요스
"오늘의AI위키"의 AI를 통해 더욱 풍부하고 폭넓은 지식 경험을 누리세요.
1. 개요
요스는 열대 지역에서 발생하는 세균 감염 질환으로, 피부 병변을 특징으로 하며, 주로 어린이를 감염시킨다. 이 질환은 *Treponema pallidum pertenue*라는 세균에 의해 발생하며, 피부 접촉을 통해 전파된다. 요스는 일차, 이차, 삼차 단계로 진행되며, 심각한 경우 뼈, 연골, 연조직을 파괴하는 파괴성 비인두염(강고사)을 유발할 수 있다. 진단은 주로 임상적 특징과 혈청 검사를 통해 이루어지며, 치료는 항생제, 특히 벤자틴 벤질페니실린 또는 아지트로마이신을 사용한다. 세계 보건 기구(WHO)는 2020년까지 요스 근절을 목표로 했으나 항생제 내성 문제 등으로 인해 실패했으며, 현재 아프리카, 아시아, 오세아니아 지역의 15개국에서 유행하고 있다.
더 읽어볼만한 페이지
- 매독 - 터스키기 매독 실험
터스키기 매독 실험은 미국 공중 보건국이 앨라배마주 흑인 남성들을 대상으로 매독 진행 과정을 관찰하기 위해 적절한 치료 없이 진행한 비윤리적인 의학 연구로, 의료 윤리에 대한 중요한 논쟁을 불러일으켰다. - 매독 - 매독균
매독균은 매독, 풍토성 매독, 매종을 일으키는 세 가지 아종으로 분류되며, 나선형 모양을 하고 성적 접촉을 통해 전파되며, 페니실린으로 치료하고 백신은 개발되지 않았다. - 세균성 피부 질환 - 페스트
페스트는 쥐벼룩을 통해 전파되는 예르시니아 페스티스균에 의한 감염병으로, 림프절 부종, 전신 출혈, 폐렴 등 다양한 증상을 보이며, 항생제로 치료 가능하지만 조기 진단과 치료가 중요하고, 역사적으로 대규모 범유행을 일으켰으며 현재도 일부 지역에서 발생하고 생물무기로 사용될 가능성도 있다. - 세균성 피부 질환 - 메티실린 내성 황색포도상구균
메티실린 내성 황색포도상구균(MRSA)은 β-락탐계 항생제에 내성을 보이는 황색포도상구균으로, 피부 감염을 일으키고 면역력 저하 환자에게 심각한 기회감염을 유발하며, 병원 획득 감염과 지역사회 획득 감염으로 나뉜다.
| 요스 | |
|---|---|
| 일반 정보 | |
![]() | |
| 분야 | 감염병 |
| 다른 이름 | 요오스 요우스 매종 Frambesia tropica thymosis polypapilloma tropicum parangi bouba frambösie pian |
| 증상 | |
| 주요 증상 | 피부의 딱딱한 부종 궤양 관절통 골통 |
| 발병 | |
| 발병 시기 | 불명 |
| 지속 기간 | 불명 |
| 원인 | |
| 원인균 | Treponema pertenue의 직접 접촉 |
| 감염 경로 | 직접 접촉 |
| 진단 및 예방 | |
| 진단 방법 | 증상 관찰 혈액 항체 검사 중합 효소 연쇄 반응 |
| 예방 | 집단 치료 |
| 치료 | |
| 치료 방법 | 아지트로마이신 벤자틴 페니실린 |
| 통계 | |
| 발병 빈도 | 46,000-500,000명 |
| 사망자 | 불명 |
2. 역사
약 160만 년 전 케냐의 ''호모 에렉투스'' 유해를 검사한 결과 요스의 전형적인 징후가 나타났다. 요스 원인균인 ''Treponema pallidum pertenue''의 유전자 분석 결과, 요스가 알려진 4가지 ''Treponema'' 질환 중 가장 오래된 질환이라는 결론이 나왔다. 다른 모든 ''Treponema pallidum'' 아종은 아마도 ''Treponema pallidum pertenue''에서 진화했을 것이다. 요스는 아프리카의 열대 지역에서 시작되어 이주와 노예 무역을 통해 세계 다른 열대 지역으로 확산된 것으로 추정된다. 후자는 15세기에 아프리카에서 유럽으로 유입된 경로일 가능성이 높다. 요스에 대한 첫 번째 명확한 설명은 네덜란드 의사 빌렘 피소에 의해 이루어졌다. 요스는 1679년 아프리카 노예들 사이에서 토머스 시든햄에 의해 성병에 관한 그의 서한에서 명확하게 설명되었지만, 그는 그것을 매독과 같은 질병이라고 생각했다. 요스의 원인균은 1905년 알도 카스텔라니에 의해 실론 환자들의 궤양에서 발견되었다.[5]
현재 영어 이름은 통증을 의미하는 "yaya"에서 유래한 카리브족에서 유래한 것으로 여겨진다.[20]
제2차 세계 대전 말기에 요스는 일본 점령 하의 말라야 북부에서 널리 퍼졌다. 이 나라가 해방된 후, 요스에 걸린 사람들은 살바르산 주사를 맞았는데, 이 약이 매우 부족했기 때문에 1단계에 있는 사람들만 치료를 받았다.[21]
숲 매독이라는 이름에서 알 수 있듯이, 프람보시아는 고온다습한 지역(숲이나 해안)의 위생 상태가 열악한 곳에서 발견된다. 소아에게서 감염되며, 성인의 항체 반응을 통해 분포 지역에서 수십 %의 감염 이력이 추정된다. WHO는 라틴 아메리카, 아프리카, 아시아, 오세아니아에 1,000만 명의 프람보시아 환자가 있다고 추정하고 있다.
2. 1. 고대
요스는 인류 역사상 가장 오래된 질병 중 하나로 여겨진다.[5] 약 160만 년 전 케냐의 ''호모 에렉투스'' 유해를 검사한 결과 요스의 전형적인 징후가 나타났다. 요스 원인균인 ''Treponema pallidum pertenue''의 유전자 분석 결과, 요스가 알려진 4가지 ''Treponema'' 질환 중 가장 오래된 질환이라는 결론이 나왔다. 다른 모든 ''Treponema pallidum'' 아종은 아마도 ''Treponema pallidum pertenue''에서 진화했을 것이다. 요스는 아프리카의 열대 지역에서 시작되어 이주와 노예 무역을 통해 세계 다른 열대 지역으로 확산된 것으로 추정된다. 후자는 15세기에 아프리카에서 유럽으로 유입된 경로일 가능성이 높다. 요스에 대한 첫 번째 명확한 설명은 네덜란드 의사 빌렘 피소에 의해 이루어졌다. 요스는 1679년 아프리카 노예들 사이에서 토머스 시든햄에 의해 성병에 관한 그의 서한에서 명확하게 설명되었지만, 그는 그것을 매독과 같은 질병이라고 생각했다. 요스의 원인균은 1905년 알도 카스텔라니에 의해 실론 환자들의 궤양에서 발견되었다.[5]
현재 영어 이름은 통증을 의미하는 "yaya"에서 유래한 카리브족에서 유래한 것으로 여겨진다.[20]
제2차 세계 대전 말기에 요스는 일본 점령 하의 말라야 북부에서 널리 퍼졌다. 이 나라가 해방된 후, 요스에 걸린 사람들은 살바르산 주사를 맞았는데, 이 약이 매우 부족했기 때문에 1단계에 있는 사람들만 치료를 받았다.[21]
숲 매독이라는 이름에서 알 수 있듯이, 프람보시아는 고온다습한 지역(숲이나 해안)의 위생 상태가 열악한 곳에서 발견된다. 소아에게서 감염되며, 성인의 항체 반응을 통해 분포 지역에서 수십 %의 감염 이력이 추정된다. WHO는 라틴 아메리카, 아프리카, 아시아, 오세아니아에 1,000만 명의 프람보시아 환자가 있다고 추정하고 있다.
2. 2. 전파
약 160만 년 전 케냐의 ''호모 에렉투스'' 유해 검사에서 요스의 전형적인 징후가 나타났다. 요스 원인균인 ''Treponema pallidum pertenue''의 유전자 분석 결과, 요스가 알려진 4가지 ''Treponema'' 질환 중 가장 오래된 질환이라는 결론이 나왔다. 다른 모든 ''Treponema pallidum'' 아종은 아마도 ''Treponema pallidum pertenue''에서 진화했을 것이다.[5] 요스는 아프리카의 열대 지역에서 시작되어 이주와 노예 무역을 통해 세계 다른 열대 지역으로 확산된 것으로 추정된다. 15세기에 아프리카에서 유럽으로 유입되었을 가능성이 있다. 요스에 대한 첫 번째 명확한 설명은 네덜란드 의사 빌렘 피소가 하였고, 1679년 아프리카 노예들 사이에서 토머스 시든햄이 성병에 관한 그의 서한에서 명확하게 설명했지만, 그는 그것을 매독과 같은 질병이라고 생각했다. 요스의 원인균은 1905년 알도 카스텔라니가 실론 환자들의 궤양에서 발견되었다.[5]영어 이름은 통증을 의미하는 "yaya"에서 유래한 카리브족에서 유래한 것으로 여겨진다.[20] 숲 매독이라는 이름에서 알 수 있듯이, 프람보시아는 고온다습한 지역(숲이나 해안)의 위생 상태가 열악한 곳에서 발견된다. 소아에게서 감염되며, 성인의 항체 반응을 통해 분포 지역에서 수십 %의 감염 이력이 추정된다. WHO는 라틴 아메리카, 아프리카, 아시아, 오세아니아에 1,000만 명의 프람보시아 환자가 있다고 추정하고 있다. 제2차 세계 대전 말기에 요스는 일본 점령 하의 말라야 북부에서 널리 퍼졌다. 이 나라가 해방된 후, 요스에 걸린 사람들은 살바르산 주사를 맞았는데, 이 약이 매우 부족했기 때문에 1단계에 있는 사람들만 치료를 받았다.[21]
2. 3. 기록
약 160만 년 전 케냐의 ''호모 에렉투스'' 유해 검사에서 요스의 전형적인 징후가 나타났다. 요스 원인균인 ''Treponema pallidum pertenue''의 유전자 분석 결과, 요스가 알려진 4가지 ''Treponema'' 질환 중 가장 오래된 질환이라는 결론이 나왔다.[5] 다른 모든 ''Treponema pallidum'' 아종은 아마도 ''Treponema pallidum pertenue''에서 진화했을 것이다. 요스는 아프리카의 열대 지역에서 시작되어 이주와 노예 무역을 통해 세계 다른 열대 지역으로 확산된 것으로 추정된다. 후자는 15세기에 아프리카에서 유럽으로 유입된 경로일 가능성이 높다. 요스에 대한 첫 번째 명확한 설명은 네덜란드 의사 빌렘 피소가 1679년 아프리카 노예들 사이에서 기술했다.[5] 토머스 시든햄은 성병에 관한 그의 서한에서 요스를 명확하게 설명했지만, 그는 그것을 매독과 같은 질병이라고 생각했다. 요스의 원인균은 1905년 알도 카스텔라니가 실론 환자들의 궤양에서 발견했다.[5]현재 영어 이름은 통증을 의미하는 "yaya"에서 유래한 카리브족에서 유래한 것으로 여겨진다.[20]
제2차 세계 대전 말기에 요스는 일본 점령 하의 말라야 북부에서 널리 퍼졌다. 이 나라가 해방된 후, 요스에 걸린 사람들은 살바르산 주사를 맞았는데, 이 약이 매우 부족했기 때문에 1단계에 있는 사람들만 치료를 받았다.[21]
숲 매독이라는 이름에서 알 수 있듯이, 프람보시아는 고온다습한 지역(숲이나 해안)의 위생 상태가 열악한 곳에서 발견된다. 소아에게서 감염되며, 성인의 항체 반응을 통해 분포 지역에서 수십 %의 감염 이력이 추정된다. WHO는 라틴 아메리카, 아프리카, 아시아, 오세아니아에 1,000만 명의 프람보시아 환자가 있다고 추정하고 있다.
2. 4. 20세기 이후
제2차 세계 대전 이후, 요스는 일본 점령 하의 말라야 북부에서 널리 퍼졌다. 이 나라가 해방된 후, 요스에 걸린 사람들은 살바르산 주사를 맞았는데, 이 약이 매우 부족했기 때문에 1단계에 있는 사람들만 치료를 받았다.[21] WHO는 라틴 아메리카, 아프리카, 아시아, 오세아니아에 1,000만 명의 프람보시아 환자가 있다고 추정하고 있다.대한민국은 1960년대까지 농어촌 지역을 중심으로 기생충 질환과 감염병이 만연했으나, 경제 발전과 함께 보건위생 환경이 개선되면서 대부분의 감염병이 퇴치되었다.
2. 5. 최근 동향
세계 보건 기구(WHO)는 2012년에 2020년까지 요스를 근절하겠다는 목표를 설정했으나, 항생제 내성 문제 등으로 인해 목표 달성에 실패했다. 2020년 현재, 요스는 15개국에서 여전히 유행하고 있으며, 최근 라이베리아와 필리핀에서 유행하는 전염이 발견되었다. 인도는 성공적인 요스 근절 캠페인을 통해 2016년 WHO로부터 요스 퇴치 인증을 받았다. WHO는 경구용 아지트로마이신을 이용한 대량 투여 전략(모르제 접근법)을 추진하고 있지만, 항생제 내성 문제가 발생하여 어려움을 겪고 있다.3. 원인
야스는 ''트레포네마 팔리덤''의 아종 ''pertenue'' 박테리아 감염으로 인해 발생한다.[39] 초기 야스 상처는 감염성 박테리아를 포함하며, 이는 피부 접촉을 통해 다른 사람에게 전파되는데, 일반적으로 놀이 또는 기타 일반적인 아동기 상호 작용 중에 발생한다.[39] 초기 (1차 및 2차) 야스 병변은 세균 부하가 더 높으므로 더 전염성이 있다.[2] 유두종과 궤양 모두 전염성이 있다.[39] 감염성은 감염 후 12~18개월 동안 지속되는 것으로 생각되며, 재발할 경우 더 오래 지속된다. 초기 야스 병변은 종종 가렵고, 긁힌 부위를 따라 더 많은 병변이 형성될 수 있다. 야스는 덜 눈에 띄는 병변으로 진화할 수 있다.[2] 새로운 사람이 감염된 후, 감염성 유두종은 9~90일 (평균 21일) 이내에 형성된다.[39]
''T. pallidum pertenue''는 비인간 영장류 (개코원숭이, 침팬지, 고릴라)에서 확인되었으며, 인간에게 영장류 분리주를 실험적으로 접종하면 야스와 유사한 질병이 발생한다. 그러나 인간과 영장류 사이의 교차 전파에 대한 증거는 없지만, 비인간 영장류에서 야스 동물 보존소의 가능성을 배제하기 위해서는 더 많은 연구가 필요하다.[5]
3. 1. 병원체
요스는 트레포네마 팔리덤의 아종인 ''페르테뉴''(pertenue) 박테리아 감염으로 인해 발생한다.[39] 이 세균은 매독을 일으키는 트레포네마 팔리덤 팔리덤(Treponema pallidum pallidum)과 매우 유사하지만, 성병이 아닌 피부 접촉을 통해 전파된다. 초기 요스 상처는 감염성 박테리아를 포함하며, 이는 피부 접촉을 통해 다른 사람에게 전파되는데, 일반적으로 놀이 또는 기타 일반적인 아동기 상호 작용 중에 발생한다.[39] 초기 (1차 및 2차) 요스 병변은 세균 부하가 더 높으므로 더 전염성이 있으며,[2] 유두종과 궤양 모두 전염성이 있다.[39] 감염성은 감염 후 12~18개월 동안 지속되는 것으로 생각되며, 재발할 경우 더 오래 지속된다. 초기 요스 병변은 종종 가렵고, 긁힌 부위를 따라 더 많은 병변이 형성될 수 있다.[2]''T. pallidum pertenue''는 비인간 영장류(개코원숭이, 침팬지, 고릴라)에서 확인되었으며, 인간에게 영장류 분리주를 실험적으로 접종하면 요스와 유사한 질병이 발생한다. 그러나 인간과 영장류 사이의 교차 전파에 대한 증거는 없지만, 비인간 영장류에서 요스 동물 보존소의 가능성을 배제하기 위해서는 더 많은 연구가 필요하다.[5]
트레포네마에 감염되면 매독과 마찬가지로 와세르만 반응에 양성이 되지만, 성병이 아니기 때문에 숲매독(forest yaw, bush yaw)이라는 별명이 붙었다. 정확한 감염 경로는 불분명하지만, 피부와 점막의 직접적인 접촉에 의한 감염으로 생각되며, 풍토병으로서 유아로부터의 조기 감염이 의심된다. 매독과 달리 혈액 감염이나 경태반 감염은 일어나지 않는다[46]。
동종의 병원균에 의해 발생하는 감염증으로는 ''Treponema pertenue'' 아종 endemicum에 의한 베젤, ''Treponema pertenue'' 아종 pertenue에 의한 딸기종, ''Treponema carateum''에 의한 핀타가 있다.
3. 2. 감염 경로
요스는 주로 피부와 점막의 직접적인 접촉을 통해 전파된다.[46] 특히, 놀이나 기타 일반적인 아동기 상호 작용 중에 감염이 발생하는 경우가 많다.[39] 초기 요스 상처는 감염성 박테리아를 포함하고 있어 전염성이 높다.[39] 초기 (1차 및 2차) 요스 병변은 세균 부하가 더 높으므로 더 전염성이 있으며,[2] 감염성은 감염 후 12~18개월 동안 지속되는 것으로 생각되며, 재발할 경우 더 오래 지속된다. 초기 요스 병변은 종종 가렵고, 긁힌 부위를 따라 더 많은 병변이 형성될 수 있다.[2]트레포네마 팔리덤의 아종 ''pertenue'' 박테리아 감염으로 인해 발생하며,[39] ''T. pallidum pertenue''는 비인간 영장류(개코원숭이, 침팬지, 고릴라)에서 확인되었으며, 인간에게 영장류 분리주를 실험적으로 접종하면 요스와 유사한 질병이 발생한다.[5]
정확한 감염 경로는 불분명하지만, 피부와 점막의 직접적인 접촉에 의한 감염으로 생각되며, 풍토병으로서 유아로부터의 조기 감염이 의심된다. 매독과 달리 혈액 감염이나 경태반 감염은 일어나지 않는다[46]。
3. 3. 동물 보균소
트레포네마 팔리덤 페르테뉴(Treponema pallidum pertenue영어)는 비인간 영장류(개코원숭이, 침팬지, 고릴라)에서 확인되었으며,[5] 인간에게 영장류 분리주를 실험적으로 접종하면 요스와 유사한 질병이 발생한다.[5] 그러나 인간과 영장류 사이의 교차 전파에 대한 증거는 없지만, 비인간 영장류에서 요스 동물 보균소의 가능성을 완전히 배제하기는 어렵다.[5]4. 증상 및 징후
요스는 주로 6~10세 어린이에게서 발생한다.[39] 임상적으로 일차, 이차, 삼차로 분류되지만, 감염된 환자는 여러 단계를 혼합하여 나타나는 경우가 많다.[2]
=== 일차 요스 ===
감염 후 9~90일(보통 약 21일[2]) 이내에 통증은 없지만 특징적인 "모성 요스" 결절이 나타난다.[2] 처음에는 붉어지고 염증이 생기며,[12] 유두종으로 발전할 수 있고,이는 다시 궤양으로 진행될 수 있으며, 황색 딱지가 생길 수 있다.[11] 모성 요스는 다리, 발목에서 가장 흔하게 발견되며, 성기에서는 드물게 발견된다(매독과는 다름).[2] 모성 요스는 확대되고 사마귀 모양을 띤다. 근처에 "딸 요스"도 동시에 나타날 수 있다. 이 일차 단계는 3~6개월 이내에 흉터와 함께 완전히 해결된다.[12] 흉터는 종종 색소침착이 된다.[2]
=== 이차 요스 ===
몇 달에서 2년 후(보통 1~2개월 후)에 발생하며, 모성 요스가 아직 치유되지 않았을 때 시작될 수 있다.[2] 세균이 혈액과 림프액으로 퍼지면서 발생한다. 여러 개의 좁쌀 같은 구진으로 시작하며, 이러한 초기 병변은 크기가 커지고 외형이 변하며, 흉터의 유무에 관계없이 몇 주 동안 지속될 수 있다.[2]
이차 요스는 전형적으로 다양한 외형을 가진 광범위한 피부 병변을 보이며, 여기에는 손바닥과 발바닥에 나타나는 "게 요스"(피부의 비정상적인 색상 부위)[12]가 포함된다(고통스러운 발바닥으로 인해 게처럼 걷게 되는 데서 유래[2]). 이들은 박리를 보일 수 있다. 이러한 이차 병변은 종종 궤양을 일으키며, 매우 전염성이 높지만, 6개월 이상 후에 치유된다. 제2기 열대 딸기종(피아노마)이라고 불리는 대형 프람베지아성 종괴가 소형 종괴에 둘러싸여 생기며, yaws(스코틀랜드의 산딸기(framboises)에서 유래)라는 영어 이름은 이 딸기종의 외관에서 유래되었다. 손바닥이나 발바닥에도 유통성 궤양이 나타난다. 제2기의 병변은 수개월 동안 지속되는 활동기를 반복하면서 진행된다.
이차 요스는 피부와 뼈에 영향을 미친다.[12] 가장 흔한 뼈 관련 문제는 골막염으로, 뼈 주위의 염증으로, 종종 손가락 뼈와 팔다리의 긴 뼈에서 발생하여 손가락 부종과 사지 부종을 유발한다.[12] 이것은 밤에 통증을 유발하고, 영향을 받은 뼈의 비후를 일으킨다(골막염).[2] 파푸아뉴기니에서 조사된 감염된 어린이의 약 75%가 관절통을 보고했다.[2] 림프절병증, 발열, 권태감도 흔하다.[12]
일차 및 이차 요스 후(그리고 경우에 따라 이러한 단계 없이), 잠복 감염이 발생한다.[2] 5년 이내(드물게 10년 이내[2])에 재발하여 다시 활동적이 되어 추가적인 이차 병변을 일으킬 수 있으며, 이는 다른 사람을 감염시킬 수 있다.[12] 이러한 재발 병변은 겨드랑이, 입, 항문 주위에서 가장 흔하게 발견된다.[2]
=== 삼차 요스 ===
과거에는 요스가 있는 사람의 약 10%가 삼차 질병 증상을 보인다고 생각했지만, 최근에는 삼차 요스가 덜 보고되고 있다.[12][2]
삼차 요스는 고무종성 결절을 포함할 수 있으며, 가장 흔하게 피부에 영향을 미친다. 손바닥과 발바닥의 피부가 두꺼워지는 과각화증이 나타날 수 있다. 관절 근처에서 궤양을 일으키는 결절은 조직 사망을 유발할 수 있다. 골막염이 더 심각할 수 있으며, 정강이뼈가 만성 골막염으로 인해 굽어지는 검상 정강이가 나타날 수 있다.[12][2]
요스는 심혈관 또는 신경학적 영향을 미칠 수도 있지만, 이에 대한 결정적인 증거는 부족하다.[2] 제3기에서는 제2기의 병변에 이어 때로는 수년의 잠복기를 거쳐 나타나는 만기 병변으로, 골막염과 골염은 유통성이 있으며, 골 파괴를 X선상에서 확인하고, 코 등의 연부 조직과 인접하는 관절도 파괴한다. 단, 매독과는 달리 만기에서도 프람베지아에서는 심혈관계와 신경계 증상은 나타나지 않는다.
=== 파괴성 비인두염(강고사) ===
파괴성 비인두염[13][14] 또는 강고사[13][14]는 파괴적인 궤양성 질환이다.[2] 이 질환은 일반적으로 연구개에서 시작하여 경구개, 비인두, 코로 퍼져나가 절단적인 반흔을 남긴다.[2] 또한 얼굴 바깥쪽으로 퍼져 뼈, 연골, 연조직을 침식한다.[2]
파괴성 비인두염(강고사)은 얀스 후기 단계에서 발생하며, 보통 감염의 첫 증상이 나타난 후 5~10년 후에 발생한다.[2] 얀스의 진행은 3기로 분류가 되며, 제3기에 나타나는 만기 병변중에 하나이다. 제3기에는 골막염과 골염은 유통성이 있으며, 골 파괴를 X선상에서 확인하고, 코 등의 연부 조직과 인접하는 관절도 파괴한다. 현재는 드물게 발생한다.[2]
매우 드물게, 얀스는 골극을 코 근처의 위턱에서 유발할 수 있다 (곤두).[12] 곤두는 얀스가 흔한 질병이었을 때조차 드물었다.[12]
4. 1. 분류
요스는 주로 6~10세 어린이에게서 발생하는 감염병이다.[39] 임상적으로 일차, 이차, 삼차로 분류되지만, 감염된 환자는 여러 단계를 혼합하여 나타나는 경우가 많다.[2]감염 후 9~90일(보통 약 21일[2]) 이내에 통증은 없지만 특징적인 "모성 요스" 결절이 나타난다.[2] 처음에는 붉어지고 염증이 생기며,[12] 유두종으로 발전하고, 궤양으로 진행되어 황색 딱지가 생길 수 있다.[11] 모성 요스는 다리, 발목에서 가장 흔하게 발견되며, 성기에서는 드물게 나타난다(매독과 다름).[2] 모성 요스는 확대되고 사마귀 모양을 띠며, 근처에 "딸 요스"가 동시에 나타날 수도 있다. 일차 단계는 3~6개월 이내에 흉터와 함께 완전히 해결되며,[12] 흉터는 종종 색소침착이 된다.[2]
이차 단계는 몇 달에서 2년 후(보통 1~2개월 후), 모성 요스가 아직 치유되지 않았을 때 시작될 수 있다.[2] 세균이 혈액과 림프액으로 퍼지면서 발생하며, 여러 개의 좁쌀 같은 구진으로 시작하여 크기가 커지고 외형이 변하며, 흉터 유무에 관계없이 몇 주 동안 지속될 수 있다.[2] 이차 요스는 다양한 외형을 가진 광범위한 피부 병변을 보이며, 손바닥과 발바닥에 나타나는 "게 요스"(피부의 비정상적인 색상 부위)[12]는 고통스러운 발바닥으로 인해 게처럼 걷게 되는 데서 유래했다.[2] 이들은 박리를 보일 수 있다. 이차 병변은 종종 궤양을 일으키며, 매우 전염성이 높지만, 6개월 이상 후에 치유된다. 이차 요스는 피부와 뼈에 영향을 미치며,[12] 가장 흔한 뼈 관련 문제는 골막염으로, 뼈 주위 염증으로 인해 손가락 부종과 사지 부종을 유발한다.[12] 영향을 받은 뼈의 비후를 일으키는 골막염은 밤에 통증을 유발한다.[2] 파푸아뉴기니에서 조사된 감염된 어린이의 약 75%가 관절통을 보고했다.[2] 림프절병증, 발열, 권태감도 흔하다.[12]
일차 및 이차 요스 후, 또는 이러한 단계 없이 잠복 감염이 발생한다.[2] 5년 이내(드물게 10년 이내[2])에 재발하여 다시 활동적이 되어 추가적인 이차 병변을 일으키며, 다른 사람을 감염시킬 수 있다.[12] 이러한 재발 병변은 겨드랑이, 입, 항문 주위에서 가장 흔하게 발견된다.[2]
과거에는 요스가 있는 사람의 약 10%가 삼차 질병 증상을 보인다고 생각했지만, 최근에는 삼차 요스가 덜 보고되고 있다.[12][2] 삼차 요스는 고무종성 결절을 포함할 수 있으며, 가장 흔하게 피부에 영향을 미친다. 손바닥과 발바닥의 피부가 두꺼워질 수 있다(과각화증). 관절 근처에서 궤양을 일으키는 결절은 조직 사망을 유발할 수 있다. 골막염이 훨씬 더 심각할 수 있으며, 정강이뼈가 만성 골막염으로 인해 굽어질 수 있다(검상 정강이).[12][2] 요스는 심혈관 또는 신경학적 영향을 미칠 수도 있지만, 결정적인 증거는 부족하다.[2]
4. 2. 일차 요스
요스는 주로 6~10세의 어린이에게서 발생한다.[39] 감염 후 9~90일 이내(보통 약 21일[2])에 통증이 없지만 특징적인 "모성 요스" 결절이 나타난다.[2] 처음에는 붉어지고 염증이 생기며,[12] 유두종으로 발전할 수 있고,이는 다시 궤양으로 진행될 수 있으며, 황색 딱지가 생길 수 있다.[11] 모성 요스는 다리, 발목에서 가장 흔하게 발견되며, 성기에서는 드물게 발견된다(매독과는 다름).[2] 모성 요스는 확대되고 사마귀 모양을 띤다. 근처에 "딸 요스"도 동시에 나타날 수 있다. 이 일차 단계는 3~6개월 이내에 흉터와 함께 완전히 해결된다.[12] 흉터는 종종 색소침착이 된다.[2]4. 3. 이차 요스
몇 달에서 2년 후(보통 1~2개월 후)에 발생하며, 모성 요스가 아직 치유되지 않았을 때 시작될 수 있다.[2] 세균이 혈액과 림프액으로 퍼지면서 발생한다.[2] 여러 개의 좁쌀 같은 구진으로 시작하며, 이러한 초기 병변은 크기가 커지고 외형이 변하며, 흉터의 유무에 관계없이 몇 주 동안 지속될 수 있다.[2]이차 요스는 전형적으로 다양한 외형을 가진 광범위한 피부 병변을 보이며, 여기에는 손바닥과 발바닥에 나타나는 "게 요스"(피부의 비정상적인 색상 부위)[12]가 포함된다(고통스러운 발바닥으로 인해 게처럼 걷게 되는 데서 유래[2]).[12] 이들은 박리를 보일 수 있다. 이러한 이차 병변은 종종 궤양을 일으키며, 매우 전염성이 높지만, 6개월 이상 후에 치유된다.
이차 요스는 피부와 뼈에 영향을 미친다.[12] 가장 흔한 뼈 관련 문제는 골막염으로, 뼈 주위의 염증으로, 종종 손가락 뼈와 팔다리의 긴 뼈에서 발생하여 손가락 부종과 사지 부종을 유발한다.[12] 이것은 밤에 통증을 유발하고, 영향을 받은 뼈의 비후를 일으킨다(골막염).[2] 파푸아뉴기니에서 조사된 감염된 어린이의 약 75%가 관절통을 보고했다.[2] 림프절병증, 발열, 권태감도 흔하다.[12]
일차 및 이차 요스 후(그리고 경우에 따라 이러한 단계 없이), 잠복 감염이 발생한다.[2] 5년 이내(드물게 10년 이내[2])에 재발하여 다시 활동적이 되어 추가적인 이차 병변을 일으킬 수 있으며, 이는 다른 사람을 감염시킬 수 있다.[12] 이러한 재발 병변은 겨드랑이, 입, 항문 주위에서 가장 흔하게 발견된다.[2]
제2기 열대 딸기종(피아노마)이라고 불리는 대형 프람베지아성 종괴가 소형 종괴에 둘러싸여 생긴다. yaws(스코틀랜드의 산딸기(framboises)에서 유래)라는 영어 이름은 이 딸기종의 외관에서 유래되었다. 손바닥이나 발바닥에도 유통성 궤양이 나타난다. 제2기의 병변은 수개월 동안 지속되는 활동기를 반복하면서 진행된다.
4. 4. 삼차 요스
과거에는 요스가 있는 사람의 약 10%가 삼차 질병 증상을 보인다고 생각했지만, 최근에는 삼차 요스가 덜 보고되고 있다.[12][2]삼차 요스는 고무종성 결절을 포함할 수 있으며, 가장 흔하게 피부에 영향을 미친다.[12] 손바닥과 발바닥의 피부가 두꺼워지는 과각화증이 나타날 수 있다.[12] 관절 근처에서 궤양을 일으키는 결절은 괴사를 유발할 수 있다.[12] 골막염이 더 심각할 수 있으며, 정강이뼈가 만성 골막염으로 인해 굽어지는 검상 정강이가 나타날 수 있다.[12][2]
요스는 심혈관 또는 신경학적 영향을 미칠 수도 있지만, 이에 대한 결정적인 증거는 부족하다.[2]
제3기에서는 제2기의 병변에 이어 때로는 수년의 잠복기를 거쳐 나타나는 만기 병변으로, 골막염과 골염은 유통성이 있으며, 골 파괴를 X선상에서 확인하고, 코 등의 연부 조직과 인접하는 관절도 파괴한다. 단, 매독과는 달리 만기에서도 프람베지아에서는 심혈관계와 신경계 증상은 나타나지 않는다.
4. 5. 파괴성 비인두염(강고사)
파괴성 비인두염[13][14] 또는 강고사[13][14]는 파괴적인 궤양성 질환이다.[2] 이 질환은 일반적으로 연구개에서 시작하여 경구개, 비인두, 코로 퍼져나가 절단적인 반흔을 남긴다.[2] 또한 얼굴 바깥쪽으로 퍼져 뼈, 연골, 연조직을 침식한다.[2]파괴성 비인두염(강고사)은 얀스 후기 단계에서 발생하며, 보통 감염의 첫 증상이 나타난 후 5~10년 후에 발생한다.[2] 얀스의 진행은 3기로 분류가 되며, 제3기에 나타나는 만기 병변중에 하나이다. 제3기에는 골막염과 골염은 유통성이 있으며, 골 파괴를 X선상에서 확인하고, 코 등의 연부 조직과 인접하는 관절도 파괴한다. 현재는 드물게 발생한다.[2]
매우 드물게, 얀스는 골극을 코 근처의 위턱에서 유발할 수 있다 (곤두).[12] 곤두는 얀스가 흔한 질병이었을 때조차 드물었다.[12]
5. 진단
진단은 대개 임상적으로 이루어진다.[20] 초기 병변(특히 궤양성 병변[20])에서 채취한 표본의 암시야 현미경 검사는 원인균을 보여줄 수 있다. 스피로헤타는 폭이 0.3μm, 길이가 6–20μm에 불과하므로 일반 광학 현미경으로는 충분하지 않다.[2]
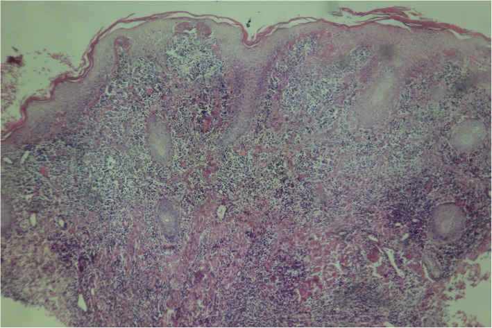
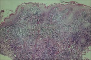
요스의 생검에 대한 현미경 검사는 명확한 표피 과형성(피부 비후의 일종)과 유두종증(표면 불규칙의 일종)을 보일 수 있으며, 종종 국소적인 해면화(표피의 특정 부분에 체액이 축적되는 것)를 동반한다. 면역 체계 세포, 호중구 및 형질 세포가 피부에 축적되어 미세 농양을 유발할 수 있다.
Warthin–Starry 염색 또는 Levaditi 은 염색은 ''T. pallidum''을 선택적으로 염색하며, 직접 및 간접 면역형광 검사 및 면역과산화효소 검사는 ''T. pallidum''에 대한 다클론 항체를 검출할 수 있다. 조직학은 종종 요스와 매독을 구별하는 몇 가지 공간적 특징을 보여준다(매독은 표피가 아닌 진피에서 발견될 가능성이 더 높으며 더 많은 내피 세포 증식과 혈관 폐쇄를 보입니다).[2]
혈청 검사는 점점 더 현장에서 이루어지고 있다. 여기에는 점점 더 다양한 트레포네마 및 비트레포네마 검사가 포함된다. 트레포네마 검사는 더 특이적이며 요스에 감염된 적이 있는 모든 사람에게 양성 반응을 보입니다. 여기에는 ''Treponema pallidum'' 입자 응집 검사가 포함된다. 비트레포네마 검사는 감염의 진행과 완치를 나타내는 데 사용할 수 있으며, 특히 조기에 치료된 경우 긍정적인 결과는 약화되고 회복 후 음성이 될 수 있다.[12] 여기에는 성병 연구소(VDRL, VDRL; 현미경 필요) 및 신속 혈장 (RPR; 육안 결과) 검사가 포함되며, 둘 다 환자 유래 항체를 항원과 응집시킨다.[2]
혈청 검사는 요스와 밀접한 관련이 있는 매독을 구별할 수 없다.[2] 요스와 매독을 구별하는 검사는 널리 사용되지 않는다. 두 유전자는 약 0.2% 차이가 있다. PCR 및 DNA 염기 서열 분석은 둘을 구별할 수 있다.[2] 또한 네 가지 트레포네마증: 매독(''Treponema pallidum pallidum''), 요스(''Treponema pallidum pertenue''), 베젤(''Treponema pallidum endemicum'') 및 핀타(''Treponema carateum'')를 구별하는 일반적인 혈액 검사도 없다.[20]
''Haemophilus ducreyi'' 감염은 일차 요스와 유사한 피부 상태를 유발할 수 있다. ''Haemophilus ducreyi'' 병변에 감염된 사람은 잠복 요스를 가지고 있을 수도 있고 그렇지 않을 수도 있으며, 따라서 혈청 검사에서 양성 반응을 보일 수도 있고 그렇지 않을 수도 있다. 이것은 2010년대 중반에 발견되었다.[12] 최근 분화된 ''Haemophilus ducreyi'' 균주는 성병에서 요스와 유사한 피부 궤양 병원체로 진화한 것으로 보인다.[15] 요스는 비토착 국가에서도 보고되었다.[2]
5. 1. 임상적 진단
진단은 대개 임상적으로 이루어진다.[20] 특징적인 피부 병변의 모양과 분포, 환자의 병력(유행 지역 거주 또는 여행) 등을 종합하여 진단한다. 초기 병변, 특히 궤양성 병변[20]에서 채취한 표본을 암시야 현미경 검사하면 원인균을 확인할 수 있다. 스피로헤타는 폭이 0.3μm, 길이가 6–20μm에 불과하여 일반 광학 현미경으로는 관찰이 어렵다.[2]요스 생검에 대한 현미경 검사는 뚜렷한 표피 과형성(피부 비후의 일종)과 유두종증(표면 불규칙의 일종)을 보이며, 국소적인 해면화(표피의 특정 부분에 체액이 축적되는 것)를 동반하기도 한다. 면역 체계 세포, 호중구 및 형질 세포가 피부에 축적되어 미세 농양을 유발할 수 있다.
Warthin–Starry 염색 또는 Levaditi 은 염색은 ''T. pallidum''을 선택적으로 염색하며, 직접 및 간접 면역형광 검사 및 면역과산화효소 검사는 ''T. pallidum''에 대한 다클론 항체를 검출할 수 있다. 조직학은 요스와 매독을 구별하는 몇 가지 공간적 특징을 보여주는데, 매독은 표피가 아닌 진피에서 발견될 가능성이 더 높으며 더 많은 내피 세포 증식과 혈관 폐쇄를 보인다.[2]
혈청 검사는 현장에서 점점 더 많이 이루어지고 있다. 여기에는 다양한 트레포네마 및 비트레포네마 검사가 포함된다. 트레포네마 검사는 특이적이며 요스에 감염된 적이 있는 모든 사람에게 양성 반응을 보인다. ''Treponema pallidum'' 입자 응집 검사가 그 예이다. 비트레포네마 검사는 감염의 진행과 완치를 나타내는 데 사용될 수 있으며, 조기에 치료된 경우 긍정적인 결과는 약화되고 회복 후 음성이 될 수 있다.[12] VDRL(현미경 필요) 및 RPR(육안 결과) 검사가 있으며, 둘 다 환자 유래 항체를 항원과 응집시킨다.[2]
혈청 검사는 요스와 밀접한 관련이 있는 매독을 구별할 수 없다.[2] 요스와 매독을 구별하는 검사는 널리 사용되지 않는다. 두 유전자는 약 0.2% 차이가 있으며, PCR 및 DNA 염기 서열 분석으로 구별할 수 있다.[2] 또한 네 가지 트레포네마증: 매독(''Treponema pallidum pallidum''), 요스(''Treponema pallidum pertenue''), 베젤(''Treponema pallidum endemicum'') 및 핀타(''Treponema carateum'')를 구별하는 일반적인 혈액 검사도 없다.[20]
''Haemophilus ducreyi'' 감염은 일차 요스와 유사한 피부 상태를 유발할 수 있다. ''Haemophilus ducreyi'' 병변에 감염된 사람은 잠복 요스를 가지고 있을 수도 있고 그렇지 않을 수도 있으며, 혈청 검사에서 양성 반응을 보일 수도 있고 그렇지 않을 수도 있다. 이는 2010년대 중반에 발견되었다.[12] 최근 분화된 ''Haemophilus ducreyi'' 균주는 성병에서 요스와 유사한 피부 궤양 병원체로 진화한 것으로 보인다.[15] 요스는 비토착 국가에서도 보고되었다.[2]
5. 2. 암시야 현미경 검사
초기 병변(특히 궤양성 병변[20])에서 채취한 표본의 암시야 현미경 검사는 원인균을 보여줄 수 있다.[20] 스피로헤타는 폭이 0.3μm, 길이가 6–20μm에 불과하므로 일반 광학 현미경으로는 충분하지 않다.[2]요스의 생검에 대한 현미경 검사는 명확한 표피 과형성(피부 비후의 일종)과 유두종증(표면 불규칙의 일종)을 보일 수 있으며, 종종 국소적인 해면화(표피의 특정 부분에 체액이 축적되는 것)를 동반한다.
5. 3. 조직 검사
요스의 생검에 대한 현미경 검사는 명확한 표피 과형성(피부 비후의 일종)과 유두종증(표면 불규칙의 일종)을 보일 수 있으며, 종종 국소적인 해면화(표피의 특정 부분에 체액이 축적되는 것)를 동반한다.[2] 면역 체계 세포, 호중구 및 형질 세포가 피부에 축적되어 미세 농양을 유발할 수 있다.Warthin–Starry 염색 또는 Levaditi 은 염색은 트레포네마 팔리덤(''T. pallidum'')을 선택적으로 염색하며, 직접 및 간접 면역형광 검사 및 면역과산화효소 검사는 ''T. pallidum''에 대한 다클론 항체를 검출할 수 있다.[2]
5. 4. 혈청 검사
진단은 대개 임상적으로 이루어진다.[20] 초기 병변에서 채취한 표본의 암시야 현미경 검사는 원인균을 보여줄 수 있다.[2]요스의 생검에 대한 현미경 검사는 명확한 표피 과형성과 유두종증을 보일 수 있으며, 종종 국소적인 해면화를 동반한다. Warthin–Starry 염색 또는 Levaditi 은 염색은 ''T. pallidum''을 선택적으로 염색하며, 직접 및 간접 면역형광 검사 및 면역과산화효소 검사는 ''T. pallidum''에 대한 다클론 항체를 검출할 수 있다.[2]
혈청 검사는 점점 더 현장에서 이루어지고 있다. 여기에는 트레포네마 및 비트레포네마 검사가 포함된다. 트레포네마 검사는 ''Treponema pallidum'' 입자 응집 검사를 포함하며, 요스에 감염된 적이 있는 모든 사람에게 양성 반응을 보인다. 비트레포네마 검사는 감염의 진행과 완치를 나타내는 데 사용할 수 있으며, 성병 연구소(VDRL, VDRL) 및 RPR 검사가 포함된다.[12]
혈청 검사는 요스와 매독을 구별할 수 없다.[2] 요스와 매독을 구별하는 검사는 널리 사용되지 않으며, PCR 및 DNA 염기 서열 분석으로 둘을 구별할 수 있다.[2]
5. 5. 분자생물학적 검사
중합 효소 연쇄 반응(PCR) 및 DNA 염기 서열 분석은 요스와 매독을 구별할 수 있다.[2]Warthin–Starry 염색 또는 Levaditi 은 염색은 ''T. pallidum''을 선택적으로 염색하며, 직접 및 간접 면역형광 검사 및 면역과산화효소 검사는 ''T. pallidum''에 대한 다클론 항체를 검출할 수 있다.[2] 조직학은 종종 요스와 매독을 구별하는 몇 가지 공간적 특징을 보여준다(매독은 표피가 아닌 진피에서 발견될 가능성이 더 높으며 더 많은 내피 세포 증식과 혈관 폐쇄를 보입니다).[2]
요스의 생검에 대한 현미경 검사는 명확한 표피 과형성(피부 비후의 일종)과 유두종증(표면 불규칙의 일종)을 보일 수 있으며, 종종 국소적인 해면화(표피의 특정 부분에 체액이 축적되는 것)를 동반한다. 면역 체계 세포, 호중구 및 형질 세포가 피부에 축적되어 미세 농양을 유발할 수 있다.
암시야 현미경 검사는 초기 병변(특히 궤양성 병변[20])에서 채취한 표본에서 원인균을 보여줄 수 있다.[20] 스피로헤타는 폭이 0.3μm, 길이가 6–20μm에 불과하므로 일반 광학 현미경으로는 충분하지 않다.[2]
혈청 검사는 점점 더 현장에서 이루어지고 있으며, 여기에는 점점 더 다양한 트레포네마 및 비트레포네마 검사가 포함된다. 트레포네마 검사는 더 특이적이며 요스에 감염된 적이 있는 모든 사람에게 양성 반응을 보인다. 여기에는 ''Treponema pallidum'' 입자 응집 검사가 포함된다. 비트레포네마 검사는 감염의 진행과 완치를 나타내는 데 사용할 수 있으며, 특히 조기에 치료된 경우 긍정적인 결과는 약화되고 회복 후 음성이 될 수 있다.[12] 여기에는 성병 연구소(VDRL, VDRL; 현미경 필요) 및 신속 혈장 (RPR; 육안 결과) 검사가 포함되며, 둘 다 환자 유래 항체를 항원과 응집시킨다.[2]
혈청 검사는 요스와 밀접한 관련이 있는 매독을 구별할 수 없다.[2] 요스와 매독을 구별하는 검사는 널리 사용되지 않는다. 네 가지 트레포네마증: 매독(''Treponema pallidum pallidum''), 요스(''Treponema pallidum pertenue''), 베젤(''Treponema pallidum endemicum'') 및 핀타(''Treponema carateum'')를 구별하는 일반적인 혈액 검사도 없다.[20]
''Haemophilus ducreyi'' 감염은 일차 요스와 유사한 피부 상태를 유발할 수 있다. ''Haemophilus ducreyi'' 병변에 감염된 사람은 잠복 요스를 가지고 있을 수도 있고 그렇지 않을 수도 있으며, 따라서 혈청 검사에서 양성 반응을 보일 수도 있고 그렇지 않을 수도 있다. 이것은 2010년대 중반에 발견되었다.[12] 최근 분화된 ''Haemophilus ducreyi'' 균주는 성병에서 요스와 유사한 피부 궤양 병원체로 진화한 것으로 보인다.[15]
5. 6. 감별 진단
요스는 헤모필루스 듀크레이(''Haemophilus ducreyi'') 감염과 감별해야 한다.[12] 헤모필루스 듀크레이 감염은 일차 요스와 유사한 피부 상태를 유발할 수 있다.[15]요스의 생검에 대한 현미경 검사는 명확한 표피 과형성(피부 비후의 일종)과 유두종증(표면 불규칙의 일종)을 보일 수 있으며, 종종 국소적인 해면화(표피의 특정 부분에 체액이 축적되는 것)를 동반한다. 면역 체계 세포, 호중구 및 형질 세포가 피부에 축적되어 미세 농양을 유발할 수 있다.
Warthin–Starry 염색 또는 Levaditi 은 염색은 ''T. pallidum''을 선택적으로 염색하며, 직접 및 간접 면역형광 검사 및 면역과산화효소 검사는 ''T. pallidum''에 대한 다클론 항체를 검출할 수 있다.[2] 조직학은 종종 요스와 매독을 구별하는 몇 가지 공간적 특징을 보여준다(매독은 표피가 아닌 진피에서 발견될 가능성이 더 높으며 더 많은 내피 세포 증식과 혈관 폐쇄를 보입니다).[2]
혈청 검사는 점점 더 현장에서 이루어지고 있다. 여기에는 점점 더 다양한 트레포네마 및 비트레포네마 검사가 포함된다. 트레포네마 검사는 더 특이적이며 요스에 감염된 적이 있는 모든 사람에게 양성 반응을 보입니다. 여기에는 ''Treponema pallidum'' 입자 응집 검사가 포함된다. 비트레포네마 검사는 감염의 진행과 완치를 나타내는 데 사용할 수 있으며, 특히 조기에 치료된 경우 긍정적인 결과는 약화되고 회복 후 음성이 될 수 있다.[12] 여기에는 성병 연구소(VDRL, VDRL; 현미경 필요) 및 신속 혈장 (RPR; 육안 결과) 검사가 포함되며, 둘 다 환자 유래 항체를 항원과 응집시킨다.[2]
혈청 검사는 요스와 밀접한 관련이 있는 매독을 구별할 수 없다.[2] 요스와 매독을 구별하는 검사는 널리 사용되지 않는다. 두 유전자는 약 0.2% 차이가 있다. PCR 및 DNA 염기 서열 분석은 둘을 구별할 수 있다.[2] 또한 네 가지 트레포네마증: 매독(Treponema pallidum pallidum), 요스(Treponema pallidum pertenue), 베젤(Treponema pallidum endemicum) 및 핀타(Treponema carateum)를 구별하는 일반적인 혈액 검사도 없다.[20]
6. 치료
요스 치료는 일반적으로 장시간 지속형 벤자틴 벤질페니실린의 단일 근육 주사로 이루어지며, 드물게는 아지트로마이신 또는 테트라사이클린 정제와 같은 다른 항생제 코스를 통해 치료한다.[12] 페니실린은 적어도 1960년대부터 최전선 치료법으로 사용되어 왔지만, 요스에서 페니실린 내성의 진화에 대한 확실한 증거는 없다.[12] 벤자틴 벤질페니실린은 콜드 체인과 주사할 수 있는 직원이 필요하며, 아나필락시스의 위험이 약간 있고, 2010년대에는 안정적으로 사용할 수 없었으며, 공급 부족이 있었다.[12]
2010년대에는 아지트로마이신의 단일 경구 복용량이 근육 주사 페니실린만큼 효과적인 것으로 나타났다.[16][12] 페니실린과 달리 요스가 아지트로마이신에 대한 항생제 내성을 진화하고 있다는 강력한 증거가 있다. 박테리아에서 두 가지 돌연변이가 알려져 있으며, 각각 내성을 유발하고 치료를 비효과적으로 만들 수 있다. 이는 퇴치 노력을 위협했다.[12]
페니실린 치료 후 8~10시간 이내에 병변 생검에서 박테리아를 더 이상 발견할 수 없다.[2] 1차 및 2차 병변은 일반적으로 2~4주 이내에 치유된다. 골통은 이틀 이내에 호전될 수 있다.[12] 조기에 치료하면 골 기형이 되돌아와 치유될 수 있다.[2] 1차 및 2차 단계 병변은 완전히 치유될 수 있지만, 3차 요스의 파괴적인 변화는 대부분 돌이킬 수 없다.
병변이 치유되지 않거나 RPR 검사 결과가 개선되지 않으면 치료 실패 또는 재감염을 나타낼 수 있으며, 일반적으로 치료를 반복한다.[2] WHO 지침에 따르면 4주 후의 치료 실패 의심 사례는 마크로라이드 내성 검사가 필요하다.[39]
감수성이 있는 아지스로마이신 또는 벤자틴 페니실린과 같은 항생제를 근육 주사로 투여한다[47].(단, 매독과 마찬가지로 제3기의 조직 파괴는 비가역적이다). 항생제 사용으로 아시아, 라틴 아메리카에서는 프랑베지아의 분포가 줄어들고 있다. 페니실린에 알레르기가 있는 경우 독시사이클린을 사용한다[46]。
1952년부터 1964년까지의 요스 퇴치를 위한 역사적 전략은 다음과 같았다.[12]
| 임상적으로 활성 요스 유병률 | 치료 전략 |
|---|---|
| 과다 유행: 10% 이상 | 전체 지역 사회에 벤자틴 벤질페니실린 투여 (총 대량 치료) |
| 중간 유행: 5–10% | 모든 활성 환자, 15세 미만 모든 어린이 및 감염 환자의 모든 접촉자 치료 (어린이 대량 치료) |
| 저유행: 5% 미만 | 모든 활성 환자와 모든 가정 및 기타 접촉자 치료 (선택적 대량 치료) |
6. 1. 항생제
요스 치료는 일반적으로 장시간 지속형 벤자틴 벤질페니실린의 단일 근육 주사로 이루어진다.[12] 페니실린 알레르기가 있는 경우, 아지트로마이신 또는 테트라사이클린 정제와 같은 다른 항생제를 사용할 수 있다.[46] 페니실린은 적어도 1960년대부터 최전선 치료법으로 사용되어 왔지만, 요스에서 페니실린 내성의 진화에 대한 확실한 증거는 없다.[12]2010년대에는 아지트로마이신의 단일 경구 복용량이 근육 주사 페니실린만큼 효과적인 것으로 나타났다.[16][12] 그러나 요스가 아지트로마이신에 대한 항생제 내성을 진화하고 있다는 강력한 증거가 있으며, 이는 퇴치 노력을 위협하고 있다.[12]
페니실린 치료 후 8~10시간 이내에 병변 생검에서 박테리아를 더 이상 발견할 수 없다.[2] 1차 및 2차 병변은 일반적으로 2~4주 이내에 치유된다. 골통은 이틀 이내에 호전될 수 있다.[12] 조기에 치료하면 골 기형이 되돌아와 치유될 수 있다.[2]
6. 2. 치료 효과
요스 치료는 일반적으로 장시간 지속형 벤자틴 벤질페니실린의 단일 근육 주사로 이루어지며, 드물게는 아지트로마이신 또는 테트라사이클린 정제와 같은 다른 항생제 코스를 통해 치료한다. 페니실린은 적어도 1960년대부터 최전선 치료법으로 사용되어 왔지만, 요스에서 페니실린 내성의 진화에 대한 확실한 증거는 없다.[12] 벤자틴 벤질페니실린은 콜드 체인과 주사할 수 있는 직원이 필요하며, 아나필락시스의 위험이 약간 있고, 2010년대에는 안정적으로 사용할 수 없었으며, 공급 부족이 있었다.[12]2010년대에는 아지트로마이신의 단일 경구 복용량이 근육 주사 페니실린만큼 효과적인 것으로 나타났다.[16][12] 페니실린과 달리 요스가 아지트로마이신에 대한 항생제 내성을 진화하고 있다는 강력한 증거가 있다. 박테리아에서 두 가지 돌연변이가 알려져 있으며, 각각 내성을 유발하고 치료를 비효과적으로 만들 수 있다. 이는 퇴치 노력을 위협했다.[12]
페니실린 치료 후 8~10시간 이내에 병변 생검에서 박테리아를 더 이상 발견할 수 없다.[2] 1차 및 2차 병변은 일반적으로 2~4주 이내에 치유된다. 골통은 이틀 이내에 호전될 수 있다.[12] 조기에 치료하면 골 기형이 되돌아와 치유될 수 있다.[2] 1차 및 2차 단계 병변은 완전히 치유될 수 있지만, 3차 요스의 파괴적인 변화는 대부분 돌이킬 수 없다.
병변이 치유되지 않거나 RPR 검사 결과가 개선되지 않으면 치료 실패 또는 재감염을 나타낼 수 있으며, 일반적으로 치료를 반복한다.[2] WHO 지침에 따르면 4주 후의 치료 실패 의심 사례는 마크로라이드 내성 검사가 필요하다.[39]
감수성이 있는 아지스로마이신 또는 벤자틴 페니실린과 같은 항생제를 근육 주사로 투여한다[47].(단, 매독과 마찬가지로 제3기의 조직 파괴는 비가역적이다). 항생제 사용으로 아시아, 라틴 아메리카에서는 프랑베지아의 분포가 줄어들고 있다. 페니실린에 알레르기가 있는 경우 독시사이클린을 사용한다[46]。
6. 3. 치료 실패 및 재감염
병변이 치유되지 않거나 RPR 검사 결과가 개선되지 않으면 치료 실패 또는 재감염을 나타낼 수 있으며, 일반적으로 치료를 반복한다.[2] WHO 지침에 따르면 4주 후의 치료 실패 의심 사례는 마크로라이드 내성 검사가 필요하다.[39]요스 치료는 일반적으로 장시간 지속형 벤자틴 벤질페니실린의 단일 근육 주사로 이루어지며, 드물게는 아지트로마이신 또는 테트라사이클린 정제와 같은 다른 항생제 코스를 통해 치료한다. 페니실린은 적어도 1960년대부터 최전선 치료법으로 사용되어 왔지만, 요스에서 페니실린 내성의 진화에 대한 확실한 증거는 없다.[12] 2010년대에는 아지트로마이신의 단일 경구 복용량이 근육 주사 페니실린만큼 효과적인 것으로 나타났다.[16][12] 페니실린과 달리 요스가 아지트로마이신에 대한 항생제 내성을 진화하고 있다는 강력한 증거가 있으며, 이는 박테리아의 두 가지 돌연변이로 인해 치료를 비효과적으로 만들 수 있어, 요스 퇴치 노력을 위협한다.[12]
페니실린 치료 후 8~10시간 이내에 병변 생검에서 박테리아를 더 이상 발견할 수 없다.[2] 1차 및 2차 병변은 일반적으로 2~4주 이내에 치유된다. 골통은 이틀 이내에 호전될 수 있으며, 조기에 치료하면 골 기형이 되돌아와 치유될 수 있다.[2][12]
7. 역학

요스는 일반적으로 남아메리카, 아프리카, 아시아 및 오세아니아의 습한 열대[12] 삼림 지역에서 발견된다.[7][39] 주로 어린이를 감염시키며, 환자의 최대 80%가 15세 미만이고, 6세에서 10세 사이의 어린이에게 발병률이 가장 높다.[39] 소년과 소녀는 동일하게 영향을 받는다.[39]
요스는 치료 접근성이 떨어지는 외딴 지역에서 더 흔하게 발생하며,[12] 가난, 열악한 위생 시설 및 개인 위생과 관련이 있다.[7][18][39]
전 세계적으로 요스 환자의 거의 85%가 가나, 파푸아뉴기니, 솔로몬 제도에 집중되어 있다. 사하라 이남 아프리카의 발병률은 낮지만, 특정 인구 집단에 집중되는 경향이 있다. 2015년 기준으로, 약 8,900만 명이 요스 유행 지역에 거주하는 것으로 추정되지만, 데이터가 부족하여 이는 과대 평가일 가능성이 높다.[18]
1900년대 초, 요스는 매우 흔했으며, 사하라 이남 아프리카에서는 말라리아보다 더 자주 치료되었으며, 때로는 치료의 절반 이상을 차지하기도 했다.[7]
1950년대 대규모 치료 캠페인으로 전 세계 유병률이 5,000만에서 1억 5,000만 명에서 250만 명 미만으로 감소했다. 그러나 1970년대에 동남아시아에서 발병이 있었고, 남아메리카에서도 지속적인 산발적인 사례가 발생했다. 2011년 기준으로, 현재 전 세계적으로 얼마나 많은 사람이 감염되었는지 불분명했다.[23]
2008년부터 2012년까지 13개 국가에서 WHO에 30만 건 이상의 새로운 사례를 보고했다. 요스의 지역적 퇴치를 인증하는 시스템은 없었으며, 일부 국가에서 보고가 없는 이유는 요스 사례가 더 이상 없어서인지, 보고를 중단했기 때문인지 알 수 없다. 적극적인 감시 프로그램이 없을 경우, 요스 발병 이력이 있는 국가의 4분의 3 이상에서 (요스가 발생해도) 성공적으로 요스 사례를 보고할 가능성은 1/2 미만인 것으로 추정된다. 이러한 국가들은 효과적인 감시 체계를 구축하기 위해 국제적 지원이 필요한 것으로 여겨진다.[19]
7. 1. 분포 지역
요스는 일반적으로 남아메리카, 아프리카, 아시아 및 오세아니아의 습한 열대[12] 삼림 지역에서 발견된다.[7][39] 주로 어린이를 감염시키며, 환자의 최대 80%가 15세 미만이고, 6세에서 10세 사이의 어린이에게 발병률이 가장 높다.[39] 소년과 소녀는 동일하게 영향을 받는다.[39]요스는 치료 접근성이 떨어지는 외딴 지역에서 더 흔하게 발생하며,[12] 가난, 열악한 위생 시설 및 개인 위생과 관련이 있다.[7][18][39] 전 세계 요스 환자의 거의 85%가 가나, 파푸아뉴기니, 솔로몬 제도에 집중되어 있다. 사하라 이남 아프리카의 발병률은 낮지만, 특정 인구 집단에 집중되는 경향이 있다.[18]
1900년대 초, 요스는 매우 흔했으며, 사하라 이남 아프리카에서는 말라리아보다 더 자주 치료되었으며, 때로는 치료의 절반 이상을 차지하기도 했다.[7] 1950년대 대규모 치료 캠페인으로 전 세계 유병률이 크게 감소했지만, 1970년대에 동남아시아에서 발병이 있었고, 남아메리카에서도 지속적인 산발적인 사례가 발생했다.[23] 2008년부터 2012년까지 13개 국가에서 WHO에 30만 건 이상의 새로운 사례를 보고했다.[19]
7. 2. 위험 요인
요스는 주로 어린이를 감염시키며, 환자의 최대 80%가 15세 미만이고, 6세에서 10세 사이의 어린이에게 발병률이 가장 높다.[39] 소년과 소녀는 동일하게 영향을 받는다.[39] 요스는 치료 접근성이 떨어지는 외딴 지역에서 더 흔하게 발생한다.[12] 이는 가난, 열악한 위생 시설 및 개인 위생과 관련이 있다.[7][18][39]요스는 일반적으로 남아메리카, 아프리카, 아시아 및 오세아니아의 습한 열대[12] 삼림 지역에서 발견된다.[7][39] 전 세계적으로 요스 환자의 거의 85%가 가나, 파푸아뉴기니, 솔로몬 제도에 집중되어 있다. 2015년 기준으로, 약 8,900만 명이 요스 유행 지역에 거주하는 것으로 추정되지만, 데이터가 부족하여 이는 과대 평가일 가능성이 높다.[18] 1900년대 초, 요스는 매우 흔했으며, 사하라 이남 아프리카에서는 말라리아보다 더 자주 치료되었으며, 때로는 치료의 절반 이상을 차지하기도 했다.[7]
7. 3. 유병률
요스는 일반적으로 남아메리카, 아프리카, 아시아 및 오세아니아의 습한 열대[12] 삼림 지역에서 발견된다.[7][39] 주로 어린이를 감염시키며, 환자의 최대 80%가 15세 미만이고, 6세에서 10세 사이의 어린이에게 발병률이 가장 높다.[39] 소년과 소녀는 동일하게 영향을 받는다.[39] 치료 접근성이 떨어지는 외딴 지역에서 더 흔하게 발생하며,[12] 가난, 열악한 위생 시설 및 개인 위생과 관련이 있다.[7][18][39]
전 세계적으로 요스 환자의 거의 85%가 가나, 파푸아뉴기니, 솔로몬 제도에 집중되어 있다. 사하라 이남 아프리카의 발병률은 낮지만, 특정 인구 집단에 집중되는 경향이 있다.[18] 1900년대 초, 요스는 매우 흔했으며, 사하라 이남 아프리카에서는 말라리아보다 더 자주 치료되었으며, 때로는 치료의 절반 이상을 차지하기도 했다.[7]
1950년대 대규모 치료 캠페인으로 전 세계 유병률이 5,000만에서 1억 5,000만 명에서 250만 명 미만으로 감소했다.[23] 그러나 1970년대에 동남아시아에서 발병이 있었고, 남아메리카에서도 지속적인 산발적인 사례가 발생했다.[23] 2008년부터 2012년까지 13개 국가에서 WHO에 30만 건 이상의 새로운 사례를 보고했다.[19] 2020년에는 82,564건의 요스 사례가 WHO에 보고되었고, 153건이 확인되었다.
8. 예방
8. 1. 백신
현재 요스 감염을 예방하는 백신은 없다.[47]8. 2. 위생 개선
8. 3. 대중 보건 노력
9. 근절 노력
1948년 세계보건기구(WHO) 창설 직후, WHO는 유니세프와 함께 트레포네마증 글로벌 통제(TCP) 프로그램을 통해 욤 퇴치에 나섰다.[22] 1952년부터 1964년까지 진행된 이 프로그램을 통해 전 세계 욤 유병률은 95% 감소했지만, "욤 및 기타 풍토성 트레포네마증 활동을 취약한 1차 의료 시스템에 조기에 통합하고, 1964년 이후 수직적 근절 프로그램을 해체한 것은 나머지 5%의 환자를 끝내지 못하는 결과를 초래했다"[22] 또한 1970년대에 욤이 다시 발병하여 서아프리카 지역에서 가장 많은 환자가 발생했다.[23][24] 이 프로그램이 중단된 후 욤에 대한 자원, 관심, 헌신이 점차 사라졌고, 욤은 아시아, 아프리카, 아메리카 일부 지역에서 낮은 유병률을 유지하며 산발적인 발병이 발생했다. 환자가 거의 없고 치료 접근성이 낮은 가난하고 외딴 지역 사회에 주로 영향을 미치면서 욤은 잘 알려지지 않았고, 욤에 대한 지식과 기술은 의료 전문가들 사이에서도 사라졌으며, 욤 근절은 높은 우선순위로 간주되지 않았다. 장기 지속형 페니실린 또는 기타 베타락탐 항생제 한 번의 주사로 질병을 치료할 수 있고, 널리 사용할 수 있으며, 질병이 매우 국지화되어 있지만, 많은 근절 캠페인이 자만심과 방치로 끝났다. 감염이 성공적으로 중단된 지역에서도 감염된 지역에서 재발생이 발생했다. 욤 근절은 동남아시아에서 여전히 우선순위로 남아있었다.[25][29] 1995년, WHO는 전 세계적으로 46만 건의 환자가 발생한 것으로 추정했다.[26]
인도는 성공적인 욤 근절 캠페인을 시행하여 2016년 WHO로부터 인도가 욤이 없는 국가라는 인증을 받았다.[28][29][30] 1996년 인도에는 3,571건의 욤 환자가 있었고, 심각한 제거 노력이 시작된 1997년에는 환자 수가 735건으로 감소했다. 2003년까지 환자 수는 46건이었다. 인도의 마지막 임상 사례는 2003년에 보고되었고, 마지막 잠복 사례는 2006년에 보고되었다.[31] WHO 인증은 2016년에 획득되었다.[28][32]
2012년 WHO는 경구 투여가 가능한 아지트로마이신이 치료제로 개발됨에 따라 2020년까지 욤을 근절하겠다는 목표를 공식적으로 설정했지만, 이 목표를 달성하지 못했다.[33][34][35] 모르제 접근법(회의가 열린 모르제에서 이름을 따옴[36])은 아지트로마이신을 대량 투여하는 방식을 포함했다. 이는 안전했지만 항생제 내성 문제가 발생했고, 감염을 완전히 중단시키지 못했다.[12]
경구용 항생제 아지트로마이신을 이전의 표준인 주사형 페니실린 대신 사용할 수 있다는 사실을 발견하여 2013년부터 2014년까지 리히르 섬에서 시험했다.[37] 마크로라이드 항생제의 단일 경구 투여량은 12개월 만에 질병 유병률을 2.4%에서 0.3%로 감소시켰다.[38] 현재 WHO는 두 가지 치료 과정(경구 아지트로마이신 및 주사형 페니실린)을 권장하며, 경구 아지트로마이신을 선호하는 치료법으로 권장한다.[39]
, 욤이 유행하는 것으로 알려진 국가는 15개국이며, 최근 라이베리아와 필리핀에서 유행하는 전염이 발견되었다.[40] 2020년에는 82,564건의 욤 사례가 WHO에 보고되었고, 153건이 확인되었다. 대부분의 사례는 파푸아뉴기니에서 보고되었으며, 2010-2013년 기간 동안 전체 사례의 80% 이상이 파푸아뉴기니, 솔로몬 제도, 가나 등 3개국에서 발생했다.[40][41] 2018년 WHO 회의 보고서에서는 근절에 드는 총 비용을 1억 7,500만 달러(인도네시아 제외)로 추산했다.[42]
WHO의 동남아시아 지역 사무소에서는 인도가 2016년에 욤이 없는 국가로 선언된 후 이 지역의 나머지 유행 국가(인도네시아 및 동티모르)에 근절 노력을 집중하고 있다.[43][44][45][42]
욤은 매우 국지적이고 근절이 가능할 수 있지만, 인간이 감염의 유일한 저장소는 아닐 수 있다.[23]
필리핀에서는 1973년에 욤이 보고해야 하는 질병 목록에서 제외되었다. 2020년 현재, 욤은 여전히 이 나라에 존재한다.[27]
9. 1. WHO의 노력
1948년 세계보건기구(WHO) 창설 직후, WHO는 유니세프와 함께 트레포네마증 글로벌 통제(TCP) 프로그램을 통해 욤 퇴치에 나섰다.[22] 1952년부터 1964년까지 진행된 이 프로그램을 통해 전 세계 욤 유병률은 95% 감소했지만, 프로그램 해체 이후 욤은 다시 발병했다.[22][23][24] 1970년대에는 서아프리카 지역에서 가장 많은 환자가 발생했다.[23][24] 1995년 WHO는 전 세계적으로 46만 건의 욤 환자가 발생한 것으로 추정했다.[26]인도는 욤 근절 캠페인을 성공적으로 시행하여 2016년 WHO로부터 욤이 없는 국가라는 인증을 받았다.[28][29][30] 2003년까지 환자 수는 46건으로 줄었고, 마지막 임상 사례는 2003년에, 마지막 잠복 사례는 2006년에 보고되었다.[31]
2012년, WHO는 2020년까지 욤을 근절하겠다는 새로운 목표를 설정했다.[33][34][35] 이를 위해 경구용 아지트로마이신을 대량 투여하는 모르제 접근법을 추진했지만,[12] 항생제 내성 문제로 인해 목표 달성에 실패했다.[12] 2013년부터 2014년까지 리히르 섬에서 시험 결과, 마크로라이드 항생제 단일 경구 투여만으로도 12개월 만에 질병 유병률을 2.4%에서 0.3%로 감소시킬 수 있었다.[38] 현재 WHO는 경구 아지트로마이신과 주사형 페니실린 두 가지 치료법을 모두 권장하며, 경구 아지트로마이신을 선호한다.[39]
2020년 기준으로 욤은 15개국에서 유행하는 것으로 알려져 있으며, 라이베리아와 필리핀에서 최근 유행이 확인되었다.[40] 2020년에는 82,564건의 욤 사례가 WHO에 보고되었으며, 대부분 파푸아뉴기니에서 발생했다.[40] 2010-2013년 기간 동안 전체 사례의 80% 이상이 파푸아뉴기니, 솔로몬 제도, 가나 3개국에서 발생했다.[40][41] WHO 동남아시아 지역 사무소는 인도가 욤 퇴치에 성공한 이후, 인도네시아와 동티모르 등 나머지 유행 국가에 대한 근절 노력을 집중하고 있다.[43][44][45][42]
9. 2. 인도의 성공 사례
인도는 1996년 3,571건의 요스 환자가 발생했으나, 체계적인 질병 제거 노력이 시작된 1997년에는 환자 수가 735건으로 감소했다.[31] 2003년까지 환자 수는 46건으로 줄었으며, 마지막 임상 사례는 2003년에, 마지막 잠복 사례는 2006년에 보고되었다.[31] 이러한 노력의 결과로 인도는 2016년 세계보건기구(WHO)로부터 요스 퇴치 인증을 받았다.[28][29][30][32]인도의 성공적인 요스 근절은 WHO의 동남아시아 지역에서 다른 국가들의 근절 노력에 중요한 본보기가 되고 있다.[43][44][45][42]
9. 3. 과제
요스는 매우 국지적인 질병으로 근절이 가능할 수 있지만, 인간이 감염의 유일한 저장소가 아닐 수 있다는 점은 근절 노력을 어렵게 만든다.[23] 1948년 세계보건기구(WHO) 창설 직후 시작된 욤 통제 노력은 많은 국가에서 지역적으로 질병을 근절하는 데 성공했지만, 전 세계적으로 근절할 만큼 오래 지속되지 못했다.[18] 1952년부터 1964년까지 WHO와 유니세프의 트레포네마증 글로벌 통제(TCP) 프로그램을 통해 욤과 베젤, 핀타의 전 세계 유병률은 95% 감소했지만,[22] 프로그램 중단 후 욤에 대한 자원, 관심, 헌신이 점차 사라지면서 욤은 낮은 유병률을 유지하며 산발적인 발병이 발생했다.[23][24][25][29]인도는 성공적인 욤 근절 캠페인을 시행하여 2016년 WHO로부터 욤이 없는 국가라는 인증을 받았다.[28][29][30] 1996년 인도에는 3,571건의 욤 환자가 있었고, 1997년에는 735건으로 감소했으며, 2003년까지 환자 수는 46건이었다.[31] 인도의 마지막 임상 사례는 2003년에, 마지막 잠복 사례는 2006년에 보고되었다.[31]
2012년 WHO는 2020년까지 욤을 근절하겠다는 목표를 설정했지만, 이 목표는 달성되지 못했다.[33][34][35] 아지트로마이신을 대량 투여하는 모르제 접근법은[36] 안전했지만 항생제 내성 문제가 발생했고, 감염을 완전히 중단시키지 못했다.[12] 특히 아지트로마이신 내성 문제는 요스 퇴치의 심각한 위협 요인으로 작용한다.
기준으로 욤이 유행하는 것으로 알려진 국가는 15개국이며, 최근 라이베리아와 필리핀에서 유행하는 전염이 발견되었다.[40] 2020년에는 82,564건의 욤 사례가 WHO에 보고되었고, 153건이 확인되었다.[40] 대부분의 사례는 파푸아뉴기니에서 보고되었으며, 2010-2013년 기간 동안 전체 사례의 80% 이상이 파푸아뉴기니, 솔로몬 제도, 가나 등 3개국에서 발생했다.[40][41]
참조
[1]
논문
Yaws (Frambesia tropica, Thymosis, Polypapilloma tropicum, Parangi, Bouba, Frambosie, Pian)
2020-01
[2]
논문
Yaws.
2015-09
[3]
서적
Dermatology: 2-Volume Set
Mosby
[4]
서적
Andrews' Diseases of the Skin: clinical Dermatology
Saunders Elsevier
[5]
논문
Yaws
[6]
논문
New treatment schemes for yaws: the path toward eradication
http://cid.oxfordjou[...]
[7]
논문
Eradication of Yaws: Historical Efforts and Achieving WHO's 2020 Target
2014-09-25
[8]
논문
Global epidemiology of yaws: a systematic review.
2015-06
[9]
서적
Histoire de l'isle Espagnole ou de S. Domingue
http://mertzdigital.[...]
F. Barois
1730
[10]
웹사이트
Number of cases of yaws reported
http://apps.who.int/[...]
2019-02-13
[11]
논문
Integrated Management of Skin NTDs—Lessons Learned from Existing Practice and Field Research
2018-11-14
[12]
논문
Advances in the Treatment of Yaws
2018-08-29
[13]
논문
Some observations on the tertiary lesions of framboesia tropica, or yaws.
1926
[14]
서적
Infectious Diseases of Nauru
https://books.google[...]
GIDEON Informatics Inc
2015-10-31
[15]
논문
Haemophilus ducreyi: from sexually transmitted infection to skin ulcer pathogen
2016-02
[16]
논문
Single-dose azithromycin versus benzathine benzylpenicillin for treatment of yaws in children in Papua New Guinea: an open-label, non-inferiority, randomised trial.
2012-01-28
[17]
웹사이트
Countries where yaws is endemic
https://ourworldinda[...]
2024-06-17
[18]
논문
Global epidemiology of yaws: a systematic review
2015-05-19
[19]
논문
Prioritizing surveillance activities for certification of yaws eradication based on a review and model of historical case reporting
2018-12-04
[20]
웹사이트
Yaws
http://www.medicinen[...]
MedicineNet.com
2012-08-05
[21]
문서
All things uncertain: The story of the G.I.S.
[22]
웹사이트
WHO renews efforts to achieve global eradication of yaws by 2020
https://www.who.int/[...]
[23]
논문
Yaws in the Western Pacific Region: A Review of the Literature
[24]
논문
Yaws: a second (and maybe last?) chance for eradication
[25]
논문
The return of yaws
2008-07
[26]
웹사이트
Integrating neglected tropical diseases in global health and development
http://www.who.int/n[...]
2017-09-12
[27]
논문
Yaws in the Philippines: first reported cases since the 1970s.
2020-01-30
[28]
논문
WHO Declares India Free of Yaws and Maternal and Neonatal Tetanus
https://pubmed.ncbi.[...]
2016-09-20
[29]
논문
Yaws eradication: past efforts and future perspectives
https://www.who.int/[...]
2009-04-02
[30]
웹사이트
World Health Organization South-East Asia | World Health Organization
https://www.who.int/[...]
[31]
뉴스
Another milestone for India: Yaws eradication
http://www.asianage.[...]
2012-08-05
[32]
논문
Yaws Eradication Programme (YEP)
http://www.ncdc.gov.[...]
NCDC, Dte. General of Health Services, Ministry of Health & Family Welfare, Government of India
2014-01-18
[33]
논문
Eradication of yaws – the Morges Strategy.
https://www.who.int/[...]
2014-05-06
[34]
논문
WHO plans new yaws eradication campaign
[35]
논문
Yaws eradication: facing old problems, raising new hopes
[36]
웹사이트
Summary report of a consultation on the eradication of yaws
https://web.archive.[...]
[37]
웹사이트
Drug and a syphilis test offer hope of yaws eradication
http://www.trust.org[...]
Thomas Reuter Foundation
2013-08-13
[38]
논문
Mass treatment with single-dose azithromycin for yaws
2015-02
[39]
웹사이트
Yaws
https://www.who.int/[...]
World Health Organization
2023-01-12
[40]
웹사이트
Yaws
https://www.who.int/[...]
[41]
논문
Global epidemiology of yaws: a systematic review
2015-05-19
[42]
서적
Report of a global meeting on yaws eradication surveillance, monitoring and evaluation: Geneva, 29–30 January 2018
World Health Organization
2018
[43]
논문
Yaws eradication: past efforts and future perspectives
2008-07
[44]
서적
Regional strategic plan for elimination of yaws from South-East Asia Region 2012-2020
WHO Regional Office for South-East Asia
2013
[45]
논문
WHO Declares India Free of Yaws and Maternal and Neonatal Tetanus
2016-09-20
[46]
웹사이트
ベジェル,ピンタ,およびイチゴ腫 ベジェル,ピンタ,およびイチゴ腫
https://www.msdmanua[...]
MSDマニュアル プロフェッショナル版
[47]
웹사이트
フランベジア(イチゴ腫)について(ファクトシート)
https://www.forth.go[...]
FORTH 厚生労働省検疫所
[48]
서적
Dermatology: 2-Volume Set
Mosby
[49]
서적
Andrews' Diseases of the Skin: clinical Dermatology
https://archive.org/[...]
Saunders Elsevier
[50]
웹인용
Yaws Fact sheet N°316
http://www.who.int/m[...]
2014-02
[51]
저널
New treatment schemes for yaws: the path toward eradication
http://cid.oxfordjou[...]
[52]
저널
Yaws
본 사이트는 AI가 위키백과와 뉴스 기사,정부 간행물,학술 논문등을 바탕으로 정보를 가공하여 제공하는 백과사전형 서비스입니다.
모든 문서는 AI에 의해 자동 생성되며, CC BY-SA 4.0 라이선스에 따라 이용할 수 있습니다.
하지만, 위키백과나 뉴스 기사 자체에 오류, 부정확한 정보, 또는 가짜 뉴스가 포함될 수 있으며, AI는 이러한 내용을 완벽하게 걸러내지 못할 수 있습니다.
따라서 제공되는 정보에 일부 오류나 편향이 있을 수 있으므로, 중요한 정보는 반드시 다른 출처를 통해 교차 검증하시기 바랍니다.
문의하기 : help@durumis.com
