표피포도상구균
"오늘의AI위키"의 AI를 통해 더욱 풍부하고 폭넓은 지식 경험을 누리세요.
1. 개요
표피포도상구균은 포도 모양으로 뭉쳐 배열된 그람 양성 구균으로, 사람의 피부에 상주하는 세균이다. 1884년 프리드리히 율리우스 로젠바흐에 의해 황색포도상구균과 구별되어 처음 명명되었다. 표피포도상구균은 발 냄새의 원인이 되기도 하며, 의료 기기 내 생물막을 형성하여 심내막염, 패혈증 등을 유발할 수 있다. 반코마이신, 리팜핀, 아미노글리코사이드 등의 항생제가 치료에 사용될 수 있다. 표피포도상구균은 피부 장벽 강화에 기여하고, 면역 반응을 조절하며, 여드름균과 상호 작용하여 피부 건강에 영향을 미친다.
더 읽어볼만한 페이지
- 포도상구균속 - 황색포도상구균
황색포도상구균은 다양한 질병을 일으키는 그람 양성 구균으로, 인구의 약 30%가 보균하고 있으며 항생제 내성이 널리 퍼져 있어 효과적인 백신 개발과 항생제 내성 문제 해결을 위한 지속적인 연구가 필요하다. - 포도상구균속 - 스타필로코커스 아그네티스
- 그람 양성균 - 탄저균
탄저균은 바실러스속의 그람 양성 포자 형성 간균으로, 탄저병을 일으키는 병원체이며, 생물학적 무기로 사용될 수 있을 만큼 강력한 포자를 형성하고 캡슐과 외독소를 통해 숙주를 공격하며, 백신과 항생제로 예방 및 치료가 가능하다. - 그람 양성균 - 황색포도상구균
황색포도상구균은 다양한 질병을 일으키는 그람 양성 구균으로, 인구의 약 30%가 보균하고 있으며 항생제 내성이 널리 퍼져 있어 효과적인 백신 개발과 항생제 내성 문제 해결을 위한 지속적인 연구가 필요하다.
| 표피포도상구균 - [생물]에 관한 문서 | |
|---|---|
| 기본 정보 | |
![]() | |
| 학명 | Staphylococcus epidermidis |
| 명명자 | (Winslow & Winslow 1908) Evans 1916 |
| 이전 명칭 | Staphylococcus albus Rosenbach, 1884 |
| 분류 | |
| 계 | 세균계 |
| 문 | 후벽균문 |
| 강 | 간균강 |
| 목 | 간균목 |
| 과 | 포도상구균과 |
| 속 | 포도상구균속 |
| 특징 | |
| 설명 | 표피포도상구균은 사람 피부에서 발견되는 세균 종이다. |
| 발견 위치 | 사람 피부 |
| 역할 | 기회 감염균, 병원성 미생물 |
| 질병 유발 | 생물막 형성, 의료기기 관련 감염 |
| 연구 | 아토피피부염 환자 피부에서 분리된 균주가 건강한 피부와 다른 효과를 가짐 |
2. 어원
'Staphylococcus'는 포도와 같은 과일더미라는 뜻을 가지며 'epidermidis'는 표피라는 뜻이다.[33] '포도상구균(Staphylococcus)'은 포도송이 모양의 열매를 뜻하고, 'epidermidis'는 표피를 의미한다.[8]
프리드리히 율리우스 로젠바흐는 1884년에 표피포도상구균을 황색포도상구균과 구별하여 처음에는 ''S. epidermidis''가 아닌 ''S. albus''로 명명했다.[34] 그는 황색포도상구균과 표피포도상구균이 각각 노란색과 흰색 균락을 형성했기 때문에 종명으로 ''aureus''와 ''albus''를 선택했다.
표피포도상구균(''Staphylococcus epidermidis'')은 그람 양성 구균으로, 포도송이 모양의 집단을 이루는 통성 혐기성 세균이다. 카탈레이스 양성,[35] 응고효소 음성이며, 호기성 호흡 또는 발효를 통해 생장할 수 있다. 일부 균주는 발효하지 않을 수 있다.[29][36]
3. 발견
4. 미생물학
Zobell 한천은 해양 생물에서 표피포도상구균을 분리하는 데 유용하다.[6] Baird-Parker 한천에 난황 보충제를 첨가하면 집락이 작고 검게 나타난다. 정량적 PCR과 같은 기술은 ''포도상구균'' 균주의 신속한 검출 및 식별에 점점 더 많이 사용되고 있다.[14][15] 데스페라페록사민에 대한 감수성을 이용하여 다른 대부분의 포도상구균과 구별할 수 있는데, ''S. hominis''는 예외적으로 감수성을 나타낸다.[16] 이 경우, ''S. hominis''에 의한 트레할로스로부터의 산 생성을 이용하여 두 종을 구별할 수 있다.
4. 1. 세포 형태

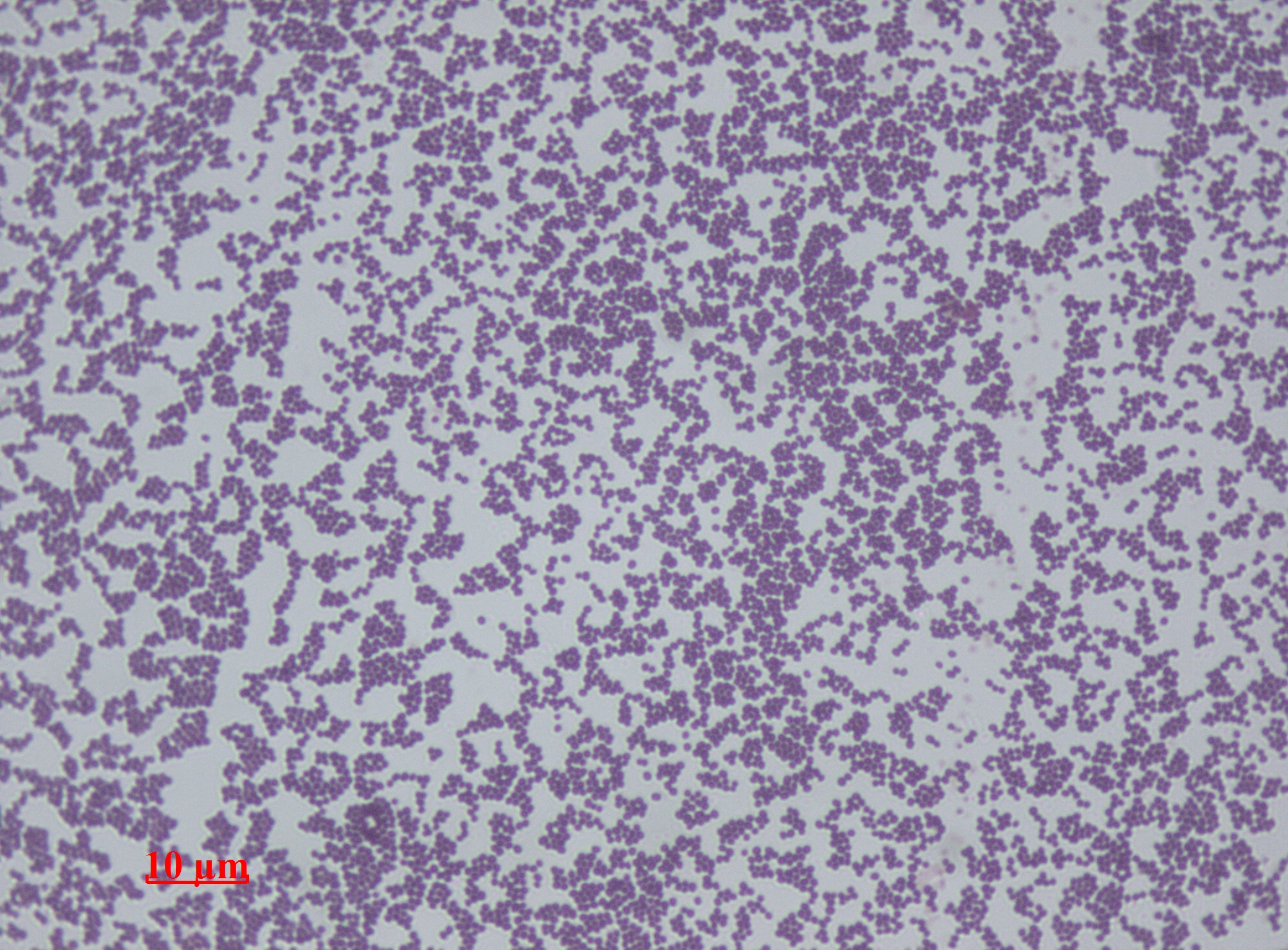
표피포도상구균은 운동성이 없는 그람 양성 구균으로, 포도 모양의 군집을 이룬다.[31] 융기되어 있고 응집력 있는 흰색 집락을 형성하며, 하룻밤 배양 후 직경 1-2mm의 집락을 이룬다. 혈액한천배지에서 용혈되지 않는다.[31] 호기성 호흡이나 발효를 통해 자랄 수 있는 통성 혐기성이며 카탈레이스 양성,[35] 응고효소 음성이다.[29][36]
생화학적 검사 결과, 질산염 환원효소 검사에서 약한 양성 반응을 보인다. 유레이스(요소분해효소) 생산 양성이고 산화효소 음성이며, 포도당, 수크로스(자당), 락토스(유당)를 사용하여 산성 생성물을 만들 수 있다. 락토스가 있으면 기체도 생성된다. 비병원성 표피포도상구균은 병원성 황색포도상구균과 달리 젤라티네이스 효소가 없어 젤라틴을 가수분해하지 못한다.[37][38] 노보비오신에 민감하며, 이는 응고효소 음성이지만 노보비오신에 내성을 가지는 부생성포도상구균(''S. saprophyticus'')과 구별하는 중요한 검사 포인트가 된다.[30]
황색포도상구균의 세포벽과 유사하게 표피포도상구균의 세포벽에는 트랜스페린으로부터 철을 얻는 데 도움이 되는 트랜스페린 결합 단백질이 있다. 표면에 노출된 단백질 사량체인 글리세르알데하이드 3-인산 탈수소효소는 트랜스페린에 결합하여 철을 제거하는 것으로 여겨진다. 이후에는 철을 표면 지질단백질로 이동시킨 다음 철을 세포로 운반하는 단백질을 이동시킨다.[31]
4. 2. 배양
표피포도상구균은 운동성이 없는 그람 양성 구균으로, 포도 모양의 군집을 이루며 배열되어 있는 매우 강인한 미생물이다. 융기되어 있고 응집력 있는 흰색 집락을 형성하며, 하룻밤 배양 후 직경 1-2mm의 집락을 이루고 혈액한천배지에서 용혈되지 않는다.[31] 호기성 호흡이나 발효 양쪽 모두에 의해 자랄 수 있는 통성 혐기성이며 카탈레이스 양성,[35] 응고효소 음성이다.[29][36] 일부 균주는 발효를 하지 못할 수 있다.
생화학적 검사에 따르면 이 미생물은 질산염 환원효소 검사에서 약한 양성 반응을 보인다. 유레이스(요소분해효소) 생산 양성이고 산화효소 음성이며 포도당, 수크로스(자당), 락토스(유당)를 사용하여 산성 생성물을 만들 수 있다. 락토스가 있으면 기체도 생성된다. 비병원성 표피포도상구균은 병원성 황색포도상구균과 달리 젤라티네이스 효소가 없어 젤라틴을 가수분해하지 못한다.[37][38] 표피포도상구균은 노보비오신에 민감하며, 이 성질은 같은 응고효소 음성이지만 노보비오신에 내성을 가지는 부생성포도상구균(''S. saprophyticus'')과 구별하는 중요한 검사 포인트가 된다.[30]
4. 3. 생화학적 특징
표피포도상구균(''Staphylococcus epidermidis'')은 운동성이 없는 그람 양성의 구균으로, 포도송이 모양으로 군집을 이루는 매우 강인한 미생물이다. 혈액한천배지에서 하룻밤 배양하면 직경 1~2mm 정도의 융기된 흰색 집락을 형성하며, 용혈은 일어나지 않는다.[31] 호기성 호흡이나 발효를 모두 할 수 있는 통성 혐기성이며, 카탈레이스 양성,[35] 응고효소 음성이다.[29][36]
생화학적 검사에서 질산염 환원효소 검사에 약한 양성 반응을 보이며, 유레이스(요소분해효소) 생산 양성, 산화효소 음성이다. 포도당, 수크로스(자당), 락토스(유당)를 이용하여 산성 생성물을 만들 수 있고, 락토스가 있으면 기체도 생성한다. 비병원성 표피포도상구균은 병원성 황색포도상구균과 달리 젤라티네이스 효소가 없어 젤라틴을 가수분해하지 못한다.[37][38] 노보비오신에 민감하며, 이는 노보비오신에 내성을 가지는 부생성포도상구균(''S. saprophyticus'')과 구별하는 중요한 검사 포인트이다.[30]
황색포도상구균의 세포벽과 유사하게, 표피포도상구균의 세포벽에는 트랜스페린으로부터 철을 얻는 데 도움이 되는 트랜스페린 결합 단백질이 있다. 표면에 노출된 단백질 사량체인 글리세르알데하이드 3-인산 탈수소효소는 트랜스페린에 결합하여 철을 제거하는 것으로 여겨진다. 이후 철은 표면 지질단백질로 이동하고, 다시 철을 세포로 운반하는 단백질로 이동한다.[31]
해양 표피포도상구균의 균락, 형태학적, 생리학적, 생화학적 특성은 아래 표와 같다.[29]
| 검사 유형 | 검사 | 특성 |
|---|---|---|
| 균락 특징 | 크기 | 매우 작음 |
| 유형 | 둥글다 | |
| 색깔 | 불투명 | |
| 모양 | 볼록함 | |
| 형태학적 특징 | 모양 | 구균 |
| 생리학적 특징 | 운동성 | – |
| 6.5% NaCl에서의 성장 | + | |
| 생화학적 특징 | 그람 염색 | + |
| 산화효소 | – | |
| 카탈레이스 | + | |
| 산화-발효 | 발효 | |
| 운동성 | – | |
| 메틸 레드 | – | |
| 보주-프로스카우어 | + | |
| 인돌 | – | |
| 황화수소 생산 | + | |
| 유레이스 | + | |
| 질산염 환원효소 | + | |
| β-갈락토시데이스 | + | |
| 가수분해 | 젤라틴 | – |
| 에스쿨린 | + | |
| 카세인 | + | |
| 트윈 40 | + | |
| 트윈 60 | + | |
| 트윈 80 | + | |
| 산 생산 | 글리세린 | – |
| 갈락토스 | W | |
| D-글루코스 | + | |
| D-과당 | + | |
| D-만노스 | + | |
| 만니톨 | – | |
| N-아세틸글루코사민 | + | |
| 아미그달린 | + | |
| 말토오스 | + | |
| D-멜리비오스 | + | |
| D-트레할로스 | + | |
| 글리코겐 | + | |
| D-투라노스 | + |
참고: + = 양성, – = 음성, W= 약한 양성
5. 생태
땀은 자체로는 거의 냄새가 나지 않지만, 피부에 있는 미생물이 땀 속 화합물을 대사하면서 불쾌한 냄새가 나는 화합물을 생성한다.[17] 표피포도상구균은 따뜻하고 습한 환경에서 잘 번식하며, 인간 미생물군집의 흔한 세균이다.[18] 이 세균은 땀에 있는 류신을 분해하는 효소를 만들어 이소발레르산 같은 냄새나는 휘발성 화합물을 생성한다.
5. 1. 인간 미생물군집
땀 냄새, 더 일반적으로는 체취에 대한 흔한 오해는 땀 자체가 냄새를 풍겨 사람 냄새가 난다는 것이다. 그러나 땀 자체는 거의 무취이다. 오히려 피부에 존재하는 미생물이 땀 속의 특정 화합물을 영양 공급원으로 대사하면서 불쾌한 냄새를 내는 화합물을 생성한다.[17] 표피포도상구균은 따뜻하고 습한 환경에서 잘 번식하며, 인간 미생물군집의 흔한 세균이다.[18] 따라서 표피포도상구균은 발 냄새의 주요 원인인데, 발은 신체의 다른 부위보다 더 많은 땀샘을 가지고 있어 습한 경우가 많고, 이는 표피포도상구균이 번식하기에 이상적인 환경을 조성한다. 이 박테리아는 땀에 존재하는 류신을 분해하는 효소를 생성하여 이소발레르산과 같은 불쾌한 냄새를 내는 휘발성 화합물을 생성한다. 발 냄새가 더 강한 발은 발 냄새가 약한 발보다 미생물의 밀도가 더 높다.[18]5. 2. 발 냄새
땀 냄새, 더 일반적으로는 체취에 대한 흔한 오해는 땀 자체가 냄새를 풍겨 사람 냄새가 난다는 것이다. 그러나 땀 자체는 거의 무취이다. 오히려 피부에 존재하는 미생물이 땀 속의 특정 화합물을 영양 공급원으로 대사하면서 불쾌한 냄새를 내는 화합물을 생성한다.[17] 표피포도상구균은 따뜻하고 습한 환경에서 잘 번식하며, 인간 미생물군집의 흔한 세균이다.[18] 따라서 표피포도상구균은 발 냄새의 주요 원인인데, 발은 신체의 다른 부위보다 더 많은 땀샘을 가지고 있어 습한 경우가 많고, 이는 표피포도상구균이 번식하기에 이상적인 환경을 조성한다. 이 박테리아는 땀에 존재하는 류신을 분해하는 효소를 생성하여 이소발레르산과 같은 불쾌한 냄새를 내는 휘발성 화합물을 생성한다. 발 냄새가 더 강한 발은 발 냄새가 약한 발보다 미생물의 밀도가 더 높다.[18]6. 질병
표피포도상구균은 정상적인 피부에서는 무해하지만, 피부의 개방 부위나 상처 등 비정상적인 병변에서는 병원성을 띨 수 있으며, 여드름에서 나타날 수 있다. 표피포도상구균은 피지선에 들어가 지질분해 효소를 생성하여 피지를 묽은 형태에서 끈적한 형태로 변화시켜 염증을 유발하고 모낭을 손상시킨다.[22]
또한, 표피포도상구균은 세포간 부착 엑소폴리사카라이드(PIA)를 방출하여 생물막(바이오필름)을 형성함으로써 여드름균(''Cutibacterium acnes'')이 집락화될 수 있는 혐기성 환경을 제공하고, 선천적인 인간 면역 분자로부터 보호한다.[23]
여드름균(P. acnes)과 표피포도상구균(S. epidermidis)은 모두 숙주 피부 건강을 병원체의 집락화로부터 보호하기 위해 상호작용할 수 있다. 그러나 경쟁 관계에서는 동일한 탄소원(예: 글리세롤)을 사용하여 서로에 대한 항균제로 작용하는 단쇄 지방산을 생성한다. 또한, 표피포도상구균은 TLR2 단백질 생성을 감소시켜 피부 염증을 유발함으로써 피부 항상성에 도움을 주고 여드름균(P. acnes)의 병원성 염증을 감소시킨다.[24]
6. 1. 병원성

표피포도상구균은 체내에 배치된 의료 장치에서 생물막(바이오필름)을 형성한다.[39] 생물막은 정맥 카테터와 의료용 보철물에서 가장 흔하게 발생하며,[40] 표피포도상구균 감염은 투석 환자나 오염된 의료 장치를 이식한 사람에게서도 발생할 수 있다. 또한 심장 판막에 결함이 있는 환자에서 가장 흔하게 심내막염을 유발하며, 패혈증의 원인균이기도 하다.[41]
항생제는 생물막을 제거하는 데 거의 효과가 없다. 이러한 감염의 가장 일반적인 치료법은 감염된 보철물을 제거하거나 교체하는 것이지만, 예방이 가장 이상적이다. 주로 반코마이신을 사용하며, 리팜핀 또는 아미노글리코사이드를 추가할 수 있다.[42] 손 씻기는 감염 확산을 줄이는 것으로 나타났다.
플라스틱 장치에 생물막을 형성하는 능력은 표피포도상구균의 주요 병원성 인자이다. 혈액 및 세포외 기질 단백질에 결합하는 표면 단백질이 그 원인 중 하나로, 황산화된 다당류로 구성된 다당류 세포간 부착제(PIA)라는 세포외 물질을 생성한다. 이 물질은 다른 박테리아가 이미 존재하는 생물막에 결합하여 다층 생물막을 형성하게 한다. 이러한 생물막은 내부 박테리아의 대사 활성을 감소시키고, 항생제의 확산을 방해하여 감염 제거를 어렵게 만든다.[4]
예비 연구에 따르면 표피포도상구균은 여드름균(Cutibacterium acnes, 이전 학명은 Propionibacterium acnes)만 감염된 여드름 모공 내부에서 자주 발견된다.[43]
6. 2. 독성 및 항생제 내성
표피포도상구균의 주요 독력인자는 각종 의학 장치에서 생물막을 형성하는 능력이다. 생물막 형성은 혈액과 세포외기질의 단백질에 결합하는 표면 단백질에 의해 일어날 수 있다. 표면 단백질은 황산화 다당류로 구성된 다당류 세포간 접착소(PIA)라는 세포외 물질을 생성한다. PIA는 다른 세균이 이미 존재하는 생물막에 결합하여 다층의 생물막을 생성하도록 한다. 이러한 생물막은 그 안에 있는 세균의 대사 활동을 감소시켜 항생제의 확산을 막고, 감염을 효과적으로 제거하기 어렵게 만든다.[31]표피포도상구균 균주는 리파마이신, 플루오로퀴놀론, 겐타마이신, 테트라사이클린, 클린다마이신, 설폰아미드와 같은 항생제에 내성을 가지는 경우가 많다.[39] 특히 메티실린 내성은 병원에서 분리되는 균주의 75-90%에서 나타날 정도로 광범위하다.[39] 내성 균주는 창자에서 가장 흔하게 발견되지만, 피부에 정상적으로 살고 있는 표피포도상구균도 땀에서 분비되는 항생물질에 일상적으로 노출되어 내성을 가질 수 있다.
표피포도상구균은 체내에 삽입된 플라스틱 장치에 바이오필름을 생성하는데,[19] 이는 정맥 카테터와 의료 보철물에서 가장 흔하게 발생한다.[20] 감염은 투석 환자나 오염되었을 수 있는 삽입형 플라스틱 장치를 가진 사람에게서 발생할 수 있다. 또한, 결함이 있는 심장 판막이 있는 환자에게서 심내막염을 유발하기도 하며, 병원 환자에게서 패혈증을 일으킬 수도 있다.
7. 피부 건강과의 관계
''표피포도상구균''(''S. epidermidis'')은 피부 상태에 영향을 미치는 대사 과정에서 중요한 역할을 한다. 이 박테리아는 피부 세포 내의 생화학적 경로에 영향을 미칠 수 있으며, 이는 피부 건강 및 질병 상태에 영향을 미칠 수 있다. 특히, 이는 아릴 탄화수소 수용체의 조절에서 나타난다.[7]
비 아토피성 피부에서 ''S. epidermidis''는 아릴 탄화수소 수용체 경로의 활성화를 전달하여 피부 장벽 기능을 강화하고 염증을 감소시키는 데 도움을 준다. 아토피성 피부는 일반적으로 이 경로를 차단하는 역할을 하여 피부 문제를 악화시킬 수 있다.[7]
7. 1. 피부 장벽 강화
공생 세균인 ''표피포도상구균''(''S. epidermidis'')은 피부 장벽의 항상성에 기여하며, 피부 장벽의 무결성을 유지하는 데 도움이 되는 보호 세라마이드를 생성한다. 피부 공생균은 일부 장기 및 신체강의 습하고 내부를 조절하고, 특정 면역 방어 메커니즘을 통해 병원균과 같은 감염 인자와 상호 작용한다. 스핑고미엘린 포스포디에스터레이스는 ''표피포도상구균''이 세라마이드를 생성하는 주요 원동력이다. 세라마이드는 스핑고신과 스핑고신-1-인산을 포함하는 지질이다. 이 지질은 박테리아에 필수적인 영양분을 얻는 동시에 숙주가 세라마이드를 생성하는 데 도움을 준다. 세라마이드는 상피 장벽의 중요한 구성 요소이며, 피부가 수분을 잃는 것을 방지하는 데 중요한 역할을 한다. 이는 보호 작용을 하며 피부의 탈수 및 노화를 방지한다.[25] 살리실산은 표피포도상구균의 개체수를 감소시키는 것으로 알려져 있다. 이 메커니즘은 현재 알려져 있지 않지만, 살리실산이 표피포도상구균의 바이오필름을 억제하는 것으로 추정된다.[26]7. 2. 면역 반응 조절
''표피포도상구균''은 숙주의 면역 세포와 상호 작용하여 다양한 병원체에 대한 피부의 점막 면역 방어를 강화하고, 유해한 병원체를 직접적으로 방해함으로써 피부의 면역 반응에 영향을 미친다.[25]황색포도상구균의 경우, ''표피포도상구균''은 각질 형성 세포의 반응을 유발하여 이 병원체에 대한 선천 면역 반응을 증폭시킬 수 있다.[7]
표피포도상구균은 리포테이코산(LTA), 세포벽 다당류, 펩티도글리칸 및 알데히드 디펩티드와 같은 분자를 생성하는데, 이는 톨 유사 수용체(TLRs)에 의해 면역 반응을 조절하는 분자로 인식된다. 이러한 면역 조절 분자는 박테리아와 각질 형성 세포 사이에 관계를 형성하며, 주로 TLR과의 상호 작용으로 인해 선천 면역 반응 조절에 상당한 영향을 미친다.[7]
7. 3. 여드름에서의 역할
정상 피부의 표피포도상구균은 비병원성이지만, 비정상적인 병변에서는 병원성을 띄게 되며 여드름에서 이런 병원성 균주가 나타날 가능성이 크다. 표피포도상구균은 피지샘(여드름을 일으키는 주된 원인균인 여드름균이 이곳에 집락을 이룸)에 침입하여 지방 분해 효소를 생산한다. 효소로 인해 피지를 조밀하고 두꺼운 형태로 변화시켜 염증을 일으키고 모낭을 손상시킨다.[44]더욱이 PIA를 방출하며 표피포도상구균 생물막이 형성되면 여드름균이 집락을 이루기 쉬운 혐기성 환경이 만들어지고 인간의 선천면역 분자로부터 균이 보호된다.[45]
여드름균과 표피포도상구균은 서로 상호작용하며 병원체 집락으로부터 숙주 피부 건강을 보호할 수 있다. 그러나 두 균이 경쟁하는 경우에는 동일한 탄소원(예: 글리세롤)을 사용하여 서로에 대한 항균제 역할을 하는 짧은사슬 지방산을 생산한다. 또한 표피포도상구균은 피부 염증을 유발하는 톨유사수용체 2(TLR2) 단백질 생성을 감소시켜 피부 항상성에 도움을 주고 여드름균으로 인한 병원성 염증을 감소시킨다.[46] 초기 연구에 따르면 ''S. epidermidis''는 영향을 받은 여드름 모공 내부에서 일반적으로 발견되며, 여기서 ''여드름균''가 일반적으로 유일한 상주 세균이다.[21]
참조
[1]
논문
Isolation and Characterization of Staphylococci from Human Skin I. Amended Descriptions of Staphylococcus epidermidis and Staphylococcus saprophyticus and Descriptions of Three New Species: Staphylococcus cohnii, Staphylococcus haemolyticus, and Staphylococcus xylosus
1975-01
[2]
논문
Current concepts in biofilm formation of Staphylococcus epidermidis
2010-06
[3]
서적
Review of Medical Microbiology and Immunology
[4]
서적
Bacterial Pathogenesis: A Molecular Approach
ASM Press
[5]
서적
Staphylococcus: Molecular Genetics
Caister Academic Press
[6]
논문
Identification of marine sponge-associated bacteria of the Saint Martin's island of the Bay of Bengal emphasizing on the prevention of motile Aeromonas septicemia in Labeo rohita
https://www.scienced[...]
2021-12-15
[7]
논문
Staphylococcus epidermidis isolates from atopic or healthy skin have opposite effect on skin cells: potential implication of the AHR pathway modulation
2023
[8]
웹사이트
"''Staphylococcus epidermidis''"
http://www.vetbact.o[...]
[9]
문서
Friedrich Julius Rosenbach
[10]
웹사이트
Todar's Online Textbook of Bacteriology: Staphylococcus aureus and Staphylococcal Disease
http://textbookofbac[...]
Kenneth Todar, PhD
2013-12-07
[11]
웹사이트
Bacteria Genomes – Staphylococcus epidermidis
http://www.ebi.ac.uk[...]
EMBL-EBI.
2011-12-23
[12]
웹사이트
Gelatin Hydrolysis Test Protocol
https://www.asmscien[...]
2021-01-01
[13]
논문
Virulence factors and antibiotic resistance properties of the Staphylococcus epidermidis strains isolated from hospital infections in Ahvaz, Iran
2019-12-05
[14]
서적
Staphylococcus: Molecular Genetics
Caister Academic Press
[15]
서적
Real-Time PCR in Microbiology: From Diagnosis to Characterization
http://www.horizonpr[...]
Caister Academic Press
[16]
논문
Feasible identification of Staphylococcus epidermidis using desferrioxamine and fosfomycin disks
2008-01
[17]
웹사이트
Body Odor: Causes, Changes, Underlying Diseases & Treatment
https://my.cleveland[...]
2023-05-11
[18]
논문
Foot odor due to microbial metabolism and its control
2006-04
[19]
논문
Staphylococcus epidermidis--the 'accidental' pathogen
2009-08
[20]
논문
Staphylococcus epidermidis--hospital epidemiology and the detection of methicillin resistance
1993
[21]
논문
Acne is not associated with yet-uncultured bacteria
2008-10
[22]
논문
Antibacterial Activity Test of Extracts and Fractions of Cassava Leaves (Manihot esculenta Crantz) against Clinical Isolates of Staphylococcus epidermidis and Propionibacterium acnes Causing Acne
2020-01-29
[23]
논문
New insights into acne pathogenesis: Exploring the role of acne-associated microbial populations
2016-06-01
[24]
논문
Staphylococcus epidermidis: A Potential New Player in the Physiopathology of Acne?
2019
[25]
논문
Commensal Staphylococcus epidermidis contributes to skin barrier homeostasis by generating protective ceramides
2022-03
[26]
논문
Salicylic acid: an old dog, new tricks, and staphylococcal disease
https://www.jci.org/[...]
2003-07-15
[27]
저널
Isolation and Characterization of Staphylococci from Human Skin I. Amended Descriptions of Staphylococcus epidermidis and Staphylococcus saprophyticus and Descriptions of Three New Species: Staphylococcus cohnii, Staphylococcus haemolyticus, and Staphylococcus xylosus
1975-01-01
[28]
저널
Current concepts in biofilm formation of
2010-06
[29]
저널
Identification of marine sponge-associated bacteria of the Saint Martin's island of the Bay of Bengal emphasizing on the prevention of motile Aeromonas septicemia in Labeo rohita
https://www.scienced[...]
2021-12-15
[30]
서적
Review of Medical Microbiology and Immunology
[31]
서적
Bacterial Pathogenesis: A Molecular Approach, 2nd ed.
https://archive.org/[...]
[32]
서적
Staphylococcus: Molecular Genetics
[33]
웹인용
VetBact
http://www.vetbact.o[...]
[34]
문서
Friedrich Julius Rosenbach
[35]
웹인용
Todar's Online Textbook of Bacteriology: Staphylococcus aureus and Staphylococcal Disease
http://textbookofbac[...]
Kenneth Todar, PhD
2013-12-07
[36]
웹인용
Bacteria Genomes - STAPHYLOCOCCUS EPIDERMIDIS
http://www.ebi.ac.uk[...]
EMBL-EBI.
2011-12-23
[37]
웹인용
Gelatin Hydrolysis Test Protocol
https://www.asmscien[...]
2021-01-01
[38]
저널
Virulence factors and antibiotic resistance properties of the Staphylococcus epidermidis strains isolated from hospital infections in Ahvaz, Iran
https://doi.org/10.1[...]
2019-12-05
[39]
저널
"''Staphylococcus epidermidis'' — the 'accidental' pathogen"
2009-08
[40]
저널
Staphylococcus epidermidis--hospital epidemiology and the detection of methicillin resistance.
1993
[41]
저널
Staphylococcus epidermidis: a major player in bacterial sepsis?
https://www.ncbi.nlm[...]
2017-09
[42]
저널
Vancomycin in Combination with Other Antibiotics for the Treatment of Serious Methicillin-Resistant Staphylococcus aureus Infections
https://doi.org/10.1[...]
2009-10-01
[43]
저널
Acne is Not Associated with Yet-Uncultured Bacteria
2008-08-20
[44]
저널
Antibacterial Activity Test of Extracts and Fractions of Cassava Leaves (Manihot esculenta Crantz) against Clinical Isolates of ''Staphylococcus epidermidis'' and ''Propionibacterium acnes'' Causing Acne
2020-01-29
[45]
저널
New insights into acne pathogenesis: Exploring the role of acne-associated microbial populations
2016-06-01
[46]
저널
"''Staphylococcus epidermidis'': A Potential New Player in the Physiopathology of Acne?"
2019
[47]
서적
Staphylococcus: Molecular Genetics
Caister Academic Press
[48]
서적
Real-Time PCR in Microbiology: From Diagnosis to Characterization
http://www.horizonpr[...]
Caister Academic Press
[49]
저널
Feasible identification of ''Staphylococcus epidermidis'' using desferrioxamine and fosfomycin disks
2008-01-01
본 사이트는 AI가 위키백과와 뉴스 기사,정부 간행물,학술 논문등을 바탕으로 정보를 가공하여 제공하는 백과사전형 서비스입니다.
모든 문서는 AI에 의해 자동 생성되며, CC BY-SA 4.0 라이선스에 따라 이용할 수 있습니다.
하지만, 위키백과나 뉴스 기사 자체에 오류, 부정확한 정보, 또는 가짜 뉴스가 포함될 수 있으며, AI는 이러한 내용을 완벽하게 걸러내지 못할 수 있습니다.
따라서 제공되는 정보에 일부 오류나 편향이 있을 수 있으므로, 중요한 정보는 반드시 다른 출처를 통해 교차 검증하시기 바랍니다.
문의하기 : help@durumis.com
