알츠하이머병
"오늘의AI위키"의 AI를 통해 더욱 풍부하고 폭넓은 지식 경험을 누리세요.
1. 개요
알츠하이머병은 진행성 뇌 질환으로, 기억력과 인지 기능의 점진적인 저하를 특징으로 한다. 1901년 알로이스 알츠하이머에 의해 처음 확인되었으며, 65세 이후에 발병하는 만발형과 65세 이전에 발병하는 조발형으로 나뉜다. 알츠하이머병의 원인은 아직 완전히 밝혀지지 않았지만, 아밀로이드 플라크와 신경원섬유 엉킴, 타우 단백질의 이상과 관련된 여러 가설이 제시되어 있다. 질병은 초기에는 기억력 감퇴로 시작하여 혼란, 언어 장애, 행동 변화를 거쳐 신체 기능 상실로 이어진다. 현재는 증상 완화 치료만 가능하며, 약물 치료, 비약물 치료 및 간병을 통해 관리된다. 알츠하이머병은 사회적 비용이 높고 간병 부담이 크며, 다양한 미디어에서 다뤄지고 있다. 아밀로이드 베타 축적을 억제하는 기전을 중심으로 치료법 개발 연구가 활발히 진행 중이다.
더 읽어볼만한 페이지
- 치매 - 혈관성 치매
혈관성 치매는 뇌혈관 질환으로 뇌 조직 손상으로 인해 인지 기능이 저하되는 치매 유형으로, 기억력 감퇴, 운동 장애, 행동 변화, 언어 문제 등의 증상을 보이며, 심혈관계 질환 및 생활 습관, 유전자형 등이 위험 요인이고, 기저 질환 관리로 진행을 늦추고 증상을 완화하는 것을 목표로 한다. - 치매 - 실행증
뇌 손상으로 의도적인 동작 수행에 어려움을 겪는 실행증은 손상 부위에 따라 여러 유형으로 나뉘며, 재활 치료를 통해 개선될 수 있는 신경학적 증상이다. - 실어증 - 실행증
뇌 손상으로 의도적인 동작 수행에 어려움을 겪는 실행증은 손상 부위에 따라 여러 유형으로 나뉘며, 재활 치료를 통해 개선될 수 있는 신경학적 증상이다. - 실어증 - 외국어 말투 증후군
외국어 말투 증후군은 뇌졸중 등 뇌 손상으로 인해 모국어를 외국 억양처럼 구사하게 되는 희귀한 언어 장애이다. - 알츠하이머병 - 알로이스 알츠하이머
알로이스 알츠하이머는 독일의 정신과 의사이자 신경병리학자로, 아밀로이드 플라크와 신경 원섬유 엉킴을 발견하여 알츠하이머병의 주요 특징을 밝혀냈으며, 브로츠와프 대학교에서 정신과 교수로 재직하다가 심부전으로 사망했다. - 알츠하이머병 - 김영수 (1978년)
김영수(1978년)는 알츠하이머병 진단 및 치료 기술 개발에 주력하며 연세대학교 교수 및 아밀로이드솔루션(주)의 최고 과학 책임자(CSO)를 겸임하고 있는 대한민국의 화학자이자 생명과학자이다.
2. 역사
고대 그리스와 로마의 철학자들과 의사들은 노년과 치매를 연관지었다.[239] 1901년 독일 정신과 의사 알로이스 알츠하이머는 아우구스테 D(Auguste D)라고 부른 50세 여성에게서 알츠하이머병으로 알려지게 된 최초의 사례를 확인하였다. 그는 그녀가 1906년 사망할 때까지 병력을 추적 관찰하였고, 이후 그 내용을 처음으로 공개적으로 보고하였다.[238] 그 후 5년 동안 의학 문헌에 11건의 유사 사례가 보고되었는데, 그중 일부는 이미 알츠하이머병이라는 용어를 사용하였다.[239]
알츠하이머병은 발병 연령을 기준으로 65세를 기점으로 조발형(early-onset Alzheimer's disease)과 만발형(65세 이후)으로 크게 나뉜다. 조발형 중 18세부터 39세까지의 경우를 조기 치매, 40세부터 64세까지의 경우를 초기노년기 치매라고 한다.
역학 연구에서는 발생률과 유병률이라는 두 가지 주요 지표를 사용한다. 발생률은 위험 인구(일반적으로 1,000인년당 새로운 사례 수) 단위당 새로운 사례 수를 나타내는 반면, 유병률은 특정 시점에 인구집단에서 질병의 총 사례 수를 나타낸다.
알츠하이머병의 원인은 아직 명확하게 밝혀지지 않았지만, 유전적 요인과 환경적 요인이 복합적으로 작용하는 것으로 알려져 있다.
이 질병은 에밀 크레펠린(Emil Kraepelin)에 의해 독특한 질병으로 처음 기술되었다.[240] 그는 1910년 7월 15일에 출판된 그의 정신과 교과서 제8판에서 '알츠하이머병'을 '노인성 치매'의 하위 유형으로 포함시켰다.[241]
20세기 대부분의 기간 동안 알츠하이머병 진단은 45세에서 65세 사이의 치매 증상을 보이는 사람들에게만 국한되었다. 1977년 알츠하이머병에 관한 학회에서 조로기 치매와 노인성 치매의 임상적 및 병리학적 증상이 거의 동일하다는 결론이 나온 후 용어가 바뀌었지만, 저자들은 이것이 서로 다른 원인을 가질 가능성을 배제하는 것은 아니라고 덧붙였다.[242] 이는 결국 연령에 관계없이 알츠하이머병 진단으로 이어졌다.[243]
1984년에 미국 국립 신경 및 의사소통 장애 연구소(NINCDS)와 알츠하이머병 및 관련 장애 협회(ADRDA, 현재 알츠하이머 협회)는 가장 널리 사용되는 NINCDS-ADRDA 알츠하이머 진단 기준을 마련하였고,[245] 2007년에 광범위하게 업데이트되었다.[246][143] 확정적인 진단을 위해서는 뇌 조직의 현미경 검사를 포함한 조직병리학적 확인이 필요하다. 진단 기준과 확정적인 조직병리학적 확인 사이에는 좋은 통계적 신뢰성과 타당성이 입증되었다.[247]
'알츠하이머병'이라는 명칭은 최초의 증례를 보고한 독일의 정신과 의사 알로이스 알츠하이머에서 유래했다. 알츠하이머는 뮌헨 루트비히 막시밀리안 대학교에서 독일 정신의학의 대가 에밀 크레펠린의 지도하에 연구 활동을 수행했다. 1901년 질투, 망상 등을 호소하며 알츠하이머를 찾은 아우구스테 데터(Auguste Deter)(여성)는 세계 최초로 알츠하이머병이 확인된 환자였다. 알츠하이머는 1906년 튀빙겐의 독일 남서 의학회에서 데터에 관한 증례를 발표했고, 이듬해 '정신의학 및 법정신의학에 관한 종합잡지'에 논문을 발표했다. 당시에는 치매의 대부분이 매독에 의한 것으로 생각되었지만, 데터는 초기 노년기에 발병하여 진행성 기억 장애와 망상을 보였고, 부검 결과 병리학적으로 노인반과 신경 원섬유 변화가 확인되어 알츠하이머병(AD)으로 분류되었다. 이후 이 증례는 크레펠린의 정신의학 교과서에서 크게 다루어지면서 '알츠하이머병'으로 널리 알려지게 되었다. 데터는 2012년 프레세닐린 1(PSEN1, 감마세크레타아제) 변이 보인자였던 것이 밝혀졌다.[323]
3. 분류
조발형 알츠하이머병은 상염색체 우성 유전을 보이는 가족성 알츠하이머병(familial AD, FAD)이다. 원인이 되는 점 돌연변이는 21번 염색체 상의 아밀로이드 전구체 단백질(APP) 유전자, 14번 염색체 상의 프레세닐린 1 유전자(PSEN1) 및 1번 염색체 상의 프레세닐린 2 유전자(PSEN2)에서 발견되고 있다. 가족성 알츠하이머병에서 가장 많은 것은 PSEN1 유전자의 변이이다. 프레세닐린은 γ-세크레타아제 복합체의 주요 구성 요소이다. 가족성 알츠하이머병은 알츠하이머병의 약 1% 미만으로 추정되며, 대부분의 알츠하이머병은 만발형으로 가족력이 없는 산발성 알츠하이머병이다. 만발형 알츠하이머병에서는 19번 염색체의 아포지단백질 E(Apolipoprotein E, ApoE)의 다형성인 ε4 대립유전자가 발병을 촉진하는 위험 인자가 되는 것이 확인되고 있다.
4. 역학
발생률과 관련하여, 코호트 연구(질병이 없는 인구집단을 수년간 추적 관찰하는 연구)는 모든 치매의 경우 1,000인년당 10~15, 알츠하이머병(AD)의 경우 5~8의 발생률을 보여준다.[225][226] 즉, 매년 발생하는 새로운 치매 사례의 절반이 알츠하이머병이다. 고령화는 질병의 주요 위험 요소이며, 모든 연령대에서 발생률이 동일하지 않다. 65세 이후 5년마다 질병 발병 위험이 약 두 배로 증가하여 1,000인년당 3에서 최대 69까지 증가한다.[225][226] 알츠하이머병(AD) 여성 환자가 남성보다 더 많지만, 이러한 차이는 여성의 더 긴 수명 때문일 가능성이 높다. 연령을 조정하면 남녀 모두 동일한 비율로 알츠하이머병의 영향을 받는다.[227] 미국에서는 2010년 알츠하이머병(AD)으로 사망할 위험이 히스패닉계가 아닌 백인 인구보다 히스패닉계가 아닌 흑인 인구에서 26% 더 높았으며, 히스패닉계 인구는 히스패닉계가 아닌 백인 인구보다 30% 더 낮은 위험을 보였다.[228] 그러나 아프리카계 미국인, 동아시아인, 히스패닉/라티노 인구와 같이 소수 민족 집단에 대한 알츠하이머병(AD) 연구는 아직 많이 남아 있다.[229][230] 연구에 따르면 이러한 집단은 임상 시험에서 과소 대표되며, 백인과 비교하여 특정 유전적 위험 요소(예: APOE4)를 가진 경우 알츠하이머병(AD) 발병 위험이 동일하지 않다.[230][231][232]
인구집단에서 알츠하이머병(AD)의 유병률은 발생률과 생존율을 포함한 요인에 따라 달라진다. 알츠하이머병(AD)의 발생률은 나이가 들면서 증가하기 때문에 유병률은 유병률이 제시된 인구의 평균 연령에 따라 달라진다. 2020년 미국에서 알츠하이머병(AD) 치매 유병률은 60~74세 연령대의 경우 5.3%로 추정되었으며, 74~84세 연령대에서는 13.8%, 85세 이상 연령대에서는 34.6%로 증가했다.[233] 전 세계 일부 저개발 지역의 유병률은 더 낮다.[234][235] 알츠하이머병(AD)의 유병률과 발생률 모두 꾸준히 증가하고 있으며, 유병률은 2050년까지 3배 증가하여 1억 5,200만 명에 이를 것으로 추정되는 반면, 2020년 전 세계 알츠하이머병(AD) 환자는 5,000만 명이었다.[43][236][237]
5. 원인
유전적 요인쌍둥이와 가족 연구에 따르면 알츠하이머병의 유전성은 49%에서 79% 사이이다.[57] 전체 알츠하이머병의 약 0.1%는 65세 이전에 발병하는 상염색체 우성 유전 형태의 가족성 알츠하이머병이다.
최초로 알츠하이머병으로 확인된 환자는 아우구스테 데터(Auguste Deter)이며, 알로이스 알츠하이머가 1906년 증례를 발표했다. 당시 아우구스테 데터의 나이는 46세였으며, 56세에 사망했다. 2012년 연구에 따르면, 아우구스테 데터는 프레세닐린 1(PSEN1) 변이 보인자였다.[323]
환경적 요인
알루미늄 이온 섭취가 알츠하이머병의 원인이라는 주장이 있었으나, 현재는 과학적 근거가 부족한 것으로 여겨진다.[366] 미국 식품의약국(FDA)도 알루미늄과 알츠하이머병의 연관성을 부정하고 있다.[366]
당뇨병과의 관련성 또한 꾸준히 제기되고 있다.[367][368] 인슐린 분비를 증가시키는 탄수화물 중심의 식습관, 운동 부족, 내장 지방 과다는 알츠하이머병의 원인이 되는 아밀로이드 베타의 분해를 방해할 수 있다.
5. 1. 가설
알츠하이머병의 발병 원인과 진행 과정에 대해서는 여러 가설이 존재한다.
주요 가설
셀리악병과의 연관성은 불분명하며, 2019년 연구에서는 셀리악병 환자의 치매 증가가 발견되지 않았지만 2018년 검토에서는 알츠하이머병을 포함한 여러 유형의 치매와의 연관성이 발견되었다.[84][85]
연구에 따르면 특정 바이러스 감염과 나중에 알츠하이머병 발병 사이에 잠재적 연관성이 있는 것으로 나타났다.[86] 특히 6,245,282명의 환자를 대상으로 실시한 대규모 연구에 따르면 65세 이상 인지 기능이 정상인 개인에서 코로나19 감염 후 알츠하이머병 발병 위험이 증가한 것으로 나타났다.[87]
세부 기전 가설1. 림프구 유입: 나이 증가 및 알츠하이머병 환자에서 세포 결합이 느슨해지고 맥락총을 통해 림프구가 유입될 수 있다.[429][430] 인간 중추신경계에도 림프계가 존재하고, 면역세포가 뇌로 유입됨이 증명되었다.[431][432]
2. 미세아교세포 활성화 및 신경 염증: 알츠하이머병 뇌 내에서 아밀로이드 베타(Aβ)와 타우 단백질로 인해 염증/면역 반응이 일어나고, 이는 치매를 유발한다. 미세아교세포(microglia)는 M1(신경퇴화)과 M2(신경보호)로 나뉘는데, M1형 미세아교세포는 TNF-α, IL-1β, 글루타메이트와 같은 염증성 인자에 의해 유도되어 신경퇴화(신경세포 손상)를 일으킨다.[434] 반면 M2형 미세아교세포는 아밀로이드 베타 플라크 형성을 억제하고 제거하여 신경 보호에 기여한다.[435] 활성화된 조절 T 세포는 M1형 미세아교세포를 M2형으로 전환시키는 데 관여한다.[433]
아밀로이드 가설 및 관련 기전산발성 및 가족성 알츠하이머병(AD)은 병리적 변화가 유사하여 거의 동일한 과정을 거치는 것으로 추정된다. 1990년대에 가족성 AD 원인 유전자인 APP, 프레세닐린(PS), 미세소관 결합 단백질 타우(가족성 타우병 원인 유전자 변이) 연구가 진행되면서 AD 병태 발생 기전 연구가 발전했다. 현재는 Aβ 생성 증가 또는 분해 불량으로 인한 Aβ 축적을 시작점으로 하는 아밀로이드 캐스케이드 가설이 가장 널리 지지받고 있다. 아세틸콜린 가설, 타우 가설, 글루타민 가설, 산화 스트레스 가설, 지질 대사 이상, 허혈, 염증, 당 대사 이상 등 다양한 가설도 제기되었지만, 이들은 상호 배타적이지 않으며 아밀로이드 캐스케이드 가설을 중심으로 상호 작용하는 것으로 이해된다. 알츠하이머형 치매는 다인자 유전 질환으로, 복합적인 요인에 의해 발병한다고 생각된다.
예상되는 병리학적 과정은 다음과 같다: 뇌 아밀로이드 축적(CSF 아밀로이드 β) → 시냅스 장애(FDG-PET 및 fMRI) → 타우 단백질 축적(CSF 타우), NFT, 신경 세포 사멸 유도 → 뇌 위축(MRI) → 인지 기능 저하 → 임상 증상.[358] 최근 APP 프로세싱과 플라스말로겐 생성의 상관 관계가 보고되었다.[359]
아밀로이드 가설은 1991년에 제시되었으며, 세포 외 아밀로이드 베타(Aβ) 침착이 알츠하이머병의 근본 원인이라는 주장이다.[44][45] 아밀로이드 전구체 단백질(APP) 유전자가 21번 염색체에 위치한다는 점과, 21번 염색체 삼염색체(다운 증후군) 환자들이 40세 이전에 알츠하이머병 초기 증상을 보이는 경우가 많다는 점이 이 가설을 뒷받침한다.[3] APOE4는 알츠하이머병의 주요 유전적 위험 요소인데,[227] 일부 이성질체(예: APOE4)는 베타 아밀로이드 분해 기능이 효과적이지 않아 뇌에 과도한 아밀로이드 축적을 초래한다.[46]
아밀로이드 캐스케이드 가설은 Aβ 축적(노인반 형성), 타우 응집·축적(NFT 형성), 신경변성(신경세포 사멸)의 과정으로 구성된다. APP는 여러 프로테아제에 의해 절단되어 Aβ40, Aβ42 등 다양한 Aβ 분자종을 생성하는데, Aβ42는 응집성이 높아 병원성이 더 강하다. PS는 APP를 절단하는 감마-세크레타제의 구성 서브유닛이며, 가족성 알츠하이머병(FAD) 원인 유전자 변이 중 70%가 PS 유전자에서 발견된다. 타우는 전두측두엽형 치매의 원인 유전자로, 변이형 타우 과잉 발현(Tg) 마우스는 Aβ 축적 없이 신경변성을 일으킨다. 따라서 타우 응집·축적만으로도 신경변성이 발생할 수 있다. Aβ 축적 하류에는 타우 비의존적인 신경변성 유발 경로도 존재하며, Aβ 올리고머가 신경세포 내에서 독성을 나타낸다는 올리고머 가설이 대표적이다.
Aβ 축적이 상류에서 시작된다는 점이 중요하다. 알츠하이머병 뇌에서는 Aβ와 타우 축적이 모두 확인되지만, 정상 노인 대상 병리학적 검토 결과 Aβ 축적은 확인되지만 신경 원섬유 변화가 없는 사례는 있었고, 반대 사례는 없었다. 또한 가족성 알츠하이머병 가계에서 Aβ 생성 관련 APP, PSEN1, PSEN2 변이가 발견되었다. 초기에는 고도로 중합된 불용성 섬유형 Aβ가 신경세포 사멸을 일으켜 인지 기능 저하를 유발한다고 생각되었으나, 알츠하이머병 부검 뇌에서 Aβ량이나 노인반 증가율과 인지 증상 중증도 사이에 상관관계가 없고, 노인반 출현 부위와 신경세포 탈락 부위가 일치하지 않는다는 문제점이 있었다.
2002년, 월시(Walsh) 등은 이합체 또는 삼합체 형태의 Aβ 올리고머가 장기 강화(LTP)를 저하시킨다고 보고했다. 이후 Aβ 올리고머 독성을 보여주는 연구가 잇따르면서 Aβ 올리고머가 독성 발현의 중심 역할을 한다고 여겨지게 되었다. Aβ 올리고머는 크기에 따라 여러 분자종으로 분류되며, 어떤 올리고머가 알츠하이머병 병인인지는 아직 논쟁 중이다. Aβ 독성은 주로 시냅스 후부에서 작용하며, 프리온 단백질, α7-니코틴성 수용체, 대사성 글루탐산 수용체, NMDA형 글루탐산 수용체 등이 Aβ 독성을 매개하는 수용체로 알려져 있다.
알츠하이머병 부검 뇌에서 생화학적으로 측정된 가용성 Aβ 양은 시냅스 밀도와 역상관 관계를 보이며 인지 기능 장애 정도와 잘 상관된다. 따라서 신경세포 변성·탈락보다 먼저 Aβ 올리고머에 의한 시냅스 기능 저하가 발생한다고 생각된다. Aβ 올리고머는 초기에는 노인반 형성 과정의 중간체로 여겨졌지만, 노인반이 되지 않는 Aβ 올리고머도 존재한다.
타우 가설 및 관련 기전
타우 가설은 타우 단백질 이상이 질병 연쇄 반응을 시작한다는 주장이다.[68] 과인산화된 타우는 다른 타우 가닥과 결합하여 쌍나선형 필라멘트를 형성하고, 결국 뉴런 내부에 신경원 섬유 엉킴을 형성한다.[68] 이로 인해 미세소관이 분해되어 세포 세포골격 구조가 파괴되고 뉴런의 수송 시스템이 붕괴된다.[68] 아밀로이드 가설에서 타우 단백질의 위치는 아직 확립되지 않았지만, 타우가 알츠하이머병의 주요 원인인지, Aβ 독성을 매개하는지, 아니면 단순한 동반 증상인지는 불분명하다. 타우의 수상돌기 기능과 Aβ 독성 매개 작용을 고려하여 수상돌기에서 Aβ와 타우 병리를 연결하는 타우 중심 가설도 제시되고 있다. 신경세포 손실과 인지 증상은 신경섬유매듭(NFT) 분포와 상관관계가 있다.
국립연구개발법인 방사선의학종합연구소(放射線医学総合研究所)는 2013년 9월 19일, 뇌에 축적된 타우 단백질(タウタンパク質)에 선택적으로 결합하는 약물 PBB3와 뇌에 축적된 아밀로이드 베타(アミロイドベータ)(Aβ)에 선택적으로 결합하는 피츠버그 화합물 B(PIB), 양전자방출단층촬영(陽電子断層撮影法)(PET)을 사용하여 타우 단백질과 Aβ 축적 및 진행 상태를 초기부터 말기까지 뇌 부위별로 영상화하여 진단하는 방법을 실용화했다고 발표했다.[360]
기타 연구 결과많은 연구에서 알츠하이머병 병리와 관련된 잘못 접힌 아밀로이드 베타 및 타우 단백질이 산화 스트레스를 유발하여 신경 염증을 일으키는 것과 관련이 있다고 밝혔다.[69] 이러한 만성 염증은 파킨슨병 및 ALS를 포함한 다른 신경 퇴행성 질환의 특징이기도 하다.[70] 스피로헤타 감염도 치매와 관련이 있다.[43] 알츠하이머병 환자의 뇌에는 DNA 손상이 축적되며, 활성 산소종이 이 DNA 손상의 주요 원인일 수 있다.[71]
수면 장애는 알츠하이머병의 염증에 대한 위험 요인으로 간주된다.[72] 이전에는 수면 장애가 알츠하이머병의 결과로만 여겨졌지만, 2020년 현재 축적된 증거는 이러한 관계가 상호적일 수 있음을 시사한다.[73]
1970년대에 제기된 콜린성 가설에 따르면, 알츠하이머병에서는 전뇌 기저부의 마이네르트 기저핵에서 대뇌 피질, 중격핵과 브로카 대각대핵에서 해마로 투사되는 콜린성 신경세포의 변성 및 탈락이 대량으로 발생한다. 그 결과 대뇌 피질 및 해마로의 입력이 심하게 손상되어 아세틸콜린 양이 현저하게 감소하는데, 이는 아밀로이드 가설의 하류에 해당한다.
신경생물학 학술지 "Neurobiology of Aging" 4월호에 게재된 연구에서는 일반적인 호흡기 세균인 클라미디아 뉴모니아(*Chlamydia pneumoniae*)와 아밀로이드 반(斑)의 연관성이 비유전성 알츠하이머병 환자의 뇌에서 확인되었다. 필라델피아 대학교 골절학 센터 연구진은 알츠하이머병 환자의 뇌에서 해당 세균을 분리하여 아밀로이드 반 소인이 없는 마우스 비강에 분무했고, 그 결과 아밀로이드 반 침착이 진행되어 부분적인 알츠하이머병 모델이 생성되었다. 이는 클라미디아 뉴모니아가 알츠하이머병 환자 뇌의 90%에 존재한다는 과거 연구 결과를 바탕으로 한 것이며, 연구 책임자인 Brian Balin 박사는 해당 세균이 알츠하이머병을 유발한다고 지적한다.
단순포진 바이러스를 가지고 있으면 알츠하이머병 발병 위험이 2배 증가한다는 보고가 있으며,[361] 알츠하이머병 환자의 뇌에서 헤르페스 바이러스 HHV-6A와 HHV-7이 다량 검출되었다는 보고도 있다.[362]
만성 치주염 병원균 중 하나인 징지바리스균(*Porphyromonas gingivalis*)과 그 생성 물질인 징지파인(gingipains)이 환자의 뇌에서 발견되었고,[363] 징지파인 억제제로 Aβ1-42 생성을 억제하고 신경 염증을 감소시키는 등의 효과가 보고되었다.[364]
알츠하이머병 환자의 변을 랫트에 이식하는 실험에서는 이식받은 랫트의 해마에서 신경 발생이 감소하고 인지 장애 증상이 확인되는 등, 장내 세균과의 연관성도 고려되고 있다.[365]
5. 2. 유전적 요인
쌍둥이 및 가족 연구에 따르면 알츠하이머병의 유전적 유산성은 49%에서 79% 사이로 다양하다.[57] 알츠하이머병 사례의 약 0.1%는 65세 이전에 발병하는 상염색체 우성 유전 형태이며, 이를 초기 가족성 알츠하이머병이라고 한다.
대부분의 상염색체 우성 가족성 알츠하이머병은 아밀로이드 전구 단백질(APP)과 프레세닐린 1, 2 유전자 중 하나의 돌연변이로 인해 발생한다. APP와 프레세닐린 유전자의 돌연변이는 대부분 노인성 플라크의 주요 성분인 Aβ42라는 작은 단백질의 생성을 증가시킨다. 일부 돌연변이는 Aβ42와 다른 주요 형태(특히 Aβ40) 사이의 비율을 변화시킬 뿐, Aβ42의 절대적인 수치를 증가시키지는 않는다.[57] 상염색체 우성 알츠하이머병과 관련된 다른 두 유전자는 ABCA7과 SORL1이다.
대부분의 알츠하이머병은 상염색체 우성 유전을 보이지 않으며, 환경적, 유전적 차이가 위험 요인으로 작용하는 산발성 알츠하이머병이라고 불린다. 가장 잘 알려진 유전적 위험 인자는 아포지단백 E(APOE)의 ε4 대립유전자이다. 알츠하이머병 환자의 40-80%가 적어도 하나의 APOEε4 대립유전자를 가지고 있다.[227] APOEε4 대립유전자는 이형접합일 때 질병의 위험을 3배, 동형접합일 때 15배까지 증가시킨다. 다른 많은 질병과 마찬가지로, 환경적 영향과 유전자 변형은 불완전한 침투성을 초래한다. 예를 들어, 특정 나이지리아 인구 집단은 다른 인구 집단에서 나타나는 알츠하이머병 발병률이나 발병 연령을 보이지 않는다.
후기 발병 산발성 알츠하이머병(LOAD)과 관련된 유전자를 찾기 위한 초기 연구는 낮은 성공률을 보였다. 그러나 최근의 전장 유전체 연관 연구(GWAS)는 알츠하이머병 위험에 영향을 미치는 19개 유전자 영역을 발견했다. 이러한 유전자에는 CASS4, CELF1, FERMT2, HLA-DRB5, INPP5D, MEF2C, NME8, PTK2B, SORL1, ZCWPWW1, SlC24A4, CLU, PICALM, CR1, BIN1, MSA47, EPHA1, CD2 등이 포함된다.
TREM2 유전자의 대립유전자는 알츠하이머병 발병 위험을 3~5배 증가시킨다.[57] TREM2의 일부 변이에서는 뇌의 백혈구가 베타 아밀로이드 양을 제어할 수 없게 된다는 작용 기전이 제안되었다.
2018년 연구에서는 기억력, 언어, 시공간, 실행 기능을 포함한 6가지 범주로 알츠하이머병을 구분하여 30개의 SNP를 추가로 발견하는 등, 많은 단일염기 다형성(SNP)이 알츠하이머병과 연관되어 있다.
가족성 알츠하이머병(FAD)의 경우, 1980년대부터 대가족을 대상으로 한 연관 분석을 통해 원인 유전자를 찾으려는 연구가 진행되었다. 그 결과, 거의 100%의 관여율을 보이는 세 가지 원인 유전자(21번 염색체의 APP 유전자, 14번 염색체의 프레세닐린 1 유전자, 1번 염색체의 프레세닐린 2 유전자)와 한 가지 관련 유전자(아포지단백 E 유전자)가 확인되었다. FAD는 전체 알츠하이머병의 약 1%를 차지하며, 대부분 상염색체 우성 유전 방식을 따르지만, 일부는 상염색체 열성 유전 방식을 따르기도 한다.
친족 중에 알츠하이머병 환자가 있는 경우, 원인 유전자나 관련 유전자 이상이 없더라도 발병 위험이 다소 증가하는 것으로 알려져 있다. 특히 50~54세에 알츠하이머병을 발병한 가족이 있는 경우, 조기 발병 위험이 약 20배 증가한다는 데이터가 있으며, 가족 집적성이 있다. 이러한 알츠하이머병은 다인자 유전 질환으로 간주된다.
;APP 유전자의 변이
가족성 알츠하이머병의 약 10%는 APP 유전자의 아미노산 치환을 동반하는 미스센스 점 돌연변이로 인해 발생한다. APP 유전자의 점 돌연변이가 확인되는 부위는 γ-세크레타제에 의해 절단되는 γ 절단 부위 근처의 변이(런던형)나 β-세크레타제에 의해 절단되는 β 절단 부위 근처의 변이(스웨덴형) 등이 알려져 있다. Aβ 내부의 아미노산 배열에 영향을 미치는 변이는 아밀로이드 혈관병증을 유발하기 쉽다. 또한 APP 유전자량 또는 발현량의 정량적 변화에 의해서도 알츠하이머병이 발생할 수 있으며, 다운 증후군도 이러한 병태에 포함된다.
산발성 알츠하이머병(AD)의 경우, ApoE 유전자 다형성 외에는 명확한 관련 유전자가 잘 발견되지 않았다. 전장유전체 연관 분석 결과, 몇몇 관련 유전자가 보고되었으며, ApoE 유전자 다형성이 가장 재현성 있게 보고되고 있다. 비교적 재현성 있게 검출되는 관련 유전자 후보로는 CR1, BIN1, CLU, PICALM, MS4A4/MS4A6E, CD2AP, CD33, EPHA1, ABCA7 등이 있다. 특히 8번 염색체 상의 CLU(ApoJ) 유전자, 1번 염색체 상의 CR1 유전자, 11번 염색체 상의 PICALM 유전자가 재현성이 높다고 알려져 있다.
PICALM 유전자는 CALM 단백질을 암호화하며, 세포막에 존재하는 γ-세크레타제를 엔도사이토시스를 통해 흡수하는 어댑터 분자로 생각된다.[326]
5. 3. 환경적 요인
염증 가설은 알츠하이머병이 뇌에서 자가 유지되는 진행성 염증으로 인해 발생하며, 신경 쇠약으로 이어진다는 것이다.[433] 만성 치주염과 장내 미생물의 불균형이 원인일 수 있다는 주장이 제기되었다.[434] 신경혈관 가설은 혈액-뇌 장벽의 기능 저하가 관련될 수 있다고 주장한다. 척추염도 치매와 연관되어 있다.
구리, 철, 아연과 같은 생체 금속의 세포 항상성(homeostasis)은 알츠하이머병에서 교란되는데, 이것이 단백질 변화를 유발하는지, 아니면 단백질 변화의 결과인지는 불분명하다.[43][74] 이러한 이온들은 타우 단백질, 아밀로이드 전구 단백질(APP), 아포지단백 E(APOE)에 영향을 미치며, 과도하게 조절되면 산화 스트레스를 유발하여 병리학적 상태를 유발할 수 있다.[43] 그러나 이러한 연구의 일부는 비판을 받았으며, 연관성은 여전히 논란의 여지가 있다.[43] 대부분의 연구자들은 알루미늄과의 인과관계를 지지하지 않는다.[43]
흡연은 알츠하이머병의 주요 위험 요인이다.[75] 선천성 면역 체계의 전신 표지자는 후기 알츠하이머병의 위험 요소이다.[76] 대기 오염 노출이 알츠하이머병 발병의 기여 요인이 될 수 있다는 증거도 있다.[43]
한 가설에 따르면, 노화 과정에서 희소돌기아교세포와 관련 수초의 기능 부전이 축삭 손상을 유발하고, 이는 아밀로이드 생성 및 타우 단백질의 과인산화를 부작용으로 일으킨다.[79][80]
역발생설(Retrogenesis)은 1980년대 배리 리스버그(Barry Reisberg)가 제안한 의학적 가설이다.[77] 이 가설은 태아가 신경 발생 과정(신경관 형성에서 수초화까지)을 거치는 것처럼, 알츠하이머병 환자의 뇌는 탈수초화와 축삭(백색질)의 사멸로 시작하여 회색질의 사멸로 끝나는 역방향 신경 퇴행 과정을 거친다는 것이다.[77] 마찬가지로, 유아가 인지 발달 단계를 거치는 것처럼 알츠하이머병 환자는 점진적인 인지 장애의 역 과정을 거친다는 가설도 있다.[78] 리스버그는 알츠하이머병 환자를 돌보는 사람들을 위해 질병 진행 단계를 식별하고 각 단계에 필요한 치료 유형에 대한 조언을 제공하는 "FAST"(기능 평가 준비 도구)라는 보호 평가 도구를 개발했다.
2019년 연구에서는 셀리악병 환자에게서 치매 증가가 발견되지 않았지만, 2018년 리뷰에서는 알츠하이머병을 포함한 여러 유형의 치매와 연관성이 발견되었다.[84][85]
알츠하이머병과 관련하여 다음과 같은 구체적인 기전들이 제시되고 있다.
연구에 따르면 특정 바이러스 감염과 알츠하이머병 발병 사이에 잠재적 연관성이 있는 것으로 나타났다.[86] 특히 6,245,282명의 환자를 대상으로 한 대규모 연구에 따르면 65세 이상 인지 기능이 정상인 개인에서 코로나19 감염 후 알츠하이머병 발병 위험이 증가했다.[87]
알루미늄 이온(Al³) 섭취가 알츠하이머병의 원인 중 하나라는 설이 있다. 그러나 이러한 조사 사례들은 지역 인구 동태 등의 뒷받침이 없는 단순 비교이며, 학계나 많은 학자들이 지지하는 연구 결과가 아니라는 점에 유의해야 한다. 일본알루미늄협회와 같은 업계 단체는 물론 미국 식품의약국(FDA)도 알루미늄과 알츠하이머병의 관계를 부정하고 있다.[366]
합병증으로 당뇨병을 발병하는 사례가 많다는 점에서[367][368] 인슐린 분비를 증가시키는 탄수화물 중심의 식습관, 운동 부족, 내장 지방 과다가 알츠하이머병의 원인이 되는 아밀로이드 베타의 분해를 방해한다고 보고 있다. 과도한 당분 섭취가 있으면 지방간이 발생하고 간과 골격근에 인슐린 저항성이 생긴다.
6. 증상
알츠하이머병은 개인마다 증상이 다르게 나타나지만, 몇 가지 공통적인 증상을 보인다.[428] 초기에는 노화나 스트레스로 오인되기도 하며, 주로 이름, 날짜, 장소 등을 기억하지 못하는 단기 기억 상실이 나타난다. 병이 진행되면 혼란, 격한 행동, 조울증, 언어장애, 장기 기억상실 등의 증상이 나타나며, 결국 신체 기능 상실로 이어진다.
조직병리학적으로 알츠하이머병은 뇌 위축, 뇌실 확장, 신경섬유 다발성 병변, 초로성 반점 등을 특징으로 한다. 알츠하이머병은 인지적, 기능적 장애와 함께 여러 단계로 진행된다.
6. 1. 인지 기능 저하
알츠하이머병의 초기 증상은 흔히 노화나 스트레스로 오인되곤 한다.[24] 자세한 신경심리검사를 통해 알츠하이머병 진단 기준을 충족하기 최대 8년 전부터 경미한 인지 장애를 확인할 수 있다.[25] 이러한 초기 증상은 복잡한 일상생활동작에 영향을 미칠 수 있다.[26] 가장 두드러지는 증상은 단기 기억력 상실로, 최근에 배운 사실을 기억하기 어렵고 새로운 정보를 습득하기 힘들어진다.[25]집행 기능의 문제, 즉 주의력, 계획, 유연성, 추상적 사고 또는 의미 기억(의미와 개념 관계에 대한 기억)의 장애 또한 알츠하이머병 초기 증상일 수 있다.[25] 이 단계에서는 무관심과 우울증이 나타날 수 있으며, 무관심은 질병 진행 전반에 걸쳐 가장 지속적인 증상으로 남는다.[27][28] 인지 장애는 있지만 심각한 증상이 없는 사람들은 경도인지장애(MCI)로 진단받을 수 있다. 기억 상실이 주된 증상인 경우 기억상실형 MCI라고 하며, 알츠하이머병의 전구기 또는 초기 단계로 간주된다.[29] 기억상실형 MCI는 알츠하이머병과 관련될 가능성이 90% 이상이다.[119]
알츠하이머병 환자의 경우, 학습 및 기억력 장애가 심해져 결국 확진으로 이어진다. 일부 환자에게는 기억 문제보다 언어, 실행 기능, 지각(실인증), 또는 동작 수행(실행증)의 어려움이 더 두드러진다.[30] 알츠하이머병은 모든 기억 능력에 동일하게 영향을 미치지는 않는다. 개인의 삶에 대한 오래된 기억(진술 기억), 학습한 사실(의미 기억), 암묵 기억(포크 사용법, 컵으로 음료 마시는 방법 등)은 새로운 사실이나 기억보다 영향을 덜 받는다.[31][32]
언어 문제는 주로 어휘 감소와 단어 유창성 감소를 특징으로 하며, 구어와 문어의 전반적인 빈곤으로 이어진다.[30][33] 이 단계에서 환자는 기본적인 아이디어를 전달할 수 있다.[30][33][34] 글쓰기, 그림 그리기, 옷 입기 등 미세 운동 작업 중 운동 조정 및 계획 어려움(실행증)이 나타날 수 있지만, 눈에 띄지 않는 경우가 많다.[30] 질병이 진행됨에 따라 많은 작업을 독립적으로 수행할 수 있지만, 인지적으로 어려운 활동에는 도움이나 감독이 필요할 수 있다.[30]
6. 2. 행동 및 심리 증상 (BPSD)
알츠하이머병이 진행되면서 나타나는 행동 및 심리 증상(BPSD)은 환자와 간병인 모두에게 큰 어려움을 준다. 이러한 증상은 다음과 같이 다양하게 나타난다.[30]- 초기:
- 우울증: 슬픔이나 죄책감보다는 무기력하고 의욕이 없는 형태로 나타나는 경우가 많다. (20~40%)[339]
- 무관심(아파시): 주변에 대한 관심이 줄어들고, 감정 표현이 무뎌진다. (40~70%)[339]
- 불안: 안절부절못하고 초조해하며, 가족에게 화를 내기도 한다.[339]
- 망상: 물건을 도둑맞았다는 절도망상, 가족이 자신을 버리려 한다는 피해망상 등.[339]
- 초기~중기:
- 배회: 목적 없이 돌아다니는 증상.[30]
- 수면 장애: 잠들기 어렵거나 자주 깨는 증상.[30]
- 중기:
- 환각: 실제로는 없는 것을 보거나 듣는 증상.[30]
이러한 BPSD는 항정신병약물, 항경련제, 항우울제 등으로 완화할 수 있지만, 부작용 위험이 있으므로 신중하게 사용해야 한다.[397] 약물 치료 외에도 기능성 표시 식품이나 한약(가미온담탕, 억간산) 등이 도움이 될 수 있다는 연구 결과도 있다.[398][399]
6. 3. 신체 기능 저하
알츠하이머병이 진행되면서 신체 기능은 점차 저하된다. 언어장애가 뚜렷해져 어휘를 떠올리지 못하거나 잘못된 단어를 사용하는 경우가 잦아진다. 읽기와 쓰기 능력도 점차 사라진다.[30][34] 시간이 흐르면서 복잡한 운동을 조절하는 능력이 떨어져 낙상 위험이 커진다.[30]말기에는 간병인에게 완전히 의존하게 된다. 언어 능력은 간단한 구절이나 단어 수준으로 줄어들고, 결국에는 완전히 말을 하지 못하게 된다.[30] 극도로 무관심해지고 기력이 없어지며, 스스로 음식을 섭취하지 못할 정도로 근육량과 이동성이 떨어진다.[30] 결국 신체 기능이 상실되어 사망하는데, 주된 사인은 압력궤양이나 폐렴과 같은 외부 요인이다.[30]
6. 4. 질병 진행 단계
알츠하이머병의 진행은 일반적으로 세 단계로 나뉘며, 인지 및 기능 장애가 점진적으로 나타나는 패턴을 보인다.[23][17] 세 단계는 초기(경증), 중기(중등증), 후기(중증)로 구분된다.[23]
- '''초기 (경증)'''
초기 증상은 노화나 스트레스로 오인되기도 한다.[24] 자세한 신경심리검사를 통해 알츠하이머병 진단 기준을 충족하기 최대 8년 전부터 경미한 인지 장애를 확인할 수 있다.[25] 이 초기 증상은 복잡한 일상생활동작에 영향을 미칠 수 있다.[26] 가장 두드러지는 증상은 단기 기억력 상실로, 최근에 학습한 내용을 기억하기 어렵고 새로운 정보를 습득하기 어렵다.[25]
집행 기능의 문제, 즉 주의력, 계획, 유연성, 추상적 사고 또는 의미 기억(의미와 개념 관계에 대한 기억) 장애도 초기 증상일 수 있다.[25] 무관심과 우울증이 나타날 수 있으며, 무관심은 질병 진행 전반에 걸쳐 가장 지속적인 증상으로 남는다.[27][28] 경도인지장애(MCI)로 진단받을 수 있는데, 기억상실형 MCI는 알츠하이머병의 전구기로 간주된다.[29]
- '''중기 (중등증)'''
학습 및 기억력 장애가 심해져 확진으로 이어진다. 언어, 실행 기능, 지각(실인증), 동작 수행(실행증) 어려움이 두드러지기도 한다.[30] 장기 기억(진술 기억), 학습한 사실(의미 기억), 암묵 기억은 새로운 기억보다 영향을 덜 받는다.[31][32]
언어 문제는 어휘 감소와 단어 유창성 감소가 특징이며, 구어와 문어 표현이 빈곤해진다.[30][33] 이 단계에서 기본적인 의사소통은 가능하다.[30][33][34] 미세 운동 작업 수행 시 운동 조정 및 계획 어려움(실행증)이 나타날 수 있지만 눈에 띄지 않을 수 있다.[30] 많은 작업을 독립적으로 수행 가능하나, 인지적 요구가 큰 활동에는 도움이나 감독이 필요할 수 있다.[30]
- '''후기 (중증)'''
점차 독립적인 생활이 불가능해진다.[30] 어휘를 떠올리지 못해(단어 찾기 어려움) 언어 장애가 나타나고, 잘못된 단어를 대체(말실수)한다.[30][34] 읽기, 쓰기 능력도 상실된다.[30][34] 운동 능력 저하로 낙상 위험이 증가한다.[30] 기억 문제가 심각해져 가까운 친척을 알아보지 못할 수 있다.[30] 장기 기억도 손상된다.[30]
방황, 짜증, 감정 변화(울음, 공격성, 간병 저항) 등 행동 및 신경정신과적 변화가 흔하다.[30] 해질녘 증후군, 착각, 망상 증상도 나타날 수 있다.[30] 질병과 한계에 대한 통찰력을 잃는다(자각능 상실).[30] 요실금이 발생할 수 있다.[30]
7. 진단
알츠하이머병(AD)은 부검을 통해서만 확진할 수 있다.[110][111][124] 부검을 하지 않는 경우, 다른 소견들을 종합하여 "가능성이 있음" 또는 "추정됨"으로 임상 진단을 내린다.[110][111][124] 임상적으로 알츠하이머병 진단을 받은 사람 중 최대 23%는 오진일 수 있으며, 다른 질환으로 인한 유사한 증상을 보일 수 있다.[111]
일반적으로 환자의 병력, 가족이나 친지의 관찰, 그리고 행동 변화를 바탕으로 임상 진단을 내린다. 특징적인 신경심리학적 변화가 최소한 두 가지 인지 영역에서 나타나야 하며, 이는 환자의 기능에 영향을 줄 정도로 심각해야 한다. 손상될 수 있는 영역에는 기억력(가장 흔함), 언어, 집행 기능, 시공간 기능 등이 있다. 이러한 인지 변화는 이전 기능 수준에서 감소한 것이어야 하며, 다른 일반적인 인지 감퇴 원인을 배제해야 한다.[115][112][113]
CT나 MRI, SPECT 또는 PET 같은 의료 영상 기술은 다른 뇌 병리나 치매의 아형을 배제하는 데 도움을 줄 수 있다.[114] MRI나 CT에서 알츠하이머병은 일반화되거나 국소적인 피질 위축을 보이며, 비대칭적일 수 있다. 해마 위축도 흔히 관찰된다. 뇌 영상은 뇌혈관 질환(이전의 뇌졸중 등)을 보여주기도 하는데, 이는 많은 치매 사례의 원인으로 간주된다.[115] FDG-PET 스캔은 양측성, 비대칭성, 측두엽 및 두정엽의 활동 감소를 보여주지만, 표준 검사가 불분명한 경우에만 사용된다.[115] 고급 영상 기법은 전구기 단계(경도 인지 장애)에서 알츠하이머병으로의 전환을 예측할 수 있다.[116] 알츠하이머병 PET 검사에 사용되는 FDA 승인 방사성 의약품 진단제로는 플로르베타피르(2012), 플루테메타몰(2013), 플로르베타벤(2014), 플로르타우시피르(2020)가 있다.[117]
기억력 검사를 포함한 지능 기능 평가는 질병 상태를 파악하는 데 도움이 된다.[75] 의료 기관들은 진단 과정을 표준화하기 위해 진단 기준을 만들었다. 확진은 뇌 조직을 조직학적으로 검사하여 노인성 반점과 신경 원섬유 엉킴을 확인할 수 있는 사후 평가를 통해서만 가능하다.[120][118]
신경심리 검사에는 미니 정신 상태 검사(MMSE), 몬트리올 인지 검사(MoCA), 미니-코그와 같은 인지 검사가 포함되며, 알츠하이머병의 인지 장애 진단에 널리 사용된다.[137] 이러한 검사는 경도인지장애에 대한 민감도가 부족하고 언어 또는 주의력 문제에 영향을 받을 수 있어 항상 정확하지는 않다.[137] 특히 질병 초기에는 더 포괄적인 검사가 필요하다.[138][139]
알츠하이머병과 다른 질병을 감별 진단하기 위해서는 추가적인 신경학적 검사가 중요하다.[24] 가족 구성원과의 면담도 중요한데, 보호자는 환자의 일상생활 능력과 정신 기능 저하에 대한 정보를 제공할 수 있기 때문이다.[140] 알츠하이머병 환자는 자신의 결손을 인식하지 못하는 경우가 많으므로[141] 보호자의 관점이 특히 중요하다.
보충 검사는 다른 잠재적으로 치료 가능한 진단을 배제하고 오진을 피하는 데 도움이 된다.[143] 일반적인 보충 검사에는 혈액 검사, 갑상선 기능 검사, 비타민 B12 수치 검사, 신경 매독 배제, 대사 문제( 신장 기능, 전해질 수치, 당뇨병 검사 포함) 배제가 포함된다.[143] 종양이나 뇌졸중 등 다른 잠재적 원인을 배제하기 위해 MRI나 CT 스캔도 사용될 수 있다.[137] 섬망과 우울증은 흔히 나타날 수 있으므로 배제하는 것이 중요하다.[144] 우울증에 대한 심리 검사도 사용되는데, 우울증은 알츠하이머병과 동시에 발생하거나, 인지 장애의 초기 징후이거나,[145] 심지어 원인이 될 수도 있기 때문이다.[146][147]
C-PIB-PET 스캔은 정확도가 낮아 경도인지장애(MCI) 징후가 있는 사람의 조기 진단 도구나 알츠하이머병 발생 예측에는 권장되지 않는다.[148] 18F-FDG PET 스캔 역시 단일 검사로는 알츠하이머병 발생 가능성이 있는 사람을 식별하는 데 충분한 증거가 없다.[149]
알츠하이머형 치매에서는 병변이 해마를 포함한 측두엽 내측에서 시작하여 측두두정엽 연합영역과 전두엽 연합영역으로 확대된다. 이에 따라 다양한 증상이 나타나는데, 시간·장소·인물 등에 대한 인식 장애(견당식장애), 기억 장애, 두정엽 연합영역 관련 증상(구성실행, 착의실행, 시공간실인), 언어 장애 등이 있다.[339][340] 고개를 흔드는 행동은 알츠하이머형 치매를 시사하는 징후이다.[339][340]
하세가와식 인지증 스케일이나 MMSE가 인지 기능 선별 검사로 사용된다. 전두엽 기능을 평가하는 FAB나 TMT, 두정엽 기능을 평가하는 집 평면도 그리기, 측두엽 기능을 평가하는 실어증 검사도 시행될 수 있다.
- MoCA (Montreal Cognitive Assessment): 경도인지장애(MCI) 선별 검사로,[373][374] 시공간·수행 기능, 명명, 기억, 주의력, 복창, 어휘 회상, 추상 개념, 지연 재생, 시공간 인식으로 구성된다. 레비소체형 치매 검출에도 효과적이라고 알려져 있다.[375]
- 미야케식 기명력 검사
- Six-item screener:[376] 6가지 질문으로 선별 검사를 하는 방법이다.
- Category fluency 점수: 1분 동안 가능한 한 많은 동물 이름을 말하게 하고, 그 수를 센다. 13개 미만이면 알츠하이머형 치매가 의심된다.[377]
- 시계그리기 검사 (Clock drawing test): 환자에게 종이를 주고, 10시 10분을 가리키는 시계를 그리게 한다. 고차 시각 인지 장애 검출 능력이 뛰어나고 특이도가 높다.[378]
- 여우의 역조합(Reverse Fox Test): 여우의 그림자 그림을 양손으로 만들고, 좌우 손을 위아래로 거꾸로 하여 집게손가락과 새끼손가락이 닿도록 지시한다. 알츠하이머병에서는 31.9%가 할 수 있었던 반면, 건강한 사람은 94.4%가 할 수 있었다.[379]
영상 검사로는 형태 평가를 하는 CT·MRI와 기능 평가를 하는 PET·SPECT가 있다. X선-CT·MRI는 뇌혈관성 질환과의 감별에 유용하며, 측뇌실 확대, 뇌회 확대, 실비우스열 확대 등 대뇌 위축이 나타난다. 특히 해마는 조기에 위축이 두드러진다. PET·SPECT는 뇌혈류, 포도당 소비량, 산소 소비량이 측두엽·두정엽에서 강하게 저하되는 것이 특징이다. FDG-PET와 뇌혈류 SPECT가 시행된다.
측두엽 내측, 대상회 후부, 설전부, 두정연합야가 알츠하이머병 영상 진단에서 중요하다.
- 측두엽 내측 (해마 영역): 알츠하이머병에서는 해마, 해마곁이랑, 편도체 등으로 구성되는 측두엽 내측부에서의 신경세포 탈락이 다른 뇌 부위보다 먼저 일어나고, 병의 진행과 함께 가속화된다.
- 대상회 후부와 설전부: 알츠하이머병 초기 단계에서 포도당 대사 및 혈류 감소가 나타나는 부위이다.
- 두정연합야: 두정엽 중에서 일차 감각야를 제외한 영역으로, 공간 위치 인식, 언어 기능, 계산, 주의 등과 관련이 있다.
두부 MRI에서는 뇌 위축 평가가 가능하다. VSRAD를 이용하여 경도의 측두엽 내측부의 선택적인 위축을 평가할 수 있다.
뇌혈류 평가를 위해 IMP신티그래피에서는 3D-SSP로, ECD신티그래피는 eZIS로 통계 분석되는 경우가 많다. 대상회 후부와 설상전부는 알츠하이머병에서 혈류 및 대사가 가장 먼저 저하되는 부위이다.
아밀로이드 PET에서는 대상회 후부에서 설상전부, 두정엽, 전전두엽 등의 대뇌 피질 및 선조체에 높은 집적을 보인다. 아밀로이드 PET로는 중증도를 평가할 수 없다.
진단 지표가 되는 검체 검사(바이오마커)로는 뇌척수액 내 아밀로이드 베타(Aβ)42 감소나 타우 단백질 증가 등을 측정하는 방법이 있다. MRI로 아밀로이드 베타를 검출하는 기술도 개발되고 있다. 바이오마커 변화 순서는 아밀로이드 PET, FDG-PET 또는 fMRI, CSF 타우, MRI, 인지 기능 장애 순이다.[358]
임상 경과와 바이오마커로 진단한다. 2011년 미국 국립노화연구소(NIA)와 알츠하이머 협회(AA)는 새로운 치매 및 알츠하이머병 진단 기준을 제안했다. NIA/AA 진단 기준은 다음과 같이 3단계로 질병 단계를 분류한다.
- 전임상 단계 알츠하이머병(preclinical AD)
- 알츠하이머병으로 인한 경도인지장애(MCI due to AD)
- 알츠하이머병성 치매(AD dementia)
8. 치료
알츠하이머병은 아직 근본적인 치료법이 개발되지 않아, 현재는 주로 증상을 완화하는 치료가 이루어지고 있다.[43][174] 치료는 크게 약물 치료, 정신사회적 치료, 간병으로 나뉜다.
알츠하이머병 발병 기전에 대해서는 다양한 가설이 제시되고 있다. 대표적인 가설로는 아밀로이드 가설, 타우 가설, 염증 가설, 신경혈관 가설 등이 있다.
- 아밀로이드 가설: 1991년 처음 제시된 이 가설은 아밀로이드 베타(Aβ) 침전물이 질병의 근본 원인이라고 주장한다. 아밀로이드 전구단백질(APP) 유전자 돌연변이, APOE4 유전형 등이 이 가설을 뒷받침한다. 초기 임상 실험에서는 아밀로이드 플라크 제거 백신이 개발되었으나, 치매 증상 개선에는 큰 효과를 보이지 못했다. 이후 연구에서는 비플라크 Aβ 과점제(ADDLs)가 신경세포 간 통신을 방해하는 독성 물질로 주목받고 있다.
- 타우 가설: 타우 단백질 이상이 질병의 연쇄 반응을 시작한다는 가설이다. 과인산화된 타우 단백질이 엉켜 신경세포 내 신경섬유매듭을 형성하고, 미세관을 파괴하여 세포 골격 구조를 손상시킨다.
- 염증 가설: 뇌의 만성 염증이 알츠하이머병을 유발한다는 가설이다. 만성 치주염, 장내 미생물 불균형 등이 관련 요인으로 제시되고 있다.
- 신경혈관 가설: 혈액뇌장벽 기능 저하가 알츠하이머병과 관련이 있다는 가설이다.
이 외에도 생체 금속 이온 불균형, 흡연, 선천 면역 체계 이상, 대기 오염 노출, 노화로 인한 희소돌기아교세포 및 미엘린 기능 부전 등 다양한 요인이 알츠하이머병 발병에 영향을 미칠 수 있다는 연구 결과들이 발표되고 있다.
구체적인 매커니즘을 바탕으로 알츠하이머병을 설명하는 가설은 다음과 같다.
- 나이 증가 및 알츠하이머병 환자에서 세포 결합이 느슨해지고 맥락총을 통해 림프구가 유입될 수 있다.[429][430] 인간 중추신경계에도 림프계가 존재하며, 면역세포가 뇌로 유입될 수 있다는 사실이 밝혀졌다.[431][432]
- 알츠하이머병 뇌 내 미세아교세포 M1형과 염증 환경은 아밀로이드 베타 침착 및 신경세포 손상을 유발한다.[433] 뇌에서 아밀로이드 베타, 타우 단백질 등은 염증/면역 반응을 일으켜 치매를 유발한다. 미세아교세포는 M1(신경 퇴화)과 M2(신경 보호)로 나뉘는데, M1형은 염증성 인자(TNF-α, IL-1β, 글루탐산)에 의해 유도되어 신경 퇴화를 진행시킨다.[434] 반면 M2형은 아밀로이드 베타 플라크 형성을 억제하고 제거하여 신경을 보호한다.[435] 조절 T 세포는 미세아교세포 표현형을 조절하며, 활성화된 조절 T 세포는 M1형을 M2형으로 전환시킨다.
현재 알츠하이머병 치료는 증상 완화에 초점을 맞추고 있으며, 질병 진행을 멈추거나 되돌리는 치료법은 아직 없다.[436] 2012년 기준으로 1000건 이상의 임상 시험이 진행되었거나 진행 중이지만, 노년층 환자의 증상 진행을 늦추기 위한 정신적 자극, 운동, 균형 잡힌 식사 등이 제안될 뿐, 효과를 입증할 명확한 근거는 부족하다.[436] 알츠하이머병은 환자 자신뿐 아니라 가족, 사회 전체에 큰 부담을 주는 질환으로, 선진국에서는 사회적으로 가장 많은 비용이 드는 질환 중 하나이다.[437]
최근 연구에서는 세포 치료를 통해 알츠하이머병을 억제할 가능성이 제시되고 있다.[442] 특히 미세아교세포 표현형을 조절하는 조절 T 세포가 퇴행성 뇌 질환 개선에 영향을 줄 수 있다는 연구 결과가 발표되었다.[445]
8. 1. 약물 치료
알츠하이머병(AD)의 인지 증상 치료에는 주로 증상 완화를 목표로 하는 약물이 사용된다. 여기에는 4가지 아세틸콜린에스터레이스 억제제(탁린, 리바스티그민, 갈란타민, 도네페질)와 NMDA 수용체 길항제인 메만틴이 있다. 아세틸콜린에스터레이스 억제제는 경증에서 중증, 메만틴은 중등도 또는 중증 알츠하이머병 환자에게 사용된다.[120] 이 약물들의 효과는 크지 않다.[180][175][176][227]
콜린성 뉴런 활동 감소는 알츠하이머병의 잘 알려진 특징이다.[177] 아세틸콜린에스터레이스 억제제는 아세틸콜린(ACh) 분해 속도를 늦춰 뇌 ACh 농도를 높이고, 콜린성 뉴런 사멸로 인한 ACh 손실을 보충한다.[178] 경증-중등도 알츠하이머병에서 이 약물들의 효능에 대한 증거가 있으며,[179][180] 진행 단계 사용에 대한 일부 증거도 있다.[180] 경도인지장애에서 이 약물들은 알츠하이머병 발병 지연 효과가 없었다.[181] 가장 흔한 부작용은 메스꺼움과 구토이며, 콜린성 과다와 관련이 있다. 이는 사용자 약 10~20%에서 나타나며, 경증-중등도 수준이고, 약물 용량 조절로 관리 가능하다.[182] 덜 흔한 부작용은 근육 경련, 심박수 감소, 식욕 및 체중 감소, 위산 생성 증가 등이다.[179]
글루탐산은 신경계 흥분성 신경전달물질이지만, 뇌에서 과도하면 흥분독성을 통해 세포 사멸을 유발한다. 흥분독성은 알츠하이머병 외 파킨슨병, 다발성 경화증 등 다른 신경 질환에서도 발생한다.[183] 메만틴은 비경쟁적 NMDA 수용체 길항제로, 처음에는 항인플루엔자제로 사용되었다. 글루탐산성 시스템에 작용하여 NMDA 수용체를 차단하고 글루탐산 과자극을 억제한다.[183][184] 메만틴은 중등도-중증 알츠하이머병 치료에 약간의 이점이 있다.[185] 관련 부작용은 드물고 경미하며, 환각, 혼란, 현기증, 두통, 피로 등이 있다.[186][187] 메만틴과 도네페질 병용[188]은 "통계적 유의성은 있지만 임상적으로 미미한 효과"를 보인다.[189]
은행나무 추출물 ''EGb 761''은 알츠하이머병 및 기타 신경 정신 질환 치료에 사용되어 왔고,[190] 유럽에서 승인되었다.[191] 세계 생물 정신의학 연맹 지침은 EGb 761을 아세틸콜린에스터레이스 억제제 및 메만틴과 동일한 증거 등급(B등급)으로 분류한다. EGb 761은 알츠하이머병과 혈관성 치매 모두에서 증상 개선을 보인 유일한 약물로, 다른 치료법이 효과 없을 때 자체 또는 추가 치료제로 사용될 수 있다.[190] 그러나 2016년 검토에서는 ''은행나무'' 임상 시험 증거의 질이 알츠하이머병 치료 사용을 뒷받침하기에는 불충분하다고 결론지었다.[192]
비정형 항정신병약은 알츠하이머병 환자의 공격성과 정신병을 줄이는 데 다소 유용하지만, 뇌졸중, 운동 장애, 인지 기능 저하 등 심각한 부작용으로 장점이 상쇄된다.[193] 장기간 사용 시 사망률 증가와 관련 있다.[194] 행동 수정 등 1차 치료 실패 시에만 치매에 권장되며, 부작용 위험으로 최단 시간 사용해야 한다.[115] 이들에게서 항정신병 약물 중단은 안전해 보인다.[195]
도나네맙(donanemab), 아두카누맙(aducanumab), 레카네맙(lecanemab) 등 면역치료제는 아밀로이드 베타를 표적, 질병 경과 변화 가능성이 있다.[277][278][279] 아두카누맙은 2021년 미국 식품의약국(FDA) 신속 승인 절차로 승인되었지만, 논란이 있었고 투여, 안전성, 효과 관련 추가 증거가 필요하다.[280][281][282][283] 이미 심각한 알츠하이머 증상 있으면 효과가 떨어진다.[284] 2024년 초 바이오젠은 아두카누맙 판매 중단을 발표했다.[285]
플라크 제거 및 아밀로이드 단백질 감소시키는 레카네맙(lecanemab)[286]은 FDA 신속 승인 절차로 승인,[287][288][289] 추가 검사 후 아밀로이드 관련 영상 이상 경고 상자 추가, 2023년 7월 기존 승인 전환.[290][291] 2024년 8월 초 현재 일본, 한국, 중국, 홍콩, 이스라엘 판매 승인, 부작용 이유로 7월 26일 유럽연합 자문기구 승인 권고 안함.[285]
플라크 제거하는 도나네맙(donanemab)[286]은 2024년 7월 FDA 승인.[292] 항아밀로이드 약물은 뇌 위축 유발.[293] 콜린에스테라제 억제제 벤즈갈란타민(benzgalantamine) 2024년 7월 FDA 승인.[294]
알츠하이머병 위험 또는 진행 감소 가능 특정 약물들 연구 중.[295] 약물 연구 시험은 Aβ, 플라크, 염증, APOE, 신경전달물질 수용체, 신경 발생, 성장 인자 또는 호르몬 영향 미침.[295][296][297]
전자 건강 기록 이용 기계 학습 알고리즘, 알츠하이머병 조기 예측 방법 연구 중.[298]
8. 2. 비약물 치료
심리적 중재는 약물 치료의 보조 수단으로 사용되며 행동, 감정, 인지, 자극 중심의 접근 방식으로 분류될 수 있다. 효능에 대한 연구는 불가능하며, 대신 치매에 초점을 맞춘 알츠하이머병(AD)에만 한정되는 경우는 드물다.[196]행동 중재는 문제 행동의 선행 요인과 결과를 파악하고 줄이려고 시도한다. 이러한 접근 방식은 전반적인 기능 향상에 성공을 보여주지는 않았지만,[197] 요실금과 같은 특정 문제 행동을 줄이는 데 도움이 될 수 있다.[198] 방황과 같은 다른 행동 문제에서 이러한 기법의 효과에 대한 고품질 데이터는 부족하다.[199][200] 음악 치료는 행동 및 정신 증상을 줄이는 데 효과적이다.[201]
감정 중심 중재에는 회상 치료, 검증 치료, 지지적 정신 치료, 감각 통합(또는 스누젤렌) 및 가상 존재 치료가 포함된다. 코크란 검토에 따르면 이것이 효과적이라는 증거는 없다.[202] 지원적 정신 요법은 공식적인 과학적 연구를 거의 받지 못했으나, 일부 임상의들은 가벼운 장애가 있는 사람들이 그들의 병에 적응하는 것을 돕는 데 유용하다고 생각한다. 회상 치료(RT)는 과거 경험에 대한 개별 또는 집단 토론을 포함하며, 많은 경우 사진, 가정 용품, 음악 및 음향 녹음 또는 과거의 다른 친숙한 물품을 이용한다. 2018년 RT 효과에 대한 검토에 따르면 효과는 일관되지 않고 크기가 작으며 임상적 중요성이 의심스러우며 환경에 따라 다양했다.[203] 가상 존재 치료(SPT)는 애착 이론을 기반으로 하며 알츠하이머병 환자의 가장 가까운 친척의 목소리가 담긴 녹음을 재생하는 것을 포함한다. SPT가 어려운 행동을 줄일 수 있다는 부분적인 증거가 있다. 마지막으로 검증 치료는 타인의 경험에 대한 현실과 개인적 진리의 수용에 기초하고, 감각 통합은 감각을 자극하기 위한 운동에 기초한다. 이 치료법의 유용성을 뒷받침할 증거가 없다.[438]
현실 지향 및 인지 재훈련을 포함하는 인지 중심 치료의 목표는 인지 결손을 줄이는 것이다. 현실 지향은 시간, 장소 또는 사람에 대한 정보를 제시하여 주변 환경과 그곳에서의 자신의 위치에 대한 이해를 돕는 것이다. 반면에 인지 재훈련은 정신 능력을 연습하여 손상된 능력을 향상시키려고 한다. 둘 다 인지 능력 향상에 어느 정도 효과가 있는 것으로 나타났다.[205]
자극 중심 치료에는 미술, 음악 및 애완 동물 치료, 운동 및 기타 모든 종류의 레크리에이션 활동이 포함된다. 자극은 행동, 기분 및 기능(다소 적은 정도)을 개선하는 데 대한 적당한 지지를 받고 있다. 그러나 이러한 효과가 중요하지만, 자극 요법 사용에 대한 주요 지지는 사람의 일상 생활의 변화이다.[196]
산책 등을 통한 낮밤 리듬 개선(광선 요법)[400][401], 정겨운 사진이나 기념품을 곁에 두어 안정감을 주는 회상 요법이나, 옛날 TV 프로그램을 보는 TV 회상 요법 등 약물 이외의 개입이 불면이나 불안 등에 효과적인 경우도 있다. 장기요양보험이나 데이케어 등 사회 자원의 이용도 유용하다.
뇌파에는 동조(entrainment)라고 불리는, 주기적 자극에 의한 활성화 현상이 존재한다. 알츠하이머병(AD) 모델 마우스를 이용한 실험에서, 감마파 동조에 의한 알츠하이머병 치료 효과가 발견되었다.[403] 알츠하이머병(AD) 환자에서의 뇌파 감약은 널리 알려져 있었지만,[404] 이러한 연구에 의해 감마파를 증강함으로써 Aβ 축적 억제[405], 미세아교세포의 활성화[406], 뇌 위축/뇌실 확대 억제, 기억 개선이 일어나는 것이 명확해졌다.
감마파 동조는 감각 자극에 의해서도 유도된다. 감각 자극을 이용한 감마파 동조는 '''GENUS'''(Gamma ENtrainment Using Sensory stimuli영어)라고 불린다. 예를 들어 빛의 점멸(플리커)는 GENUS로 이용할 수 있으며, 인지 기능 개선 효과를 가진다.[407] 시각·청각의 동시 자극에 의한 치료법이 임상 시험에서 검증되고 있으며, 2021년 현재, 1상이 완료[408]되었고, 2상이 진행 중이다.[409]
8. 3. 간병
알츠하이머병은 치료법이 없어 환자는 점차 스스로 자신을 돌볼 수 없게 되므로, 간병이 필수적이다. 간병은 질병 경과 전반에 걸쳐 신중하게 관리해야 한다.[446]초기 및 중기에는 생활 환경과 방식을 மாற்ற அமைத்து 환자의 안전을 높이고 간병인의 부담을 줄일 수 있다.[206][207] 예를 들어 단순화된 일상생활을 유지하고, 안전 장치를 설치하며, 가정 용품에 라벨을 붙여 환자에게 단서를 제공하거나, 일상 용품을 변형하여 사용할 수 있다.[196][208][209] 식사가 어려워지면 음식을 작게 자르거나 퓨레로 만들어야 할 수 있다.[210] 삼키기 어려움이 발생하면 영양 튜브를 사용해야 할 수 있는데, 이 경우 지속적인 영양 공급의 의학적 효과와 윤리에 대해 간병인과 가족이 신중하게 고려해야 한다.[211][212] 알츠하이머병 환자나 간병인에게 해를 끼치는 것을 막기 위해 신체적 구속이 필요한 상황이 있을 수 있지만, 질병의 어떤 단계에서도 신체적 구속은 거의 사용되지 않는다.[196]
질병 말기에는 호스피스의 도움을 받아 사망 시점까지 환자의 불편함을 완화하는 데 집중한다.[213]
9. 예방
알츠하이머병을 치료하는 질병 변형 치료법은 없기 때문에, 알츠하이머병 연구는 발병 및 진행을 예방하기 위한 중재에 초점을 맞추고 있다.[150] 그러나 알츠하이머병 예방에 특정 조치를 뒷받침하는 증거는 없으며,[75] 발병 또는 진행을 예방하기 위한 조치에 대한 연구는 일관되지 않은 결과를 나타냈다. 역학 연구에서는 개인의 알츠하이머병 발병 가능성과 약물, 생활 방식, 식단과 같은 변경 가능한 요인 간의 관계를 제시했지만, 인과관계는 밝혀지지 않았다.
신체 활동 및 인지 활동, 고등 교육 및 직업 수준, 흡연, 스트레스, 수면, 당뇨병 및 고혈압을 포함한 기타 동반 질환 관리와 같은 특정한 생활 습관은 알츠하이머병 발병 위험에 영향을 미칠 수 있다.[156]
- 신체 활동: 치매 발생률 감소와[158] 알츠하이머병 환자의 증상 중증도 감소에 효과적이다.[159] 주 3회 40분 동안의 활발한 걷기 등 유산소 운동을 통해 기억력과 인지 기능을 향상시킬 수 있으며,[160] 뇌의 신경가소성을 유도할 수 있다.[161] 세계보건기구(WHO)의 신체 활동 권장 기준을 충족하는 것은 알츠하이머병의 위험을 낮추는 것과 관련이 있다.[162]
- 정신적 운동: 독서, 크로스워드 퍼즐, 체스와 같은 정신적 운동에 참여하는 것도 예방 효과가 있는 것으로 나타났다.[156]
- 교육 및 직업: 고등 교육 및 직업 수준, 여가 활동 참여는 알츠하이머병 발병 위험 감소[163] 또는 증상 발현 지연에 기여한다. 이는 일부 삶의 경험이 더 효율적인 신경 기능을 초래하여 개인에게 치매 증상 발현을 지연시키는 인지 예비력 이론과 일치한다.[163] 교육은 질병 기간을 변화시키지 않고 알츠하이머병 증후군의 발병을 지연시킨다.[164]
- 금연: 금연은 특히 APOE ɛ4 대립 유전자를 가진 사람들에게 알츠하이머병 발병 위험을 줄일 수 있다.[165][156] 흡연으로 인한 산화 스트레스 증가는 알츠하이머병 발병 위험을 증가시키는 염증 또는 신경 퇴행성 과정을 초래한다.[166] 금연, 금연 상담 및 약물 치료를 사용하고 간접흡연을 피하는 것이 권장된다.[156]
- 흡연이 알츠하이머병의 위험 요인인지에 대해서는 논란이 있었으나, 여러 연구를 통해 흡연이 알츠하이머병 발병 위험을 증가시킨다는 결과가 나왔다.
- 수면: 수면 장애와 알츠하이머병은 관련이 있지만, 정확한 관계는 불분명하다.[167][168] 수면 부족은 Aβ 축적을 유발할 수 있다.[170][167][168] 매일 밤 충분한 수면(약 7~8시간)을 취하는 것은 알츠하이머병 발병을 예방하기 위한 잠재적인 생활 습관 개선이 되었다.[156]
- 스트레스: 스트레스는 알츠하이머병 발병의 위험 요소이다.[156] 스트레스가 알츠하이머병 발병에 어떻게 영향을 미치는지는 불분명하지만, 스트레스를 줄이고 마음을 편안하게 하는 전략은 알츠하이머병 진행을 예방하는 데 도움이 될 수 있다.[172]
세계 23개 연구를 바탕으로 한 메타분석에 따르면, 알츠하이머병의 연간 발생률은 90세까지 지수 함수적으로 증가한다.
산발성 알츠하이머병은 유전자 외에도 환경 요인이 발병에 관여한다. 가장 큰 위험 요인은 노화이며, 뇌혈관장애, 2형 당뇨병, 고혈압, 흡연, 비만, 두부 외상 등도 발병 위험을 높이는 요인이다.
반대로 발병 위험을 낮추는 요인으로는 교육(지적 생활 습관), 여가 활동, 지중해식 식단[328], 신체 활동 등이 있다.
- '''식습관''': 생선, 채소와 과일, 적포도주 섭취 등이 알츠하이머병 발병을 억제하는 것으로 알려져 있다.
- '''정신적 활동 습관''': 텔레비전과 라디오 시청, 카드 게임, 체스 등의 게임, 독서, 악기 연주, 춤 등을 자주 하는 사람은 알츠하이머병 발병 위험이 감소한다는 연구 결과가 있다.
도쿄공과대학 연구팀은 알츠하이머병 예방에 티모퀴논이 효과를 보인다는 것을 보고했다.[387] 연구팀은 티모퀴논이 아밀로이드 베타의 세포독성을 억제하고, 시냅스 활동 저하를 감소시키는 것을 발견했다.[387]
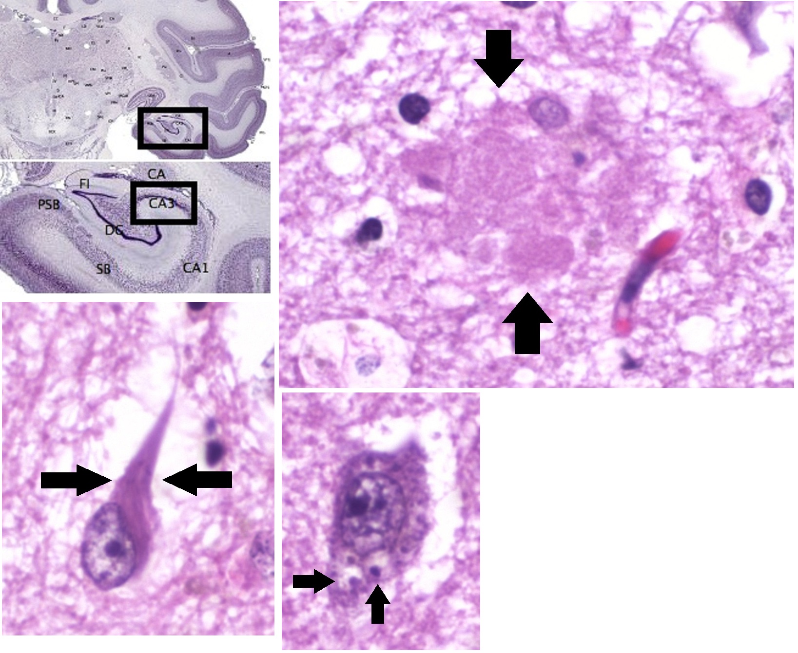
10. 신경병리학
알츠하이머병은 대뇌 피질 및 특정 피질 아래 영역에서 뉴런과 시냅스의 소실을 특징으로 한다. 이러한 손실은 측두엽, 두정엽, 전두엽 피질과 대상회 부분의 변성을 포함한 피해 지역의 심한 위축을 초래한다. 변성은 청반핵 같은 뇌간 핵에도 존재한다.[88][89] MRI와 PET를 이용한 연구는 경도의 인지 장애에서 알츠하이머병으로 진행됨에 따라, 그리고 건강한 노인에서의 비슷한 이미지와 비교할 때 알츠하이머병 환자들에서 특정 뇌 영역의 크기 감소를 보고하고 있다.[90][91]
Aβ 플라크와 신경원섬유 엉킴은 알츠하이머병 환자들의 뇌에서 현미경으로 명확하게 볼 수 있다.[92] 특히 해마에서 그렇다.[93] 그러나 알츠하이머병은 신피질에 신경원섬유 엉킴이 없이도 발생할 수 있다.[94] 플라크는 베타-아밀로이드 펩타이드와 세포 물질의 대부분이 불용성인 밀집된 침전물로, 뉴런의 외부와 주변에 위치한다. 신경원섬유 엉킴은 과인산화되어 세포 내에 축적된 미세소관 결합 단백질 타우의 응집체이다. 많은 고령자들이 노화의 결과로 일부 플라크와 엉킴을 생성하지만, 알츠하이머병 환자의 뇌에는 측두엽과 같은 특정 뇌 영역에 더 많은 수의 플라크와 엉킴이 존재한다.[95] 레비 소체는 알츠하이머병 환자의 뇌에서 드물지 않다.[96]
타우 가설은 타우 단백질 이상이 질병 연쇄 반응을 시작한다고 제안한다.[68] 이 모델에서, 과인산화된 타우는 다른 타우 가닥과 결합하여 쌍나선형 필라멘트를 형성하기 시작한다. 결국, 이들은 뉴런 내부에 신경원 섬유 엉킴을 형성한다.[68] 이러한 현상이 발생하면 미세소관이 분해되어 세포 세포골격의 구조가 파괴되어 뉴런의 수송 시스템이 붕괴된다.[68]
많은 연구에서 알츠하이머병 병리와 관련된 잘못 접힌 아밀로이드 베타 및 타우 단백질이 산화 스트레스를 유발하여 신경 염증을 일으키는 것과 관련이 있다고 밝혔다.[69] 이러한 만성 염증은 파킨슨병 및 ALS를 포함한 다른 신경 퇴행성 질환의 특징이기도 하다.[70] 스피로헤타 감염도 치매와 관련이 있다.[43] 알츠하이머병 환자의 뇌에는 DNA 손상이 축적되며, 활성 산소종이 이 DNA 손상의 주요 원인일 수 있다.[71]
역발생설(Retrogenesis)은 의학적 가설로, 태아가 신경발생 과정(척수 형성(neurulation)에서 수초화까지)을 거치는 것처럼, 알츠하이머병 환자의 뇌는 탈수초화와 축삭(백색질) 사멸로 시작하여 회색질 사멸로 끝나는 역방향 신경퇴행 과정을 거친다는 것이다.[77] 마찬가지로 이 가설은 유아가 인지 발달 단계를 거치는 것처럼, 알츠하이머병 환자는 점진적인 인지 장애의 역 과정을 거친다는 것이다.[78]
한 이론에 따르면, 노화 과정에서 희소돌기아교세포와 관련 수초의 기능 장애는 축삭 손상에 기여하며, 이는 아밀로이드 생성과 타우 과인산화를 유발한다.[79][80] 수초 기능 장애와 아밀로이드증을 시뮬레이션하기 위해 유전자 조작 마우스 모델을 사용한 ''생체 내'' 연구는 노화 관련 수초 퇴행이 Aβ 생성 부위를 증가시키고 Aβ 플라크에서 미세아교세포를 산만하게 만들어, 두 가지 메커니즘이 모두 아밀로이드증을 악화시킨다는 것을 밝혔다.[81] 또한, 탈수초화 질환인 다발성 경화증과 알츠하이머병 사이의 동반 질환이 보고되었다.[82][83]
thumb
알츠하이머병의 기본적인 병리 변화는 알로이스 알츠하이머 자신이 1911년 논문에서 자세히 기술하고 있다. 알츠하이머병 뇌 병변의 특징으로는 신경 세포의 변성 소실과 이에 따른 대뇌 위축, 노인반의 다발, 신경원섬유 변화(NFT)의 다발 세 가지를 들 수 있다. 1980년대에 노인반이 아밀로이드 β 단백질(Aβ)의 응집 축적임이 밝혀졌고, NFT는 미세소관 결합 단백질 중 하나인 타우가 응집 섬유화된 것임이 밝혀졌다. FAD(가족성 알츠하이머병)의 원인이 되는 아밀로이드 전구체 단백질 유전자 변이, 프레세닐린 유전자 변이의 어느 쪽도 Aβ의 생산 항진을 유도하는 것이 판명되었다.
노인반(senile plaque, SP)은 은염색으로 짙게 염색되는 지름 수십에서 수백 마이크로미터 정도의 반점 모양 구조물이다. 세포 밖에 존재한다. 알츠하이머병에서는 대뇌 피질에 다량의 노인반이 나타난다. 노인반은 Aβ의 응집 축적에 의해 형성되지만, 어느 정도 이상의 크기와 밀도를 가진 축적의 경우, 노인반 내부와 그 주변에 있는 신경돌기의 변성이 발생한다. 변형 신경돌기의 절반 이상에서 NFT와 신경섬유 엉킴의 타우 응집 축적이 일어나고 있다. Aβ의 축적은 반점 모양 구조, 솜털 같은 것, 드문드문한 축적 등 다양한 형태를 취한다. Aβ는 분자량 약 4kD의 작은 단백질로 38~43개의 아미노산으로 구성되며, 695~770개의 아미노산으로 구성된 1회 막관통형 아밀로이드 전구 단백질(APP)에서 프로테아제에 의해 잘려져 생성된다. 여러 가지 분자종이 알려져 있으며, 그 분자종들은 성질의 차이로 C말단이 짧은 Aβ40과 긴 Aβ42로 크게 나뉜다. Aβ의 생성 자체는 생리적인 현상이다. Aβ40은 물에 잘 녹고 응집, 축적이 잘 일어나지 않는 반면 Aβ42는 응집 경향이 강하다. 노인반 형성 과정에서는 Aβ42의 침착이 먼저 일어나고, 후기 단계에서 그에 휩쓸리듯 Aβ40도 침착된다고 생각된다. 노인반에서는 Aβ 축적과 변성 신경돌기 형성 외에도 신경교세포의 반응이 일어나고 있다. 노인반 중앙부에는 활성화된 미세아교세포가 집합체를 이루고, 주변부에는 활성화된 성상교세포가 노인반을 둘러싸듯이 존재한다. 노인반은 만성 염증성 변화로 생각된다. 성상교세포는 미세아교세포와 마찬가지로 Aβ 제거 및 염증성 인자 생성, 그리고 노인반이라는 만성 염증성 병변을 주변 뇌 조직으로부터 격리하는 기능을 수행한다고 추측된다.
아밀로이드 침착은 기본적으로 아밀로이드 밀도가 높은 핵(또는 중심)을 가진 전형적인 노인반[347]과 밀도가 낮은 미만성 노인반[348]의 두 가지 유형이 있다는 것이 알려져 있다.
노인반은 Aβ 침착으로 이루어진 호산성 반점 모양 구조물로, 세포외 기질, 즉 뉴로필에 형성된다. 전형적인 노인반(또는 고전적인 노인반)은 중앙부의 코어와 그 주변의 종창된 축삭(dystrophic neurite, DN)을 가지고 있다. 원시 노인반은 Aβ 침착을 가지고 있지만, 코어는 명확하지 않지만 DN을 동반하고 있다. 전형적인 노인반과 원시 노인반은 DN을 가진 특징으로 neuritic plaque(NP)라고 불린다. NP는 특히 생리적인 노화와의 비교에서 알츠하이머병 병리를 크게 특징짓는 것이다. DN은 p-tau 염색에서 양성이다. 미만성 노인반은 Aβ 침착을 가지고 있지만, 그 윤곽은 불명확하고 코어는 보이지 않으며, 또한 DN이나 기타 p-tau 병변을 동반하지 않으며 생리적 노화에서도 널리 인정된다.
신경원섬유변화(NFT)[349]는 신경세포의 세포체에 발생하는 섬유상의 응집체로, 그 미세구조는 장경 10나노미터의 필라멘트가 두 개씩 나선형 쌍을 이룬 섬유의 집합체이며, 규칙적인 잘록한 구조를 갖는다. 나선형 쌍을 이룬 섬유를 쌍나선섬유(PHF)[350]라고 한다. PHF는 타우가 중합하여 β-시트 구조를 형성함으로써 발생한다. PHF를 구성하는 타우는 일반적인 타우와 달리 과도하게 인산화되어 있다. PHF는 세포질 내에 있으면서 프로테아제 저항성을 갖는다. 주요 구성 단백질인 타우는 신경세포 축삭에서 미세소관의 안정화에 관여하는 인자이다. 타우의 C말단에는 미세소관 결합 부위와 반복 배열이 있다. 알츠하이머병에서는 3R과 4R 모두의 아이소폼으로 구성된다. NFT는 은염색 양성이며, 갈리아스 블랙 염색이 자주 사용된다. 타우의 응집 및 축적 과정에서 분자 구조가 변화하기 때문에 면역염색에서는 에피토프가 소실될 수도 있으므로 주의가 필요하다.
NFT는 우선 신경세포의 세포체 내에 형성되어 intracellular NFT (iNFT)라고 불린다. 해마 및 해마주위의 iNFT는 화염상이며, 그 주성분은 p-tau이다. 신경세포의 사멸에 따라 NFT가 세포외로 침착되면, 호산성이 증가하여 extracellular NFT (eNFT) 또는 고스트 탱글이 된다. 또한 배경에는 변성된 수상돌기(HE 염색에서는 확인할 수 없는 뉴로필 스레드)가 다수 관찰되며 p-tau 양성이다. 또한 해마에서는 평야소체 및 과립공포변성도 관찰된다. 이러한 알츠하이머병 병변은 회백질을 중심으로 하며, 말기에서도 백질은 잘 보존되어 있다. 진행성핵상성마비, 대뇌피질기저핵변성증, 다계통위축증에서는 백질에도 일차적 병변이 인지되는 것과 대조적이다.
알츠하이머병에서는 뇌 실질에 나타나는 노인반 외에도, 뇌혈관벽에 콩고 레드(Congo red) 양성인 아밀로이드가 축적되는 뇌혈관아밀로이드증(뇌아밀로이드 혈관병증, CAA)을 동반하는 비율이 높다. 이것이 뇌출혈의 원인이 된다. 특히 가족성 알츠하이머병에서 APP 유전자 내에 Aβ의 내부 배열에 변이가 발생하면 뇌아밀로이드 혈관병증을 다발하는 경우가 많다. 혈관 아밀로이드는 중막과 외막 사이의 기저막에 드물게 축적되고, 진행적으로 전주성으로 축적되어 평활근 세포의 소실을 초래한다.
병리의 시간적 경과 분석은 주로 다운증후군 환자의 부검 뇌를 이용한 연구에서 밝혀졌다. 다운증후군 환자에서는 알츠하이머병의 병리적 변화가 30대부터 나타나고 나이가 들면서 진행된다. 아밀로이드의 축적은 30대부터 시작되고, 40세 이후에 신경원섬유 변화가 나타난다. 또한 신경원섬유 변화가 있는 경우에는 반드시 노인반을 동반하는 것으로 밝혀졌다. 다운증후군은 21번 염색체 삼염색체이기 때문에 21번 염색체에 존재하는 APP 유전자가 정상인의 1.5배 존재한다. 그 결과 APP의 mRNA도 정상인보다 많아 조발성 치매가 된다고 생각된다.
AD(알츠하이머병)의 본질적인 병변은 신경세포 소실, 노인반, 신경섬유매듭(NFT)이다. 그러나 우연한 합병증으로 생각되는 것 이상으로 레비소체, TDP-43 등 다른 질환의 특징적인 병변이 동반되어 임상 양상에 영향을 미친다. 병리 기전의 일부는 공통적이라고 생각된다. 병리 진단에서 레비소체 치매와 AD가 합병된 경우에는 AD의 특징 정도를 우선적으로 판단하게 된다. 알츠하이머병과 레비소체 치매의 합병례는 매우 많다.[351] 임상 진단이 알츠하이머병이었던 사례의 32~40%에서 병리 진단은 알츠하이머병과 레비소체 치매의 합병이었다는 보고가 있다. 또한 임상 진단이 레비소체 치매였던 사례의 32~52%에서 병리 진단은 알츠하이머병과 레비소체 치매의 합병이었다. 또한 병리 진단에서 알츠하이머병과 레비소체 치매의 합병으로 진단된 사례의 61%는 임상 진단이 알츠하이머병이었다.
알츠하이머병에서 관찰되는 병리적 변화는 생리적인 노화에서도 나타나기 때문에 질적인 진단은 어렵다. 따라서 반정량적·반정성적인 병리 진단이 이루어진다.
Braak에 의한 병기 분류는 신경원섬유변화(NFT)를 이용한 Braak NFT 병기와 노인반(SP)을 이용한 Braak SP 병기가 있다.
; Braak NFT 병기
은염색을 기반으로 한 것[352]과 p-tau(AT8) 면역염색을 기반으로 한 것[353]이 있지만, 일반적으로는 p-tau 면역염색을 사용하는 것이 실질적인 것으로 여겨진다. 병변은 측두엽 내측에서 시작하여(병기Ⅰ~Ⅱ), 해마・변연계에 이르고(병기Ⅲ~Ⅳ), 마지막으로 신피질로 진행된다(병기Ⅴ~Ⅵ). 일차 피질(일차운동영역, 체성감각영역, 시각영역, 청각영역)이 가장 마지막에 손상된다(병기Ⅵ).
; Braak SP 병기
Braak 등은 은염색을 사용하고 있지만[354] 일반적으로는 Aβ 면역염색을 사용하는 것이 실질적인 것으로 여겨진다. 노인반의 축적은 신피질 하면(전두엽・측두엽・후두엽)에서 시작하여(병기 A), 다음으로 신피질(연합영역) 전체에 이르고, 또한 해마가 손상되기 시작하며(병기 B), 마지막으로 일차 피질(일차운동영역, 체성감각영역)이 손상된다(병기 C). 대뇌기저핵이나 시상에 축적이 보이는 것도 병기 C이다. p-tau 병변과는 달리, 모든 병기를 통틀어 해마에서의 노인반 축적은 비교적 경미한 수준에 머문다.
알츠하이머병 등록을 위한 컨소시엄(CERAD) 점수[355]는 생리적 노화에서는 잘 나타나지 않으며, AD 조직의 큰 특징인 신경염증 플라크(neuritic plaque)를 반정량화하여(NP 점수) 사망 시 연령에 따른 가중치를 부여하여 조직학적으로 알츠하이머병의 특징을 판정한다. CERAD 점수를 만든 Mirra 등은 신경염증 플라크(NP)를 시각화하기 위해 Bielschowsky 은 염색 또는 thioflavine S 형광 염색을 사용했지만, 일반적으로는 Aβ 면역염색(전형적인 노인반을 센다) 또는 p-tau 면역염색(p-tau 양성 NP를 센다)을 사용하는 것이 실제적으로 적합하다고 생각된다.
Thal SP(Aβ) phase 또는 타르(Thal) 등의 기준[356]은 Braak SP stage와 달리 대뇌뿐 아니라 뇌간과 소뇌를 포함하여 그 노인반 침착을 은염색 또는 Aβ 면역염색으로 분류하는 것이지만, Aβ 면역염색을 사용하는 것이 실제적으로 보인다. 5단계의 phase로 나뉜다. Phase 1에서는 노인반이 신피질에만 국한된다. Phase 2에서는 노인반이 신피질뿐만 아니라 변연피질(해마와 대상회 등)에 분포한다. Phase 3에서는 더 나아가 간뇌(시상과 시상하부)와 선조체에 분포한다. Phase 4에서는 더 나아가 뇌간 여러 핵(흑질과 적핵, 하올리브핵 등)에 분포한다. Phase 5에서는 더 나아가 소뇌와 뇌간 여러 핵(교핵, 청반핵 등)에 분포한다.
ABC 점수[357]는 알츠하이머병의 진행 양식을 종합적으로 포함한 것으로, 조직학적인 알츠하이머병의 특징을 4가지 범주(없음, 낮음, 중간, 높음)로 분류한다. 그리고 중간 또는 높음은 그 인지 장애를 설명하기에 충분한 알츠하이머병 병리로 간주된다. NIA-AA의 병리 진단 기준도 ABC 점수이다. 병합 병변도 함께 평가한다.
신경변성질환을 배경으로 한 수두증은 neurodegenerative NPH라고 불리기도 한다.[411]. 진행성핵상성마비, 대뇌피질기저핵변성증, 알츠하이머병 및 파킨슨병과 특발성정상압수두증의 동반이 자주 보고되고 있다. 신경변성질환의 동반이 있는 경우 션트술의 효과는 제한적이며 증상의 개선이 일시적이 될 수 있다.[412][413][414][415]. 생전에 특발성정상압수두증으로 진단되어 션트술을 시행했으나 최종적인 병리진단이 알츠하이머병이라는 보고례도 있다.[416]. 특발성정상압수두증에 특징적인 DESH 소견을 보이고 션트술이 유효했던 예의 대부분은 알츠하이머병을 나타내는 뇌척수액 소견을 보였다는 보고가 있다.[417]
11. 생화학
뇌의 정상 프리온 단백질이 악성 프리온에 의해 변성되어 기능을 상실하는 메커니즘과 유사하다는 것이 밝혀졌다. 알츠하이머 유전자로부터 알츠하이머 단백질이 생성되는데, 알츠하이머 아밀로이드 플라크가 정상 알츠하이머 단백질을 변성시켜 하나의 큰 녹지 않는 아밀로이드 플라크를 생성한다. 또한 프리온과 알츠하이머 단백질이 같은 염료에 반응한다는 것이 확인되었다. 하지만 프리온과는 다르게 일반적인 조직 주사로 전염되지 않으며, 알츠하이머 플라크의 전염성은 보고된 바 없다.
알츠하이머병은 비정상적으로 접힌 아밀로이드 베타(Aβ)가 세포 밖에 아밀로이드 플라크를, 타우 단백질이 세포 내에 신경 원섬유 엉킴을 형성하여 뇌 신경 세포 기능과 연결성에 영향을 미치고, 그 결과 뇌 기능이 점진적으로 손실되는 단백질 잘못 접힘 질환(proteopathy)으로 확인되었다.[38][39] 이러한 변화된 단백질 제거 능력은 나이와 관련이 있으며, 뇌 콜레스테롤에 의해 조절되고, 다른 신경퇴행성 질환과 관련이 있다.[40][41][42]
알츠하이머병은 비정상적으로 접힌 아밀로이드 베타 단백질이 아밀로이드 플라크를 형성하고, 타우 단백질이 신경 원섬유 엉킴을 형성함으로써 발생하는 단백질병증이다.[68] 플라크는 39~43개의 아미노산으로 이루어진 작은 펩타이드인 아밀로이드 베타로 구성된다. 아밀로이드 베타는 세포막을 관통하는 막관통 단백질인 아밀로이드 전구체 단백질(APP)의 단편이다. APP는 뉴런의 성장, 생존 및 손상 후 회복에 중요하다.[68] 알츠하이머병에서 감마-세크레타제와 베타-세크레타제는 단백질 분해 과정에서 함께 작용하여 APP를 더 작은 단편으로 나눈다.[68] APP와 그 처리 효소는 다른 뇌 세포에서도 풍부하게 발현되지만, 일반적으로 뉴런 단백질로 연구된다. 이러한 단편 중 하나는 아밀로이드 베타의 섬유를 생성하고, 이는 뉴런 외부에 아밀로이드 플라크로 알려진 밀집된 형태로 침착된다.[68] 흥분성 뉴런은 주요 세포외 플라크 침착에 기여하는 아밀로이드 베타의 주요 생성 세포로 알려져 있다.[68]
thumb
알츠하이머병은 비정상적인 타우 단백질 응집으로 인해 타우병증으로 간주되기도 한다. 모든 뉴런은 세포골격을 가지고 있으며, 이는 부분적으로 미세소관이라고 불리는 구조로 구성된 내부 지지 구조이다. 이러한 미세소관은 영양소와 분자를 세포체에서 축삭 말단으로, 그리고 다시 돌아오게 하는 통로 역할을 한다. ''타우''라고 불리는 단백질은 인산화되었을 때 미세소관을 안정화시키므로 미세소관 결합 단백질이라고 불린다. 알츠하이머병에서 타우는 화학적 변화를 겪어 과인산화되고, 다른 섬유와 결합하여 신경원섬유 엉킴을 생성하고 뉴런의 수송 시스템을 파괴한다.[97] 병원성 타우는 또한 전위인자 조절 이상을 통해 뉴런 사멸을 유발할 수 있다.[98] 타우 엉킴이 있는 뇌세포의 세포 사멸 기전으로 괴사성 세포괴사도 보고되었다.[99][100]
12. 사회와 문화
알츠하이머병은 사회와 문화 전반에 걸쳐 다양한 영향을 미친다.
12. 1. 사회적 비용
치매, 특히 알츠하이머병은 전 세계 사회에 가장 큰 비용을 초래하는 질병 중 하나일 수 있다.[248] 인구 고령화에 따라 이러한 비용은 증가하여 중요한 사회 문제이자 경제적 부담이 될 것이다.[249] 알츠하이머병과 관련된 비용에는 직접 의료비와 간접 의료비가 포함되며, 알츠하이머병 환자에 대한 사회적 돌봄에 따라 국가마다 다르다.[248][250][251] 직접 비용에는 의사 방문, 병원 치료, 의료 치료, 요양원 치료, 특수 장비 및 가계 비용이 포함된다.[248][249] 간접 비용에는 비공식적 돌봄 비용과 비공식적 돌봄 제공자의 생산성 감소가 포함된다.[249]미국에서는 2019년 기준으로, 비공식적(가족) 돌봄이 알츠하이머병 환자 돌봄의 거의 4분의 3을 차지하는 것으로 추산되며, 연간 2340억달러의 비용과 약 185억 시간의 돌봄이 필요하다.[248] 알츠하이머병 환자를 돌보는 데 드는 전 세계 사회적 비용은 거의 10배 증가하여 2050년까지 약 9.1조달러에 이를 것으로 예상된다.[250]
더 심각한 치매나 행동 장애가 있는 사람들의 비용은 더 높으며, 신체적 돌봄을 제공하는 데 드는 추가적인 돌봄 시간과 관련이 있다.[251]
치매 증상으로 일상생활에 지장이 있는 경우 정신장애인 복지수첩을 신청할 수 있다. 치매가 진행됨에 따라 보행장애나 파킨슨증후군과 같은 신경 증상이 나타나는 경우 장애인 복지카드를 취득할 수도 있다.[410]
또한, 외래 치료의 의료비 자기 부담이 10%로 경감되는 정신질환자 의료비 지원 제도를 이용할 수 있다. 생활이나 직장 생활이 불가능한 상태라면 장애연금을 받을 수 있는 경우도 있다.[410]
12. 2. 간병 부담
알츠하이머병 환자는 평생 동안 도움이 필요하며, 그 돌봄은 종종 배우자나 가까운 친척이 맡는 전일제 돌봄 제공자의 형태로 이루어진다. 돌봄은 신체적, 정서적 부담뿐만 아니라 때때로 돌봄을 제공하는 사람에게 시간적, 재정적 압박을 주는 경향이 있다.[252][253] 알츠하이머병은 사회적, 심리적, 신체적 또는 경제적 측면에서 돌봄 제공자에게 큰 부담을 주는 것으로 알려져 있다.[13][254][255] 가정 돌봄은 알츠하이머병 환자와 그 가족 모두에게 일반적으로 선호된다.[256] 이러한 선택은 더 전문적이고 비용이 많이 드는 수준의 돌봄의 필요성을 지연시키거나 없애기도 한다.[256][257] 그럼에도 불구하고 요양원 거주자의 3분의 2는 치매를 앓고 있다.[196]치매 돌봄 제공자는 신체적 및 정신적 질환의 발병률이 높다.[258] 주요 돌봄 제공자의 정신사회적 문제가 더 심각한 것과 관련된 요인으로는 환자가 집에 있는 경우, 돌봄 제공자가 배우자인 경우, 우울증, 행동 장애, 환각, 수면 문제 또는 보행 장애와 같은 환자의 요구가 많은 행동, 그리고 사회적 고립 등이 있다.[259][260] 미국에서는 치매 환자를 돌보는 데 드는 연간 비용이 41689USD에서 56290USD에 이른다.[261] 다른 추정치는 공식적인 의료비가 연간 28078USD에서 56022USD이고, 친척이나 친구가 제공하는 비공식적인 돌봄(비공식적 돌봄 제공자가 제공하는 돌봄에 대한 시장 가치 대체 비용을 가정)은 36667USD에서 92689USD, 손실된 임금은 15792USD에서 71813USD에 이른다.[262]
인지 행동 치료와 개별 또는 그룹으로 대처 전략을 가르치는 것은 돌봄 제공자의 심리적 건강을 개선하는 데 효과가 있음을 보여주었다.[13][263]
치매 증상으로 일상생활에 지장이 있는 경우 정신장애인복지수첩을 신청할 수 있다. 치매(認知症)가 진행됨에 따라 보행장애나 파킨슨증후군(パーキンソニズム)과 같은 신경 증상이 나타나는 경우 장애인복지카드(身体障がい者手帳)를 취득할 수도 있다.[410]
또한, 외래 치료의 의료비 자기 부담이 10%로 경감되는 自立支援医療制度를 이용할 수 있다. 생활이나 직장 생활이 불가능한 상태라면 장애연금(障害年金)을 받을 수 있는 경우도 있다.[410]
12. 3. 미디어
알츠하이머병은 여러 영화에서 다뤄졌다. 대표적인 영화로는 ''아이리스''(2001)가 있는데, 존 베일리가 자신의 아내 아이리스 머독에 대해 쓴 회고록을 바탕으로 제작되었다.[264] ''노트북''(2004)은 니콜라스 스파크스의 1996년 동명 소설을 원작으로 한다.[265] 이 외에도 ''어느 날 갑자기''(2004), ''탄마트라(Thanmathra)''(2005),[266] 오기와라 히로시의 동명 소설을 원작으로 하는 ''내일의 기억(Memories of Tomorrow)''(2006),[267] 앨리스 먼로의 단편 소설 곰이 산 너머로 왔다를 바탕으로 만들어진 ''그녀에게서''(2006)가 있다.[268] 리사 제노바의 2007년 동명 소설을 원작으로 하며, 조기 발병 알츠하이머병을 앓는 컬럼비아 대학교 교수의 이야기를 다룬 ''스틸 앨리스''(2014)에서는 줄리안 무어가 주연을 맡았다.[269] 알츠하이머병을 다룬 다큐멘터리로는 말콤 포인턴이 출연한 ''말콤 앤 바바라: 러브 스토리''(1999)와 ''말콤 앤 바바라: 러브스 페이어웰''(2007)이 있다.[270][271]영국의 뮤지션 더 케어테이커는 자신의 음악에서 알츠하이머병을 묘사했다. ''Persistent Repetition of Phrases''(2008), ''An Empty Bliss Beyond This World''(2011), ''Everywhere at the End of Time''(2016~2019) 등의 작품에서 이를 확인할 수 있다.[272][273][274] 미국의 화가 윌리엄 우터몰렌은 1995년부터 2000년까지 자신의 질병을 예술을 통해 보여주는 실험으로 자화상을 그렸다.[275][276]
13. 연구 동향
아밀로이드 베타를 표적으로 삼는 면역치료제인 도나네맙(donanemab), 아두카누맙(aducanumab), 레카네맙(lecanemab) 등의 항체는 질병 경과를 변화시킬 가능성이 있다.[277][278][279] 아두카누맙은 2021년 미국 식품의약국(FDA)의 신속 승인 절차를 통해 승인되었으나, 투여, 안전성, 효과에 대한 추가 증거가 필요하다는 논란이 있었다.[280][281][282][283] 이미 심각한 알츠하이머 증상을 보이는 사람에게는 효과가 떨어지며,[284] 2024년 초 바이오젠은 아두카누맙 판매 중단을 발표했다.[285]
레카네맙(lecanemab)은 플라크를 제거하고 아밀로이드 단백질을 감소시키며,[286] FDA 신속 승인 절차를 통해 승인되었다.[287][288][289] 이후 아밀로이드 관련 영상 이상에 대한 경고 상자를 추가하여 2023년 7월에 기존 승인으로 전환되었다.[290][291] 2024년 8월 초 현재 레카네맙은 일본, 한국, 중국, 홍콩, 이스라엘에서 판매가 승인되었지만, 유럽 연합 자문기구는 부작용을 이유로 2024년 7월 26일 승인을 권고하지 않았다.[285]
플라크를 제거하는 도나네맙(donanemab)은 2024년 7월 FDA의 승인을 받았다.[292] 항아밀로이드 약물은 뇌 위축을 유발하기도 한다.[293] 콜린에스테라제 억제제인 벤즈갈란타민(benzgalantamine)은 2024년 7월 FDA 승인을 받았다.[294]
알츠하이머병의 위험 또는 진행을 줄일 수 있는 특정 약물들이 연구되고 있으며,[295] 이러한 연구는 주로 Aβ, 플라크, 염증, APOE, 신경전달물질 수용체, 신경 발생, 성장 인자 또는 호르몬에 영향을 미치는 약물을 조사한다.[295][296][297]
전자 건강 기록을 이용한 기계 학습 알고리즘을 통해 알츠하이머병을 조기에 예측하는 방법이 연구되고 있다.[298] 2024년 현재, 초점형 초음파를 이용하여 혈뇌장벽(BBB)을 통과하는 약물 전달 기술이 새로운 방법으로 검증되고 있다. 초점형 초음파는 초음파 빔이 집중되는 지점에서 절개나 방사선 없이 여러 치료 효과를 생성하며, 이는 혈뇌장벽(BBB) 개방을 유발하여 뇌에서 베타 아밀로이드 또는 타우 단백질을 제거하는 데 도움이 될 수 있다.[299]
참조
[1]
웹사이트
Ask the Doctors - What is the cause of death in Alzheimer's disease?
https://www.uclaheal[...]
2024-03-18
[2]
Review
Lewy Body Dementias: Dementia With Lewy Bodies and Parkinson Disease Dementia
2016-04-01
[3]
논문
Dementia in Down syndrome: unique insights for Alzheimer disease research
2019-03-01
[4]
웹사이트
How Alzheimer's drugs help manage symptoms
https://www.mayoclin[...]
2024-03-19
[5]
논문
Predictors of Life Expectancy in Autopsy-Confirmed Alzheimer's Disease
2022-01-01
[6]
논문
Survival in dementia and predictors of mortality: a review
2013-11-01
[7]
웹사이트
Dementia Fact sheet
https://www.who.int/[...]
World Health Organization
2023-07-10
[8]
논문
Alzheimer's disease
2009-02-01
[9]
웹사이트
Study reveals how APOE4 gene may increase risk for dementia
https://www.nia.nih.[...]
National Institute on Aging
2021-03-16
[10]
웹사이트
Alzheimer's Disease Fact Sheet
https://www.nia.nih.[...]
National Institute on Aging
[11]
웹사이트
Dementia diagnosis and assessment
http://pathways.nice[...]
National Institute for Health and Care Excellence (NICE)
[12]
보고서
Dementia: assessment, management and support for people living with dementia and their carers
https://www.nice.org[...]
National Institute for Health and Care Excellence
2018-06-20
[13]
논문
Systematic review of information and support interventions for caregivers of people with dementia
2007-07-01
[14]
Submitted manuscript
Exercise programs for people with dementia
2015-04-01
[15]
웹사이트
Low-dose antipsychotics in people with dementia
https://www.nice.org[...]
National Institute for Health and Care Excellence (NICE)
[16]
웹사이트
Information for Healthcare Professionals: Conventional Antipsychotics
https://www.fda.gov/[...]
US Food and Drug Administration
2008-06-16
[17]
웹사이트
Alzheimer's Disease Fact Sheet
https://www.nia.nih.[...]
National Institute on Aging
[18]
논문
Early-onset Alzheimer's disease: nonamnestic subtypes and type 2 AD
2012-11-01
[19]
논문
Alzheimer's pathogenic mechanisms and underlying sex difference
2021-06-01
[20]
웹사이트
The top 10 causes of death
https://www.who.int/[...]
2024-03-19
[21]
웹사이트
Fiscal Year 2026 NIH Professional Judgment Budget for Alzheimer's Disease and Related Dementias Research: Advancing Progress in Dementia Research
https://www.nia.nih.[...]
US National Institutes of Health
2024-09-23
[22]
웹사이트
Horizon Europe research programme
https://www.alzheime[...]
[23]
웹사이트
Alzheimer's disease – Symptoms
https://www.nhs.uk/c[...]
2018-05-10
[24]
논문
Recommendations for the diagnosis and management of Alzheimer's disease and other disorders associated with dementia: EFNS guideline
2007-01-01
[25]
논문
Multiple cognitive deficits during the transition to Alzheimer's disease
2004-09-01
[26]
논문
Instrumental activities of daily living: a stepping-stone towards Alzheimer's disease diagnosis in subjects with mild cognitive impairment?
[27]
서적
Psychopharmacology of Neurologic Disease
Elsevier
2019-01-01
[28]
서적
Bradley's neurology in clinical practice
Elsevier/Saunders
[29]
논문
Practice guideline update summary: Mild cognitive impairment: Report of the Guideline Development, Dissemination, and Implementation Subcommittee of the American Academy of Neurology
2018-01-01
[30]
논문
Clinical features of Alzheimer's disease
[31]
논문
Memory deficits in Alzheimer's patients: a comprehensive review
1992-06-01
[32]
논문
Implicit memory performance of patients with Alzheimer's disease: a brief review
[33]
논문
Language performance in Alzheimer's disease and mild cognitive impairment: a comparative review
2008-07-01
[34]
논문
Effect of Alzheimer's disease on communication function
1994-09-01
[35]
논문
Sundowning and circadian rhythms in Alzheimer's disease
2001-05-01
[36]
논문
When home caregiving ends: a longitudinal study of outcomes for caregivers of relatives with dementia
1995-01-01
[37]
논문
Paradoxical lucidity: A potential paradigm shift for the neurobiology and treatment of severe dementias
2019-08-01
[38]
웹사이트
Alzheimer's disease – Causes
https://www.nhs.uk/c[...]
2023-04-24
[39]
논문
Familial Alzheimer's disease mutations at position 22 of the amyloid β-peptide sequence differentially affect synaptic loss, tau phosphorylation and neuronal cell death in an ex vivo system
2020-01-01
[40]
논문
Regulation of beta-amyloid production in neurons by astrocyte-derived cholesterol
2021-08-01
[41]
논문
The role of protein clearance mechanisms in organismal ageing and age-related diseases
2014-12-01
[42]
서적
Apoptosis
Oxford University Press
2002-01-01
[43]
Review
Comprehensive Review on Alzheimer's Disease: Causes and Treatment
2020-12-01
[44]
논문
Amyloid deposition as the central event in the aetiology of Alzheimer's disease
1991-10-01
[45]
논문
Alzheimer's disease-do tauists and baptists finally shake hands?
2002-01-01
[46]
논문
Apolipoprotein E, dementia, and cortical deposition of beta-amyloid protein
1995-11-09
[47]
논문
The complex genetic architecture of Alzheimer's disease: novel insights and future directions
2023-04-01
[48]
논문
Alzheimer's disease
2021-04-01
[49]
논문
The multiplex model of the genetics of Alzheimer's disease
https://orca.cardiff[...]
2020-03-01
[50]
논문
Mechanisms of neurodegeneration — Insights from familial Alzheimer's disease
https://www.scienced[...]
2020-09-01
[51]
논문
Genetics of familial and sporadic Alzheimer's disease
2013-01-01
[52]
논문
Microglia in Alzheimer's Disease in the Context of Tau Pathology
2020-10-01
[53]
논문
Apolipoprotein E4: a causative factor and therapeutic target in neuropathology, including Alzheimer's disease
2006-04-01
[54]
논문
Alzheimer's disease
2006-07-01
[55]
논문
Cholesterol, APOE genotype, and Alzheimer disease: an epidemiologic study of Nigerian Yoruba
2006-01-01
[56]
논문
APOE epsilon4 is not associated with Alzheimer's disease in elderly Nigerians
2006-01-01
[57]
논문
Alzheimer Disease: An Update on Pathobiology and Treatment Strategies
2019-10-01
[58]
논문
What contribution can genetics make to predict the risk of Alzheimer's disease?
https://www.scienced[...]
2022-05-01
[59]
논문
Alzheimer's Disease and Frontotemporal Dementia: The Current State of Genetics and Genetic Testing Since the Advent of Next-Generation Sequencing
2018-10-01
[60]
논문
Genetics of familial and sporadic Alzheimer s disease
2013-01-01
[61]
논문
Translating cell biology into therapeutic advances in Alzheimer's disease
1999-06-01
[62]
논문
Familial Alzheimer's disease-linked presenilin 1 variants elevate Abeta1-42/1-40 ratio in vitro and in vivo
1996-11-01
[63]
논문
Genetics of Alzheimer's Disease
2018-12-01
[64]
논문
The role of TREM2 in Alzheimer's disease and other neurodegenerative disorders
https://discovery.uc[...]
2018-08-01
[65]
논문
[Involvement of beta-amyloid in the etiology of Alzheimer's disease]
2010-07-01
[66]
논문
A new amyloid beta variant favoring oligomerization in Alzheimer's-type dementia
2008-03-01
[67]
논문
APP Osaka Mutation in Familial Alzheimer's Disease-Its Discovery, Phenotypes, and Mechanism of Recessive Inheritance
2020-02-01
[68]
논문
Invited Review: APOE at the interface of inflammation, neurodegeneration and pathological protein spread in Alzheimer's disease
2019-06-01
[69]
논문
Alzheimer's Disease, Inflammation, and the Role of Antioxidants
2020-06-01
[70]
논문
Inflammation as a central mechanism in Alzheimer's disease
2018-01-01
[71]
논문
Contributions of DNA Damage to Alzheimer's Disease
2020-02-00
[72]
논문
Implications of sleep disturbance and inflammation for Alzheimer's disease dementia
2019-03-00
[73]
논문
Is Sleep Disruption a Cause or Consequence of Alzheimer's Disease? Reviewing Its Possible Role as a Biomarker
2020-02-00
[74]
논문
Metal Toxicity Links to Alzheimer's Disease and Neuroinflammation
2019-04-00
[75]
논문
Alzheimer disease
2021-05-00
[76]
논문
Neuroinflammation – an early event in both the history and pathogenesis of Alzheimer's disease
[77]
논문
Integrating retrogenesis theory to Alzheimer's disease pathology: insight from DTI-TBSS investigation of the white matter microstructural integrity
2015
[78]
논문
Retrogenesis: clinical, physiologic, and pathologic mechanisms in brain aging, Alzheimer's and other dementing processes
1999
[79]
논문
Alzheimer's disease as homeostatic responses to age-related myelin breakdown
2011-08-00
[80]
논문
Oligodendrocytes and Alzheimer's disease
2016
[81]
논문
Myelin dysfunction drives amyloid-β deposition in models of Alzheimer's disease
2023-06-00
[82]
논문
Coexistence of Multiple Sclerosis and Alzheimer's disease: A review
2019-01-00
[83]
논문
Diagnosis of coexistent neurodegenerative dementias in multiple sclerosis
2022-07-04
[84]
논문
Treatment of Neurological Manifestations of Gluten Sensitivity and Coeliac Disease
2019-02-00
[85]
Review
Cognitive impairment in celiac disease and non-celiac gluten sensitivity: review of literature on the main cognitive impairments, the imaging and the effect of gluten free diet
2018-03-00
[86]
논문
Viruses and neurodegeneration
2013-05-00
[87]
논문
Cognitive Aspects of COVID-19
2023-09-00
[88]
논문
Neuropathologic changes in Alzheimer's disease
[89]
논문
Where, when, and in what form does sporadic Alzheimer's disease begin?
2012-12-00
[90]
논문
Automated MRI measures identify individuals with mild cognitive impairment and Alzheimer's disease
2009-08-00
[91]
논문
MRI Software Accurately IDs Preclinical Alzheimer's Disease
https://www.diagnost[...]
2022-02-21
[92]
논문
The importance of neuritic plaques and tangles to the development and evolution of AD
2004-06-00
[93]
논문
The neuropathological diagnosis of Alzheimer's disease
2019-08-00
[94]
논문
Alzheimer disease without neocortical neurofibrillary tangles: "a second look"
2004-04-00
[95]
논문
Regional distribution of neurofibrillary tangles and senile plaques in the cerebral cortex of elderly patients: a quantitative evaluation of a one-year autopsy population from a geriatric hospital
[96]
논문
Lewy body pathology in Alzheimer's disease
2001-10-00
[97]
논문
Tauopathies
2007-09-00
[98]
논문
Pathogenic tau-induced piRNA depletion promotes neuronal death through transposable element dysregulation in neurodegenerative tauopathies
2018-08-00
[99]
논문
MEG3 activates necroptosis in human neuron xenografts modeling Alzheimer's disease
2023-09-15
[100]
뉴스
Scientists discover how brain cells die in Alzheimer's
https://www.bbc.com/[...]
2023-09-27
[101]
논문
Current insights into molecular mechanisms of Alzheimer disease and their implications for therapeutic approaches
[102]
논문
Alzheimer mechanisms and therapeutic strategies
2012-03-00
[103]
논문
Neurotrophic and neurotoxic effects of amyloid beta protein: reversal by tachykinin neuropeptides
1990-10-00
[104]
논문
Mitochondrial Abeta: a potential cause of metabolic dysfunction in Alzheimer's disease
2006-12-00
[105]
논문
Therapeutic inhibition of ferroptosis in neurodegenerative disease
2023-10-00
[106]
논문
New therapeutic strategies and drug candidates for neurodegenerative diseases: p53 and TNF-alpha inhibitors, and GLP-1 receptor agonists
https://zenodo.org/r[...]
2019-07-19
[107]
논문
Neuroinflammation in Alzheimer's disease
2015-04
[108]
논문
New insights into brain BDNF function in normal aging and Alzheimer disease
2008-11
[109]
논문
Neurotrophic factors in Alzheimer's disease: role of axonal transport
2008-02
[110]
논문
Recent Advancements in Pathogenesis, Diagnostics and Treatment of Alzheimer's Disease
2020
[111]
논문
Concordance of Clinical Alzheimer Diagnosis and Neuropathological Features at Autopsy
2020-05
[112]
논문
The accurate diagnosis of early-onset dementia
https://zenodo.org/r[...]
2020-05-25
[113]
논문
Therapeutic approaches to Alzheimer's disease
2006-11
[114]
서적
Dementia: Quick Reference Guide
http://www.nice.org.[...]
(UK) National Institute for Health and Clinical Excellence
2008-02-22
[115]
논문
Diagnosis and Management of Dementia: Review
2019-10-22
[116]
논문
Neural correlates of Alzheimer's disease and mild cognitive impairment: a systematic and quantitative meta-analysis involving 1351 patients
2009-10
[117]
논문
Tauvid: The First FDA-Approved PET Tracer for Imaging Tau Pathology in Alzheimer's Disease
2021-01
[118]
논문
Alzheimer's disease: risk factors and potentially protective measures
2019-05
[119]
Review
The Alzheimer's Disease Clinical Spectrum: Diagnosis and Management
2019-03
[120]
Review
Current understanding of Alzheimer's disease diagnosis and treatment
2018
[121]
서적
Diagnostic and statistical manual of mental disorders: DSM-IV-TR
American Psychiatric Association
[122]
서적
Diagnostic and statistical manual of mental disorders: DSM-5
American Psychiatric Association
[123]
논문
The new DSM-5 diagnosis of mild neurocognitive disorder and its relation to research in mild cognitive impairment
2015-01
[124]
논문
Classifying neurocognitive disorders: the DSM-5 approach
https://escholarship[...]
2021-11-27
[125]
Review
Mild Neurocognitive Disorder: An Old Wine in a New Bottle
2015
[126]
서적
Psychopathology and Psychotherapy: DSM-5 Diagnosis, Case Conceptualization, and Treatment
https://www.taylorfr[...]
Routledge
2021-11-16
[127]
서적
Diagnosis and Treatment of Clinical Alzheimer's-Type Dementia: A Systematic Review
http://www.ncbi.nlm.[...]
Agency for Healthcare Research and Quality (US)
2021-11-16
[128]
Review
Mild Neurocognitive Disorder: An Old Wine in a New Bottle
Wolters Kluwer Health
2015-09
[129]
Review
Mild cognitive impairment: narrative review of taxonomies and systematic review of their prediction of incident Alzheimer's disease dementia
2020-04
[130]
논문
Mild cognitive impairment: diagnosis, longitudinal course, and emerging treatments
SpringerLink
2014-10
[131]
논문
Prevalence and risk of progression of preclinical Alzheimer's disease stages: a systematic review and meta-analysis
Springer Nature
2019-01
[132]
논문
NIA-AA Research Framework: Toward a biological definition of Alzheimer's disease
2018-04
[133]
논문
Toward defining the preclinical stages of Alzheimer's disease: recommendations from the National Institute on Aging-Alzheimer's Association workgroups on diagnostic guidelines for Alzheimer's disease
2011-05
[134]
논문
From mild cognitive impairment to subjective cognitive decline: conceptual and methodological evolution
Dove Medical Press Limited
2017-02-16
[135]
논문
The diagnosis of mild cognitive impairment due to Alzheimer's disease: recommendations from the National Institute on Aging-Alzheimer's Association workgroups on diagnostic guidelines for Alzheimer's disease
2011-05
[136]
논문
Definitions of dementia and predementia states in Alzheimer's disease and vascular cognitive impairment: consensus from the Canadian conference on diagnosis of dementia
BMC
2013-07
[137]
서적
Current medical diagnosis & treatment
McGraw Hill
2021
[138]
논문
The mini-mental state examination: a comprehensive review
1992-09
[139]
논문
Early diagnosis of dementia: neuropsychology
1999-01
[140]
논문
The validation of a caregiver assessment of dementia: the Dementia Severity Scale
[141]
논문
Awareness of deficits and anosognosia in Alzheimer's disease
[142]
논문
The initial symptoms of Alzheimer disease: caregiver perception
[143]
서적
Symptom to diagnosis: an evidence-based guide
McGraw-Hill Medical
2020
[144]
서적
Alzheimer's disease: diagnosis and treatment guide
Springer
2021
[145]
논문
Amyloid-associated depression: a prodromal depression of Alzheimer disease?
2008-05
[146]
논문
Differential diagnosis of Alzheimer's disease
1997-05
[147]
논문
Contribution of depression to cognitive impairment and dementia in older adults
2007-05
[148]
논문
(11)C-PIB-PET for the early diagnosis of Alzheimer's disease dementia and other dementias in people with mild cognitive impairment (MCI)
2014-07
[149]
논문
18F-FDG PET for the early diagnosis of Alzheimer's disease dementia and other dementias in people with mild cognitive impairment (MCI)
2015-01
[150]
논문
Alzheimer's disease: Only prevention makes sense
2018-10
[151]
논문
Primary and secondary prevention trials in Alzheimer disease: looking back, moving forward
2017
[152]
논문
Diagnosis and treatment of dementia: 1. Risk assessment and primary prevention of Alzheimer disease
2008-02
[153]
논문
Cardiovascular risk factors for Alzheimer's disease
[154]
논문
Use of statins and the risk of dementia and mild cognitive impairment: A systematic review and meta-analysis
2018-04
[155]
논문
Hypertension-induced cognitive impairment: from pathophysiology to public health
2021-10
[156]
논문
Evidence-based prevention of Alzheimer's disease: systematic review and meta-analysis of 243 observational prospective studies and 153 randomised controlled trials
2020-11
[157]
논문
Hormone replacement therapy for cognitive function in postmenopausal women
2008-01
[158]
Review
Cognitive Reserve and the Prevention of Dementia: the Role of Physical and Cognitive Activities
2016-09
[159]
Review
The effect of exercise interventions on cognitive outcome in Alzheimer's disease: a systematic review
2014-01
[160]
논문
Dietary and lifestyle guidelines for the prevention of Alzheimer's disease
2014-09
[161]
Review
Lifestyle Modifications and Nutritional Interventions in Aging-Associated Cognitive Decline and Alzheimer's Disease
2019
[162]
논문
Effects of physical activity and exercise interventions on Alzheimer's disease: an umbrella review of existing meta-analyses
2022-11
[163]
Review
Alzheimer's disease: Only prevention makes sense
2018-10
[164]
Review
Future directions in Alzheimer's disease from risk factors to prevention
2014-04
[165]
논문
Future directions in Alzheimer's disease from risk factors to prevention
2014-04
[166]
논문
Lifestyle interventions to prevent cognitive impairment, dementia and Alzheimer disease
2018-11
[167]
논문
Alzheimer's disease and sleep disturbances: a review
2019-11
[168]
논문
Circadian and sleep dysfunction in Alzheimer's disease
2020-07
[169]
논문
The glymphatic pathway in neurological disorders
2018-11
[170]
논문
Implications of sleep disturbance and inflammation for Alzheimer's disease dementia
2019-03
[171]
논문
Precision pharmacology for Alzheimer's disease
2018-04
[172]
논문
Meditation treatment of Alzheimer disease and mild cognitive impairment: A protocol for systematic review
2020-03
[173]
논문
The potential of psychedelics for the treatment of Alzheimer's disease and related dementias
2023-11
[174]
서적
Blueprints neurology
Wolters Kluwer
2019
[175]
논문
Benefits and Harms of Prescription Drugs and Supplements for Treatment of Clinical Alzheimer-Type Dementia
2020-05
[176]
서적
Clinical neurology and neuroanatomy: a localization-based approach
McGraw Hill
2017
[177]
학술지
Cholinesterases and the pathology of Alzheimer disease
[178]
학술지
The new cholinesterase inhibitors for Alzheimer's disease, Part 2: illustrating their mechanisms of action
2000-11-00
[179]
학술지
Cholinesterase inhibitors for Alzheimer's disease
2006-01-00
[180]
학술지
Donepezil for dementia due to Alzheimer's disease
2018-06-00
[181]
학술지
Cholinesterase inhibitors in mild cognitive impairment: a systematic review of randomised trials
2007-11-00
[182]
서적
Applied therapeutics : the clinical use of drugs
Wolters Kluwer Health/Lippincott Williams & Wilkins
2013
[183]
학술지
Paradigm shift in neuroprotection by NMDA receptor blockade: memantine and beyond
2006-02-00
[184]
웹사이트
Memantine
https://www.nlm.nih.[...]
US National Library of Medicine (Medline)
2004-01-04
[185]
학술지
Memantine for dementia
2019-03-00
[186]
웹사이트
Namenda- memantine hydrochloride tablet Namenda- memantine hydrochloride kit
https://dailymed.nlm[...]
2018-11-15
[187]
웹사이트
Namenda XR- memantine hydrochloride capsule, extended release Namenda XR- memantine hydrochloride kit
https://dailymed.nlm[...]
2019-11-15
[188]
웹사이트
Namzaric- memantine hydrochloride and donepezil hydrochloride capsule Namzaric- memantine hydrochloride and donepezil hydrochloride kit
https://dailymed.nlm[...]
2019-01-22
[189]
학술지
Effectiveness of cholinesterase inhibitors and memantine for treating dementia: evidence review for a clinical practice guideline
2008-03-00
[190]
학술지
Treatment of dementia and mild cognitive impairment with or without cerebrovascular disease: Expert consensus on the use of Ginkgo biloba extract, EGb 761
2019-02-00
[191]
학술지
''Ginkgo biloba'' extract EGb 761 in the symptomatic treatment of mild-to-moderate dementia: a profile of its use
2018-00-00
[192]
학술지
Ginkgo Biloba for Mild Cognitive Impairment and Alzheimer's Disease: A Systematic Review and Meta-Analysis of Randomized Controlled Trials
2015-10-22
[193]
학술지
The effectiveness of atypical antipsychotics for the treatment of aggression and psychosis in Alzheimer's disease
2006-01-00
[194]
학술지
The dementia antipsychotic withdrawal trial (DART-AD): long-term follow-up of a randomised placebo-controlled trial
2009-02-00
[195]
학술지
Withdrawal versus continuation of chronic antipsychotic drugs for behavioural and psychological symptoms in older people with dementia
2013-03-00
[196]
학술지
American Psychiatric Association practice guideline for the treatment of patients with Alzheimer's disease and other dementias. Second edition
2007-12-00
[197]
학술지
Cognitive rehabilitation combined with drug treatment in Alzheimer's disease patients: a pilot study
2005-12-00
[198]
학술지
Practice parameter: management of dementia (an evidence-based review). Report of the Quality Standards Subcommittee of the American Academy of Neurology
2001-05-00
[199]
학술지
Non-pharmacological interventions for wandering of people with dementia in the domestic setting
2007-01-00
[200]
학술지
Effectiveness and acceptability of non-pharmacological interventions to reduce wandering in dementia: a systematic review
2007-01-00
[201]
학술지
Systematic review of systematic reviews of non-pharmacological interventions to treat behavioural disturbances in older patients with dementia. The SENATOR-OnTop series
2017-03-00
[202]
학술지
Snoezelen for dementia
2002-00-00
[203]
학술지
Reminiscence therapy for dementia
2018-03-00
[204]
학술지
Effectiveness of simulated presence therapy for individuals with dementia: a systematic review and meta-analysis
2008-11-00
[205]
학술지
Efficacy of an evidence-based cognitive stimulation therapy programme for people with dementia: randomised controlled trial
2003-09-00
[206]
학술지
A randomized, controlled trial of a home environmental intervention: effect on efficacy and upset in caregivers and on daily function of persons with dementia
2001-02-00
[207]
학술지
Maintenance of effects of the home environmental skill-building program for family caregivers and individuals with Alzheimer's disease and related disorders
2005-03-00
[208]
웹사이트
Treating Behavioral and Psychiatric Symptoms
http://www.alz.org/H[...]
Alzheimer's Association
[209]
학술지
Visual contrast enhances food and liquid intake in advanced Alzheimer's disease
2004-08-00
[210]
서적
Nutrition Essentials for Nursing Practice
https://books.google[...]
Lippincott Williams & Wilkins
[211]
논문
Analysis of patients' rights: dementia and PEG insertion
[212]
논문
Tube feeding patients with dementia
2006-04-00
[213]
논문
Palliative Excellence in Alzheimer Care Efforts (PEACE): a program description
2003-04-00
[214]
논문
Nutritional prevention of cognitive decline and dementia
2018-06-00
[215]
논문
Eating Behaviors and Dietary Changes in Patients With Dementia
2016-12-01
[216]
논문
Life expectancy in Alzheimer's disease (AD)
2009-00-00
[217]
웹사이트
United States Life Tables, 2017
https://www.cdc.gov/[...]
2021-06-10
[218]
논문
Long-term survival and predictors of mortality in Alzheimer's disease and multi-infarct dementia
1995-03-00
[219]
논문
Predictors of mortality in patients diagnosed with probable Alzheimer's disease
1996-08-00
[220]
논문
Survival after initial diagnosis of Alzheimer disease
2004-04-06
[221]
논문
Predictors of survival with Alzheimer's disease: a community-based study
1995-01-00
[222]
논문
Functional transitions and active life expectancy associated with Alzheimer disease
2003-02-00
[223]
논문
Alzheimer disease and mortality: a 15-year epidemiological study
2005-05-00
[224]
논문
Cancer and Alzheimer's disease inverse relationship: an age-associated diverging derailment of shared pathways
2021-01-00
[225]
논문
Incidence and subtypes of dementia in three elderly populations of central Spain
2008-01-00
[226]
논문
Incidence of dementia, Alzheimer's disease, and vascular dementia in Italy. The ILSA Study
2002-01-00
[227]
서적
Clinical neurology
McGraw Hill
2018-00-00
[228]
간행물
Mortality from Alzheimer's Disease in the United States: Data for 2000 and 2010
https://purl.fdlp.go[...]
U.S. Department of Health and Human Services, Centers for Disease Control and Prevention, National Center for Health Statistics
2013-00-00
[229]
논문
Late-onset vs nonmendelian early-onset Alzheimer disease: A distinction without a difference?
2020-10-00
[230]
논문
Apolipoprotein E and Alzheimer disease: risk, mechanisms and therapy
2013-02-00
[231]
논문
Facilitators, Challenges, and Messaging Strategies for Hispanic/Latino Populations Participating in Alzheimer's Disease and Related Dementias Clinical Research: A Literature Review
2021-06-29
[232]
논문
Alzheimer's Disease: Biomarkers in the Genome, Blood, and Cerebrospinal Fluid
2017-00-00
[233]
논문
Population estimate of people with clinical Alzheimer's disease and mild cognitive impairment in the United States (2020-2060)
2021-05-00
[234]
논문
Global epidemiology of dementia: Alzheimer's and vascular types
2014-00-00
[235]
논문
Global prevalence of dementia: a Delphi consensus study
2005-12-00
[236]
논문
Model-Based Projection of Dementia Prevalence in China and Worldwide: 2020-2050
IOS Press
2021-01-01
[237]
논문
Estimation of the global prevalence of dementia in 2019 and forecasted prevalence in 2050: an analysis for the Global Burden of Disease Study 2019
2022-01-06
[238]
논문
Über eine eigenartige Erkrankung der Hirnrinde
[238]
논문
About a peculiar disease of the cerebral cortex. By Alois Alzheimer, 1907 (Translated by L. Jarvik and H. Greenson)
[238]
서적
Alzheimer: The Life of a Physician and the Career of a Disease
https://archive.org/[...]
Columbia University Press
[239]
논문
Evolution in the conceptualization of dementia and Alzheimer's disease: Greco-Roman period to the 1960s
[240]
논문
Alzheimer's Disease: A Conceptual History
[241]
서적
Clinical Psychiatry: A Textbook For Students And Physicians (Reprint)
Kessinger Publishing
[242]
서적
Alzheimer's Disease: Senile Dementia and Related Disorders
Raven Press
[243]
논문
History of dementia and dementia in history: an overview
1998-06-00
[244]
논문
Origin of the distinction between Alzheimer's disease and senile dementia: how history can clarify nosology
1986-11-00
[245]
논문
Clinical diagnosis of Alzheimer's disease: report of the NINCDS-ADRDA Work Group under the auspices of Department of Health and Human Services Task Force on Alzheimer's Disease
1984-07-00
[246]
논문
Research criteria for the diagnosis of Alzheimer's disease: revising the NINCDS-ADRDA criteria
2007-08-01
[247]
논문
Reliability and validity of NINCDS-ADRDA criteria for Alzheimer's disease. The National Institute of Mental Health Genetics Initiative
1994-12-01
[248]
논문
Tip of the Iceberg: Assessing the Global Socioeconomic Costs of Alzheimer's Disease and Related Dementias and Strategic Implications for Stakeholders
2019-01-01
[249]
논문
Economic burden of Alzheimer disease and managed care considerations
https://www.ajmc.com[...]
2022-03-17
[250]
논문
The Humanistic and Economic Burden of Alzheimer's Disease
2022-02-01
[251]
논문
Major Cost Drivers in Assessing the Economic Burden of Alzheimer's Disease: A Structured, Rapid Review
2021-01-01
[252]
논문
Comparison Between Burden of Care Partners of Individuals with Alzheimer's Disease Versus Individuals with Other Chronic Diseases
2023-08-01
[253]
웹사이트
The MetLife study of Alzheimer's disease: The caregiving experience
http://www.metlife.c[...]
MetLife Mature Market Institute
2011-02-05
[254]
논문
EUROCARE: a cross-national study of co-resident spouse carers for people with Alzheimer's disease: I—Factors associated with carer burden
1999-08-01
[255]
논문
EUROCARE: a cross-national study of co-resident spouse carers for people with Alzheimer's disease: II—A qualitative analysis of the experience of caregiving
1999-08-01
[256]
논문
Economic considerations in the management of Alzheimer's disease
[257]
논문
Early community-based service utilization and its effects on institutionalization in dementia caregiving
2005-04-01
[258]
논문
The dementias
2002-11-01
[259]
논문
Psychosocial effects on carers of living with persons with dementia
1990-09-01
[260]
논문
Determinants of carer stress in Alzheimer's disease
1998-04-01
[261]
논문
Monetary Costs of Dementia in the United States
2013-04-04
[262]
논문
Cost of care for Alzheimer's disease and related dementias in the United States: 2016 to 2060
2024-02-08
[263]
논문
A systematic review of the effectiveness of psychosocial interventions for carers of people with dementia
2001-05-01
[264]
서적
Iris: A Memoir of Iris Murdoch
Abacus
[265]
서적
The notebook
https://archive.org/[...]
Thorndike Press
[266]
웹사이트
Thanmathra
http://www.webindia1[...]
Webindia123.com
2008-01-24
[267]
서적
Ashita no Kioku
Kōbunsha
[268]
서적
Hateship, Friendship, Courtship, Loveship, Marriage: Stories
A.A. Knopf
[269]
웹사이트
Malcolm and Barbara: A love story
http://www.dfgdocs.c[...]
Dfgdocs
2008-01-24
[270]
웹사이트
Malcolm and Barbara: A love story
https://www.bbc.co.u[...]
BBC Cambridgeshire
2008-03-02
[271]
뉴스
Alzheimer's film-maker to face ITV lawyers
https://www.theguard[...]
Guardian Media
2008-01-24
[272]
웹사이트
The Caretaker: ''Persistent Repetition of Phrases''
https://www.factmag.[...]
2021-04-09
[273]
웹사이트
The Caretaker: ''An Empty Bliss Beyond This World'' Album Review
https://pitchfork.co[...]
2021-02-19
[274]
웹사이트
Why Are TikTok Teens Listening to an Album About Dementia?
https://www.nytimes.[...]
2021-04-21
[275]
웹사이트
Words fail us: dementia and the arts
https://www.theguard[...]
2021-06-14
[276]
뉴스
Self-Portraits Chronicle a Descent Into Alzheimer's
https://www.nytimes.[...]
2021-06-14
[277]
논문
Impact of Anti-amyloid-β Monoclonal Antibodies on the Pathology and Clinical Profile of Alzheimer's Disease: A Focus on Aducanumab and Lecanemab
2022-01-01
[278]
논문
Alzheimer's disease drug development pipeline: 2023
2023-01-01
[279]
웹사이트
How Is Alzheimer's Disease Treated?
https://www.nia.nih.[...]
U.S. National Institute on Aging
2023-07-10
[280]
논문
Role of Aducanumab in the Treatment of Alzheimer's Disease: Challenges and Opportunities
2022-01-01
[281]
논문
Aducanumab Use in Symptomatic Alzheimer Disease Evidence in Focus: A Report of the AAN Guidelines Subcommittee
2022-04-01
[282]
웹사이트
Three FDA advisory panel members resign over approval of Alzheimer's drug
https://www.bmj.com/[...]
2023-07-07
[283]
뉴스
Three F.D.A. Advisers Resign Over Agency's Approval of Alzheimer's Drug
https://www.nytimes.[...]
2021-06-10
[284]
논문
Comparative Analysis of Aducanumab, Zagotenemab and Pioglitazone as Targeted Treatment Strategies for Alzheimer's Disease
2021-12-01
[285]
뉴스
The truth about Alzheimer's drugs
2024-08-03
[286]
뉴스
The truth about Alzheimer's drugs
2024-08-03
[287]
논문
Newer modalities in the management of Alzheimer's dementia along with the role of aducanumab and lecanemab in the treatment of its refractory cases
2023-05-01
[288]
보도자료
FDA Grants Accelerated Approval for Alzheimer's Disease Treatment
https://www.fda.gov/[...]
U.S. Food and Drug Administration (FDA)
2023-01-06
[289]
웹사이트
Lecanemab Summary Review
https://www.accessda[...]
U.S. Food and Drug Administration (FDA)
[290]
보도자료
FDA Converts Novel Alzheimer's Disease Treatment to Traditional Approval
https://www.fda.gov/[...]
2023-07-06
[291]
뉴스
FDA Makes Alzheimer's Drug Leqembi Widely Accessible
https://www.nytimes.[...]
2023-07-06
[292]
보도자료
FDA approves treatment for adults with Alzheimer's disease
https://www.fda.gov/[...]
2024-07-02
[293]
논문
Accelerated Brain Volume Loss Caused by Anti-β-Amyloid Drugs: A Systematic Review and Meta-analysis
2023-05-01
[294]
보도자료
Alpha Cognition's Oral Therapy Zunveyl Receives FDA Approval to Treat Alzheimer's Disease
https://www.business[...]
Alpha Cognition
2024-07-29
[295]
논문
The informed road map to prevention of Alzheimer Disease: A call to arms
2021-07-01
[296]
논문
Early Life Stress and Epigenetics in Late-onset Alzheimer's Dementia: A Systematic Review
2018-11-01
[297]
논문
The Interrelationship between Insulin-Like Growth Factor 1, Apolipoprotein E ε4, Lifestyle Factors, and the Aging Body and Brain
2020-01-01
[298]
논문
Early prediction of Alzheimer's disease and related dementias using real-world electronic health records
2023-02-01
[299]
논문
Focused ultrasound therapy for Alzheimer's disease: exploring the potential for targeted amyloid disaggregation
2024-08-06
[300]
웹사이트
Dementia Fact sheet
https://www.who.int/[...]
World Health Organization
2020-09-01
[301]
서적
Clinical neurology
McGraw Hill
2018-01-01
[302]
논문
Alzheimer disease
2021-05-01
[303]
논문
Alzheimer's disease
2009-02-01
[304]
웹사이트
Alzheimer's Disease Fact Sheet
https://www.nia.nih.[...]
[305]
논문
Alzheimer's disease
2010-01-01
[306]
논문
Survival in dementia and predictors of mortality: a review
2013-11-01
[307]
논문
Predictors of Life Expectancy in Autopsy-Confirmed Alzheimer’s Disease
[308]
논문
Iatrogenic Alzheimer’s disease in recipients of cadaveric pituitary-derived growth hormone
[309]
논문
Alzheimer Disease: An Update on Pathobiology and Treatment Strategies
2019-10-01
[310]
웹사이트
Study reveals how APOE4 gene may increase risk for dementia
https://www.nia.nih.[...]
[311]
웹사이트
Dementia diagnosis and assessment
http://pathways.nice[...]
National Institute for Health and Care Excellence (NICE)
[312]
논문
Primary and secondary prevention trials in Alzheimer disease: looking back, moving forward
2017-01-01
[313]
웹사이트
研究紹介コラム 認知症の新しい治療薬アデュカヌマブについて(1) | 国立長寿医療研究センター
https://www.ncgg.go.[...]
[314]
논문
Systematic review of information and support interventions for caregivers of people with dementia
2007-07-01
[315]
논문
Exercise programs for people with dementia
2015-04-01
[316]
웹사이트
Low-dose antipsychotics in people with dementia
https://www.nice.org[...]
National Institute for Health and Care Excellence (NICE)
2014-11-29
[317]
웹사이트
Information for Healthcare Professionals: Conventional Antipsychotics
https://www.fda.gov/[...]
US Food and Drug Administration
2008-06-16
[318]
논문
Comprehensive Review on Alzheimer's Disease: Causes and Treatment
2020-12
[319]
논문
Early-onset Alzheimer's disease: nonamnestic subtypes and type 2 AD
2012-11
[320]
논문
Alzheimer's pathogenic mechanisms and underlying sex difference
2021-06
[321]
논문
Evolution in the conceptualization of dementia and Alzheimer's disease: Greco-Roman period to the 1960s
[322]
웹사이트
Alzheimer's Disease Fact Sheet
http://www.nia.nih.g[...]
2022-03-23
[323]
논문
2013
[324]
간행물
2025年に目指すべき社会の姿-『科学技術の俯瞰的予測調査』に基づく検討-
https://web.archive.[...]
科学技術政策研究所
2007-03
[325]
웹사이트
The scope and concerns of public health
https://web.archive.[...]
2009-03-05
[326]
논문
2014
[327]
논문
Diabetes mellitus and dementia
2006-11
[328]
논문
アルツハイマー病予防と摂取栄養素
2016-07
[329]
논문
内科的アンチエイジング
2013
[330]
웹사이트
Preventing Alzheimer's Disease: What Do We Know?
https://web.archive.[...]
米国の加齢研究所
[331]
웹사이트
Alzheimer's and High Blood Sugar
http://www.psycholog[...]
Evolutionary Psychiatry
2011-09-20
[332]
보도자료
受動喫煙は認知症のリスクを増大させる 〜米国神経学会で発表〜
http://www.kin-en.in[...]
禁煙広報センター
2007-06-14
[333]
웹사이트
ニコチンの特性を生かした、神経系疾患向け合成薬
http://wired.jp/wv/a[...]
[334]
뉴스
Medical Research Council unit takes tobacco cash
1996-09
[335]
논문
Smoking as a risk factor for Alzheimer's disease: contrasting evidence from a systematic review of case-control and cohort studies
2002-01
[336]
논문
Smoking as a risk factor for dementia and cognitive decline: a meta-analysis of prospective studies
2007-08-15
[337]
보고서
Evaluating Prescription Drugs Used to Treat: Alzheimer's Disease Comparing Effectiveness, Safety, and Price
http://www.consumerr[...]
Consumer Reports
2012-05
[338]
문서
posterior cortical atrophy
[339]
논문
2011-01
[340]
논문
2012
[341]
논문
2004-09-28
[342]
논문
2002-04
[343]
논문
1999-06-10
[344]
논문
1995-07
[345]
논문
1989-06
[346]
논문
1997-03
[347]
문서
typical or classic plaque
[348]
문서
diffuse plaque
[349]
문서
neurofibrillary tangle
[350]
문서
paired helical filament
[351]
논문
2023-03-21
[352]
논문
1991-00-00
[353]
논문
2006-10-00
[354]
논문
1991-00-00
[355]
논문
1991-04-00
[356]
논문
2002-06-25
[357]
논문
2012-01-00
[358]
논문
2011-00-00
[359]
논문
Plasmalogen synthesis is regulated via alkyl-dihydroxyacetonephosphate-synthase by amyloid precursor protein processing and is affected in Alzheimer's disease
2011-00-00
[360]
웹사이트
独立行政法人放射線医学総合研究所>お知らせ・ご案内>プレスリリース>認知症で神経細胞死を引き起こす異常タンパク質の生体での可視化に世界で初めて成功
http://www.nirs.go.j[...]
[361]
뉴스
Cold sore virus linked with Alzheimer's disease
http://www.cbsnews.c[...]
CBS news
2014-10-23
[362]
논문
Multiscale Analysis of Independent Alzheimer’s Cohorts Finds Disruption of Molecular, Genetic, and Clinical Networks by Human Herpesvirus
https://www.cell.com[...]
[363]
논문
古くて新しいアルツハイマー病の脳炎症仮説と感染症仮説-鍵を握るミクログリアの老化と慢性的脳炎症-
2017-00-00
[364]
논문
Porphyromonas gingivalis in Alzheimer’s disease brains: Evidence for disease causation and treatment with small-molecule inhibitors
[365]
웹사이트
Microbiota from Alzheimer’s patients induce deficits in cognition and hippocampal neurogenesis
https://academic.oup[...]
Oxford Academic
2023-10-25
[366]
웹사이트
よくわかる「アルミニウムと健康」基礎知識
https://web.archive.[...]
「アルミニウムと健康」連絡協議会(アーカイブ)
2014-04-00
[367]
논문
【原著】アルツハイマー病の危険因子
2004-00-00
[368]
논문
糖尿病と認知症
2010-00-00
[369]
뉴스
Is Sugar Toxic?
https://www.nytimes.[...]
The New York Times
2011-04-13
[370]
웹사이트
Insulin Resistance and Alzheimer's Disease: A Novel Therapeutic Target
https://web.archive.[...]
[371]
문서
Amyloid-β precursor protein
[372]
논문
2015-00-00
[373]
논문
2005-04-00
[374]
논문
2010-07-00
[375]
논문
2014-11-00
[376]
논문
Six-item screener to identify cognitive impairment among potential subjects for clinical research
2002-00-00
[377]
논문
2009-00-00
[378]
논문
2006-00-00
[379]
논문
2014-00-00
[380]
논문
The recency effect in Alzheimer’s disease
1987-00-00
[381]
논문
Differential impact of executive dysfunction on verbal list learning and story recall
2000-00-00
[382]
웹사이트
アルツハイマー病 (Alzheimer's Disease) 患者の虚再生 : 一般的な単語再生課題における臨床神経心理学的検討
https://www.jstage.j[...]
2024-12-18
[383]
웹사이트
アルツハイマー型認知症の記憶・認知機能障害に対するdonepezilの効果内容と効果出現の関連因子について
https://www.pieronli[...]
2024-12-18
[384]
웹사이트
アルツハイマー病における虚再生
https://www.jstage.j[...]
2024-12-18
[385]
웹사이트
アルツハイマー病患者の言語性短期記憶障害
https://www.jstage.j[...]
2024-12-18
[386]
저널
Medications and Diet: Protective Factors for AD?
[386]
저널
Dietary Factors and Alzheimer's Disease
[386]
저널
Diet and Alzheimer's Disease
[386]
보도자료
Independent Panel Finds Insufficient Evidence to Support Preventive Measures for Alzheimer's Disease
http://www.nih.gov/n[...]
National Institutes of Health
2010-04-28
[386]
웹사이트
NIH State-of-the-Science Conference: Preventing Alzheimer's Disease and Cognitive Decline
http://consensus.nih[...]
2015-09-01
[387]
웹사이트
中東の健康食にアルツハイマー病に有効な成分 - 東京工科大が発見 マイナビニュース -
https://news.mynavi.[...]
2013-10-10
[388]
보고서
TA217: Donepezil, galantamine, rivastigmine and memantine for the treatment of Alzheimer's disease
https://www.nice.org[...]
英国国立医療技術評価機構
2016-03-01
[389]
저널
Clinical practice with anti-dementia drugs: a revised (second) consensus statement from the British Association for Psychopharmacology
2011-08-01
[390]
저널
Donepezil for dementia due to Alzheimer's disease
2018-06-01
[391]
저널
Rivastigmine for Alzheimer's disease
2015-09-01
[392]
웹사이트
メマリー医薬品インタビューフォーム(第10版)
https://web.archive.[...]
2016-05-03
[393]
저널
Memantine for dementia
2019-03-01
[394]
저널
Identification of the optimal cognitive drugs among Alzheimer's disease: a Bayesian meta-analytic review
2018
[395]
웹사이트
「LEQEMBI®」(レカネマブ)、アルツハイマー病治療薬として、米国FDAよりフル承認を取得
https://www.eisai.co[...]
エーザイ株式会社・バイオジェン・インク
2023-09-02
[396]
저널
アルツハイマー病のワクチン療法
[397]
보고서
かかりつけ医のためのBPSDに対応する向精神薬使用ガイドライン
https://www.mhlw.go.[...]
厚生労働省
2013-07-01
[398]
웹사이트
健常者および軽度認知障害者に対するエルゴチオネイン含有食品の認知機能改善効果
http://www.pieronlin[...]
[399]
웹사이트
エルゴチオネイン含有機能性表示食品
https://www.ls-corpo[...]
[400]
웹사이트
光の治療的応用―光による生体リズム調節
https://web.archive.[...]
2014-04-01
[401]
웹사이트
アルツハイマー型痴呆患者の認知機能障害に対する高照度光療法の影響
https://web.archive.[...]
[402]
웹사이트
Health Media Topics
https://web.archive.[...]
[403]
저널
Gamma frequency entrainment attenuates amyloid load and modifies microglia
[404]
저널
Altered gamma has been observed in multiple brain regions in several neurological and psychiatric disorders, including a reduction in spontaneous gamma synchronization in AD patients and reduced gamma power in multiple AD mouse models.
[405]
저널
We found that 1 hr of FS-PV-interneuron stimulation reduced A''β''1-40 by 53.22% and A ''β''1-42 by 44.62% in the 40 Hz group
[406]
저널
Driving 40 Hz oscillations optogenetically in hippocampus causes a distinct morphological transformation of microglia
[407]
저널
Driving 40 Hz oscillations in VC via light flicker reduces A ''β'' and amyloid plaques
[408]
임상시험
High Frequency Light and Sound Stimulation to Improve Brain Functions in Alzheimer's Disease
https://clinicaltria[...]
[409]
임상시험
Daily Light and Sound Stimulation to Improve Brain Functions in Alzheimer's Disease
https://clinicaltria[...]
[410]
저널
若年性アルツハイマー病
[411]
저널
[412]
저널
[413]
저널
[414]
저널
[415]
저널
[416]
저널
[417]
저널
[418]
저널
Alzheimer's disease
https://semanticscho[...]
2009-02-01
[419]
웹사이트
Dementia Fact sheet
http://www.who.int/e[...]
World Health Organization
2017-12-12
[420]
저널
Early-onset Alzheimer's disease: nonamnestic subtypes and type 2 AD
2012-11-01
[421]
저널
Alzheimer's disease
2011-03
[422]
웹사이트
Dementia diagnosis and assessment
http://pathways.nice[...]
National Institute for Health and Care Excellence (NICE)
2014-11-30
[423]
저널
Drugs for Alzheimer's disease: best avoided. No therapeutic advantage
2012-06
[424]
저널
Alzheimer's disease
https://semanticscho[...]
2010-01
[425]
저널
Global, regional, and national incidence, prevalence, and years lived with disability for 310 diseases and injuries, 1990-2015: a systematic analysis for the Global Burden of Disease Study 2015
2016-10
[426]
저널
Global, regional, and national life expectancy, all-cause mortality, and cause-specific mortality for 249 causes of death, 1980-2015: a systematic analysis for the Global Burden of Disease Study 2015
2016-10
[427]
웹사이트
https://www.alz.org/[...]
[428]
웹사이트
About Alzheimer's Disease: Symptoms
National Institute on Aging
2011-12-28
[429]
저널
Identification of a novel mechanism of blood–brain communication during peripheral inflammation via choroid plexus‐derived extracellular vesicles
https://onlinelibrar[...]
2016-10
[430]
저널
T-cell-mediated regulation of neuroinflammation involved in neurodegenerative diseases
http://jneuroinflamm[...]
2014-12
[431]
저널
T-Lymphocytes Traffic into the Brain across the Blood-CSF Barrier: Evidence Using a Reconstituted Choroid Plexus Epithelium
https://dx.plos.org/[...]
2016-03-04
[432]
저널
Notes
http://dx.doi.org/10[...]
1912-11
[433]
저널
T-cell-mediated regulation of neuroinflammation involved in neurodegenerative diseases
http://jneuroinflamm[...]
2014-12
[434]
저널
T-cell-mediated regulation of neuroinflammation involved in neurodegenerative diseases
http://jneuroinflamm[...]
2014-12
[435]
저널
Microglia Function in Alzheimer’s Disease
https://www.frontier[...]
2012
[436]
논문
Efficacy and safety of rivastigmine in patients with Alzheimer’s disease: international randomised controlled trial
[437]
저널
Global, regional, and national life expectancy, all-cause mortality, and cause-specific mortality for 249 causes of death, 1980-2015: a systematic analysis for the Global Burden of Disease Study 2015
2016-10
[438]
웹사이트
https://www.nia.nih.[...]
[439]
웹사이트
Low-dose antipsychotics in people with dementia
National Institute for Health and Clinical Excellence
2014-11-29
[440]
웹사이트
Huperzine A
Natural Standard: The Authority on Integrative Medicine
2014-10-29
[441]
서적
Huperzine A (HupA)
Routledge
2012
[442]
저널
T-cell-mediated regulation of neuroinflammation involved in neurodegenerative diseases
http://jneuroinflamm[...]
2014-12
[443]
저널
Microglia Function in Alzheimer’s Disease
http://journal.front[...]
2012
[444]
저널
The chemokine system in diverse forms of macrophage activation and polarization
https://linkinghub.e[...]
2004-12
[445]
저널
T-cell-mediated regulation of neuroinflammation involved in neurodegenerative diseases
http://jneuroinflamm[...]
2014-12
[446]
웹사이트
https://www.cdc.gov/[...]
[447]
저널
Cholinesterase inhibitors for Alzheimer's disease
University of Oxford, Department of Clinical Geratology, Radcliffe Infirmary, Woodstock Road, Oxford, UK, OX2 6HE.
본 사이트는 AI가 위키백과와 뉴스 기사,정부 간행물,학술 논문등을 바탕으로 정보를 가공하여 제공하는 백과사전형 서비스입니다.
모든 문서는 AI에 의해 자동 생성되며, CC BY-SA 4.0 라이선스에 따라 이용할 수 있습니다.
하지만, 위키백과나 뉴스 기사 자체에 오류, 부정확한 정보, 또는 가짜 뉴스가 포함될 수 있으며, AI는 이러한 내용을 완벽하게 걸러내지 못할 수 있습니다.
따라서 제공되는 정보에 일부 오류나 편향이 있을 수 있으므로, 중요한 정보는 반드시 다른 출처를 통해 교차 검증하시기 바랍니다.
문의하기 : help@durumis.com
