대장용종
"오늘의AI위키"의 AI를 통해 더욱 풍부하고 폭넓은 지식 경험을 누리세요.
1. 개요
대장용종은 대장 내벽에 생기는 비정상적인 성장으로, 대부분 증상이 없지만 혈변, 변비 또는 설사, 빈혈 등의 증상이 나타날 수 있다. 유전적 요인과 환경적 요인이 복합적으로 작용하여 발생하며, 가족성 선종성 용종증, 유전성 비폴립증 대장암 등과 같은 유전성 증후군이 관련되어 있다. 대장용종은 증식성, 신생물성, 과오종성, 염증성으로 분류되며, 악성 세포를 포함할 위험에 따라 관상 선종, 관상 융모 선종, 융모 선종 등으로 구분된다. 진단은 대변 잠혈 검사, 대장 내시경 등을 통해 이루어지며, 치료는 용종 절제술을 시행하고, 대장암 예방을 위해 절제가 중요하다. 식이 요법과 생활 방식은 대장 용종 형성에 영향을 미치며, 요리된 녹색 채소 등의 섭취가 예방에 도움이 될 수 있다.
더 읽어볼만한 페이지
- 큰창자 - 대장암
대장암은 대장이나 직장의 상피 세포에서 발생하는 암으로, 윈트 신호전달 경로의 유전적 돌연변이, 배변 습관 변화, 혈변, 가족력 등이 발병 위험을 높이며, 수술, 화학 요법 등으로 치료한다. - 큰창자 - 관장
관장은 액체를 항문을 통해 직장에 주입하여 배변, 대장 세척, 약제 투여, 수분·영양 보급 등에 사용되는 의료 행위로, 변비 치료, 대장 내시경 검사 전 처치 등에 활용되며 다양한 종류와 방법이 있지만 부작용에 주의해야 하고, 그 역사는 고대부터 이어져 왔다. - 소화기 신생물 - 간세포암
간세포암은 간에서 발생하는 악성 종양으로, 만성 간 질환 환자에게서 주로 발생하며, 다양한 원인과 위험 요인에 의해 발생하고, 복통, 황달 등의 증상이 나타날 수 있으며, 수술, 간 이식 등의 치료 방법이 사용되고, 예방을 위해 B형 간염 예방 접종 등이 중요하다. - 소화기 신생물 - 쓸개암
쓸개암은 담낭에 발생하는 악성 종양으로, 초기 증상이 미미하여 진단이 어렵고, 여성, 고령, 비만, 담석증 등의 위험 요인이 있으며, 영상 검사 및 생검을 통해 진단하고 수술, 항암화학요법 등으로 치료하며, 예후는 좋지 않지만 조기 발견과 치료가 중요하고, 발생률은 낮으나 특정 지역에서 높게 나타난다. - 소화기 질환 - 식도암
식도암은 식도 상피세포에서 발생하는 악성 종양으로, 편평상피세포암과 선암이 주된 유형이며, 진행될수록 연하곤란, 체중 감소, 흉통 등이 나타나고 흡연, 음주 등이 위험 요인으로 작용하며, 내시경 검사, 조직검사 등으로 진단하고 수술, 화학요법 등으로 치료하며 예방을 위해서는 금연, 절주 등이 중요하다. - 소화기 질환 - 위염
위염은 헬리코박터 파일로리 감염, 비스테로이드성 소염제, 알코올, 스트레스 등으로 인해 위 점막에 염증이 생기는 질환으로, 상복부 통증, 메스꺼움, 구토 등의 증상이 나타나거나 무증상일 수 있으며, 급성 또는 만성으로 분류되고, 내시경 검사 등으로 진단하여 제산제, 항생제 등으로 치료한다.
| 대장용종 | |
|---|---|
| 개요 | |
| 정의 | 대장 벽에서 발견되는 성장물 |
| 관련 질환 | 대장암 |
| 증상 및 징후 | |
| 증상 | 대부분 증상이 없음. |
| 관련 증상 | 직장 출혈, 복통, 변비, 설사 |
| 원인 및 위험 요인 | |
| 원인 | 정확한 원인은 알려지지 않았음. 유전적 요인 및 환경적 요인이 복합적으로 작용하는 것으로 추정됨. |
| 위험 요인 | 고령 흡연 비만 가족력 염증성 장 질환 |
| 진단 | |
| 진단 방법 | 대장내시경 S상 결장경 검사 가상 대장내시경 대변 DNA 검사 |
| 치료 | |
| 치료 방법 | 용종 절제술 대장 절제술 (악성 종양으로 발전한 경우) |
| 약물 치료 | 특정 유전 질환과 관련된 경우 약물 치료 고려 |
| 예방 | |
| 예방 방법 | 정기적인 대장암 검진 건강한 식습관 (고섬유질, 저지방 식단) 규칙적인 운동 금연 적절한 체중 유지 |
| 추가 정보 | |
| 관련 질병 | 가족성 선종성 폴립증 린치 증후군 |
| 기타 | 용종의 크기, 모양, 조직학적 특징에 따라 암으로 발전할 위험이 다름. |
2. 징후와 증상
대장 용종은 대부분 증상이 없지만,[2] 증상이 나타나는 경우에는 혈변, 변의 빈도 또는 굳기의 변화 (예: 일주일 이상 변비 또는 설사)[3], 실혈로 인한 피로가 나타날 수 있다.[2] 혈변이 없더라도 만성적인 실혈로 인해 철 결핍성 빈혈이 나타날 수 있다.[3][4]
GREM1, MSH3, MLH3, NTHL1, RNF43, RPS20 등의 유전자가 대장 용종 발생과 관련이 있다.[8]
다른 증상으로는 특히 융모상 선종과 관련된 점액 생성이 증가하는 것일 수 있다.[4] 많은 양의 점액 생성은 칼륨 손실을 유발하며, 이는 때때로 증상성 저칼륨혈증을 초래할 수 있다.[4] 때때로 용종이 커서 장 폐쇄를 유발할 정도로 크면 구역질, 구토 및 심한 변비가 나타날 수 있다.[3] 드물게 대량 출혈이 나타나기도 한다.[29] 경련, 복통, 폐쇄(장폐색)[29]가 나타날 수 있다.
3. 원인 및 유전
대장 용종 형성을 증가시키는 유전성 증후군은 다음과 같다.
4. 유형
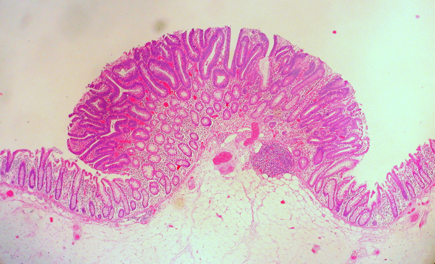
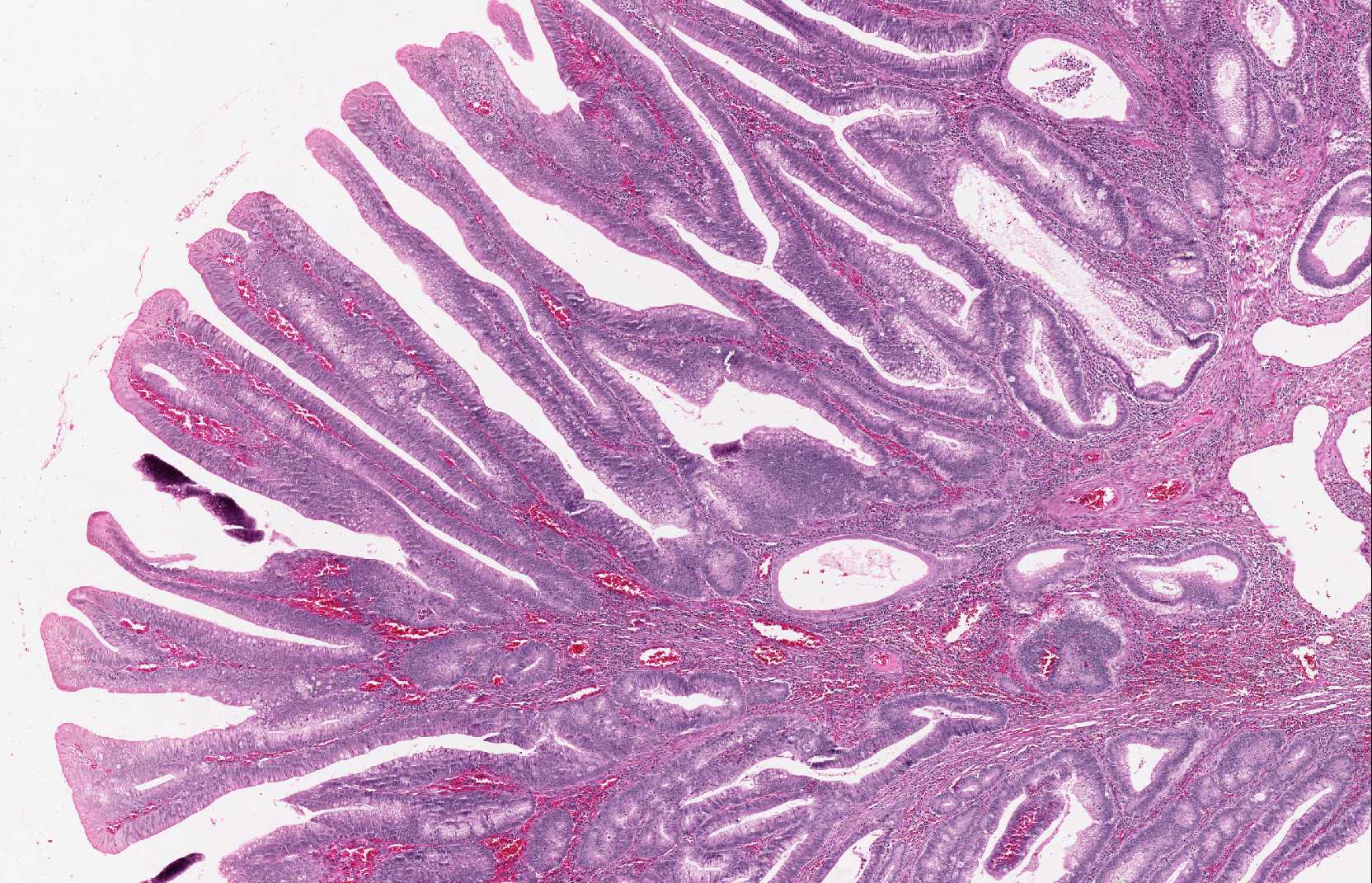
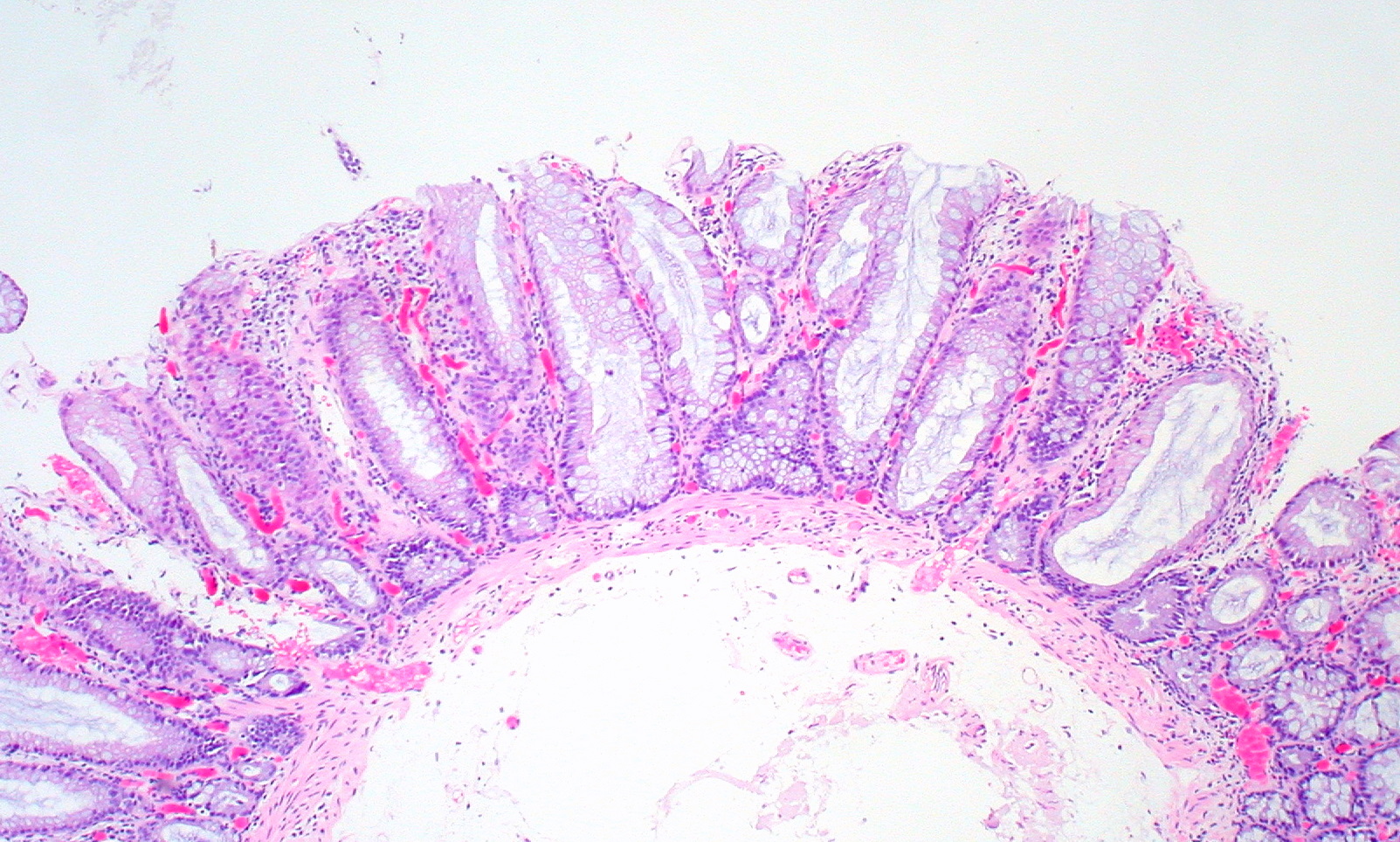
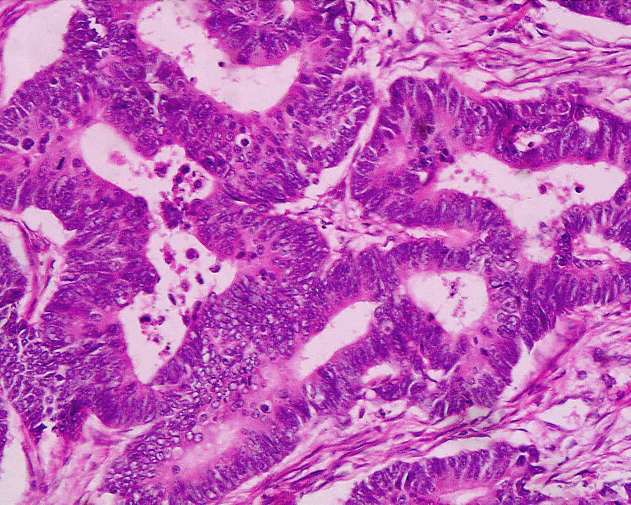
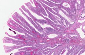
대장용종은 크게 증식성, 신생물성(선종성 및 악성), 과오종성, 염증성으로 분류할 수 있다.
대부분의 과형성 용종은 원위 결장과 직장에서 발견된다.[18] 이들은 악성 가능성이 없는데,[18] 이는 정상 조직보다 암으로 발전할 가능성이 더 높지 않다는 것을 의미한다.
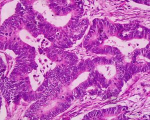
신생물은 정상적인 세포 분화를 상실한 세포로 이루어진 조직이다. 양성 종양일 수도 있고 악성 종양일 수도 있다. 악성 종양은 원발성 또는 속발성 원인을 가질 수 있다. 선종성 용종은 암의 전구체로 간주되며, 악성 세포가 점막근층을 통과하여 그 아래 세포를 침범하면 암이 침윤성을 띠게 된다.[9] 고유층 위에 나타나는 모든 세포 변화는 비침윤성으로 간주되며 이형성 또는 이형성증으로 분류된다. 점막근층을 침투한 침윤성 암종은 림프절 전이 및 국소 재발의 가능성이 있어, 보다 공격적이고 광범위한 절제가 필요하다.[9] 해기트 기준은 암을 포함하는 용종의 분류에 사용되며, 침투 깊이에 따라 0단계에서 4단계까지 분류된다. 무경 용종 변이체의 모든 침윤성 암종은 정의상 4단계로 분류된다.[9]
- 0단계: 암이 점막근층을 관통하지 않는다.[9]
- 1단계: 암이 점막근층을 관통하여 아래의 점막하층을 침범하지만 용종의 머리에 국한된다.[9]
- 2단계: 암이 용종의 목 부분을 침범하여 관통한다.[9]
- 3단계: 암이 용종의 줄기 부분을 침범하여 관통한다.[9]
- 4단계: 암이 용종의 줄기 아래, 장벽의 고유근층 위쪽의 점막하층을 관통한다.[9]
창자의 신생물성 폴립은 흔히 양성이므로 선종이라고 불린다. 선종은 암의 특성을 (아직) 얻지 못한 샘 조직의 종양이다. 대장의 흔한 선종(대장 선종)은 관상, 융모상 관상, 융모상, 무경 유경(SSA)이다.[18] 대다수(65–80%)는 양성 관상 형이며, 10–25%는 융모상 관상, 융모상은 5–10%로 가장 드물다.[9]
무경 유경 및 전통 유경 선종(TSA)은 톱니 모양을 보이며, 현미경으로 과형성 폴립과 구별하기 어려울 수 있다.[18] 그러나 SSA와 TSA는 암으로 발전할 가능성이 있는 반면,[19] 과형성 폴립은 그렇지 않기 때문에 이러한 구별이 중요하다.[18]
융모상 세분은 일반적으로 가장 큰 표면적을 가지기 때문에 가장 높은 악성 잠재력과 관련이 있다. (융모가 루멘으로 돌출되어 표면적이 더 크기 때문이다.) 그러나 융모상 선종은 크기가 모두 동일하다면 관상 또는 융모상 관상 선종보다 암으로 발전할 가능성이 더 높지 않다.[18]
과오 발달로 인해 장기에서 발견되는 증식과 같은 종양인 함종성 용종은 일반적으로 조직의 혼합물로 구성된다. 점액으로 채워진 선, 잔류 낭종, 풍부한 결합 조직, 호산구의 만성 세포 침윤을 포함한다.[20] 숙주 조직의 정상적인 속도로 성장하며 압박과 같은 문제를 거의 일으키지 않는다. 함종성 병변의 일반적인 예는 딸기 혈관종이다. 함종성 용종은 우연히 발견되는 경우가 많으며, 포이츠-예거 증후군 또는 유년기 폴립증 증후군과 같은 증후군에서 발생한다.
포이츠-예거 증후군은 위장관의 용종과 입술, 생식기, 구강 점막, 손과 발 주변의 색소 침착 증가와 관련이 있다. 사람들은 종종 아홉 살쯤에 장중첩증을 나타낸 후 포이츠-예거 증후군으로 진단받는다. 용종 자체는 악성 가능성이 거의 없지만, 잠재적인 공존 아데노마로 인해 대장 악성 종양의 위험이 15%이다.
유년기 용종은 20세 이전에 종종 나타나지만 성인에게서도 발견될 수 있는 함종성 용종이다. 일반적으로 직장에서 발견되는 단발성 용종으로, 가장 흔하게 직장 출혈을 보인다. 유년기 폴립증 증후군은 대장 또는 직장에 5개 이상의 용종이 있거나, 위장관 전체에 걸쳐 많은 유년기 용종이 있거나, 유년기 폴립증의 가족력이 있는 사람에게서 어떤 수의 유년기 용종이 있는 것으로 특징지어진다. 유년기 폴립증 환자는 대장암의 위험이 증가한다.[7]
염증성 용종은 궤양성 대장염 및 크론병과 같은 염증성 질환과 관련된 용종이다.
임상적으로는 크게 두 가지 분류로 평가, 진단하여 치료 방법을 결정한다.

형태 관찰 분류에는 다음과 같은 것들이 있다. 기본적으로 표재형까지를 "폴립"이라고 칭하며, 융기형 이후는 "암"이라고 칭하는 경우가 많다.
- 표재형(0형)
- * I(융기형 protruded type)
- : I p(유경형 pedunculated type)
- : I sp(아유경형 semipedunculated type)
- : I s(무경형 sessile type)
- * II(표면형 superficial type)
:: II a(표면 융기형 superficial elevated type)
::: II a + dep
::: LST-G(측방 발육형 종양-과립형 lateral spreading tumor granular type)
:::: 과립 균일형(homogenous type)・결절 혼재형(nodular mixed type)
::: LST-NG(측방 발육형 종양-비과립형 lateral spreading tumor non-granular type)
:::: 평탄 융기형(flat elevated type)・위함몰형(pseudo-depressed type)
:: II b(표면 평탄형 superficial flat type)
:: II c(표면 함몰형 superficial depressed type)
::: II c + II a
::: II a + II c
::: I s + II c
- 융기형(1형)
- 궤양 국한형(2형)
- 궤양 침윤형(3형)
- 미만 침윤형(4형)
- 분류 불능(5형)
5. 진단
대장 용종은 대변 잠혈 검사, 유연 S상 결장경 검사, 대장 내시경 검사, 가상 대장 내시경 검사, 직장 수지 검사, 바륨 관장 또는 캡슐 내시경을 사용하여 진단할 수 있다.[3]
악성 종양 가능성은 다음과 같은 요소들과 관련이 있다.
- 이형성증의 정도
- 용종의 유형
- 관상 선종: 암 발생 위험 5%
- 관상 융모상 선종: 암 발생 위험 20%
- 융모상 선종: 암 발생 위험 40%
- 용종의 크기
- 1 cm 미만: 암 발생 위험 1% 미만[22]
- 1–2 cm: 암 발생 위험 10%[22]
- 2 cm 초과: 암 발생 위험 50%[22]
대장내시경에서 대장 용종은 NICE 분류에 따라 다음과 같이 분류할 수 있다.[24]
| 1형 | 2형 | 3형 | |
|---|---|---|---|
| 색상 | 배경과 동일하거나 더 밝음 | 배경보다 갈색 | 배경보다 갈색 또는 어두운 갈색, 때로는 얼룩덜룩한 흰색 영역 |
| 혈관 | 없음, 또는 병변을 가로지르는 고립된 레이스 모양 혈관 | 흰색 구조물을 둘러싼 갈색 혈관 | 혈관이 손상되거나 없는 영역 |
| 표면 패턴 | 균일하거나, 균일한 크기의 어둡거나 흰색 반점 | 갈색 혈관으로 둘러싸인 타원형, 관형 또는 분지된 흰색 구조 | 비정형 또는 부재하는 표면 패턴 |
| 가장 가능성이 높은 병리 | 과형성 | 선종 | 심부 점막하 침윤성 암 |
| 치료 | 추적 관찰 | 점막 또는 점막하 용종 절제술 | 수술 |
대장내시경 검사를 통해 확진을 내린다. 용종이 확인된 경우, 내시경 생검(조직 채취)을 실시하여 병리 검사를 통해 양성 또는 악성 여부를 조사한다.[29]
확대 내시경 개발로 5~100배의 배율 관찰이 가능해져,[31] 폴립의 미세 표면 구조를 관찰하여 악성도를 평가하게 되었다.
- '''색소 관찰: Pit pattern'''
- 인디고 카민이나 크리스탈 바이올렛(피옥타닌)으로 색소를 살포, 염색하여 표면 미세 구조를 관찰하여 병변을 평가한다.[33]
- 구도 스스무(아키타 적십자 병원)・츠루타 오사무(구루메 대학)가 제창한 "구도・츠루타 분류"가 일반적으로 알려져 있다.[33]
- I 형 (정상, 류엔형)
- II 형 (성망상)
- III 형
- III s 형 (소형 류엔형)
- III L 형 (관상형)
- IV 형
- IV b형 (branch 수지상형)
- IV v형 (villous 융모형)
- V 형
- V I 형 경도 부정형・V I 형 고도 부정형 (irregular 불규칙)
- V N 형 (non structure 무구조)
- '''강조 영상 관찰'''
- NBI(Narrow Band Imaging: 올림푸스)나 [31]BLI (Blue LASER Imaging: 후지필름) 등을 이용한 내시경 관찰 진단이 이루어지고 있다.[34]
- 대장에서는 "NBI (협대역 영상) 관찰"이 주로 사용되고 있으며, 다음 두 가지 분류가 사용되고 있다.
- '''NICE''' (NBI International Colorectal Endoscopic Classification) 분류[35]: 세계적인 컨센서스로 제창된 분류
- '''JNET''' (The Japan NBI Expert Team) 분류: 일본의 소화기 전문의가 중심이 되어 작성, 일본의 소화기 전문의들이 일반적으로 사용하는 분류
6. 치료
대장 용종은 대장 내시경 검사 또는 S상 결장 내시경 검사 중에, 용종의 줄기를 절단하고 지혈(cauterise)하는 철사 루프를 사용하여 제거할 수 있다.[3] 크고 평평하며 옆으로 퍼지는 선종과 같은 "고집스러운" 용종은 내시경을 사용한 내시경 점막 절제술(EMR)이라는 기술로 제거할 수 있다. 이 방법은 병변 아래에 체액을 주입하여 들어 올린 후 내시경 절제를 용이하게 한다. 생리 식염수를 사용할 수 있지만, SIC 8000과 같은 일부 주사액이 더 효과적일 수 있다.[25]
내시경으로 제거하기 어려운 경우에는 최소 침습 수술을 시행할 수 있다.[26] 이러한 기술들은 더 침습적인 결장 절제술의 대안으로 사용될 수 있다.[27]
1993년 미국에서 보고된 "National polyp Study"에 따르면, 대장의 선종성 용종을 모두 절제하면 대장암 발생을 70% 이상 억제할 수 있었다.[38]
대장 용종 및 조기 대장암의 치료법에는 크게 병변의 형태 및 크기에 따라 다음과 같은 3가지 치료 방법이 있다.
- 용종 절제술(polypectomy)
- EMR(내시경적 점막 절제술)
- ESD(내시경적 점막하 박리술)
드물게 거대 용종 등의 경우 내시경적 절제가 기술적으로 어려워 외과적 수술 치료가 선택되는 경우도 있다.[40]
7. 예방
식이 요법과 생활 양식은 대장 용종 형성에 큰 영향을 미치는 것으로 알려져 있다. 연구에 따르면 익힌 녹색 채소, 현미, 콩류, 말린 과일의 섭취는 대장 용종 발생률을 감소시키는 효과가 있다.[21]
8. 합병증
대장 용종은 보통 증상과 관련이 없다. 증상이 나타나면 직장 출혈, 피 묻은 변, 복통 및 피로 등의 증상이 나타난다.[1] 직장 출혈과 피 묻은 변에 의한 만성 출혈로 인해 때때로 철 결핍성 빈혈이 나타난다.[1] 다른 증상으로는 특히 점액샘종과 관련된 점액 생성이 증가할 수 있다.[1] 점액을 많이 생산하면 때때로 저칼륨혈증을 일으킬 수 있는 칼륨이 손실된다.[1] 변비 및 설사를 포함하여 대변 습관의 변화가 발생할 수 있다.[1] 때때로 용종이 장 폐쇄를 일으킬 정도로 크면 메스꺼움, 구토 및 심한 변비가 있을 수 있다.[1]
참조
[1]
웹사이트
Colon Polyps: Symptoms, Causes, Cancer Risk, Treatment, and Prevention
http://www.medicinen[...]
MedicineNet
2020-01-18
[2]
웹사이트
Colorectal polyps
https://www.nlm.nih.[...]
MedlinePlus
2019-09-25
[3]
웹사이트
Colon polyps
http://www.mayoclini[...]
Mayo Foundation for Medical Education and Research
2020-01-18
[4]
서적
Essential Surgery: Problems, Diagnosis and Management
Elsevier
[5]
서적
Gastroenterological Endoscopy
https://books.google[...]
Thieme
[6]
서적
Sabiston Textbook of Surgery E-Book
https://books.google[...]
Elsevier Saunders
[7]
웹사이트
Familial Adenomatous Polyposis
https://www.lecturio[...]
2021-07-22
[8]
간행물
Update on genetic predisposition to colorectal cancer and polyposis
Elsevier
2019-10
[9]
서적
Sabiston Textbook of Surgery
Elsevier
[10]
웹사이트
Overview of colon polyps
https://www.uptodate[...]
[11]
웹사이트
Hyperplastic Polyp of the Colon and Rectum
http://surgpathcrite[...]
2010-01-31
[12]
웹사이트
Polyps of the Colon and Rectum
https://www.msdmanua[...]
[13]
웹사이트
Adenoma of the Colon and Rectum
http://surgpathcrite[...]
[14]
서적
WHO classification of tumours of the digestive system
International Agency for Research on Cancer
[15]
간행물
Colorectal Cancer: Epidemiology, Risk Factors, and Health Services
[16]
간행물
Villous Adenoma Follow-up
https://emedicine.me[...]
2022-12-22
[17]
간행물
Serrated polyps of the large intestine: Current understanding of diagnosis, pathogenesis, and clinical management
[18]
서적
Robbins and Cotran pathologic basis of disease.
Saunders/Elsevier
[19]
서적
Sternberg's Diagnostic Surgical Pathology
Lippincott Williams & Wilkins
[20]
간행물
Hamartomatous Polyposis Syndromes
[21]
간행물
Foods and Food Groups Associated with the Incidence of Colorectal Polyps: The Adventist Health Study
[22]
간행물
Polyp Size Measurement at CT Colonography: What Do We Know and What Do We Need to Know?
[23]
서적
Colonoscopy and Colorectal Cancer Screening: Future Directions
[24]
간행물
Narrow-band imaging observation of colorectal lesions using NICE classification to avoid discarding significant lesions
[25]
간행물
Rectal Tubulovillous Adenoma.
2020-02-01
[26]
간행물
Laparoscopic Cecal Wedge Resection Appendectomy.
https://jomi.com/art[...]
2016
[27]
웹사이트
How I do it: Removing large or sessile colonic polyps
http://www.omed.org/[...]
OMED
2008
[28]
간행물
Recommendations for Follow-Up After Colonoscopy and Polypectomy: A Consensus Update by the US Multi-Society Task Force on Colorectal Cancer
[29]
웹사이트
結腸および直腸のポリープ - 01. 消化管疾患
https://www.msdmanua[...]
2022-09-12
[30]
웹사이트
消化管ポリポーシス
https://kompas.hosp.[...]
[31]
웹사이트
NBI(Narrow Band Imaging)と大腸拡大内視鏡とは?
http://www.akasaka-e[...]
2022-07-12
[32]
웹사이트
大腸がんについて|がん編|気になる病気・健康のこと|大阪がん循環器病予防センター
http://www.osaka-gan[...]
2022-07-12
[33]
웹사이트
大腸ポリープの診断 補足1 内視鏡診断について
http://www.iiharaiin[...]
2022-07-12
[34]
웹사이트
研究について
https://www.ncc.go.j[...]
2022-07-12
[35]
웹사이트
消化器疾患診療の最前線 10.消化管の最新内視鏡診断と 治療:大腸
http://www.hokkaido.[...]
札幌東徳洲会病院 消化器センター
2022-07-12
[36]
웹사이트
adenoma-carcinoma sequence (『胃と腸』用語集 2012 HTML版)
https://gastro.igaku[...]
2022-07-12
[37]
웹사이트
大腸ポリープとはどんな病気ですか? {{!}} 日本消化器内視鏡学会
https://www.jges.net[...]
2022-07-12
[38]
웹사이트
〜大腸の知識⑧ 大腸ポリープ(2)〜 {{!}} 新着情報 {{!}} 下河辺医院 大和高田市の内視鏡のエキスパート
https://shimokobe-cl[...]
2022-07-12
[39]
웹사이트
大腸ポリープ診療ガイドライン2014
https://www.jsge.or.[...]
日本消化器病学会
2022-07-12
[40]
웹사이트
外科的治療 |大腸がん|九州大学病院のがん診療|九州大学病院 がんセンター
https://www.gan.med.[...]
2022-07-12
[41]
간행물
胃癌に対するESD/EMRガイドライン(第2版)
https://doi.org/10.1[...]
[42]
웹사이트
大腸腫瘍の内視鏡治療
https://www.coloproc[...]
日本大腸肛門病学会
2022-07-12
[43]
웹사이트
大腸がん(結腸がん・直腸がん) 治療:[国立がん研究センター がん情報サービス 一般の方へ]
https://ganjoho.jp/p[...]
2022-07-12
본 사이트는 AI가 위키백과와 뉴스 기사,정부 간행물,학술 논문등을 바탕으로 정보를 가공하여 제공하는 백과사전형 서비스입니다.
모든 문서는 AI에 의해 자동 생성되며, CC BY-SA 4.0 라이선스에 따라 이용할 수 있습니다.
하지만, 위키백과나 뉴스 기사 자체에 오류, 부정확한 정보, 또는 가짜 뉴스가 포함될 수 있으며, AI는 이러한 내용을 완벽하게 걸러내지 못할 수 있습니다.
따라서 제공되는 정보에 일부 오류나 편향이 있을 수 있으므로, 중요한 정보는 반드시 다른 출처를 통해 교차 검증하시기 바랍니다.
문의하기 : help@durumis.com





