맨위로가기

식도염

"오늘의AI위키"는 AI 기술로 일관성 있고 체계적인 최신 지식을 제공하는 혁신 플랫폼입니다.
"오늘의AI위키"의 AI를 통해 더욱 풍부하고 폭넓은 지식 경험을 누리세요.

1. 개요

식도염은 식도 내벽에 염증이 생기는 질환으로, 속쓰림, 연하곤란, 구토 등의 증상을 유발한다. 위산 역류, 약물, 감염, 알레르기, 스트레스 등 다양한 원인으로 발생하며, 치료하지 않고 방치하면 식도 궤양, 바렛 식도, 식도암으로 이어질 수 있다. 식도염은 역류성, 감염성, 약물 유발성, 호산구성, 림프구성, 부식성 등 여러 종류로 분류되며, 상부 내시경 검사, 생체 검사, 실험실 검사 등을 통해 진단한다. 치료는 생활 습관 개선, 약물 치료, 내시경 치료, 수술적 치료를 포함하며, 예방을 위해서는 원인에 따른 생활 습관 관리가 중요하다.

광고

더 읽어볼만한 페이지

  • 식도 질환 - 식도정맥류
    식도정맥류는 문맥압 항진으로 인해 식도 점막하층 정맥이 확장되어 점막이 혹처럼 솟아오르는 질환으로, 파열 시 대량 토혈을 유발하며 상부 소화관 내시경으로 진단한다.
  • 식도 질환 - 호산구성 식도염
    호산구성 식도염은 식도에 호산구가 과도하게 축적되어 발생하는 만성 알레르기성 염증 질환으로, 삼킴 곤란, 음식 걸림 등의 증상을 보이며, 식단 조절, 약물 치료, 내시경 치료 등을 통해 치료한다.
  • 급성 통증 - 강간
  • 급성 통증 - 화상
    화상은 열, 화학물질, 전기, 방사선 등으로 피부와 조직이 손상되는 것으로, 심한 정도에 따라 증상이 다르게 나타나며 원인에 따라 다양한 치료법이 적용되고 심각한 경우 생명을 위협할 수 있다.
  • 염증 - 신장염
    신장염은 콩팥에 발생한 염증으로, 자가면역질환, 요로감염, 루푸스, 격렬한 운동 등이 원인이 되어 혈뇨, 핍뇨, 요독증, 고혈압 등의 증상을 유발하며, 혈액 검사, X레이, 초음파 등으로 진단하고 원인에 따라 치료한다.
  • 염증 - 신우신염
    신우신염은 신장의 신우와 신실질에 발생하는 감염으로, 급성(고열, 배뇨통, 옆구리 통증)과 만성(지속적인 옆구리 통증, 체중 감소)으로 나뉘며, 대장균과 장구균이 주요 원인균이고, 항생제로 치료하며, 요로의 구조적 이상, 당뇨병, 면역 저하 등이 위험 요인이다.

2. 증상

식도염의 일반적인 증상은 다음과 같다.[2]


  • 속쓰림 – 가슴 중앙 하부에 타는 듯한 통증
  • 메스꺼움
  • 연하곤란 – 삼키는 것이 고통스럽고, 식도를 통해 음식물이 지나가기 어렵거나 통과하기 힘듬
  • 구토
  • 복통
  • 기침


식후에 증상이 악화되는 경향이 있다.

2. 1. 합병증

치료받지 않고 방치된 식도염은 식도에 흉터와 불편함을 유발할 수 있다. 이러한 자극이 계속되면 식도염은 식도 궤양으로 이어질 수 있으며, 바렛 식도로 발전하여 식도암의 위험을 높일 수 있다.[3]

3. 원인

식도염은 다양한 원인으로 발생할 수 있다. 위식도 역류 질환(GERD)은 위산의 역류로 인해 식도 내벽을 자극하여 식도염을 유발하는 가장 흔한 원인이다.

식도염의 기타 원인은 다음과 같다:


  • '''약물''': 비스테로이드성 소염 진통제 (NSAIDs) (아스피린, 나프록센 나트륨, 이부프로펜 등), 항생제 (독시사이클린, 테트라사이클린), 퀴니딘, 비스포스포네이트 (골다공증 치료제), 스테로이드, 염화 칼륨, 비타민 및 보충제 (, 비타민 C, 칼륨) 등은 위장관에 부담을 줄 수 있다.
  • 알칼리성 또는 산성 용액에 의한 화학적 손상
  • 비위관 삽입으로 인한 물리적 손상
  • 알코올 사용 장애: 식도 내벽을 닳게 할 수 있다.
  • 크론병: 식도를 공격할 경우 식도염을 유발할 수 있는 염증성 장 질환의 일종이다.
  • 스트레스: 더 높은 수준의 산 역류를 유발할 수 있다.
  • 방사선 요법: 면역 체계에 영향을 미칠 수 있다.
  • 알레르기 (음식, 흡입제): 알레르기는 호산구성 식도염을 자극할 수 있다.
  • '''감염''': 면역 결핍이 있는 사람들은 식도염이 발생할 가능성이 더 높다.
  • 구토: 산은 식도를 자극할 수 있다.
  • 탈장: 탈장은 흉강 횡격막 근육을 뚫고 들어가 위산과 음식물이 빨리 배출되는 것을 방해할 수 있다.
  • 수술
  • 호산구성 식도염: 이론적으로 자가 면역 성분이 있는 더 만성적인 질환


3. 1. 위식도 역류 질환 (GERD)

위식도 역류 질환(GERD)은 위산이 역류하여 식도 내벽을 자극함으로써 식도염을 일으키는 가장 흔한 원인 중 하나이다.[1]

3. 2. 감염

감염성 식도염은 전염되지 않지만, 감염성 식도염을 앓고 있는 사람들에 의해 감염이 전파될 수 있다.[12] 면역 결핍이 있는 사람들은 감염으로 인해 식도염이 발생할 가능성이 더 높다.

내시경을 통해 이러한 감염들을 구별할 수 있다.[12]

3. 3. 약물

약물은 식도 손상을 유발하여 식도 궤양을 일으킬 수 있다. 다음과 같은 약물들이 이에 해당한다.

3. 4. 기타

식도염의 기타 원인은 다음과 같다.

  • 약물: 식도 손상을 유발하여 식도 궤양을 일으킬 수 있다.
  • 비스테로이드성 소염 진통제 (NSAIDs): 아스피린, 나프록센 나트륨, 이부프로펜 등은 위장관을 자극하는 것으로 알려져 있다.
  • 항생제: 독시사이클린, 테트라사이클린
  • 퀴니딘
  • 비스포스포네이트: 골다공증 치료에 사용된다.
  • 스테로이드
  • 염화 칼륨
  • 비타민 및 보충제 (, 비타민 C, 칼륨): 보충제와 미네랄은 위장관에 부담을 줄 수 있다.
  • 알칼리성 또는 산성 용액에 의한 화학적 손상
  • 비위관 삽입으로 인한 물리적 손상
  • 알코올 사용 장애: 식도 내벽을 닳게 할 수 있다.
  • 크론병: 식도를 공격할 경우 식도염을 유발할 수 있는 염증성 장 질환의 일종이다.
  • 스트레스: 더 높은 수준의 산 역류를 유발할 수 있다.
  • 방사선 요법: 면역 체계에 영향을 미칠 수 있다.
  • 알레르기 (음식, 흡입제): 알레르기는 호산구성 식도염을 자극할 수 있다.
  • 감염: 면역 결핍이 있는 사람들은 식도염이 발생할 가능성이 더 높다.
  • 구토: 산은 식도를 자극할 수 있다.
  • 탈장: 탈장은 흉강 횡격막 근육을 뚫고 들어가 위산과 음식물이 빨리 배출되는 것을 방해할 수 있다.
  • 수술
  • 호산구성 식도염: 이론적으로 자가 면역 성분이 있는 더 만성적인 질환

4. 종류

식도염은 원인에 따라 여러 종류로 나뉜다.


  • '''역류성 식도염''': 염산에 의한 점막 자극으로 발생한다고 알려져 왔으나, 사이토카인 매개로 발병할 수 있다는 연구 결과도 있다.[6]
  • '''감염성 식도염''': 바이러스, 곰팡이, 기생충, 세균 감염이 원인이며, 면역력이 약한 사람에게서 자주 발생한다.
  • '''약물 유발 식도염''': 약물에 의해 식도 조직이 손상되어 발생한다.
  • '''호산구 식도염''': 식도 내 호산구 농도가 높아져 발생하며, 알레르겐이 원인일 수 있다. 위식도 역류 질환과 관련이 있기도 하다.
  • '''림프구 식도염''': 식도 내벽에 림프구가 증가하는 질환으로, 크론병 등과 관련이 있을 수 있다.
  • '''부식성 식도염''': 화학 물질에 의한 조직 손상으로 발생하며, 이식증 등이 원인이 되기도 한다.

4. 1. 역류성 식도염

일반적으로 산 역류로 인한 염증은 염산에 의한 점막 자극 작용으로 발생하는 것으로 추정되지만, 한 연구에 따르면 역류성 식도염의 발병 기전은 사이토카인 매개일 수 있다.[6]

4. 2. 감염성 식도염

감염성 식도염은 바이러스, 곰팡이, 기생충 또는 세균 감염으로 인해 발생하며, 면역 결핍이 있는 사람에게 더 자주 발생한다. 감염성 식도염의 유형은 다음과 같다.

  • 곰팡이: 칸디다 (식도 칸디다증)
  • 바이러스: 단순 포진 바이러스 (헤르페스 식도염), 거대 세포 바이러스


내시경을 통해 이러한 감염성 식도염들을 구별할 수 있다.[12]

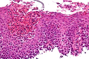
감염성 식도염의 현미경 슬라이드

4. 3. 약물 유발 식도염

약물로 인해 식도에 손상이 발생할 수 있다. 식도가 코팅되지 않거나 약을 충분한 액체와 함께 복용하지 않으면 조직이 손상될 수 있다.

4. 4. 호산구성 식도염

호산구 식도염의 현미경 슬라이드


호산구 식도염은 식도 내 호산구 농도가 높아서 발생한다. 식도 내 호산구의 존재는 알레르겐에 의한 것일 수 있으며 종종 위식도 역류 질환과 관련이 있다. 염증과 산 역류 사이의 인과 관계는 제대로 확립되지 않았으며, 최근 연구(2016년)에서는 역류가 염증을 유발하지 않는다는 것을 시사하고 있다.[6] 이 식도염은 음식 또는 흡입된 알레르겐에 대한 알레르기에 의해 유발될 수 있다. 이 유형은 여전히 잘 알려져 있지 않다.

4. 5. 림프구성 식도염

림프구 식도염은 식도 내벽에 림프구가 증가하는 드물고 잘 알려지지 않은 질환이다.[1] 2006년에 처음으로 기술되었다. 크론병, 위식도 역류 질환, 세포병증과 관련이 있을 수 있다. 내시경 검사에서는 호산구 식도염과 유사하게 식도 링, 좁은 식도, 선형 고랑이 나타난다.

4. 6. 부식성 식도염

부식성 식도염은 화학 물질에 의한 조직 손상이다. 이는 때때로 직업적 노출(침과 혼합되어 삼켜지는 연기를 흡입함으로써) 또는 이식증을 통해 발생한다. 일부 십 대들이 의도적으로 타이드 포드를 먹는 유행 과정에서 발생하기도 했다.

5. 진단

식도염은 상부 내시경 검사, 생체 검사, 상부 위장관 조영술(또는 바륨 연하 검사) 및 실험실 검사를 통해 진단할 수 있다.[4]

상부 내시경 검사는 내시경을 사용하여 식도를 관찰하는 시술이다. 식도를 관찰하는 동안 의사는 작은 생체 검사를 채취할 수 있다. 생체 검사는 식도 염증을 확인하는 데 사용될 수 있다.

상부 위장관 조영술은 바륨 조영제, 투시 검사 및 X-선을 사용한다. 바륨 X-선 검사 시에는 X-선 촬영 전에 바륨 용액이나 알약을 복용한다. 바륨은 장기를 더 잘 보이게 하여 협착, 염증 또는 질병을 유발할 수 있는 기타 이상 여부를 감지할 수 있다. 상부 위장관 조영술은 위장관 증상의 원인을 찾는 데 사용할 수 있다. 식도 조영술은 목과 식도만 관찰하는 경우를 말한다.[5]

식도에서 채취한 생체 검사에서 실험실 검사를 수행하여 식도염의 원인을 파악하는 데 도움을 줄 수 있다. 실험실 검사는 곰팡이, 바이러스 또는 세균 감염을 진단하는 데 도움이 될 수 있다. 백혈구 검사는 호산구 식도염을 진단하는 데 도움이 될 수 있다.

6. 등급

로스앤젤레스 분류에 따르면 식도염 등급은 A, B, C, D, 이렇게 4가지로 나뉜다.[13][14] 역류성 식도염의 중증도는 일반적으로 ''로스앤젤레스 분류''에 따라 다음과 같이 4가지 등급으로 분류된다.[7][8]

등급설명
A 등급길이가 5mm 미만인 점막 궤양이 하나 이상 있는 경우
B 등급점막 궤양이 하나 이상 있고, 그 길이가 5mm를 초과하지만 점막 주름을 가로지르지는 않는 경우
C 등급점막 궤양이 2개 이상의 점막 주름 사이에서 이어지지만, 식도 둘레의 75% 미만을 침범하는 경우
D 등급점막 궤양이 식도 둘레의 75% 이상을 침범하는 경우


7. 치료

식도염 치료에는 여러 방법이 있다.

'''약물 치료'''

역류성 식도염은 일반의약품 제산제, H2 수용체 차단제(산 생성을 줄이는 약물), 프로톤 펌프 억제제(산 생성을 차단하고 식도가 치유되도록 돕는 약물) 등으로 치료한다. 처방약으로는 고용량 H2 수용체 차단제, 프로톤 펌프 억제제, 운동 촉진제(위 배출을 돕는 약물)가 있다. 그러나 운동 촉진제는 효과가 미흡하여 더 이상 위식도 역류 질환에 사용이 허가되지 않으며, 돔페리돈과 메토클로프라미드는 구역 및 구토에 대해서만 단기간 사용이 제한된다.

호산구 식도염은 호산구를 자극하는 알레르겐을 피하고, 프로톤 펌프 억제제와 스테로이드를 처방하여 치료한다. 비식품 알레르겐으로 인한 호산구 식도염은 천식 치료용 스테로이드를 삼켜 치료할 수 있으며, 식단에서 음식 알레르겐을 제거하는 것도 도움이 된다.

감염성 식도염은 식도염을 일으키는 감염 종류(세균, 진균, 바이러스, 기생충 등)에 따라 약물을 처방하여 치료한다.

'''내시경 치료 및 수술'''


  • 내시경을 사용하여 병든 조직을 제거하거나, 수술을 통해 식도의 손상된 부분을 제거할 수 있다.[4]
  • 역류성 식도염의 경우, 위저부 주름 성형술을 시행하여 하부 식도 괄약근을 강화해 위 내용물이 식도로 역류하는 것을 막을 수 있다.
  • 식도 협착의 경우, 소화기내과 전문의가 식도 확장을 시행할 수 있다.
  • 2020년 현재, 자기 괄약근 증강술에 대한 증거는 부족하다.[11]

7. 1. 생활 습관 개선

체중 감량, 금연 및 금주, 스트레스 감소, 식사 후 잠자리에 들거나 눕지 않기, 침대 머리 높이기, 약 복용법 준수, 특정 약물 피하기, 식도염을 유발할 수 있는 역류 유발 음식 피하기 등이 있다.[9]

7. 2. 약물 치료

역류성 식도염 치료에는 일반의약품 제산제, 산 생성을 줄이는 약물(H2 수용체 차단제), 프로톤 펌프 억제제가 권장되며, 이는 산 생성을 차단하고 식도가 치유되도록 돕는다. 역류성 식도염 치료를 위한 일부 처방약으로는 고용량의 H2 수용체 차단제, 프로톤 펌프 억제제, 위 배출을 돕는 운동 촉진제가 있다. 그러나 운동 촉진제는 효과에 대한 증거가 미흡하여 더 이상 위식도 역류 질환에 사용이 허가되지 않으며, 안전성 검토 결과 돔페리돈과 메토클로프라미드의 사용은 구역 및 구토에 대해서만 단기간으로 제한된다.

호산구 식도염 치료에는 호산구를 자극할 수 있는 알레르겐을 피하는 것이 권장된다. 약물 치료로는 프로톤 펌프 억제제와 스테로이드를 처방할 수 있다. 천식 치료에 사용되는 스테로이드는 비식품 알레르겐으로 인한 호산구 식도염을 치료하기 위해 삼킬 수 있다. 식단에서 음식 알레르겐을 제거하는 것도 호산구 식도염 치료에 도움이 된다.

감염성 식도염의 경우, 식도염을 일으키는 감염 종류에 따라 약물을 처방한다. 이러한 약물은 세균, 진균, 바이러스 및/또는 기생충 감염을 치료하기 위해 처방된다.

7. 3. 내시경 치료


  • 내시경을 사용하여 병든 조각을 제거할 수 있다.
  • 수술을 통해 식도의 손상된 부분을 제거할 수 있다.[4]
  • 역류성 식도염의 경우, 위저부 주름 성형술을 시행하여 하부 식도 괄약근이 위 내용물이 식도로 역류하는 것을 막도록 강화할 수 있다.
  • 식도 협착의 경우, 소화기내과 전문의가 식도 확장을 시행할 수 있다.
  • 2020년 현재, 자기 괄약근 증강술에 대한 증거는 부족하다.[11]

7. 4. 수술


  • 내시경을 사용하여 병든 조각을 제거할 수 있다.
  • 수술을 통해 식도의 손상된 부분을 제거할 수 있다.[4]
  • 역류성 식도염의 경우, 위저부 주름 성형술을 시행하여 하부 식도 괄약근이 위 내용물이 식도로 역류하는 것을 막도록 강화할 수 있다.
  • 식도 협착의 경우, 소화기내과 전문의가 식도 확장을 시행할 수 있다.
  • 2020년 현재, 자기 괄약근 증강술에 대한 증거는 부족하다.[11]

8. 예방

식도염은 원인이 다양하므로, 예방을 위해서는 원인을 찾는 것이 중요하다. 역류성 식도염을 예방하려면 산성 음식, 카페인, 잠들기 전 식사, 알코올, 지방이 많은 음식, 흡연을 피해야 한다.[1] 약물 유발성 식도염을 예방하려면 약을 복용할 때 충분한 양의 물을 마시고, 대체 약물을 복용하며, 눕거나 잠들기 전, 또는 한꺼번에 너무 많은 양의 약을 복용하지 않아야 한다.[1] 식도염은 성인에게 더 흔하며 성별이나 인종에 따른 차이는 없다.[1]

참조

[1] 웹사이트 Esophagitis – Symptoms and causes – Mayo Clinic https://www.mayoclin[...] 2017-12-13
[2] 뉴스 Esophagitis-Topic Overview https://www.webmd.co[...] 2017-12-13
[3] 웹사이트 Esophagitis https://www.hopkinsm[...] 2019-11-19
[4] 뉴스 Understanding Esophagitis https://www.webmd.co[...] 2017-11-07
[5] 뉴스 Upper Gastrointestinal (UGI) Series https://www.webmd.co[...] 2017-12-13
[6] 웹사이트 Inflammation, Not Acid, Cause of GERD, Study Suggests https://www.medscape[...]
[7] 웹사이트 Los Angeles Classification of Esophagitis http://www.webgerd.c[...] webgerd.com 2010-10-27
[8] 서적 Laparoscopic bariatric surgery, Volume 1
[9] 웹사이트 Esophagitis https://www.lecturio[...] 2021-07-22
[10] 간행물 Medicines and Healthcare Products Regulatory  Agency (MHRA), 2013. Metoclopramide: risk of neurological adverse effects. Drug Safety Update 7 (1), S2. Medicines and Healthcare Products Regulatory  Agency, 2014. Domperidone: risks of cardiac side effects. Drug Safety Update 7 (10),  A1. Moayyedi, P., Santana, J., Khan, M., et al., 2011. Medical treatments   in the short-term management of relux oesophagitis. Cochrane DB Syst. Rev. 2011 (2),  Art. No. CD003244.
[11] 논문 Systematic review of the introduction and evaluation of magnetic augmentation of the lower oesophageal sphincter for gastro-oesophageal reflux disease. 2020-01
[12] 서적 Gastroenterological Endoscopy http://books.google.[...] Thieme
[13] 웹인용 Los Angeles Classification of Esophagitis http://www.webgerd.c[...] webgerd.com 2013-08-28
[14] 문서 Laparoscopic bariatric surgery



본 사이트는 AI가 위키백과와 뉴스 기사,정부 간행물,학술 논문등을 바탕으로 정보를 가공하여 제공하는 백과사전형 서비스입니다.
모든 문서는 AI에 의해 자동 생성되며, CC BY-SA 4.0 라이선스에 따라 이용할 수 있습니다.
하지만, 위키백과나 뉴스 기사 자체에 오류, 부정확한 정보, 또는 가짜 뉴스가 포함될 수 있으며, AI는 이러한 내용을 완벽하게 걸러내지 못할 수 있습니다.
따라서 제공되는 정보에 일부 오류나 편향이 있을 수 있으므로, 중요한 정보는 반드시 다른 출처를 통해 교차 검증하시기 바랍니다.

문의하기 : help@durumis.com