맨위로가기

담석

"오늘의AI위키"는 AI 기술로 일관성 있고 체계적인 최신 지식을 제공하는 혁신 플랫폼입니다.
"오늘의AI위키"의 AI를 통해 더욱 풍부하고 폭넓은 지식 경험을 누리세요.

1. 개요

담석은 담낭 또는 총담관에 담석이 있는 상태를 말한다. 담석은 콜레스테롤, 색소, 혼합 담석으로 분류되며, 여성, 40대, 비만, 다산, 피부가 하얀 여성(5F)에게서 많이 나타난다. 담석은 무증상인 경우가 많지만, 오른쪽 윗배 통증, 구역질, 구토, 발열, 황달 등의 증상을 동반할 수 있으며, 담낭 절제술, 약물 치료, 내시경 치료, 체외 충격파 쇄석술 등의 치료법이 있다.

더 읽어볼만한 페이지

  • 복통 - 크론병
    크론병은 위장관에 만성 염증을 일으키는 질환으로, 유전적 요인, 면역계 이상, 환경적 요인이 복합적으로 작용하며 복통, 설사, 합병증 등을 유발할 수 있고, 약물 요법, 영양 요법, 수술 등으로 치료하며 완치 치료법은 없다.
  • 복통 - 골반염
    골반염은 여성 생식 기관에 성병균이 감염되어 아랫배 통증, 발열, 질 분비물 증가 등의 증상을 일으키며 불임과 같은 합병증을 유발할 수 있고, 골반 검사, 초음파 검사 등으로 진단하여 항생제 치료를 하며, 콘돔 사용과 정기적인 성병 검사로 예방할 수 있다.
  • 소화기 질환 - 식도암
    식도암은 식도 상피세포에서 발생하는 악성 종양으로, 편평상피세포암과 선암이 주된 유형이며, 진행될수록 연하곤란, 체중 감소, 흉통 등이 나타나고 흡연, 음주 등이 위험 요인으로 작용하며, 내시경 검사, 조직검사 등으로 진단하고 수술, 화학요법 등으로 치료하며 예방을 위해서는 금연, 절주 등이 중요하다.
  • 소화기 질환 - 위염
    위염은 헬리코박터 파일로리 감염, 비스테로이드성 소염제, 알코올, 스트레스 등으로 인해 위 점막에 염증이 생기는 질환으로, 상복부 통증, 메스꺼움, 구토 등의 증상이 나타나거나 무증상일 수 있으며, 급성 또는 만성으로 분류되고, 내시경 검사 등으로 진단하여 제산제, 항생제 등으로 치료한다.
  • 간장학 - 간세포암
    간세포암은 간에서 발생하는 악성 종양으로, 만성 간 질환 환자에게서 주로 발생하며, 다양한 원인과 위험 요인에 의해 발생하고, 복통, 황달 등의 증상이 나타날 수 있으며, 수술, 간 이식 등의 치료 방법이 사용되고, 예방을 위해 B형 간염 예방 접종 등이 중요하다.
  • 간장학 - 담관
    담관은 간에서 십이지장으로 연결되는 관 네트워크로, 담즙을 운반하여 지방의 소화와 흡수를 돕고, 폐쇄 시 황달을 유발하며, 담관 배액 시술 등으로 치료한다.
담석
일반 정보
임상 정보
진료과위장병학
일반외과
증상무증상
오른쪽 윗배의 경련성 통증
발병 시기40세 이후
합병증담낭의 염증
췌장의 염증
간의 염증
위험 요인피임약
임신
가족력
비만
당뇨병
간 질환
급격한 체중 감소
진단증상 기반
초음파로 확인
감별 진단해당 사항 없음
예방
예방 방법건강한 체중 유지
섬유질이 풍부한 식단
단순 탄수화물이 적은 식단
치료
무증상치료 없음
약물 치료우르소데옥시콜산 (UDCA), 케노데옥시콜산
통증 치료ERCP
담낭절제술
예후
예후수술 후 양호
빈도
발생 빈도성인의 10~15% (선진국)
기타 정보
메시 IDD042882
KEGGH01213
담낭에 일반적으로 형성되는 담석은 담도계를 막을 경우 증상을 유발할 수 있음.
조그마한 수많은 담석. 대개 콜레스테롤로 이루어져 있음.

2. 정의

담석증은 담석이 담낭 또는 총담관에 있는 상태를 말한다.[1] 담낭 내 담석의 존재는 담석증(cholelithiasis)이라고 한다.[10] 총담관 내 담석의 존재는 총담관 담석증(choledocholithiasis)이라고 한다.[10] 총담관 담석증은 종종 담관의 폐쇄와 관련이 있으며, 이는 상행성 담관염(cholangitis)으로 이어질 수 있는데, 이는 담관의 심각한 감염이다. 파터 팽대부 내 담석은 췌장의 외분비계를 막아 췌장염을 유발할 수 있다.

3. 역사

"담석"이라는 이름은 굳어진 담즙이 결석과 같은 물질이었기 때문에 붙여졌다. 담석은 고대 유럽에서 매우 유행했던 질병으로, 기원전 1500년에서 1600년경의 미라에서도 발견되었다.

4. 역학

담석은 일반적으로 5F, 즉 '''F'''orty (40대), '''F'''emale (여성), '''F'''atty (비만), '''F'''ertile (다산), '''F'''air (피부가 하얗고 아름다운 여성)에게서 많이 나타난다고 알려져 있다. 경구 피임약 복용, 급격한 다이어트, 장시간 단식 습관도 담석 발생과 관련이 있다고 보고되고 있다.[50]

담석 환자의 약 80%는 증상이 없는 무증상 담석이며, 건강검진에서 우연히 발견되는 경우가 많다. 담석증 증상을 일으키는 경우는 1%에서 3% 정도이다. 담석이 담낭암을 직접 유발한다는 명확한 증거는 없지만, 담낭암 환자에게서 담석이 높은 빈도로 발견된다. 미국에서는 65세 이상 인구의 약 20%가 담석을 가지고 있다고 한다. 다른 질환으로 초음파, CT, MRI 등의 검사를 받다가 우연히 발견된 담석의 경우, 17년간 추적 관찰한 결과 8%에서만 담석 관련 질환(담낭염, 담석 감돈)이 발생했다.[47]

고도 경제 성장 이전 일본에서는 칼로리와 지방 섭취가 적은 식단이 주를 이루어 콜레스테롤 결석 환자가 거의 없었으나, 식습관의 서구화로 인해 증가하는 추세이다. 음주하는 사람의 담석 보유율이 낮다는 보고도 있다.[48]

아나필락토이드 자반병과 담석 사이에 관련성이 있을 가능성이 보고되고 있다.[49]

5. 종류

담석의 구성 성분은 나이, 식단, 인종에 따라 달라진다. 구성 성분에 따라 콜레스테롤 담석, 색소 담석, 혼합 담석으로 나눌 수 있다.[2]

왼쪽부터: 콜레스테롤 담석, 혼합 담석, 색소 담석

  • 콜레스테롤 담석: 옅은 노란색에서 짙은 녹색, 갈색, 분필 흰색까지 다양하며, 보통 타원형이고 단독으로 존재한다. 길이는 2~3cm이며, 작고 어두운 중심 반점을 가진 경우가 많다. 중량의 80%(일본 분류 체계에서는 70%) 이상이 콜레스테롤이어야 담석으로 분류된다. 전체 담석의 35~90%를 차지한다.[2]

  • 빌리루빈 담석 (색소 담석, 흑색 색소 담석): 작고 어두우며(주로 검은색), 대개 여러 개가 존재한다. 주로 빌리루빈(불용성 빌리루빈 색소 중합체)과 칼슘(인산칼슘) 으로 구성된다. 콜레스테롤 함량은 20%(일본 분류 체계에서는 30%) 미만이다. 전체 담석의 2~30%를 차지한다.[2]

  • 혼합 담석 (갈색 색소 담석): 콜레스테롤 20~80%(일본 분류 체계에서는 30~70%)를 포함한다. 탄산 칼슘, 팔미트산, 인산염, 담즙 색소(빌리루빈산 칼슘, 팔미트산 칼슘, 스테아르산 칼슘) 등도 포함된다. 칼슘 함량 때문에 방사선 촬영에서 투시되는 경우가 많다. 보통 담도 감염으로 인해 발생하며, 손상된 간세포와 박테리아가 분비하는 β-글루쿠로니다제가 빌리루빈 글루쿠론산을 가수분해하여 담즙 내 비결합 빌리루빈의 양을 증가시킨다. 전체 담석의 4~20%를 차지한다.[2]


담석은 모래알 크기부터 골프공 크기까지 다양하며,[27] 담낭에는 하나의 큰 담석이나 여러 개의 작은 담석이 있을 수 있다. 가성 담석(슬러지)은 두꺼운 분비물로, 담석과 함께 또는 단독으로 존재할 수 있다.

담석이 생기는 위치에 따라 다음과 같이 분류된다.[50]

  • '''담낭 결석''':담낭에 생기는 담석
  • '''총담관 결석''':총담관에 생기는 결석
  • '''간내 결석''':간내 담관에 생기는 결석


간내 결석은 작고 단단한 흑색 색소 담석과 크고 부드러운 갈색 색소 담석으로 크게 분류된다.[46] 흑색 색소 담석은 빌리루빈 칼슘과 무기 칼슘염(탄산칼슘, 인산칼슘)으로, 갈색 색소 담석은 빌리루빈 염과 지방산(팔미트산 또는 스테아르산 칼슘)으로 구성된다.[46]

일본소화기병학회 담석증 검토위원회(1984/7/21)는 담석을 다음과 같이 분류했다.[51]

종류세부 분류
콜레스테롤 담석
색소 담석
드문 담석


6. 원인

담석은 여러 요인이 복합적으로 작용하여 발생한다. 담낭 수축 기능 저하는 담석 형성의 주요 원인 중 하나로 꼽힌다. 담즙 속 콜레스테롤 수치가 높아지는 것도 담석 형성과 관련이 있는데, 레시틴담즙산의 불균형으로 인해 담즙의 점도가 높아지고, 정체되거나 세균에 감염되면 응집된 담즙이 담낭이나 담관에서 굳어져 결석이 생길 수 있다. 본래 담즙에는 콜레스테롤이 많이 포함되어 있지만, 일반적으로 지용성인 담즙은 레시틴과 담즙산의 작용으로 굳지 않고 액체 상태로 십이지장으로 배출된다.

1960년대에는 그람 음성균[52]이나 대장균 감염이 담석 형성의 중요한 요인으로 의심되어[53][54] 관련 연구가 계속 진행되고 있다.

6. 1. 위험 요인

담석의 위험은 여성(특히 폐경기 전)과 40세 전후의 사람들에게 증가하며, 이 질환은 다른 민족보다 유럽 또는 아메리카 원주민에게 더 흔하게 나타난다.[16] 멜라토닌 부족은 담석에 상당한 영향을 미칠 수 있는데, 멜라토닌은 담낭에서 콜레스테롤 분비를 억제하고, 콜레스테롤을 담즙으로 전환을 촉진하며, 담낭에 대한 산화 스트레스를 줄일 수 있는 항산화제이기 때문이다. 길버트 증후군은 담석의 위험 증가와 관련이 있다.[17] 연구자들은 담석이 유전적인 체질, 체중, 담낭 운동성 (움직임), 저칼로리 식단 등 여러 요인의 조합으로 인해 발생할 수 있다고 믿고 있다.[16] 그러나 이러한 위험 요인이 없다고 해서 담석이 생기지 않는 것은 아니다.

담석의 위험을 증가시킬 수 있는 영양학적 요인으로는 변비, 하루에 적은 횟수의 식사, 엽산, 마그네슘, 칼슘, 비타민 C 섭취 부족, 수분 섭취 부족,[18] 그리고 적어도 남성의 경우, 탄수화물 섭취량, 높은 혈당 부하, 높은 혈당 지수 식단 등이 있다.[19] 와인과 통곡물 빵은 담석의 위험을 감소시킬 수 있다.

급격한 체중 감소는 담석의 위험을 증가시킨다.[20] 체중 감소 약물인 오르리스타트는 담석의 위험을 증가시키는 것으로 알려져 있다.[21]

셀리악병으로 인한 콜레시스토키닌 결핍은 담석 형성의 위험을 증가시키며, 특히 셀리악병의 진단이 지연될 때 더욱 그렇다.[22]

색소 담석은 개발도상국에서 가장 흔하게 나타난다. 색소 담석의 위험 요인으로는 용혈성 빈혈 (예: 겸형 적혈구 빈혈증 및 유전성 구상 적혈구증), 간경변, 담도 감염 등이 있다. 에리트로포이에틱 프로토포르피린증 (EPP) 환자는 담석 발생 위험이 증가한다. 또한, 프로톤 펌 억제제의 장기간 사용은 담낭 기능을 감소시켜 담석 형성을 유발할 수 있는 것으로 나타났다.[23]

콜레스테롤 변형 약물은 담석 형성에 영향을 미칠 수 있다. 스타틴은 콜레스테롤 합성을 억제하며, 스타틴 사용이 담석 발생 위험을 감소시킬 수 있다는 증거가 있다.[24][25] 피브레이트는 담즙 내 콜레스테롤 농도를 증가시키며, 피브레이트 사용은 담석 위험 증가와 관련이 있다.[25] 담즙산 흡수 불량 또한 위험 요인이 될 수 있다.

7. 병태 생리

고콜레스테롤 담석은 담즙에 콜레스테롤이 너무 많고 담즙염이 충분하지 않을 때 발생한다. 고농도의 콜레스테롤 외에도 담석을 유발하는 데는 두 가지 다른 요인이 중요하다. 첫 번째는 담낭의 수축 빈도와 정도이다. 담낭의 불완전하고 드문 배출은 담즙을 과도하게 농축시켜 담석 형성에 기여할 수 있다. 이것은 담낭관의 복잡한 내부 기하학적 구조로 인해 담낭에서 담즙의 흐름에 대한 높은 저항이 발생하기 때문이다.[26] 두 번째 요인은 간과 담즙에 존재하는, 콜레스테롤 결정을 촉진하거나 억제하는 단백질이다. 또한, 임신 또는 호르몬 요법의 결과로 에스트로겐 호르몬 수치가 증가하거나 복합(에스트로겐 함유) 형태의 호르몬 피임법을 사용하면 담즙 내 콜레스테롤 수치가 증가하고 담낭 운동성이 감소하여 담석이 형성될 수 있다.

8. 증상

담석으로 인해 증상을 경험하는 사람들의 비율.


담석은 크기나 개수에 관계없이 종종 무증상인 경우가 많다. 이러한 "무증상 담석"은 치료가 필요하지 않으며 형성된 지 몇 년이 지나도 무증상으로 남아 있을 수 있다.

담석 발작의 특징적인 증상은 산통과 유사한 통증이 복부 오른쪽 위쪽에 나타나는 것이며, 종종 구역구토를 동반한다. 통증은 경미한 정도에서 심각한 정도까지 다양하며 30분에서 몇 시간 동안 지속적으로 증가할 수 있다. 다른 증상으로는 발열, 연관통이 어깨뼈 사이 또는 오른쪽 어깨 아래에 나타날 수 있다. 담석이 담관을 막아 빌리루빈이 혈류와 주변 조직으로 새어 들어가면 황달과 가려움증이 발생할 수도 있다. 이 경우, 간 효소 수치가 상승할 가능성이 높다.[13]

담낭 발작은 과식을 한 후에 발생하는 경우가 많으며, 저녁이나 밤에 가장 흔하게 발생한다.[14]

담석 보유자의 약 80%는 무증상으로 알려져 있다.[46] 담석의 주요 증상은 다음과 같다.

담석의 주요 증상
증상상세 설명
오른쪽 윗배 통증주로 명치 부위나 오른쪽 옆구리(오른쪽 윗배)의 통증, 오른쪽 어깨 방사통, 요통, 어깨 결림 등이 나타나기도 한다.
구역질·구토구역이나 구토를 동반하는 경우가 많다.
발열담낭염이 발생한 경우 발열·오한이 나타난다.
우상 복부 압통·타진통대부분의 경우에 나타난다.
황달담관에서 간으로부터 흘러 들어가는 담즙이 담석에 의해 황달을 일으킬 수 있다. 황달은 담관 결석에서 많이 나타나며, 황달로 인해 소변 색이 짙어지기도 한다.


8. 1. 합병증

담석은 크기나 개수에 관계없이 종종 증상이 없다. 이러한 "무증상 담석"은 치료가 필요하지 않으며 형성된 지 몇 년이 지나도 증상이 없을 수 있다. 때때로, 담석증의 통증은 견갑골의 끝부분으로 전이될 수 있으며, 이를 "콜린 징후"라고 한다.[12]

담석 발작의 특징적인 증상은 산통과 유사한 통증이 복부 오른쪽 위쪽에 나타나는 것이며, 종종 메스꺼움과 구토를 동반한다. 증상이 있는 담석으로 인한 통증은 경미한 정도에서 심각한 정도까지 다양하며 30분에서 몇 시간 동안 지속적으로 증가할 수 있다. 다른 증상으로는 발열, 연관통이 어깨뼈 사이 또는 오른쪽 어깨 아래에 나타날 수 있다. 하나 이상의 담석이 담관을 막아 빌리루빈이 혈류와 주변 조직으로 새어 들어가면 황달과 가려움증이 발생할 수도 있다. 이 경우, 간 효소 수치가 상승할 가능성이 높다.[13]

담낭 발작은 과식을 한 후에 발생하는 경우가 많으며, 저녁이나 밤에 가장 흔하게 발생한다.[14] 드물게 심한 염증을 유발하는 담석은 담낭을 관통하여 부착된 장으로 침식하여 담석 장폐색이라는 폐색을 일으킬 수 있다.[15]

다른 합병증으로는 세균 감염으로 인해 담관 및 간에 화농성 염증이 발생하는 상행성 담관염과, 활성 효소가 장으로 분비되는 것을 막아 췌장을 손상시키는 급성 췌장염이 있다.[13] 드물게 담낭암이 합병증으로 발생할 수 있다.[3]

9. 진단

진단은 일반적으로 복부 초음파로 확진된다. 사용되는 다른 영상 기술은 ERCP와 MRCP이다. 담석 합병증은 혈액 검사에서 감지될 수 있다.[4]

복부 초음파에서 가라앉는 담석은 대개 후방 음향 그림자를 갖는다. 뜨는 담석의 경우, 선근증이라고 하는 임상 상태에서 반향 에코(또는 혜성 꼬리 인공물)가 대신 보인다. 또 다른 징후는 담석의 특징이기도 한 벽-에코-그림자(WES) 삼중체(또는 이중 아크 그림자)이다.[28]

양성 머피 징후는 담낭 발작 동안 신체 검사에서 흔히 발견되는 소견이다.

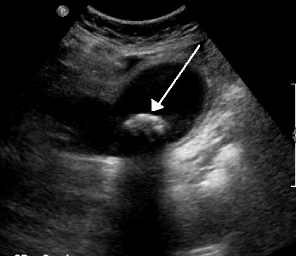
의료 초음파 검사에서 볼 수 있듯이 담낭 경부에 박혀 담낭염을 유발하는 1.9cm 담석. 담낭벽 비후는 4mm이다.


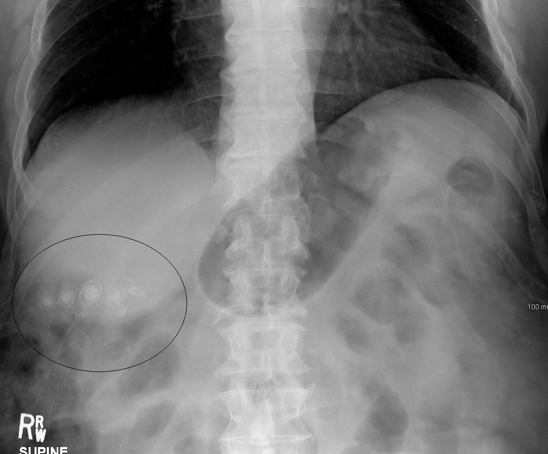
단순 X-ray에서 보이는 담석


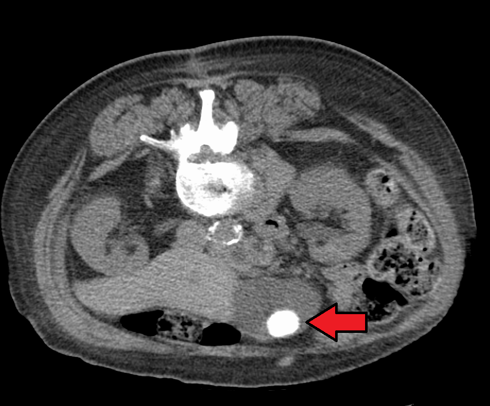
CT에서 보이는 큰 담석


진단에는 다음과 같은 검사가 있다.

검사 종류설명
복부 초음파 검사초음파 검사는 미세한 병변 묘출에 뛰어나 담석 외에 폐쇄성 황달 검사에도 사용된다. 단, 담관 내에 생긴 담석은 초음파로 잘 묘출되지 않을 수도 있다.
컴퓨터 단층 촬영(CT)담관·담낭 결석 유무를 구조적으로 묘출한다. 미세한 결석에 관해서는 진단이 어려울 때도 있다.
자기 공명 영상법(MRI)·MRCP담낭·담관 결석 유무를 3D 입체 구축 영상으로 진단할 수 있는 검사로 널리 사용된다.
내시경적 역행성 담도 췌관 조영술 (ERCP)주로 담석 치료에 행해지는 검사·처치이다.
요 중 우로빌리노겐 검사
혈액 검사무증상 담낭 결석의 경우 혈액 검사에서 이상치를 나타내는 경우는 거의 없지만, 담관 결석의 경우 간·담도계 효소(AST, ALT, ALP, γ-GTP)와 빌리루빈 수치가 상승하는 경향을 보인다. 또한, 담낭 결석에서도 담낭염 등의 감염을 동반하는 경우도 상승 경향을 보인다.


10. 예방

충분한 운동과 건강한 식단을 통해 건강한 체중을 유지하고, 식이 섬유가 풍부한 음식을 섭취하는 것은 담석 형성을 예방하는 데 도움이 될 수 있다.[4]

우르소데옥시콜산(UDCA)은 체중 감량 중 담석 형성을 예방하는 것으로 보인다. 체중 감량 중 고지방 식단 또한 담석을 예방하는 것으로 보인다.[29]

11. 치료

담석 치료에는 여러 방법이 있으며, 환자의 상태와 담석의 종류에 따라 적절한 치료법을 선택한다.


  • 체외 충격파 쇄석술 (ESWL): 1985년 1월부터 사용된 비침습적 방법으로, 고에너지 음파를 이용해 담석을 분해한다.[30][31] 부작용으로 담도 췌장염, 간 혈종 등이 나타날 수 있다.[32]
  • 경과 관찰: 증상이 없는 경우에는 치료를 하지 않고 경과를 지켜보지만,[46] 담낭 절제술을 시행하는 경우도 있다.[46]

11. 1. 약물 치료

우르소데옥시콜산(UDCA)과 케노데옥시콜산(CDCA)은 담석 용해 치료에 사용되어 왔다.[44][45] 2013년 메타 분석 결과, UDCA 또는 더 높은 식이 지방 섭취는 체중 감량 중 담석 형성을 예방하는 것으로 나타났다.[29] 경구 담즙산 투여는 작은 콜레스테롤 담석 치료에 사용되었으며, 수술이 불가능하거나 원치 않는 경우 더 큰 콜레스테롤 담석 치료에도 사용되었다. CDCA 치료는 설사, 경미하고 가역적인 간 손상, 혈장 콜레스테롤 수치의 약간의 증가를 유발할 수 있다.[45] UDCA는 수년 동안 복용해야 할 수 있다.

우르소데옥시콜산(UDCA)을 주성분으로 하는 경구 담석 용해제를 복용하면[46] 담즙의 흐름을 좋게 하여 담석을 녹이는 효과를 기대할 수 있다. 그러나 기본적으로 담석의 완전 제거는 거의 없기 때문에 예방적으로 처방되는 경우가 많다.

11. 2. 내시경 치료

일반적으로 담낭염, 담관염 등의 감염이 동반되는 경우나, 총담관 결석 등의 치료에 시행된다. 내시경적 역행성 담췌관 조영술

11. 3. 수술 치료

담낭 절제술(담낭 제거술)은 담석증 재발을 99% 확률로 제거할 수 있다. 대부분의 사람에게서 담낭이 없어도 부정적인 결과는 없지만, 10~15%의 사람은 담낭 절제 후 증후군을 겪을 수 있으며, 이는 메스꺼움, 소화 불량, 설사 및 복통을 유발할 수 있다.[33]

500x500px


담낭 절제술에는 두 가지 수술 방법이 있다.

  • 개복 담낭 절제술은 오른쪽 하부 갈비뼈 아래의 복부 절개 (개복술)를 통해 수행된다. 회복에는 일반적으로 3~5일의 입원 기간이 필요하며, 퇴원 후 일주일 후에 정상 식단으로, 퇴원 후 몇 주 후에 정상적인 활동으로 복귀한다.
  • 1990년대부터 복강경 담낭 절제술이 많아지고 있다. 이 수술은 카메라와 기기를 위한 3~4개의 작은 천자 구멍을 통해 수행된다. 수술 후 관리는 일반적으로 당일 퇴원 또는 하룻밤 입원, 며칠간의 집에서 휴식과 진통제 복용으로 이루어진다. 담낭 천공은 드물지 않으며, 10%에서 40% 범위로 보고되었다. 회수되지 않은 담석 유출은 6%에서 30%로 보고되었지만, 회수되지 않은 담석은 합병증을 거의 유발하지 않는다(0.08%–0.3%).[38]


500x500px


담석에 의한 총담관 폐쇄는 때때로 내시경 역행 담췌관 조영술(ERCP) 후 내시경 역행 괄약근 절개술(ERS)로 완화될 수 있다.

500x500px


수술에는 위험이 따르며, 일부 사람들은 수술 후에도 명확하지 않은 이유로 증상(통증 포함)을 계속 경험한다. 또 다른 방법은 증상이 해결되는지 확인하기 위해 수술 전에 '관찰 및 대기' 전략을 채택하는 것이다. 한 연구에서는 단순 담석에 대해 두 가지 접근 방식을 비교했으며, 18개월 후 두 접근 방식 모두 유사한 수준의 통증과 관련이 있었다. 관찰 및 대기 접근 방식은 1000GBP 이상 적게 소요되어 비용이 적게 들었다.[42][43]

담낭의 기능은 담즙을 일시적으로 저장하는 것뿐이며, 수술 후에도 담즙은 간에서 만들어져 소화 기능에 영향을 미치지 않으므로, 수술로 담낭을 잃어도 일상생활에 지장은 없다. 하지만, 지방을 과다 섭취하면 설사를 하기 쉬운 체질이 될 수 있다.

11. 4. 기타 치료

체외 충격파 쇄석술은 고에너지 음파를 사용하여 담석을 분해하는 비침습적 방법으로, 1985년 1월에 처음 사용되었다.[30][31] 체외 충격파 쇄석술의 부작용으로는 담도 췌장염 및 간 혈종이 있다.[32]

'''체외 충격파 쇄석술'''(Extracorporeal shock wave lithotripsy, ESWL)은 체외에서 고주파 충격파를 가하여 담석을 부수는 치료법이다. 침습이 적어 환자의 부담이 적지만, 적용 대상은 "순수 콜레스테롤 담낭 결석"에 한정된다. 일본인의 많은 콜레스테롤 담석은 석회화 혼합 담석이며, 다른 담석에는 치료 적용이 되지 않는다. 또한 담석을 제거하는 것이 아니라 분쇄하여 자연 배석을 기대하는 치료법이므로 재발이 잦아 실시 기관이 적다. 담낭염이 발생한 경우, 담낭이 비대해지고 담낭벽이 얇아져 충격파를 가하면 담낭벽이 파열될 위험이 있으므로 이 치료법을 시행할 수 없다.

12. 동물에서의 담석

개에서 임상적으로 문제가 되는 담석의 대부분은 빌리루빈과 칼슘을 주체로 하는 담즙 색소계 담석이다. 만성 경과에서는 특징적인 증상을 나타내지 않는 경우가 많다. 담관 내에 담석이 존재하면 통증을 나타낸다.

말(서러브레드)에서는 2018년 일본 더비 우승마 와그네리안이 다장기 부전으로 사망했을 때, 부검을 통해 담석이 발견되었다[56]. 일본중앙경마회에서 말에게 담석이 발견된 것은 처음 있는 경우였다고 한다[57].

13. 대체 의학에서의 활용

담석은 일부 문화권, 특히 중의학에서 해열제 및 해독제로 사용되기 때문에 육류 생산을 위해 도축된 동물의 가치 있는 부산물일 수 있다. 가장 높이 평가되는 담석은 늙은 젖소에서 얻는 경향이 있으며, 중국어로 우황 또는 ''niú-huáng''(소의 노란 것)이라고 불린다. 일부 도축장은 담석 절도 행위를 하는 직원을 주의 깊게 감시한다.

참조

[1] 서적 Gallstone Disease: Diagnosis and Management of Cholelithiasis, Cholecystitis and Choledocholithiasis https://www.ncbi.nlm[...] National Institute for Health and Care Excellence (NICE) 2014-10
[2] 논문 Diagnosis and treatment of gallstone disease 2015-06
[3] 웹사이트 Complications https://www.nhs.uk/c[...] 2018-05-13
[4] 웹사이트 Gallstones https://www.niddk.ni[...] 2013-11
[5] 웹사이트 Treatment for Gallstones https://www.niddk.ni[...] 2017-11
[6] 논문 2016 WSES guidelines on acute calculous cholecystitis 2016
[7] 논문 Global, regional, and national incidence, prevalence, and years lived with disability for 301 acute and chronic diseases and injuries in 188 countries, 1990–2013: a systematic analysis for the Global Burden of Disease Study 2013 2015-08
[8] 논문 Global, regional, and national age-sex specific all-cause and cause-specific mortality for 240 causes of death, 1990–2013: a systematic analysis for the Global Burden of Disease Study 2013 2015-01
[9] 서적 Principles and practice of geriatric surgery https://books.google[...] Springer 2011
[10] 서적 Essential Surgery E-Book: Problems, Diagnosis and Management: With student consult online access https://books.google[...] Elsevier Health Sciences 2013
[11] 논문 Early versus delayed laparoscopic cholecystectomy for people with acute cholecystitis https://doi.wiley.co[...] 2013-06-30
[12] 논문 Collins' sign: validation of a clinical sign in cholelithiasis 2009-12
[13] 웹사이트 Gallstones (Cholelithiasis) Clinical Presentation: History, Physical Examination http://emedicine.med[...] 2016-11-14
[14] 웹사이트 Symptoms & Causes of Gallstones https://www.niddk.ni[...] 2022-06-28
[15] 논문 Recurrent gallstone ileus: time to change our surgery? 2009-05
[16] 웹사이트 Gallstones: Epidemiology, risk factors and prevention https://www.uptodate[...] 2023-05-26
[17] 논문 Coinheritance of Gilbert Syndrome Increases the Risk for Developing Gallstones in Patients With Hereditary Spherocytosis http://ashpublicatio[...] 1999-10
[18] 서적 4 Water https://www.nap.edu/[...] The National Academies Press
[19] 논문 Dietary carbohydrates and glycaemic load and the incidence of symptomatic gall stone disease in men 2005-06
[20] 웹사이트 Should you lose weight fast? – Live Well—NHS Choices http://www.nhs.uk/Li[...] 2016-02-16
[21] 웹사이트 Safety Information—Xenical (orlistat) capsules https://www.fda.gov/[...] 2016-06-18
[22] Review Impaired intestinal cholecystokinin secretion, a fascinating but overlooked link between coeliac disease and cholesterol gallstone disease 2017-04
[23] 논문 Proton pump inhibitors reduce gallbladder function 2006-09
[24] 논문 Statin use and risk of gallstone disease: A meta-analysis 2015-09
[25] 논문 Lipid-modifying therapies and risk of pancreatitis: a meta-analysis http://eprints.gla.a[...] 2012-08
[26] 간행물 Experimental investigation of the flow of bile in patient specific cystic duct models Journal of biomechanical engineering 2010
[27] 웹사이트 Gallstones—Cholelithiasis; Gallbladder attack; Biliary colic; Gallstone attack; Bile calculus; Biliary calculus https://www.ncbi.nlm[...] 2011-02-07
[28] 논문 Pitfalls in the ultrasonographic diagnosis of gallbladder diseases 1987-07
[29] 논문 Ursodeoxycholic acid and diets higher in fat prevent gallbladder stones during weight loss: a meta-analysis of randomized controlled trials 2014-07
[30] 웹사이트 Gallstone Disease Treatment https://www.hopkinsm[...] 2021-09-25
[31] 논문 Extracorporeal shock wave lithotripsy of gallstones: 20th anniversary of the first treatment 2005-05
[32] 논문 Extracorporeal shock wave lithotripsy of gallstones: 20th anniversary of the first treatment 2005-05
[33] 논문 Postcholecystectomy Syndrome 2019-01
[34] 웹사이트 NHS England » Decision support tool: making a decision about gallstones https://www.england.[...] 2023-11-21
[35] 논문 Restrictive strategy versus usual care for cholecystectomy in patients with gallstones and abdominal pain (SECURE): a multicentre, randomised, parallel-arm, non-inferiority trial https://linkinghub.e[...] 2019-06
[36] 논문 Prevalence of Postcholecystectomy Symptoms: Long-term Outcome after Open versus Laparoscopic Cholecystectomy https://onlinelibrar[...] 2000-10
[37] 논문 Is cholecystectomy effective treatment for symptomatic gallstones? Clinical outcome after long-term follow-up. 1998-01
[38] 논문 Spilled gall stones during laparoscopic cholecystectomy: a review of the literature 2004-02-17
[39] 논문 Laparoscopic versus open cholecystectomy for patients with symptomatic cholecystolithiasis https://doi.wiley.co[...] 2006-10-18
[40] 논문 Postcholecystectomy diarrhoea rate and predictive factors: a systematic review of the literature https://bmjopen.bmj.[...] 2022-02-01
[41] 논문 Risk factors for complications after performance of ERCP https://linkinghub.e[...] 2002-11
[42] 논문 Effectiveness of conservative management versus laparoscopic cholecystectomy in the prevention of recurrent symptoms and complications in adults with uncomplicated symptomatic gallstone disease (C-GALL trial): pragmatic, multicentre randomised controlled trial https://www.bmj.com/[...] 2023-12-06
[43] 간행물 Gallstones: surgery might not always be needed https://evidence.nih[...] 2024-10-31
[44] 논문 Efficacy and specificity of chenodeoxycholic acid therapy for dissolving gallstones 1973-09
[45] 논문 Medical dissolution of gallstones by oral bile acid therapy 1989-09
[46] 웹사이트 胆石症 https://www.msdmanua[...]
[47] 문서 Gastroenterology 2016;150:156.
[48] 논문 【原著】人間ドック受診者における胆石保有者の特徴 https://doi.org/10.1[...] 日本人間ドック学会 2013
[49] 논문 胆石症が誘因と考えられたアナフィラクトイド紫斑病の 1 例 https://doi.org/10.2[...] 日本皮膚科学会西部支部 2018
[50] 논문 胆石症の病態と治療 https://doi.org/10.2[...] 2013
[51] 논문 胆石の自然史 https://doi.org/10.1[...] 日本胆道学会 2017
[52] 논문 上腹部外科的疾患開腹時の消化管内大腸菌の研究 主として血清学的同定について https://doi.org/10.1[...] 日本消化器病学会 1967
[53] 논문 胆石及び胆嚢炎の発生機序に対する一考察 : 特に大腸菌体成分を抗原抗体系とする胆嚢のアレルギー反応の発来性について https://doi.org/10.1[...] 1964
[54] 논문 胆石症の研究 特に胆汁中胆汁酸と細菌の胆道感染に関する臨床的並に実験的研究 https://doi.org/10.1[...] 日本消化器病学会 1965
[55] 논문 セフトリアキソン投与に伴う偽胆石症の1成人例 https://doi.org/10.2[...] 日本肝臓学会 2016
[56] 웹사이트 2018年の日本ダービー馬ワグネリアンが多臓器不全で死ぬ https://race.sanspo.[...] 2022-01-06
[57] 웹사이트 【友道康夫調教師】急死したワグネリアンを偲び…… ドウデュースら、僚馬たちが飛躍へ - netkeiba特派員 {{!}} 競馬コラム https://news.netkeib[...] 2022-09-07



본 사이트는 AI가 위키백과와 뉴스 기사,정부 간행물,학술 논문등을 바탕으로 정보를 가공하여 제공하는 백과사전형 서비스입니다.
모든 문서는 AI에 의해 자동 생성되며, CC BY-SA 4.0 라이선스에 따라 이용할 수 있습니다.
하지만, 위키백과나 뉴스 기사 자체에 오류, 부정확한 정보, 또는 가짜 뉴스가 포함될 수 있으며, AI는 이러한 내용을 완벽하게 걸러내지 못할 수 있습니다.
따라서 제공되는 정보에 일부 오류나 편향이 있을 수 있으므로, 중요한 정보는 반드시 다른 출처를 통해 교차 검증하시기 바랍니다.

문의하기 : help@durumis.com