자궁선근증
"오늘의AI위키"의 AI를 통해 더욱 풍부하고 폭넓은 지식 경험을 누리세요.
1. 개요
자궁선근증은 자궁 내막 조직이 자궁 근육층 내에서 증식하는 질환이다. 주요 증상으로는 만성 골반통, 과다 월경 출혈, 생리통 등이 있으며, 자궁 비대, 불임, 자궁근종, 자궁내막증과 같은 질환을 동반할 수 있다. 정확한 원인은 밝혀지지 않았지만, 자궁내막과 근층 사이 경계 손상이 주요 원인으로 추정된다. 진단은 질식 초음파 검사(TVUS)나 자기 공명 영상(MRI)을 통해 이루어지며, 치료 방법으로는 약물 치료, 자궁 보존 수술, 자궁 절제술 등이 있다. 자궁선근증은 진행성 질환이며, 유병률은 20~35%로 보고된다.
더 읽어볼만한 페이지
- 산부인과 질환 - 무월경
무월경은 가임기 여성에게 정상적인 월경이 없는 상태로, 16세까지 월경이 없거나 14세에 이차 성징이 없는 원발성 무월경과 과거 월경을 경험했던 여성에게 3개월 이상 월경이 없는 속발성 무월경으로 나뉘며, 진단은 임신 여부 확인과 호르몬 수치 측정 등으로, 치료는 원인 질환에 따라 호르몬 요법 등으로 이루어진다. - 산부인과 질환 - 성교통
성교통은 성관계 시 발생하는 지속적 또는 반복적인 생식기 통증으로, 다양한 원인에 따라 진단 및 치료 방법이 달라지며, DSM-5에서는 생식 골반 통증/삽입 장애의 하위 개념으로 분류된다.
| 자궁선근증 | |
|---|---|
| 개요 | |
![]() | |
| 분야 | 부인과학 |
| 빈도 | 20~35% |
| 임상 정보 | |
| 의학 용어 | |
| 영어 | adenomyosis |
| 관련 용어 | 자궁근층염 |
2. 증상
자궁선근증의 증상은 다양하며, 무증상부터 심한 통증까지 개인차가 크다. 주요 증상과 임상적 징후, 동반 가능 질환은 다음과 같다.[40][2][21]
| 구분 | 내용 | 빈도 |
|---|---|---|
| 주요 증상 | ||
| 임상적 징후 |
동반 가능 질환자궁선근증이 있는 여성은 다음과 같은 질환을 동반할 가능성이 높다.
자궁선근증은 증상의 유형과 심각도에 있어 매우 다양하며, 33%는 무증상, 일부는 심각하고 쇠약하게 만드는 증상을 겪기도 한다. 40~50세 사이에 처음 증상을 겪는 경우가 일반적이지만, 더 젊은 여성에게서도 증상이 나타날 수 있다.
3. 원인
자궁선근증의 정확한 원인은 아직 밝혀지지 않았지만, 자궁내막과 근층 사이의 경계(접합 구역)가 파괴되는 외상과 관련이 있는 것으로 알려져 있다. 여기에는 제왕 절개, 외과적 임신 중절, 그리고 모든 종류의 임신이 포함된다.[10] 이는 자궁내막증과 관련될 수 있지만, 두 질환의 유사점과 차이점을 연구한 결과는 상반된 결과를 보였다.[11]
자궁선근증의 발병 기전은 여전히 불분명하지만, 접합 구역(JZ)이라고도 불리는 내측 근층의 기능이 자궁선근증 발달에 중요한 역할을 하는 것으로 여겨진다. 출산력, 연령, 이전의 자궁 찰과상은 자궁선근증의 위험을 증가시킨다. 국소적 과다 에스트로겐증과 s-프로락틴 수치 상승과 같은 호르몬 요인뿐만 아니라 자가면역 요인도 가능한 위험 요인으로 확인되었다.[13][14][15]
조직 손상 및 복구(TIAR) 이론에 따르면, 생식 초기 기간 동안 자궁의 과도한 연동 운동(즉, 연동 운동 증가)이 자궁내막-근층 경계(EMI) 부위에서 미세 손상을 유발한다.[18] 이는 손상을 치유하기 위해 국소 에스트로겐을 상승시킨다. 동시에 에스트로겐 치료는 다시 자궁 연동 운동을 증가시켜 악순환과 자궁선근증 발달에 필수적인 일련의 생물학적 변화를 유발한다. 접합 구역의 의인성 손상 또는 태반 착상으로 인한 물리적 손상은 동일한 병리학적 연쇄 반응을 유발할 가능성이 높다.[19]
4. 병태 생리
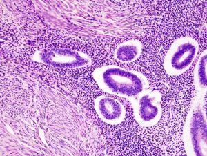
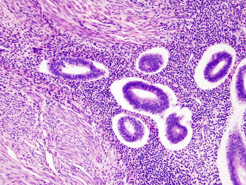
자궁선근증의 진단은 병리학자가 현미경으로 자궁의 작은 조직 샘플을 검사하여 이루어진다.[5] 이러한 조직 샘플은 자궁 생검 또는 자궁절제술 직후에 얻을 수 있다. 자궁 생검은 복부를 통한 복강경 시술이나 질과 자궁경부를 거치는 자궁경을 통해 얻을 수 있다.[21]
병리학자가 자궁근층 내에 침투한 자궁내막 조직 덩어리를 발견하면 진단이 확정된다. 여러 진단 기준이 사용될 수 있지만, 일반적으로 자궁내막 조직이 자궁근층의 2% 이상 침투했거나, 침투 깊이가 2.5~8mm 사이여야 한다.[21]
육안 소견:
현미경 소견:
감별 진단:
4. 1. 병태 생리학
자궁선근증의 병인과 병변은 분명하게 알려져 있지 않다.
자궁근층 내에 잘못 위치한 자궁내막 조직의 증식은 다양한 기전을 통해 증상을 유발한다.[21] 자궁의 월경 수축은 정상적인 자궁내막 조직에서 생성되는 프로스타글란딘에 의해 발생한다.[21] 월경통은 이 질환의 주요 특징이며, 높은 프로스타글란딘 수치의 결과이다. 자궁내막 증식은 에스트로겐에 의해 유도되므로, 일부 치료법은 증상을 줄이기 위해 에스트로겐 수치를 감소시키려고 시도한다.[21]
자궁선근증 환자는 자궁내막 조직의 증가, 혈관 분포의 증가, 비정형 자궁 수축, 그리고 프로스타글란딘, 에스트로겐 및 에이코사노이드 수치의 증가로 인해 월경 과다 출혈을 보인다.[20]
4. 2. 조직 병리학
자궁선근증의 병인(病因)은 알려져 있지 않으며, 병변 또한 분명하지 않다.5. 진단
자궁선근증은 비침습적 영상 검사를 통해 진단하는데, 주로 질식 초음파 검사(TVUS)와 자기 공명 영상(MRI)이 사용된다.[21] TVUS와 MRI는 수술 전 진단을 확립하는 데 실질적인 방법이다.[23]
자세한 내용은 하위 섹션인 '경질 초음파 검사'와 '자기 공명 영상 (MRI)'에서 확인할 수 있다.
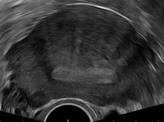
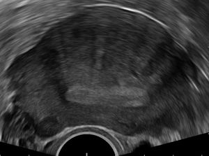
5. 1. 경질 초음파 검사 (TVUS)
경질 초음파 검사는 산부인과 증상 평가 초기에 일반적으로 사용되는 저렴하고 쉽게 구할 수 있는 영상 검사이다.[23] MRI와 마찬가지로 초음파 영상은 방사선을 사용하지 않아 골반과 여성 생식 기관 검사에 안전하다.[24] 전반적으로 경질 초음파 검사는 자궁선근증 진단에 대해 79%의 민감도와 85%의 특이도를 갖는 것으로 추정된다.[9]일반적인 경질 초음파 소견은 2015년 유럽 MUSA 그룹에 의해 정의되었으며,[25] 2022년 MUSA 그룹에 의해 다시 정의되었다.[26] 초음파 특성은 직접적 특징과 간접적 특징으로 나눌 수 있다.
직접적 특징:
- 근층 낭종 - 자궁의 평활근 내의 액체 주머니
- 고에코 섬 - 일반적으로 근층 내의 흰색 자궁내막 섬
- 에코성 자궁내막 하선과 싹 - 일반적으로 자궁내막에 부착되어 근층으로 돌출된 흰색 선과 혹
간접적 특징:
- 둥글고, 확대되고, 비대칭적인 자궁
- 부채꼴 그림자 - 선형 그림자를 가진 자궁 근종과 구별
- 전/후벽 비대칭
- 이동 혈관 - 근층 내의 작은 혈관의 확산
- 불규칙하거나 중단된 접합부 - 자궁내막과 근층 사이의 경계선

경질 초음파 검사 동안 파워 도플러 또는 도플러 초음파 기능을 사용하여 자궁선근종을 자궁 근종과 구별하는 데 도움이 될 수 있다.[23][27][28] 이는 자궁 근종이 일반적으로 근종의 캡슐을 둘러싸는 혈관을 가지고 있기 때문이다. 반대로, 자궁선근종은 병변 내에 광범위한 혈관이 있다는 특징이 있다.[23] 도플러 초음파는 또한 근층 낭종 내의 정적 액체를 혈관 내에서 흐르는 혈액과 구별하는 데 사용된다.[23]
접합부(JZ), 즉 자궁내막-근층 경계면의 작고 뚜렷한 호르몬 의존적 영역은 3차원 경질 초음파(3D TVUS) 및 MRI로 평가할 수 있다. 자궁선근증의 특징은 접합부의 파괴, 비후, 비대 또는 침윤이다.[19] 접합부의 실제 조직학에 대한 합의는 없으며, 최근 검토에 따르면 초음파, MRI 및 조직학 모두 접합부를 다르게 정의하고 설명한다는 것을 보여주었다.[29]
5. 2. 자기 공명 영상 (MRI)
자기 공명 영상(MRI)은 TVUS보다 진단 능력이 약간 더 우수한데, 이는 MRI가 다양한 유형의 연조직을 객관적으로 구별하는 능력이 향상되었기 때문이다.[23] 이는 MRI의 더 높은 공간 및 대조도 해상도 덕분이다. 전반적으로 MRI는 자궁선근증 감지에 대해 민감도 74%와 특이도 91%를 갖는 것으로 추정된다.[9] MRI를 통한 진단은 주로 접합 부위 조사를 중심으로 이루어진다. 자궁은 T1 및 T2 강조 시퀀스 모두에서 어둡거나 감소된 신호와 함께 비후된 접합 부위를 갖게 된다.[23]자궁선근증을 진단하기 위해 접합 부위에 대한 세 가지 객관적인 측정법을 사용할 수 있다.[23]
| 측정 기준 |
|---|
| 접합 부위의 두께가 8mm~12mm 이상 (8mm 미만은 정상) |
| 접합 부위의 너비가 자궁근층 너비의 40% 이상 |
| 접합 부위 너비의 가변성이 5mm 이상 |
비후되고 어두운 접합 부위 신호 내에 종종 T2 강조 스캔에서 작은 낭성 확장된 샘이나 급성 미세 출혈 부위를 나타내는 고강도점(밝은 점)이 관찰될 수 있다.[23]
MRI는 다른 요인에 의해 제한을 받지만, 초음파와 달리 석회화된 자궁 근종에 의해 제한을 받지는 않는다. 특히 MRI는 자궁선근증을 여러 개의 작은 자궁 근종과 더 잘 구별할 수 있다.
6. 치료
수술적 자궁 제거술만이 자궁선근증의 완전한 치료법이다.[30] 자궁선근증은 생식 호르몬에 반응하므로, 폐경기 이후에는 증상이 완화된다. 가임기 여성의 경우, 통증 완화, 질병 진행 억제, 심한 월경 출혈 감소를 목표로 치료할 수 있다.
6. 1. 약물 치료
NSAIDs인 이부프로펜, 나프록센 등은 통증 완화를 위해 다른 치료법과 함께 일반적으로 사용된다. NSAIDs는 효소 사이클로옥시게네이스의 활성을 감소시켜 프로스타글란딘의 생성을 억제한다. 프로스타글란딘은 월경통 또는 월경과 관련된 경련성 골반통의 주요 원인으로 밝혀졌다.레보노르게스트렐 방출 자궁 내 장치 (예: 미레나)는 자궁선근증의 효과적인 치료법이다.[30] 이 장치는 자궁 내막의 탈락막화를 유발하여 증상을 완화시키고 월경혈을 감소시키거나 제거한다.[21] 또한, 에스트로겐 수용체의 하향 조절을 돕고, 자궁근층 내의 자궁 내막 조직 덩어리를 축소시킨다. 이는 월경 혈류량을 줄이고, 자궁이 더 적절하게 수축하도록 도우며, 월경통을 줄이는 데 기여한다. 자궁선근증 환자에서 호르몬 자궁 내 장치의 사용은 월경 출혈 감소, 빈혈 및 철분 수치 개선, 통증 감소, 심지어 영상 검사에서 자궁 크기가 작아지는 등 자궁선근증의 개선을 가져오는 것으로 입증되었다.[21][30] 적어도 단기적으로는, 자궁선근증 치료를 위해 호르몬 자궁 내 장치를 사용할 수 있는 환자들은 자궁 절제술을 받는 여성에 비해 증상 개선과 삶의 질, 사회적 웰빙이 동등하게 향상되는 결과를 보인다.[21] 호르몬 자궁 내 장치는 미래의 가임력을 유지하면서 자궁선근증에 대한 효과적인 치료가 필요한 개인에게 특히 적합하다. 가장 흔한 부작용은 불규칙한 월경 출혈 또는 소량의 출혈이다.[21]
경구 피임약은 자궁선근증과 관련된 월경통과 출혈을 줄인다. 이는 월경 흐름을 줄이거나 제거하기 위해 지속적인 호르몬 요법을 필요로 할 수 있다. 경구 피임약은 심지어 자궁선근증의 단기적인 퇴행을 유발할 수도 있다.
프로게스테론은 에스트로겐에 대항하며 자궁 내막 조직의 성장을 억제한다. 이러한 치료법은 통제되고 가역적인 방식으로 월경을 줄이거나 제거할 수 있다. 프로게스틴은 천연 프로게스테론의 화학적 변형체이다.
생식샘 자극 호르몬 방출 호르몬 (GnRH) 작용제 및 다나졸은 자궁선근증 관련 증상을 완화시키기 위해 시도되었으며 약간의 효과를 보였지만, 연구가 드물고 주로 후향적 연구 설계를 사용하며 표본 크기가 작다.[31] GnRH 유사체의 장기간 사용은 종종 심각한 부작용, 골밀도 감소 및 심혈관 질환 위험 증가와 관련이 있으며, 따라서 젊은 여성에게는 적합하지 않다. 또한, 현재의 모든 치료 옵션은 임신을 시도하는 여성에게는 관련이 없다. 외인성 프로게스틴 치료는 효과가 없는 것으로 밝혀졌다.[16] 체외 수정(IVF) 환경에서는 IVF 전에 장기간의 다운 조절이 임신율에 긍정적인 영향을 미칠 수 있다.[32]
6. 2. 수술
자궁적출술은 자궁선근증을 치료하는 확실한 방법이다. 자궁선근증의 외과적 관리는 크게 자궁 보존 수술과 자궁 비보존 수술로 나뉜다.자궁 보존 수술은 자궁을 제거하지 않는 수술로, 가임력을 향상시키거나 임신을 유지할 수 있다는 장점이 있다. 그러나 일부 자궁 보존 수술은 가임력을 악화시키거나 불임을 초래할 수 있으므로, 각 수술이 여성의 가임력에 미치는 영향은 수술 선택에 있어 중요한 고려 사항이다.
자궁 비보존 수술은 자궁을 외과적으로 제거하는 수술이므로, 완전한 불임을 초래한다.
6. 2. 1. 자궁 보존 수술
- 자궁 동맥 색전술(UAE): 이 최소 침습 시술에서 의사는 자궁에 혈액을 공급하는 두 개의 큰 동맥인 자궁 동맥을 의도적으로 막는다. 이는 자궁으로의 혈액 공급을 극적으로 줄여, 자궁선근증이 발달하고 확산되는 데 필요한 혈액과 산소가 부족하게 만들기 위해서다. 자궁선근증에 대해 UAE를 받는 여성의 57-75%는 월경통과 출혈이 장기적으로 개선되었다고 보고한다. 그러나 UAE 후 여성의 35%에서 증상이 재발하는 경우가 있다. 또한 UAE는 시술을 받는 여성의 5%에서 심각한 합병증을 유발할 위험이 있다. 주요 합병증으로는 감염, 심각한 출혈, 추가 수술의 필요성이 있다. UAE는 일부 경우 난소 기능을 감소시키는 것으로 나타났으며, UAE를 받는 여성의 26%는 결국 자궁 절제술이 필요하게 된다.[21]
- 근층 또는 자궁선근종 절제술: 이 시술에서 외과 의사는 자궁선근증의 국소적 뭉침인 자궁선근종을 제거한다. 이 시술이 성공하려면 자궁선근증이 비교적 국소적으로 격리되어 있고 확산이 최소화되어야 한다. 불행히도 자궁선근증은 일반적으로 광범위하며 수술의 성공률은 50%에 불과하다. 이 시술은 복강경 또는 자궁경을 사용하여 수행된다. 또한 광범위한 자궁선근증이 물리적으로 근층을 약화시키고 수술 봉합사가 최소한의 힘으로 근육을 찢을 수 있으므로 수행하기 어려운 수술이 될 수 있다. 성공적인 경우, 이 시술은 월경통과 출혈을 현저히 개선한다. 또한 수술 후 임신을 시도하는 여성의 최대 78%에서 임신율이 높고 그 임신의 69%에서 성공적인 분만이 발생하는 등 가임력 개선을 가져올 수 있다. 반면에 일반 인구보다 높은 유산율(임신의 39%까지)이 증가하는데, 이는 수술로 인한 자궁 흉터 조직 형성 증가 때문일 가능성이 크다.[21]
- 근층 전기 소작[21]
- 근층 감소[21]
- MRI 유도 집속 초음파 수술[21]
6. 2. 2. 자궁내막 절제술 및 절제
자궁내막 절제술은 더 이상 임신을 원하지 않는 여성을 위한 수술법이다. 자궁경을 통해 자궁내막을 물리적으로 제거하거나 자궁내막층을 절제 또는 파괴한다. 얕은 자궁선근증에 가장 효과적이지만, 병변이 깊거나 넓으면 효과가 감소한다. 깊은 자궁선근증은 절제 후 흉터 부위에 갇혀 출혈, 통증을 유발하며, 근층 내 5 mm 이상 깊이의 큰 동맥 손상은 심각한 출혈을 야기할 수 있다.[21]자궁내막 절제술은 자궁경 사용 여부에 따라 비 자궁경적 시술과 자궁경적 시술로 나뉜다.
- 비 자궁경적 시술: 자궁경이 필요 없고 비교적 빠르며, 외래 시술로도 가능하다.
- '''고주파 절제술''': 자궁 내 삽입된 확장 가능한 메쉬에 고에너지 무선 주파수를 가해 자궁내막을 절제한다.
- '''열 기구''': 얇은 팽창 기구 내 가열된 액체로 자궁내막을 절제한다. 12개월간 무월경을 보인 환자는 23%였으나, 16%는 통증, 출혈로 치료에 실패했다. 45세 이상, 경미한 자궁선근증 환자에게서 성공률이 높았고, 45세 미만, 다산, 난관 결찰술 및 월경통 병력자는 실패율이 높았다.[21]
- '''냉동 절제술 (CEA)''': 냉동 요법의 일종으로, 영하 온도의 프로브로 자궁내막을 냉동, 절제한다.
- '''순환 온수''': 가열된 물을 자궁에 직접 넣어 자궁내막을 열적으로 절제한다.
- '''마이크로파 절제술''': 마이크로파 에너지로 자궁내막을 절제한다.
- 자궁경적 시술: 자궁경을 사용한다.
- '''와이어 루프 절제술''': 전기 와이어 루프로 자궁내막을 제거한다.
- '''레이저 절제술''': 레이저로 자궁내막을 기화, 절제한다.
- '''롤러볼 절제술''': 금속 볼에 전류를 가해 자궁내막을 따라 굴려 응고 괴사를 일으킨다. 근층 내 2–3 mm 깊이까지 효과가 있어 자궁내막과 기능 부전 평활근 성장을 파괴하지만, 더 깊은 자궁선근증에는 효과가 없다.[21]
6. 2. 3. 자궁 비보존 수술
자궁 절제술은 자궁을 외과적으로 제거하는 것으로, 역사적으로 자궁선근증을 진단하고 치료하는 주요 방법이었다.[21] 이는 특히 출산을 마쳤거나 임신을 원하지 않는 여성에게 널리 사용되었다. 오늘날에는 호르몬 요법 및 자궁내막 절제술과 같이 더 많은 의학적, 외과적 치료법이 가능해져 자궁 절제술이 필요한 여성의 수가 현저하게 줄었다. 그럼에도 불구하고, 자궁 절제술은 다른 치료법이 실패한 여성에게는 여전히 최종적인 치료 옵션으로 남아 있다.[33]자궁 절제술은 일반적으로 자궁선근증과 관련된 출혈 및 골반 통증에 대한 확실한 치료법으로 간주되지만, 항상 불임과 월경 출혈 중단을 초래한다. 한편, 골반 통증은 자궁 절제술 후에도 여성의 22%에서 지속될 수 있다.[21]
자궁 절제술에는 난관, 난소, 자궁 경부를 제거하는 다양한 옵션이 있으며, 여러 유형의 자궁 절제술이 존재한다. 또한, 다양한 유형의 자궁 절제술은 여러 가지 외과적 기술로 수행될 수 있다.
자궁 절제술은 다음과 같은 방법으로 수행할 수 있다.
- 복부의 작은 구멍을 통한 복강경 수술
- 복강경 절차와 유사한 방식의 로봇 보조 수술
- 복부 절개 없이 질을 통한 완전한 수술
- 더 큰 복부 절개를 통한 수술
예상치 못한 장애물이나 개별 해부학적 고려 사항에 대응하여 여러 기술을 결합한 변형이 존재하며, 수술 중에도 한 기술에서 다른 기술로 변경될 수 있다. 예를 들어, 자궁선근증으로 인해 자궁의 크기가 너무 커진 경우, 먼저 작은 조각으로 자르지 않고서는 질을 통해 물리적으로 제거하기 어려울 수 있다.
7. 역학
8. 예후
자궁선근증은 진행성 질환이다. 자궁선근증 자체가 암 발생 위험을 증가시키지는 않지만, 자궁선근증과 암이 함께 존재할 수 있다. 자궁근층 내의 자궁내막 조직은 자궁내막샘암종을 포함할 수 있으며, 이는 자궁근층 깊숙이 침범할 가능성이 있다.[35]
조산 및 양막 조기 파열은 자궁선근증 여성에게서 더 흔하게 나타난다.[8][9]
체외 수정(IVF)을 받는 가임력 저하 여성의 경우, 자궁선근증이 있으면 임신 가능성이 낮아지고, 유산 위험이 더 높아진다.[36] 따라서 보조 생식술(ART) 치료 전에 질식 초음파(TVUS) 또는 MRI로 자궁선근증을 미리 확인하는 것이 좋다.[36]
9. 어원
'자궁선근증'은 그리스어 단어 'adeno-'(샘을 의미), 'myo-'(근육을 의미), '-osis'(상태를 의미)에서 유래되었다.[37][38]
참조
[1]
논문
Adenomyosis
2020
[2]
논문
Uterine Cystic Adenomyosis: A Disease of Younger Women
2015-12
[3]
논문
Endometriosis results from the dislocation of basal endometrium
[4]
논문
Preoperative and Postoperative Clinical and Transvaginal Ultrasound Findings of Adenomyosis in Patients With Deep Infiltrating Endometriosis
2014-08
[5]
서적
Comprehensive gynecology
Mosby Elsevier
[6]
DorlandsDict
adenomyometritis
[7]
논문
Adenomyosis
[8]
논문
Adenomyosis and risk of preterm delivery
2007-02-01
[9]
논문
Adenomyosis and subfertility: A systematic review of prevalence, diagnosis, treatment and fertility outcomes
[10]
논문
Adenomyosis and reproduction
2006-08
[11]
논문
Structural and molecular features of the endomyometrium in endometriosis and adenomyosis
[12]
논문
The enigmatic uterine junctional zone: the missing link between reproductive disorders and major obstetrical disorders?
2010-03
[13]
논문
Adenomyosis: the pathophysiology of an oestrogen-dependent disease
2006-08
[14]
논문
Oestrogen receptor-alpha gene polymorphism is associated with endometriosis, adenomyosis and leiomyomata
2001-01
[15]
논문
Is adenomyosis an immune disease?
1998
[16]
논문
Pathology and physiopathology of adenomyosis
2006-08
[17]
논문
Immunocytochemical analysis of proliferative activity of endometrial and myometrial cell populations in focal and stromal adenomyosis
2013-08
[18]
논문
The pathophysiology of endometriosis and adenomyosis: tissue injury and repair
2009-10
[19]
논문
Adenomyosis and endometriosis. Re-visiting their association and further insights into the mechanisms of auto-traumatisation. An MRI study
2015-04
[20]
논문
Correlation between dysmenorrheic severity and prostaglandin production in women with endometriosis
1992-06
[21]
논문
Adenomyosis: A Clinical Review of a Challenging Gynecologic Condition
[22]
서적
Gynecologic pathology: a volume in the series Foundations in diagnostic pathology
Elsevier
2020-02-03
[23]
논문
Imaging for the evaluation of endometriosis and adenomyosis
https://art.torverga[...]
[24]
논문
Safety of ultrasonography in pregnancy: WHO systematic review of the literature and meta-analysis
2009-05-01
[25]
논문
Terms, definitions and measurements to describe sonographic features of myometrium and uterine masses: a consensus opinion from the Morphological Uterus Sonographic Assessment (MUSA) group
https://pubmed.ncbi.[...]
2015-09
[26]
논문
Consensus on revised definitions of Morphological Uterus Sonographic Assessment (MUSA) features of adenomyosis: results of modified Delphi procedure
2022-07
[27]
논문
A systematic review with meta-analysis: the common sonographic characteristics of adenomyosis
2014-08-01
[28]
논문
Role of 3D Ultrasound and Doppler in Differentiating Clinically Suspected Cases of Leiomyoma and Adenomyosis of Uterus
[29]
논문
Uterine junctional zone and adenomyosis: comparison of MRI, transvaginal ultrasound and histology
2023-07
[30]
논문
Effectiveness of the levonorgestrel-releasing intrauterine system in the treatment of adenomyosis diagnosed and monitored by magnetic resonance imaging
[31]
논문
Adenomyosis and subfertility: a systematic review of prevalence, diagnosis, treatment and fertility outcomes
2012-07
[32]
논문
Long-term pituitary downregulation before frozen embryo transfer could improve pregnancy outcomes in women with adenomyosis
2013-12
[33]
논문
Therapeutic options for adenomyosis: a review
https://link.springe[...]
[34]
논문
Adenomyosis
2020
[35]
논문
Adenomyosis involved by endometrial adenocarcinoma is a significant risk factor for deep myometrial invasion
2007-08
[36]
논문
Uterine adenomyosis and in vitro fertilization outcome: a systematic review and meta-analysis
http://humrep.oxford[...]
2014-05-01
[37]
논문
Origin and Pathogenic Mechanisms of Uterine Adenomyosis: What Is Known So Far
2021
[38]
웹사이트
-OSIS Definition & Meaning
https://www.dictiona[...]
2023-07-04
[39]
문서
adenomyosis
one/000001691
[40]
저널
Adenomyosis: A Clinical Review of a Challenging Gynecologic Condition
http://linkinghub.el[...]
본 사이트는 AI가 위키백과와 뉴스 기사,정부 간행물,학술 논문등을 바탕으로 정보를 가공하여 제공하는 백과사전형 서비스입니다.
모든 문서는 AI에 의해 자동 생성되며, CC BY-SA 4.0 라이선스에 따라 이용할 수 있습니다.
하지만, 위키백과나 뉴스 기사 자체에 오류, 부정확한 정보, 또는 가짜 뉴스가 포함될 수 있으며, AI는 이러한 내용을 완벽하게 걸러내지 못할 수 있습니다.
따라서 제공되는 정보에 일부 오류나 편향이 있을 수 있으므로, 중요한 정보는 반드시 다른 출처를 통해 교차 검증하시기 바랍니다.
문의하기 : help@durumis.com
