파이어판
"오늘의AI위키"의 AI를 통해 더욱 풍부하고 폭넓은 지식 경험을 누리세요.
1. 개요
파이어판(Peyer's patch)은 소장 내벽에 위치한 림프 조직으로, 장관 면역에 중요한 역할을 한다. 1677년 스위스의 의사 요한 콘라트 파이어에 의해 처음 발견되었으며, 림프 소절이 모여 판 모양을 이루는 구조를 갖는다. 파이어판은 M 세포를 통해 항원을 포획하고, 면역 세포에 전달하여 면역 반응을 유도하며, 장내 미생물과 면역 조절의 상호 작용을 통해 장의 건강을 유지하는 데 기여한다. 파이어판의 비대 또는 기능 장애는 장중첩증, 프라이온병, 크론병과 같은 질환과 관련될 수 있다.
더 읽어볼만한 페이지
- 포유류해부학 - 뿔
뿔은 다양한 동물의 머리에 생기는 돌기로, 특히 포유류와 곤충에서 흔히 발견되며 무기, 지위 경쟁, 짝짓기 등 여러 역할을 수행한다. - 포유류해부학 - 엄니
엄니는 일부 동물의 입 밖으로 뻗은 이빨로, 사회적 지배력 과시, 방어, 도구 사용 등 종에 따라 다양한 기능을 하며, 특히 코끼리의 상아는 인간과의 관계 속에서 멸종 위기를 초래하기도 했다. - 인체해부학 - 포피
포피는 음경 귀두를 덮는 피부 조직으로, 외부 자극으로부터 귀두를 보호하고 성적 기능에도 관여하며, 포경, 귀두염 등의 질환과 관련될 수 있고, 포경수술을 통해 제거할 수 있다. - 인체해부학 - 몸무게
체중은 건강의 지표로서 영양 장애 선별 검사, 비만도 파악에 활용되며, 키에 비례한 몸무게를 나타내는 용어이고, 체중계로 측정 시 여러 요인을 고려해야 하며, 스포츠, 교통, 의학 등 다양한 분야에서 중요한 의미를 가진다. - 소화계 - 배변
배변은 대장의 연동운동, 직장의 작용, 항문 괄약근의 조절을 통해 체내 변을 항문으로 배출하는 생리적 과정으로, 배변 자세, 관련 질병, 사회문화적 요소, 심혈관계 합병증 위험 등과 관련된다. - 소화계 - 식도
식도는 소화계의 상부 기관으로, 입 뒤에서 시작하여 위까지 연결되며, 음식물 역류를 막고 삼키는 기능을 수행하며 다양한 질환이 발생할 수 있다.
| 파이어판 | |
|---|---|
| 개요 | |
![]() | |
| 라틴어 이름 | noduli lymphoidei aggregati |
| 전구체 | 림프계 조직 |
| 상세 정보 | |
| 발견자 | 요한 콘라트 파이어 |
| 기능 | 소장의 면역 감시 |
| 관련 질병 | 장티푸스 크론병 HIV 감염 |
| 위치 | 회장(소장) 하부 |
| 추가 정보 | |
| 참고 문헌 | Zijlstra M, Auchincloss H, Loring JM, Chase CM, Russell PS, Jaenisch R. Skin graft rejection by beta 2-microglobulin-deficient mice. The Journal of Experimental Medicine. 1992 Apr;175(4):885–93. |
2. 역사
1677년 스위스의 의사 요한 콘라트 파이어(Joseph Conrad Hans Peyer)는 소장 내부에 융모가 균일하게 분포하지 않고, 군데군데 융모가 없는 패치워크 모양의 영역이 있음을 발견하고, 이를 파이어의 판(Peyer's patch)이라고 명명했다.[3] 이후 조직학적 연구를 통해 이 판 아래, 즉 소장 점막의 고유판에 림프 소절이 평면 형태로 모여 있다는 것이 밝혀졌고, 이 림프 소절들의 집합을 파이어판이라고 부르게 되었다. 1850년 스위스 의사 루돌프 오스카 지글러(Rudolph Oskar Ziegler, 1828–1881)는 현미경 검사를 통해 파이어판이 림프선의 일종임을 제안했다.[5] 1970년대 면역학이 발전하면서 파이어판이 장관 면역, 즉 생체 방어와 관련된 면역 기구에서 중요한 기능을 한다는 것이 밝혀졌다.[1][4]
1677년 스위스의 의사 파이어는 소장 내부에 융모가 균일하게 분포하지 않고, 융모가 미발달된 영역이 패치워크처럼 점재하는 것을 발견하고 이를 파이어판이라고 명명했다. 이후 조직학적 연구를 통해 소장 점막의 고유판에 림프 소절이 평면상으로 모여 있는 것이 밝혀졌고, 이 림프 소절에 의한 판 모양의 림프 조직을 파이어판이라 부르게 되었다.
3. 구조
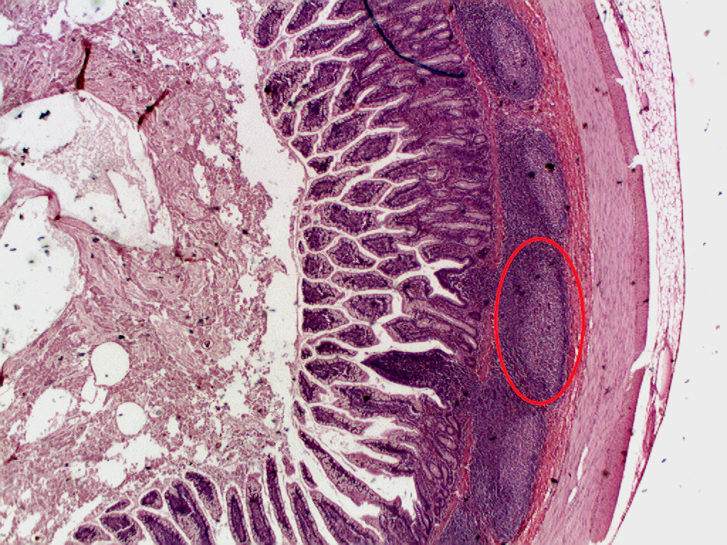
파이어판은 육안으로 관찰했을 때 길이가 몇 센티미터인 타원형의 장의 점막 비후로 나타난다. 사람에게는 약 100개 정도가 존재한다. 현미경으로 보면 회장의 점막층에 위치하고 점막하층까지 확장되는 타원형 또는 둥근 림프양 소포(림프절과 유사)로 나타난다.
파이어판의 수는 15~25세에 최고조에 달한 후 성인기 동안 감소한다.[2] 원위 회장에는 파이어판이 많이 존재하며, 림프양 고리를 형성한다. 사람의 경우 파이어판의 최소 46%가 회장의 원위 25cm에 집중되어 있다. 파이어판의 크기, 모양, 분포는 개인마다 큰 차이가 있다.[6]
성인의 경우 B 림프구가 소포의 배 중심을 지배하며, T 림프구는 소포 사이의 영역에서 발견된다. 단핵 세포 중 CD4+/CD25+ (10%) 세포와 CD8+/CD25+ (5%) 세포가 말초 혈액보다 파이어판에서 더 풍부하게 나타난다.[7]
파이어판은 모든 림프양 소포를 덮고 있는 소포 연관 상피(FAE)로 특징지어진다.[8] FAE는 전형적인 소장의 융모 상피와 다르다. 술잔 세포가 적어[9] 점액층이 더 얇고,[10] 항원의 흡수 및 수송을 제공하는 특수한 M 세포가 존재한다.[8] 또한 소포 연관 상피의 기저막은 장 융모에 비해 더 다공성이 높다.[11] 소포 연관 상피는 주로 tight junction 단백질의 발현이 높기 때문에 이온과 거대 분자에 대한 투과성이 낮다.[12]
3. 1. M 세포
M 세포(microfold cell)는 장의 상피 조직 일부로, 장관 내부와 맞닿아 있다. M 세포는 엔도사이토시스를 통해 장 내강의 세균 등의 항원을 섭취하고, 기저막 쪽에서 접촉하는 T 세포, B 세포, 대식세포 등에 항원 정보를 전달하여 파이어판 내 면역 세포군에 항원 정보를 전달한다. 파이어판 내에서는 여러 종류의 림프구 등이 복잡하게 정보를 처리한다. 이를 통해 병원성 미생물에 대해서는 IgA 분비를 중심으로 하는 면역 반응으로 배제하고, 음식물 유래 단백질이나 장 내 상재 세균에 대해서는 알레르기 반응 등의 과도한 면역 반응이 일어나지 않도록 면역 관용을 유도한다. 즉, 음식물 유래 단백질에 격렬한 면역 반응을 일으키는 음식물 알레르기에도 파이어판에서의 정보 처리가 깊이 관련되어 있다.
이질균과 같이, 병원성 생물 중에는 M 세포를 통한 파이어판의 이물질 섭취 및 제시 기구에 적응하여 감염을 일으키는 능력을 갖춘 경우도 있다.
4. 기능
파이어판은 장관 연관 림프 조직(GALT)의 일부로서, 장 내강에 대한 면역 감시 기능을 수행한다. 1970년대 면역학의 발달에 따라 장관 면역이라고 불리는 생체 방어 관련 면역 기구에서 중요한 기능을 담당하고 있다는 것이 판명되면서 그 기능이 서서히 밝혀지고 있다. 파이어판은 장내 병원성 미생물에 대한 면역 반응을 유도하여 감염을 방어하고, 음식물 항원이나 장내 상재균에 대해서는 면역 관용을 유도하여 과도한 면역 반응을 억제한다.
소장 안쪽에는 융모라는 작은 돌기가 밀집해 있어 영양분을 흡수하는데, 1677년 스위스의 의사 파이어(Joseph Conrad Hans Peyer)는 이 융모가 균일하게 있는 것이 아니라, 군데군데에 융모가 패치워크처럼 몰려 있는 것을 발견하고 파이어판(Peyer's patch)이라고 이름붙였다.
파이어판은 이물질을 포획, 감시, 파괴하는 면에서 편도가 호흡기계에서 하는 역할과 유사하게 소화기계에서 작용한다. CD122를 표적으로 하는 인터류킨-2 (IL-2) 신호전달로 B 세포의 선택적 세포 사멸을 유도하여 적응 면역 능력을 갖추고 있으며, B 세포 집단을 회복시킬 수 있다.[13]
파이어판의 면역에서 중요한 역할을 하는 것은 M 세포이다. M 세포는 장관 내강 측으로부터 엔도사이토시스를 통해 장관 내강의 세균 등 항원을 섭취하여 기저막 측에서 접촉하고 있는 T 세포, B 세포, 대식세포에 제시함으로써 파이어판 내의 면역 세포군에 항원 정보를 전달한다.
4. 1. 면역 반응 기전
장 내강의 항원은 M 세포에 의해 포획되어 파이어판 내의 항원 제시 세포 (수지상 세포, 대식세포 등)에 전달된다. 항원 제시 세포는 T 세포와 B 세포를 활성화시키고, 활성화된 림프구는 장간막 림프절로 이동하여 증식 및 분화한다. B 세포는 주로 IgA 항체를 생산하는 형질 세포로 분화하며, IgA는 장 점막을 통해 분비되어 병원체를 중화하고 장내 미생물 균형을 유지한다.[14][15] 동시에 소포 연관 상피의 세포간 경로는 항원의 침투와 면역 세포와의 지속적인 접촉을 방지하기 위해 단단히 닫혀 있다.[16]5. 임상적 의의
림프 조직의 과도한 증식은 면역 반응에 중요하지만, 파이어판의 비대는 특발성 장중첩증과 밀접한 관련이 있어 병리학적이다.[17]
파이어판이 너무 많거나 정상보다 클 경우, 프라이온병과 어린이의 장중첩증 위험이 증가하는 것과 관련이 있다. 바이러스 질환의 병력은 파이어판 비대 또는 염증의 위험 요소이다.[17]
살모넬라 타이피와 폴리오바이러스는 파이어판을 표적으로 삼아 감염을 일으킨다.
파이어판 내의 장내 미생물군과 면역 조절 장애는 크론병과 같은 자가면역 질환의 발병 기전에 관여한다. 크론병의 경우 과도한 면역 반응으로 인해 만성 염증이 발생할 수 있다. 파이어판은 면역 세포로 가득 차 있으며, 장의 균형을 유지하기 위해 분비형 IgA와 같은 보호 단백질을 생성하므로, 기능 장애는 부적절한 면역 반응을 유발하여 자가면역 질환의 특징인 염증 및 조직 손상을 유발할 수 있다.[18]
이질균과 같이 병원성 생물 중에는 M 세포에 의한 파이어판으로의 이물질 섭취 및 제시 기구에 적응하여 감염을 성립시키는 능력을 갖춘 것도 있다.
6. 기타
파이어판의 발달은 장내 세균의 영향을 받는 것으로 알려져 있다. 실제로 무균 상태로 사육한 마우스에서는 파이어판이 작아지는 것이 관찰되었다.[19] 또한, 세균성 이질균은 파이어판에 존재하는 M세포에 침입하는 것으로 알려져 있다.
참조
[1]
서적
Exercitatio Anatomico-Medica de Glandulis Intestinorum, Earumque Usu et Affectionibus
Onophrius à Waldkirch
1677
[1]
서적
Exercitatio Anatomico-Medica de Glandulis Intestinorum, Earumque Usu et Affectionibus
https://books.google[...]
Henrik Wetstein
1681
[2]
논문
Skin graft rejection by beta 2-microglobulin-deficient mice
1992-04-01
[3]
서적
Elementa Physiologiae corporis humani
https://books.google[...]
Societas Typographica
1765
[3]
서적
Exercitationes Anatomicæ ad Usum Medicum Accommodatæ
https://books.google[...]
Johann Ludwig Neuenhahn
1672
[3]
서적
Dissertatio Medica de Glandulis in Genere
https://wellcomecoll[...]
Martin Schultz
1683
[3]
서적
De Purgantium Medicamentorum Facultatibus
https://books.google[...]
Daniel, Abraham, and Adrian à Gaasbeek
1672
[3]
논문
A letter of Mr Lister dated May 21. 1673. in York, partly taking notice of the foregoing intimations, partly communicating some anatomical observations and experiments concerning the unalterable character of the whiteness of the chyle within the lacteous veins; together with divers particulars observed in the guts, especially several sorts of worms found in them.
https://royalsociety[...]
1673-06-23
[3]
서적
The Comparative Anatomy of Stomachs and Guts Begun. Being Several Lectures Read before the Royal Society. In the Year, 1676.
https://quod.lib.umi[...]
Self-published
1681
[4]
서적
The Cyclopædia of Anatomy and Physiology
https://books.google[...]
Longman, Brown, Green, Longmans, & Roberts
1859
[4]
서적
An Elementary Treatise on Human Anatomy
https://books.google[...]
J.B. Lippincott & Co.
1861
[5]
서적
Ueber die solitären und Peyerschen Follikel : Inaugural-Abhandlung, der medicinischen Facultät der Julius-Maximilians-Universität zu Würzburg vorgelegt
https://archive.org/[...]
Friederich Ernst Thein
1850
[6]
논문
Distribution of Peyer's patches in the distal ileum
2002-05-01
[7]
논문
Peyer's Patches: The Immune Sensors of the Intestine
2010-09-01
[8]
논문
Epithelial cell specialization within human Peyer's patches: an ultrastructural study of intestinal lymphoid follicles
1974-02-01
[9]
논문
Peyer's patches epithelium in the rat: a morphological, immunohistochemical, and morphometrical study
2001-05-01
[10]
논문
Mucus properties and goblet cell quantification in mouse, rat and human ileal Peyer's patches
[11]
논문
Distribution of the pores of epithelial basement membrane in the rat small intestine
2004-06-01
[12]
논문
Claudin expression in follicle-associated epithelium of rat Peyer's patches defines a major restriction of the paracellular pathway
2016-01-01
[13]
논문
CD122-targetted IL-2 signals cause acute and selective apoptosis of B cells in Peyer's Patches
2020-07-29
[14]
논문
Peyer's patch dendritic cells sample antigens by extending dendrites through M cell-specific transcellular pores
2012-03-01
[15]
논문
Innate and adaptive immune functions of peyer's patch monocyte-derived cells
https://amu.hal.scie[...]
2015-05-01
[16]
논문
Roadblock for antigens--take a detour via M cells
2016-01-01
[17]
서적
The ABSITE Review
LWW
2022-08-30
[18]
논문
Issues for patchy tissues: defining roles for gut-associated lymphoid tissue in neurodevelopment and disease
2023-03-01
[19]
웹사이트
腸内細菌と腸管免疫
http://leading.lifes[...]
2013-11-06
본 사이트는 AI가 위키백과와 뉴스 기사,정부 간행물,학술 논문등을 바탕으로 정보를 가공하여 제공하는 백과사전형 서비스입니다.
모든 문서는 AI에 의해 자동 생성되며, CC BY-SA 4.0 라이선스에 따라 이용할 수 있습니다.
하지만, 위키백과나 뉴스 기사 자체에 오류, 부정확한 정보, 또는 가짜 뉴스가 포함될 수 있으며, AI는 이러한 내용을 완벽하게 걸러내지 못할 수 있습니다.
따라서 제공되는 정보에 일부 오류나 편향이 있을 수 있으므로, 중요한 정보는 반드시 다른 출처를 통해 교차 검증하시기 바랍니다.
문의하기 : help@durumis.com
