맨위로가기

위장관벽

"오늘의AI위키"는 AI 기술로 일관성 있고 체계적인 최신 지식을 제공하는 혁신 플랫폼입니다.
"오늘의AI위키"의 AI를 통해 더욱 풍부하고 폭넓은 지식 경험을 누리세요.

1. 개요

위장관벽은 위장관을 구성하는 여러 층의 구조를 의미한다. 현미경으로 관찰했을 때 점막, 점막하층, 근육층, 장막/바깥막의 네 가지 주요 층으로 구성되어 있으며, 각 층은 위장관의 기능에 맞춰 특화된 구조를 갖는다. 점막은 가장 안쪽 층으로 소화, 흡수, 분비 과정을 담당하며, 점막하층은 혈관, 림프관, 신경을 포함한다. 근육층은 연동 운동을 통해 음식물을 이동시키고, 장막/바깥막은 위장관을 보호하고 지지하는 역할을 한다. 위장관벽은 궤양, 염증성 질환, 종양 등 다양한 질환의 영향을 받으며, 질병의 진단과 치료에 중요한 정보를 제공한다.

광고

더 읽어볼만한 페이지

  • 소화계 - 배변
    배변은 대장의 연동운동, 직장의 작용, 항문 괄약근의 조절을 통해 체내 변을 항문으로 배출하는 생리적 과정으로, 배변 자세, 관련 질병, 사회문화적 요소, 심혈관계 합병증 위험 등과 관련된다.
  • 소화계 - 식도
    식도는 소화계의 상부 기관으로, 입 뒤에서 시작하여 위까지 연결되며, 음식물 역류를 막고 삼키는 기능을 수행하며 다양한 질환이 발생할 수 있다.

2. 구조

장벽의 일반적인 구조


현미경으로 관찰했을 때, 위장관 벽은 기본적인 형태는 같지만, 소화 과정에 따라 특정 부분에서 다르게 나타난다.

2. 1. 점막 (Mucosa)

점막은 위장관의 가장 안쪽 층으로, 소화관 내부 공간(내강)을 둘러싸고 소화된 음식물(키메)과 직접 접촉한다. 점막은 세 개의 층으로 구성된다.[1]

  • 상피: 가장 안쪽 층으로, 대부분의 소화, 흡수, 분비 과정이 일어난다.
  • 고유층: 점막 내의 결합 조직 층이다.
  • 점막근층: 얇은 평활근 층이다.


점막 상피는 많은 술잔 세포를 가진 선상피이다. 술잔 세포는 점액을 분비하여 음식물 통과를 돕고 소화 효소로부터 장벽을 보호한다. 소장에는 융모가 있어 표면적을 넓힌다. 융모 속 유미관은 림프계와 연결되어 지질과 조직액 제거를 돕는다. 미세 융모는 융모 상피에 존재하여 흡수 면적을 더욱 넓힌다. 대장에는 융모가 없고 수천 개의 샘이 있는 평평한 표면이 관찰된다. 상피 아래에는 근섬유아세포, 혈관, 신경, 여러 면역 세포를 포함하는 고유층과 장의 지속적인 연동 운동 및 분절 운동을 돕는 점막근층이 있다.

2. 1. 1. 소장 점막 세포

소장 점막 상피에는 여러 종류의 세포가 존재한다. 다음은 소장 점막 상피에 존재하는 세포의 종류와 그 기능이다.[2]

세포 유형점막 위치기능
흡수 세포상피/창자샘섞인 음식물 속 영양소의 소화 및 흡수
술잔 세포상피/창자샘점액 분비
파네트 세포창자샘살균 효소인 리소자임 분비, 식균 작용
G 세포십이지장의 창자샘호르몬 가스트린 분비
I 세포십이지장의 창자샘췌장액담즙의 분비를 자극하는 호르몬 콜레시스토키닌 분비
K 세포창자샘인슐린 분비를 자극하는 호르몬 포도당 의존성 인슐린 자극 폴리펩티드 분비
M 세포십이지장 및 공장의 창자샘위 배출을 가속화하고, 창자 연동 운동을 자극하며, 펩신의 생성을 자극하는 호르몬 모틸린 분비
S 세포창자샘호르몬 세크레틴 분비


2. 1. 2. 상피의 종류

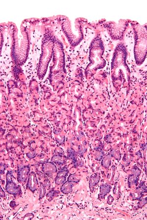
의 점막 이미지로, 원주형 세포로 구성된 상피(상단, 길쭉한 구멍을 향하고 있음)를 보여준다.


점막의 상피 내벽은 위장관에 따라 다르다.[1] 상피는 여러 층의 세포로 구성되어 있으면 중층, 한 층의 세포로 구성되어 있으면 단층이라고 한다. 세포의 모양은 기둥 모양이면 원주형, 편평하면 편평형이라고 부른다.

  • 식도, 인두 및 외부 항문관에서 상피는 보호를 위해 중층 편평이며 각질화되지 않는다.
  • 에서 상피는 단층 원주형이며 분비를 처리하기 위해 위소와와 샘으로 구성되어 있다.[1]
  • 소장에서 상피는 흡수를 위해 특화된 단층 원주형이다. 원형 주름과 융모로 구성되어 있으며, 장세포에는 미세 융모가 있다. 미세 융모는 흡수 면적을 증가시키는 가장자리 띠를 형성한다. 회장에는 때때로 고유층에 페이어판이 있다. 브루너샘은 십이지장에서 발견되지만 소장의 다른 부분에서는 발견되지 않는다.[1]
  • 잘록창자에서 상피는 단층 원주형이며 융모가 없다. 점액을 분비하는 술잔 세포도 존재한다.[1]
  • 충수는 잘록창자와 유사한 점막을 가지고 있지만 림프구로 심하게 침윤되어 있다.


서로 다른 유형의 상피 사이의 전이는 식도 위 접합부에서 발생한다. 위와 십이지장 사이, 회장과 막창자 사이, 치상선의 항문에서 발생한다.[1]

2. 2. 점막하층 (Submucosa)

점막하층은 혈관, 림프관 및 신경을 포함하는 조밀하고 불규칙한 결합 조직 층이다. 이 층은 점막과 근육층으로 뻗어 나가며, 점막하 신경총과 장 신경총이 근육층 내면에 위치한다.[1]

2. 3. 근육층 (Muscular layer)

위벽의 근육층


근육층은 내층과 외층, 두 층의 근육으로 구성되어 있다.[3] 내층 근육은 소화관을 따라 원형 고리 모양으로 배열되어 있으며, 외층 근육은 세로로 배열되어 있다. 위는 추가로 내사근층을 가지고 있다.[1] 두 근육층 사이에는 마이에르 신경총(Auerbach's plexus)이 있어 연동운동을 제어한다. 이 활동은 박동조율 세포(카할 간질 세포)에 의해 시작된다. 장은 자체 내장 신경계 덕분에 내재적인 연동 운동 활동(기저 전기 리듬)을 보인다. 물론, 연동 운동 속도는 자율 신경계에 의해 조절될 수 있다.

근육층은 실제로는 완전한 세로 또는 원형이 아니라, 서로 다른 피치를 가진 나선형이다. 내원형 근육층은 가파른 피치를, 외세로층 근육층은 훨씬 얕은 피치를 가진 나선형이다.

이러한 근육층의 조화로운 수축을 연동 운동이라고 하며, 이 운동은 음식을 소화관을 통해 이동시킨다. 위장관 내의 음식은 입에서 위까지는 덩어리(음식 덩어리)라고 불린다. 위를 거친 후 음식은 부분적으로 소화되어 반액체 상태가 되는데, 이를 키메(chyme)라고 한다. 대장에서 남아있는 반고체 물질은 변이라고 한다. 원형 근육층은 음식이 뒤로 이동하는 것을 막고, 세로층은 소화관을 짧게 만든다.

근육층의 두께는 소화관의 각 부분마다 다르다.

  • 예를 들어, 결장은 변이 크고 무거워 더 많은 힘으로 밀어내야 하기 때문에 근육층이 훨씬 두껍다. 결장의 외세로층은 ''결장 띠(taeniae coli)'' (결장의 띠)라고 하는 3개의 불연속적인 세로 띠로 얇아진다. 이는 소장과 대장을 구별하는 데 도움이 되는 3가지 특징 중 하나이다.
  • 때때로 대장에서는 하루에 2-3번 특정 분절의 대량 수축이 일어나 많은 양의 변이 이동한다. 이것은 일반적으로 배변 욕구를 느낄 때 발생한다.
  • 위 유문에는 내원형층의 두꺼워진 부분인 유문 괄약근이 있다. 위는 위장관 중 유일하게 세 번째 근육층(내사근층)을 가지고 있으며, 이는 위에서 키메를 저어주는 데 도움을 준다.

2. 4. 장막 (Serosa) 및 바깥막 (Adventitia)

위장관 벽의 가장 바깥층은 여러 겹의 결합 조직으로 구성되어 있으며, 횡격막 아래는 장막, 횡격막 위는 바깥막으로 구성된다.[4][1][5]

복막강 내에 있는 위장관 부위는 장막으로 덮여 있다. 이 구조는 중피라고 하는 단층 편평 상피로 덮인 결합 조직으로 구성되어 있으며, 소화 운동 중 마찰력을 감소시킨다. 복막내 부위에는 대부분의 , 십이지장의 첫 부분, 모든 소장, 맹장충수, 가로결장, S상 결장 및 직장이 포함된다. 위장관의 이러한 부분에서는 위장관과 주변 조직 사이에 명확한 경계가 있다. 이러한 위장관 부위에는 장간막이 있다.

후복막강 뒤에 있는 위장관 부위는 바깥막으로 덮여 있다. 이들은 주변 조직과 섞여 있고 고정된 위치에 있다(예: 십이지장의 후복막 부위는 일반적으로 유문평면을 통과한다). 후복막 부위에는 구강, 식도, 위 유문, 원위부 십이지장, 상행 결장, 하행 결장 및 항문관이 포함된다.

3. 임상적 중요성

위장관벽은 여러 질환에 영향을 받을 수 있다.

궤양은 벽의 상피를 침식하는 것이다. 소화관에 영향을 미치는 궤양에는 소화성 궤양이 있으며, 천공성 궤양은 층을 완전히 침식한 것이다.

위장관벽은 여러 질환에서 염증을 겪는다. 이는 영향을 받는 부분에 따라 식도염, 위염, 십이지장염, 회장염, 대장염이라고 불린다. 이는 감염이나 셀리악병과 같은 다른 질환으로 인해 발생할 수 있으며, 염증성 장 질환은 위장관의 층에 다양한 방식으로 영향을 미친다. 궤양성 대장염은 결장 점막과 관련이 있다. 크론병은 위장관의 모든 부분에서 모든 층에 염증을 일으킬 수 있으며, 이로 인해 벽을 관통하는 누공이 발생할 수 있다.

종양의 위장관벽 층 침윤은 종양 전이의 병기 결정에 사용된다. 이는 치료 및 예후에 영향을 미친다.

소장의 정상적인 두께는 3~5mm이며,[6] 대장은 1~5mm이다.[7] 국소적이고 불규칙하며 비대칭적인 위장관벽 비후는 악성 종양을 시사한다.[7] 분절성 또는 광범위한 위장관벽 비후는 허혈성, 염증성 또는 감염성 질환으로 인해 발생하는 경우가 가장 많다.[7]

4. 추가 이미지

참조

[1] 서적 Wheater's functional histology : a text and colour atlas Churchill Livingstone/Elsevier
[2] 서적 Anatomy & Physiology OpenStax CNX 2023-09-13
[3] 웹사이트 Oral: Four layers of the G.I. tract http://www.histology[...] University of Leeds 2014-01-04
[4] 웹사이트 General Structure of the Digestive System {{!}} SEER Training https://training.see[...] 2024-04-02
[5] 서적 Color Atlas and Text of Histology Lippincott Williams & Wilkins
[6] 웹사이트 Small-Bowel Obstruction Imaging http://emedicine.med[...] 2017-03-07
[7] 논문 Bowel wall thickening at CT: simplifying the diagnosis
[8] 서적 Wheater's functional histology : a text and colour atlas Churchill Livingstone/Elsevier



본 사이트는 AI가 위키백과와 뉴스 기사,정부 간행물,학술 논문등을 바탕으로 정보를 가공하여 제공하는 백과사전형 서비스입니다.
모든 문서는 AI에 의해 자동 생성되며, CC BY-SA 4.0 라이선스에 따라 이용할 수 있습니다.
하지만, 위키백과나 뉴스 기사 자체에 오류, 부정확한 정보, 또는 가짜 뉴스가 포함될 수 있으며, AI는 이러한 내용을 완벽하게 걸러내지 못할 수 있습니다.
따라서 제공되는 정보에 일부 오류나 편향이 있을 수 있으므로, 중요한 정보는 반드시 다른 출처를 통해 교차 검증하시기 바랍니다.

문의하기 : help@durumis.com