맨위로가기

공격성 섬유종증

"오늘의AI위키"는 AI 기술로 일관성 있고 체계적인 최신 지식을 제공하는 혁신 플랫폼입니다.
"오늘의AI위키"의 AI를 통해 더욱 풍부하고 폭넓은 지식 경험을 누리세요.

1. 개요

공격성 섬유종증은 드물게 발생하는 연부 조직 종양으로, 섬유모세포에서 기원하며 공격적인 성장과 국소적 침윤을 특징으로 한다. 이 종양은 복부 외, 복벽, 복강 내 등 신체의 거의 모든 부위에서 발생할 수 있으며, 특히 가족성 선종성 용종증(FAP) 환자에게서 더 흔하게 나타난다. 원인으로는 Wnt 신호 전달 경로의 변이가 유력하며, CTNNB1 유전자 및 APC 유전자 돌연변이가 관련되어 있다. 진단은 생검을 통해 이루어지며, 섬유아 세포 육종 등 다른 질환과의 감별이 중요하다. 치료는 관찰, 수술, 방사선 치료, 약물 치료 등 다양한 방법이 사용되며, 최근에는 Nirogacestat과 같은 새로운 약물 개발 및 임상 시험이 진행되고 있다. 공격성 섬유종증은 예측하기 어려운 경과를 보이며, 재발률이 높고, 환자의 삶의 질에 큰 영향을 미칠 수 있다.

더 읽어볼만한 페이지

  • 결합조직 및 연조직의 신생물 - 중피종
    중피종은 석면 노출이 주요 원인이며 20~50년의 잠복기를 거쳐 흉막, 복막 등에서 발생하는 악성 종양으로, 진단은 영상 검사 등을 통해 이루어지고 수술, 항암 치료 등을 병행하며 예후는 좋지 않다.
  • 결합조직 및 연조직의 신생물 - 카포시육종
    카포시육종은 카포시육종 관련 헤르페스 바이러스 감염에 의한 혈관내피세포 암으로, 피부와 다양한 장기에 붉은색, 자주색, 갈색 또는 검은색의 결절이나 반점 형태의 병변을 유발하며, 임상적으로 여러 유형으로 분류되고, 생검 및 현미경 검사로 진단하며, 국소적 또는 전신적 치료, AIDS 관련형의 경우 고활성 항레트로바이러스 치료를 시행한다.
  • 희귀질환 - 쇼그렌 증후군
    쇼그렌 증후군은 자가면역 반응으로 발생하는 만성 염증성 질환으로, 침샘과 눈물샘 등에서 분비물 감소를 유발하여 건성안, 구강건조증 등 다양한 증상을 나타낸다.
  • 희귀질환 - 헌팅턴병
    헌팅턴병은 헌팅턴 유전자 내 CAG 삼염기 반복 서열의 이상으로 인해 발생하는 진행성 신경퇴행성 질환으로, 운동, 인지, 정신 기능에 다양한 증상을 유발하며, 상염색체 우성 유전 방식으로 유전된다.
공격성 섬유종증
개요
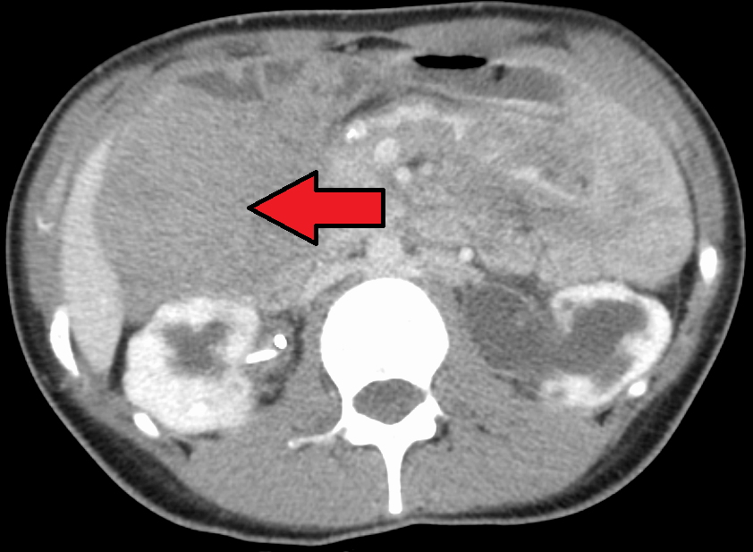
CT 스캔에서 보이는 데스모이드 종양
원인 및 위험 요인
원인CTNNB1APC 유전자 돌연변이, 가족성 용종증, 에스트로겐 수치, 임신, 물리적 외상 또는 수술

2. 분류

데스모이드 종양은 복강외, 복부, 복강내(FAP 환자에게 더욱 일반적)로 분류된다. 병변은 에스트로겐 수치 또는 외상이나 수술과 관련되어 있다고 생각된다.[61]

3' ''APC'' 변이는 FAP환자들 중에서 복강내 데스모이드 생성에 가장 중요한 위험 인자이다.[61] 수술전 복벽 데스모이드 소견을 가진 FAP환자들은 수술후 복강내 데스모이드가 생길 높은 위험에 처해있다.[62]

가슴 부분의 데스모이드 종양은 드물다. 신체검사, 유방조영술, 흉부 초음파에서 유방암처럼 보일 수 있다. 국소적으로 침습성일 수 있다. 산발적으로 발생함에도 불구하고, 가드너 증후군의 일부로 볼 수도 있다. 유방암으로 가장한 데스모이드 종양과 같은 희소성 병변 발견을 위해서는 높은 수준의 의심과 철저한 3자 검사 프로토콜이 필요하다. 특히 영상 진단이 활실하지 않고, 더욱 나쁜 진단을 제안하는 경우에 흉부 데스모이드 종양은 진단이 어렵다.[63]

섬유종증


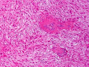
섬유종증, H&E 염색. 평범한 섬유모세포가 다발로 인접 조직에 침투합니다. 유사분열은 드물 수 있습니다.


섬유종은 신체의 거의 모든 곳에서 발생할 수 있다.[18] 이들은 복부 외, 복벽, 또는 복강 내로 분류되며, 마지막은 가족성 선종성 용종증(FAP) 환자에게서 더 흔하게 나타난다.[24] 대부분의 경우 장간막, 복벽 및 사지에서 발생한다.[25] 한 연구에 따르면 복부 외 종양이 사례의 43%, 복부 종양이 49%, 장간막 종양이 8%를 차지하지만 통계는 다릅니다.[26] 임신 관련 종양은 일반적으로 복벽에서 발생한다.[27] 중요 구조물과의 근접성 때문에 복강 내 또는 머리와 목에 위치한 종양은 사망 위험이 가장 높다.[19]

한 분석에 따르면 종양의 중앙 크기는 7.5cm이다.[18] 전이는 발생할 수 없지만, 종양은 어떤 경우에는 다발성으로, 같은 신체 부위에 여러 개가 위치할 수 있다.[43]

3' ''APC'' 돌연변이는 FAP 환자들 사이에서 복강 내 섬유종 발생의 가장 중요한 위험 요인이다.[28] 수술 전에 복벽 섬유종이 나타난 FAP 환자는 수술 후 복강 내 섬유종이 발생할 위험이 증가한다.[29]

유방의 섬유종은 드물며, 복부 외 사례의 4%와 유방 종양의 0.2~0.3%를 차지한다.[25][23] 양성이지만, 신체 검사, 유방 조영술 및 유방 초음파에서 유방암을 모방할 수 있으며 국소적으로 침윤성이 있을 수도 있다. 산발적으로 발생하지만, 가드너 증후군의 일부로도 나타날 수 있다. 일부 사례(최대 44%)는 이전에 유방 수술을 받은 환자에게서 발생한다.[30] 섬유종과 같이 유방암으로 위장할 수 있는 드문 병변을 감지하려면 높은 의심 지수와 철저한 삼중 검사 프로토콜이 필요하다. 유방의 섬유종은 특히 영상 검사가 결론적이지 않고 더 불길한 진단을 시사하는 경우 진단에 어려움을 겪을 수 있다.[31] 흉벽이나 유방 자체에서 발생할 수 있다.[26][23]

2. 1. 유방 데스모이드 종양

섬유종은 신체의 거의 모든 곳에서 발생할 수 있다.[18] 복부 외, 복벽, 또는 복강 내로 분류되며, 복강 내 섬유종은 가족성 선종성 용종증(FAP) 환자에게서 더 흔하게 나타난다.[24] 대부분의 경우 장간막, 복벽 및 사지에서 발생한다.[25] 임신 관련 종양은 일반적으로 복벽에서 발생한다.[27] 중요 구조물과의 근접성 때문에 복강 내 또는 머리와 목에 위치한 종양은 사망 위험이 가장 높다.[19]

종양의 중앙 크기는 7.5cm이다.[18] 전이는 발생할 수 없지만, 종양은 어떤 경우에는 다발성으로, 같은 신체 부위에 여러 개가 위치할 수 있다.[43]

3' ''APC'' 돌연변이는 FAP 환자들 사이에서 복강 내 섬유종 발생의 가장 중요한 위험 요인이다.[28] 수술 전에 복벽 섬유종이 나타난 FAP 환자는 수술 후 복강 내 섬유종이 발생할 위험이 증가한다.[29]

유방의 섬유종은 드물며, 복부 외 사례의 4%와 유방 종양의 0.2~0.3%를 차지한다.[25][23] 양성이지만, 신체 검사, 유방 조영술 및 유방 초음파에서 유방암을 모방할 수 있으며 국소적으로 침윤성이 있을 수도 있다. 산발적으로 발생하지만, 가드너 증후군의 일부로도 나타날 수 있다. 일부 사례(최대 44%)는 이전에 유방 수술을 받은 환자에게서 발생한다.[30] 섬유종과 같이 유방암으로 위장할 수 있는 드문 병변을 감지하려면 높은 의심 지수와 철저한 삼중 검사 프로토콜이 필요하다. 유방의 섬유종은 특히 영상 검사가 결론적이지 않고 더 불길한 진단을 시사하는 경우 진단에 어려움을 겪을 수 있다.[31] 흉벽이나 유방 자체에서 발생할 수 있다.[26][23]

3. 원인 및 위험 요인

Wnt 신호 전달 경로의 변화가 공격성 섬유종증 형성의 원인일 가능성이 높다.[11] Wnt 경로에 영향을 미치는 베타-카테닌을 암호화하는 ''CTNNB1'' 유전자와 종양 억제 ''APC'' 유전자 모두에서 돌연변이가 발견되었다. 이러한 돌연변이가 없는 공격성 섬유종증에 대한 2015년 연구에 따르면 거의 모두(95%) "Wnt/β-카테닌 경로에 영향을 미치는 돌연변이를 가질 수 있으며, 이는 공격성 섬유종증과 Wnt 신호 전달 사이의 거의 보편적인 관계를 시사한다."[11]

대부분의 사례는 산발적이며, 이 중 85%가 ''CTNNB1'' 돌연변이와 관련이 있다.[12] 확인된 세 가지 뚜렷한 돌연변이는 41A, 45F 및 45이다. 45F 돌연변이는 재발의 높은 위험과 관련이 있다.[1] ''APC'' 돌연변이는 가족성 선종성 용종증(FAP) 환자에게 영향을 미치며 산발적 사례의 10~15%를 차지한다.[12]

이 질병은 임신 중 및 임신 후, 그리고 높은 에스트로겐 수치에 노출되었을 때 발생 경향이 있어 호르몬과의 연관성을 시사한다.[13] 한 연구에 따르면 기니피그가 장기간 에스트로겐에 노출된 후 공격성 섬유종증이 형성되었다.[26] 다른 요인으로는 외상과 수술이 있다.[11]

가족성 선종성 용종증(FAP) 환자에서 공격성 섬유종증 질환의 위험 요인으로는 여성, 3' ''APC'' 돌연변이, 긍정적인 가족력, 이전 복부 수술 병력 등이 있다.[14]

4. 진단

생검은 종양의 특성을 결정하는 결정적인 방법으로 항상 필요하다.[1] 진단은 개방 생검보다 중심 침 생검을 사용하기 때문에 부분적으로 어려울 수 있다.[20]

단순한 방추 세포 병변 사이의 유사성으로 인해 섬유아 세포 육종, 가드너 섬유종, 흉터 조직 또는 켈로이드, 표면 섬유종증, 결절성 근막염, 근섬유종, 콜라겐 섬유종, 위장관 기질 종양, 고립성 섬유 종양, 엽상 종양 및 기타 질환을 포함한 광범위한 진단 가능성이 있다. 따라서 이러한 질환은 또한 골연종양으로 잘못 진단될 수 있다(한 리뷰에서 29%의 사례).[21][13][22][23] 골연종양의 약 30~40%가 오진될 수 있다.[33]

4. 1. 감별 진단

생검은 종양의 특성을 결정하는 결정적인 방법으로 항상 필요하다.[1] 진단은 개방 생검보다 중심 침 생검을 사용하기 때문에 부분적으로 어려울 수 있다.[20]

단순한 방추 세포 병변 사이의 유사성으로 인해 섬유아 세포 육종, 가드너 섬유종, 흉터 조직 또는 켈로이드, 표면 섬유종증, 결절성 근막염, 근섬유종, 콜라겐 섬유종, 위장관 기질 종양, 고립성 섬유 종양, 엽상 종양 및 기타 질환을 포함한 광범위한 진단 가능성이 있다. 따라서 이러한 질환은 또한 골연종양으로 잘못 진단될 수 있다(한 리뷰에서 29%의 사례).[21][13][22][23] 골연종양의 약 30~40%가 오진될 수 있다.[33]

5. 치료

치료는 관찰과 대기, 완전한 수술적 제거, 방사선 치료, 항에스트로겐제(예. 타목시펜), 비스테로이드성 항염증제NSAIDs, 항암주사화학 요법, 표적항암제(글리벡, 넥사바, 수텐) 또는 극초단파 제거술 등으로 구성될 수 있다.

데스모이드 종양을 가진 환자는 외과, 종양내과, 방사선과, 유전학과, 간호학과 등으로 다양하게 구성된 의료진의 통합진료가 필요하다. 아직까지 데스모이드 종양의 치료제는 없고, 임상 실험이 가능한 환자들은 임상 실험에 등록하는 것이 장려되기도 한다.[64]

생검은 종양의 성격을 결정하는 정교한 방법으로 항상 알려져있다. 이러한 병변의 관리는 복잡하며 FAP 관련 질환의 재발률이 높다는 것이 주된 문제이다. 반대로, FAP의 증거가 없는 복강 내 섬유종증의 경우, 국소 증상에 광범위한 수술이 여전히 필요할 수 있지만, 재발 위험은 낮아 보인다.[65] 뚜렷한 마진을 남기면서 넓게 광범위한 수술적 절제 방사선, 화학 요법, 호르몬 요법 등과 병행하는 명확한 마진을 가진 넓은 수술적 절제술은 재발 위험을 줄이기 위해 사용되는 가장 널리 시행되는 기술이다.[63]

현재 글리벡(Imatinib)과 넥사바(sorafenib)을 이용해서 데스모이드 종양을 치료하는 실험 연구가 진행되었고, 유망한 성공률을 보였다. 2020년 현재니로가세스타트 을 이용한 임상실험이 진행 중이다.[66][67] 본 종양의 치료를 주목적으로 임상실험이 진행되는 최초의 약제이다. 미국 FDA는 Nirogacestat의 1상, 2상 실험결과를 토대로 breakthrough designation로 승인하여 후속연구에 박차를 기하고 있다.[68]

니로가세스타트는 선택적 감마 분비 효소 효소 억제제로, 2023년 11월 미국에서 의료용으로 승인되었다.[35] 이는 미국 식품의약국(FDA)에서 섬유종 치료제로 승인한 첫 번째 약물이다.[35][36]

다른 선택적 감마 분비 효소 억제제인 AL102에 대한 2/3상 임상 시험도 2021년에 시작되어 현재 진행 중이다.[37] 이 약물은 2023년에 희귀의약품 지위를 받았다.[38]

Wnt 경로 억제제도 현재 개발 및 연구되고 있다. 여기에는 E7386, 테가비빈트 및 이파프리셉트가 포함된다.[39] 또한, 섬유종의 종양 미세 환경을 조사하여 치료를 위한 새로운 표적을 찾고 있다.[40]

수술은 2000년대 초반까지 섬유종의 표준 치료법이었다.[15][41] 이 질환의 예측 불가능성 때문에, 수술적 중재의 잠재적 영향으로 인해 관찰 대기와 같은 더 보수적인 관리가 이후 일반화되었다. 2010년대 현재, 유럽 암 연구 및 치료 기구 연조직 및 뼈 육종 그룹과 유럽 종양학회를 포함한 의료 단체에서 즉각적인 수술 절제는 더 이상 첫 번째 치료법이 아니라는 "명확한 합의"가 있다[15], 특히 무증상 환자의 경우이다.[11][25][15] 종양의 침윤성 특성과 덩굴손 같은 성장으로 인해 완전한 제거가 항상 가능한 것은 아니다.[13]

더 진행된 경우, 재발하는 경우 또는 빠르게 진행되는 경우에는 완전한 수술 절제, 방사선 치료, 항에스트로겐 (예: 타목시펜), 비스테로이드성 소염 진통제(NSAID), 화학 요법 (예: 메토트렉세이트빈블라스틴 또는 비노렐빈, 독소루비신), 또는 절제술 (냉동 절제, 열, 집속 초음파)이 치료법으로 사용될 수 있다. 경구 티로신 키나아제 억제제 약물 (예: 이마티닙, 소라페닙, 파조파닙, 수니티닙)으로 치료하면 유망한 성공률을 보인다.[42][43][44][39][45] 수술 후 방사선 치료는 결과를 개선할 수 있다.[13][45] 이 질환의 호르몬적 연관성에도 불구하고, 항호르몬 치료법은 소수의 환자에게만 효과가 있는 것으로 보인다.[13]

내장 이식은 장간막 근을 침범하거나 종양 또는 이전 중재로 인해 장 부전이 발생한 환자와 같이 복잡한 섬유종 환자를 위한 치료 옵션이다.[46]

MRI 또는 CT 스캔 영상 스캔은 일반적으로 모니터링에 사용된다.[47][1]

암과 대조적으로, 섬유종 치료는 섬유종 환자의 "생존 기간이 더 길고... 발병 연령이 암 환자 집단에 비해 일반적으로 더 젊기" 때문에 무진행 생존율 및 전체 생존율 외에 추가적인 결과를 고려한다.[17]

5. 1. 임상 시험

데스모이드 종양 환자는 외과, 종양내과, 방사선과, 유전학과, 간호학과 등으로 다양하게 구성된 의료진의 통합진료가 필요하며, 아직까지 데스모이드 종양의 치료제는 없고, 임상 실험이 가능한 환자들은 임상 실험에 등록하는 것이 장려되기도 한다.[64]

현재 글리벡(Imatinib)과 넥사바(sorafenib)을 이용해서 데스모이드 종양을 치료하는 실험 연구가 진행되었고, 유망한 성공률을 보였다. 2020년 현재 니로가세스타트를 이용한 임상실험이 진행 중이다.[66][67] 본 종양의 치료를 주목적으로 임상실험이 진행되는 최초의 약제이다. 미국 FDA는 Nirogacestat의 1상, 2상 실험결과를 토대로 breakthrough designation로 승인하여 후속연구에 박차를 기하고 있다.[68] 니로가세스타트는 선택적 감마 분비 효소 효소 억제제로, 2023년 11월 미국에서 의료용으로 승인되었다.[35] 이는 미국 식품의약국(FDA)에서 섬유종 치료제로 승인한 첫 번째 약물이다.[35][36]

다른 선택적 감마 분비 효소 억제제인 AL102에 대한 2/3상 임상 시험도 2021년에 시작되어 현재 진행 중이다.[37] 이 약물은 2023년에 희귀의약품 지위를 받았다.[38]

Wnt 경로 억제제도 개발 및 연구되고 있다. 여기에는 E7386, 테가비빈트 및 이파프리셉트가 포함된다.[39] 또한, 섬유종의 종양 미세 환경을 조사하여 치료를 위한 새로운 표적을 찾고 있다.[40]

6. 경과 및 예후

공격성 섬유종증은 변동이 심하고 예측하기 어려운 임상 경과가 특징이며,[15] 만성 질환으로 간주되는 경우가 많고,[11] 쇠약해질 가능성이 있다.[6] 하지만 사망은 드물다.[19][17] 종양은 성장, 퇴행 또는 안정 상태를 유지할 수 있다.[33]

치료 없이 해결되는 경우는 10~28%, 진행 및 해결은 30%, 안정 상태를 유지하는 경우는 50%, 급격한 진행은 10%이다.

이 병변의 관리는 복잡하며, 주요 문제는 특히 FAP(가족성 선종증) 관련 질환에서 재발률이 높다는 것이다. 일반적으로 재발률은 19~77%로 다양하다.[26] 반대로, FAP의 증거가 없는 복강 내 섬유종증의 경우, 국소 증상에 대해 광범위한 수술이 여전히 필요할 수 있지만 재발 위험은 더 낮은 것으로 보인다.[34]

7. 질병의 영향

공격성 섬유종증은 가임기 및 직장 여성에게 불균형적으로 큰 부담을 주며, 사망률은 낮지만 환자 연령이 젊어 수십 년 동안 지속되는 경향이 있다.[17]

증상은 종양의 위치와 주변 구조에 미치는 영향에 따라 다르다.[17] 공격성 섬유종증은 전이되지 않지만, 침습성으로 인해 통증, 기능 상실, 운동 제한을 유발할 수 있다. 만성 통증은 환자의 63%까지 겪으며, 쇠약하게 하고 진통제 의존으로 이어질 수 있다.[33][17] 주요 장기 압박이나 변형이 발생할 수 있고,[33][13] 드물게 종양 또는 치료로 인한 부상으로 절단이 필요할 수 있다.[17]

종양은 희귀성과 지식 부족으로 인해 오진될 수 있으며(30–40%),[33] 환자는 악성 육종과 같은 질환으로 오진되어 부적절한 치료나 좋지 않은 예후를 받을 수 있다.[49][48] 환자는 진단을 받기 위해 여러 의료 제공자를 방문해야 할 수 있으며, 이는 치료 지연으로 이어질 수 있다. 환자는 불안, 피로 또는 수면 장애를 겪을 수 있으며, 생존율이 증가했음에도 불구하고, 감정적 고통 수준은 암 환자와 비교될 정도이다.[33][48][17] 의료 제공자의 지식 부족과 환자 및 다른 사람들에게 제공되는 정보 부족 또한 문제로 지적되었다.[49]

치료의 경제적 부담은 상당할 수 있으며, 수술 비용은 2022년 미국 달러로 약 5만 달러로 추정된다.[41]

공격성 섬유종증 환자의 건강 관련 삶의 질 영향을 결정하기 위한 특정 도구인 Gounder/Desmoid Tumor Research Foundation (DTRF) Desmoid Symptom/Impact Scale (GODDESS)과 Desmoid-type fibromatosis Quality of Life Questionnaire (DTF-QOL)이 개발 및 검증되었다.[33]

8. 역학

공격성 섬유종증의 발병률은 연간 100만 명당 5~6명이며,[15] 이는 종양의 0.03%를 차지하고, 연부 조직 종양의 3% 미만을 차지한다. 주로 15세에서 60세 사이에서 발생하며, 30세에서 40세 사이에 가장 많이 발생한다. 남성보다 여성에게 2~3배 더 흔하게 발생한다.[1][16][17] 2012년 211명의 환자를 대상으로 한 여러 기관의 후향적 분석 결과, 중앙 연령은 36세였고 여성의 유병률은 68%였다.[18] 소아의 경우 성별에 따른 차이가 뚜렷하지 않으며, 15세 또는 16세 전후에 가장 흔하게 발생한다.[19]

9. 역사

이 질환은 1832년 존 맥팔레인에 의해 처음 기술되었다.[16][7] 1838년 요하네스 페터 뮐러가 사용한 ''데스모이드(Desmoid)''는 그리스어 데스모스/desmosgrc '밴드 또는 힘줄과 같은'에서 유래되었으며, 종양의 일관성을 묘사한다. 이 용어는 1880년대에 널리 받아들여졌다.[8] 그 후 수십 년 동안 게오르크 레더호제와 C. 파이퍼가 여러 사례를 수집하고 보고했으며, 1900년대 초까지 400건에 달했다.[8] 1923년 랄프 W. 니콜스는 가족성 선종성 폴립증(FAP)과 데스모이드 종양 사이의 상관관계를 처음으로 기술했다.[9] 아서 퍼디 스타우트는 1954년에 ''섬유종증''이라는 용어(''선천성 전신성 섬유종증''에서 근섬유종증을 설명하면서)를 만들었다.[10]

섬유종증의 절단면은 단단하고 흰색이며 소용돌이 모양을 보인다. 흰색 종양은 인접한 골격근(붉은 조직 – 왼쪽 하단)과 지방(노란 조직 – 왼쪽 상단)으로 침투한다. 이러한 인접한 정상 조직 및 구조로의 침윤 경향은 섬유종증이 수술적 제거 후에도 비교적 높은 국소 재발률을 보이는 이유이다.

10. 동물에서의 발생

개에서는 주로 머리에, 말과 고양이에서는 드물게 공격성 섬유종증이 발생한다.[55] 염소에서도 한 건의 사례가 관찰되었다.[56]

참조

[1] 서적 StatPearls StatPearls Publishing 2023-08-14
[2] 논문 Desmoid tumors in a dutch cohort of patients with familial adenomatous polyposis 2008-02-01
[3] 논문 The 2020 WHO Classification of Soft Tissue Tumours: news and perspectives 2021-04-01
[4] 문서 desmoid
[5] 논문 Surgery, desmoid tumors, and familial adenomatous polyposis: case report and literature review 1996-12-01
[6] 논문 Desmoid Tumors: A Review of Their Natural History, Imaging, and Treatment 2017-12-01
[7] 논문 Soft tissue sarcomas 2007-05-01
[8] 논문 Desmoid tumors: a report of thirty-one cases http://archsurg.jama[...] 1923-07-01
[9] 웹사이트 Gardner Syndrome: Practice Essentials, Anatomy, Pathophysiology https://emedicine.me[...] 2023-08-14
[10] 논문 Pediatric myofibromatosis of the head and neck 1999-01-01
[11] 논문 Intra-Abdominal and Abdominal Wall Desmoid Fibromatosis 2016-06-01
[12] 웹사이트 Desmoid tumor: MedlinePlus Genetics https://medlineplus.[...] 2023-08-14
[13] 논문 Desmoid tumors: clinical features and treatment options for advanced disease 2011-05-01
[14] 논문 Risk factors predicting desmoid occurrence in patients with familial adenomatous polyposis: a meta-analysis 2011-11-01
[15] 논문 An update on the management of sporadic desmoid-type fibromatosis: a European Consensus Initiative between Sarcoma PAtients EuroNet (SPAEN) and European Organization for Research and Treatment of Cancer (EORTC)/Soft Tissue and Bone Sarcoma Group (STBSG) 2017-10-01
[16] 웹사이트 Desmoid tumors: Epidemiology, molecular pathogenesis, clinical presentation, diagnosis, and local therapy https://www.uptodate[...] 2023-08-14
[17] 논문 Capturing Patient Voice to Improve Outcomes That Matter to Patients with Desmoid Tumor 2024-06-07
[18] 논문 Management and recurrence patterns of desmoids tumors: a multi-institutional analysis of 211 patients 2012-12-01
[19] 웹사이트 Desmoid Tumor - Statistics https://www.cancer.n[...] American Society of Clinical Oncology 2023-08-14
[20] 논문 CTNNB1 mutation analysis is a useful tool for the diagnosis of desmoid tumors: a study of 260 desmoid tumors and 191 potential morphologic mimics 2012-12-01
[21] 논문 Differential diagnostic considerations of desmoid-type fibromatosis 2015-07-01
[22] 웹사이트 Differential Diagnosis - Abdominal Desmoid Fibromatosis - Surgical Pathology Criteria https://surgpathcrit[...] 2023-08-19
[23] 논문 Diagnosis and Management of Desmoid Fibromatosis of the Breast 2024-06-01
[24] 웹사이트 Desmoid Tumor - Symptoms, Causes, Treatment https://rarediseases[...] 2023-05-07
[25] 논문 Desmoid Type Fibromatosis of the Breast: Ten-Year Institutional Results of Imaging, Histopathology, and Surgery 2021-02-01
[26] 서적 Enzinger and Weiss's Soft Tissue Tumors https://books.google[...] Elsevier Health Sciences 2023-08-14
[27] 웹사이트 Desmoid Tumor - Risk Factors https://www.cancer.n[...] American Society of Clinical Oncology 2023-08-19
[28] 논문 Risk factors predicting intra-abdominal desmoids in familial adenomatous polyposis: a single centre experience 2010-06-01
[29] 논문 Surgical prophylaxis in familial adenomatous polyposis: do pre-existing desmoids outside the abdominal cavity matter? 2010-09-01
[30] 논문 Breast Sarcomas, Phyllodes Tumors, and Desmoid Tumors: Epidemiology, Diagnosis, Staging, and Histology-Specific Management Considerations 2021-03-01
[31] 논문 Desmoid tumour of the breast as a manifestation of Gardner's syndrome
[32] 논문 A Spindle Cell Tumour that Took us for a Spin!: A Case Report and Short Review of Management of Head and Neck Desmoid Fibromatosis 2023-12-01
[33] 논문 Desmoid Tumors: A Comprehensive Review 2023-09-01
[34] 논문 Surgical resection for non-familial adenomatous polyposis-related intra-abdominal fibromatosis 2012-05-01
[35] 간행물 FDA Approves First Therapy for Rare Type of Non-Cancerous Tumors https://www.fda.gov/[...] 2023-11-28
[36] 간행물 SpringWorks Therapeutics Announces FDA Approval of Ogsiveo (nirogacestat) as the First and Only Treatment for Adults with Desmoid Tumors https://www.globenew[...] SpringWorks Therapeutics 2023-11-27
[37] 웹사이트 A Study of AL102 in Patients With Progressing Desmoid Tumors (RINGSIDE) https://www.clinical[...] 2023-08-19
[38] 웹사이트 FDA Grants Orphan Drug Designation to AL102 in Desmoid Tumors https://www.targeted[...] 2023-11-07
[39] 논문 Desmoid Tumors: Current Perspective and Treatment 2024-01-25
[40] 논문 Molecular Pathogenesis of Sporadic Desmoid Tumours and Its Implications for Novel Therapies: A Systematised Narrative Review 2022-05
[41] 논문 Disease and economic burden of surgery in desmoid tumors: a review 2023-07-03
[42] 논문 Current Update on Desmoid Fibromatosis 2019
[43] 논문 The management of desmoid tumours: A joint global consensus-based guideline approach for adult and paediatric patients 2020-03
[44] 웹사이트 Diagnosis and Treatment https://www.dtrf.org[...] 2021-10-22
[45] 논문 Current Treatment Concepts for Extra-Abdominal Desmoid-Type Fibromatosis: A Narrative Review 2024-01-08
[46] 논문 Intestinal transplantation for the treatment of desmoid tumors associated with familial adenomatous polyposis 2001-03
[47] 논문 Desmoid Tumor: Practice Essentials, Pathophysiology, Etiology https://emedicine.me[...] 2023-06-22
[48] 논문 Health-related quality of life (HRQoL), anxiety, and depression in patients with desmoid type fibromatosis 2022-12
[49] 논문 Desmoid fibromatosis through the patients' eyes: time to change the focus and organisation of care? 2019-03
[50] 웹사이트 Diagnosis Codes & Desmoid Tumors https://dtrf.org/icd[...] 2023-08-12
[51] 웹사이트 ICD-10 Coordination and Maintenance Committee Meeting https://www.cdc.gov/[...] 2022-03-08
[52] 웹사이트 'Let''s Make the Best of It' https://vault.si.com[...] 1991-07-22
[53] 웹사이트 Former MLB player Dave Dravecky to Headline Cancer Survivorship Conference Sept. 16-17 https://www.mdanders[...] 2011-06-14
[54] 웹사이트 Kevin Reilly - Sarcoma Cancer Research & Treatment https://www.curesarc[...] 2023-08-16
[55] 웹사이트 Connective Tissue Tumors in Animals - Integumentary System https://www.msdvetma[...] 2023-08-14
[56] 논문 "[First description of a desmoid tumor in a goat and comparative observations to human fibromatosis. Case report]" 1993-08
[57] 저널 Desmoid tumors in a Dutch cohort of patients with familial adenomatous polyposis http://linkinghub.el[...] 2008-02
[58] DorlandsDict desmoid three/000028902
[59] 저널 Surgery, desmoid tumors, and familial adenomatous polyposis: case report and literature review 1996-12
[60] 저널 Risk factors predicting desmoid occurrence in patients with familial adenomatous polyposis: a meta-analysis
[61] 저널 Risk factors predicting intra-abdominal desmoids in familial adenomatous polyposis: a single centre experience 2010-06
[62] 저널 Surgical prophylaxis in familial adenomatous polyposis: do pre-existing desmoids outside the abdominal cavity matter?
[63] 저널 Desmoid tumour of the breast as a manifestation of Gardner's syndrome http://www.sciencedi[...]
[64] 웹인용 보관된 사본 http://www.dtrf.org/[...] 2015-08-04
[65] 저널 Surgical resection for non-familial adenomatous polyposis-related intra-abdominal fibromatosis
[66] 웹인용 Nirogacestat https://www.springwo[...] 2020-01-28
[67] 웹인용 Nirogacestat for Adults With Desmoid Tumor/Aggressive Fibromatosis (DT/AF) - Full Text View - ClinicalTrials.gov https://clinicaltria[...] 2020-01-28
[68] 웹인용 FDA Grants Breakthrough Designation to Nirogacestat for Desmoid Tumors https://www.targeted[...] 2020-01-28



본 사이트는 AI가 위키백과와 뉴스 기사,정부 간행물,학술 논문등을 바탕으로 정보를 가공하여 제공하는 백과사전형 서비스입니다.
모든 문서는 AI에 의해 자동 생성되며, CC BY-SA 4.0 라이선스에 따라 이용할 수 있습니다.
하지만, 위키백과나 뉴스 기사 자체에 오류, 부정확한 정보, 또는 가짜 뉴스가 포함될 수 있으며, AI는 이러한 내용을 완벽하게 걸러내지 못할 수 있습니다.
따라서 제공되는 정보에 일부 오류나 편향이 있을 수 있으므로, 중요한 정보는 반드시 다른 출처를 통해 교차 검증하시기 바랍니다.

문의하기 : help@durumis.com