맨위로가기

게오르요스 파파니콜라우

"오늘의AI위키"는 AI 기술로 일관성 있고 체계적인 최신 지식을 제공하는 혁신 플랫폼입니다.
"오늘의AI위키"의 AI를 통해 더욱 풍부하고 폭넓은 지식 경험을 누리세요.

1. 개요

게오르요스 파파니콜라우는 그리스 출신의 의학자로, 자궁암 진단에 널리 사용되는 팹 테스트(Pap test)를 개발하여 자궁경부암 사망률 감소에 기여했다. 그는 아테네 대학교에서 의학 학위를, 독일에서 박사 학위를 취득한 후 미국으로 이주하여 코넬 대학교 등에서 연구를 수행했다. 1928년 자궁암 진단 가능성을 처음 발표했으나 주목받지 못하다가, 1943년 허버트 프레더릭 트로트와 공동으로 발표한 논문을 통해 팹 테스트를 널리 알렸다. 파파니콜라우는 래스커-드베이키 임상 의학 연구상을 수상했으며, 마이애미 대학교에 암 연구소 설립을 추진했지만 완공 전에 사망했다. 그의 업적을 기리기 위해 파파니콜라우 상이 제정되었고, 그리스 드라크마 지폐에 초상화가 사용되기도 했다.

2. 생애

게오르요스 파파니콜라우는 그리스 에비아 키미 출신이다. 1904년 아테네 대학교에서 의학 학사 학위를 취득하고, 독일 예나 대학교, 프라이부르크 대학교에서 유학했다. 1910년 뮌헨 대학교에서 의학 박사 학위를 받았다. 1913년 미국으로 건너가 뉴욕 병원 병리학과 조교, 코넬 대학교 해부학과 조교로 근무했다.[1]

1928년 자궁경부암을 진단할 수 있는 질 세포진 검사법을 발표했지만, 처음에는 널리 알려지지 않았다. 1943년 산부인과 의사 허버트 프레더릭 트로트와 함께 《질 세포진 검사를 통한 자궁암 진단》이라는 논문을 발표하면서, '팹 테스트(Pap test)'로 알려진 그의 진단법이 널리 퍼지게 되었다. 이 방법은 현재까지도 자궁암 진단에 널리 쓰인다.[7]

1950년 래스커-드베이키 임상 의학 연구상을 받았다. 1961년 미국 플로리다주 마이애미로 이주하여 마이애미 대학교에 파파니콜라우 암 연구소 설립을 추진했지만, 1962년 2월 19일 연구소 완공 전에 사망했다. 1995년부터 2001년까지 발행된 그리스의 10,000 드라크마 지폐에는 그의 초상화가 그려져 있었다.

2. 1. 초기 생애 및 교육

그리스 에비아 키미 출신이다.[1] 1883년 5월 13일에 태어났다. 아테네 대학교에서 의학 학사 학위를 취득하고 1904년에 졸업했다.[1] 이후 독일 예나 대학교, 프라이부르크 대학교에서 유학했다.[1] 1910년 뮌헨 대학교에서 의학 박사 학위를 취득했다.[1]

2. 2. 미국 이주 및 연구 활동

1913년 미국으로 이주하여 뉴욕 병원 병리학과 조교, 코넬 대학교 해부학과 조교로 근무했다.[7] 코넬 대학교에서 기니피그의 발정 주기를 연구하여 질 도말 세포 검사의 기초를 마련하였다.

1928년 질 세포진 검사를 통해 자궁암 진단이 가능하다는 논문을 발표했지만 당시에는 세상에 거의 알려지지 않았다.[7] 1943년 산부인과 의사 허버트 프레더릭 트로트(Herbert Frederick Traut, 1894년 ~ 1963년)와 공동으로 《질 세포진 검사를 통한 자궁암 진단》(Diagnosis of Uterine Cancer by the Vaginal Smear) 논문을 발표하여 팹 테스트(Pap test)로 명명된 자궁암 진단법을 널리 알렸다. 이 진단법은 현재도 자궁암 진단에 널리 사용되고 있다.

2. 3. 파파니콜라우 암 연구소

1961년 미국 플로리다주 마이애미로 이주하여 마이애미 대학교에 파파니콜라우 암 연구소(Papanicolaou Cancer Research Institute) 설립을 추진했지만, 1962년 2월 19일 연구소 완공 전에 심근 경색으로 사망했다. 그의 아내 안드로마키 파파니콜라우는 남편이 사망한 후 파파니콜라우 암 연구소에서 그의 연구를 이어갔으며, 1982년 10월 13일 마이애미에서 사망했다.

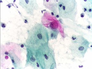
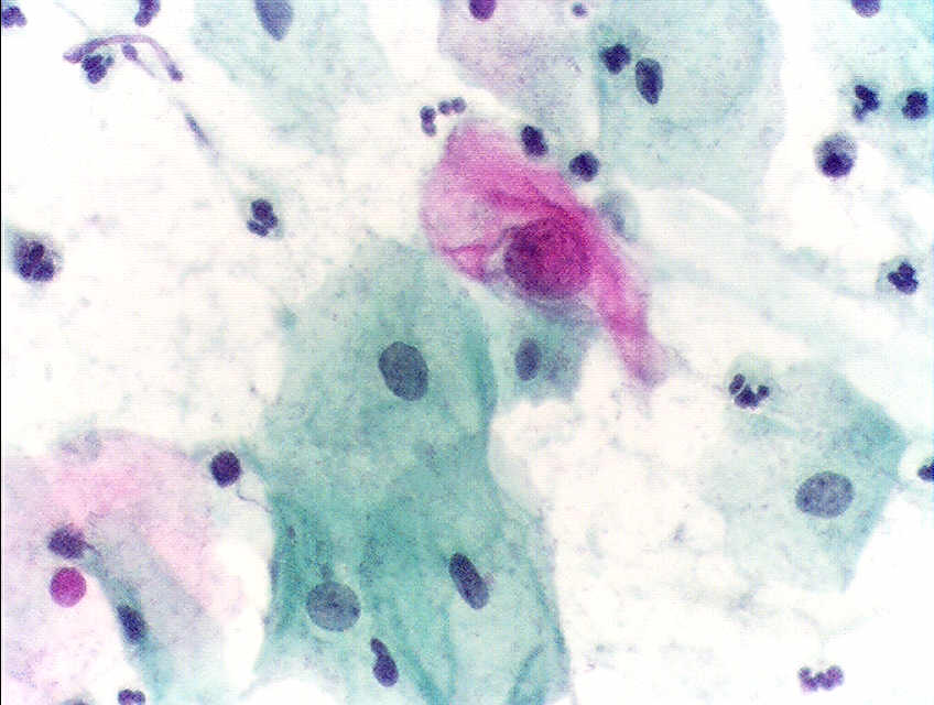
3. 파파니콜라우 검사 (Pap smear)

1928년 게오르요스 파파니콜라우는 자궁과 자궁 내막에 서식하는 질 세포진 검사를 통해 자궁암 진단이 가능하다는 논문을 발표했지만 당시에는 세상에 거의 알려지지 않았다.[1] 그러나 1943년 산부인과 의사 허버트 프레더릭 트로트와 공동으로 발표한 논문 《질 세포진 검사를 통한 자궁암 진단》을 통해 세상에 널리 알려지게 되었다. 그가 제시한 자궁암 진단 방법은 '''파파니콜라우 검사'''(Pap test, 팹 테스트)로 명명되었으며, 현재는 자궁암 진단에 널리 사용되고 있다.

비정상적인 자궁경부 세포 검사


파파니콜라우 검사는 질경을 통해 여성의 질 내부를 관찰하여 질과 자궁경부에서 세포를 채취하여 유리 슬라이드에 도말, 현미경으로 관찰하여 자궁경부암 및 기타 세포학적 질병을 진단하는 방법이다.[1] 이 검사를 통해 암세포 및 전암세포를 조기에 발견할 수 있다.

파파니콜라우는 1913년 미국으로 이주한 뒤 코넬 대학교 해부학과 조교로 근무하면서 기니피그발정 주기와 관련된 조직학생리학적 변화를 연구했다.[7][16] 1917년 찰스 R. 스톡카드와 함께 기니피그에서 발정 주기 동안 생식 기관에서 발생하는 조직학적 주기 변화가 질 점막에서도 발생하며, 질 도말의 세포학적 검사를 통해 감지할 수 있음을 입증했다.[17] 이 기술은 ''파파니콜라우 기법''으로 불리며, 난소 호르몬의 발견도 촉진했다.[17]

이후 인간 생식 시스템을 연구하면서, 그의 아내 메리는 무급 연구원으로서 매일 질 샘플을 제공하며 연구에 참여했다.[18] 1920년 파파니콜라우는 슬라이드에 도말된 세포를 현미경으로 관찰하여 자궁 경부의 정상 세포와 악성 세포를 구별할 수 있음을 깨달았다.[16] 1925년부터는 병원 직원 자원봉사자와 임산부 등을 대상으로 자궁 경부 세포 형태에 대한 체계적인 연구를 시작했다.[19] 이 과정에서 참가자 중 한 명의 질 분비물 도말 슬라이드를 검사하던 중 비정상적인 암세포를 발견했다.[19]

1928년 미시간주 배틀 크릭에서 열린 의학 회의에서 파파니콜라우는 자궁경부암의 조기 진단을 위한 저렴하고 쉬운 선별 검사를 소개했지만, 의료계의 회의와 반대에 직면했다.[20] 1941년 부인과 의사 허버트 트라우트와 함께 자궁암의 질 도말 진단 가치에 대한 논문을 발표하고,[20] 2년 후 3,000건 이상의 사례를 기반으로 한 삽화가 있는 모노그래프를 출판했다.[21] 1954년에는 ''박리 세포학 아틀라스''를 출판하여 현대 세포 병리학의 기초를 닦았다.[21]

3. 1. 파파니콜라우 염색

1928년, 게오르요스 파파니콜라우는 질 분비물 검사를 통해 자궁경부암 진단이 가능하다는 것을 제시했지만, 1943년에 그와 부인과 의사 허버트 트라우트의 공저로 『질 도말 검사에 의한 자궁암 진단』이 출판되기 전까지는 일반에 거의 알려지지 않았다. 이 검사 방법은 '''파파니콜라우 검사'''('''Pap'''anikolaou '''test''')로 불리며, 현재도 자궁암 진단에 사용되고 있다. 또한, 이 당시에 개발된 염색 방법을 '''파파니콜라우 염색'''이라 하며, 이는 이후 병리 진단 기술 발전에 크게 공헌했다.[1]

4. 논란

아우렐 바베스는 루마니아의 의사로, 자궁경부암의 세포학적 진단과 관련하여 게오르요스 파파니콜라우와 유사한 발견을 했다.[23] 바베스는 백금 루프를 사용하여 여성의 자궁 경부에서 세포를 채취하고, 이를 슬라이드에 건조시킨 후 염색하면 암세포의 존재 여부를 확인할 수 있다는 것을 발견했다. 이는 자궁경부암 및 자궁암 진단을 위한 최초의 선별 검사였다. 바베스는 1927년 1월 23일 부쿠레슈티에서 루마니아 산부인과 학회에 자신의 연구 결과를 발표했고, 1928년 4월 11일 프랑스 의학 저널인 ''라 프레스 메디칼''에 게재되었다.[24] 그러나 파파니콜라우는 바베스의 연구를 알지 못했던 것으로 보인다.[25][26]

최근의 과학 논문들은 바베스의 방법과 파파니콜라우의 방법이 어떻게 다른지 분석하며, 파파 검사의 창시권은 전적으로 파파니콜라우에게 속한다고 지적한다.[29][30][31] 바베스의 질 도말 검사 기술은 파파니콜라우의 기술과 실질적으로 달랐으며, 자궁경부암에 대한 대규모 선별 검사에 적합하지 않았을 것이라고 한다.[28]

일부 학자들은 바베스를 자궁경부암 세포학적 진단의 선구자로 보기도 하지만,[23] 주류 학계에서는 파파니콜라우를 이 분야의 선구자로 널리 인정하고 있다.[25][32][33] 루마니아에서는 자궁경부 검사를 두 과학자를 기리기 위해 ''Méthode Babeș-Papanicolaou'' (메토데 바베슈-파파니콜라우)라고 부른다.[34]

5. 수상 및 영예

1950년 래스커-드베이키 임상 의학 연구상을 수상했고,[8][36][44] 1956년에는 파사노상을 수상했다.

1995년부터 2001년까지 발행된 그리스의 10,000 드라크마 지폐에 그의 초상화가 사용되었다.[40]

미국 세포병리학회는 파파니콜라우를 기려 "파파니콜라우 상"을 제정하여 매년 수여하고 있다.[39]

1978년 미국 우정청은 초기 암 진단을 위한 13센트 기념 우표에 그의 업적을 기렸다.[16]

6. 평가

게오르요스 파파니콜라우는 자궁경부암 조기 진단법(파파니콜라우 검사, 팹 테스트)을 개발하여 여성 건강 증진에 획기적인 공헌을 한 인물로 평가받는다. 그의 검사법은 자궁암 진단에 널리 사용되고 있으며, 그가 개발한 파파니콜라우 염색 방법은 병리 진단 기술 발전에 크게 공헌했다. 이러한 업적은 의학, 특히 세포병리학 분야에 큰 영향을 미쳤으며, 오늘날에도 전 세계적으로 수많은 여성들의 생명을 구하고 있다.

1950년에는 래스커-드베이키 임상 의학 연구상을 수상했으며, 1995년부터 2001년까지 발행된 그리스의 10,000 드라크마 지폐에 그의 초상화가 그려지기도 했다.

참조

[1] 웹사이트 George Nicholas Papanicolaou 1883-1962 https://www.healio.c[...] 2008-02-25
[2] 논문 George N. Papanicolaou, MD, PhD: Cytopathology 2009-04-01
[3] 논문 The history of the Papanicolaou smear and the odyssey of George and Andromache Papanicolaou 1998-03
[4] 논문 Lady Andromache (Mary) Papanicolaou: The Soul of Gynecological Cytopathology https://www.scienced[...] 2020-06-10
[5] 웹사이트 Medical History: Mrs. Papanicolaou http://medicalhistor[...] 2019-09-07
[6] 서적 Georgios Papanikolaou, History of Medicine of the 20th Century, Greek Pioneers Zeta Publishers 2000
[7] 서적 Discoveries in Pharmacological Sciences https://books.google[...] World Scientific 2012
[8] 간행물 From Hippocrates to George N. Papanicolaou: A medical journey in time https://www.mednet.g[...] 2015
[9] 웹사이트 Βιογραφικό του Γεωργίου Παπανικολάου https://gpapanikolao[...] 2023-01-01
[10] 웹사이트 The Pap Corps' History https://thepapcorps.[...]
[11] 웹사이트 Director's report https://worldcat.org[...] Worldcat.org 2019-05-13
[12] 웹사이트 Sylvester Comprehensive Cancer Center https://umiamihealth[...]
[13] 뉴스 Famed Cancer Researcher Dies https://www.newspape[...] 2015-01-22
[14] 뉴스 Famed 'Dr. Pap' Taken by Death https://www.newspape[...] 2015-01-22
[15] 논문 George Papanicolaou (1883–1962): Discoverer of the Pap smear http://www.smj.org.s[...] 2015
[16] 서적 Medical Tests in Context: Innovations and Insights https://books.google[...] ABC-CLIO 2019
[17] 서적 Gynecologic Endocrinology https://books.google[...] Springer Science & Business Media 2013-11-11
[18] 뉴스 Every day for 21 years, Mary got a vaginal test. Her 'generosity' helped save 'millions of lives' https://www.abc.net.[...] 2023-07-07
[19] 서적 From Anesthesia to X-Rays: Innovations and Discoveries That Changed Medicine Forever: Innovations That Changed Medicine Forever https://books.google[...] ABC-CLIO 2016
[20] 논문 The diagnostic value of vaginal smears in carcinoma of the uterus 1941
[21] 논문 George Papanicolaou (1883–1962): Discoverer of the Pap Smear 2018
[22] 논문 50 Years After The Death Of George Nicholas Papanicolaou (1883-1962): Evaluation Of His Scientific Work https://hrcak.srce.h[...] 2014
[23] 서적 The History of Obstetrics & Gynaecology Parthenon Publishing Group 1994
[24] 논문 Diagnostic du cancer du col utérin par les frottis 1928
[25] 논문 History of cytodiagnosis. 1977-12-01
[26] 논문 The Papanicolaou Test for Cervical Cancer Detection: A Triumph and a Tragedy http://jama.jamanetw[...] 1989
[27] 서적 Cytopathology of the Uterus https://books.google[...] ASCP Press 1997
[28] 서적 CHAPTER 1 - Cytopathology: the history, the present and the future direction https://www.scienced[...] Churchill Livingstone 2023-01-01
[29] 논문 What's in a name? Evidence that Papanicolaou, not Babes, deserves credit for the PAP test https://onlinelibrar[...] 2009
[30] 논문 Different strokes: Pap-test and Babes method are not one and the same https://pubmed.ncbi.[...] 2010
[31] 서적 Gynecologic and Obstetric Pathology, Volume 2 Springer 2019
[32] 논문 Cytodiagnosis in cervical neoplasia: from the Babes/Papanicolaou smear to the actual Bethesda System https://pubmed.ncbi.[...] 2003
[33] 서적 Early Detection: Women, Cancer, and Awareness Campaigns in the Twentieth-Century United States https://books.google[...] University of North Carolina Press 2006
[34] 논문 Cytopathology History: In Romania it's the Méthode Babeș-Papanicolaou https://www.karger.c[...] 2019-05-13
[35] 논문 Concurrent discoveries of the value of vaginal smears for diagnosis of uterine cancer https://onlinelibrar[...] 1985
[36] 웹사이트 Albert Lasker Clinical Medical Research Award – 1950 Winners http://www.laskerfou[...] laskerfoundation.org 2009-05-19
[37] 웹사이트 Awards https://www.dr-pap.c[...] 2023-01-01
[38] 서적 Greeks Around the World https://books.google[...] Apopsē Cultural Centre 1999
[39] 웹사이트 Papanicolaou Award https://cytopatholog[...]
[40] 웹사이트 Bank of Greece http://www.bankofgre[...]
[41] 웹사이트 Georgios Papanikolaou's 136th Birthday https://doodles.goog[...] 2019-05-13
[42] 뉴스 "American Experience': 'The Cancer Detectives'" https://www.kpbs.org[...] KPBS.org 2024-02-27
[43] 웹사이트 Banknote catalog : Banknote ‹ 10,000 Drachmai http://colnect.com/e[...] colnect 2010-01-16
[44] 웹사이트 1950 Albert Lasker Clinical Medical Research Award http://www.laskerfou[...] Lasker Foundation 2010-01-16



본 사이트는 AI가 위키백과와 뉴스 기사,정부 간행물,학술 논문등을 바탕으로 정보를 가공하여 제공하는 백과사전형 서비스입니다.
모든 문서는 AI에 의해 자동 생성되며, CC BY-SA 4.0 라이선스에 따라 이용할 수 있습니다.
하지만, 위키백과나 뉴스 기사 자체에 오류, 부정확한 정보, 또는 가짜 뉴스가 포함될 수 있으며, AI는 이러한 내용을 완벽하게 걸러내지 못할 수 있습니다.
따라서 제공되는 정보에 일부 오류나 편향이 있을 수 있으므로, 중요한 정보는 반드시 다른 출처를 통해 교차 검증하시기 바랍니다.

문의하기 : help@durumis.com