은 위장관에 만성 염증을 일으키는 질환으로, 유전적 요인, 면역계 이상, 환경적 요인이 복합적으로 작용하며 복통, 설사, 합병증 등을 유발할 수 있고, 약물 요법, 영양 요법, 수술 등으로 치료하며 완치 치료법은 없다.
2. 역사
가와사키 도미사쿠(川崎富作)는 1961년 1월 도쿄의 적십자 병원에서 발열과 발진이 있는 4세 아이를 통해 처음으로 이 질환을 보고하였고, 이후 50건의 유사한 사례를 보고하였다.[201] 1967년 가와사키는 일본어 논문을 통해[178], 1974년에는 영어 논문을 발표하여 이 질환을 학계에 알렸다.[177] 처음에는 일개 소아과 의사의 보고로 치부되었으나, 미국에서 비슷한 증례가 보고되면서 새로운 질병으로 인식되기 시작했다.
1978년, 세계 보건 기구(WHO)의 국제질병분류(ICD)에 가와사키병이 등재되었다.[177]
가와사키병은 초기에 가와사키시의 공해병으로 오해받기도 했으나, 연구 결과 관련이 없는 것으로 밝혀졌다.
최근 코로나19와 관련된 소아 다기관 염증 증후군(MIS-C)과의 연관성이 제기되고 있다. 2020년에는 유럽과 미국에서 코로나19에 감염된 일부 어린이들이 가와사키병과 유사한 증상을 보인다는 보고가 잇따랐다.[194]
2. 1. 한국에서의 가와사키병
가와사키병은 1961년 일본 적십자사 중앙 병원(현 일본 적십자사 의료센터)의 소아과 의사 가와사키 도미사쿠가 처음 발견했다. 당시 가와사키는 원인을 알 수 없는 열이 나고 손발의 피부가 벗겨지며, 항생 물질이 듣지 않는 어린이 환자를 진찰했다.[177] 가와사키는 비슷한 증상의 환자들을 계속 진료하면서 이전에 알려지지 않은 새로운 질병임을 확신하게 되었다.[177]하지만 이 질병은 처음에는 가와사키시 해안 공업 지대의 대기 오염으로 인한 공해병으로 오해받기도 했다. 당시 가와사키시에서는 공해로 인해 기관지 천식이 많이 발생했기 때문이다.[177]
3. 원인
가와사키병의 정확한 원인은 아직 밝혀지지 않았지만,[92][93][94][128] 유전적 요인과 환경적 요인이 복합적으로 작용하는 것으로 추정된다.[2][95]
주요 가설:
- 감염설: 감염이 원인일 수 있다는 증거가 있으며,[97] 특히 RNA 바이러스에 의한 상기도 감염이 의심되지만,[2] 집중적인 연구에도 불구하고 단일 병원체는 확인되지 않았다.[96]
- 슈퍼항원설: 슈퍼항원이 과도한 면역 반응을 유발하여 가와사키병을 일으킬 수 있다는 가설이 제기되었다.[128][99]
- 자가항원설: 어떤 감염이나 계기로 인해 전신 혈관, 특히 중소 동맥에 대한 자가면역 반응이 유발되어 가와사키병이 발생한다는 가설이다.
- RNA 바이러스설: 새로운 RNA 바이러스가 가와사키병의 원인일 수 있다는 가설이 제기되었다.[2]
최근 연구 동향:
- 바람과 관련된 요인: 중국 북동부에서 발생하여 바람을 타고 이동하는 특정 물질이 가와사키병의 원인일 수 있다는 가설이 제기되었다.[2][105] 중앙아시아에서 불어오는 바람은 일본, 하와이, 샌디에이고의 가와사키병 환자 수와 상관관계가 있으며,[102] 엘니뇨-남방진동의 영향을 받는다.[103]
- 중국 농업과의 연관성: 2014년 국제 연구팀은 중국 북동부 곡창 지대에서 오는 바람에 포함된 독소가 일본에서 가와사키병을 유발할 수 있다고 추정했다.[192] 중국의 농업 정책 변화와 가와사키병 유행 시기가 일치한다는 점도 주목할 만하다.[192]
- 유전적 요인: 이화학 연구소 연구팀은 가와사키병 발병률과 관련된 몇 가지 단일 염기 다형성(SNP)을 발견했으며,[193] 특히 일본인에게서 고빈도로 나타나는 SNP를 확인했다.[193]
기타:
- 1979년에는 칸디다,[182] 1990년에는 A군 연쇄상구균,[183] 2005년에는 가성결핵균,[184] 2009년에는 포도상구균이나 간균[185][186] 등이 원인으로 제기되기도 했다.
- 2020년에는 코로나19에 감염된 일부 어린이들이 가와사키병과 유사한 증상을 보인다는 보고가 있었다.[194]
가와사키병은 가나가와현 가와사키시의 가와사키 공해와는 관련이 없다.
4. 증상
가와사키병은 급성기, 아급성기, 회복기의 세 단계를 거치며 다양한 임상 증상을 보인다. 주요 증상은 다음과 같다:[7]
- 5일 이상 지속되는 원인 불명의 발열 (치료로 5일 미만으로 해열된 경우도 포함)
- 양쪽 눈의 결막 충혈 (눈꼽 없음)
- 입술 또는 혀의 변화: 붉은 입술 또는 붉고 갈라진 입술, 딸기 혀, 구강 내 점막의 붉어짐
- 형태가 정해지지 않은 몸의 붉은 점(발진)
- 손발의 붉어짐 또는 붓기(부종)
# 목에서 만져지는 덩어리(림프절)
간혹 2~3가지의 증상만 있으나 다른 의심되는 질환이 없는 경우 불완전 가와사키병(incomplete Kawasaki disease영어)으로 의심할 수 있다.[16][17][18]
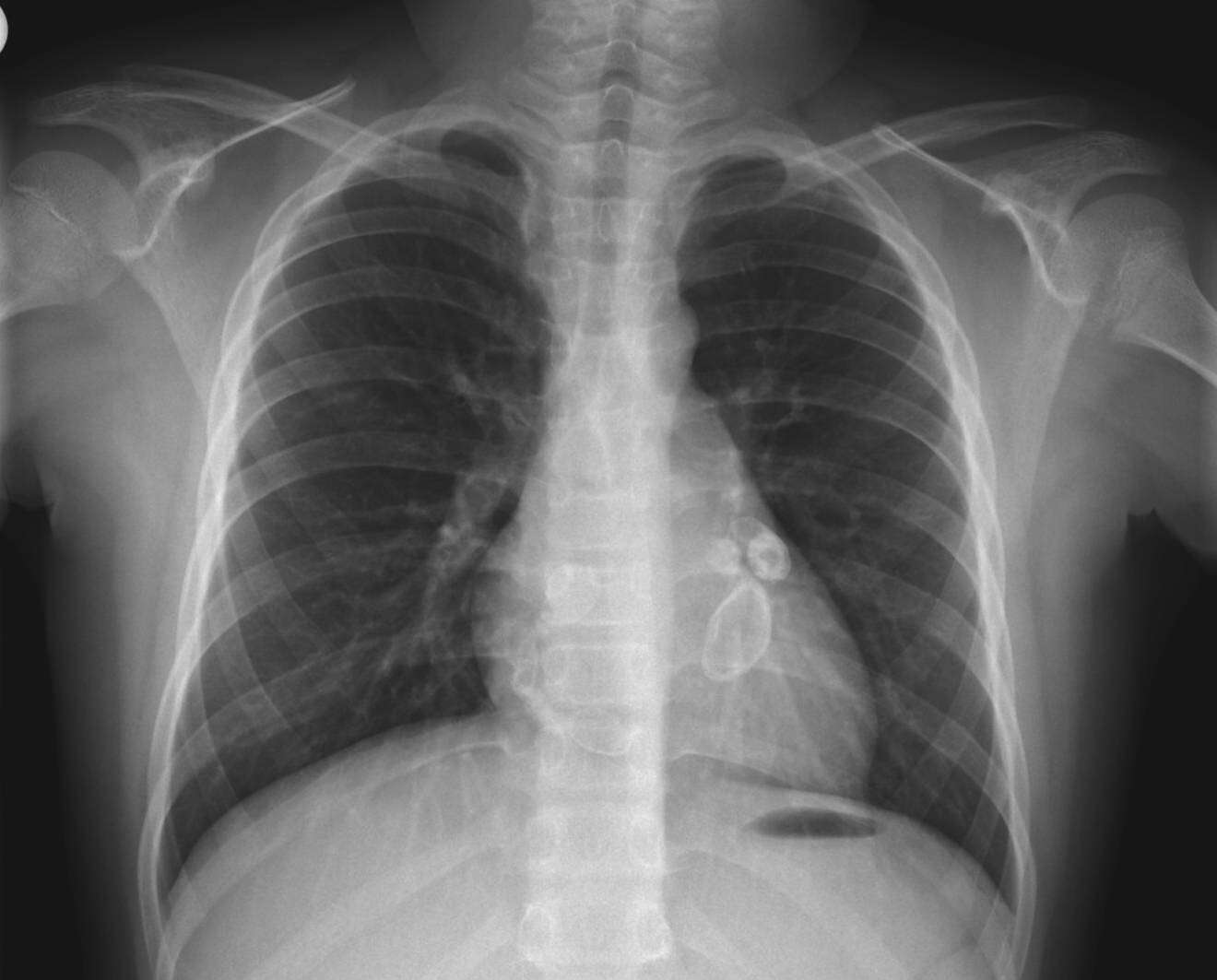
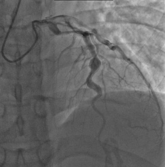
인체 내에서 중간 정도 크기의 동맥에 염증이 발생할 수 있으며, 그 중 심장근육에 혈액을 공급하는 관상동맥에 영향을 끼칠 수 있으므로 관상동맥의 확장이 있는지 심장초음파를 통해 확인한다.

초기에는 급성 열성 질환(급성기)으로 전신의 혈관 벽에 염증이 발생하며, 대부분 1~2주 내에 증상이 완화되지만 1개월 정도로 길어지는 경우도 있다. 염증이 심할 때는 겨드랑이나 사타구니의 혈관에 동맥류가 생기는 경우도 있다. 심장 혈관의 염증으로 인해 관상동맥의 시작 부분 근처와 좌관상동맥의 좌전하행지 및 좌회선지의 분기 부근에 동맥류가 생기기 쉽다.
4. 1. 급성기
가와사키병은 파라세타몰(아세트아미노펜)이나 이부프로펜과 같은 일반적인 치료에 잘 반응하지 않는 고열과 지속적인 열로 시작되는 경우가 많다.[13][14] 이는 가와사키병의 가장 두드러진 증상이며, 질병이 급성기에 있다는 특징적인 징후이다. 열은 일반적으로 높고(39–40 °C 이상) 재발열로 나타나며, 극심한 과민성이 뒤따른다.[14][15]열이 시작된 첫날을 질병의 첫날로 간주하며,[13] 그 지속 기간은 일반적으로 1~2주이다. 치료를 하지 않으면 3~4주까지 연장될 수 있다.[7] 지속적인 열은 심장 질환의 발생률 증가와 관련이 있다.[19] 해열제에 부분적으로 반응하며, 항생제를 투여해도 멈추지 않는다.[7] 그러나 적절한 치료—정맥 면역 글로불린과 아스피린—가 시작되면 이틀 후에 열이 가라앉는다.[20]
양측 결막염은 열 다음으로 가장 흔한 증상으로 보고되었다.[21][22] 이는 일반적으로 구결막을 포함하며, 고름이 동반되지 않고 통증이 없다.[23] 이것은 일반적으로 질병의 급성기 동안 열이 시작된 직후에 시작된다.[13] 전방 포도막염은 세극등 검사에서 나타날 수 있다.[24][25] 홍채염도 발생할 수 있다.[26] 각막 침착물은 또 다른 눈 증상이다(세극등으로 감지할 수 있지만, 일반적으로 육안으로 보기에 너무 작다).[13][27]
가와사키병은 또한 일련의 구강 증상을 나타내는데, 가장 특징적인 것은 붉은 혀, 수직 균열이 있는 부어오른 입술, 출혈이다.[28] 구강 및 인두의 점막은 밝은 붉은색일 수 있으며, 혀는 전형적인 "딸기 혀" 모양을 가질 수 있다(뚜렷한 붉은색에 돌출된 미유두).[7][135] 이러한 구강 증상은 괴사성 미세혈관염과 피브린양 괴사로 인해 발생한다.[28]
경부 림프절 비대는 어린이의 50%에서 75%에서 나타나며, 다른 증상은 90%에서 발생한다고 추정되지만,[13][21] 때로는 지배적인 증상이 될 수 있다.[27][29] 진단 기준에 따르면, 적어도 하나의 손상된 림프절의 직경이 15mm 이상이어야 한다.[135] 영향을 받은 림프절은 무통증 또는 경미한 통증이 있으며, 압통이 없고 농포가 없으며; 인접한 피부의 발적이 발생할 수 있다.[13]
질병의 급성기에는 말단 부위의 변화로 손바닥과 발바닥의 홍반이 나타날 수 있으며, 이는 종종 뚜렷한 경계와 함께 나타난다.[13] 종종 손이나 발의 등 부분에 통증이 있는 둔한 부종이 동반되므로, 영향을 받은 어린이는 손에 물건을 잡거나 발로 체중을 지탱하는 것을 거부하는 경우가 많다.[7][13]
가장 흔한 피부 증상은 광범위한 반점-구진 홍반성 발진으로, 이는 매우 비특이적이다.[36] 발진은 시간에 따라 변하며 특징적으로 몸통에 위치한다; 이는 얼굴, 사지 및 회음부까지 더 퍼질 수 있다.[7] 많은 다른 형태의 피부 병변이 보고되었으며; 여기에는 성홍열양, 구진성, 두드러기성, 다형 홍반 유사 및 자색 반점 병변이 포함될 수 있으며; 심지어 소농포도 보고되었다.[37][38] 이는 다형성일 수 있으며, 가렵지 않으며, 일반적으로 열이 난 지 5일 이내에 관찰된다.[39] 그러나, 절대로 수포 또는 수포성은 아니다.[7]
가와사키병의 급성기에는 많은 장기에서 전신적인 염증 변화가 나타난다.[132] 관절통과 부종, 빈번하게 대칭적이며, 관절염도 발생할 수 있다.[21] 심근염,[40] 설사,[135] 심낭염, 판막염, 무균성 수막염, 폐렴, 림프절염, 간염이 있을 수 있으며, 이는 영향을 받은 조직 내에 염증 세포가 존재함으로써 나타난다.[132]
질병의 경과는 세 가지 임상 단계로 나눌 수 있는데, 그중 급성 열성 단계는 일반적으로 1~2주 동안 지속되며, 열, 결막 충혈, 구강 점막의 홍반, 손과 발의 홍반 및 부종, 발진, 경부 림프절 비대, 무균성 수막염, 설사 및 간 기능 부전이 특징이다.[135] 심근염은 이 기간 동안 흔하며, 심낭 삼출이 있을 수 있다.[13] 관상 동맥염이 있을 수 있지만 동맥류는 일반적으로 아직 심장 초음파 검사로 보이지 않는다.
4. 2. 아급성기
아급성기에는 열이 시작된 후 2~3주 이내에 손톱 주위에서 시작하여 손바닥과 발바닥까지 확장될 수 있는 피부 벗겨짐(박탈)이 나타난다.[33] 질병의 영향을 받은 어린이의 약 11%는 수년 동안 피부 벗겨짐이 계속될 수 있다.[34] 열이 시작된 지 1~2개월 후에는 손톱에 깊은 가로 홈(보우선)이 생길 수 있으며,[35] 때때로 손톱이 빠지기도 한다.[35] 이 시기에는 혈소판 증가증이 나타나며, 관상 동맥 동맥류가 발생할 위험이 가장 높다.[13][43]4. 3. 회복기
모든 임상 증상이 사라지고 적혈구 침강 속도가 정상으로 돌아오는 시기이며, 일반적으로 질병이 시작된 후 6~8주까지 지속된다.[135] 회복기에는 열이 시작된 후 2~3주 이내에 손톱 주위에서 시작하여 손바닥과 발바닥까지 박탈될 수 있다.[33] 질병의 영향을 받은 어린이의 약 11%는 수년 동안 피부 벗겨짐이 계속될 수 있다.[34] 열이 시작된 지 1~2개월 후에는 손톱에 깊은 가로 홈(보우선)이 생길 수 있으며,[35] 때때로 손톱이 빠지기도 한다.[35]4. 4. 기타 증상
가와사키병은 설사, 복통, 구토와 같은 위장관 증상을 동반할 수 있다.[135] 또한, 관절통 및 관절염이 발생할 수 있으며, 때로는 대칭적으로 나타나기도 한다.[21]신경학적 증상으로는 무균성 수막염과 감각신경성 난청 등이 보고되었다.[21] 이외에도 기면, 반혼수 상태가 나타날 수 있다.[21]
BCG 접종 부위의 발적 및 가피 형성은 가와사키병에서 유의하게 관찰되는 소견 중 하나이다.[180]
다음은 덜 흔한 증상을 정리한 표이다.
4. 5. 비전형 가와사키병
가와사키병은 전형적인 증상을 모두 보이지 않는 경우가 있는데, 이를 비정형 가와사키병이라고 한다. 특히 영유아는 비정형적인 증상을 보이는 경우가 많아 주의가 필요하며, 진단에 어려움이 있을 수 있다.[45] incomplete Kawasaki disease영어로 의심할 수 있다.최근에는 비정형적이거나 불완전한 가와사키병 환자에게서 나타나는 것으로 보고되었지만,[16][17] 모든 경우에 나타나는 것은 아니다.[18]
어린이, 특히 어린 영아[45]는 전형적인 증상이 없는 비정형적인 증상을 보일 수 있다.[118] 이러한 증상은 심장 동맥 동맥류의 위험 증가와 관련이 있다.[13][46]
5. 진단
가와사키병은 특징적인 임상 증상과 검사 소견을 종합하여 진단한다. 확정적인 특정 검사법은 없으며, 비슷한 증상을 보이는 다른 질환과의 감별이 중요하다.
진단을 위해 주의 깊은 병력 청취와 철저한 신체 검사가 필요하다. 특히 질병 초기에는 진단이 어려워 여러 병원을 방문한 후에야 진단되는 경우가 많다. 성홍열, 독성 쇼크 증후군, 소아 특발성 관절염, 소아 수은 중독(영아지단증) 등 유사한 증상을 유발하는 질환들을 감별 진단에서 고려해야 한다.
2020년, COVID-19를 유발하는 바이러스인 SARS-CoV-2에 노출된 후 가와사키병 유사 질환에 대한 보고가 미국과 유럽에서 나타났다.[121][4] 세계 보건 기구는 COVID-19와의 연관성을 조사하고 있다.[122] 이 새롭게 나타나는 질환은 영국 왕립 소아 및 어린이 건강 대학에서 "소아 다기관 염증 증후군"으로 명명되었으며,[123] 질병 통제 예방 센터에서는 "소아 다기관 염증 증후군"으로 명명했다.[124] 이들 기관에서는 사례 진단 및 보고에 대한 지침을 발표했다.[123][122][124]
보고된 여러 사례에 따르면 이 가와사키병 유사 다기관 염증 증후군은 어린이에게만 국한되지 않으며, 성인에게도 유사한 질환이 발생할 가능성이 있으며, 이는 MIS-A로 명명되었다. 일부 의심 환자는 SARS-CoV-2에 대한 양성 검사 결과를 보였으며, 정맥 면역 글로불린, 항응고제, 토실리주맙, 혈장 교환술 및 스테로이드가 잠재적인 치료법으로 제시되고 있다.[125][126][127]
5. 1. 진단 기준
5일 이상의 발열과 함께 다음 5가지 주요 증상 중 4가지 이상을 만족해야 한다.
다른 알려진 질병 과정으로 설명될 수 없는 질환이어야 한다. 만약 관상 동맥 질환이 2차원 심장초음파 또는 관상동맥조영술로 입증된 경우, 발열과 세 가지 변화만 있으면 가와사키병 진단을 내릴 수 있다.
가와사키병에 대한 특정 실험실 검사가 없으므로, 진단은 실험실 소견과 함께 임상적 의학적 징후 및 증상을 기반으로 한다. 고전적으로는 5일의 발열 및 5가지 의학적 진단 기준 중 4가지를 충족해야 진단을 확립할 수 있다.
진단 기준은 다음과 같다.
- 입술 또는 구강의 홍반 또는 입술 갈라짐
- 몸통 발진
- 손이나 발의 부기 또는 홍반
- 충혈된 눈 (결막 충혈)
- 목의 15mm 이상의 부은 림프절
많은 어린이, 특히 유아는 위의 모든 기준을 나타내지 않는다. 다른 검사에서 가와사키병과 일치하는 이상을 나타내는 경우, 3일의 발열만 있고 최소 3가지 진단 기준이 충족된 경우에도 가와사키병 치료를 권장한다. 또한 적절한 임상 환경에서 관상 동맥 동맥류를 감지하여 순수하게 진단을 내릴 수 있다.
5. 2. 검사 소견
혈액 검사에서 전혈구 계산상 정상적혈구빈혈과 이후 혈소판 증가증이 나타날 수 있다.[117] 적혈구 침강 속도(ESR)와 C-반응 단백(CRP) 수치가 증가한다.[117] 간 기능 검사에서는 간 염증과 낮은 혈청 알부민 수치를 보인다.[117]다음은 선택적으로 시행할 수 있는 검사들이다.
- 심전도 검사: 심근염으로 인한 심실 기능 부전 또는 부정맥 징후를 확인한다.
- 심장 초음파 검사: 미세한 관상 동맥 변화나 동맥류를 확인한다.
- 초음파 검사 또는 컴퓨터 단층 촬영(CT): 담낭 수종(비대)을 확인한다.
- 소변 검사: 세균 증식 없이 소변에서 백혈구와 단백질이 검출될 수 있다(농뇨 및 단백뇨).
- 요추 천자: 무균 수막염 징후를 확인한다.
- 혈관 조영술: 과거 관상 동맥 동맥류 진단에 사용되었으나, 현재는 심장 초음파 검사로 대체되는 추세이다.
생체 검사는 진단에 필수가 아니어서 드물게 시행된다.[120]
6. 치료
가와사키병에 걸린 어린이는 소아청소년과에 내원하여 이 질병에 경험이 있는 의사의 진료를 받는 것이 좋다. 대학 병원에서는 소아 심장학, 소아 류마티스학, 소아 감염병 전문의가 진료를 공유하는 경우가 많다.[163] 관상동맥 손상을 예방하기 위해 진단 즉시 치료를 시작해야 한다.
초기 치료를 받으면 급성 증상에서 빠르게 회복될 수 있으며, 관상동맥 동맥류의 위험이 크게 감소한다. 치료하지 않으면 가와사키병의 급성 증상은 자연적으로 치유되지만, 관상동맥 침범의 위험은 훨씬 더 크며, 심지어 수년 후에도 나타날 수 있다. 젊은 성인의 심근경색증의 많은 사례가 소아기에 진단되지 않은 가와사키병으로 인해 발생한 것으로 현재 밝혀졌다. 전체적으로 환자의 약 2%가 관상동맥 혈관염의 합병증으로 사망한다.
IVIG 치료 후 증상이 재발될 수 있으며, 이 경우 재입원 및 재치료가 필요하다. IVIG 치료는 알레르기성 및 비알레르기성 급성 반응, 무균 수막염, 체액 과부하 등을 유발할 수 있다. 하지만 가와사키병 치료로 인한 생명을 위협하는 합병증은 매우 드물며, 특히 치료하지 않았을 때의 위험과 비교하면 더욱 그렇다. 드물게 치료 여부에 관계없이 가와사키병이 재발할 수 있다.
관상동맥 병변이 잘 생기는 발병 10일째에 심장 초음파 검사를 실시하고, 이상이 없으면 발병 후 6주에 다시 검사한다. 관상동맥 병변이 없으면, 그 시점에서 아스피린 복용을 중단한다. 5일 이상 발열이 지속되는 것이 진단 기준 중 하나이지만, 다른 진단 항목에서 가와사키병이 명확히 의심되는 경우에는 5일이 되기 전이라도 치료를 시작해야 한다. 늦어도 발병 7일 이내에 치료를 시작하는 것이 좋다.
6. 1. 급성기 치료
정맥내 면역글로불린(IVIG)은 급성기 가와사키병의 표준 치료 방식이며[206], 12시간 이상에 걸쳐 정맥점적주사로 투여하고 대개 36시간 관찰 기간을 가진다. 이후 12시간 동안 발열 여부에 따라 다음 단계 치료로 진행할지 결정된다. 2차 치료는 정맥내 면역글로불린만 쓰기도 하고 스테로이드 제제를 같이 투여하기도 한다. 그 외에 인플릭시맙, 혈장교환술 등이 있다.진단 후 발열 기간 동안 아스피린을 고용량(해열제 용량)으로 복용하며 48시간가량 발열이 없으면 저용량(혈전방지 용량)으로 변경하여 약 2달간 복용한다. 의사에 따라 아스피린을 저용량으로 시작하는 경우도 있다.
정맥 면역 글로불린 (IVIG)은 가와사키병의 표준 치료법[140]이며 고용량으로 투여되며, 일반적으로 24시간 이내에 현저한 개선이 관찰된다. 열이 반응하지 않으면 추가 용량을 고려할 수 있다. 드문 경우 세 번째 용량을 투여할 수도 있다. IVIG는 발열 시작 후 처음 7일 이내에 관상동맥 동맥류를 예방하는 데 가장 유용하다. 질병 발생 후 처음 10일 이내에 IVIG를 투여하면 심각한 부작용 없이 어린이의 관상동맥 손상 위험을 줄일 수 있다.[140]
살리실산염 치료, 특히 아스피린은 치료의 중요한 부분으로 남아 있지만(일부에서 의문을 제기함)[143], 살리실산염 단독으로는 IVIG만큼 효과적이지 않다.[144] 아스피린 치료는 열이 내릴 때까지 고용량으로 시작하고, 환자가 집으로 돌아간 후 일반적으로 혈전 형성을 예방하기 위해 두 달 동안 저용량으로 지속한다.
코르티코스테로이드도 사용되었지만,[149] 특히 다른 치료법이 실패하거나 증상이 재발할 경우, 무작위 대조 시험에서 면역 글로불린과 아스피린에 코르티코스테로이드를 추가해도 결과가 개선되지 않았다.[150] 또한, 가와사키병에서 코르티코스테로이드 사용은 관상동맥 동맥류의 위험 증가와 관련이 있으므로, 이 상황에서는 일반적으로 금기이다. IVIG에 반응하지 않는 가와사키병의 경우, 사이클로포스파미드 및 혈장 교환술이 가능한 치료법으로 조사되었으며, 결과는 다양했다. 그러나 2017년에 발표되고 2022년에 업데이트된 코크란 리뷰에 따르면 급성 가와사키병 단계에서 코르티코스테로이드 사용은 어린이의 관상동맥 이상 개선, 입원 기간 단축, 임상 증상 지속 시간 감소, 염증 지표 수준 감소와 관련이 있었다.[151]
가와사키병 치료의 목적은 급성기의 염증 반응을 가능한 한 조기에 종식시켜 관상동맥류 형성을 예방하는 것이다[195]。 초기 치료로는 면역 글로불린[196]과 프레드니솔론, 아스피린을 병용한다. 이 병용 요법으로 48시간 이내에 해열되지 않거나 2주 이내에 재발이 보이는 경우를 불응 사례로 한다[197]。
불응 사례에는 면역 글로불린과 사이클로스포린[198] 또는 인플릭시맙의 병용 투여를 실시하거나, 스테로이드 펄스 요법이 유용한 사례도 보고되고 있다. 또한 관상동맥이 확장되었는지 심장 초음파로 추적 관찰할 필요가 있다.
6. 2. 불응성 가와사키병 치료
정맥 면역 글로불린(IVIG)에 반응하지 않는 불응성 가와사키병의 경우, 다음과 같은 치료법이 고려될 수 있다.- IVIG 재투여: IVIG 치료에도 불구하고 발열이 지속되거나 재발하는 경우, IVIG를 추가로 투여할 수 있다.[140]
- 스테로이드 펄스 요법: 스테로이드 제재를 IVIG와 함께 투여하거나, 다른 치료법이 실패하거나 증상이 재발할 때 사용될 수 있다.[149]
- 면역억제제:
- 사이클로스포린: 조절된 칼슘-활성화 T 세포의 핵 인자 경로가 질병 발생에 관여할 가능성이 있어, 사이클로스포린과 IVIG 주입의 조합이 관상동맥 이상을 억제할 수 있다는 연구 결과가 있다.[148]
- 인플릭시맙: IVIG 내성 가와사키병 치료에 있어 IVIG 2차 투여보다 더 효과적이고 안전하며, 빠른 발열 해결과 입원 기간 단축을 제공한다는 연구 결과가 있다.[142]
- 혈장교환술: IVIG에 반응하지 않는 경우, 혈장 교환술이 가능한 치료법으로 조사되었으며, 결과는 다양하다.[151]
이 외에도 TNF 알파 차단제(TNF-α) 사용은 치료 내성을 줄이고 치료 시작 후 주입 반응을 줄일 수 있지만, 추가 연구가 필요하다.[147]
7. 합병증 및 예후

심장 합병증은 가와사키병의 가장 중요한 문제이며, 미국과 일본에서 소아기에 발생하는 심장 질환의 주요 원인이다.[135] 선진국에서는 급성 류마티스열을 대체하여 소아에서 발생하는 후천성 심장 질환의 가장 흔한 원인이 된 것으로 보인다.[13] 치료받지 않은 어린이의 20~25%에서 관상동맥류가 혈관염의 후유증으로 발생한다.[47] 이는 질병 발생 평균 10일째에 처음 감지되며 관상동맥 확장 또는 동맥류의 최대 발생 빈도는 발병 후 4주 이내에 발생한다.[43] 동맥류는 소형(혈관벽의 내경 <5 mm), 중형(직경 5–8 mm), 거대형(직경 > 8 mm)으로 분류된다.[135] 낭상 및 방추형 동맥류는 일반적으로 질병 발병 후 18~25일 사이에 발생한다.[13]
질병 발병 후 처음 10일 이내에 고용량 IVIG 요법으로 치료를 받더라도 가와사키병에 걸린 어린이의 5%는 최소 일시적인 관상동맥 확장을 겪으며, 1%는 거대 동맥류가 발생한다.[48][49][50] 관상동맥류 내 혈전 형성으로 인한 심근 경색 또는 큰 관상동맥류의 파열로 사망할 수 있다. 사망은 질병 발병 후 2~12주 사이에 가장 흔하게 발생한다.[13]
관상동맥류를 예측하는 많은 위험 요인이 확인되었으며,[19] IVIG 치료 후 지속적인 발열,[51][52] 낮은 헤모글로빈 농도, 낮은 알부민 농도, 높은 백혈구 수, 높은 밴드 수, 높은 CRP 농도, 남성, 1세 미만의 연령 등이 포함된다.[53]
가와사키병으로 인한 관상동맥 병변은 시간이 지남에 따라 역동적으로 변화한다.[7] 관상동맥류가 있는 혈관의 절반에서 질병 발병 후 1~2년 이내에 회복이 관찰되었다.[54][55] 혈관벽의 치유 과정의 결과로 발생하는 관상동맥의 협착은 종종 혈관의 심각한 폐쇄와 심장이 충분한 혈액과 산소를 공급받지 못하게 한다.[54] 이는 결국 심근 조직의 사망, 즉 심근 경색(MI)으로 이어질 수 있다.[54]
동맥류, 협착 또는 동맥류와 협착이 모두 있는 관상동맥 내 혈전성 폐쇄로 인한 MI는 가와사키병으로 인한 주요 사망 원인이다.[56] MI의 가장 높은 위험은 질병 발병 후 첫 해에 발생한다.[56] 소아의 MI는 성인의 증상과 다른 증상을 보인다. 주요 증상은 쇼크, 불안, 구토, 복통이었으며, 흉통은 나이가 많은 어린이에게서 가장 흔하게 나타났다.[56] 이러한 어린이의 대부분은 수면 중 또는 휴식 중에 발작이 발생했으며, 발작의 약 3분의 1은 무증상이었다.[13]
판막 부전증, 특히 승모판 또는 삼첨판은 관상동맥 관여와 관계없이 심장 판막의 염증 또는 심장 근육의 염증으로 유발된 심근 기능 장애로 인해 가와사키병의 급성기에 자주 관찰된다.[54] 이러한 병변은 급성 질환이 해결되면서 대부분 사라지지만,[57] 매우 적은 수의 병변이 지속되고 진행된다.[58] 가와사키병 발병 후 몇 달에서 몇 년에 이르는 시점에 섬유화된 판막의 비후 또는 변형으로 인한 후기 발병 대동맥 또는 승모판 폐쇄 부전도 있다.[59] 이러한 병변 중 일부는 판막 치환술이 필요하다.[60]
가와사키병의 다른 합병증으로는 다른 동맥의 동맥류, 즉 대동맥 동맥류[61]가 보고되었으며, 복부 대동맥[62][63], 액와 동맥 동맥류[64], 상완두 동맥 동맥류[65], 장골 및 대퇴 동맥 동맥류, 신동맥 동맥류가 더 많이 보고되었다.[7][66] 다른 혈관 합병증으로는 경동맥,[67] 대동맥,[68] 및 상완요골 동맥의 벽 비후 및 감소된 신장성이 발생할 수 있다.[69] 이러한 혈관 긴장 변화는 내피 기능 장애에 기인한다.[66] 또한, 관상 동맥 합병증이 있거나 없는 가와사키병 소아는 나중에 더 불리한 심혈관 위험 프로파일을 가질 수 있으며,[69] 혈전증이나 협착증과 같은 심혈관 질환을 조기에 감지하고 발병을 예방하기 위한 장기적인 모니터링 및 예방 접근 방식으로부터 이점을 얻을 수 있다.[9] 예방 접근 방식의 예로는 지질 저하 약물, 혈압 약물, 금연 및 건강한 활동적인 생활이 있다.[9]
가와사키병의 위장 관계 합병증은 헤노흐-쇤라인 자반증에서 관찰되는 것과 유사하며,[64] 장 폐쇄,[70] 결장 부종,[71] 장 허혈,[72] 장 가성 폐쇄,[73] 및 급성 복부[74] 등이 있다.
1980년대부터 이 질환과 관련된 눈 변화가 기술되었으며, 포도막염, 홍채모양체염, 결막 출혈,[75][76][77] 시신경염,[64] 흑암시, 및 안동맥 폐쇄로 발견된다.[78] 또한 괴사성 혈관염으로 발견되어 말초 괴저로 진행될 수 있다.[79]
중추 신경계 병변에 따른 신경학적 합병증이 점점 더 보고되고 있다.[80] 발견된 신경학적 합병증은 수막뇌염,[81] 경막하 삼출,[82][83] 대뇌 저관류,[84] 뇌 허혈 및 경색,[85] 소뇌 경색,[86] 발작, 무도병, 반신 불완전 마비, 정신 착란, 무기력증 및 혼수를 나타내며,[64] 심지어 신경학적 증상이 없는 뇌 경색까지 나타난다.[85] 뇌신경 침범으로 인한 다른 신경학적 합병증으로는 운동 실조,[64] 안면 마비,[87] 및 감각 신경성 청력 손실이 보고된다.[88][89] 행동 변화는 국소적인 대뇌 저관류에 의해 발생한다고 생각되며,[84] 주의력 결핍, 학습 결손, 정서 장애 (정서 불안정, 밤에 대한 두려움, 야경증) 및 내면화 문제 (불안한, 우울 또는 공격적인 행동)를 포함할 수 있다.[90][91]
초기 치료를 받으면 급성 증상에서 빠르게 회복될 수 있으며, 관상동맥 동맥류의 위험이 크게 감소한다. 치료하지 않으면 가와사키병의 급성 증상은 자연적으로 치유되지만(즉, 환자는 결국 회복됨), 관상동맥 침범의 위험은 훨씬 더 크며, 심지어 수년 후에도 나타날 수 있다. 젊은 성인의 심근경색증의 많은 사례가 소아기에 진단되지 않은 가와사키병으로 인해 발생한 것으로 현재 밝혀졌다. 전체적으로 환자의 약 2%가 관상동맥 혈관염의 합병증으로 사망한다.
증가된 염증의 실험적 증거와 인구 통계적 특징(남성, 6개월 미만 또는 8세 이상) 및 IVIG 치료에 대한 불완전한 반응이 결합되면 가와사키병 고위험 환자의 프로파일이 생성된다. 동맥류가 해결될 가능성은 초기 크기에 의해 크게 결정되는 것으로 보이며, 작은 동맥류가 퇴행할 가능성이 더 크다. 다른 요인으로는 가와사키병 발병 시 1세 미만인 경우, 낭상 동맥류 형태보다는 방추형 동맥류 형태, 그리고 원위 관상동맥 분절에서의 동맥류 위치 등이 동맥류의 퇴행과 긍정적인 관련이 있다. 협착으로의 가장 높은 진행률은 큰 동맥류가 발생하는 환자에서 발생한다. 가장 나쁜 예후는 거대 동맥류가 있는 어린이에게서 발생한다. 이러한 심각한 결과는 경피적 관상동맥 성형술, 관상동맥 스텐트 삽입술, 우회술, 심지어 심장 이식과 같은 추가 치료를 필요로 할 수 있다.
IVIG로 초기 치료 후 증상의 재발이 발생할 수 있다. 이로 인해 일반적으로 재입원 및 재치료가 필요하다. IVIG 치료는 알레르기성 및 비알레르기성 급성 반응, 무균 수막염, 체액 과부하, 그리고 드물게 기타 심각한 반응을 유발할 수 있다. 전반적으로 가와사키병 치료로 인한 생명을 위협하는 합병증은 매우 드물며, 특히 치료하지 않는 위험과 비교할 때 더욱 그렇다. 증거에 따르면 가와사키병은 질병의 임상적 해결 이후에도 지속되는 변화된 지질 대사를 생성한다.
드물게 치료 여부에 관계없이 가와사키병에서 재발이 발생할 수 있다.
관상 동맥 손상이 없는 경우에도 성인 이후의 원격기 심장 질환 위험 관리에 유의해야 한다. 발병 후 1~3주 정도에 10~20% 빈도로 관상 동맥에 동맥류가 나타나며, 드물게 심근 경색으로 인해 급사하는 경우가 있다. 관상 동맥류의 약 절반은 1~2년 정도에 퇴축(리글레션)되지만, 나머지 절반은 퇴축되지 않고 남는다. 관상 동맥 손상이 치유된 경우에도 관상 동맥의 상태는 성장과 함께 변화하여 심장 장애의 위험이 높아진다. 따라서 정기적인 검사가 필요하다. 거대한 류를 발생시킨 환자에서는 15년 후 약 70%가 관상 동맥 협착이나 폐색이 발견되지만, 60% 정도는 무증상이며 무증상 심근 경색이라고 불린다.
면역 글로불린 정맥 주사 요법으로 관상 동맥류의 빈도가 감소하고 있음이 밝혀진 한편, 여전히 거대 관상 동맥류의 빈도에는 큰 변화가 없으며, 더욱 효과적인 치료법을 향한 연구가 진행되고 있다.
관상 동맥 손상(협착)으로 인해 혈행이 충분히 확보되지 않는 경우 (심근 허혈)는 외과 수술로 치료를 한다. 구체적으로는 카테터를 이용한 경피적 관상 동맥 성형술(PTCA)과 관상 동맥 우회술(CABG)이 있으며, 발병 후 2년 이내에 시행하면 치료 효과가 높다. 한편, 발병 후 10여 년이 지나 혈관벽이 두꺼워지고 혈관 내부에 석회화가 진행된 경우에는 로터블레이터로 내벽을 깎아낸다. 그러나 카테터나 로터블레이터로 치료하면 다시 협착이 진행될 수 있다. 근본적인 치료는 관상 동맥 우회 수술이며, 심장으로의 혈행이 회복되면 운동 제한은 없어진다.
심근 허혈이 없는 경우에는 운동 제한을 할 필요는 없다.
8. 역학
가와사키병은 전 세계적으로 발생하며, 특히 일본, 한국, 대만 등 동아시아 국가에서 발병률이 높다.[2] 일본에서는 1980년대 후반부터 1990년대에 연간 약 6,000명이 발병하였고, 1999년에는 약 7,000명, 2000년에는 8,000명으로 증가 추세를 보였다. 2000년 이후에도 환자 발생은 계속되어, 2004년에는 환자 수가 10,000명을 넘었고, 2008년에는 11,756명이 보고되었다. 2008년에는 10만 명당 이환율(0-4세)도 218.6명으로 사상 최고를 기록했으며, 2018년에는 약 1만 7000명이 발병하였다. 지난 50년간 환자 수가 증가하는 "유행"기가 종종 관찰된다.
유전적 감수성은 전 세계적으로 일본계 어린이들 사이에서 발병률이 증가하고, 환자의 직계 가족과 먼 친척 사이에서도 발병률이 증가한다는 점으로 시사된다.[2] FCGR2A, CASP3, BLK, ITPKC, CD40 및 ORAI1의 SNP는 모두 감수성, 예후 및 관상동맥류 발생 위험과 관련이 있다.[108] HLA 영역의 유전자 다형성을 포함한 다양한 다른 가능한 감수성 유전자가 제안되었지만, 그 중요성에 대해서는 논쟁이 있다.[107]
참조
[1]
서적
Dermatology: 2-Volume Set
Mosby
[2]
논문
Diagnosis, Treatment, and Long-Term Management of Kawasaki Disease: A Scientific Statement for Health Professionals From the American Heart Association
2017
[3]
서적
Kawasaki Disease
StatPearls Publishing
[4]
논문
Autoimmune and inflammatory diseases following COVID-19
2020
[5]
논문
Emerging Insights Into the Pathophysiology of Multisystem Inflammatory Syndrome Associated With COVID-19 in Children
null
2023
[6]
논문
Multisystem inflammatory syndrome in children (MIS-C) associated with SARS-CoV-2: a systematic review
2020
[7]
논문
Kawasaki disease
2006-12
[8]
웹사이트
Merck Manual, Online edition: Kawasaki Disease
http://www.merck.com[...]
2016-08-26
[9]
논문
Lifetime cardiovascular management of patients with previous Kawasaki disease
2020
[10]
서적
Echocardiography in Pediatric and Congenital Heart Disease: From Fetus to Adult
https://books.google[...]
John Wiley & Sons
2015
[11]
웹사이트
Kawasaki Disease
https://www.ncbi.nlm[...]
NHLBI Health Topics
2014-06-11
[12]
논문
'[Acute febrile mucocutaneous syndrome with lymphoid involvement with specific desquamation of the fingers and toes in children]'
1967-03
[13]
논문
Kawasaki syndrome
1998-07
[14]
논문
General review and problems in Kawasaki disease
1995-01
[15]
서적
Textbook of pediatric rheumatology
Saunders
1995
[16]
논문
Incidence and clinical features of incomplete Kawasaki disease
1994-10
[17]
논문
Incomplete Kawasaki disease with coronary artery involvement
1987-03
[18]
논문
Fever is not always present in Kawasaki disease
2012-09
[19]
논문
Predictors of coronary artery lesions after intravenous gamma-globulin treatment in Kawasaki disease
2000-08
[20]
논문
A single intravenous infusion of gamma globulin as compared with four infusions in the treatment of acute Kawasaki syndrome
1991-06
[21]
논문
Associated symptoms of kawasaki disease
2011-07
[22]
논문
Incidencia y características clínicas de la enfermedad de Kawasaki
https://www.analesde[...]
2003-10
[23]
논문
'[Kawasaki disease and its ocular manifestations]'
[24]
논문
Anterior uveitis associated with Kawasaki syndrome
[25]
논문
Anterior uveitis as the initial sign of adult Kawasaki syndrome (mucocutaneous lymph node syndrome)
2000-01
[26]
논문
Kawasaki syndrome and the eye
1989-02
[27]
논문
Kawasaki disease with lymphadenopathy and fever as sole initial manifestations
2008-06
[28]
논문
Oral necrotizing microvasculitis in a patient affected by Kawasaki disease
http://www.medicinao[...]
2007-12
[29]
논문
Lymphadenitis as the dominant manifestation of Kawasaki disease
1994-03
[30]
논문
Hydrops of the gallbladder associated with Kawasaki syndrome
https://cs.nyu.edu/~[...]
1987-10
[31]
논문
Kawasaki disease presenting as parotitis in a 3-month-old infant
2009-11
[32]
논문
Quadro/Chart 3: Secondary clinical findings of Kawasaki disease
[33]
논문
Periungual desquamation in patients with Kawasaki disease
2009-06
[34]
논문
Recurrent skin peeling following Kawasaki disease
2000-10
[35]
논문
Líneas de Beau y enfermedad de Kawasaki
https://www.analesde[...]
2007-12
[36]
논문
Enfermedad de Kawasaki: presentación de cincuenta casos
https://www.aeped.es[...]
1999-01
[37]
논문
Pustulo-vesicular skin eruption in a child with probable Kawasaki disease
2005-12
[38]
논문
Pustular rash in Kawasaki syndrome
2007-12
[39]
논문
Diagnosis and therapy of Kawasaki disease in children
1993-05
[40]
논문
Not just coronary arteritis, Kawasaki disease is a myocarditis, too
2010-04
[41]
논문
Early treatment with intravenous immunoglobulin in patients with Kawasaki disease
2002-04
[42]
웹사이트
Clinical manifestations of Kawasaki disease
http://img.medscape.[...]
2011-12-01
[43]
논문
"[Two-dimensional echocardiography of coronary artery in Kawasaki disease (MCLS): detection, changes in acute phase, and follow-up observation of the aneurysm (author's transl)]"
1981-03
[44]
논문
Acute Kawasaki disease: not just for kids
2007-05
[45]
논문
Clinical spectrum of Kawasaki disease in infants younger than 6 months of age
1986-11
[46]
논문
Atypical Kawasaki disease: an often missed diagnosis
1992-08
[47]
논문
Coronary arterial lesions of Kawasaki disease: cardiac catheterization findings of 1100 cases
1986
[48]
논문
The prevention of coronary artery aneurysm in Kawasaki disease: a meta-analysis on the efficacy of aspirin and immunoglobulin treatment
https://www.crd.york[...]
1995-12
[49]
논문
Prevalence of coronary artery abnormalities in Kawasaki disease is highly dependent on gamma globulin dose but independent of salicylate dose
1997-12
[50]
논문
Guidelines for long-term management of patients with Kawasaki disease. Report from the Committee on Rheumatic Fever, Endocarditis, and Kawasaki Disease, Council on Cardiovascular Disease in the Young, American Heart Association
1994-02
[51]
논문
"[Risk stratification and prediction of resistance to intravenous immunoglobulin in Kawasaki disease]"
2008-02
[52]
논문
Intravenous gamma-globulin treatment in Kawasaki disease
1991-12
[53]
논문
Kawasaki disease: review of risk factors for coronary aneurysms
1986-03
[54]
논문
Long-term consequences of Kawasaki disease. A 10- to 21-year follow-up study of 594 patients
1996-09
[55]
논문
Regression of coronary aneurysms in patients with Kawasaki syndrome
1987-02
[56]
논문
Myocardial infarction in Kawasaki disease: clinical analyses in 195 cases
1986-06
[57]
논문
Tricuspid and mitral regurgitation detected by color flow Doppler in the acute phase of Kawasaki disease
1988-02
[58]
논문
Valvular heart disease in Kawasaki syndrome: incidence and natural history
1990-08
[59]
논문
Mucocutaneous lymph node syndrome (Kawasaki disease): delayed aortic and mitral insufficiency secondary to active valvulitis
1986-04
[60]
논문
Aortic valve replacement for aortic regurgitation due to Kawasaki disease. Report of two cases
1996-03
[61]
논문
Aortic root dilation in Kawasaki disease
https://www.academia[...]
2001-04
[62]
논문
Long-term follow up of abdominal aortic aneurysm complicating Kawasaki disease: comparison of the effectiveness of different imaging methods
1996-06
[63]
논문
Transient dilatation of the abdominal aorta in an infant with Kawasaki disease associated with thrombocytopenia
1995-08
[64]
논문
Prospective study of Kawasaki disease complications: review of 115 cases
2011-06
[65]
논문
Late-appearing brachiocephalic aneurysm: an atypical vascular sequella of Kawasaki disease
2009-02
[66]
논문
Endothelial dysfunction late after Kawasaki disease
1996-11
[67]
논문
Relationship between carotid intima-media thickness and arterial stiffness in children after Kawasaki disease
2007-01
[68]
논문
Pulse wave velocity and ankle brachial index in patients with Kawasaki disease
2004-08
[69]
논문
Novel and traditional cardiovascular risk factors in children after Kawasaki disease: implications for premature atherosclerosis
2004-01
[70]
논문
The surgical manifestations of the intestinal tract in Kawasaki disease
2005-09
[71]
논문
A case of Kawasaki disease with colonic edema
2008-08
[72]
논문
Ischemic small bowel strictures in a case of incomplete Kawasaki disease
2001-04
[73]
논문
Intestinal pseudoobstruction in Kawasaki disease
2004-05
[74]
논문
Acute surgical abdomen as presenting manifestation of Kawasaki disease
2003-06
[75]
논문
Ocular manifestations of Kawasaki's disease (mucocutaneous lymph node syndrome)
1982-06
[76]
논문
Eye involvement in Kawasaki disease
[77]
논문
Optic disc changes in Kawasaki disease
[78]
논문
Sudden unilateral blindness in a girl with Kawasaki disease
[79]
논문
Peripheral gangrene associated with Kawasaki disease
1992-01
[80]
논문
Kawasaki disease with predominant central nervous system involvement
https://www.research[...]
2001-09
[81]
논문
"[Meningoencephalitis in Kawasaki disease]"
1990-09
[82]
논문
Subdural effusion in the acute stage of Kawasaki disease (Mucocutaneous lymph node syndrome)
1988-03
[83]
논문
Bilateral subdural collections--an unusual feature of possible Kawasaki disease
[84]
논문
Cerebral hypoperfusion during acute Kawasaki disease
1998-07
[85]
논문
Asymptomatic cerebral infarction in Kawasaki disease
[86]
논문
Magnetic resonance studies of brain lesions in patients with Kawasaki disease
2006-01
[87]
논문
Facial nerve palsy complicating Kawasaki disease
https://www.research[...]
2008-09
[88]
논문
Sensorineural hearing loss and Kawasaki disease: a prospective study
https://kdfoundation[...]
[89]
논문
"[Sensorineural hearing loss associated to Kawasaki Disease]"
[90]
논문
Behaviour sequelae following acute Kawasaki disease
2005-05
[91]
논문
The effect of Kawasaki disease on cognition and behavior
2000-05
[92]
논문
Searching for the cause of Kawasaki disease-cytoplasmic inclusion bodies provide new insight
2008-05
[93]
웹사이트
Kawasaki Disease
http://www.americanh[...]
American Heart Association
2009-01-03
[94]
웹사이트
Kawasaki Disease: Causes
http://www.mayoclini[...]
Mayo Clinic
2009-01-03
[95]
논문
The Epidemiology and Pathogenesis of Kawasaki Disease
2018
[96]
논문
A framework for understanding Kawasaki disease pathogenesis
2020
[97]
논문
Monthly observation of the number of patients with Kawasaki disease and its incidence rates in Japan: chronological and geographical observation from nationwide surveys
[98]
논문
Is Kawasaki disease an infectious disorder?
2018
[99]
논문
Recent developments in Kawasaki disease
2001-06
[100]
논문
Understanding SARS-CoV-2-related multisystem inflammatory syndrome in children
2020-06
[101]
논문
A Comprehensive Update on Kawasaki Disease Vasculitis and Myocarditis
https://www.research[...]
2020
[102]
논문
Association of Kawasaki disease with tropospheric wind patterns
2011-11-10
[103]
논문
Kawasaki disease and ENSO-driven wind circulation
https://authors.libr[...]
[104]
논문
Infectious disease: Blowing in the wind
2012-04
[105]
논문
Tropospheric winds from northeastern China carry the etiologic agent of Kawasaki disease from its source to Japan.
2014-06-03
[106]
논문
Dissecting Kawasaki disease: a state-of-the-art review
2017
[107]
서적
Textbook of Pediatric Rheumatology
2016
[108]
논문
Kawasaki Disease: Global Burden and Genetic Background
2020
[109]
논문
Predisposing factors, pathogenesis and therapeutic intervention of Kawasaki disease
2016
[110]
서적
Nelson essentials of pediatrics
Elsevier Saunders
[111]
논문
EULAR/PReS endorsed consensus criteria for the classification of childhood vasculitides
2006-07
[112]
논문
European consensus-based recommendations for the diagnosis and treatment of Kawasaki disease – the SHARE initiative
https://discovery.uc[...]
2019
[113]
논문
Kawasaki Disease
2016
[114]
웹사이트
Kawasaki disease – Diagnosis and treatment
https://www.mayoclin[...]
2018-10-05
[115]
논문
Kawasaki Disease
http://www.aafp.org/[...]
1999-06
[116]
웹사이트
Kawasaki Disease Diagnostic Criteria
http://reference.med[...]
2016-05-30
[117]
논문
Serum albumin level predicts initial intravenous immunoglobulin treatment failure in Kawasaki disease
2010-10
[118]
논문
Kawasaki disease: guidelines of the Italian Society of Pediatrics, part I – definition, epidemiology, etiopathogenesis, clinical expression and management of the acute phase
2018
[119]
논문
Kawasaki disease and immunisation: Standardised case definition & guidelines for data collection, analysis
2016-12
[120]
논문
Kawasaki Disease
https://www.ncbi.nlm[...]
StatPearls Publishing
2019-07-24
[121]
논문
Multisystem inflammatory syndrome in children and Kawasaki disease: a critical comparison
2021-10-29
[122]
웹사이트
Multisystem inflammatory syndrome in children and adolescents with COVID-19
https://www.who.int/[...]
2020-05-16
[123]
간행물
Guidance – Paediatric multisystem inflammatory syndrome temporally associated with COVID-19
https://www.rcpch.ac[...]
The Royal College of Paediatrics and Child Health
[124]
웹사이트
Multisystem Inflammatory Syndrome in Children (MIS-C) Associated with Coronavirus Disease 2019 (COVID-19)
https://emergency.cd[...]
Centers for Disease Control and Prevention
2020-05-15
[125]
논문
COVID-19 associated Kawasaki-like multisystem inflammatory syndrome in an adult
2022-01-07
[126]
논문
Case Series of Multisystem Inflammatory Syndrome in Adults Associated with SARS-CoV-2 Infection — United Kingdom and United States, March–August 2020
2020-10-09
[127]
논문
An adult with Kawasaki-like multisystem inflammatory syndrome associated with COVID-19
2020-07-10
[128]
논문
How Should We Classify Kawasaki Disease?
2018
[129]
논문
SARS-CoV-2-Related Inflammatory Multisystem Syndrome in Children: Different or Shared Etiology and Pathophysiology as Kawasaki Disease?
2020
[130]
논문
"[Classification of systemic vasculitides]"
2008-03
[131]
웹사이트
necrotizing vasculitis – definition of necrotizing vasculitis
http://medical-dicti[...]
Free Online Medical Dictionary, Thesaurus and Encyclopedia
2010-05-19
[132]
논문
Pathology of Kawasaki disease in the healed stage. Relationships between typical and atypical cases of Kawasaki disease
1986-06
[133]
논문
Medium-size-vessel vasculitis
2010-09
[134]
논문
Clinical overview of vasculitic syndromes in the pediatric age
[135]
논문
"[Kawasaki disease]"
2009-08
[136]
논문
"[Medium and large vessel vasculitis]"
[137]
논문
Primær vaskulitis i barnealderen – nye klassifikationskriterier
https://ugeskriftet.[...]
2008-09
[138]
논문
Classification des vascularites systémiques
2007-05
[139]
논문
Do vasculitis categorization systems really matter?
2000-10
[140]
논문
Intravenous immunoglobulin for the treatment of Kawasaki disease in children
[141]
논문
Prediction Models for Intravenous Immunoglobulin Resistance in Kawasaki Disease: A Meta-analysis
2023-05
[142]
웹사이트
Comparing Two Treatments for IVIG-Resistant Kawasaki Disease - Evidence Update for Clinicians
https://www.pcori.or[...]
2024-05-09
[143]
논문
Treatment of acute Kawasaki disease: aspirin's role in the febrile stage revisited
2004-12
[144]
논문
Salicylate for the treatment of Kawasaki disease in children
2006-10
[145]
웹사이트
Kawasaki Disease Treatment & Management
https://emedicine.me[...]
2020-05-08
[146]
논문
High-Dose Aspirin is Associated with Anemia and Does Not Confer Benefit to Disease Outcomes in Kawasaki Disease
2015
[147]
논문
TNF-α blockers for the treatment of Kawasaki disease in children
2019-08
[148]
논문
Efficacy of primary treatment with immunoglobulin plus ciclosporin for prevention of coronary artery abnormalities in patients with Kawasaki disease predicted to be at increased risk of non-response to intravenous immunoglobulin (KAICA): a randomised controlled, open-label, blinded-endpoints, phase 3 trial
2019-03
[149]
논문
Corticosteroids in the initial treatment of Kawasaki disease: report of a randomized trial
2003-06
[150]
논문
Randomized trial of pulsed corticosteroid therapy for primary treatment of Kawasaki disease
2007-02
[151]
논문
Corticosteroids for the treatment of Kawasaki disease in children
2022-05-27
[152]
논문
A predictive instrument for coronary artery aneurysms in Kawasaki disease. US Multicenter Kawasaki Disease Study Group
1998-05
[153]
논문
Size of coronary aneurysm as a determinant factor of the prognosis in Kawasaki disease: clinicopathologic study of coronary aneurysms
1987
[154]
논문
Repeated quantitative angiograms in coronary arterial aneurysm in Kawasaki disease
1985-11
[155]
논문
Long-term prognosis of giant coronary aneurysm in Kawasaki disease: an angiographic study
1987-11
[156]
논문
Guidelines for catheter intervention in coronary artery lesion in Kawasaki disease
2001-10
[157]
논문
Catheter interventional treatment in Kawasaki disease: A report from the Japanese Pediatric Interventional Cardiology Investigation group
2000-08
[158]
논문
The role of coronary bypass operation on children with Kawasaki disease
http://download.lww.[...]
2002-12
[159]
논문
Cardiac transplantation for Kawasaki disease
1997-10
[160]
논문
Recurrent Kawasaki Disease
2018-08
[161]
서적
Cardiovascular Rheumatic Diseases, An Issue of Rheumatic Disease Clinics, E-Book
https://books.google[...]
Elsevier Health Sciences
2014
[162]
논문
The genetics of Kawasaki disease
https://www.jstage.j[...]
2018
[163]
웹사이트
Who Kawasaki Disease Affects
http://www.childrens[...]
Children's Hospital Boston
2009-01-04
[164]
웹사이트
Kawasaki Disease
https://www.ucsfbeni[...]
[165]
웹사이트
Kawasaki Syndrome
https://www.cdc.gov/[...]
2014-08-18
[166]
논문
Kawasaki Syndrome Hospitalizations in the United States, 1997 and 2000
2003
[167]
웹사이트
BBC Health: Kawasaki Disease
https://www.bbc.co.u[...]
2009-03-31
[168]
뉴스
Rare heart disease rate doubles
http://news.bbc.co.u[...]
BBC
2002-06-17
[169]
논문
P134 Collaborating with the National Congenital Anomaly and Rare Disease Registration Service to estimate national incidence of Kawasaki disease in England
2020-04-20
[170]
웹사이트
Kawasaki disease in kids at record high
https://www.japantim[...]
2012-03-17
[171]
논문
Clinical features of Kawasaki disease.
1968
[172]
논문
A new infantile acute febrile mucocutaneous lymph node syndrome (MLNS) prevailing in Japan
1974-09
[173]
논문
Mucocutaneous lymph node syndrome in the United States
1976-06
[174]
논문
Cases of morbid anatomy: aneurysms of coronary arteries in a boy
https://books.google[...]
1871
[175]
논문
History of the worldwide emergence of Kawasaki disease
https://escholarship[...]
2018
[176]
서적
Kawasaki disease: Proceedings of the 5th International Kawasaki Disease Symposium, Fukuoka, Japan, 22–25 May 1995
Elsevier
[177]
뉴스
川崎病 新型コロナで注目/発熱・発疹…欧米で子どもに類似症状 日本人が発見、免疫系が暴走?
https://www.nikkei.c[...]
日本経済新聞
2020-06-05
[178]
논문
指趾の特異的落屑を伴う小児の急性熱性皮膚粘膜淋巴腺症候群 : 自験例50例の臨床的観察
日本アレルギー学会
[179]
논문
乾癬様皮疹を示した川崎病の1例
https://doi.org/10.1[...]
[180]
논문
川崎病の臨床像
https://doi.org/10.1[...]
[181]
웹사이트
川崎病の罹患率「史上最高」はなぜ?
http://medical.nikke[...]
日経メディカル オンライン
2010-05-10
[182]
논문
カンジダの菌体抽出物によるマウスの実験的冠状動脈炎に関する研究 第1報
https://doi.org/10.3[...]
[183]
논문
コッホの postulates と川崎病のA群溶連菌感染症説 : II.川崎病をA群溶連菌による感染症と考えたい
1990-02-28
[184]
논문
川崎病の診断基準を満たし, 播種性血管内凝固を合併したYersinia pseudotuberculosis 4a感染症の1例
[185]
뉴스
川崎病、複数細菌原因か…抗菌薬で治療成功
https://web.archive.[...]
読売新聞社
2009-11-17
[186]
논문
Heat shock proteins and superantigenic properties of bacteria from the gastrointestinal tract of patients with Kawasaki disease
[187]
웹사이트
川崎病の病原因子は風に運ばれてくるのか
http://www.natureasi[...]
Scientific Reports
2011-11-11
[188]
웹사이트
国際研究チーム、川崎病の原因をほぼ特定
http://jp.sciencenew[...]
ScicnceNewsLine
2014-05-19
[189]
뉴스
川崎病、中国からの風が関与か…原因物質運ぶ?
http://www.yomiuri.c[...]
読売新聞
2014-05-20
[190]
뉴스
川崎病、中国からの菌類が原因か 自治医大など国際チーム
https://web.archive.[...]
共同通信
2014-05-20
[191]
뉴스
川崎病の原因物質 中国東北部から飛来か
https://www.jcp.or.j[...]
しんぶん赤旗
2014-05-20
[192]
웹사이트
川崎病の流行ピークと中国農業改革の節目が一致
https://news.yahoo.c[...]
Yahoo!Japanニュース
[193]
웹사이트
川崎病の発症に関わる「ORAI1遺伝子の多型」を発見-日本人に多い遺伝子多型が関与-
http://www.riken.jp/[...]
理化学研究所
2016-01-21
[194]
웹사이트
NEWS◎日本川崎病学会による緊急アンケート速報 川崎病症状を伴うCOVID-19、日本では認めず
https://medical.nikk[...]
日経BP
2020-05-08
[195]
문서
川崎病急性期治療のガイドライン(平成24年改訂版)
http://jspccs.umin.a[...]
[196]
논문
Efficacy of immunoglobulin plus prednisolone for prevention of coronary artery abnormalities in severe Kawasaki disease (RAISE study): a randomised, open-label, blinded-endpoints trial.
[197]
문서
川崎病急性期治療のガイドライン
http://www.kawasaki-[...]
[198]
논문
Efficacy of Primary Treatment With Immunoglobulin Plus Ciclosporin for Prevention of Coronary Artery Abnormalities in Patients With Kawasaki Disease Predicted to Be at Increased Risk of Non-Response to Intravenous Immunoglobulin (KAICA): A Randomised Controlled, Open-Label, Blinded-Endpoints, Phase 3 Trial.
[199]
논문
Kawasaki disease
2006-12
[200]
웹인용
Kawasaki Disease
http://www.ncbi.nlm.[...]
NHLBI Health Topics
2014-06-11
[201]
논문
"[Acute febrile mucocutaneous syndrome with lymphoid involvement with specific desquamation of the fingers and toes in children]"
1967-03
[202]
웹인용
일본 가와사키병학회 "코로나·가와사키병 연관성 없다"
https://news.naver.c[...]
연합뉴스
[203]
논문
Searching for the cause of Kawasaki disease--cytoplasmic inclusion bodies provide new insight
2008-05
[204]
웹인용
Kawasaki Disease
http://www.americanh[...]
American Heart Association
[205]
웹인용
Kawasaki Disease: Causes
http://www.mayoclini[...]
Mayo Clinic
[206]
논문
Intravenous immunoglobulin for the treatment of Kawasaki disease in children
본 사이트는 AI가 위키백과와 뉴스 기사,정부 간행물,학술 논문등을 바탕으로 정보를 가공하여 제공하는 백과사전형 서비스입니다.
모든 문서는 AI에 의해 자동 생성되며, CC BY-SA 4.0 라이선스에 따라 이용할 수 있습니다.
하지만, 위키백과나 뉴스 기사 자체에 오류, 부정확한 정보, 또는 가짜 뉴스가 포함될 수 있으며, AI는 이러한 내용을 완벽하게 걸러내지 못할 수 있습니다.
따라서 제공되는 정보에 일부 오류나 편향이 있을 수 있으므로, 중요한 정보는 반드시 다른 출처를 통해 교차 검증하시기 바랍니다.
문의하기 : help@durumis.com