젖샘
"오늘의AI위키"의 AI를 통해 더욱 풍부하고 폭넓은 지식 경험을 누리세요.
1. 개요
젖샘은 우유를 분비하는 특수한 유형의 아포크린샘으로, 포유류의 특징적인 기관이다. 젖샘은 꽈리, 소엽, 젖샘관 등으로 구성되며, 옥시토신의 자극을 받아 우유를 분비한다. 인간은 일반적으로 각 유방에 10~20개의 단순 젖샘으로 구성된 두 개의 복합 젖샘을 가지고 있다. 젖샘은 배아기, 사춘기, 임신 및 수유, 폐경기 등 다양한 성장 주기를 거치며, 호르몬의 영향을 받아 발달하고 변화한다. 젖샘의 종양 발생은 유방암으로 이어질 수 있으며, 다른 포유류의 젖샘은 젖꼭지의 수와 위치에서 차이를 보인다.
더 읽어볼만한 페이지
- 생물의 기관 - 오장육부
오장육부란 한의학에서 생명 유지 활동을 주관하는 오장(간, 심, 비, 폐, 신)과 소화, 흡수, 배설을 담당하는 육부(담, 소장, 위, 대장, 방광, 삼초)를 통칭하는 기능적, 관계적 개념으로, 음양오행 철학에 기반하여 상호 작용하는 것으로 설명되나 현대 의학에서는 유사과학으로 비판받기도 한다. - 생물의 기관 - 머리카락
머리카락은 털과 털주머니로 구성된 털 기관의 일부로서 몸을 보호하고 보온하며, 모수질, 모피질, 모표피의 3중 구조와 멜라닌 색소로 색깔이 결정되고, 모주기를 거치면서 화학적, 물리적 요인에 따라 성질이 변하며, 다양한 분야에서 활용된다.
2. 구조
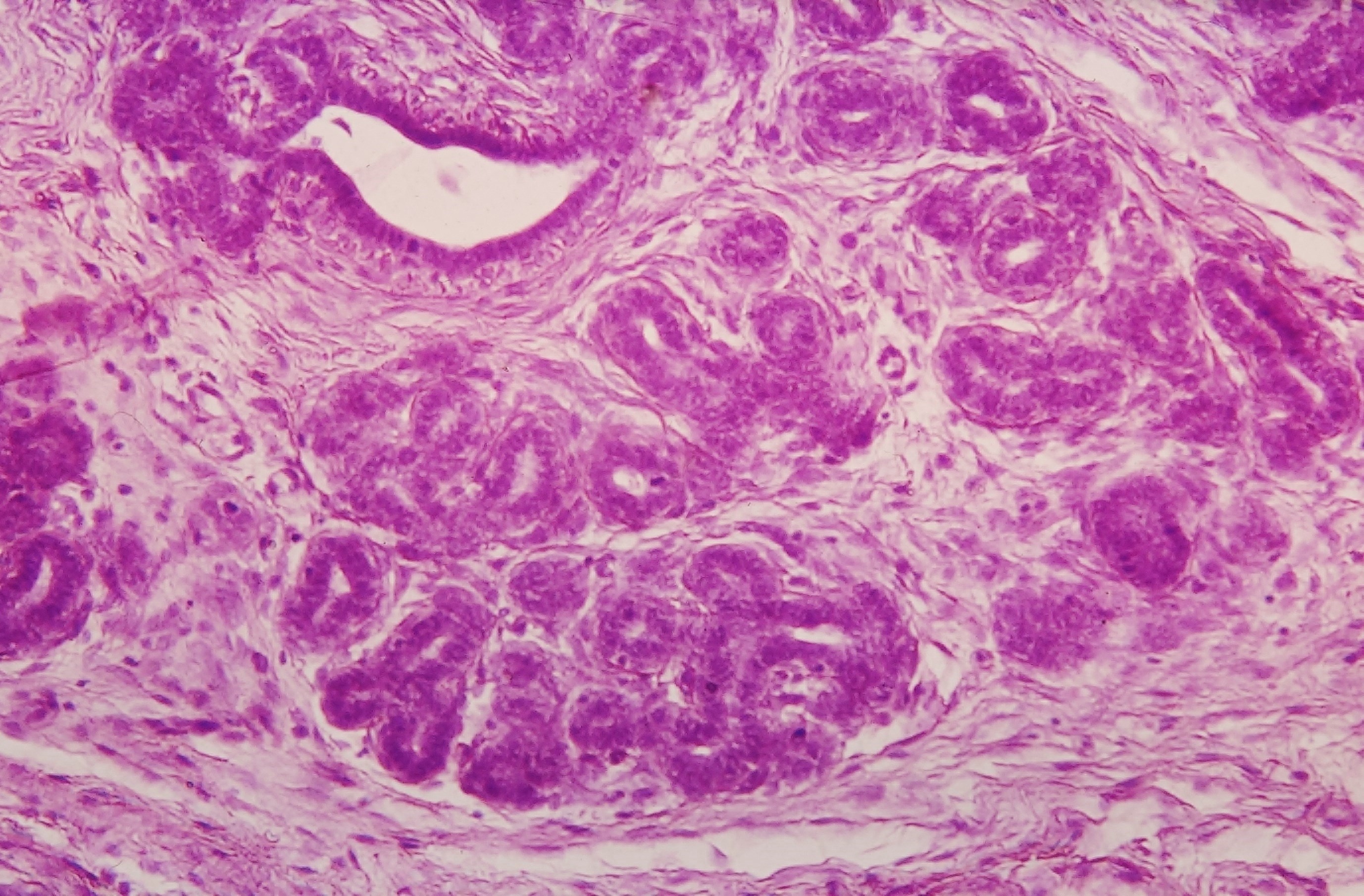
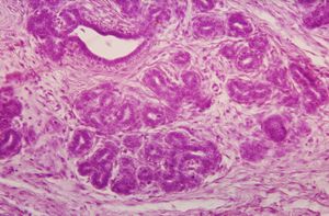
젖샘은 포유류의 유방에 있는 기관으로, 젖을 생산하여 신생아에게 영양을 공급한다. 젖샘은 여러 개의 소엽으로 구성되어 있으며, 각 소엽은 젖을 분비하는 꽈리와 젖을 운반하는 젖샘관으로 이루어져 있다.
2. 1. 조직학
젖샘의 기본 구성 요소는 꽈리이며, 이 꽈리는 우유를 분비하는 입방 세포로 덮여 있고 근상피세포로 둘러싸여 있다. 꽈리들은 합쳐져 소엽을 형성하며, 각 소엽에는 젖꼭지로 연결되는 젖샘관이 있다. 근상피세포는 옥시토신에 의해 수축하여 젖을 젖꼭지 쪽으로 배출한다. 유아가 젖을 빨 때 옥시토신에 의한 "사출 반사"가 일어나 젖이 분비된다.[4]하나의 젖샘관으로 이어지는 젖 분비 조직 전체를 "단순 젖샘"이라고 하며, "복합 젖샘"에서는 모든 단순 젖샘이 하나의 젖꼭지에 연결된다. 사람은 보통 각 유방에 하나씩 두 개의 복합 젖샘을 가지며, 각 복합 젖샘은 10~20개의 단순 젖샘으로 구성된다. 젖꼭지 표면의 각 단순 젖샘 개구부를 "모공"이라고 한다.[5] 젖꼭지가 두 개 이상인 경우를 다유두증, 복합 젖샘이 두 개 이상인 경우를 부유방이라고 한다.
젖샘관의 올바른 형태 유지를 위해 젖샘 상피 세포 세포 외 기질(ECM)이 필요하며, 이는 지방 세포, 섬유아세포, 염증 세포 등과 함께 젖샘 기질을 구성한다.[6] 젖샘 상피 ECM은 주로 근상피 기저막과 결합 조직을 포함한다. 이들은 젖샘의 기본 구조를 지지하고, 젖샘 상피와 주변 환경 간의 소통을 돕는다.[7][8]


젖샘은 출산 시 초유를 생산하는 특수한 아포크린샘이다. 젖샘은 "절단" 분비를 보이기 때문에 아포크린샘으로 분류된다. 많은 자료에서 젖샘이 변형된 땀샘이라고 주장한다.[9][10][11]
3. 발생
젖샘은 여러 성장 주기를 거치며 발생한다. 젖샘의 기본 구조는 젖을 분비하는 꽈리와 젖을 젖꼭지로 운반하는 젖샘관으로 구성된다. 꽈리는 입방 세포로 덮여 있고 근상피 세포로 둘러싸여 있으며, 이들은 옥시토신의 자극을 받아 수축하여 젖을 젖꼭지 쪽으로 배출한다.[4] 인간은 일반적으로 각 유방에 하나씩 두 개의 복합 젖샘을 가지고 있으며, 각 복합 젖샘은 10~20개의 단순 젖샘으로 구성된다. 젖꼭지 표면의 각 단순 젖샘의 개구부를 "모공"이라고 한다.[5] 젖샘관이 올바른 형태를 유지하려면 젖샘 상피 세포 세포 외 기질(ECM)이 필요하며, 이는 젖샘 기질을 구성하는 지방 세포, 섬유아세포, 염증 세포 등과 함께 젖샘 상피와 주변 환경 간의 소통을 돕는다.[6][7][8]
젖샘 발달은 배아기에 시작하여 출생 후, 사춘기, 임신 및 수유기, 그리고 폐경기를 거치며 각기 다른 특징을 보인다.
3. 1. 배아기
젖샘은 배아기 동안 양성에서 모두 존재하며, 출생 시에는 기본적인 유관만을 형성한다. 이 단계에서 젖샘 발달은 전신 (및 모체) 호르몬에 의존하지만,[6] 파라크린 통신을 통해 인접한 상피 세포와 간엽 세포 사이의 부갑상선 호르몬 관련 단백질 (PTHrP)에 의해 (국소적으로) 조절되기도 한다.[12] 이 국소적으로 분비되는 인자는 이 두 종류의 세포 사이에 일련의 양성 피드백을 발생시켜 젖샘 싹 상피 세포가 증식하고 간엽층으로 싹이 터져 지방 패드에 도달하여 첫 번째 분지 과정을 시작할 수 있게 한다.[6] 동시에, 상피 싹 주변의 배아 간엽 세포는 BMP4와 같은 PTHrP에 의해 활성화된 분비 인자를 수용한다. 이러한 간엽 세포는 조밀한, 젖샘 특이적인 간엽으로 변형될 수 있으며, 나중에 섬유 가닥이 있는 결합 조직으로 발달하여 혈관과 림프계를 형성한다.[13] 분화된 근상피 세포에 의해 이후에 형성된 기저막은 주로 라미닌과 콜라겐을 포함하며, 이 기본 유관의 극성을 유지한다. 이 세포 외 기질의 구성 요소는 유관 형태 발생의 강력한 결정 요인이다.[14]배아 젖샘 발달은 일련의 특정 단계로 나눌 수 있다. 처음에는, 배아 10.5일(E10.5)경에 정중선을 따라 양쪽 앞다리와 뒷다리 사이를 지나는 유선이 형성된다. 두 번째 단계는 E11.5에 발생하며, 이때 젖샘 유선을 따라 반점 형성이 시작된다. 이것은 결국 젖꼭지로 이어진다. 마지막으로, 세 번째 단계는 E12.5에 발생하며, 반점 내의 세포가 간엽으로 함입되어 젖샘 원기(생물학)로 이어진다.[34]
원시(줄기) 세포는 배아에서 감지되며 발달 과정에서 그 수가 꾸준히 증가한다.[35]
3. 2. 출생 후 및 사춘기
젖샘은 다양한 성장 주기를 거치며 발달한다. 배아기에는 남녀 모두에게서 젖샘이 존재하며, 출생 시에는 기본적인 유관만 형성된다.[6] 이 시기 젖샘 발달은 부갑상선 호르몬 관련 단백질(PTHrP)에 의해 조절되는데,[12] 이는 인접한 상피 세포와 간엽 세포 사이의 파라크린 통신을 통해 이루어진다.[6]에스트로겐과 성장 호르몬(GH)은 젖샘 발달, 특히 유관 형성에 필수적이며, 서로 협력하여 작용한다.[15][16][17][18][19] GH는 주로 인슐린 유사 성장 인자 1(IGF-1) 분비를 통해 유관 발달을 돕는데,[16][17][18][19] 이는 전신 및 국소적으로 작용한다.[16][17][18][19][20] GH는 또한 유방 조직에서 에스트로겐 수용체(ER) 발현을 증가시켜 IGF-1과 별개로 유관 발달을 촉진한다.[19] IGF-1 외에도 표피 성장 인자(EGF), 형질전환 성장 인자 베타(TGF-β),[21] 암피레귤린,[22] 섬유아세포 성장 인자(FGF), 간세포 성장 인자(HGF)[23] 등이 유방 발달에 관여한다.[24][25][26]
배아 발달 동안 IGF-1 수치는 낮지만, 출생 후부터 사춘기까지 점차 증가한다.[27] 사춘기에는 GH와 IGF-1 수치가 최고조에 달하고, 여성의 경우 에스트로겐 분비가 급증하면서 유관 발달이 주로 일어난다.[27] 에스트로겐의 영향으로 젖샘의 기질과 지방 조직도 함께 성장한다.[28] 사춘기 이후 GH와 IGF-1 수치는 점차 감소한다.[27]
안드로겐은 젖샘 조직의 안드로겐 수용체를 활성화시켜 에스트로겐에 의한 젖샘 발달을 억제한다.[29][30][31]
출생 후 젖샘 관은 젖샘 지방 패드로 확장되며, 생후 4주경부터 젖샘 관의 성장이 빨라져 림프절 방향으로 뻗어 나간다. 이 시기에는 젖샘 관 끝에서 발견되는 말단 팽대부가 확장되고 증식하며, 약 7~8주까지 지속된다. 사춘기에 이르면 젖샘 관은 젖샘 지방 패드 끝까지 도달하고, 말단 팽대부의 증식은 감소한다. 측면 가지들이 주 젖샘 관에서 나와 젖샘 지방 패드를 채우기 시작하며, 성적 성숙에 따라 젖샘 관 발달은 감소하고 발정 주기에 따라 변화를 겪는다.[36]
일반적으로 유선은 에스트로겐에 의해 증식하고, 프로게스테론에 의해 발달한다. 사춘기 이후 여성의 2차 성징에 따라 난소가 발달하고, 여성 호르몬인 에스트로겐과 프로게스테론 분비가 증가하면서 유선이 발달한다. 주로 에스트로겐은 유관 발달에, 프로게스테론은 에스트로겐과 함께 유선엽 발달에 작용한다.
3. 3. 임신 및 수유
임신 중에는 유관 시스템이 빠르게 증식하여 유선 가지 내부에 유선포 구조를 형성하여 젖 생산에 사용된다.[45][46] 분비 꽈리는 임신 중에 주로 발달하는데, 이때 증가하는 프로락틴, 에스트로겐, 프로게스테론 수치가 추가적인 분지를 유발하고, 지방 조직의 증가와 더욱 풍부한 혈류를 동반한다.[47][48] 유관 수가 거의 준비되면, "잎" 모양의 꽈리가 내강 상피 세포로부터 분화되어 각 분지의 끝에 추가된다. 임신 후기와 출산 후 며칠 동안 초유가 분비된다.출산 후에는 유선에서 수유가 일어난다. 젖 분비(수유)는 순환 프로게스테론 감소와 또 다른 중요한 호르몬인 프로락틴의 존재로 인해 며칠 후에 시작되며, 이는 추가적인 꽈리 형성, 우유 단백질 생산을 매개하고 삼투압 균형 및 타이트 정션 기능을 조절한다.[47][48] 수유는 유선포의 내강 세포에서 젖이 분비되는 과정을 포함한다. 근상피 기저막의 라미닌과 콜라겐이 상피 표면의 베타-1 인테그린과 상호 작용하는 것은 이 과정에서 필수적이다.[47][48] 이들의 결합은 꽈리 세포의 기저 측면에 프로락틴 수용체를 정확하게 배치하고 유관으로 우유를 방향성 있게 분비하는 것을 보장한다. 유선포를 둘러싼 근상피 세포의 수축은 젖이 유관을 통해 젖꼭지로 분출되어 아기에게 수유될 수 있도록 한다. 아기의 젖 빨기는 호르몬 옥시토신의 방출을 유발하여 근상피 세포의 수축을 자극한다. ECM과 전신 호르몬의 이러한 결합된 조절 하에서, 우유 분비는 상호 증폭될 수 있어 아기에게 충분한 영양을 공급할 수 있다.
젖 떼기 과정 동안에는 프로락틴 감소, 기계적 자극(아기의 젖 빨기) 부족, 그리고 유즙 정체와 타이트 접합부 누출로 인한 삼투압 변화가 유즙 생산 중단을 유발한다. 유선은 수유하지 않는 여성에게도 체액을 분비한다.[49]
3. 4. 폐경기
폐경기 후에는 에스트로겐 수치가 훨씬 낮아지고, 나이가 들면서 감소하는 성장 호르몬(GH)과 인슐린 유사 성장 인자 1(IGF-1) 수치도 낮아져 젖샘 조직이 위축되고 젖샘이 작아진다.4. 생리
젖샘의 생리적 변화는 주로 호르몬의 영향을 받는다. 젖샘은 에스트로겐에 의해 증식하고, 프로게스테론에 의해 발달한다. 사춘기 이후 여성의 난소가 발달하고, 에스트로겐과 프로게스테론 분비가 증가하면서 젖샘이 발달한다. 에스트로겐은 주로 유관 발달에, 프로게스테론은 에스트로겐과 함께 유선엽 발달에 작용한다.[45][46]
성숙한 젖샘은 꽈리라고 하는 작은 빈 공간들로 구성되어 있으며, 이 꽈리들은 입방 세포로 덮여 있고 근상피 세포로 둘러싸여 있다. 꽈리들은 모여 소엽을 형성하고, 각 소엽에는 젖꼭지로 연결되는 젖샘관이 있다. 옥시토신은 근상피 세포를 수축시켜 젖을 젖꼭지 쪽으로 이동시킨다. 유아가 젖을 빨 때 옥시토신이 분비되어 젖이 분비되는 "사출 반사"가 일어난다.[4]
젖샘관의 발달은 여성 호르몬 순환에 따라 달라진다. 에스트로겐은 분지 분화를 촉진하고, 남성의 테스토스테론은 이를 억제한다. 젖샘 상피 세포 세포 외 기질(ECM)은 젖샘의 기본 구조를 지지하고, 젖샘 상피와 환경 간의 소통 역할을 한다.[6]
임신 중에는 프로락틴, 에스트로겐, 프로게스테론 수치가 증가하여 분비 꽈리가 발달하고, 지방 조직과 혈류가 증가한다. 임신 후기와 출산 후 며칠 동안 초유가 분비되며, 이후 프로게스테론 감소와 프로락틴 존재로 인해 젖 분비(수유)가 시작된다. 아기의 젖 빨기는 옥시토신 방출을 유발하여 근상피 세포 수축을 일으킨다.[47][48] 프로락틴과 옥시토신은 젖 분비 자극을 일으킨다. 젖 떼기 과정에서는 프로락틴 감소와 기계적 자극 부족으로 젖 생산이 중단된다.
4. 1. 호르몬 조절
에스트로겐과 성장 호르몬(GH)은 젖샘 발달의 유관 구성 요소에 필수적이며, 서로 협력하여 젖샘 발달을 유도한다.[15][16][17][18][19] 에스트로겐과 GH는 서로 없이는 유관 발달을 유도할 수 없다.[16][17][18][19] 유관 발달에서 GH의 역할은 주로 인슐린 유사 성장 인자 1(IGF-1) 분비를 유도함으로써 조절되는 것으로 밝혀졌다. IGF-1은 전신(주로 간에서 생성) 및 성장 호르몬 수용체(GHR) 활성화를 통해 유방 지방 패드에서 국소적으로 발생한다.[16][17][18][19][20] GH 자체는 유방 조직에서 에스트로겐 수용체(ER) 발현을 증가시켜 IGF-1과 독립적으로 유관 발달을 촉진하기도 한다.[19] IGF-1 외에도, 표피 성장 인자(EGF), 형질전환 성장 인자 베타(TGF-β),[21] 암피레귤린,[22] 섬유아세포 성장 인자(FGF) 및 간세포 성장 인자(HGF)[23]와 같은 다른 파라크린 성장 인자들이 성 호르몬과 GH/IGF-1의 하위 매개체로서 유방 발달에 관여한다.[24][25][26]배아 발달 동안 IGF-1 수치는 낮고, 출생부터 사춘기까지 점차 증가한다.[27] 사춘기에 GH와 IGF-1의 수치는 평생 가장 높은 수준에 도달하고 여성의 경우 에스트로겐이 대량으로 분비되기 시작하며, 이때 유관 발달이 주로 일어난다.[27] 에스트로겐의 영향으로 젖샘의 유관계를 둘러싼 기질과 지방 조직 또한 성장한다.[28] 임신 중에는 프로게스테론과 프로락틴이 에스트로겐이 자극된 젖샘 조직에서 소엽-선포 발달을 매개하는데, 이는 수유와 모유 수유를 준비하는 과정이다.[15][29]
안드로겐(예: 테스토스테론)은 젖샘 조직에서 발현되는 안드로겐 수용체의 활성화를 통해 에스트로겐 매개 젖샘 발달을 억제한다.[29][30][31]
젖샘관의 발달은 여성의 호르몬 순환에 반응하여 일어난다. 에스트로겐은 분지 분화를 촉진하는 반면,[37] 남성에서는 테스토스테론이 이를 억제한다. 유선의 지방 패드 한계에 도달하는 성숙한 관상 구조는 관 말단 싹(TEB)의 이분 분화, 1차 관에서 싹이 트는 2차 분지[7][38] 및 적절한 관강 형성을 통해 이루어진다. 이러한 과정은 전신 호르몬 및 국소 분비 인자와 상호 작용하는 유선 상피 ECM의 구성 요소에 의해 엄격하게 조절된다. 각 메커니즘에 대해 상피 세포의 "니치"는 특정 분지 영역마다 서로 다른 막 수용체 프로필과 기저막 두께를 가지고 있어 세포 성장 또는 분화를 부분적으로 조절할 수 있다.[39] 중요한 구성 요소로는 베타-1 인테그린, 상피 성장 인자 수용체(EGFR), 라미닌-1/5, 콜라겐-IV, 매트릭스 메탈로프로테이나제(MMPs), 헤파란 황산 프로테오글리칸 등이 있다. 성장 호르몬과 에스트로겐의 순환 수준 증가는 얇고 누출되기 쉬운 기저막 층을 통해 TEB 팁의 다능성 캡 세포에 도달한다. 이러한 호르몬은 특정 유전자 발현을 촉진한다. 따라서 캡 세포는 근상피 및 내강(관) 상피 세포로 분화할 수 있으며, 활성화된 MMP의 양이 증가하여 주변 ECM을 분해하여 관 싹이 지방 패드 안으로 더 멀리 도달하도록 돕는다.[40][41]
임신 중에는 프로락틴, 에스트로겐, 프로게스테론 수치가 증가하여 분비 꽈리가 발달하며, 지방 조직의 증가와 더욱 풍부한 혈류가 동반된다. 임신 중 혈청 프로게스테론은 안정적으로 높은 농도를 유지하여 수용체를 통한 신호 전달이 지속적으로 활성화된다. 전사되는 유전자 중 하나인 Wnt는 유선 상피 세포에서 분비되어 인접 세포의 분지를 유도한다.[45][46] 유관 수가 거의 준비되면, "잎" 모양의 꽈리가 내강 상피 세포로부터 분화되어 각 분지의 끝에 추가된다. 임신 후기와 출산 후 며칠 동안 초유가 분비된다. 젖 분비(수유)는 순환 프로게스테론 감소와 프로락틴의 존재로 인해 며칠 후에 시작되며, 이는 추가적인 꽈리 형성, 우유 단백질 생산을 매개하고 삼투압 균형 및 타이트 정션 기능을 조절한다. 근상피 기저막의 라미닌과 콜라겐이 상피 표면의 베타-1 인테그린과 상호 작용하는 것은 이 과정에서 필수적이다.[47][48] 아기의 젖 빨기는 옥시토신의 방출을 유발하여 근상피 세포의 수축을 자극한다. ECM과 전신 호르몬의 이러한 결합된 조절 하에서, 우유 분비는 상호 증폭될 수 있어 아기에게 충분한 영양을 공급할 수 있다.
일반적으로 유선은 에스트로겐의 작용에 의해 증식하고, 프로게스테론의 작용에 의해 발달한다. 사춘기 이후 여성의 2차 성징에 따라 난소가 발달하고, 여성 호르몬이라고도 불리는 에스트로겐, 프로게스테론의 분비가 증가하면서 유선이 발달한다. 주로 에스트로겐은 유관의 발달, 프로게스테론은 에스트로겐과 함께 유선엽의 발달에 작용한다. 프로락틴과 옥시토신은 젖 분비 자극을 일으킨다.
5. 임상적 의의
젖샘의 종양 발생은 비정상적인 순환 호르몬 또는 국소 세포외 기질 구성 성분의 발현 수준 변화,[53] 또는 젖샘 기질의 기계적 장력 변화에 의해 생화학적으로 유도될 수 있다.[54] 두 가지 상황 중 하나에서 젖샘 상피 세포는 통제를 벗어나 성장하여 결국 암을 유발할 수 있다. 거의 모든 경우의 유방암은 젖샘의 소엽 또는 관에서 시작된다.
6. 다른 포유류의 젖샘
다른 포유류의 젖샘은 여성 인간의 유방과 달리 눈에 띄지 않는다. 젖샘의 수와 위치는 포유류마다 크게 다르다. 튀어나온 젖꼭지와 부속 젖샘은 두 개의 젖샘선을 따라 어디에나 위치할 수 있다. 일반적으로 대부분의 포유류는 이 선을 따라 쌍으로 젖샘을 발달시키며, 그 수는 일반적으로 한 번에 낳는 새끼 수와 대략 일치한다. 젖꼭지 수는 2개(대부분의 영장류)에서 18개(돼지)까지 다양하다. 버지니아 주머니쥐는 13개로, 홀수를 갖는 몇 안 되는 포유류 중 하나이다.[55][56]
다음 표는 다양한 포유류에서 발견되는 젖꼭지와 젖샘의 수와 위치를 나타낸다.
젖샘은 단백질을 생산하는 공장과 같으며,[65] 여러 연구실에서 제약용 단백질 생산을 위해 주로 염소와 소를 대상으로 형질전환 동물을 제작했다.[66] 단클론 항체 또는 항트롬빈과 같은 복잡한 당단백질은 유전자 조작된 세균으로는 생산할 수 없으며, 살아있는 포유류에서의 생산은 포유류 세포 배양을 사용하는 것보다 훨씬 저렴하다.
6. 1. 수컷 포유류의 젖샘
일반적으로 수컷 포유류는 기본적인 젖샘과 젖꼭지를 가지고 있지만, 몇 가지 예외가 있다. 수컷 생쥐는 젖꼭지가 없고,[60] 수컷 유대류는 젖샘이 없으며,[61] 수컷 말은 젖꼭지가 없다.[62] 수컷 다야크과일박쥐는 젖샘에서 젖을 분비한다.[63] 수컷 젖 분비는 일부 종에서 드물게 발생한다.[64] 남성의 경우 젖샘 기능이 퇴화되어 있다. 그러나 남성에서도 에스트로겐 수치가 병적으로 높아지면 젖을 분비하게 되는 경우가 있는데, 이를 여성형 유방이라고 한다.7. 진화
젖샘의 진화에 대한 여러 이론이 있다. 예를 들어, 젖샘은 아포크린 땀샘과 더 밀접한 관련이 있는 변형된 땀샘으로 여겨진다.[67] 젖샘은 화석으로 잘 보존되지 않기 때문에 화석 증거로 이러한 이론을 뒷받침하기 어렵다. 현재의 많은 이론은 현존하는 포유류 계통인 단공류, 유대류, 태반류 간의 비교를 기반으로 한다. 한 이론에 따르면 젖샘은 초기 포유류의 알을 촉촉하게 유지하고[68][69] 감염으로부터 보호하는 데 사용된 샘에서 진화했다.[70][71] (단공류는 여전히 알을 낳는다). 다른 이론에서는 초기 분비물이 부화한 새끼에게 직접 사용되었거나,[72] 분비물이 새끼가 어미를 찾는 데 사용되었다고 제안한다.[73]
수유의 진화에서 볼 수 있듯이 수유는 젖샘과 포유류가 진화하기 훨씬 전에 발달한 것으로 생각된다.
8. 한국의 관점
젖샘은 포유류의 특징 중 하나이며, 한국 문화와 역사 속에서도 다양한 관점으로 다루어져 왔다.
9. 참고 그림
참조
[1]
서적
Anatomy of the Human Body
http://www.bartleby.[...]
[2]
서적
Breastfeeding: A Guide for the Medical Profession
Mosby/Elsevier
2010-09-30
[3]
논문
Anatomy of the Thoracic Wall, Axilla and Breast
https://scielo.conic[...]
2006-12-01
[4]
논문
The let-down reflex in human lactation
1948-12
[5]
논문
Anatomy of the nipple and breast ducts
2016-02
[6]
논문
Mammary development in the embryo and adult: A journey of morphogenesis and commitment
[7]
논문
Stromal Effects on Mammary Gland Development and Breast Cancer
[8]
논문
Adipose Stroma Induces Branching Morphogenesis of Engineered Epithelial Tubules
[9]
서적
Clinically oriented anatomy
Wolters Kluwer
2018
[10]
웹사이트
Apocrine Units
http://www.derm101.c[...]
2011-04-21
[11]
서적
Human Microscopic Anatomy: An Atlas for Students of Medicine and Biology
Springer
2004-03-18
[12]
논문
Rescue of the parathyroid hormone-related protein knockout mouse demonstrates that parathyroid hormone-related protein is essential for mammary gland development
[13]
논문
Key stages of mammary gland development: Molecular mechanisms involved in the formation of the embryonic mammary gland
[14]
논문
Modeling mammary organogenesis from biological first principles: Cells and their physical constraints
2016-10-01
[15]
논문
Hormone Action in the Mammary Gland
2010-12-02
[16]
논문
Role of IGF-I in normal mammary development
[17]
논문
Early mammary development: growth hormone and IGF-1
[18]
논문
Insulin-like growth factor I is essential for terminal end bud formation and ductal morphogenesis during mammary development
[19]
논문
IGF-I: an essential factor in terminal end bud formation and ductal morphogenesis
[20]
논문
IGF-I, GH, and sex steroid effects in normal mammary gland development
[21]
논문
Mouse models of transforming growth factor beta impact in breast development and cancer
[22]
논문
Estrogen regulation of mammary gland development and breast cancer: amphiregulin takes center stage
[23]
논문
Hepatocyte growth factor profile with breast cancer
[24]
서적
Anatomy and Physiology for Midwives
https://books.google[...]
Elsevier Health Sciences
[25]
논문
Mammary Gland Growth Factors: Roles in Normal Development and in Cancer
[26]
서적
Diseases of the Breast
https://books.google[...]
Lippincott Williams & Wilkins
2012-03-28
[27]
논문
The potential clinical applications of insulin-like growth factor-1 ligand in human breast cancer
http://ar.iiarjourna[...]
[28]
서적
Essential Medical Physiology
https://books.google[...]
Academic Press
[29]
논문
Breast size in relation to endogenous hormone levels, body constitution, and oral contraceptive use in healthy nulligravid women aged 19–25 years
[30]
논문
Testosterone inhibits estrogen-induced mammary epithelial proliferation and suppresses estrogen receptor expression
https://zenodo.org/r[...]
[31]
논문
Gynecomastia in adolescent males
[32]
논문
Studies of mouse mammary glands. I. Cytomorphology of the normal mammary gland
1967-09
[33]
논문
Mammary stem cells and progenitors: targeting the roots of breast cancer for prevention
2019-07-15
[34]
논문
Key stages of mammary gland development: molecular mechanisms involved in the formation of the embryonic mammary gland
2005-08-10
[35]
논문
Stem Cells and the Developing Mammary Gland
2013-04
[36]
논문
The mammary gland: a model for development
1999-01
[37]
논문
Key stages in mammary gland development: The cues that regulate ductal branching morphogenesis
[38]
논문
Hormonal and local control of mammary branching morphogenesis
[39]
논문
Regulation of mammary gland branching morphogenesis by the extracellular matrix and its remodeling enzymes
[40]
논문
Site-specific inductive and inhibitory activities of MMP-2 and MMP-3 orchestrate mammary gland branching morphogenesis
[41]
논문
Role of cell surface metalloprotease MT1-MMP in epithelial cell migration over laminin-5
[42]
논문
Cell adhesion to laminin 1 or 5 induces isoform-specific clustering of integrins and other focal adhesion components
http://jcs.biologist[...]
[43]
논문
A role for dystroglycan in epithelial polarization: Loss of function in breast tumor cells
[44]
논문
Hormonal effects of soy in premenopausal women and men
2002-03
[45]
논문
Side-branching in the mammary gland: The progesterone-Wnt connection
[46]
논문
Essential function of Wnt-4 in mammary gland development downstream of progesterone signaling
[47]
논문
Control of mammary epithelial differentiation: Basement membrane induces tissue-specific gene expression in the absence of cell-cell interaction and morphological polarity
[48]
논문
Laminin mediates tissue-specific gene expression in mammary epithelia
[49]
논문
Marsupials
https://books.google[...]
Cambridge University Press
2006-08-17
[50]
논문
Apoptosis and autophagy in involuting bovine mammary gland
[51]
논문
Clearance: The last and often forgotten stage of apoptosis
[52]
논문
Apoptosis and autophagy in mammary gland remodeling and breast cancer chemotherapy
[53]
논문
Normal and tumor-derived myoepithelial cells differ in their ability to interact with luminal breast epithelial cells for polarity and basement membrane deposition
[54]
논문
Collagen density promotes mammary tumor initiation and progression
[55]
웹사이트
With the Wild Things – Transcripts
http://digitalcollec[...]
Digitalcollections.fiu.edu
2013-04-05
[56]
웹사이트
Raising Orphaned Baby Opossums
https://web.archive.[...]
Alabama Wildlife Center
2005
[57]
서적
Animal Science and Industry
Pearson Prentice Hall
[58]
문서
[59]
웹사이트
Red-Sided Short-Tailed Opossum
http://www.faunapara[...]
Fauna Paraguay
2008
[60]
논문
Conversion of the Nipple to Hair-Bearing Epithelia by Lowering Bone Morphogenetic Protein Pathway Activity at the Dermal-Epidermal Interface
2008-11
[61]
서적
Marsupials
https://books.google[...]
Cambridge University Press
2006-08-17
[62]
논문
Development and Pathology of the Equine Mammary Gland
2021
[63]
논문
Lactation in male fruit bats
http://www.bu.edu/ce[...]
[64]
논문
Male lactation: why, why not and is it care?
[65]
논문
Lactating Porcine Mammary Tissue Catabolizes Branched-Chain Amino Acids for Glutamine and Aspartate Synthesis
2009-08-01
[66]
웹사이트
BBC News – The goats with spider genes and silk in their milk
https://www.bbc.co.u[...]
2012-01-17
[67]
논문
The origin of lactation as a water source for parchment-shelled eggs
[68]
웹사이트
Lactating on Eggs
https://web.archive.[...]
Smithsonian National Zoo
2003-07-14
[69]
논문
The mammary gland and its origin during synapsid evolution
[70]
웹사이트
Breast beginnings
https://web.archive.[...]
scienceblogs.com
[71]
논문
Evolution of the mammary gland from the innate immune system?
[72]
논문
Evolution of Lactation: Ancient Origin and Extreme Adaptations of the Lactation System
[73]
논문
A Role for Aggregation Pheromones in the Evolution of Mammallike Reptile Lactation
본 사이트는 AI가 위키백과와 뉴스 기사,정부 간행물,학술 논문등을 바탕으로 정보를 가공하여 제공하는 백과사전형 서비스입니다.
모든 문서는 AI에 의해 자동 생성되며, CC BY-SA 4.0 라이선스에 따라 이용할 수 있습니다.
하지만, 위키백과나 뉴스 기사 자체에 오류, 부정확한 정보, 또는 가짜 뉴스가 포함될 수 있으며, AI는 이러한 내용을 완벽하게 걸러내지 못할 수 있습니다.
따라서 제공되는 정보에 일부 오류나 편향이 있을 수 있으므로, 중요한 정보는 반드시 다른 출처를 통해 교차 검증하시기 바랍니다.
문의하기 : help@durumis.com






