크론병
"오늘의AI위키"의 AI를 통해 더욱 풍부하고 폭넓은 지식 경험을 누리세요.
1. 개요
크론병은 위장관에 만성 염증을 일으키는 질환으로, 1932년 버릴 B. 크론, 레온 긴즈버그, 고든 D. 오펜하이머에 의해 처음 보고되었다. 정확한 원인은 밝혀지지 않았지만 유전적 요인, 면역계 이상, 환경적 요인이 복합적으로 작용하는 것으로 알려져 있으며, 서구에서 발병률이 높다. 주요 증상으로는 복통, 설사, 발열, 체중 감소 등이 있으며, 심한 경우 장폐색, 누공, 농양 등의 합병증을 유발할 수 있다. 진단은 내시경 검사, 영상 검사, 조직 검사, 혈액 검사 등을 통해 이루어지며, 약물 요법, 영양 요법, 수술 등의 치료법이 사용된다. 현재 완치 치료법은 없으며, 질병의 활동성을 관리하고 합병증을 예방하는 것이 치료 목표이다.
더 읽어볼만한 페이지
- 막 수송 단백질 장애 - 부신백질이영양증
부신백질이영양증은 X 염색체 *ABCD1* 유전자 돌연변이로 초장쇄 지방산 수송 장애가 발생, 뇌 백질, 부신 피질 등에 초장쇄 지방산이 축적되어 신경학적 증상과 부신 기능 부전을 유발하는 유전 질환이다. - 막 수송 단백질 장애 - 지텔만 증후군
지텔만 증후군은 SLC12A3 유전자 돌연변이로 발생하는 상염색체 열성 유전 질환으로, 나트륨-염소 공동수송체 기능 상실을 초래하여 저칼륨혈증, 저마그네슘혈증, 대사성 알칼리증, 저칼슘뇨증 등의 전해질 불균형을 유발하며, 증상 완화 및 합병증 예방에 초점을 맞춘 치료가 이루어진다. - 복통 - 골반염
골반염은 여성 생식 기관에 성병균이 감염되어 아랫배 통증, 발열, 질 분비물 증가 등의 증상을 일으키며 불임과 같은 합병증을 유발할 수 있고, 골반 검사, 초음파 검사 등으로 진단하여 항생제 치료를 하며, 콘돔 사용과 정기적인 성병 검사로 예방할 수 있다. - 복통 - 췌장염
췌장염은 담석과 알코올 등의 원인으로 췌장에 염증이 생기는 질환으로, 급성 췌장염은 심한 복통과 구토를 유발하며 만성 췌장염은 당뇨병이나 췌장암으로 이어질 수 있고, 통증 관리와 합병증 예방을 중심으로 치료한다. - 작은창자 - 십이지장
십이지장은 위와 소장 사이에 위치하며 소화와 영양소 흡수에 중요한 역할을 하는 C자 모양의 기관으로, 4개의 부분으로 나뉘고 췌관과 총담관을 통해 소화 효소와 담즙을 분비하며, 십이지장 궤양 등의 질환이 발생할 수 있다. - 작은창자 - 빈창자
빈창자는 소장의 중간 부위로, 융모와 미세융모로 덮여 영양소 흡수 면적을 극대화하며 십이지장과 돌창자 사이에서 주로 수동 및 능동 수송을 통해 영양소를 흡수하고, 사망 후 비어있는 상태로 발견되는 경우가 많아 이름 붙여졌다.
| 크론병 | |
|---|---|
| 질병 개요 | |
| 이름 | 크론병 |
| 영어 이름 | Crohn's disease |
| 기타 이름 | 크론 질환 크론 증후군 육아종성 장염 국한성 장염 레스니오프스키-크론병 |
| 분야 | 소화기학 |
| 임상 정보 | |
| 증상 | 설사 복통 피로 체중 감소 발열 |
| 발병 시기 | 20–30세 |
| 지속 기간 | 평생 |
| 합병증 | 빈혈 장암 장폐색 협착 누공 농양 치열 |
| 원인 | 불확실 |
| 위험 요인 | 유전적 소인 선진국 거주 흡연 식단 (영양) 항생제 경구 피임약 아스피린 비스테로이드성 항염증제 |
| 진단 방법 | 대장내시경 캡슐 내시경 의료 영상 병리 조직 검사 |
| 감별 진단 | 궤양성 대장염 베체트병 장 림프종 장 결핵 허혈성 대장염 과민성 대장 증후군 |
| 치료 | 생물학적 제제 (TNF 차단제 포함) 면역억제제 (티오푸린 및 메토트렉세이트 포함) 코르티코스테로이드 |
| 예후 | 약간 감소된 기대 수명 |
| 통계 | |
| 빈도 | 10만 명당 약 300명 (북아메리카 및 서유럽) |
| 명명 | |
| 이름의 유래 | 버릴 버나드 크론 |
| 식별 코드 | |
| 질병 데이터베이스 (DiseasesDB) | 3178 |
| 국제 질병 분류 (ICD-10) | K50 |
| 국제 질병 분류 (ICD-9) | 555 |
| 온라인 멘델 유전형질 데이터베이스 (OMIM) | 266600 |
| 미국 국립 의학 도서관 (MedlinePlus) | 000249 |
| 의학 백과사전 (eMedicine) | med/477 ped/507 radio/197 |
| 의학 주제 표목 (MeSH) | D003424 |
| 이미지 | |
![]() | |
![]() | |
![]() | |
2. 역사
조반니 바티스타 모르가니는 해부병리학의 아버지로 불리며, 1761년 논문에서 심각한 위장 증상을 겪은 한 젊은 환자의 부검 결과를 기록하며 이 질병에 대한 초기 상세 기록 중 하나를 제공하였다.[45]
현재 크론병의 정확한 발병 기전은 밝혀지지 않았다. 유전적 소인을 가진 사람이 면역계 이상[50]을 겪으며, 식사 요인 등의 환경적 요인이 복합적으로 작용하는 것으로 알려져 있다. 특히 젊은 층에서 발병이 두드러지고, 서구 선진국에서 환자 수가 많기 때문에 동물성 단백질과 지방 섭취를 늘리는 서구화된 식습관이 관련되어 있다는 주장이 제기되기도 한다.
1903년 폴란드 외과의사 안토니 레슈니오프스키가 크론병 사례를 처음으로 주목할 만하게 보고하였다.[46] 1913년 스코틀랜드 외과의사 토마스 케네디 달지엘은 수술적 절제술로 치료받은 9명의 환자를 기술하였다.[45] 1932년 버릴 B. 크론, 레온 긴즈버그, 고든 D. 오펜하이머가 발표한 논문으로 널리 알려지게 되었는데, 이들은 14명의 환자에서 종말 회장의 만성 염증을 관찰하여 "국한성 회장염"이라는 용어를 제시하였다.[45]
이후 크론병은 식도에서 결장까지 위장관의 여러 부위에 영향을 미치는 것으로 인식되었다. 이 기간에는 병변 사이의 건강한 장 부위인 건너뛰기 병변이 확인되어 질병 병리에 대한 이해가 더해졌다. 1956년 아이젠하워 대통령이 이 질환으로 수술을 받은 후 크론병에 대한 대중의 인식이 크게 높아졌다.[45]
1960년에는 궤양성 대장염과 크론성 대장염이 공식적으로 별개의 질병으로 분류되었다. 이 시기 섬유관 결장경 검사와 생검 수행 능력과 같은 발전은 크론병 진단 및 관리를 크게 향상시켰다. 1989년에는 메토트렉세이트의 효능이 확인되었다.[45]
1990년대에는 항-TNF 제제를 포함한 생물학적 치료제로 치료 초점이 옮겨갔다. 영양 치료는 소아 및 영양 실조 사례 관리에서 중요성을 얻었다. MRI 장관조영술이 도입되었고, 2001년 FDA의 캡슐 내시경 승인으로 소장 영상 촬영이 개선되었다. 2005년 전장유전체연관분석이 시작된 이후 크론병과 관련된 여러 유전자 마커가 확인되었다.[45]
크론병 및 대장염 재단과 같은 지원 단체가 등장하여 환자 지원, 인식 개선, 연구 자금 지원에 기여하고 있다.[45]
원래 이 질병은 "국소성 회장염"으로 불렸지만, 후속 보고서에서 위장관 전체에 걸쳐 질병이 존재한다는 사실이 밝혀지면서 고유 명칭이 채택되었다.[45] 폴란드에서는 역사적으로 “레시오브스키-크론병”으로 불렸다.[46]
3. 원인
서구에서는 NOD2 (IBD1) 유전자의 기능 결손 다형성과 HLA 다형성이 크론병 발병에 큰 영향을 미치는 것으로 알려져 있다. 그러나 한국인을 포함하는 아시아인에서는 NOD2 유전자와의 연관성이 뚜렷하지 않다. 최근 연구에 따르면, 한국인 크론병 환자에게서는 TNFSF15 (TL1A)라는 사이토카인 유전자와의 연관성이 보고되었다. TL1A는 장관 염증과 관련된 사이토카인으로, 크론병 병변 부위에서 발현이 증가하는 것으로 알려져 있지만, 이 유전자의 다형성과의 연관성에 대해서는 아직 명확하게 밝혀지지 않았다.
2005년, R. Balfour Sartor 등은 소에게 설사를 동반하는 소모성 질환인 요네병을 일으키는 ''Mycobacterium avium'' subsp. ''paratuberculosis''가 우유나 기타 유제품을 통해 인체에 침입하여 크론병을 일으킬 수 있다는 가능성을 제시했다.[51] 그러나, ''Mycobacterium''의 관여를 부정하는 보고도 있다.[52][53][54] 2015년 현재까지 크론병 발병과 특정 세균이 직접적인 관련이 있다는 증거는 발견되지 않았다.[54]
3. 1. 개요
크론병의 정확한 발병 기전은 아직 밝혀지지 않았지만, 유전적 소인, 면역 체계 이상[50], 환경적 요인이 복합적으로 작용하는 것으로 추정된다. 젊은 층에서 많이 발생하며, 서구 선진국에서 환자가 많아 식생활의 서구화, 즉 동물성 단백질과 지방 섭취가 관련되어 있다는 주장도 있다.
서구에서는 NOD2 유전자 변이가 주요 위험 요인으로 꼽히지만, 한국인을 포함한 아시아인에서는 사이토카인의 일종인 TNFSF15 유전자 변이와의 연관성이 더 뚜렷하게 나타난다.
2005년에는 소에게 설사를 동반하는 소모성 질환인 요네병을 일으키는 ''Mycobacterium avium'' subsp. ''paratuberculosis''가 우유나 기타 유제품을 통해 인체에 침입하여 크론병을 일으킬 수 있다는 보고[51]가 있었으나, 2015년 시점에서는 크론병 발병과 어떤 세균이 직접적으로 관련되어 있다는 증거는 확인되지 않았다.[54]
3. 2. 유전적 요인
크론병 환자의 가족은 발병 위험이 더 높다. 크론병 환자의 1촌 친척은 발병 위험이 5배 증가하며, 일란성 쌍둥이의 경우 한 명이 크론병을 앓으면 다른 한 명이 발병할 위험이 38~50%이다. 전장유전체연관분석을 통해 크론병과 관련된 약 200개의 유전자좌가 확인되었으며, 대부분은 유전자 발현을 조절하는 비암호화 영역에 위치하고 강직성척추염 및 건선과 같은 다른 면역 관련 질환과도 중복된다.[20]
NOD2 돌연변이는 회장 크론병의 주요 유전적 위험 요인으로, 특히 파네트 세포를 포함한 면역 세포의 기능을 손상시킨다. 이러한 돌연변이는 크론병 환자의 10~27%에서 발견되며, 주로 백인 인구에서 많이 나타난다. 헤테로 접합자(돌연변이 유전자 하나)는 위험이 3배 증가하고, 호모 접합자(돌연변이 유전자 두 개)는 20~40배 증가한다.[17]
이 외에도 다음과 같은 유전자 변이가 크론병과 관련되어 있다.[21]
| 유전자 | 설명 |
|---|---|
| ATG16L1 | 자가포식과 면역 방어 기능을 손상시키며, 백인에게 더 흔하다. |
| IL23R | 인터루킨-23 경로의 염증 신호를 증가시키며, 백인에게 더 흔하다. |
| TNFSF15 | 아시아 인구에서 주요 유전적 위험 요인이다. |
| IL10RA | 인터루킨-10의 항염증 신호를 손상시켜 높은 침투율을 가진 조기 발병 크론병을 유발한다. |
서구에서는 크론병 발병이 NOD2 (IBD1)의 기능 결손 다형성과 HLA 다형성에 의해 크게 영향을 받지만, 일본인에서는 NOD2와의 연관성이 명확하지 않다. 최근 일본인 크론병과 사이토카인 유전자인 TNFSF15 (TL1A)와의 연관성이 보고되었다.
3. 3. 환경적 요인
흡연은 서구 국가에서 크론병의 주요 위험 요인이며, 발병 위험을 두 배로 증가시킨다.[21] 흡연은 질병 발생 시기를 앞당기고, 면역억제제 필요성을 증가시키며, 수술 횟수를 늘리고, 재발률을 높이는 것과 관련이 있다.[21] 일본에서는 간접흡연도 크론병과 관련이 있다는 연구 결과가 있어 인종적 차이가 관찰되었다.[21] 흡연이 크론병에 영향을 미치는 기전으로는 자가포식 장애, 면역 세포에 대한 직접적인 독성, 마이크로바이옴의 변화 등이 제시된다.[20]식단은 장내 미생물총에 영향을 주어 크론병 발생에 영향을 미칠 수 있다. 고지방, 저섬유질의 서구화된 식습관은 장내 미생물 다양성을 감소시켜 크론병의 위험을 증가시킨다.[21] 반대로, 고섬유질 식단은 장내 박테리아에 의한 섬유질 대사 과정에서 항염증성 단쇄지방산이 생성되어 크론병 위험을 최대 40%까지 감소시킬 수 있다.[20] 지중해식 식단 또한 후기 발병 크론병의 위험 감소와 관련이 있다.[21]
소아기 항생제 노출은 초기 장내 미생물총 변화를 유발하여 크론병 위험을 증가시킨다.[20] 경구 피임약, 아스피린, NSAIDS와 같은 약물도 크론병 위험을 최대 2배까지 증가시킬 수 있다.[20] 반면, 모유 수유와 스타틴 사용은 위험을 감소시킬 수 있지만, 모유 수유의 효과는 일관적이지 않다.[20]
3. 4. 면역학적 요인
크론병은 장내 세균에 대한 면역 반응 조절 이상으로 인해 발생하는 것으로 여겨진다.정상적인 장 대식세포는 병원체를 섭취하고 파괴하는 능력을 유지하면서 염증 반응을 줄인다. 크론병에서는 대식세포의 수와 활동이 감소하여 병원체가 장 조직으로 침입할 수 있다.[20] 대식세포는 자가포식을 통해 내부 병원체를 분해하는데, 이는 NOD2 및 ATG16L1과 같은 유전자의 크론병 관련 다형성에 의해 손상된다.[21] 또한, 크론병 환자는 TNF 및 IL-6과 같은 염증성 사이토카인을 분비하는 별개의 비정상적인 대식세포 집단을 가지는 경향이 있다.[20]
호중구는 염증 신호에 반응하여 혈류에서 모집되며, 항균 물질을 분비하고 병원체를 섭취하여 조직을 방어한다.[19] 크론병에서는 호중구 모집이 지연되고 자가포식이 손상되어 박테리아가 장 조직에서 생존할 수 있다.[20] 박테리아에 독성이 있는 활성산소종의 호중구 분비 장애는 매우 조기에 발병하는 크론병과 관련이 있다. 호중구는 박테리아 방어에 중요하지만, 크론병에서의 후속 축적은 상피 장벽을 손상시키고 염증을 지속시킨다.[21]
선천성 림프구(ILC)는 ILC1, ILC2 및 ILC3을 포함한 하위 유형으로 구성된다. ILC3는 NCR- ILC3에 의한 IL-17 및 NCR+ ILC3에 의한 IL-22 분비를 통해 상피 장벽을 재생하는 데 특히 중요하다. 크론병 동안 항원 제시 세포(예: IL-23)의 염증 신호는 과도한 IL-17 및 IL-22 분비를 유발한다. 이러한 사이토카인은 장벽을 보호하지만 과도한 생성은 증가된 염증과 호중구 모집을 통해 장벽을 손상시킨다. 또한, 활성화된 수지상 세포의 IL-12는 NCR+ ILC3가 염증성 IFNγ 생성 ILC1로 변형되도록 영향을 미친다.[24]
순진 T 세포는 주로 수지상 세포에 의해 활성화되며, 그런 다음 균형을 유지하기 위해 항염증성 T 조절 세포(Tregs) 또는 염증성 T 도움 세포로 분화된다. 크론병에서는 대식세포와 항원 제시 세포가 병원체에 반응하여 IL-12, IL-18 및 IL-23을 분비하여 Th1 및 Th17 분화를 증가시키고 IL-17, IFNγ 및 TNF를 통해 염증을 촉진한다. IL-23은 특히 중요하며, 활동을 증가시키는 IL-23 수용체 다형성은 크론병과 관련이 있다. Tregs는 IL-10을 통해 염증을 억제하며, IL-10 및 그 수용체의 돌연변이는 매우 조기에 발병하는 크론병을 유발한다.[21]
3. 5. 장내 미생물총
크론병 환자는 미생물총 변화를 보이는 경향이 있지만, 질병 특이적 미생물은 밝혀지지 않았다. 미생물총 변화는 환경적 요인과 크론병을 연결할 수 있지만, 인과관계는 불확실하다. 특히 염증을 줄이는 단쇄지방산을 생성하는 프라우스니치이 팍칼리박테리움(Faecalibacterium prausnitzii)을 포함하여 후벽균류(Firmicutes)는 감소하는 경향이 있다. 후벽균문(Bacteroidetes)과 프로테오박테리아(proteobacteria)는 증가하는 경향이 있으며, 특히 장 상피 세포에 부착되는 부착성 침입성 대장균(E. coli)이 그러하다. 또한 점액 용해성 및 황산염 환원 박테리아가 증가하여 장벽 손상에 기여한다.[20]장내 바이러스 및 곰팡이 군집의 변화는 크론병에 기여할 수 있다. 크론병 어린이에게서 발견되는 카우도비랄레스(Caudovirales) 박테리오파지 서열은 조기 발병 질환의 잠재적 바이오마커를 시사한다. 메타 분석에 따르면 크론병 환자의 바이러스 다양성은 건강한 사람에 비해 낮았으며, 시네코코쿠스 파지 S CBS1(Synechococcus phage S CBS1) 및 레트로비리다이(Retroviridae) 바이러스가 증가했다. 또한 일본 연구에 따르면 크론병 환자의 곰팡이 마이크로바이옴은 건강한 사람과 상당히 다르며, 특히 칸디다가 풍부하다.[21]
4. 증상
크론병의 주요 증상은 설사, 메스꺼움, 구토, 출혈, 피로, 빈혈, 복통, 발열, 식욕 상실, 체중 감소, 영양 실조, 피부 발진 등이다.[21] 염증은 위장관 어디에서나 발생할 수 있으며, 주로 회장과 결장에서 발생하고 장의 모든 층을 침범할 수 있다.[21]
크론병은 장내 세균에 대한 면역 반응 조절 이상으로 인해 발생하는 것으로 알려져 있다. 정확한 기전은 밝혀지지 않았지만, 장벽 투과성 증가와 선천 면역 반응 결핍으로 인해 세균이 장 조직으로 침입하여 과도한 염증 반응을 유발하는 것으로 추정된다. 변화된 미생물총 또한 원인으로 작용할 수 있다.[19][20]
주요 자각 증상으로는 복통(약 80%), 설사(약 80%)가 있으며, 이 외에도 발열, 체중 감소, 항문 병변(치루, 항문 열창, 항문 궤양 등), 구토 등이 나타날 수 있다. 궤양성 대장염에 비해 혈변, 점액 혈변, 출혈은 비교적 드물다.
크론병은 소화관 점막 전층에 염증이 생기는 질환이므로, 심한 경우 궤양, 협착, 누공, 천공 등이 발생할 수 있다. 장폐색이나 소화관 천공이 발생하면 소화관 절제술 등 외과적 치료가 필요할 수 있다.
4. 1. 개요
크론병의 증상은 소화관 전체에 걸쳐 다양하게 나타나며, 개인마다 차이가 있을 수 있다. 주요 증상으로는 설사, 복통, 체중 감소, 피로감, 발열 등이 있다.[21] 크론병은 장염의 재발성 발병을 특징으로 하며, 설사와 복통이 주요 증상이다. 증상은 비특이적일 수 있으며 서서히 진행되며, 많은 사람들이 진단을 받기 몇 년 전부터 증상을 경험한다. 궤양성 대장염과 달리, 염증은 위장관의 어느 곳에서나 발생할 수 있으며, 대부분 회장과 결장에서 발생하고 장의 모든 층을 침범할 수 있다. 질병 위치는 안정적인 경향이 있으며, 환자의 3분의 1은 결장 질환을, 3분의 1은 회맹 질환을, 3분의 1은 회장 질환을 앓고 있다. 또한 항문 주위, 상부 위장관 및 장외 기관에 영향을 미칠 수도 있다.[21]- 설사는 크론병 발병 시 82%의 환자에게 영향을 미치며, 증상의 심각도는 경미한 것부터 수분 및 전해질 보충이 필요할 정도로 심한 것까지 다양하다. 크론병의 경우 설사는 대량의 설사보다는 빈번하고 급하게 나타난다.[1]
- 복통은 크론병 진행 과정에서 최소 70%의 환자에게 영향을 미친다. 이는 장염증 자체 또는 협착 및 누공과 같은 합병증으로 인해 발생할 수 있다.[2] 통증은 대부분 오른쪽 아랫배에서 발생한다.[3]
- 직장 출혈은 궤양성 대장염보다 덜 흔하며, 대장 또는 직장의 염증이 있을 때 발생할 가능성이 더 높다. 대장 또는 직장의 출혈은 선홍색이며, 상부 소화관에서의 출혈은 검붉은색 또는 검은색 변을 유발한다.[4]
- 팽만감, 가스, 및 과민성 대장 증후군의 다른 증상들은 관해 상태의 환자 중 41%에서 나타난다.[5]
- 항문 주위 병변은 18~43%의 경우에 발생하며, 대장과 직장에 염증이 있는 경우 더 빈번하게 발생하고, 루공, 피부 섬유종, 치핵, 열창, 궤양, 및 협착을 유발할 수 있다.[6]
- 상부 위장관 병변은 드물며, 0.5~16%의 경우에 발생하며, 삼킬 때 통증, 삼키기 어려움, 구토, 및 메스꺼움과 같은 증상을 유발할 수 있다.[7]

크론병은 장내 세균에 대한 면역 반응 조절 이상으로 인해 발생하는 것으로 여겨지지만, 정확한 기전은 알려져 있지 않다. 이는 크론병이 세균 방어에 관여하는 유전자와 관련이 있고, 장에서 세균 밀도가 가장 높은 회장과 대장에서 발생한다는 사실로 뒷받침된다.[19] 크론병에서는 투과성이 증가된 장벽과 선천 면역 반응의 결핍으로 인해 세균이 장 조직으로 침입하여 Th1 세포와 Th17 세포로부터 과도한 염증 반응이 유발된다. 변화된 미생물총 또한 원인이 될 수 있으며 환경적 요인과의 연결 고리 역할을 할 수 있다.[20]
기능적인 상태에서 장 상피와 IgA 이량체는 함께 작용하여 장내 미생물총을 점막 면역 체계와 구분하여 관리한다.[22] 파네트 세포는 소장의 상피 장벽에 존재하며 세균이 장 조직으로 들어가는 것을 방지하기 위해 α-디펜신을 분비한다.[19] 크론병과 관련된 유전적 다형성은 이 능력을 손상시켜 회장에서 크론병을 유발할 수 있다. NOD2는 세균을 감지하는 파네트 세포가 생성하는 수용체이며, NOD2의 돌연변이는 파네트 세포의 항균 활성을 억제할 수 있다. ATG16L1, IRGM 및 LRRK2는 파네트 세포가 α-디펜신을 분비하는 메커니즘인 선택적 자가포식에 관여하는 단백질이며, 이러한 유전자의 돌연변이는 파네트 세포의 항균 활성을 손상시킨다.[21]
상피내 림프구(IELs)는 대부분 활성화된 T세포로 구성된 상피 장벽에 존재하는 면역 세포이다. 이들은 장내 세균과 직접 상호 작용하고 장 면역 체계를 조절하는 신호를 방출한다. 크론병 환자의 IELs는 IL-17, IFNγ 및 TNF와 같은 염증성 사이토카인을 증가된 수준으로 생성한다.[21] 면역 체계의 염증 신호와 장내 미생물총의 변화가 IELs가 염증 신호를 생성하여 크론병에 기여한다는 가설이 있다.[23]
| 크론병 | 궤양성 대장염 | |
|---|---|---|
| 배변 | 대부분 죽과 같은 상태[55]。간혹 지방변 | 대부분 점액성이며 혈액이 포함됨[55] |
| 긴장성 항문 협착 | 드물지 않음[55] | 더 흔함[55] |
| 발열 | 흔함[55] | 중증일 때 나타남[55] |
| 누공 | 흔함[56] | 드뭄 |
| 체중 감소 | 흔함 | 매우 드뭄 |
자각 증상으로는 대부분 복통(약 80%), 설사(약 80%)가 주요 증상이다. 그 외 높은 비율로 나타나는 증상으로는 발열, 체중 감소, 항문 병변(치루, 항문 열창, 항문 궤양 등), 구토 등이 있으며, 궤양성 대장염에서 많이 나타나는 혈변, 점액 혈변, 출혈은 그다지 높은 빈도는 아니다.
크론병은 소화관 점막의 전층성 염증성 질환이기 때문에, 염증이 심한 경우 소화관의 궤양, 협착, 누공, 천공과 같은 변화가 많이 생기며, 장폐색이나 소화관 천공이 발생하는 경우에는 소화관 절제술 등의 외과적 치료가 필요한 경우가 많다.
4. 2. 위장관 증상
설사는 크론병 발병 시 82%의 환자에게 나타나며, 증상의 심각도는 경미한 것부터 수분 및 전해질 보충이 필요할 정도로 심한 것까지 다양하다. 크론병의 경우 설사는 대량의 설사보다는 빈번하고 급하게 나타난다.[1]복통은 크론병 진행 과정에서 최소 70%의 환자에게 영향을 미친다. 이는 장 염증 자체 또는 협착 및 누공과 같은 합병증으로 인해 발생할 수 있다.[2] 통증은 대부분 오른쪽 아랫배에서 발생한다.[3]
직장 출혈은 궤양성 대장염보다 덜 흔하며, 대장 또는 직장의 염증이 있을 때 발생할 가능성이 더 높다. 대장 또는 직장의 출혈은 선홍색이며, 상부 소화관에서의 출혈은 검붉은색 또는 검은색 변을 유발한다.[4]
팽만감, 가스, 및 과민성 대장 증후군의 다른 증상들은 관해 상태의 환자 중 41%에서 나타난다.[5]
항문 주위 병변은 18~43%의 경우에 발생하며, 대장과 직장에 염증이 있는 경우 더 빈번하게 발생하고, 누공, 피부 섬유종, 치핵, 열창, 궤양, 및 협착을 유발할 수 있다.[6]
상부 위장관 병변은 드물며, 0.5~16%의 경우에 발생하며, 삼킬 때 통증, 삼키기 어려움, 구토, 및 메스꺼움과 같은 증상을 유발할 수 있다.[7]
4. 3. 전신 증상
크론병(Crohn's disease영어)은 종종 전신 증상을 동반하는데, 다음과 같은 증상이 포함된다.- 만성 피로: 최소 6개월 이상 지속되며 휴식으로 치료되지 않는 만성 피로는 크론병 환자의 80%, 그리고 관해 상태인 환자의 30%에서 나타난다.[8]
- 열: 일반적으로 저열이 크론병의 초기 증상으로 나타나며, 고열은 종종 농양의 결과이다.[9]
- 체중 감소: 설사와 식욕 감퇴로 인해 체중 감소가 종종 발생한다.[9]
4. 4. 장외 증상
크론병은 장 외에도 신체 다른 부위에 영향을 미쳐 다양한 증상을 유발할 수 있으며, 이러한 장외 증상은 전체 환자의 21~47%에서 나타난다.[21]| 증상 부위 | 증상 종류 | 세부 증상 |
|---|---|---|
| 구강 | 궤양 | 아프타성 구내염[10] |
| 안구 | 염증 | 포도막염, 공막염, 강막염[21] |
| 피부 | 염증 | 결절 홍반, 피부 괴사성 농피증[21] |
| 혈액 | 질환 | 문맥 고혈압, 혈전색전증, 혈전증, 폐색전증[21] |
| 관절 | 염증 | 관절염, 강직성 척추염, 천장관절염[21] |
| 호흡기 | 질환 | 수면 무호흡증, 흉부 감염[21] |
| 간, 담관 및 담낭 | 질환 | 원발성 경화성 담관염, 간경변[21] |
| 정신 | 질환 | 우울증, 불안[11] |
| 기타 | 질환 | 대사성 골 질환[21] |
4. 5. 합병증
염증으로 인한 장 손상은 진단 후 10년 이내에 절반의 경우 발생하며, 협착 또는 관통성 질환으로 이어질 수 있다. 이로 인해 다음과 같은 합병증이 발생할 수 있다.[12]- 협착: 특히 소장에서 장폐쇄가 발생할 수 있으며, 해당 부위의 수술적 절제(장절제술) 또는 수술적 확장(협착성형술)이 필요할 수 있다.[12]
- 누공: 관통성 질환으로 인해 장에 구멍이 생기는 것으로, 설사, 요로감염, 질이나 피부로의 분변 누출을 유발할 수 있다. 장절제술 또는 누공절개술로 치료한다.[12]
- 농양: 감염된 주머니로, 관통성 질환으로 인해 복통, 발열, 오한을 유발할 수 있다. 수술적 배농으로 치료할 수 있다.[12]
소장의 흡수 장애, 식욕 감퇴 및 약물 상호작용으로 인해 관해 상태 환자의 38.9%, 활동성 질환 환자의 82.8%에서 영양실조가 발생한다.[13] 이로 인해 다음과 같은 합병증이 발생할 수 있다.
- 빈혈: 철결핍 및 출혈의 결과로 6~74%의 경우 발생한다. 질병 활동성에 따라 경구 철분제 또는 정맥내 철분제로 치료한다.[13]
- 비타민 D 결핍: 흔하며 골다공증을 유발할 수 있으며, 경구 보충제로 치료한다.[13]
- 엽산, 비타민 B12, 아연, 마그네슘 및 셀레늄 결핍도 발생할 수 있으며, 경구 보충제로 치료한다.[13]
- 크론병 어린이의 65~85%에서 성장 장애 및 영양 결핍이 발생한다.[14]
장기간 또는 심한 염증으로 인해 장암이 발생할 수 있다.[15] 여기에는 다음이 포함된다.
- 대장암: 진단 후 30년 후 유병률이 7%이며, 크론병 환자 사망의 15%를 차지한다. 대장 대부분에 질병이 발생하는 경우 위험이 더 높다. 내시경 감시를 통해 용종을 감지하고 제거하며, 점막 표면을 넘어선 이형성증에는 수술이 필요하다.[15]
- 소장암: 유병률이 1.6%이며, 크론병 환자의 경우 최소 12배 이상 높다. 대장암과 달리 내시경 감시는 효과적이지 않으며 소장암에는 권장되지 않는다.[16]
크론병은 소화관 점막의 전층성 염증성 질환이기 때문에, 염증이 심한 경우 소화관의 궤양, 협착, 누공, 천공과 같은 변화가 많이 생기며, 장폐색이나 소화관 천공이 발생하는 경우에는 소화관 절제술 등의 외과적 치료가 필요한 경우가 많다.
크론병은 소화관 이외에도 다음과 같은 다양한 임상 증상을 동반하는 경우가 많다.
5. 진단
크론병은 증상이 다른 위장 질환과 겹치기 때문에 진단이 어려울 수 있다. 정확한 진단을 위해서는 병력, 신체 검사 및 진단 검사를 종합적으로 평가해야 한다.[21]
크론병은 희귀난치성질환으로, 대한민국에서는 진단 기준에 따라 확진 또는 의심으로 분류하여 공비 보조 적용을 받을 수 있다. 진단 기준은 다음과 같다.[63][49]
| 구분 | 주요 소견 | 부수 소견 |
|---|---|---|
| 주요 소견 | A. 종주궤양 (소장: 장간막 부착측에 호발) | a. 소화관 광범위 불규칙 궤양 또는 아프타 (3개월 이상 지속, 다른 질환 제외 필요) |
| B. 돌(paving-stone) 모양 | b. 특징적인 항문 병변 (항문열, cavitating ulcer, 치루, 항문주위 농양, 부종성 피수 등) | |
| C. 비카제성 상피세포육아종 | c. 특징적인 위·십이지장 병변 (대나무 마디 모양, 노치상 함몰 등) |
- 확진례(Definite): 주요 소견 A 또는 B가 있거나, 주요 소견 C와 부수 소견 a 또는 b가 있거나, 부수 소견 a, b, c 모두를 가지는 경우 (다른 질환 제외 필요)
- 의심례(Probable): 주요 소견 C와 부수 소견 c가 있거나, 주요 소견 A 또는 B를 가지지만 감별이 불가능하거나, 주요 소견 C만을 가지거나(다른 육아종성 염증 질환 제외 필요), 부수 소견 중 어느 하나 또는 하나만을 가지는 경우
크론병의 중증도는 크론병 IOIBD 점수[49]를 사용하며, 2점 이상일 경우 의료비 지원 대상이 될 수 있다.
| 평가 항목 (각 1점) |
|---|
| 복통 |
| 하루 6회 이상의 설사 또는 점액혈변 |
| 항문부 병변 |
| 누공 |
| 기타 합병증 (포도막염, 홍채염, 구내염, 관절염, 피부 증상, 심부 정맥 혈전증 등) |
| 복부 종괴 |
| 체중 감소 |
| 38℃ 이상의 발열 |
| 복부 압통 |
| 헤모글로빈 10g/dL 이하 |
5. 1. 개요
크론병은 장에 염증이 반복적으로 발생하는 질환으로, 설사와 복통이 주된 증상이다. 이러한 증상은 다른 위장 질환과 비슷하여 진단이 늦어지는 경우가 많다. 염증은 위장관 전체에 걸쳐 나타날 수 있지만, 주로 회장과 결장에서 발생하며 장의 모든 층을 침범할 수 있다.[21] 환자의 1/3은 결장, 1/3은 회맹, 1/3은 회장에 질환이 발생한다. 항문 주위나 상부 위장관, 다른 장기에도 영향을 줄 수 있다.[21]크론병의 흔한 증상은 다음과 같다.
- 설사: 환자의 82%에서 나타나며, 증상의 정도는 다양하다. 크론병의 설사는 잦고 급하게 나타나는 경향이 있다.[1]
- 복통: 환자의 70% 이상에게서 나타나며, 장 염증, 협착, 누공 등의 합병증으로 인해 발생할 수 있다.[2] 통증은 주로 오른쪽 아랫배에서 발생한다.[3]
- 직장 출혈: 궤양성 대장염보다는 덜 흔하며, 대장이나 직장에 염증이 있을 때 발생 가능성이 높다. 상부 소화관 출혈은 검붉거나 검은색 변을 유발한다.[4]
- 팽만감, 가스, 과민성 대장 증후군과 유사한 증상: 관해 상태의 환자 중 41%에서 나타난다.[5]
- 항문 주위 병변: 환자의 18~43%에게서 발생하며, 루공, 피부 섬유종, 치핵, 열창, 궤양, 협착 등을 유발할 수 있다.[6]
- 상부 위장관 병변: 환자의 0.5~16%에게서 발생하며, 삼킬 때 통증, 삼키기 어려움, 구토, 메스꺼움 등의 증상을 유발할 수 있다.[7]
크론병은 증상이 다른 위장 질환과 비슷하여 진단이 어려울 수 있다. 정확한 진단을 위해서는 병력, 신체 검사, 내시경 검사, 영상 검사, 조직 검사, 혈액 검사 등을 종합적으로 평가해야 한다.
크론병은 희귀난치성질환으로, 진단 기준에 따라 확진 또는 의심으로 분류되며, 대한민국에서는 공비 보조 적용을 받을 수 있다.
진단 기준[63][49]
| 구분 | 주요 소견 | 부수 소견 |
|---|---|---|
| 주요 소견 | A. 종주궤양 (소장: 장간막 부착측에 호발) | a. 소화관 광범위 불규칙 궤양 또는 아프타 (3개월 이상 지속, 다른 질환 제외 필요) |
| B. 돌(paving-stone) 모양 | b. 특징적인 항문 병변 (항문열, cavitating ulcer, 치루, 항문주위 농양, 부종성 피수 등) | |
| C. 비카제성 상피세포육아종 | c. 특징적인 위·십이지장 병변 (대나무 마디 모양, 노치상 함몰 등) |
- 확진례(Definite):
- 주요 소견 A 또는 B가 있는 경우 (다른 질환 제외 필요)
- 주요 소견 C와 부수 소견 a 또는 b가 있는 경우
- 부수 소견 a, b, c 모두를 가지는 경우
- 의심례(Probable):
- 주요 소견 C와 부수 소견 c를 가지는 경우
- 주요 소견 A 또는 B를 가지지만 감별이 불가능한 경우
- 주요 소견 C만을 가지는 경우 (다른 육아종성 염증 질환 제외 필요)
- 부수 소견 중 어느 하나 또는 하나만을 가지는 경우
중증도 분류크론병 IOIBD 점수[49]를 사용하며, 2점 이상일 경우 의료비 지원 대상이 될 수 있다.
| 평가 항목 (각 1점) |
|---|
| 복통 |
| 하루 6회 이상의 설사 또는 점액혈변 |
| 항문부 병변 |
| 누공 |
| 기타 합병증 (포도막염, 홍채염, 구내염, 관절염, 피부 증상, 심부 정맥 혈전증 등) |
| 복부 종괴 |
| 체중 감소 |
| 38℃ 이상의 발열 |
| 복부 압통 |
| 헤모글로빈 10g/dL 이하 |
5. 2. 내시경 검사
회장결장경검사는 회장과 결장의 크론병 진단을 위한 주요 검사이며, 약 90%의 경우 정확하게 진단할 수 있다.[25] 이 검사를 통해 의사는 장 내벽을 자세히 검사하고 추가 검사를 위해 조직 샘플을 채취한다. 크론병의 징후에는 불규칙적인 염증과 건강한 조직으로 분리된 염증 부위인 ‘건너뛰기 병변’이 포함된다. 궤양은 작은 크기(5mm 미만) 또는 큰 크기(5mm 초과)일 수 있으며, 종종 조약돌 모양으로 나타난다. 궤양의 깊이는 질병의 중증도를 결정하는 데 도움이 된다. 궤양성 대장염과 달리 크론병은 보통 직장에 영향을 미치지 않거나 장 전체에 걸쳐 지속적인 염증을 일으키지 않는다.[21]표준 결장경검사가 효과적이지 않을 수 있는 특정 경우에는 장치 보조 내시경검사 또는 캡슐 내시경검사를 선택할 수 있다. 캡슐 내시경검사는 이상을 감지하는 데 효과적이지만 크론병을 신뢰할 수 있게 진단하지 못할 수 있으며, 정체 위험이 있다. 크론병이 의심될 경우 정체 위험은 약 1.6%이며, 이미 진단된 경우 13%로 증가한다. 이러한 위험을 줄이기 위해 의사는 일반적으로 소장 영상 검사를 실시하고 48~72시간 이내에 용해되는 투과성 캡슐을 사용한다. 투과성 캡슐이 장을 통과한 후 캡슐 내시경검사를 시행할 수 있다.[12]
장치 보조 내시경검사는 침습적이고 비용이 많이 들기 때문에 일반적으로 소장 크론병 진단을 위한 첫 번째 선택이 아니다.[21] 이 시술은 더 긴 내시경이나 풍선 보조 장치와 같은 특수 도구를 사용하여 소장을 자세히 검사하여 의사가 문제를 쉽게 확인하고 치료할 수 있도록 한다.[26] 종종 진정이 필요하며 일반적으로 조직 샘플이나 즉각적인 치료가 필요한 환자에게 예약된다.[21]
크론병에서는 다음과 같은 내시경 소견이 특징으로 여겨진다.
- 불연속성 병변
- 석재상(敷石像)
- 종주궤양(縦走潰瘍)
- 다발성 아프타: 자각 증상이 있는 것으로 구강 내 아프타가 많이 관찰된다.
- 협착 병변·열구·누공 병변
- 죽절상 변화(竹節状変化): 위 병변에서 많이 관찰된다.
5. 3. 영상 검사
장 초음파검사(BUS), CT 장관조영술(CTE), MRI 장관조영술(MRE)은 크론병의 확산 정도와 누공 등의 합병증을 확인하는 데 사용된다.[21] 세 가지 방법 모두 크론병 진단과 이러한 합병증을 발견하는 데 매우 정확하다.[21]- CTE는 방사선을 포함하며 조영제(영상에서 세부 사항을 보여주는 데 도움이 되는 물질)를 사용해야 한다.[21] CTE는 폐쇄 및 누공을 포함한 질병 및 합병증 진단에 80% 이상의 정확도를 보인다.[21]
- MRE는 장 협착을 감지하는 데 특히 유용하며, 민감도는 89%, 특이도는 94%이다.[21] 골반 부위의 누공과 농양을 검사하는 데 선호되는 방법이다.[21]
- BUS는 방사선을 포함하지 않는 비침습적 방법이며, 누공과 농양과 같은 장벽 및 관련 문제를 평가하는 데 효과적이다.[21] 장벽이 3mm 이상 두꺼워지는 경우 크론병 징후를 정확하게 식별할 수 있으며, 누공 및 농양과 같은 요인을 고려할 때 높은 정확도(88~100%)를 달성한다.[21]
X선 검사를 이용한 소화관 조영 검사에서도 위와 같은 내시경 소견이 관찰된다. 소장 병변이 많기 때문에 소장 병변을 찾는 데 있어서는 내시경 검사가 아닌 소화관 조영 검사가 자주 사용되며 유용하다. 간편하게 시행되어 조기 변화 등의 스크리닝에 많이 이용되고 있다. 또한, 최근에는 3D 재구축을 이용한 CT MRI 콜로노그래피(가상 내시경 검사) 검사도 시행된다.
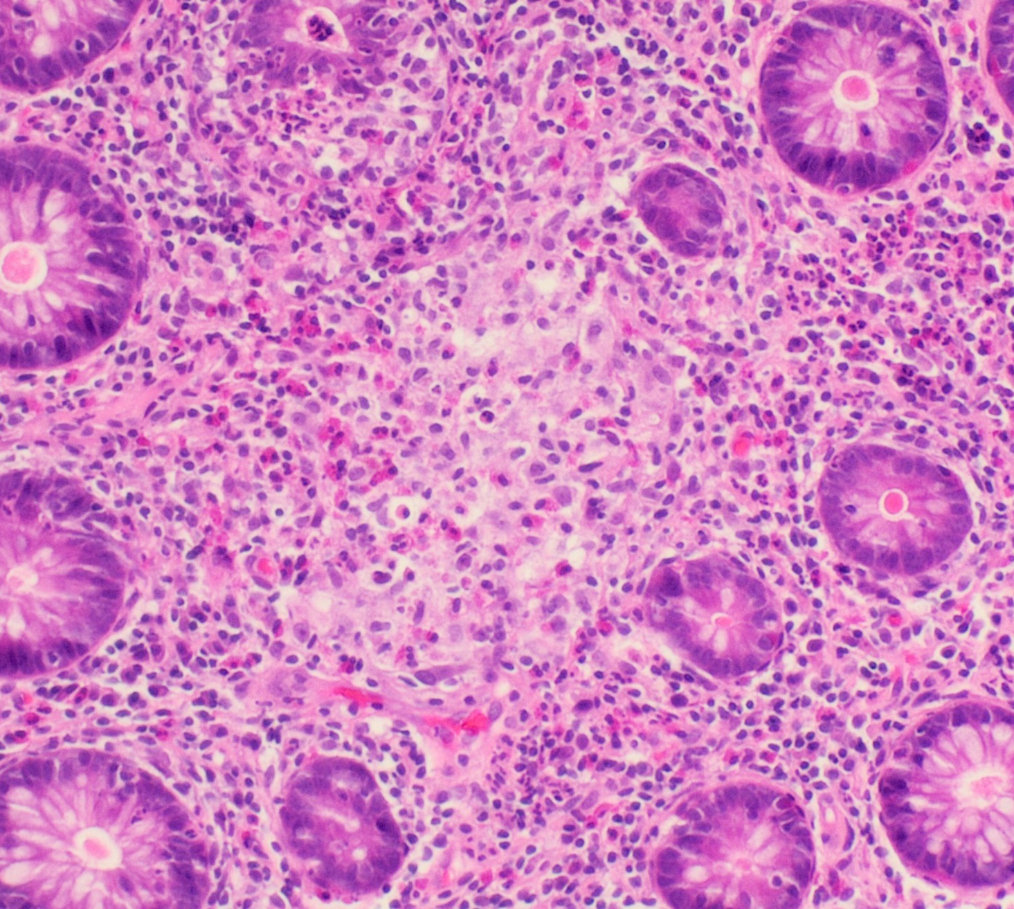
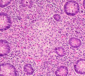
5. 4. 조직 검사

크론병 진단을 확진하는 가장 확실한 방법은 생검 표본이나 수술 중 제거된 조직의 조직학적 검사이다.[21] 이 과정은 크론병을 궤양성 대장염 및 기타 대장염, 특히 감염 질환과 구별하는 데 도움이 된다. 크론병에만 특징적인 소견은 없지만, 일반적인 징후로는 불규칙적인 만성 염증, 장내벽의 불규칙성, 조직 손상과 무관한 과립종, 그리고 회장 말단의 비정상적인 융모 구조가 포함된다. 정확한 크론병 진단을 위해서는 염증성 장 질환 전문 병리학자의 진찰이 중요하다. 생검 결과가 불분명하더라도 임상 증상, 내시경 소견 및 영상 검사 결과를 바탕으로 의사가 크론병 진단을 제시할 수 있다.[21]
크론병의 병리 소견으로는 다음이 특징적이다.
- 비괴사성 상피양세포 과립종: 미세한 과립종이 다수 형성(단, 조직 검사에서의 검출률은 많아도 50% 정도)
- 소화관 점막의 전층성 염증 소견: 림프구 침윤을 많이 보이는 염증 양상
- 열구 형성: 림프관을 수반하는 조직 결손 양상
- 궤양 병변: 점막의 궤양이 종주상으로 관찰됨[62]
- 도약성 병변: 궤양성 대장염과 달리 불연속적으로 병변이 관찰됨.
5. 5. 혈액 검사
항균 항체인 ASCA는 크론병 진단에 사용되는 혈액 검사 지표이다. 크론병 환자의 약 60~70%가 ASCA 양성 반응을 보이는 반면, 궤양성 대장염 환자의 경우 10~15%, 다른 유형의 대장염 환자의 경우 5% 미만만이 양성 반응을 보인다.[21] 자가항체인 pANCA는 크론병 환자의 10~15%, 궤양성 대장염 환자의 60~70%, 염증성 장 질환이 아닌 다른 유형의 대장염 환자의 5% 미만에서 발견된다. pANCA 양성 반응을 보이는 크론병 환자는 종종 궤양성 대장염과 유사한 증상을 보인다.[21] CRP은 염증을 나타내는 혈액 지표이며 크론병 활동성을 모니터링하는 데 도움이 될 수 있다. 그러나 활동성 질환이 있는 환자의 약 3분의 1은 CRP 수치가 정상일 수 있으며, CRP 수치가 높은 환자의 3분의 1은 질병이 비활동 상태일 수 있다. CRP가 질병 진행을 예측하는 능력은 잘 확립되어 있지 않다.[21] 적혈구침강속도도 활동성과 관련된 검사로 사용된다.[61]5. 6. 대변 검사
CRP과 적혈구침강속도는 크론병의 활동성과 관련된 검사로 사용된다. 또한 염증 반응의 바이오마커로서 대변 칼프로텍틴(FC), 대변 락토페린(FL), TCP-353 항체 측정 평가를 시행하기도 한다.[61] 대변 칼프로텍틴은 과민성 장 증후군과 크론병 같은 염증성 장 질환을 구별하는 데 사용된다.5. 7. 감별 진단
베체트병은 장 염증을 일으킬 수 있지만, 주로 단일 궤양과 장 이외의 증상을 특징으로 하며, 이는 크론병과 다르다. 입과 생식기에 반복적으로 궤양이 생기는 것은 베체트병을 의심하게 하는 요소이다. 피부에 가볍게 바늘을 찔러 붉은 융기나 궤양이 생기는지 확인하는 패터지 검사는 진단을 확인하는 데 도움이 될 수 있다. 눈의 염증(포도막염)과 피부 문제도 베체트병에서 흔하게 나타난다.[21]장림프종은 다른 질환과 구별되는 증상이 없으므로 조직 샘플의 조직학적 검사를 통해서만 진단을 확정할 수 있다.[21]
장결핵은 발열, 야간 발한, 그리고 횡행결장의 궤양과 함께 부어오른 회맹판과 같은 증상을 유발할 수 있다. 주요 조직 변화에는 육아종이 포함되는데, 이는 치즈화될 수도 있고, 합쳐질 수도 있고, 크기가 클 수도 있다. 항산성균에 대한 양성 도말 검사와 괴사성 림프절을 감지하는 영상 검사도 질병의 중요한 지표이다.[21]
허혈성 대장염 또한 크론병에 대한 가능한 대안 진단이다. 종종 결장 내벽의 부기와 발적을 보이지만, 직장은 일반적으로 영향을 받지 않는다.[21]
5. 8. 질병 활성도 평가
크론병 활동 지수(CDAI)는 크론병과 관련된 증상을 평가하기 위한 점수 시스템이다. 전반적인 건강 상태, 묽은 변의 빈도, 복통, 복부 종괴 유무, 체중 변화, 낮은 헤모글로빈 수치, 설사를 위한 아편제 사용 등 8가지 임상 요인을 기반으로 점수를 매긴다. CDAI는 주로 임상 시험에서 치료 효과를 평가하고 질병이 관해 상태에 있는지 여부를 결정하는 데 사용된다.[21] 이는 특히 중요한데, 기분이 좋다고 보고하는 환자의 약 50%가 여전히 장에서 활동성 질병의 징후를 보일 수 있으며, 증상이 있는 일부 환자는 정상적인 장 검사 결과를 보일 수 있기 때문이다.[21]하비-브래드쇼 지수(HBI)는 임상 요인만 평가하여 실험실 검사가 필요 없도록 더 간소화된 접근 방식을 제공한다. CDAI와 HBI 모두 내시경 검사나 영상 검사와 같은 진단 절차를 포함하지 않고 증상 추적에만 중점을 둔다. HBI는 일반적으로 CDAI보다 적용하기 쉽고 계산의 간편성과 환자의 증상 회상에 대한 의존도 감소로 인해 특정 임상 시험과 일상적인 진료에 더 적합할 수 있다.[21]
크론병 내시경 중증도 지수(CDEIS)는 내시경 검사 중 크론병의 중증도를 평가하는 데 사용되는 점수 시스템이다. 심한 궤양과 경한 궤양, 비궤양성 및 궤양성 협착, 궤양이 덮인 면적, 그리고 5개의 장 부위에 걸친 전반적인 질병 영향 부위 등 6가지 요인을 평가한다. 점수는 0~44이며, 점수가 높을수록 질병이 더 심각함을 나타낸다. 중증도 측정의 표준으로 여겨지지만, 특히 회장이 하나의 부위만 영향을 받는 경우 CDEIS는 중증도를 과소평가할 수 있으며 계산이 복잡할 수 있다. 또한 특정 결과나 치료 반응에 대한 명확한 점수 기준이 없어 관해를 결정하는 데 효과가 제한적이다.[27]
크론병에 대한 간단한 내시경 점수(SES-CD)는 내시경 검사 중 크론병을 평가하기 위해 4가지 주요 요인을 사용하여 CDEIS 점수 시스템보다 더 간단한 접근 방식을 제공한다. 이러한 요인에는 궤양 유무 및 크기, 궤양의 영향을 받는 면적, 질병의 전반적인 범위, 그리고 장의 협착(협착증)이 포함된다. 처음 세 가지 요인은 장의 다섯 부위 각각에 대해 0~3점으로 점수가 매겨지며, 각 부위의 최대 점수는 15점이다. 협착증은 0~11점으로 별도로 점수가 매겨진다. 이 결과 0~56의 총 SES-CD 점수가 나오며, 점수가 높을수록 질병이 더 심각함을 나타낸다.[27]
6. 치료
크론병은 완치가 불가능하며, 지속적인 관리가 필요한 만성 질환이다. 치료의 주요 목표는 염증을 조절하고, 증상을 완화하며, 합병증을 예방하는 것이다.
크론병 치료에는 크게 약물 요법, 영양 요법, 수술적 치료가 있으며, 환자의 상태에 따라 적절한 치료법을 선택하거나 병행한다. 면역 억제 약물을 주로 사용하며, 스테로이드 등의 약물이 사용된다. 심한 경우에는 수술을 통해 병변 부위를 제거해야 할 수도 있다.
드물게 기생충을 이용한 치료법을 사용하기도 한다. 기생충이 자가 면역을 억제하는 기전에 의해, 염증성 장질환 환자 중 일부는 기생충 감염 후 증상이 호전되기도 한다. 이때 사용하는 기생충은 인체에 거의 해가 없는 돼지 편충이다.
6. 1. 개요
크론병은 장내 세균에 대한 면역 반응 조절 이상으로 인해 발생하는 것으로 여겨지지만, 정확한 기전은 알려져 있지 않다. 크론병이 세균 방어에 관여하는 유전자와 관련이 있고, 장에서 세균 밀도가 가장 높은 회장(ileum)과 대장(colon)에서 발생한다는 사실은 이를 뒷받침한다.[19] 투과성이 증가된 장벽과 선천 면역 반응(innate immune response)의 결핍으로 인해 세균이 장 조직으로 침입하여 Th1(T helper 1) 세포와 Th17(T helper 17) 세포로부터 과도한 염증 반응이 유발된다. 변화된 미생물총(microbiome) 또한 원인이 될 수 있으며 환경적 요인과의 연결 고리 역할을 할 수 있다.[20]크론병의 진단은 증상이 다른 위장 질환과 겹치기 때문에 어려울 수 있다. 정확한 진단을 위해서는 병력, 신체 검사 및 진단 검사의 종합적인 평가가 필요하다.
2019년까지 크론병을 완치시키는 치료법은 없으므로, 치료 목표는 질병의 활동성을 관리하여 관해(증상이 없거나 매우 약한 상태) 상태로 유도하고 유지하는 것이다. 치료는 영양 요법(식이요법)과 약물요법 등 내과적 치료로 이루어지며, 병용도 가능하다. 종양, 협착 등의 심한 증상을 일으키는 경우에는 외과적 치료도 고려된다. 소아의 경우, 약물의 성장에 대한 악영향 등을 고려해야 하므로 원칙적으로 영양 요법이 된다.[64] 크론병 관리는 질병의 중증도, 위치 및 행동 양식에 따라 맞춤화된다. 의료진은 또한 공격적인 질병의 위험을 평가하여 보다 집중적인 치료가 필요한지 여부를 결정한다. 위험 요소에는 30세 미만의 진단, 광범위한 질병 병변, 항문 주위 합병증, 심층 궤양 및 수술 병력이 포함된다. 치료의 주요 목표는 점막 치유를 달성하는 것으로, 이는 장내벽을 회복시킨다. 점막 치유는 재발 감소, 입원 감소, 스테로이드 없는 관해 및 수술 없는 기간 연장과 같은 더 나은 결과와 관련이 있다.[21]
업다시티닙(upadacitinib)과 같은 JAK 억제제는 중등도에서 중증 크론병 치료에 승인되었으며, 다기관 무작위 대조 시험을 통해 질병 유도 및 유지 관리의 효과가 입증되었다.[30][31]
드물게 기생충을 이용한 치료법을 사용하기도 한다. 기생충이 자가 면역을 억제하는 기전에 의해, 기생충에 감염되면 염증성 장질환에 걸린 사람의 일부는 증상이 극적으로 호전되기도 한다. 이때 사용하는 기생충은 사람에게는 거의 해가 없는 돼지 편충을 사용하기도 한다.
6. 2. 약물 요법
크론병의 약물 요법은 질병의 중증도, 위치, 그리고 환자의 개별적인 특성에 따라 맞춤형으로 진행된다. 주요 치료 목표는 장 점막의 염증을 완화하고, 증상을 조절하며, 재발을 방지하는 것이다.- '''코르티코스테로이드''': 빠른 증상 완화와 관해 유도에 효과적이지만, 장기간 사용 시 부작용 위험이 있어 주의해야 한다. 주로 프레드니손(prednisone), 부데소니드(budesonide) 등이 사용된다.[27] 부데소니드는 회장과 우측 결장의 경증-중등증 크론병에 제한적으로 사용된다.[27] 장기간 스테로이드 사용은 부신 기능 이상, 체중 증가, 백내장, 고혈압, 당뇨병(Type 2 diabetes) 등의 부작용을 유발할 수 있다.[27]
- '''면역억제제''': 티오푸린계 약물 (아자티오프린, 6-머캡토푸린)과 메토트렉세이트가 주로 사용된다. 이 약물들은 크론병의 재발을 억제하는 데 효과적이지만, 효과가 나타나기까지 시간이 걸릴 수 있다.[27] 티오푸린계 약물은 효과를 보기까지 6~12주, 메토트렉세이트는 8~16주가 소요될 수 있다.[27]
- '''생물학적 제제''': TNF 억제제(인플릭시맵(Infliximab), 아달리무맙(Adalimumab), 세르톨리주맙 페골(Certolizumab pegol)), 베돌리주맙(Vedolizumab), 우스테키누맙(Ustekinumab) 등이 있다. 이들은 염증을 억제하고 관해를 유도하며 유지하는 데 효과적이다.[27] 특히, TNF 억제제는 염증성 단백질인 TNF(종양괴사인자)를 차단하여 작용한다.[29] 베돌리주맙은 장에 특이적으로 작용하여 염증을 줄이는 약물이다.[27] 우스테키누맙은 염증성 분자인 IL-12와 IL-23을 차단한다.[27]
- '''기타 약물''':
- 살리실산 제제: 메살라진(5-ASA), 술파살라진 등이 관해 유지 및 유도에 사용된다.[64]
- 항생물질: 메트로니다졸, 시프로플록사신 등이 사용될 수 있다.[64]
이 외에도, 칸나비노이드는 통증 완화 및 항염 작용 등 증상 완화에 사용될 수 있다.
체계적 문헌 고찰 결과,
- 코르티코스테로이드인 부데소니드는 관해 유도에 위약보다 효과적이다.[78]
- 생물학적 제제 중 우스테키누맙은 중등도-중증 크론병의 관해 유도에 효과적이다.[81]
- 인플릭시맙, 아달리무맙은 관해 유도 및 유지에 효과적이다.[82]
6. 3. 영양 요법
영양 요법은 약물 요법보다 부작용이 적다.[64] 장을 안정시켜 관해 상태를 유도하고, 염증을 억제하여 증상을 개선한다.- 경장 영양: 영양분을 분말 또는 액체 형태로 공급하는 방법으로, 어린이 크론병 환자의 관해 유도에 주로 사용된다.[34] 최대 80%까지 관해를 유도할 수 있다. 맛이 좋지 않아 일본을 제외한 다른 나라에서는 성인 크론병 치료에 잘 사용되지 않는다.[34]
- 정맥 영양: 영양분을 직접 혈류로 공급하는 방법으로, 흡수 장애가 있는 환자에게 사용될 수 있다.[35] 정맥 영양은 경장 영양과 비슷한 수준으로 관해를 유도한다.[35]
경장 영양 요법에서는 영양제를 코 튜브나 입으로 섭취하여 장에 투여한다.[64] 영양제에는 탄수화물, 단백질, 지방, 비타민, 무기질이 들어 있다. 소화관을 통한 영양 섭취가 어려운 중증 환자는 절식하고 완전 정맥 영양 요법을 시행하며,[64] 고칼로리 수액으로 영양을 보급한다.
중증 환자는 절식을 지속할 수 있으며, 관해 유지를 위해 지속적인 식사 제한과 성분영양제 섭취가 필요할 수 있다. 영양제와 함께 지질, 육류, 섬유질 식품 섭취를 제한한다. 항원성이 없는 아미노산 중심 식품과 지방량을 줄인 식품이 주로 사용된다. 염증을 덜 일으키는 '저지방', '저잔사' 식사가 권장되지만, 최근에는 협착이 없는 경우 섬유질 제한을 하지 않기도 한다.
- 과일, 채소, 불포화 지방, 저지방 단백질이 풍부한 지중해식 식단은 건강에 좋지만, 크론병 재발률을 낮추지는 않는다.[36]
- 장 협착이 있는 경우, 과일과 채소를 조리 및 가공하여 섬유질을 줄이면 섭취가 용이하다.[36]
크론병 환자는 혈중 에르고티오네인 농도가 낮으며, 이는 장 염증 억제와 관련이 있을 수 있다.[65]
; 체계적 문헌 고찰
낮은 수준의 연구에 따르면, 성인은 경장 영양 요법보다 코르티코스테로이드가 관해 유도에 효과적이고, 소아는 그 반대이다. 추가 연구가 필요하다(2017년, 27건).[80] 경장 영양 요법 유지에 대한 4건의 무작위 대조 시험(RCT)으로는 결론을 내리기 어렵고, 진행 중인 4개의 시험이 완료되면 재검토가 필요하다(2018년).[66]
오메가-3 지방산 보충제는 일관된 결과가 없고(2013년),[67] 프로바이오틱스는 1건의 연구만 있어 적절한 RCT가 필요하다(2008년).[68] 글루타민은 2건의 소규모 RCT로는 불충분하지만, 유익하지 않다는 결과가 나왔다.[69]
6. 4. 수술

많은 크론병 환자는 폐쇄, 병변, 감염, 약물 치료 효과 부족 등의 이유로 장 절제술을 받아 장의 일부를 제거해야 할 수 있다. 수술은 치료법이 아니므로, 가능한 한 소장을 최대한 보존하는 것이 목표이며,[27] 광범위한 절제는 단장증후군으로 이어질 수 있다.[32] 광범위한 협착이 있는 경우, 일반적으로 가장 뚜렷한 협착만 절제하고, 경미한 협착은 협착성형술을 통해 넓힐 수 있다. 절제 후 건강한 장의 끝은 일차 문합술로 재결합된다.[27]
수술 후 약 6m에서 12m 사이에 환자들은 재발 가능성을 평가하기 위해 Rutgeerts 점수 시스템을 사용하여 염증을 확인하는 결장경 검사를 받는 것이 일반적이다. 환자의 약 50%는 5년 안에 증상이 재발하고, 거의 40%는 10년 안에 두 번째 수술이 필요할 수 있다.[27] 이는 종종 문합 부위 근처의 염증 때문이다.[33] 약물 요법은 재발을 예방하는 것을 목표로 하지만, 그 효과는 불확실하다.[27]
기본적으로 외과적 치료는 시행하지 않지만, 내과적 치료가 효과 없는 심한 협착이나 장폐색을 일으킨 경우, 또는 천공, 누공, 농양을 동반하는 경우에는 수술이 필요하다. 이 경우에도 가능한 한 단장증후군을 피하기 위해 절제를 최소한으로 제한하고, 협착 성형술 등이 시행된다. 수술로 병변을 제거하더라도 재발률은 매우 높으며, 특히 수술 후 재결합 부위에 재발하는 경우가 많다.
6. 5. 기타 치료
크론병은 현재까지 완치법이 없는 만성 질환이므로, 지속적인 관리가 필요하다. 염증은 주로 스테로이드와 면역억제제와 같은 약물로 조절하며, 심한 경우에는 수술이 필요할 수 있다.[41]드물게는 기생충을 이용한 치료법이 사용되기도 한다. 기생충이 자가 면역 반응을 억제하는 원리를 이용한 것으로, 염증성 장질환 환자 중 일부는 기생충 감염 후 증상이 크게 호전되기도 한다. 이때 사용되는 기생충은 인체에 거의 해가 없는 돼지 편충이다.
이 외에도 대변 미생물 이식, 침술, 대마초, 인지 행동 치료 등이 크론병 치료법으로 연구되고 있다.
7. 예후
크론병은 현재 치료법이 없는 만성 질환으로, 지속적인 관리가 필요하다.[41] 염증은 일반적으로 스테로이드와 면역억제제 같은 약물로 조절되며, 심한 경우 수술이 필요할 수 있다. 질병의 임상 경과는 다음과 같이 네 가지 유형으로 분류된다.[41]
- 관해: 치료에 대한 반응으로 중증도가 감소하여 지속적인 관해 상태가 된다.[41]
- 호전 및 안정: 중증도가 감소하지만 경도의 염증이 지속된다.[41]
- 재발: 질병이 관해기와 심한 염증기 사이를 오가는 상태이다.
- 불응성: 심한 염증이 지속적으로 나타나는 상태이다.[41]
인플릭시맵 치료 1년 후 크론병 환자의 약 40%~56%는 임상적 관해를 달성하며, 면역억제제와 병용하면 56%~58%로 증가한다. 또한 16%~39%는 임상적 및 내시경적 관해를 모두 달성하여 장에 염증 징후가 나타나지 않는다. 일단 관해 상태가 되면, 환자는 다음 해에 이 상태를 유지할 가능성이 80%이다. 반대로 10%~15%의 환자는 관해 없이 지속적인 활동성 질환을 경험할 수 있다.[41]
크론병으로 인한 만성 염증은 심장 질환, 암, 관절염, 골다공증(골밀도 감소), 그리고 정신 건강 문제의 위험을 증가시킨다. 일부 약물은 감염과 암의 발생 가능성을 높일 수도 있다. 이러한 위험 요소들이 결합되어 크론병 환자는 건강한 사람에 비해 수명이 짧은 경향이 있다. 캐나다 연구에 따르면, 크론병 여성은 크론병이 없는 여성보다 약 7.7년 짧게 살고, 크론병 남성은 예상보다 약 7.7년 짧게 산다.[42]
본 질환은 완화기와 활동기를 반복하는 만성 질환이며, 현재로서는 완치시키는 것은 불가능하지만, 직접적으로 생명에 위협을 주는 경우는 적다. 그러나 수술률이 발병 후 5년에 33.3%, 10년에 70.8%로 높고, 수술 후 재수술률도 5년에 28%로 높다는 점에서 재발 방지가 중요하다. 진단 후 10년 누적 생존율은 96.9%이다.
8. 역학
크론병은 북아메리카와 서유럽에서 가장 흔하며, 특히 애슈케나지 유대인에게서 더 많이 나타난다.[27] 크론병의 유병률은 독일에서 인구 10만 명당 322명, 캐나다에서 10만 명당 319명,[21] 미국에서 10만 명당 300명이다.[43] 한국을 포함한 아시아 지역에서도 서구 식생활의 보급으로 인해 크론병 유병률이 증가하는 추세이며, 홍콩에서는 인구 10만 명당 18.6명, 타이완에서는 인구 10만 명당 3.9명이다.[21]
크론병은 일반적으로 20~30세 사이에 발병하며, 50세 전후에 또 다른 작은 피크가 있어 중앙값 발병 연령은 30세이다.[27] 소아 크론병 발생률도 증가하고 있으며, 인구 10만 명당 2.5~11.4명의 신규 환자가 발생하고 유병률은 인구 10만 명당 58명이다.[44] 일본에서는 10대에서 20대에 많이 나타나며, 환자 수가 약 4만 명 이상이다. 발병 연령은 여성의 경우 15~19세, 남성의 경우 20~24세가 가장 많다.[49]
9. 지원
크론병은 만성 질환이므로 환자들은 꾸준한 치료를 받으면서 일상생활을 해야 한다. 또한, 일반인들에게 잘 알려지지 않은 질병이므로, 크론병에 대한 정보를 알리고 이해를 돕기 위한 활동이 필요하다. 최근에는 환자와 가족들이 모여 크론병 및 대장 질환에 대한 정보를 나누는 단체인 TOKYO IBD나 난치병 지원 NPO 등 정서적 지원이 늘어나고 있다.[1]
참조
[1]
논문
Diarrhea in chronic inflammatory bowel diseases
2012-09
[2]
논문
Abdominal Pain in Inflammatory Bowel Disease: An Evidence-Based, Multidisciplinary Review
2023-09
[3]
웹사이트
What I need to know about Crohn's Disease
http://www.niddk.nih[...]
2015-12-11
[4]
웹사이트
Bleeding and Blood in the Stool
https://crohnsandcol[...]
2024-10-16
[5]
논문
Gastrointestinal motility and absorptive disorders in patients with inflammatory bowel diseases: Prevalence, diagnosis and treatment
2019-08
[6]
논문
Perianal Crohn's Disease
2019-09
[7]
논문
Oral and upper gastrointestinal Crohn's disease
https://onlinelibrar[...]
2018-02
[8]
논문
The Role of Chronic Fatigue in Patients with Crohn's Disease
2023-08
[9]
웹사이트
Crohn Disease
https://www.ncbi.nlm[...]
StatPearls Publishing
2024
[10]
논문
Dermatological Manifestations in Inflammatory Bowel Diseases
2021-01
[11]
논문
Depression and anxiety in inflammatory bowel disease: epidemiology, mechanisms and treatment
2023-03
[12]
논문
Crohn Disease: Epidemiology, Diagnosis, and Management
2017-06
[13]
논문
Nutritional Status and Its Detection in Patients with Inflammatory Bowel Diseases
2023-04
[14]
논문
Crohn's disease and growth deficiency in children and adolescents
2014-10
[15]
논문
Inflammatory Bowel Disease and Colorectal Cancer: Epidemiology, Etiology, Surveillance, and Management
2023-08
[16]
논문
Small Bowel Carcinoma in the Setting of Inflammatory Bowel Disease
2023-03
[17]
논문
NOD2 and Crohn's Disease Clinical Practice: From Epidemiology to Diagnosis and Therapy, Rewired
2024-04
[18]
논문
Regulatory T Cells: Differentiation and Function
2016-09
[19]
논문
Regional specialization within the intestinal immune system
2014-10
[20]
논문
Mechanisms of Disease: Inflammatory Bowel Diseases
2019-01
[21]
논문
Crohn's Disease
2020-04
[22]
논문
Crohn's disease
https://doi.org/10.1[...]
2017
[23]
논문
Sentinels at the frontline: the role of intraepithelial lymphocytes in inflammatory bowel disease
2017-08
[24]
논문
ILC3 function as a double-edged sword in inflammatory bowel diseases
2019-04
[25]
논문
The Importance of Colonoscopy in Inflammatory Bowel Diseases
2018
[26]
논문
Device-assisted enteroscopy: A review of available techniques and upcoming new technologies
2019-07
[27]
논문
Implementation of the simple endoscopic activity score in crohn's disease
2016-05
[28]
논문
Crohn's disease: an update
2023-11
[29]
논문
Mechanism of Action of Anti-TNF Therapy in Inflammatory Bowel Disease
2016-08
[30]
논문
ECCO Guidelines on Therapeutics in Crohn's Disease: Medical Treatment
2024-10
[31]
논문
Upadacitinib Induction and Maintenance Therapy for Crohn's Disease.
https://www.ncbi.nlm[...]
[32]
논문
Chronic intestinal failure and short bowel syndrome in Crohn's disease
2021-06
[33]
논문
Efficacy and complications of surgery for Crohn's disease
2010-09
[34]
논문
Enteral Nutrition in Adult Crohn's Disease: Toward a Paradigm Shift
2019-09
[35]
논문
Parenteral Nutrition in Patients with Inflammatory Bowel Disease Systematic Review, Meta-Analysis and Meta-Regression
2019-11
[36]
논문
AGA Clinical Practice Update on Diet and Nutritional Therapies in Patients With Inflammatory Bowel Disease: Expert Review
2024-01-01
[37]
논문
Fecal microbiota transplantation therapy in Crohn's disease: Systematic review
2021-07-01
[38]
논문
Acupuncture in Inflammatory Bowel Disease
2019-06-01
[39]
논문
Cannabis for the treatment of Crohn's disease
2018-11-01
[40]
논문
The physiological and psychological effects of cognitive behavior therapy on patients with inflammatory bowel disease before COVID-19: a systematic review
2021-12-01
[41]
논문
Long-term Disease Course of Crohn's Disease: Changes in Disease Location, Phenotype, Activities, and Predictive Factors
2022-03-01
[42]
논문
Life expectancy and health-adjusted life expectancy in people with inflammatory bowel disease Factors
2020-11-01
[43]
논문
Inflammatory Bowel Disease Prevalence: Surveillance data from the U.S. National Health and Nutrition Examination Survey
2023-03-01
[44]
논문
ediatric Crohn's Disease
2018-02-01
[45]
논문
A tale of two diseases: the history of inflammatory bowel disease
2014-05-01
[46]
논문
Is Crohn's Disease a Rightly Used Eponym?
2020-07-01
[47]
웹사이트
最終警告!たけしの本当は怖い家庭の医学 診察室|『本当は怖い風邪のような症状~下痢~』
https://www.asahi.co[...]
[48]
논문
Crohn病
1993-05-01
[49]
웹사이트
クローン病
https://www.nanbyou.[...]
2016-11-04
[50]
문서
주로 마크로파지가 종양괴사인자α라는 사이토카인을 분비하여 장벽의 정상세포를 손상시키는 것
[51]
논문
Does Mycobacterium avium subspecies paratuberculosis cause Crohn's disease?
2005-01-01
[52]
논문
Serum antibodies to mycobacterial antigens in active Crohn's disease.
http://www.sciencedi[...]
1988-06-01
[53]
간행물
ヨーネ菌の牛乳プラント内HTST殺菌条件の検証
https://www.nihs.go.[...]
国立医薬品食品衛生研究所報告
2010-01-01
[54]
논문
炎症性腸疾患と腸内細菌
2015-11-01
[55]
웹사이트
Inflammatorisk tarmsjukdom, kronisk, IBD
http://www.internetm[...]
2010-10-01
[56]
논문
Management of Crohn's disease in adults
http://www.acg.gi.or[...]
2001-03-01
[57]
논문
消化器疾患と皮膚
2010-01-01
[58]
웹사이트
壊疽性膿皮症
https://www.msdmanua[...]
[59]
논문
クローン病に合併した大腸癌の3例
2005-07-01
[60]
논문
小腸型Crohn病に合併し回腸S状結腸瘻からの生検で術前診断しえた回腸癌の1例
2002-07-01
[61]
웹사이트
クローン病に対する治療戦略 -生物学的製剤全盛の今 問う-
https://www.jimro.co[...]
2011-01-01
[62]
문서
이에 반해 장결핵에서는 윤상의 궤양성 병변을 일으킨다
[63]
웹사이트
クローン病診断基準(2018年1月改訂)
http://www.jimro.co.[...]
[64]
보고서
潰瘍性大腸炎・クローン病 診断基準・治療指針
http://www.ibdjapan.[...]
2019-03-01
[65]
논문
Serum Metabolomics Identifies Altered Bioenergetics, Signaling Cascades in Parallel with Exposome Markers in Crohn's Disease
2019-01-01
[66]
논문
Enteral nutrition for maintenance of remission in Crohn's disease
2018-08-01
[67]
논문
Omega-3 fatty acid for the treatment and remission of Crohn's disease
2013-05-01
[68]
논문
Probiotics for induction of remission in Crohn's disease
2008-07-01
[69]
논문
Glutamine for induction of remission in Crohn's disease
2016-02-01
[70]
웹사이트
成人クローン病患者の治療薬として、スキリージ(R)点滴静注600mgなどの日本における製造販売承認を取得
https://kyodonewsprw[...]
共同通信PRWire
2022-09-26
[71]
웹사이트
医療用医薬品:スキリージ(一般名リサンキズマブ)点滴静注600mg
https://www.kegg.jp/[...]
KEGG MEDICUS 医薬品情報
2023-07-19
[72]
웹사이트
医療用医薬品:スキリージ(一般名リサンキズマブ)皮下注360mgオートドーザー
https://www.kegg.jp/[...]
KEGG MEDICUS 医薬品情報
2023-07-19
[73]
뉴스
アッヴィ、「リンヴォック®錠」(ウパダシチニブ水和物)について、既存治療で効果不十分な中等症から重症の活動期クローン病患者さんの治療薬として、日本における適応追加承認を取得
https://bio.nikkeibp[...]
日経バイオテク
2023-06-26
[74]
논문
Aminosalicylates for induction of remission or response in Crohn's disease
2016-07
[75]
논문
Oral 5-aminosalicylic acid for maintenance of medically-induced remission in Crohn's disease
2016-09
[76]
논문
Antibiotics for induction and maintenance of remission in Crohn's disease
2019-02
[77]
논문
Azathioprine or 6-mercaptopurine for induction of remission in Crohn's disease
2016-10
[78]
논문
Budesonide for induction of remission in Crohn's disease
2015-06
[79]
논문
Budesonide for maintenance of remission in Crohn's disease
2014-08
[80]
논문
Enteral nutritional therapy for induction of remission in Crohn's disease
2018-04
[81]
논문
Anti-IL-12/23p40 antibodies for induction of remission in Crohn's disease
2016-11
[82]
논문
Tumor necrosis factor-alpha antibody for maintenance of remission in Crohn's disease
2008-01
[83]
논문
Specialized enteral nutrition therapy in Crohn's disease patients on maintenance infliximab therapy: a meta-analysis
2015-07
[84]
논문
Post-operative abdominal complications in Crohn's disease in the biological era: Systematic review and meta-analysis
2016-03
[85]
논문
Systematic Review with Network Meta-Analysis: Efficacy of Induction Therapy with a Second Biological Agent in Anti-TNF-Experienced Crohn's Disease Patients
2018
[86]
논문
Natalizumab for induction of remission in Crohn's disease
2018-08
[87]
웹사이트
Crohn's disease
https://www.kmle.co.[...]
대한의협 의학용어 사전
본 사이트는 AI가 위키백과와 뉴스 기사,정부 간행물,학술 논문등을 바탕으로 정보를 가공하여 제공하는 백과사전형 서비스입니다.
모든 문서는 AI에 의해 자동 생성되며, CC BY-SA 4.0 라이선스에 따라 이용할 수 있습니다.
하지만, 위키백과나 뉴스 기사 자체에 오류, 부정확한 정보, 또는 가짜 뉴스가 포함될 수 있으며, AI는 이러한 내용을 완벽하게 걸러내지 못할 수 있습니다.
따라서 제공되는 정보에 일부 오류나 편향이 있을 수 있으므로, 중요한 정보는 반드시 다른 출처를 통해 교차 검증하시기 바랍니다.
문의하기 : help@durumis.com
