다지증
"오늘의AI위키"의 AI를 통해 더욱 풍부하고 폭넓은 지식 경험을 누리세요.
1. 개요
다지증은 손가락이나 발가락이 정상 개수보다 많은 선천성 기형으로, 유전자 돌연변이, 시스 조절 요소 돌연변이 등 다양한 유전적 요인에 의해 발생한다. 다지증은 발생 위치에 따라 척골성, 요골성, 중심성으로 분류되며, 다른 기형 동반 여부에 따라 단독형과 증후군형으로 나뉜다. 가장 흔한 증상은 추가 손가락이나 발가락이 나타나는 것이며, 수술적 치료는 기능적, 미용적 문제 발생 시 고려된다. 다지증은 고대부터 기록되었으며, 역사적 인물이나 문학 작품에서 묘사되기도 한다.
더 읽어볼만한 페이지
- 액외 신체 부위 - 사랑니
사랑니는 17~21세 무렵에 맹출하는 세 번째 큰 어금니로, 턱뼈 크기 축소로 매복되어 치주 질환, 충치 등의 문제를 일으킬 수 있어 발치를 고려하기도 한다. - 액외 신체 부위 - 중복자궁
중복자궁은 두 개의 자궁과 자궁경부를 가지는 희귀한 자궁 기형으로, 뮐러관 융합 실패로 발생하며, 월경통, 조산 등의 문제를 일으킬 수 있다. - 상염색체 우성 질환 - 헌팅턴병
헌팅턴병은 헌팅턴 유전자 내 CAG 삼염기 반복 서열의 이상으로 인해 발생하는 진행성 신경퇴행성 질환으로, 운동, 인지, 정신 기능에 다양한 증상을 유발하며, 상염색체 우성 유전 방식으로 유전된다. - 상염색체 우성 질환 - 결절성 경화증
결절성 경화증은 뇌, 피부, 신장, 심장, 폐 등 여러 장기에 양성 종양 및 과오종을 유발하며 발작, 지적 장애, 자폐 스펙트럼 장애, 신장 혈관근종, 림프관평활근종증 등의 증상을 보이는 상염색체 우성 유전 질환으로, 임상적 특징과 유전자 검사를 통해 진단하고 증상 완화 및 합병증 관리를 위한 다학제적 치료가 필요하다. - 선천성 근골격계 질환 - 단지증
단지증은 손가락이나 발가락 뼈 발달 이상으로 손, 발가락이 짧아지는 유전 질환으로, 상염색체 우성 형질로 유전되며 여러 아형이 존재하고, 기능적 문제가 있을 경우 수술로 개선할 수 있다. - 선천성 근골격계 질환 - 고관절 이형성증
고관절 이형성증은 고관절의 비정상적인 발달로 발생하는 질환으로, 유전적 요인과 환경적 요인이 복합적으로 작용하며, 신생아 선별 검사 등을 통해 진단하고 비수술적 또는 수술적 치료를 시행한다.
| 다지증 | |
|---|---|
| 질병 개요 | |
| 이름 | 다지증 |
| 동의어 | 과다지증, 수지과다증, 손가락/발가락 과다증 |
| 진료과 | 의학유전학 |
| 증상 | 추가적인 손가락 또는 발가락 |
| 합병증 | 통증, 낮은 자존감, 서투름 |
| 발병 시기 | 초기 발생 |
| 종류 | 증후군성, 비증후군성: 축전, 축성 또는 중심, 축후 |
| 치료 | 외과 수술 |
| 빈도 | 10,000명당 4 ~ 12명 |
| 어원 | |
| 어원 | 그리스어 'πολύς (polys, 많음)' + 'δάκτυλος (daktylos, 손가락)' |
| 상세 정보 | |
| 설명 | 손이나 발에 정상보다 많은 수의 손가락이나 발가락이 있는 선천적 기형이다. |
| 분류 | 엄지손가락 또는 엄지발가락 쪽에 여분의 숫자가 있는 경우 (방사형 또는 사전 축 다지증) 다섯 번째 손가락 또는 발가락 쪽에 여분의 숫자가 있는 경우 (척골 또는 사후 축 다지증) 가운데 숫자에 여분의 숫자가 있는 경우 (중심 다지증) |
| 원인 | 유전적 요인 환경적 요인 산발적 요인 |
| 유전 | 상염색체 우성 형질 상염색체 열성 형질 X-연관 형질 |
| 진단 | 임신 중 초음파 검사 또는 출생 후 신체 검사를 통해 진단 가능하다. |
| 치료 | 수술적 제거 물리 치료 보조기 |
| 예후 | 수술 후 기능적 결과는 여분의 숫자의 위치와 복잡성에 따라 다르다. 일부 환자는 수술 후에도 통증, 강직 또는 약화를 경험할 수 있다. |
| 사회 문화 | 일부 문화권에서는 다지증을 행운 또는 특별한 능력의 상징으로 여긴다. 다른 문화권에서는 불운이나 낙인으로 여길 수 있다. |
2. 원인
다지증은 유전적 요인과 환경적 요인이 복합적으로 작용하여 발생하는 것으로 알려져 있다.
유전적 요인으로는 특정 유전자(GLI3, SHH 등)의 돌연변이, Hox 유전자 클러스터의 돌연변이, Wnt 신호 전달 경로 또는 Notch 신호 전달 경로 관련 유전자 이상 등이 있다.[19] Hoxd13과 GLI3의 상호 작용은 여분의 손가락과 융합된 손가락의 조합인 융합 다지증을 유발한다. 전축 다지증(헤밍웨이 돌연변이)의 특정 사례에서, SHH 유전자로부터 약 1Mb 상류에 있는 시스 작용 돌연변이가 관련되어 있다.[20] 일반적으로 SHH는 뒷다리 쪽에 있는 분극 활성 영역(ZPA)이라고 하는 조직자 영역에서 발현된다. 거기에서 앞쪽으로, 다리의 성장 방향에 대해 측면으로 확산된다. 돌연변이에서는 새로운 조직자 영역에서 더 작은 엑토픽 발현이 다리의 앞쪽에 보인다. 이러한 엑토픽 발현은 세포 증식을 유발하여 하나 이상의 새로운 손가락에 대한 재료를 제공한다.[20][21][22]
다지증은 단독으로 발생할 수 있으며, 더 일반적으로는 선천적 기형의 증후군의 한 특징으로 나타난다. 단독으로 발생할 경우, 단일 유전자의 상염색체 우성 돌연변이와 관련이 있으며, 다인자 형질이 아니다.[23] 그러나 다양한 유전자의 돌연변이가 다지증을 일으킬 수 있다. 일반적으로 돌연변이된 유전자는 발달 패턴 형성에 관여하며, 다지증이 한두 가지 특징인 선천적 기형 증후군이 발생한다.
환경적 요인으로는 2020년 중국에서 모성 PM10 오염 노출과의 관계를 보여주는 연구에서 출생 전 환경과 관련이 있는 것으로 밝혀졌다.[24]
| OMIM | 유형 | 유전자좌 |
|---|---|---|
| 후축 A1 | GLI3 at 7p13 | |
| 후축 A2 | 13q21-q32 | |
| 후축 A3 | 19p13.2-p13.1 | |
| 후축 A4 | 7q22 | |
| 전축 I | ? | |
| 전축 II | SHH at 7q36 | |
| 전축 III | ? | |
| 전축 IV | GLI3 at 7p13 |
다지증은 진화 발생 생물학적 관점에서 야생형에서는 표현되지 않는 위치에 손가락이나 발가락이 추가로 생기는 현상이다.[33] 이는 다형성의 일종으로, 메인쿤 고양이의 사례를 보면 추가 발가락 수에 발달적 편향이 있음을 알 수 있다. 즉, 추가 발가락이 2개인 경우가 4개인 경우보다 많고, 4개는 6개나 8개보다 많다.[33]
진화 발생 생물학의 관점에서 볼 때, 다지증은 표현형 변이 또는 혁신으로, 야생형에서는 표현형적으로 존재하지 않는 위치에 손가락과 발가락이 생겨난다. 이는 다형성으로 발생하며, 서로 다른 수의 발가락을 가진다. 메인쿤 고양이의 추가 발가락 수 분석 결과, 발가락 수는 발달적 편향을 따르는 것으로 나타났다. 2개의 추가 발가락은 4개보다 훨씬 더 자주 발생하며, 4개는 6개 또는 8개의 추가 발가락보다 더 자주 발생한다.[33] 또한, 진화 발생 생물학 이론에 따르면, 다지증은 유전자 돌연변이만으로는 제대로 설명될 수 없고, 구성적 발달, 즉 복잡한 표현형 산출물을 만들어내는 발달 능력에 의해서만 설명될 수 있다. 발가락의 해당 상징적 생성은 이제 컴퓨터 모델에서 나타낼 수 있다.[34]
나고야 대학과 위스콘신 대학교의 공동 연구에 따르면, 오골계의 손가락은 일반적인 닭보다 한 개 많은 5개이지만, 이 특징이 오골계가 가진 소닉 헤지혹 유전자의 조절 영역에 있는 하나의 유전자 배열(염기 서열)의 변이에서 생겨난다는 것을 알게 되었고, 사람의 다지증도 똑같은 메커니즘으로 발생한다는 것이 밝혀졌다.[88]
3. 분류
과잉된 손가락(발가락)은 흔적, 가는 줄기로 연결된 부유형, 완전한 형태 등 다양하게 나타난다. 인종적으로는 흑인에게서 많이 발생하지만 모든 인종에서 나타나며, 일본인의 경우 손에서는 엄지손가락, 발에서는 다섯 번째 발가락에 주로 발생한다. 브라질에서는 가족 구성원 14명 모두가 다지증인 사례도 있다.[87]
3. 1. 발생 위치에 따른 분류
다지증은 발생 위치에 따라 척골(후축성) 다지증, 요골(전축성) 다지증, 중심성 다지증의 세 가지 주요 유형으로 나눌 수 있다.[6][8]
2019년에는 완전히 기능하는 추가 손가락이 있는 다지증의 경우, 추가 손가락을 제어하는 근육이 중복될 수 있으며, 이로 인해 환자가 일반적으로 두 손으로 수행해야 하는 특정 작업을 한 손으로 수행할 수 있다는 사실이 밝혀졌다.[9][10]
3. 2. 형태에 따른 분류
다지증은 형태에 따라 다음과 같이 분류할 수 있다.

와셀 분류법: 요골 다지증의 가장 널리 사용되는 분류법으로, 골격 중복의 가장 근위부를 기준으로 한다.[37]
중심 다지증의 분류: 중복의 정도에 따라 세 가지 유형으로 나뉜다.
자쪽 다지증의 분류: Temtamy와 McKusick에 따른 자쪽 다지증은 두 가지 또는 세 가지 유형으로 분류된다.
과잉된 손가락(발가락)이 흔적으로 튀어나온 것, 가는 줄기로 매달린 손가락(발가락)이 연결된 것(부유형), 완전한 손가락(발가락)의 형태를 보이는 것 등 다양한 형태가 나타난다.
인종적으로는 흑인에게 많이 나타나지만, 모든 인종에게서 나타나며, 일본인의 경우 손의 경우에는 엄지(엄지손가락), 발의 경우에는 다섯 번째 발가락에 많이 나타난다.
3. 3. 동반 기형 여부에 따른 분류
다지증은 알려진 유전적 결함인 증후군의 일부이거나, 알려지지 않은 유전적 결함과 연관되어 나타날 수 있다. 따라서 선천적으로 팔에 기형이 있는 어린이는 다른 선천성 기형이 있는지 확인하기 위해 유전학자의 검사를 받아야 한다. 가족 중 여러 세대에 걸쳐 다지증이 나타나는 경우에도 유전학적 검사가 필요하다.[88]
2009년 기준으로 97개의 유전 증후군이 다양한 종류의 다지증과 관련되어 있는 것으로 알려져 있다.
다지증과 관련된 증후군은 다음과 같다.
4. 증상
다지증의 가장 흔한 증상은 손가락이나 발가락 수가 정상보다 많은 것이다. 추가 손가락/발가락은 크기, 모양, 기능 면에서 다양하게 나타날 수 있다. 어떤 경우에는 추가 손가락/발가락이 피부 돌기 형태로만 존재하기도 한다. 기능적인 문제가 없는 경우도 있지만, 손이나 발의 기능 저하, 통증, 운동 범위 제한 등이 발생할 수도 있다. 드물게, 추가 손가락이 완전히 기능적인 경우도 보고되었다.[6] 덧붙은 손가락이나 발가락은 대개 제거할 수 있는 부드러운 조직의 작은 조각이다. 드물게 관절이 없는 뼈를 포함하기도 하며, 매우 드물게는 완전하고 기능적인 손가락일 수도 있다. 덧붙은 손가락이나 발가락은 손의 척골(새끼손가락) 쪽에 가장 흔하며, 요골(엄지손가락) 쪽에는 덜 흔하고, 가운데 세 손가락 안에서는 매우 드물게 나타난다.[7]
2019년 연구에서는 완전히 기능하는 추가 손가락을 가진 다지증 환자가, 추가 손가락을 제어하는 근육의 중복 덕분에 특정 작업을 한 손으로 수행할 수 있는 향상된 운동 제어 능력을 보였다는 사실이 밝혀졌다.[9][10]
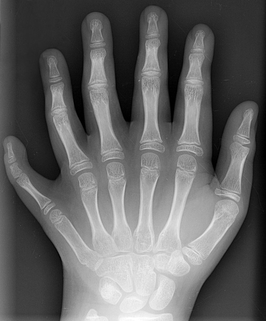
5. 진단
다지증은 육안으로 확인할 수 있으며, X선 촬영을 통해 뼈 구조를 자세히 확인한다.[16] 1961년, 프란츠(Frantz)와 오라힐리(O’Rahilly)는 임상 증상을 유발하는 배아의 결함을 기반으로 사지의 선천적 기형을 7가지 범주로 분류하였고, 1976년 스완슨(Swanson)에 의해 수정되었다.[35][36] 다지증은 이 분류에서 중복 범주에 속한다.[37]
중심 다지증은 중복 정도에 따라 세 가지 유형으로 나뉜다.[17]
- I형: 인접한 손가락에 골성 또는 인대성 부착이 없는 중심 중복. 뼈, 관절, 연골, 힘줄을 포함하지 않는 경우가 많다.
- IIA형: 정상적인 구성 요소를 가진 손가락 또는 손가락 부분의 비합지증 중복. 넓거나 이분된 중수골 또는 지골과 연결된다.
- IIB형: 정상적인 구성 요소를 가진 손가락 또는 손가락 부분의 합지증 중복. 넓거나 이분된 중수골 또는 지골과 연결된다.
- III형: 잘 형성된 중복 중수골을 가진 완전한 손가락 중복.
다지증 유형, 동반 기형 여부, 유전 양상 등을 파악하기 위해 추가적인 검사(염색체 검사, 유전자 검사 등)가 필요할 수 있다. 가족력이 있는 경우, 유전 상담을 받는 것이 좋다.
6. 치료
척골 다지증은 손 기능에 큰 지장을 주지 않지만, 사회적인 이유로 수술을 받는 경우가 많다.[25]
6. 1. 수술적 치료
기능적 문제, 외관상 문제, 통증 등이 있는 경우, 수술적 치료를 고려한다. 수술은 일반적으로 생후 6개월에서 2세 사이에 시행하며, 복잡한 경우에는 더 어린 나이에 시행할 수도 있다. 수술 방법은 다지증의 유형에 따라 다양하며, 추가 손가락/발가락 제거, 인대 재건, 뼈 절제, 피부 이식 등이 포함될 수 있다.[37]척골 다지증의 수술적 치료척골 다지증은 대개 손의 기능에 지장을 주지 않지만, 사회적인 이유로 수술적 치료를 받을 수 있다.[25] Type A 척골 다지증의 치료는 부속 손가락을 제거하는 동시에 안정적이고 기능적인 소지를 유지하는 것을 목표로 하기 때문에 복잡하다. 중복된 근위 지골이 공통적이고 넓은 중수골두와 연결될 때 척골 측부 인대를 고려해야 한다. 공통 관절 또는 여섯 번째 중수골이 있는 경우 소지를 외전시키는 근육(''소지 외전근'')을 보존해야 한다.[37]
- 공통 중수골 관절 환자: 후축 손가락 기저부에 타원형 절개를 한다. 이 절개는 ''소지 외전근''을 적절하게 노출시키기 위해 근위부로 연장될 수 있다. 척골 측부 인대와 ''소지 외전근''의 삽입부는 골막 슬리브로 들어 올려진다. 척골 손가락으로 가는 중복된 신근 및 굴근 건이 절단되고 그 후 손가락은 중수골과의 관절에서 절단된다. 관절면이 넓으면 중수골을 깎을 수 있다. 마지막으로 측부 인대와 ''소지 외전근''은 보존된 근위 지골 기저부에 재삽입되고 재건된 관절에 와이어가 배치된다.
- 중복된 중수골 환자: 부속 손가락은 표준 방사선 방식으로 절단되며 ''소지 외전근''이 유지된 소지로 이전된다.[37]
뼈 구조와 인대 구조가 없는 척골 B형 다지증의 경우, 수술 기법은 중복 정도와 해부학적 구성 요소가 수술적 치료를 안내해야 한다는 점에서 요골 다지증과 유사하다.[37]
- 유경 척골 부가 손가락: 신생아의 피부 연결을 위해 봉합 결찰로 제거할 수 있다. 이것은 아이가 생후 6~12개월일 때 부가 손가락 절제술보다 더 쉬울 수 있다.[37][11] 결찰은 중복된 손가락으로의 혈관 공급을 막아 건조 괴사를 유발하고 그에 따른 자가 절단을 유발한다.[37] 결찰이 부적절하게 수행되면 잔여 융기가 생길 수 있고, 흉터 부위에 신경종이 발생할 수 있다.[11]
- 척골 B형 다지증: 2022년 현재, 뼈 구조가 없는 경우 권장되는 치료법은 수술 절제술 또는 봉합 결찰이다. 결찰의 합병증으로는 감염, 신경종 또는 낭종 형성이 있다.[40]
요골 다지증의 수술적 치료두 개의 엄지 구성 요소 모두 정상적이지 않기 때문에, 어떤 요소를 결합하여 최상의 복합 손가락을 만들지에 대한 결정을 내려야 한다. 가장 저형성된 엄지를 절단하는 대신, 잔여 엄지를 보강하기 위해 피부, 손톱, 측부 인대 및 힘줄의 보존이 필요하다.[41] 수술은 생후 첫 해, 일반적으로 생후 9개월에서 15개월 사이에 권장된다.[37] 수술 옵션은 다지증의 유형에 따라 다릅니다.[42]
- 빌하우트-클로케(Bilhaut-Cloquet) 수술: Wassel 1형 및 2형(두 엄지손가락 모두 심하게 저형성)에 권장된다.[43] 중심 뼈와 연조직의 복합 쐐기 절제를 포함한다. 각 엄지손가락의 측면 조직을 접근하여 수행한다. 목표는 크기와 관련하여 정상적인 엄지손가락을 만드는 것이다.[37] 손톱 바닥의 너비가 반대쪽 엄지손가락의 70%보다 크면 분할할 수 있다.[44][45]
- 측부 인대 재건술: 모든 Wassel형 다지증에 사용되며 가장 일반적으로 사용되는 기술이다. 기능이 저하된 작은 손가락을 동반한 모든 엄지손가락 중복증의 경우에 권장된다. 그렇지 않은 경우, 빌하우트-클로케 수술을 고려할 수 있다. 척측 엄지손가락은 대부분의 경우 더 발달되어 있으므로 보존하는 것이 좋다.[37] 원위부에서 근위부로 요측 측부 인대를 분리하여 골막 소매를 보존할 수 있다.[46] 이러한 방식으로, 요측 손가락의 요측 측부 밴드는 보존된 척측 엄지손가락의 부재된 요측 측부 인대로 기능하게 된다.
- Wassel 4형 중복증: APB(엄지외전근)와 FPB(엄지 굴곡근)의 거상이 수행된다. 이는 골막을 통해 또는 별도로 수행할 수 있다. 힘줄이 근위부에 삽입되므로 거상 또한 근위부에서 수행하여 잠재적으로 척측 엄지손가락의 균형을 다시 잡는다. 요측 엄지손가락을 절단한 후, 척측 요소는 중심화되고 키르쉬너 강선으로 고정된다. 대부분의 경우, 척측 엄지손가락의 골성 부분을 중심화하기 위해 종단 및 시상 골절 절제술이 필요하다. 요측 엄지손가락의 연조직은 보존되었지만, 이제 골막 소매와 함께 척측 엄지손가락의 요측면에 부착된다. 절단된 요측 엄지손가락의 APB와 FPB는 더 많은 안정성을 위해 원위 지골에 부착된다. 필요한 경우, 장무지신근과 장무지굴근은 그들의 경로를 중심화하기 위해 재부착된다.[37]
- Wassel 5형과 6형: 대립무지근을 척측 중수골로 이전해야 한다. 측부 인대 재건술을 통한 연조직은 보존된 엄지손가락에서 각 변형을 피하기 위해 사용된다. 힘줄 중심화도 보정을 위해 자주 사용된다. 그럼에도 불구하고 골성 변형이 있는 경우가 발생할 수 있다. 정렬을 제공하기 위해 골절 절제술을 수행해야 한다. 이 수술은 절단된 엄지손가락에서 얻은 골 이식이 필요할 수 있다.[37]
- 온 탑 성형술(On top plasty): 한쪽 엄지손가락은 몸쪽에 크고 다른 엄지손가락은 먼쪽에 더 큰 부분이 있을 때 적용된다. (이 시술은 처음에는 절단된 손가락을 연장하는 방법으로 설명되었다.) 목표는 덜 저형성된 부분을 결합하여 기능적인 엄지손가락을 만드는 것이다. 온 탑 성형술은 선천성 엄지손가락 중복증 치료에 거의 사용되지 않는다. Wassel 4, 5, 6형에 필요할 수 있다.[37] 중간-몸쪽 손가락뼈 또는 중간-손허리뼈 수준에서 먼쪽 부분이 몸쪽 부분으로 이전된다. 먼쪽 부분의 힘줄은 보존되고 나머지 먼쪽 부분은 절단된다. 먼쪽 부분에 혈관 신경을 공급하는 신경 혈관 다발은 보존되어 몸쪽으로 이전된다.[37]
중심성 다지증의 수술적 치료변형, 예를 들어 각도 성장 변형을 예방하기 위해 조기에 골 절제술과 인대 재건술을 시행해야 한다.[15]
다지증의 경우 표준적인 반대 지그재그 절개를 통해 접근한다. 절개는 부속 손가락 쪽으로 이루어져, 후속 봉합을 위해 추가적인 피부를 보존한다. 중복의 정도와 범위에 따라 굴곡근 및 신전근 힘줄은 중심화 또는 재균형이 필요할 수 있다. 또한 측부 인대를 보존하거나 재건해야 한다. 넓은 관절면은 좁혀야 하며, 축 정렬을 제공하기 위해 지골 쐐기 골 절제술이 필요할 수 있다. 중수골 간 인대를 재건하는 데에도 주의를 기울여야 한다. 또한, 충분한 웹 공간 연조직을 제공하는 것을 염두에 두어야 한다.[37]
7. 합병증
수술 후 발생 가능한 합병증으로는 감염, 출혈, 흉터, 신경 손상, 관절 강직, 성장 장애, 재발 등이 있다. 2014년 연구에 따르면 통증 또는 불안정성으로 인한 전축 다지증의 재수술률은 19%였다.[40]
8. 예후
다지증의 예후는 유형, 중증도, 치료 시기, 수술 방법 등에 따라 다양하다. 기능적인 문제가 없는 경우 예후는 양호하다.[37] 수술적 치료 후에도 기능 회복이 완전하지 않거나, 미용적 문제가 남을 수 있다.[37] 특히 중심성 다지증의 경우, 수술 후에도 굴곡 구축, 각 변형 등의 합병증이 발생하여 이차 수술이 필요한 경우가 많다.[18]
척골 다지증 A형의 경우, 수술적 절제술을 받은 27명의 환자를 대상으로 한 연구에서 감염 형태의 합병증이 단 한 건 관찰되었다.[47] 척골 다지증 B형의 경우, 봉합 결찰술을 시행한 결과 전체 합병증 발생률은 23.5%였다. 여기에는 잔여 부위 압통 또는 용납할 수 없는 융기(16%), 감염(6%), 출혈(1%) 등이 포함된다.[47] 일반적으로 봉합 결찰술은 pedicle 내에 실질적인 인대 또는 골성 구조물이 없는 B형 다지증의 적절한 경우에 적용할 때 안전하고 효과적이다. 부모는 괴사의 진행 과정에 대해 교육받아야 하며, 아이가 생후 6개월 이상이 되면 잔여 조직이나 흉터에 대한 재수술이 필요할 수 있다.[37]
엄지 다지증 수술(Bilhaut-Cloquet 술식)의 장점은 두 개의 형성 부전 엄지를 결합하여 충분한 크기의 엄지를 얻을 수 있다는 것이다. 또한, 측부 인대가 손상되지 않으므로 IP 관절 및 MCP 관절이 매우 안정적이다.[37] 단점은 재건 중 손상이 성장 정지 또는 비대칭 성장을 유발할 수 있다는 것이다. 재건 후 손톱 변형도 발생할 수 있다. 관절은 안정적이지만, 굴곡 제한이 있을 수 있다.[37] 재건된 엄지의 평균 IP 굴곡은 반대쪽 엄지보다 55도 더 적다. MCP 굴곡은 재건된 엄지에서 평균 55도였으며, 이는 반대쪽 엄지의 75도와 비교된다.[42]
On-top plasty 술식의 장점은 재건된 관절이 유연성을 유지하는 경향이 있다는 것이다. 또한, 손톱 바닥과 골단판을 보존하여 시간이 지남에 따라 손톱 기형을 예방하는 데 도움이 된다.[37] 단점은 IP 관절 및 MCP 관절의 불안정성, 그리고 크기 불일치가 발생할 수 있다는 것이다. IP 관절 편위가 15도를 초과하고, MCP 관절 편위가 30도를 초과하며, 검사자의 평가에 따라 엄지손가락 크기가 부적절한 경우 엄지손가락을 용납할 수 없는 것으로 정의한다. 또한, 엄지손가락 크기가 반대쪽 엄지손가락보다 3분의 1 이상 크거나 작은 경우에도 용납할 수 없는 것으로 정의한다.[37]
중심 다지증 치료에 대한 임상 결과 연구는 거의 없다. 타다와 동료들은 중심 다지증의 만족스러운 수술적 교정은 달성하기 어렵고 결과가 일반적으로 좋지 않다고 언급한다. 타다의 연구에서는 12명의 환자를 검토했는데, 모든 환자는 IP 관절 수준에서의 굴곡 구축 및 각도 편차를 해결하기 위해 이차 수술 절차가 필요했다.[18] 중심 다지증 재건의 복잡성에 기여하는 주요 요인에는 형성 부전 관절과 연조직, 복잡한 힘줄 이상 등이 있으며, 이러한 요인들은 재건된 손가락을 관절 구축 및 각 변형에 취약하게 만든다. 따라서 치료는 존재하는 해부학적 구성 요소, 합지증의 정도, 중복된 손가락의 기능에 전적으로 달려 있다.[18]
9. 역사
다지증은 고대부터 알려진 질환이며, 역사적 기록이나 유물에서도 다지증을 가진 사람들에 대한 묘사를 찾아볼 수 있다. 1493년 ''뉘른베르크 연대기''에는 
10. 사회·문화
다지증은 여러 문화권에서 특별한 의미를 지니는 경우가 있다. 일부 문화권에서는 다지증을 가진 사람을 신성하게 여기거나, 특별한 능력을 가진 것으로 보기도 한다. 1493년 ''뉘른베르크 연대기''에는 열두 손가락을 가진 사람의 삽화가 실리기도 했다. 역사적으로 다지증을 가진 유명인으로는 헨리 8세의 왕비 앤 불린, 도요토미 히데요시, 메이저 리그 투수 안토니오 알폰세카 등이 있다.
10. 1. 유명인
- 안토니오 알폰세카: 은퇴한 메이저 리그 베이스볼(MLB) 투수로, 각 사지에 여분의 손가락이 있어 "엘 풀포"(스페인어로 "문어"라는 뜻)라는 별명을 가졌다.[52]
- 아디 엔드레(Endre Ady): 헝가리 시인으로, 여섯 손가락으로 태어났지만 어린 시절에 하나를 제거했다. 그는 나중에 이를 자신의 선택의 징표로 해석했다(고대 헝가리 신념에 따르면, 탈토스는 여섯 손가락과 같이 더 많은 뼈를 가지고 태어난다).
- 브리테스 드 알메이다(Brites de Almeida): 전설적인 포르투갈 여성으로, 알주바호타 전투 이후 오븐에 숨어 있던 일곱 명의 카스티야 병사를 죽였으며, 양손에 여섯 손가락이 있었다.
- 젬마 아터튼(Gemma Arterton): 배우로, 양손에 여섯 손가락으로 태어났으며 출생 후 추가 손가락을 제거했다.[52]
- 로버트 챔버스(Robert Chambers): ''창조의 자연사 유적(Vestiges of the Natural History of Creation)''의 저자로 추정되며, 그의 형제 윌리엄은 각 사지에 여섯 개의 손가락이 있었다.[53]
- 루실 클리프턴(Lucille Clifton): 아프리카계 미국인 시인이자 시민권 운동가.[54]
- 제라 콜번(Zerah Colburn): 미국의 놀라운 수학 계산 천재.[55]
- 차이이즈(Calvin Choy): 홍콩 가수이자 배우로, 오른손에 여섯 개의 손가락이 있어 "원원 경"(Sir One One)이라는 별명을 가지고 있다.[56]
- 다 실바 가문: 브라질 상파울루의 14명은 양손에 여섯 개의 기능적인 손가락(엄지가 두 개)과 양발에 여섯 개의 발가락을 가지고 있다.[57]
- 빈센테 폭스(Vicente Fox): 전 멕시코 대통령은 양발에 여섯 개의 발가락을 가지고 있다.[58]
- 대니 가르시아(Danny Garcia): 권투 챔피언으로, 오른발에 여섯 개의 발가락이 있다.[59]
- 요안드리 에르난데스 가리도(Yoandri Hernández Garrido): ''베인티콰트로''("스페인어로 "24"라는 뜻)라는 별명으로 불리며, 양손에 여섯 개의 완전한 손가락과 양발에 여섯 개의 완벽한 발가락을 가지고 있다.[60]
- 햄프턴 호스(Hampton Hawes): 재즈 피아니스트로, 양손에 여섯 개의 손가락으로 태어났고(추가 손가락은 출생 직후 수술로 제거되었다).[61]
- 경건왕 하인리히 2세(Henry II the Pious): 1238–1241년 폴란드 대공은 왼발에 여섯 개의 발가락을 가지고 있었다.[62]
- 홍홍: 중국 후난성 핑장현에서 태어난 소년은 31개의 손가락과 발가락을 가지고 있다.[63][64]
- 카마니 허바드(Kamani Hubbard): 캘리포니아의 소년은 2009년에 다지증 희귀 사례로 태어났으며, 12개의 손가락과 12개의 발가락을 모두 갖추고 있으며, 모두 기능한다.[65]
- 요한 야콥 프라이헤르 폰 모스콘(Johann Jacob Freiherr von Moscon, 1621–1661): 하부 슈티리아 남작으로, 슬로베니아 브레지체의 초상화에서 왼손에 여섯 개의 손가락이 묘사되어 있다.
- 장칭(Jiang Qing): 마오쩌둥의 네 번째 부인으로, 오른발에 여섯 개의 발가락이 있었다고 한다.[66]
- 리틱 로샨(Hrithik Roshan): 볼리우드 배우로, 오른손에 과잉 손가락이 달려 태어났다.[67]
- 나얀타라(Nayanthara): 인도 여배우로, 왼손에 미발달된 손가락이 있다.
- J. J. 위버(J. J. Weaver): 미국의 대학 미식축구 라인배커로, 오른손에 여섯 개의 손가락이 있다.[68]
- 아크샤트 사크세나(Akshat Saxena): 인도 우타르프라데시 출신으로, 가장 많은 손가락 수를 가진 세계 기록 보유자이다. 2010년에 양손에 각각 7개의 손가락, 양발에 각각 10개의 발가락을 가지고 태어나 총 34개의 손가락을 가지고 있었다.[69]
- 가필드 소버스(Garfield Sobers): 서인도 제도 크리켓 선수로, 어린 시절에 "고양이 꼬리와 날카로운 칼의 도움"을 받아 양손에 여분의 손가락을 제거했다.[70]
- 시어도어 루스벨트 "하운드 독" 테일러(Theodore Roosevelt "Hound Dog" Taylor): 시카고 출신의 미국 블루스 기타리스트로, 양손에 다지증으로 태어났지만, 약 41세 경에 오른손의 여분의 손가락을 제거했다.[71]
- 바라락시미 V(Varalakshmi V): 방갈로르 출신의 소녀로, 양손에 각각 8개의 손가락과 양발에 각각 4~5개의 여분의 발가락이 있다.[72]
- 볼카티우스 세디기투스(Volcacius Sedigitus): 1세기 로마 시인으로, 플리니우스(Pliny)에 따르면, 양손에 여섯 개의 손가락으로 태어났기 때문에 "식스핑거"(Sixfinger)를 의미하는 그의 별명을 받았을 가능성이 높다.[73]
- 주윤명(Zhu Yunming): 중국 서예가는 오른손에 여섯 개의 손가락이 있었다.
- 레지 B(Reggy B): 드래그 레이스 홀랜드(Drag Race Holland) 시즌 2의 드래그 퀸이자 참가자로, 왼손에 여분의 엄지, 한 발에 3개의 여분의 발가락, 다른 발에 2개의 여분의 발가락을 가지고 태어났으며, 어린 나이에 수술로 제거되었다고 밝혔다.
- 도요토미 히데요시: 오른손 엄지손가락이 두 개였다고 루이스 프로이스, 마에다 도시이에[89], 강항[90]이 기록하고 있다.
- 주윤명 (명나라 시인, 서예가): 손가락이 6개였다. 호인 '지산'은 이것에서 유래했다[91]。
- 헨리크 2세 (폴란드 대공): 왼발에 발가락이 6개 있었다. 이 사실은 1832년 관이 열렸을 때 확인되었다.
- 앤 불린 (헨리 8세의 왕비): 손가락이 6개였다고 한다. 하지만 실제로는 오른손의 새끼손가락에 덩어리와 손톱 2개가 있었다는 점에서 다지증이었을 것으로 추측된다.
- 안토니오 알폰세카: 양손과 양발에 모두 손가락이 6개였으며, "six fingers"라는 별명도 있었다.
- 주세페 타르티니 (작곡가・바이올리니스트): 왼손에 손가락이 6개였다고 한다.
- 장칭: 마오쩌둥의 4번째 부인으로, 오른발에 손가락이 6개였다고 한다.
- 하운드 독 테일러: 블루스 뮤지션으로, 왼손 새끼손가락 바깥쪽에 손가락이 하나 더 있었지만, 기타를 치는 데 방해가 되었다고 한다 (진위 불명).
- 햄프턴 호스: 양손에 손가락이 6개씩 있었지만, 태어난 직후 수술로 절단했다.
- 젬마 아터튼: 태어날 때부터 양손에 손가락이 6개였지만, 수술로 절단했다.
- 채이즈: 홍콩의 그룹 가수로, 오른손 엄지손가락이 두 개로 갈라져 있다.
- 시드 윌슨 (슬립낫): 태어났을 때는 손가락이 6개였지만, 수술로 현재는 5개이다.
- 리티크 로샨: 인도의 배우로, 오른손 엄지손가락이 두 개로 갈라져 있다.
- 호소야 요시마사: 일본의 성우로, 태어났을 때는 오른손에 손가락이 6개였지만, 유년기에 수술로 절단했다.
- 요시즈미 에리카: 일본의 아이돌, 성우로, 태어났을 때는 오른손에 손가락이 6개였지만, 유년기에 수술로 절단했다.
- 다카요시 마사마: 일본의 축구 선수로, 발에 손가락이 6개 있었다.
- 가드의 키가 큰 사람(본명 불상): 성경의 사무엘기하 21장 19절과 역대기상 20장 6절에 나오는 인물로 "그의 손가락과 발가락이 각각 여섯 개씩 모두 스물네 개였다."라고 한다. 블레셋 도시 가드 출신으로, 블레셋과 이스라엘 간의 전쟁에서 다윗의 형제 시므아의 아들 요나단에게 쓰러졌다.
분류:다지증 환자
10. 2. 문학 및 예술 작품
- 양들의 침묵에서 한니발 렉터는 왼손에 중지 중복 다지증(중복된 가운데 손가락)이 있는 것으로 묘사되며, 이후 그는 변장을 위한 성형 수술의 일환으로 ''한니발''에서 이를 제거한다.
- 만화 시리즈 ''중력 폭포''의 스탠포드 파인스(그런클 포드)는 양손에 여섯 손가락을 가지고 있는데, 이는 쇼의 신화에서 그를 식별하는 특징이기도 하다. 그는 자신의 저널 표지에 상징적인 금색 세부 사항을 만들기 위해 오른손의 트레이싱을 사용한다.
- ''공주 신부''의 등장인물인 티론 루겐 백작은 여러 번 "여섯 손가락의 남자"로 묘사된다.
- 만화 시리즈 ''베르세르크''의 적대자인 보이드(Void)는 양손에 여섯 손가락이 있다.
- ''도둑과 구두장이''의 적대자인 지그재그는 양손에 여섯 손가락이 있었다.
- ''어드벤처 타임''의 캐릭터 빌리는 양손에 여섯 손가락이 있었다.
- 비주얼 노벨 ''괭이갈매기 울 적에''의 우시로미야 가문의 수장인 우시로미야 킨조는 양발에 여섯 개의 발가락이 있었다. 이전의 많은 우시로미야 가문의 수장들 중에서 다지증이 있는 사람들은 그들의 지혜로 알려져 있었다.
- ''좋든 싫든''에서 리아 니콜스는 양손에 6개의 손가락을 가지고 태어났다.[74]
- ''가타카''에서 라이언 도린은 콘서트가 끝날 때 관객에게 장갑을 던지는, 양손에 여섯 손가락을 가진 피아니스트를 연기한다.
참조
[1]
논문
Polydactyly.
https://www.ncbi.nlm[...]
2024-01
[2]
논문
Polydactyly: how many disorders and how many genes
https://zenodo.org/r[...]
[3]
웹사이트
Polydactyly (Extra Fingers or Toes) and Corrective Surgery {{!}} HSS
https://www.hss.edu/[...]
2024-12-17
[4]
논문
A review of polydactyly and its inheritance: Connecting the dots.
2022-12-16
[5]
사전
''Polydactyly'' Etymology
http://etymonline.co[...]
2016-02-13
[6]
논문
New Notations for Better Morphological Distinction of Postaxial Polydactyly of the Foot
2022-11-03
[7]
웹사이트
Polydactyly (Extra Fingers)
http://www.eatonhand[...]
2010-02-09
[8]
논문
Polydactyly of the foot: an analysis of 265 cases and a morphological classification
https://pubmed.ncbi.[...]
1992-05-01
[9]
웹사이트
Six fingers per hand: A congenital additional finger brings motor advantages — Bernstein Center Freiburg
https://www.bcf.uni-[...]
2022-11-16
[10]
웹사이트
Six fingers per hand — Office of University and Science Communications
https://kommunikatio[...]
2022-11-16
[11]
논문
Congenital malformations of the hand and forearm
2002-01
[12]
논문
Ulnar Polydactyly
2001-05
[13]
서적
Campbell's Operative Orthopaedics
[14]
서적
Handbook of genetic counseling/polydactyly and syndactyly
http://en.wikibooks.[...]
[15]
웹사이트
Summary of most common syndromes with concomitant polydactyly
http://www.orthobull[...]
[16]
웹사이트
Pictures of Extra Fingers
http://www.erasmusmc[...]
[17]
논문
Finger polydactyly
[18]
논문
Central polydactyly—A review of 12 cases and their surgical treatment
1982-09
[19]
간행물
[20]
논문
A long-range Shh enhancer regulates expression in the developing limb and fin and is associated with preaxial polydactyly
https://lirias.kuleu[...]
[21]
논문
Point mutations in a distant sonic hedgehog cis-regulator generate a variable regulatory output responsible for preaxial polydactyly
[22]
논문
Opposing functions of the ETS factor family define SHH spatial expression in limb buds and underlie polydactyly
[23]
웹사이트
Polydactyly and Syndactyly
http://www.hmc.psu.e[...]
Milton S. Hershey Medical Center
2010-02-09
[24]
논문
Association between maternal exposure to PM10 and polydactyly and syndactyly: A population-based case-control study in Liaoning province, China
2020-08-01
[25]
논문
Polydactyly
[26]
문서
Supernumerary Digit
[27]
논문
Polydactylie
https://www.ntvg.nl/[...]
1990-01-27
[28]
논문
Bardet-Biedl syndrome: a rare case report from North India
[29]
논문
Meckel-Gruber syndrome: Report of two cases
[30]
서적
Pallister-Hall Syndrome
[31]
논문
Legius syndrome in fourteen families
[32]
논문
Holt-Oram syndrome with associated postaxial and central polydactyly. Further evidence for genetic heterogeneity in the Holt-Oram syndrome
[33]
간행물
[34]
간행물
[35]
논문
Congenital Skeletal Limb Deficiencies
1961-12
[36]
논문
A classification for congenital limb malformations
[37]
논문
Duplication
[38]
논문
The genetics of hand malformations
[39]
논문
Postaxial type B polydactyly treated by excision in the neonatal nursery
[40]
논문
Supernumerary Digit
http://www.ncbi.nlm.[...]
StatPearls Publishing
2022
[41]
논문
Treatment of preaxial polydactyly
[42]
논문
Bilhaut-Cloquet procedure for Wassel types III, IV and VII thumb duplication
[43]
논문
Guérison d'un pouce bifide par un nouveau procédé opératoire
[44]
논문
Duplication of the thumb. A retrospective review of two hundred and thirty-seven cases
1983-06
[45]
논문
Management of Thumb Duplication
https://journals.lww[...]
1985-05
[46]
논문
Treatment of duplicated thumb using a ligamentous/periosteal flap
1989-07
[47]
논문
Ulnar polydactyly
[48]
논문
Postaxial type-B polydactyly
[49]
논문
Clinical Genetics of Polydactyly: An Updated Review
2018-11-06
[50]
웹사이트
Polydactyly
http://www.pennmedic[...]
University of Pennsylvania
2021-12-11
[51]
논문
Radial Polydactyly. What's New?
2018-08-21
[52]
웹사이트
'Gemma Arterton's Delicious Extra Fingers - Friday Night with Jonathan Ross - BBC One
https://www.youtube.[...]
[53]
논문
Polydactyly in Development, Inheritance, and Evolution
2017-03-01
[54]
뉴스
Views of Life, Straightforward and Spare
https://www.nytimes.[...]
2020-01-15
[55]
서적
A Memoir of Zerah Colburn
https://archive.org/[...]
G. and C. Merriam
[56]
웹사이트
一山還有一山高 蔡一智遇十二指叔叔嗌勁
https://hk.on.cc/hk/[...]
2018-03-11
[57]
웹사이트
Fourteen members of the same family have all got 12 fingers and toes - and put them to good use
https://www.mirror.c[...]
2015-09-16
[58]
웹사이트
Foto revela que Vicente Fox tendría 6 dedos en cada pie
https://www.sdpnotic[...]
2022-06-04
[59]
웹사이트
Boxing Champ Danny Garcia Reveals He Has 6 Toes on Right Foot
https://bleacherrepo[...]
2020-01-15
[60]
웹사이트
Interview Exclusive – Yoandri Hernandez Garrido – 24 fingers
https://www.youtube.[...]
Cubastyletv
2013-01-18
[61]
웹사이트
Hamptom Hawes And The Fire Inside
http://www.jazzscrip[...]
JazzScript
2010-02-09
[62]
서적
Mowia, wieki: magazyn historyczny
https://books.google[...]
Państwowe Zakłady Wydawn Szkolnych
[63]
웹사이트
Chinese boy born with 31 fingers and toes
http://www.ksl.com/?[...]
CNN
2016-05-04
[64]
뉴스
Baby Born With 31 Fingers And Toes In China
https://www.huffingt[...]
2016-05-05
[65]
뉴스
Baby born with 12 fingers, 12 toes
https://abc7news.com[...]
ABC7 News
2020-07-17
[66]
서적
The Private Life of Chairman Mao
https://archive.org/[...]
Random House
[67]
웹사이트
Famous people with congenital hand anomalies
https://wiki.nus.edu[...]
2020-01-15
[68]
웹사이트
Kentucky’s win over Florida ‘closed a chapter’ for J.J. Weaver: ‘It was like he was healed’
https://theathletic.[...]
2024-07-25
[69]
뉴스
Akshat Saxena sets Guinness record for most fingers, toes
http://www.cbsnews.c[...]
2016-02-13
[70]
서적
Garry Sobers: My Autobiography
Headline Book Publishing
2002-05-01
[71]
웹사이트
Hound Dog Taylor – Everyone Knows the Hound
http://www.tdblues.c[...]
[72]
웹사이트
Hope for Bangalore girl with 27 fingers and toes
http://www.ndtv.com/[...]
2010-09-04
[73]
문서
Natural History
Pliny the Elder
[74]
웹사이트
Wednesday, July 2, 1986
https://fborfw.com/s[...]
1986-07-02
[75]
웹사이트
Congenital and Inherited Anomalies of the Musculoskeletal System in Multiple Species
https://www.merckvet[...]
Merck Sharp & Dohme Corp.
2018-04-08
[76]
웹사이트
Chicken Feet
https://extension.il[...]
University of Illinois Board of Trustees
2017-04-04
[77]
간행물
Five-toed chickens: their origin, genetics, geographical spreading and history
http://www.summagall[...]
[78]
웹사이트
Polydactyly in Guinea Pigs
http://animals.mom.m[...]
Whalerock Digital Media, LLC
2018-04-08
[79]
간행물
Polydactyly in Mice
1950-03
[80]
간행물
Canine Polydactyl Mutations With Heterogeneous Origin in the Conserved Intronic Sequence of LMBR1
2008-08
[81]
간행물
ESCRT-II/Vps25 Constrains Digit Number by Endosome-Mediated Selective Modulation of FGF-SHH Signaling
2014-10
[82]
간행물
Polydactyly in the Central Pacific Gecko, Lepidodactylus sp. (Squamata: Gekkonidae)
http://herpetologyno[...]
2018-04-09
[83]
간행물
Some Albino Reptiles and Polydactylous Frogs
1958
[84]
간행물
"Ichthyosauria: their diversity, distribution, and phylogeny"
[85]
문서
Ornithologiae
Ulisse Aldrovandi
[86]
서적
Pazazz: The Impact and Resonance of White Clothing
[87]
뉴스
ブラジルの6本指家族、母国代表6度目のW杯優勝に向け応援
https://jp.reuters.c[...]
Reuters
2014-06-23
[88]
웹사이트
中国3000年の歴史 烏骨鶏の謎解明-遺伝子疾患の解明や漢方薬、畜産分野への応用に期待-
https://www.nagoya-u[...]
名古屋大学
[89]
서적
安土桃山時代史論
仁友社
[90]
서적
秀吉の出自と出世伝説
洋泉社
[91]
서적
元明詩概説
[92]
웹사이트
Marilyn did NOT have six toes on one foot!
http://marilynmonroe[...]
본 사이트는 AI가 위키백과와 뉴스 기사,정부 간행물,학술 논문등을 바탕으로 정보를 가공하여 제공하는 백과사전형 서비스입니다.
모든 문서는 AI에 의해 자동 생성되며, CC BY-SA 4.0 라이선스에 따라 이용할 수 있습니다.
하지만, 위키백과나 뉴스 기사 자체에 오류, 부정확한 정보, 또는 가짜 뉴스가 포함될 수 있으며, AI는 이러한 내용을 완벽하게 걸러내지 못할 수 있습니다.
따라서 제공되는 정보에 일부 오류나 편향이 있을 수 있으므로, 중요한 정보는 반드시 다른 출처를 통해 교차 검증하시기 바랍니다.
문의하기 : help@durumis.com