폐선암
"오늘의AI위키"의 AI를 통해 더욱 풍부하고 폭넓은 지식 경험을 누리세요.
1. 개요
폐선암은 폐의 선(腺) 세포에서 발생하는 악성 종양으로, 폐암의 주요 유형 중 하나이다. 초기에는 호흡기 증상에 국한되지만, 진행되면 기침, 호흡 곤란, 흉통, 객혈, 체중 감소 등 다양한 증상을 유발한다. 흡연은 가장 중요한 위험 요인이며, 비흡연자에게서도 발생할 수 있다. 폐선암은 징후 및 증상, 영상 검사(흉부 X선, CT, PET-CT, MRI), 조직 검사 등을 통해 진단하며, 병기, 절제 가능성, 유전체 변이 등을 고려하여 수술, 항암화학요법, 방사선 치료, 표적 치료, 면역 치료 등 다양한 방법으로 치료한다.
더 읽어볼만한 페이지
- 폐암 - 소세포암종
소세포암종은 폐에서 주로 발생하고 빠르게 전이되는 미분화된 악성 종양으로, 임상병리학적으로 제한기와 확장기로 나뉘며 흡연이 주요 위험 요인이고, 화학 요법, 면역 요법, 방사선 치료 등으로 치료한다. - 폐암 - 폐의 기저세포양 편평세포암
폐의 기저세포양 편평세포암은 편평 세포 폐암의 변종으로, 기도 이형성증과 관련이 있으며, 면역조직화학 염색을 통해 진단되고, 표준 프로토콜에 따라 치료되지만 예후가 좋지 않으며 흡연과 관련이 깊다.
2. 징후 및 증상
폐선암은 초기에는 증상이 거의 없거나 경미하여 조기 발견이 어렵다. 그러나 암이 진행됨에 따라 다양한 증상이 나타날 수 있다.
폐암의 흔한 증상은 다음과 같다.[44]
- 사라지지 않거나 악화되는 기침
- 체중 감소
- 호흡곤란 (숨가쁨)
- 흉통 (심호흡, 기침, 웃음으로 악화될 수 있음)
- 객혈 (피 섞인 가래) [53]
- 뼈 통증
- 곤봉변형 (손가락 끝이 둥글고 뭉툭해지는 현상)
- 발열
- 피곤함, 쇠약감
- 상대정맥 폐쇄 (얼굴, 목, 상체 부종) [54]
- 연하곤란 (삼키기 어려움), 쉰 목소리
- 천식 병력이 없는데도 나타나는 쌕쌕거림
이러한 증상들은 암 이외의 다른 원인으로 인해 발생할 수도 있다.[44] 특히 흡연 경력이 있거나, 항생제에 반응하지 않는 폐 감염 (기관지염, 폐렴 등)이 재발하는 경우에는 폐암을 의심해야 한다. 비흡연자 중에서는 여성이나 동아시아인이 더 젊은 나이에 폐암 증상을 보일 수 있다.[43]
2. 1. 호흡기 증상
폐암의 가장 흔한 증상은 사라지지 않거나 악화되는 기침이다.[44] 객혈(피가 섞여 나오는 가래)은 폐암의 중요한 증상 중 하나이다.[53][5] 호흡곤란은 숨이 가쁘거나 짧아지는 증상으로, 폐암이 진행되면서 나타날 수 있다.[44] 흉통은 심호흡, 기침, 웃음 등으로 악화될 수 있다.[44]2. 2. 전신 증상
체중 감소는 폐암 환자에게 흔히 나타나는 증상이다.[44] 피로감, 쇠약감 등은 암으로 인한 전신적인 증상이다.[44] 뼈 통증은 폐암이 뼈로 전이되었을 때 나타날 수 있다.[44] 상대정맥 폐쇄로 인해 얼굴, 목, 상체 부종이 발생할 수 있는데,[54] 이는 상체에서 혈액 순환을 방해하는 폐 종양으로 인해 발생한다.[54] 연하곤란(삼키기 어려움) 및 쉰 목소리는 암이 진행되면서 나타날 수 있다.[44]2. 3. 부신생물 증후군
폐선암은 부신생물 증후군을 동반할 수 있다. 부신생물 증후군은 악성 종양의 혈액학적 또는 대사적 합병증을 의미하며, 진행된 질병과 더 나쁜 예후를 나타내는 경우가 많다. 폐선암과 관련된 부신생물 증후군은 다음과 같다.- 악성 고칼슘혈증: 폐의 편평 세포 암종에서 더 흔하지만, 폐선암에서도 발생할 수 있다. 종양 세포에서 생성되는 부갑상선 호르몬 관련 펩타이드(PTHrP)는 부갑상선 호르몬(PTH)과 유사하게 기능하여 뼈 흡수를 증가시킨다. 뼈가 파괴되면서 칼슘이 혈류로 방출되어 고칼슘혈증이 발생한다. 혈중 칼슘 수치가 상승하면 갈증, 피로, 변비, 다뇨(배뇨 증가), 메스꺼움과 같은 증상이 나타날 수 있다.[54] 비소세포폐암 환자는 고칼슘혈증을 보이기도 하므로, 이들에게서 뼈 전이를 배제하는 것이 중요하다.
- 비후성 폐 골관절병증(HPO): 폐선암 환자의 1% 미만에서 나타나지만, 발생하면 예후가 좋지 않다. HPO의 정확한 기전은 알려져 있지 않지만, 호르몬 또는 신경성 기원일 것으로 추정된다. HPO의 3가지 징후에는 말단 곤봉지, 관절염 및 양측 대칭성 골막 형성이 포함된다.[54]
3. 원인
흡연은 폐선암의 가장 중요한 위험 요인이다. 장기간 흡연하면 폐선암 발생 위험이 크게 증가한다. 간호사 건강 연구에 따르면, 흡연 기간이 30~40년인 흡연자는 비흡연자에 비해 폐선암에 걸릴 확률이 2배 이상 높고, 40년 이상 흡연 시 상대 위험도가 5로 증가한다.[45]
이 외에도 간접 흡연, 대기 오염, 라돈, 석면 등이 폐선암의 원인이 될 수 있다.
3. 1. 흡연
흡연은 폐선암 발생의 주요 원인이다. 간호사 건강 연구에 따르면, 흡연 기간이 길어질수록 폐선암의 위험이 실질적으로 증가한다.[45][6] 흡연 기간이 30~40년인 흡연자는 평생 비흡연자에 비해 폐선암 발생 가능성이 2배 이상 높으며(상대 위험도 약 2.4), 40년 이상 흡연 시 상대 위험도가 5로 증가한다.[45][6]담배 연기를 깊숙이 흡입하면 폐 선암에서 흔히 발생하는 말초 병변이 발생한다.[56]
3. 2. 기타 요인
폐선암은 소세포 폐암, 편평 세포 폐암과 달리 폐의 말초 부위에 주로 발생한다.[56] 이 두 암은 중심부에 발생하는 경향이 있지만,[46][56] 폐선암도 중심부에 병변이 생길 수 있다.[56] 폐 주변부 흉터와 관련되어 발생하는 경우가 많지만, 정확한 원인은 밝혀지지 않았다. 현재 이론으로는 흉터가 종양을 유발했다기보다는 종양 발생 후 2차적으로 흉터가 생겼을 가능성이 높다고 보고있다.[56] 폐선암은 흡연자에게 발병률이 높고, 비흡연자와 여성에게서 가장 흔하게 나타나는 폐암 유형이다.[56] 담배 연기를 깊이 흡입하면 폐 말초 부위에 병변이 잘 생기는데, 이것이 폐선암 발생과 관련이 있다. 폐선암은 다른 유형보다 천천히 자라고 크기가 작은 경향이 있지만, 초기 단계에서 전이되는 경향이 있다.[56]4. 기전
암 게놈 아틀라스(TCGA)와 같은 대규모 연구를 통해 폐 선암종 발병과 관련된 반복적인 체세포 변이가 밝혀졌다.[48] 폐 선암종은 흡연으로 인해 돌연변이가 많이 발생하는 종양 유형 중 하나이다.[47]
TP53, EGFR, KRAS 등 여러 종양 유전자 및 종양 억제 유전자에서 폐 선암종의 일반적인 체세포 돌연변이가 발견된다.[55] EGFR 및 KRAS 돌연변이는 상호 배타적으로 나타나며, KRAS 돌연변이는 흡연과, EGFR 돌연변이는 여성, 아시아계, 비흡연자와 관련이 깊다.[52]
기도는 전도 기도와 가스 교환 기도로 나뉘며, 가스 교환 기도는 호흡을 통해 산소와 이산화탄소 교환을 담당하는 폐포로 구성된다. 폐포는 1형과 2형 세포로 나뉘는데, 1형 폐포는 재생 불가능하며 폐포 표면의 95%를 덮고, 2형 폐포는 폐포 상피 세포의 60%를 차지하지만 폐포 표면의 3%만을 구성한다.[51]
폐 선암종은 2형 폐세포에서 기원하며, 여러 단계를 거쳐 진행된다. 비정형 선종 증식증(AAH)은 전암성 병변으로, 5mm 미만의 크기로 CT 영상에서 간유리 음영을 보인다. AAH는 유전자 돌연변이 축적과 신호 전달 경로 이상으로 상피내 선암종(AIS)으로 진행될 수 있다. AIS는 3cm 미만의 종양으로, 폐포 공간 내에 국한된 비정상 2형 폐세포 성장을 보이며, 이를 "백혈병"이라고도 한다.[51]
4. 1. 유전적 요인
폐선암은 다양한 유전자 변이와 관련이 깊다. 암 게놈 아틀라스(TCGA)와 같은 대규모 연구를 통해 폐선암 발병에 관여하는 여러 체세포 변이가 밝혀졌다.[48] 흡연은 강력한 돌연변이 유발 인자이기 때문에 폐선암은 돌연변이 수가 많은 종양 유형 중 하나이다.[47]흔히 발견되는 체세포 돌연변이는 TP53 (46%), EGFR (27%), KRAS (32%) 등이며, KEAP1, STK11, NF1과 같은 종양 유전자 및 종양 억제 유전자에도 영향을 미친다.[55] 특히, EGFR과 KRAS 돌연변이는 상호 배타적으로 나타나는 경향이 있는데, KRAS 돌연변이는 흡연과 관련이 깊고, EGFR 돌연변이는 여성, 아시아계, 비흡연자에게서 더 자주 발견된다.[52]
TERT, Mdm2, EGFR, MET, Myc와 같은 종양 유전자의 복제 수 증폭과 CDKN2A와 같은 종양 억제 유전자의 결실도 보고되었다.[48]
수용체 티로신 키나아제 경로에 속하는 유전자에서 빈번한 변이가 발생하며, EGFR이 가장 대표적이다. 이 경로는 세포 증식 및 생존에 관여하며 암에서 조절 이상을 보이는 경우가 많다. 이러한 돌연변이 경로 구성 요소를 억제하기 위한 표적 치료법이 개발되었다.[48][49]
ALK, ROS1, RET와 같은 막 관련 티로신 키나제 수용체의 융합 또는 재배열도 폐선암과 관련이 있으며, 80개 이상의 다른 전위도 보고되었다.[50] ALK 재배열의 가장 흔한 파트너 유전자는 EML4이다.[55]


4. 2. 병리 기전
기도는 전도 기도와 가스 교환 기도로 나눌 수 있다. 가스 교환 기도는 폐포로 구성되는데, 폐포는 정상적인 호흡 동안 산소와 이산화탄소 교환을 담당하는 작은 공기 주머니이다. 폐포는 두 가지 유형의 세포로 구성된다. 제1형 폐포 세포는 폐포 표면의 95%를 덮고 재생될 수 없다. 제2형 폐포 세포는 폐포 상피 내 세포의 60%를 구성하지만, 폐포 표면의 3%만을 구성한다.[14]폐 선암은 제2형 폐포 세포에서 기원하며, 정상적인 세포 조절과 회전율을 방해하는 연속적인 분자 변화를 겪으면서 단계적으로 진행된다. 비정형 선종성 과형성(AAH)은 폐선암의 전구 병변으로 간주된다. AAH 병변은 5mm 미만이며, 단일 또는 다발성일 수 있고 CT 영상에서 간유리 음영을 보인다. AAH는 더 많은 유전자 돌연변이와 정상 세포 신호 전달 경로의 조절 장애가 축적됨에 따라 상피내 선암종(AIS)으로 진행될 수 있다. AIS 병변은 3cm 미만의 작은 종양으로, 기질, 흉막 또는 혈관으로의 침윤 없이 폐포 공간에 국한된 비정상적인 제2형 폐포 세포 성장을 보인다. 이러한 유형의 성장을 "lepidic"이라고 하며, 폐 선암종의 초기 단계에서 나타난다.[14]
5. 진단
폐암 진단은 흡연 경력이 있는 사람에게서 객혈, 의도하지 않은 체중 감소 등 전형적인 증상이 나타나면 의심해 볼 수 있다. 이러한 증상이 나타나면 의료 영상 촬영 등 추가 검사가 필요하다.[51]
대부분의 폐암은 소세포폐암(SCLC) 또는 비소세포폐암(NSCLC)으로 구분할 수 있다. 폐 선암종은 NSCLC의 3가지 주요 아형 중 하나이며, 편평 세포 암종 및 대세포 암종도 NSCLC에 포함된다.[51]
폐 선암종 분류 방법에 대해서는 역사적으로 많은 논쟁이 있었고, 여러 차례 분류 체계가 개정되었다. 가장 최근에는 2011년에 국제 다학문적 폐 선암종 분류(International Multidisciplinary Classification of Lung Adenocarcinoma)가 발표되었는데, 이는 여러 조직의 합의를 나타낸다.[52] 현재 분류 체계는 예후를 더 잘 예측하고 치료 결정을 돕는 것을 목표로 한다.[54]
폐암이 의심되는 경우, 현미경으로 세포를 평가하기 위해 의심되는 부위의 생검을 시행하여 진단을 확정한다.[53] 생검 재료는 표적 치료에 적합한 특정 돌연변이(예: EGFR 돌연변이, ALK 돌연변이) 발현 여부를 분석하는 데에도 사용된다. 생검은 기관지 내시경, 경피적 폐 생검(경흉부 바늘 생검), 흉강경(비디오 흉강경 수술, VATS) 등을 통해 시행할 수 있다.[54]
객담 세포 검사는 유용성이 제한적이지만, 흉수가 있는 경우에는 초음파 유도 하에 흉강 천자 또는 흉수 흡인을 시행해야 한다. 흉수 흡인물에서 악성 세포가 발견되면 폐암 확진 및 병기(4기 폐 선암종)가 결정된다.[54]
5. 1. 영상 검사
흉부 X선 촬영은 폐암 진단의 기본적인 검사이다.[26] CT 촬영은 폐암의 진단 및 병기 결정에 중요한 역할을 한다. CT 영상은 흉부 방사선 촬영술보다 폐를 더 잘 평가할 수 있게 해주며, 폐암에 대한 더 높은 민감도와 특이성을 제공한다(하지만 여전히 상당한 위양성률을 보인다[26]).[13] 실제로, 미국 예방 서비스 태스크 포스(US Preventative Services Task Force)는 30갑년 흡연력이 있고 현재 흡연하거나 지난 15년 이내에 금연한 55세에서 80세 사이의 성인을 대상으로 저선량 CT를 이용한 연례 검진을 권장한다.[27]PET/CT 및 골 스캔과 같은 핵 의학 영상도 신체의 다른 부위에서 전이성 질환을 진단하고 감지하는 데 도움이 될 수 있다.[5] PET/CT는 대사적으로 활성인 추적자를 사용하여 임상의가 신체의 과다 대사 영역을 식별할 수 있게 한다. 악성 세포와 염증 또는 감염 부위에서 추적자의 섭취가 증가한다. 대사 활동을 반영하는 영상과 정상적인 CT 영상을 통합하면 PET 단독에 비해 더 높은 민감도와 특이성을 얻을 수 있다.[13]
MRI는 뇌 내 병변이 있을 가능성이 있는 진행성 질환 환자를 위해 사용된다. 또한 흉벽, 횡격막, 상완 신경총(예: 상구 종양) 또는 척추 침범의 정도를 평가하는 데 도움이 된다.[13]
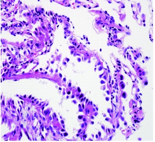
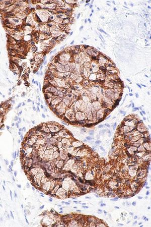
5. 2. 조직 검사
폐암 확진을 위해서는 의심되는 폐 종양의 생검을 통해 세포를 현미경으로 평가하는 것이 필수적이다.[53] 조직 검사를 통해 조직학적 진단을 확립하고, 동시에 전이 여부도 확인할 수 있다. 또한, 생검 재료는 표적 치료에 적합한 특정 돌연변이(예: EGFR 돌연변이, ALK 돌연변이) 발현 여부를 분석하는 데 사용된다. 생검은 기관지 내시경, 경피적 폐 생검(경흉부 바늘 생검), 흉강경(비디오 흉강경 수술, VATS) 등을 통해 시행할 수 있다.[54]객담 세포 검사는 진단에 제한적이지만, 흉수가 있는 경우에는 초음파 유도 하에 흉강 천자 또는 흉수 흡인을 시행해야 한다. 폐암이 강하게 의심되는 환자의 흉수 흡인물에서 악성 세포가 발견되면 폐암 확진 및 병기(4기 폐 선암종)가 결정된다.[54]
5. 3. 분류
폐 선암종은 비소세포폐암(NSCLC)의 세 가지 주요 아형 중 하나이며, 편평 세포 암종 및 대세포 암종도 이에 포함된다.[14]역사적으로 폐 선암종 분류 방법에 대해 많은 논쟁이 있었고, 여러 차례 분류 체계가 개정되었다. 가장 최근에는 2011년에 국제 다학제 폐 선암종 분류(International Multidisciplinary Classification of Lung Adenocarcinoma)가 발표되었는데, 이는 이 특정 유형의 폐암을 더 정확하게 설명하기 위한 여러 조직의 합의를 나타낸다.[32] 현재 분류 체계는 예후를 더 잘 예측하고 치료 결정을 돕는 것을 목표로 한다.[13]
침윤성 폐 선암종은 다양한 아형과 변이의 혼합을 포함하며, 2011년 합의에서는 가장 우세한 세포 패턴을 기반으로 다음 다섯 가지 주요 아형을 제시한다.
이러한 아형의 세포 패턴은 예후와 관련이 있으며, 양호(레피딕)에서 중간(선방 및 유두), 불량(미세 유두 및 고형)까지 다양하다.[32]
현재 분류에는 위 다섯 가지 아형에 포함되지 않는 네 가지 변이형도 포함된다.
세계 보건 기구(WHO)[1], 국제 폐암 연구 협회(IASLC), 미국 흉부 학회(ATS), 유럽 호흡기 학회(ERS)는 여러 주요 하위 유형을 인식하고 있다.[29][30][31] 여기에는 '비늘 형태 우세 선암종, 샘 모양 우세 선암종, 유두 형태 우세 선암종, 미세 유두 형태 우세 선암종, 고형 우세 선암종, 그리고 뮤신 생성을 동반한 고형 우세 선암종'이 포함된다. 종양의 80%에서 둘 이상의 하위 유형이 발견되며, 수술로 절제된 종양은 5% 단위로 침범 패턴을 설명하는 포괄적인 조직학적 하위 유형으로 분류해야 한다. 그리고 지배적인 조직학적 하위 유형을 사용하여 종양 전체를 분류한다.[32] 지배적인 하위 유형은 완전 절제 후 생존 예후에 중요하다.[33]
6. 치료
폐선암 치료는 병기, 절제 가능성, 수행 상태, 조직학적 특성 및 개별 종양에서 획득한 유전체 변이 등 여러 요인에 따라 달라진다.[57] 치료 방법은 크게 수술, 항암화학요법, 방사선 치료, 표적 치료, 면역항암요법의 다섯 가지로 나눌 수 있다.
- 수술: 초기 단계(I, II 및 IIIA) 폐선암은 폐 절제술 또는 엽 절제술로 종양을 제거하는 외과적 수술로 치료한다.
- 항암화학요법: 진행성(IV기) 및 절제 불가능한 폐 종양의 경우 1차 요법은 시스플라틴 또는 카보플라틴을 다른 세포독성제와 조합하는 백금 기반 이중 항암화학요법이다.
- 방사선 치료: 방사선 치료는 폐암 재발 위험을 줄이기 위해 절제 수술을 받은 환자의 보조 요법으로 사용될 수 있다.
- 표적 치료: 특정 분자적 특성을 가진 폐 선암종에는 표적 치료가 가능하다.
- 면역 치료: 면역 관문 억제제는 리간드 또는 수용체를 차단함으로써 T 세포 매개 항종양 면역을 회복시키기 위해 개발되었다.
6. 1. 수술
초기 단계(I, II 및 IIIA) 폐 선암종은 일반적으로 폐 절제술 또는 엽 절제술과 같은 수술적 치료를 받는다. 이는 영상 검사 및 생검을 통해 절제가 가능하고 환자가 수술을 견딜 수 있다고 판단되는 경우에 시행된다.[8] 비디오 흉강경 수술(VATS)이 종종 사용되는데, 이는 흉부에 작은 절개를 통해 흉강경을 삽입하는 방식이다. 이 작은 절개를 통해 흉강경을 사용하여 엽을 제거할 수 있다.[34]6. 2. 항암화학요법
진행성(IV기) 및 절제 불가능한 폐 종양의 경우 1차 요법은 시스플라틴 또는 카보플라틴을 다른 세포독성제와 조합하는 백금 기반 이중 항암화학요법이다.[55][2] 요법은 각 환자의 수행 상태와 반응에 크게 의존하며, 부작용의 위험이 삶의 질을 크게 악화시킬 수 있는 경우 기본 지지 요법이 더 권장된다. 화학 요법은 또한 IIA기, IIB기 및 IIIA기 비소세포폐암 환자에서 남아 있는 암세포를 죽이기 위한 수술 후 보조 요법으로도 사용된다.[57][34]6. 3. 방사선 치료
선암은 비소세포폐암의 일종으로, 소세포폐암에 비해 방사선 치료에 대한 반응성이 낮다.[56] 그러나 방사선 치료는 수술 후 폐암 재발 위험을 줄이기 위한 보조 요법으로 사용될 수 있다.[57] 또한 수술이나 화학 요법에 반응하지 않는 환자의 삶의 질을 향상시키기 위해 흉부에 국한된 수술 불가능한 종양에 도움이 될 수 있으며, 완화 치료의 일부가 될 수 있다.[57]6. 4. 표적 치료
표적 치료는 특정 분자적 특성을 가진 폐 선암종에 사용할 수 있다. 단백질 키나아제 억제제(TKI)는 EGFR, ALK[36] 및 ROS1과 같은 수용체 티로신 키나아제 경로의 돌연변이 구성요소를 표적으로 하기 위해 개발되었으며, 이들은 폐 선암종에서 빈번한 변이를 보인다.게피티닙 및 엘로티닙을 포함한 1세대 EGFR TKI는 세포 독성 화학 요법과 관련하여 EGFR 돌연변이 환자를 치료하는 데 더 효과적인 것으로 나타났다. 아파티닙 및 다코미티닙과 같은 2세대 억제제는 상피세포 성장 인자 수용체(EGFR) 자체뿐만 아니라 HER2 및 HER4(ERBB2 및 ERBB4로도 알려짐)와 같은 EGFR 패밀리의 다른 구성원을 표적으로 할 수 있으므로 더 넓은 범위의 적용을 제공하며 게피티닙에 비해 향상된 무진행 생존 기간을 보였다. 1세대 TKI에 대한 가장 흔한 획득 내성 원인은 코돈 790의 두 번째 EGFR 돌연변이이므로, 이 새로운 돌연변이도 표적으로 하는 3세대 EGFR TKI인 오시머티닙이 개발되었다.[2] MET 증폭은 획득된 내성의 또 다른 알려진 기전이다.[32]
크리조티닙과 같은 ALK 억제제는 ALK 융합을 가진 종양에 효과적인 것으로 나타났다. 이전에 크리조티닙으로 치료받은 대부분의 환자는 세리티닙, 알렉티닙 및 브리가티닙을 포함한 2세대 ALK 억제제의 혜택을 받았다. ALK 억제제에 대한 내성은 새로운 획득 ALK 돌연변이 또는 증폭으로 발생할 수 있다.[2]
또한 ROS1 양성 종양은 ROS1과 ALK의 키나아제 도메인 간의 높은 서열 상동성으로 인해 ALK 억제제에 대한 높은 민감도를 보였다.[2]
6. 5. 면역 치료
면역 반응은 리간드 단백질(예: PD-L1)이 면역 세포 표면의 수용체(예: PD-1)와 결합하여 활성화되는 면역 관문을 통해 억제될 수 있다. 결과적으로 PD-L1을 발현하는 암세포는 T세포를 비활성화하여 종양 성장을 촉진할 수 있다. 면역 관문 억제제는 리간드 또는 수용체를 차단함으로써 T 세포 매개 항종양 면역을 회복시키기 위해 개발되었다.[2]니볼루맙과 펨브롤리주맙을 포함한 면역 관문 억제제는 비소세포폐암(NSCLC)에 대해 승인되었다. 항-PD-1 제제는 1차 세포독성 화학 요법 후 종양이 진행된 진행성 NSCLC 환자에게 사용된다. 펨브롤리주맙은 높은 PD-L1 발현 수준을 보이는 진행성 또는 전이성 NSCLC 환자를 위한 새로운 치료 표준으로 확립되었으며, 돌연변이 부하가 높은(즉, 돌연변이 수가 증가한) 종양에서 반응이 더욱 두드러진다.[2]
2018년 현재 여러 면역 관문 억제제를 결합하거나 하나의 면역 관문 억제제와 세포독성 제제를 결합하는 치료 접근법이 임상 시험을 진행 중이다.[2][37] 하지만 2021년 KEYNOTE-598 3상 임상 시험에서는 PD-L1 종양 비율 점수 ≥50%인 NSCLC 환자에게 펨브롤리주맙에 이필리무맙을 추가해도 효과가 없으며 독성이 더 커질 수 있다고 보고했다.[38] 절제 가능한 NSCLC에서 보조 요법으로서 항-PD-1 제제의 잠재적 역할 또한 연구되고 있다.[39]
7. 역학
폐 선암의 발병률은 흡연과 강하게 연관되어 있다.
지난 수십 년 동안 많은 서구 선진국에서 폐 선암의 발병률이 증가했으며, 2012년 기준으로 미국 전체 폐암의 43.3%를 차지하여 편평 세포 폐암을 제치고 가장 흔한 유형의 폐암이 되었다.[40] 이는 흡연율 감소에 기인하는 바가 큰데, 흡연율 감소는 선암 조직학을 선호하기 때문이다. 흡연이 여전히 가장 강력한 위험 요인이지만, 폐 선암은 평생 비흡연자(평생 100개 미만의 담배)에게서 가장 흔하게 나타난다.[41]
참조
[1]
서적
Pathology and Genetics of Tumours of the Lung, Pleura, Thymus and Heart
http://www.iarc.fr/e[...]
IARC Press
2010-03-27
[2]
논문
The biology and management of non-small cell lung cancer
2018-01
[3]
서적
Harrison's Principles of Internal Medicine
McGraw-Hill
[4]
웹사이트
Non-Small Cell Lung Cancer Signs and Symptoms
https://www.cancer.o[...]
American Cancer Society
2016-05-16
[5]
웹사이트
Tests for Non-Small Cell Lung Cancer
https://www.cancer.o[...]
American Cancer Society
2017-06-23
[6]
논문
Comparison of aspects of smoking among the four histological types of lung cancer
2008-06
[7]
논문
Lung cancer
1995-01
[8]
서적
Robbins Basic Pathology
Saunders
[9]
논문
Comprehensive molecular profiling of lung adenocarcinoma
2014-07
[10]
논문
Scalable Open Science Approach for Mutation Calling of Tumor Exomes Using Multiple Genomic Pipelines
2018-03
[11]
웹사이트
Lung cancer
https://ghr.nlm.nih.[...]
2019-05-06
[12]
웹사이트
Lung: Translocations in Adenocarcinoma
http://atlasgenetics[...]
[13]
서적
Fishman's pulmonary diseases and disorders
McGraw-Hill Education
2015-04-14
[14]
서적
Schwartz's Principles of Surgery
McGraw-Hill
2014
[15]
논문
An annotation-free whole-slide training approach to pathological classification of lung cancer types using deep learning.
https://www.ncbi.nlm[...]
[16]
논문
Pathologic N0 Status in Clinical T1N0M0 Lung Adenocarcinoma is Predictable by the Solid Component Proportion with Quantitative CT Number Analysis
[17]
웹사이트
Lepidic-predominant adenocarcinoma of the lung {{!}} Radiology Reference Article {{!}} Radiopaedia.org
https://radiopaedia.[...]
2022-01-21
[18]
웹사이트
Acinar-predominant adenocarcinoma of the lung {{!}} Radiology Reference Article {{!}} Radiopaedia.org
https://radiopaedia.[...]
2022-01-21
[19]
웹사이트
Papillary-predominant adenocarcinoma of the lung {{!}} Radiology Reference Article {{!}} Radiopaedia.org
https://radiopaedia.[...]
2022-01-21
[20]
웹사이트
Micropapillary-predominant adenocarcinoma of the lung {{!}} Radiology Reference Article {{!}} Radiopaedia.org
https://radiopaedia.[...]
2022-01-21
[21]
웹사이트
Solid-predominant adenocarcinoma of the lung with mucin production {{!}} Radiology Reference Article {{!}} Radiopaedia.org
https://radiopaedia.[...]
2022-01-21
[22]
웹사이트
Invasive mucinous adenocarcinoma of the lung {{!}} Radiology Reference Article {{!}} Radiopaedia.org
https://radiopaedia.[...]
2022-01-21
[23]
웹사이트
Colloid adenocarcinoma of the lung {{!}} Radiology Reference Article {{!}} Radiopaedia.org
https://radiopaedia.[...]
2022-01-21
[24]
웹사이트
Fetal adenocarcinoma of the lung {{!}} Radiology Reference Article {{!}} Radiopaedia.org
https://radiopaedia.[...]
2022-01-21
[25]
웹사이트
Primary pulmonary enteric adenocarcinoma {{!}} Radiology Reference Article {{!}} Radiopaedia.org
https://radiopaedia.[...]
2022-01-21
[26]
논문
Lung cancer screening-don't forget the chest radiograph
2014-04
[27]
웹사이트
Final Recommendation Statement: Lung Cancer: Screening.
https://www.uspreven[...]
2016-12
[28]
서적
World Cancer Report 2014
World Health Organization
2014
[29]
논문
Surgical implications of the new IASLC/ATS/ERS adenocarcinoma classification
2012-02
[30]
논문
Paradigm shifts in lung cancer as defined in the new IASLC/ATS/ERS lung adenocarcinoma classification
2011-08
[31]
논문
Solitary and multiple resected adenocarcinomas after CT screening for lung cancer: histopathologic features and their prognostic implications
2009-05
[32]
논문
International association for the study of lung cancer/american thoracic society/european respiratory society international multidisciplinary classification of lung adenocarcinoma
2011-02
[33]
논문
Does lung adenocarcinoma subtype predict patient survival?: A clinicopathologic study based on the new International Association for the Study of Lung Cancer/American Thoracic Society/European Respiratory Society international multidisciplinary lung adenocarcinoma classification
2011-09
[34]
논문
Non-small cell lung cancer: current treatment and future advances
2016-06
[35]
논문
Comparison of aspects of smoking among the four histological types of lung cancer
2008-06
[36]
논문
Diagnosis and Treatment of Anaplastic Lymphoma Kinase-Positive Non-Small Cell Lung Cancer
2017-02
[37]
논문
Nivolumab plus Ipilimumab in Lung Cancer with a High Tumor Mutational Burden
2018-05
[38]
논문
Pembrolizumab Plus Ipilimumab or Placebo for Metastatic Non-Small-Cell Lung Cancer With PD-L1 Tumor Proportion Score ≥ 50%: Randomized, Double-Blind Phase III KEYNOTE-598 Study
2021-07
[39]
논문
Neoadjuvant PD-1 Blockade in Resectable Lung Cancer
2018-05
[40]
웹사이트
Browse the Tables and Figures — SEER Cancer Statistics Review (CSR) 1975-2012
https://seer.cancer.[...]
2019-02-22
[41]
논문
Squamous cell lung cancer: from tumor genomics to cancer therapeutics
2015-05
[42]
서적
Pathology and Genetics of Tumours of the Lung, Pleura, Thymus and Heart
http://www.iarc.fr/e[...]
2010-03-27
[43]
서적
Harrison's Principles of Internal Medicine
[44]
웹인용
Non-Small Cell Lung Cancer Signs and Symptoms
https://www.cancer.o[...]
American Cancer Society
2016-05-16
[45]
저널
Comparison of aspects of smoking among the four histological types of lung cancer
2008-06
[46]
저널
Lung cancer
1995-01
[47]
저널
Scalable Open Science Approach for Mutation Calling of Tumor Exomes Using Multiple Genomic Pipelines
2018-03
[48]
저널
Comprehensive molecular profiling of lung adenocarcinoma
2014-07
[49]
웹인용
Lung cancer
https://ghr.nlm.nih.[...]
2019-05-06
[50]
웹인용
Lung: Translocations in Adenocarcinoma
http://atlasgenetics[...]
[51]
서적
Schwartz's Principles of Surgery
2014
[52]
저널
International association for the study of lung cancer/american thoracic society/european respiratory society international multidisciplinary classification of lung adenocarcinoma
2011-02
[53]
웹인용
Tests for Non-Small Cell Lung Cancer
https://www.cancer.o[...]
American Cancer Society
2017-06-23
[54]
서적
Fishman's pulmonary diseases and disorders
2015-04-14
[55]
저널
The biology and management of non-small cell lung cancer
2018-01
[56]
서적
Robbins Basic Pathology
[57]
저널
Non-small cell lung cancer: current treatment and future advances
2016-06
[58]
저널
Diagnosis and Treatment of Anaplastic Lymphoma Kinase-Positive Non-Small Cell Lung Cancer
2017-02
본 사이트는 AI가 위키백과와 뉴스 기사,정부 간행물,학술 논문등을 바탕으로 정보를 가공하여 제공하는 백과사전형 서비스입니다.
모든 문서는 AI에 의해 자동 생성되며, CC BY-SA 4.0 라이선스에 따라 이용할 수 있습니다.
하지만, 위키백과나 뉴스 기사 자체에 오류, 부정확한 정보, 또는 가짜 뉴스가 포함될 수 있으며, AI는 이러한 내용을 완벽하게 걸러내지 못할 수 있습니다.
따라서 제공되는 정보에 일부 오류나 편향이 있을 수 있으므로, 중요한 정보는 반드시 다른 출처를 통해 교차 검증하시기 바랍니다.
문의하기 : help@durumis.com
