목말뼈
"오늘의AI위키"의 AI를 통해 더욱 풍부하고 폭넓은 지식 경험을 누리세요.
1. 개요
목말뼈는 발목을 구성하는 뼈로, 불규칙한 형태를 가지며 머리, 목, 몸통의 세 부분으로 나뉜다. 머리는 발배뼈와 연결되고, 몸통은 발목 관절을 이루는 다양한 관절면을 포함한다. 목말뼈는 발생 7~8개월에 골화가 시작되며, 혈액 공급이 원활하지 않아 골절 시 회복이 느릴 수 있다. 목말뼈는 진화 과정에서 양서류의 뼈가 융합되어 형성되었으며, 포유류, 특히 우제목에서 유연성을 높이는 역할을 한다. 또한 고대부터 주사위로 사용되었으며, 몽골에서는 샤가이라는 이름으로 게임과 점에 활용된다.
더 읽어볼만한 페이지
| 목말뼈 | |
|---|---|
| 개요 | |
![]() | |
| 라틴어 | os talus, astragalus |
| 영어 | talus bone |
| 일본어 | 距骨 (きょこつ, kyokotsu) |
| 한국어 | 목말뼈 |
| 구조 | |
| 기원 | (정보 없음) |
| 부착 | (정보 없음) |
| 관절 | (정보 없음) |
| 혈액 공급 | |
| 동맥 | (정보 없음) |
| 정맥 | (정보 없음) |
| 신경 | (정보 없음) |
| 림프 | (정보 없음) |
| 기타 정보 | |
| 그레이 해부학 | 63 |
| 그레이 페이지 | 266 |
| 의학주제표제어 (MeSH) | Talus |
| 의학주제표제어 (MeSH) 연도 | (정보 없음) |
| 돌란드 처음 | (정보 없음) |
| 돌란드 끝 | (정보 없음) |
2. 구조
목말뼈는 불규칙한 모양이지만, 머리, 목, 몸통의 세 부분으로 나눌 수 있다.
앞쪽으로 튀어나온 목말뼈머리는 발배뼈와 관절하며, 머리와 몸통 사이의 울퉁불퉁한 부분인 목말뼈목에는 작은 혈관 통로가 있다.[18]
목말뼈몸통에는 여러 관절면이 있다. 위쪽에는 목말뼈도르래가 있어 두 개의 복사뼈(경골, 비골)와 마주한다.[18] 이 두 뼈가 이루는 발목 격자 구조는 발목 관절의 안정성을 높여준다. 목말뼈도르래는 뒤보다 앞에서 더 넓기 때문에 발의 위치에 따라 관절의 안정성이 달라진다. 발등굽힘 상태에서는 관절 내 인대들이 늘어나 안정되지만, 발바닥쪽굽힘 상태에서는 목말뼈도르래의 좁은 넓이로 인해 안정성이 줄어든다.[19] 목말뼈도르래 뒷면에는 뒤쪽 돌기가 있는데, 가쪽과 안쪽으로 결절이 있고, 그 사이로 긴엄지굽힘근의 힘줄이 지나가는 고랑이 있다. 가쪽 결절로는 "덧목말뼈"라는 독립적인 뼈가 생성되기도 한다.[18] 뼈 아래쪽에는 발꿈치뼈와 관절하는 세 개의 관절면이 있고, 여러 인대가 이 관절을 지지한다.[18]
목말뼈의 골화중심은 발생 7~8개월에 생성된다.[18]
목말뼈는 혈액 공급이 원활하지 않아 부러지면 회복이 더 오래 걸릴 수 있다. 혈액 공급이 부족하면 영양분과 산소를 충분히 받지 못해 회복이 느려지기 때문이다. 따라서 골절 환자는 목발을 짚고 몇 달 동안 걸어야 하며, 깁스나 보조기가 필요할 수 있다.
2. 1. 머리
발배뼈와 관절하는 목말뼈 머리는 앞쪽과 안쪽을 향한다. 앞쪽 관절면은 크고 타원형이며 볼록하다. 아래쪽 표면에는 두 개의 면이 있다.[7]안쪽 면은 중간 발꿈치 면 앞쪽에 있으며, 볼록하고 삼각형 또는 반타원형이다. 발꿈치발배인대 위에 놓인다. 가쪽 면은 앞쪽 발꿈치 관절면이라고 불리며, 다소 평평하다. 발꿈치뼈 앞쪽 부분의 윗면에 있는 면과 연결된다.[7]
2. 2. 목
목말뼈 목은 몸통과 머리 사이의 좁아진 부분으로, 앞쪽 안쪽으로 향한다. 위쪽과 안쪽 표면은 거칠어서 인대가 부착되고, 가쪽 표면은 오목하다. 아래쪽에는 뼈사이목말발꿈치인대를 위한 깊은 고랑이 있다.[7]2. 3. 몸통
목말뼈 몸통은 목말뼈 부피의 대부분을 차지하며, 위쪽, 아래쪽, 안쪽, 가쪽, 뒤쪽의 다섯 개 면을 가진다.[7]- 위쪽 면은 경골과 연결되는 매끄러운 도르래(활차)면을 가지고 있다. 이 도르래는 앞쪽이 뒤쪽보다 넓고, 앞뒤로는 볼록하며, 양옆으로는 약간 오목하다.
- 아래쪽 면에는 발꿈치뼈와 연결되는 두 개의 관절면(뒤쪽 및 중간 발꿈치뼈 면)이 있다. 이들은 목말뼈 고랑(talus sulcus)이라는 깊은 고랑으로 분리되어 있으며, 이 고랑은 뼈사이 목말발꿈치 인대가 채우는 통로(굴, sinus tarsi)를 형성한다.
- 안쪽 면에는 윗부분에 안쪽 복사뼈를 위한 배 모양 관절면이 있고, 그 아래에는 발목 관절의 삼각 인대 부착을 위한 거친 함몰부가 있다.
- 가쪽 면에는 가쪽 복사뼈와 연결되는 크고 삼각형 모양의 면이 있으며, 앞쪽에는 앞쪽 목말종아리 인대 부착을 위한 거친 함몰부가 있다.
- 뒤쪽 면은 좁고, 발가락 긴 굽힘근의 힘줄이 지나는 고랑이 있으며, 고랑 가쪽에는 뒤쪽 돌기가 있다. 뒤쪽 돌기는 덧목말뼈(삼각골)로 분리되기도 한다.
2. 3. 1. 덧목말뼈 (삼각골)

뒤쪽 돌기의 외측 결절은 예외적으로 덧목말뼈라는 독립적인 뼈를 형성하기도 한다. 이는 ''원위 중간 발목뼈''를 나타낼 수 있다.[3] 뒤쪽 면은 좁고, 비스듬히 아래쪽과 안쪽으로 뻗어 발가락 긴 굽힘근의 힘줄이 지나가는 고랑이 있다. 고랑 가쪽에는 뒤쪽 목말종아리 인대가 부착되는 두드러진 결절인 뒤쪽 돌기가 있다. 이 돌기는 때때로 나머지 목말뼈에서 분리되며, 이 경우 삼각골로 알려진다.[7]
3. 발생
목말뼈의 골화중심은 발생 7~8개월에 생성된다.[18] [3]
4. 임상적 중요성

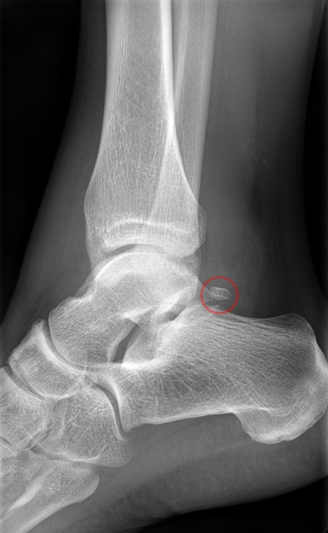
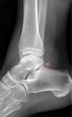
목말뼈는 혈액 공급이 원활하지 않아 골절 시 회복이 더딜 수 있다. 목말뼈 부상은 인지하기 어려울 수 있으며,[8][9] 특히 외측 돌기 골절은 방사선 사진상으로 나타나지 않을 수 있다.
4. 1. 골절
목말뼈는 혈액 공급이 원활하지 않아 골절 시 회복이 더딜 수 있다. 이 때문에 골절된 목말뼈는 다른 뼈보다 회복하는 데 더 오래 걸릴 수 있다. 목말뼈가 골절된 사람은 목발 없이 몇 달 동안 걷지 못할 수 있으며, 그 후에는 보행 보조기나 부츠와 같은 보조기를 착용해야 한다.[8][9]목말뼈 부상은 인지하기 어려울 수 있으며, 특히 외측 돌기 골절은 방사선 사진상으로 나타나지 않을 수 있다. 적절하게 인식하고 관리하지 않으면 목말뼈 골절은 합병증과 장기적인 문제를 야기할 수 있다. 2015년 연구에서는 고립된 목말뼈 몸통 골절이 이전에 생각했던 것보다 더 흔할 수 있다는 결론을 내렸다.[10]
골절된 목말뼈 몸통은 종종 탈구를 동반하며, 이는 CT 촬영을 통해 가장 잘 확인할 수 있다. 목말뼈 골절에 탈구가 동반된 경우 발목과 뒷발의 기능을 최적화하기 위해 관절 및 축 정렬을 복원해야 한다.[8]
4. 2. 관절 탈구
골절된 목말뼈 몸통은 종종 탈구를 동반하며, 이는 CT 촬영을 통해 가장 잘 확인할 수 있다.[8] 목말뼈 골절에 탈구가 동반된 경우 발목과 뒤발(후족부) 기능을 최적화하기 위해 관절 및 축 정렬을 복원해야 한다.[8]5. 진화
목말뼈는 원시 양서류의 발에 존재했던 경골, 중간뼈, 네 번째 중심골의 세 뼈가 융합된 것이다. 이 뼈들은 현대 양서류에서는 여전히 분리되어 존재한다. 목말뼈는 파충류보다 포유류에서 더 유연한 관절을 형성하는데, 특히 우제류에서 두드러지며, 목말뼈의 원위 표면이 매끄러운 용골을 가지고 있어 발의 움직임 자유도를 높여 달리는 속도를 증가시킨다.[12]
포유류가 아닌 양막류에서는 일반적으로 목말뼈를 거골이라고 부른다. 현대 악어에서 거골은 종골에 삽입되는 핀을 가지고 있으며, 발목 관절은 두 발목뼈 사이로 이어진다. 이러한 상태를 "악어형"이라고 하며, 공룡류의 조상 상태였을 가능성이 높다. 공룡 (현대 조류 포함)과 익룡에서 발목 경첩은 두 발목뼈의 원위부에 위치한다. 발꿈치뼈에 핀이 있고 거골에 소켓이 있는 "악어 반전형" 발목 관절을 가진 공룡류는 드물다.[13][14][15]
5. 1. 조류에서의 변화
조류로 이어지는 수각류 공룡 계통에서 목말뼈(거골)는 크기가 점차 증가하여 발목 관절의 전체 근위면(몸쪽 표면)을 형성한다. 또한 전방 상향 돌기가 점점 더 근위 방향(몸쪽 방향)으로 확장된다. 현대 조류에서 거골은 경골과 융합되어 경골발목뼈를 형성한다.[16]6. 다른 동물
양막류에서는 일반적으로 목말뼈를 거골이라고 부른다. 현대 악어에서 거골은 종골에 있는 소켓에 삽입되는 핀을 가지고 있으며, 발목 관절의 경첩은 두 발목뼈 사이로 이어진다. 이러한 상태를 "악어형"이라고 한다. "악어형" 발목 관절은 공룡류의 조상 상태였을 가능성이 높다. 공룡 (현대 조류 포함)과 익룡에서 발목의 경첩은 두 발목뼈의 원위부에 위치한다.[13][14] 발꿈치뼈에 핀이 있고 거골에 소켓이 있는 "악어 반전형" 발목 관절을 가진 공룡류는 훨씬 더 드물다.[15]
조류로 이어지는 수각류 공룡 계통에서 거골은 크기가 점차 증가하여 발목 관절의 전체 근위면을 형성한다. 또한 전방 상향 돌기가 점점 더 근위 방향으로 확장된다. 현대 조류에서 거골은 경골과 융합되어 경골발목뼈를 형성한다.[16]
7. 주사위로 사용
굽이 있는 동물들의 목말뼈는 사면체 형태를 하고 있어 여러 놀이와 도박에서 주사위로 사용되었다.[21] 이 뼈는 원래 발굽이 있는 동물의 목말뼈로 만들어져 "뼈"라고 불리기도 했으며, 구어체로는 "너클본"이라고도 한다. 고대 아시아와 지중해 세계에서는 동물의 목말뼈(라틴어: astragalus), 특히 양의 목말뼈를 주사위로 사용해 도박, 놀이, 점을 쳤다. 한자로는 '骰子'라고 쓰는데, 이는 본래 '던지는 뼈'를 의미한다.
7. 1. 샤가이
현대 몽골에서는 샤가이를 양이나 늑대의 목말뼈를 이용해 놀이와 점을 치는 데 사용하며, 각 조각은 상징적인 의미를 지닌다.[11]8. 같이 보기
- 경골
- 비골
- 주상골
- 종골
참조
[1]
서적
Mosby's Medical, Nursing & Allied Health Dictionary
Mosby-Year Book Inc.
1994
[2]
사전
tālus
http://www.perseus.t[...]
Clarendon Press
1879
[3]
문서
Platzer
2004
[4]
서적
Bevægeapparatets anatomi
Munksgaard Danmark
[5]
서적
Radiology of skeletal trauma - Volume 2
https://books.google[...]
1992
[6]
문서
Thieme Atlas of Anatomy
2006
[7]
문서
Gray's Anatomy
1918
[8]
학술지
Fractures of the Talus: State of the Art
2015-09
[9]
학술지
Talar Fractures and Dislocations: A Radiologist's Guide to Timely Diagnosis and Classification
2015
[10]
학술지
Talar Fractures and Dislocations: A Radiologist's Guide to Timely Diagnosis and Classification
2015
[11]
서적
Mongolian music, dance and oral narrative : performing diverse identities.
https://books.google[...]
Univ. of Washington Press
2001
[12]
서적
The Vertebrate Body
Holt-Saunders International
[13]
학술지
The earliest bird-line archosaurs and the assembly of the dinosaur body plan
https://www.nature.c[...]
2017-04
[14]
학술지
Does Archosaur Phylogeny Hinge on the Ankle Joint?
https://www.jstor.or[...]
1998
[15]
학술지
Ornithosuchidae: a group of Triassic archosaurs with a unique ankle joint
https://doi.org/10.1[...]
2013
[16]
서적
Avian evolution : the fossil record of birds and its paleobiological significance
http://worldcat.org/[...]
John Wiley & Sons
2016-10-31
[17]
Kotobank
2024-10-21
[18]
문서
Platzer
2004
[19]
문서
Thieme Atlas of Anatomy
2006
[20]
서적
[21]
서적
http://books.google.[...]
본 사이트는 AI가 위키백과와 뉴스 기사,정부 간행물,학술 논문등을 바탕으로 정보를 가공하여 제공하는 백과사전형 서비스입니다.
모든 문서는 AI에 의해 자동 생성되며, CC BY-SA 4.0 라이선스에 따라 이용할 수 있습니다.
하지만, 위키백과나 뉴스 기사 자체에 오류, 부정확한 정보, 또는 가짜 뉴스가 포함될 수 있으며, AI는 이러한 내용을 완벽하게 걸러내지 못할 수 있습니다.
따라서 제공되는 정보에 일부 오류나 편향이 있을 수 있으므로, 중요한 정보는 반드시 다른 출처를 통해 교차 검증하시기 바랍니다.
문의하기 : help@durumis.com
