아밀로이드 베타
"오늘의AI위키"의 AI를 통해 더욱 풍부하고 폭넓은 지식 경험을 누리세요.
1. 개요
아밀로이드 베타(Aβ)는 아직 명확하게 밝혀지지 않은 정상적인 기능을 가지며, 알츠하이머병과 가장 밀접하게 관련된 단백질이다. Aβ는 뇌에서 대사 노폐물을 제거하는 림프관 시스템에 의해 제거되며, 키나아제 활성화, 산화 스트레스 방어 등 다양한 기능을 할 수 있다고 여겨진다. 알츠하이머병 환자 뇌에서 Aβ의 축적은 뇌 실질 및 혈관 아밀로이드의 주요 구성 요소이며, Aβ의 가용성 올리고머 형태가 질병 발병의 주요 원인 물질로 여겨진다. Aβ는 아밀로이드 전구체 단백질(APP)로부터 생성되며, Aβ를 표적으로 하는 면역 요법 연구가 진행 중이다. Aβ는 면역 염색, ELISA, 원자 간력 현미경 등 다양한 방법으로 측정할 수 있다.
더 읽어볼만한 페이지
- 아밀로이드증 - 갑상샘수질암
갑상선수질암은 갑상선 C세포에서 기원하여 칼시토닌을 과다하게 생성하며, 갑상선 결절, 경부 림프절 비대 등의 증상을 보이고, RET 유전자 돌연변이와 관련이 있으며, 수술, 방사선 치료, 단백질 키나아제 억제제 등으로 치료한다. - 인간 21번 염색체상 유전자 - PCBP3
- 인간 21번 염색체상 유전자 - 초과산화물 불균등화효소
초과산화물 불균등화효소(SOD)는 초과산화물 라디칼의 불균등화 반응을 촉매하여 세포 내 활성 산소를 제거하는 항산화 효소이며, 금속 보조 인자에 따라 다양한 유형으로 분류되고 여러 질병과 관련되어 의학 및 화장품 용도로 활용된다. - 알츠하이머병 - 알로이스 알츠하이머
알로이스 알츠하이머는 독일의 정신과 의사이자 신경병리학자로, 아밀로이드 플라크와 신경 원섬유 엉킴을 발견하여 알츠하이머병의 주요 특징을 밝혀냈으며, 브로츠와프 대학교에서 정신과 교수로 재직하다가 심부전으로 사망했다. - 알츠하이머병 - 김영수 (1978년)
김영수(1978년)는 알츠하이머병 진단 및 치료 기술 개발에 주력하며 연세대학교 교수 및 아밀로이드솔루션(주)의 최고 과학 책임자(CSO)를 겸임하고 있는 대한민국의 화학자이자 생명과학자이다.
2. 정상 기능
Aβ의 정상적인 기능은 아직 명확하게 밝혀지지 않았다.[8] 일부 동물 연구에서는 Aβ가 없어도 뚜렷한 생리적 기능 손실이 나타나지 않았지만,[9][10] Aβ의 여러 잠재적 활동이 발견되었다. 여기에는 키나아제 효소 활성화,[11][12] 산화 스트레스 방어,[13][14] 콜레스테롤 수송 조절,[15][16] 전사 인자로의 작용,[17][18] 항미생물 활성(Aβ의 염증 유발 활성과 연관될 수 있음) 등이 있다.[19][20][21]
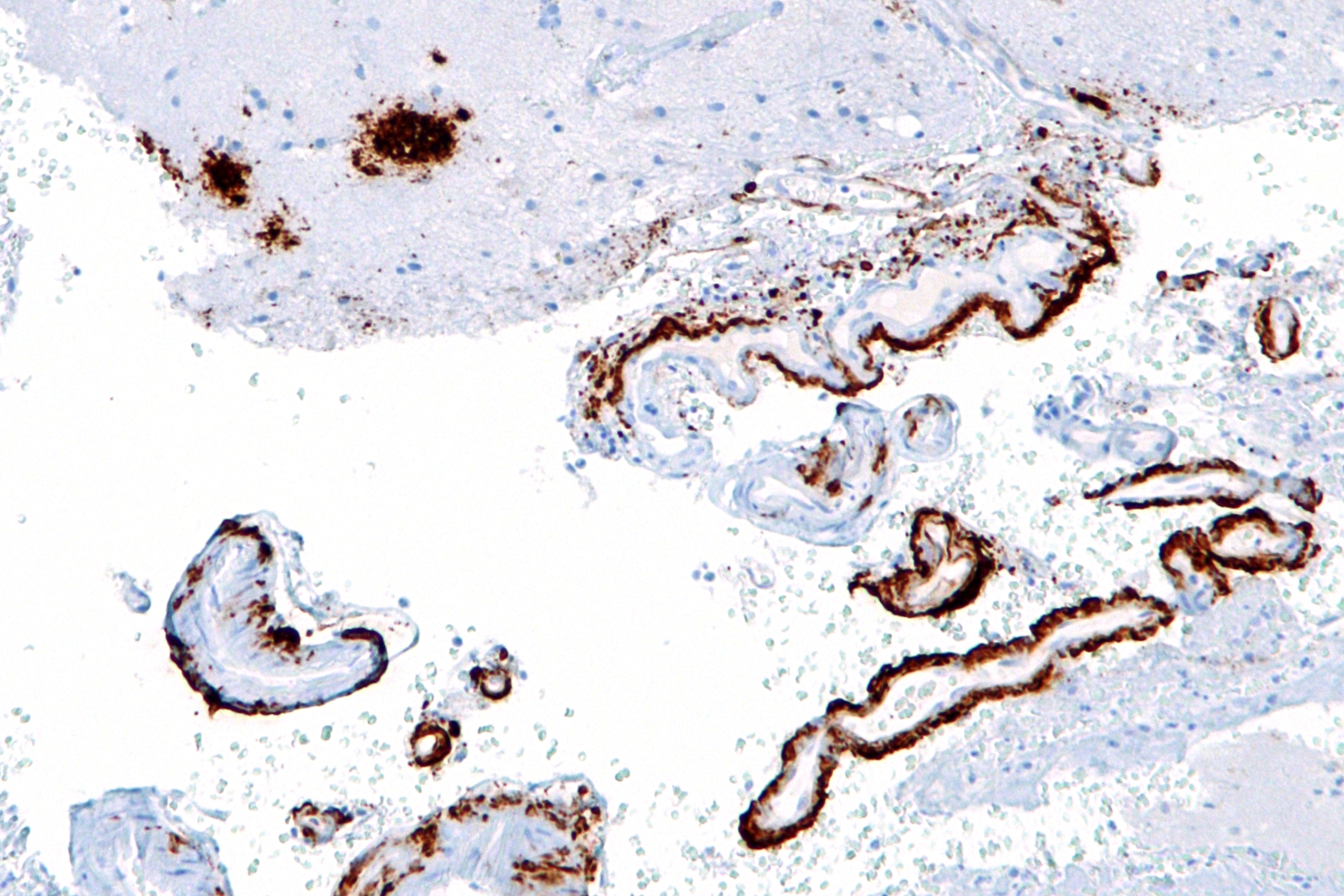
Aβ는 알츠하이머병 환자의 뇌에서 발견되는 세포 외 침착물인 아밀로이드 플라크의 주요 구성 성분이다.[27] Aβ는 뇌 아밀로이드 혈관병증에서 뇌 혈관을 따라 늘어선 침착물을 형성할 수도 있다. 아밀로이드 플라크는 Aβ 단백질 올리고머의 엉킴[28]과 아밀로이드 섬유라고 불리는 규칙적으로 정렬된 응집체[29]로 구성된다.
림프관 시스템은 포유류 뇌에서 대사 노폐물, 특히 아밀로이드 베타를 제거한다.[22] 유전적 연구와 생화학적 연구를 통해 여러 프로테아제가 아밀로이드 베타의 인식 및 분해에 관여하는 것으로 밝혀졌으며, 여기에는 인슐린 분해 효소[23]와 전서열 프로테아제가 포함된다.[24] 수면 중에는 제거 속도가 현저하게 증가한다.[25] 그러나 알츠하이머병에서 림프관 시스템이 Aβ 제거에 미치는 영향은 알려지지 않았다.[26]
3. 질병과의 관련성
Aβ는 혈장, 뇌척수액(CSF) 및 뇌 간질액(ISF)에서 주로 가용성 Aβ40으로 순환한다.[32][37] 아밀로이드 플라크는 Aβ40과 Aβ42를 모두 포함하며,[38] 혈관 아밀로이드는 주로 더 짧은 Aβ40이다. 여러 Aβ 서열이 두 병변에서 발견되었다.[39][40]
Aβ42는 더 소수성인 특성으로 인해 펩타이드의 가장 아밀로이드 생성 형태이다. 중심 서열 KLVFFAE는 그 자체로 아밀로이드를 형성하는 것으로 알려져 있으며, 아마도 섬유의 핵심을 형성할 것이다. 한 연구는 뇌의 Aβ42 수치가 알츠하이머병 발병뿐만 아니라 뇌척수액 압력 감소와도 관련이 있음을 보여주며, Aβ42 조각의 축적 또는 제거 불능이 병리에 역할을 할 수 있음을 시사한다.[42]
루이소체 치매와 봉입체 근염에서도 유사한 플라크가 나타나며, 뇌 아밀로이드 혈관병증에서는 Aβ가 뇌 혈관을 덮는 응집체를 형성한다.
3. 1. 알츠하이머병
연구에 따르면 아밀로이드 베타의 가용성 올리고머 형태가 알츠하이머병 발병의 원인 물질일 수 있다.[30] 일반적으로 Aβ 올리고머가 가장 독성이 강하다고 여겨진다.[31] Aβ는 뇌 실질 및 혈관 아밀로이드의 주요 구성 요소이며, 뇌혈관 병변에 기여하고 신경 독성이 있다.[32][33][34]
Aβ가 중추 신경계에 어떻게 축적되어 세포 질환을 일으키는지는 아직 완전히 밝혀지지 않았다. Aβ 전구체 단백질(APP)로부터 Aβ를 생성하는 효소인 감마- 및 베타-세크레타제와 Aβ 생성 기전에 대한 연구가 활발히 진행되고 있다.[35][36]
총 Aβ 수치 또는 Aβ40과 Aβ42의 상대적 농도 증가는 가족성 및 산발성 알츠하이머병의 병인과 관련이 있다.[41] '아밀로이드 가설'은 플라크가 알츠하이머병의 병리를 담당한다는 가설이지만, 결정적으로 확립되지는 않았다. 대안 가설은 플라크보다는 아밀로이드 올리고머가 질병을 유발한다는 것이다.[31][43]
3. 2. 암
아밀로이드 베타(Aβ)가 암 발병에 관여한다는 연구가 진행되었고, 그 가능한 영향의 성격을 규명하기 위해 다양한 암에 대한 연구가 수행되었지만, 결과는 대체로 결정적이지 않다. Aβ 수치는 식도암, 대장암, 폐암, 간암 등 여러 암과 관련하여 평가되었는데, 이러한 암 생존자들에게서 알츠하이머병 발병 위험 감소가 관찰되었다. 모든 암이 증가된 Aβ 수치와 양의 상관관계를 보이는 것으로 나타났으며, 특히 간암에서 두드러졌다.[44] 그러나 이러한 연관성의 방향성은 아직 확립되지 않았다. 인간 유방암 세포주에 초점을 맞춘 연구에서는 이러한 암세포에서 아밀로이드 전구 단백질의 발현 수준이 증가하는 것이 확인되었다.[45]
3. 3. 다운 증후군
성인 다운 증후군 환자는 인지 기능, 기억력, 미세 운동 능력, 집행 기능 및 시공간 기술 저하를 포함하여 알츠하이머병과 유사한 아밀로이드 축적을 보였다.[46]
4. Aβ 형성
Aβ는 막단백질인 아밀로이드 전구 단백질(APP)이 순차적으로 분해되면서 형성된다. APP는 α-, β-, γ-세크레타제에 의해 절단될 수 있으며, Aβ는 β- 및 γ-세크레타제의 연속적인 작용에 의해 생성된다.[132] γ-세크레타제는 APP의 막 횡단 영역 내에서 절단하며, 30-51개의 아미노산 잔기 길이를 가진 여러 가지 동형체를 생성한다.[47] 가장 흔한 동형체는 Aβ40과 Aβ42이다. 더 긴 형태인 Aβ42는 주로 소포체에서 절단되는 반면, 더 짧은 형태인 Aβ40은 트랜스-골지체 네트워크에서 절단된다.[48] Aβ40이 더 일반적인 형태로 생산되지만, Aβ42가 섬유 형성(fibrillogenic)이 더 강하고 질병과 더 관련이 있는 것으로 알려져 있다. 알츠하이머병의 조기 발병과 관련된 APP의 돌연변이는 Aβ42의 상대적 생산량을 증가시키는 것으로 알려져 있으며, 이는 β-세크레타제와 γ-세크레타제의 활성을 조절하여 주로 Aβ40을 생성하도록 하는 것이 알츠하이머병 치료법이 될 수 있음을 시사한다.[134]
5. 유전학
아밀로이드 전구체 단백질(APP)의 상염색체 우성 돌연변이는 유전성 조발성 알츠하이머병(fAD)을 유발한다.[49] 이 형태의 알츠하이머병(AD)은 전체 사례의 10% 이하를 차지하며, 대부분의 알츠하이머병은 이러한 돌연변이를 동반하지 않는다.[49] 가족성 알츠하이머병은 변형된 단백질 분해 과정의 결과일 가능성이 높다.[50] 이는 fAD를 유발하는 많은 돌연변이가 APP의 γ-세크레테이스(감마 세크레타제) 절단 부위 근처에서 발생한다는 사실로 알 수 있다.[50]
APP 유전자는 21번 염색체에 위치하므로,[54] 다운 증후군 환자는 알츠하이머병 발생률이 매우 높다.[54]
6. 구조 및 독성
아밀로이드 베타는 일반적으로 내재적 비정형 단백질로 여겨지는데, 이는 용액 상태에서 독특한 3차 구조를 갖지 않고 여러 구조를 형성한다는 것을 의미한다. 따라서 아밀로이드 베타는 결정화될 수 없으며, 이에 대한 대부분의 구조적 정보는 핵자기 공명(NMR)과 분자 역학 연구를 통해 얻어졌다.[55] 초기 NMR 연구에서는 아밀로이드 베타(Aβ 10-35)에서 유래한 26개 아미노산 폴리펩타이드가 유의미한 이차 구조를 포함하지 않는 붕괴된 코일 구조를 보였다.[55] 그러나 2012년에 발표된 아밀로이드 베타 1-40의 NMR 구조는 상당한 이차 및 삼차 구조를 가지고 있는 것으로 나타났다.[56]
복제 교환 분자 역학 연구에 따르면, 아밀로이드 베타는 실제로 여러 개의 개별적인 구조적 상태를 가질 수 있다.[57] 더 최근의 연구에서는 통계적 분석을 통해 다수의 개별적인 컨포메이션 클러스터를 확인했다.[58] NMR 유도 시뮬레이션에서는 아밀로이드 베타 1-40과 아밀로이드 베타 1-42가 매우 다른 컨포메이션 상태를 가지는 것으로 나타났으며,[59] 특히 아밀로이드 베타 1-42의 C-말단이 1-40 단편보다 더 구조화되어 있다.
저온 및 저염 조건에서는 베타 구조가 없는 5량체 원반 모양 올리고머를 분리할 수 있었다.[60] 반면, 계면활성제가 있는 상태에서 제조된 가용성 올리고머는 섬유와는 다른, 혼합된 평행 및 역평행 특성을 가진 상당한 베타 시트 함량을 특징으로 하는 것으로 보인다.[61]
가용성 올리고머 상태의 아밀로이드 베타 펩타이드가 알츠하이머병의 발병 원인 인자일 가능성이 제기되었으며,[101][102] 아밀로이드 베타의 올리고머가 가장 독성이 높다고 일반적으로 여겨진다.[103] 가용성 비섬유성 아밀로이드 베타가 세포막에 이온 채널을 형성하여 신경 세포로 칼슘 이온이 무질서하게 유입되도록 하며,[104] 이것이 알츠하이머병에서 나타나는 칼슘 이온 항상성 파탄과 세포자멸사의 근본 원인이라고 추정된다.[105][106]
아밀로이드 베타가 신경을 손상시키고 세포 사멸을 일으키는 기전으로는 자기 응집 과정에서의 활성산소 생성도 제안되었다. 시험관 내(In vitro) 실험에서 이러한 현상이 신경 세포막에서 발생하면 지질 과산화 반응이 일어나 4-Hydroxynonenal|4-히드록시노네날영어이라는 유독성 알데히드가 생성되고, 이는 이온 구동성 ATP 아제, 포도당 수송체, 글루탐산 수송체의 기능을 손상시킨다. 결과적으로 아밀로이드 베타는 신경 세포막의 탈분극, 칼슘의 과도한 유입, 미토콘드리아 손상을 촉진한다.[147]
7. 면역 요법 연구
면역 요법은 숙주 면역계를 자극하여 Aβ를 인식하고 공격하게 하거나, 플라크 축적을 방지하거나 플라크 또는 Aβ 올리고머의 제거를 촉진하는 항체를 제공하는 치료 방법이다.[63][64] Aβ의 올리고머화 방지는 능동 또는 수동 Aβ 면역화로 예시되어 왔다. 이 과정에서 Aβ에 대한 항체를 사용하여 뇌 플라크 수준을 감소시키는데, 이는 미세아교세포의 제거를 촉진하거나 뇌에서 전신 순환으로 펩타이드를 재분배함으로써 이루어진다. 임상 시험에서 테스트된 Aβ 표적 항체에는 아두카누맙, 바피네주맙, 크레네주맙, 간테네루맙, 레카네맙, 솔라네주맙이 있다.[150][151]
하지만, 문헌 검토에서는 면역 요법의 유효성에 의문을 제기하고 있다. 10가지 종류의 항Aβ42 항체를 조사한 연구에서는, 각 시험에서 최소한의 인지 보호 효과밖에 얻지 못했다는 것이 나타났으며, 이는 시험이 행해진 시점에서는 증상이 너무 진행되었기 때문이라고 생각된다. 따라서 무증상 환자에게 적용하여 질병의 진행 초기에 있어서의 유효성을 평가하기 위해서는 추가적인 개발이 여전히 필요하다.[154]
8. Aβ 측정
피츠버그 화합물 B(6-OH-BTA-1, 티오플라빈)를 포함한 영상 화합물은 시험관 내 및 생체 내에서 아밀로이드 베타에 선택적으로 결합할 수 있다. 이 기술은 PET 영상과 결합하여 알츠하이머병 환자의 플라크 침착 부위를 영상화하는 데 사용된다.[65]
아밀로이드 베타는 면역 염색을 통해 반정량적으로 측정할 수 있으며, 위치를 결정하는 데에도 도움이 된다. 아밀로이드 베타는 뇌 아밀로이드 혈관병증에서와 같이 주로 혈관 내에 존재하거나, 백색질 내의 아밀로이드 반점에 위치할 수 있다.[66]
ELISA는 아밀로이드 베타를 인식하는 한 쌍의 항체를 사용하는 면역 흡착 분석법으로, 민감한 방법 중 하나이다.[67][68]
나노미터 크기의 분자 표면을 시각화할 수 있는 원자력 현미경은 아밀로이드 베타의 시험관 내 응집 상태를 결정하는 데 사용될 수 있다.[69]
이중 편광 간섭법은 섬유가 길어짐에 따라 분자 크기와 밀도를 측정하여 응집의 초기 단계를 측정할 수 있는 광학 기술이다.[72][73] 이러한 응집 과정은 지질 이중층 구조에서도 연구할 수 있다.[74]
참조
[1]
논문
The amyloid beta peptide: a chemist's perspective. Role in Alzheimer's and fibrillization
https://centaur.read[...]
2012-10
[2]
논문
Regulation of beta-amyloid production in neurons by astrocyte-derived cholesterol
2021-08
[3]
논문
Selective suppression of oligodendrocyte-derived amyloid beta rescues neuronal dysfunction in Alzheimer's disease
2024-07
[4]
논문
Soluble protein oligomers in neurodegeneration: lessons from the Alzheimer's amyloid beta-peptide
2007-02
[5]
논문
Alzheimer disease: a tale of two prions
2013-01
[6]
논문
Ubiquitous amyloids
2012-04
[7]
논문
Origins of amyloid-β
2013-04
[8]
논문
Functional roles of amyloid-beta protein precursor and amyloid-beta peptides: evidence from experimental studies
[9]
논문
Beta-amyloid exhibits antagonistic effects on alpha 7 nicotinic acetylcholine receptors in orchestrated manner
[10]
논문
BACE1 (beta-secretase) knockout mice do not acquire compensatory gene expression changes or develop neural lesions over time
2003-10
[11]
논문
Targeting the JNK MAPK cascade for inhibition: basic science and therapeutic potential
2004-03
[12]
논문
Signaling effect of amyloid-beta(42) on the processing of AbetaPP
2010-01
[13]
논문
A novel function of monomeric amyloid beta-protein serving as an antioxidant molecule against metal-induced oxidative damage
2002-06
[14]
논문
Abeta40, either soluble or aggregated, is a remarkably potent antioxidant in cell-free oxidative systems
2009-05
[15]
논문
Function of beta-amyloid in cholesterol transport: a lead to neurotoxicity
2002-10
[16]
논문
Amyloid beta-protein stimulates trafficking of cholesterol and caveolin-1 from the plasma membrane to the Golgi complex in mouse primary astrocytes
2009-08
[17]
논문
The Alzheimer's amyloid β-peptide (Aβ) binds a specific DNA Aβ-interacting domain (AβID) in the APP, BACE1, and APOE promoters in a sequence-specific manner: characterizing a new regulatory motif
2011-11
[18]
논문
Functional activity of the novel Alzheimer's amyloid β-peptide interacting domain (AβID) in the APP and BACE1 promoter sequences and implications in activating apoptotic genes and in amyloidogenesis
2011-11
[19]
논문
Antimicrobial properties of amyloid peptides
2012-04
[20]
논문
Antimicrobial peptides in the brain: neuropeptides and amyloid
2012-06
[21]
논문
Amyloid, tau, pathogen infection and antimicrobial protection in Alzheimer's disease -conformist, nonconformist, and realistic prospects for AD pathogenesis
2018
[22]
논문
A paravascular pathway facilitates CSF flow through the brain parenchyma and the clearance of interstitial solutes, including amyloid β
2012-08
[23]
논문
Structures of human insulin-degrading enzyme reveal a new substrate recognition mechanism
2006-10
[24]
논문
Molecular basis of substrate recognition and degradation by human presequence protease
2014-07
[25]
논문
Sleep drives metabolite clearance from the adult brain
2013-10
[26]
논문
Clearance systems in the brain-implications for Alzheimer disease
2015-08
[27]
논문
Amyloid-beta: a crucial factor in Alzheimer's disease
[28]
논문
Label-free vibrational imaging of different Aβ plaque types in Alzheimer's disease reveals sequential events in plaque development
2020-12
[29]
논문
Assembly of β-Amyloid Aggregates at the Molecular Level
[30]
논문
Amyloid-beta protein dimers isolated directly from Alzheimer's brains impair synaptic plasticity and memory
2008-08
[31]
논문
The toxicity of amyloid β oligomers
[32]
논문
Amyloidosis and Alzheimer's disease
2002-12
[33]
논문
Clearing the brain's amyloid cobwebs
2001-10
[34]
논문
Genetic dissection of Alzheimer's disease and related dementias: amyloid and its relationship to tau
1998-09
[35]
논문
Beta-secretase cleavage of Alzheimer's amyloid precursor protein by the transmembrane aspartic protease BACE
https://escholarship[...]
1999-10
[36]
논문
Beta-secretase (BACE) as a drug target for Alzheimer's disease
2002-12
[37]
서적
Transport-clearance hypothesis for Alzheimer's disease and potential therapeutic implications
https://www.ncbi.nlm[...]
Landes Bioscience
[38]
논문
Amyloid plaque core protein in Alzheimer disease and Down syndrome
1985-06
[39]
논문
The length of amyloid-beta in hereditary cerebral hemorrhage with amyloidosis, Dutch type. Implications for the role of amyloid-beta 1-42 in Alzheimer's disease
1996-12
[40]
논문
beta-Amyloid-(1-42) is a major component of cerebrovascular amyloid deposits: implications for the pathology of Alzheimer disease
1993-11
[41]
논문
Soluble amyloid beta peptide concentration as a predictor of synaptic change in Alzheimer's disease
1999-09
[42]
논문
Levels of amyloid-beta-42 and CSF pressure are directly related in patients with Alzheimer's disease
2017-12
[43]
논문
Common structure of soluble amyloid oligomers implies common mechanism of pathogenesis
2003-04
[44]
논문
Plasma Amyloid-Beta Levels in Patients with Different Types of Cancer
2017-02
[45]
논문
Amyloid-β precursor protein promotes cell proliferation and motility of advanced breast cancer
2014-12
[46]
논문
Cognitive decline and brain amyloid-β accumulation across 3 years in adults with Down syndrome
2017-10
[47]
논문
Characterization of intermediate steps in amyloid beta (Aβ) production under near-native conditions
2014-01
[48]
논문
Distinct sites of intracellular production for Alzheimer's disease A beta40/42 amyloid peptides
1997-09
[49]
논문
2008 Alzheimer's disease facts and figures
2008-03
[50]
논문
Pathogenic APP mutations near the gamma-secretase cleavage site differentially affect Abeta secretion and APP C-terminal fragment stability
2001-08
[51]
논문
Early-onset Alzheimer's disease caused by mutations at codon 717 of the beta-amyloid precursor protein gene
1991-10
[52]
논문
Familial Alzheimer's disease with the amyloid precursor protein position 717 mutation and sporadic Alzheimer's disease have the same cytoskeletal pathology
1992-03
[53]
논문
Prominent amyloid plaque pathology and cerebral amyloid angiopathy in APP V717I (London) carrier - phenotypic variability in autosomal dominant Alzheimer's disease
2020-03
[54]
논문
Alzheimer's disease and Down's syndrome: sharing of a unique cerebrovascular amyloid fibril protein
1984-08
[55]
논문
The Alzheimer's peptide a beta adopts a collapsed coil structure in water
2000-06
[56]
논문
A partially folded structure of amyloid-beta(1-40) in an aqueous environment
2011-07
[57]
논문
Amyloid beta-protein monomer folding: free-energy surfaces reveal alloform-specific differences
2008-12
[58]
논문
Atomic-level characterization of the ensemble of the Aβ(1-42) monomer in water using unbiased molecular dynamics simulations and spectral algorithms
2011-01
[59]
논문
The Alzheimer's peptides Abeta40 and 42 adopt distinct conformations in water: a combined MD / NMR study
2007-05
[60]
논문
Structural conversion of neurotoxic amyloid-beta(1-42) oligomers to fibrils
2010-05
[61]
논문
Structural characterization of a soluble amyloid beta-peptide oligomer
2009-03
[62]
논문
Transmembrane structures for Alzheimer's Aβ(1-42) oligomers
2010-09
[63]
논문
Alzheimer's disease drug development pipeline: 2017
2017-09
[64]
논문
Passive Aβ Immunotherapy: Current Achievements and Future Perspectives
2018-05
[65]
논문
Imaging β-amyloid using [(18)F]flutemetamol positron emission tomography: from dosimetry to clinical diagnosis
2016-02
[66]
논문
Quantitative Analysis of Amyloid Deposition in Alzheimer Disease Using PET and the Radiotracer ¹¹C-AZD2184
2014-06
[67]
서적
Amyloid Proteins
[68]
서적
Amyloid Proteins
[69]
논문
In vitro characterization of conditions for amyloid-beta peptide oligomerization and fibrillogenesis
2003-03
[70]
서적
Biomedical Vibrational Spectroscopy
Wiley
2008
[71]
논문
Microspectroscopy (μFTIR) reveals co-localization of lipid oxidation and amyloid plaques in human Alzheimer disease brains
2014-12
[72]
논문
Impairments of hippocampal synaptic plasticity induced by aggregated beta-amyloid (25-35) are dependent on stimulation-protocol and genetic background
2007-06
[73]
논문
Monitoring the prevention of amyloid fibril formation by alpha-crystallin. Temperature dependence and the nature of the aggregating species
2007-12
[74]
논문
Insight into early events in the aggregation of the prion protein on lipid membranes
2009-10
[75]
논문
A partially folded structure of amyloid-beta(1-40) in an aqueous environment
2011-07
[76]
논문
The Amyloid Beta Peptide: A Chemist's Perspective. Role in Alzheimer's and Fibrillization
2012-10
[77]
논문
The dopaminergic system promotes neprilysin-mediated degradation of amyloid-β in the brain.
American Association for the Advancement of Science
2024-08-06
[78]
논문
Soluble protein oligomers in neurodegeneration: lessons from the Alzheimer's amyloid beta-peptide
2007-02
[79]
논문
Alzheimer disease: a tale of two prions
2013-01
[80]
논문
Ubiquitous amyloids
2012-04
[81]
논문
Origins of amyloid-β
2013-04
[82]
논문
Functional roles of amyloid-beta protein precursor and amyloid-beta peptides: evidence from experimental studies
[83]
논문
Beta-amyloid exhibits antagonistic effects on alpha 7 nicotinic acetylcholine receptors in orchestrated manner
[84]
논문
BACE1 (beta-secretase) knockout mice do not acquire compensatory gene expression changes or develop neural lesions over time
2003-10
[85]
논문
Targeting the JNK MAPK cascade for inhibition: basic science and therapeutic potential
2004-03
[86]
논문
Signaling effect of amyloid-beta(42) on the processing of AβPP
2010-01
[87]
논문
A novel function of monomeric amyloid beta-protein serving as an antioxidant molecule against metal-induced oxidative damage
2002-06
[88]
논문
Aβ40, either soluble or aggregated, is a remarkably potent antioxidant in cell-free oxidative systems
2009-05
[89]
논문
Function of beta-amyloid in cholesterol transport: a lead to neurotoxicity
2002-10
[90]
논문
Amyloid beta-protein stimulates trafficking of cholesterol and caveolin-1 from the plasma membrane to the Golgi complex in mouse primary astrocytes
2009-08
[91]
논문
The Alzheimer's amyloid β-peptide (Aβ) binds a specific DNA Aβ-interacting domain (AβID) in the APP, BACE1, and APOE promoters in a sequence-specific manner: characterizing a new regulatory motif
2011-11
[92]
논문
Functional activity of the novel Alzheimer's amyloid β-peptide interacting domain (AβID) in the APP and BACE1 promoter sequences and implications in activating apoptotic genes and in amyloidogenesis
2011-11
[93]
논문
Antimicrobial properties of amyloid peptides
2012-04
[94]
논문
Antimicrobial peptides in the brain: neuropeptides and amyloid
2012-06
[95]
논문
Amyloid, tau, pathogen infection and antimicrobial protection in Alzheimer's disease -conformist, nonconformist, and realistic prospects for AD pathogenesis
2018
[96]
논문
A paravascular pathway facilitates CSF flow through the brain parenchyma and the clearance of interstitial solutes, including amyloid β
2012-08
[97]
논문
Sleep drives metabolite clearance from the adult brain
2013-10
[98]
논문
Clearance systems in the brain-implications for Alzheimer disease
2015-08
[99]
논문
Amyloid-beta: a crucial factor in Alzheimer's disease
[100]
논문
Assembly of β-Amyloid Aggregates at the Molecular Level
[101]
논문
Amyloid-beta protein dimers isolated directly from Alzheimer's brains impair synaptic plasticity and memory
2008-08
[102]
논문
Differences between vascular and plaque core amyloid in Alzheimer's disease
1988-08
[103]
논문
The toxicity of amyloid β oligomers
[104]
논문
Alzheimer disease amyloid beta protein forms calcium channels in bilayer membranes: blockade by tromethamine and aluminum
1993-01
[105]
논문
Calcium signals induced by amyloid beta peptide and their consequences in neurons and astrocytes in culture
2004-12
[106]
논문
Beta-amyloid-induced calcium influx induces apoptosis in culture by oxidative stress rather than tau phosphorylation
2000-03
[107]
논문
Analytical model and multiscale simulations of Aβ peptide aggregation in lipid membranes: towards a unifying description of conformational transitions, oligomerization and membrane damage
2013-06
[108]
논문
On the physiological/pathological link between Aβ peptide, cholesterol, calcium ions and membrane deformation: A molecular dynamics study
2016-06
[109]
논문
Amyloidosis and Alzheimer's disease
2002-12
[110]
논문
Clearing the brain's amyloid cobwebs
2001-10
[111]
논문
Genetic dissection of Alzheimer's disease and related dementias: amyloid and its relationship to tau
1998-09
[112]
논문
Alzheimer diseases: a model of gene mutations and susceptibility polymorphisms for complex psychiatric diseases
1998-02
[113]
논문
Alzheimer's beta-amyloid peptides compete for insulin binding to the insulin receptor
2002-05
[114]
논문
Cell surface presenilin-1 participates in the gamma-secretase-like proteolysis of Notch
1999-12
[115]
논문
Gamma-secretase inhibitors and Alzheimer's disease
2002-12
[116]
논문
Beta-secretase cleavage of Alzheimer's amyloid precursor protein by the transmembrane aspartic protease BACE
1999-10
[117]
논문
Beta-secretase (BACE) as a drug target for Alzheimer's disease
2002-12
[118]
서적
Transport-clearance hypothesis for Alzheimer's disease and potential therapeutic implications
https://www.ncbi.nlm[...]
Landes Bioscience
[119]
논문
Amyloid plaque core protein in Alzheimer disease and Down syndrome
1985-06
[120]
논문
The length of amyloid-beta in hereditary cerebral hemorrhage with amyloidosis, Dutch type. Implications for the role of amyloid-beta 1-42 in Alzheimer's disease
1996-12
[121]
논문
beta-Amyloid-(1-42) is a major component of cerebrovascular amyloid deposits: implications for the pathology of Alzheimer disease
1993-11
[122]
논문
Amyloid beta-proteins 1-40 and 1-42(43) in the soluble fraction of extra- and intracranial blood vessels
1995-09
[123]
논문
Kinesin-mediated axonal transport of a membrane compartment containing beta-secretase and presenilin-1 requires APP
2001-12
[124]
논문
Soluble amyloid beta peptide concentration as a predictor of synaptic change in Alzheimer's disease
1999-09
[125]
논문
Self-assembly of short aβ(16-22) peptides: effect of terminal capping and the role of electrostatic interaction
https://www.ncbi.nlm[...]
2011-03-15
[126]
논문
Levels of amyloid-beta-42 and CSF pressure are directly related in patients with Alzheimer's disease
2017-12
[127]
논문
Common structure of soluble amyloid oligomers implies common mechanism of pathogenesis
2003-04
[128]
논문
Days to criterion as an indicator of toxicity associated with human Alzheimer amyloid-beta oligomers
2010-08
[129]
논문
Plasma Amyloid-Beta Levels in Patients with Different Types of Cancer
2017-02
[130]
논문
Amyloid-β precursor protein promotes cell proliferation and motility of advanced breast cancer
2014-12
[131]
논문
Cognitive decline and brain amyloid-β accumulation across 3 years in adults with Down syndrome
2017-10
[132]
논문
Characterization of intermediate steps in amyloid beta (Aβ) production under near-native conditions
2014-01
[133]
논문
Distinct sites of intracellular production for Alzheimer's disease A beta40/42 amyloid peptides
1997-09
[134]
논문
"{gamma}-Secretase Substrate Concentration Modulates the Abeta42/Aβ40 Ratio: IMPLICATIONS FOR ALZHEIMER DISEASE"
2007-08
[135]
논문
Dysregulated Metabolism of the Amyloid-β Protein and Therapeutic Approaches in Alzheimer Disease
2017-12
[136]
논문
The Alzheimer's amyloid-degrading peptidase, neprilysin: can we control it?
[137]
논문
2008 Alzheimer's disease facts and figures
2008-03
[138]
논문
Alzheimer's disease and Down's syndrome: sharing of a unique cerebrovascular amyloid fibril protein
1984-08
[139]
논문
The Alzheimer's peptide a beta adopts a collapsed coil structure in water
2000-06
[140]
논문
A partially folded structure of amyloid-beta(1-40) in an aqueous environment
2011-07
[141]
논문
Amyloid beta-protein monomer folding: free-energy surfaces reveal alloform-specific differences
2008-12
[142]
논문
Atomic-level characterization of the ensemble of the Aβ(1-42) monomer in water using unbiased molecular dynamics simulations and spectral algorithms
2011-01
[143]
논문
The Alzheimer's peptides Aβ40 and 42 adopt distinct conformations in water: a combined MD / NMR study
2007-05
[144]
논문
Structural conversion of neurotoxic amyloid-beta(1-42) oligomers to fibrils
2010-05
[145]
논문
Structural characterization of a soluble amyloid beta-peptide oligomer
2009-03
[146]
논문
Transmembrane structures for Alzheimer's Aβ(1-42) oligomers
2010-09
[147]
논문
Pathways towards and away from Alzheimer's disease
2004-08
[148]
논문
2+ Influx into Lipid Vesicles Induced by Protein Aggregates
2017-06
[149]
논문
Strategies for disease modification in Alzheimer's disease
2004-09
[150]
논문
Alzheimer's disease drug development pipeline: 2017
2017-09
[151]
논문
Passive Aβ Immunotherapy: Current Achievements and Future Perspectives
2018-05
[152]
웹사이트
エーザイ、製品化目前の認知症薬を開発中止
https://www.nikkei.c[...]
2019-03-21
[153]
웹사이트
アデュカヌマブ中止も「知見を将来に」バイオジェン・スレイク社長 SMA、今後もスピンラザが基礎
https://nk.jiho.jp/a[...]
2019-06-03
[154]
논문
Lessons from Anti-Amyloid-β Immunotherapies in Alzheimer Disease: Aiming at a Moving Target
2017
[155]
논문
New class of inhibitors of amyloid-beta fibril formation. Implications for the mechanism of pathogenesis in Alzheimer's disease
2002-11
[156]
논문
Inhibition of Alzheimer's amyloid-beta aggregation in-vitro by carbenoxolone: Insight into mechanism of action
2017-09
[157]
논문
Synthesis of (-)-5,8-dihydroxy-3R-methyl-2R-(dipropylamino)-1,2,3,4-tetrahydronaphthalene: an inhibitor of beta-amyloid(1-42) aggregation
2002-11
[158]
논문
A cholesterol-lowering drug reduces beta-amyloid pathology in a transgenic mouse model of Alzheimer's disease
2001-10
[159]
논문
Contribution by synaptic zinc to the gender-disparate plaque formation in human Swedish mutant APP transgenic mice
2002-05
[160]
논문
L-Norvaline Reverses Cognitive Decline and Synaptic Loss in a Murine Model of Alzheimer's Disease
null
2018-10
[161]
논문
Inhibition of amyloid-induced toxicity by ergothioneine in a transgenic Caenorhabditis elegans model
null
2019-08
[162]
논문
Imaging β-amyloid using [(18)F]flutemetamol positron emission tomography: from dosimetry to clinical diagnosis
2016-02
[163]
논문
Quantitative Analysis of Amyloid Deposition in Alzheimer Disease Using PET and the Radiotracer ¹¹C-AZD2184
2014-06
[164]
서적
Tissue processing prior to analysis of Alzheimer's disease associated proteins and metabolites, including Aβ
[165]
서적
Aβ measurement by enzyme-linked immunosorbent assay
[166]
논문
In vitro characterization of conditions for amyloid-beta peptide oligomerization and fibrillogenesis
2003-03
[167]
논문
Impairments of hippocampal synaptic plasticity induced by aggregated beta-amyloid (25-35) are dependent on stimulation-protocol and genetic background
2007-06
[168]
논문
Monitoring the prevention of amyloid fibril formation by alpha-crystallin. Temperature dependence and the nature of the aggregating species
2007-12
[169]
논문
Insight into early events in the aggregation of the prion protein on lipid membranes
2009-10
[170]
논문
A highly sensitive plasma-based amyloid-β detection system through medium-changing and noise cancellation system for early diagnosis of the Alzheimer's disease
2017-08
[171]
논문
A partially folded structure of amyloid-beta(1-40) in an aqueous environment
2011-07
[172]
논문
The Amyloid Beta Peptide: A Chemist’s Perspective. Role in Alzheimer’s and Fibrillization
null
[173]
논문
Alzheimer disease: a tale of two prions
2013-01
[174]
논문
Ubiquitous amyloids
2012-04
[175]
논문
Origins of amyloid-β
2013-04
[176]
웹인용
"포커스{{!}} 흔들리는 '베타 아밀로이드 가설'…찻잔속 태풍일까"
http://www.dementian[...]
2022-08-22
본 사이트는 AI가 위키백과와 뉴스 기사,정부 간행물,학술 논문등을 바탕으로 정보를 가공하여 제공하는 백과사전형 서비스입니다.
모든 문서는 AI에 의해 자동 생성되며, CC BY-SA 4.0 라이선스에 따라 이용할 수 있습니다.
하지만, 위키백과나 뉴스 기사 자체에 오류, 부정확한 정보, 또는 가짜 뉴스가 포함될 수 있으며, AI는 이러한 내용을 완벽하게 걸러내지 못할 수 있습니다.
따라서 제공되는 정보에 일부 오류나 편향이 있을 수 있으므로, 중요한 정보는 반드시 다른 출처를 통해 교차 검증하시기 바랍니다.
문의하기 : help@durumis.com
