과잉치
"오늘의AI위키"의 AI를 통해 더욱 풍부하고 폭넓은 지식 경험을 누리세요.
1. 개요
과잉치는 정상적인 치아보다 더 많은 치아가 발생하는 치과 질환이다. 유전적 요인과 환경적 요인이 복합적으로 작용하여 발생하며, 맹출 지연, 부정교합, 낭종 형성 등 다양한 문제를 일으킬 수 있다. 과잉치는 모양과 위치에 따라 여러 유형으로 분류되며, 정중 과잉치가 가장 흔하게 나타난다. 진단은 치과 X-ray를 통해 이루어지며, 치료는 수술적 제거가 유일한 방법이다. 역사적으로 과잉치는 특정 인물이나 신화, 민담, 문학 작품 등에서 언급되기도 하였다.
더 읽어볼만한 페이지
- 구강악안면외과학 - 르포르 골절
르포르 골절은 르네 르포르가 분류한 안면 골절의 한 유형으로, 외상으로 인해 상악골과 주변 뼈 특정 부위에서 발생하는 골절을 의미하며, 골절선 위치에 따라 I형, II형, III형으로 분류되고, 상악하악 고정술 또는 개방 정복 및 내고정술로 치료하며, CT 촬영으로 진단하고, 치료 후 치아 교합 부전 등의 후유증이 발생할 수 있습니다. - 구강악안면외과학 - 바이오세라믹
바이오세라믹은 부식 방지, 생체 적합성, 심미적 특성을 바탕으로 의료 분야에 널리 사용되는 세라믹 재료이며, 1969년 바이오글라스 발견 이후 다양한 종류와 응용 분야를 통해 미래 지향적인 연구 개발이 진행되고 있다. - 액외 신체 부위 - 사랑니
사랑니는 17~21세 무렵에 맹출하는 세 번째 큰 어금니로, 턱뼈 크기 축소로 매복되어 치주 질환, 충치 등의 문제를 일으킬 수 있어 발치를 고려하기도 한다. - 액외 신체 부위 - 중복자궁
중복자궁은 두 개의 자궁과 자궁경부를 가지는 희귀한 자궁 기형으로, 뮐러관 융합 실패로 발생하며, 월경통, 조산 등의 문제를 일으킬 수 있다. - 구강 질병 - 충치
충치는 스트렙토코쿠스 뮤탄스, 락토바실러스 등의 원인균과 식이 습관, 구강 위생 등의 복합적인 요인으로 치아 법랑질이 손상되는 질환으로, 올바른 칫솔질과 식습관 조절, 정기적인 치과 검진을 통해 예방 및 치료가 가능하다. - 구강 질병 - 부정교합
부정교합은 위턱과 아래턱의 부조화 및 치아 배열 이상으로 발생하는 치과 질환이며, 유전적, 환경적 요인이 복합적으로 작용하여 다양한 문제를 유발하고 치아 교정, 악교정 수술 등으로 치료한다.
| 과잉치 | |
|---|---|
| 일반 정보 | |
| 증상 | 과잉치가 잇몸이나 입 안에서 나옴 |
| 합병증 | 과잉치가 잇몸 속으로 자람 |
| 분야 | 치과 |
| 원인 | 가드너 증후군 엘러스-단로스 증후군 구개열 쇄골두개 이골증 유전 질환 |
| 위험 요인 | 과잉치가 치열궁에 문제 일으킴 |
| 감별 진단 | 치아 결손증 |
| 치료 | 치과 수술 |
| 동의어 | 덧니 정중과잉치 |
| 유형 | 5가지 |
![]() | |
| 추가 정보 | |
| 관련 질환 목록 | 피부 질환과 관련된 치과 이상 목록 |
2. 원인
과잉치는 유전적 요인과 환경적 요인이 복합적으로 작용하여 발생한다고 알려져 있다. 과잉치 한 개가 나타나는 경우는 비교적 흔하지만, 다른 질병이나 증후군 없이 다수의 과잉치가 나타나는 경우는 드물다.[4] 많은 과잉치는 맹출되지 않아 인접한 치아의 맹출을 지연시키거나 다른 치과적, 교정적 문제를 일으킬 수 있다.[5][6]
진화론적 관점에서 과잉치는 유전적 변이의 결과로 볼 수 있다. 현대인에게 여분의 치아는 잠재적인 치과 문제와 치아 혼잡을 야기할 수 있어 부적응적인 특성으로 여겨질 수 있지만, 과잉치를 가진 개체가 실제로 이익을 얻는지 불이익을 얻는지는 명확히 밝혀지지 않았다. 과거 인류 진화 과정에서는 치과 치료가 사실상 불가능했기 때문에 치아 우식증, 감염, 치아 상실과 같은 문제에 대처할 방법이 없었다. 따라서 과잉치를 가진 사람은 필요한 치아를 잃더라도 여분의 치아를 통해 음식을 씹고 가공할 수 있어 치과 문제에 더 잘 대처했을 가능성이 있다.[9] 또한, 과거 조상들의 식단은 질기고 거친 음식이 많아 더 많은 저작 작용이 필요했으므로, 여분의 치아는 섬유질이 풍부한 식물성 음식과 날음식을 섭취하는 데 도움이 되었을 수 있다.
과잉치는 비뚤게 맹출하거나 다른 치아를 압박하여 치열을 나쁘게 만들 수 있어 발치해야 하는 경우가 많다. 그러나 정상적으로 맹출하여 다른 치아에 악영향을 미치지 않는다면 문제없이 사용할 수 있으므로 발치가 필요하지 않다. 과잉치는 구강 내에 맹출하지 않고 치은이나 턱뼈 안에 머물러 있기도 하는데, 이 경우에도 기존 치아의 뿌리에 영향을 줄 수 있어 발치가 필요할 수 있다. 뼈 안에 있는 과잉치는 일반적인 발치보다 더 어려운 수술이 될 수 있다.[23]
2. 1. 유전적 요인
특정 유전자는 개인의 치아 개수와 패턴을 결정하는 데 중요한 역할을 하며, 이러한 유전자의 돌연변이나 변이는 과잉치 형성을 유발할 수 있다. 개인은 부모로부터 과잉치 발생에 대한 유전적 소인을 물려받을 수 있다.[7] 과잉치를 가진 개체가 번식할 경우, 자손은 과잉치를 가질 가능성이 높아지는데, 이는 과잉치가 상염색체 우성 유전 방식으로 유전될 수 있기 때문이다.[7] 이는 치아 발달과 관련된 여러 다른 유전자를 통해 자손에게 전달될 수 있는 돌연변이의 결과이다. MSX1 및 MSX2 유전자는 과잉치와 관련된 가장 잘 알려진 유전적 요인 중 하나이다.[7] 이 유전자는 치아 발달과 패턴 형성에 중요한 역할을 하므로, MSX1 및 MSX2의 돌연변이는 여분의 치아 형성 또는 치아 개수 및 모양의 변화를 유발할 수 있다. 또한, AXIN2 유전자의 돌연변이는 과잉치 및 기타 치아 기형과 관련이 있다. AXIN2 유전자는 치아 발달에 역할을 하는 Wnt 신호 전달 경로를 조절하는 데 관여한다.[7] 따라서, 이 유전자의 변이는 치아 발달을 방해하고 과잉치를 유발할 수 있다. PAX9는 치아 발달에 중요한 또 다른 유전자이며, 이 유전자의 돌연변이는 과잉치를 포함한 치아 기형과 관련이 있다. PAX9는 어금니 형성에 관여하며, 기능 장애는 여분의 어금니 또는 치아 형태의 변화를 유발할 수 있다.[7]2. 2. 환경적 요인
과잉치는 유전적 요인과 환경적 요인이 복합적으로 작용하여 발생한다는 증거가 있다. 과잉치 한 개가 있는 경우는 비교적 흔하지만, 다른 질병이나 증후군이 없는 사람에게서 다수의 과잉치가 나타나는 경우는 드물다.[4]2. 3. 발달 과정의 이상
과잉치는 유전적 요인과 환경적 요인이 복합적으로 작용하여 발생한다는 증거가 있다. 과잉치 1개가 있는 경우는 비교적 흔하지만, 다른 질병이나 증후군이 없는 사람에게서 다수의 과잉치가 나타나는 경우는 드물다.[4] 어금니 유형의 과잉치가 가장 흔하다. 과잉치는 정상적인 치아 맹출 부근의 치아판에서 세 번째 치아 맹출이 발생하거나, 정상적인 치아 맹출 자체가 분열되어 발생할 수 있다는 주장이 있다. 유치(젖니)에서의 과잉치는 영구치보다 덜 흔하다.특정 유전자는 개인의 치아 개수와 패턴을 결정하는 데 중요한 역할을 하며, 이러한 유전자의 돌연변이나 변이는 과잉치 형성을 유발할 수 있다. 개인은 부모로부터 과잉치 발생에 대한 유전적 소인을 물려받을 수 있다.[7] 과잉치를 가진 개체가 번식할 경우, 자손은 과잉치를 가질 가능성이 높아지는데, 이는 과잉치가 상염색체 우성 유전 방식으로 유전될 수 있다고 제안되었기 때문이다.[7] 이는 치아 발달과 관련된 여러 다른 유전자를 통해 자손에게 전달될 수 있는 돌연변이의 결과이다. MSX1 및 MSX2 유전자는 과잉치와 관련된 가장 잘 알려진 유전적 요인 중 하나이다.[7] 이 유전자는 치아 발달과 패턴 형성에 중요한 역할을 하므로, MSX1 및 MSX2의 돌연변이는 여분의 치아 형성 또는 치아 개수 및 모양의 변화를 유발할 수 있다.
또한, AXIN2 유전자의 돌연변이는 과잉치 및 기타 치아 기형과 관련이 있다. AXIN2 유전자는 치아 발달에 역할을 하는 Wnt 신호 전달 경로를 조절하는 데 관여한다.[7] 따라서, 이 유전자의 변이는 치아 발달을 방해하고 과잉치를 유발할 수 있다. PAX9는 치아 발달에 중요한 또 다른 유전자이며, 이 유전자의 돌연변이는 과잉치를 포함한 치아 기형과 관련이 있다. PAX9는 어금니 형성에 관여하며, 기능 장애는 여분의 어금니 또는 치아 형태의 변화를 유발할 수 있다.[7]
치아 형성은 배아 발달 동안 시작되며 다양한 신호 전달 경로에 의해 고도로 조절되는 과정이다. 유전적 돌연변이 또는 환경적 요인의 결과로 이 과정이 방해받으면 과잉치를 포함한 발달 기형을 유발할 수 있다. 치아 발달은 턱에서 치아 싹(tooth bud)이 형성되면서 시작된다. 치아판은 치아 싹을 생성하는, 발달 중인 구강 내 조직 띠이다. 치아판의 과다 활동, 그리고 치아 발달의 분화 및 형태 형성 단계의 장애는 과잉치로 발달할 수 있는 여분의 치아 싹의 형성을 유발할 수 있다.[8]
일부 발달 증후군 또는 의학적 상태도 과잉치를 유발할 수 있다. 예를 들어, 쇄골두개 이형성증(cleidocranial dysplasia, CCD)은 골격 및 치아 발달에 영향을 미치는 유전 질환이며 과잉치의 존재와 관련이 있다. 구강 외상 또는 손상, 특히 치아 발달 중의 손상은 정상적인 치아 발달을 방해하기 때문에 과잉치 형성을 유발할 가능성이 있다.[8] 때때로, 융합(fusion) 또는 쌍생(gemination)과 같은 발달 기형으로 인해 여분의 치아가 생길 수도 있다. 융합은 두 개의 치아 싹이 함께 융합되어 단일하고 더 큰 치아를 생성할 때 발생한다. 쌍생은 단일 치아 싹이 두 개의 치아로 불완전하게 분리되는 것을 포함한다. 어떤 경우에는 이러한 기형이 여분의 치아가 나타나는 형태로 나타날 수 있다.
진화 과정에서 소실된 치아가 과잉치로 발생하는 경우가 많다. 이러한 과잉치 중 가장 흔한 형태는 상악 정중에 생기는 '''정중 과잉치'''이다. 과잉치의 크기는 대부분의 경우 같은 치아 종의 다른 치아보다 작으며, 형태 등으로 보아 과잉치임을 알 수 있는 경우가 일반적이다. 하지만 드물게는 일반 치아와 거의 같은 크기와 형태를 가지고 있어 어떤 것이 과잉치인지 구별하기 어려운 경우도 있다.
2. 4. 관련 질환
가드너 증후군, 쇄골두개이골증 등 다수의 과잉치가 발생하는 여러 질환에서 과잉치가 관찰된다.[10][11]다른 관련 질환으로는 쇄골두개 이형성증, 엘러스-단로스 증후군 III형, 엘리스-반 크레펠트 증후군, 가드너 증후군, 골든하 증후군, 할러만-스트라이프 증후군, 구순안면지 손가락 증후군 I형, 색소성 요실금, 마르판 증후군, 낸스-호란 증후군, 모발-비-지골 증후군 I형 등이 있다.
3. 유형
과잉치는 모양과 위치에 따라 분류할 수 있다. 과잉치는 대부분의 경우 같은 종류의 다른 치아보다 작고, 형태를 통해 과잉치임을 알 수 있다. 하지만 드물게 일반 치아와 거의 같은 크기와 형태를 가져 구별하기 어려운 경우도 있다.
과잉치가 비뚤게 맹출하거나 다른 치아를 압박하여 치열을 나쁘게 하는 경우가 많아 발치하는 경우가 많다. 반면, 정상적으로 맹출하여 다른 치아에 악영향을 미치지 않으면 문제없이 사용할 수 있으므로 발치할 필요가 없다. 과잉치가 구강 내로 맹출하지 않고 치은이나 턱뼈 안에 머물러 있는 경우도 있는데, 맹출하지 않더라도 기존 치아의 뿌리에 영향을 줄 수 있어 발치가 필요하다. 단, 뼈 안에 머물러 있는 경우에는 일반적인 발치보다 어려운 수술이 되는 경향이 있다.[23]
3. 1. 형태에 따른 분류
과잉치는 모양과 위치에 따라 분류할 수 있다. 모양에 따른 분류는 다음과 같다.- 보충형 (해당 치열의 치아와 정상적인 모양을 가짐)
- 결절형 (''술통 모양''이라고도 함)
- 원추형 (''못 모양''이라고도 함)
- 복합 치아종 (여러 개의 작은 치아 모양)
- 복잡 치아종 (치아 조직의 무질서한 덩어리)[12]
위치에 따라 분류하면 과잉치는 ''정중치'', ''측방치'', 또는 ''후구치''라고 한다.[12] 때로는 이러한 치아가 구강 내로 맹출하지 않고 부정교합으로 나타나기도 한다.[13]
가장 흔한 과잉치는 정중치로, 상악 중절치 사이에 나타나는 기형의 못 모양 치아이다. 제3대구치 뒤에 형성되는 제4, 제5 대구치는 또 다른 종류의 과잉치이다.
- 정중 과잉치: 좌우의 중절치 사이에 발생한다. 원래 3쌍 있었던 절치가 2쌍으로 줄어들 때 가장 앞의 1쌍이 사라진 흔적이라고 여겨진다. 또한 번호는 없다.
- 네 번째 큰 어금니: 세 번째 큰 어금니 뒤에 발생한다. 오스트랄로피테쿠스 등 오래된 화석 인류에게 존재했던 치아이기 때문에 이것이 퇴화하여 사라진 흔적이라고 여겨진다. 세 번째 큰 어금니에 이어서 "9번"이라고 불린다.
- 귓바퀴 치아: 큰 어금니 바깥쪽에 발생한다. 형태는 큰 어금니의 축소형이다. 제4대구치와는 별개의 존재로 여겨진다.
그 외에, 통상 존재하는 치아가 이중으로 발생한 것으로 보이는 사례도 확인되고 있다.

3. 2. 위치에 따른 분류
과잉치는 위치에 따라 ''정중치'', ''측방치'', 또는 ''후구치''라고 한다.[12] 때로는 이러한 치아가 구강 내로 맹출하지 않고 부정교합으로 나타나기도 한다.[13]가장 흔한 과잉치는 정중치로, 상악 중절치 사이에 나타나는 기형의 못 모양 치아이다. 제3대구치 뒤에 형성되는 제4, 제5 대구치도 또 다른 종류의 과잉치이다.
- 정중 과잉치
- : 좌우의 중절치 사이에 발생한다. 원래 3쌍 있었던 절치가 2쌍으로 줄어들 때 가장 앞의 1쌍이 사라진 흔적이라고 여겨진다. 번호는 없다.
- 네 번째 큰 어금니
- : 세 번째 큰 어금니 뒤에 발생한다. 오스트랄로피테쿠스 등 오래된 화석 인류에게 존재했던 치아이기 때문에 이것이 퇴화하여 사라진 흔적이라고 여겨진다. 세 번째 큰 어금니에 이어 "9번"이라고 불린다.
- 귓바퀴 치아
- : 큰 어금니 바깥쪽에 발생한다. 형태는 큰 어금니의 축소형이다. 제4대구치와는 별개의 존재로 여겨진다.
그 외에, 통상 존재하는 치아가 이중으로 발생한 것으로 보이는 사례도 확인되고 있다.
4. 유병률
정중치는 상악 정중선 부위에서 가장 흔히 발견되는데 이를 '''정중과잉치'''(mesiodens)라고 한다. 정중치는 유치열기에서 0.3-0.8% 정도의 빈도로 존재하며 영구치열기에선 1.5%-3.5% 정도의 빈도로 존재한다. 남성에서 발견되는 경우가 여성보다 2배 정도 많으며, 2개 이상의 과잉치는 남성에서 여성보다 3배 정도 더 많이 관찰된다. 과잉치의 90% 이상은 상악골에서 발견된다.[24]
과잉치가 발생하는 부위를 그 빈도순으로 나열하면 다음과 같다.[25]
| 순위 | 부위 |
|---|---|
| 1 | 상악 정중선 부위 |
| 2 | 상악 제3대구치 후방 |
| 3 | 상악 대구치부 |
| 4 | 하악 소구치부 |
| 5 | 하악 제3대구치 후방 |
| 6 | 상악 소구치부 |
과잉치는 영구치에서 유치보다 더 흔하게 나타나는 것이 분명하다. 영구치열에서 과잉치의 유병률은 남성이 여성보다 두 배 더 흔하게 과잉치를 보인다. 그러나 이러한 근사치는 위치, 다른 관련 증후군의 유무, 개인의 민족성에 따라 달라진다. 민족성과 관련하여, 과잉치는 아시아 인구보다 유럽 인구에서 실제로 덜 흔하게 나타나는 것을 알 수 있다.[1] 가족 구성원 중 다른 사람이 과잉치를 앓고 있다면, 해당 개인도 과잉치를 가질 가능성이 더 높다는 증거가 있다.[2]
5. 증상 및 합병증
유치열기에 발생한 과잉치는 영구치의 맹출을 방해하고, 입안에 치아가 배열될 공간이 부족하게 되어 총생과 같은 부정교합이 발생할 수 있다. 또한 인접치의 치근을 흡수하거나 낭종을 형성할 수 있으며, 비강, 상악동, 경구개로 함입되거나 신경을 압박하여 지각이상을 초래할 수 있다.[26]
성인의 경우 대개 증상이 없어 정기 구강 검진 중 우연히 발견되는 경우가 많다. 과잉치가 비뚤게 맹출하거나 다른 치아를 압박하여 치열을 나쁘게 하는 원인이 되는 경우가 많아 이러한 경우에는 발치 대상이 된다. 반면 정상적으로 맹출하여 다른 치아에 악영향을 미치지 않는 경우에는 문제없이 사용할 수 있으므로 발치할 필요가 없다. 구강 내에 맹출하지 않고 치은이나 턱뼈 내에 머물러 있는 경우도 있지만, 맹출하지 않더라도 기존 치아의 뿌리에 영향을 미칠 수 있으며, 이러한 경우에는 발치가 필요하다. 단, 뼈 안에 머물러 있는 경우에는 일반적인 발치에 비해 어려운 수술이 되는 경향이 있다.[23]
5. 1. 증상
과잉치가 있으면, 특히 어린아이에게서 상악 절치(앞니) 부위에 문제가 생길 수 있다. 혼합 치열 단계에서 절치가 잇몸 안에 묻히는 매복이 흔히 발생한다. 여러 연구에서 환자의 나이, 과잉치의 수, 형태, 성장 방향, 위치 등 다양한 요인을 고려한다. 과잉치는 주변 치아의 정상적인 맹출을 방해할 수 있다. 따라서 과잉치가 발견되면 절치의 총생(덧니) 가능성을 고려하여 적절한 치료 계획을 세워야 한다.[3]과잉치는 치열궁에서 멀리 떨어진 상악동 안에서 맹출할 수 있고, 발달 후 다른 위치로 이동하기도 한다.[1] 과잉치는 낭종 형성을 유발할 수 있으며, 덧니가 함께 나타나는 경우도 많다.[2]
5. 2. 합병증
유치열기에 발생한 과잉치는 영구치의 맹출을 방해하고, 입안에 치아가 배열될 공간이 부족하게 되어 총생과 같은 부정교합이 발생할 수 있다. 또한 인접치의 치근을 흡수하거나 낭종을 형성할 수 있으며, 비강, 상악동, 경구개로 함입되거나 신경을 압박하여 지각이상을 초래할 수 있다.[26]성인의 경우 대개 증상이 없어 정기 구강 검진 중 우연히 발견되는 경우가 많다. 과잉치는 특히 어린아이에게서 상악 절치 부위의 장애와 관련이 있으며, 혼합 치열 단계에서 절치의 매복을 흔히 초래한다. 이 경우 환자의 나이, 과잉치의 수, 형태, 성장 방향, 위치 등 여러 요인을 고려해야 한다. 과잉치는 인접 치아의 맹출을 방해할 수 있으므로, 과잉치가 발견되면 절치의 총생 가능성을 고려하여 적절한 치료 계획을 수립해야 한다.[3]
과잉치는 치열궁에서 멀리 떨어진 상악동 내에서 맹출할 수 있으며, 발달 후 다른 위치로 이동할 수도 있다.[1] 또한 낭종 형성을 유발할 수 있으며, 덧니가 자주 나타난다.[2]
과잉치가 비뚤게 맹출하거나 다른 치아를 압박하여 치열을 나쁘게 하는 원인이 되는 경우가 많아 이러한 경우에는 발치 대상이 된다. 반면 정상적으로 맹출하여 다른 치아에 악영향을 미치지 않는 경우에는 문제없이 사용할 수 있으므로 발치할 필요가 없다. 구강 내에 맹출하지 않고 치은이나 턱뼈 내에 머물러 있는 경우도 있지만, 맹출하지 않더라도 기존 치아의 뿌리에 영향을 미칠 수 있으며, 이러한 경우에는 발치가 필요하다. 단, 뼈 안에 머물러 있는 경우에는 일반적인 발치에 비해 어려운 수술이 되는 경향이 있다.[23]
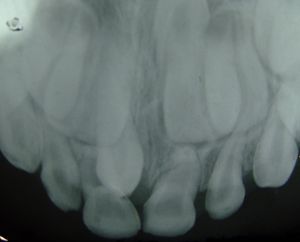
6. 진단

과잉치는 서로 다른 각도에서 두 개의 치과 X-ray를 촬영하여 감지할 수 있다. 구강 내 X-ray(구강 내에서 촬영하는 X-ray)와 파노라마 방사선 사진이 그 예이다. 그러나 이러한 X-ray는 2D이므로 치아의 3D 모습을 정확하게 나타내지 않는다.[2]
7. 치료
과잉치의 유일한 치료법은 수술적으로 제거하는 것이다. 현재 증상이 없거나 환자가 수술을 원하지 않는 경우에는 주기적인 방사선 사진 촬영을 통해 병적인 변화가 없는지 관찰해야 한다.[25]
전통적인 발치 방법은 골 끌을 사용하는 것이지만, 특히 수술이 필요한 경우 더 발전된 기술이 더 유익한 것으로 밝혀졌다. 압전 효과를 이용한 압전 초음파 골 수술은 전통적인 방법보다 시간이 더 오래 걸릴 수 있지만, 수술 후 출혈과 관련 합병증을 상당히 줄이는 것으로 보인다.
7. 1. 발치 적응증
과잉치의 발치 적응증은 다음과 같다.- 심미적인 이유
- 다른 치아의 맹출을 허용하기 위한 경우
- 치아교정상의 이유
- 의심되는 병리적인 이유
과잉치는 수술적으로 제거하는 것이 유일한 치료법이다. 현재 증상이 없거나 환자가 수술을 원하지 않는 경우, 주기적인 방사선 사진 촬영을 통해 병적 변화가 없는지 관찰해야 한다.[25]
과잉치는 대개 증상이 없고 개인에게 위협이 되지 않지만, 위에 나열된 이유로 인해 종종 발치된다. 이러한 발치는 특히 정중 과잉치가 상악 중절치 부위에 위치한 경우에 시행된다.
비뚤게 맹출하거나 다른 치아를 압박하여 치열을 나쁘게 하는 원인이 되는 경우가 많아 이러한 경우에는 발치 대상이 된다. 반면, 정상적으로 맹출하여 다른 치아에 악영향을 미치지 않는 경우에는 문제없이 사용할 수 있는 치아가 되므로 발치할 필요가 없다. 구강 내에 맹출하지 않고 치은이나 턱뼈 내에 머물러 있는 경우도 있지만, 맹출하지 않더라도 기존 치아의 뿌리에 영향을 미칠 수 있으며, 이러한 경우에는 발치가 필요하다. 단, 뼈 안에 머물러 있는 경우에는 일반적인 발치에 비해 어려운 수술이 되는 경향이 있다.[23]
7. 2. 발치 시 고려사항
수술적으로 제거하는 것이 유일한 치료법이다. 현재 증상이 없거나 환자가 수술을 원하지 않는 경우, 주기적인 방사선 사진 촬영을 통해 병적인 변화가 없는지 관찰해야 한다.[25]과잉치는 대개 증상이 없으며 개인에게 위협이 되지 않지만, 심미적인 이유, 다른 치아의 맹출을 허용하기 위한 이유, 치아교정상의 이유, 또는 의심되는 병리로 인해 종종 발치된다. 이러한 발치는 특히 정중 과잉치가 상악 중절치 부위에 위치한 경우에 시행된다. 전통적인 발치 방법은 골 끌을 사용하는 것이지만, 특히 수술이 필요한 경우 더 발전된 기술이 더 유익한 것으로 밝혀졌다. 압전 효과를 이용한 압전 초음파 골 수술은 전통적인 방법보다 시간이 더 오래 걸릴 수 있지만, 수술 후 출혈과 관련 합병증을 상당히 줄이는 것으로 보인다.
과잉치가 비뚤게 맹출하거나 다른 치아를 압박하여 치열을 나쁘게 하는 원인이 되는 경우가 많아 이러한 경우에는 발치 대상이 된다. 반면, 정상적으로 맹출하여 다른 치아에 악영향을 미치지 않는 경우에는 문제없이 사용할 수 있는 치아가 되므로 발치할 필요가 없다. 구강 내에 맹출하지 않고 치은이나 턱뼈 내에 머물러 있는 경우도 있지만, 맹출하지 않더라도 기존 치아의 뿌리에 영향을 미칠 수 있으며, 이러한 경우에는 발치가 필요하다. 단, 뼈 안에 머물러 있는 경우에는 일반적인 발치에 비해 어려운 수술이 되는 경향이 있다.[23]
7. 3. 발치 방법
과잉치의 유일한 치료법은 수술적 제거이다. 현재 증상이 없거나 환자가 수술을 원하지 않는 경우에는 주기적으로 방사선 사진을 촬영하여 병적인 변화가 없는지 관찰해야 한다.[25]과잉치는 대개 증상이 없으며 개인에게 위협이 되지 않지만, 심미적인 이유, 다른 치아의 맹출을 허용하기 위한 이유, 치아교정상의 이유, 그리고/또는 의심되는 병증으로 인해 종종 발치된다. 이러한 발치는 특히 정중 과잉치가 상악 중절치 부위에 위치한 경우에 시행된다. 전통적인 발치 방법은 골 끌을 사용하는 것이지만, 특히 수술이 필요한 경우 더 발전된 기술이 더 유익한 것으로 밝혀졌다. 압전 효과를 이용한 압전 초음파 골 수술은 전통적인 방법보다 시간이 더 오래 걸릴 수 있지만, 수술 후 출혈과 관련 합병증을 상당히 줄이는 것으로 보인다.
7. 4. 치료 후 관리
과잉치를 수술적으로 제거하는 것이 유일한 치료법이다. 현재 증상이 없거나 환자가 수술을 원하지 않는 경우에는 주기적으로 방사선 사진을 촬영하여 병적인 변화가 없는지 관찰해야 한다.[25]과잉치는 대개 증상이 없으며 개인에게 위협이 되지 않지만, 심미적인 이유, 다른 치아가 나오는 것을 허용하기 위한 이유, 치아교정상의 이유, 그리고/또는 의심되는 병증 때문에 종종 발치된다. 이러한 발치는 특히 정중 과잉치가 상악 중절치 부위에 위치한 경우에 시행된다. 전통적인 발치 방법은 골 끌을 사용하는 것이지만, 특히 수술이 필요한 경우 더 발전된 기술이 더 유익한 것으로 밝혀졌다. 압전 효과를 이용한 압전 초음파 골 수술은 전통적인 방법보다 시간이 더 오래 걸릴 수 있지만, 수술 후 출혈과 관련 합병증을 상당히 줄이는 것으로 보인다.
8. 역사 및 문화 속 과잉치
과잉치는 역사 및 문화 속에서 다양한 형태로 나타난다. 정중 과잉치는 좌우 중절치 사이에 발생하며, 원래 3쌍이었던 절치가 2쌍으로 줄어들 때 가장 앞의 1쌍이 사라진 흔적으로 여겨진다. 정중 과잉치에는 번호가 없다. 네 번째 큰 어금니는 세 번째 큰 어금니 뒤에 발생하며, 오스트랄로피테쿠스 등 오래된 화석 인류에게 존재했던 치아가 퇴화하여 사라진 흔적으로 여겨진다. 세 번째 큰 어금니에 이어 "9번"이라고 불린다.
8. 1. 역사적 인물
게이튼 마타라조는 과잉치를 앓았지만, 여분의 치아를 제거하는 수술을 받았다.[15]데이비드 드보어 주니어는 치과에서 과잉치를 제거한 후 촬영된 영상으로 인터넷에서 유명세를 얻었다.
인도 여성 칼파나 발란은 인간의 입안에 가장 많은 치아를 가진 것으로 기네스 세계 기록에 등재되었다.[16]
티마르코스(파포스의 니코클레스의 아들 혹은 아버지)는 "두 줄의 어금니"를 가지고 있었다고 전해진다.
미트리다테스 6세의 딸 드뤼페티나는 이중 치열을 가졌다고 한다.
칼리굴라의 누이이자 클라우디우스의 아내, 네로의 어머니인 아그리피나 소(小) 아그리피나는 오른쪽 위턱에 이중 송곳니를 가지고 있었는데, 로마인들은 이를 행운의 징조로 여겼다.
반신화적인
위대한 평화 중재자의 이름 중 하나는 "데가나위다(Deganawidah)"인데, 이는 일부에 의해 "두 줄의 치아"를 의미하는 것으로 번역되었다.
16세기 의사인 레알도 콜롬보(Realdo Colombo)는 저서에서 자신의 아들인 페부스(Phoebus)가 "세 줄의 치아"를 가지고 있었다고 언급했다.[18]
루이 13세는 한쪽 턱에 이중 치열을 가지고 있었는데, 이는 그의 발음에 영향을 미쳤다.
19세기 캐나다의 벌목꾼인 파비앙 푸르니에(Fabian Fournier)는 미국의 민속 인물인 폴 버니언에게 영감을 준 것으로 알려져 있다.
윌리엄 모건은 수상한 상황에서 시체로 발견된 반 프리메이슨인데, 그의 아내가 "사방에 이중 치아"를 가진 것을 보고 시신을 확인했다.[19]
퀸의 프레디 머큐리는 윗턱에 치아가 4개 더 있었다. 그는 이 사실을 의식하여 종종 입술이나 손으로 가리거나 콧수염을 길렀다. 머큐리는 자신의 치열 문제를 교정하는 것을 거부했는데, 그것이 그의 놀라운 음역에 기여한다고 믿었기 때문이며, 치아를 교정하면 그의 목소리에 부정적인 영향을 미칠 것이라고 생각했다.
피터 스틸은 과잉치를 앓았다고 한다.
8. 2. 신화 및 민담
고대 그리스 시인 이온의 시에는 영웅 헤라클레스가 이빨이 세 줄로 묘사되어 있다.[20]약 300년에 살았던 금세공인 렌 린피아클라흐(Len Linfhiaclach, 문자 그대로 "많은 이빨의 렌")는 게일어 텍스트 ''딘센차스''의 주제이다.
투크위시헤미시(Tukwishhemish)는 카우일라 민담에 나오는 인물로, 웃지만 결코 웃지 않는 아름다운 여성인데, 윗턱에 이빨이 두 줄로 나 있었기 때문이다.[21]
에스토니아의 특정 지역의 마녀는 이빨이 두 줄로 나 있는 것을 포함하여 특이한 이빨을 가지고 있는 것으로 알려져 있으며, 이로 인해 ''함바메스''(hambamees, 문자 그대로 "이빨-남자")라고 불리게 되었다. 슬라브족의 우피르 역시 이빨이 두 줄로 나 있는 것으로 알아볼 수 있다.
8. 3. 문학
《맥앨리스터 모어의 전설》(1828)에는 던컨 로이 또는 "두 줄의 이빨을 가진 붉은 던컨"이라고 불리는 "던컨 로이 Tda reugh cachghlin" 캐릭터가 등장한다.[22]참조
[1]
문서
Pathology of the Hard Dental Tissues
[2]
논문
Determination of the optimum time for surgical removal of unerupted anterior supernumerary teeth
[3]
학술지
Association between maxillary anterior supernumerary teeth and impacted incisors in mixed dentition
[4]
학술지
Multiple hyperdontia: Report of an unusual case
[5]
학술지
Supernumerary teeth amongst Iranian orthodontic patients. A retrospective radiographic and clinical survey
[6]
학술지
Revisiting the supernumerary: The epidemiological and molecular basis of extra teeth
[7]
학술지
The genetic basis of dental anomalies and its relation to Orthodontics
[8]
학술지
The epidemiology of supernumerary teeth and the associated molecular mechanism
[9]
학술지
Genetic background of supernumerary teeth
[10]
웹사이트
Gardner syndrome – About the Disease – Genetic and Rare Diseases Information Center
https://rarediseases[...]
2022-11-02
[11]
웹사이트
Cleidocranial dysplasia – About the Disease – Genetic and Rare Diseases Information Center
https://rarediseases[...]
2022-11-02
[12]
문서
Oxford Handbook of Clinical Dentistry
[13]
서적
Pediatric Gastrointestinal Disease: Pathophysiology, Diagnosis and Management, Volume 1
[14]
학술지
Piezoelectric ultrasonic bone surgery system in the extraction surgery of supernumerary teeth
[15]
웹사이트
'Stranger Things' star Gaten Matarazzo says surgery to remove extra teeth was a success
https://www.nbcnews.[...]
2023-12-09
[16]
웹사이트
Indian mother sets world record for having the most teeth
https://www.guinness[...]
[17]
서적
The Intercultural Weaving of Historical Texts: Chinese and European Stories about Emperor Ku and His Concubines
https://books.google[...]
BRILL
2016-05-18
[18]
서적
A Systeme Of Anatomy, Treating Of the Body of Man, Beasts, Birds, Fish, Insects, and Plants: ... And After Every Part of Man's Body Hath Been Anatomically Described, Its Diseases, Cases, and Cures are Concisely Exhibited. Containing the Parts of the Lowest Apartiment of the Body of Man and other Animals, &c
https://books.google[...]
Thomas Newcomb
1685
[19]
서적
The Facts Stated: Hon. Thurlow Weed on the Morgan Abduction. A Document for the People
https://books.google[...]
National Christian Association
1882
[20]
서적
Folklore of the Teeth
https://books.google[...]
Singing Tree Press
1968
[21]
서적
Encyclopedia of Goddesses and Heroines
https://books.google[...]
New World Library
2014-04-01
[22]
서적
Fraser's Magazine for Town and Country
https://books.google[...]
G. W. Nickisson
1830
[23]
문서
抜歯は手術の1つである。
[24]
논문
Developmental disorders of the dentition: an update
2013-11
[25]
논문
Supernumerary premolars: a literature review
2004-09
[26]
논문
Supernumerary teeth: review of literature and decision support system
2013-01
본 사이트는 AI가 위키백과와 뉴스 기사,정부 간행물,학술 논문등을 바탕으로 정보를 가공하여 제공하는 백과사전형 서비스입니다.
모든 문서는 AI에 의해 자동 생성되며, CC BY-SA 4.0 라이선스에 따라 이용할 수 있습니다.
하지만, 위키백과나 뉴스 기사 자체에 오류, 부정확한 정보, 또는 가짜 뉴스가 포함될 수 있으며, AI는 이러한 내용을 완벽하게 걸러내지 못할 수 있습니다.
따라서 제공되는 정보에 일부 오류나 편향이 있을 수 있으므로, 중요한 정보는 반드시 다른 출처를 통해 교차 검증하시기 바랍니다.
문의하기 : help@durumis.com
