발목
"오늘의AI위키"의 AI를 통해 더욱 풍부하고 폭넓은 지식 경험을 누리세요.
1. 개요
발목은 다리와 발을 연결하는 부위로, 경골, 비골, 목말뼈로 구성된 족관절을 포함한다. 족관절은 발등굽힘과 발바닥굽힘을 가능하게 하며, 인대와 힘줄, 기계수용기를 통해 안정성과 고유수용성 감각을 제공한다. 발목은 보행에 중요한 역할을 하며, 염좌나 골절과 같은 외상성 손상에 취약하다. X-ray 및 기타 영상 진단을 통해 발목의 이상을 평가할 수 있으며, 만곡족과 같은 기형도 발생할 수 있다.
더 읽어볼만한 페이지
- 발 - 엄지발가락
엄지발가락은 발의 가장 안쪽에 위치한 첫 번째 발가락으로, 신체 균형 유지와 보행에 중요한 역할을 하며, 현대 사회 활동적인 라이프스타일 유지에 필수적 요소로 다양한 신발 디자인과 과도한 운동으로 관련 질환 발생률이 증가하고, 한국 사회에서는 예로부터 발 건강에 대한 관심이 높아 관련 제품과 서비스 시장이 확대되고 있으며, 미래에는 개인 맞춤형 건강 관리 시스템과 연계되어 더욱 중요성이 부각될 것으로 전망된다. - 발 - 발바닥
발바닥은 발의 아래쪽 면으로, 걷거나 서 있을 때 지면과 접촉하며, 두꺼운 피부층, 고밀도 땀샘, 털과 색소 없음, 체중 지탱, 충격 흡수, 족저근막 지지, 다양한 발 근육, 풍부한 신경 분포 등의 특징을 가진다. - 관절 - 팔꿈치
팔꿈치는 위팔과 아래팔을 굽힘, 폄, 회전 운동이 가능하도록 연결하는 관절 부위로, 뼈, 인대, 근육, 혈관, 신경 등 복잡한 구조로 이루어져 있으며 테니스 엘보, 골프 엘보 등의 부상과 류마티스 관절염, 주관 증후군 등의 질환이 발생할 수 있다. - 관절 - 활액
활액은 활막 관절의 윤활 작용을 하는 혈장 성분과 단백질로 이루어진 점액성 액체로, 관절 연골에 영양을 공급하고 마찰을 줄여 관절 운동을 돕고, 활액 분석은 관절 질환 진단에 중요하다. - 하지해부학 - 넓적다리
넓적다리는 대퇴골을 중심으로 근막에 의해 세 개의 구획으로 나뉘며, 각 구획의 근육들은 고관절과 무릎관절의 움직임에 중요한 역할을 하고, 대퇴동맥과 폐쇄동맥을 통해 혈액을 공급받으며, 다양한 질환 및 사회문화적 인식과 관련되어 있다. - 하지해부학 - 발
발은 척추동물의 다리 끝부분으로, 26개의 뼈와 33개의 관절 등으로 이루어져 보행을 가능하게 하며, 사람의 발은 직립보행에 적합한 구조와 아치를 가지고 있고, 측정 단위나 관용구 등 다양한 의미로도 사용된다.
2. 구조
발목 부위는 다리와 발의 접합부에 위치한다. 다리의 가장 좁은 지점부터 아래쪽(원위부)으로 뻗어 있으며, 뒤꿈치와 발의 위쪽 면(배부)에 더 가까운 발의 부분(근위부)을 포함한다.[19]
2. 1. 뼈
2. 2. 발목 관절 (Ankle Joint)
족관절은 인체에서 유일한 장부맞춤 관절이며,[8] 이 용어는 뼈대 구조를 같은 이름의 목공 관절에 비유한 것이다. 발목의 뼈 구조는 경골, 비골, 그리고 목말의 세 뼈로 구성된다. 경골의 관절면은 ''plafond'' (프랑스어/plafond프랑스어로 "천장")라고 불린다.[9] 내측 복사는 경골 내측에서 원위부로 뻗어 있는 뼈 돌기이다. 비골의 가장 원위부는 외측 복사라고 불린다. 복사뼈는 지지 인대와 함께 경골 아래의 목말뼈를 안정시킨다.발꿈치밑 관절의 움직임이 발의 위치를 잡는 데 상당한 기여를 하기 때문에 일부 저자는 이를 아래쪽 발목 관절로 묘사하고, 목말 경골 관절을 위쪽 발목 관절이라고 부르기도 한다.[10] 발목 관절에서 일어나는 해부학적 운동 용어는 발등굽힘과 발바닥굽힘이다. 발이 발바닥굽힘될 때, 발목 관절은 또한 좌우 활주, 회전, 내전 및 외전의 움직임을 허용한다.[11]
경골 천장과 두 복사뼈에 의해 형성된 뼈 아치는 발목 "장부맞춤" (또는 목말 장부맞춤)이라고 불린다. 장부맞춤은 직사각형 소켓이다.[1] 발목은 목말 경골 관절 (목말 경골 관절, 경골목말 관절, 목말 장부맞춤, 목말 관절이라고도 함), 발꿈치밑 관절 (목말 종골 관절이라고도 함) 및 아래쪽 정강뼈 섬유 관절의 세 개의 관절로 구성된다.[3][4][5] 발목의 모든 뼈의 관절 표면은 관절 연골로 덮여 있다.
발목의 뼈 사이의 거리는 다음과 같다:[12]
- 목말 - 내측 복사: 1.70 ± 0.13 mm
- 목말 - 경골 천장: 2.04 ± 0.29 mm
- 목말 - 외측 복사: 2.13 ± 0.20 mm
거리가 감소하면 골관절염을 나타낸다.
2. 3. 인대 (Ligaments)

발목 관절은 강력한 삼각인대와 3개의 외측 인대, 즉 전방 거비 인대, 후방 거비 인대, 종비 인대에 의해 연결되어 있다.[13]
- ''삼각인대''는 관절의 내측을 지지하며, 경골 내과에 부착되어 거골 선반, 주상골 거골 인대, 주상골 조면, 그리고 거골의 내측면에 4곳에서 연결된다.
- ''전방'' 및 ''후방 거비 인대''는 비골의 외측 복사에서 거골의 배측 및 복측 말단까지 관절의 외측을 지지한다.
- ''종비 인대''는 외측 복사에 부착되어 종골의 외측면에 닿는다.
관절 자체를 가로지르지는 않지만, 신디스모틱 인대는 발목의 안정성에 중요한 기여를 한다. 이 인대는 신디스모시스, 즉 원위 비골의 내측면과 원위 경골의 외측면 사이의 관절을 가로지른다. 이 인대의 단독 부상은 종종 발목 인대 고위 부상이라고 불린다.
발목 관절의 뼈 구조는 배굴 시 가장 안정적이다. 따라서 발목 염좌는 인대 지지가 이 자세에서 더 중요하기 때문에 발목이 저굴되었을 때 발생할 가능성이 더 높다. 전형적인 발목 염좌는 전방 거비 인대(ATFL)를 포함하며, 이는 내번 염좌 시 가장 흔하게 손상되는 인대이기도 하다. 심한 발목 염좌 시 손상될 수 있는 또 다른 인대는 종비 인대이다.
2. 4. 지지띠, 힘줄, 윤활집, 혈관 및 신경 (Retinacula, tendons and their synovial sheaths, vessels, and nerves)
발목 부위에는 여러 개의 힘줄이 통과한다. 지지대(단수: 지지끈)라고 하는 결합 조직 띠는 힘줄이 다리와 발 사이의 각도에서 솟아오르지 않고 힘을 가할 수 있도록 하며, 이를 활시위 현상이라고 한다.[10]발의 위쪽 폄근 지지대는 아래쪽(원위부) 끝 부분 근처의 정강뼈와 종아리뼈의 앞쪽 표면 사이로 뻗어 있다. 여기에는 앞정강 동맥과 앞정강 정맥이 있으며, 힘줄집 안에는 앞정강근의 힘줄과 힘줄집이 없는 긴엄지폄근 및 긴발가락폄근의 힘줄이 있다. 깊은 종아리 신경은 지지대 아래를 지나고 얕은 종아리 신경은 그 바깥에 있다. 발의 아래쪽 폄근 지지대는 Y자 모양의 구조이다. 외측 부착 부위는 발꿈치뼈에 있으며, 이 띠는 앞쪽 정강뼈를 향해 이동하여 부착되고 위쪽 폄근 지지대와 합쳐진다. 이 과정과 함께 띠는 분리되어 다른 부분이 발바닥널힘줄에 부착된다. 위쪽 폄근 지지대를 통과하는 힘줄은 모두 아래쪽 폄근 지지대를 통과하는 경로를 따라 힘줄집에 싸여 있으며, 제3종아리근의 힘줄 또한 지지대 안에 들어 있다.
발의 굽힘근 지지대는 안쪽 복사에서 발꿈치뼈의 안쪽 돌기까지 뻗어 있으며, 안쪽에서 가쪽으로 다음과 같은 구조를 차례로 포함한다. 뒤정강근의 힘줄, 긴발가락굽힘근의 힘줄, 뒤정강 동맥과 뒤정강 정맥, 정강 신경, 긴엄지굽힘근의 힘줄.
종아리 지지대는 긴종아리근과 짧은종아리근의 힘줄을 발목 부위의 가쪽 면을 따라 잡아준다. 위쪽 종아리 지지대는 다리의 깊은 가로 근막과 가쪽 복사에서 발꿈치뼈까지 뻗어 있다. 아래쪽 종아리 지지대는 아래쪽 폄근 지지대에서 발꿈치뼈까지 이어지는 연속적인 연장선이다.[8]
2. 5. 기계수용기 (Mechanoreceptors)
발목의 기계수용기는 고유수용성 감각 입력을 중추 신경계(CNS)로 보낸다.[14] 근방추는 발목의 고유수용성 속성을 담당하는 주요 기계수용기 유형으로 생각된다.[15] 근방추는 지배하는 근육의 현재 길이에 대한 피드백과 발생하는 길이 변화에 대한 피드백을 CNS 시스템에 제공한다.발목 굽힘근으로부터의 근방추 피드백이 발목 관절에서 교차하는 다른 근육 수용체에 비해 고유수용성 감각에서 가장 중요한 역할을 한다는 가설이 세워졌다. 그러나 발목 관절의 다면 운동 범위로 인해 이를 담당하는 근육 그룹은 하나가 아니다.[16]
2011년에는 발목의 고유수용성 감각과 균형 수행 사이의 관계가 CNS에서 관찰되었다. 이는 발목의 수용체가 자극될 때 뇌 활동의 변화를 보기 위해 fMRI 기계를 사용하여 수행되었다.[17] 이는 발목이 균형 유지 능력과 직접적인 관련이 있음을 시사한다.
3. 기능 (Function)
과거, 발목의 운동 역할은 아리스토텔레스와 레오나르도 다 빈치에 의해 논의되었다.[18] 발목의 밀어내기가 인간 보행에서 중요한 힘을 발휘한다는 것은 의심할 여지가 없지만, 다리 흔들림에 사용되는 에너지와 전신 질량 중심을 전진시키는 데 사용되는 에너지의 양이 얼마나 되는지는 명확하지 않다.[18]
4. 임상적 의의 (Clinical Significance)

=== 외상성 손상 (Traumatic injury) ===
주요 관절 중 발목은 가장 흔하게 부상을 입는 부위이다. 체중 부하 상태에서 발의 바깥쪽 면이 다리 아래로 뒤틀리면, 외측 인대, 특히 전방 거비 인대가 찢어지기 쉽다(염좌). 이는 내측 인대보다 약하며, 거퇴 관절의 내번을 저항하기 때문이다.[19]
=== 골절 (Fractures) ===
=== 영상 진단 (Imaging) ===
의심되는 발목 병변에 대한 초기 평가는 일반적으로 투사 방사선 촬영("X-ray")을 통해 이루어진다.[20][21][22]
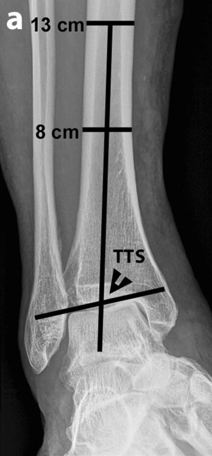
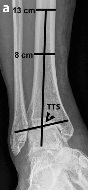
의심되는 내반 또는 외반 변형은 전면 경골거골 표면 각도(TTS)로 측정할 수 있으며, 이는 경골 중앙 종축(경골 천장 위 8cm와 13cm 지점에서 경골을 이등분하는 선 등)과 거골 표면으로 형성된다. 84도 미만의 각도는 ''내반족''으로 간주되며, 94도 이상의 각도는 ''외반족''으로 간주된다.
인대 부상의 경우, X-ray에서 세 가지 주요 지표가 있다. 첫 번째는 ''경비골 간격''으로, 후방 경골 내과의 외측 가장자리에서 비골의 내측 가장자리까지의 수평 거리이며, 5mm 초과는 비정상으로 간주된다. 두 번째는 ''경비골 중첩''으로, 비골의 내측 가장자리와 전방 경골 융기의 외측 가장자리 사이의 수평 거리이며, 10mm 미만은 비정상으로 간주된다. 마지막 측정은 ''내측 간격''으로, 내측 복사뼈의 외측면과 거골 돔 수준에서의 거골의 내측 가장자리 사이의 거리이며, 4mm 초과는 비정상으로 간주된다. 이러한 정상 해부학적 공간의 손실은 간접적으로 인대 손상 또는 잠재 골절을 반영할 수 있으며, MRI 또는 CT로 추적 관찰할 수 있다.
=== 이상 (Abnormalities) ===
만곡족 또는 발의 내반첨족은 출생 1,000명당 1~2명꼴로 발생하는 발의 기형이다.[23] 첨족은 발목의 아래쪽 굽힘을 의미하며, 말처럼 발가락으로 걷는 모습에서 유래되었다.[24] 이는 치료하지 않으면 발의 측면으로 걷게 되는 발의 안쪽 회전(내반 변형)을 동반하기 때문에 발생하지 않는다. 치료에는 도수 조작 및 깁스, 또는 수술이 포함될 수 있다.[23]
발목 관절 첨족은 일반적으로 성인에게서 나타나며, 제한된 발목 관절 운동 범위(ROM)와 관련이 있다.[25] 종아리 근육 스트레칭 운동은 일반적으로 발목 관절의 배굴을 증가시키는 데 도움이 되며, 발목 첨족으로 인한 임상 증상을 관리하는 데 사용된다.[26]
드물게 인간의 발목은 '''볼 소켓 발목 관절'''과 거골-주상골 관절의 유합을 갖는다.[27]
4. 1. 외상성 손상 (Traumatic injury)
주요 관절 중 발목은 가장 흔하게 부상을 입는 부위이다. 체중 부하 상태에서 발의 바깥쪽 면이 다리 아래로 뒤틀리면, 외측 인대, 특히 전방 거비 인대가 찢어지기 쉽다(염좌). 이는 내측 인대보다 약하며, 거퇴 관절의 내번을 저항하기 때문이다.[19]
4. 1. 1. 골절 (Fractures)
wikitable
4. 2. 영상 진단 (Imaging)
의심되는 발목 병변에 대한 초기 평가는 일반적으로 투사 방사선 촬영("X-ray")을 통해 이루어진다.[20][21][22]의심되는 내반 또는 외반 변형은 전면 경골거골 표면 각도(TTS)로 측정할 수 있으며, 이는 경골 중앙 종축(경골 천장 위 8cm와 13cm 지점에서 경골을 이등분하는 선 등)과 거골 표면으로 형성된다. 84도 미만의 각도는 ''내반족''으로 간주되며, 94도 이상의 각도는 ''외반족''으로 간주된다.
인대 부상의 경우, X-ray에서 세 가지 주요 지표가 있다. 첫 번째는 ''경비골 간격''으로, 후방 경골 내과의 외측 가장자리에서 비골의 내측 가장자리까지의 수평 거리이며, 5mm 초과는 비정상으로 간주된다. 두 번째는 ''경비골 중첩''으로, 비골의 내측 가장자리와 전방 경골 융기의 외측 가장자리 사이의 수평 거리이며, 10mm 미만은 비정상으로 간주된다. 마지막 측정은 ''내측 간격''으로, 내측 복사뼈의 외측면과 거골 돔 수준에서의 거골의 내측 가장자리 사이의 거리이며, 4mm 초과는 비정상으로 간주된다. 이러한 정상 해부학적 공간의 손실은 간접적으로 인대 손상 또는 잠재 골절을 반영할 수 있으며, MRI 또는 CT로 추적 관찰할 수 있다.
4. 3. 이상 (Abnormalities)
만곡족 또는 발의 내반첨족은 출생 1,000명당 1~2명꼴로 발생하는 발의 기형이다.[23] 첨족은 발목의 아래쪽 굽힘을 의미하며, 말처럼 발가락으로 걷는 모습에서 유래되었다.[24] 이는 치료하지 않으면 발의 측면으로 걷게 되는 발의 안쪽 회전(내반 변형)을 동반하기 때문에 발생하지 않는다. 치료에는 도수 조작 및 깁스, 또는 수술이 포함될 수 있다.[23]발목 관절 첨족은 일반적으로 성인에게서 나타나며, 제한된 발목 관절 운동 범위(ROM)와 관련이 있다.[25] 종아리 근육 스트레칭 운동은 일반적으로 발목 관절의 배굴을 증가시키는 데 도움이 되며, 발목 첨족으로 인한 임상 증상을 관리하는 데 사용된다.[26]
드물게 인간의 발목은 '''볼 소켓 발목 관절'''과 거골-주상골 관절의 유합을 갖는다.[27]
5. 역사 (History)
"ankle" 또는 "ancle"이라는 단어는 다양한 형태로 게르만어파에 흔히 쓰이며, 어원은 굽는다는 뜻의 라틴어 앙굴루스/angulusla 또는 그리스어 앙퀼로스/αγκυλοςel와 관련이 있는 것으로 보인다.[28]
6. 다른 동물 (Other animals)
wikitext
참조
[1]
서적
Clinically Oriented Anatomy
Lippincott Williams & Wilkins
[2]
서적
Webster's New World Medical Dictionary
Houghton Mifflin Harcourt
[3]
서적
Radiology Recall
https://archive.org/[...]
Lippincott Williams & Wilkins
[4]
서적
Physical Therapies in Sport and Exercise
Elsevier Health Sciences
[5]
서적
Emergency Medicine
Elsevier Health Sciences
[6]
서적
Anatomy of the Human Body
[7]
서적
Webster's New World Medical Dictionary
Houghton Mifflin Harcourt
[8]
서적
Gray's Anatomy E-Book: The Anatomical Basis of Clinical Practice
https://books.google[...]
Elsevier Health Sciences
2015-08-07
[9]
서적
"Rockwood and Green's Fractures in Adults: Two Volumes Plus Integrated Content Website (Rockwood, Green, and Wilkins' Fractures)"
Lippincott Williams & Wilkins
2012-03-29
[10]
서적
Kinesiology - E-Book: The Skeletal System and Muscle Function
https://books.google[...]
Elsevier Health Sciences
2016-08-21
[11]
웹사이트
Ankle Joint
https://www.earthsla[...]
2018-08-08
[12]
논문
Joint space width of the tibiotalar joint in the healthy foot
[13]
논문
Clinical Assessment of Ankle Joint DorsiflexionA Review of Measurement Techniques
https://doi.org/10.7[...]
[14]
논문
Mechanoreceptors in human ankle ligaments
[15]
논문
Proprioception of the ankle and knee
[16]
논문
Proprioceptive population coding of limb position in humans
[17]
논문
Brain Activity during Ankle Proprioceptive Stimulation Predicts Balance Performance in Young and Older Adults
[18]
논문
A unified perspective on ankle push-off in human walking
[19]
서적
Clinically oriented anatomy
Wolters Kluwer
[20]
논문
The reliability and validity of radiographic measurements for determining the three-dimensional position of the talus in varus and valgus osteoarthritic ankles
[21]
서적
Chapter 5 - Radiological morphology of peritalar instability in varus and valgus tilted ankles
https://pure.uva.nl/[...]
University of Amsterdam, Faculty of Medicine (AMC-UvA)
2018-09-25
[22]
논문
Radiological evaluation of a high ankle sprain.
2006-10
[23]
논문
The newborn foot.
https://pubmed.ncbi.[...]
[24]
서적
Epidemiology of Human Congenital Malformations
[25]
논문
Clinical Assessment of Ankle Joint Dorsiflexion
2011-01-01
[26]
논문
The effect of calf muscle stretching exercises on ankle joint dorsiflexion and dynamic foot pressures, force and related temporal parameters
http://eprints.staff[...]
2012-03
[27]
논문
Ball-and-socket ankle joint: Anatomical and kinematic analysis of the hindfoot
1984-09
[28]
간행물
[29]
논문
Corticospinal projections to lower limb motoneurons in man
[30]
서적
Clinically Oriented Anatomy
Lippincott Williams & Wilkins
[31]
서적
Webster's New World Medical Dictionary
Houghton Mifflin Harcourt
[32]
서적
Radiology Recall
https://archive.org/[...]
Lippincott Williams & Wilkins
[33]
서적
Physical Therapies in Sport and Exercise
Elsevier Health Sciences
[34]
서적
Emergency Medicine
Elsevier Health Sciences
본 사이트는 AI가 위키백과와 뉴스 기사,정부 간행물,학술 논문등을 바탕으로 정보를 가공하여 제공하는 백과사전형 서비스입니다.
모든 문서는 AI에 의해 자동 생성되며, CC BY-SA 4.0 라이선스에 따라 이용할 수 있습니다.
하지만, 위키백과나 뉴스 기사 자체에 오류, 부정확한 정보, 또는 가짜 뉴스가 포함될 수 있으며, AI는 이러한 내용을 완벽하게 걸러내지 못할 수 있습니다.
따라서 제공되는 정보에 일부 오류나 편향이 있을 수 있으므로, 중요한 정보는 반드시 다른 출처를 통해 교차 검증하시기 바랍니다.
문의하기 : help@durumis.com