만성 골수성 백혈병
"오늘의AI위키"의 AI를 통해 더욱 풍부하고 폭넓은 지식 경험을 누리세요.
1. 개요
만성 골수성 백혈병(CML)은 영국에서 발생하는 모든 백혈병의 8%를 차지하며, 연간 100만 명당 10~15명 정도 발생하는 질환이다. 필라델피아 염색체와 관련된 유전적 이상으로 발생하는 백혈병의 일종으로, 9번과 22번 염색체의 전좌로 인해 BCR-ABL 융합 유전자가 생성되어 BCR-ABL 단백질이 과도하게 활성화되면서 백혈구의 과다 생산을 유발한다. 증상으로는 체중 감소, 비장 비대, 피로감 등이 나타나며, 초기에는 무증상인 경우가 많아 건강검진을 통해 발견되기도 한다. CML은 만성기, 가속기, 급성기의 세 단계로 진행되며, 티로신 키나제 억제제(TKI) 치료가 주요 치료법으로 사용된다. TKI의 등장으로 예후가 크게 개선되었으며, 동종 조혈모세포 이식은 완치를 위한 치료법으로 사용된다.
더 읽어볼만한 페이지
- 만성 백혈병 - 만성 림프구성 백혈병
만성 림프구성 백혈병은 림프구의 과도한 증식을 특징으로 하는 혈액 암으로, 혈액 검사 및 유세포 분석으로 진단하며, 증상과 병기에 따라 화학 요법, 표적 치료 등을 시행하고, 예후는 유전자 변이 등에 따라 달라진다.
2. 발생률 및 역학
만성 골수성 백혈병(CML)은 여성보다 남성에게 더 흔하며(남녀 비율 1.4:1), 진단 중앙 연령은 64~65세로 고령자에게서 더 흔하게 나타난다.[4] 이온화 방사선 노출은 위험 요소로 보이며, 히로시마와 나가사키 원자 폭탄 생존자에게서 CML 발생률이 50배 더 높다는 연구 결과가 이를 뒷받침한다.[3] 이러한 개인의 CML 발생률은 노출 후 약 10년 후에 최고조에 달하는 것으로 보인다.[3]
만성 골수성 백혈병은 일상적인 신체검사나 혈액검사에서 우연히 발견되기도 하지만, 증상이 뚜렷하지 않아 주기적인 진단이 어렵다. 환자가 호소하는 가장 흔한 증상은 체중 감소, 비장비대, 피로감이다. 이 외에도 전신쇠약감, 발한, 어지럼증, 두통 등이 나타날 수 있으며, 비장비대로 인해 복부 팽만, 과대사증 등 일반적인 백혈병 증상을 겪기도 한다. 하지만 초기에는 대부분 증상이 나타나지 않아 건강검진의 CBC(전혈구검사)를 통해 발견되는 경우가 많다. 약 90% 이상에서 비장 종대, 50%에서 간이 커지는 증세가 나타날 수 있고, 위궤양을 합병하는 경우도 있다.[3]
만성 골수성 백혈병은 영국에서 발생하는 모든 백혈병의 8%를 차지하며, 2011년에는 약 680명이 이 질병으로 진단받았다.[34] 미국 암 학회는 2014년에 약 5,980건의 만성 골수성 백혈병 신규 진단이 있었고, 약 810명이 이 질환으로 사망했다고 추정하는데, 이는 백혈병 신규 진단 환자의 10% 이상이 만성 골수성 백혈병이라는 것을 의미한다. 이 질환에 걸릴 평균적인 위험은 588명 중 1명이다.
만성 골수성 백혈병은 연간 100만 명당 10~15명 정도 발생하며, 모든 백혈병(연간 10만 명당 6명 정도)의 약 20%를 차지한다.[36] 남성에게 다소 더 많이 발생하며(여성의 1.3~2.2배), 발병 연령의 중심값은 45~55세이지만, 소아 백혈병 중에서는 불과 5%를 차지하며, 청년층에서도 발병하지만 중년 이후에 더 많이 나타난다.[37] 만성 림프구성 백혈병과 달리, 인종에 따른 발병률의 차이는 없다.[36]
3. 증상
만성 골수성 백혈병(CML)의 증상은 진단 시 질병의 단계에 따라 다르며, 어떤 경우에는 단계를 건너뛰는 것으로 알려져 있다.[3]
만성기(환자의 85%)에는 자각 증상이 드물지만, 비장 비대를 동반하는 경우가 많으므로 복부 팽만은 비교적 흔히 나타나는 자각 증상이다. 그 외 복통, 권태감 등이 있을 수 있으며, 드물게는 발열이나 출혈, 빈혈 등이 나타나기도 한다. 그러나 많은 환자에서는 뚜렷한 증상이 없고, 건강 검진에서 백혈구 수 증가를 통해 발견되는 경우가 많다.[38] 병기가 진행되어 이행기에서 급성기로 되면 골수는 아세포가 점거하고 말초혈에도 아세포가 넘쳐, 급성 백혈병과 유사한 여러 증상(백혈구 감소에 의한 높은 발열을 동반하는 감염증, 혈소판 감소에 의한 출혈 경향, 적혈구 감소에 의한 빈혈, 각종 장기에 백혈병 세포 침윤에 따른 여러 증상)이 나타난다.
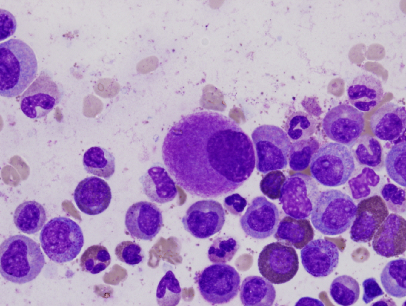
만성기의 만성 골수성 백혈병 혈액에서는 백혈구가 현저하게 증가하고(반수 이상의 환자에서는 10만개/μl 이상, 기준 상한치의 10배 이상), 혈소판도 증가하는 경우가 많다. 빈혈은 많지 않지만, 헤모글로빈 (Hb) 수치가 10g/dl 이하인 뚜렷한 빈혈도 20%의 환자에게서 나타난다.[39]
증가하는 백혈구는 호중구, 호염기구, 호산구이지만, 특히 호중구와 호염기구의 증가는 현저하다. 호염기구는 일반적으로 백혈구의 1% 이하밖에 없는 드문 종류의 백혈구이지만, 만성 골수성 백혈병에서는 가장 초기에 다른 혈구에 앞서 호염기구가 증가하기 시작하고, 만성기를 통해 호염기구는 현저한 증가를 보인다. 호염기구 증가는 만성 골수성 백혈병의 매우 특징적인 소견이다. 호염기구에 이어 호중구가 증가하여 (원래 백혈구에서는 가장 많은 종류이지만) 방대한 수가 되지만, 호중구는 현미경 관찰에서는 언뜻 정상으로 보이지만, 알칼리 포스파타제 (NAP) 활성이 현저하게 저하되어, 다른 백혈구 증가증과의 중요한 감별점이 된다.[40]
골수에서는 명백한 과형성(세포가 증가하여 통상보다 고밀도가 되어 있는 상태)으로 골수계 세포(주로 호중구, 호염기구, 호산구의 어린 세포)와 적혈구의 어린 세포인 적아구의 수 비율(M:E비)은 10:1-30:1로 극단적으로 골수계 세포에 치우쳐 있다. 거핵구도 통상 증가하고 있다. 조혈을 하고 있는 정상적인 골수는 약 절반이 지방이지만, 만성 골수성 백혈병에서는 혈액 세포가 현저하게 증가하므로 지방분은 거의 보이지 않게 된다.[38]
4. 병태생리
만성 골수성 백혈병(CML)은 필라델피아 염색체라고 불리는 유전적 이상과 관련된 최초의 암이다. 필라델피아 염색체는 9번 염색체와 22번 염색체 사이의 염색체 전좌로 인해 발생하며, 22번 염색체의 ''BCR'' 유전자와 9번 염색체의 ''ABL'' 유전자가 융합되어 ''BCR-ABL''이라는 비정상적인 융합 유전자를 생성한다.
''BCR-ABL'' 융합 유전자는 p210 또는 p185 단백질을 생성하는데, 이 단백질은 티로신 키나아제 활성을 가지며, 세포 주기를 조절하는 단백질 연쇄 반응을 활성화하여 세포 분열을 가속화한다. 또한, DNA 복구를 억제하여 유전체 불안정성을 유발하고 세포가 추가적인 유전적 이상을 일으키기 쉽게 만든다. 이러한 BCR-ABL 단백질의 작용이 만성 골수성 백혈병의 주요 원인이다.[7]
BCR-ABL 단백질의 특성과 티로신 키나아제로서의 작용을 이해하게 되면서, 이매티닙과 같은 표적 치료제가 개발되었다. 이러한 티로신 키나아제 억제제는 BCR-ABL 단백질의 활성을 억제하여 CML에서 완전 관해를 유도할 수 있다.[7]
4. 1. 필라델피아 염색체
만성 골수성 백혈병(CML)은 염색체 전좌로 알려진 필라델피아 염색체와 연결된 최초의 암이었다. 이 염색체 이상은 1960년 미국 펜실베이니아주 필라델피아에서 펜실베이니아 대학교의 피터 노웰과 폭스 체이스 암 센터의 데이비드 헝거포드에 의해 처음 발견되고 설명되었기 때문에 명명되었다.[5]
이 전좌에서 두 개의 염색체(9번과 22번)의 일부가 서로 위치를 바꾼다. 그 결과, 22번 염색체의 BCR("breakpoint cluster region") 유전자의 일부가 9번 염색체의 ABL 유전자와 융합된다. 이 비정상적인 "융합" 유전자는 p210 또는 때로는 p185의 무게를 가진 단백질을 생성한다(p210은 210 kDa 단백질의 약자로, 크기만을 기준으로 단백질을 특징짓는 데 사용되는 약어이다). ABL은 티로신 잔기에 인산기를 첨가할 수 있는 도메인(티로신 키나아제)을 가지고 있기 때문에, ''bcr-abl'' 융합 유전자 산물 또한 티로신 키나아제이다.[6][7]
융합된 BCR-ABL 단백질은 인터류킨 3beta(c) 수용체 서브유닛과 상호작용한다. BCR-ABL 전사체는 지속적으로 활성화되어 있으며 다른 세포 신호 전달 단백질에 의한 활성화를 필요로 하지 않는다. 결과적으로, BCR-ABL은 세포 주기를 제어하는 단백질의 연쇄 반응을 활성화하여 세포 분열을 가속화한다. 또한, BCR-ABL 단백질은 DNA 복구를 억제하여 유전체 불안정성을 유발하고 세포가 추가적인 유전적 이상을 일으키기 쉽게 만든다. BCR-ABL 단백질의 작용은 만성 골수성 백혈병의 병태생리학적 원인이다. BCR-ABL 단백질의 특성과 티로신 키나아제로서의 작용에 대한 이해가 향상되면서, BCR-ABL 단백질의 활성을 구체적으로 억제하는 표적 치료제 (그 첫 번째가 이매티닙)가 개발되었다. 이러한 티로신 키나아제 억제제는 CML에서 완전 관해를 유도할 수 있으며, CML의 원인으로서 bcr-abl의 중심적인 중요성을 확인시켜준다.[7]
필라델피아 염색체는 염색체 전좌에 의한 유전자의 후천적 이상과 명백히 관련이 있는 것으로 여겨진 최초의 질환이었다. 필라델피아 염색체의 이름은 1960년대에 펜실베이니아 주필라델피아의 두 연구자에 의해 발견된 데서 유래한다. 9번 염색체와 22번 염색체 각 장완의 전좌에 의해 22번 염색체 상의 ''BCR'' (breakpoint cluster region)과 9번 염색체의 ''ABL'' 각 유전자 영역이 복합되어 융합 (키메라) 유전자 ''BCR-ABL''이 생성된다. 이 산물인 융합 단백질 BCR-ABL은 항상 활성화된 티로신 키나아제이며, JAK-STAT 계 등을 통해 세포자멸사 억제 유전자 ''BCL-XL''의 전사를 촉진하는 등 세포의 불멸화를 일으킨다. 또한, 이 융합 단백질은 DNA 수복을 금지하므로 게놈이 불안정해져 세포는 더 많은 유전적 이상을 일으키기 쉬워진다. 필라델피아 염색체가 검출되는 (양성) 세포가 골수 모세포 계열인지 림프 모세포성인지에 따라 병태가 다소 다르며, 후자가 더 난치성으로 여겨진다.
4. 2. BCR-ABL1 융합 유전자
만성 골수성 백혈병(CML)은 염색체 전좌로 알려진 필라델피아 염색체와 관련된 유전적 이상을 가진 최초의 암이었다. 이 염색체 이상은 1960년 미국 펜실베이니아주 필라델피아에서 펜실베이니아 대학교의 피터 노웰과 폭스 체이스 암 센터의 데이비드 헝거포드에 의해 처음 발견되고 설명되었기 때문에 이러한 이름이 붙었다.[5]
이 전좌에서는 9번과 22번, 두 개의 염색체의 일부가 서로 위치를 바꾼다. 그 결과, 22번 염색체의 BCR("breakpoint cluster region") 유전자의 일부가 9번 염색체의 ABL 유전자와 융합된다. 이 비정상적인 "융합" 유전자는 p210 또는 때로는 p185의 무게를 가진 단백질을 생성한다(p210은 210 kDa 단백질의 약자로, 크기만을 기준으로 단백질을 특징짓는 데 사용되는 약어이다). abl은 티로신 키나아제를 가지고 있기 때문에, ''bcr-abl'' 융합 유전자 산물 또한 티로신 키나아제이다.[6][7]
융합된 BCR-ABL 단백질은 인터류킨 3beta(c) 수용체 서브유닛과 상호작용한다. BCR-ABL 전사체는 지속적으로 활성화되어 있으며 다른 세포 신호 전달 단백질에 의한 활성화를 필요로 하지 않는다. 결과적으로, BCR-ABL은 세포 주기를 제어하는 단백질의 연쇄 반응을 활성화하여 세포 분열을 가속화한다. 또한, BCR-ABL 단백질은 DNA 복구를 억제하여 유전체 불안정성을 유발하고 세포가 추가적인 유전적 이상을 일으키기 쉽게 만든다. BCR-ABL 단백질의 작용은 만성 골수성 백혈병의 병태생리학적 원인이다. BCR-ABL 단백질의 특성과 티로신 키나아제로서의 작용에 대한 이해가 향상되면서, BCR-ABL 단백질의 활성을 억제하는 표적 치료제 (그 첫 번째가 이매티닙)가 개발되었다. 이러한 티로신 키나아제 억제제는 CML에서 완전 관해를 유도할 수 있으며, CML의 원인으로서 bcr-abl의 중요성을 확인시켜준다.[7]
5. 진단
만성 골수성 백혈병(CML)은 전혈구 계산에서 모든 유형의 과립구가 증가하고, 성숙한 골수구를 포함하는 것이 일반적이며, 호염기구와 호산구가 거의 항상 증가하는 특징을 통해 백혈병 유사 반응과 구별할 수 있다.[11]
CML 진단을 위해서는 골수 생검 후 세포유전학적 검사를 통해 염색체 9의 ABL1 유전자와 염색체 22의 BCR 유전자가 융합된 t(9;22)(q34;q11.2) 전위, 즉 필라델피아 염색체를 확인한다.[8] 이 외에도 형광 제자리 혼성화(FISH), 중합 효소 연쇄 반응(PCR)으로 BCR-ABL1 융합 유전자를 검출할 수 있다.[11]
필라델피아 염색체가 발견되지 않는 'Ph 음성' CML의 경우, 복잡한 염색체 이상으로 인해 전위가 가려지거나 FISH나 RT-PCR 검사에서 전위가 확인되기도 한다.[9] BCR-ABL1 융합 유전자가 검출되지 않는 소수의 환자는 다른 CML 환자와 임상 경과가 달라 골수형성이상/골수증식성 질환으로 분류하는 것이 더 적절할 수 있다.[10]
5. 1. 혈액 검사
만성 골수성 백혈병(CML)은 종종 모든 유형의 과립구 증가를 보이는 전혈구 계산을 통해 의심되는데, 일반적으로 성숙한 골수구를 포함한다. 호염기구와 호산구는 거의 보편적으로 증가하며, 이 특징은 CML을 백혈병 유사 반응과 구별하는 데 도움이 될 수 있다.[11] CML은 혈액 도말에서 유사한 모습을 보일 수 있는 백혈병 유사 반응과 구별해야 한다.[11]만성 골수성 백혈병 초기인 만성기 혈액에서는 백혈구가 현저하게 증가하고(반수 이상의 환자에서는 10만개/μl 이상, 기준 상한치의 10배 이상), 혈소판도 증가하는 경우가 많다. 빈혈은 많지 않지만, 헤모글로빈(Hb) 수치가 10g/dl 이하인 뚜렷한 빈혈도 20%의 환자에게서 나타난다.[39]
증가하는 백혈구는 호중구, 호염기구, 호산구이지만, 특히 호중구와 호염기구의 증가는 현저하다. 호염기구는 일반적으로 백혈구의 1% 이하밖에 없는 드문 종류의 백혈구이지만, 만성 골수성 백혈병에서는 가장 초기에 다른 혈구에 앞서 호염기구가 증가하기 시작하고, 만성기를 통해 현저한 증가를 보인다. 호염기구의 증가는 만성 골수성 백혈병의 매우 특징적인 소견이다. 호중구는 현미경 관찰에서 정상으로 보이지만, 알칼리 포스파타제 (NAP) 활성이 현저하게 저하되어, 다른 백혈구 증가증과의 중요한 감별점이 된다.[40]


5. 2. 골수 검사
CML은 모든 유형의 과립구 증가를 보이는 전혈구 계산을 통해 의심되는데, 일반적으로 성숙한 골수구를 포함한다. 호염기구와 호산구는 거의 보편적으로 증가하며, 이 특징은 CML을 백혈병 유사 반응과 구별하는 데 도움이 될 수 있다. CML 평가에는 골수 생검이 종종 수행되며, CML은 염색체 9의 ABL1 유전자와 염색체 22의 BCR 유전자가 융합되는 t(9;22)(q34;q11.2) 전위를 감지하는 세포유전학적 검사로 진단된다.[8] 이 전위로 인해 염색체가 상동 염색체보다 작아 보이는 현상이 나타나는데, 이를 필라델피아 염색체 염색체 이상이라고 한다. 따라서 이 이상은 일반적인 세포유전학 검사로 감지할 수 있으며, 관련 유전자인 BCR-ABL1은 형광 제자리 혼성화(FISH)나 중합 효소 연쇄 반응(PCR)으로 감지할 수 있다.[11]골수에서는 세포가 증가하여 통상보다 고밀도가 되어 있는 과형성 상태가 명백하게 나타난다. 골수계 세포(주로 호중구, 호염기구, 호산구의 어린 세포)와 적혈구의 어린 세포인 적아구 수의 비율(M:E비)은 10:1에서 30:1로, 골수계 세포 쪽으로 극단적으로 치우쳐 있다. 또한 거핵구도 통상적으로 증가한다. 조혈이 일어나는 정상적인 골수는 약 절반이 지방이지만, 만성 골수성 백혈병에서는 혈액 세포가 현저하게 증가하여 지방분은 거의 보이지 않는다.[38]
5. 3. 세포유전학 검사
만성 골수성 백혈병(CML)은 종종 모든 유형의 과립구 증가를 보이는 전혈구 계산을 통해 의심되는데, 일반적으로 성숙한 골수구를 포함한다. 호염기구와 호산구는 거의 보편적으로 증가하며, 이 특징은 CML을 백혈병 유사 반응과 구별하는 데 도움이 될 수 있다. CML 평가의 일환으로 골수 생검이 종종 수행된다. CML은 염색체 9의 ABL1 유전자와 염색체 22의 BCR 유전자를 포함하는 전위 t(9;22)(q34;q11.2)를 감지하는 세포유전학적 검사를 통해 진단된다.[8] 이 전위의 결과로 염색체가 상동 염색체보다 작아 보이는데, 이러한 모습은 필라델피아 염색체 염색체 이상이라고 알려져 있다. 따라서, 이 이상은 일반적인 세포유전학 검사로 감지할 수 있으며, 관련된 유전자 BCR-ABL1은 형광 제자리 혼성화(FISH) 또는 중합 효소 연쇄 반응(PCR)으로 감지할 수 있다.[11]소위 ''Ph 음성'' CML, 즉 필라델피아 염색체가 감지되지 않는 CML 의심 사례에 대한 논란이 있다. 실제로 이러한 환자 중 다수는 (9;22) 전위를 가리는 복잡한 염색체 이상을 가지고 있거나, 일반적인 핵형 분석이 정상임에도 불구하고 FISH 또는 RT-PCR에 의해 전위의 증거를 가지고 있다.[9] BCR-ABL1 융합의 분자적 증거가 감지되지 않는 소수의 환자는 CML 환자와 다른 임상 경과를 보이는 경향이 있으므로, 미분화 골수형성이상/골수증식성 질환으로 분류하는 것이 더 나을 수 있다.[10]
5. 4. 분자유전학 검사
만성 골수성 백혈병(CML)은 9번 염색체의 ABL1 유전자와 22번 염색체의 BCR 유전자가 융합되는 t(9;22)(q34;q11.2) 전위로 인해 발생한다.[8] 그 결과 염색체가 짧아지는 '필라델피아 염색체'라는 염색체 이상이 나타난다. 이러한 이상은 일반적인 세포유전학 검사로 확인 가능하며, 형광 제자리 혼성화(FISH)나 중합 효소 연쇄 반응(PCR)을 통해 BCR-ABL1 융합 유전자를 정확하게 검출할 수 있다.[11]필라델피아 염색체가 발견되지 않는 'Ph 음성' CML 의심 사례도 있다. 이 환자들은 복잡한 염색체 이상으로 인해 (9;22) 전위가 가려지거나, 일반 핵형 분석에서는 정상이지만 FISH나 RT-PCR 검사에서 전위가 확인되는 경우가 많다.[9] BCR-ABL1 융합 유전자가 검출되지 않는 소수의 환자는 다른 CML 환자와 임상 경과가 다르기 때문에, 미분화 골수형성이상/골수증식성 질환으로 분류하는 것이 더 적절할 수 있다.[10]
6. 병기
만성 골수성 백혈병(CML)은 임상적 특징과 검사 결과를 바탕으로 만성기, 가속기, 급성기(모세포 위기)의 세 단계로 나뉜다. 치료를 받지 않으면 만성기에서 시작하여 가속기를 거쳐 급성기로 진행된다. 급성기는 급성 백혈병과 유사하게 나타난다. 조기에 약물 치료를 시작하면 이러한 진행을 막을 수 있다. 만성기에서 가속기 및 급성기로 진행되는 원인 중 하나는 필라델피아 염색체 외에 새로운 염색체 이상이 생기는 것이다.[6] 일부 환자는 진단 시 이미 가속기 또는 급성기 상태일 수 있다.[11]
6. 1. 만성기 (Chronic Phase)
만성 골수성 백혈병 환자의 약 85%가 진단 당시에 만성기에 해당한다.[11] 이 기간 동안 환자는 대개 증상이 없거나 피로감, 왼쪽 옆구리 통증, 관절 또는 엉덩이 통증, 복부 팽만감과 같은 경미한 증상만 나타난다.[11] 만성기의 지속 기간은 질병을 얼마나 일찍 진단했는지, 어떤 치료법을 사용했는지에 따라 달라진다. 치료를 받지 않으면 병이 가속기로 진행된다.[11] 임상 지표 및 개인 유전체 프로파일을 기반으로 환자의 병기를 정확하게 설정하면, 병의 진행 위험과 관련하여 병력을 평가하는 데 도움이 될 수 있다.[12] 만성기에는 골수 및 말초혈액 내 아세포(모세포) 비율이 10% 미만이다.6. 2. 가속기 (Accelerated Phase)
만성 골수성 백혈병(CML)은 별다른 치료가 없을 경우, 만성기에서 시작하여 가속기를 거쳐 최종적으로 모세포 위기 단계로 진행된다. 모세포 위기는 급성 백혈병과 유사하게 나타난다. 약물 치료를 조기에 시작하면 이러한 진행을 막을 수 있다. 만성기에서 가속기 및 모세포 위기로의 진행을 유도하는 요인 중 하나는 필라델피아 염색체 외의 새로운 염색체 이상 획득이다.[6] 일부 환자는 진단 시 이미 가속기 또는 모세포 위기에 있을 수 있다.[11]가속기 단계 진단 기준은 M.D. 앤더슨 암 센터 연구자,[13] Sokal 등,[14] 세계 보건 기구(WHO)[10][15]의 기준이 있다. WHO 기준[16]이 가장 널리 사용되며, 혈액학적/세포유전학적 기준 또는 티로신 키나제 억제제(TKI) 치료 반응에 관한 잠정적 기준 중 하나 이상이 존재할 때 가속기로 정의한다.
- '''혈액학적/세포유전학적 기준'''
- 치료에 반응하지 않는 지속적이거나 증가하는 높은 백혈구 수치(> 109/L)
- 치료에 반응하지 않는 지속적이거나 증가하는 비장 비대
- 치료에 반응하지 않는 지속적인 혈소판 증가증 (> 1000×109/L)
- 치료와 관련 없는 지속적인 혈소판 감소증 (< 100×109/L)
- 말초 혈액 내 호염기구 20% 이상
- 말초 혈액 및/또는 골수 내 10–19%의 모세포
- 진단 시 필라델피아(Ph) 염색체 양성(Ph+) 세포에서 추가적인 클론 염색체 이상 (두 번째 Ph 염색체, 8번 삼염색체성, isochromosome 17q, 19번 삼염색체성), 복잡한 핵형 및 3q26.2의 이상 포함
- 치료 중 발생하는 Ph+ 세포에서 새로운 클론 염색체 이상
- '''''TKI 반응에 대한 잠정적 기준'''''
- 첫 번째 TKI에 대한 혈액학적 내성(또는 완전한 혈액학적 반응을 달성하지 못함)
- 두 가지 연속적인 TKI에 대한 내성을 나타내는 혈액학적, 세포유전학적 또는 분자적 징후
- TKI 치료 중 BCR-ABL1 융합 유전자에서 두 개 이상의 돌연변이 발생
위의 사항 중 하나라도 존재하면 환자는 가속기 단계에 있는 것으로 간주된다. 가속기는 질병이 진행되고 급성기 전환이 임박했음을 알리는 중요한 신호이다. 약물 치료는 진행된 단계에서 종종 효과가 감소한다.[10]
6. 3. 급성기 (Blast Crisis)
만성 골수성 백혈병(CML)의 마지막 단계인 급성 전환기는 급성 백혈병과 유사하게 진행되며, 급속한 진행과 짧은 생존 기간을 보인다.[11] 급성 전환기로 진단하는 기준은 다음과 같다.[17]- 혈액 또는 골수에서 20% 초과의 아세포 존재
- 골수 외 아세포 증식 존재
급성기의 신체 상태는 급성 백혈병과 유사한 양상을 보인다. 정상적인 조혈 기능이 현저하게 손상된 단계이며, 신체 증상은 급성 골수성 백혈병과 유사하다. 말초혈액 또는 골수 중의 아세포는 20% 이상이며, 골수외 조혈(전이)이 나타나기도 한다. 아세포는 골수구계·림프구계 모두를 띨 수 있지만, 골수구계가 많다.
7. 치료
만성 골수성 백혈병(CML)의 치료는 동종골수이식이나 이매티닙(상품명: 글리벡)을 주로 사용한다.[53] 과거에는 동종골수이식이 유일한 완치 방법이었으나, 현재는 이매티닙의 등장으로 보조적인 치료법으로 시행된다. 동종골수이식은 장기무병 생존율이 약 60-70%이며, 진단 후 1년 이내에 시행하는 것이 효과적이다.[18]
이매티닙은 대부분의 환자를 안전하게 완전관해 상태로 도달시켜 정상적인 삶을 살 수 있도록 해주기 때문에 현재 만성 골수성 백혈병의 일차적 치료제로 사용된다. 그러나 일부 환자에게는 효과가 없을 수 있어 약물 반응성을 면밀히 검토해야 한다.
2010년대 이후에는 2세대 표적치료제인 타시그나(상품명: 타시그나), 스프라이셀(상품명: 스프리셀), 슈펙트(상품명: 슈펙트)가 개발되어 1세대 치료제인 글리벡보다 우수한 효과를 보이고 있다. 특히 글리벡에 불내성, 저항성을 가진 환자에게도 효과적이다.
CML의 유일한 완치 치료법은 골수 이식 또는 동종 조혈모 세포 이식이다.[18] 이 외에도 티로신 키나아제 억제제 치료, 골수 억제 또는 백혈구 제거술 (초기 치료 중 백혈구 증가증에 대처하기 위해), 비장 절제술 및 인터페론 알파-2b 치료가 있다.[3] 임산부의 경우, 사이토카인인 인터페론-알파를 사용하여 비교적 안전하게 치료할 수 있다.[19]
조혈기 종양 진료 가이드라인 2018년판 보정판[42]에 따른 치료 선택은 다음과 같다.
7. 1. 티로신 키나아제 억제제 (Tyrosine Kinase Inhibitor, TKI)
이매티닙(글리벡)은 스위스 노바티스사에서 개발한 만성 골수성 백혈병의 획기적인 치료제로, 5년간 추적 조사 결과 매우 탁월한 효과를 보였다.[53] 18개월째 치료에 혈액학적 완전관해율은 97%, 세포유전학적 관해율은 76%에 달한다. 이매티닙은 환자를 완치시키지는 못하지만, 대부분의 환자를 안전하게 완전관해 상태로 만들어 정상적인 삶을 살 수 있도록 돕는다. 따라서 현재 만성 골수성 백혈병의 일차적 치료제로 사용된다. 그러나 소수의 환자에게는 효과가 없을 수 있으므로, 약물 반응성을 면밀히 검토해야 한다.2000년대 이후 필라델피아 염색체 전좌로 인해 발생하는 BCR-ABL 티로신 키나아제를 표적으로 하는 약물들이 개발되었다.[20] 2001년 미국 식품의약국(FDA)의 승인을 받은 이마티닙 메실산염(글리벡)이 이 계열의 첫 번째 약물이다. 이마티닙은 대부분의 환자(65~75%)에서 CML의 진행을 억제하고, 정상적인 골수 줄기 세포 집단의 재성장을 유도하며, 백혈구의 성숙 비율을 안정적으로 유지했다. 거의 모든 환자에서 일부 백혈병 세포가 남아있기 때문에 치료는 무기한 계속되어야 한다. 이마티닙의 출현 이후, CML은 표준 의료 치료가 환자에게 정상적인 기대 수명을 제공할 수 있는 최초의 암이 되었다.[23]
이마티닙 내성을 극복하고 반응성을 높이기 위해 개발된 2세대 약물에는 다사티닙과 닐로티닙이 있다. 다사티닙은 BCR-ABL 단백질 억제 외에도 여러 다른 종양 유발 단백질을 차단하며, 2007년 FDA 승인을 받았다. 닐로티닙 역시 FDA 승인을 받았으며, 2010년에는 두 약물 모두 1차 치료제로 승인되었다. 2012년에는 라도티닙이 한국에서 승인되었다. 보수티닙은 2012년과 2013년에 각각 미국 FDA와 유럽 EMA의 승인을 받았다.
아시미닙(Scemblix)은 2021년 10월 미국에서 의료용으로 승인되었다.[30]
다사티닙이나 닐로티닙은 이마티닙보다 개선된 반응을 보이지만, T315I 돌연변이(315번째 아미노산이 트레오닌에서 이소류신으로 변이)에는 내성을 보였다. 이를 극복하기 위해, 오마세탁신과 포나티닙이 개발되었다. 오마세탁신은 2012년 FDA 승인을 받았으며,[28][29] 포나티닙은 2012년 12월 FDA 승인을 받았다.
1세대 TKI 이매티닙 메실산염(글리벡)은 2001년부터 널리 사용되어 장기 사용 데이터가 축적되었다. 이매티닙으로 약 90%의 환자가 관해를 얻지만, 일부는 치료 저항성을 보인다. 이들을 위해 2세대 TKI가 개발되었다.[41]
2세대 TKI는 현재 2종류가 사용 가능하다.
- 닐로티닙(닐로티닙 염산염 수화물, 상품명 타시그나)은 이매티닙보다 약 20배 강력한 BCR-ABL 억제 효과를 가진다.
- 다사티닙(다사티닙 수화물, 상품명 스프리셀)은 2009년 1월에 승인되었다.
3세대 TKI는 보스니팁(상품명 보슈리프)으로 2014년 9월 승인되었다.
TKI 저항성을 보이는 T315i 변이에 대한 약물은 포나티닙으로 2016년 1월 승인되었다.
현재, 실용화된 분자 표적 치료제 외에도, 바페티닙 (INNO-406, NS-187) 등의 신약이 개발 단계에 있다.
'''만성기 치료'''에서 1차 치료로 이마티닙, 다사티닙, 닐로티닙 중 하나를 선택한다. 치료 저항성이 된 경우에는 보수티닙을 포함한 약제 중 하나를 선택한다. 3차 치료 이후나 T315I 변이의 경우에는 포나티닙이 선택지가 된다.
'''진행기(이행기·급성기) 치료'''에서 이행기의 경우에는 다사티닙, 닐로티닙이 선택된다. 급성기의 경우에는 티로신 키나아제 억제제에 화학 요법을 병용하고, 동종 조혈모세포 이식을 시행한다.[42]
7. 2. 조혈모세포 이식 (Hematopoietic Stem Cell Transplantation, HSCT)
동종골수이식은 과거 만성 골수성 백혈병을 완치할 수 있는 유일한 치료 방법이었으나,[18] 이매티닙(글리벡)의 등장으로 현재는 보조적인 치료 방법으로 시행된다. 동종골수이식의 장기무병 생존율은 약 60-70%이며, 진단 후 1년 이내에 시행하는 것이 효과가 좋다.이행기나 급성기로 이행한 경우, 또는 티로신 키나제 억제제에 내성을 가진 경우 등에는 골수 이식이나 제대혈 이식 등의 조혈모세포 이식이 중요한 치료법이 된다.
7. 3. 기타 치료
만성 골수성 백혈병(CML)의 유일한 완치 치료법은 골수 이식 또는 동종 조혈모 세포 이식이다.[18] 이 외에 CML의 주요 치료법으로는 티로신 키나제 억제제 치료, 골수 억제 또는 백혈구 제거술 (초기 치료 중 백혈구 증가증에 대처하기 위해), 비장 절제술 및 인터페론 알파-2b 치료가 있다.[3] CML 환자의 평균 연령이 높기 때문에 임산부에게 CML이 나타나는 경우는 비교적 드물지만, 만성 골수성 백혈병은 임신 중 언제든지 사이토카인인 인터페론-알파를 사용하여 비교적 안전하게 치료할 수 있다.[19]1세대 티로신 키나제 억제제(TKI) 이매티닙 메실산염(상품명 글리벡)은 2001년 이후 오랫동안 사용되어 장기 사용 데이터도 축적되었으며, 널리 사용되고 있다. 이매티닙으로 약 90%의 환자가 관해를 얻어 정상적인 사회생활을 할 수 있지만, 일부는 치료 초기 또는 도중에 이매티닙에 치료 저항성이 되는 경우가 있다. 이매티닙에 저항성이 있는 만성 골수성 백혈병 환자에게는 2세대 티로신 키나제 억제제(TKI)가 개발되어 효과를 나타내고 있다. 단, 수십 종류의 BCR-ABL 단백질의 변이 중 T315I BCR-ABL이라고 불리는 ATP 결합 부위의 아미노산 잔기 트레오닌이 이소류신으로 변이된 타입은 이매티닙에도 2세대 TKI에도 저항성이 있으며, 이식 치료가 권장된다.[41]
2세대 티로신 키나제 억제제는 현재 2종류가 사용 가능하다.
- 닐로티닙(닐로티닙 염산염 수화물, 상품명 타시그나)의 BCR-ABL 억제 효과는 이매티닙의 약 20배 강력하다.
- 다사티닙(다사티닙 수화물, 상품명 스프리셀)은 2009년 1월에 승인되었다.
3세대 티로신 키나제 억제제는 보스니팁(상품명 보슈리프)이 있으며, 2014년 9월 승인되었다. 티로신 키나제 억제제 저항성을 보이는 T315i 변이에 대한 약물로는 포나티닙이 있으며, 2016년 1월 승인되었다.
현재, 실용화된 분자 표적 치료제 외에도, 바페티닙 (INNO-406, NS-187) 등의 신약이 개발 단계에 있다. 바페티닙은 일본에서 개발된 티로신 키나제 억제제로 기대되고 있다.
이행기나 급성기로 이행한 경우, 또는 티로신 키나제 억제제에 내성을 가진 경우, 티로신 키나제 억제제가 처음부터 듣기 어려운 하위 유형 등 만성 골수성 백혈병에 대해서는 골수 이식이나 제대혈 이식 등의 조혈모세포 이식이 중요한 치료법이 된다.
7. 4. 치료 반응 평가
만성 골수성 백혈병의 치료 반응 평가는 치료 효과를 판단하고, 치료 계획을 조정하는 데 중요한 역할을 한다. 치료 반응은 혈액학적 반응, 세포유전학적 반응, 분자유전학적 반응으로 나눌 수 있다.1세대 티로신 키나제 억제제(TKI)인 이매티닙(상품명 글리벡) 치료 18개월째에 혈액학적 완전관해율은 97%에 달하며, 세포유전학적 관해율도 76%에 이른다.[53] 2세대 TKI인 타시그나(상품명 타시그나), 스프라이셀(상품명 스프리셀), 슈펙트(상품명 슈펙트)는 1세대 치료제인 글리벡보다 혈액학적 관해율, 세포유전학적 관해율, 분자유전학적 관해율, 생존율 등에서 더 우수한 효과를 보이고 있다. 특히, 글리벡에 불내성이나 저항성을 보이는 환자에게도 효과적이다.[41]
조혈기 종양 진료 가이드라인 2018년판 보정판[42]에 따르면, 만성기 치료의 1차 치료로 이매티닙, 다사티닙, 닐로티닙 중 하나를 선택하며, 치료 저항성이 생긴 경우에는 보스니팁을 포함한 약제 중 하나를 선택한다. 3차 치료 이후나 T315I 변이가 있는 경우에는 포나티닙이 선택지가 된다. 이행기의 경우에는 다사티닙, 닐로티닙이 선택되며, 이미 티로신 키나아제 억제제로 치료 중인 경우에는 보스니팁, 포나티닙도 고려할 수 있다. 급성기의 경우에는 티로신 키나아제 억제제와 화학 요법을 병용하며, 이식 적응이 있는 경우에는 동종 조혈모세포 이식을 시행한다.
7. 5. 한국의 만성 골수성 백혈병 치료 환경
이매티닙(글리벡) 등장 이전에는 동종골수이식이 만성 골수성 백혈병의 주된 치료법이었으나, 현재는 이매티닙이 일차적 치료제로 사용된다. 이매티닙은 환자를 완치시키지는 못하지만, 대부분 환자를 완전관해 상태로 만들어 정상적인 삶을 유지할 수 있게 한다.[53] 그러나 일부 환자에게는 효과가 없을 수 있으므로, 약물 반응성을 면밀히 검토해야 한다.2010년대에는 2세대 표적치료제인 타시그나, 스프라이셀, 슈펙트가 개발되어 글리벡보다 우수한 효과를 보이고 있다. 특히 글리벡에 내성이나 저항성을 보이는 환자에게도 효과가 있어, 만성 골수성 백혈병은 평생 관리가 필요한 질병으로 인식되고 있다.
8. 예후
티로신 키나제 억제제가 등장하기 전, 만성 골수성 백혈병 환자의 중앙 생존 기간은 진단 후 약 3~5년이었다.[32]
티로신 키나제 억제제 사용으로 생존율이 획기적으로 개선되었다. 2006년 이매티닙(글리벡)을 사용한 553명의 환자를 추적 관찰한 결과 5년 후 전체 생존율은 89%였다.[33] 2011년 안정적인 세포유전학적 반응을 보인 이매티닙을 사용한 832명의 환자를 추적 관찰한 결과 8년 후 전체 생존율은 95.2%로 일반 인구의 생존율과 유사했으며, 백혈병 진행으로 사망한 환자는 1% 미만이었다.[23] 티로신 키나아제 억제제 등장 이전의 치료에서는 초발 만성기라도 10년 생존율은 약 25%에 불과했지만, 이매티닙의 등장으로 8년 전체 생존율은 85%[43]로, 혈액 악성 질환 중에서는 경이적인 성적을 보이고 있다.
이매티닙 불내성·저항성의 초발 만성기에 대한 2세대 티로신 키나아제의 성적은 닐로티닙으로 4년 전체 생존율 78%[44], 다사티닙으로 3년 전체 생존율 87%[45]이다. 그러나 T315I 변이를 가진 예에서는 여전히 티로신 키나아제 억제제 등장 이전과 비슷한 수준의 예후를 보인다.
만성기에서 매우 효과적인 이마티닙도, 이행기에서는 4년 생존율이 45%[46]까지 떨어진다. 반면, 2세대 티로신 키나아제의 성적은 닐로티닙의 경우 1년 전체 생존율이 79%[47], 다사티닙의 경우 3년 전체 생존율이 82%[48]이다. 다만, 같은 기간의 무진행 생존율은 낮고(73%[47]와 66%[48]), 생존 곡선도 평탄화되지 않았다.
급성기에서는 이마티닙 단독으로 1년 전체 생존율이 22%에 불과하다. 닐로티닙으로 20% 전후의 관해를 얻었다고 보고되었지만(생존율은 미기재)[49], 닐로티닙은 일본에서는 급성기에 대한 적응증이 없다. 다사티닙은 적응증이 있지만, 단일 제제로의 전체 생존 중앙값은 골수구 계열에서 11.8개월, 림프구 계열에서 5.3개월[50]이다.
참조
[1]
논문
Global, regional, and national incidence, prevalence, and years lived with disability for 310 diseases and injuries, 1990-2015: a systematic analysis for the Global Burden of Disease Study 2015
2016-10
[2]
논문
Global, regional, and national life expectancy, all-cause mortality, and cause-specific mortality for 249 causes of death, 1980-2015: a systematic analysis for the Global Burden of Disease Study 2015
2016-10
[3]
웹사이트
Chronic Myelogenous Leukemia Clinical Presentation
http://emedicine.med[...]
WebMD
2013-12-27
[4]
서적
Molecular Hematology
Wiley-Blackwell
[5]
논문
Discovery of the Philadelphia chromosome: a personal perspective
2007-08
[6]
논문
Chronic myelogenous leukemia: biology and therapy
1999-08
[7]
논문
Chronic myeloid leukaemia
2007-07
[8]
논문
Genetics. A story of swapped ends
2013-06
[9]
논문
Clinical features at diagnosis in 430 patients with chronic myeloid leukaemia seen at a referral centre over a 16-year period
1997-01
[10]
논문
Proposals and rationale for revision of the World Health Organization diagnostic criteria for polycythemia vera, essential thrombocythemia, and primary myelofibrosis: recommendations from an ad hoc international expert panel
2007-08
[11]
논문
Classification, diagnosis and management of myeloproliferative disorders in the JAK2V617F era
[12]
논문
Combined Population Dynamics and Entropy Modelling Supports Patient Stratification in Chronic Myeloid Leukemia
2016-04
[13]
논문
Characteristics of accelerated disease in chronic myelogenous leukemia
1988-04
[14]
논문
Staging and prognosis in chronic myelogenous leukemia
1988-01
[15]
논문
The World Health Organization (WHO) classification of the myeloid neoplasms
2002-10
[16]
논문
The 2016 revision to the World Health Organization classification of myeloid neoplasms and acute leukemia
2016-05
[17]
논문
Blastic phase of chronic myelogenous leukemia
2006-05
[18]
웹사이트
Chronic Myelogenous Leukemia Treatment & Management
http://emedicine.med[...]
WebMD
2013-12-27
[19]
논문
How I treat acute and chronic leukemia in pregnancy
2008-09
[20]
서적
Holland-Frei Cancer Medicine
https://archive.org/[...]
B.C. Decker
2012-10-27
[21]
웹사이트
Chronic Myelogenous Leukemia
http://emedicine.med[...]
WebMD
2013-12-27
[22]
논문
Imatinib therapy for patients with chronic myelogenous leukemia: are patients living longer?
http://clincancerres[...]
2004-01
[23]
논문
Multicenter independent assessment of outcomes in chronic myeloid leukemia patients treated with imatinib
2011-04
[24]
간행물
FDA approves Novartis Scemblix (asciminib), with novel mechanism of action for the treatment of chronic myeloid leukemia
https://www.novartis[...]
2021-10-29
[25]
논문
Current and emerging treatment options in chronic myeloid leukemia
2007-06
[26]
논문
New tyrosine kinase inhibitors in the treatment of chronic myeloid leukemia
2006-10
[27]
웹사이트
Homoharringtonine (Omacetaxine Mepesuccinate) in Treating Patients With Chronic Myeloid Leukemia (CML) With the T315I BCR-ABL Gene Mutation
http://clinicaltrial[...]
2012-10-27
[28]
간행물
FDA approves Synribo for chronic myelogenous leukemia
https://www.fda.gov/[...]
US Food and Drug Administration
2012-10-26
[29]
간행물
FDA approves new orphan drug for chronic myelogenous leukemia
https://www.fda.gov/[...]
US Food and Drug Administration
2012-09-04
[30]
문서
Asciminib (Scemblix): A third-line treatment option for chronic myeloid leukemia in chronic phase with or without T315I mutation
2023-01-05
[31]
논문
Effect of a p210 multipeptide vaccine associated with imatinib or interferon in patients with chronic myeloid leukaemia and persistent residual disease: a multicentre observational trial
https://art.torverga[...]
[32]
웹사이트
Chronic Myelogenous Leukemia
http://emedicine.med[...]
WebMD
2013-12-27
[33]
논문
Five-year follow-up of patients receiving imatinib for chronic myeloid leukemia
2006-12
[34]
웹사이트
Chronic myeloid leukaemia (CML) statistics
http://www.cancerres[...]
2014-10-28
[35]
웹사이트
What are the key statistics about chronic myeloid leukemia?
http://www.cancer.or[...]
American Cancer Society
2015-01-06
[36]
서적
WHO分類第4版による白血病・リンパ系腫瘍の病態学
[37]
서적
三輪血液病学
[38]
서적
三輪血液病学
[39]
서적
三輪血液病学
[40]
서적
三輪血液病学
[41]
논문
白血病幹細胞を標的とする薬剤開発
[42]
웹사이트
ホーム|造血器腫瘍診療ガイドライン 2018年版補訂版|一般社団法人 日本血液学会
http://www.jshem.or.[...]
2021-10-21
[43]
간행물
"#1126"
アメリカ血液学会(ASH)
2009
[44]
논문
Nilotinib in imatinib-resistant or imatinib-intolerant patients with chronic myeloid leukemia in chronic phase: 48-month follow-up results of a phase II study.
[45]
논문
Dasatinib dose-optimization study in chronic phase chronic myeloid leukemia (CML-CP): Three-year follow-up with dasatinib 100 mg once daily and landmark analysis of cytogenetic response and progression-free survival (PFS)
http://meeting.ascop[...]
[46]
논문
Sustained durability of responses and improved progression-free and overall survival with imatinib treatment for accelerated phase and blast crisis chronic myeloid leukemia: long-term follow-up of the STI571 0102 and 0109 trials.
[47]
논문
Nilotinib (formerly AMN107), a highly selective BCR-ABL tyrosine kinase inhibitor, is active in patients with imatinib-resistant or -intolerant accelerated-phase chronic myelogenous leukemia.
[48]
논문
Dasatinib in the treatment of chronic myeloid leukemia in accelerated phase after imatinib failure: the START a trial.
[49]
논문
Nilotinib in patients with Philadelphia chromosome-positive chronic myelogenous leukemia in blast crisis (CML-BC) who are resistant or intolerant to imatinib
http://meeting.ascop[...]
[50]
논문
Efficacy and safety of dasatinib in imatinib-resistant or -intolerant patients with chronic myeloid leukemia in blast phase.
[51]
논문
Global, regional, and national incidence, prevalence, and years lived with disability for 310 diseases and injuries, 1990-2015: a systematic analysis for the Global Burden of Disease Study 2015.
2016-10-08
[52]
논문
Global, regional, and national life expectancy, all-cause mortality, and cause-specific mortality for 249 causes of death, 1980-2015: a systematic analysis for the Global Burden of Disease Study 2015.
2016-10-08
[53]
논문
Five-year follow-up of patients receiving imatinib for chronic myeloid leukemia
2006-12
본 사이트는 AI가 위키백과와 뉴스 기사,정부 간행물,학술 논문등을 바탕으로 정보를 가공하여 제공하는 백과사전형 서비스입니다.
모든 문서는 AI에 의해 자동 생성되며, CC BY-SA 4.0 라이선스에 따라 이용할 수 있습니다.
하지만, 위키백과나 뉴스 기사 자체에 오류, 부정확한 정보, 또는 가짜 뉴스가 포함될 수 있으며, AI는 이러한 내용을 완벽하게 걸러내지 못할 수 있습니다.
따라서 제공되는 정보에 일부 오류나 편향이 있을 수 있으므로, 중요한 정보는 반드시 다른 출처를 통해 교차 검증하시기 바랍니다.
문의하기 : help@durumis.com
