맨위로가기

효모

"오늘의AI위키"는 AI 기술로 일관성 있고 체계적인 최신 지식을 제공하는 혁신 플랫폼입니다.
"오늘의AI위키"의 AI를 통해 더욱 풍부하고 폭넓은 지식 경험을 누리세요.

1. 개요

효모는 고대 영어 단어에서 유래된 단세포 진핵생물로, 빵, 술, 식품 생산 및 생명공학 분야에서 널리 활용된다. 효모는 출아법과 이분법으로 증식하며, 유성 생식도 가능하다. 역사적으로 효모는 빵과 술을 만드는 데 사용되었으며, 미생물학의 발전으로 발효 과정에 대한 이해가 깊어졌다. 현재 효모는 다양한 식품, 음료 생산에 활용될 뿐만 아니라, 생명공학 분야에서 유전자 조작을 통해 의약품, 에탄올, 사료 등을 생산하는 데에도 기여한다. 또한, 프로바이오틱스, 모델 생물, 생물 정화 등 다양한 분야에서 활용되며, 일부 종은 병원성으로 작용하여 감염을 일으키기도 한다.

광고

더 읽어볼만한 페이지

  • 팽창제 - 베이킹파우더
    베이킹파우더는 반죽을 부풀리는 팽창제로, 탄산수소나트륨, 산성제, 완충 물질이 수분과 반응하여 이산화탄소를 생성하며, 단일 작용과 이중 작용으로 나뉘고, 베이킹소다와 달리 산성 재료 유무와 관계없이 사용 가능하다.
  • 팽창제 - 탄산수소 나트륨
    탄산수소 나트륨은 고대 이집트에서 유래되었으며, 산과 염기 모두와 반응하는 양쪽성 화합물로 열을 가하면 분해되고, 베이킹 소다로도 불리며 다양한 용도로 사용된다.
  • 효모 - 빵효모
    빵효모는 빵을 부풀리는 미생물로 사카로마이세스 세레비시에 종에 속하며, 제빵, 화학, 생물학, 유전학 연구에 활용되는 모델 생물이다.
  • 효모 - 효모 추출물
    효모 추출물은 효모 세포를 파괴하여 얻은 수용성 물질로 감칠맛과 풍미를 더하는 식품 첨가물로 널리 쓰이며, 단백질, 아미노산, 비타민 B군 등 다양한 영양소를 함유하고 있어 식품, 동물 사료, 화장품 등 다양한 분야에서 활용된다.
  • 양조 재료 -
    홉은 삼과의 덩굴식물로, 맥주 양조에 사용되는 암꽃의 구과에 쓴맛과 향, 풍미를 부여하고 보존성을 높여주는 루풀린을 함유하며, 유럽, 서아시아, 북아메리카가 원산지이다.
  • 양조 재료 - 엿기름
    엿기름은 싹이 튼 보리를 건조시킨 맥아로, 식혜, 맥주, 위스키 등의 제조에 사용되며 맥주 양조 시 전분을 당으로 변환하는 역할과 과거 식이 보충제 및 한약재로도 활용되었다.

2. 역사

효(酵)는 술밑을 뜻하는 한자이다. "효모"라는 단어는 고대 영어의 ''gist'', ''gyst''에서 유래되었으며, "끓다", "거품" 또는 "기포"를 의미하는 인도유럽어족 어근 ''yes-''에서 파생되었다.

광의의 "효모"는 정식 분류군의 이름이 아니며, 일종의 생활형을 나타내는 명칭으로, 계통적으로 다른 종을 포함하고 있다. 협의의 "효모"는 발효에 사용되는 등 공업적으로 중요하며, 유전자 공학의 주요 연구 대상 중 하나이기도 하다.

일본어에서는 메이지 시대에 맥주 제조법이 수입되었을 때, yeast의 번역으로 발효의 근원을 의미하는 글자가 사용된 것이 어원이다.

2. 1. 고대

모든 문화권의 고대 시기부터 을 만들 때 효모를 이용해 왔음이 알려져 있다. 효모를 뜻하는 영어 yeast영어는 고대 영어 gyst로부터 유래되었으며 '끓는다'는 뜻이 담겨 있다. 술을 만들 때 생기는 거품 때문에 붙은 이름이다. 효모 미생물은 아마도 가장 초기의 가축화된 유기체 중 하나일 것이다. 고대 이집트 유적에서 발굴된 고고학자들은 효모로 부풀린 빵을 굽는 초기 맷돌과 제빵실, 그리고 4,000년 된 제빵소와 양조장의 그림을 발견했다. 이스라엘의 여러 고고학 유적지에서 연구된 용기(약 5,000년, 3,000년, 2,500년 전으로 거슬러 올라감)는 알코올 음료(맥주와 벌꿀술)를 담았던 것으로 여겨지며, 수천 년 동안 생존한 효모 집락이 발견되어 초기 문화에서 효모 사용에 대한 최초의 직접적인 생물학적 증거를 제공했다.[3]

미생물학에서 효모가 "발견"되기 전부터 인류는 공기 중 등 자연계에 존재하는 효모를 이나 을 만드는 데 이용해 왔다.[31]

2. 2. 근대

1680년, 네덜란드인 박물학자 안톤 판 레이우엔훅은 처음으로 효모를 현미경으로 관찰했지만, 당시에는 효모를 유기체로 여기지 않고 구형 구조물로 간주했다. 연구자들이 효모가 조류인지 곰팡이인지 의문을 품었기 때문이다. 테오도어 슈반은 1837년에 효모를 곰팡이로 인식했다.

1857년, 프랑스 미생물학자 루이 파스퇴르는 효모 배양액에 산소를 불어넣으면 세포 성장이 증가하지만 발효는 억제된다는 것을 보여주었는데, 이는 나중에 "파스퇴르 효과"라고 불리게 되었다. 파스퇴르는 논문 "''알코올 발효에 대한 보고''"에서 알코올 발효가 화학적 촉매가 아닌 살아있는 효모에 의해 수행된다는 것을 증명했다.

18세기 말까지 양조에 사용되는 두 가지 효모 균주가 확인되었다. 즉, ''Saccharomyces cerevisiae''(상면 발효 효모)와 ''S. pastorianus''(하면 발효 효모)이다. ''S. cerevisiae''는 1780년부터 네덜란드에서 빵을 만드는 데 상업적으로 판매되었고, 1800년경에는 독일인들이 크림 형태로 ''S. cerevisiae''를 생산하기 시작했다. 1825년에는 효모를 고체 블록으로 만들 수 있도록 액체를 제거하는 방법이 개발되었다. 1867년 필터 프레스의 도입으로 효모 블록의 산업 생산이 향상되었다. 1872년, 막스 데 슈프링어 남작은 사탕무 당밀에서 과립 효모를 생산하는 제조 공정을 개발했으며,[4][5][6] 이 기술은 제1차 세계 대전까지 사용되었다. 미국에서는 상업용 효모가 1876년 필라델피아에서 열린 세계 박람회에서 판매되기 전까지 거의 독점적으로 자연 발생적인 공기 중의 효모가 사용되었다. 이 박람회에서 찰스 L. 플라이슈만은 제품과 사용 공정을 전시하고 그 결과로 구운 빵을 제공했다.

냉장 기계(1850년대 유럽에서 처음 특허를 받음)는 처음으로 양조업자와 포도주 양조업자를 계절적 제약으로부터 해방시켰고, 그들이 지하 저장고 및 기타 토지 환경에서 벗어날 수 있게 했다. 냉장고 개발 이전 몬트리올에서 생계를 유지했던 존 몰슨의 경우, 양조 계절은 9월부터 5월까지였다. 동일한 계절적 제약이 이전에는 증류업자의 기술을 지배했다.

생물로서의 효모 연구는 19세기까지는 거의 진전이 없었다. 1825년경부터 효모 연구가 진행되었다. 샤를 카냐르 드 라 투르, 프리드리히 트라우고트 퀴칭, 테오도어 슈반 등은 발효하고 있는 액체를 희석하여 관찰하거나, 관찰 중의 건조를 막기 위해 커버 글라스를 씌우고 주변을 파라핀으로 봉하거나, 또는 홀 글라스를 사용하는 등의 방법을 사용하여, 효모가 싹트기에 의해 증식하는 단세포 생물임을 나타냈다.

1839년에는 슈반이 내생 포자를 관찰했다. 그는 그것이 포자이며, 체외로 나와 새로운 효모가 된다는 것을 알았지만, 그 분류상의 의미는 깨닫지 못했다. 이것을 밝힌 것이 안톤 드 바리로, 그는 1839년에 이 내생 포자를 자낭균에 속하는 곰팡이의 포자와 비교했다. 또한 리스(Reess)는 1868년 이후, 많은 종류의 효모에 대해 내생 포자를 관찰하여, 그것이 원시적인 자낭균의 자낭 포자에 해당함을 인정했다. 파스퇴르에 의한 순수 배양의 확립도 있어, 그 이후, 효모 연구는 획기적으로 진전되었으며, 특히 에밀 크리스티안 한센은 연구 방법의 개선을 포함하여 30년에 걸쳐 각종 효모에 대해 연구를 실시하여, 이 분야의 개조라고도 불린다. 또한 그는 효모의 계통 문제와 분류에 생활환을 중시했다.

2. 3. 현대

1680년, 네덜란드인 박물학자 안톤 판 레이우엔훅은 처음으로 효모를 현미경으로 관찰했지만, 당시에는 효모를 유기체로 여기지 않고 구형 구조물로 간주했다. 연구자들이 효모가 조류인지 곰팡이인지 의문을 품었기 때문이다. 테오도어 슈반은 1837년에 효모를 곰팡이로 인식했다.

1857년, 프랑스 미생물학자 루이 파스퇴르는 효모 배양액에 산소를 불어넣으면 세포 성장이 증가하지만 발효는 억제된다는 것을 보여주었는데, 이는 나중에 "파스퇴르 효과"라고 불리게 되었다. 파스퇴르는 논문 "''알코올 발효에 대한 보고''"에서 알코올 발효가 화학적 촉매가 아닌 살아있는 효모에 의해 수행된다는 것을 증명했다.

18세기 말까지 양조에 사용되는 두 가지 효모 균주가 확인되었다. 즉, ''Saccharomyces cerevisiae''(상면 발효 효모)와 ''S. pastorianus''(하면 발효 효모)이다. ''S. cerevisiae''는 1780년부터 네덜란드에서 빵을 만드는 데 상업적으로 판매되었고, 1800년경에는 독일인들이 크림 형태로 ''S. cerevisiae''를 생산하기 시작했다. 1825년에는 효모를 고체 블록으로 만들 수 있도록 액체를 제거하는 방법이 개발되었다. 1867년 필터 프레스의 도입으로 효모 블록의 산업 생산이 향상되었다. 1872년, 막스 데 슈프링어 남작은 사탕무 당밀에서 과립 효모를 생산하는 제조 공정을 개발했으며,[4][5][6] 이 기술은 제1차 세계 대전까지 사용되었다. 미국에서는 상업용 효모가 1876년 필라델피아에서 열린 세계 박람회에서 판매되기 전까지 거의 독점적으로 자연 발생적인 공기 중의 효모가 사용되었다. 이 박람회에서 찰스 L. 플라이슈만은 제품과 사용 공정을 전시하고 그 결과로 구운 빵을 제공했다.

냉장 기계(1850년대 유럽에서 처음 특허를 받음)는 처음으로 양조업자와 포도주 양조업자를 계절적 제약으로부터 해방시켰고, 그들이 지하 저장고 및 기타 토지 환경에서 벗어날 수 있게 했다. 냉장고 개발 이전 몬트리올에서 생계를 유지했던 존 몰슨의 경우, 양조 계절은 9월부터 5월까지였다. 동일한 계절적 제약이 이전에는 증류업자의 기술을 지배했다.

19세기까지는 생물로서의 효모 연구에 관해서는 거의 진전이 없었다. 1825년경부터 효모 연구가 진행되었다. 샤를 카냐르 드 라 투르, 프리드리히 트라우고트 퀴칭, 테오도어 슈반 등은 발효하고 있는 액체를 희석하여 관찰하거나, 관찰 중의 건조를 막기 위해 커버 글라스를 씌우고 주변을 파라핀으로 봉하거나, 또는 홀 글라스를 사용하는 등의 방법을 사용하여, 효모가 싹트기에 의해 증식하는 단세포 생물임을 나타냈다.

1839년에는 슈반이 내생 포자를 관찰했다. 그는 그것이 포자이며, 체외로 나와 새로운 효모가 된다는 것을 알았지만, 그 분류상의 의미는 깨닫지 못했다. 이것을 밝힌 것이 안톤 드 바리로, 그는 1839년에 이 내생 포자를 자낭균에 속하는 곰팡이의 포자와 비교했다. 또한 리스(Reess)는 1868년 이후, 많은 종류의 효모에 대해 내생 포자를 관찰하여, 그것이 원시적인 자낭균의 자낭 포자에 해당함을 인정했다. 파스퇴르에 의한 순수 배양의 확립도 있어, 그 이후, 효모 연구는 획기적으로 진전되었으며, 특히 에밀 크리스티안 한센은 연구 방법의 개선을 포함하여 30년에 걸쳐 각종 효모에 대해 연구를 실시하여, 이 분야의 개조라고도 불린다. 또한 그는 효모의 계통 문제와 분류에 생활환을 중시했다.

3. 특징

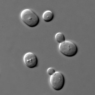
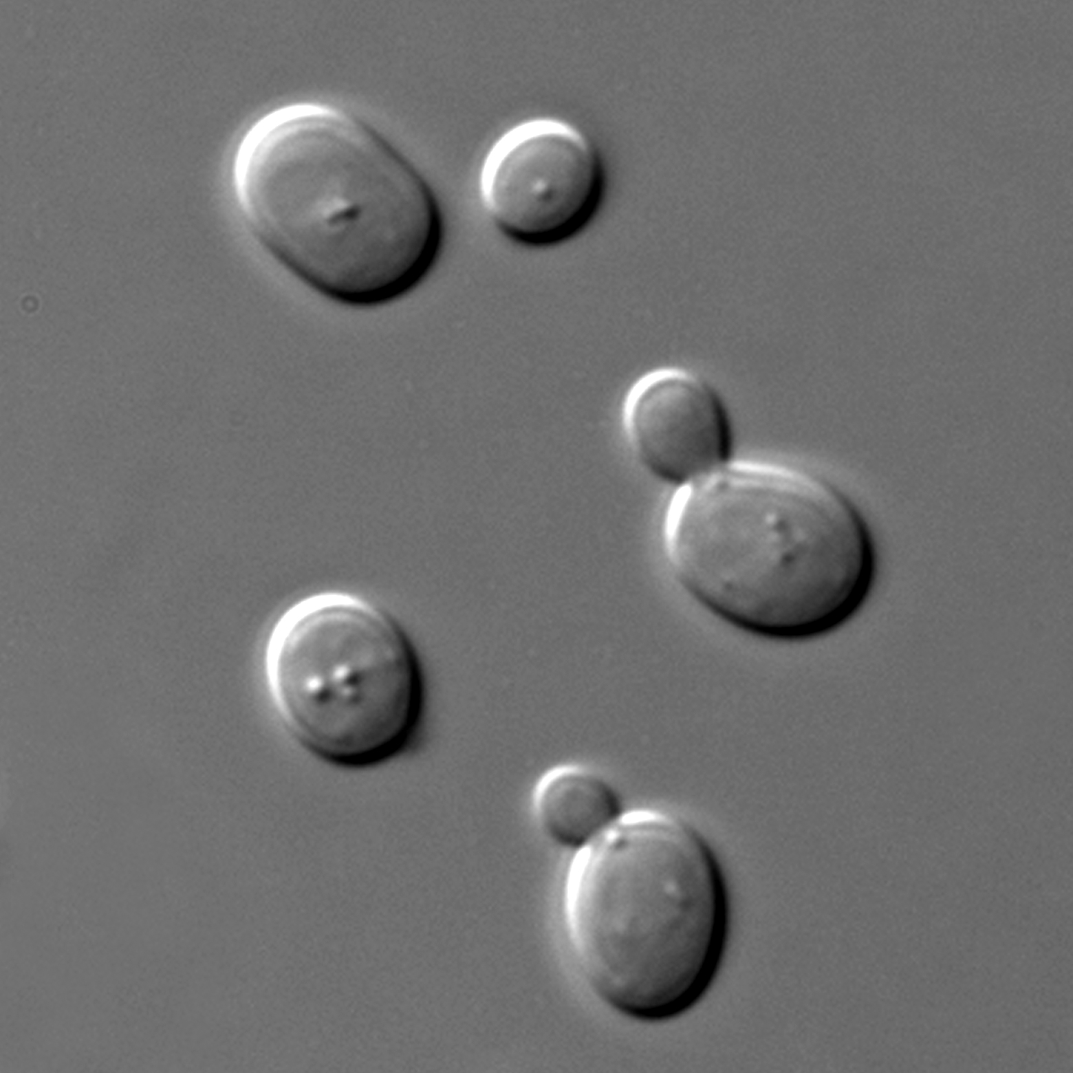
효모는 달걀 모양과 유사한 단세포 생물이다. 진핵생물에 속하나 원형의 DNA 구조인 플라스미드(plasmid)를 포함하고 있다. 보통 출아법과 이분법의 무성생식을 통해 번식하지만, 유성생식으로 번식하기도 한다.

육탄당과 같은 단당류를 먹이로 삼는 효모는 무기호흡을 통해 산소 공급 없이도 육탄당을 분해하여 에너지를 얻을 수 있다. 무기호흡 과정에서 피루브산을 분해하여 알코올과 이산화탄소를 배출하며, 유기호흡 과정에서는 과 이산화탄소만을 배출한다.

효모는 화학유기영양생물로, 에너지원으로 유기 화합물을 사용하며 생장에 햇빛이 필요하지 않다. 탄소는 주로 포도당 및 과당과 같은 헥소스 당류, 또는 수크로스말토스와 같은 이당류에서 얻는다. 일부 종은 펜토스 당류, 알코올 및 유기산을 대사할 수 있다. 효모 종은 유산소 세포 호흡을 위해 산소를 필요로 하거나(절대 호기성 생물), 혐기성이지만 또한 유산소 에너지 생산 방식(통성 혐기성 생물)을 가지고 있다. 세균과 달리 알려진 효모 종 중 혐기성 조건에서만 성장하는 종은 없다(절대 혐기성 생물). 대부분의 효모는 중성 또는 약산성 pH 환경에서 가장 잘 성장한다.

실험실에서 배양이 쉽고 번식력이 강하며, 대장균보다 고등한 생물이라는 점 때문에 생물학유전공학에서 중요한 실험체로 많이 쓰인다.

효모는 자연 환경에서 과즙이나 수액이 고이는 곳에 많이 존재하며, 담수나 해수 중에도 넓게 분포한다.

일본어에서는 메이지 시대에 맥주 제조법이 수입되었을 때, yeast의 번역으로 발효의 근원을 의미하는 글자가 사용된 것이 어원이다.

기본적으로 진핵 단세포성 미생물이며, 운동성은 없고 세포벽을 가지고 있다. 광합성 능력은 없으며, 영양은 외부의 유기물을 분해 흡수하는 것에 의한다. 형태적으로는 특징이 적은 원형 또는 타원형을 하고 있다. 이들은 출아 또는 분열에 의해 증식한다. 또한, 그것에 의해 증식한 세포가 서로 불완전하게 붙어 수지상을 나타내는 경우도 있다.

안톤 판 레벤후크는 손수 만든 현미경으로 미생물을 최초로 발견했으며, 발효 중인 맥주에서 효모로 추정되는 미립자를 관찰했다. 루이 파스퇴르는 발효가 효모의 생리 작용이며, 무산소 조건에서의 호흡임을 밝혀냈다. 또한 파스퇴르는 효모의 순수 배양을 최초로 실시한 것으로도 알려져 있다. 19세기에는 샤를 카냐르 드 라 투르, 프리드리히 트라우고트 퀴칭, 테오도어 슈반 등이 효모가 출아에 의해 증식하는 단세포 생물임을 밝혔다. 안톤 드 바리는 효모의 내생 포자가 자낭균에 속하는 곰팡이의 포자와 유사함을 밝혔다. 에밀 크리스티안 한센은 30년에 걸쳐 각종 효모에 대해 연구하여 이 분야의 선구자로 불린다.

3. 1. 생식

효모는 무성생식과 유성생식 주기를 모두 가질 수 있다. 효모의 가장 일반적인 영양 생장 방식은 출아에 의한 무성 생식인데, 부모 세포에 작은 싹(또는 블렙 또는 딸세포라고도 함)이 형성된다. 부모 세포의 세포핵은 딸 핵으로 분열되어 딸세포로 이동한다. 그런 다음 싹은 부모 세포에서 분리되어 새로운 세포를 형성할 때까지 계속 자란다. 출아 과정에서 생성된 딸세포는 일반적으로 모세포보다 작다. 분열 효모(Schizosaccharomyces pombe)를 포함한 일부 효모는 출아 대신 분열에 의해 번식하여 두 개의 동일한 크기의 딸세포를 생성한다.

일반적으로 영양소 기아와 같은 고강도 스트레스 조건에서는 반수체 세포가 죽는다. 그러나 동일한 조건에서 이배체 세포는 포자 형성 과정을 거쳐 유성 생식(감수 분열)에 들어가 다양한 반수체 포자를 생성할 수 있으며, 이 포자는 짝짓기(접합)하여 이배체를 재형성할 수 있다.

반수체 분열 효모인 ''Schizosaccharomyces pombe''는 영양소가 제한적일 때 짝짓기를 할 수 있는 임의적 유성 미생물이다.[2] 산화적 DNA 손상을 유발하는 산화 스트레스를 유발하는 물질인 과산화수소에 ''S. pombe''를 노출시키면 짝짓기 및 감수 분열 포자 형성이 강력하게 유도된다. 출아 효모인 ''Saccharomyces cerevisiae''는 영양소가 풍부할 때는 이배체 세포로 유사 분열에 의해 번식하지만, 기아 상태가 되면 이 효모는 감수 분열을 거쳐 반수체 포자를 형성한다. 그러면 반수체 세포는 유사 분열에 의해 무성적으로 번식할 수 있다. Katz Ezov 등은 자연 ''S. cerevisiae'' 집단에서 클론 번식과 자가 수정(사중 체내 짝짓기 형태)이 우세하다는 증거를 제시했다. 자연에서 반수체 세포의 짝짓기는 동일한 클론 집단의 구성원 간에 가장 흔하며 타가 교배는 드물다. 자연 ''S. cerevisiae'' 균주의 조상을 분석한 결과 타가 교배는 약 50,000번의 세포 분열당 한 번만 발생하는 것으로 결론지었다. 이러한 관찰 결과는 타가 교배의 가능한 장기적 이점(예: 다양성 생성)이 일반적으로 세대 간에 성을 유지하기에 충분하지 않을 수 있음을 시사한다. 오히려 감수 분열 중 재조합 복구와 같은 단기적 이점[13]이 ''S. cerevisiae''에서 성을 유지하는 데 핵심이 될 수 있다.

일부 녹병균아강 효모, 특히 ''Sporidiobolus'' 및 ''Sporobolomyces'' 종은 공기 중에 분산되는 무성 탄자포자를 생성한다.

효모의 생활 주기

3. 2. 생장

효모는 섭씨 10도에서 37도 사이에서 생장할 수 있다. 10도 보다 낮은 기온에서는 생장을 멈추고 37도 보다 높은 온도에서는 성장이 억제되며 섭씨 50도 이상이 되면 세포가 파괴되기 시작한다. 세포는 특정 조건에서 냉동 상태로 생존할 수 있으며, 생존 능력은 시간이 지남에 따라 감소한다.

효모는 화학유기영양생물로, 에너지원으로 유기 화합물을 사용하며 생장에 햇빛이 필요하지 않다. 탄소는 주로 포도당 및 과당과 같은 헥소스 당류, 또는 수크로스말토스와 같은 이당류에서 얻는다. 일부 종은 리보스와 같은 펜토스 당류, 알코올 및 유기산을 대사할 수 있다. 효모 종은 유산소 세포 호흡을 위해 산소를 필요로 하거나(절대 호기성 생물), 혐기성이지만 또한 유산소 에너지 생산 방식(통성 혐기성 생물)을 가지고 있다. 세균과 달리 알려진 효모 종 중 혐기성 조건에서만 성장하는 종은 없다(절대 혐기성 생물). 대부분의 효모는 중성 또는 약산성 pH 환경에서 가장 잘 성장한다.

효모는 가장 잘 성장하는 온도 범위가 다양하다. 예를 들어, ''Leucosporidium frigidum''은 -2°C 에서 20°C에서, ''Saccharomyces telluris''는 5°C 에서 35°C에서, 그리고 ''Candida slooffi''는 28°C 에서 45°C에서 성장한다.

일반적으로 효모는 실험실에서 고체 배지 또는 액체 배양액에서 배양된다. 효모 배양에 사용되는 일반적인 배지에는 감자 덱스트로스 한천 또는 감자 덱스트로스 배양액, Wallerstein Laboratories 영양 한천, 효모 펩톤 덱스트로스 한천, 효모 곰팡이 한천 또는 배양액이 포함된다. 효모를 배양하는 가정 양조업자는 종종 건조된 맥아 추출물과 한천을 고체 배지로 사용한다. 살균제 시클로헥시미드는 때때로 효모 성장 배지에 첨가되어 ''Saccharomyces'' 효모의 성장을 억제하고 야생/토착 효모 종을 선택한다. 이는 효모 과정을 변경한다.

3. 3. 분류

효모는 크게 자낭균문과 담자균문에 속하는 종류로 나눌 수 있다.

  • 자낭균문 (Ascomycota)
  • 사카로미케스아문 (Saccharomycotina)
  • 사카로미케스강 (Saccharomycetes)
  • 맥주효모균(Saccharomyces cerevisiae)
  • 외자낭균아문 (Taphrinomycotina)
  • 분열효모균강 (Schizosaccharomycetes)
  • 담자균문 (Basidiomycota)
  • 담자균아문 (Agaricomycotina)
  • 이형담자균강 (Tremellomycetes)
  • 녹균아문 (Pucciniomycotina)
  • 수수깜부기강 (Microbotryomycetes)


광의의 "효모"는 정식 분류군 이름이 아니며, 일종의 생활형을 나타내는 명칭으로, 계통적으로 다른 종을 포함하고 있다.[33] 협의의 "효모"는 발효에 사용되는 등 공업적으로 중요하며, 유전자 공학의 주요 연구 대상 중 하나이다.

많은 효모가 자낭균문에 속하며, 자낭균문 반자낭균강에는 효모 종류와 효모적 성질이 강한 곰팡이 등이 포함된다. 이 종류에 속하는 효모는 세포 자체가 융합하는 형태로 접합하며, 융합 세포의 감수 분열을 통해 세포 내에 포자를 형성한다. 즉, 감수 분열로 내생 포자를 생성하므로 세포 자체를 자낭으로 간주한다.

담자균문에 속하는 효모도 알려져 있다. 같은 종류의 균이라도 생활사에서 효모형과 균사체형 양쪽 형태를 취하는 경우가 있다. 예를 들어 흰목이는 담자 포자에서 발아하면 효모로 증식하고, 성이 다른 상대와 접합하면 균사체 상태로 증식하는 이핵 균사가 된다. 유성 생식이 알려지지 않은 효모도 적지 않은데, 이들은 불완전 효모라고 불린다.

과거에는 효모가 단세포이기 때문에 균류 중에서 원시적인 것이라는 판단도 있었다. 그러나 효모로 분류되는 생물은 여러 무리로 분류되며, 효모는 오히려 생활 방식에 대한 적응에 의한 형태 중 하나로 여겨진다. 한편, 자낭균류에서는 반자낭균, 그리고 고생자낭균으로 분류되는 것에 효모형, 그리고 효모형에 가까운 사상균과 같은 특수한 것이 많으며, 자낭균류나 담자균류의 조상이 효모였을 가능성도 지적되고 있다.

광의의 효모에 포함되는 종류는 다음과 같다.

  • 출아 효모(알코올 발효 효모 등) ''Saccharomyces cerevisiae''
  • 분열 효모 ''Schizosaccharomyces pombe''
  • 칸디다 ''Candida albicans''
  • 알칸 이용 효모 ''Yarrowia lipolytica''
  • 메탄올 이용 효모 ''Pichia pastoris''
  • 메탄올 이용 효모 ''Hansenula polymorpha''
  • 킬러 효모 ''Kluyveromyces lactis''
  • 토룰라 효모 ''Cyberlindnera jadinii''
  • ''Zygosaccharomyces rouxii''[33]

4. 생태

효모는 다양한 환경에서 발견되며, 다른 생물과 상호작용하며 살아간다.

일부 효모는 킬러 독소라는 단백질을 생성하여 경쟁 균주를 제거한다. (킬러 효모 참조). 이는 와인 제조에 문제를 일으킬 수 있지만, 킬러 독소를 생성하는 균주를 이용하여 와인을 만들 수도 있다. 효모 킬러 독소는 효모 감염 치료에도 이용될 수 있다 ("병원성 효모" 섹션 참조).

넓적벌레 소화관에 사는 ''Spathaspora passalidarum''은 자일로스를 발효시켜 식물 세포 소화를 돕는다.[27]

많은 과일은 다양한 당을 생성하여 효모를 유인하고, 효모는 당을 발효시켜 알코올로 만든다. 과일을 먹는 포유류는 알코올 냄새로 영양가 높은 잘 익은 과일을 찾고, 과일 씨앗과 효모 포자를 퍼뜨린다.[28][29]

효모와 작은 벌집벌레는 상호 공생 관계이다. 작은 벌집벌레는 숙주 꿀벌 페로몬에 이끌리고, 효모는 비슷한 페로몬을 생성하여 벌집 내 효모가 작은 벌집벌레 감염을 촉진한다.[30]

넓은 의미의 "효모"는 정식 분류군 이름이 아니며, 생활형을 나타내는 명칭으로, 계통적으로 다른 종을 포함한다. 좁은 의미의 "효모"는 발효에 사용되는 등 산업적으로 중요하며, 유전자 공학의 주요 연구 대상 중 하나이다.

일본어에서 효모는 메이지 시대에 맥주 제조법이 수입되었을 때, yeast의 번역으로 발효의 근원을 의미하는 글자가 사용된 것이 어원이다. 미생물학 발전과 함께 그 의미가 확대되었다.

기본적으로 효모는 진핵 단세포성 미생물이며, 운동성이 없고 세포벽이 있다. 광합성 능력은 없으며, 영양은 외부 유기물을 분해 흡수한다. 형태는 특징이 적은 원형 또는 타원형이다. 이러한 성질의 미생물은 효모로 간주할 수 있다. 이들은 출아 또는 분열로 증식하며, 증식한 세포가 불완전하게 붙어 수지상을 나타내기도 한다.

많은 효모는 자낭균문에 속한다. 자낭균문 반자낭균강에는 효모 종류, 효모적 성질이 강한 곰팡이 등이 포함된다. 이 종류에 속하는 효모는 세포 자체가 융합하는 형태로 접합, 융합 세포의 감수 분열로 세포 내 포자를 형성한다. 즉, 감수 분열로 내생 포자를 생성하므로 세포 자체를 자낭으로 간주한다.

담자균문에 속하는 효모도 알려져 있다. 같은 종류 균이라도 생활사에서 효모형과 균사체형 양쪽 형태를 취하는 경우도 있다. 흰목이는 담자 포자에서 발아하면 효모로 증식하고, 성이 다른 상대와 접합하면 균사체 상태로 증식하는 이핵 균사가 된다. 유성 생식이 알려지지 않은 효모도 적지 않으며, 불완전 효모라고 불린다.

자연 환경에서는 과즙, 수액이 고이는 곳에 많고, 담수, 해수 중에도 넓게 분포한다.

단세포로 운동성이 없고, 주변 영양을 흡수하여 증식하는 것은 효모로 간주될 수 있다. 프로토테카는 클로렐라와 근연 관계이며, 녹조류가 엽록체를 잃은 것으로 여겨진다.

4. 1. 서식지

효모는 환경에서 매우 흔하며, 당분이 풍부한 물질에서 주로 분리된다. 예를 들어 과일과 열매(포도, 사과 또는 복숭아 등)의 껍질, 식물에서 나오는 삼출액(수액 또는 선인장 등)에서 자연적으로 발생한다. 일부 효모는 토양 및 곤충과 관련하여 발견된다. 토양과 과일 및 열매의 껍질에서 얻은 효모는 과일 부패 과정에서 곰팡이 생태적 천이를 지배하는 것으로 나타났다.[7] 효모의 생태학적 기능과 생물 다양성은 다른 미생물에 비해 비교적 알려져 있지 않다. 칸디다 알비칸스, 로도토룰라 루브라, 토룰롭시스, 트리코스포론 큐타네움을 포함한 효모가 사람의 발가락 사이에서 피부 상재균의 일부로 살고 있는 것이 발견되었다. 효모는 또한 포유류와 일부 곤충의 장내 세균총에도 존재하며, 심해 환경에서도 다양한 효모가 서식한다.[8]

인도의 7종의 꿀벌 종과 9종의 식물 종에 대한 연구에서 16개 속에서 45종의 효모가 꽃의 꿀샘과 꿀벌의 꿀 위를 식민지화하는 것으로 나타났다. 대부분은 칸디다 속의 구성원이었고, 꿀 위에서 가장 흔한 종은 덱케라 인터미디아였으며, 꽃 꿀샘에서는 칸디다 블랑키이였다. 썩는 미나리 아재비의 꿀샘을 식민지화하는 효모는 꽃의 온도를 높여 휘발성 유기 화합물의 증발을 증가시켜 수분 매개자를 유인하는 데 도움이 될 수 있다. 검은 효모는 개미, 그들의 상호주의적 균류, 균류의 균류 기생충 및 기생충을 죽이는 박테리아 사이의 복잡한 관계의 파트너로 기록되었다. 효모는 일반적으로 기생충을 죽이기 위해 항생제를 생성하는 박테리아에 부정적인 영향을 미치므로 기생충이 퍼지도록 하여 개미의 건강에 영향을 미칠 수 있다.

해양 효모는 해수에서 분리되는 효모로, 담수 대신 해수를 사용한 배지에서 더 잘 성장한다.[11] 1894년 대서양에서 Bernhard Fischer에 의해 최초의 해양 효모가 분리되었으며, ''Torula'' sp.와 ''Mycoderma'' sp.로 확인되었다.[9] 이후, 해수, 해조류, 해양 어류 및 포유류를 포함한 다양한 곳에서 여러 해양 효모가 분리되었다.[10] 이들 중 일부는 육상 서식지에서 유래하여 해양 환경에서 생존한 것이고(선택적 해양 효모), 다른 해양 효모는 해양 서식지에 국한된 의무적 또는 고유 해양 효모로 분류되었다.[9] 그러나 의무적 해양 효모에 해수가 필수적임을 설명할 충분한 증거는 발견되지 않았다.[11] 해양 효모는 식품, 제약, 화장품, 화학 산업, 해양 문화 및 환경 보호에 유용한 아미노산, 글루칸, 글루타티온, 독소, 효소, 피타아제, 비타민 등 여러 생리 활성 물질을 생산할 수 있다고 보고되었다.[11] 해양 효모는 해양 기반 배지를 사용하여 바이오에탄올을 생산하는 데 성공적으로 사용되었으며, 이는 바이오에탄올의 물 발자국을 줄일 수 있다.[12]

4. 2. 상호작용

효모는 환경에서 매우 흔하며, 당분이 풍부한 물질에서 주로 발견된다. 예를 들어 과일 껍질이나 식물의 삼출액에서 자연적으로 발생한다. 일부 효모는 토양 및 곤충과 관련되어 있으며, 사람의 발가락 사이 피부 상재균의 일부로 살고 있기도 하다. 포유류와 곤충의 장내 세균총에도 존재하며, 심해 환경에서도 서식한다.[8]

인도의 7종의 꿀벌 종과 9종의 식물 종에 대한 연구에서는 16개 속 45종의 효모가 꽃의 밀선과 꿀벌의 꿀 위를 식민지화하는 것으로 나타났다. 대부분 ''칸디다'' 속이었으며, 꿀 위에서 가장 흔한 종은 ''Dekkera intermedia''였고, 꽃 밀선에서는 ''Candida blankii''였다. 썩는 미나리 아재비의 밀선을 식민지화하는 효모는 꽃의 온도를 높여 휘발성 유기 화합물 증발을 촉진, 수분 매개자를 유인한다.

검은 효모는 개미, 균류, 균류 기생충 및 기생충을 죽이는 박테리아 사이의 복잡한 관계 파트너로 기록되었다. 효모는 기생충을 죽이는 박테리아에 부정적인 영향을 미쳐, 기생충 확산 및 개미 건강에 악영향을 줄 수 있다.

특정 효모 종은 킬러 독소라는 단백질을 생성하여 경쟁 균주를 제거한다. (킬러 효모 참고). 이는 와인 제조에 문제를 일으킬 수 있지만, 킬러 독소 생성 균주를 이용해 와인을 만들 수도 있다. 효모 킬러 독소는 효모 감염 치료에 의학적으로 적용될 수 있다 ("병원성 효모" 섹션 참조).

해양 효모는 해수에서 분리되는 효모로, 담수 대신 해수로 제조된 배지에서 더 잘 성장한다.[11] 1894년 대서양에서 Bernhard Fischer에 의해 최초로 분리되었으며, ''Torula'' sp.와 ''Mycoderma'' sp.로 확인되었다.[9] 이후 해수, 해조류, 해양 어류 및 포유류 등 다양한 곳에서 여러 해양 효모가 분리되었다.[10] 일부는 육상 서식지에서 유래하여 해양 환경에서 생존했고(선택적 해양 효모), 다른 일부는 해양 서식지에 국한되었다(의무적 또는 고유 해양 효모).[9] 그러나 해수가 의무적 해양 효모에 필수적인지에 대한 증거는 부족하다.[11] 해양 효모는 아미노산, 글루칸, 글루타티온, 독소, 효소, 피타아제, 비타민 등 생리 활성 물질을 생산하여 식품, 제약, 화장품, 화학 산업, 해양 문화 및 환경 보호에 활용될 수 있다.[11] 해양 효모는 해양 기반 배지를 사용한 바이오에탄올 생산에 사용되어 물 발자국을 줄일 수 있다.[12]

넓적벌레 소화관에서 발견되는 ''Spathaspora passalidarum''은 자일로스를 발효시켜 식물 세포 소화를 돕는다.[27]

많은 과일은 다양한 당을 생성하여 효모를 유인하고, 효모는 당을 발효시켜 알코올로 바꾼다. 과일을 먹는 포유류는 알코올 냄새를 통해 영양가 높은 잘 익은 과일을 찾고, 과일 씨앗과 효모 포자를 퍼뜨린다.[28][29]

효모와 작은 벌집벌레는 상호 공생 관계이다. 작은 벌집벌레는 숙주 꿀벌 페로몬에 이끌리고, 효모는 유사한 페로몬을 생성하여 벌집 내 효모가 SHB 감염을 촉진한다.[30]

5. 이용

효모의 무기호흡에 의해 나오는 부산물인 알코올과 이산화탄소는 아주 오래전부터 이용되어 왔다. 효모는 , , 효모 추출물, 에탄올 제조 등에 사용되며, 사료, 의약품, 생명공학 분야에서도 활용된다.


  • '''술 제조''': 효모는 과즙발효시켜 와인과 같은 과실주를 만드는 데 사용된다. 동양에서는 술밑으로 누룩을 만들어 곡물을 발효시켜 막걸리청주와 같은 술을 만들었다.
  • '''빵 제조''': 고대 이집트에서부터 효모를 이용해 발효된 반죽으로 을 만들었다. 효모가 단당류를 분해하면서 만드는 이산화탄소에 의해 반죽이 부풀어 오르는 원리를 이용한다. 중국이나 한국에서는 술지게미를 이용하여 부풀린 과 같은 음식을 만들기도 했다.
  • '''효모 추출물''': 식품첨가물이나 향미로 쓰이며, 베지마이트, 마마이트와 같은 식품의 원료로 사용된다.
  • '''에탄올 제조''': 사탕수수를 이용하여 대량으로 에탄올을 제조할 때 이용된다. 이렇게 만들어진 에탄올은 의료공업 등에 사용되며 대체 연료로 사용되기도 한다.
  • '''기타''': 효모 자체는 값싼 지방·단백질원이 되어 사료에 사용된다. 비타민 B군과 비타민 D를 함유하여 의약품 공업에도 사용되며, 원기소와 같은 건강보조식품으로도 판매되었다. 또한, 효모의 유용한 생리적 특성은 생명공학 분야에서 활용된다.

5. 1. 술

효모는 술을 만드는 데 이용된다. 사람들은 과즙발효시키면 와인과 같은 과실주가 된다는 것을 알고 있었다. 동양에서는 술밑으로 누룩을 만들어 곡물을 발효시켜 막걸리청주와 같은 술을 만들어 왔다. 루이 파스퇴르현미경을 통해 와인의 발효에 효모가 관여하는 사실을 처음으로 확인했다.[34]

술에 함유된 에탄올(C2H5OH)은 거의 항상 특정 종의 효모에 의한 탄수화물의 대사, 즉 발효를 통해 생산된다. 봉밀주, 와인, 맥주, 증류주 등과 같은 음료는 모두 생산 단계에서 효모를 사용한다.[14]

19세기 스웨덴 농가 양조업자들이 양조 과정 사이에 효모를 보존하기 위해 사용한 효모 링


맥주 양조중에 형성되는 이산화탄소 거품


맥주와 포도주 외에도 효모는 다음과 같은 다양한 종류의 음료를 만드는 데 사용된다.

  • '''루트 비어''': 원래 아메리카 원주민이 만들었으며, 찰스 엘머 하이어스에 의해 미국에서 상업화되었고, 특히 금주법 시대에 인기가 있었다.
  • '''크바스''': 호밀로 만든 발효 음료로 동유럽에서 인기가 있다. 알코올 함량은 낮지만, 구별 가능한 특징을 가진다.
  • '''콤부차''': 발효된 단맛을 낸 차이다. 공생 관계에 있는 효모와 초산균이 제조에 사용된다. 차에서 발견되는 효모의 종류는 다양할 수 있으며 ''브레타노마이세스 브룩셀렌시스'', ''칸디다 스텔라타'', ''분열 효모 폼베'', ''토룰라스포라 델브루에키'' 및 ''자이고사카로마이세스 바일리'' 등이 포함될 수 있다.
  • '''케피어'''와 '''쿠미스''': 우유를 효모와 박테리아로 발효시켜 만든다.
  • '''마비''' (): ''콜루브리나 엘립티카'' 나무 껍질에 자연적으로 존재하는 야생 효모로 설탕을 발효시켜 만들며, 카리브해 지역에서 인기가 있다.

5. 1. 1. 맥주

양조 효모는 "상면 발효 효모"와 "하면 발효 효모"로 분류할 수 있다.[35] 상면 발효 효모는 발효 중에 맥아즙 상단에 거품을 형성하기 때문에 그렇게 불린다. ''Saccharomyces cerevisiae''가 대표적으로, "에일(ale) 효모"라고도 불린다.[36] 하면 발효 효모는 일반적으로 라거형 맥주를 생산하는 데 사용되지만, 에일형 맥주도 생산할 수 있다. 이 효모는 저온에서 잘 발효된다. 하면 발효 효모의 예로는 이전에 ''S. carlsbergensis''로 알려진 ''Saccharomyces pastorianus''가 있다.

2018년 3월, 분류학자들은 ''S. carlsbergensis''(유바룸)를 ''S. cerevisiae''의 구성원으로 재분류했다. ''S. cerevisiae''의 라거 변종은 멜리비아제라는 효소를 분비하여 이당류인 멜리비오스를 보다 발효성 단당류로 가수분해할 수 있게 한다.[37]

가장 흔한 상면 발효 효모인 ''S. cerevisiae''는 일반적인 빵 효모와 같은 종이다.[38] 맥주 효모는 필수 미네랄과 비타민 B(B12 제외)가 매우 풍부하다.[39] 그러나 빵 효모와 맥주 효모는 전형적으로 서로 다른 균주에 속하며, 서로 다른 특징을 나타낸다. 빵 효모 균주는 가능한 최단 시간 내에 반죽에서 탄산염을 더 배출한다. 맥주 효모 균주는 더 느리지만 풍미 상실이 더 적고 더 높은 알코올 농도를 견디는 경향이 있다(일부 균주의 경우 최대 22%까지).

''Dekkera/Brettanomyces''는 람빅 및 특수 사우어 에일 생산에 중요한 역할을 하는 효모의 속이며, 특정 벨기에 트라피스트 맥주의 2차 숙성에도 관여한다.

5. 1. 2. 포도주

효모는 포도주 양조에 사용되며, 포도즙(머스트)에 존재하는 설탕 (포도당과 과당)을 에탄올로 변환한다. 효모는 보통 포도 껍질 위에 이미 존재한다. 발효는 이 내인성 "야생 효모"로 할 수도 있지만,[40] 이 과정은 존재하는 효모종의 정확한 종류에 따라 달라지기 때문에 예측할 수 없는 결과를 낳는다. 이러한 이유로, 순수한 효모 배양액을 보통 머스트에 첨가한다. 이 효모는 발효를 빠르게 진행하고, 야생 효모를 억제하여 믿을 수 있고 예측 가능한 발효를 보장한다.[41]

대부분의 첨가된 포도주 효모는 ''S. cerevisiae''의 균주이지만, 모든 종의 균주가 적합한 것은 아니다.[41] ''S. cerevisiae'' 효모 균주는 생리적, 발효적 특성이 다르기 때문에 선택된 실제 효모 균주는 완성된 포도주에 직접적인 영향을 미칠 수 있다.[42] 비정형적인 향미 프로파일을 생성하거나 와인의 복잡성을 증가시키는 새로운 포도주 효모 균주의 개발에 중요한 연구가 진행되기도 한다.[43][44]

포도주에 접합효모균속(Zygosaccharomyces)과 브레타노마이시스(Brettanomyces)와 같은 일부 효모의 성장은 포도주 결함과 그에 따른 변질을 초래할 수 있다.[45] 브레타노마이시스는 포도주 속에서 자랄 때 다양한 대사물질을 생산하는데, 그 중 일부는 휘발성 페놀 화합물이다. 이 화합물들은 함께 흔히 "''Brettanomyces'' character"라고 불리며, "항균성" 또는 "바니야드" 타입의 향이라고 표현되기도 한다. 브레타노마이시스는 포도주 산업 내 포도주 결함에 크게 기여하고 있다.[46]

나파 밸리의 슈람스버그 바인야드에서 스파클링 와인 생산 중 병에 든 효모

5. 2. 빵

고대 이집트에서 이미 효모를 이용해 발효된 반죽으로 을 만들었다. 효모가 단당류를 분해하면서 만드는 이산화 탄소에 의해 반죽이 부드럽게 부풀어 오르게 되고, 이렇게 발효된 반죽으로 빵을 만드는 것이다. 중국이나 한국에서는 술지게미를 이용하여 부풀린 과 같은 음식에 이용하기도 하였다.[47]

고대 이집트부터 4,000년 동안 발효에 필요한 효모를 배양하기 위해서 사워도 스타터와 같은 것으로 이용해왔다. 그러다 산업화와 도시화를 통하여 인구밀도가 급격하게 높아진 근대에 빵의 수요가 높아지면서 제빵에 필요한 이스트가 필요하게 되었는데, 여기서 맥주양조장에서 맥주양조와 함께 이스트 생산도 겸하게 되었다. 맥주양조장에서 생산된 맥주효모를 제빵에 사용하게 되었고, 이후 유전공학미생물학의 발달로 종별로 이스트를 나눠 사용하게 되었다. 오늘날엔 대량 생산이 용이한 상업용 이스트를 사용하는 경우가 많지만, 아직도 기존의 사워도로 빵을 만드는 곳도 존재하며, 북유럽에서 주로 생산되는 호밀빵은 사워도로 발효하는 것이 보통이다.

사워도는 공기 중에 존재하는 효모균을 이용해 만든 발효반죽으로 이 반죽의 일부를 남겨 다음 발효반죽에 첨가하는 효모로 이용하며, 발효종이라고도 부른다. 자연적으로 효모를 얻는 만큼 효모 외에 다른 여러 가지 세균들도 공생하게 되며, 이 세균들의 영향에 따라 독특한 풍미와 고유의 식감을 지니게 된다. 그러나, 주변 환경의 영향을 크게 받기 때문에 상업용 이스트와 달리 언제나 높은 품질을 내기 까다로운 단점이 있다.[47] 밀가루에 붙어있는 효모 외에도 포도 등의 과일 종류에 붙어있는 효모를 종균으로 사용할 수도 있다.[48]

효모, 가장 흔하게는 ''S. cerevisiae''는 발효제로 제빵에 사용되며, 반죽에 존재하는 발효 가능한 당을 이산화 탄소로 변환시킨다. 이것은 가스가 주머니나 거품을 형성하면서 반죽이 팽창하거나 부풀어 오르게 한다. 반죽을 구우면 효모가 죽고 공기 주머니가 "고정"되어 구운 제품에 부드럽고 푹신한 질감을 부여한다. 빵 반죽에 감자, 감자 삶은 물, 달걀 또는 설탕을 사용하면 효모의 성장을 가속화한다. 제빵에 사용되는 대부분의 효모는 알코올 발효에 흔히 사용되는 동일한 종이다. 또한, 식물, 과일 및 곡물에서 발견되는 야생 효모인 ''Saccharomyces exiguus'' (''S. minor''로도 알려져 있음)도 가끔 제빵에 사용된다. 빵 제조에서 효모는 처음에 호기성으로 호흡하여 이산화 탄소와 물을 생성한다. 산소가 고갈되면 발효가 시작되어 에탄올을 폐기물로 생성하지만, 이는 굽는 동안 증발한다.

압축된 신선 효모 블록


활성 건조 효모, 효모가 상업적으로 판매되는 과립 형태


효모가 언제 처음 빵을 굽는 데 사용되었는지는 알려져 있지 않다. 이러한 사용을 보여주는 최초의 기록은 고대 이집트에서 나왔다. 연구자들은 밀가루와 물의 혼합물을 평소보다 따뜻한 날에 더 오래 방치했고, 밀가루의 자연적인 오염 물질에서 발생하는 효모가 굽기 전에 발효를 일으켰을 것이라고 추측한다. 그 결과 빵은 일반적인 납작하고 딱딱한 케이크보다 더 가볍고 맛있었을 것이다.

오늘날, 제빵 효모의 여러 소매업체가 있다. 북미 지역의 초기 개발 중 하나는 1868년의 Fleischmann's Yeast이다. 제2차 세계 대전 동안 Fleischmann's는 냉장이 필요 없고, 신선 효모보다 유통 기한이 길며, 두 배 더 빨리 부풀어 오르는 과립 활성 건조 효모를 개발했다. 제빵 효모는 또한 사각형 "케이크"로 압축된 신선 효모로 판매된다. 이 형태는 빠르게 상하기 때문에 생산 후 곧 사용해야 한다. 효모가 만료되었는지 확인하기 위해 물과 설탕의 약한 용액을 사용할 수 있다.[17] 용액에서 활성 효모는 설탕을 에탄올과 이산화 탄소로 발효시키면서 거품이 일고 부풀어 오른다. 일부 레시피에서는 이를 검증이라고 부르는데, 이는 다른 재료를 넣기 전에 효모의 생존 가능성을 "증명"(테스트)하기 때문이다. 사워도우 스타터를 사용할 때는 설탕 대신 밀가루와 물을 넣는데, 이를 스펀지 검증이라고 한다.

효모를 빵을 만드는 데 사용할 때는 밀가루, 소금, 따뜻한 물 또는 우유와 섞는다. 반죽은 부드러워질 때까지 반죽하고, 때로는 크기가 두 배로 될 때까지 부풀어 오르게 한다. 그런 다음 반죽을 덩어리로 성형한다. 일부 빵 반죽은 한 번 부풀어 오른 후 두드려 다시 부풀어 오르게 한 다음 굽는다(이것을 반죽 검증이라고 함). 부풀어 오르는 시간을 더 길게 하면 맛이 더 좋아지지만, 처음 너무 오래 방치하면 마지막 단계에서 효모가 빵을 부풀리지 못할 수 있다.

5. 3. 효모 추출물

효모추출물은 식품첨가물이나 향미로 쓰이는 다양한 형태의 효모 가공품을 통칭한다. 이 효모추출물은 종종 MSG(글루탐산 나트륨)가 사용되는 것과 같은 방식으로 사용된다.[49] 베지마이트, 마마이트와 같은 식품용 효모추출물을 상업적으로 만드는 일반적인 방법은 효모의 부유액에 소금을 첨가해 용액에 삼투압을 높여 세포가 오그라들게 하는 것이다. 이를 통해 효모의 소화효소가 자신의 단백질을 더 간단한 화합물로 분해하는 자기소화를 촉발하는데, 이것은 자기 파괴의 과정이다. 그런 다음 죽어가는 효모 세포를 가열하여 분해를 완료한 후, 껍질(질감이 나쁜 두꺼운 세포벽을 가진 효모)을 분리한다. 효모 추출물은 베지마이트 및 프로마이트(오스트레일리아), 마마이트(영국), 이와는 별도의 다른 마마이트(뉴질랜드), 피탐-R(독일), 세노비스(스위스)에 사용된다.

마마이트와 베지마이트는 어두운 색을 띈다.


효모는 우마미 맛을 위해 식품의 재료로 사용되며, 이는 글루탐산나트륨 (MSG)을 사용하는 방식과 매우 유사하며, MSG와 마찬가지로 효모는 종종 유리 글루탐산을 함유하고 있다.[18]

5. 4. 에탄올

술에 함유된 에탄올(C2H5OH)은 거의 항상 특정 종의 효모에 의한 탄수화물의 대사 작용(발효)으로 생산된다. 봉밀주, 와인, 맥주, 증류주 등은 모두 생산 단계에서 효모를 사용한다.

효모는 사탕수수를 이용하여 대량으로 에탄올을 제조할 때 이용된다. 이렇게 만들어진 에탄올은 의료공업 등에 사용되며 대체 연료로 사용되기도 한다.

효모가 설탕을 에탄올로 전환하는 능력은 생명공학 산업에서 에탄올 연료를 생산하는 데 활용되어 왔다. ''사카로마이세스'' 효모는 유전자 조작을 통해 목당을 발효시키도록 만들어졌다. 목당은 셀룰로스 바이오매스에 존재하는 주요 발효성 당 중 하나이다. 이러한 개발은 에탄올을 더 저렴한 원료에서 효율적으로 생산할 수 있다는 것을 의미하며, 셀룰로스 에탄올 연료를 휘발유 연료보다 더 경쟁력 있는 가격의 대안으로 만들 수 있다.

5. 5. 사료 및 기타

효모 자체는 저렴한 지방·단백질원이 되어 사료로 사용된다.

비타민 B군을 풍부하게 함유하고 있고, 비타민 D를 함유하는 것도 있어 의약품 공업에도 사용되고 있다. 독일에서도 세계대전 중 식량이 부족하여 식용 효모를 사용하였고, 일본에서도 1932년에 약품형태로 만든 효모를 '에비오스', '와카모도'란 상품명으로 판매하였다. 대한민국에서도 서울약품에서 '원기소'란 이름의 건강보조식품을 1956년에 처음 출시하였다.

맥주와 동일한 방법으로 많은 종류의 달콤한 탄산 음료를 생산할 수 있는데, 발효를 더 빨리 중단하여 이산화탄소를 생성하지만 알코올은 극미량만 생성하고 상당량의 잔류 당분을 음료에 남겨둔다.

  • '''루트 비어'''는 원래 아메리카 원주민이 만들었으며, 찰스 엘머 하이어스에 의해 미국에서 상업화되었고, 특히 금주법 시대에 인기가 있었다.
  • '''크바스'''는 호밀로 만든 발효 음료로 동유럽에서 인기가 있다. 알코올 함량은 낮지만, 구별 가능한 특징을 가진다.
  • '''콤부차'''는 발효된 단맛을 낸 차이다. 공생 관계에 있는 효모와 초산균이 제조에 사용된다. 차에서 발견되는 효모의 종류는 다양할 수 있으며 ''브레타노마이세스 브룩셀렌시스'', ''칸디다 스텔라타'', ''분열 효모 폼베'', ''토룰라스포라 델브루에키'' 및 ''자이고사카로마이세스 바일리'' 등이 포함될 수 있다.
  • '''케피어'''와 '''쿠미스'''는 우유를 효모와 박테리아로 발효시켜 만든다.
  • '''마비''' (mabíes)는 ''콜루브리나 엘립티카'' 나무 껍질에 자연적으로 존재하는 야생 효모로 설탕을 발효시켜 만들며, 카리브해 지역에서 인기가 있다.


--

효모는 우마미 맛을 위해 식품의 재료로 사용되며, 이는 글루탐산나트륨 (MSG)을 사용하는 방식과 매우 유사하며, MSG와 마찬가지로 효모는 종종 유리 글루탐산을 함유하고 있다.[18]

  • 효모 추출물은 효모의 세포 내 내용물로 만들어져 식품 첨가물 또는 향료로 사용된다. 베지마이트마마이트와 같은 식품을 위한 효모 추출물을 상업적으로 만드는 일반적인 방법은 '열 자가 분해'이다. 즉, 효모 현탁액에 소금을 첨가하여 용액을 고장액으로 만들면 세포가 수축된다. 이는 자가 분해를 유발하여 효모의 소화 효소가 자체 단백질을 단순한 화합물로 분해하는 자가 파괴 과정을 거친다. 그런 다음 죽어가는 효모 세포를 가열하여 분해를 완료한 후 껍질(두꺼운 세포벽이 있어 질감이 좋지 않은 효모)을 제거한다. 효모 자가 분해물은 베지마이트와 프로마이트 (호주), 마마이트 (영국), 관련 없는 마마이트 (뉴질랜드), 비탐-R (독일) 및 세노비스 (스위스)에서 사용된다.
  • 영양 효모 플레이크는 노란색이다
    영양 효모는 일반적으로 ''S. cerevisiae''인 통째로 건조되고 비활성화된 효모 세포이다. 일반적으로 노란색 플레이크 또는 가루 형태로 나타나며, 견과류와 우마미 풍미는 채식주의자를 위한 치즈 가루 대용품으로 만든다. 또 다른 인기 있는 사용법은 팝콘 토핑으로 사용되는 것이다. 으깬 감자와 튀긴 감자는 물론 스크램블 에그에도 사용할 수 있다. 플레이크 형태로 제공되거나 옥수수 가루와 비슷한 질감의 노란색 가루로 제공된다. 호주에서는 때때로 "세이버리 효모 플레이크"로 판매된다.


위의 두 가지 유형의 효모 식품은 B 복합체 비타민이 풍부하여 (강화되지 않는 한 비타민 B12 제외) 채식주의자에게 매력적인 영양 보충제가 된다. 동일한 비타민은 위에 언급된 일부 효모 발효 제품(예: 콰스)에서도 발견된다.[19] 특히 영양 효모는 지방과 나트륨 함량이 자연적으로 낮으며 단백질과 비타민은 물론 성장에 필요한 기타 미네랄과 보조 인자의 공급원이다. 많은 브랜드의 영양 효모와 효모 추출물 스프레드는 모두 그런 것은 아니지만, 비타민 B12로 강화되어 있으며, 이는 박테리아에 의해 별도로 생성된다.

1920년, 플레시만 효모 회사는 "건강을 위한 효모" 캠페인에서 효모 케이크를 홍보하기 시작했다. 그들은 처음에 효모를 비타민 공급원으로 강조했으며 피부와 소화에 좋다고 했다. 그들의 후기 광고는 훨씬 더 광범위한 건강상의 이점을 주장했으며, 이는 연방 거래 위원회에 의해 오해의 소지가 있는 것으로 비난받았다. 효모 케이크 열풍은 1930년대 후반까지 지속되었다.[20]

효모는 종종 수족관 애호가들이 수초 어항의 식물에 영양을 공급하기 위해 이산화 탄소(CO2)를 생성하는 데 사용된다. 효모에서 나오는 CO2 수준은 가압 CO2 시스템에서 나오는 것보다 조절하기가 더 어렵다. 그러나 효모는 가격이 저렴하여 널리 사용되는 대안이 된다.

6. 생명공학 및 의학적 이용

효모는 생명공학 및 의학 분야에서 다양하게 활용된다. 특히 사카로마이세스 세레비지애(''S. cerevisiae'')는 유전자 조작이 용이하고 생리적 특성이 잘 알려져 있어 널리 사용된다.


  • '''생물 정화''': 일부 효모는 생물 정화에 활용될 가능성이 있다. 예를 들어, ''Yarrowia lipolytica''는 팜유 공장 폐수나 폭발물 TNT 등 다양한 오염 물질을 분해할 수 있다.
  • '''프로바이오틱스''': ''S. 보울라디''는 프로바이오틱스 보충제로 사용되어 장 건강에 기여한다.
  • '''모델 생물''': ''사카로미세스 세레비지애''와 ''시조사카로미세스 폼베''는 진핵생물 세포 연구에 중요한 모델 생물이다. 세포 주기, DNA 복제 등 기본적인 세포 과정을 연구하는 데 활용되며, 인간 생물학에서 중요한 많은 단백질이 효모 연구를 통해 발견되었다.
  • '''유전자 조작''': 대사 공학 기술을 통해 효모를 유전자 조작하여 다양한 바이오의약품을 생산할 수 있다. ''사카로마이세스 세레비지애''는 인슐린, 간염 백신 등 다양한 의약품 생산에 사용된다.
  • '''산업적 에탄올 생산''': 효모는 사탕수수를 이용하여 대량으로 에탄올을 제조할 때 이용된다.
  • '''기타''': 물벼룩에 기생하는 메치니코비아는 일리야 메치니코프가 식세포를 발견하는데 중요한 역할을 했다.


사카로미케스속(Saccharomyces)이나 시조사카로미세스속(Schizosaccharomyces)은 발효를 통해 알코올을 생성하며, 식품 가공과 생물학 연구에 사용된다. 출아 효모와 분열 효모는 진핵 세포의 기본 메커니즘을 밝히는 데 기여했다. 데바리오미케스속(Debaryomyces)처럼 발효를 하는 것과 하지 않는 효모도 있다.

사람에게 질병을 일으키는 효모로는 백선균(무좀), 질염이나 피부염의 원인이 되는 칸디다, 아스페르길루스증을 일으키는 아스페르길루스속균, 여드름과 유사한 지루성 피부염의 원인이 되는 Malassezia|말라세지아속영어[32] 등이 있다. 뉴모시스티스 폐렴의 병원체인 뉴모시스티스 지로베치(Pneumocystis jiroveci)는 과거 '카리니 원충'으로 불렸으나, 현재는 자낭균에 가까운 것으로 밝혀졌다.

6. 1. 생물 정화

효모의 일부는 생물 정화 분야에서 잠재적인 응용 가능성이 발견되고 있다. 그중 하나인 ''Yarrowia lipolytica''는 팜유 공장 폐수, TNT(폭발물), 알케인, 지방산, 지방, 기름 등 기타 탄화수소를 분해하는 것으로 알려져 있다. ''Yarrowia lipolytica''는 또한 높은 농도의 염과 중금속에 대한 내성이 있으며, 중금속 생물 흡착제로서의 잠재력에 대해 연구되고 있다. ''Saccharomyces cerevisiae''는 산업 폐수에서 비소와 같은 독성 오염 물질을 생물 정화할 가능성이 있다. 청동 조각상은 특정 효모 종에 의해 분해되는 것으로 알려져 있다. 브라질 금광의 다양한 효모는 자유 복합 은 이온을 생물 농축한다.

6. 2. 산업적 에탄올 생산

효모는 사탕수수를 이용하여 대량으로 에탄올을 제조할 때 이용된다. 사탕수수를 이용한 에탄올의 주요 산지는 브라질이다. 이렇게 만들어진 에탄올은 의료공업 등에 사용되며 대체 연료로 사용되기도 한다.

효모가 설탕을 에탄올로 전환하는 능력은 생명공학 산업에서 에탄올 연료를 생산하는 데 활용되어 왔다. 이 과정은 사탕수수, 옥수수, 또는 다른 곡물과 같은 원료를 분쇄한 다음, 희석된 황산, 또는 곰팡이 알파 아밀레이스 효소를 첨가하여 전분을 복합 당으로 분해하는 것으로 시작된다. 그런 다음 글루코아밀라아제를 첨가하여 복합 당을 단순 당으로 분해한다. 그 후 효모를 첨가하여 단순 당을 에탄올로 전환한 다음 증류하여 순도 96%까지 에탄올을 얻는다.

''사카로마이세스'' 효모는 유전자 조작을 통해 목당을 발효시키도록 만들어졌다. 목당은 셀룰로스 바이오매스, 예를 들어 농업 잔류물, 종이 폐기물, 나무 조각 등에 존재하는 주요 발효성 당 중 하나이다. 이러한 개발은 에탄올을 더 저렴한 원료에서 효율적으로 생산할 수 있다는 것을 의미하며, 셀룰로스 에탄올 연료를 휘발유 연료보다 더 경쟁력 있는 가격의 대안으로 만들 수 있다.

6. 3. 프로바이오틱스

프로바이오틱스 보충제 중 일부는 효모 ''S. 보울라디''를 사용하여 위장관 내의 자연적인 균총을 유지하고 회복시킨다. ''S. 보울라디''는 급성 설사 증상을 완화하고, ''클로스트리디움 디피실''(종종 C. difficile 또는 C. diff로 간단히 식별됨)에 의한 감염 가능성을 줄이며, 설사가 주 증상인 과민성 대장 증후군 환자의 배변 횟수를 줄이고, 항생제, 여행자, HIV/AIDS 관련 설사 발생률을 감소시키는 것으로 나타났다.

6. 4. 모델 생물

효모는 실험실에서 배양이 쉽고 번식력이 강하며, 대장균보다 고등한 생물이라는 점 때문에 생물학유전공학에서 중요한 실험체로 많이 쓰인다.

효모 세포 다이어그램


특히 ''사카로미세스 세레비지애''(S. cerevisiae)와 ''시조사카로미세스 폼베''(S. pombe)를 포함한 여러 효모는 유전학과 세포 생물학에서 광범위하게 사용되어 왔다. 이는 주로 효모가 단순한 진핵생물 세포이기 때문이며, 세포 주기, DNA 복제, 유전자 재조합, 세포 분열, 그리고 대사와 같은 기본적인 세포 과정을 연구하기 위한 인간을 포함한 모든 진핵생물에 대한 모델로 활용된다. 또한 효모는 실험실에서 쉽게 조작하고 배양할 수 있어 효모 투 하이브리드, 합성 유전자 배열 분석, 그리고 사분자 분석과 같은 강력한 표준 기술의 개발을 가능하게 했다. 인간 생물학에서 중요한 많은 단백질이 효모의 상동체를 연구하여 처음 발견되었다. 이러한 단백질에는 세포 주기 단백질, 세포 신호 전달 단백질, 그리고 단백질 처리 효소가 포함된다.

1996년 4월 24일, ''S. cerevisiae''는 1,200만 염기쌍으로 구성된 게놈의 전체 염기 서열이 게놈 프로젝트의 일환으로 최초로 밝혀진 진핵생물로 발표되었다. 당시 이는 전체 게놈 염기 서열이 밝혀진 가장 복잡한 유기체였으며, 7년의 연구 기간과 100개 이상의 연구실의 참여가 필요했다. 게놈 염기 서열이 밝혀진 두 번째 효모 종은 2002년에 완료된 ''Schizosaccharomyces pombe''였다. 이는 여섯 번째로 염기 서열이 밝혀진 진핵생물 게놈이었으며, 1,380만 염기쌍으로 구성되어 있다. 2014년 기준으로 50종 이상의 효모 종의 게놈 염기 서열이 밝혀지고 발표되었다.

두 주요 효모 모델의 유전체 및 기능 유전자 주석은 각 모델 생물 데이터베이스를 통해 접근할 수 있다. SGD[21][22]와 PomBase.[23][24]

6. 5. 유전자 조작

다양한 효모 종은 다양한 약물을 효율적으로 생산하도록 유전자 조작되었으며, 이는 대사 공학이라고 불리는 기술이다.[25] ''S. cerevisiae''는 유전자 조작이 용이하며, 생리학, 대사 및 유전학이 잘 알려져 있고, 가혹한 산업 조건에서도 사용할 수 있다. 페놀, 이소프레노이드, 알칼로이드, 폴리케타이드를 포함하여 다양한 종류의 광범위한 화학 물질을 유전자 조작된 효모로 생산할 수 있다. 약 20%의 바이오의약품이 ''S. cerevisiae''에서 생산되며, 여기에는 인슐린, 간염 백신, 사람 혈청 알부민이 포함된다.

7. 병원성 효모

일부 효모 종은 면역 체계가 손상된 사람들에게 감염을 일으킬 수 있는 기회 감염균이다. ''크립토코쿠스 네오포르만스''와 ''크립토코쿠스 가티''는 면역 저하된 사람들에게 심각한 병원균이다. 이들은 매년 약 100만 명의 HIV/AIDS 환자에게 발생하여 60만 명 이상이 사망하는 진균 감염인 크립토코쿠스증의 주요 원인 종이다. 이러한 효모의 세포는 굳은 다당류 캡슐로 둘러싸여 있어 인체 내의 백혈구가 이를 인식하고 삼키는 것을 막는 데 도움이 된다.

그람 염색한 질 분비물에서 얻은 ''칸디다 알비칸스''. 작은 타원형의 클라미도포어는 지름이 2–4 μm이다.


균사 생장과 기타 형태학적 특징을 보여주는 ''칸디다 알비칸스''의 현미경 사진


또 다른 기회 감염균 그룹인 ''Candida''(칸디다) 속의 효모는 사람에게 구강 칸디다증 및 질 감염을 일으키며, 이를 칸디다증이라고 한다. ''칸디다''는 사람 및 기타 온혈 동물의 점막에서 흔히 발견되는 공생 효모이다. 그러나 때로는 이러한 균주가 병원성이 될 수 있다. 효모 세포는 균사가 돋아나 국소적으로 점막을 관통하여 조직의 자극과 탈락을 유발한다. 1980년대의 한 책에서는 인간에 대한 칸디다증의 병원성 효모를 독성의 가능한 내림차순으로 다음과 같이 나열했다: ''칸디다 알비칸스'', ''칸디다 트로피칼리스'', ''칸디다 스텔라토이데아'', ''칸디다 글라브라타'', ''칸디다 크루세이'', ''칸디다 파라프실로시스'', ''칸디다 귀이예르몬디'', ''칸디다 비스와나티'', ''칸디다 루시타니아에'', ''Rhodotorula mucilaginosa''(로도토룰라 무실라기노사). ''칸디다 글라브라타''는 ''칸디다 알비칸스'' 다음으로 두 번째로 흔한 ''칸디다'' 병원균으로, 비뇨생식기 감염 및 혈류 감염(칸디다혈증)을 유발한다. ''칸디다 아우리스''는 최근에 확인되었다.

사람의 병의 원인이 되는 것으로는 백선균(무좀), 질염이나 피부염의 원인이 되는 칸디다, 아스페르길루스증을 일으키는 아스페르길루스속균, 여드름과 유사한 지루성 피부염 등의 원인이 되는 Malassezia|말라세지아속영어[32] 등이 있다. 카리니 폐렴(뉴모시스티스 폐렴)의 병원체 뉴모시스티스 지로베치는 종래 '카리니 원충'이라고 불렸지만, 현재는 자낭균에 가까운 것으로 밝혀지고 있다.

8. 식품 부패

효모는 낮은 pH(5.0 이하)의 식품과 당, 유기산 및 기타 쉽게 대사되는 탄소원이 있는 환경에서 성장할 수 있다. 성장하는 동안 효모는 일부 식품 성분을 대사하고 대사 최종 산물을 생성한다. 이로 인해 식품의 물리적, 화학적 및 감각적 특성이 변하고 식품이 부패한다. 식품 내에서 효모의 증식은 치즈나 고기와 같이 표면에서, 또는 주스, 시럽, 과 같은 반액체 제품과 같은 음료에서 당을 발효시켜 자주 관찰된다. 지고사카로미세스속 효모는 식품 산업에서 부패 효모로서 오랜 역사를 가지고 있다. 이는 주로 이 종들이 높은 농도의 자당, 에탄올, 아세트산, 소르브산, 벤조산, 이산화황이 존재하는 환경에서도 성장할 수 있기 때문이며, 이는 일반적으로 사용되는 일부 식품 보존 방법을 나타낸다. 메틸렌 블루는 살아있는 효모 세포의 존재를 검사하는 데 사용된다. 양조학에서 주요 부패 효모는 ''브레타노미세스 브룩셀렌시스''이다.

''칸디다 블랑키이''는 이베리아 햄과 육류에서 검출되었다.[26]

참조

[1] 서적 Molecular Mechanisms in Yeast Carbon Metabolism https://books.google[...] Springer 2014
[2] 저널 An Ancient Yeast for Young Geneticists: A Primer on the Schizosaccharomyces pombe Model System 2015-10-00
[3] 저널 Isolation and Characterization of Live Yeast Cells from Ancient Vessels as a Tool in Bio-Archaeology https://mbio.asm.org[...] 2019-00-00
[4] 저널 Saccharomyces yeast growth on beet molasses effects of substrate concentration on alcohol toxicity 1987-00-00
[5] 간행물 Conduite des ateliers de fermentation alcoolique de produits sucriers (mélasses et égouts) 1988-00-00
[6] 뉴스 Visitez la fabrique de levure https://www.leparisi[...] 2009-10-21
[7] 저널 The decay and fungal succession of apples with bitter rot across a vegetation diversity gradient 2021-00-00
[8] 저널 Marine yeasts—a review http://dyuthi.cusat.[...] 2008-00-00
[9] 저널 Marine yeasts—a review 2008-07-00
[10] 저널 A New Isolation and Evaluation Method for Marine-Derived Yeast spp. with Potential Applications in Industrial Biotechnology http://www.jmb.or.kr[...] 2016-11-28
[11] 저널 Marine yeast isolation and industrial application 2014-09-00
[12] 저널 The establishment of a marine focused biorefinery for bioethanol production using seawater and a novel marine yeast strain 2018-08-14
[13] 서적 The evolutionary origin and maintenance of sexual recombination: A review of contemporary models Springer 2003-00-00
[14] 서적 Handbook of Brewing https://books.google[...] CRC Press 2006-00-00
[15] 서적 The Practical Brewer Master Brewers Association of the Americas 1999-00-00
[16] 뉴스 Eureka! Vancouver scientists take the headache out of red wine https://vancouversun[...] 2011-02-15
[17] 웹사이트 Does Yeast Expire? [Active Dry vs Instant Yeast] https://pizzaovenshu[...] 2023-08-24
[18] 서적 Handbook of Brewing, Second Edition https://books.google[...] CRC Press 2006-02-22
[19] 저널 Nutritional value, vitamins, sugars and aroma volatiles in naturally fermented and dry kvass http://llufb.llu.lv/[...] Faculty of Food Technology, Latvia University of Life Sciences and Technologies 2017-04-00
[20] 저널 The healing power of compressed yeast https://www.scienceh[...] 2015-00-00
[21] 웹사이트 About SGD https://www.yeastgen[...]
[22] 저널 Saccharomyces Genome Database: the genomics resource of budding yeast. 2012-01-00
[23] 웹사이트 PomBase http://www.pombase.o[...]
[24] 저널 PomBase 2018: user-driven reimplementation of the fission yeast database provides rapid and intuitive access to diverse, interconnected information. 2018-10-13
[25] 저널 Metabolic engineering of Saccharomyces cerevisiae for the de novo production of psilocybin and related tryptamine derivatives 2020-07-01
[26] 서적 Handbook of Fermented Meat and Poultry https://books.google[...] Wiley-Blackwell 2014-10-00
[27] 저널 Morphological and ecological similarities: wood-boring beetles associated with novel xylose-fermenting yeasts, Spathaspora passalidarum gen. sp. nov. and Candida jeffriesii sp. nov. 2006-10-01
[28] 웹사이트 Wild fruits with higher alcohol content found to be more widely dispersed by mammals https://phys.org/new[...] 2023-07-20
[29] 웹사이트 Alcoholic fruit may help plants recruit mammals to spread their seeds https://www.newscien[...] 2023-07-19
[30] 저널 Multitrophic interaction facilitates parasite–host relationship between an invasive beetle and the honey bee 2007-05-15
[31] 웹사이트 発酵の発見と利用の歴史 古代から酒づくりなどに使われた「神の恵み」の発酵 https://www.suntory.[...] 2019-11-17
[32] PDF Malassezia の菌学 http://www.jsmm.org/[...] 日本医真菌学会 2007-00-00
[33] 저널 耐塩性酵母の微細構造 https://doi.org/10.6[...] 1987-00-00
[34] 저널 Metabolic Engineering of Saccharomyces cerevisiae 2000-00-00
[35] 서적 Handbook of Brewing https://books.google[...] CRC Press 2006-00-00
[36] 서적 The Sommelier Prep Course: An Introduction to the Wines, Beers, and Spirits of the World https://books.google[...] John Wiley and Sons
[37] 서적 The Practical Brewer Master Brewers Association of the Americas
[38] 서적 Understanding Baking: The Art and Science of Baking https://books.google[...] John Wiley and Sons
[39] 웹사이트 Brewer's yeast http://www.umm.edu/a[...] University of Maryland Medical Center
[40] 저널 Going wild: wild yeast in winemaking http://www.findartic[...] 1997-09-01
[41] 저널 Differentiation of industrial wine yeast strains using microsatellite markers https://semanticscho[...]
[42] 저널 Microarray karyotyping of commercial wine yeast strains reveals shared, as well as unique, genomic signatures
[43] 웹사이트 Research enables yeast supplier to expands options http://www.gwrdc.com[...]
[44] 저널 Generation of novel wine yeast strains by adaptive evolution
[45] 저널 Spoilage yeasts in the wine industry
[46] 웹사이트 Brettanomyces (Dekkera) http://www.winepros.[...]
[47] 웹인용 천연 발효빵을 연구해 온 우드박사 http://navercast.nav[...] 네이버캐스트 2015-02-10
[48] 웹인용 전문가가 알려주는 천연발효빵 레시피, “몸에 이로운 천연발효빵 맛, 궁금하시죠?” http://health.chosun[...] 헬스조선 2013-12-26
[49] 서적 p. 691. https://books.google[...]



본 사이트는 AI가 위키백과와 뉴스 기사,정부 간행물,학술 논문등을 바탕으로 정보를 가공하여 제공하는 백과사전형 서비스입니다.
모든 문서는 AI에 의해 자동 생성되며, CC BY-SA 4.0 라이선스에 따라 이용할 수 있습니다.
하지만, 위키백과나 뉴스 기사 자체에 오류, 부정확한 정보, 또는 가짜 뉴스가 포함될 수 있으며, AI는 이러한 내용을 완벽하게 걸러내지 못할 수 있습니다.
따라서 제공되는 정보에 일부 오류나 편향이 있을 수 있으므로, 중요한 정보는 반드시 다른 출처를 통해 교차 검증하시기 바랍니다.

문의하기 : help@durumis.com