제자리암
"오늘의AI위키"의 AI를 통해 더욱 풍부하고 폭넓은 지식 경험을 누리세요.
1. 개요
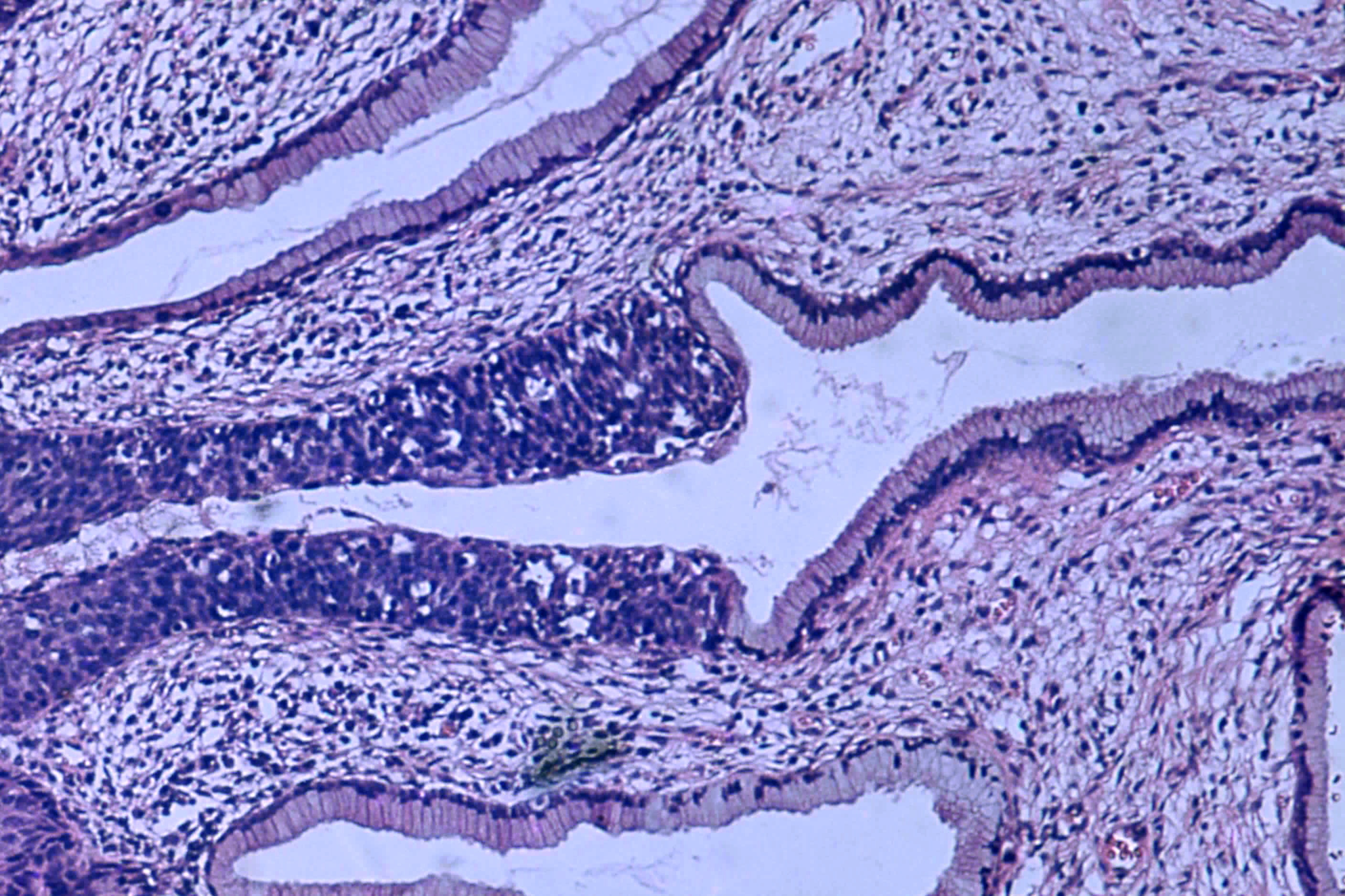
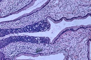
제자리암은 침윤성 암으로 발전하기 전 단계의 암으로, 주변 조직을 침범하지 않고 전이 가능성이 없는 상태를 의미한다. 이형성증의 고등급 병변을 제자리암이라고도 하며, 자궁경부 상피내 종양, 유관 상피내암, 보웬병, 결장 폴립, 고등급 전립샘 상피내 종양, 세기관지 폐포 암종 등이 있다. 제자리암은 외과적 절제, 내시경, 레이저 소작, 방사선 치료 등 다양한 방법으로 제거하여 치료한다.
더 읽어볼만한 페이지
- 암종 - 기저세포암
기저세포암은 햇빛 노출 부위에 주로 발생하는 가장 흔한 피부암으로, 윤기 있는 결절이나 붉은 반점 형태로 나타나며, 기저 세포 증식으로 발생하지만 전이가 드물고 다양한 치료법이 존재한다. - 암종 - 이행세포암종
이행세포암종은 이행상피세포에서 기원하는 악성 종양으로, 흡연, 특정 화학 물질, 방사선 노출 등이 위험 요인이며, 혈뇨를 유발하고, 외과적 절제술, 화학 요법, 면역 요법 등으로 치료하며, 유전체 이상이 발병에 관여한다. - 조직병리학 - 지방간
지방간은 간에 중성 지방이 과도하게 축적되어 발생하는 질환으로, 알코올성 및 비알코올성으로 분류되며, 비만, 당뇨병 등과 관련이 깊고 간 섬유화, 간경변, 간암으로 진행될 수 있어 섭취 칼로리 조절, 약물 치료 등을 통해 치료한다. - 조직병리학 - 질-닐슨 염색
질-닐슨 염색은 결핵균 등 항산성 세균 검출을 위해 개발된 염색 방법으로, 석탄산 푹신으로 1차 염색 후 산성 알코올로 탈색하고 대비 염색하여 항산성 세균을 붉은색으로, 비항산성 세균을 다른 색으로 염색한다. - 표시 이름과 문서 제목이 같은 위키공용분류 - 라우토카
라우토카는 피지 비치레부섬 서부에 위치한 피지에서 두 번째로 큰 도시이자 서부 지방의 행정 중심지로, 사탕수수 산업이 발달하여 "설탕 도시"로 알려져 있으며, 인도에서 온 계약 노동자들의 거주와 미 해군 기지 건설의 역사를 가지고 있고, 피지 산업 생산의 상당 부분을 담당하는 주요 기관들이 위치해 있다. - 표시 이름과 문서 제목이 같은 위키공용분류 - 코코넛
코코넛은 코코넛 야자나무의 열매로 식용 및 유지로 사용되며, 조리되지 않은 과육은 100g당 354kcal의 열량을 내는 다양한 영양 성분으로 구성되어 있고, 코코넛 파우더의 식이섬유는 대부분 불용성 식이섬유인 셀룰로오스이며, 태국 일부 지역에서는 코코넛 수확에 훈련된 원숭이를 이용하는 동물 학대 문제가 있다.
| 제자리암 | |
|---|---|
| 질병 개요 | |
| 분야 | 종양학 |
| 증상 | (정보 없음) |
| 합병증 | (정보 없음) |
| 발병 시기 | (정보 없음) |
| 지속 기간 | (정보 없음) |
| 유형 | (정보 없음) |
| 원인 | (정보 없음) |
| 위험 요인 | (정보 없음) |
| 진단 | (정보 없음) |
| 감별 진단 | (정보 없음) |
| 예방 | (정보 없음) |
| 치료 | (정보 없음) |
| 약물 | (정보 없음) |
| 예후 | (정보 없음) |
| 빈도 | (정보 없음) |
| 사망 | (정보 없음) |
| 명칭 | |
| 한국어 | 제자리암 |
| 동의어 | 상피내암 |
| 영어 | Carcinoma in situ |
| 라틴어 | in situ (제자리에 있음) |
| 기타 | |
| ICD-10 | II Neoplams |
2. 용어
제자리암은 암으로 진행되는 과정의 한 단계를 나타내며, 다음과 같은 관련 용어들이 있다.
- '''이형성'''(Dysplasia): 생검을 통해 확인할 수 있는 가장 초기 단계의 전암성 병변이다. 이형성은 저등급과 고등급으로 나뉘며, 고등급 이형성은 제자리암이라고도 불린다.
- '''침습성 암'''(Invasive carcinoma): 일반적으로 단순히 '암'이라고 부르는 단계이다. 주변 조직이나 구조를 침범하고 다른 부위로 전이될 가능성이 있으며, 치명적일 수 있다.
3. 종류
제자리암은 암으로 진행되는 중간 단계에 해당하며, 여러 관련 용어와 함께 이해할 필요가 있다.
- 이형성: 생검을 통해 확인할 수 있는 가장 초기 단계의 전암성 병변이다. 이형성은 저등급과 고등급으로 나뉘며, 고등급 이형성은 제자리암으로 간주되기도 한다.
- 침습성 암종: 일반적으로 암이라고 불리는 단계로, 주변 조직과 구조를 침범하고 다른 부위로 전이될 가능성이 있어 생명에 위협이 될 수 있다.
제자리암은 발생하는 위치에 따라 다양한 종류로 나뉜다. 주요 종류는 다음과 같다.
- 자궁경부: 자궁경부 상피내 종양 중 고등급 병변은 제자리암과 동일한 의미로 사용될 수 있으며, 자궁경부암으로 진행될 위험이 있다.
- 유방: 유관 상피내암은 여성에게서 가장 흔하게 발견되는 전암성 병변 중 하나이다.
- 피부: 보웬병은 피부 편평상피세포암의 제자리암 형태이다.
- 대장: 대장 용종 중 일부는 제자리암을 포함하고 있으며, 치료하지 않으면 대장암으로 발전할 가능성이 매우 높다.
- 전립선: 고등급 전립샘 상피내 종양은 전립선의 제자리암과 동일하게 간주된다.
- 폐: 세기관지폐포암은 제자리암의 한 형태로 분류되기도 한다. 드물게 나타나는 '폐렴 형태'는 폐 전체로 퍼져 심각한 호흡 문제를 일으킬 수 있어 진정한 악성 종양으로 보기도 하지만, 전통적인 의미의 '침습성'과는 달라 제자리암 분류에 대해서는 병리학자와 종양학자/외과의 간에 이견이 있다.
3. 1. 자궁경부

자궁경부의 편평 상피내 병변(SIL, cervical squamous intraepithelial lesioneng)은 이전 자궁경부 상피내 종양(CIN, cervical intraepithelial neoplasiaeng)으로 불렸으며, 자궁경부암으로 진행될 수 있는 이형성의 한 형태이다. 제자리암이라는 용어는 고등급 SIL과 같은 의미로 사용될 수 있다.[8]
3. 2. 유방
유방의 유관 상피내암은 여성에게 가장 흔하게 발견되는 전암이다.3. 3. 피부
보웬병은 피부의 편평상피세포암 상피내 형태이다.3. 4. 대장
대장 용종은 종종 제자리암(CIS) 영역을 포함하며, 이를 치료하지 않고 방치하면 거의 항상 대장암으로 진행될 수 있다.[8]3. 5. 전립선
고등급 전립선 상피내 종양은 전립선의 제자리암과 동일하다.[8]3. 6. 폐
폐의 세기관지 폐포 암종(BAC)은 제자리암의 한 형태로 분류되기도 한다. 드물게 나타나는 '폐렴 형태'의 BAC는 크게 확장되어 폐를 가득 채우고 호흡 곤란을 유발하며, 다른 심각한 영향을 미쳐 직접적인 사망 원인이 될 수 있다. 따라서 폐렴 형태의 BAC는 진정한 악성 개체이지만, 고전적인 의미에서 '침습적'이지는 않다. 이러한 특징으로 인해 병리학자들은 BAC를 제자리암의 한 형태로 보기도 하지만, 종양학자나 외과 의사들은 다르게 보는 경우가 많아 제자리암 분류에 포함하는 것에는 논란이 있다.4. 치료
제자리암은 그 정의상 암으로 진행되지 않는 한 전이 가능성이 없는 국소적인 현상이다. 따라서 제자리암을 제거하면 생명을 위협하는 상태로 이어질 위험성을 없앨 수 있다.
일부 형태의 제자리암은 기존의 외과적 절제 없이 치료할 수 있다. 예를 들어 대장 용종이나 방광의 용종성 종양 등은 내시경을 사용하여 제거할 수 있다. 자궁 경부 이형성증은 절제(잘라내기)하거나 레이저로 태워 제거한다. 피부의 보웬병 역시 절제를 통해 제거할 수 있다.
다른 형태의 제자리암은 주요 수술이 필요할 수 있다. 대표적인 예로 유관내 유방암이 있으며, 이는 방사선 치료로도 치료할 수 있다.
참조
[1]
웹사이트
II Neoplams
http://apps.who.int/[...]
2014-06-19
[2]
서적
International statistical classification of diseases and related health problems
https://books.google[...]
World Health Organization
2004
[3]
서적
Oncology: An Evidence-Based Approach
https://books.google[...]
Springer
2007
[4]
서적
Common surgical diseases an algorithmic approach to problem solving.
https://books.google[...]
Springer
2008
[5]
논문
Ductal carcinoma in situ: terminology, classification, and natural history
2010
[6]
웹사이트
Head and Neck Tumors
http://www.cancernet[...]
Pazdur R, Wagman LD, Camphausen KA, Hoskins WJ (Eds)
2008
[7]
웹사이트
Cancer Staging Fact Sheet
http://www.cancer.go[...]
National Cancer Institute
2014-06-24
[8]
웹사이트
Understanding Cervical Changes
http://www.cancer.go[...]
National Institute of Health
2014-06-17
[9]
웹인용
II Neoplams
http://apps.who.int/[...]
2014-06-19
[10]
서적
International statistical classification of diseases and related health problems
https://books.google[...]
World Health Organization
2004
[11]
서적
Oncology: An Evidence-Based Approach
https://books.google[...]
Springer
2007
[12]
서적
Common surgical diseases an algorithmic approach to problem solving.
https://books.google[...]
Springer
2008
[13]
저널
Ductal carcinoma in situ: terminology, classification, and natural history
2010
[14]
웹사이트
Head and Neck Tumors
http://www.cancernet[...]
Pazdur R, Wagman LD, Camphausen KA, Hoskins WJ (Eds)
2008
[15]
웹인용
Cancer Staging Fact Sheet
http://www.cancer.go[...]
National Cancer Institute
2014-06-24
본 사이트는 AI가 위키백과와 뉴스 기사,정부 간행물,학술 논문등을 바탕으로 정보를 가공하여 제공하는 백과사전형 서비스입니다.
모든 문서는 AI에 의해 자동 생성되며, CC BY-SA 4.0 라이선스에 따라 이용할 수 있습니다.
하지만, 위키백과나 뉴스 기사 자체에 오류, 부정확한 정보, 또는 가짜 뉴스가 포함될 수 있으며, AI는 이러한 내용을 완벽하게 걸러내지 못할 수 있습니다.
따라서 제공되는 정보에 일부 오류나 편향이 있을 수 있으므로, 중요한 정보는 반드시 다른 출처를 통해 교차 검증하시기 바랍니다.
문의하기 : help@durumis.com