지주막낭종
"오늘의AI위키"의 AI를 통해 더욱 풍부하고 폭넓은 지식 경험을 누리세요.
1. 개요
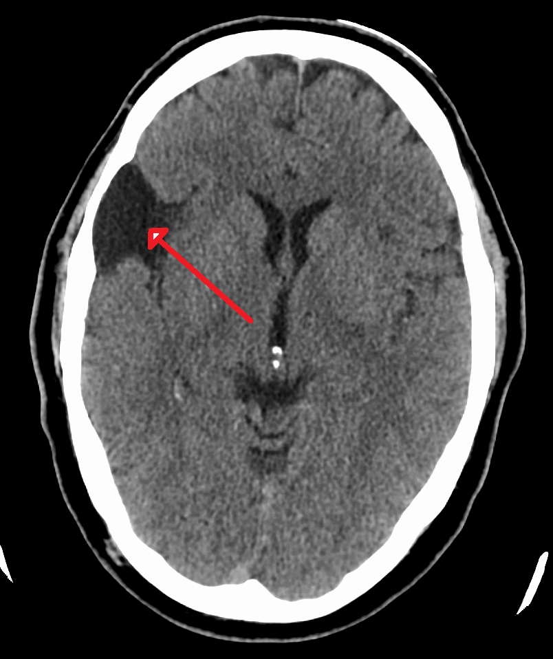
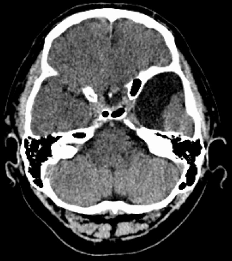
지주막낭종은 뇌 또는 척추의 지주막에 발생하는 낭성 병변으로, 대부분의 경우 원인이 밝혀지지 않았다. 낭종은 크기와 위치에 따라 증상이 다르며, 작은 낭종은 무증상일 수 있지만, 큰 낭종은 두통, 발작, 두개골 변형, 인지 기능 저하 등 다양한 신경학적 문제를 일으킬 수 있다. 진단은 주로 MRI를 통해 이루어지며, 증상이 있는 경우 뇌실 단락술, 창내술, 바늘 흡인 등의 치료법이 사용된다. 대부분의 지주막낭종은 무증상이지만, 치료를 받으면 증상이 있는 환자 대부분은 좋은 결과를 보인다. 지주막낭종은 인구의 약 1.1%에서 발견되며, 남성에게서 더 흔하게 나타난다.
더 읽어볼만한 페이지
- 중추신경계 질환 - 거미막밑출혈
거미막밑출혈은 뇌를 덮는 막 중 하나인 거미막 아래 공간에서 출혈이 발생하는 질환으로, 외상이나 뇌동맥류 파열이 주요 원인이며 벼락 두통, 구토, 의식 혼탁 등의 증상을 동반하고, CT 촬영이나 요추 천자를 통해 진단하며, 환자 안정화, 재출혈 방지, 혈관 연축 예방 등을 목표로 치료하고, 초기 출혈 및 합병증에 따라 예후가 달라 다양한 분류 척도로 심각도를 평가한다. - 중추신경계 질환 - 특발성 두개내 고혈압
특발성 두개내 고혈압은 뇌척수액 압력 상승을 특징으로 하며, 심한 두통, 시각 이상, 뇌신경 마비 등의 증상을 동반하고, 뇌 영상 검사와 요추 천자를 통해 진단하며, 시력 손실 예방과 증상 조절을 목표로 체중 감량, 약물 치료, 수술적 중재 등의 치료를 시행한다. - 선천성 질환 - 혈관성 치매
혈관성 치매는 뇌혈관 질환으로 뇌 조직 손상으로 인해 인지 기능이 저하되는 치매 유형으로, 기억력 감퇴, 운동 장애, 행동 변화, 언어 문제 등의 증상을 보이며, 심혈관계 질환 및 생활 습관, 유전자형 등이 위험 요인이고, 기저 질환 관리로 진행을 늦추고 증상을 완화하는 것을 목표로 한다. - 선천성 질환 - 엘러스-단로스 증후군
엘러스-단로스 증후군은 유전적 돌연변이로 인해 결합 조직에 영향을 미치는 질환군으로, 관절 과운동성, 피부 과신장성, 혈관 취약성 등의 증상을 보이며, 증상 완화를 위한 보조적인 관리가 주된 치료법이다.
2. 원인
지주막낭종의 정확한 원인은 알려져 있지 않다. 연구자들은 대부분의 지주막낭종 사례가 지주막의 설명되지 않은 분열 또는 파열로 인해 발생하는 발달 기형이라고 생각한다.
일부 경우, 중두개와에서 발생하는 지주막낭종은 측두엽의 발달 부전(형성저하) 또는 압박을 동반한다. 측두엽 이상이 중두개와 지주막낭종의 발달에 어떤 역할을 하는지는 알려져 있지 않다.
유전 질환이 지주막낭종과 관련된 경우도 있다.[18]
경미한 머리 외상으로 인해 낭종이 손상되면 지주막낭종의 일부 합병증이 발생할 수 있다.[19] 외상은 낭종 내의 체액이 다른 부위(예: 지주막하 공간)로 누출되도록 할 수 있다. 낭종 표면의 혈관이 파열되어 낭종 내로 출혈(낭내 출혈)을 일으켜 크기가 커질 수 있다. 혈관이 낭종 외부에서 출혈하면 혈액 덩어리(혈종)가 발생할 수 있다. 낭내 출혈 및 혈종의 경우, 개인은 두개 내압 증가의 증상과 근처 신경 조직의 압박 징후를 보일 수 있다.
일부 과학자들은 지주막낭종이 진정한 선천적 상태인지, 아니면 이차성 낭종과 구분해야 하는지에 대해 논쟁을 벌이고 있다.[20] 최근 연구에 따르면 CT 조영술을 통해 지주막낭종과 지주막하 공간 사이의 소통에 차이가 나타난다.[21] 일련의 환자에서 지주막낭종액과 뇌척수액을 비교한 결과 화학적 조성에 차이가 있는 것으로 나타났다.[22]
지주막낭종은 마르판 증후군, 지주막염, 또는 뇌량 무형성과 같은 다른 질환에 의해 이차적으로 발생할 수도 있다.
2. 1. 선천적 요인
지주막낭종의 정확한 원인은 알려져 있지 않다. 연구자들은 대부분의 지주막낭종 사례가 지주막의 설명되지 않은 분열 또는 파열로 인해 발생하는 발달 기형이라고 생각한다.일부 경우, 중두개와에서 발생하는 지주막낭종은 측두엽의 발달 부전(형성저하) 또는 압박을 동반한다. 측두엽 이상이 중두개와 지주막낭종의 발달에 어떤 역할을 하는지는 알려져 있지 않다.
유전 질환이 지주막낭종과 관련된 경우도 있다.[18]
경미한 머리 외상으로 인해 낭종이 손상되면 지주막낭종의 일부 합병증이 발생할 수 있다.[19] 외상은 낭종 내의 체액이 다른 부위(예: 지주막하 공간)로 누출되도록 할 수 있다. 낭종 표면의 혈관이 파열되어 낭종 내로 출혈(낭내 출혈)을 일으켜 크기가 커질 수 있다. 혈관이 낭종 외부에서 출혈하면 혈액 덩어리(혈종)가 발생할 수 있다. 낭내 출혈 및 혈종의 경우, 개인은 두개 내압 증가의 증상과 근처 신경 조직의 압박 징후를 보일 수 있다.
일부 과학자들은 지주막낭종이 진정한 선천적 상태인지, 아니면 이차성 낭종과 구분해야 하는지에 대해 논쟁을 벌이고 있다.[20] 최근 연구에 따르면 CT 조영술을 통해 지주막낭종과 지주막하 공간 사이의 소통에 차이가 나타난다.[21] 일련의 환자에서 지주막낭종액과 뇌척수액을 비교한 결과 화학적 조성에 차이가 있는 것으로 나타났다.[22]
지주막낭종은 마르판 증후군, 지주막염, 또는 뇌량 무형성과 같은 다른 질환에 의해 이차적으로 발생할 수도 있다.
2. 2. 후천적 요인
지주막낭종의 정확한 원인은 알려져 있지 않다. 대부분의 지주막낭종은 지주막의 분열 또는 파열로 인해 발생하는 발달 기형으로 추정된다.일부 경우, 중두개와에서 발생하는 지주막낭종은 측두엽의 발달 부전(형성저하) 또는 압박을 동반한다. 측두엽 이상이 중두개와 지주막낭종 발달에 어떤 역할을 하는지는 알려져 있지 않다.
경미한 머리 외상은 낭종 손상을 유발하여 지주막낭종의 합병증을 일으킬 수 있다.[19] 외상으로 인해 낭종 내 체액이 지주막하 공간 등 다른 부위로 누출될 수 있다. 낭종 표면 혈관이 파열되면 낭종 내 출혈(낭내 출혈)이 발생하여 낭종이 커질 수 있다. 혈관이 낭종 외부에서 출혈하면 혈액 덩어리(혈종)가 생길 수 있다. 낭내 출혈 및 혈종 발생 시, 두개 내압 증가 증상과 근처 신경 조직 압박 징후가 나타날 수 있다.
지주막낭종이 진정한 선천적 상태인지, 아니면 이차성 낭종과 구분해야 하는지에 대한 논쟁이 있다.[20] CT 조영술을 통한 연구에서 지주막낭종과 지주막하 공간 사이 소통에 차이가 있음이 밝혀졌다.[21] 지주막낭종액과 뇌척수액을 비교한 결과 화학적 조성에 차이가 있었다.[22]
지주막낭종은 마르판 증후군, 지주막염, 뇌량 무형성과 같은 다른 질환에 의해 이차적으로 발생할 수 있다.
3. 증상
지주막낭종 환자는 낭종이 큰 경우에도 증상이 나타나지 않을 수 있다. 따라서 증상의 존재가 추가적인 임상 검사를 유발할 수 있지만, 추가적인 데이터와 무관한 증상은 낭종의 존재, 크기, 위치 또는 환자에게 미칠 수 있는 기능적 영향에 대한 증거로 해석될 수 없고, 해석되어서도 안 된다.
증상은 낭종의 크기와 위치에 따라 다르지만, 작은 낭종은 일반적으로 증상이 없으며 우연히 발견된다.[2] 반면에 큰 낭종은 다음과 같은 여러 증상을 유발할 수 있다.
- 두개골 변형 또는 거대두증(머리 확대)이 나타날 수 있으며, 특히 어린이에게서 두드러진다.[4]
- 어린이의 시상상부 낭종은 머리를 끄덕이는 보블헤드 인형 증후군을 유발할 수 있다.[4]
- 왼쪽 중간 두개와 낭종은 주의력 결핍 과잉 행동 장애와의 연관성이 보고되었다.[5]
- 두통이 나타날 수 있지만,[2] 지주막낭종이 반드시 두통의 원인이라고 단정할 수는 없다.
- 편두통 또는 긴장성 두통이 있는 78명의 환자를 대상으로 한 2002년 연구에서 CT 스캔은 환자의 3분의 1 이상에서 이상을 보였지만, 지주막낭종은 이 연구의 환자 중 2.6%만을 차지했다.[6]
- 한 연구에 따르면 두개내 지주막낭종 환자의 18%가 비특이적 두통을 겪었으며, 이 중 75%는 측두 위치에 낭종이 있었다.[7]
- 발작,[2] 수두증(뇌척수액의 과도한 축적),[2] 두개내압 증가,[2] 전반적 발달 지연,[2] 행동 변화, 메스꺼움, 반신불완전마비(신체의 한쪽에 나타나는 쇠약 또는 마비),[2] 운동실조(근육 조절의 부재)[2] 등이 나타날 수 있다.
- 음악적 환각이 나타날 수 있다.[8]
- 노년기 이전의 치매는[9] 알츠하이머병과 관련이 있을 수 있다.
- 80세 이상 고령 환자의 경우, 만성 경막하 혈종 또는 정상압 수두증과 유사한 증상(치매, 요실금, 반신불완전마비, 두통, 발작)이 나타날 수 있다.[10]
3. 1. 일반적인 증상
지주막낭종은 크기가 큰 경우에도 증상이 나타나지 않는 경우가 있다.[2] 작은 낭종은 대체로 증상이 없어 우연히 발견되지만,[2] 큰 낭종은 다양한 증상을 유발할 수 있다.- 두개골 변형이나 거대두증(머리 확대)이 나타날 수 있으며, 특히 어린이에게서 두드러진다.[4]
- 어린이의 시상상부 낭종은 머리를 끄덕이는 보블헤드 인형 증후군을 유발할 수 있다.[4]
- 왼쪽 중간 두개와 낭종은 주의력 결핍 과잉 행동 장애와의 연관성이 보고되었다.[5]
- 두통이 나타날 수 있지만,[2] 지주막낭종이 반드시 두통의 원인이라고 단정할 수는 없다. 한 연구에 따르면 두개내 지주막낭종 환자의 18%가 비특이적 두통을 겪었으며, 이 중 75%는 측두 위치에 낭종이 있었다.[7]
- 발작,[2] 수두증,[2] 두개내압 증가,[2] 전반적 발달 지연,[2] 행동 변화, 메스꺼움, 반신불완전마비,[2] 운동실조[2] 등이 나타날 수 있다.
- 음악적 환각이 나타날 수 있다.[8]
- 노년기 이전의 치매는[9] 알츠하이머병과 관련이 있을 수 있다.
- 80세 이상 고령 환자의 경우, 만성 경막하 혈종 또는 정상압 수두증과 유사한 증상(치매, 요실금, 반신불완전마비, 두통, 발작)이 나타날 수 있다.[10]
3. 2. 위치 특이적 증상
천막상부 지주막낭종은 메니에르병 발작을 모방할 수 있다.[11] 전두엽 지주막낭종은 우울증과 관련이 있다.[12] 좌측 측두엽의 낭종은 정신병과 관련이 있다.[13][14] 좌측 전두-측두엽 낭종은 감정표현불능증 증상을 보였다.[15]우측 실비우스 열의 낭종은 61세에 조현병 유사 증상의 새로운 발병을 초래했다.[16] 좌측 중두개와의 낭종 환자는 청각계 환각, 편두통 유사 두통, 주기적인 편집증을 겪었다.[7] 좌측 측두엽 낭종 환자는 조울증과 유사한 기분 장애를 겪었으며 외부 공격성을 보이는 것으로 알려졌다.[17]
3. 3. 기타 증상
4. 진단


진단은 주로 MRI로 이루어진다. 지주막낭종은 다른 임상적 이유로 MRI를 촬영하는 과정에서 우연히 발견되는 경우가 많다.[9] 실제적으로 증상이 있는 지주막낭종을 진단하려면 증상이 나타나야 하며, 이 질환을 가진 많은 환자는 평생 증상이 나타나지 않는다.
인지 능력을 평가하는 데 사용되는 간이 정신 상태 검사 (MMSE)는 지주막낭종 환자를 평가하는 데 유용한 임상 평가 도구이다.[9]
4. 1. 영상 검사
지주막낭종 진단은 주로 MRI로 이루어진다.[9] 지주막낭종은 다른 임상적 이유로 MRI를 촬영하는 과정에서 우연히 발견되는 경우가 많다.[9] 실제적으로 증상이 있는 지주막낭종을 진단하려면 증상이 나타나야 하며, 이 질환을 가진 많은 환자는 평생 증상이 나타나지 않는다.
인지 능력을 평가하는 데 사용되는 간이 정신 상태 검사 (MMSE)는 지주막낭종 환자를 평가하는 데 유용한 임상 평가 도구이다.[9]
4. 2. 감별 진단
4. 3. 추가 검사
진단은 주로 MRI로 이루어진다.[9] 지주막낭종은 다른 임상적 이유로 MRI를 촬영하는 과정에서 우연히 발견되는 경우가 많다.[9] 실제적으로 증상이 있는 지주막낭종을 진단하려면 증상이 나타나야 하며, 이 질환을 가진 많은 환자는 평생 증상이 나타나지 않는다.지주막낭종 환자를 평가하는 데 유용한 추가적인 임상 평가 도구로는 간이 정신 상태 검사 (MMSE)가 있는데, 이는 인지 능력을 평가하는 데 사용되는 간단한 설문 기반 검사이다.[9]
5. 분류
지주막낭종은 뇌 또는 척추에서 발견될 수 있다. 두개내 지주막낭종은 대개 지주막하 낭포에 인접하여 발생한다.[23] 척추 지주막낭종은 경막외, 경막내 또는 신경주위에 위치할 수 있으며, 신경근병증을 시사하는 징후와 증상을 나타내는 경향이 있다.[23]
지주막낭종은 또한 원발성(선천성) 또는 속발성(후천성)으로 분류될 수 있으며, 사람, 고양이, 개에서 보고되었다.[24]
지주막낭종은 비교적 증상이 없는 경우도 있고, 서서히 나타나는 증상을 보이기도 한다.
5. 1. 발생 위치
지주막낭종은 뇌 또는 척추에서 발견될 수 있다. 두개내 지주막낭종은 대개 지주막하 낭포에 인접하여 발생한다.[23] 척추 지주막낭종은 경막외, 경막내 또는 신경주위에 위치할 수 있으며, 신경근병증을 시사하는 징후와 증상을 나타내는 경향이 있다.[23]지주막낭종은 원발성(선천성) 또는 속발성(후천성)으로 분류될 수 있으며, 사람, 고양이, 개에서 보고되었다.[24]
지주막낭종은 비교적 증상이 없는 경우도 있고, 서서히 나타나는 증상을 보이기도 한다.
5. 2. 원인
지주막낭종은 뇌 또는 척추에서 발견될 수 있다. 두개내 지주막낭종은 대개 지주막하 낭포에 인접하여 발생한다.[23] 척추 지주막낭종은 경막외, 경막내 또는 신경주위에 위치할 수 있으며, 신경근병증을 시사하는 징후와 증상을 나타내는 경향이 있다.[23]지주막낭종은 원발성(선천성) 또는 속발성(후천성)으로 분류될 수 있으며, 사람, 고양이, 개에서 보고되었다.[24]
지주막낭종은 비교적 증상이 없는 경우도 있고, 서서히 나타나는 증상을 보이기도 한다.
6. 치료
대부분의 지주막낭종은 무증상이며 치료가 필요하지 않다. 증상이 나타날 경우 치료가 필요할 수 있다.[2] 낭종의 압력을 감소(제거)하기 위해 다양한 시술이 사용될 수 있다.
- 뇌실 단락술의 외과적 삽입:[25]
- '''내부 단락술'''은 경막하 공간으로 배액한다.[26]
- '''낭종-복강 단락술'''은 복막강으로 배액한다.[27]
- 창내술:
- 개두술과 절제술[28]
- 레이저 보조 기술을 포함하여 다양한 내시경 기술이 효과적인 것으로 입증되고 있다.[29][30]
- 바늘 흡인 또는 천공(burr hole)을 통한 배액.
- 피막 절제술[10]
- 약물 치료는 발작이나 통증과 같은 특정 증상을 치료할 수 있다.
6. 1. 수술적 치료
대부분의 지주막낭종은 무증상이며 치료가 필요하지 않다. 증상이 나타날 경우 치료가 필요할 수 있다.[2] 낭종의 압력을 감소(제거)하기 위해 다양한 시술이 사용될 수 있다.- 뇌실 단락술의 외과적 삽입:[25]
- 내부 단락술은 경막하 공간으로 배액한다.[26]
- 낭종-복강 단락술은 복막강으로 배액한다.[27]
- 창내술:
- 개두술과 절제술[28]
- 레이저 보조 기술을 포함하여 다양한 내시경 기술이 효과적인 것으로 입증되고 있다.[29][30]
- 바늘 흡인 또는 천공(burr hole)을 통한 배액.
- 피막 절제술[10]
- 약물 치료는 발작이나 통증과 같은 특정 증상을 치료할 수 있다.
6. 2. 약물 치료
대부분의 지주막낭종은 무증상이며 치료가 필요하지 않다.[2] 증상이 나타날 경우 치료가 필요할 수 있다.[2] 낭종의 압력을 감소(제거)하기 위해 다양한 시술이 사용될 수 있다. 약물 치료는 발작이나 통증과 같은 특정 증상을 치료할 수 있다.7. 예후
대부분의 지주막낭종은 무증상이며 치료가 필요하지 않다. 합병증이 있는 경우, 지주막낭종을 치료하지 않고 방치하면 낭종의 점진적인 팽창 또는 출혈로 인해 영구적인 심각한 신경학적 손상을 초래할 수 있다.[2] 그러나 치료를 받으면 증상이 있는 지주막낭종 환자 대부분은 좋은 결과를 보인다.
- 수술 전 인지 기능 저하 환자는 낭종의 수술적 감압 후 개선을 보였다.[31][32]
- 수술은 일부 사례에서 정신과적 증상을 해결할 수 있다.[33]
8. 역학
지주막낭종은 인구의 최대 1.1%에서 발견되며[34][35], 남성이 여성보다 2:1로 더 많이 발생한다.[36] 이 중 20%만이 증상을 보이며, 주로 이차적인 수두증 때문이다.[34] 건강한 젊은 남성 2,536명을 대상으로 한 연구에서는 유병률이 1.7% (95% CI 1.2~2.3%)였으며, 발견된 이상 징후 중 응급 치료가 필요한 경우는 극히 일부였다.[37]
참조
[1]
논문
Cerebellopontine angle arachnoid cyst harbouring ectopic neuroglia
2005
[2]
웹사이트
Arachnoid Cysts Information Page
https://www.ninds.ni[...]
NINDS
2017-04-07
[3]
논문
Intracranial arachnoid cysts
2004
[4]
서적
The A-Z of Neurological Practice: A Guide to Clinical Neurology
Cambridge University Press
2005-01-10
[5]
논문
Temporal lobe arachnoid cyst-attention deficit disorder syndrome: role of the electroencephalogram in diagnosis
1997-05
[6]
논문
Computed tomography scan of the head in patients with migraine or tension-type headache
2002-09
[7]
간행물
"Psychotic phenomena with migraine and an arachnoid cyst"
http://www.escriber.[...]
Progress in Neurology and Psychiatry
2002-03
[8]
논문
Musical hallucinosis in acquired deafness. Phenomenology and brain substrate
2000-10
[9]
간행물
"An arachnoid cyst in a patient with pre-senile dementia"
http://www.escriber.[...]
Progress in Neurology and Psychiatry
2001-05
[10]
논문
Primary intracranial arachnoid cyst in the elderly: a survey on 39 cases
[11]
논문
Supratentorial arachnoid cyst mimicking a Ménière's disease attack
2003-09
[12]
서적
Neuropsychiatry and Behavioral Neuroscience
Oxford University Press, USA
2003-01-23
[13]
논문
Arachnoid cyst in a patient with psychosis: a case report
[14]
논문
Psychosis-like syndrome associated with intermittent intracranial hypertension caused by a large arachnoid cyst of the left temporal lobe
[15]
논문
A case of atypical psychosis associated with alexithymia and a left fronto-temporal lesion: possible correlations
1987-11
[16]
논문
Neurobehavioral and neurodiagnostic aspects of late-onset psychosis
1994-10
[17]
서적
In Search of Madness: Schizophrenia and Neuroscience
Oxford University Press, USA
2001-03-29
[18]
논문
Intracranial cysts in autosomal dominant polycystic kidney disease
1995-12
[19]
논문
Haemorrhage into an arachnoid cyst: a serious complication of minor head trauma
2002-07
[20]
서적
Neurodegenerative Diseases
2012
[21]
논문
CT cisternography in intracranial symptomatic arachnoid cysts: classification and treatment
2012-07
[22]
논문
Arachnoid cysts do not contain cerebrospinal fluid: A comparative chemical analysis of arachnoid cyst fluid and cerebrospinal fluid in adults
2010-06
[23]
웹사이트
Arachnoid cyst
http://www.answers.c[...]
2006-09-10
[24]
논문
Quadrigeminal Arachnoid Cysts in a kitten and a dog
[25]
논문
Different approaches to surgical treatment of arachnoid cysts
2006
[26]
논문
Arachnoid cysts in adults: long-term follow-up of patients treated with internal shunts to the subdural compartment
2006-07
[27]
논문
A large arachnoid cyst of the lateral ventricle extending from the supracerebellar cistern--case report
2006-06
[28]
논문
Suprasellar arachnoid cysts: endoscopy versus microsurgical cyst excision and shunting
2007-06
[29]
논문
Endoscopic management of intracranial cysts
2005-12
[30]
논문
Navigated laser-assisted endoscopic fenestration of a suprasellar arachnoid cyst in a 2-year-old child with bobble-head doll syndrome. Case report
2006-05
[31]
논문
Arachnoid cysts of the left temporal fossa: impaired preoperative cognition and postoperative improvement
1995-09
[32]
논문
Intracranial arachnoid cysts--do they impair mental functions?
2008-08
[33]
논문
Psychiatric presentations of intracranial cysts
1989
[34]
서적
The Massachusetts General Hospital Handbook of Neurology
2000-01-01
[35]
논문
Incidental findings on brain MRI in the general population
2007-11
[36]
논문
Arachnoid cysts: case series and review of the literature
2007-02
[37]
논문
Incidental findings in magnetic resonance imaging of the brains of healthy young men
2006-01
[38]
논문
Cerebellopontine angle arachnoid cyst harbouring ectopic neuroglia
2005
[39]
웹인용
Arachnoid Cysts Information Page
https://www.ninds.ni[...]
NINDS
2017-04-07
[40]
논문
Intracranial arachnoid cysts
2004
본 사이트는 AI가 위키백과와 뉴스 기사,정부 간행물,학술 논문등을 바탕으로 정보를 가공하여 제공하는 백과사전형 서비스입니다.
모든 문서는 AI에 의해 자동 생성되며, CC BY-SA 4.0 라이선스에 따라 이용할 수 있습니다.
하지만, 위키백과나 뉴스 기사 자체에 오류, 부정확한 정보, 또는 가짜 뉴스가 포함될 수 있으며, AI는 이러한 내용을 완벽하게 걸러내지 못할 수 있습니다.
따라서 제공되는 정보에 일부 오류나 편향이 있을 수 있으므로, 중요한 정보는 반드시 다른 출처를 통해 교차 검증하시기 바랍니다.
문의하기 : help@durumis.com
