췌장염
"오늘의AI위키"의 AI를 통해 더욱 풍부하고 폭넓은 지식 경험을 누리세요.
1. 개요
췌장염은 췌장에 발생하는 염증성 질환으로, 급성 췌장염과 만성 췌장염으로 분류된다. 급성 췌장염은 갑작스러운 염증 발생을, 만성 췌장염은 장기간에 걸친 췌장 손상을 의미한다. 췌장염의 주요 원인으로는 담석과 알코올이 있으며, 고지혈증, 외상, 특정 약물, 감염 등도 원인이 될 수 있다. 췌장염은 심한 복통, 메스꺼움, 구토 등의 증상을 동반하며, 심한 경우 쇼크, 신부전, 호흡기 합병증 등의 합병증을 유발할 수 있다. 진단은 증상, 혈액 검사, 영상 검사 등을 종합하여 이루어지며, 치료는 증상의 심각성에 따라 수액 공급, 통증 조절, 영양 공급, 기저 원인 치료 등을 시행한다. 예후는 질환의 심각성에 따라 다르며, 중증 급성 췌장염의 경우 사망률이 높을 수 있다.
더 읽어볼만한 페이지
- 복통 - 크론병
크론병은 위장관에 만성 염증을 일으키는 질환으로, 유전적 요인, 면역계 이상, 환경적 요인이 복합적으로 작용하며 복통, 설사, 합병증 등을 유발할 수 있고, 약물 요법, 영양 요법, 수술 등으로 치료하며 완치 치료법은 없다. - 복통 - 골반염
골반염은 여성 생식 기관에 성병균이 감염되어 아랫배 통증, 발열, 질 분비물 증가 등의 증상을 일으키며 불임과 같은 합병증을 유발할 수 있고, 골반 검사, 초음파 검사 등으로 진단하여 항생제 치료를 하며, 콘돔 사용과 정기적인 성병 검사로 예방할 수 있다. - 대사 장애 - 저혈당증
저혈당증은 혈당 수치가 70 mg/dL 미만으로 감소한 상태를 의미하며, 뇌에 포도당 공급 부족으로 신경당결핍 증상과 교감신경성 증상이 나타나고, 당뇨병 환자에게서 흔히 발생하며, 인슐린 과다 복용 등이 주요 원인이다. - 대사 장애 - 알츠하이머병
알츠하이머병은 뇌의 아밀로이드 플라크와 신경원섬유 엉킴 축적을 특징으로 하는 진행성 신경퇴행성 질환으로, 인지 기능 저하, 일상생활 기능 장애, 기억 상실, 언어 장애 등을 동반하며 완치법은 없지만 증상 완화 치료와 관리가 중요하다. - 염증 - 신장염
신장염은 콩팥에 발생한 염증으로, 자가면역질환, 요로감염, 루푸스, 격렬한 운동 등이 원인이 되어 혈뇨, 핍뇨, 요독증, 고혈압 등의 증상을 유발하며, 혈액 검사, X레이, 초음파 등으로 진단하고 원인에 따라 치료한다. - 염증 - 신우신염
신우신염은 신장의 신우와 신실질에 발생하는 감염으로, 급성(고열, 배뇨통, 옆구리 통증)과 만성(지속적인 옆구리 통증, 체중 감소)으로 나뉘며, 대장균과 장구균이 주요 원인균이고, 항생제로 치료하며, 요로의 구조적 이상, 당뇨병, 면역 저하 등이 위험 요인이다.
| 췌장염 | |
|---|---|
| 질병 개요 | |
| 이름 | 췌장염 |
| 영어 이름 | Pancreatitis |
| 관련 분야 | 소화기내과 일반외과 |
| 증상 | |
| 주요 증상 | 상복부 통증 구역질 구토 열 지방변 |
| 합병증 | |
| 합병증 종류 | 감염 출혈 당뇨병 췌장암 신부전 호흡 문제 영양실조 |
| 발병 시기 및 기간 | |
| 발병 시기 | 급성 만성 |
| 기간 | 단기 또는 장기 |
| 원인 | |
| 원인 인자 | 담석 과도한 알코올 섭취 직접적인 외상 특정 약물 볼거리 |
| 위험 요인 | |
| 위험 요인 | 흡연 |
| 진단 | |
| 진단 방법 | 증상 기반, 혈액 아밀레이스 또는 리파아제 수치 |
| 예방 | |
| 예방 방법 | 출처 필요 |
| 치료 | |
| 치료 방법 | 정맥 수액 진통제 항생제 |
| 투여 약물 | 출처 필요 |
| 경과/예후 | 출처 필요 |
| 빈도 | |
| 빈도 (2015년) | 890만 명 |
| 사망 | |
| 사망자 수 (2015년) | 132,700명 |
| 질병 데이터베이스 | |
| DiseasesDB | 24092 |
| ICD10 | - |
| ICD9 | - |
| OMIM | 167800 |
| MeSH | D010195 |
2. 분류
임상 발증 상태에 따라 다음과 같이 분류된다.
- 급성 췌장염
- 만성 췌장염
2. 1. 급성 췌장염
급성 췌장염은 갑작스럽게 발생하는 췌장의 염증이다. 췌장염은 임상 발현 양상에 따라 급성 췌장염과 만성 췌장염으로 분류된다.2. 2. 만성 췌장염
만성 췌장염 Chronic pancreatitiseng3. 원인
췌장염의 약 80%는 담석이나 알코올 섭취와 관련이 있으며,[47] 높은 트리글리세라이드 수치(고지혈증)도 주요 원인 중 하나이다.[18] 특히 총담관 결석증은 급성 췌장염의,[12] 알코올 중독은 만성 췌장염의 가장 흔한 단일 원인으로 알려져 있다.[13][14][15][16][17]
췌장염의 흔한 원인을 기억하기 위한 기억술로 "GET SMASHED"가 자주 사용된다:[19]
- '''G'''allstones (담석)
- '''E'''thanol (에탄올/알코올)
- '''T'''rauma (외상)
- '''S'''teroids (스테로이드)
- '''M'''umps (유행성 이하선염)
- '''A'''utoimmune (자가면역)
- '''S'''corpion sting (전갈 쏘임)
- '''H'''yperlipidemia (고지혈증), 저체온증 또는 부갑상선 기능 항진증
- '''E'''RCP (내시경적 역행성 담췌관 조영술)
- '''D'''rugs (약물, 예: 아자티오프린, 발프로산, 리라글루타이드)
다음과 같은 특정 질환들도 췌장염의 원인이 될 수 있다.
- 알코올성 췌장염
- 자가면역성 췌장염 (IgG4 관련 질환)
- 유전성 췌장염
- 췌담관 합류 이상증
3. 1. 담석
췌장염 발생 원인의 약 80%는 담석이나 알코올이다.[47] 특히 총담관 결석증(담관 내 담석)은 급성 췌장염의 가장 흔한 단일 원인으로 꼽힌다.[12]3. 2. 알코올
췌장염 발병 사례의 약 80%는 담석이나 알코올 섭취와 관련이 있다. 특히 알코올 중독은 만성 췌장염의 가장 흔한 단일 원인으로 꼽힌다.[13][14][15][16][17] 알코올 섭취로 인해 발생하는 췌장염을 알코올성 췌장염이라고 한다.3. 3. 고지혈증
혈청 트리글리세라이드 수치가 1000 mg/dL(11.29 mmol/L) 이상인 고지혈증은 췌장염의 원인이 될 수 있다.[18] 췌장염의 흔한 원인을 기억하기 위한 기억술 "GET SMASHED"에서도 'H'는 Hyperlipidemia|고지혈증eng을 의미한다.[19]3. 4. 약물
일부 약물은 급성 췌장염을 유발할 수 있다. 아자티오프린, 발프로산, 리라글루타이드 등이 대표적인 예로 언급된다.[19] 구체적으로 다음과 같은 약물 계열이 췌장염과 관련이 있다.- 스타틴: 췌장에 직접적인 독성 효과를 나타내거나 독성 대사 물질의 장기간 축적을 통해 췌장염을 유발할 수 있다.
- ACE 억제제: 브래디키닌의 축적을 통해 췌장의 혈관부종을 유발할 수 있다.
- 경구 피임약 및 호르몬 대체 요법 (HRT): 지방 축적(고트리글리세리드혈증)을 통해 췌장의 동맥 혈전증을 유발할 수 있다.
- 이뇨제:
- 푸로세미드와 같은 일부 이뇨제는 췌장에 직접적인 독성 효과를 나타낼 수 있다.
- 티아지드 계열 이뇨제는 고트리글리세리드혈증과 고칼슘혈증을 유발할 수 있으며, 고칼슘혈증은 췌장 결석의 위험 요인이 된다.
- 항레트로바이러스 치료제: HIV 감염 자체도 췌장염 발생 가능성을 높일 수 있지만, 항레트로바이러스 약물은 고혈당증 및 고콜레스테롤혈증과 같은 대사 장애를 유발하여 췌장염을 일으킬 수 있다.
- 발프로산: 췌장에 직접적인 독성 효과를 나타낼 수 있다.[20]
- 경구 혈당 강하제:
- 메트포르민을 포함한 다양한 약물이 췌장염과 관련이 있을 수 있다.
- 글루카곤 유사 펩타이드-1 (GLP-1) 모방제인 엑세나타이드나 리라글루타이드는 고지방 식이와 함께 염증을 촉진하여 췌장염과 더 강하게 연관될 수 있다.[21]
- 비정형 항정신병제: 클로자핀, 리스페리돈, 올란자핀과 같은 약물도 췌장염을 유발할 수 있다.[22]
췌장염을 유발하는 약물의 정확한 기전은 대부분 명확히 밝혀지지 않았지만, 위와 같은 경로들이 제시되고 있다.
3. 5. 감염
췌장염의 원인으로 여러 감염 인자가 확인되었는데, 여기에는 다음이 포함된다:[23][24][25]- 바이러스
- * 콕사키 바이러스
- * 거대세포바이러스
- * B형 간염
- * 단순 헤르페스 바이러스
- * 볼거리
- * 수두-대상포진 바이러스
- 세균
- * 레지오넬라
- * 렙토스피라
- * 미코플라스마
- * 살모넬라
- 곰팡이
- * 아스페르길루스
- 기생충
- * 회충
- * 크립토스포리디움
- * 톡소플라스마
3. 6. 기타 원인
췌장염의 다른 흔한 원인으로는 외상, 자가면역 질환, 고칼슘혈증(높은 혈중 칼슘), 저체온증, 내시경 역행 담췌관 조영술(ERCP) 시술 등이 있다. 췌장 분열은 췌장의 흔한 선천적 기형으로, 일부 재발성 췌장염의 근본 원인이 될 수 있다. 제2형 당뇨병 환자는 췌장염 발병 위험이 2.8배 더 높은 것으로 알려져 있다.[26]상대적으로 덜 흔한 원인으로는 췌장암, 췌관 결석,[27] 혈관염(췌장 내 작은 혈관의 염증), 포르피린증(특히 급성 간헐성 포르피린증 및 적혈구 생성성 프로토포르피린증) 등이 있다.
유전적 요인도 췌장염을 유발할 수 있다. 유전성 췌장염은 췌장 내 트립시노겐이 비정상적으로 활성화되어 자가 소화를 일으키는 질환이다. 이와 관련된 유전자로는 트립시노겐을 암호화하는 트립신 1 유전자, 트립신 억제제를 암호화하는 SPINK1 유전자, 낭성 섬유증 막 통과 전도 조절 인자(CFTR) 유전자 등이 있다.[28]
다음과 같은 특정 질환들도 췌장염의 원인이 될 수 있다.
- 알코올성 췌장염
- 자가면역성 췌장염(IgG4 관련 질환)
- 유전성 췌장염
- 췌담관 합류 이상증
4. 증상
췌장염의 가장 흔한 증상은 심한 상복부 또는 좌상복부의 타는 듯한 통증으로, 연관통이 등으로 방사통이 나타나며, 식사 시 악화되는 메스꺼움과 구토가 동반된다. 신체 검사 소견은 췌장염의 중증도나 내출혈 여부에 따라 다양하며, 혈압, 심박수, 호흡수의 변화나 압통, 장음 감소, 발열, 황달 등이 관찰된다. 만성 췌장염의 경우, 췌장 효소 부족으로 인한 소화 불량으로 체중 감소가 나타나고 당뇨병, 췌장암과 같은 합병증으로 이어질 위험이 있다.
4. 1. 주요 증상
췌장염의 가장 흔한 증상은 심한 상복부 또는 좌상복부의 타는 듯한 통증이다. 이 통증은 연관통의 형태로 등 쪽으로 퍼지는 방사통 양상을 보이며, 메스꺼움과 구토가 동반되고 식사 시 증상이 더 심해지는 특징이 있다.신체 검사 소견은 췌장염의 중증도나 내출혈 여부에 따라 다르게 나타날 수 있다. 혈압은 통증으로 인해 상승할 수도 있지만, 탈수나 출혈이 심할 경우 오히려 떨어질 수 있다. 심박수와 호흡수는 종종 빨라진다. 복부를 눌렀을 때 압통이 느껴지는 경우가 일반적이지만, 환자가 느끼는 통증의 정도보다는 약할 수 있다. 다른 복부 질환에서처럼, 장 기능이 일시적으로 멈추는 반사성 장마비가 발생하여 장음이 감소하기도 한다. 경우에 따라 발열이나 황달이 나타나기도 한다.
만성 췌장염의 경우, 당뇨병이나 췌장암으로 진행될 위험이 있다. 또한, 췌장 효소 분비가 부족해져 소화 기능에 문제가 생기면서 특별한 이유 없이 체중이 감소하는 증상이 나타날 수 있다.
4. 2. 신체 검사 소견
신체 검사는 중증도 및 내출혈의 존재 여부에 따라 다를 수 있다. 혈압은 통증으로 인해 상승하거나, 탈수 또는 출혈로 인해 감소할 수 있다. 심박수와 호흡수는 종종 상승한다. 복부는 일반적으로 압통이 있지만, 통증 자체보다는 덜한 경우가 많다. 복부 질환에서 흔히 볼 수 있듯이, 반사성 장마비로 인해 장음이 감소할 수도 있다. 발열이나 황달이 나타나는 경우도 있다.4. 3. 합병증
췌장염은 다양한 합병증을 유발할 수 있으며, 크게 초기와 후기로 나눌 수 있다.| 구분 | 주요 합병증 |
|---|---|
| 초기 합병증 | |
| 후기 합병증 |
초기에는 쇼크, 감염, 전신성 염증 반응 증후군, 혈중 칼슘 감소, 혈중 포도당 증가, 탈수 등이 나타날 수 있다. 심한 경우 혈액 손실, 탈수, 복강 내 체액 누출(복수) 등으로 인해 신부전이 발생하기도 한다. 호흡기 관련 합병증도 흔하며 심각한 경우가 많은데, 급성 호흡 곤란 증후군이 대표적이다. 흉수가 흔하게 발생하며, 통증 때문에 숨을 얕게 쉬게 되어 폐허탈이 생길 수도 있다. 또한, 췌장 효소가 폐를 직접 공격하여 염증을 일으키기도 한다. 염증이 매우 심하면 복강 내 압력이 높아지는 복부 구획 증후군으로 이어질 수 있으며, 이는 신장과 호흡 기능을 더욱 악화시켜 복부 압력을 낮추기 위한 수술(개복술)이 필요할 수도 있다.[10]
시간이 지나면서 나타나는 후기 합병증으로는 췌장염이 반복되는 재발성 췌장염이나 췌장 가성 낭종이 생길 수 있다. 가성 낭종은 췌장 분비물이 흉터 조직에 둘러싸여 고인 것으로, 통증을 유발하거나 감염, 파열, 출혈 등을 일으킬 수 있다. 또한 담관을 막아 황달을 유발하거나 복부 내 다른 위치로 이동하기도 한다. 심한 괴사성 췌장염의 경우, 조직이 죽고 녹아내리며(액화) 감염되어 고름이 차는 췌장 농양으로 발전할 수 있다. 이는 전체 췌장염 환자의 약 3%에서 발생하지만, 가성 낭종이 2개 이상 있거나 췌장 내 가스가 확인되는 경우에는 발생률이 60%까지 높아진다.[11]
5. 진단


췌장염의 진단은 환자가 호소하는 특징적인 복통 증상, 혈액 검사를 통한 췌장 효소 수치 확인, 그리고 영상 검사를 통한 췌장의 상태 평가를 종합하여 이루어진다. 일반적으로 특정 진단 기준(진단 기준 참조) 중 두 가지 이상을 만족할 때 췌장염으로 진단한다.
혈액 검사에서는 아밀라아제와 리파아제 같은 췌장 효소 수치가 중요한 지표로 활용되며(검사 참조), 영상 검사로는 복부 초음파, CT, MRI 등이 이용되어 췌장의 염증 상태나 합병증 여부를 확인한다(검사 참조).
췌장염은 담낭염, 소화성 궤양 등 증상이 유사한 다른 질환들과 구분하는 감별 진단 과정이 중요하다.[29]
5. 1. 진단 기준
진단은 다음 세 가지 기준 중 두 가지 이상을 충족해야 한다.
- 위(epigastric) 또는 모호한 복통이 갑자기 발생하며, 등 쪽으로 통증이 퍼져나가는(방사통) 특징적인 양상을 보인다. (자세한 내용은 징후 및 증상 참조)
- 혈청 아밀라아제 또는 리파아제 수치가 정상 상한치의 3배 이상으로 증가한다.
- CT, MRI, 복부 초음파, 또는 내시경 초음파와 같은 영상 검사에서 췌장염에 특징적인 변화가 확인된다.
아밀라아제와 리파아제는 췌장에서 생성되는 소화 효소이다. 이 중 리파아제는 췌장염 진단에 있어 특이도가 더 높고 반감기가 길어 더 유용한 지표로 여겨진다.[32] 하지만 이 두 효소 수치는 다른 질병에서도 증가할 수 있다는 점에 유의해야 한다. 만성 췌장염의 경우, 대변 췌장 엘라스타제-1(FPE-1) 검사가 외분비 췌장 기능 상태를 평가하는 데 사용된다. 만성 췌장염을 평가하는 데 도움이 될 수 있는 추가 검사로는 당화혈색소, 면역글로불린 G4, 류마티스 인자, 항핵 항체 검사 등이 있다.[30]
영상 검사 중 복부 초음파는 편리하고 간단하며, 비침습적이고 비용이 저렴하다는 장점이 있다.[31] 특히 담석으로 인한 췌장염 진단에 있어서 다른 영상 검사보다 민감도와 특이도가 높다.[32] 그러나 환자의 약 25~35%에서는 장내 가스로 인해 췌장이 잘 보이지 않아 평가가 어려울 수 있다.[29]
조영제를 사용한 CT 스캔은 일반적으로 통증이 시작된 지 48시간 이상 지난 후에 시행한다. 이는 췌장 조직의 괴사 여부와 췌장 주변의 액체 저류 상태를 평가하고 질병의 중증도를 예측하는 데 도움이 된다. CT 스캔을 너무 일찍 시행하면 실제보다 상태가 괜찮다고 잘못 판단할 위험이 있다.[33]
ERCP나 내시경 초음파는 췌장염의 원인이 담도계 문제와 관련 있다고 의심될 때 고려할 수 있다.
5. 2. 검사
췌장염의 진단은 다음 세 가지 기준 중 두 가지 이상을 만족해야 한다.
- 명치(상복부) 또는 모호한 복통이 갑자기 발생하며, 등 쪽으로 퍼지는 방사통이 나타날 수 있다. (자세한 내용은 #징후 및 증상 참조)
- 혈청 아밀라아제 또는 리파아제 수치가 정상 상한치의 3배 이상으로 상승한다.
- 영상 검사에서 췌장염에 특징적인 소견이 보인다. CT, MRI, 복부 초음파 검사, 내시경 초음파 등을 진단에 활용할 수 있다.
췌장염을 진단하기 위한 주요 검사는 다음과 같다.
=== 혈액 검사 ===
췌장에서 분비되는 효소인 아밀라아제와 리파아제 수치를 측정하는 것이 기본이다. 리파아제는 특이도가 더 높고 반감기가 길어 췌장염 진단에 더 유용한 지표로 여겨진다.[32] 하지만 이 효소들은 다른 질환에서도 증가할 수 있으므로 주의가 필요하다. 급성 췌장염의 경우, 백혈구 수치 증가, C-반응 단백질(CRP), 혈청 엘라스타제 1 수치 상승 등이 동반될 수 있다.
만성 췌장염이 의심될 때는 췌장의 소화 효소 분비 기능(외분비 기능)을 평가하기 위해 대변 췌장 엘라스타제-1(FPE-1) 검사를 시행할 수 있다. 또한 만성 췌장염의 원인을 찾거나 상태를 평가하기 위해 당화혈색소, 면역글로불린 G4(IgG4), 류마티스 인자, 항핵 항체 등의 추가적인 혈액 검사가 도움이 될 수 있다.[30]
=== 영상 검사 ===
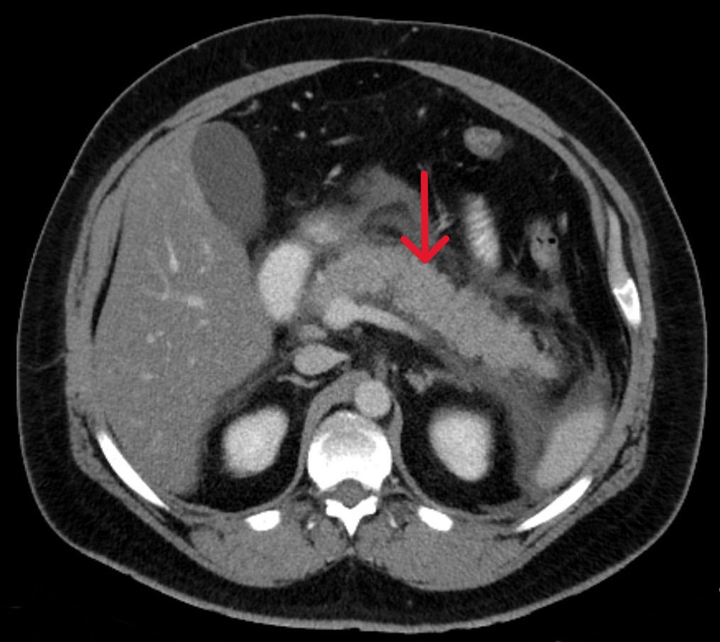
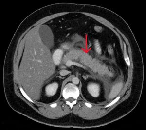
- '''복부 초음파 검사''': 비교적 간편하고 비용이 저렴하며 인체에 해가 없는 비침습적인 검사 방법이다.[31] 특히 담석이 원인인 췌장염을 진단하는 데 있어 다른 영상 검사보다 민감도와 특이도가 높다.[32] 그러나 환자의 약 25~35%에서는 장내 가스로 인해 췌장이 가려져 명확한 관찰이 어려울 수 있다는 단점이 있다.[29] 초음파 검사를 통해 염증으로 인해 부어오른 췌장이나, 심한 경우 괴사되어 위축된 췌장의 모습을 관찰할 수 있다.
- '''복부 CT''': 일반적으로 췌장염 증상 발생 후 48시간 이상 지난 시점에서 조영제를 사용하여 CT 촬영을 시행한다. CT는 췌장 조직의 괴사 여부, 췌장 주변의 액체 고임 등을 평가하고 질병의 중증도를 판단하는 데 중요한 정보를 제공한다. 너무 이른 시기에 CT 검사를 시행하면 병의 상태를 정확히 반영하지 못하여 잘못된 판단을 내릴 수 있다.[33]
- '''기타 영상 검사''': MRI나 내시경 초음파도 췌장염 진단에 활용될 수 있다. 특히 담관의 문제(예: 담관 결석)가 췌장염의 원인으로 강력히 의심될 경우에는 내시경 역행 췌담관 조영술(ERCP) 또는 내시경 초음파 검사를 고려할 수 있다.
췌장염은 담낭염, 담관 결석, 소화성 궤양 천공, 장 경색, 장 폐쇄, 간염, 장간막 허혈 등 다양한 질환과 증상이 유사할 수 있으므로, 정확한 진단을 위해 이러한 질환들과의 감별이 중요하다.[29]
5. 3. 감별 진단
췌장염의 감별 진단에는 담낭염, 담관 결석, 천공성 소화성 궤양, 장 경색, 소장 폐쇄, 간염, 장간막 허혈 등이 포함된다.[29]
진단은 다음 세 가지 기준 중 2가지를 충족해야 한다.
- 위(epigastric) 또는 모호한 복통의 특징적인 급성 발병으로, 등이 방사통을 일으킬 수 있다.
- 혈청 아밀라아제 또는 리파아제 수치가 정상 상한치의 3배 이상.
- 특징적인 변화를 보이는 영상 검사. CT, MRI, 복부 초음파 또는 내시경 초음파를 진단에 사용할 수 있다.
아밀라아제와 리파아제는 췌장에서 생성되는 두 가지 효소이다. 리파아제는 특이도가 높고 반감기가 길기 때문에 췌장염의 더 나은 지표로 간주된다.[32] 그러나 두 효소 모두 다른 질병 상태에서도 증가할 수 있다. 만성 췌장염의 경우, 대변 췌장 엘라스타제-1(FPE-1) 검사가 외분비 췌장 기능의 지표이다. 만성 췌장염을 평가하는 데 유용할 수 있는 추가 검사에는 당화혈색소, 면역글로불린 G4, 류마티스 인자, 항핵 항체가 있다.[30]
영상 검사에서 복부 초음파는 편리하고, 간단하며, 비침습적이고, 저렴하다.[31] 담석으로 인한 췌장염 진단에 다른 영상 검사보다 더 민감하고 특이적이다.[32] 그러나 환자의 25~35%에서는 장내 가스로 인해 췌장 시야가 가려져 평가가 어려울 수 있다.[29]
통증이 시작된 지 48시간 이상 지난 후에 조영 증강 CT 스캔을 일반적으로 수행하여 췌장 괴사 및 췌장 외 액체를 평가하고 질병의 심각도를 예측한다. CT 스캔을 더 일찍 실시하면 질병의 심각도를 정확히 반영하지 못할 수 있다.[33]
ERCP 또는 내시경 초음파는 췌장염의 담도 관련 원인이 의심되는 경우에도 사용할 수 있다.
; 거대 아밀라아제혈증
: 아밀라아제가 복합체를 형성하여 신장에서 배출되지 않아 혈중 아밀라아제 수치가 높아지는 상태이다. 임상 증상은 나타나지 않는다. 소변 내 아밀라아제 수치는 낮고, 아밀라아제 클리어런스/크레아티닌 클리어런스 비율은 1% 미만이다.
6. 치료
췌장염의 치료는 기본적으로 증상을 완화하고 신체를 지지하는 보존적 치료이며, 질병의 심각성에 따라 접근 방식이 달라진다. 통증 조절을 위해 모르핀과 같은 진통제가 사용될 수 있으며, 모르핀이 췌장염이나 담낭염을 악화시킨다는 임상적 증거는 없다.[34]
특히 급성 췌장염의 경우, 합병증이 없는 경증인지 또는 심각한 합병증을 동반할 수 있는 중증인지에 따라 치료 계획이 달라진다.
6. 1. 일반적인 치료
췌장염의 치료는 기본적으로 증상을 완화하고 신체를 지지하는 보존적 치료이며, 질병의 심각성에 따라 달라진다. 급성 췌장염의 치료는 합병증이 없는 경증인지, 심각한 합병증을 동반할 수 있는 중증인지에 따라 결정된다.주요 치료 방법:
- 통증 조절: 통증을 줄이기 위해 모르핀과 같은 오피오이드 계열 진통제를 사용한다. 모르핀이 췌장염이나 담낭염을 악화시킨다는 임상적 증거는 없다.[34][36]
- 수액 공급: 급성 췌장염 발생 시 탈수가 흔하게 나타나므로, 정맥 내로 수액을 충분히 공급하여 탈수를 교정하고 저혈량성 쇼크를 예방한다. 이는 신체 내 혈액량을 유지하여 장기로의 산소 공급을 원활하게 하기 위함이다. 전해질 균형도 함께 조절한다.[39]
- 산소 공급: 췌장 염증으로 인해 분비되는 사이토카인 등 염증 물질이 폐를 포함한 전신에 염증을 일으킬 수 있으며, 심한 경우 급성 호흡 곤란 증후군(ARDS)으로 이어질 수 있다. 따라서 폐 손상 가능성에 대비하여 비강 캐뉼라나 마스크를 통해 보조 산소를 공급하며, 상태가 호전될 때까지 지속한다. 상태가 심각하면 인공호흡기를 사용하기도 한다.
- 영양 관리:
- 전통적으로는 염증이 가라앉을 때까지 금식했지만, 최근 연구에 따르면 48시간 이내에 장관 영양을 시작하는 것이 안전하고 예후를 개선하며 입원 기간을 단축할 수 있다.[35][38]
- 초기에는 구강 섭취, 특히 지방 섭취를 제한한다.
- 만약 72-96시간 내에 상태가 호전되지 않으면, 췌장 효소 분비의 영향을 덜 받는 방식으로 경장영양을 시작한다.[39]
원인별 치료:췌장염의 근본 원인을 해결하는 것이 중요하다.
- 담석성 췌장염: 담석이 원인인 경우, 내시경 역행 담관 췌장 조영술(ERCP) 시술이나 담낭 절제술을 통해 담석을 제거하거나 담낭을 절제하는 것이 좋다.[36] 재발을 막기 위해 췌장염 발병 후 2주 이내, 같은 입원 기간 동안 담낭 제거 수술을 받는 것이 권장된다.
- 알코올성 췌장염: 알코올이 원인이라면 금주하고 알코올 의존증 치료를 받는 것이 중요하다. 원인이 알코올이 아니더라도, 회복 과정에서 췌장에 추가적인 부담을 주지 않기 위해 최소 6개월간 금주하는 것이 좋다.[37]
중증 췌장염 관리:심각한 췌장염은 장기 부전, 괴사, 감염성 괴사, 가성 낭종, 농양 등 심각한 합병증을 유발할 수 있다. 중증으로 진단되면 중환자실(ICU)이나 고강도 치료실(HDU)에서 집중 치료를 받아야 한다. 지속적인 수액 공급, 산소 치료, 영양 지원, 통증 조절 등이 이루어진다. 저혈량성 쇼크를 예방하기 위한 적극적인 수액 치료가 필수적이다.
6. 2. 경증 급성 췌장염
경미한 급성 췌장염의 치료는 일반 병동 입원으로 성공적으로 이루어진다. 과거에는 염증이 가라앉을 때까지 음식을 먹지 못하게 하는 것이 일반적이었으나, 최근 연구에 따르면 조기에 영양을 공급하는 것이 안전하고 치료 결과도 더 좋으며, 퇴원 시기를 앞당길 수 있는 것으로 나타났다.[35]췌장염으로 인해 발생하는 염증은 혈류로 분비되는 사이토카인과 같은 염증성 물질을 통해 폐를 포함한 전신에 염증을 일으킬 수 있으며, 심한 경우 급성 호흡 곤란 증후군(ARDS)으로 이어질 수도 있다. 이처럼 췌장염이 폐 기능을 저하시킬 수 있기 때문에, 때때로 비강 캐뉼라나 마스크를 통해 보조 산소를 공급하기도 한다. 상태가 호전되면 며칠 후 산소 공급 장치를 제거할 수 있다.
급성 췌장염이 발생하면 탈수 증상이 나타날 수 있으므로 정맥 주사를 통해 수액을 공급한다. 통증 조절을 위해서는 모르핀과 같은 오피오이드 계열 진통제를 사용할 수 있다. 모르핀이 췌장염이나 담낭염을 악화시킨다는 임상적 증거는 없다.[34] 만약 췌장염의 원인이 담석이라면, 조기에 담낭을 제거하는 수술이 치료 결과를 개선하는 데 도움이 될 수 있다.[36]
6. 3. 중증 급성 췌장염
중증 급성 췌장염은 장기 부전, 괴사, 감염성 괴사, 가성 낭종, 농양과 같은 심각한 합병증을 유발할 수 있다. 중증 급성 췌장염으로 진단받은 사람은 중환자실이나 고강도 치료실에 입원해야 한다. 췌장을 치료하는 과정에서 신체 내부의 체액 수치가 상당히 감소할 가능성이 크며, 이는 혈액량 감소로 이어져 저혈량성 쇼크를 유발할 수 있다. 저혈량성 쇼크는 생존에 필요한 산소가 풍부한 혈액을 빠르게 고갈시켜 생명을 위협할 수 있으므로, 이를 피하기 위해 정맥 내로 수액을 투여한다. 필요에 따라 코에 연결된 튜브를 통해 산소를 공급하고, 호흡을 돕기 위해 인공호흡 장치를 사용할 수 있다. 영양 공급을 위해 튜브를 사용하고 적절한 진통제를 병용할 수 있다.경미한 췌장염과 마찬가지로 기저 원인, 즉 담석, 약물 중단, 알코올 중단 등을 치료해야 한다. 원인이 담석인 경우, ERCP 시술이나 담낭 제거를 권장할 가능성이 높다. 췌장염 재발 위험을 제한하기 위해 담낭은 췌장염 발병 후 2주 이내에 동일한 입원 기간 동안 제거해야 한다.
췌장염의 원인이 알코올인 경우, 알코올 섭취 중단 및 알코올 의존증 치료가 췌장염을 호전시킬 수 있다. 기저 원인이 알코올 섭취와 관련이 없더라도, 의사는 회복 과정에서 췌장에 추가적인 손상을 입힐 수 있으므로 최소 6개월 동안 알코올을 피하도록 권장한다.[37]
구강 섭취, 특히 지방은 일반적으로 처음에는 제한되지만, 48시간 이내에 조기 장내 영양 공급을 하면 임상 결과가 개선되는 것으로 나타났다.[38] 수액 보충 및 전해질은 정맥 내로 보충한다. 치료 72–96시간 이내에 개선이 없을 경우, 췌장 효소 분비로 가장 영향을 받는 소화관 부분을 우회하기 위해 튜브 영양을 통해 영양 지원을 시작한다.[39]
7. 예후
중증 급성 췌장염은 약 2~9%의 사망률을 보이며, 췌장 괴사가 발생한 경우에는 더 높다.[40]
췌장염 발작의 심각성을 예측하기 위해 여러 평가 시스템이 사용된다. 각 시스템은 인구 통계 및 검사 데이터를 결합하여 심각성 또는 사망 확률을 추정한다. 대표적인 예시로는 APACHE II, Ranson, BISAP, 그리고 Glasgow 등이 있다.
수정된 Glasgow 기준은 다음 중 세 가지 이상이 해당될 경우 중증으로 간주한다:[41]
| 기준 | 내용 |
|---|---|
| 나이 | > 55세 |
| PO2 (산소) | < 60 mmHg (7.9 kPa) |
| 백혈구 | > 15,000/μL |
| 칼슘 | < 2 mmol/L |
| BUN | > 16 mmol/L |
| 젖산 탈수소 효소 (LDH) | > 600 iu/L |
| 아스파르테이트 아미노전이효소 (AST) | > 200 iu/L |
| 알부민 | < 3.2 g/L |
| 포도당 | > 10 mmol/L |
이 기준들은 각 항목의 앞 글자를 딴 'PANCREAS'라는 약어로 기억하기도 한다.
BISAP 점수는 다음 5가지 항목으로 구성되며, 다른 예후 평가 시스템과 유사한 정확도를 가지는 것으로 검증되었다:[42]
- '''B'''lood urea nitrogen (혈중 요소 질소) > 25 mg/dL (8.9 mmol/L)
- '''I'''mpaired mental status (의식 상태 장애)
- '''S'''ystemic inflammatory response syndrome (SIRS)
- '''A'''ge (나이) > 60세
- '''P'''leural effusion (흉막 삼출)
8. 역학
급성 췌장염의 전 세계 발병률은 인구 10만 명당 5~35건이다. 만성 췌장염의 발병률은 10만 명당 4~8건이며, 유병률은 10만 명당 26~42건이다.[43] 2013년 췌장염으로 인한 사망자는 12만 3천 명으로, 1990년의 8만 3천 명에서 증가했다.[7]
9. 비용
영국 성인의 경우, 만성 췌장염의 추정 평균 총 직간접 비용은 연간 1인당 약 7.9만파운드이다.[44][48] 급성 재발성 췌장염과 만성 췌장염은 소아에게는 드물게 발생하지만, 상당한 질병 부담으로 인해 높은 의료 비용과 관련이 있다.[45] 전 세계적으로, 이러한 질환을 가진 소아의 평균 총 치료 비용은 연간 1인당 약 40500USD으로 추정된다.[45][48]
10. 기타 동물
기름진 음식을 개에게 자주 제공하는 것은 개 췌장염의 원인이 될 수 있다.[46]
참조
[1]
뉴스
Patient Care & Health Information > Diseases & Conditions: Pancreatitis
https://www.mayoclin[...]
Mayo Clinic
2022-06-04
[2]
논문
Chronic pancreatitis: challenges and advances in pathogenesis, genetics, diagnosis, and therapy
2007-04
[3]
웹사이트
Pancreatitis
http://www.niddk.nih[...]
National Institutes of Health
2012-08-16
[4]
논문
The epidemiology of pancreatitis and pancreatic cancer
2013-06
[5]
논문
Global, regional, and national incidence, prevalence, and years lived with disability for 310 diseases and injuries, 1990–2015: a systematic analysis for the Global Burden of Disease Study 2015
2016-10
[6]
논문
Global, regional, and national life expectancy, all-cause mortality, and cause-specific mortality for 249 causes of death, 1980–2015: a systematic analysis for the Global Burden of Disease Study 2015
2016-10
[7]
논문
Global, regional, and national age-sex specific all-cause and cause-specific mortality for 240 causes of death, 1990–2013: a systematic analysis for the Global Burden of Disease Study 2013
2015-01
[8]
논문
Acute pancreatitis
https://unsworks.uns[...]
2015-07
[9]
논문
Chronic pancreatitis, a comprehensive review and update. Part I: epidemiology, etiology, risk factors, genetics, pathophysiology, and clinical features
2014-12
[10]
논문
Laparostomy management using the ABThera™ open abdomen negative pressure therapy system in a grade IV open abdomen secondary to acute pancreatitis
2013-04
[11]
EMedicine
Pancreatic abscess
[12]
웹사이트
Pancreatitis
http://digestive.nid[...]
U.S. National Institute of Diabetes and Digestive and Kidney Diseases
2008-07
[13]
웹사이트
Pancreatitis
http://www.umm.edu/a[...]
A.D.A.M., Inc.
[14]
논문
Pancreas: alcoholic pancreatitis—it's the alcohol, stupid
2009-06
[15]
논문
Alcohol consumption, cigarette smoking, and the risk of recurrent acute and chronic pancreatitis
2009-06
[16]
웹사이트
Pancreatitis Explained
http://www.betterhea[...]
State Government of Victoria
[17]
논문
National statistics for diet, alcohol consumption, and chronic pancreatitis in England and Wales, 1960–88
1991-11
[18]
논문
Hypertriglyceridemia-induced pancreatitis: updated review of current treatment and preventive strategies
2018-12
[19]
웹사이트
Causes of pancreatitis (mnemonic)
https://radiopaedia.[...]
2021-06-26
[20]
논문
Drug-induced acute pancreatitis
2008-01
[21]
논문
Drug-induced acute pancreatitis: a review
2015
[22]
논문
Pancreatitis associated with atypical antipsychotics: from the Food and Drug Administration's MedWatch surveillance system and published reports
http://www.medscape.[...]
2003-09
[23]
논문
Review of Infectious Etiology of Acute Pancreatitis
2017-06
[24]
논문
Infectious causes of acute pancreatitis
1996-11
[25]
논문
Infectious cases of acute pancreatitis
http://www.annalsgas[...]
2000
[26]
논문
Increased risk of acute pancreatitis and biliary disease observed in patients with type 2 diabetes: a retrospective cohort study
http://care.diabetes[...]
2009-05
[27]
논문
Extracorporeal shock wave lithotripsy for obstructing pancreatic duct calculi
1997-08
[28]
웹사이트
Genetic Testing for Pancreatitis
http://www.touchalim[...]
[29]
웹사이트
Clinical manifestations and diagnosis of acute pancreatitis
http://www.uptodate.[...]
[30]
서적
Gastroenterology, Hepatology, & Endoscopy
[31]
서적
Medicine
https://archive.org/[...]
McGraw-Hill
2005-02-16
[32]
서적
Hospitalist Handbook
Department of Medicine University of California, San Francisco
[33]
논문
Imaging of acute pancreatitis and its complications. Part 1: Acute pancreatitis
2015-02-01
[34]
논문
Effects of morphine on the human sphincter of Oddi
1988-10
[35]
논문
Early Versus Delayed Feeding in Patients With Acute Pancreatitis: A Systematic Review
2017-06
[36]
논문
Meta-analysis of randomized clinical trials of early versus delayed cholecystectomy for mild gallstone pancreatitis
2019-10
[37]
웹사이트
Symptoms and Signs of Acute and Chronic Pancreatitis Differences
https://www.emedicin[...]
[38]
논문
Enteral nutrition within 48 hours of admission improves clinical outcomes of acute pancreatitis by reducing complications: a meta-analysis
2013-06-06
[39]
논문
Current management and novel insights in acute pancreatitis
2009-08
[40]
논문
Diagnosis and management of acute pancreatitis
http://www.aafp.org/[...]
2000-07
[41]
논문
Prediction of severity in acute pancreatitis: prospective comparison of three prognostic indices
1985-08
[42]
논문
Comparison of BISAP, Ranson's, APACHE-II, and CTSI scores in predicting organ failure, complications, and mortality in acute pancreatitis
2010-02
[43]
서적
Harrison's Principles of Internal Medicine
McGraw Hill Professional
[44]
논문
The socio-economic impact of chronic pancreatitis: a systematic review
2014-06
[45]
논문
Direct Costs of Acute Recurrent and Chronic Pancreatitis in Children in the INSPPIRE Registry
2016-03
[46]
웹사이트
8 Toxic Foods for Dogs
http://www.consumerr[...]
2016-07-30
[47]
논문
Hypertriglyceridemia-induced pancreatitis: updated review of current treatment and preventive strategies
2018-12
[48]
논문
Direct Costs of Acute Recurrent and Chronic Pancreatitis in Children in the INSPPIRE Registry
2016-03
본 사이트는 AI가 위키백과와 뉴스 기사,정부 간행물,학술 논문등을 바탕으로 정보를 가공하여 제공하는 백과사전형 서비스입니다.
모든 문서는 AI에 의해 자동 생성되며, CC BY-SA 4.0 라이선스에 따라 이용할 수 있습니다.
하지만, 위키백과나 뉴스 기사 자체에 오류, 부정확한 정보, 또는 가짜 뉴스가 포함될 수 있으며, AI는 이러한 내용을 완벽하게 걸러내지 못할 수 있습니다.
따라서 제공되는 정보에 일부 오류나 편향이 있을 수 있으므로, 중요한 정보는 반드시 다른 출처를 통해 교차 검증하시기 바랍니다.
문의하기 : help@durumis.com