국소 분절 사구체 경화증
"오늘의AI위키"의 AI를 통해 더욱 풍부하고 폭넓은 지식 경험을 누리세요.
1. 개요
국소 분절 사구체 경화증(FSGS)은 신장 사구체의 질환으로, 사구체의 특정 부분에 흉터가 생기는 것이 특징이다. 원인은 1차성과 2차성으로 나뉘며, 1차성은 유전적 요인이 관련될 수 있고, 2차성은 다른 질환이나 비만, 폐쇄성 수면 무호흡증 등과 관련이 있다. FSGS는 사구체 손상으로 단백질이 소변으로 과다 배출되고, 부종, 고지혈증 등의 증상을 유발하며, 신장 생검을 통해 진단한다. 치료는 원인과 증상에 따라 다르며, 항염증제, 글루코코르티코이드, 칼시뉴린 억제제 등이 사용된다. 치료받지 않으면 말기 신부전으로 진행될 수 있으며, 단백뇨 정도와 치료 반응이 예후에 중요한 영향을 미친다. FSGS는 신증후군의 흔한 원인 중 하나이며, 흑인과 남성에서 발병률이 더 높다.
더 읽어볼만한 페이지
- 특발성 질환 - 후종인대 골화증
후종인대 골화증은 척추의 후종인대가 뼈처럼 굳어져 척수를 압박하여 목 부위 통증, 신경 이상 등의 증상을 유발하는 질환이다. - 통로병증 - 망막색소변성증
망막색소변성증은 망막 광수용체 세포 손상으로 시력 저하를 일으키는 유전 질환으로, 야맹증, 시야 감소, 특징적인 안저 소견을 보이며 현재 완치법은 없으나 다양한 치료법이 연구 중이다. - 통로병증 - 브루가다 증후군
브루가다 증후군은 심장 박동 이상을 일으켜 실신이나 급성 심장사를 유발할 수 있는 유전 질환으로, 특징적인 심전도 패턴을 보이며, 심전도 검사로 진단하고, 급사를 예방하기 위해 생활 습관 관리, 이식형 제세동기 삽입 등의 치료를 시행한다. - 신장 비뇨기 질환 - 신장염
신장염은 콩팥에 발생한 염증으로, 자가면역질환, 요로감염, 루푸스, 격렬한 운동 등이 원인이 되어 혈뇨, 핍뇨, 요독증, 고혈압 등의 증상을 유발하며, 혈액 검사, X레이, 초음파 등으로 진단하고 원인에 따라 치료한다. - 신장 비뇨기 질환 - 신우신염
신우신염은 신장의 신우와 신실질에 발생하는 감염으로, 급성(고열, 배뇨통, 옆구리 통증)과 만성(지속적인 옆구리 통증, 체중 감소)으로 나뉘며, 대장균과 장구균이 주요 원인균이고, 항생제로 치료하며, 요로의 구조적 이상, 당뇨병, 면역 저하 등이 위험 요인이다.
| 국소 분절 사구체 경화증 | |
|---|---|
| 질병 개요 | |
| 이름 | 국소 분절 사구체 경화증 |
| 영어 이름 | Focal segmental glomerulosclerosis |
| 다른 이름 | 국소 사구체 경화증 국소 결절 사구체 경화증 |
| 임상 정보 | |
| 전문 분야 | 신장학 |
| 증상 | (제공된 정보 없음) |
| 합병증 | (제공된 정보 없음) |
| 발병 시기 | (제공된 정보 없음) |
| 지속 기간 | (제공된 정보 없음) |
| 유형 | (제공된 정보 없음) |
| 원인 및 위험 요소 | |
| 원인 | (제공된 정보 없음) |
| 위험 요소 | (제공된 정보 없음) |
| 진단 및 감별 진단 | |
| 진단 | (제공된 정보 없음) |
| 감별 진단 | (제공된 정보 없음) |
| 예방 및 치료 | |
| 예방 | (제공된 정보 없음) |
| 치료 | (제공된 정보 없음) |
| 약물 | (제공된 정보 없음) |
| 예후 | (제공된 정보 없음) |
| 역학 | |
| 빈도 | (제공된 정보 없음) |
| 사망자 수 | (제공된 정보 없음) |
| 이미지 | |
![]() | |
| 식별 | |
| ICD-10 | N00-N08 (.1이 마지막에 붙음) |
| ICD-9 | '581.1' |
| OMIM | '603278' |
| OMIM (추가) | '603965' '607832' |
| MedlinePlus | '000478' |
| eMedicine 주제 | med/2944 |
| MeSH | D005923 |
2. 원인
국소 분절 사구체 경화증(FSGS)은 원인에 따라 크게 1차성과 2차성으로 나눌 수 있다. 1차성은 원인이 명확하지 않은 경우이고, 2차성은 다른 질환이나 요인에 의해 발생하는 경우이다.
2. 1. 1차성 원인
사구체 상피세포 손상의 결과로 발생하는 사구체 병변으로, 가족력, 약물, 바이러스 감염 등 다양한 원인이 있다. 유전적인 원인이 인정된다.[1]2. 2. 2차성 원인
2차성 국소 분절 사구체 경화증은 다른 질환이나 상태에 의해 발생하는 경우이다. 원인으로는 다음과 같은 것들이 있다.- 출생 시 신장 문제 또는 신장으로의 역류
- 비만
- 폐쇄성 수면 무호흡증
- 낫적혈구병(Sickle Cell Disease)
- HIV
- 자가면역질환 (예: 루푸스)
가족성, 약물성, 바이러스 감염 등 다양한 원인이 있을 수 있다. 2차성 국소 분절 사구체 경화증은 사구체 상피세포 손상의 결과로 발생하는 사구체 병변이다.
3. 병태 생리
사구체가 손상을 입으면 과잉 수분과 해로운 노폐물이 피 속에 남게 된다. 또한, 적혈구와 알부민 같은 단백질이 오줌으로 빠져나가게 된다. 이때 단백질 때문에 오줌에 거품이 생길 수 있다. 혈관 안에 수분을 유지하는 알부민이 감소하면서 얼굴과 다리가 붓는 부종이 나타나기도 한다. 콜레스테롤 수치가 높아져 고지혈증이 발생할 수도 있다.[13][14]
국소 분절 사구체 경화증(FSGS)은 주로 이온과 용질을 여과하는 신장 사구체의 질환이다. 족세포는 보먼 주머니를 덮고 있는 특수 세포로, 5nm보다 큰 분자가 여과되는 것을 막아 여과 장벽에 기여한다.[15] FSGS는 신장 족세포 손상을 일으켜 단백질을 포함한 더 큰 분자가 여과되어 신장을 통해 손실된다.[16][17] 따라서 FSGS의 많은 징후와 증상은 단백질 손실과 관련이 있다.[18]
조직학적으로 FSGS는 사구체 일부에 흉터(경화증)가 나타나는 질환이다. 사구체의 일부만 영향을 받는다는 특징이 있다.[7][19][20] 이러한 국소적이고 분절적인 특성은 FSGS를 다른 유형의 사구체 경화증과 구별하는 데 도움이 된다.[20]
FSGS는 족세포 손상의 원인에 따라 분류할 수 있다. 뚜렷한 원인을 쉽게 식별할 수 없는 경우를 원발성 FSGS라고 한다.[21] 이 경우 혈액 내에 식별되지 않은 순환 인자가 족세포 손상에 영향을 주는 것으로 추정된다.[21][22]
이차성 FSGS는 족세포를 손상시키는 식별 가능한 스트레스 또는 독소에 의해 발생한다.[21] 과도한 신장 사구체 여과 시나리오인 과여과는 이차성 FSGS의 주요 원인 중 하나로, 족세포 손상에 기여한다.[23] 과여과는 비만, 당뇨병, 또는 반대쪽 신장 손실 등으로 인해 발생할 수 있다.[23]
아나볼릭 스테로이드와 헤로인을 포함한 독소 또한 이차성 FSGS를 유발할 수 있다.[24][25]
FSGS와 관련된 여러 유전자가 있다. 여과 장벽에 기여하는 단백질 네프린을 암호화하는 ''NPHS1'',[26] 족세포에서 발견되는 단백질 포도신을 암호화하는 ''NPHS2'',[27] 액틴 결합 단백질 포르민을 암호화하는 ''INF2'' 등이 여기에 포함된다.[28]
HIV 관련 FSGS의 발병 기전은 불분명하지만, APOL1 유전자의 G1/G2 위험 대립 유전자와 관련이 있을 수 있다. HIV가 세뇨관 상피 세포와 족세포를 감염시킬 수 있다는 일부 연구 결과가 있지만, 아직 더 많은 연구가 필요하다.[29]
APOL1의 기능 획득 돌연변이 또한 이 질환의 발병 기전에 영향을 주는 것으로 제안되었다.[30]
4. 증상
사구체가 손상을 입어 과잉 수분과 해로운 노폐물이 피 속에 남게 된다. 또한, 적혈구와 알부민 같은 단백질이 오줌으로 나가게 된다. 이때 단백질로 인해 오줌에 거품이 생긴다. 혈관 안에 수분을 유지하는 알부민이 감소하면서 얼굴과 다리가 붓는 부종이 발생하고, 콜레스테롤 수치가 높아져 고지혈증이 생길 수도 있다.[2][5]
신장 사구체에서 단백질이 비정상적으로 손실되면 다음과 같은 증상이 나타난다.[2][5]
신장 사구체에 의한 혈액 단백질 손실은 다음과 같은 징후를 유발한다.[2][5][9]
- 소변 내 단백질 (종종 신증후군 범위인 하루 3.5g 초과)
- 낮은 혈청 알부민 (3.5 g/dl 미만)
- 낮은 혈청 항체
- 높은 혈청 콜레스테롤 (낮은 혈청 종창압을 보상하기 위한 간의 보상 작용)
- 소변 내 지방 원주 (고콜레스테롤혈증에 이차적으로 발생)
신증후군을 보이는 경우가 많아 부종이나 고혈압을 동반하기 쉽다.
원발성 증상으로는 식욕 부진, 권태감, 고농도 단백질로 인한 거품뇨가 있다. 부종으로 인해 호흡 곤란, (흉수) 흉부 불쾌감, 복통 (복수)이 발생할 수 있다.
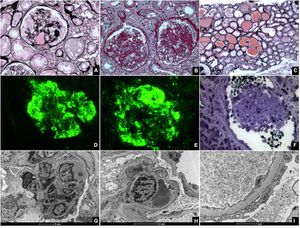
5. 진단
FSGS는 신장 생검을 통해 진단하는데, 최소 8개의 사구체를 포함하는 15개 이상의 연속 절편을 포함해야 한다.[31][32] 조직학적으로는 사구체 공간 일부(평균 15%)에서 경화증(반흔 형성)이 나타나며, 사구체의 일부에서만 경화증이 나타난다.[32]
FSGS 진단에 도움이 되는 다른 검사로는 소변 단백질, 요검사, 혈청 알부민, 혈청 지질 검사 등이 있다.[2] 단백뇨, 낮은 혈중 단백질 수치(알부민, 항체), 높은 혈중 콜레스테롤 수치는 FSGS 진단을 뒷받침하지만, 이것만으로 FSGS와 다른 단백뇨 원인을 구별할 수는 없다.[5][9]
; 요 검사
: 단백뇨가 반드시 나타나며, 다양한 단백질이 섞여 나오는 요 단백의 저선택성을 보인다. 눈에 보이지 않는 소량의 적혈구가 섞여 나오는 현미경적 혈뇨가 나타나기도 한다.
; 혈액 검사
: 신증후군이 나타나면 저단백혈증, 저알부민혈증이 보인다. 고지혈증이나 피브리노겐 상승이 나타나기도 한다.
; 신장 바늘 생체 검사 (신장 생검)
: 완전히 정상적인 사구체와 병변이 있는 사구체가 섞여 있으며(소상 병변), 병변이 있는 사구체에서는 병변이 사구체의 일부에만 국한된다(분절성 병변). 병변이 있는 사구체 전체가 경화성 병변으로 채워지는 경우도 있다(유리화). 정상적인 사구체만 생검으로 채취되면 MCNS와 감별하기 어렵다. 면역 염색에서는 유의미한 면역 복합체나 항체 침착이 나타나지 않는다.
5. 1. 분류
국소 분절 사구체 경화증(FSGS)은 신장 생검에서 관찰되는 병리학적 소견에 따라 다섯 가지 변이로 구분될 수 있다.[34]# 붕괴 변이
# 사구체 말단 병변 변이
# 세포 변이
# 주변부 변이
# 달리 명시되지 않음(NOS) 변이
이러한 변이를 인식하는 것은 일차성 국소 분절 사구체 경화증 환자들의 예후에 대한 가치를 가질 수 있다. 붕괴 변이는 말기 신부전으로 진행될 확률이 더 높으며, 사구체 말단 병변 변이는 대부분의 환자에서 말기 신부전으로 진행될 확률이 낮다.[35] 세포 변이는 붕괴 변이 및 사구체 말단 변이와 유사한 임상적 양상을 보이지만 다른 두 변이의 중간 정도의 결과를 보인다.[35]

6. 치료
일차성 국소 분절 사구체 경화증의 1차 치료는 항염증제 투여로 이루어진다.[10] 구체적으로, 글루코코르티코이드는 신증후군 범위의 단백뇨(하루 3.5g 초과)를 보이는 환자에게 시작한다.[36][37] 글루코코르티코이드에도 불구하고 신증후군 범위의 단백뇨가 지속되거나 글루코코르티코이드 불내성을 보이는 환자에게는 칼시뉴린 억제제 (예: 타크로리무스)를 투여한다.[37] 치료 성공은 단백뇨가 신증후군 이하 범위로 감소하는 것으로 정의한다.[6]
이차성 국소 분절 사구체 경화증의 치료는 특정 독성 또는 스트레스 인자를 해결하는 것이다.[36] 항응고제(와파린, 헤파린 등), 면역억제제, 지질대사 개선제, 스테로이드 펄스 요법 등이 사용되며, 항응고제는 항혈소판제와 조합하여 사용하면 증상 진행에 효과가 있다고 여겨진다. 면역억제제는 부작용이 나타나지만 스테로이드 펄스 요법을 효과적으로 발휘시키는 작용이 있다. 효과를 지속시키기 위해서는 면역억제제와 스테로이드를 조합하여 사용할 필요가 있다. 지질대사 개선제에는 LDL 흡착 요법 등이 있으며, 이는 고지혈증을 예방하는 데 사용된다. 스테로이드는 일반적으로 프레드니솔론을 사용하며, 장기적인 관점에서 유효성이 시사되고 있지만, 장기간 복용하면 다양한 합병증이 발생하기 쉽다. 수술 요법으로는 신장이식을 시행하는 경우도 있다.
최근, FSGS의 병리학적 분류가 이루어졌으며, 조직형에 따라 치료 반응성에 차이가 있음이 밝혀졌다. FSGS는 이식 신장에서의 재발 사례가 많은 것으로 알려져 있으며, 어떤 액성 인자의 관여가 추정되고 있다.
치바 대학의 보도자료에 따르면, 이버멕틴 투여를 통해 신장의 포도사이트(사구체 발세포)에 발현하는 덴드린이라는 단백질의 세포핵으로의 이동을 억제함으로써 만성 신장병의 진행을 늦출 수 있다는 것이 발견되었다.
따라서, 사구체 경화증의 병세 진행 억제에 이버멕틴과 프레드니솔론의 병용 요법이 유망할 것으로 보인다.
7. 합병증
사구체가 손상을 입게 되어 과잉 수분과 해로운 노폐물이 피 속에 남게 된다. 또한 적혈구와 알부민 같은 단백질이 오줌으로 빠져나가게 된다. 단백질 때문에 오줌에 거품이 생길 수 있다. 혈관 안에 수분을 지탱하는 알부민이 감소하면서 얼굴과 다리가 붓는 부종이 생길 수 있다. 콜레스테롤 수치가 높아져 고지혈증이 생길 수도 있다.[1]
8. 예후
치료받지 않은 국소 분절 사구체 경화증 환자는 대부분 말기 신장 질환으로 진행된다.[38] 중요한 예후 인자로는 단백뇨의 정도와 치료에 대한 초기 반응이 있다.
신증후군 범위(하루 3.5g 초과)의 단백뇨를 보이는 환자는 10년 내에 말기 신장 질환으로 진행될 확률이 50% 이상이다.[6] 신증후군 미만 범위의 단백뇨를 보이는 환자는 10년 내에 말기 신부전으로 진행될 확률이 15% 정도이다.[6]
치료에 대한 초기 반응 또한 장기적인 결과를 결정한다. "완전 반응"(하루 단백뇨 300mg 미만) 또는 "부분 반응"(하루 단백뇨 3.5g 미만의 신증후군 미만 범위)을 보이는 환자는 반응이 없는 환자에 비해 10년 생존율이 80%로 높다.[39] 치료에 반응하지 않는 경우에는 만성 신부전으로 진행되는 경우가 많다.
치료 반응을 보이는 경우에는 단백뇨가 완전 관해 또는 불완전 관해에 이르게 된다. 관해 후 재발하여 치료에 반응하지 않게 된 경우에는 신장 예후가 좋지 않아 진행성으로 말기 신부전에 이르는 경우가 많다.
소아 발병 환자의 경우, 성인 발병 환자보다 관해율이 높다고 알려져 있다. 드물지만, 무치료 상태에서 자연 관해된 사례도 보고되고 있다.
9. 역학
국소 분절 사구체 경화증(FSGS)은 신증후군 전체 사례의 35%를 차지하며, 미국에서 신증후군의 가장 흔한 원인 중 하나이다.[8] FSGS는 신부전 전체 사례의 2%를 차지한다.[4] 흑인은 FSGS 발병 가능성이 4배 더 높고, 남성은 여성에 비해 FSGS 발병 가능성이 약 2배 더 높다.[11]
10. 저명한 환자
참조
[1]
서적
"focal segmental glomerulosclerosis" at ''[[Dorland's medical reference works|Dorland's Medical Dictionary]].''"
[2]
논문
Focal Segmental Glomerulosclerosis
2017-03
[3]
논문
The many masks of focal segmental glomerulosclerosis
1994-10
[4]
논문
Twenty-one-year trend in ESRD due to focal segmental glomerulosclerosis in the United States
2004-11
[5]
논문
Focal segmental glomerular sclerosis in adults: presentation, course, and response to treatment
1995-04
[6]
논문
Primary focal segmental glomerulosclerosis: clinical course and response to therapy
1994-06
[7]
웹사이트
Focal segmental glomerulosclerosis (FSGS)
https://www.kidneyfu[...]
2021-10-28
[8]
논문
Changing etiologies of unexplained adult nephrotic syndrome: a comparison of renal biopsy findings from 1976–1979 and 1995–1997
1997-11
[9]
논문
Focal segmental glomerulosclerosis and chronic kidney disease in pediatric patients
2011-09
[10]
논문
Protecting Podocytes: A Key Target for Therapy of Focal Segmental Glomerulosclerosis
2018
[11]
논문
Focal segmental glomerulosclerosis in African Americans
2002-02
[12]
논문
Trends in the epidemiology of focal segmental glomerulosclerosis
2003-03
[13]
논문
Anatomy and physiology of the kidney
1998-11
[14]
논문
The glomerulus: the sphere of influence
2014-08
[15]
논문
Mechanisms of glomerular albumin filtration and tubular reabsorption
2012
[16]
논문
Podocyte injury and its consequences
2016-06
[17]
논문
Nephrotic Syndrome
2019-02
[18]
웹사이트
Focal Segmental Glomerulosclerosis (FSGS)
https://my.cleveland[...]
2022-06-30
[19]
논문
Focal segmental glomerulosclerosis
1996-06
[20]
논문
Focal segmental glomerulosclerosis; why does it occur segmentally?
2017-08
[21]
논문
Differentiating Primary, Genetic, and Secondary FSGS in Adults: A Clinicopathologic Approach
2018-03
[22]
논문
Pathogenesis and significance of nonprimary focal and segmental glomerulosclerosis
1989-06
[23]
논문
Glomerular hyperfiltration: definitions, mechanisms and clinical implications
2012-02
[24]
논문
The changing spectrum of heroin-associated nephropathy
1985-01
[25]
논문
Renal disease in patients with massive obesity
1986-06
[26]
논문
Nephrin mutations can cause childhood-onset steroid-resistant nephrotic syndrome
2008-10
[27]
논문
NPHS2, encoding the glomerular protein podocin, is mutated in autosomal recessive steroid-resistant nephrotic syndrome
2000-04
[28]
논문
Mutations in the formin gene INF2 cause focal segmental glomerulosclerosis
2010-01
[29]
서적
Chang, Anthony, Robbins & Cotran Pathologic Basis of Disease, Chapter 20, 895–952
[30]
논문
APOL1 genetic variants in focal segmental glomerulosclerosis and HIV-associated nephropathy
2011-11
[31]
논문
Serial morphometric analysis of sclerotic lesions in primary "focal" segmental glomerulosclerosis
1996-01
[32]
논문
Primary focal segmental glomerulosclerosis: pathology, histological variants, and pathogenesis
1993-12
[33]
논문
Collapsing Glomerulopathy: A Review by the Collapsing Brazilian Consortium.
[34]
논문
Clinical and pathologic characteristics of focal segmental glomerulosclerosis pathologic variants
2006-03
[35]
논문
Causes and pathogenesis of focal segmental glomerulosclerosis
2015-02
[36]
논문
Focal segmental glomerulosclerosis: molecular genetics and targeted therapies
2015-07
[37]
논문
Extracorporeal Therapies in the Treatment of Focal Segmental Glomerulosclerosis
2020
[38]
논문
Idiopathic focal segmental glomerulosclerosis: a favourable prognosis in untreated patients?
2005-11
[39]
논문
Focal and segmental glomerulosclerosis: definition and relevance of a partial remission
2005-04
본 사이트는 AI가 위키백과와 뉴스 기사,정부 간행물,학술 논문등을 바탕으로 정보를 가공하여 제공하는 백과사전형 서비스입니다.
모든 문서는 AI에 의해 자동 생성되며, CC BY-SA 4.0 라이선스에 따라 이용할 수 있습니다.
하지만, 위키백과나 뉴스 기사 자체에 오류, 부정확한 정보, 또는 가짜 뉴스가 포함될 수 있으며, AI는 이러한 내용을 완벽하게 걸러내지 못할 수 있습니다.
따라서 제공되는 정보에 일부 오류나 편향이 있을 수 있으므로, 중요한 정보는 반드시 다른 출처를 통해 교차 검증하시기 바랍니다.
문의하기 : help@durumis.com
