무기폐
"오늘의AI위키"의 AI를 통해 더욱 풍부하고 폭넓은 지식 경험을 누리세요.
1. 개요
무기폐는 폐의 일부 또는 전체가 쪼그라드는 상태를 의미한다. 수술 후, 특히 복부 수술 후의 호흡 제한이 가장 흔한 원인이며, 폐결핵, 흡연, 세기관지 또는 기관지 막힘, 폐 계면활성제의 불량한 확산, 흡인 등도 원인이 될 수 있다. 증상으로는 기침, 호흡 곤란, 흉통, 청색증 등이 나타날 수 있으며, 흉부 엑스레이 또는 CT 촬영으로 진단한다. 치료는 원인 질환을 치료하는 것을 기본으로 하며, 물리 치료, 기관지경 검사, 항생제 투여, 수술 등이 사용될 수 있다.
더 읽어볼만한 페이지
- 호흡기 질환 - 천식
천식은 만성적인 기도 염증으로 쌕쌕거림, 호흡곤란, 가슴 답답함, 기침 등의 증상을 유발하며 유전적, 환경적 요인이 복합적으로 작용하여 발생하고, 폐활량 검사로 진단하며, 유발 요인 회피와 약물 요법으로 증상 조절 및 삶의 질 향상이 가능하다. - 호흡기 질환 - 알레르기
알레르기는 면역 체계가 무해한 물질에 과도하게 반응하여 아토피 피부염, 비염, 천식, 두드러기 등 다양한 증상을 일으키는 질환으로, Gell과 Coombs 분류법에 따라 여러 유형으로 나뉘며, 심각한 경우 아나필락시스를 유발할 수 있고, 유전적, 환경적 요인이 복합적으로 작용하여 발생하며, 알레르겐 회피, 약물, 면역요법 등으로 치료한다.
| 무기폐 | |
|---|---|
| 질병 개요 | |
| 정의 | 폐의 일부 또는 전체가 쭈그러들어 가스 교환이 감소하는 상태 |
| 관련 학문 | 호흡기학 |
| 동의어 | 폐허탈 |
| 증상 및 합병증 | |
| 증상 | (무증상일 수 있음) 호흡 곤란 |
| 합병증 | 폐렴 |
| 원인 및 위험 요인 | |
| 원인 | 기도 막힘 압박 |
| 위험 요인 | (구체적인 위험 요인 정보 부족) |
| 진단 및 감별 진단 | |
| 진단 | (구체적인 진단 방법 정보 부족) |
| 감별 진단 | (구체적인 감별 진단 정보 부족) |
| 예방 및 치료 | |
| 예방 | (구체적인 예방 방법 정보 부족) |
| 치료 | (구체적인 치료 방법 정보 부족) |
| 예후 및 빈도 | |
| 예후 | (구체적인 예후 정보 부족) |
| 빈도 | (구체적인 빈도 정보 부족) |
2. 원인
무기폐의 가장 흔한 원인 중 하나는 수술 후 무기폐로, 복부 수술 후 호흡 제한, 즉 부목 고정으로 특징지어진다. 전신 마취를 받는 사람의 75~90%에서 발생한다.[6]
또 다른 흔한 원인은 폐 결핵이다. 흡연자와 노인은 무기폐의 위험이 더 크다. 이 외에도 세기관지나 기관지가 막혀서 무기폐가 발생할 수 있는데, 기도 내부에 이물질, 점액 플러그가 있거나, 벽에서 편평 세포 암종과 같은 종양이 발생하거나, 종양, 림프절, 결핵 결절이 외부에서 압박하는 경우가 있다. 폐 계면활성제가 잘 퍼지지 않아 표면 장력이 높아져 작은 폐포가 붕괴되는 것도 원인이 된다. 가래와 함께 폐에서 공기가 제거되는 흡인 중에도 무기폐가 발생할 수 있다.
무기폐는 근본적인 메커니즘이나 폐포 허탈의 분포에 따라 흡수성, 압축성, 미세 무기폐 및 수축성 무기폐 등 여러 유형이 있다. 이완성 무기폐(수동적 무기폐라고도 함)는 흉수나 기흉이 벽측 및 내측 폐 흉막 사이의 접촉을 방해할 때 발생한다.[7]
1950년대 초, 영국 항공 의학에서는 100% 산소 공급을 사용하는 초음속 전투기 호커 헌터 조종사에게서 무기폐가 흔하게 나타나 "헌터 폐"라고 불렀다.[8][9]
2. 1. 수술 후 무기폐
치료는 무기폐를 일으킨 질환을 고침으로써 수행된다. 수술 후 발생한 무기폐의 경우 물리치료를 통해 치료되며 깊은 숨쉬기에 집중하고 기침을 하도록 유도한다.[6]가장 흔한 원인은 수술 후 무기폐로, 복부 수술 후 호흡 제한, 즉 부목 고정으로 특징지어진다. 무기폐는 수술 절차를 위해 전신 마취를 받는 사람의 75~90%에서 발생한다.[6]
무기폐 발생 가능성 증가와 관련된 위험 요소는 수술 유형(흉부, 심폐 수술), 근육 이완제 사용, 비만, 고농도 산소, 하부 폐 분절을 포함한다. 무기폐 발생과 관련된 요인으로는 연령, 만성 폐쇄성 폐 질환 또는 천식의 존재, 마취제 유형 등이 있다.[7]
2. 2. 기타 원인
무기폐의 가장 흔한 원인은 복부 수술 후 호흡 제한 등으로 나타나는 수술 후 무기폐이다. 전신 마취를 받는 사람의 75~90%에서 발생한다.[6]또 다른 흔한 원인은 폐 결핵이다. 흡연자와 노인은 무기폐의 위험이 더 크다. 이 외에도 세기관지나 기관지가 막혀서 무기폐가 발생할 수 있는데, 이물질, 점액 플러그처럼 기도 내부에 문제가 있거나, 편평 세포 암종과 같은 종양이 벽에서 발생하거나, 종양, 림프절, 결핵 결절이 외부에서 압박하는 경우가 있다. 폐 계면활성제가 잘 퍼지지 않아 표면 장력이 높아져 작은 폐포가 붕괴되는 것도 원인이 된다. 가래와 함께 폐에서 공기가 제거되는 흡인 중에도 무기폐가 발생할 수 있다. 무기폐는 근본적인 메커니즘이나 폐포 허탈의 분포에 따라 흡수성, 압축성, 미세 무기폐 및 수축성 무기폐 등 여러 유형이 있다. 이완성 무기폐(수동적 무기폐)는 흉수나 기흉이 벽측 및 내측 폐 흉막 사이의 접촉을 방해할 때 발생한다.[7]
무기폐 발생 가능성을 높이는 위험 요소와 관련된 요인은 다음과 같다.
| 위험 요소 | 관련 요인 |
|---|---|
1950년대 초, 영국 항공 의학에서는 100% 산소 공급을 사용하는 초음속 전투기 호커 헌터 조종사에게 무기폐가 흔하게 나타나 "헌터 폐"라고 불렀다.[8][9] 전투기 승무원 등이 초음속 비행으로 인해 발생한 강한 압력으로 좁은 기도가 막혀 발병하는 경우가 있는데, 이를 하측 무기폐라고 하며, 좌우 폐 대부분의 폐포가 찌그러진다.
교통사고나 추락 등으로 흉부에 강한 충격을 받거나, 폭풍 등의 급격한 압력 변화에 노출되어도 급성 무기폐가 발생할 수 있다. 무기폐 직후에는 폐에 공기가 없을 뿐이지만, 충혈을 동반하면 폐 조직 파괴와 반흔으로 인해 만성 무기폐가 일어날 수 있다.
2. 3. 급성 무기폐 (참고: 일본어 위키백과)
전투기 승무원 등이 초음속 비행으로 인해 발생하는 강한 압력으로 좁은 기도가 막혀 발병하는 경우가 있다. 이러한 현상을 하측 무기폐라고 하며, 좌우 폐 대부분의 폐포가 찌그러진다.교통사고나 추락 등으로 흉부에 강한 충격을 받았을 경우나 폭풍 등의 급격한 압력 변화에 노출되었을 경우에도 급성 무기폐가 일어나는 것으로 알려져 있다. 무기폐 직후에는 단순히 폐에 공기가 없을 뿐이지만, 충혈을 동반하는 경우에는 폐 조직의 파괴와 반흔화에 의해 만성 무기폐가 일어나는 경우도 있다.
3. 증상
무기폐는 증상이 없을 수도 있으며, 증상이 나타나는 경우에는 다음을 포함한다.[18][3]
무기폐가 발열을 일으킨다는 것은 흔한 오해이자 순수한 추측이다. 100명의 수술 후 환자를 대상으로 흉부 X-ray 및 체온 측정을 통해 추적한 연구에서는 무기폐 발생률이 증가함에 따라 발열 발생률이 감소하는 것으로 나타났다.[4] 최근 발표된 무기폐와 수술 후 발열 간의 연관성에 대한 증거를 요약한 검토 기사에서는 이러한 추측을 뒷받침하는 임상적 증거가 없다고 결론지었다.[5]
4. 진단
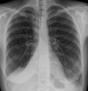
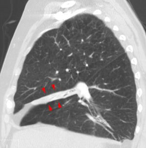
임상적으로 유의미한 무기폐는 일반적으로 흉부 엑스레이에서 관찰 가능하며, 폐의 불투명화 및/또는 폐 용적 감소와 같은 소견을 보일 수 있다. 수술 후 무기폐는 양쪽 기저부에서 나타나는 양상을 보인다. 무기폐의 원인이 임상적으로 명확하지 않은 경우 흉부 CT 또는 기관지 내시경이 필요할 수 있다.[10] 무기폐의 직접적인 징후로는 엽간 열구 및 흉강 내 이동성 구조의 변위, 영향을 받지 않은 동측 폐엽 또는 반대쪽 폐의 과도한 팽창, 그리고 허탈된 폐엽의 불투명화가 있다.[10] 흉부 엑스레이에서 임상적으로 유의미한 소견 외에도, 환자는 횡격막의 상승, 기관, 심장 및 종격동의 이동, 폐문의 변위 및 육아종의 이동과 같은 간접적인 징후와 증상을 나타낼 수 있다.[10]
- 동맥혈 가스(ABG)
- 흉부 엑스레이 사진
- 흉부 CT

5. 분류
무기폐는 급성 또는 만성 질환일 수 있다. 급성 무기폐에서는 폐가 최근에 허탈되었으며 주로 무공기증만 나타난다. 만성 무기폐에서는 영향을 받은 부위가 무공기증, 감염, 기관지 확장증, 파괴 및 흉터(섬유증)의 복잡한 혼합으로 특징지어진다.[1]
5. 1. 급성 무기폐
급성 무기폐에는 흡수 무기폐, 압박 무기폐, 수축 무기폐, 반점 무기폐의 네 가지 유형이 있다.전투기 승무원 등이 초음속 비행으로 인해 발생한 강한 압력으로 좁은 기도가 막혀 발병하는 경우가 있다. 이러한 현상을 하측 무기폐라고 하며, 좌우 폐의 대부분의 폐포가 찌그러진다.
교통사고나 추락 등으로 흉부에 강한 충격을 받았을 경우나 폭풍 등의 급격한 압력 변화에 노출되었을 경우에도 급성 무기폐가 발생한다. 무기폐가 된 직후에는 단순히 폐에 공기가 없을 뿐이지만, 충혈을 동반하는 경우에는 폐 조직의 파괴와 반흔화에 의해 만성 무기폐가 일어나는 경우도 있다.
5. 2. 만성 무기폐
만성 무기폐에서는 영향을 받은 부위가 종종 무공기증, 감염, 기관지 확장증, 파괴 및 흉터(섬유증)의 복잡한 혼합으로 특징지어진다.[1] 만성 무기폐는 우중엽 증후군 또는 둥근 무기폐의 두 가지 형태로 나타날 수 있다.6. 치료
무기폐의 치료는 무기폐를 일으킨 질환을 고침으로써 수행된다. 수술 후 발생한 무기폐의 경우 물리치료를 통해 치료되며, 깊은 숨쉬기에 집중하고 기침을 하도록 유도한다.
치료의 초점은 근본 원인을 교정하는 데 맞춘다. 낭성 섬유증과 폐렴 환자에게서 보이는 기도 내 점액 마개로 인한 무기폐 증상에는 아세틸시스테인(NAC)과 같은 점액 용해제가 사용된다. 이 분무 치료는 점액 복합체 내의 무코단백질에서 이황화 결합을 끊어 점액의 점성 및 탄성을 줄여 점액 제거를 용이하게 한다.[16] 수술 후 무기폐는 심호흡과 기침을 유도하는 물리 치료로 치료한다. 흡기 유량계는 호흡 운동의 일부로 자주 사용된다. 걷기 역시 폐 확장을 개선하기 위해 적극 권장된다. 흉부 기형이나 장기간 얕은 호흡을 유발하는 신경학적 질환이 있는 사람들은 호흡을 돕는 기계 장치의 도움을 받을 수 있다.
급성 대량 무기폐의 주요 치료법은 근본 원인을 교정하는 것이다. 기침이나 흡인으로 제거할 수 없는 막힘은 기관지경 검사로 제거할 수 있는 경우가 많다. 감염 시에는 항생제가 투여된다. 만성 무기폐는 감염이 거의 불가피하기 때문에 항생제로 치료하는 경우가 많다. 특정 경우에는 재발성 또는 만성 감염으로 인해 기능 장애가 발생하거나 출혈이 심각해질 경우, 영향을 받은 폐 부분을 수술로 제거할 수 있다. 종양이 기도를 막고 있는 경우, 수술, 방사선 치료, 화학 요법 또는 레이저 치료를 통해 폐쇄를 완화하면 무기폐의 진행과 재발성 폐쇄성 폐렴의 발생을 예방할 수 있다.
참조
[1]
서적
Medical Terminology Systems: A Body Systems Approach: A Body Systems Approach
F. A. Davis Company
[2]
서적
Cystic Fibrosis: A Guide for Patient and Family
https://books.google[...]
Lippincott Williams & Wilkins
2004
[3]
웹사이트
Atelectasis
http://www.mayoclini[...]
2017-02-20
[4]
논문
Lack of Association Between Atelectasis and Fever
1995-01
[5]
논문
Atelectasis as a Cause of Postoperative Fever
2011-08
[6]
서적
Nunn's Applied Respiratory Physiology
Elsevier
2017
[7]
웹사이트
Atelectasis
https://emedicine.me[...]
2018-02-02
[8]
간행물
The RAF institute of aviation medicine 1945-1994 contributions to aviation and flight safety
https://www.rafmuseu[...]
2008
[9]
웹사이트
Review of acceleration atelectasis: An old problem in new settings
http://asmameeting.o[...]
IAMFSP
[10]
문서
Types and mechanisms of pulmonary atelectasis
1996
[11]
서적
Basic Clinical Lab Competencies for Respiratory Care, 4th ed.
Delmar Cengage Learning
[12]
서적
Basic Pathology
Elsevier
[13]
웹사이트
Lung atelectasis
https://radiopaedia.[...]
2017-02-20
[14]
서적
Kaplan medical pathology lecture notes book
2019
[15]
논문
Lung folding simulating peripheral pulmonary neoplasm (Blesovsky's syndrome)
[16]
서적
StatPearls
StatPearls
[17]
서적
Medical Terminology Systems: A Body Systems Approach: A Body Systems Approach
https://archive.org/[...]
F. A. Davis Company
[18]
웹인용
Atelectasis
http://www.mayoclini[...]
2017-02-20
본 사이트는 AI가 위키백과와 뉴스 기사,정부 간행물,학술 논문등을 바탕으로 정보를 가공하여 제공하는 백과사전형 서비스입니다.
모든 문서는 AI에 의해 자동 생성되며, CC BY-SA 4.0 라이선스에 따라 이용할 수 있습니다.
하지만, 위키백과나 뉴스 기사 자체에 오류, 부정확한 정보, 또는 가짜 뉴스가 포함될 수 있으며, AI는 이러한 내용을 완벽하게 걸러내지 못할 수 있습니다.
따라서 제공되는 정보에 일부 오류나 편향이 있을 수 있으므로, 중요한 정보는 반드시 다른 출처를 통해 교차 검증하시기 바랍니다.
문의하기 : help@durumis.com