피부계
"오늘의AI위키"의 AI를 통해 더욱 풍부하고 폭넓은 지식 경험을 누리세요.
1. 개요
피부계는 피부와 피부 부속 기관으로 구성되며, 신체의 가장 큰 기관 중 하나로 체중의 약 12~15%를 차지한다. 피부는 표피와 진피로 이루어져 있으며, 털, 손발톱, 땀샘, 피지선 등의 부속 기관을 갖는다. 피부는 외부 자극으로부터 신체를 보호하고, 체온 조절, 비타민 D 합성, 감각 기능 등 다양한 역할을 수행하며, 항상성 유지에 기여한다. 피부계에는 피부염, 감염, 종양 등 다양한 질환이 발생할 수 있으며, 피부의 외관은 다른 장기의 장애를 나타내는 단서가 되기도 한다. 피부계를 연구하는 의학 분야는 피부과학이다.
더 읽어볼만한 페이지
| 피부계 |
|---|
2. 구성
외피계는 크게 피부와 피부 부속 기관으로 구성된다.
피부는 신체에서 가장 큰 기관 중 하나로, 인간의 경우 전체 체중의 약 12~15%를 차지하며, 1.5~2 m2의 표면적을 덮고 있다.[1]
피부(integument)는 표피와 진피의 최소 두 개의 주요 조직층으로 구성된 복합적인 기관이다.[2] 표피는 가장 바깥층으로 외부 환경에 대한 최초의 장벽을 제공하며, 기저막(기저판 및 그물판)에 의해 진피와 분리된다. 표피에는 멜라닌 세포가 있어 피부색을 결정하며, 가장 깊은 층에는 신경 종말도 있다. 진피는 표피 아래에 위치하며 유두층과 망상층의 두 부분으로 구성된다. 진피에는 결합 조직, 혈관, 샘, 모낭, 모근, 감각 신경 종말, 근육 조직 등이 있다.[3]
피부와 깊은 신체 근육 사이에는 매우 느슨한 결합 조직과 지방 조직으로 구성된 피하 구역인 피하지방이 있다. 콜라겐 다발은 진피를 피하지방에 고정시켜 피부가 더 깊은 조직층 위에서 자유롭게 움직일 수 있도록 한다.[4]
피부 부속 기관에는 털, 손발톱, 땀샘, 피지선 등이 있다.
털털은 모낭에서 생성되며, 체온 유지, 감각, 보호 등의 기능을 한다.
손발톱손발톱은 손가락과 발가락 끝을 보호하고, 물건을 잡거나 조작하는 데 도움을 준다.
땀샘땀샘은 땀을 분비하여 체온 조절 기능을 하는 피부 부속기이다. 땀샘에는 에크린 땀샘과 아포크린 땀샘 두 종류가 있다.
피지샘피지샘은 피부에 있는 샘으로, 피지를 분비하여 피부와 털을 윤활하게 하고, 수분 증발을 막는 역할을 한다.
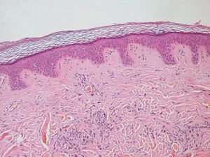
2. 1. 피부
피부는 신체에서 가장 큰 기관 중 하나로, 인간의 경우 전체 체중의 약 12~15%를 차지하며, 1.5~2 m2의 표면적을 덮고 있다.[1]피부(integument)는 표피와 진피의 최소 두 개의 주요 조직층으로 구성된 복합적인 기관이다.[2] 표피는 가장 바깥층으로 외부 환경에 대한 최초의 장벽을 제공하며, 기저막(기저판 및 그물판)에 의해 진피와 분리된다. 표피에는 멜라닌 세포가 있어 피부색을 결정하며, 가장 깊은 층에는 신경 종말도 있다. 진피는 표피 아래에 위치하며 유두층과 망상층의 두 부분으로 구성된다. 진피에는 결합 조직, 혈관, 샘, 모낭, 모근, 감각 신경 종말, 근육 조직 등이 있다.[3]
피부와 깊은 신체 근육 사이에는 매우 느슨한 결합 조직과 지방 조직으로 구성된 피하 구역인 피하지방이 있다. 콜라겐 다발은 진피를 피하지방에 고정시켜 피부가 더 깊은 조직층 위에서 자유롭게 움직일 수 있도록 한다.[4]
2. 1. 1. 표피 (상피)
표피는 외부 환경으로부터의 첫 번째 방어선 역할을 하는 강하고 표면적인 층이다. 인간의 표피는 중층 편평 상피 세포로 구성되어 있으며, 이는 다시 각질층, 과립층, 유극층 및 기저층의 4~5개의 층으로 나뉜다. 손바닥과 발바닥과 같이 피부가 두꺼운 부위에는 각질층과 과립층 사이에 투명층이라고 하는 피부의 추가 층이 있다. 표피는 기저층에서 발견되는 줄기 세포에서 재생되어 각질층으로 발달한다. 표피 자체에는 혈액 공급이 없으며, 아래의 진피에서 영양분을 공급받는다.[7]
주요 기능은 보호, 영양분 흡수 및 항상성이다. 구조적으로는 각질화된 중층 편평 상피로 구성되며, 4가지 유형의 세포, 즉 각질 세포, 멜라닌 세포, 머켈 세포, 그리고 랑게르한스 세포로 구성된다.
주요 세포인 각질 세포는 피부 보호에 도움이 되는 섬유 단백질인 케라틴을 생성하며, 지질을 만들고 분비하여 표피의 수분 장벽을 형성하는 역할을 한다.[5] 인간 신체의 대부분의 피부는 각질화되어 있으며, 입안과 같은 점막의 내벽은 예외이다. 비각질화 세포는 물이 구조 위에 "머물도록" 한다.
단백질 케라틴은 표피 조직을 굳혀 손톱을 형성한다. 손톱은 매주 평균 1mm 속도로 손톱 기질이라고 하는 얇은 부위에서 자란다. 반달은 손톱 기저부의 초승달 모양 부위로, 기질 세포와 섞여 색이 더 밝다. 손톱을 가진 동물은 영장류뿐이다. 다른 척추동물에서는 각 발가락 끝의 각질화 시스템이 발톱 또는 발굽을 생성한다.[2]
척추동물의 표피는 표피 자체에서 생성되는 두 가지 종류의 덮개로 둘러싸여 있다. 어류와 수생 양서류에서는 끊임없이 교체되는 얇은 점액 층이다. 육상 척추동물에서는 각질층(죽은 각질화 세포)이다. 표피는 모든 척추동물에서 어느 정도 선(腺)이지만, 어류와 양서류에서 더 그렇다. 다세포 표피선은 진피를 관통하며, 이곳에서 혈관 모세혈관으로 둘러싸여 영양분을 공급하고, 내분비선의 경우 생산물을 운반한다.[6]
2. 1. 2. 진피
진피는 표피를 지지하는 기저 결합 조직층이다. 이것은 조밀한 불규칙 결합 조직과 성긴 결합 조직으로 구성되며, 엘라스틴과 함께 흩어져 묶이고 짜여진 패턴으로 배열된 콜라겐과 같은 조직을 포함한다.진피는 유두 진피와 망상층의 두 층으로 구성된다. 유두층은 표피(진피 유두)로 손가락 모양의 돌기를 형성하는 얕은 층이며,[7] 혈관이 풍부한 성긴 결합 조직으로 구성된다. 망상층은 진피의 깊은 층이며 조밀한 불규칙 결합 조직으로 구성된다. 이 층들은 피부에 탄성을 부여하여 신축성과 유연성을 제공하는 동시에 뒤틀림, 주름 및 처짐을 방지한다.[3] 진피층은 혈관과 신경의 종말 부위를 제공한다. 많은 색소 세포는 이 층에 저장되어 있으며, 털, 깃털, 샘과 같은 피부 구조의 기저부도 마찬가지이다.
2. 1. 3. 피하조직
'''피하조직'''(Subcutaneous tissue)은 피부 아래에 있는 층으로, 피하지방이라고도 한다. 진피 안으로 함입되며, 바로 위에 있는 진피에 콜라겐과 엘라스틴 섬유에 의해 부착된다. 본질적으로 지방을 축적하고 저장하는 데 특화된 지방 세포로 구성된다. 이러한 세포들은 결합 조직에 의해 분리된 소엽으로 함께 묶여 있다.피하지방은 에너지 저장고 역할을 한다. 지방 세포에 포함된 지방은 격렬한 활동 중이거나 에너지 제공 물질이 부족할 때 정맥 경로를 통해 다시 순환될 수 있으며, 이후 에너지로 변환된다. 피하지방은 지방이 열 절연체이므로 체온 조절에 관여한다.
2. 2. 피부 부속 기관
피부 부속 기관에는 털, 손발톱, 땀샘, 피지선 등이 있다.털털은 모낭에서 생성되며, 체온 유지, 감각, 보호 등의 기능을 한다.
손발톱손발톱은 손가락과 발가락 끝을 보호하고, 물건을 잡거나 조작하는 데 도움을 준다.
땀샘땀샘은 땀을 분비하여 체온 조절 기능을 하는 피부 부속기이다. 땀샘에는 에크린 땀샘과 아포크린 땀샘 두 종류가 있다.
피지샘피지샘은 피부에 있는 샘으로, 피지를 분비하여 피부와 털을 윤활하게 하고, 수분 증발을 막는 역할을 한다.
2. 2. 1. 털
털은 모낭에서 생성되며, 체온 유지, 감각, 보호 등의 기능을 한다.2. 2. 2. 손발톱
손발톱은 손가락과 발가락 끝을 보호하고, 물건을 잡거나 조작하는 데 도움을 준다.2. 2. 3. 땀샘
땀샘은 땀을 분비하여 체온 조절 기능을 하는 피부 부속기이다. 땀샘에는 에크린 땀샘과 아포크린 땀샘 두 종류가 있다.2. 2. 4. 피지샘
피지샘은 피부에 있는 샘으로, 피지를 분비하여 피부와 털을 윤활하게 하고, 수분 증발을 막는 역할을 한다.3. 기능
피부계는 신체의 평형 유지에 여러 역할을 한다.[8][9] 모든 신체 계통은 신체의 기능에 필수적인 내부 상태를 유지하기 위해 상호 연결된 방식으로 작동한다. 피부는 신체를 보호하는 중요한 역할을 하며 감염, 온도 변화 및 항상성에 대한 기타 문제에 대한 신체의 첫 번째 방어선 역할을 한다.[8][9]
주요 기능은 다음과 같다.
- 외부의 생체 교란인자로부터 아래에 위치한 조직을 보호한다.
- 피부에 있는 외부비선으로 염과 물, 유기물질을 방출한다.
- 단열, 증발로서 몸의 온도를 유지한다.
- 비타민 D3의 합성과 칼시트리올(칼슘 대사에 중요한 호르몬)의 전구물질을 합성한다.
- 진피의 지방세포와 피하조직에 있는 지방조직에 지방을 저장한다.
- 촉각, 압각, 통각, 온도 자극을 감지해서 신경계로 정보를 전달한다.
- 감염성 유기체의 침입으로부터 보호한다.
- 탈수로부터 신체 보호한다.
- 갑작스러운 변화로부터 신체 보호, 항상성 유지한다.
- 배설을 통해 노폐물 배설을 돕는다.
- 멜라닌 분비로 일광 화상으로부터 신체 보호한다.
- 자외선 빛 노출을 통해 비타민 D 생성한다.
- 물, 지방, 포도당, 비타민 D를 저장한다.
- 신체 형태를 유지한다.
- 작은 부상을 복구하기 위해 기저층에서 새로운 세포를 형성한다.
- UV 광선으로부터 보호한다.
- 체온을 조절한다.
- 유기체를 주변 환경과 구별하고 분리하며 보호한다.
수생 또는 지속적으로 습한 서식지에 사는 소형 무척추동물은 외피(피부)를 사용하여 호흡한다. 가스가 단순히 조직액 안팎으로 확산되는 이 가스 교환 시스템을 '''피부 호흡'''이라고 한다.
4. 질환
피부계에는 다양한 질환이 발생할 수 있다.
발진, 무좀, 일광 화상과 같은 질환도 발생할 수 있다. 헤르페스, 구순포진, 농가진, 풍진, 주사 (피부병), 습진 등도 피부계 질환에 해당한다.
5. 임상적 중요성
피부는 가장 눈에 잘 띄는 기관이기 때문에, 피부의 외관 또는 징후는 피부병뿐만 아니라 간과 같은 다른 장기의 장애에 대한 중요한 단서를 제공한다. 피부는 방사선 노출, 외상, 전염병 및 유해 화학 물질로 인해 가장 손상되기 쉬운 기관이기도 하다.
인간 피부계에 발생 가능한 질병 및 부상은 다음과 같다.
피부계를 다루는 의학 분야를 피부과학이라고 한다.
6. 한국의 외피계 연구
7. 기타
피부계를 다루는 의학 분야를 피부과학이라고 한다.
피부는 가장 눈에 잘 띄는 기관이기 때문에, 피부의 외관 또는 징후는 피부병뿐만 아니라 간과 같은 다른 장기의 장애에 대한 중요한 단서를 제공한다. 피부는 방사선 노출, 외상, 전염병 및 유해 화학 물질로 인해 가장 손상되기 쉬운 기관이기도 하다.
참조
[1]
서적
Fundamentals of anatomy & physiology
Pearson/Benjamin Cummings
2009
[2]
서적
Vertebrates : comparative anatomy, function, evolution
2019
[3]
웹사이트
The Ageing Skin – Part 1 – Structure of Skin
http://pharmaxchange[...]
2011-03-04
[4]
웹사이트
Integument
http://www.anatomyon[...]
Amirsys, Inc
2012-09-28
[5]
서적
StatPearls
https://www.ncbi.nlm[...]
StatPearls Publishing
[6]
간행물
Integument and the Environment Glandular Composition, Function, and Evolution
https://academic.oup[...]
1972-02-01
[7]
서적
StatPearls
https://www.ncbi.nlm[...]
StatPearls Publishing
[8]
문서
Integumentary+System
[9]
서적
Human Anatomy & Physiology
https://archive.org/[...]
Pearson Benjamin Cummings
본 사이트는 AI가 위키백과와 뉴스 기사,정부 간행물,학술 논문등을 바탕으로 정보를 가공하여 제공하는 백과사전형 서비스입니다.
모든 문서는 AI에 의해 자동 생성되며, CC BY-SA 4.0 라이선스에 따라 이용할 수 있습니다.
하지만, 위키백과나 뉴스 기사 자체에 오류, 부정확한 정보, 또는 가짜 뉴스가 포함될 수 있으며, AI는 이러한 내용을 완벽하게 걸러내지 못할 수 있습니다.
따라서 제공되는 정보에 일부 오류나 편향이 있을 수 있으므로, 중요한 정보는 반드시 다른 출처를 통해 교차 검증하시기 바랍니다.
문의하기 : help@durumis.com