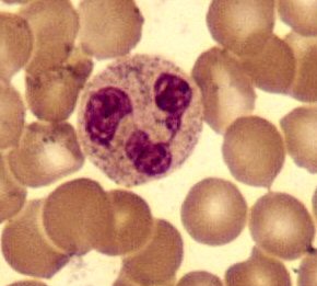
과립구
"오늘의AI위키"의 AI를 통해 더욱 풍부하고 폭넓은 지식 경험을 누리세요.
1. 개요
과립구는 라이트 염색 시 외형에 따라 호중성 과립구, 호산성 과립구, 호염기성 과립구로 분류되며, 비만 세포를 포함하여 총 4가지 유형이 있다. 이들은 골수에서 생성되며, 식세포 작용, 독성 물질 방출 등을 통해 면역 반응에 기여한다. 호중구는 혈류에서 가장 흔한 백혈구로 세균 공격에 중요한 역할을 하며, 호산구는 기생충 방어 및 다른 면역 세포 조절에 관여한다. 호염기구는 염증 반응을 일으키며, 비만 세포는 알레르기 반응과 숙주 방어를 매개한다. 과립구 감소증은 감염에 대한 신체 방어 능력을 저하시키며, 과립구 수혈은 일부 감염 환자에게 사용될 수 있다.
더 읽어볼만한 페이지
- 백혈구 - 호중구
호중구는 혈액 내에서 가장 풍부한 백혈구로서 세균 감염에 대한 신속한 면역 반응에 중요한 역할을 하며, 식세포 작용, 탈과립, 호중구 세포외덫 형성 등의 항미생물 작용을 수행하고 염증 반응을 조절하며 사이토카인을 분비한다. - 백혈구 - 보조 T세포
보조 T세포는 CD4 단백질을 발현하는 CD4+ T 세포로서, 사이토카인을 분비하여 다른 면역 세포를 돕고, 항원 제시 세포가 제시하는 항원을 인식하여 면역 반응을 조절하는 역할을 수행하며, 기능에 따라 다양한 아형으로 분화하여 특화된 면역 반응을 유도하지만, 과도한 활성화 또는 기능 이상은 질병을 유발할 수 있다.
| 과립구 | |
|---|---|
| 개요 | |
| 세포 종류 | 백혈구 |
| 하위 분류 | 호중구, 호산구, 호염기구 |
| 다른 이름 | 다형핵 백혈구 (polymorphonuclear leukocyte, PMN) |
2. 종류
과립구는 라이트 염색으로 관찰했을 때 보이는 외양에 따라 호중성 과립구, 호산성 과립구, 호염기성 과립구의 세 종류로 나뉜다. 각 과립구의 이름은 염색에서 나타나는 특성에서 유래하였다. 예를 들어 가장 많은 과립구인 호중성 과립구는 세포질에 중성으로 염색되는 과립을 가지고 있다.[4]
과립구에는 호염기구, 호산구, 호중구, 비만 세포의 네 가지 유형이 있다.[3] 비만 세포를 제외한 나머지는 염색 특성에 따라 이름이 붙여졌다.[4]
2. 1. 호중구

호중성 과립구 (호중구)는 혈류에서 가장 흔하게 발견되는 식세포로, 혈관을 따라 순환하는 백혈구의 50 - 60%를 차지한다.[59] 사람 혈액 1리터에 약 50억 개(5 * 109)의[60] 호중구가 있고, 지름은 12 - 15 μm,[61] 수명은 약 6일이다.[61] 호중구가 적절한 신호를 받으면 30분 이내에 혈관을 떠나 감염이 발생한 곳에 도착한다.[62] 호중구는 혈액으로 돌아가지 않고 고름 세포가 되어 죽는다.[62] 성숙한 호중구는 단핵구보다 작고, 2 - 5개의 분절로 된 핵을 가지고 있다. 각 핵 분절은 염색질 미세섬유로 연결된다. 호중구는 정상적으로 성숙할 때까지 골수를 빠져나가지 않지만, 감염이 있는 경우에 호중구 전구체인 골수세포와 전골수세포(promyelocyte영어)가 방출된다.[63]
호중구는 세 가지 방법으로 직접 미생물을 공격한다. 미생물을 섭취하는 식세포작용, 수용성 항미생물제(과립 단백질이 포함된다) 방출, 호중구 세포외덫(neutrophil extracellular trap영어, NET) 생산 등이 그것이다.[64] 호중구는 기본적으로 포식세포이다.[65][66] 체내로 침입하여 항체와 보체로 둘러싸인 대상과 손상된 세포 또는 세포 잔해를 빠르게 먹어치운다. 사람의 호중구에 있는 세포내 과립은 단백질을 분해하고 살균 능력을 가진다.[67] 호중구는 단핵구와 대식세포를 자극하는 물질을 분비한다. 이를 통해 식세포작용이 활발해지고 활성산소종이 생성되어 대상 세포를 파괴한다.[68]
호중구에는 두 종류의 과립이 있다. 어린 세포에 있는 일차 과립은 아주르친화성이고, 더 성숙한 세포에는 특이 과립이 있다. 일차 과립에는 세균을 죽이는데 쓰이는 양이온성 단백질과 디펜신, 세균의 단백질을 분해하기 위한 단백질 가수분해효소와 카텝신 G, 세균의 세포벽을 깨기 위한 라이소자임, 세균을 죽이는 독성 물질을 생산하는 골수세포형과산화효소(myeloperoxidase영어)가 있다.[72] 일차 과립에서 분비되는 물질은 IgG 항체로 둘러싸인 세균을 잡아먹도록 자극한다.[69] 이차 과립에는 독성이 있는 산소 화합물, 라이소자임, 락토페린(세균에서 필수 철을 얻는 데에 사용하는 물질)을 생산하는 물질이 들어있다.[72] 호중구 세포외덫(NET)은 염색질과 세린 단백질분해효소로 이루어진 섬유망으로 미생물을 세포외에서 잡아 죽인다. 호중구가 병원체에 압도될 때 DNA를 분출하는 현상이다. 최후의 수단이지만, 암세포를 의도치 않게 옮기기 때문에 암을 퍼트릴 수 있다. 패혈증 환자는 세균을 잡는 것이 특히 중요하므로 혈관에 호중구 세포외덫이 형성된다.[70]
2. 2. 호산구

호산구에는 신장처럼 생긴, 2~4개의 엽으로 이루어진 핵이 있다. 호산구가 혈류를 순환하면서 과립을 방출(탈과립)하기 때문에 과립 수는 크게 차이가 난다.[71] 호산구는 기생충(창자에 있는 선충 등)을 죽이는 역할을 한다. 호산구의 과립에는 특이적인 독성 염기성 단백질과 양이온성 단백질(카텝신[72])이 들어 있다.[73] IgE에 결합하는 수용체가 이 작용을 돕는다.[74] 호산구는 제한적으로 식세포작용에 참여하고,[75] 보조 T세포, 수지상세포, B세포, 비만 세포, 호중구, 호염기구 등 다른 면역세포 기능을 조절한다.[76] 또한 항원제시세포이며, 종양 세포를 파괴하는 데 관여하고,[71] 손상된 조직이 복구되도록 촉진한다.[77] 호염기구가 생산하는 인터류킨-5는 호산구와 상호작용하여 호산구가 증식하고 분화하도록 한다.[73]
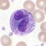
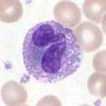
2. 3. 호염기구
호염기구는 골수와 혈액에서 가장 적은 세포 중 하나로, 전체 세포의 2% 미만이다. 호중구, 호산구와 마찬가지로 엽상 세포핵을 가지지만, 엽은 2개뿐이며 이를 연결하는 염색질 필라멘트는 잘 보이지 않는다. 호염기구는 IgE, IgG, 보체, 히스타민과 결합할 수 있는 수용체를 가지고 있다. 호염기구의 세포질에는 다양한 양의 과립이 포함되어 있으며, 이러한 과립은 핵을 부분적으로 가릴 만큼 충분히 많다. 호염기구 과립의 주요 성분에는 히스타민, 헤파린, 콘드로이틴 황산, 과산화효소, 혈소판 활성 인자 등이 있다.[23]감염이 발생하면 성숙한 호염기구가 골수에서 방출되어 감염 부위로 이동한다.[24] 호염기구가 손상되면 히스타민이 방출되어 침입한 생물과 싸우기 위한 염증 반응에 기여한다.[51] 히스타민은 호염기구 근처의 모세 혈관 확장을 일으키고 투과성을 증가시킨다. 손상된 호염기구나 다른 백혈구는 감염 부위로의 혈류 증가에 기여하는 프로스타글란딘이라는 물질을 방출한다. 이러한 작용을 통해 혈액 응고 성분을 감염 부위에 전달하여 회복 과정을 시작하고, 미생물이 다른 부위로 이동하는 것을 막는다. 또한 염증 조직의 투과성이 높아지면, 감염 부위에 더 많은 탐식 세포가 이동하여 미생물을 잡아먹을 수 있게 된다.[48]
2. 4. 비만 세포
비만 세포는 조직에 존재하는 과립구의 한 종류이다.[3] 비만 세포는 병원체(예: 기생충) 및 알레르기 반응, 특히 아나필락시스에 대한 숙주 방어를 매개한다.[3] 또한 염증 및 자가면역을 매개하고 신경면역계 반응을 매개 및 조절하며, 히스타민을 방출한다.[3][25][26]3. 과립구형성
과립구는 골수에 있는 줄기세포에서 유래한다. 과립구형성(Granulopoiesis영어)은 만능(pluripotent영어) 조혈모줄기세포가 공통 골수성 전구세포, 골수세포를 거쳐 과립구로 분화하는 과정이다.[27] 이 분화 과정에는 골수모세포 및 전골수세포를 포함한 여러 중간 세포 유형이 존재한다.
4. 기능
과립구는 미생물을 제거하고 항원을 처리하는 기능을 가진 백혈구의 일종이다. 과립구에는 호중구, 호산구, 호염기구 등이 있으며, 각각 다른 특징과 기능을 가진다.
호중구는 혈류에서 가장 흔하게 발견되는 식세포로, 순환하는 백혈구의 50 - 60%를 차지한다.[59] 사람 혈액 1리터에는 약 50억 개(5 * 109)의[60] 호중구가 있고, 지름은 12 - 15 μm,[61] 수명은 약 6일이다.[61] 호중구는 감염이 발생한 곳에 30분 이내에 도착하여[62] 식세포작용, 수용성 항미생물제 방출, 호중구 세포외덫(NET) 생산 등의 방법으로 미생물을 공격한다.[64] 호중구는 고름 세포가 되어 죽는다.[62]
호중구에는 두 종류의 과립이 있는데, 일차 과립에는 디펜신, 카텝신 G, 라이소자임, 골수세포형과산화효소 등이 있고,[72] 특이 과립에는 독성이 있는 산소 화합물, 라이소자임, 락토페린 등이 있다.[72] 호중구 세포외덫(NET)은 염색질과 세린 단백질분해효소로 이루어진 섬유망으로 미생물을 세포외에서 잡아 죽인다.[70]
호산구는 기생충을 죽이는 역할을 하며, 과립에는 독성 염기성 단백질과 양이온성 단백질(카텝신[72])이 들어 있다.[73] IgE에 결합하는 수용체가 호산구를 돕는다.[74] 호산구는 항원제시세포이며, 종양 세포를 파괴하고,[71] 손상된 조직 복구를 촉진한다.[77]
호염기구는 골수와 혈액에 가장 적은 세포(전체 세포 중 2% 미만)로, 히스타민, 헤파린, 황산 콘드로이틴 등이 풍부한 과립을 가지고 있다. 감염이 일어나면 호염기구는 히스타민을 방출하여 염증 반응을 일으키고, 프로스타글란딘을 방출하여 감염 부위로 혈액이 많이 이동하게 한다.[75]
과립구가 생산하거나 탈과립을 통하여 방출하는 독성 물질은 다음과 같다.
5. 임상적 의의
과립구감소증은 혈액에 과립구가 비정상적으로 적게 있는 상태를 말한다. 이 상태에서는 신체가 감염에 대항하는 능력이 감소한다. 유사한 상태로 무과립구증[79]과 호중구감소증이 있다. 과립구는 비장에서 4일, 혈류에서 하루나 이틀 정도 생존하기 때문에 수혈을 통하여 과립구를 공급하는 치료법은 매우 짧은 기간만 유효하다. 그 밖에 수혈과 연관된 문제도 많다.
인슐린 의존성 당뇨를 앓는 사람은 과립구의 화학주성에 결함이 있는 경우가 많다.
연구에 따르면 감염 예방을 위해 과립구 수혈을 하면 혈액 내 세균 또는 진균 감염 환자 수가 감소했다.[28] 추가 연구에 따르면 치료적 과립구 수혈을 받은 참가자는 동시 감염의 임상적 역전에 차이를 보이지 않는다.[29]
6. 같이 보기
참조
[1]
서적
Webster's New World Medical Dictionary
Houghton Mifflin Harcourt
[2]
서적
Webster's New World Medical Dictionary
Houghton Mifflin Harcourt
[3]
논문
Granulocytes as modulators of dendritic cell function
2017-10-01
[4]
논문
On the nature of Romanowsky dyes and the Romanowsky-Giemsa effect
1979-01-01
[5]
서적
Inflammation and Fever from Pathophysiology: Principles of Disease
http://nic.sav.sk/lo[...]
Academic Electronic Press
2009-03-28
[6]
문서
[7]
문서
Abbas, Chapter 12, 5th Edition
[8]
문서
[9]
논문
Passive deformability of mature, immature, and active neutrophils in healthy and septicemic neonates
1998-12-01
[10]
논문
Intravascular immunity: the host-pathogen encounter in blood vessels
2009-05-01
[11]
문서
[12]
문서
[13]
논문
Neutrophil secretion products regulate anti-bacterial activity in monocytes and macrophages
2008-01-01
[14]
논문
Neutrophil primary granule proteins HBP and HNP1-3 boost bacterial phagocytosis by human and murine macrophages
2008-10-01
[15]
논문
Platelet TLR4 activates neutrophil extracellular traps to ensnare bacteria in septic blood
2007-04-01
[16]
웹사이트
Segmented Eosinophil
http://www.hsc.virgi[...]
University of Virginia Health System
2009-04-10
[17]
웹사이트
Immunology — Chapter One: Innate (non-specific) Immunity
http://pathmicro.med[...]
USC School of Medicine
2008-11-12
[18]
서적
Medical Microbiology
https://www.ncbi.nlm[...]
University of Texas Medical Branch at Galveston
[19]
논문
IgE, Mast Cells, Basophils, and Eosinophils
2010-02-01
[20]
문서
[21]
논문
Immunoregulatory roles of eosinophils: a new look at a familiar cell
2008-08-01
[22]
논문
The eosinophil: the cell and its weapons, the cytokines, its locations
2006-04-01
[23]
논문
Mast Cell and Basophil Granule Proteases — In Vivo Targets and Function
2022-01-01
[24]
웹사이트
Mature Basophil
http://www.hsc.virgi[...]
University of Virginia Health System
2009-04-10
[25]
논문
Mast cells: a cellular link between autoantibodies and inflammatory arthritis
2002-09-01
[26]
논문
Mast cells in meningiomas and brain inflammation
2015-09-01
[27]
논문
Current knowledge on the early stages of human neutropoiesis
2023-03-01
[28]
논문
Granulocyte transfusions for preventing infections in people with neutropenia or neutrophil dysfunction
2015-06-01
[29]
논문
Granulocyte transfusions for treating infections in people with neutropenia or neutrophil dysfunction
2016-04-01
[30]
서적
Webster's New World Medical Dictionary
Houghton Mifflin Harcourt
[31]
서적
Webster's New World Medical Dictionary
Houghton Mifflin Harcourt
[32]
논문
Granulocytes as modulators of dendritic cell function
2017-10-01
[33]
서적
Inflammation and Fever from Pathophysiology: Principles of Disease
http://nic.sav.sk/lo[...]
Academic Electronic Press
[34]
문서
Abbas, Chapter 12, 5th Edition
[35]
문서
Hoffbrand p. 331
[36]
서적
Sompayrac
[37]
저널
Passive deformability of mature, immature, and active neutrophils in healthy and septicemic neonates
1998-12-01
[38]
저널
Intravascular immunity: the host-pathogen encounter in blood vessels
2009-05-01
[39]
서적
Robinson and Ernst
[40]
서적
Paoletti
[41]
저널
Neutrophil secretion products regulate anti-bacterial activity in monocytes and macrophages
2008-01-01
[42]
저널
Neutrophil primary granule proteins HBP and HNP1-3 boost bacterial phagocytosis by human and murine macrophages
2008-10-01
[43]
저널
Platelet TLR4 activates neutrophil extracellular traps to ensnare bacteria in septic blood
2007-04-01
[44]
웹사이트
Segmented Eosinophil
http://www.hsc.virgi[...]
University of Virginia Health System
2009-04-10
[45]
웹사이트
Immunology — Chapter One: Innate (non-specific) Immunity
http://pathmicro.med[...]
USC School of Medicine
2008-11-12
[46]
서적
Medical Microbiology (4th edition)
https://www.ncbi.nlm[...]
The University of Texas Medical Branch at Galveston
[47]
서적
Advances in Immunology Volume 39
[48]
서적
Campbell
[49]
저널
Immunoregulatory roles of eosinophils: a new look at a familiar cell
2008-08-01
[50]
저널
The eosinophil: the cell and its weapons, the cytokines, its locations
2006-04-01
[51]
웹사이트
Mature Basophil
http://www.hsc.virgi[...]
University of Virginia Health System
2009-04-10
[52]
저널
Mast cells: a cellular link between autoantibodies and inflammatory arthritis
2002-09-01
[53]
저널
Mast cells in meningiomas and brain inflammation
2015-09-01
[54]
저널
Granulocyte transfusions for preventing infections in people with neutropenia or neutrophil dysfunction
2015-06-01
[55]
저널
Granulocyte transfusions for treating infections in people with neutropenia or neutrophil dysfunction
2016-04-01
[56]
웹사이트
Granulocyte
https://www.kmle.co.[...]
대한의협 의학용어 사전
[57]
웹인용
Definition of Granulocyte
http://www.emedicine[...]
2012-03-19
[58]
웹인용
Definition of Neutrophil
http://www.emedicine[...]
2012-03-19
[59]
서적
Inflammation and Fever from Pathophysiology: Principles of Disease
http://nic.sav.sk/lo[...]
Academic Electronic Press
[60]
서적
Essential Haematology
Blackwell Science
[61]
서적
Abbas
[62]
서적
How the Immune System Works
https://archive.org/[...]
Blackwell Publishing
[63]
저널
Passive deformability of mature, immature, and active neutrophils in healthy and septicemic neonates
http://meta.wkhealth[...]
1998-12-01
[64]
저널
Intravascular immunity: the host–pathogen encounter in blood vessels
Nature Publishing Group
[65]
서적
Phagocyte Function -A guide for research and clinical evaluation
Wiley–Liss
[66]
서적
Phagocytosis of Bacteria and Bacterial Pathogenicity
http://www.cambridge[...]
Cambridge University Press
[67]
서적
Phagocytes: Biology, Physiology, Pathology, and Pharmacotherapeutics
The New York Academy of Sciences
[68]
저널
Neutrophil secretion products regulate anti-bacterial activity in monocytes and macrophages
http://www3.intersci[...]
2008-01-01
[69]
저널
Neutrophil primary granule proteins HBP and HNP1-3 boost bacterial phagocytosis by human and murine macrophages
2008-10-01
[70]
저널
Platelet Toll-Like Receptor-4 Activates Neutrophil Extracellular Traps to Ensnare Bacteria in Endotoxemic and Septic Blood
http://www.nature.co[...]
Nature Publishing Group
2007-04-01
[71]
웹인용
Segmented Eosinophil
http://www.hsc.virgi[...]
University of Virginia Health System
2009-04-10
[72]
웹인용
Immunology — Chapter One: Innate (non-specific) Immunity
http://pathmicro.med[...]
USC School of Medicine
2008-11-12
[73]
서적
Medical Microbiology
http://www.ncbi.nlm.[...]
The University of Texas Medical Branch at Galveston
[74]
저널
The eosinophilic leukocyte: structure and function
[75]
서적
Biology
Pearson Education
[76]
저널
Immunoregulatory roles of eosinophils: a new look at a familiar cell
2008-08-00
[77]
저널
The eosinophil: the cell and its weapons, the cytokines, its locations
2006-04-00
[78]
웹인용
Mature Basophil
http://www.hsc.virgi[...]
University of Virginia Health System
2009-04-10
[79]
문서
어원적으로는 과립구가 전혀 없는 것을 의미하지만, 임상적으로는 과립구 비율이 정상의 5% 이하인 경우를 말한다.
본 사이트는 AI가 위키백과와 뉴스 기사,정부 간행물,학술 논문등을 바탕으로 정보를 가공하여 제공하는 백과사전형 서비스입니다.
모든 문서는 AI에 의해 자동 생성되며, CC BY-SA 4.0 라이선스에 따라 이용할 수 있습니다.
하지만, 위키백과나 뉴스 기사 자체에 오류, 부정확한 정보, 또는 가짜 뉴스가 포함될 수 있으며, AI는 이러한 내용을 완벽하게 걸러내지 못할 수 있습니다.
따라서 제공되는 정보에 일부 오류나 편향이 있을 수 있으므로, 중요한 정보는 반드시 다른 출처를 통해 교차 검증하시기 바랍니다.
문의하기 : help@durumis.com