백색판증
"오늘의AI위키"의 AI를 통해 더욱 풍부하고 폭넓은 지식 경험을 누리세요.
1. 개요
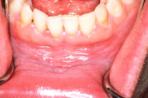
백색판증은 점막 질환 또는 전암성 질환으로, 흰색 반점 또는 플라크가 특징이다. 과각화증으로 인해 흰색을 띠며, 구강, 비뇨 생식기, 후두 등 다양한 부위에 발생할 수 있다. 구강 백색판증은 균질형과 비균질형으로 나뉘며, 흡연, 음주, Sanguinaria와 같은 요인이 원인이 될 수 있다. 진단은 배제 진단이며, 조직 검사를 통해 이형성증 유무를 확인한다. 치료는 원인 제거와 정기적인 관찰을 포함하며, 수술적 제거 및 약물 치료가 사용될 수 있다. 악성 변형의 위험이 있으며, 이형성증, 위치, 색깔, 모양 등의 요인이 예후에 영향을 미친다. 전 세계적으로 유병률은 다르며, 중년 및 노년 남성에게 더 흔하게 나타난다.
더 읽어볼만한 페이지
- 구강 신생물 - 구강암
구강암은 구강에 생기는 악성 종양으로, 흡연, 음주, 인유두종 바이러스 감염 등이 주요 원인이며, 수술, 방사선 치료, 항암화학요법 등으로 치료한다. - 구강병리학 - 법랑질 저형성증
법랑질 저형성증은 유전적, 환경적 요인으로 법랑질이 제대로 형성되지 않아 치아 결함, 우식 위험 증가, 심미적 문제 등을 야기하며, 치아 실런트, 불소 도포 등으로 치료한다. - 구강병리학 - 개구장애
개구장애는 근육 경련 등으로 입을 벌리는 데 제한이 있는 상태로, 정상적인 입 벌림 범위는 35~45mm이며, 원인에 따라 약물, 물리, 수술적 치료를 고려하고 과거에는 파상풍 초기 증상 묘사 용어로도 사용되었다.
2. 분류
백색판증은 점막 질환 또는 전암성 질환으로 분류된다. 백색판증의 흰색은 과각화증(또는 극세포증)의 결과이지만, 흡연자 각화증이나 뺨 깨물기와 같은 반응성 각화증으로 인한 흰색 병변은 백색판증으로 보지 않는다.[17] 백색판증은 발생 부위에 따라 구강 백색판증, 방광 백색판증, 비뇨생식기(음경, 외음부, 자궁경부, 질) 백색판증 등으로 나뉜다.[13][14] 후두 백색판증은 위식도 역류 질환과 관련이 있을 수 있다.[15] 구강인두 백색판증은 식도암 발병과 관련이 있으며, 때로는 타일로시스(타일로시스 및 식도 암을 동반한 백색판증)와 관련되기도 한다. 선천성 이각화증은 구강 및 항문 점막의 백색판증과 관련될 수 있다.[15]



2. 1. 구강 백색판증
백색판증은 점막에 생기는 질환으로, 암으로 발전할 가능성이 있는 질환으로도 분류된다. 백색판증의 흰색은 과각화증이나 극세포증 때문에 나타나지만, 흡연이나 뺨을 깨무는 습관 때문에 생기는 각화증으로 인한 흰색 병변은 백색판증으로 보지 않는다.[17] 백색판증은 생기는 부위에 따라 구강 백색판증, 방광 백색판증, 또는 음경, 외음부, 자궁경부, 질 등 비뇨생식기 백색판증으로 나눌 수 있다.[13][14] 후두에도 백색판증이 생길 수 있는데, 이는 위식도 역류 질환과 관련이 있을 수 있다.[15] 구강인두 백색판증은 식도암 발생과 관련이 있으며,[15] 때로는 손과 발바닥 피부가 두꺼워지는 타일로시스와 관련이 있기도 하다(타일로시스 및 식도 암을 동반한 백색판증). 선천성 이각화증은 구강 점막 및 항문 점막의 백색판증과 관련될 수 있다.[15]구강 백색판증은 발생 부위에 따라 뺨 점막에 생기는 협점막 백색판증, 혀 점막에 생기는 설 백색판증 등으로 더 세분화된다. 구강 백색판증에는 크게 균질형과 비균질형(이질형) 두 가지 유형이 있다. 백색판증이라는 단어는 흰색 반점으로 나타나는 다른 구강 질환 이름에도 포함되지만, 증식성 사마귀 백색판증을 제외하고는 일반적으로 백색판증과 별개로 간주되는 특정 질환이다. 증식성 사마귀 백색판증은 백색판증의 한 종류로 인식된다.
2. 1. 1. 균질형 백색판증
균질 백색판증(homogeneous leukoplakia)("두꺼운 백색판증"이라고도 함)[16]은 경계가 명확한 흰색 반점으로, 일반적으로 균일하고 평평한 외관과 질감을 가지지만 표면에 불규칙성이 있을 수 있다.[16][2] 균질 백색판증은 주변 점막보다 약간 융기되어 있으며, 틈새가 있거나 주름지거나 물결 모양의 표면 질감을 갖는 경우가 많다.[16] 질감은 전체 병변에서 일반적으로 일관성을 유지한다. 이 용어는 병변의 크기(국소적 또는 광범위)와는 관련이 없다.[16] 균질 백색판증을 촉진(palpation)하면 가죽 같거나, 건조하거나, 갈라진 진흙과 같은 느낌이 들 수 있다.[16]2. 1. 2. 비균질형 백색판증
비균질 백색판증은 모양이 균일하지 않은 병변이다. 색상은 흰색이 우세하거나 흰색과 붉은색이 혼합될 수 있다. 표면 질감은 균질 백색판증에 비해 불규칙하며, 편평하고(구진성), 결절성 또는 융기성일 수 있다.[2][17] "사마귀 백색판증" (또는 "사마귀 모양 백색판증")은 두껍고 흰색의 유두상 병변에 사용되는 설명 용어이다. 사마귀 백색판증은 대개 각질화가 심하며 고령자에게서 자주 나타난다. 일부 사마귀 백색판증은 융기성 성장 패턴을 보일 수 있으며,[16] 일부는 주변 점막을 천천히 침범할 수 있으며, 이 경우 증식성 사마귀 백색판증이라는 용어를 사용할 수 있다. 비균질 백색판증은 균질 백색판증보다 암성 변화의 위험이 더 크다.[2]2. 1. 3. 설하 각화증
때때로 구강 바닥이나 혀 밑의 백색판증을 "설하 각화증"이라고 부르기도 한다.[23] 그러나 이는 일반적으로 특발성 백색판증과는 구별되는 별개의 임상 실체로 보편적으로 받아들여지지는 않으며,[23] 위치에 의해서만 구분된다.[10] 일반적으로 설하 각화증은 양측성이고 "썰물"이라고 묘사되는 평행 주름진 표면 질감을 가지고 있다.[10]2. 1. 4. 칸디다 백색판증
칸디다 백색판증은 일반적으로 진성 백색판증의 아형이라기보다는, 현재 "만성 과형성 칸디다증"이라고 불리는 구강 칸디다증의 일종에 대한 역사적인 동의어로 여겨진다.[22] 그러나 일부 자료에서는 이 용어를 칸디다 종에 의해 이차적으로 집락화된 백색판증 병변을 지칭하는 데 사용하여 과형성 칸디다증과 구별한다.[23]2. 1. 5. 구강 털 백색판증
구강 털 백색판증은 전신 면역 결핍 환경, 거의 항상 인간 면역 결핍 바이러스(HIV) 감염 상태에서 엡스타인-바 바이러스의 기회 감염으로 인해 혀 옆면에 나타나는 주름진("털이 있는") 흰색 병변이다.[17] 이 질환은 원인 물질이 확인되었기 때문에 진정한 특발성 백반증으로 간주되지 않는다. 가성 막성 칸디다증과 함께 HIV 감염과 관련된 가장 흔한 구강 병변 중 하나이다.[7] 이 병변이 나타나면 종종 HIV에서 후천성 면역 결핍 증후군(AIDS)으로 전환됨을 예고한다.[7]2. 1. 6. 매독성 백색판증
매독성 백색판증은 매독과 관련된 흰색 병변으로, 특히 감염의 3기 단계에서 나타난다.[17] 원인 병원체인 ''트레포네마 팔리덤''이 알려져 있기 때문에 특발성 백반증의 한 유형으로 간주되지 않는다. 과거 매독이 더 흔했을 때는 이 백색 반점이 주로 혀의 윗면에 나타났으며, 암으로 변환될 위험이 높았으나,[23] 현재는 드물다. 이 병변이 질병 자체와 관련이 있는지, 아니면 당시 매독 치료법으로 인해 발생했는지는 불분명하다.[24]2. 2. 기타 부위 백색판증
백색판증은 영향 부위에 따라 구강 백색판증, 방광 백색판증, 또는 음경, 외음부, 자궁경부, 질을 포함한 비뇨생식기 백색판증으로 나눌 수 있다.[13][14] 후두 백색판증은 위식도 역류 질환과 관련이 있을 수 있다.[15] 구강인두 백색판증은 식도암 발병과 관련이 있으며,[15] 때로는 손과 발바닥 피부가 두꺼워지는 타일로시스(타일로시스 및 식도 암을 동반한 백색판증 참고)와 관련이 있다. 선천성 이각화증은 구강 점막 및 항문 점막의 백색판증과 관련될 수 있다.[15]2. 2. 1. 식도 백색판증
식도 백색판증은 구강 백색판증에 비해 드물게 나타난다. 식도 백색판증의 발병률이 매우 낮기 때문에 식도암과의 연관성은 불분명하다. 이는 대개 초기 식도 편평상피세포암종과 유사할 수 있는 작고 거의 불투명한 흰색 병변으로 나타난다. 조직학적 소견은 구강 백색판증과 유사하며, 과각화증과 가능한 이형성증이 나타난다.[25]2. 2. 2. 항문 백색판증
'백색판증'은 편평 상피 화생 부위에서 각질화를 나타내는 시각적인 흰색 반점을 지칭하는 역사적인 용어이다. 증상으로는 빈뇨, 치골 상부 통증(치골 위에서 느껴지는 통증), 혈뇨(소변 내 혈액), 배뇨통(배뇨 곤란 또는 배뇨 중 통증), 요절박, 요실금 등이 있을 수 있다.[26] 백색 병변은 방광경 검사 중에 보일 수 있으며, 이때 염증이 있는 요로 상피를 배경으로 흰색-회색 또는 노란색 병변으로 나타나며 방광에 부유물이 있을 수 있다. 방광 백색판증은 암으로 변할 수 있으므로 생검과 장기적인 추적 관찰이 일반적으로 필요하다.[26]3. 증상
항문관의 백색판증은 드물다.[27] 항문직장 접합부까지 확장될 수 있다. 직장 수지 검사 시 단단하고 과립상으로 느껴지며, 직장경 검사 시 확산성, 원주형 또는 국한된 흰색 반점으로 나타난다. 조직학적 소견은 구강 백색판증과 유사하며, 과각화증과 극세포증을 보인다. 치핵이나 치열과 같은 다른 병변으로 인한 증상과 함께 무증상일 수 있으며, 항문 협착으로의 진행이 보고되었다. 악성 가능성은 낮아 보이며, 항문 백색판증과 관련된 항문 암종 사례는 거의 보고되지 않았다.[28]
대부분의 백색판증은 증상을 유발하지 않지만,[2] 드물게 불편감이나 통증이 있을 수 있다.[16] 병변의 정확한 모양은 다양하다. 백색판증은 흰색, 흰색을 띤 노란색 또는 회색일 수 있으며,[30] 크기는 작은 부위에서 훨씬 더 큰 병변까지 다양할 수 있다.[30] 가장 흔하게 영향을 받는 부위는 협점막, 입술점막 및 치조 점막이지만,[47] 구강 내 모든 점막 표면이 관련될 수 있다.[16] 표면 질감과 색상을 포함한 임상적 외관은 균일하거나 비균일할 수 있다.
4. 원인
백색판증의 정확한 원인은 대부분 알려져 있지 않지만,[18] 여러 요인이 복합적으로 작용하는 것으로 보인다. 그중에서도 주된 요인으로 꼽히는 것은 담배 사용이다.[30] 하얀색으로 보이는 이유는 각질층이 두꺼워지는 과각화증 때문이다. 비정상적인 각질은 침에 의해 수분을 공급받으면 하얗게 보이며, 빛이 표면에서 균일하게 반사된다.[30] 이는 점막의 정상적인 분홍색-붉은색을 가리게 된다.[18] 이러한 현상은 발바닥이나 손가락처럼 피부가 두꺼운 부위를 물에 오랫동안 담갔을 때 나타나는 현상과 유사하다. 또 다른 가능한 원인으로는 유극층이 두꺼워지는 극세포증이 있다.[30]
4. 1. 흡연
흡연 또는 씹는 담배는 백색판증의 가장 흔한 원인이며,[30] 백색판증 환자의 80% 이상은 흡연 경력이 있다.[18] 흡연자는 비흡연자보다 백색판증 발생 가능성이 훨씬 높으며,[18] 백색판증 병변의 크기와 개수는 흡연량 및 흡연 기간과 관련이 있다.[18] 다만, 흡연과 구강 백색판증 사이에 직접적인 인과 관계가 없다는 주장도 있다.[31] 담배는 뺨 점막, 입술, 혀, 드물게는 구강저에 광범위한 백색판증을 유발할 수 있다.[30] 담배의 불붙은 부분을 입에 물고 피우는 역 흡연도 점막 변화와 관련이 있다.[30] 빈랑 잎과 빈랑 열매를 씹는 것(이를 판이라고 부름)은 "담배 주머니 각화증"이라는 뺨 고랑의 독특한 흰 반점을 생성하는 경향이 있다.[18] 대부분 흡연 중단 후 1년 이내에 병변이 축소되거나 사라진다.[18][30]4. 2. 음주
알코올이 구강암 발병에 있어서 흡연과 상승 작용 효과가 있다는 것은 의심할 여지가 없지만, 알코올이 백색판증 발병에 관여한다는 명확한 증거는 없다. 하지만 어느 정도 영향을 미치는 것으로 보인다.[30] 알코올 함량이 높은 구강 청결제(25% 초과)를 과도하게 사용하면 뺨 점막에 회색 플라크가 형성될 수 있지만, 이러한 병변은 진정한 백색판증으로 간주되지 않는다.[18]4. 3. 기타 요인
Sanguinaria는 일부 치약 및 구강 청결제에 포함된 허브 추출물이다. 이 성분의 사용은 보통 볼 협부에서 백색판증 발생과 강하게 연관되어 있다.[32] 이러한 유형의 백색판증은 "Sanguinaria 연관 각화증"이라고 불리며, 구강 전정의 백색판증 환자 중 80% 이상이 이 물질을 사용했다. 원인 물질과의 접촉을 중단한 후에도 병변은 수년 동안 지속될 수 있다. 이러한 유형의 백색판증은 이형성증을 보일 수 있지만, 악성 변화 가능성은 알려져 있지 않다.[18]칸디다(Candida)는 그 병원성 균사 형태에서 특발성 백색판증 생검에서 가끔 관찰된다. 칸디다 감염이 이형성을 동반하거나 동반하지 않는 백색판증의 주요 원인인지, 아니면 병변이 발생한 후에 발생하는 이차적 감염인지에 대해서는 논쟁이 있다. 칸디다 종은 변화된 조직에서 번성하는 것으로 알려져 있다.[30] 이형성을 동반한 일부 백색판증은 항진균제 사용 후 감소하거나 완전히 사라진다.[18] 백색판증의 발병으로 이어질 수 있는 흡연은 구강 칸디다증을 촉진할 수도 있다.[18] 백색판증과 관련된 칸디다는 만성 과형성 칸디다증("칸디다 백색판증")과 같이 주로 칸디다 감염으로 인해 발생하는 흰 반점과 혼동해서는 안 된다.[23]
일부 구강 백색 병변 형성에 바이러스의 관여는 잘 확립되어 있는데, 예를 들어 구강 털 백색판증의 엡스타인-바 바이러스(이는 진정한 백색판증이 아니다)가 있다. 인간 유두종 바이러스(HPV), 특히 HPV 16 및 18[18]은 백색판증 부위에서 가끔 발견되지만, 이 바이러스는 입안의 정상적이고 건강한 점막 표면에서도 우연히 발견될 수 있으므로, 이 바이러스가 일부 백색판증의 발달에 관여하는지는 알려져 있지 않다.[30][33] ''생체 외'' 실험을 통해 HPV 16이 이전에 정상적인 편평 상피에서 이형성 변화를 유도할 수 있음이 입증되었다.[18]
5. 병태 생리
(제공된 원본 소스가 없으므로, 내용을 생성하거나 수정할 수 없습니다.)
6. 진단
백색판증은 다른 질병을 배제하여 진단하는 배제 진단의 일종으로, 임상적 또는 병리학적으로 다른 질병으로 특정할 수 없고, 담배 사용을 제외한 물리적, 화학적 요인과 관련 없는 희끄무레한 반점 또는 플라크를 말한다. 백색판증의 정의는 시간이 지남에 따라 변경되었으며, 여전히 논란의 여지가 있다.[47] 1984년 국제 심포지엄에서는 "임상적 또는 병리학적으로 다른 질병으로 특징지을 수 없고, 담배 사용을 제외한 물리적 또는 화학적 요인과 관련이 없는 희끄무레한 반점 또는 플라크"로 정의했으나,[30] 1994년 두 번째 국제 심포지엄에서는 "다른 정의 가능한 병변으로 특징지을 수 없는 구강 점막의 주된 흰색 병변"으로 수정되었다.[30]
세계 보건 기구(WHO)는 구강 백색판증을 "암의 위험이 증가하지 않는 (다른) 알려진 질병 또는 장애를 배제한, 위험이 불분명한 흰색 플라크"로 정의한다.[36] 그러나 이 정의는 의학 문헌에서 일관되지 않게 적용되며, 일부에서는 모든 구강 흰 반점을 "백색판증"이라고 지칭하기도 한다.[10]
"백색판증"이라는 용어는 원인에 관계없이 흰 반점을 지칭하거나, 암 변화 위험이 있는 흰 반점만을 지칭하는 등 일관성 없이 사용되어 왔다.[10] 이러한 이유로 '백색판증'은 도움이 되지 않는 용어라는 제안이 있었으며,[10] 일부 임상의는 현재 이 용어를 사용하지 않는다.[47]
일반적으로 백색판증의 조직 생검은 다른 원인을 배제하고, 악성 가능성을 나타내는 상피 이형성의 존재를 확인하기 위해 시행한다.[11]
6. 1. 감별 진단
백색판증은 다른 질환이 배제된 구강 내 백색 반점을 의미하는 배제 진단이다. 대부분의 구강 백색 반점은 특별한 원인이 없으며, 이러한 경우 백반증이라고 한다.[10] 구강 내 백색 병변의 원인은 다양하며, 외과적 체계에 따라 감별 진단이 가능하다.[10][30][38][39]구강 내 백색 병변의 감별 진단은 다음과 같다.
대부분의 구강 백색 반점은 각화증으로 인해 발생한다.[10] 두꺼워진 각질층은 타액의 물을 흡수하여 희게 보인다. 얇은 상피층을 통해 보이는 기저 혈관 구조 때문에 정상 구강 점막은 붉은 분홍색을 띤다.[30] 멜라닌, 빌리루빈, 헤모시데린과 같은 색소도 구강 점막 색에 영향을 줄 수 있다.[30]
백색판증은 문질러서 제거할 수 없는 반면,[9] 가성막성 칸디다증은 제거하면 붉고 출혈이 있는 표면이 나타난다. 백색 부종은 점막을 당기면 사라진다. 마찰 각화증은 부러진 치아나 틀니와 인접해 있으며, 원인이 제거되면 사라진다. 뺨 깨물기와 뺨 백선은 치아가 만나는 교합 평면에 위치한다. 화학적 화상은 아스피린 등을 점막에 올려놓은 병력이 있는 경우 의심할 수 있다. 발달성 백색 반점은 출생 시 또는 유년기에 나타나지만, 백반증은 주로 중년 이후에 발생한다. 2주 내에 치유되지 않는 병변은 조직 검사를 고려해야 한다.[38]
6. 2. 조직학적 특징

일반적으로 백색판증의 조직 생검은 다른 원인을 배제하고, 악성 가능성을 나타내는 상피 이형성의 존재를 확인하기 위해 시행한다.[11] 생검 부위는 경화와 홍반증(발적), 미란성 또는 궤양 부위를 선택하는데, 이러한 부위가 균질한 흰색 부위보다 이형성을 보일 가능성이 높기 때문이다.[11]
절개 생검의 대안으로 세포 탈락 검사를 시행할 수 있는데,[11] 단단한 브러시로 입 안쪽을 긁어 세포 표본을 채취하여 현미경으로 검사한다. 톨루이딘 블루 염색을 통해 이형성 부위를 강조하기도 하지만, 거짓 양성률이 높다.[10] 이 외에도 푸른 빛 아래에서 이형성 또는 암종 부위에서 손실되는 콜라겐과 케라틴과 같은 점막의 정상적인 자가형광 분자의 특성을 이용하거나, 톨루이딘 블루 또는 묽은 아세트산을 사용하여 점막을 염색하고 백색광 아래에서 검사하는 방법도 있다.[10]
백색판증은 다양한 조직학적 소견을 보일 수 있는데, 과각화증의 정도, 상피 두께(극세포증/위축), 이형성증, 그리고 기저 고유판 내 염증 세포 침윤 정도는 다양하다.[30] 과각화증은 상피의 각질층 두께가 증가하거나, 일반적으로 예상되지 않는 부위에 각질층이 존재하는 것이다.[21] 백색판증에서 과각화증은 두께가 다양하며, 정각화증 또는 부각화증(표면층에서 세포 핵 소실 여부에 따라)일 수 있고, 병변의 다른 부위에서 두 가지가 혼합되어 나타날 수 있다.[30][39]
상피는 비대(예: 극세포증) 또는 위축을 보일 수 있다. 백색판증 내 붉은 부위는 각질화 능력을 상실한 위축성 또는 미성숙 상피를 나타낸다.[18] 병변과 정상적인 주변 점막 사이의 전환은 경계가 명확하거나 불분명할 수 있다. 구강 점막에서 자연적으로 생성되는 색소인 멜라닌은 세포에서 유출되어 일부 백색판증 병변에 회색을 띨 수 있다.[30]
과각화증과 변형된 상피 두께가 백색판증 병변의 유일한 조직학적 특징일 수 있지만, 일부는 이형성증을 보인다. 이형성증은 비정상적인 성장을 의미하며, 특히 구강의 붉거나 흰색 병변에서 악성 변환의 위험을 나타내는 미세한 변화를 의미한다.[10] 이형성증이 존재할 때는 일반적으로 기저 고유판에 염증 세포 침윤이 있다.[39] 백색판증 표본에서 상피 이형성증의 가능한 특징은 다음과 같다:[10][30]
- 세포 다형성: 세포가 비정상적이고 다른 모양을 가진다.
- 핵 이형성증: 세포의 세포 핵 크기가 다양하고, 세포질에 비해 크기가 증가하고, 모양이 변하며, 더 강하게 염색될 수 있다. 또한 더 두드러진 핵소체가 있을 수 있다.
- 세포 분열을 겪는 세포의 수가 증가하며, 정상 및 비정상적인 분열을 모두 포함한다. 비정상적인 분열은 비정상적으로 위치하거나(예: 기저 세포층보다 표면에 위치), 비정상적인 형태를 보일 수 있다(예: "삼방사상 분열").
- 상피층의 정상적인 조직 구조를 잃는다. 상피층 사이의 구분이 사라질 수 있다.
- 비정상적인 각질화가 있을 수 있으며, 각질은 정상적인 각질층 아래에서 형성된다. 이는 개별 세포 또는 세포 집단에서 발생하여 상피내 각질 진주를 형성할 수 있다. 기저 세포의 수가 증가할 수 있으며, 세포 방향성을 잃을 수 있다.
- 정상적인 상피-결합 조직 구조의 변화: 치상 돌기가 "물방울 모양"이 될 수 있다.
일반적으로, 이형성증은 병리학자에 의해 경도, 중등도 또는 중증 이형성증으로 주관적으로 등급이 매겨진다. 하지만 이형성증 등급 결정 방식은 관찰자 간의 높은 변동성과 낮은 재현성을 보인다.[37] 중증 이형성증은 상피내 암종과 동의어이며, 기저막을 관통하여 다른 조직을 침범하지 않은 신생물 세포의 존재를 나타낸다.
7. 치료
백색판증의 치료는 외과적 제거와 약물 치료 등 다양한 방법이 시도되고 있다. 조직 생검은 백색판증의 다른 원인을 배제하고 악성 가능성을 평가하기 위해 시행된다. 생검 부위는 경화(단단해짐), 홍반증(붉은 반점), 미란(짓무름) 또는 구강 궤양 부위 등 이형성 가능성이 높은 곳을 선택한다.[11]
브러시 생검/세포 탈락 검사는 절개 생검의 대안으로, 세포 표본을 채취하여 현미경으로 검사한다. 톨루이딘 블루 염색 등의 보조 방법을 사용하여 생검 부위를 선택하기도 하지만, 거짓 양성(실제로는 음성인데 양성으로 나타나는 경우)률이 높다.[10]
백색판증은 다양한 조직학적 소견을 보일 수 있으며, 과각화증(각질층이 두꺼워지는 현상)의 정도, 상피 두께, 이형성증, 염증 세포 침윤 정도 등이 다양하게 나타난다.[30] 상피 이형성증은 세포 다형성(세포 모양이 다양해지는 현상), 핵 이형성증(세포핵의 크기와 모양이 변하는 현상), 세포 분열 증가, 상피층의 정상적인 조직 구조 소실, 비정상적인 각질화 등의 특징을 보인다.[10][30]
체계적인 검토 결과, 현재까지 백색판증의 악성 변형을 예방하는 데 효과가 있는 것으로 입증된 치료법은 없다.[2] 일부 치료법은 백색판증을 치유할 수 있지만, 재발이나 악성 변화를 예방하지는 못한다.[2] 따라서 백색판증 진단을 받으면 흡연, 음주 등 가능한 원인 요인을 중단하고, 장기적인 검진을 통해 악성 변화를 조기에 발견하는 것이 중요하다.[38]
7. 1. 수술적 치료
병변의 외과적 제거는 많은 임상의에게 첫 번째 치료 선택 사항이다. 그러나 이 치료 방식의 효능은 사용 가능한 증거가 불충분하여 평가할 수 없다.[2] 이는 메스를 이용한 전통적인 외과적 절제, 레이저, 전기 소작법, 냉동 요법을 통해 수행할 수 있다.[38] 종종 생검에서 중등도 또는 중증 이형성을 보이면 절제 결정을 더 쉽게 내린다. 때로는 백색 반점이 너무 커서 완전히 제거할 수 없고 대신 면밀히 관찰한다. 병변이 완전히 제거되더라도 백반증은 재발할 수 있으며, 특히 흡연과 같은 소인이 중단되지 않으면 장기적인 검토가 여전히 일반적으로 필요하다.[16]
7. 2. 약물 치료
백색판증의 치료를 위해 다양한 국소 및 전신 국소, 전신 약물이 연구되었다. 여기에는 항염증제, 항진균제(칸디다 종을 표적으로 함), 카로티노이드(베타카로틴과 같은 비타민 A의 전구체), 레티노이드(비타민 A와 유사한 약물) 및 세포독성제가 포함되지만, 이러한 약물들이 백색판증 부위에서 악성 형질 전환을 예방한다는 증거는 없다.[2] 비타민 C와 비타민 E도 백색판증 치료와 관련하여 연구되었다.[16] 이러한 연구의 일부는 항산화제 영양소, 비타민, 세포 성장 억제 단백질(예: p53)이 종양 발생을 억제한다는 가설을 바탕으로 수행되었다.[16] 고용량의 레티노이드는 독성 효과를 일으킬 수 있다.[2] 광역학 치료도 연구된 치료법 중 하나이다.[2]8. 예후
백반증의 연간 악성 변형률은 1%를 넘는 경우가 드물며,[2] 대부분의 구강 백반증 병변은 양성으로 유지된다.[31] 여러 임상 및 조직병리학적 특징이 다양한 정도의 악성 변형 위험 증가와 관련이 있지만, 악성 변화를 예측할 수 있는 보편적으로 받아들여지고 검증된 요인이 없다는 주장도 있다.[31] 또한 백반증 부위가 사라지거나, 축소되거나, 안정적으로 유지될지 여부도 어느 정도 예측할 수 없다.[44]
- 이형성 (경도, 중등도 또는 중증/상피내암)의 존재 및 정도는 악성 변화의 중요한 예측 인자로 나타났지만,[10] 많은 연구에서 이형성 등급의 객관성 부족으로 인해 낮은 예측 값을 보인다는 이유로 그 사용에 이의를 제기했다.[40][41][42] 백반증 병변의 10%가 생검 시 이형성을 보이지만,[2] 이형성이 없는 경우에도 구강 병변의 18%가 악성 변화를 겪는다.[43]
- 위치: 구강 바닥, 혀 뒤쪽 및 측면, 그리고 어금니 뒤쪽 부위(후구치 부위)에 위치한 백반증은 위험이 더 높다. 반면 혀 윗면 및 경구개와 같은 부위의 백색 반점은 유의미한 위험이 없다.[10] 통계적으로 백반증은 협점막, 치조 점막 및 하부 입술 점막에서 더 흔하지만,[47] 구강 바닥 및 혀의 백반증은 생검에서 이형성 또는 암종을 보이는 백반증의 90% 이상을 차지한다.[16] 이는 구강 하부에 타액이 고여 이러한 부위가 현탁 상태로 유지되는 더 많은 발암 물질에 노출되기 때문인 것으로 생각된다.
- 색깔: 붉은 병변(적색증)과 혼합된 붉은색 및 흰색 병변(적백색증(반점 백반증))은 균질 백반증보다 악성 변화의 위험이 더 높다.[17]
- 표면: 사마귀 또는 결절 부위는 위험이 더 높다.[10]
- 흡연: 흡연은 악성 변형의 위험을 증가시키지만, 흡연은 이형성이 없는 많은 흰색 반점을 유발하기도 한다.[10] 이는 통계적으로 비흡연자의 흰색 반점이 더 높은 위험을 갖는다는 것을 의미한다.[16]
- 나이: 흰색 반점이 있는 노년층은 위험이 더 높다.[10]
- 크기: 더 큰 흰색 반점은 더 작은 병변보다 악성 변형을 겪을 가능성이 더 높다.[10]
- 기간: 오랜 기간 동안 존재해 온 흰색 반점은 위험이 더 높다.[10]
- 가족력: 구강암 가족력이 있는 사람.[10]
- 칸디다증: 이형성이 있는 경우 칸디다 감염은 약간의 위험 증가를 보인다.[10]
- 기타: 흰색 반점의 외형 변화는 색상 변화 외에도 위험이 더 높다.[10] 병변이 기저 조직에 고정되거나, 궤양, 경부 림프절병증(목 림프절 비대) 및 뼈 파괴와 같은 변화는 악성의 징후일 수 있다.[30] 다른 고위험 상태(예: 구강 점막하 섬유증)와 함께 나타나는 흰색 반점은 악성으로 변할 가능성이 더 높다.[10]
- 성별: 전반적으로 구강암이 남성에게 더 흔하지만, 흰색 반점이 있는 여성은 남성보다 위험이 더 높다.[10]
9. 역학
구강 백반증의 유병률은 전 세계적으로 다르지만, 일반적으로 드문 질환은 아니다.[2] 보고된 유병률 추정치는 일반 인구에서 1% 미만에서 5% 이상까지 다양하다.[2] 따라서 백반증은 구강에서 발생하는 가장 흔한 전암성 병변이다.[44] 백반증은 중년 및 노년 남성에게 더 흔하다.[47] 유병률은 나이가 증가함에 따라 증가한다.[16] 씹는 담배 사용이 흔한 지역에서는 유병률이 더 높다.[16] 중동 지역에서 백반증의 유병률은 1% 미만(0.48%)이다.[45]
10. 역사
"백색판증"이라는 단어는 "흰 반점"을 의미하며,[10] λευκόςgrc ("흰색")와 πλάξgrc ("판")에서 유래되었다.[46]
1861년 카를 프라이헤르 폰 로키탄스키(Karl Freiherr von Rokitansky)는 요로의 백색 병변을 지칭하기 위해 "백색판증"이라는 용어를 만들었다.[26] 1877년 슈비머(Schwimmer)는 구강의 백색 병변에 처음으로 이 용어를 사용했다.[47] 이 혀의 백색 병변은 현재 매독성 설염을 나타내는 것으로 생각되며,[47] 이는 현대 구강 백색판증의 정의에는 포함되지 않는 상태이다.
이후 "백색판증"이라는 단어는 "칸디다 백색판증"(현재는 일반적으로 "증식성 칸디다증"이라고 불림) 등 여러 다른 구강 병변의 이름에 포함되었다.[10] 1930년, 하루 3분 동안 담배 연기에 노출된 토끼에게 백색판증이 유발될 수 있다는 것이 실험적으로 밝혀졌다.[48] 1961년 자료에 따르면 백색판증은 요로, 직장, 질, 자궁, 외음부, 부비동, 담낭, 식도, 고막, 인두를 포함한 신체의 여러 점막에서 발생할 수 있다.[26] 현대 의학에서 이 용어가 널리 사용되는 유일한 맥락은 일반적으로 구강 백색판증이다. 1988년 한 사례 보고서에서는 구강과 생식기의 상피에 이상각화세포가 있는 여성의 후천적 상태를 "후천성 이상각화 백색판증"이라는 용어로 지칭했다.[49]
참조
[1]
서적
StatPearls
https://www.ncbi.nlm[...]
StatPearls Publishing
2022
[2]
간행물
Interventions for treating oral leukoplakia to prevent oral cancer
2016-07
[3]
서적
Campbell-Walsh Urology: Expert Consult Premium Edition: Enhanced Online Features and Print, 4-Volume Set
https://books.google[...]
Elsevier Health Sciences
2011
[4]
서적
Homeostasis - Tumor - Metastasis
https://books.google[...]
Springer Science & Business Media
2013
[5]
서적
Biopsy Interpretation of the Gastrointestinal Tract Mucosa: Volume 1: Non-Neoplastic
https://books.google[...]
Lippincott Williams & Wilkins
2012
[6]
간행물
"[Smokeless tobacco]"
2012-01
[7]
간행물
Oral lesions in infection with human immunodeficiency virus
2005-09
[8]
간행물
Leukoplakia-A Diagnostic and Management Algorithm
2017-04
[9]
간행물
The global burden of oral diseases and risks to oral health
2005-09
[10]
서적
Clinical problem solving in dentistry
https://books.google[...]
Churchill Livingstone
[11]
간행물
ABC of oral health. Swellings and red, white, and pigmented lesions
2000-07
[12]
서적
Oral and Maxillofacial Pathology
https://books.google[...]
Elsevier Health Sciences
2015
[13]
간행물
"[Bladder leukoplakia]"
1991-08
[14]
간행물
"[Leukoplakia of the urinary tract]"
1989-09
[15]
서적
Textbook of gastroenterology
Blackwell Pub.
[16]
서적
Burket's oral medicine diagnosis & treatment
BC Decker
[17]
서적
Oral and maxillofacial medicine : the basis of diagnosis and treatment
Churchill Livingstone
[18]
서적
Oral & maxillofacial pathology
W.B. Saunders
[19]
서적
Clinical oral medicine and pathology
Humana Press
[20]
서적
WHO Classification of Head and Neck Tumours
https://publications[...]
International Agency for Research on Cancer
2017-01-23
[21]
서적
Tyldesley's Oral medicine
Oxford University Press
[22]
간행물
Chronic hyperplastic candidosis/candidiasis (candidal leukoplakia)
http://hub.hku.hk/bi[...]
[23]
서적
Master dentistry volume 1, oral and maxillofacial surgery, radiology, pathology and oral medicine
https://archive.org/[...]
Churchill Livingstone/Elsevier
[24]
서적
Oxford handbook of clinical dentistry
Oxford Univ. Press
1999
[25]
서적
Pathology of the esophagus an atlas and textbook
Springer Verlag
[26]
간행물
Leukoplakia of the bladder.
http://ger-uro.ru/mo[...]
2003
[27]
서적
Principles and Practice of Surgery for the Colon, Rectum, and Anus
https://books.google[...]
CRC Press
2007
[28]
간행물
Anal leukoplakia: an unusual case of anal stenosis
2001-05
[29]
서적
Andrews' Diseases of the Skin: Clinical Dermatology
Saunders Elsevier
[30]
서적
Oral Pathology
https://archive.org/[...]
Oxford Univ. Press
[31]
간행물
Urban legends series: oral leukoplakia
2013-10
[32]
웹사이트
Leukoplakia
http://www.aaomp.org[...]
2006-12-19
[33]
간행물
Human papillomavirus and leukoplakia of the oral cavity: a systematic review
2021
[34]
간행물
Assessment of DNA Damage in Leukoplakia Patients with Different Degrees of Dysplasia
2015-12-01
[35]
간행물
Evaluation of DNA damage in oral precancerous and squamous cell carcinoma patients by single cell gel electrophoresis
2011-09
[36]
논문
Nomenclature and classification of potentially malignant disorders of the oral mucosa
2007-11
[37]
서적
Oral and maxillofacial surgery
Oxford University Press
[38]
서적
Physical evaluation in dental practice
Wiley-Blackwell
[39]
서적
Cawsonś essentials of oral pathology and oral medicine.
Churchill Livingstone
[40]
논문
Long-term treatment outcome of oral premalignant lesions
2006-05
[41]
논문
Grading systems in head and neck dysplasia: their prognostic value, weaknesses and utility
2009-05
[42]
서적
WHO classification of head and neck tumours
International Agency for Research on Cancer
2017-01-23
[43]
논문
Loss of heterozygosity (LOH) profiles--validated risk predictors for progression to oral cancer
2012-09
[44]
논문
Oral Leukoplakia as It Relates to HPV Infection: A Review
[45]
간행물
Oral potentially malignant disorders among dental patients: a pilot study in Jordan
[46]
문서
A Greek-English Lexicon. revised and augmented throughout by Sir Henry Stuart Jones. with the assistance of. Roderick McKenzie.
Oxford: Clarendon Press
[47]
논문
Understanding carcinogenesis for fighting oral cancer
2011-05-12
[48]
웹사이트
The carcinogenic effects of tobacco
https://www.who.int/[...]
World Health Organization
2013-04-30
[49]
서적
Weedon's skin pathology
Churchill Livingstone/Elsevier
[50]
서적
Oral & maxillofacial pathology
https://archive.org/[...]
W.B. Saunders
[51]
서적
Burket's oral medicine diagnosis & treatment
https://archive.org/[...]
BC Decker
[52]
서적
Clinical problem solving in dentistry
https://books.google[...]
Churchill Livingstone
[53]
저널
Leukoplakia-A Diagnostic and Management Algorithm
2017-04
[54]
저널
ABC of oral health. Swellings and red, white, and pigmented lesions
2000-07
[55]
서적
Oral and Maxillofacial Pathology
https://books.google[...]
2015
[56]
저널
Interventions for treating oral leukoplakia to prevent oral cancer
2016-07
[57]
서적
Campbell-Walsh Urology: Expert Consult Premium Edition: Enhanced Online Features and Print, 4-Volume Set
https://books.google[...]
2011
[58]
서적
Homeostasis - Tumor - Metastasis
https://books.google[...]
2013
[59]
서적
Biopsy Interpretation of the Gastrointestinal Tract Mucosa: Volume 1: Non-Neoplastic
https://books.google[...]
2012
[60]
서적
Oral and Maxillofacial Pathology
https://books.google[...]
2015
[61]
저널
Leukoplakia-A Diagnostic and Management Algorithm
2017-04
[62]
저널
"[Smokeless tobacco]"
2012-01
[63]
저널
Oral lesions in infection with human immunodeficiency virus
2005-09
본 사이트는 AI가 위키백과와 뉴스 기사,정부 간행물,학술 논문등을 바탕으로 정보를 가공하여 제공하는 백과사전형 서비스입니다.
모든 문서는 AI에 의해 자동 생성되며, CC BY-SA 4.0 라이선스에 따라 이용할 수 있습니다.
하지만, 위키백과나 뉴스 기사 자체에 오류, 부정확한 정보, 또는 가짜 뉴스가 포함될 수 있으며, AI는 이러한 내용을 완벽하게 걸러내지 못할 수 있습니다.
따라서 제공되는 정보에 일부 오류나 편향이 있을 수 있으므로, 중요한 정보는 반드시 다른 출처를 통해 교차 검증하시기 바랍니다.
문의하기 : help@durumis.com
