흉수
"오늘의AI위키"의 AI를 통해 더욱 풍부하고 폭넓은 지식 경험을 누리세요.
1. 개요
흉수는 흉강 내에 액체가 비정상적으로 축적되는 현상으로, 액체의 종류, 기원, 병태생리에 따라 다양하게 분류된다. 누출성 흉수와 삼출성 흉수로 나뉘며, 심부전, 간경변, 폐렴, 암 등 다양한 질환이 원인이 될 수 있다. 신체 검진, 흉부 X-레이, CT, 초음파 등을 통해 진단하며, 흉강 천자를 통해 원인을 파악한다. 치료는 기저 질환 치료가 중요하며, 흉강 천자, 흉관 삽입, 흉막 유착술 등이 시행될 수 있다.
더 읽어볼만한 페이지
- 가슴막 관련 질환 - 중피종
중피종은 석면 노출이 주요 원인이며 20~50년의 잠복기를 거쳐 흉막, 복막 등에서 발생하는 악성 종양으로, 진단은 영상 검사 등을 통해 이루어지고 수술, 항암 치료 등을 병행하며 예후는 좋지 않다. - 가슴막 관련 질환 - 혈흉
혈흉은 흉부 외상, 의인성 손상, 종양 등으로 흉막강 내에 혈액이 축적되어 폐의 움직임을 방해하고 저혈량성 쇼크를 유발할 수 있으며, 흉부 X선, 초음파, CT 스캔 등으로 진단하고 흉관삽입술, 수액 보충, 수술 등으로 치료한다. - 근막 질환 - 류마티스 관절염
류마티스 관절염은 관절 활막의 만성 염증성 질환으로, 조기 진단과 적극적인 치료를 통해 질병 진행을 늦추고 삶의 질을 향상시키는 것이 중요하며, 진단에는 류마티스 인자와 항CCP 항체가 사용되고 메토트렉세이트 등의 약물로 치료한다. - 근막 질환 - 염좌
염좌는 관절의 과도한 움직임으로 관절낭, 인대, 연부 조직이 손상되어 통증, 부종, 발열 등의 염증을 동반하며, 손상 정도에 따라 정도가 나뉘고, RICE 요법 등의 비수술적 치료나 심한 경우 수술적 치료와 재활을 통해 회복을 꾀한다. - 체액 - 구토
구토는 다양한 원인으로 위장 내용물이 입을 통해 배출되는 반사 작용으로, 메스꺼움을 동반하거나 탈수와 같은 합병증을 유발할 수 있으며, 토사물의 색깔과 성분은 원인 질환 진단에 중요한 단서가 된다. - 체액 - 정액
정액은 남성의 생식 기관에서 생성되는 액체로, 정자와 정장으로 구성되며, 여성 생식 기관 내에서 정자에 영양을 공급하고 보호하며, 정액의 질은 수정 능력을 나타낸다.
| 흉수 | |
|---|---|
| 일반 정보 | |
![]() | |
| 분야 | 폐병학 |
| 임상 정보 | |
| 추가 정보 | |
| 영어 명칭 | pleural effusion |
2. 종류
흉강 내에 고이는 액체의 종류에 따라 다음과 같이 분류할 수 있다.
체액의 기원에 따라서는 다음과 같이 분류할 수 있다.[2]
병태생리에 따라서는 다음과 같이 분류할 수 있다.
- 삼출성 흉수
- 삼출액 흉수
흉수의 액체 내용에 따라 외관상 다음과 같이 분류할 수 있다.
흉수의 성상에 따라서도 다음과 같이 2가지로 분류할 수 있다.
- 삼출액(누출성 흉수): 비중 1.015 이하, 단백질량 3g/dL 이하, LDH 200u/L 이하, 당 60mg/dL 이하, 백혈구 1000/mm3 이하
- 삼출액(삼출성 흉수): 비중 1.018 이상, 단백질량 3g/dL 이상, LDH 200u/L 이상
라이트(Light)의 진단 기준은 다음과 같다.
| 기준 |
|---|
| 흉수 단백질량/혈청 단백질량 비율이 0.5를 초과 |
| 흉수 LDH/혈청 LDH 비율이 0.6을 초과 |
| 흉수 LDH가 혈청 LDH의 기준치 상한선의 3분의 2를 초과 |
이 중 하나 이상을 만족하는 경우 삼출성 흉수라고 한다.
3. 원인

흉수는 원인에 따라 누출성과 삼출성으로 나뉜다.
| 원인 질환 |
|---|
| 울혈성 심부전 |
| 간경변 |
| 신증후군 - 소변으로 다량의 알부민을 유실하고 그 결과 혈액 내 알부민 감소와 교질 삼투압 감소를 유발 |
| 폐색전증[3] - 폐의 모세혈관 투과성 증가와 관련, 혈소판이 풍부한 혈전에서 사이토카인 또는 염증 매개체(예: 혈관 내피 성장 인자)의 방출로 인해 발생. 과도한 간질 폐액은 내장 흉막을 통과하여 흉막강에 축적됨. |
| 심각한 저알부민혈증 |
| 급성 무기폐[5] |
| 점액부종 |
| 복막 투석 |
| 메이그 증후군 |
| 폐쇄성 요로병증 |
| 말기 신장 질환 |
- '''삼출성 흉수''' : 폐나 흉막의 염증, 감염, 악성 종양 등의 질환으로 발생한다.
- * 흉수가 삼출성으로 판명되면 아밀라아제, 포도당, pH 및 세포 수 등을 측정하여 원인 파악을 위한 추가적인 평가가 필요하다.
- ** 아밀라아제 수치 증가: 식도 파열, 췌장 흉수, 암
- ** 포도당 수치 감소: 암, 세균 감염, 류마티스성 흉막염
- ** pH 수치 감소: 농흉(<7.2), 암
- ** 세포 검사: 암이 의심되는 경우 흉수를 세포 검사로 보낸다. 결과가 음성이고 여전히 암이 의심되는 경우 흉강경 검사 또는 흉막 바늘 생검[6]을 수행
- ** 그람 염색 및 배양 검사
- ** 결핵 가능성이 있는 경우: ''결핵균'' (Ziehl–Neelsen 또는 Kinyoun 염색, 결핵균 배양) 검사 수행. 결핵 DNA에 대한 중합 효소 연쇄 반응을 수행하거나 아데노신 탈아미나제 또는 인터페론 감마 수치를 확인.
- * 주요 원인
| 원인 질환 |
|---|
| 세균성 폐렴 |
| 암 (폐암, 유방암, 림프종이 모든 악성 흉수의 약 75% 차지) |
| 바이러스 감염 |
| 폐색전증 |
| 심장 수술 후 불완전하게 배액된 혈액이 염증 반응을 일으켜 삼출성 흉수를 유발 |
| 폐렴성 흉수 (폐렴으로 인해 발생) |
| 외상 |
| 폐 경색 |
| 자가면역 질환 |
| 췌장염 |
| 식도 파열 (보어하브 증후군) |
| 류마티스성 흉막염 |
| 약물 유발 루푸스 |
- '''기타 흉수 원인'''
| 원인 질환 |
|---|
| 결핵 (흉막액 염색에서 항산성 간균이 드물게 양성으로 나타나지만, 일부 개발도상국에서는 흉막 삼출액의 가장 흔한 원인) |
| 자가면역 질환 (예: 전신성 홍반 루푸스) |
| 출혈 (종종 흉부 외상으로 인한) |
| 유미흉 (가장 흔하게 외상으로 인한) |
| 우발적인 체액 주입[7] |
| 식도 파열 또는 췌장 질환 |
| 복강 내 농양 |
| 류마티스 관절염 |
| 석면 흉막 삼출액 |
| 중피종 |
| 메이그 증후군 (양성 난소 종양으로 인한 복수 및 흉막 삼출액) |
| 난소 과자극 증후군[7] |
| 의학적/외과적 시술 (약물 사용 (흉막액은 보통 호산구성), 관상동맥 우회술, 복부 수술, 내시경 정맥류 경화 요법, 방사선 치료, 간 이식/폐 이식, 수두증 치료법으로서의 뇌실 션트 삽입,[8][9] 중심 정맥 카테터의 혈관 내/외 삽입 등) |
4. 병태 생리
흉막의 벽측 흉막에서 대량 흐름에 의해 분비되는 흉수는 주로 횡격막 및 종격동 부위의 벽측 흉막에서 림프관을 통해 재흡수된다.[10] 병적인 흉수는 다음과 같이 나눌 수 있다.
- 누출성 흉수: 폐 내의 정상적인 압력에 장애가 일어나는 것(혈관 내 정수압의 증가 또는 혈장교질 삼투압의 감소)으로 인해 발생한다. 주요 원인 질환으로는 울혈성 심부전, 신증후군, 간경변 등이 있다.
- 삼출성 흉수: 폐나 흉막의 염증, 감염, 악성 종양 등의 질환으로 인해 발생한다. 주요 원인 질환으로는 세균성 폐렴, 흉막염, 폐결핵, 폐 악성 종양(암성 흉막염) 등이 있다.
삼출성 흉수는 외상, 감염 또는 악성 종양 등 흉막 손상 시 발생하며, 흉수 과다 생성 또는 재흡수 능력 감소 시 발생한다. 라이트 기준[11]은 삼출성 및 누출성 흉수를 구별하는 데 사용될 수 있다.[12]
5. 임상 양상
신체 검진 시 호흡음이 감소하고, 타진 시 공명음이 감소하는 형태를 보인다.
흉막 삼출액은 일반적으로 병력과 신체 검사를 바탕으로 진단되며, 흉부 엑스선으로 확인된다. 축적된 체액이 300mL 이상일 경우, 일반적으로 영향을 받은 쪽의 흉부 움직임 감소, 체액 위에서의 둔탁한 타진, 영향을 받은 쪽의 호흡음 감소, 음성 공명 및 진탕음 감소와 같은 감지 가능한 임상 증상이 나타나며, 흉막 마찰음이 들릴 수 있다. 삼출액 위, 즉 폐가 압박된 부위에서는 기관지 호흡음과 양성 폐음이 나타날 수 있다. 삼출액이 많을 경우 기도가 삼출액 반대쪽으로 편향될 수 있다. 미국의학협회 저널의 Rational Clinical Examination Series의 일부로 출판된 한 체계적 문헌고찰(2009)에 따르면, 일반적인 타진으로 둔탁함이 흉막 삼출액 진단에 가장 정확한 것으로 나타났다(요약 양성 가능도 비, 8.7; 95% 신뢰 구간, 2.2–33.8). 반면 촉각 음성 진탕의 부재는 흉막 삼출액의 가능성을 낮추었다(음성 가능도 비, 0.21; 95% 신뢰 구간, 0.12–0.37).[13]
흉수가 저류되면 숨가쁨, 흉통, 기침, 딸꾹질, 복통, 관절 강직이 나타나며, 청진 (폐포 호흡음 감소 또는 소실, 양음 청취) · 타진 (탁음) · 촉진 (음성 진동)에서 이상 소견을 얻을 수 있다.
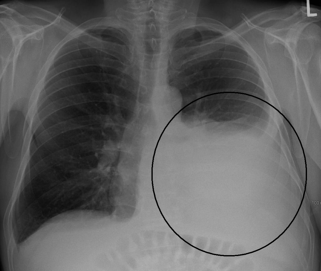
6. 진단
흉막 삼출액은 일반적으로 병력과 신체 검사를 바탕으로 진단되며, 흉부 엑스선으로 확인된다.[13] 흉수는 일반적인 후전방 흉부 X-레이에서 하얗게 보이는 영역으로 나타난다.[14] 흉수는 폐의 나머지 부분보다 밀도가 높기 때문에 흉강의 하단 부분으로 중력에 의해 이동한다. 흉수는 폐와 흉벽에 의해 결정되는 흉막 공간의 모양에 따라 기본적인 유체 역학에 따라 움직인다. 흉막 공간에 공기와 액체가 모두 포함되어 있으면 폐 공간에 맞춰지지 않고 수평적인 공기-액체 경계면이 나타난다.[15] 측면 decubitus(환자가 흉수가 있는 쪽으로 누운 상태) 자세의 흉부 방사선 사진은 더 민감하며 50mL의 액체도 감지할 수 있다. 기립 흉부 X-레이가 흉수를 감지하려면 250~600mL의 액체가 있어야 한다(예: 둔화된 늑골횡격막각).[16]
흉부 컴퓨터 단층 촬영은 진단에 더 정확하며 흉수의 존재, 크기 및 특성을 더 잘 특성화하기 위해 얻을 수 있다. 폐 초음파는 CT와 거의 동일한 정확도를 가지며 흉부 X-레이보다 더 정확하며, 흉수를 진단하기 위해 환자 곁에서 점점 더 많이 사용되고 있으며 안전하고 역동적이며 반복 가능한 영상 촬영 방식을 갖는다는 장점이 있다.[17]
흉수 진단이 내려지면 그 원인을 파악해야 한다. 흉수는 흉강 천자라는 과정을 통해 흉강 내에서 뽑아내는데, 이는 CT, 초음파 또는 측와위 X-레이에서 10mm 이상의 흉수 두께를 보이고 새롭게 발생했거나 원인이 불분명한 흉수를 가진 거의 모든 환자에게 시행해야 한다. 일반적으로 흉강 천자가 필요하지 않은 환자는 대칭적인 흉수와 흉통 또는 발열이 없는 심부전 환자뿐이다. 이러한 환자에게는 이뇨제를 시도해 볼 수 있으며, 흉수가 3일 이상 지속되지 않는 한 흉강 천자를 피한다.[20] 흉강 천자 시술에서는 바늘을 중간 액와선 상의 여섯 번째, 일곱 번째 또는 여덟 번째 늑간 공간을 통해 흉벽 뒤쪽으로 삽입하여 흉강으로 진입한다. 시술의 정확성을 높이고 합병증을 줄이기 위해 의료 초음파를 사용하여 시술을 유도하는 것이 현재 표준 진료 방식으로 자리 잡았다.[21][22] 액체를 제거한 후, 다음과 같은 검사를 수행할 수 있다.
- 단백질, 젖산 탈수소 효소(LDH), 알부민, 아밀라아제, pH, 포도당을 포함한 화학적 성분
- 가능한 세균 감염을 식별하기 위한 그람 염색 및 배양 검사
- 백혈구 및 적혈구 수, 백혈구 감별 검사
- 암세포를 식별하기 위한 세포병리학 검사, 일부 감염성 미생물 식별 가능
- 임상 상황에 따라 제안되는 기타 검사 – 지질, 곰팡이 배양, 바이러스 배양, 결핵 배양, 루푸스 세포 검사, 특정 면역글로불린
| 삼출액 vs. 누출액 | ||
|---|---|---|
| 삼출액 | 누출액 | |
| 주요 원인 | ↑ 정수압 ↑ 교질 삼투압 | 염증-증가된 혈관 투과성 |
| 외관 | 맑음[23] | 흐림[23] |
| 비중 | < 1.012 | > 1.020 |
| 단백질 함량 | < 2.5 g/dL | > 2.9 g/dL[24] |
| 체액 단백질/ 혈청 단백질 | < 0.5 | > 0.5[25] |
| SAAG = 혈청 [알부민] - 삼출액 [알부민] | > 1.2 g/dL | < 1.2 g/dL[26] |
| 체액 LDH | < 0.6 | > 0.6[24] |
| 콜레스테롤 함량 | < 45 mg/dL | > 45 |
| CT 스캔에서의 방사선 밀도 | 2~15 HU[27] | 4~33 HU[27] |
삼출성 흉수액은 흉막 평형, 즉 스타링의 힘을 변화시키는 ''전신적'' 요인에 의해 발생하는 삼출액으로 정의된다. 스타링의 힘, 즉 정수압, 투과성, 온코틱 압력(흉막 액체와 혈액의 구성으로 인한 유효 압력)의 구성 요소는 많은 질병, 예를 들어 좌심실 부전, 신부전, 간부전, 간경변에서 변화한다. 반대로 누출성 흉수액은 흉막 액체의 생성 및 흡수에 영향을 미치는 ''국소적'' 요인(예: 세균성 폐렴, 암, 폐색전증, 바이러스 감염)의 변화에 의해 발생한다.[30]
삼출액과 누출액의 원인에 대한 정확한 진단은 Light's criteria를 사용하여 흉막 액체의 화학적 특성을 혈액의 화학적 특성과 비교하는 데 달려 있다. Light's criteria(Light, et al. 1972)에 따르면, 다음 중 적어도 하나가 존재하면 흉수액은 누출성일 가능성이 높다:[31]
- 흉막 액체 단백질 대 혈청 단백질의 비율이 0.5보다 크다.
- 흉막 액체 LDH와 혈청 LDH의 비율이 0.6보다 크다.
- 흉막 액체 LDH가 혈청의 정상 상한치의 3분의 2보다 크다.
흉수의 액체 내용에 따라 몇 가지로 분류할수 있다.
- 외관에 따른 분류
- 장액: 좁은 의미의 흉수. 수흉이라고도 한다.
- 혈액: 혈흉
- 유미: 유미흉
- 농: 농흉
- 흉수의 성상에 따른 분류
- 삼출액(누출성 흉수): 비중 1.015 이하, 단백질량 3g/dL 이하, LDH 200u/L 이하, 당 60mg/dL 이하, 백혈구 1000/mm3 이하
- 삼출액(삼출성 흉수): 비중 1.018 이상, 단백질량 3g/dL 이상, LDH 200u/L 이상
라이트(Light)의 진단 기준은 다음과 같다.
1. 흉수 단백질량/혈청 단백질량 비율이 0.5를 초과
2. 흉수 LDH/혈청 LDH 비율이 0.6을 초과
3. 흉수 LDH가 혈청 LDH의 기준치 상한선의 3분의 2를 초과
이 중 하나 이상을 만족하는 경우 삼출성 흉수라고 한다.
진단은 흉부 엑스레이 사진, 흉부 CT, 초음파 검사, 흉강 천자 등으로 한다.
7. 치료
흉수의 치료는 흉수를 유발한 원인 질환에 따라 달라진다. 우선 원인이 되는 질환을 치료해야 한다.[37]
- 흉강천자: 진단 및 치료 목적으로 시행된다.[20] 흉강 내에 고인 흉수를 주삿바늘로 직접 뽑아내는 방법이다. 흉수의 성분을 검사하거나, 대량의 흉수로 인한 호흡곤란을 완화하기 위해 시행한다. 외래에서도 가능하다.[37] 단, 응고 장애나 출혈성 질환이 있는 경우에는 금기이다. CT, 초음파, 또는 측와위 X-레이 상에서 10mm 이상의 흉수 두께를 보이며 새롭게 발생했거나 원인이 불분명한 거의 모든 흉수 환자에게 시행해야 한다. 심부전 환자 중 대칭적인 흉수와 흉통 또는 발열이 없는 경우에는 이뇨제를 시도해 볼 수 있으며, 흉수가 3일 이상 지속되지 않는 한 흉강 천자를 피한다.[20] 의료 초음파를 사용하여 시술을 유도하는 것이 현재 표준 진료 방식이다.[21][22]
- 흉관 삽입: 흉수가 지속적으로 차는 경우, 흉강 내에 튜브(흉관)를 삽입하여 흉수를 지속적으로 배액하는 방법이다. 입원이 필요하다. 흉관이 막히지 않도록 관리하는 것이 중요하며, 막히면 흉수를 제거했음에도 흉강 내에 흉수가 남아 여러 합병증을 유발할 수 있다.
- 흉막유착술: 흉수가 반복적으로 차는 경우, 흉막강 내에 약물(활석, 블레오마이신, 테트라사이클린, 독시사이클린 등)을 주입하거나 수술을 통해 흉막을 유착시켜 흉수가 다시 차지 않도록 한다. 흉관을 삽입한 후 흉막을 기계적으로 깎거나 화학 물질을 넣어 흉터를 만드는 방식이다. 흉막유착술 후에는 더 이상 흉수가 배액되지 않을 때까지 흉관을 유지해야 하며, 이는 며칠에서 몇 주가 걸릴 수 있다. 실패율은 최대 30%이다.
- 흉강-복강 션트: 흉강 내 흉수를 복강 내로 유도하는 방법으로, 흉수 속 영양분을 버리지 않고 재흡수력이 높은 복강으로 유도한다. 드물게 사용된다.
- PleurX 흉막 카테터 또는 Aspira 배액 카테터 삽입: 흉막유착술의 대안이다. 일방향 밸브가 있는 15Fr 흉관을 삽입하여 매일 환자나 간병인이 진공 튜브를 이용해 600~1000mL의 흉수를 제거한다. 사용하지 않을 때는 튜브를 캡으로 막아둔다. 악성 흉수 환자의 경우, 병원 밖에서도 흉수를 관리하고 필요한 경우 화학 요법을 계속할 수 있다. 보통 30일 정도 삽입하며, 흉막 공간이 자연적으로 유착되면 제거한다.
- 기타: 결핵성 흉수는 항결핵제 치료를 시행한다. 현재 권장되는 요법은 이소니아지드, 리팜피신, 에탐부톨, 피라진아미드를 2개월간 투여한 후 이소니아지드, 리팜피신, 에탐부톨을 4개월간 투여하는 것이다.[36] 암으로 인한 흉수는 조절하기 어려울 수 있으며, 튜브를 이용해 흉수를 배액한 후 재발을 막기 위해 약물(피시바닐)을 흉강 내에 주입하여 흉막에 염증을 일으켜 유착시키는 방법을 사용하기도 한다.
참조
[1]
서적
C54. CRITICAL CARE CASE REPORTS: CAUSES AND COMPLICATIONS OF ACUTE RESPIRATORY FAILURE
https://doi.org/10.1[...]
American Thoracic Society
2018-05-01
[2]
웹사이트
Pleural effusion
https://medlineplus.[...]
2021-07-02
[3]
간행물
Pleural effusions due to pulmonary embolism
[4]
서적
Color Atlas of Body Fluids
CAP Press, Northfield
[5]
웹사이트
Atelectasis
https://www.lecturio[...]
2021-07-02
[6]
간행물
A modified outer cannula can help thoracentesis after pleural biopsy
http://www.chestjour[...]
1997-07
[7]
간행물
Pleural Effusion in Adults—Etiology, Diagnosis, and Treatment
2019-05
[8]
간행물
Ventriculo-peritoneal shunt presenting with recurrent pleural effusion: Report of a new complication
1994-04
[9]
문서
Pleural Effusion as a Ventriculo-Peritoneal Shunt Complication in Children (Meeting Abstract)
[10]
문서
Physiology, Pleural Fluid
http://www.ncbi.nlm.[...]
StatPearls Publishing
2024
[11]
간행물
Diagnostic approach to pleural effusion in adults
https://pubmed.ncbi.[...]
2006-04-01
[12]
간행물
Diagnostic approach to pleural effusion
https://pubmed.ncbi.[...]
2014-07-15
[13]
간행물
Does this patient have a pleural effusion?
2009-01
[14]
서적
Chest X-Ray Made Easy
Churchill Livingstone
[15]
서적
Squire's fundamentals of radiology
https://archive.org/[...]
Harvard University Press
[16]
웹사이트
Pleural effusion
https://radiopaedia.[...]
2021-07-20
[17]
간행물
International evidence-based recommendations for point-of-care lung ultrasound
2012-04-01
[18]
간행물
Visualization of the inferoposterior thoracic wall (VIP) and boomerang signs-novel sonographic signs of right pleural effusion
2017-11-15
[19]
웹사이트
UOTW #23 - Ultrasound of the Week
https://www.ultrasou[...]
2014-10-22
[20]
웹사이트
Pleural Effusion
http://www.merckmanu[...]
Merck Sharp & Dohme Corp.
2013-08-21
[21]
간행물
Therapeutic thoracentesis: the role of ultrasound and pleural manometry
https://pubmed.ncbi.[...]
2007-07-01
[22]
간행물
Pneumothorax following thoracentesis: a systematic review and meta-analysis
2010-02-22
[23]
웹사이트
Inflammation
http://library.med.u[...]
The University of Utah • Spencer S. Eccles Health Sciences Library > WebPath images >
[24]
간행물
Diagnostic value of tests that discriminate between exudative and transudative pleural effusions. Primary Study Investigators
[25]
간행물
Pleural effusions: the diagnostic separation of transudates and exudates
[26]
간행물
The serum-effusion albumin gradient in the evaluation of pleural effusions
[27]
간행물
Efficacy of CT in diagnosis of transudates and exudates in patients with pleural effusion
[28]
간행물
A modified outer cannula can help thoracentesis after pleural biopsy.
[29]
간행물
Pleural effusions: the diagnostic separation of transudates and exudates.
https://pubmed.ncbi.[...]
2021-07-20
[30]
서적
Harrison's Principles of Internal Medicine
[31]
간행물
Pleural effusions: the diagnostic separation of transudates and exudates
[32]
간행물
Is the pleural fluid transudate or exudate? A revisit of the diagnostic criteria
2001-11
[33]
간행물
Is albumin gradient or fluid to serum albumin ratio better than the pleural fluid lactate dehydroginase in the diagnostic of separation of pleural effusion?
[34]
간행물
Light's criteria revisited: consistency and comparison with new proposed alternative criteria for separating pleural transudates from exudates.
[35]
간행물
'[Reappraisal of the standard method (Light''s criteria) for identifying pleural exudates].'
2006-02-18
[36]
서적
Consolidated Guidelines on Tuberculosis Treatment. Module 3: Diagnosis. Rapid diagnostics for tuberculosis detection. 2021 update.
https://web.archive.[...]
WHO
2021
[37]
웹인용
흉부의 액체 (흉수)
http://ko.healthline[...]
2015-12-06
본 사이트는 AI가 위키백과와 뉴스 기사,정부 간행물,학술 논문등을 바탕으로 정보를 가공하여 제공하는 백과사전형 서비스입니다.
모든 문서는 AI에 의해 자동 생성되며, CC BY-SA 4.0 라이선스에 따라 이용할 수 있습니다.
하지만, 위키백과나 뉴스 기사 자체에 오류, 부정확한 정보, 또는 가짜 뉴스가 포함될 수 있으며, AI는 이러한 내용을 완벽하게 걸러내지 못할 수 있습니다.
따라서 제공되는 정보에 일부 오류나 편향이 있을 수 있으므로, 중요한 정보는 반드시 다른 출처를 통해 교차 검증하시기 바랍니다.
문의하기 : help@durumis.com
