궤양성 대장염
"오늘의AI위키"의 AI를 통해 더욱 풍부하고 폭넓은 지식 경험을 누리세요.
1. 개요
궤양성 대장염은 대장에 만성적인 염증이 생기는 질환으로, 혈변, 설사, 복통 등이 주요 증상이다. 정확한 원인은 밝혀지지 않았으나, 유전적 요인, 환경적 요인, 장내 미생물 불균형, 면역 체계 이상 등이 복합적으로 작용하는 것으로 알려져 있다. 진단은 병력 청취, 신체 검사, 혈액 검사, 대변 검사, 내시경 검사 등을 통해 이루어진다. 치료는 약물 치료, 수술적 치료, 기타 치료법으로 나뉘며, 완치를 목표로 하기보다는 증상 완화와 관해 유지를 목표로 한다. 궤양성 대장염은 만성적인 질환으로, 장기간의 경과, 광범위한 대장 침범, 심한 염증 등은 좋지 않은 예후를 보일 수 있으며, 대장암 발병 위험도 증가한다. 북미와 유럽에서 더 흔하게 발생하며, 발병 연령은 15~30세 또는 60세 이상에서 시작되는 경우가 많다.
더 읽어볼만한 페이지
- 복통 - 크론병
크론병은 위장관에 만성 염증을 일으키는 질환으로, 유전적 요인, 면역계 이상, 환경적 요인이 복합적으로 작용하며 복통, 설사, 합병증 등을 유발할 수 있고, 약물 요법, 영양 요법, 수술 등으로 치료하며 완치 치료법은 없다. - 복통 - 골반염
골반염은 여성 생식 기관에 성병균이 감염되어 아랫배 통증, 발열, 질 분비물 증가 등의 증상을 일으키며 불임과 같은 합병증을 유발할 수 있고, 골반 검사, 초음파 검사 등으로 진단하여 항생제 치료를 하며, 콘돔 사용과 정기적인 성병 검사로 예방할 수 있다. - 설사 - 이질
이질은 세균이나 기생충 감염으로 발병하는 감염성 질환으로, 혈액이 섞인 설사, 복통, 발열 등의 증상을 보이며, 세균성과 아메바성으로 나뉘고 위생 환경 개선으로 발생 빈도는 감소했으나 개발도상국에서는 여전히 주요한 건강 문제이다. - 설사 - 장염
장염은 바이러스나 세균 감염으로 인한 위장관 염증 질환으로, 구토, 설사, 복통 등의 증상이 나타나며, 개인위생 관리와 안전한 음식 섭취를 통해 예방할 수 있다.
2. 증상
궤양성 대장염의 주요 증상은 혈변, 설사, 복통이다. 90% 이상의 환자들이 혈변 증상을 겪으며,[62] 점액이 섞인 혈변이 나타나는 경우가 많다. 설사는 장기간 지속되며, 변 횟수가 증가하고 변이 묽어지는 특징을 보인다.[178] 복통의 정도는 경미한 불편함부터 매우 고통스러운 경련까지 다양하다.[7]
직장염이 있는 경우, 변을 보고 싶은 강한 욕구가 있지만 실제로는 변이 거의 나오지 않는 직장 후중감을 경험할 수 있다.[178] 이 외에도 변실금, 점액성 직장 분비물, 야간 배변 등의 증상이 나타날 수 있다.[178] 심한 경우에는 발열, 구역질, 구토, 전신 권태감, 빈맥, 체중 감소, 빈혈 등이 동반될 수 있다.[8]
궤양성 대장염은 크론병과 유사한 증상을 보일 수 있지만, 다음과 같은 차이점이 있다.
2. 1. 일반적인 증상
90% 이상의 환자에게서 혈변이 나타나며, 점액변을 동반하는 경우가 많다.[178][62] 설사는 묽은 변, 잦은 배변, 배변 절박감 등의 증상을 동반하며, 심한 경우 변실금이 나타나기도 한다.[62][178] 복통은 경미한 불편함부터 심한 경련까지 다양하게 나타난다.[7] 직장염 (직장의 염증)이 있는 환자는 직장 후중감을 경험할 수 있는데, 이는 변을 보고 싶은 절박한 욕구는 있지만 변이 거의 나오지 않는 증상이다.[178] 직장통은 약 20% 미만의 환자에게서 나타난다. 구토, 메스꺼움, 발열, 전신 권태감, 빈맥, 체중 감소, 빈혈 등도 나타날 수 있다.[8]
2. 2. 중증도에 따른 증상
궤양성 대장염의 임상 증상은 질병의 정도에 따라 다르다.[9] 경증, 중등도, 중증으로 나눌 수 있으며, 각각 다음과 같은 증상을 보인다.[34]
ASUC는 높은 사망률과 관련이 있으며(3개월: 0.84%, 12개월: 1%),[62] 점막층을 넘어선 염증 확산으로 결장 운동성이 손상, 독성 거대 결장으로 이어질 수 있다. 독성 거대 결장은 응급 상황이며 수술로 치료해야 한다. 장 천공 발생 시 사망률은 50%이다.[16] 기타 합병증으로는 출혈, 정맥 혈전 색전증, ''C. difficile'' 또는 거대세포바이러스 대장염을 포함한 결장의 이차 감염이 있다.[62]
임상 증상(배변 빈도, 직장 출혈량), 내시경 소견, 의사의 심각성 평가를 결합한 Mayo Score는 궤양성 대장염을 경증, 중등도, 중증으로 분류하는 데 사용된다.[62]
2. 3. 장외 합병증
궤양성 대장염은 면역 조절 장애 및 전신 염증으로 인해 대장뿐만 아니라 다른 장기에도 영향을 미쳐 다양한 합병증을 유발할 수 있다. 이러한 장외 합병증은 환자의 6%에서 47% 사이에서 발생하는 것으로 보고된다.[20][21][22]- 구강: 궤양성 대장염 환자의 약 8%에서 구강 증상이 나타난다.[23] 가장 흔한 증상은 아프타성 구내염과 구각구순염이다.[23] 아프타성 구내염은 구강 내 궤양으로, 양성이며 전염성은 없지만 재발하는 경향이 있다. 구각구순염은 입 가장자리에 발적이 나타나며 통증이나 피부 갈라짐을 동반할 수 있다.[23] 드물게 채소성 농포성 구내염이 발생할 수 있다.[23]

- 눈: 궤양성 대장염은 공막염, 홍채염, 결막염 등을 유발할 수 있다. 환자는 증상이 없을 수도 있지만, 눈의 발적, 작열감, 가려움증을 느낄 수 있다. 눈 안쪽에 염증이 생기면 포도막염과 홍채염이 발생할 수 있다.[24] 포도막염은 시야 흐림, 눈 통증, 광선 공포증(빛에 노출 시 통증 악화)을 유발하며, 치료하지 않으면 영구적인 시력 상실로 이어질 수 있다.[24] 눈의 흰자위(공막)나 그 위의 결합 조직(상공막)에 염증이 생기면 공막염과 상공막염이 발생할 수 있다.[25] 궤양성 대장염은 포도막염 및 상공막염과 가장 관련이 깊다.[26]
- 관절: 궤양성 대장염은 여러 관절 증상을 유발할 수 있으며, 혈청 음성 관절염의 일종인 핍관절염, 강직성 척추염, 말초 관절염 등이 나타날 수 있다.[20] 근육이 뼈에 붙는 부위(부착점)에 염증이 생기는 부착부염이 발생하기도 한다. 염증은 천장관절(천장관절염)에도 영향을 줄 수 있다.[11] IBD 환자의 약 50%가 이동성 관절염을 앓는 것으로 추정된다. 관절을 둘러싼 활액에 염증이 생기는 활액막염은 수개월간 지속되다 재발할 수 있지만, 관절을 침식하지는 않는다. 관절염의 증상에는 관절통, 부종, 관절 삼출 등이 있으며, 심각한 이환율로 이어지기도 한다.[11] 강직성 척추염 및 천장관절염은 장 질환 활동과 별개로 발생하는 경우가 많다.[62]
- 피부: 궤양성 대장염은 피부에도 영향을 미칠 수 있다. 가장 흔한 피부 증상은 결절홍반으로, 환자의 최대 3%에서 나타난다. 주로 팔다리 바깥쪽, 특히 정강이 부위에 붉고 압통이 있는 결절이 나타난다.[26] 결절의 크기는 약 1–5 cm이며, 피하 조직 염증(지방층염)으로 인해 발생한다. 결절홍반은 장 질환과 함께 발생하는 경우가 많아, 궤양성 대장염 치료 시 함께 호전될 수 있다.[27]

괴저성 농피증은 심부 피부 궤양으로, 환자의 약 1%에서 나타나며 장 염증과는 관련 없이 발생하는 경우가 많다.[62] 고통스러운 결절이 점차 커져 궤양으로 변하며, 멸균된 고름 같은 물질로 채워지기도 한다. 코르티코스테로이드 주사나 종양 괴사 인자(TNF) 억제제 등으로 치료할 수 있다.[20][27]
화농성 한선염(HS)은 모낭이 막혀 결절, 농양, 누공 등이 반복적으로 발생하는 만성 질환으로, 궤양성 대장염과 관련이 있다고 알려져 있다.[28]
- 순환계 및 내분비계: 궤양성 대장염은 동맥과 정맥 모두에서 혈전 위험을 증가시킨다.[29][30][31] 다리에 통증과 부종이 있으면 심부 정맥 혈전증을, 호흡 곤란은 폐색전증(폐 혈전)을 의심해야 한다. IBD 환자의 혈전 위험은 약 3배 더 높다.[30] 염증으로 인한 과응고성, 수술, 입원, 임신, 코르티코스테로이드 및 JAK 억제제(토파시티닙) 사용 등이 추가적인 위험 요인이다.[29]
골다공증은 전신 염증이나 장기간의 스테로이드 사용으로 인해 발생할 수 있으며, 골절 위험을 높인다.[11] 손가락 끝이 뭉툭해지는 손가락 곤봉증이 나타날 수도 있다.[11] 아밀로이드증은 심하고 조절되지 않는 질병에서 발생할 수 있으며, 단백뇨와 신증후군으로 나타나는 경우가 많다.[11]
이 외에도 "관절, 피부, 눈, 귀, 인후, 발가락, 손가락" 등에 합병증이 발생할 수 있다고 알려져 있으며, 이는 면역 이상(자가면역 질환)과 관련 있는 것으로 생각된다. 특히 눈 합병증은 방치하면 실명에 이를 수 있어 주의해야 한다.
궤양성 대장염은 자가면역 질환의 일종으로, 대장에 T 세포가 침투하는 특징을 보인다.[36] 아직 정확한 원인은 밝혀지지 않았지만, 유전적 요인, 환경적 요인, 면역 체계 이상 등이 복합적으로 작용하는 것으로 알려져 있다.[37]
3. 원인
궤양성 대장염은 원발성 경화성 담관염(PSC)과 밀접한 관련이 있다. 원발성 경화성 담관염 환자의 70~90%가 궤양성 대장염을 앓고 있으며,[26] 궤양성 대장염 환자 중 약 5%는 원발성 경화성 담관염으로 진행된다.[20][32] 원발성 경화성 담관염은 주로 30~40대 남성에게서 발병하며,[20] 증상이 없거나 가려움증, 피로감, 발열, 야간 발한 등의 증상이 나타날 수 있다.
또한, 궤양성 대장염은 세포병증,[41] 건선,[42] 루푸스 홍반,[43] 류마티스 관절염,[44] 상공막염, 공막염,[24] 급성 간헐성 포르피린증[45] 등 다양한 자가면역 질환과 연관되어 있다.
파라결핵균 감염이 궤양성 대장염 및 크론병의 원인으로 제시되기도 한다.[59]
3. 1. 유전적 요인
궤양성 대장염의 원인에 유전적 요소가 작용할 수 있다는 가설이 있으며, 이는 가족 내 궤양성 대장염 집단 발생, 다양한 민족 간 유병률 차이, 유전자 표지 및 유전자 연관성을 통해 뒷받침된다.[38] 궤양성 대장염 환자의 8~14%는 염증성 장 질환 가족력을 가지고 있으며,[178] 직계 가족이 궤양성 대장염을 앓고 있는 경우, 이 질환에 걸릴 위험이 4배 증가한다.[178] 일란성 쌍둥이의 일치율은 10%인데 반해, 이란성 쌍둥이의 일치율은 3%에 불과하다.[38][39]
게놈의 12개 영역이 궤양성 대장염과 연관될 수 있으며, 발견 순서대로 16번, 12번, 6번, 14번, 5번, 19번, 1번 및 3번 염색체가 해당된다.[84] 그러나 이러한 유전자좌 중 어느 것도 일관되게 문제의 원인으로 밝혀지지 않았으며, 이는 이 질환이 여러 유전자의 영향을 받는다는 것을 시사한다. 예를 들어, 염색체 1p36 밴드는 염증성 장 질환과 연관된 것으로 생각되는 영역 중 하나이다.[40] 일부 추정 영역은 OCTN1 및 OCTN2와 같은 수송 단백질을 암호화한다. 다른 잠재적 영역에는 MAGUK 계열과 같은 세포 골격 단백질이 관련된다. 사람 백혈구 항원 연관성 또한 작용할 수 있다. 실제로, 염색체 6번의 이러한 연관성은 가장 설득력 있고 일관된 유전적 후보일 수 있다.[84]
3. 2. 환경적 요인
궤양성 대장염의 발병에 영향을 주는 환경적 요인으로는 식이 요법, 모유 수유, 약물 등이 거론된다. 모유 수유는 궤양성 대장염 발생을 억제하는 효과가 있을 수 있다.[46][47] 이소트레티노인 관련 연구에서는 궤양성 대장염 발생률이 약간 증가하는 것으로 나타났다.[48]
결장은 염증을 유발할 수 있는 여러 식이 물질에 노출되므로, 식이 요인이 궤양성 대장염 발병에 영향을 줄 수 있다는 가설이 제기되었다. 그러나 현재까지 연구 결과는 식단과 궤양성 대장염 발생 사이에 뚜렷한 연관성을 보여주지 않는다. 정제된 설탕은 궤양성 대장염 환자 수와 관련이 없는 것으로 나타났다.[49] 불포화 지방과 비타민 B6의 과다 섭취는 궤양성 대장염 발병 위험을 높일 수 있다.[50] 육류 단백질 및 알코올 음료 또한 질병의 발병 및/또는 재발에 영향을 미칠 수 있는 요인으로 꼽힌다.[51][52] 유황이 궤양성 대장염의 원인과 관련이 있는지에 대한 연구가 진행되었지만, 아직 논란의 여지가 있다.[53]
듀폰과의 집단 소송 및 지역 사회 합의에 따라, 일반 인구보다 높은 수준의 PFOA에 노출된 화학 공장 주변 인구를 대상으로 연구가 수행되었다. 이 연구에서는 PFOA 노출과 6가지 건강 문제 사이에 연관성이 있다고 결론지었으며, 그중 하나가 궤양성 대장염이었다.[57]
현재까지 궤양성 대장염의 뚜렷한 원인은 밝혀지지 않았지만,[215] 너무 깨끗한 환경, 스트레스, 장내 세균 불균형 (유해균 증가, 유익균 감소), 인공 감미료의 영향, 자가 면역 반응 이상[226], 유전적 요인(가족력)[227], 서구화된 식습관 등이 원인으로 지목되고 있다. 심한 스트레스가 발병 원인으로 작용했다는 보고도 있다. 최근 연구에 따르면, 궤양성 대장염은 크론병과 달리 유전적 요인보다는 스트레스나 서구식 식생활과 같은 환경적 요인에 의해 발병 및 진행되는 경우가 많은 것으로 알려져 있다.
3. 3. 장내 미생물 불균형
장내 미생물군의 불균형은 궤양성 대장염의 발병 원인 중 하나로 지목된다. 궤양성 대장염 환자는 유해균이 증가하고 유익균이 감소하는 경향을 보인다.[226] 특히, 황산염 환원 박테리아의 수치가 높아져 장 내 황화 수소 수치가 증가할 수 있다.[58] 황화수소 생성균(혐기성 ''Bacteroides'', 호기성균 ''Enterobacteriaceae''[232])이 생성하는 황화수소는 대장 점막에 손상을 줄 수 있다는 주장이 제기된다.[233]
일부 연구에서는 황화수소가 미토콘드리아의 시토크롬 c 산화 효소를 억제하여 독성을 나타내고, 세포자멸사를 유도할 수 있다고 보고한다.[234] 꿀풀과 식물 추출물을 통해 황화수소 발생을 억제하는 연구도 진행되었다.[235] 또한, 메탄균이 없는 사람에게서는 황산염 환원균이 수소와 젖산을 이용하여 황산 이온을 환원시켜 황화수소를 생성한다는 연구 결과도 있다.[236]
오사카 대학 연구팀은 궤양성 대장염 환자의 타액에서 뮤탄스균 중 표준균과 다른 당쇄를 가진 포도당 측쇄가 없는 ''고병원성 균주'' TW295 검출률이 높으며, 이 균주 감염이 궤양성 대장염 발병 위험을 높인다고 보고했다.[230][231]
푸소박테리움 속(''Fusobacterium varium'')이 궤양성 대장염과 관련 있다는 임상 연구 결과도 보고되었다.[237]
3. 4. 면역 체계 이상
아직 뚜렷한 궤양성 대장염의 원인은 밝혀지지 않았지만,[215] 가능한 가설로는 자가 면역 반응 이상 (자가면역 질환)[226]이 제기되고 있다. 또한 유전적으로는 크론병과 달리 관련성이 낮다는 보고가 있다.[228]
4. 병태 생리
궤양성 대장염은 장 점막에 대한 비정상적인 면역 반응으로 인해 발생한다. 항원 제시 세포(수지상 세포, 대식세포)의 이상 활동으로 인해 장내 미생물에 대한 과도한 면역 반응이 유발된다. 염증성 사이토카인(TNFα, IL-12, IL-23 등) 분비가 증가하여 염증 반응이 증폭된다. T 세포(Th1, Th17)가 장 점막으로 이동하여 염증을 악화시킨다.[62]
일부 궤양성 대장염 환자에게서는 대장 황산염 환원 박테리아의 양이 증가하여 유독 가스인 황화수소 농도가 높아지는 현상이 관찰되었다. 단쇄 지방산인 ''n''-부티르산은 베타 산화 경로를 통해 이산화탄소와 케톤체로 산화되는데, 이 ''n''-부티르산이 장 점막 장벽에 영양분을 공급하는 데 도움이 된다고 알려져 있다. 연구에 따르면 황화수소가 이 경로 내의 효소인 단쇄 아세틸-CoA 탈수소효소를 방해하여 이 베타 산화 경로를 손상시키는 역할을 한다고 제안되었다. 또한 궤양성 대장염에서 흡연의 보호 효과는 담배 연기의 시안화수소가 황화수소와 반응하여 비독성인 이소티오시아네이트를 생성하여 황화물이 경로를 방해하는 것을 억제하기 때문이라는 제안도 있었다.[61]
장 점막으로 이동한 T 세포 매개 염증은 JAK-STAT 세포 내 T 세포 신호 전달 경로에 의해 유발되어 염증성 사이토카인의 전사, 번역 및 방출로 이어진다고 생각된다.[62]
궤양성 대장염은 주로 직장에서 발병하여 연속적으로 전체 대장으로 퍼져나간다. 장관 점막의 전층에 염증 소견이 보이는 크론병과는 달리, 점막 상피에 국한된 염증 소견을 보이며, 고유 근층에 염증이 미치는 경우는 비교적 드물다.
주요 조직학적 변화는 다음과 같다.
- 술잔 세포의 감소
- 장 융와의 위축·융와 농양 형성
- 단핵 세포 침윤
5. 진단
궤양성 대장염은 임상 증상, 내시경 소견, 조직 검사 소견 등을 종합하여 진단한다.
우선 세균성, 바이러스성 감염성 장염이 아니라는 것을 확인한 후, 궤양성 대장염을 의심하여 다음과 같은 검사들을 진행한다.
- 혈액 검사: 염증 지표인 적혈구 침강 속도(ESR), C-반응 단백질(CRP), 출혈 지표인 Hb 등을 확인한다. 다만, ESR과 CRP는 장내 염증 상태를 반드시 반영하지는 않는다.[238]
- 대변 검사: 칼프로텍틴[239] 검사 키트를 사용하며, 이는 보험 적용 항목이다.[240]
임상적 중증도 평가:
내시경적 중증도 평가:
- Matts score
단순 임상 대장염 활성 지수는 1998년에 만들어졌으며 증상의 심각도를 평가하는 데 사용된다.[66]
일반적으로는 하부에서 상부로 악화되고, 상부에서 하부로 완화되는 것으로 알려져 있지만, 드물게 횡행 결장 → 하행 결장 → S상 결장의 순서로 완화되어도, 그 안쪽의 상행 결장에서 은밀하게 악화가 진행되는 경우가 있다.
5. 1. 임상 검사
궤양성 대장염의 초기 진단 검사는 병력 및 신체 검사, 징후 및 증상 평가, 실험실 검사 및 내시경 검사로 구성된다.[63]임상 검사 종류:[34][65]
- 전혈구 검사: 빈혈 여부를 확인하며, 혈소판 증가증(높은 혈소판 수치)이 나타나기도 한다.
- 전해질 검사 및 신장 기능 검사: 만성 설사로 인한 저칼륨혈증, 저마그네슘혈증, 신장 손상 여부를 확인한다.
- 간 기능 검사: 원발성 경화성 담관염 등 담관 관련 질환을 선별한다.
- 영상 검사: X-ray, CT 스캔 등으로 장 천공, 독성 거대 결장 등 합병증을 평가한다.
- 대변 검사: 대변 배양 검사, ''클로스트리디오이데스 디피실'' 대변 검사로 감염성 대장염을 배제한다.[63]
- 염증 지표 검사: 적혈구 침강 속도(ESR), C-반응 단백질(CRP) 등 염증 지표를 확인한다.
- 하부 내시경 검사: S상 결장경 검사(직장 및 원위부 대장), 대장 내시경 검사(전체 결장 및 소장 말단 부위)로 궤양 및 염증을 평가한다.
내시경 검사: 궤양성 대장염 진단을 위한 최상의 검사로, 유연한 카메라로 장 내부 표면을 검사한다. 초기에는 S상 결장경 검사로 진단을 확정할 수 있다.[67] 심한 대장염의 경우 장 천공 위험을 최소화하기 위해 검사 범위를 제한할 수 있다. 그러나 크론병을 배제하고 질병 범위와 중증도를 평가하기 위해 말단 회장까지 포함하는 대장 내시경 검사를 시행해야 한다.[67] 궤양성 대장염의 내시경 소견은 홍반(점막 발적), 점막 취약성, 표재성 궤양, 대장 혈관 모양 손실 등이다. 궤양이 융합되거나 가성 폴립이 관찰될 수 있다.[68]
궤양성 대장염은 대개 직장에서 시작되며, 거의 항상 직장이 침범된다. 항문 주위 질환은 드물다. 내시경 검사에서 침범 정도는 직장염(직장 염증), 좌측 대장염(하행 결장까지 확장), 광범위 대장염(하행 결장 근위부까지 확장) 등으로 다양하다.[7]
혈액 및 대변 검사: 질병 심각도, 염증 정도 평가, 감염성 대장염 배제에 사용된다. 궤양성 대장염 의심 환자는 감염 배제를 위해 대변 검사를 받아야 한다.[178]
- 전혈구 계산: 빈혈, 백혈구 증가증, 혈소판 증가증을 나타낼 수 있다.[178] 빈혈은 염증이나 출혈로 발생할 수 있다. 만성적 혈액 손실은 소구증성 빈혈(작은 적혈구) 등 철분 결핍을 유발할 수 있으며, 혈청 페리틴, 철분, 총 철 결합 능력, 트랜스페린 포화도로 평가한다. 아자티오프린 치료 합병증(혈구 수치 감소),[69] 설파살라진으로 인한 엽산 결핍으로도 빈혈이 발생할 수 있다. 티오퓨린 대사 산물(아자티오프린에서)과 엽산 수치가 도움이 될 수 있다.[70]
- 염증 지표: CRP, ESR 등 혈청 염증 지표로 신체 전반의 높은 염증 수준을 정량화할 수 있다. 그러나 상승된 염증 지표는 UC에 특이적이지 않으며, 감염 등 다른 상태에서도 상승한다. 염증 지표는 궤양성 대장염 환자에서 일관되게 상승하지 않는다. 내시경 염증 확인 환자의 25%는 정상 CRP 수치를 보인다.[71] 혈청 알부민은 출혈, 대장염 관련 위장관 단백질 손실, 염증으로 인해 낮을 수 있다. 비타민 D 낮은 혈청 수치는 UC와 관련 있지만, 중요성은 불분명하다.[72]
- 항체 지표: 핵주위 항중성구 세포질 항체(pANCA)는 UC 사례 70%에서 발견된다.[34] ''사카로마이세스 세레비지에'' 항체는 크론병에서 더 자주 양성 반응을 보인다. 혈청 검사 정확성이 낮아 염증성 장 질환 진단 평가에 도움이 되지 않는다.[34][20]
- 대변 검사: 분변 칼프로텍틴은 결장 염증성 질환에서 상승하며, 과민성 대장 증후군(비염증성)과 염증성 장 질환 악화 구별에 유용하다.[34] 궤양성 대장염 진단에 88% 민감도, 79% 특이도를 가진다.[34] 낮은 분변 칼프로텍틴은 염증성 장 질환 가능성을 1% 미만으로 낮춘다.[178] 락토페린은 장 염증의 비특이적 지표이다.[73]
영상 검사: X-ray, CT 스캔은 천공, 독성 거대 결장 등 합병증 평가에 유용하다. 장 초음파(US)는 염증성 장 질환(IBD) 환자 관리 도구로, 비용 효율적, 내약성, 비침습성, 사용 용이성이 장점이다.[74] 일부 연구에서 장 초음파는 궤양성 대장염 환자 질병 활성도 평가에 정확한 도구임을 보여주었다.[75][76] 궤양성 대장염 진단에 영상 검사 사용은 제한적이다.[178][20] 원발성 경화성 담관염(PSC) 진단에는 자기 공명 영상(MRI)이 필요하다.[20]
- 복부 X-ray: 경증, 중등도 궤양성 대장염에서 비특이적 소견을 보일 수 있다. 심각한 UC의 경우, 방사선 소견은 "지문"이라고 불리는 점막 비후(체액 변위(부종)로 인한 부기)를 포함할 수 있다. 결장 확장, 대변 축적(변비 증거) 등이 나타날 수 있다.[64]
- 이중 조영 바륨 관장법: 경증 궤양성 대장염에서 비특이적 소견을 보인다. 미세 궤양에 바륨이 작게 축적되는 것을 보여줄 수 있다. 중증 UC는 다양한 용종, 결장 단축, 결장 소와(haustrae) 소실, 결장 협착을 특징으로 한다. 장폐색, 독성 거대 결장 유발 가능성으로 심각한 증상 환자에게는 실시해서는 안 된다.[64]
- CT, MRI: 결장 벽 비후를 나타낼 수 있지만, 바륨 관장법보다 초기 벽 변화 징후 발견 능력은 떨어진다. 중증 궤양성 대장염의 경우 결장 변화 감지 능력은 종종 동등하다.[64]
- 도플러 초음파: 두꺼워진 장벽 층을 보여줄 수 있다. 심각한 경우 모든 장벽 층 비후(전층 두께)를 보여줄 수 있다.[64]
대장 점막 염증 악화 시 장관 연동 기능 상실, 하우스트라(대장 주름) 소실(연관상 장관), 장관 확장, 장폐색 양상(독성 거대 결장증)을 보이며, 소화관 천공이 발생할 수 있다. 독성 거대 결장증은 신속 치료가 필요한 위험한 합병증이다. 드물지만 내과적 치료로 제어 불가능한 대량 출혈 발생 시 신속 수술이 필요하며, 순환성 쇼크로 사망할 수 있다.
스테로이드 사용 난치성 환자 중 거대세포바이러스 감염[221]이 원인인 경우가 발견된다.
대장암 합병 증례도 존재한다.[222][223] 충수 부위 종양은 정기적 대장 내시경 검사에도 놓치기 쉽다.[224]
세균성, 바이러스성 감염성 장염이 아님을 진단 후 궤양성 대장염 의심 검사가 진행된다.
- 혈액 검사: 염증 지표로 적혈구 침강 속도(ESR), C-반응 단백질(CRP), 출혈 지표로 Hb 등이 사용되지만, ESR, CRP는 장내 염증 상태를 반드시 반영하지 않는다.[238]
- 대변 검사: 칼프로텍틴[239] 검사 키트가 보험 적용 항목으로 추가되었다.[240]
임상적 중증도 평가:
내시경적 중증도 평가:
- Matts score
5. 2. 내시경 검사
내시경 검사는 궤양성 대장염 진단을 위한 최상의 검사 방법으로, 유연한 카메라를 사용하여 장 내부 표면을 검사한다.[67] 초기에는 진단 확정을 위해 유연한 S상 결장경 검사를 시행할 수 있다.[67] 심한 대장염이 있는 경우, 의사는 대장의 장 천공 위험을 최소화하기 위해 초기 검사 범위를 제한할 수 있다. 그러나 크론병을 배제하고 질병의 범위와 중증도를 평가하기 위해 말단 회장까지 포함하는 전체 대장 내시경 검사를 수행해야 한다.[67]궤양성 대장염의 주요 내시경 소견은 다음과 같다.[68]
궤양성 대장염은 대개 직장에서 시작되며, 거의 예외 없이 직장을 침범한다. 항문 주위 질환은 드물다. 내시경 검사에서 침범 정도는 직장염(직장 염증)에서 좌측 대장염(하행 결장까지 확장), 광범위 대장염(하행 결장 근위부까지 확장)까지 다양하다.[7]
일반적으로 궤양성 대장염은 하부에서 상부로 악화되고, 상부에서 하부로 완화되는 것으로 알려져 있다. 그러나 드물게 횡행 결장 → 하행 결장 → S상 결장의 순서로 완화되어도, 그 안쪽의 상행 결장에서 은밀하게 악화가 진행되는 경우가 있다.
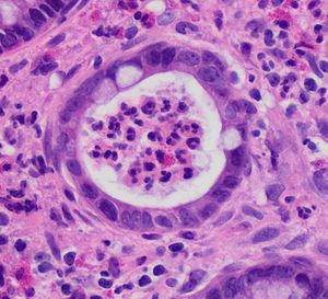
5. 3. 조직 검사
내시경 검사 중 점막의 생검을 통해 궤양성 대장염의 진단을 확인하고, 임상적으로 다르게 관리되는 크론병과 구별한다. 궤양성 대장염의 조직학적 소견에는 장샘 구조의 변형, 샘 곪음, 점막 내 염증 세포(림프구, 형질 세포, 과립구) 등이 포함된다.[20] 크론병에서 보이는 전층 염증과 달리 궤양성 대장염의 염증은 점막에 국한된다.[20]
5. 4. 감별 진단
궤양성 대장염은 크론병, 감염성 대장염 (세균성, 바이러스성, 기생충성), 비스테로이드성 소염 진통제 장병증, 과민성 대장 증후군 등과 증상이 유사하여 감별 진단이 필요하다.[77] 허혈성 대장염(결장에 혈류 공급이 부족한 경우), 방사선 치료 후 발생하는 방사선 대장염, 화학적 대장염도 감별해야 한다.[77] ''클로스트리디오이데스 디피실'' 감염에 의한 위막성 대장염과 장 염증을 유발하는 원생동물 기생충인 ''아메바 이질''도 감별 대상이다.[77]크론병은 궤양성 대장염과 가장 혼동하기 쉬운 질환으로, 두 질환 모두 결장에 영향을 미치는 염증성 장 질환이며 증상이 유사하다. 그러나 경과와 치료법이 다르므로 구별이 중요하며, 구분이 어려운 경우에는 불확정성 대장염으로 분류한다.[78]
감염성 대장염은 궤양성 대장염과 유사한 증상 및 내시경 소견을 보일 수 있다. 조직 배양, 대변 검사, 침습적인 결장 생검 등을 통해 감별한다.
방사선 대장염은 방사선 조사 후 직장 또는 S상 결장에 발생하며, 조직학적으로 호산구 침윤, 비정상적인 상피 세포, 섬유화 등을 보인다. 전환 대장염은 장 루프 일부 제거 후 발생하며 림프 조직 증가를 보인다.
이식 환자의 경우, 이식편대숙주병도 감별 진단에 포함된다. 이 질환은 결장 침범 시 장기간 설사, 발진, 삼킴 곤란, 궤양 등을 유발하며, 조직학적으로 크립트 세포 괴사 및 크립트 내 분해 산물을 보인다.[80]
세균성, 바이러스성 감염성 장염이 아닌 것으로 진단된 후, 궤양성 대장염을 의심하여 추가 검사를 진행한다.
혈변이나 심한 복통을 일으키는 다른 질환으로는 장관 출혈성 대장균 및 세균성 이질균에 의한 출혈성 대장염, 장결핵, 약물성 장염, 위막성 대장염, 허혈성 대장염, 상장간막 동맥 혈전증, 장중첩증, 대장암, 대장 게실증 등이 있다.
6. 치료
궤양성 대장염의 치료 목표는 염증을 조절하고, 증상이 없는 상태(관해)를 유도 및 유지하는 것이다. 궤양성 대장염은 완치가 어렵지만, 다양한 치료법을 통해 증상을 조절하고 삶의 질을 향상시킬 수 있다.[269]
표준 치료법은 질병의 범위와 심각도에 따라 달라진다. 급성 질환 단계에서는 저섬유질 식단이 권장될 수 있다.[89][90][91]
치료는 크게 두 가지로 나뉜다.
- 관해 유지 요법: 염증이 가라앉은 상태를 유지한다.
- 관해 도입 요법: 염증이 심해져 재발 또는 활동기에 있는 상태에서 염증을 억제한다.
일부 환자들은 흡연이 증상을 호전시키는 경우가 있는데, 일산화탄소가 염증을 억제한다는 동물실험 보고도 있다.[269]
이 외에도 다음과 같은 보조적인 치료 방법들이 있다.
- 한방약·생약: 청대|세이타이중국어가 치료에 유효하다는 보고가 있었으나,[261] 폐동맥성 폐고혈압증 등의 부작용이 보고되어 주의해야 한다. 전칠삼, 도화탕, 황토 등이 처방되기도 한다.
- 보충제: DHA, EPA(어유)는 염증을 억제하는 작용이 있다고 알려져 있지만, 효과는 제한적이다. 글루코실세라마이드가 장의 염증을 억제한다는 보고도 있다.[262][263]
- 인공 감미료: 아스파탐 등의 인공 감미료는 장내 세균총에 영향을 주어 궤양성 대장염에 악영향을 줄 수 있다.[265]
6. 1. 약물 치료
궤양성 대장염의 약물 치료는 염증을 줄이고 증상을 완화하며, 장기간 관해(증상이 없는 상태)를 유지하는 것을 목표로 한다. 다양한 약물이 사용되며, 환자의 상태와 질병의 중증도에 따라 적절한 약물을 선택한다.1. 5-아미노살리실산 (5-ASA)
- 메살라진: 궤양성 대장염 치료의 가장 기본이 되는 약물로, 염증을 줄이는 효과가 있다. 경구 투여, 좌약, 관장 등 다양한 형태로 사용된다.[92][93]
- 경구 메살라진: 경증~중등도 궤양성 대장염의 관해 유도 및 유지에 효과적이다.[108][109]
- 메살라진 좌약, 폼, 관장: 직장, S상 결장, 하행 결장에 염증이 있는 경우에 효과적이며, 경구 투여와 병행하면 더욱 효과적이다.[110]
- 일본에서는 펜타사, 아사콜, 리얼다 등의 메살라진 제제가 승인되어 사용되고 있다.
- 설파살라진: 5-ASA와 설파피리딘이 결합된 약물로, 5-ASA와 유사한 효과를 나타낸다. 하지만 설파피리딘으로 인한 부작용(예: 남성 불임)이 발생할 수 있다.[107]
2. 부신피질 호르몬제 (스테로이드)
- 프레드니솔론, 부데소니드: 염증을 억제하는 효과가 강력하여 중등도~중증 궤양성 대장염에 사용된다. 경구 투여, 정맥 주사, 좌약, 관장 등 다양한 형태로 사용된다.[92][93]
- 스테로이드 펄스 요법: 단기간 고용량의 스테로이드를 정맥 주사하여 강력하게 염증을 억제하는 방법이다.
- 장기간 사용 시 부작용(예: 문페이스, 다모증, 신장 질환) 위험이 있으므로 주의해야 한다.[92][93]
3. 면역억제제
- 아자티오프린, 메르캅토푸린: 면역 반응을 억제하여 염증을 줄이는 약물이다.
- 사이클로스포린, 타크로리무스: 강력한 면역억제제로, 중증 궤양성 대장염에 사용된다.[94][102][103][104][105]
4. 생물학적 제제
- 항 TNF-α 제제: 염증을 유발하는 물질인 TNF-α를 억제하는 약물이다.
- 인플릭시맙(레미케이드): 소아 궤양성 대장염 환자에게서도 효과가 입증되었다.[270]
- 아달리무맙(휴미라)
- 골리무맙(심포니)
- 항 인테그린 제제: 염증 세포가 장 점막으로 이동하는 것을 막는 약물이다.
- 베돌리주맙(엔티비오): 장 선택적으로 작용하는 항체 약물로, 궤양성 대장염과 크론병 치료에 사용된다.[271][272]
- 항 IL-12/23 제제: 염증을 유발하는 물질인 IL-12와 IL-23을 억제하는 약물이다.
- 우스테키누맙(스텔라라)
- 생물학적 제제는 다른 치료에 반응하지 않는 중등도~중증 궤양성 대장염 환자에게 사용되지만, 감염, 심부전 등의 부작용 위험이 있어 주의해야 한다.[113][114]
5. JAK 억제제
6. S1P 수용체 조절제
7. α4 인테그린 억제제
- 카로테글라스트 메틸(카로글라): 중등도 환자에게 사용되는 경구용 약물이다.
8. 기타 약물 및 치료법
- 항생제: 세균 감염이 동반된 경우 사용한다.
- 지사제: 심한 설사 증상을 완화하기 위해 사용한다.
- 항콜린제: 복부 경련을 완화하기 위해 사용하지만, 독성 거대 결장의 위험이 있어 중증 환자에게는 사용하지 않는다.[131]
- 니코틴 패치: 일부 환자에게서 증상 개선 효과가 나타났지만, 부작용과 일관성 없는 결과로 인해 일반적으로 권장되지 않는다.[122][123][124]
- 철분제: 궤양성 대장염으로 인한 출혈 및 만성 염증으로 빈혈이 발생한 경우 사용한다.
- 백혈구 제거 요법 (LCAP), 과립구 제거 요법 (GCAP): 투석과 유사한 방식으로 혈액 속 염증 세포를 제거하는 치료법이다. 약물 치료에 반응하지 않는 경우에 사용된다.
9. 흡연과 궤양성 대장염
- 크론병과는 달리, 흡연자에게 궤양성 대장염은 덜 영향을 미칠 수 있다.[116][117]
6. 2. 수술적 치료
궤양성 대장염은 수술을 통해 완치할 수 있는 유일한 방법이지만, 수술 방법이 복잡하고 후유증이 클 수 있다.[269] 따라서 약물 치료를 우선적으로 시도하며, 약물 치료에 반응하지 않는 중증 궤양성 대장염, 독성 거대 결장, 장 천공, 대량 출혈, 암 또는 이형성증 등의 경우에 수술을 고려한다.[7][269]크론병과 달리 궤양성 대장염은 대장을 수술적으로 제거하면 위장 관계 증상은 치료될 수 있지만, 위장 외 증상은 지속될 수 있다.[7]
수술 방법
- 대장절제술: 전체 대장을 제거하는 수술로, 직장결장 절제술이라고도 한다. 영구적인 회장루를 생성하여 장 내용물을 장루 가방에 비우게 된다.[143]
- 회장낭 항문 문합술 (IPAA): 대장을 제거하고 소장의 끝부분으로 낭(J-낭)을 만들어 항문에 연결하는 수술이다. 이 수술은 장루 가방의 필요성을 없애지만, 정상적인 배변 기능을 완전히 회복시키지는 못한다. 수술 후 몇 달 동안은 하루에 8~15번의 배변을 경험할 수 있으며, 시간이 지나면서 횟수가 줄어들어 1년 후에는 4~6번 정도 배변하게 된다.[7] 합병증으로는 낭염, 누공, 농양, 낭 실패 등이 있을 수 있으며, 경우에 따라 낭 재수술이나 회장루 재형성이 필요할 수 있다.[144][145]
- 영구 회장루술: 전체 대장을 제거하고, 복부에 구멍을 내어 소장의 끝부분을 연결하는 수술이다.
수술의 적응증
특히 독성 거대 결장증은 신속하게 치료하지 않으면 사망에 이를 수 있는 궤양성 대장염의 가장 위험한 합병증이다. 또한, 드물지만 내과적 치료로 제어 불가능한 대량 출혈이 발생할 수 있으며, 이 경우 신속한 수술이 필요하다.
6. 3. 기타 치료
프로바이오틱스는 궤양성 대장염 치료에 도움이 될 수 있다는 연구 결과가 있다.[147] ''Escherichia coli'' Nissle과 같은 특정 종류의 프로바이오틱스는 일부 환자들에게 최대 1년 동안 관해를 유도하는 것으로 나타났다.[147] 다양한 프로바이오틱스를 사용한 통제된 임상 시험에 대한 코크란 리뷰에서는 프로바이오틱스 보충제가 임상적 관해의 가능성을 높일 수 있다는 낮은 확실성의 증거를 발견했다.[148] 프로바이오틱스를 투여받은 사람들은 위약을 투여받은 사람들보다 질병 관해를 경험할 가능성이 73% 더 높았고, 증상 개선을 보고할 가능성은 2배 이상 높았다.[148]분변 미생물 이식은 분변 관장을 통해 사람의 프로바이오틱스를 주입하는 방법이다. 궤양성 대장염은 궤양성 상피를 치유하는 데 필요한 시간 때문에 성공적인 치료를 위해 ''Clostridioides difficile'' 감염보다 더 장기간의 세균 치료가 필요하다. 한 연구에서는 67.7%의 사람들이 완전 관해를 경험했다고 보고했다.[150]
커큐민(강황) 요법은 메살라민 또는 설파살라진 약물과 함께 복용하면 활동성 없는 궤양성 대장염 환자의 관해를 유지하는 데 효과적이고 안전할 수 있다.[154][155]
식이요법은 궤양성 대장염 환자의 증상에 영향을 미칠 수 있다.[158] 환자들이 가장 피하는 음식은 매운 음식, 유제품, 알코올, 과일 및 채소, 탄산 음료이며, 주로 관해기 동안과 재발을 예방하기 위해 피한다.[159] FODMAP 식이요법은 복통 관리에 고려될 수 있다.[157]
심리 치료는 궤양성 대장염 환자의 우울증 및 불안 장애를 개선하고 염증 지표를 감소시키는 데 도움이 될 수 있다.[162][163]
한방 치료에서는 청대|세이타이중국어가 치료에 유효하다는 보고가 있었으나,[261] 폐동맥성 폐고혈압증 등의 부작용이 보고되어 사용에 주의가 필요하다. 전칠삼, 도화탕, 황토 등이 처방되기도 한다.
7. 예후
궤양성 대장염은 호전과 악화를 반복하는 만성 질환이다. 질병의 비활성 기간과 "악화" 기간이 번갈아 나타나는 간헐적인 경과를 보인다.[164] 직장염이나 좌측 대장염 환자는 비교적 양성적인 경과를 보이는데, 15% 정도만 병이 근위부로 진행되며, 최대 20%는 치료 없이도 지속적인 관해를 경험한다.[164] 그러나 일부 환자는 질병이 빠르게 진행되어, 약물에 반응하지 않고 발병 후 몇 년 안에 수술을 받게 된다.[164][165]
다음과 같은 요인들이 있으면 예후가 좋지 않을 수 있다.[34]
광범위한 대장염 환자는 관해 유지가 어려울 수 있지만, 관해율은 질병의 심각도와는 관련이 없다.[166] 심한 경우에는 대장을 외과적으로 제거해야 할 수도 있다.[34]
10년 이상 궤양성 대장염을 앓았고, 병변이 비장 굴곡을 넘어서면 대장암 발병 위험이 크게 증가한다.[167] 역류성 회장염 환자도 대장암 위험이 증가할 수 있다.[167] 직장염만 있는 환자는 대개 위험이 증가하지 않는다.[34] 질병 활성 8년 후부터는 1~2년 간격으로 무작위 생검을 통한 대장내시경 검사를 실시하여 이형성증을 확인하는 것이 권장된다.[168]
궤양성 대장염 환자의 전체적인 사망 위험은 일반 인구와 비슷하거나 약간 높을 수 있다.[170][169] 그러나 사망 원인은 일반 인구와 다를 수 있다.[170] ''클로스트리디움 디피실'' 감염[34] 및 거대세포바이러스 감염(재활성화)은 더 나쁜 결과와 높은 사망 위험을 예측할 수 있는 요인이다.[171]
8. 역학
크론병과 함께 2015년 기준으로 약 1,120만 명이 궤양성 대장염의 영향을 받았다.[172] 궤양성 대장염은 매년 10만 명당 1~20명에게 새롭게 발생하며, 10만 명당 5~500명이 이 질환을 앓고 있다.[175][173] 이 질환은 북미와 유럽에서 더 흔하게 발생하며,[173] 주로 15~30세 또는 60세 이상에서 발병한다.[37] 남성과 여성의 발병 비율은 비슷하며,[175] 1950년대 이후 발병률이 증가했다.[175][173]
궤양성 대장염은 아슈케나즈 유대인에게서 더 높은 발병률을 보인다.[14] 20세 이전에 충수염으로 인해 충수 절제술을 받은 경우[185]와 현재 흡연 중인 경우[186]는 궤양성 대장염 발병을 예방하는 효과가 있다.[178] 그러나 과거 흡연 경험은 궤양성 대장염 발병 위험을 증가시킨다.[186][178]
일반적으로 유럽과[181] 미국에서[182] 남부 지역보다 북부 지역에서 궤양성 대장염 발병률이 더 높다. 또한 궤양성 대장염은 동유럽보다 서유럽에서 더 흔하게 발생한다.[183]
9. 역사
궤양성 대장염이라는 용어는 1859년 새뮤얼 윌크스에 의해 처음 사용되었다. 1888년 윌리엄 헤일-화이트가 "궤양성 대장염"의 다양한 사례를 보고하면서 일반적인 의학 용어로 사용되기 시작했다.[190]
궤양성 대장염은 염증성 장 질환(IBD)의 첫 번째 하위 유형으로 확인되었다.[2] 1875년 영국 가이's 병원의 새뮤얼 윌크스와 월터 믹슨(Walter Moxon)에 의해 보고되었다. 일본에서는 1928년 도쿄 대학의 이나다 류키치 등에 의해 처음 보고되었으며,[266] 1973년에는 구 후생성으로부터 특정 질환으로 지정되었다.
10. 연구 동향
2013년 다케다社가 궤양성 대장염과 크론병 치료제로 개발한 신약후보물질 베돌리주맙(vedolizumab)의 허가신청서를 유럽 의약품감독국(EMA)에 제출했다.[271] 베돌리주맙은 α4β7 인테그린(integrin)에 길항작용하는 장 선택적 휴먼 모노클로날 항체 약물이다.[271] 2014년에는 미국 식품의약국(FDA)이 베돌리주맙(상품명 엔티비오)의 시장판매를 최종 승인했다.[272]
유산균, 프로바이오틱스가 궤양성 대장염 발생을 억제하고 증상을 완화시킨다는 연구결과가 발표되고 있다.[273] 아일랜드 코크대 의대 이먼 퀴글리 교수는 유산균이 대장염을 유발시킨 생쥐의 대장 조직에서 염증을 일으키는 물질을 약 50% 감소시켰다고 밝혔다.[273] 장내 미생물균총의 불균형이 염증성 장질환을 일으킨다는 연구결과도 나왔다.[274]
회충 치료법은 편충 ''Trichuris suis''를 사용하여 궤양성 대장염 환자에게 이점이 있는 것으로 나타났다.[191] 위생 가설을 검증하는 이 치료법은 질병 부위에서 특징적인 Th2 백혈구 반응을 유도했는데, 이는 궤양성 대장염이 Th2 과다 생산과 관련이 있다고 생각했던 점을 감안하면 예상 밖의 결과였다.[191]
알리카포르센은 ICAM-1 발현을 억제하는 안티센스 올리고데옥시뉴클레오티드로, ICAM-1 과다 생산은 궤양성 대장염 치료의 잠재적 치료 표적임을 시사한다.[194]
개발 중인 일련의 약물은 KCa3.1 이온 채널을 표적으로 하여 염증 과정을 방해하는 것을 목표로 한다.[196] 전임상 연구에서 KCa3.1을 억제하면 Th1 사이토카인 IL-2 및 TNF-α의 생산이 방해되었으며 설파살라진만큼 효과적으로 결장 염증을 감소시켰다.[196]
호중구 세포외 트랩[197] 및 세포외 기질의 분해[198]가 임상적 관해 상태의 궤양성 대장염 환자의 결장 점막에서 보고되어 선천성 면역계가 병인에 관여함을 나타낸다.[197]
알레르기 치료에 사용되는 항히스타민제인 펙소페나딘은 일부 연구에서 병용 요법에 대한 가능성을 보여주었다.[199][200]
에트롤리주맙이 궤양성 대장염에 효과적이라는 증거가 있으며, 2016년 현재 3상 임상 시험이 진행 중이었다.[4][201][202][203] 에트롤리주맙은 α4β7 및 αEβ7 인테그린의 β7 서브유닛을 표적으로 하는 인간화된 단클론 항체이다.[202] 2022년 초, 로슈는 궤양성 대장염 치료에 에트롤리주맙 사용에 대한 임상 시험을 중단했다.[204]
과립구 및 단핵구 흡착 아페레시스라고 알려진 한 유형의 백혈구 아페레시스는 효과가 있는지 여부를 결정하기 위해 대규모 임상 시험이 필요하다.[205]
순천당 대학 의학부 오오쿠사 사토시 등은 푸소박테리움 바리움(''Fusobacterium varium'')을 타겟으로 한 제균 요법(항생물질 3제 병용 요법, ATM 요법)을 2003년부터 임상 시험 중이다.[252][253] 이 요법은 아목시실린, 테트라사이클린, 메트로니다졸을 경구 투여하여 증상 완화를 도모한다.[254]
건강인 분변 장내 주입(분변 이식) 요법도 연구되고 있다.
비피더스균 함유 대장 붕괴성 캡슐을 경구 투여한 결과, 증상 개선이 보였다는 보고가 있다.[255]
2014년 도쿄 공과 대학응용생물학부 사토 타쿠미 등의 그룹이 테르페노이드・조나롤에 의한 궤양성 대장염 억제 효과를 발견했다.[256][257]
항체 제제나 유전자 재조합 제제가 아닌 소분자 약물인 JAK 억제제가 연구 단계에 있다.[258]
도쿄 지케이카이 의과대학에서 환자의 장에 돼지 편충의 알을 넣는 것으로 면역 활동을 안정화시키는 연구가 진행되고 있다.[259]
도쿄 의과 치과 대학 연구진이 환자의 대장에서 점막의 근원이 되는 줄기 세포를 채취·배양하여 환부에 이식하여 점막을 재생하는 임상 연구를 진행한다.[260]
11. 한국의 궤양성 대장염 환우회
UC사랑회는 2005년 사단법인 한국희귀·난치성질환연합회에 가입함으로써 공식 단체로 성장한 궤양성 대장염 환우회이다. UC사랑회는 대한민국에서 궤양성대장염으로 고통받는 환우들을 위해 탄생하였으며, 정부, 보건복지부 등을 상대로 궤양성대장염을 적극 홍보하고 환자의 실정에 맞게 보건의료 혜택을 확대하기 위해 노력하고 있다.[275]
12. 관련 유명인
- 아다치 료이치 - 오릭스 버팔로스 소속 프로 야구 선수이다.
- 아베 신조 - 제90대, 제96대~제98대 내각총리대신, 제21대, 제25대 자유민주당 총재를 2번 역임했으나, 모두 궤양성 대장염이 원인인 기능성 대장염으로 임기 중 사임했다.
- IKE(이케) - 록 밴드 SPYAIR의 전 보컬이었다.
- 키시모토 류이치 - 프로 농구 (bj 리그) 선수, 류큐 골든 킹스 소속이다.
- 키류 요시히데 - 남자 육상 100미터 전 일본 기록 보유자이다.
- 시마부쿠로 마사오 - 만화가. 자신의 투병 에세이 작품으로 《장아, 코여》를 출판했다.
- 타나카 미키야 - 주니치 드래곤즈 소속 프로 야구 선수. 대학 시절 발병이 판명되어 대장 절제 수술을 받았다.
- 나카미치 카츠시 - 전 프로 야구 선수. 프로 입단 직후 발병이 판명되어, 컨디션 불량으로 경기에 출전하지 못하고 1년 만에 전력 외 통보를 받았다.
- 대런 플레처
- MACO
참조
[1]
웹사이트
Ulcerative Colitis
https://www.autoimmu[...]
2022-06-15
[2]
서적
Netter's Internal Medicine E-Book
https://books.google[...]
Elsevier Health Sciences
2008
[3]
논문
Predictive factors for a severe clinical course in ulcerative colitis: Results from population-based studies
2016-05
[4]
논문
Promising biological therapies for ulcerative colitis: A review of the literature
2015-11
[5]
웹사이트
Inflammatorisk tarmsjukdom, kronisk, IBD
http://www.internetm[...]
2009-01-04
[6]
논문
Management of Crohn's disease in adults
https://journals.lww[...]
2001-03
[7]
논문
Third European Evidence-based Consensus on Diagnosis and Management of Ulcerative Colitis. Part 1: Definitions, Diagnosis, Extra-intestinal Manifestations, Pregnancy, Cancer Surveillance, Surgery, and Ileo-anal Pouch Disorders
2017-06
[8]
논문
Iron deficiency anemia in inflammatory bowel disease
2015-08
[9]
논문
Inflammatory bowel disease
1996-03
[10]
논문
Predictors of endoscopic inflammation in patients with ulcerative colitis in clinical remission
2013
[11]
논문
Rheumatologic and extraintestinal manifestations of inflammatory bowel diseases
2016-12
[12]
논문
Crohn Disease: Epidemiology, Diagnosis, and Management
2017-07
[13]
논문
Pathologic features and clinical significance of "backwash" ileitis in ulcerative colitis
2005-11
[14]
서적
Harrison's Internal Medicine
McGraw-Hill Medical
2008
[15]
웹사이트
UpToDate
https://www.uptodate[...]
2022-11-08
[16]
웹사이트
UpToDate
https://www.uptodate[...]
2022-11-09
[17]
논문
The extra-intestinal complications of Crohn's disease and ulcerative colitis: a study of 700 patients
1976-09
[18]
논문
The prevalence of extraintestinal diseases in inflammatory bowel disease: a population-based study
2001-04
[19]
논문
The First European Evidence-based Consensus on Extra-intestinal Manifestations in Inflammatory Bowel Disease
2016-03
[20]
논문
Ulcerative Colitis
2019-07
[21]
논문
Ulcerative colitis: diagnosis and treatment
2007-11
[22]
논문
Extraintestinal Manifestations of Inflammatory Bowel Disease
2015-08
[23]
논문
Oral pathology in inflammatory bowel disease
2016-07
[24]
논문
Ophthalmic manifestations in patients with inflammatory bowel disease: A review
2017-08
[25]
서적
Episcleritis
https://pubmed.ncbi.[...]
StatPearls
2020-01
[26]
논문
Current trends in inflammatory bowel disease: the natural history
2010-03
[27]
논문
Significance of erythema nodosum and pyoderma gangrenosum in inflammatory bowel diseases: a cohort study of 2402 patients
2008-09
[28]
논문
Association of Hidradenitis Suppurativa With Inflammatory Bowel Disease: A Systematic Review and Meta-analysis
2019-09-01
[29]
논문
Venous thromboembolism in inflammatory bowel disease
2020-03
[30]
논문
Consensus statements on the risk, prevention, and treatment of venous thromboembolism in inflammatory bowel disease: Canadian Association of Gastroenterology
2014-03
[31]
논문
Risk of thrombosis and mortality in inflammatory bowel disease
2018-04
[32]
논문
Prevalence of primary sclerosing cholangitis in patients with ulcerative colitis
1991-05
[33]
논문
Hepatobiliary dysfunction and primary sclerosing cholangitis in patients with Crohn's disease
https://pubmed.ncbi.[...]
1997-06
[34]
논문
ACG Clinical Guideline: Ulcerative Colitis in Adults
2019-03
[35]
웹사이트
Crohn's disease
https://www.emedicin[...]
2019-12-08
[36]
논문
Targeting improves MSC treatment of inflammatory bowel disease
2010-07
[37]
웹사이트
Ulcerative Colitis
https://www.niddk.ni[...]
2014-09
[38]
논문
Concordance of inflammatory bowel disease among Danish twins. Results of a nationwide study
2000-10
[39]
논문
Ulcerative colitis and Crohn's disease in an unselected population of monozygotic and dizygotic twins. A study of heritability and the influence of smoking
1988-07
[40]
논문
Linkage and linkage disequilibrium in chromosome band 1p36 in American Chaldeans with inflammatory bowel disease
2000-05
[41]
논문
Link Between Celiac Disease and Inflammatory Bowel Disease
2019-08
[42]
논문
Association of Psoriasis With Inflammatory Bowel Disease: A Systematic Review and Meta-analysis
2018-12
[43]
논문
Inflammatory bowel disease and lupus: a systematic review of the literature
2012-08
[44]
논문
The risk of rheumatoid arthritis among patients with inflammatory bowel disease: a systematic review and meta-analysis
2020-06
[45]
논문
Manifestation of acute intermittent porphyria in patients with chronic inflammatory bowel disease
1991-11
[46]
논문
Systematic review with meta-analysis: breastfeeding and the risk of Crohn's disease and ulcerative colitis
2017-11
[47]
논문
Risk of inflammatory bowel disease attributable to smoking, oral contraception and breastfeeding in Italy: a nationwide case-control study. Cooperative Investigators of the Italian Group for the Study of the Colon and the Rectum (GISC)
1998-06
[48]
논문
Important controversies associated with isotretinoin therapy for acne
2013-04
[49]
논문
Consumption of refined sugar by patients with Crohn's disease, ulcerative colitis, or irritable bowel syndrome
1983-11
[50]
논문
Diet as a risk factor for the development of ulcerative colitis
2000-04
[51]
논문
Influence of dietary factors on the clinical course of ulcerative colitis: a prospective cohort study
2004-10
[52]
논문
Diet and risk of inflammatory bowel disease
2012-03
[53]
논문
Diet and relapsing ulcerative colitis: take off the meat?
2004-10
[54]
논문
Colonic luminal hydrogen sulfide is not elevated in ulcerative colitis
1998-01
[55]
논문
Hydrogen sulfide and colonic epithelial metabolism: implications for ulcerative colitis
2001-08
[56]
논문
Impaired detoxication of hydrogen sulfide in ulcerative colitis?
2007-02
[57]
논문
PFOA and Cancer in a Highly Exposed Community: New Findings from the C8 Science Panel
2013
[58]
논문
Colonic sulfide in pathogenesis and treatment of ulcerative colitis
1997-08
[59]
논문
Could ''Mycobacterium avium'' subspecies ''paratuberculosis'' cause Crohn's disease, ulcerative colitis…and colorectal cancer?
2018
[60]
논문
Monoclonal anti-interleukin 23 reverses active colitis in a T cell-mediated model in mice
2007
[61]
논문
Fecal hydrogen sulfide production in ulcerative colitis
1998-01
[62]
논문
Ulcerative Colitis in Adults: A Review
2023-09-12
[63]
논문
Ulcerative Colitis Care Pathway
2015-07
[64]
논문
Diagnostics of inflammatory bowel disease
https://pubmed.ncbi.[...]
2007-11
[65]
문서
Ulcerative colitis
[66]
논문
A simple clinical colitis activity index
1998-07
[67]
논문
British Society of Gastroenterology consensus guidelines on the management of inflammatory bowel disease in adults
2019-12
[68]
논문
Presence of pseudopolyps in ulcerative colitis is associated with a higher risk for treatment escalation
2019-03
[69]
웹사이트
Azathioprine Product Information
https://www.accessda[...]
Food and Drug Administration
[70]
논문
European consensus on the diagnosis and management of iron deficiency and anaemia in inflammatory bowel diseases
2015-03
[71]
논문
ACG Clinical Guideline: Ulcerative Colitis in Adults
2019-03
[72]
논문
Association Between Inflammatory Bowel Disease and Vitamin D Deficiency: A Systematic Review and Meta-analysis
2015-11
[73]
논문
C-Reactive Protein, Fecal Calprotectin, and Stool Lactoferrin for Detection of Endoscopic Activity in Symptomatic Inflammatory Bowel Disease Patients: A Systematic Review and Meta-Analysis
2015-06
[74]
논문
Gastrointestinal ultrasound in inflammatory bowel disease: an underused resource with potential paradigm-changing application
2018-05
[75]
논문
Milan ultrasound criteria are accurate in assessing disease activity in ulcerative colitis: external validation
2021-05
[76]
논문
Accuracy of Humanitas Ultrasound Criteria in Assessing Disease Activity and Severity in Ulcerative Colitis: A Prospective Study
2018-11-28
[77]
논문
Fulminant Amebic Colitis after Corticosteroid Therapy: A Systematic Review
2016-07
[78]
논문
Is indeterminate colitis determinable?
2012-04
[79]
논문
Endoscopic and histological patchiness in treated ulcerative colitis
https://pubmed.ncbi.[...]
1999-11
[80]
논문
The pathology of the graft-versus-host reaction (GVHR) in adults receiving bone marrow transplants
https://pubmed.ncbi.[...]
1976-12
[81]
논문
ACG Clinical Guideline: Ulcerative Colitis in Adults
2019-03
[82]
논문
Management of Crohn's disease in adults
https://journals.lww[...]
2001-03
[83]
논문
Primary sclerosing cholangitis, inflammatory bowel disease, and colon cancer
2006-02
[84]
논문
Inflammatory bowel disease: clinical aspects and established and evolving therapies
2007-05
[85]
논문
Granulomas in the diagnosis of intestinal Crohn's disease: a myth exploded?
2002-08
[86]
논문
Granulomatous ulcerative colitis: a re-appraisal of the mucosal granuloma in the distinction of Crohn's disease from ulcerative colitis
2002-07
[87]
논문
Histological evaluation in ulcerative colitis
2014-08
[88]
논문
Review article: acute severe ulcerative colitis - evidence-based consensus statements
2016-07
[89]
웹사이트
Should You Try a Low-Residue Diet?
https://www.webmd.co[...]
2016-10-25
[90]
서적
Manual of Clinical Nutrition Management
https://bscn2k15.wee[...]
Compass Group
2013
[91]
간행물
Nutrition in Patients with Inflammatory Bowel Diseases: A Narrative Review
2022-02-10
[92]
논문
Mesalamine in the treatment and maintenance of remission of ulcerative colitis
2012
[93]
논문
ECCO Guidelines on Therapeutics in Ulcerative Colitis: Medical Treatment
2022-01-28
[94]
논문
AGA Clinical Practice Guidelines on the Management of Moderate to Severe Ulcerative Colitis
2020-04
[95]
웹사이트
Skyrizi- risankizumab-rzaa kit
https://dailymed.nlm[...]
2024-06-18
[96]
논문
Rational selection of oral 5-aminosalicylate formulations and prodrugs for the treatment of ulcerative colitis
2002
[97]
논문
AGA Clinical Practice Guidelines on the Management of Mild-to-Moderate Ulcerative Colitis
2019
[98]
뉴스
FDA approves Uceris as ulcerative colitis treatment
https://www.healio.c[...]
Healio Gastroenterology
2013-01-15
[99]
웹사이트
UCERIS (budesonide) extended release tablets label
https://www.accessda[...]
FDA
[100]
간행물
FDA approves new treatment for moderately to severely active ulcerative colitis
https://www.fda.gov/[...]
2018-05-30
[101]
논문
Methotrexate for induction of remission in ulcerative colitis
2014-08
[102]
논문
PWE-237 Ciclosporin in acute severe ulcerative colitis: a meta-analysis
2012-05-28
[103]
논문
Double-blind, placebo-controlled trial of oral tacrolimus (FK506) in the management of hospitalized patients with steroid-refractory ulcerative colitis
2012-05
[104]
논문
Cyclosporine in severe ulcerative colitis refractory to steroid therapy
1994-06
[105]
논문
Ciclosporin Therapy After Infliximab Failure in Hospitalized Patients With Acute Severe Colitis is Effective and Safe
2019-09
[106]
간행물
U.S. FDA Approves Pfizer's Velsipity for Adults with Moderately to Severely Active Ulcerative Colitis (UC)
https://www.business[...]
Pfizer
2023-10-13
[107]
논문
An experiment to determine the active therapeutic moiety of sulphasalazine
1977-10
[108]
논문
Oral 5-aminosalicylic acid for induction of remission in ulcerative colitis
2020-08
[109]
논문
Oral 5-aminosalicylic acid for maintenance of remission in ulcerative colitis
2020-08
[110]
논문
Rectal 5-aminosalicylic acid for maintenance of remission in ulcerative colitis
2012-11
[111]
논문
A review of current evidence allied to step-up and top-down medication therapy in inflammatory bowel disease
2019-06
[112]
Review
Inflammatory bowel disease and cancer: The role of inflammation, immunosuppression, and cancer treatment
2016-05
[113]
논문
Performance of Interferon-Gamma Release Assays for Tuberculosis Screening in Pediatric Inflammatory Bowel Disease
2019-10
[114]
논문
A Prospective Study to Monitor for Tuberculosis During Anti-tumour Necrosis Factor Therapy in Patients With Inflammatory Bowel Disease and Immune-mediated Inflammatory Diseases
2018-07
[115]
논문
Etrasimod as induction and maintenance therapy for ulcerative colitis (ELEVATE): two randomised, double-blind, placebo-controlled, phase 3 studies
2023-04-08
[116]
논문
A meta-analysis of the role of smoking in inflammatory bowel disease
1989-12
[117]
논문
Smoking in inflammatory bowel diseases: good, bad or ugly?
2007-12
[118]
논문
Low-dose smoking resumption in ex-smokers with refractory ulcerative colitis
2012-08
[119]
논문
Tobacco and IBD: relevance in the understanding of disease mechanisms and clinical practice
2004-06
[120]
논문
Nicotine treatment for ulcerative colitis
1999-10
[121]
논문
Transdermal nicotine for mildly to moderately active ulcerative colitis. A randomized, double-blind, placebo-controlled trial
1997-03
[122]
논문
The effect of mesalamine and nicotine in the treatment of inflammatory bowel disease
1997
[123]
논문
Nicotine therapy for ulcerative colitis
1996-09
[124]
논문
Smoking and inflammatory bowel disease
2000-08
[125]
논문
Guidelines for the management of iron deficiency anaemia
2011-10
[126]
논문
Guidelines on the diagnosis and management of iron deficiency and anemia in inflammatory bowel diseases
2007-12
[127]
논문
Guidelines for the management of inflammatory bowel disease in adults
2011-05
[128]
논문
Drugs for Ulcerative Colitis
Can Med Assoc J
1964
[129]
서적
Textbook of Gastroenterology
Wiley
2008-11-14
[130]
논문
Osteopathic Primary Care Treatment Options for Ulcerative Colitis
2020-04-30
[131]
논문
An approach to acute severe ulcerative colitis
Informa UK Limited
2019-10-03
[132]
논문
Toxic Megacolon: Background, Pathophysiology, Management Challenges and Solutions
2020-05-19
[133]
문서
Toruner, M.; Loftus, E.V.; Harmsen, W.S.; Zinsmeister, A.R.; Orenstein, R.; Sandborn, W.J.; Colombel, J.; Egan, L.J. Risk factors for opportunistic infections in patients with inflammatory bowel disease. Gastroenterology 2008, 134, 929–936
[134]
문서
Farraye, F.A.; Melmed, G.Y.; Lichtenstein, G.R.; Kane, S.V. ACG Clinical Guideline: Preventive Care in Inflammatory Bowel Disease. Am. J. Gastroenterol. 2017, 112, 241–258.
[135]
문서
Kucharzik, T.; Ellul, P.; Greuter, T.; Rahier, J.F.; Verstockt, B.; Abreu, C.; Albuquerque, A.; Allocca, M.; Esteve, M.; Farraye, F.A.; et al. ECCO Guidelines on the Prevention, Diagnosis, and Management of Infections in Inflammatory Bowel Disease. J. Crohn’s Colitis 2021, 15, 879–913.
[136]
문서
Ananthakrishnan, A.N.; McGinley, E.L. Infection-related hospitalizations are associated with increased mortality in patients with inflammatory bowel diseases. J. Crohn’s Colitis 2013, 7, 107–112.
[137]
문서
Winthrop, K.L.; Melmed, G.Y.; Vermeire, S.; Long, M.D.; Chan, G.; Pedersen, R.D.; Lawendy, N.; Thorpe, A.J.; Nduaka, C.I.; Su, C. Herpes Zoster Infection in Patients with Ulcerative Colitis Receiving Tofacitinib. Inflamm. Bowel Dis. 2018, 24, 2258–2265
[138]
문서
Malhi, G.; Rumman, A.; Thanabalan, R.; Croitoru, K.; Silverberg, M.S.; Steinhart, A.H.; Nguyen, G.C. Vaccination in inflammatory bowel disease patients: Attitudes, knowledge, and uptake. J. Crohn’s Colitis 2015, 9, 439–444.
[139]
문서
Costantino, A.; Michelon, M.; Noviello, D.; Macaluso, F.S.; Leone, S.; Bonaccorso, N.; Costantino, C.; Vecchi, M.; Caprioli, F., on behalf of AMICI Scientific Board. Attitudes towards Vaccinations in a National Italian Cohort of Patients with Inflammatory Bowel Disease. Vaccines 2023, 11, 1591.
[140]
서적
Step-Up to Medicine (Step-Up Series)
Lippincott Williams & Wilkins
[141]
논문
Long-term antibiotic treatment for Crohn's disease: systematic review and meta-analysis of placebo-controlled trials
2010-02
[142]
논문
Antibiotics and probiotics in inflammatory bowel disease: why, when, and how
http://www.medscape.[...]
2009-07
[143]
웹사이트
Living with a stoma
https://www.ibdrelie[...]
IBD Relief
[144]
웹사이트
Colectomy Not a Final Cure for Ulcerative Colitis, Data Show
https://www.mdedge.c[...]
2019-12-15
[145]
논문
The Failed J Pouch
2016-06
[146]
논문
Colorectal cancer surveillance in inflammatory bowel disease: Practice guidelines and recent developments
2019-08
[147]
논문
Probiotics in the management of ulcerative colitis
2010-11
[148]
논문
Probiotics for induction of remission in ulcerative colitis
2020-03-04
[149]
논문
Probiotics for maintenance of remission in ulcerative colitis
2020-03-04
[150]
논문
Therapeutic faecal microbiota transplantation: current status and future developments
2014-01
[151]
논문
Systematic Review and Meta-analysis: Fecal Microbiota Transplantation for Treatment of Active Ulcerative Colitis
2017-10
[152]
논문
Fecal Microbiota Transplantation for Ulcerative Colitis: A Systematic Review and Meta-Analysis
2016
[153]
논문
Effect of Fecal Microbiota Transplantation on 8-Week Remission in Patients With Ulcerative Colitis: A Randomized Clinical Trial
2019-01
[154]
논문
Curcumin maintenance therapy for ulcerative colitis: randomized, multicenter, double-blind, placebo-controlled trial
http://www.cghjourna[...]
2006-12
[155]
논문
Curcumin for maintenance of remission in ulcerative colitis
2012-10
[156]
논문
Cannabis for the treatment of ulcerative colitis
2018-11
[157]
논문
Interventions for the management of abdominal pain in ulcerative colitis
2021-07
[158]
논문
The IBD interactome: An integrated view of aetiology, pathogenesis and therapy
2017
[159]
논문
Nutrition in Patients with Inflammatory Bowel Diseases: A Narrative Review
2022-02-10
[160]
간행물
Depressive and Anxiety Disorders in Patients with Inflammatory Bowel Diseases: Are There Any Gender Differences? International Journal of Environmental Research and Public Health. 2023; 20(13):6255. https://doi.org/10.3390/ijerph20136255
https://doi.org/10.3[...]
2023
[161]
간행물
Prevalence of symptoms of anxiety and depression in patients with inflammatory bowel disease: a systematic review and meta-analysis. Lancet Gastroenterol Hepatol. 2021 May;6(5):359-370. doi: 10.1016/S2468-1253(21)00014-5
2021-05
[162]
논문
Do interventions for mood improve inflammatory biomarkers in inflammatory bowel disease?: a systematic review and meta-analysis
https://doi.org/10.1[...]
2024-02-02
[163]
논문
Improving mood reduces inflammation in inflammatory bowel disease
https://evidence.nih[...]
2024-07-17
[164]
논문
Accelerated Clearance of Infliximab is Associated With Treatment Failure in Patients With Corticosteroid-Refractory Acute Ulcerative Colitis
2018-05
[165]
논문
Rectal-sparing type of ulcerative colitis predicts lack of response to pharmacotherapies
2017-05
[166]
서적
Sleisenger and Fordtran's Gastrointestinal and Liver Disease
[167]
논문
Backwash Is Hogwash: The Clinical Significance of Ileitis in Ulcerative Colitis
2017-08
[168]
논문
ASGE guideline: endoscopy in the diagnosis and treatment of inflammatory bowel disease
2006-04
[169]
논문
Epidemiology, demographic characteristics and prognostic predictors of ulcerative colitis
2014-07
[170]
논문
Overall and cause-specific mortality in ulcerative colitis: meta-analysis of population-based inception cohort studies
2007-03
[171]
논문
Cytomegalovirus Reactivation in Ulcerative Colitis Patients
2011-01
[172]
논문
Global, regional, and national incidence, prevalence, and years lived with disability for 310 diseases and injuries, 1990–2015: a systematic analysis for the Global Burden of Disease Study 2015
2016-10
[173]
논문
Ulcerative colitis
2011-11
[174]
서적
Emergency Medicine E-Book: Clinical Essentials (Expert Consult – Online)
https://books.google[...]
Elsevier Health Sciences
2012
[175]
논문
Ulcerative colitis
2013-02
[176]
논문
Global, regional, and national life expectancy, all-cause mortality, and cause-specific mortality for 249 causes of death, 1980–2015: a systematic analysis for the Global Burden of Disease Study 2015
2016-10
[177]
논문
The epidemiology and the pathogenesis of inflammatory bowel disease
2000-09
[178]
논문
Ulcerative colitis
2017-04
[179]
논문
Inflammatory bowel disease
2002-08
[180]
논문
Identification and characterization of the chicken transferrin receptor
1985-12
[181]
논문
Incidence of inflammatory bowel disease across Europe: is there a difference between north and south? Results of the European Collaborative Study on Inflammatory Bowel Disease (EC-IBD)
1996-11
[182]
논문
Geographic variation of inflammatory bowel disease within the United States
1991-01
[183]
논문
East-West gradient in the incidence of inflammatory bowel disease in Europe: the ECCO-EpiCom inception cohort
2014-04
[184]
논문
Increasing incidence and prevalence of the inflammatory bowel diseases with time, based on systematic review
http://www.gastrojou[...]
2012-01
[185]
논문
Appendectomy and protection against ulcerative colitis
2001-03
[186]
논문
Risk of ulcerative colitis among former and current cigarette smokers
1987-03
[187]
웹사이트
Epidemiology of the IBD
https://www.cdc.gov/[...]
2017-02-23
[188]
논문
Effects of synthetic vasoactive intestinal peptide (VIP), secretin and their partial sequences on gastric secretion
1978-04
[189]
웹사이트
Ulcerative colitis: management
https://www.nice.org[...]
2019-05-03
[190]
논문
A tale of two diseases: The history of inflammatory bowel disease
2014-05-01
[191]
논문
Trichuris suis therapy for active ulcerative colitis: a randomized controlled trial
2005-04
[192]
논문
Inhibition of endothelial cell-leukocyte adhesion molecule expression with antisense oligonucleotides
[193]
논문
Adhesion molecules in inflammatory bowel disease
1995-05
[194]
논문
A phase II dose ranging, double-blind, placebo-controlled study of alicaforsen enema in subjects with acute exacerbation of mild to moderate left-sided ulcerative colitis
2006-05
[195]
논문
Systematic review of randomized controlled trials of probiotics, prebiotics, and synbiotics in inflammatory bowel disease
2014-12-09
[196]
논문
NS6180, a new K(Ca) 3.1 channel inhibitor prevents T-cell activation and inflammation in a rat model of inflammatory bowel disease
2013-01
[197]
논문
Neutrophil Extracellular Traps in Ulcerative Colitis: A Proteome Analysis of Intestinal Biopsies
2015-09
[198]
논문
Degradation of the extracellular matrix is part of the pathology of ulcerative colitis
2019-02
[199]
논문
Combination therapy using fexofenadine, disodium cromoglycate, and a hypoallergenic amino acid-based formula induced remission in a patient with steroid-dependent, chronically active ulcerative colitis
2007-07
[200]
논문
Exploring novel colon-targeting antihistaminic prodrug for colitis
http://www.jpp.krako[...]
2012-08
[201]
논문
Etrolizumab as induction therapy for ulcerative colitis: a randomised, controlled, phase 2 trial
2014-07
[202]
논문
Etrolizumab for induction of remission in ulcerative colitis
2015-12
[203]
논문
Etrolizumab for ulcerative colitis: the new kid on the block?
2016
[204]
웹사이트
Roche lets go of etro, dumping phase 3 Crohn's prospect 18 months after posting weak colitis data
https://www.fiercebi[...]
2023-12-12
[205]
논문
Selective leukocyte apheresis for the treatment of inflammatory bowel disease
2007
[206]
논문
Leukocytapheresis in the treatment of inflammatory bowel disease: Current position and perspectives
2010-10
[207]
웹사이트
潰瘍性大腸炎の原因と初期症状(血便・便に白い粘液が混じるなど)
https://www.nhk.or.j[...]
[208]
웹사이트
平成27年1月1日施行の指定難病(告示番号1~110)
https://www.mhlw.go.[...]
2022-07-12
[209]
논문
Global, regional, and national incidence, prevalence, and years lived with disability for 310 diseases and injuries, 1990–2015: a systematic analysis for the Global Burden of Disease Study 2015
2016-10
[210]
논문
Ulcerative colitis
2011-11
[211]
웹사이트
Ulcerative Colitis
https://www.niddk.ni[...]
September 2014
2016-08-03
[212]
논문
Ulcerative colitis
2013-02
[213]
서적
Emergency Medicine E-Book: Clinical Essentials (Expert Consult – Online)
https://books.google[...]
Elsevier Health Sciences
2012
[214]
논문
Predictive factors for a severe clinical course in ulcerative colitis: Results from population-based studies
2016-05
[215]
웹사이트
潰瘍性大腸炎
http://www.nanbyou.o[...]
難病情報センター
[216]
뉴스
まれではない潰瘍性大腸炎、増える中高年での初発例
http://medical.nikke[...]
日経メディカルオンライン
2010-09-29
[217]
웹사이트
internetmedicin.se > Inflammatorisk tarmsjukdom, kronisk, IBD
http://www.internetm[...]
By Robert Löfberg
2010-10
[218]
논문
Management of Crohn's disease in adults
http://www.acg.gi.or[...]
2001-03-01
[219]
논문
Bowel Urgency in Ulcerative Colitis: Current Perspectives and Future Directions
https://journals.lww[...]
2023-11
[220]
웹사이트
知っていますか?潰瘍性大腸炎患者のQOLと「便意切迫感」の関係
https://yab.yomiuri.[...]
ヨミドクター(読売新聞)
2024-06-29
[221]
논문
牧野哲也、菊地誠、松能久雄、小西二三男、サイトメガロウィルス感染症を併発した潰瘍性大腸炎の1例
https://doi.org/10.3[...]
日本大腸肛門病学会雑誌
1993
[222]
논문
野村昌史、奥山修兒、柴田好 ほか、発症から20年後に早期直腸癌の合併をみた潰瘍性大腸炎の1例
https://doi.org/10.1[...]
日本消化器内視鏡学会雑誌
1988
[223]
논문
大塚和朗、福田将義、和田祥城 ほか、潰瘍性大腸炎関連腫瘍の拾い上げ
https://doi.org/10.1[...]
日本消化器内視鏡学会雑誌
2018
[224]
논문
畑泰司、大植雅之、池田公正 ほか、潰瘍性大腸炎に合併した虫垂癌の多発肝転移の1例
https://doi.org/10.1[...]
日本消化器内視鏡学会雑誌
2008
[225]
논문
山内毅、杉田昭、山崎安信 ほか、壊疽性膿皮症を合併した潰瘍性大腸炎の7例
https://doi.org/10.1[...]
日本消化器病学会雑誌
1995
[226]
논문
小林絢三、北野厚生、山口勝治ほか、潰瘍性大腸炎ならびにその類縁疾患の免疫学的研究
https://doi.org/10.3[...]
日本大腸肛門病学会雑誌
1976
[227]
논문
樋渡信夫、中嶋和幸、山崎日出雄 ほか、「炎症性腸疾患の家族内発生」
https://doi.org/10.3[...]
日本大腸肛門病学会雑誌
1987
[228]
문서
Epidemiology and risk factors for IBD
[229]
논문
土屋雅春、島袋嘉修、朝倉均ほか、潰瘍性大腸炎における胸腺T-cell系異常とHL-Aの検討
https://doi.org/10.1[...]
日本消化器病学会雑誌
1974
[230]
뉴스
ミュータンス菌 脳出血と潰瘍性大腸炎にも関与
https://medical.nikk[...]
日経メディカルオンライン
2012-05-23
[231]
웹사이트
口腔細菌ミュータンス菌特異株の感染は潰瘍性大腸炎のリスクを高める
http://www.natureasi[...]
[232]
간행물
腸内細菌叢の消化管疾患への関与
https://www.eiken.co[...]
モダンメディア
2014-11
[233]
라디오
アボット感染症アワー ラジオNIKKEI 2009年7月31日放送 腸内細菌と回腸嚢褒炎 広島大学病院消化器外科 診療講師 大毛宏喜
http://radio848.rsjp[...]
[234]
웹사이트
硫化水素の細胞毒性の機構の解明
http://kaken.nii.ac.[...]
科学研究費助成事業データベース
2009-2011
[235]
웹사이트
大腸機能と大腸細菌の話
http://seika.kpu.ac.[...]
[236]
웹사이트
オナラやゲップのメタンガスの話
http://seika.kpu.ac.[...]
[237]
논문
大草敏史、Fusobacterium と潰瘍性大腸炎、大腸癌
https://doi.org/10.1[...]
腸内細菌学雑誌
2013
[238]
뉴스
潰瘍性大腸炎に初の体外診断薬、その実力は?
https://medical.nikk[...]
日経メディカルオンライン
2017-08-17
[239]
논문
Selective white cell apheresis reduces relapse rates in patients with IBD at significant risk of clinical relapse
Inflamm Bowel Dis 14
2008
[240]
간행물
カルプロテクチン(糞便)
https://www.jslm.org[...]
日本臨床検査医学会
[241]
웹사이트
寛解期の潰瘍性大腸炎において、寛解維持に効果的な食事療法はありますか
http://minds.jcqhc.o[...]
厚生科学研究班編/医療・GL(06年)/ガイドライン
[242]
웹사이트
潰瘍性大腸炎の寛解導入のための魚油
http://minds.jcqhc.o[...]
[243]
웹사이트
潰瘍性大腸炎の寛解導入のためのプロバイオティク
http://minds.jcqhc.o[...]
[244]
웹사이트
リアルダ 12000 mg
http://www.info.pmda[...]
医薬品医療機器総合機構
[245]
간행물
潰瘍性大腸炎治療剤 リアルダ錠1200mg
http://database.japi[...]
[246]
뉴스
若年で発症が多い潰瘍性大腸炎、長期に治療と向き合う
http://newswitch.jp/[...]
ニュースイッチ
2018-07-15
[247]
웹사이트
医療用医薬品 ジセレカ(一般名フィルゴチニブマレイン酸塩)錠剤(100mg, 200mg)
https://www.kegg.jp/[...]
KEGG MEDICUS 医薬品情報
2023-06-21
[248]
웹사이트
医療用医薬品 リンヴォック(一般名ウパダシチニブ水和物)錠剤(7.5mg, 15mg, 30mg, 45mg)
https://www.kegg.jp/[...]
KEGG MEDICUS 医薬品情報
2023-06-21
[249]
웹사이트
医療用医薬品 ステラーラ(一般名ウステキヌマブ)点滴静注(130mg)
https://www.kegg.jp/[...]
KEGG MEDICUS 医薬品情報
2023-06-21
[250]
웹사이트
医療用医薬品 ステラーラ(一般名ウステキヌマブ)皮下注シリンジ(45mg)
https://www.kegg.jp/[...]
KEGG MEDICUS 医薬品情報
2023-06-21
[251]
웹사이트
医療用医薬品 カログラ(一般名カロテグラストメチル)
https://www.kegg.jp/[...]
KEGG MEDICUS 医薬品情報
2023-06-21
[252]
웹사이트
順天堂大学医学部附属順天堂医院
http://www.juntendo.[...]
[253]
웹사이트
東京慈恵会医科大学附属柏病院
http://www.jikei.ac.[...]
[254]
뉴스
除菌療法で潰瘍性大腸炎の炎症が大幅に改善
https://medical.nikk[...]
日経メディカルオンライン
2010-10-01
[255]
논문
ビフィズス菌含有大腸崩壊性カプセルの臨床的有用性
[256]
웹사이트
褐藻類の成分が潰瘍性大腸炎を抑制 - 東京工科大学が発表
https://news.mynavi.[...]
マイナビ
2014-11-20
[257]
웹사이트
東京工科大、褐藻類の成分が「潰瘍性大腸炎」を抑制することを発見
http://release.nikke[...]
日本経済新聞社
2014-11-20
[258]
논문
New Targets for Small Molecules in Inflammatory Bowel Disease
[259]
뉴스
寄生虫で難病を治療=18年から安全性試験開始|医療ニュース ピックアップ|時事メディカル
https://medical.jiji[...]
[260]
뉴스
読売新聞記事
読売新聞
2018-06-17
[261]
웹사이트
青黛の臨床研究について
http://www.keio-med.[...]
慶應義塾大学病院IBD(炎症性腸疾患)センター
[262]
논문
Polar Lipid Fraction from Golden Oyster Mushrooms (Pleurotus citrinopileatus) Suppresses Colon Injuries from Inflammatory Stresses in vivo and in vitro
[263]
논문
Dietary Sphingolipids Contribute to Health via Intestinal Maintenance
2021-06
[264]
논문
Protein-bound polysaccharide from Phellinus linteus induces G2/M phase arrest and apoptosis in SW480 human colon cancer cells
https://www.scienced[...]
[265]
논문
人工甘味料は腸内細菌叢を変化させ耐糖能を悪化させる
[266]
논문
瘍性大腸炎
[267]
트위터
岸明日香 2020年8月29日午前9:12の発言
https://mobile.twitt[...]
2020-08-29
[268]
트위터
吉木誉絵 2020年8月29日午前0:46の発言
https://mobile.twitt[...]
2020-08-29
[269]
웹사이트
“궤양성대장염 정의”
http://health.naver.[...]
서울대병원
2013-04-11
[270]
뉴스
"인플릭시맙(Infliximab) 치료에 대한 유효성 및 안전성 연구 리뷰 : 중등도-중증 소아 궤양성 대장염 환자에 있어"
http://www.doctorsne[...]
의협신문
2013-02-01
[271]
뉴스
"다케다, 첫 궤양성 대장염ㆍ크론병 치료제 기대"
http://www.yakup.com[...]
약업신문
2013-03-08
[272]
뉴스
"美 FDA, 궤양성대장염·크론병 치료제 ‘베돌리주맙’ 승인"
https://news.naver.c[...]
국민일보
2014-05-21
[273]
뉴스
"착한 박테리아가 속편하게 해드립니다"
http://news.donga.co[...]
동아일보
2009-08-24
[274]
뉴스
"프로바이오틱스 유산균으로 장내 미생물균총 균형 조절"
https://news.naver.c[...]
국민일보
2013-03-11
[275]
웹인용
UC사랑회란?
http://ulcerativecol[...]
2013-04-20
본 사이트는 AI가 위키백과와 뉴스 기사,정부 간행물,학술 논문등을 바탕으로 정보를 가공하여 제공하는 백과사전형 서비스입니다.
모든 문서는 AI에 의해 자동 생성되며, CC BY-SA 4.0 라이선스에 따라 이용할 수 있습니다.
하지만, 위키백과나 뉴스 기사 자체에 오류, 부정확한 정보, 또는 가짜 뉴스가 포함될 수 있으며, AI는 이러한 내용을 완벽하게 걸러내지 못할 수 있습니다.
따라서 제공되는 정보에 일부 오류나 편향이 있을 수 있으므로, 중요한 정보는 반드시 다른 출처를 통해 교차 검증하시기 바랍니다.
문의하기 : help@durumis.com
