속립 결핵
"오늘의AI위키"의 AI를 통해 더욱 풍부하고 폭넓은 지식 경험을 누리세요.
1. 개요
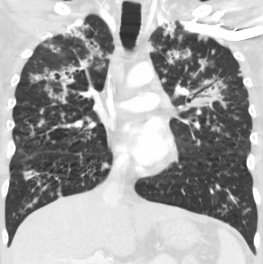
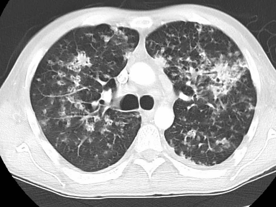
속립 결핵은 결핵균(Mycobacterium tuberculosis)이 혈류를 통해 신체 여러 부위로 퍼져나가 발생하는 결핵의 한 형태로, 폐, 간, 비장 등 폐외 장기에 작은 결절을 형성하는 것이 특징이다. 폐결핵의 진행 또는 림프계를 통해 세균이 혈류로 유입되어 발생하며, 발열, 기침, 림프절 비대 등의 비특이적인 증상을 보인다. 진단은 흉부 X-선, 객담 배양 검사 등을 통해 이루어지며, 표준 치료법은 아이소니아지드, 리팜피신 등 여러 항결핵제를 6개월 이상 투여하는 것이다. 치료하지 않으면 치명적이며, 조기 진단 및 적절한 치료가 중요하며, 사망률은 소아의 경우 15~20%, 성인의 경우 25~30%에 이른다.
더 읽어볼만한 페이지
- 결핵 - 소결핵균
소결핵균은 세포벽의 특성으로 여러 환경에 저항하며, 주로 감염된 소의 생 우유를 통해 인간에게 전파되고, 인수공통 결핵을 일으키며, 이소니아지드와 리팜피신으로 치료하고 BCG 백신의 조상이기도 하다. - 결핵 - 다제내성 결핵
다제내성 결핵은 아이소니아지드와 리팜피신에 동시에 내성을 보이는 결핵균에 의해 발생하며, 부적절한 치료, 약물 복용 중단, 항생제 오남용 등으로 인해 치료가 어렵고 심각한 경우 광범위 약제내성 결핵으로 진행될 수 있어 신속한 진단과 적절한 치료, 환자 관리, 국제적 협력이 중요하다. - 세균성 질병 - 장티푸스
장티푸스는 살모넬라 엔테리카 세로바르 티피균에 의해 발생하는 수인성 전염병으로, 고열, 두통, 복통 등의 증상을 보이며, 항생제를 사용하여 치료하고 개인 위생과 환경 위생을 통해 예방한다. - 세균성 질병 - 메티실린 내성 황색포도상구균
메티실린 내성 황색포도상구균(MRSA)은 β-락탐계 항생제에 내성을 보이는 황색포도상구균으로, 피부 감염을 일으키고 면역력 저하 환자에게 심각한 기회감염을 유발하며, 병원 획득 감염과 지역사회 획득 감염으로 나뉜다.
2. 원인
속립 결핵은 폐결핵의 한 형태로, 감염이 폐정맥으로 침범하여 발생한다.[20] 세균이 심장의 좌심방, 좌심실을 거쳐 체순환에 들어가면 간이나 비장과 같은 여러 장기에 퍼질 수 있다. 또는 세균이 림프절로 들어가 체정맥으로 흘러 들어가, 결국에는 심장의 우심방, 우심실에 도달한다.[20] 심장의 우심방, 우심실로부터 세균은 폐에 다시 씨를 뿌려 속립 결핵을 초래한다.
속립 결핵 환자는 가벼운 발열, 기침, 림프절 비대 등 비특이적인 징후를 보이는 경우가 많다. 간 비대(40%), 지라비대(15%), 췌장염(<5%), 다발성 장기 부전 및 부신 기능 부전이 나타날 수 있으며,[2] 설사 증세가 나타나기도 한다.
속립 결핵은 결핵균이 폐에서 림프계를 거쳐 혈류로 퍼져나가 발생하는 결핵의 한 형태이다.[11] 세균이 폐에서 림프계를 거쳐 혈류로 퍼져나간다는 것은 잘 알려져 있지만, 이러한 과정의 정확한 기전은 아직 완전히 밝혀지지 않았다.[12]
제안된 한 가지 기전은 폐의 결핵 감염이 폐포 세포의 상피층을 침식하고 감염이 폐정맥으로 확산된다는 것이다.[12][13] 세균이 심장의 좌심방, 좌심실을 거쳐 전신 순환계로 들어가면 증식하여 폐 이외의 장기를 감염시킬 수 있다.[13] 일단 감염되면 세포 매개 면역 반응이 활성화된다. 감염된 부위는 대식세포에 의해 둘러싸여 육아종을 형성하며, 이는 속립 결핵의 전형적인 모습을 나타낸다.[14]
또는 세균이 폐포를 덮고 있는 세포를 공격하여 림프절로 들어갈 수 있다.[12] 세균은 이어서 전신 정맥으로 배출되어 결국 심장의 우심방, 우심실에 도달한다. 심장의 우심방, 우심실에서 세균은 폐에 씨앗을 뿌리거나, 재파종하여 속립 형태를 유발할 수 있다.
3. 징후 및 증상
다른 증상으로는 발열, 고칼슘혈증, 맥락막 결절, 피부 병변 등이 있다.3. 1. 위험 요인
속립 결핵에 걸릴 위험 요인으로는 속립 결핵 환자와의 직접 접촉, 비위생적인 환경, 영양 불량 등이 있다. 미국에서는 노숙과 HIV/AIDS가 고위험군에 속한다.[10]
4. 진단
속립 결핵의 진단은 다른 형태의 결핵과 같은 방식으로 진행되지만, 확진을 위해 여러 검사가 필요하다.[4] 여기에는 흉부 엑스레이, 객담 배양 검사, 기관지 내시경 검사, 개방 폐 생검, 머리 CT/MRI, 혈액 배양 검사, 안저 검사, 심전도 검사가 포함된다.[10][22] 인터페론 감마 분비 검사(IGRA)라고도 하는 결핵 혈액 검사는 잠복 결핵을 진단하는 방법이다.[10]

속립 결핵 환자에게서 다양한 신경학적 합병증이 나타났으며, 결핵성 수막염과 뇌 결핵종이 가장 흔하다. 그러나 대부분의 환자는 항결핵 치료를 받은 후 호전된다.[15] 투베르쿨린 피부 반응 검사는 위음성 수가 많아 속립 결핵 감지에는 유용하지 않다.[16] 이러한 위음성은 다른 형태의 결핵에 비해 결핵 반응 무반응률이 높기 때문에 발생할 수 있다.[4]
드물게 폐암의 림프관 전파가 일반적인 흉부 X-선에서 속립 결핵 패턴을 모방할 수 있다.[15]
5. 치료
속립 결핵은 심각한 질환으로, 치료받지 않으면 거의 100% 사망한다. 환자의 약 25%는 결핵성 수막염을 동반한다. 세계보건기구(WHO) 권고 표준 치료법은 아이소니아지드와 리팜피신을 6개월간 복용하고, 처음 2개월간은 에탐부톨과 피라진아미드를 함께 복용하는 것이다. 수막염 증상이 있으면 치료 기간을 12개월로 연장한다. 미국 지침에서는 9개월 치료를 권장한다.[23] 흔한 약물 부작용으로는 피라진아미드, 리팜핀, 아이소니아지드 복용 시 간 염증이 발생할 수 있다. 또한 약제 내성, 재발, 호흡 부전, 급성 호흡 곤란 증후군이 나타날 수 있다.[22]
6. 예후
속립 결핵은 치료하지 않으면 거의 항상 치명적이다. 치료를 받더라도 소아의 15~20%, 성인의 25~30%는 사망한다.[11] 사망률이 높은 주된 이유는 비특이적 증상 때문에 병을 늦게 발견하기 때문이다.[8] 기침, 체중 감소, 장기 부전 등은 다른 여러 질환에서도 나타날 수 있는 증상이어서 진단을 늦춘다.[3] 결핵성 수막염과 오진되거나, 두 질환이 함께 발생하는 경우도 흔하다.[11]
7. 역사
1700년, 요한 야콥 망게트는 파종성 결핵의 한 형태를 묘사하면서 그 크기와 외관이 수많은 수수 씨앗과 유사하다고 언급하며, miliarius|밀리아리우스la(수수 씨앗과 관련된)라는 용어를 만들었다.[18]
참조
[1]
서적
Dermatology: 2-Volume Set
Mosby
[2]
EMedicine
Miliary Tuberculosis
[3]
학술지
Diagnosis and management of miliary tuberculosis: current state and future perspectives
[4]
학술지
Challenges in the diagnosis & treatment of miliary tuberculosis
2012-05
[5]
학술지
Hypercalcaemia and haemophagocytic syndrome: rare concurrent presentations of disseminated tuberculosis in a dialysis patient: Hypercalcaemia and Haemophagocytic Syndrome
2004-07-21
[6]
간행물
Severe Hypercalcemia in Tuberculosis
2004
[7]
학술지
Tubercle of the Choroid in Miliary Tuberculosis: Case Report
1928-06
[8]
학술지
Miliary tuberculosis
https://linkinghub.e[...]
1974-04
[9]
학술지
Tuberculous meningitis and miliary tuberculosis: the Rich focus revisited
https://linkinghub.e[...]
2005-04
[10]
MedlinePlusEncyclopedia
Disseminated tuberculosis
[11]
학술지
Miliary tuberculosis: new insights into an old disease
https://linkinghub.e[...]
2005-07
[12]
학술지
The mechanisms and consequences of the extra-pulmonary dissemination of Mycobacterium tuberculosis
https://linkinghub.e[...]
2010-11
[13]
서적
Robbins Basic Pathology
Saunders Elsevier
[14]
서적
Textbook of Clinical Pediatrics
Springer Berlin Heidelberg
2012
[15]
학술지
Miliary pattern on chest radiography: TB or not TB?
[16]
학술지
Risk factors for false-negative results of T-SPOT.TB and tuberculin skin test in extrapulmonary tuberculosis
http://link.springer[...]
2013-12
[17]
웹사이트
Treatment of Tuberculosis
https://www.cdc.gov/[...]
2003-06-20
[18]
서적
Sepulcretum size anatomia practica. Vol. 1
Cramer and Perrachon
[19]
웹사이트
Miliary Tuberculosis
http://www.emedicine[...]
2006-10-03
[20]
서적
Robbins Basic Pathology
Saunders Elsevier
[21]
문서
부신에서 장기의 기능을 조절할 충분한 스테로이드호르몬을 생산하지 못한다.
[22]
웹사이트
Disseminated Tuberculosis
http://www.nlm.nih.g[...]
2011-04-23
[23]
웹사이트
Treatment of Tuberculosis
http://www.cdc.gov/m[...]
CDC
2003-06-20
본 사이트는 AI가 위키백과와 뉴스 기사,정부 간행물,학술 논문등을 바탕으로 정보를 가공하여 제공하는 백과사전형 서비스입니다.
모든 문서는 AI에 의해 자동 생성되며, CC BY-SA 4.0 라이선스에 따라 이용할 수 있습니다.
하지만, 위키백과나 뉴스 기사 자체에 오류, 부정확한 정보, 또는 가짜 뉴스가 포함될 수 있으며, AI는 이러한 내용을 완벽하게 걸러내지 못할 수 있습니다.
따라서 제공되는 정보에 일부 오류나 편향이 있을 수 있으므로, 중요한 정보는 반드시 다른 출처를 통해 교차 검증하시기 바랍니다.
문의하기 : help@durumis.com
