관 (해부학)
"오늘의AI위키"의 AI를 통해 더욱 풍부하고 폭넓은 지식 경험을 누리세요.
1. 개요
관은 신체 내에서 특정 물질을 운반하는 통로를 의미하며, 다양한 종류가 존재한다. 젖샘관은 젖샘에서 젖꼭지로 젖을, 쓸개주머니관과 온간관은 쓸개즙을, 이자관은 소화 효소와 쓸개즙을, 사정관은 정액을, 침샘관은 침을, 바르톨린관은 바르톨린액을, 대뇌수도관은 뇌척수액을 운반한다. 관 시스템은 소엽내관, 소엽간관, 엽관 등으로 분류되며, 소엽내관은 끼임관과 줄무늬관으로 구성된다. 이러한 관들은 분비액을 생성하는 샘꽈리에서 표적 부위로 물질을 이동시키는 역할을 한다.
더 읽어볼만한 페이지
| 관 (해부학) | |
|---|---|
| 개요 | |
| 설명 | 신체 기관이나 샘에서 액체나 다른 물질을 운반하는 통로 |
| 추가 정보 | |
| 관련 항목 | 관 (언어학) |
![]() | |
![]() | |
2. 관의 종류
인체에는 다양한 종류의 관이 존재하며, 각각 고유한 기능과 구조를 가진다.
| 이름 | 시작 지점 | 도착 지점 | 운반하는 물질 |
|---|---|---|---|
| 젖샘관 | 젖샘 | 젖꼭지 | 젖 |
| 쓸개주머니관 | 쓸개 | 온쓸개관 | 쓸개즙 |
| 온간관 | 간 | 온쓸개관 | 쓸개즙 |
| 온쓸개관 | 온간관과 쓸개주머니관 | 이자관 | 쓸개즙 |
| 이자관 | 이자 | 바터팽대부 | 쓸개즙과 이자의 소화효소 |
| 사정관 | 수정관 | 요도 | 정액 |
| 귀밑샘관 | 귀밑샘 | 입 | 침 |
| 턱밑샘관 | 턱밑샘 | 입 | 침 |
| 혀밑샘관 | 혀밑샘 | 입 | 침 |
| 바르톨린관 | 바르톨린샘 | 외음부 | 바르톨린액 |
| 대뇌수도관 | 제4뇌실 | 제3뇌실 | 뇌척수액 |
분비액을 생성하는 샘꽈리에서 표적 부위로 이동하면서 관은 더 커지고 상피는 더 두꺼워진다. 이 시스템의 부분은 다음과 같이 분류된다.
일부 자료에서는 "엽관"을 "소엽간관"과 동일하게 간주하는 반면, 다른 자료에서는 엽관을 샘꽈리에서 더 크고 더 먼 곳에 위치한 것으로 간주한다.
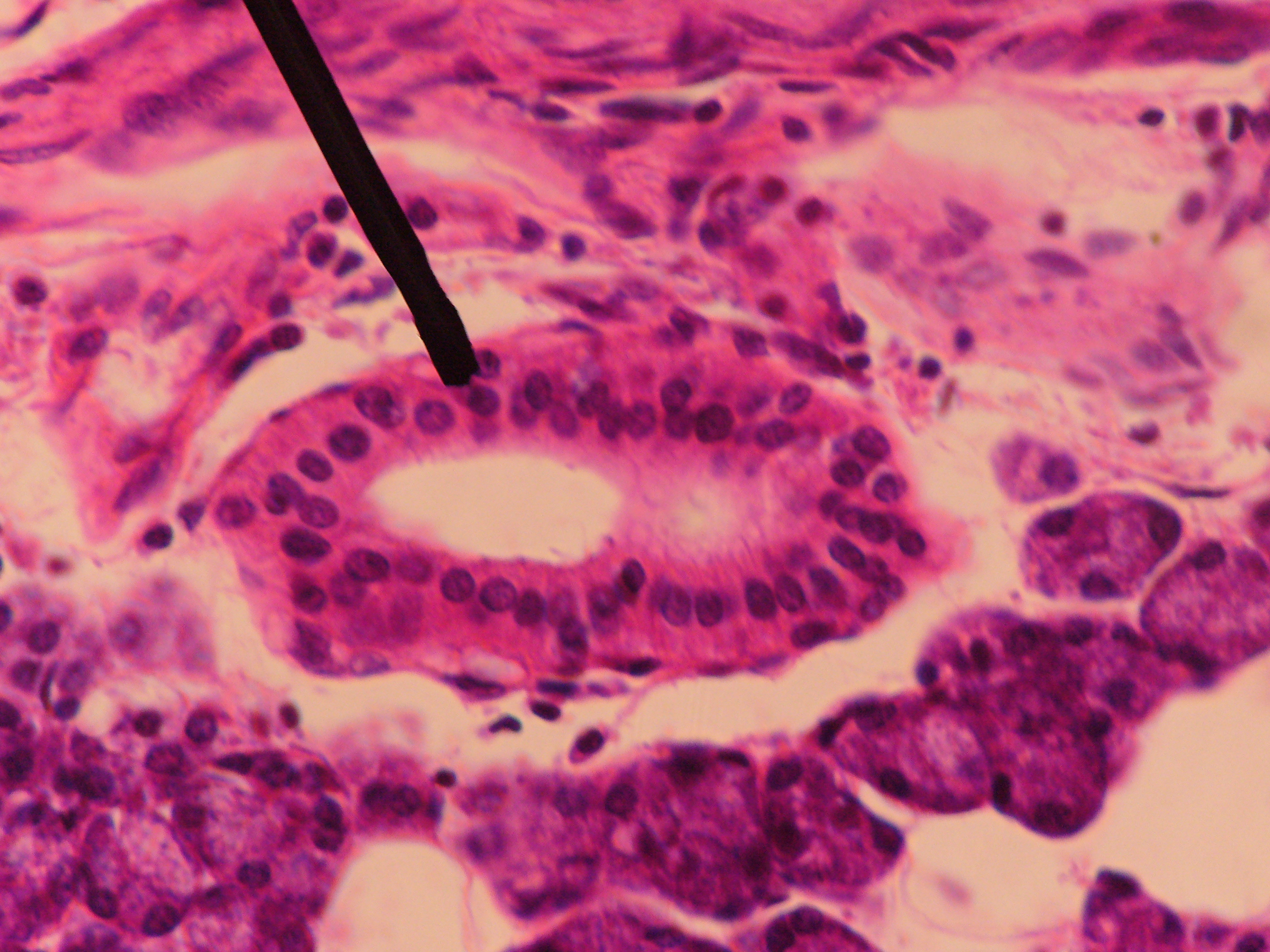
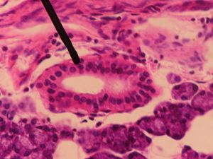
'''끼워넣인관'''(볼관)은 외분비샘에서 샘꽈리에서 줄무늬관으로 직접 연결되는 부분이다. 소엽내관의 일부를 형성하며, 관 시스템 중 가장 얇은 상피를 가진다. 상피는 일반적으로 "낮은" 단순입방상피로 분류된다.[1] 이자[2][3][4]와 침샘[5][6][7] 모두에서 발견된다.
소엽내관은 외분비샘 내의 소엽에 위치하며, 샘꽈리에서 바로 소엽간관(소엽 사이)으로 연결되는 부분이다. 끼임관과 줄무늬관의 두 하위 구획으로 구성된다. 인간의 유선에서 소엽내관은 소엽 내에 위치하는 샘 시스템의 일부이다. 소엽에는 소엽내관에 의해 분비성 샘포가 배출되는 여러 개의 관 묶음이 포함되어 있다. 소엽내관은 일반적으로 근상피세포로 덮인 단층 입방 상피세포로 덮여 있다. 소엽의 소엽내관은 소엽 사이의 소엽간관으로 배출된다. 췌장[14][15][16]과 침샘[17]에서 관찰할 수 있다.
2. 1. 주요 분비샘 관
인체에는 여러 분비샘에서 생성되는 물질을 운반하는 관들이 존재한다. 주요 분비샘 관에는 다음과 같은 것들이 있다.| 이름 | 시작 지점 | 도착 지점 | 운반하는 물질 |
|---|---|---|---|
| 젖샘관 | 젖샘 | 젖꼭지 | 젖 |
| 쓸개주머니관 | 쓸개 | 온쓸개관 | 쓸개즙 |
| 온간관 | 간 | 온쓸개관 | 쓸개즙 |
| 온쓸개관 | 온간관과 쓸개주머니관 | 이자관 | 쓸개즙 |
| 이자관 | 이자 | 바터팽대부 | 쓸개즙과 이자의 소화효소 |
| 사정관 | 수정관 | 요도 | 정액 |
| 귀밑샘관 | 귀밑샘 | 입 | 침 |
| 턱밑샘관 | 턱밑샘 | 입 | 침 |
| 혀밑샘관 | 혀밑샘 | 입 | 침 |
| 바르톨린관 | 바르톨린샘 | 외음부 | 바르톨린액 |
| 대뇌수도관 | 제4뇌실 | 제3뇌실 | 뇌척수액 |
2. 1. 1. 젖샘관
젖샘에서 젖꼭지로 젖을 운반하는 관이다. Lactiferous duct영어은 젖샘에서 젖꼭지로 젖을 운반하며, 모유 수유와 관련하여 여성 건강에 중요한 역할을 한다.
2. 1. 2. 쓸개관 (담관)
쓸개즙을 쓸개에서 온쓸개관으로 운반하는 쓸개주머니관, 쓸개즙을 간에서 온쓸개관으로 운반하는 온간관이 있다. 온간관과 쓸개주머니관이 합쳐져 이자관으로 연결되는 관은 온쓸개관이다. 이들 관은 간, 쓸개, 이자에서 생성되는 쓸개즙을 운반하며, 쓸개즙은 지방 소화에 필수적이다. 또한, 담석, 담낭염 등 한국인에게 흔한 질병과 관련이 깊다.[1]
2. 1. 3. 이자관 (췌장관)
이자에서 생성되는 소화 효소와 쓸개즙을 바터팽대부로 운반하는 관이다. 급성 췌장염, 만성 췌장염 등 췌장 질환과 관련이 있다.
2. 1. 4. 침샘관
귀밑샘에서 입 안으로 침을 운반하는 귀밑샘관이 있다.[8] 턱밑샘에서 입 안으로 침을 운반하는 턱밑샘관이 있다.[8] 혀밑샘에서 입 안으로 침을 운반하는 혀밑샘관이 있다.[8]'''줄무늬관'''은 샘관으로, 삽입관을 소엽간 관과 연결한다. 이 관은 수많은 미토콘드리아에 의한 이온 펌핑 활동의 특징인 형질막의 기저 함입으로 특징지어진다.[8][9] 삽입관과 함께 HCO3− 및 K+를 분비하고 Na+ 및 Cl−을 재흡수하여 타액을 저장하는 기능, Na-K 펌프 및 Cl-HCO3 펌프를 사용하여 타액을 저장하는 기능이 있다.
이들의 상피는 단순 입방 또는 단순 원주일 수 있다.[10]
줄무늬관은 소엽내 관의 일부이다.
이들은 턱밑샘,[11][12] 혀밑샘 및 귀밑샘에서 발견되지만, 귀밑샘에서 더 발달되어 있다.[13]
췌장에는 존재하지 않는다.
2. 2. 기타 관
인체에는 다음과 같은 관들이 있다.| 이름 | 시작 지점 | 도착 지점 | 운반하는 물질 |
|---|---|---|---|
| 젖샘관 | 젖샘 | 젖꼭지 | 젖 |
| 쓸개주머니관 | 쓸개 | 온쓸개관 | 쓸개즙 |
| 온간관 | 간 | 온쓸개관 | 쓸개즙 |
| 온쓸개관 | 온간관과 쓸개주머니관 | 이자관 | 쓸개즙 |
| 이자관 | 이자 | 바터팽대부 | 쓸개즙과 이자의 소화 효소 |
| 귀밑샘관 | 귀밑샘 | 입 | 침 |
| 턱밑샘관 | 턱밑샘 | 입 | 침 |
| 혀밑샘관 | 혀밑샘 | 입 | 침 |
2. 2. 1. 사정관
수정관에서 요도로 정액을 운반하는 관으로, 남성 생식 기능에 중요한 역할을 한다.
2. 2. 2. 바르톨린관
바르톨린샘에서 외음부로 바르톨린액을 운반하는 관이다. 바르톨린액은 여성의 질 윤활에 관여한다.[1]| 이름 | 시작 지점 | 도착 지점 | 운반하는 물질 |
|---|---|---|---|
| 바르톨린관 | 바르톨린샘 | 외음부 | 바르톨린액 |
2. 2. 3. 대뇌수도관
대뇌수도관은 제4뇌실에서 제3뇌실로 뇌척수액을 운반하는 관으로, 뇌척수액 순환에 중요한 역할을 한다.
분비샘에서 생성된 물질은 복잡한 관 시스템을 통해 표적 부위로 이동한다. 인체에는 다음과 같은 관들이 존재한다.
3. 관 시스템
이름 시작 지점 도착 지점 운반하는 물질 젖샘관 젖샘 젖꼭지 젖 쓸개주머니관 쓸개 온쓸개관 쓸개즙 온간관 간 온쓸개관 쓸개즙 온쓸개관 온간관과 쓸개주머니관 이자관 쓸개즙 이자관 이자 바터팽대부 쓸개즙과 이자의 소화효소 사정관 수정관 요도 정액 귀밑샘관 귀밑샘 입 침 턱밑샘관 턱밑샘 입 침 혀밑샘관 혀밑샘 입 침 바르톨린관 바르톨린샘 외음부 바르톨린액 대뇌수도관 제4뇌실 제3뇌실 뇌척수액
분비액을 생성하는 샘꽈리에서 표적 부위로 이동하면서 관은 더 커지고 상피는 더 두꺼워진다. 이 시스템은 소엽내관, 소엽간관 등으로 구성된다.
3. 1. 소엽내관 (Intralobular duct)
소엽내관(Intralobular duct)은 외분비샘 내의 소엽에 위치하며, 샘꽈리에서 분비된 물질을 소엽간관(소엽 사이)으로 운반하는 관이다. 끼임관과 줄무늬관으로 구성된다.
단순 입방 상피로 둘러싸여 있으며,[1] 췌장[14][15][16]과 침샘[17]에서 관찰할 수 있다.
인간의 유선에서 소엽내관은 소엽 내에 위치하는 샘 시스템의 일부이다. 소엽에는 소엽내관에 의해 분비성 샘포가 배출되는 여러 개의 관 묶음이 포함되어 있다. 소엽내관은 일반적으로 근상피세포로 덮인 단층 입방 상피세포로 덮여 있으며 소엽의 소엽내관은 소엽 사이의 소엽간관으로 배출된다.
3. 1. 1. 끼임관 (Intercalated duct)
'''끼워넣인관'''(intercalated duct) 또는 볼관은 외분비샘에서 샘꽈리에서 줄무늬관으로 직접 연결되는 부분이다.[1] 끼워넣인관은 소엽내관의 일부를 형성한다. 이 관은 관 시스템 중 가장 얇은 상피를 가지며, 상피는 일반적으로 "낮은" 단순입방상피로 분류된다.
이들은 췌장[2][3][4]과 침샘 모두에서 발견된다.[5][6][7]
3. 1. 2. 줄무늬관 (Striated duct)
'''줄무늬관'''(Striated duct)은 샘에서 삽입관을 소엽간 관과 연결하는 관이다. 이 관은 수많은 미토콘드리아에 의한 이온 펌핑 활동이 일어나는 형질막의 기저 함입(basal infoldings)이 특징이다.[8][9] 삽입관과 함께 HCO3− 및 K+를 분비하고 Na+ 및 Cl−을 재흡수하여 타액을 저장한다. Na-K 펌프 및 Cl-HCO3 펌프를 사용한다.
상피는 단순 입방 상피 또는 단순 원주 상피로 구성된다.[10]
줄무늬관은 소엽내 관의 일부이다.
턱밑샘,[11][12] 혀밑샘, 이하선에서 발견되며, 특히 이하선에서 더 발달되어 있다.[13]
췌장에는 존재하지 않는다.
3. 2. 소엽간관 (Interlobular duct)
소엽간관은 소엽 사이에 위치하며, 소엽내관에서 오는 분비물을 더 큰 관으로 운반한다. 단순 원주 상피로 구성되어 있다.[14][15][16][17]
3. 3. 엽관 (Lobar duct)
일부 자료에서는 "엽관"을 "소엽간관"과 동일하게 간주하는 반면, 다른 자료에서는 엽관을 샘꽈리에서 더 크고 더 먼 곳에 위치한 것으로 간주한다. 이러한 구분을 하는 자료에서는 소엽간관이 단순 원주 상피(또는 거짓 중층 상피)로 분류될 가능성이 더 높으며, 층상 원주 상피는 엽관에 사용된다.
참조
[1]
웹사이트
Histology of Glands
http://www.siumed.ed[...]
Southern Illinois University
2011-05-23
[2]
간행물
UCDavisOrganology
[3]
웹사이트
Slide at uottawa.ca
https://web.archive.[...]
2019-05-29
[4]
서적
Essentials of Human Physiology
[5]
웹사이트
Slide at usc.edu
https://web.archive.[...]
2019-05-29
[6]
간행물
UCDavisOrganology
[7]
서적
Essentials of Human Physiology
[8]
간행물
UCDavisOrganology
[9]
간행물
UCDavisOrganology
[10]
SIU SOM Histology GI
SIU SOM Histology GI
http://www.siumed.ed[...]
[11]
BUHistology
[12]
웹사이트
Histology at umdnj.edu
https://web.archive.[...]
2019-05-29
[13]
웹사이트
Oral histology at usc.edu
https://web.archive.[...]
2019-05-29
[14]
서적
Essentials of Human Physiology
[15]
Overview in pancreas at downstate.edu
Overview in pancreas at downstate.edu
http://ect.downstate[...]
[16]
웹사이트
Slide at uottawa.ca
https://web.archive.[...]
2019-05-29
[17]
웹사이트
Slide at uiowa.edu
https://web.archive.[...]
2019-05-29
본 사이트는 AI가 위키백과와 뉴스 기사,정부 간행물,학술 논문등을 바탕으로 정보를 가공하여 제공하는 백과사전형 서비스입니다.
모든 문서는 AI에 의해 자동 생성되며, CC BY-SA 4.0 라이선스에 따라 이용할 수 있습니다.
하지만, 위키백과나 뉴스 기사 자체에 오류, 부정확한 정보, 또는 가짜 뉴스가 포함될 수 있으며, AI는 이러한 내용을 완벽하게 걸러내지 못할 수 있습니다.
따라서 제공되는 정보에 일부 오류나 편향이 있을 수 있으므로, 중요한 정보는 반드시 다른 출처를 통해 교차 검증하시기 바랍니다.
문의하기 : help@durumis.com
