폐암
"오늘의AI위키"의 AI를 통해 더욱 풍부하고 폭넓은 지식 경험을 누리세요.
1. 개요
폐암은 폐에 생기는 악성 종양으로, 전 세계적으로 암 사망의 주요 원인이다. 초기에는 증상이 없거나 기침, 호흡곤란, 흉통과 같은 비특이적 증상으로 나타나지만, 종양이 진행되면 뇌, 뼈, 간 등으로 전이되어 두통, 골절, 간 비대 등의 증상을 유발할 수 있다. 폐암은 흡연이 가장 큰 원인이며, 라돈, 석면, 대기 오염, 유전적 요인 등도 영향을 미친다. 진단은 흉부 X-RAY, CT, 기관지경 검사, 조직 검사 등을 통해 이루어지며, 암의 유형과 병기에 따라 수술, 항암 화학 요법, 방사선 치료, 표적 치료, 면역 관문 억제제 등 다양한 치료법이 사용된다. 폐암의 예방을 위해서는 금연이 가장 중요하며, 과일과 채소 섭취, 규칙적인 운동, 스파이럴 CT 검사 등이 도움이 될 수 있다.
더 읽어볼만한 페이지
- 폐암 - 폐선암
폐선암은 폐의 선 세포에서 발생하는 악성 종양으로, 흡연이 주요 위험 요인이며, 다양한 영상 검사와 조직 검사를 통해 진단하고 병기에 따라 수술, 항암 치료 등 다양한 방법으로 치료한다. - 폐암 - 소세포암종
소세포암종은 폐에서 주로 발생하고 빠르게 전이되는 미분화된 악성 종양으로, 임상병리학적으로 제한기와 확장기로 나뉘며 흡연이 주요 위험 요인이고, 화학 요법, 면역 요법, 방사선 치료 등으로 치료한다. - 암 - 피부암
피부암은 피부 세포에서 발생하는 악성 종양으로, 자외선 노출, 유전적 요인, 면역 저하 등이 원인이 되며 기저세포암, 편평상피세포암, 흑색종으로 나뉘고 조기 발견과 자외선 차단이 중요하다. - 암 - 자궁경부암
자궁경부암은 인유두종바이러스 감염이 주원인인 자궁 경부의 악성 종양으로, 초기에는 증상이 미미하지만 진행 시 질 분비물 증가, 성교통, 골반통이 나타날 수 있으며, 자궁경부 세포진 검사, 조직 생검 등으로 진단하고 수술, 방사선 치료, 항암 치료 등으로 치료하며, HPV 백신 접종과 정기 검진으로 예방이 가능하다.
2. 증상 및 징후
초기 폐암은 증상이 없는 경우가 많다. 증상이 발생하면 기침, 호흡곤란, 흉통 등 비특이적 호흡기 증상이 나타나며, 사람마다 다르게 나타난다.[48] 기침을 경험한 환자들은 이전에 없던 새로운 기침이 발생하거나 기존 기침의 빈도나 강도가 증가했다고 보고했다.[48] 환자 4명 중 1명은 기침 시 피가 나오거나, 적은 양부터 다량의 객혈이 나타났다.[49][48] 폐암을 진단받은 사람의 절반 정도가 호흡곤란을 경험하며, 25~50%는 같은 위치에 둔하지만 지속적으로 발생하는 흉통을 경험한다.[48] 호흡기 증상 외에도 식욕 저하, 체중 감소, 전신쇠약, 발열, 야간발한 등의 전신증상을 경험하기도 한다.[48][50]
폐암은 폐 세포의 DNA에 대한 유전자 손상에 의해 발생한다.[9][10] 이러한 변화는 무작위적이기도 하지만, 일반적으로 담배 연기와 같은 유독 물질 흡입으로 인해 유발된다.[9][10] 유전적 변화는 세포 증식, 프로그램된 세포 사멸 (아포토시스), DNA 복구 등 세포의 정상적인 기능에 영향을 미친다. 결국 세포는 통제 불능 상태로 성장하여 종양을 형성하고, 폐 내부와 외부로 전이될 만큼 충분한 유전적 변화를 얻게 된다. 걷잡을 수 없는 종양 성장과 전이는 폐암 증상을 유발하며, 억제되지 않으면 환자의 사망으로 이어진다.
몇몇 증상은 흔하진 않지만 특정 위치에 종양이 있음을 시사한다. 흉부 내 종양이 기도를 막거나 가로막신경을 방해하여 호흡 문제를 일으킬 수 있으며, 식도를 압박한 경우 삼킴 곤란 증상을 일으킨다. 또한, 후두 신경을 방해한 경우 쉰목소리가 나오게 되며, 교감신경계를 교란시켜 호너 증후군을 유발하기도 한다.[48][50] 호너증후군은 상구암종으로도 알려져 있다. 상구암종은 폐첨부에 종양이 위치한 폐암으로, 특히 종양이 흉곽 입구에 위치하여 견갑부 주위나 상완부의 통증을 유발한다.[51] 쇄골 위의 림프절이 부어오르면 종양이 흉부 내로 퍼졌음을 의미할 수 있다.[48] 종양이 심장으로 가는 혈류를 방해할 경우, 상체가 붓고 호흡 곤란 증상이 대표적인 상대정맥증후군을 유발할 수 있으며, 심장 주변부에 침윤할 경우 심장 주위에 체액이 쌓여 심장 박동이 불규칙해지는 부정맥과 심부전을 유발할 수 있다.[50]
폐암을 진단받은 사람 3명 중 1명은 암 세포가 폐 이외 부위로 전이되어 증상을 겪는다.[50] 폐암은 신체 모든 곳으로 전이가 가능하며, 전이 위치에 따라 증상이 다르게 나타난다. 뇌전이는 두통, 오심, 구토, 발작, 신경학적 결손을 유발할 수 있다. 뼈전이는 통증, 골절, 척수 압박을 일으킬 수 있으며, 골수로 전이될 경우 혈액 세포가 고갈되고 혈액 내 미성숙 세포가 존재하는 백적혈모구증을 유발할 수 있다.[50] 간 전이는 간 비대, 오른쪽 상복부 통증, 발열, 체중 감소를 유발할 수 있다.[50]
폐암은 종종 신체 변화를 유발하는 호르몬을 분비하여 신생물딸림증후군이라고 불리는 비정상적인 증상을 일으킨다.[50] 부적절한 호르몬 방출은 혈중 미네랄 농도를 급격하게 변화시킬 수 있다. 가장 흔한 증상은 부갑상샘 호르몬 관련 단백질 또는 부갑상샘 호르몬을 과분비시켜 발생된 고칼슘혈증이다. 고칼슘혈증은 오심, 구토, 복통, 변비, 갈증, 잦은 배뇨, 의식 변화 등의 증상으로 나타날 수 있다.[50] 또한, 폐암 환자는 부신피질자극호르몬이 비정상적으로 분비되어 저칼륨혈증을 경험하며, 심방 나트륨이뇨 펩티드의 과도한 생성으로 저나트륨혈증을 흔하게 경험한다.[50] 폐암 환자 3명 중 1명이 곤봉형 손톱이 나타나며, 10명 중 1명이 비후성 폐 골관절병증(곤봉형 손톱, 관절통, 피부 비후화)을 겪는다. 또한 램버트-이튼 근무력증후군(근육 약화), 감각신경병증, 근육염, 뇌부종과 소뇌, 변연계 또는 뇌간의 자가면역 악화 증상을 포함한 신생물딸림증후군이 발생할 수 있다.[50] 폐암 환자 12명 중 1명은 이동성 혈전 정맥염, 심장 내 혈전, 전신에 혈전이 생기는 파종성 혈관내 응고를 포함하여 신생물 주변부에 혈액 응고를 경험한다.[50] 피부 및 신장 관련 신생물딸림증후군은 각각 폐암 환자의 최대 1%에서 발생할 정도로 드물게 발생한다.[50]
3. 원인
WHO 추산에 따르면, 폐암 사망자는 모든 암 사망자 중 가장 많으며, 전 세계적으로 매년 약 180만 명이 폐암으로 사망한다.[17] 일본에서는 2005년 통계 기준 전체 암 사망자의 19%를 차지하며, 남성 암 사망 원인 1위, 여성 암 사망 원인 3위이다.[25] 서구권에서는 암 환자 수 2위, 암 사망 원인 1위이다. 서구권 남성의 폐암 사망률은 감소 추세이지만, 여성 흡연자 증가로 여성 폐암 사망자 수는 증가하고 있다.
폐암은 치료 방향에 따라 '소세포폐암(SCLC)'과 '비소세포폐암(NSCLC)'으로 나뉜다.
3. 1. 흡연
담배 흡연은 폐암의 가장 주요 원인이며, 폐암 사례의 80~90%를 유발한다.[11] 흡연 시작 연령이 낮을수록, 흡연 기간이 길수록, 하루 흡연량이 많을수록 폐암 발생 위험이 증가한다.[23] 흡연자의 폐암 사망 위험은 비흡연자의 4~5배이며, 하루 20개비 이상 흡연하는 경우 10배 이상이다.[23]
담배 연기 속에는 국제암연구소에서 발암물질로 규정한 화학 물질이 최소 50가지 있으며, 그중 가장 강력한 것은 담배 특이적 니트로사민이다.[11] 이러한 화학 물질에 노출되면 DNA 부가체, 산화 스트레스, DNA 가닥 파괴 등 여러 종류의 DNA 손상이 발생한다.[11] 간접흡연도 폐암을 유발할 수 있으며, 흡연자와 함께 생활하면 폐암 발생 위험이 24% 증가한다.[11]
베이핑은 담배보다 위험도가 낮지만, 폐암 위험 요소가 될 수 있으므로 추가 연구가 필요하다.[11]
3. 2. 환경적 요인
라돈은 흡연에 이어 두 번째로 큰 폐암 원인으로, 전체 폐암의 3%~14%를 차지한다.[21] 라돈은 지구 방사성 원소의 자연 분해로 생성되며, 지역별 수치가 다르다.[21][19] 라돈 농도가 높을수록 폐암 위험이 커지지만, 낮은 농도의 실내 라돈도 위험을 증가시킬 수 있다.[21] 실제로 고농도보다 저농도 및 중농도 라돈에 의한 폐암 발생이 더 많다.[21] 흡연과 라돈 노출은 함께 작용하여 위험을 더욱 높인다.[19]
석면은 폐에 염증을 유발하여 직간접적으로 폐암을 일으킨다.[19] 모든 종류의 석면 노출은 암 위험을 높이며, 노출 기간이 길수록 위험도 커진다. 석면과 흡연은 함께 작용하여 위험을 더욱 증가시킨다.[19]
크롬,[23] 니켈, 비소 등 특정 직업에서 발생하는 유독 화학 물질 노출도 폐암 위험을 높인다.[19] 직업적 발암 물질 노출은 전체 폐암의 9~15%를 차지한다.[19] 우라늄 광산의 이온화 방사선, 염화비닐, 베릴륨, 디젤 배기가스 등도 폐암과 관련이 있다.[19]
미세먼지를 포함한 대기오염 노출은 폐암 위험을 높인다.[19] 특히 자동차 배기가스와 화석 연료 발전소에서 나오는 PM2.5 농도와 폐암 발생 간 양의 상관관계가 확인되었다.[20] PM2.5는 폐 세포의 유전자 변이 세포 집단을 늘리고, 염증을 유발하여 "암의 싹"을 암으로 만든다.[20] 목재, 숯, 농작물 잔재 연소로 인한 실내 공기 오염도 폐암 위험을 높인다.[19]
3. 3. 기타 요인
유전적 요인, 바이러스 감염, 식습관 등도 폐암 발생에 영향을 줄 수 있다. 만성 폐쇄성 폐 질환, 간질성 폐 질환, 결핵, HIV 감염 등 다른 질병도 폐암 위험을 증가시킨다.[22]
특정 유전자 조합은 폐암 발병 가능성을 높일 수 있다. 폐암 환자의 가족은 직업적 노출 및 흡연 습관을 고려하더라도 일반인보다 폐암 발생 위험이 약 두 배 높다.[22] 전장유전체연관성연구를 통해 폐암 위험과 관련된 여러 유전자 변이가 확인되었으며, 각 변이는 약간의 위험 증가에 기여한다.[20] 이러한 유전자 중 상당수는 DNA 복구, 염증, 세포주기, 세포 스트레스 반응, 크로마틴 리모델링 등 발암 과정에 관여하는 경로에 참여한다.[20] 망막아종, 리-프라우메니 증후군과 같이 다양한 암 위험을 높이는 희귀 유전 질환도 폐암 위험을 증가시킨다.[22]
엡스타인-바 바이러스는 아시아인에게서 드물게 발생하는 림프상피종양 유사 암종과 관련이 있지만, 서구권에서는 그렇지 않다.[20] 인유두종바이러스, BK 바이러스, JC 바이러스, 인간 사이토메갈로바이러스, SV40 바이러스, 홍역 바이러스, 토크 텐오 바이러스 등 다른 감염 인자들이 폐암 발생에 미치는 영향은 연구 중이지만, 2020년 현재까지 명확한 결론은 없다.[20]
폐의 염증을 유발하는 질병들은 폐암 위험을 증가시킨다. 만성 폐쇄성 폐 질환과의 연관성이 가장 강하며, 염증이 심할수록 위험이 높고, 흡입용 코르티코스테로이드로 염증을 치료하면 위험이 감소한다.[20] 알파-1 항트립신 결핍증, 간질성 폐 질환, 강피증, ''클라미디아 뉴모니아'' 감염, 결핵, HIV 감염과 같은 염증성 폐 질환 및 면역 체계 질환도 폐암 발생 위험 증가와 관련이 있다.[20]
4. 진단
폐암은 흉부 X-RAY 검사나 컴퓨터단층촬영(CT)을 통해 종양의 여부, 크기, 위치를 평가하여 진단한다.[52] 흉부 X-ray 검사는 폐 안의 종양 덩어리를 확인하는 데 사용되며, 종격동 확장, 무기폐(폐의 일부가 팽창된 상태를 유지하지 못하고 부피가 줄어든 상태[53]), 폐경화, 흉막 삼출 등을 판독할 수 있다.[48] CT 검사는 종양의 크기와 위치를 더 정확하게 판독하는 데 사용된다.[52][48]
폐암의 확진은 의심 조직의 생검을 통해 조직학적으로 암세포를 확인하는 과정을 거친다.[56] 조직검사는 종양 위치를 고려하여 최소 침습적인 방법으로 시행되며, 굴곡기관지경술(때때로 기관지 의료 초음파 내시경 검사에 의해 유도됨), 가는 바늘 흡인 생검, 피부를 통한 기타 영상 유도하 조직검사 등이 있다.[56] 일반적인 조직 검사가 어려운 환자는 액체 생검을 통해 순환 종양 DNA를 검출할 수 있다.[57]
기관지경 검사는 기관지에 내시경을 삽입하여 중앙 기관지를 관찰하고 조직을 채취하는 방법이다. 하지만 기관지경의 두께 때문에 삽입 범위가 제한되며, 폐 말초에 종양이 있는 경우에는 관찰이 어렵다. 이 경우 경기관지 생검, 경기관지 세척, 기관지 세척 등으로 검체를 채취한다. 형광 기관지경(AFB)이나 기관지강내 초음파 단층법(EBUS)을 통해 초기 단계의 폐암 발견이 가능하다.
경피적 폐침 생검은 CT 유도하에 바늘을 찔러 조직을 채취하는 방법이다. 원인 불명의 흉수가 있는 경우, 흉강 천자로 흉수 검체를 채취하여 세포 검사를 시행할 수 있다.
양전자방출단층촬영(PET) 스캔 또는 PET-CT 스캔은 종양의 전이 위치를 파악하는 데 사용된다. 뇌 전이의 경우 자기공명영상(MRI)을 권고하며, MRI 촬영이 불가 시 CT 촬영을 권고한다.[48] 폐암은 뇌, 뼈, 간, 부신으로 가장 흔하게 전이된다.[59]
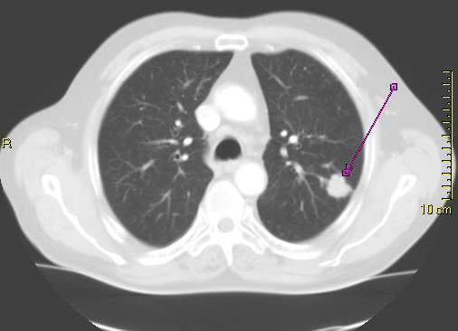
흉부 방사선 촬영 사진이나 CT 스캔에서 폐암은 종종 폐결절로 나타날 수 있다. 폐암 검진을 받은 사람 중 약 30%가 폐결절을 가지고 있으며, 그 중 대부분은 양성이다.[60] 폐암 외에도 과오종, 감염성 육아종 등 다른 질환에서도 폐 결절 증상이 나타날 수 있다.[62]
종양표지자 검사 (CEA, SLX, SCC, CYFRA, ProGRP, NSE 등)는 암의 존재 가능성을 시사하지만, 확진에는 사용할 수 없다. 담액 세포검사에서 암세포가 검출되면 폐암일 가능성이 매우 높지만, 암세포가 없더라도 폐암을 부정할 수는 없다.
5. 분류
폐암은 조직학적 유형에 따라 크게 소세포폐암(SCLC)과 비소세포폐암(NSCLC)으로 나뉜다.
비소세포폐암은 다시 폐선암, 폐편평상피암, 폐대세포암 등으로 세분화된다. 과거에는 비소세포폐암을 모두 동일하게 치료했지만, 최근에는 조직형에 따라 치료 방침이 달라지고 있다.
소세포폐암은 전체 폐암의 약 20%를 차지하며, 암의 성장 속도가 빠르고 조기에 전이되는 경향이 있어 예후가 좋지 않다. 반면 비소세포폐암은 폐선암, 폐편평상피암, 폐대세포암등으로 구성되어 있으며, 소세포폐암에 비해서는 성장 속도가 느린 편이다.
5. 1. 소세포폐암 (SCLC)
폐암의 약 20%를 차지하는 소세포폐암(SCLC)은 흡연과 관련성이 크다.[34] 악성도가 높고 빠르게 증식하며, 조기에 전이되기 쉽다. 항암화학요법 및 방사선 치료에 비교적 민감하지만, 대부분 재발하여 예후가 좋지 않다.[35] 람베르트-이튼 증후군, 쿠싱증후군, 항이뇨호르몬 부적절 분비 증후군(SIADH) 등 부종양증후군을 동반하는 경우가 많다.소세포폐암은 발육이 빠르기 때문에 발견 시 대부분 진행성인 경우가 많다. 또한, CT 등의 영상 검사상 국한되어 있는 것처럼 보여도 검출되지 않는 정도의 미세 전이가 이미 존재하는 경우가 대부분이다. 따라서 수술이나 방사선 치료 등의 국소 치료 효과는 매우 제한적이며, 화학 요법이 치료의 중심이 된다.
치료 방침의 차이에 따라 병기는 다음과 같이 두 가지로 분류된다.
LD 증례의 초회 치료 표준은 화학 요법 + 흉부 방사선 요법이다. 화학 요법으로는 PE 요법이 표준이다(PI 요법과 방사선 요법의 병용은 폐 장애의 위험이 높기 때문에 시행되지 않는다). 흉부 방사선 요법으로는 가속 과분할 조사(기존의 1일 1회가 아닌 1일 2회 조사)가 시행된다.
ED 증례에 대해서는 초회 치료에서 PE 요법이 표준 치료로 여겨지고 있다. 그러나 일본에서 실시된 임상 시험에서는 PI 요법이 더 좋은 성적이었기 때문에, PI 요법이 사용되는 경우가 늘어나고 있다.[34] 그러나 해외에서 실시된 PI 요법의 추시에서는 PE 요법과 비교하여 우위성이 증명되지 않았다.
기존의 화학 요법에 면역 체크포인트 억제제를 추가하는 것도 권장되고 있으며, CE + 아테졸리주맙 요법, CE(또는 PE) + 듀르발루맙 요법의 유효성도 인정되고 있다.
LD 증례, ED 증례 어느 경우에도 초회 치료 후에 재발하는 경우가 있다. 초회 치료가 효과가 있고, 치료 완료 후 재발까지의 기간이 긴 경우는 감수성 재발, 그 외는 난치성 재발이라고 불린다. 감수성 재발 증례에서는 노기테칸 단제 투여가 표준 치료로 여겨지고 있다. 노기테칸의 효과율은 10% 정도에 불과하며, 재발례에 있어서 아무르비신의 유효성이 현재 검토되고 있다.[35] 또한 PEI 요법(CDDP+VP-16+CPT-11)도 권장되는 치료 중 하나이지만, 독성이 강하기 때문에 주의가 필요하다. 난치성 재발례에 대해서는 아무르비신이 권장되고 있다.
5. 2. 비소세포폐암 (NSCLC)

비소세포폐암(NSCLC)은 전체 폐암의 약 80%를 차지하며, 폐선암, 폐편평상피암, 폐대세포암 등 세 가지 주요 유형으로 분류된다. 과거에는 비소세포폐암을 모두 동일하게 치료했지만, 최근에는 조직형에 따라 치료 방침이 달라지고 있다.
1기 및 2기 비소세포폐암의 경우, 주로 폐의 병변이 있는 엽을 외과적으로 제거하는 수술(전엽 절제술)을 시행한다. 전엽 절제술이 어려운 환자는 설상 절제술이나 구역 절제술을 통해 폐 조직 일부를 제거할 수 있다. 종양이 폐 중심부에 있고 호흡 기능이 건강한 환자는 폐 전체를 제거하는 폐절제술을 받을 수도 있다. 경험이 풍부한 흉부외과의와 대량 수술 클리닉에서 수술받는 것이 생존율을 높인다. 수술이 불가능하거나 원하지 않는 환자는 정위적 방사선 치료를 받을 수 있다. 1기 환자에게 화학 요법은 효과가 거의 없으며, 오히려 질병 결과를 악화시킬 수 있다. 2기 환자는 수술 후 6~12주 후에 시스플라틴(신장 문제, 신경병증, 청력 장애가 있는 환자의 경우 카보플라틴)과 비노렐빈, 페메트렉세드, 젬시타빈 또는 독세탁셀을 병용하는 화학 요법을 최대 4사이클까지 진행한다.
3기 비소세포폐암 치료는 질병의 성격에 따라 달라진다. 전이가 제한적인 환자는 종양과 림프절을 제거하는 수술 후 화학 요법과 방사선 치료를 받을 수 있다. 큰 종양(T4)이 있거나 수술이 불가능한 환자는 면역 요법인 두르발루맙과 함께 화학 요법과 방사선 치료를 받는다. 병용 치료가 생존율을 높이지만, 부작용이 더 심각하다.
4기 환자는 진통제, 방사선 치료, 면역 요법 및 화학 요법을 병용하여 치료한다. 암세포의 유전적 구성에 따라 표적 치료가 가능한 경우가 많다. 최대 30%의 종양에서 ''EGFR'' 유전자에 돌연변이가 발생하여 EGFR 단백질이 과활성화된다. 이는 EGFR 억제제인 오시머티닙, 에를로티닙, 게피티닙, 아파티닙 또는 다코미티닙으로 치료할 수 있으며, 오시머티닙이 에를로티닙과 게피티닙보다, 그리고 이들 모두 단독 화학 요법보다 우수하다. 비소세포폐암 환자의 최대 7%는 과활성화된 ALK 단백질을 가지며, ALK 억제제인 크리조티닙 또는 후속 약물인 알렉티닙, 브리가티닙 및 세리티닙으로 치료할 수 있다. ALK 억제제 치료 후 재발한 환자는 3세대 ALK 억제제인 롤라티닙으로 치료할 수 있다. 비소세포폐암 환자의 최대 5%는 과활성화된 MET을 가지며, MET 억제제인 캡마티닙 또는 테포티닙으로 억제할 수 있다. 이 외에도 드문 돌연변이를 가진 일부 암에 대해, 과활성화된 BRAF(약 2%)는 다브라페닙과 MEK 억제제인 트라메티닙 병용, 활성화된 ROS1(약 1%)은 크리조티닙, 롤라티닙 또는 엔트렉티닙, 과활성화된 NTRK(1% 미만)는 엔트렉티닙 또는 라로트렉티닙, 활성화된 RET(약 1%)는 셀퍼카티닙으로 억제하는 표적 치료제가 있다.
현재 분자 표적 치료제로 표적화할 수 없는 비소세포폐암 환자는 면역 관문 억제제와 병용 화학 요법으로 치료할 수 있다. 면역 관문 억제제는 암세포가 면역 T세포를 불활성화하는 것을 방지한다. 화학 요법제 선택은 비소세포폐암 아형에 따라 다른데, 폐편평상피암의 경우 시스플라틴과 젬시타빈을, 비편평세포암종의 경우 시스플라틴과 페메트렉세드를 사용한다. 면역 관문 억제제는 PD-L1 단백질을 발현하는 종양에 가장 효과적이지만, 그렇지 않은 종양에서도 때때로 효과적이다. 펨브롤리주맙, 아테졸리주맙 또는 니볼루맙과 이필리무맙 병용 치료는 PD-L1을 발현하는 종양에 대해 단독 화학 요법보다 우수하다. 위의 치료에 재발한 환자는 2차 화학 요법제인 독세탁셀과 라무시루맙으로 치료한다.
폐암 진단을 받은 사람의 약 19%가 진단 후 5년 동안 생존하지만, 예후는 진단 당시 질병의 병기와 폐암의 유형에 따라 다릅니다. 초기 단계에서 폐암 진단을 받은 사람들의 예후가 더 좋다. 가장 초기 단계인 TNM 병기 IA1(종양이 작고 전이되지 않은 경우)의 경우 2년 생존율은 97%, 5년 생존율은 92%이다. 가장 진행된 병기인 IVB 단계로 진단받은 사람들의 2년 생존율은 10%, 5년 생존율은 0%이다. 여성의 5년 생존율(22%)이 남성(16%)보다 높은데, 이는 여성이 남성보다 질병이 덜 진행된 상태에서 진단받는 경향이 있고, 동일한 병기에서 진단받은 남성보다 결과가 더 좋기 때문이다. 평균 5년 생존율은 전 세계적으로 다양하며, 특히 일본(33%)의 5년 생존율이 높고, 모리셔스, 캐나다, 미국, 중국, 대한민국, 대만, 이스라엘, 라트비아, 아이슬란드, 스웨덴, 오스트리아, 스위스 등 12개국에서 5년 생존율이 20%를 넘는다.
모든 암과 마찬가지로 폐암은 종양 세포가 무한정 증식하고, 혈관 생성을 촉진하며, 세포자멸사(프로그램화된 세포사멸)를 회피하고, 성장 촉진 신호 분자를 생성하며, 성장 억제 신호 분자를 무시하고, 결국 주변 조직으로 퍼지거나 전이하여 전신으로 퍼지도록 하는 돌연변이에 의해 유발된다. 서로 다른 종양은 서로 다른 돌연변이를 통해 이러한 능력을 획득할 수 있지만, 일반적으로 암에 기여하는 돌연변이는 종양유전자를 활성화하고 종양억제유전자를 불활성화한다. "driver mutation"(주요 돌연변이)라고 불리는 일부 돌연변이는 폐선암에서 특히 흔하며, 종양 발생에 불균형적으로 기여한다. 이러한 돌연변이는 일반적으로 수용체 티로신 키나제 EGFR, BRAF, MET, KRAS, 및 PIK3CA에서 발생한다. 마찬가지로, 일부 폐선암은 티로신 키나제 ALK, ROS1, NTRK, 및 RET의 과발현으로 이어지는 염색체 재배열에 의해 유발된다. 특정 종양은 일반적으로 하나의 주요 돌연변이만 가지고 있다. 3번 염색체의 짧은 팔에 있는 종양 억제 유전자 클러스터는 모든 폐암의 발생 초기에 종종 손실된다.
5. 2. 1. 폐편평상피암
기관지의 편평상피세포에서 발생하는 암으로, 폐암의 한 종류이다. 흡연과의 관련성이 크다고 알려져 있다. 특징적인 병리조직학적 소견으로는 암진주(cancer pearl)가 관찰된다. 세포검사/조직검사에서 선암(adenocarcinoma, ADC) 또는 편평상피암(squamous carcinoma, SQCC)이 명확하게 관찰되는 경우, 해당 시점에서 진단이 확정된다.[30]5. 2. 2. 폐선암
폐선암은 폐의 선세포에서 발생하는 암으로, 흡연과 관련이 있지만 비흡연 여성에게서 발생하는 폐암은 주로 이 유형이다.[9][10] 세기관지폐포상피암은 폐선암의 아형으로, 예후가 비교적 좋다.폐암은 폐 세포 DNA의 유전자 손상에 의해 발생한다. 이러한 변화는 무작위로 발생하기도 하지만, 일반적으로 담배 연기와 같은 유독 물질 흡입으로 유발된다.[9][10] 암을 유발하는 유전적 변화는 세포 증식, 프로그램된 세포 사멸(아포토시스), DNA 복구를 포함한 세포의 정상적인 기능에 영향을 미친다. 이로 인해 세포는 통제 불능 상태로 성장하여 종양을 형성하고, 결국 폐 내부와 외부로 전이될 만큼 충분한 유전적 변화를 얻게 된다. 걷잡을 수 없는 종양 성장과 전이는 폐암 증상을 유발하며, 억제되지 않으면 환자 사망을 초래한다.
모든 암과 마찬가지로 폐암은 종양 세포가 무한정 증식하고, 혈관 생성을 촉진하며, 세포자멸사(프로그램화된 세포사멸)를 회피하고, 성장 촉진 신호 분자를 생성하며, 성장 억제 신호 분자를 무시하고, 결국 주변 조직으로 퍼지거나 전이하여 전신으로 퍼지도록 하는 돌연변이에 의해 유발된다. 서로 다른 종양은 서로 다른 돌연변이를 통해 이러한 능력을 획득할 수 있지만, 일반적으로 암에 기여하는 돌연변이는 종양유전자를 활성화하고 종양억제유전자를 불활성화한다.
"driver mutation"(주요 돌연변이)라고 불리는 일부 돌연변이는 선암에서 특히 흔하며, 종양 발생에 불균형적으로 기여한다. 이러한 돌연변이는 일반적으로 수용체 티로신 키나제 EGFR, BRAF, MET, KRAS, 및 PIK3CA에서 발생한다. 마찬가지로, 일부 선암은 티로신 키나제 ALK, ROS1, NTRK, 및 RET의 과발현으로 이어지는 염색체 재배열에 의해 유발된다. 특정 종양은 일반적으로 하나의 주요 돌연변이만 가지고 있다.
5. 2. 3. 폐대세포암
편평상피암에도 선암에도 분화가 증명되지 않는 미분화된 비소세포폐암이다. 성장이 빠르고 대부분 말초 기도에서 발생한다.[9]6. 병기
폐암의 병기는 TNM 분류를 사용하여 결정한다.[33]
- T (Tumor, 종양): 원발 종양의 크기 및 주변 조직과의 관계[33]
- N (Node, 림프절): 흉부 림프절 전이 정도[33]
- M (Metastasis, 전이): 원격 전이 유무[33]
병기는 1기(IA, IB), 2기(IIA, IIB), 3기(IIIA, IIIB, IIIC), 4기(IVA, IVB)로 나뉜다.[33]
7. 치료
폐암 치료는 암의 종류, 병기, 환자의 건강 상태에 따라 결정된다. 크게 소세포폐암과 비소세포폐암으로 나누어 치료법을 선택하며, 일반적인 치료법에는 수술, 항암화학요법, 방사선 치료가 있다. 이 외에도 표적 치료, 면역관문억제제 등을 단독 또는 병행하여 시행한다.[1][2][3] 모든 폐암 치료 요법은 삶의 질 향상을 위해 생활 습관 변화 및 완화 의료와 결합된다.[2]
매우 초기 단계의 폐문 중심형 조기 폐암에 대해서는 광역학 치료(PDT)가 시행되기도 한다. 표준 치료를 종료했지만 더 이상의 효과를 기대할 수 없고 통증 조절 등의 대증 요법만 남은 폐암 환자에게 일부 시설에서 카테터 치료가 시행되기도 하는데, 종양의 영양 혈관에 마이크로 카테터를 사용하여 초선택적으로 소량의 항암제를 주입하거나, 색전 물질을 주입 또는 삽입하는 방법이다.
7. 1. 소세포폐암 치료
그 외의 경우에는 화학 요법 + 흉부 방사선 요법을 병용한다.효과가 있는 경우에는 뇌 전이 재발 예방을 위해 예방적 방사선 전뇌 조사(PCI)가 시행된다.
