MALT 림프종
"오늘의AI위키"의 AI를 통해 더욱 풍부하고 폭넓은 지식 경험을 누리세요.
1. 개요
MALT 림프종은 림프절 외 림프종의 일종으로, 림프 조직이 아닌 다른 부위에서 발생하는 림프종을 의미한다. 내시경과 생검을 통해 진단하며, 헬리코박터 파일로리 감염, 만성 염증, 자가면역 질환과 관련이 깊다. 위 MALT 림프종의 경우 헬리코박터 파일로리 제균 치료가 주요 치료법이며, 국한된 병기에서는 방사선 치료, 리툭시맙 단독 또는 화학 요법을 사용한다. 진행된 병기에서는 리툭시맙을 포함한 화학 요법을 시행하며, 예후는 비교적 양호하여 국한기의 경우 5년 생존율이 90% 이상이다.
더 읽어볼만한 페이지
- 위장관암 - 식도암
식도암은 식도 상피세포에서 발생하는 악성 종양으로, 편평상피세포암과 선암이 주된 유형이며, 진행될수록 연하곤란, 체중 감소, 흉통 등이 나타나고 흡연, 음주 등이 위험 요인으로 작용하며, 내시경 검사, 조직검사 등으로 진단하고 수술, 화학요법 등으로 치료하며 예방을 위해서는 금연, 절주 등이 중요하다. - 위장관암 - 소장암
소장암은 소장에 발생하는 악성 종양으로, 선암종, 위장관 기질 종양, 림프종, 유암종 등으로 분류되며, 나이, 특정 질환, 식습관 등이 주요 위험 요인이다. - 림프종 - 림프절 변연부 B세포 림프종
제공된 텍스트는 위키백과 문서의 개요가 아니라 문서 작성 과정에 대한 설명이므로, 림프절 변연부 B세포 림프종에 대한 요약문을 생성할 수 없습니다. - 림프종 - 성인 T세포 백혈병
성인 T세포 백혈병은 사람 T세포 림프친화 바이러스 1형에 의해 유발되는 고위험성 비호지킨 림프종의 일종으로, 고칼슘혈증, 피부 질환, 용해성 골병변 등의 증상을 동반하며 급성형, 림프종형, 만성형, 연성형으로 분류된다. - 감염성 암원 - 결핵
결핵은 결핵균에 의해 발생하는 감염성 질환으로, 주로 폐에 영향을 미치며 기침, 객혈 등의 증상을 보이지만 무증상일 수도 있고, 호흡기 비말 전파를 통해 감염되며, 항생제 치료를 하지만 약물 내성 문제로 인해 공중 보건 문제로 남아있다. - 감염성 암원 - 자궁경부암
자궁경부암은 인유두종바이러스 감염이 주원인인 자궁 경부의 악성 종양으로, 초기에는 증상이 미미하지만 진행 시 질 분비물 증가, 성교통, 골반통이 나타날 수 있으며, 자궁경부 세포진 검사, 조직 생검 등으로 진단하고 수술, 방사선 치료, 항암 치료 등으로 치료하며, HPV 백신 접종과 정기 검진으로 예방이 가능하다.
| MALT 림프종 | |
|---|---|
| MALT 림프종 | |
![]() | |
| 일반 정보 | |
| 식별 | |
2. 진단
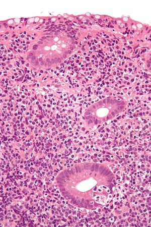
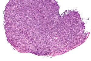
MALT 림프종은 내시경 검사 및 생검을 통해 진단한다. 육안으로 보이는 병변뿐만 아니라 정상 조직에서도 생검을 시행하여 정확도를 높인다.[41] 조직학적으로는 변연부 확장, 악성 소림프세포의 판(sheet) 형성, 림프상피성 병변 등이 특징적이다.[42] 악성 세포는 성숙한 소림프구와 다르게 중심세포를 닮은 세포(centrocyte-like cells)나 변연부/단핵구양 B세포(marginal zone/monocytoid B cells) 형태로 나타나기도 하며, 형질세포와 유사하게 분화하는 경우도 잦다.[1]
림프 소포는 MALT 림프종 어디에나 존재하지만 소포가 급속히 증식하거나 신생물 세포로 덮이는 경우가 많아 잘 구분되지 않을 수 있다. 거대세포로 변한 B세포는 소세포 사이에 흩뿌려져 있는 경우가 많으며, 거대 B세포 림프종과의 감별진단을 고려해야 한다.[2] 종양 세포는 반응성 여포의 변연대에서 여포 간 영역에 걸쳐 증식하며, 상피 내로 침윤하여 림프 상피 병변을 형성한다. 종양 세포는 배 중심 세포 유사 세포(centrocyte-like cell, CCL), 단구양 B 세포(monocytoid B cell), 소형 림프구 및 소수의 면역모세포(immunoblast)와 배 중심 아세포(centroblast) 등 다채로운 종양 세포로 구성된다. 형질 세포로의 분화가 관찰될 수도 있다. 종양 세포가 반응성 여포의 배 중심에 이동하여 겉보기에 여포 림프종과 유사한 구조를 만들기도 한다.

MALT 림프종을 배경으로 미만성 거대 B 세포 림프종(DLBCL)이 발생할 수 있다. 면역모세포(immunoblast)와 배 중심 아세포(centroblast)가 산재성이 아닌 시트 형태로 나타나는 경우에는 DLBCL로 진단하고 배경에 MALT 림프종이 존재함을 기술한다.
면역 염색에서 특이적인 마커는 없지만, B 세포 마커(CD20, CD79a) 양성, CD5, CD10, CD23은 음성이다. 형질 세포 분화가 있는 사례에서는 면역글로불린 경쇄 제한을 보인다.
2. 1. 감별 진단
MALT 림프종은 반응성 침윤과 구별하기 어려울 수 있으며, 확진을 위해 여러 차례의 내시경 검사가 필요할 수 있다. 진단에 대한 확신을 표현하기 위해 Wotherspoon 점수를 사용한다.면역조직화학 염색법은 MALT 림프종과 다른 소형 B 세포 림프종을 구별하는 데 사용된다. CD19, CD20, CD22, CD79a와 같은 B 세포 관련 항원은 일반적으로 발현된다. 소림프구 림프종 및 외투 세포 림프종(MCL)과 달리 CD5 염색은 일반적으로 음성이며, CD23(소림프구 림프종에서 양성) 및 CyclinD1(MCL에서 양성)으로 추가 감별이 가능하다.[3]
다음과 같은 질환과의 감별이 중요하다.
- 만성 염증
- * 헬리코박터 파일로리(Helicobacter pylori)에 의한 위염
- * 하시모토 갑상선염
- 소형 B 세포 림프종
- * 여포 림프종
- * 소림프구 림프종
3. 관련 질환
MALT 림프종은 만성 염증 및 자가면역질환과 관련이 깊다. 위 MALT 림프종은 헬리코박터 파일로리 감염과 높은 연관성을 보인다(72~98%).[4] 쇼그렌 증후군 환자는 침샘 MALT 림프종 발생 위험이 44배, 하시모토 갑상선염 환자는 갑상선 MALT 림프종 발생 위험이 70배 증가한다.[6]
이 외에도 헬리코박터 파일로리에 의한 만성 위염, 클라미디아 시타시에 의한 눈 부속기의 만성 염증, 캄필로박터 제이주니에 의한 면역 증식 소장 질환(immunoproliferative small intestinal disease, IPSID) 등이 MALT 림프종 발생과 관련될 수 있다.
4. 병기 분류
MALT 림프종은 림프절 외 장기를 침범하는 경우가 많아, Lugano 분류[26]가 주로 사용된다. Lugano 분류는 병변의 위치와 침범 정도에 따라 1기에서 4기까지 분류한다. 소화관 이외 부위가 원발 부위인 경우에는 Ann Arbor 병기 분류를 사용한다.
| 병기 | 설명 |
|---|---|
| 1기 | 소화관에 국한된 종양으로, 장막으로의 침윤이 없음 |
| 2기 | 원발 부위에서 복강 림프절로의 진행이 있음 |
| 21 | 국한성(위 또는 장관 소속 림프절에 머무름) |
| 22 | 원격성(대동맥 주위, 하대정맥 주위, 골반 내, 장간막 림프절 침윤) |
| 2E기 | 장막에서 인접 장기, 림프절 이외의 주변 조직으로 침윤하고 있음 (침윤 장기를 기재, 예: 췌장, 대장, 후복막벽) |
| 4기 | 절 외부위로의 파종상 침윤, 또는 소화관 병변과 횡격막을 넘는 림프절 침윤 |
5. 치료
MALT 림프종의 치료는 병기, 헬리코박터 파일로리 감염 여부, 환자의 전신 상태 등을 고려하여 결정한다.
- 헬리코박터 파일로리 제균 치료: 위 MALT 림프종은 헬리코박터 파일로리(''Helicobacter pylori'') 감염과 밀접하게 관련되어 있어, 제균 치료가 치료의 중심이다. 제균 치료는 위 MALT 림프종 환자의 50~95%에서 완전관해를 이끌어낸다.[48][49]
- 방사선 치료: 방사선 치료는 국소 MALT 림프종 치료에 효과적이다. 특히 항생제 치료에 실패했거나, 항생제 치료 적응증이 아닌 경우에 선호된다. 국소 병기인 IE기와 II 1E기 위 MALT 림프종에서 5년 무사건생존율(EFS)은 85~100%로 보고되었다.[52][53]
- 면역 치료 및 화학 요법: MALT 림프종은 면역 치료에 매우 민감하다. 전신으로 퍼졌거나 국소 치료에 반응하지 않는 드문 경우 화학 요법을 실시하며, CD20에 대한 항체인 리툭시맙이 치료의 핵심 요소이다. 리툭시맙 단독 요법 시 반응률은 55~77%이며, 다른 화학 요법과 병용 시 100%에 이른다.[55][56]
- 기타 약물 치료: 사이클로포스파마이드나 클로람부실과 같은 경구 알킬화 약제, 퓨린 뉴클레오사이드 유사체인 플루다라빈과 클라드리빈도 치료에 사용될 수 있다.[58][59]
- 염색체 전좌: t(11;18)(q21;q21) 염색체 전좌는 ''API2-MLT'' 융합 유전자를 발생시켜 제균 치료에 대한 반응이 좋지 않을 것을 예측하게 한다.[11][12][50][51]
5. 1. 위 MALT 림프종
위 MALT 림프종은 위나선균(헬리코박터 파일로리, ''Helicobacter pylori'') 감염으로 인한 만성 염증과 자주 (72~98%) 연관된다.[43] CagA와 같은 위나선균의 독력인자가 만성 염증에 관여할 수 있다.[44]초기 진단은 상부위장관내시경(EGD)을 통해 의심 병변의 생검을 하고, 위나선균 존재 여부를 확인하는 검사를 동시에 진행한다.[45] 위장관 생검 표본의 조직학적 검사는 5번 시행했을 때 민감도가 95%이다.[46] 생검 표본은 림프종이 발생하지 않은 부위에서 채취해야 하며, 광범위한 장 화생이 있는 경우 세균 확인이 어려울 수 있다. 양성자 펌프 억제제 치료를 받는 경우, 검사 2주 전부터 약물 치료를 중단해야 한다. 조직학적 검사 음성 시 혈청학적 검사로 억제/최근 치료된 감염 여부를 확인한다.[47]
위 MALT 림프종은 위나선균 제균치료로 치료할 수 있다는 것이 밝혀져 치료법의 중심으로 자리잡았다. MALT 림프종의 50%는 위에서 발생한다.
5. 1. 1. 국한성 병기 (Lugano 1기, 2기)
헬리코박터 파일로리 양성인 경우 제균 치료가 우선적으로 시행된다. 제균 치료는 위 MALT 림프종 환자의 50~95%에서 완전관해를 이끌어냈다.[48][49][9][10] 제균 성공 후 림프종이 사라지기까지는 보통 수개월이 걸리지만, 수년이 걸리는 경우도 있다. 제균에 실패하면 약제를 변경하여 재제균을 시도하는데, 클래리스로마이신 내성균이 증가하고 있어 메트로니다졸로 변경한 치료법을 사용한다.[29] 제균 치료 후 화학 요법을 추가해도 재발률을 낮추지 못하므로 경과를 관찰한다.[30]제균 치료에 실패하거나 헬리코박터 파일로리 음성인 경우, 또는 t(11;18)(q21;q21) 염색체 전좌가 있는 경우에는 방사선 치료를 고려한다. t(11;18)(q21;q21) 염색체 전좌는 ''API2-MLT'' 융합 유전자를 발생시켜 제균 치료에 대한 반응이 좋지 않을 것을 예측하게 한다.[11][12][50][51] 방사선 치료는 국소 병기인 IE기 및 II 1E기 위 MALT 림프종에 대해 잠재적인 치료 효과가 있으며, 5년 무사건생존율(EFS)은 85~100%로 보고되었다.[52][53][13][14] 30 Gy의 국소 방사선치료를 15회 시행했을 때 독성을 환자가 견딜 수 있는 수준으로 하면서 치료 결과를 최선으로 할 수 있었다.[54][15] 림프종 병변이 잔존하고 림프종에 의한 증상이 있는 경우에는 방사선 치료 외에 리툭시맙 단독 투여나 리툭시맙 병용 화학 요법을 고려할 수 있다.[31]
5. 1. 2. 진행성 병기 (Lugano 4기)
MALT 림프종은 면역요법에 매우 민감하다. 전신으로 병이 퍼진 드문 경우나, 국소 치료에 반응하지 않는 환자에게는 화학요법을 실시한다. CD20에 대한 항체인 리툭시맙은 치료의 핵심 요소이다. 리툭시맙 단독 요법 시 반응률은 55~77%이며, 다른 화학요법과 병용 시 100%에 이른다.[55][56] 안구 MALT 림프종은 병변 내에 리툭시맙을 투여하여 치료할 수 있다.[57]사이클로포스파마이드나 클로람부실과 같은 경구 알킬화 약제는 12개월(중앙값) 동안 투여했을 때 질병 조절에 좋은 효과(완전관해 비율 75%)를 보였으나, t(11;18)이 있는 경우에는 잘 반응하지 않았다.[58] 퓨린 뉴클레오사이드 유사체인 플루다라빈과 클라드리빈 역시 효과를 보였다.[59] 클라드리빈의 경우 소규모 연구 결과 완전관해 비율은 84%였고, 원발 병소가 위였던 경우 100%의 완전관해 비율을 보였다.[60]
리툭시맙과 클로람부실의 병용 요법을 클로람부실 단독 요법과 비교한 연구(IELSG-19 study, n = 227)에서는 전자가 후자에 비해 훨씬 높은 완전관해 비율(78% vs. 65%; p = 0.017)과 5년 무사고생존율(68% vs. 50%; p = 0.024)을 보였다. 그러나 양쪽 군 모두 5년 생존율은 88%로 차이를 보이지 않았다. 일차 치료제는 보통 리툭시맙을 단일 알킬화 약제 또는 플루다라빈과 병용하거나, 세 약물을 모두 사용하는 것이다.[61]
증례 수가 적어 대규모 비교 임상 시험이 어렵기 때문에 각 치료 간의 우열은 명확하지 않지만, 다음과 같은 치료법이 유효하다고 보고되고 있다. 여포 림프종에 준한 치료가 많은 경우 선택되고 있다.[35][36]
5. 2. 위 이외 MALT 림프종
MALT 림프종은 면역요법에 아주 민감하다. 발생 시 전신으로 병이 퍼진 드문 경우나, 국소 치료에 반응하지 않는 환자에게는 화학요법을 실시한다. CD20에 대한 항체인 리툭시맙이 치료에 핵심적이다. 리툭시맙 단일 요법 시 반응 비율은 55~77%이고, 타 화학요법과 병용 시 100%에 이른다.[55][56] 안구 MALT 림프종은 병변 내에 리툭시맙을 투여하여 치료할 수 있다.[57] 사이클로포스파마이드나 클로람부실과 같은 경구 알킬화 약제는 12개월 (중앙값) 동안 투여했을 때 질병 조절에 좋은 효과 (완전관해 비율 75%)를 보였으나 t(11;18)이 있는 경우 잘 반응하지 못했다.[58] 플루다라빈과 클라드리빈 역시 효과를 보였다.[59] 클라드리빈의 경우 소규모 연구 결과 완전관해 비율은 84%였고, 원발 병소가 위였던 경우 100%의 완전관해 비율을 보였다.[60] 리툭시맙과 클로람부실의 병용 요법을 클로람부실 단독 요법과 비교한 연구(IELSG-19 study, n = 227)에서는 전자가 후자에 비해 훨씬 높은 완전관해 비율(78% vs, 65%; p = 0.017)과 5년 무사고생존율(68% vs. 50%; p = 0.024)을 보였다. 그러나 양쪽 군 모두 5년 생존율은 88%로 차이를 보이지 않았다. 일차 치료제는 보통 리툭시맙을 단일 알킬화 약제 또는 플루다라빈과 병용, 내지는 세 약물을 모두 사용하는 것이다.[61]5. 2. 1. 국한성 병기
MALT 림프종의 국한성 병기에는 방사선 치료[37][38], 외과적 절제, 리툭시맙 단독 또는 병용 화학 요법 등이 고려된다. 무증상인 경우에는 신중한 경과 관찰도 선택지가 될 수 있다.[54] 방사선 치료는 국소 제어 효과와 IE, II 1E기 위 MALT 림프종에 대한 잠재적인 치료 효과가 있으며, 후향적 연구에서 5년 무사건생존율(EFS)은 85~100%로 보고되었다.[52][53] 30 Gy의 국소 방사선치료를 15회 시행했을 때 환자가 견딜 수 있는 수준의 독성을 보이면서 최선의 치료 결과를 얻을 수 있었다. 따라서 방사선치료는 항생제 치료가 실패했거나, 항생제 치료의 적응증이 아닌 국소 MALT 림프종의 경우에 선호되는 치료법이다.[54]5. 2. 2. 진행성 병기
MALT 림프종은 면역 치료에 매우 민감하다. 화학요법은 처음 진단 시 질병이 전파되었거나 국소 치료에 반응하지 않는 드문 환자에게 사용된다. 항-CD20 키메라 항체인 리툭시맙은 치료의 핵심 요소이다. 단독 요법의 반응률은 55%에서 77% 사이이며, 화학 요법과 병용 시 100%에 달한다.[16][17] 진행성 병기는 진행성 위 원발과 동일하게 치료한다.6. 역학
MALT 림프종은 전체 림프증식성 장애 중 8%를 차지한다.[62] 원발성 위 MALT 림프종은 림프절 외에 발생하는 비호지킨 림프종 중 가장 흔하며, 전체 림프절 외 림프종의 30~40%가 이에 해당한다. 또한 모든 비호지킨 림프종 중에서는 4~20%, 원발성 위 신생물 중 대략 5%를 차지한다.[63]
원발성 위 MALT 림프종은 여성보다 남성에서 2~3배 자주 발생한다. 발생률이 가장 높은 연령은 50~60대이며, 40세 이상이 되면 발생률이 크게 높아진다.[63]
7. 예후
MALT 림프종은 비교적 예후가 좋은 편이다. 헬리코박터 파일로리(H. pylori) 제균 치료가 성공하면 90% 이상의 장기 생존율을 보이며, 재발 비율은 3%이다.[27] 제균 치료에 실패한 경우에도 림프종이 진행되는 비율은 27%이다.[28] 다만, t(11;18)API2-MALT1 키메라 유전자가 있는 경우에는 제균 성공률이 낮다.[39]
국한기(병이 신체의 한 부분에 국한된 경우)에는 어떤 치료법을 선택하든 5년 전체 생존율은 90%, 10년 생존율은 80%로 양호하다.[37][38] 진행기(병이 신체의 여러 부분으로 퍼진 경우)의 경우, 위에서 발생한 진행기는 5년 생존율이 80%, 10년 생존율은 70% 정도이다.[40]
하지만, 전체의 3%(재발 또는 제균 실패 사례에서는 약 25%)에서 미만성 거대 B세포 림프종으로 악성도가 변화하는 조직학적 진행이 발생하거나,[28] 처음부터 조직에서 미만성 거대 B세포 림프종과 유사한 세포가 보이는 경우에는 치료법과 예후가 이에 준하여 불량해진다.
참조
[1]
논문
Primary non-Hodgkin lymphoma of the stomach: endoscopic pattern and prognosis in low versus high grade malignancy in relation to the MALT concept
1996-10
[2]
서적
Handbook of Gastrointestinal Cancer
John Wiley and Sons Ltd
2012
[3]
논문
Regression of primary low-grade B-cell gastric lymphoma of mucosa-associated lymphoid tissue type after eradication of Helicobacter pylori.
1993-09-04
[4]
논문
"''Helicobacter pylori'' infection and gastric lymphoma."
[5]
논문
Helicobacter pylori CagA: a new paradigm for bacterial carcinogenesis
[6]
웹사이트
MALT Lymphoma
https://www.lecturio[...]
2021-08-10
[7]
논문
Topographic association between active gastritis and Campylobacter pylori colonisation
1989-08
[8]
논문
infection in gastric mucosa-associated lymphoid tissue lymphoma
2014
[9]
논문
Most patients with minimal histological residuals of gastric MALT lymphoma after successful eradication of Helicobacter pylori can be managed safely by a watch and wait strategy: experience from a large international series
2007-12-01
[10]
웹사이트
MALT lymphoma Diagnosis, Staging, Treatment
http://pylori.org/ma[...]
UEG
2015-01-05
[11]
논문
A Novel TRAF6 binding site in MALT1 defines distinct mechanisms of NF-kappaB activation by API2middle dotMALT1 fusions
http://www.jbc.org/c[...]
2007-04
[12]
논문
Resistance of t(11;18) positive gastric mucosa-associated lymphoid tissue lymphoma to Helicobacter pylori eradication therapy
2001-01
[13]
논문
Favorable outcomes of radiotherapy for early-stage mucosa-associated lymphoid tissue lymphoma
2009-02
[14]
논문
Treatment of mucosa-associated lymphoid tissue lymphoma of the stomach with radiation alone
1998-05
[15]
논문
Mucosa-associated lymphoid tissue (MALT) lymphoma of the stomach: results of a controlled clinical trial
2005
[16]
논문
Clinical activity of rituximab in extranodal marginal zone B-cell lymphoma of MALT type
2003-10
[17]
논문
Clinical activity of rituximab in gastric marginal zone non-Hodgkin's lymphoma resistant to or not eligible for anti-Helicobacter pylori therapy
2005-03
[18]
논문
Treatment of MALT lymphoma of the conjunctiva with intralesional rituximab supplemented with autologous serum
https://pubmed.ncbi.[...]
2020-03-24
[19]
논문
Prognostic value of translocation t(11;18) in tumoral response of low-grade gastric lymphoma of mucosa-associated lymphoid tissue type to oral chemotherapy
2005-08
[20]
논문
Fludarabine-containing chemotherapy as frontline treatment of nongastrointestinal mucosa-associated lymphoid tissue lymphoma
2004-05
[21]
논문
Prolonged clinical remission in patients with extranodal marginal zone B-cell lymphoma of the mucosa-associated lymphoid tissue type treated with cladribine: 6 year follow-up of a phase II trial
2006-11
[22]
논문
Addition of rituximab to chlorambucil produces superior event-free survival in the treatment of patients with extranodal marginal-zone B-cell lymphoma: 5-year analysis of the IELSG-19 Randomized Study
2013-02
[23]
논문
MALT lymphoma with t(14;18)(q32;q21)/IGH-MALT1 is characterized by strong cytoplasmic MALT1 and BCL10 expression
2005-02
[24]
서적
Clinical hematology: theory and procedures
Lippincott Williams & Wilkins
[25]
논문
Mucosa-associated lymphoid tissue gastrointestinal and nongastrointestinal lymphoma behavior: analysis of 108 patients.
[26]
논문
Report on a workshop convened to discuss the pathological and staging classifications of gastrointestinal tract lymphoma.
[27]
논문
Long-term clinical outcome of gastric MALT lymphoma after eradication of Helicobacter pylori: a multicentre cohort follow-up study of 420 patients in Japan.
[28]
논문
Long-term persistence of monoclonal B cells after cure of Helicobacter pylori infection and complete histologic remission in gastric mucosa-associated lymphoid tissue B-cell lymphoma.
[29]
논문
H. pylori 感染の診断と治療のガイドライン2009 改訂版
http://www.jshr.jp/p[...]
日本ヘリコバクター学会
2009-03-15
[30]
논문
Chlorambucil versus observation after anti-Helicobacter therapy in gastric MALT lymphomas: results of the international randomised LY03 trial.
[31]
논문
Rituximab for treatment of advanced extranodal marginal zone B cell lymphoma of the mucosa-associated lymphoid tissue lymphoma.
[32]
논문
Localized mucosa-associated lymphoid tissue lymphoma treated with radiation therapy has excellent clinical outcome.
[33]
논문
Long-term results of stomach-conserving therapy in gastric MALT lymphoma.
[34]
논문
Successful antibiotic treatment of Helicobacter pylori negative gastric mucosa associated lymphoid tissue lymphomas.
[35]
논문
Activity of rituximab plus cyclophosphamide, doxorubicin/mitoxantrone, vincristine and prednisone in patients with relapsed MALT lymphoma.
[36]
논문
Marginal zone lymphomas: management of nodal, splenic, and MALT NHL.
[37]
논문
Clinical presentation and management of marginal zone lymphomas.
[38]
논문
Nongastric marginal zone B-cell lymphoma of mucosa-associated lymphoid tissue.
[39]
논문
High incidence of t(11;18)(q21;q21) in Helicobacter pylori-negative gastric MALT lymphoma.
[40]
논문
Mucosa-associated lymphoid tissue lymphoma is a disseminated disease in one third of 158 patients analyzed.
[41]
저널
Primary non-Hodgkin lymphoma of the stomach: endoscopic pattern and prognosis in low versus high grade malignancy in relation to the MALT concept
1996-10
[42]
서적
Handbook of Gastrointestinal Cancer
John Wiley and Sons Ltd
2012
[43]
저널
Helicobacter pylori infection and gastric lymphoma.
[44]
저널
Helicobacter pylori CagA: a new paradigm for bacterial carcinogenesis
[45]
웹인용
MALT Lymphoma
https://www.lecturio[...]
2021-08-10
[46]
저널
Topographic association between active gastritis and Campylobacter pylori colonisation
1989-08
[47]
저널
infection in gastric mucosa-associated lymphoid tissue lymphoma
2014
[48]
저널
Most patients with minimal histological residuals of gastric MALT lymphoma after successful eradication of Helicobacter pylori can be managed safely by a watch and wait strategy: experience from a large international series
2007-12-01
[49]
웹인용
MALT lymphoma Diagnosis, Staging, Treatment
http://pylori.org/ma[...]
UEG
2015-01-05
[50]
저널
A Novel TRAF6 binding site in MALT1 defines distinct mechanisms of NF-kappaB activation by API2middle dotMALT1 fusions
http://www.jbc.org/c[...]
2007-04
[51]
저널
Resistance of t(11;18) positive gastric mucosa-associated lymphoid tissue lymphoma to Helicobacter pylori eradication therapy
2001-01
[52]
저널
Favorable outcomes of radiotherapy for early-stage mucosa-associated lymphoid tissue lymphoma
2009-02
[53]
저널
Treatment of mucosa-associated lymphoid tissue lymphoma of the stomach with radiation alone
1998-05
[54]
저널
Mucosa-associated lymphoid tissue (MALT) lymphoma of the stomach: results of a controlled clinical trial
2005
[55]
저널
Clinical activity of rituximab in extranodal marginal zone B-cell lymphoma of MALT type
2003-10
[56]
저널
Clinical activity of rituximab in gastric marginal zone non-Hodgkin's lymphoma resistant to or not eligible for anti-Helicobacter pylori therapy
2005-03
[57]
저널
Treatment of MALT lymphoma of the conjunctiva with intralesional rituximab supplemented with autologous serum
https://pubmed.ncbi.[...]
2020-03-24
[58]
저널
Prognostic value of translocation t(11;18) in tumoral response of low-grade gastric lymphoma of mucosa-associated lymphoid tissue type to oral chemotherapy
2005-08
[59]
저널
Fludarabine-containing chemotherapy as frontline treatment of nongastrointestinal mucosa-associated lymphoid tissue lymphoma
2004-05
[60]
저널
Prolonged clinical remission in patients with extranodal marginal zone B-cell lymphoma of the mucosa-associated lymphoid tissue type treated with cladribine: 6 year follow-up of a phase II trial
2006-11
[61]
저널
Addition of rituximab to chlorambucil produces superior event-free survival in the treatment of patients with extranodal marginal-zone B-cell lymphoma: 5-year analysis of the IELSG-19 Randomized Study
2013-02
[62]
서적
Clinical hematology: theory and procedures
https://archive.org/[...]
Lippincott Williams & Wilkins
[63]
저널
https://pubmed.ncbi.[...]
본 사이트는 AI가 위키백과와 뉴스 기사,정부 간행물,학술 논문등을 바탕으로 정보를 가공하여 제공하는 백과사전형 서비스입니다.
모든 문서는 AI에 의해 자동 생성되며, CC BY-SA 4.0 라이선스에 따라 이용할 수 있습니다.
하지만, 위키백과나 뉴스 기사 자체에 오류, 부정확한 정보, 또는 가짜 뉴스가 포함될 수 있으며, AI는 이러한 내용을 완벽하게 걸러내지 못할 수 있습니다.
따라서 제공되는 정보에 일부 오류나 편향이 있을 수 있으므로, 중요한 정보는 반드시 다른 출처를 통해 교차 검증하시기 바랍니다.
문의하기 : help@durumis.com
