버킷림프종
"오늘의AI위키"의 AI를 통해 더욱 풍부하고 폭넓은 지식 경험을 누리세요.
1. 개요
버킷 림프종은 B 세포가 엡스타인-바 바이러스(EBV)에 감염되어 발생하는 공격적인 림프종의 일종이다. 아프리카, 산발형, 면역 결핍형의 세 가지 유형으로 분류되며, c-myc 유전자의 조절 장애가 주요 원인으로 작용한다. 진단은 종양 조직의 형태, 면역학적 특징, 유전학적 분석을 통해 이루어지며, 항암 화학 요법을 중심으로 치료가 진행된다. 치료 반응이 좋지만, 재발하거나 치료에 불응하는 경우 예후가 좋지 않다.
더 읽어볼만한 페이지
- 림프종 - 림프절 변연부 B세포 림프종
제공된 텍스트는 위키백과 문서의 개요가 아니라 문서 작성 과정에 대한 설명이므로, 림프절 변연부 B세포 림프종에 대한 요약문을 생성할 수 없습니다. - 림프종 - 성인 T세포 백혈병
성인 T세포 백혈병은 사람 T세포 림프친화 바이러스 1형에 의해 유발되는 고위험성 비호지킨 림프종의 일종으로, 고칼슘혈증, 피부 질환, 용해성 골병변 등의 증상을 동반하며 급성형, 림프종형, 만성형, 연성형으로 분류된다. - 감염성 암원 - 결핵
결핵은 결핵균에 의해 발생하는 감염성 질환으로, 주로 폐에 영향을 미치며 기침, 객혈 등의 증상을 보이지만 무증상일 수도 있고, 호흡기 비말 전파를 통해 감염되며, 항생제 치료를 하지만 약물 내성 문제로 인해 공중 보건 문제로 남아있다. - 감염성 암원 - 자궁경부암
자궁경부암은 인유두종바이러스 감염이 주원인인 자궁 경부의 악성 종양으로, 초기에는 증상이 미미하지만 진행 시 질 분비물 증가, 성교통, 골반통이 나타날 수 있으며, 자궁경부 세포진 검사, 조직 생검 등으로 진단하고 수술, 방사선 치료, 항암 치료 등으로 치료하며, HPV 백신 접종과 정기 검진으로 예방이 가능하다.
| 버킷림프종 | |
|---|---|
| 질병 정보 | |
![]() | |
| 다른 이름 | 버킷 림프종 버킷 종양 악성 림프종 버킷형 |
| 진료 분야 | 혈액학, 종양학 |
| 관련 증상 | (정보 없음) |
| 발병 시기 | (정보 없음) |
| 원인 | |
| 원인 | 특발성, HIV, 엡스타인-바 바이러스, MYC 유전자 전좌 |
| 위험 요인 | |
| 위험 요인 | (정보 없음) |
| 진단 | |
| 감별 진단 | 미만성 큰 B세포 림프종, 고등급 B세포 림프종, 림프모구 백혈병, 외투세포 림프종 (모세포 변종) |
| 예방 | |
| 예방 | (정보 없음) |
| 치료 | |
| 치료 | 화학 요법 |
| 투여 약물 | (정보 없음) |
| 예후 | |
| 예후 | (정보 없음) |
| 빈도 | |
| 빈도 | (정보 없음) |
| 사망자 수 | |
| 사망자 수 | (정보 없음) |
2. 분류
버킷 림프종은 크게 세 가지 유형으로 분류된다.[66]
| 유형 | 특징 | 발병 지역 | 엡스타인-바 바이러스(EBV) 연관성 | 주요 침범 부위 |
|---|---|---|---|---|
| 풍토형 (아프리카형) | 말라리아가 풍토병으로 자생하는 지역의 어린이에게 주로 발생. 만성 말라리아가 EBV 저항성을 낮춤. | 적도 아프리카, 브라질, 파푸아뉴기니 | 거의 모든 환자에게서 EBV 발견.[4] | 턱, 얼굴뼈, 회장, 맹장, 난소, 콩팥, 유방[5][12] |
| 산발형 (비아프리카형) | 말라리아가 전지방병으로 나타나지 않는 지역에서 주로 발생. 외형은 풍토형과 유사. | 북미, 유럽 일부, 일본, 서구 | 대부분 EBV와 관련 없음.[68] | 회맹판, 턱 (풍토형보다 덜 발생)[4] |
| 면역결핍형 | 후천면역결핍증후군 환자나 장기 이식 환자에게 주로 발생. HIV 감염과 관련. | 전 세계 | 사례의 25-40%에서 EBV 검출.[12] | 위장관, 림프절, 골수, 중추신경계 (20-30% 침범)[12] |
임상적 특징에 따른 분류는 다음과 같다.
- 유행성 버킷 림프종(endemic BL): 말라리아 유행 지역인 아프리카, 파푸아뉴기니에서 주로 소아에게 발병하며, 5세 이하 환자의 70%에서 하악 종괴를 형성한다.
- 산발성 버킷 림프종(sporadic BL): 일본, 서구에서 소아부터 청년 성인까지 발병한다.
- 면역 결핍 관련 버킷 림프종(immunodeficiency associated BL): HIV 감염 환자에게서 발병한다.
3. 원인
버킷 림프종은 B 세포 림프구가 엡스타인-바 바이러스(EBV)에 감염되어 발생하는 경우가 많으며, 이는 엡스타인-바 바이러스 관련 림프증식성 질환의 하나로 간주된다.[7] 특히, 토착성 버킷 림프종은 거의 모든 경우 EBV 감염과 관련이 있다.[8] 그러나 일부 버킷 림프종 사례는 EBV와 관련이 없는데, 이는 바이러스가 이 질병의 원인이 아니거나, 단순한 동승 바이러스일 수 있음을 시사한다.[9] 하지만 토착성 변종에서 EBV가 거의 항상 발견된다는 사실은 바이러스가 이 변종의 발달 및 진행에 기여한다는 것을 보여준다.[9] 최근 연구에 따르면 EBV 감염 여부에 따라 버킷 림프종의 돌연변이 환경이 다르게 나타나, 질병 기원에서 바이러스의 역할을 더욱 뒷받침한다.[10]
거의 모든 버킷 림프종 사례는 ''c-myc'' 유전자의 조절 장애를 특징으로 한다. 이는 면역글로불린 유전자 증폭기의 제어하에 myc 유전자를 위치시키는 세 가지 염색체 전좌 중 하나에 의해 발생한다.[3][11] MYC 유전자는 8q24에 위치한다.
- 가장 흔한 변이는 t(8;14)(q24;q32)로, 약 70~80%의 사례를 차지한다.[12] 이는 c-myc 종양 유전자가 8번 염색체에서 14번 염색체의 Ig 중쇄 영역으로 전좌되는 것이다. 3방향 전좌 t(8;14;18)도 확인되었다.[13]
- 다른 변이는 t(2;8)(p12;q24)이다.[14] 이는 myc 종양 유전자가 8번 염색체에서 2번 염색체의 Ig 카파 유전자좌로 전좌되는 것이다. 이러한 유형의 전좌는 버킷 림프종 사례의 15%에서 나타난다.
- 드문 변이는 t(8;22)(q24;q11)이다.[14] 이는 myc 종양 유전자가 8번 염색체에서 22번 염색체의 Ig 람다 유전자좌로 전좌되는 것이다. 이러한 유형의 전좌는 버킷 림프종 사례의 약 5%와 관련이 있다.
8번 염색체에 있는 c-myc 유전자는 세포 전사를 조절하는 MYC 유전자군에 속하며 버킷 림프종과 관련이 있다.[15][30] c-myc 유전자의 발현은 전사 인자 합성을 유발하여 유산소 해당 작용 관련 유전자의 발현을 증가시킨다.[15] 유산소 해당 작용의 증가는 세포 성장에 필요한 에너지를 제공한다.[15] c-myc 유전자가 IGH, IGK 또는 IGL 영역으로 전좌되면, 유전자가 면역글로불린 증폭기 근처로 이동하여 c-myc 유전자의 발현이 증가한다.[15] 이러한 전좌는 버킷 림프종에서 나타나는 세포 증식 증가의 원인이 된다.[15] 전좌된 c-myc 유전자에는 점 돌연변이가 존재할 수 있으며, 이는 발현된 c-myc 단백질을 과활성화시킨다.[15]
여포 림프종 등 다른 B세포 비호지킨 림프종에서 흔히 보이는 Bcl-2 전좌는 버킷 림프종에서는 발생하지 않는다.[12]
MYC 전좌는 버킷 림프종 사례의 90%에서 나타나지만, 이것만으로는 림프종을 유발하기에 충분하지 않으며, 다른 돌연변이도 함께 존재해야 한다.[12] 추가적인 돌연변이에는 종양 억제 인자 TP53의 돌연변이가 포함된다. 이는 종양 억제 인자 p53과 상호 작용하는데, p53은 일반적으로 조절 장애가 생긴 MYC 종양 단백질을 가진 B세포에서 세포 사멸을 유발한다. 그러나 TP53과 p53이 돌연변이되면 세포 사멸이 차단되어 종양 유전자 B세포가 제어되지 않고 증식할 수 있게 된다.[12] 종양 억제 인자 ARF와 USP7도 버킷 림프종에서 자주 돌연변이가 발생하여 종양 억제 인자 p53의 MDM2 억제를 유발, 종양 발생을 증가시킨다.[12] MYC의 조절자로서 MYC를 탈아세틸화하여 억제하는 SIN3A는 버킷 림프종에서 자주 비활성화된다.[12] 또한, RNA 합성에 관여하는 RNA 헬리케이스의 순차적인 돌연변이인 DDX3X (x 염색체에서 발견) 및 DDX3Y (y 염색체에서 발견)는 버킷 림프종에서 MYC 종양 발생을 유발한다.[16] 초기에는 DDX3X 돌연변이가 번역(단백질 합성)을 제한하여 림프종 세포가 MYC 유도성 단백독성 스트레스 및 세포 사멸을 피하도록 하고, 이후 DDX3Y 돌연변이가 고수준 단백질 합성을 복원하고(번역 기계 생산) 종양 세포의 증식을 증가시킨다.[16] 이러한 DDX3X 및 DDX3Y 돌연변이는 DDX3Y RNA 헬리케이스가 Y 염색체에서만 발견되기 때문에 버킷 림프종이 남성에게 더 흔한 이유를 부분적으로 설명하는 것으로 여겨진다.[12]
전사 인자 TCF3와 그 음성 조절자 ID3에 영향을 미치는 돌연변이는 버킷 림프종 사례의 약 70%에서 발견된다.[12][3] 이러한 돌연변이는 ID3가 TCF3에 결합하여 억제하는 것을 막아, 과활성 TCF3가 B 세포 수용체를 활성화하여 PI3K 및 mTOR뿐만 아니라 Ig 중쇄 및 경쇄 유전자를 활성화하여 종양 발생에 기여한다.[15][12] TCF3 및 ID3 돌연변이는 지속적으로 활성 B세포 수용체를 유발하여 버킷 림프종에서 보이는 높은 수준의 증식을 설명한다.[12] ID3 및 TCF3 돌연변이는 다른 공격적인 B세포 림프종에서는 드물게 나타나므로, 추가적인 의학적 진단을 지시하는 데 사용될 수 있다.[3]
세포 주기 조절 인자 Cyclin D3와 p16도 버킷 림프종에서 각각 활성화 및 비활성화될 수 있으며, 이는 대규모 종양 세포 증식으로 이어진다.[12]
일부 후성 유전적 메커니즘도 버킷 림프종의 병인에 역할을 하는 것으로 밝혀졌다. FBXO11은 염색질 조절 인자이다. 유비퀴틴 리가제를 활성화함으로써 FBXO11은 BCL6의 유비퀴틴화를 유발하여 프로테아좀 분해를 표적으로 한다.[12] BCL6는 B세포가 배 중심에서 성숙하고, 만난 항원에 특정한 항체를 생성하는 데 도움을 준다. 버킷 림프종에서 FBXO11이 비활성화되면 BCL6 활성이 증가하고, 이는 배 중심 B세포의 증식을 증가시키고 성숙을 감소시켜 림프종 발생을 촉진한다.[12]
EBV 관련 버킷 림프종은 활성화 유도 시티딘 탈아미노 효소의 발현 활성이 증가하여 돌연변이 유발을 촉진하며, 이는 EBV 관련 버킷 림프종이 비-EBV 유형보다 더 많은 돌연변이를 갖게 한다. 비-EBV 유형의 버킷 림프종은 사이클린 D3의 조절 장애와 돌연변이된 비활성 p53을 더 흔하게 갖는다.[12]
버킷 림프종 발병에서 EBV의 완전한 역할은 완전히 밝혀지지 않았지만, DNA 손상, 텔로미어 기능 장애, 그리고 게놈 불안정성을 유발하는 것으로 나타났다.[17][30] 버킷 림프종에서 EBV의 특정 병원성 기전은 불분명하지만, 특히 전사체학의 발전과 함께 이러한 측면을 더 밝히는 데 관심이 집중되고 있다. BART miRNA는 EBV 게놈에 의해 암호화되어 EBV에 감염된 세포에서 고도로 발현된다.[18] 보완적인 mRNA 서열에 결합하여 유전자 발현을 억제하는 능력 때문에, BART miRNA는 EBV에 감염된 세포가 면역 체계에 의해 감지되는 것을 피하도록 돕는다. 따라서 BART miRNA는 EBV에 감염된 세포 생존 및 증식에 기여한다.[18] BART miRNA는 버킷 림프종 환자를 위한 새로운 치료 표적 또는 특정 바이오마커가 될 수 있다. 그러나 BART miRNA가 고유 신호 전달 경로와 상호 작용하고 악성 종양에 기여하는지에 대한 추가 연구가 필요하다.
EBV에 의한 B 세포 감염은 잠재적이며, 바이러스는 복제를 거치지 않는다.[17] 잠복 감염된 B 세포는 정상적인 신호 전달 경로를 수정하여 세포 성장을 촉진하는 단백질을 생성할 수 있다.[17] EBV는 c-myc 전좌가 있는 세포에서 세포자멸사를 제한하는 단백질을 통해 악성 B 세포의 발달을 촉진한다.[30] 세포자멸사는 EBNA-1 단백질, BHF1 단백질, EBER 전사체, vIL-10 유전자, BZLF1, 그리고 LMP1과 같은 다양한 수단을 통해 EBV에 의해 제한된다.[30]
말라리아는 풍토성 버킷 림프종에서 게놈 불안정성을 유발하는 것으로 밝혀졌다.[19] 말라리아는 톨 유사 수용체 9의 활성화를 통해 잠복 EBV의 재활성화와 MYC 전좌를 유발할 수 있다.[30] 말라리아는 또한 일반적인 면역 반응을 변경하여 B 세포 증식을 촉진한다.[17] 면역 체계는 항원 (예: EBNA2 및 LMP-1)을 표적으로 하고 EBV에 감염된 대부분의 B 세포를 제거한다.[30] 면역 체계에 의해 표적화된 항원의 하향 조절은 지속적인 B 세포의 발달로 이어진다.[30] 이 B 세포는 암 발생을 촉진하는 추가적인 돌연변이 (예: c-myc 전좌)를 겪을 수 있다.[30]
결론적으로, c-myc 유전자와 면역글로불린 유전자의 상호 전좌에 의해 c-myc 유전자가 과잉 발현되어 세포 분열을 이상 항진시키는 것이 버킷 림프종의 주요 원인으로 생각된다. 상호 전좌가 발생하는 원인은 아직 확실하게 밝혀지지 않았다.
4. 역학
버킷 림프종은 전 세계적으로 발생하지만, 지역 및 연령에 따라 발병 빈도에 차이가 있다. 림프증식성질환의 2.3%가 버킷 림프종이며,[78] 주로 엡스타인-바 바이러스(EBV)에 의해 발생한다.[79]
버킷 림프종은 크게 세 가지 변종으로 나뉜다.[4]
| 종류 | 특징 | EBV 연관성 | 주요 침범 부위 | 기타 |
|---|---|---|---|---|
| 토착성 변종 | 말라리아 유행 지역 (예: 적도 아프리카, 브라질, 파푸아 뉴기니) 어린이에게 가장 흔함.[5] 만성 말라리아가 EBV에 대한 저항력을 감소시켜 발병을 유발.[5] | 거의 모든 환자에서 발견.[4] | 턱 또는 기타 얼굴 뼈,[5] 복부, 맹장, 원위 회장, 난소, 신장, 유방[12] | 중추 신경계 침범은 10% 미만.[12] |
| 산발성 변종 | 말라리아가 유행하지 않는 북미와 유럽 일부 지역에서 가장 흔함.[4] 발병 중앙값은 10세이며, 40세와 75세에도 정점을 보임.[12] 남성이 여성보다 3~4배 더 많이 발병.[12] | 20-30%에서 발견 (50세 이상 성인에게서 가장 흔함).[12] | 복부 (특히 오른쪽 하부 사분면).[4][12] 턱은 덜 관련됨.[4] | 골수 침범은 30-35%, 중추 신경계 침범은 약 20%.[12] |
| 면역 결핍 관련 변종 | HIV 감염과 관련이 높지만, 장기 이식 후 환자에게서도 발생.[6][4] 발병 중앙 연령은 40-45세, 남녀 동일하게 발병.[12] | 25-40%에서 발견. | 위장관, 림프절, 골수. | HIV 관련 림프종의 40%를 차지하며, CD4+ T 세포 수가 정상인 사람에게서도 발생.[12] 중추 신경계 침범은 20-30%.[12] |
비호지킨 림프종(NHL)의 일종인 버킷 림프종은 전체 NHL 사례의 1~5%를 차지하며, 남성이 여성보다 3~4:1의 비율로 더 흔하게 발생한다.[30]
- 토착성 변종: 주로 아프리카와 파푸아뉴기니와 같이 말라리아와 엡스타인-바 바이러스(EBV) 유병률이 높은 지역에 영향을 미친다.[30][31] 적도 아프리카의 18세 미만 어린이의 경우 연간 발생률은 10만 명당 4~5명이다.[31] 이 지역에서는 소아기에 진단되는 종양의 50%와 림프종 사례의 90%가 버킷 림프종이다.[31] 최고 발생 연령은 4~7세이며, 평균 연령은 6세이다.[30][31]
- 산발성 변종: 북미와 유럽에서 더 흔하게 발견되며, 성인 림프종의 1~2%, NHL 사례의 30~40%를 차지한다.[30][31] 여성보다 남성에게 3.5배 더 흔하게 나타나며, 젊은 사람에게서 더 자주 발생한다.[31] 어린이의 경우 11세에 최고 발생률을 보이며, 평균 3~12세에 진단된다.[30][31] 성인의 경우, 진단 중앙 연령은 45세였다.[30]
- 면역 결핍 관련 변종: 주로 HIV 감염 인구에 영향을 미친다.[31] AIDS를 앓고 있는 미국인의 경우, 발생률은 10만 인년당 22명이다.[30][31] 장기 이식을 받은 개인의 경우 4~5년 후에 이 변이가 발생할 위험이 증가한다.[31]
엡스타인-바 바이러스(EBV) 감염은 버킷 림프종과 관련이 깊다.[32] EBV는 사실상 모든 토착성 버킷 림프종 사례에서 발견된다.[31] 산발성 버킷 림프종 변이는 사례의 10~20%에서만 EBV와 관련이 있으며,[31] 면역 결핍 관련 버킷 림프종 사례의 약 30%가 EBV와 관련이 있다.[33]
일본과 서양 모두에서 성인 악성 림프종의 1~2%를 차지하며, 소아 악성 림프종의 40~50%를 차지한다.[41]
5. 증상
버킷 림프종은 종양이 매우 빠르게 성장하는 특징을 가지며, 발생 부위에 따라 다양한 증상이 나타날 수 있다. 종양이 급격히 커져서 복부 팽만, 비인두 병변으로 인한 기도 협착 등이 생길 수 있다. 중추신경계 침범도 흔하여 의식 장애 등의 중추신경계 증상을 일으키는 경우도 많다. 어떤 증상이든 진행 속도가 빠르다.[12]
버킷 림프종은 크게 세 가지 임상 변종으로 나뉜다.[4]
- '''토착성 변종''': 적도 아프리카, 브라질, 파푸아 뉴기니 등 말라리아 유행 지역 어린이에게서 가장 흔하게 발생한다.[5] 거의 모든 환자에게서 엡스타인-바 바이러스(EBV) 감염이 발견된다.[4] 만성 말라리아가 EBV에 대한 저항력을 낮춰 EBV 감염을 유발하는 것으로 추정된다. 주로 턱이나 다른 얼굴 뼈, 복부, 맹장, 원위 회장, 난소, 신장, 유방 등을 침범한다.[5][12] 중추신경계 침범은 10% 미만의 사례에서 나타나며, 뇌신경 마비나 척수 압박으로 이어진다.[12]
- '''산발성 변종''': 북아메리카와 유럽 일부 지역처럼 말라리아가 유행하지 않는 곳에서 가장 흔하게 발견된다.[4] 발병 연령의 중앙값은 10세이지만, 40세와 75세에도 많이 발병한다.[12] 남성이 여성보다 3~4배 더 많이 걸린다.[12] 종양 세포는 토착성 버킷 림프종 세포와 유사하게 생겼다. EBV 바이러스와는 관련성이 적어, 20~30% 정도의 사례만이 EBV와 연관된다(50세 이상 성인에게서 가장 흔함).[12] 턱 침범은 드물다.[4] 복부 부위가 가장 흔하게 침범되며, 특히 우측 하부 4분면에 종종 발생한다.[4][12] 골수는 30~35%, 중추신경계는 약 20%의 사례에서 침범된다(주로 뇌와 척수를 덮는 수막 침범).[12]
- '''면역 결핍 관련 변종''': 주로 HIV 감염과 관련이 있지만, 장기 이식 후 환자에게서도 발생할 수 있다.[6][4] 발병 연령의 중앙값은 40~45세이며, 남녀에게 비슷하게 나타난다.[12] HIV 관련 림프종의 40%를 차지하며, 대개 정상 CD4+ T 세포 수를 가진 사람에게서 발생한다.[12] EBV는 25~40%의 사례에서 발견되며, 흔히 위장관, 림프절, 골수를 침범하고, 20~30%의 환자에게서 중추신경계 침범이 나타난다.[12]
버킷 림프종 세포는 B 세포가 EBV에 감염되어 생기는 경우가 많으며, 이 경우 엡스타인-바 바이러스 관련 림프증식성 질환의 일종으로 간주된다.[7] 토착성 변종은 거의 모든 경우가 EBV 감염과 관련된다.[8] 하지만 일부 사례는 EBV를 포함하지 않아, 바이러스가 이 질병의 모든 경우를 유발하거나 촉진하는 것은 아니라는 것을 알 수 있다. 즉, 바이러스는 이러한 경우 무해한 동승 바이러스일 수 있다. 그러나 토착성 변종에서 바이러스가 거의 항상 존재한다는 사실은 바이러스가 이 변종의 발생 및/또는 진행에 기여한다는 것을 시사한다.[9]
버킷 림프종 세포는 정상적으로 HLA class I 분자를 발현하고, 일부 HLA class II 복합체도 발현하지만, CD4+ T 세포는 제대로 활성화되지 않는다. 버킷 림프종 세포는 EBV 관련 항원인 EBNA 1만을 발현하는데, 이는 항원성이 낮아 HLA class I 제시를 회피하여 면역 반응을 피할 수 있다. EBNA 1은 HLA class II 분자를 통해 제시될 수 있지만, HLA Class II 경로는 CD4+ T 세포를 활성화할 수 없다.[20]
6. 진단
정상 배중심 B세포는 각 세포마다 고유의 IgH 유전자를 가지지만, 버킷림프종의 경우 동일한 세포에서 증식되어 나온 세포들은 동일한 IgH 유전자를 가진다.
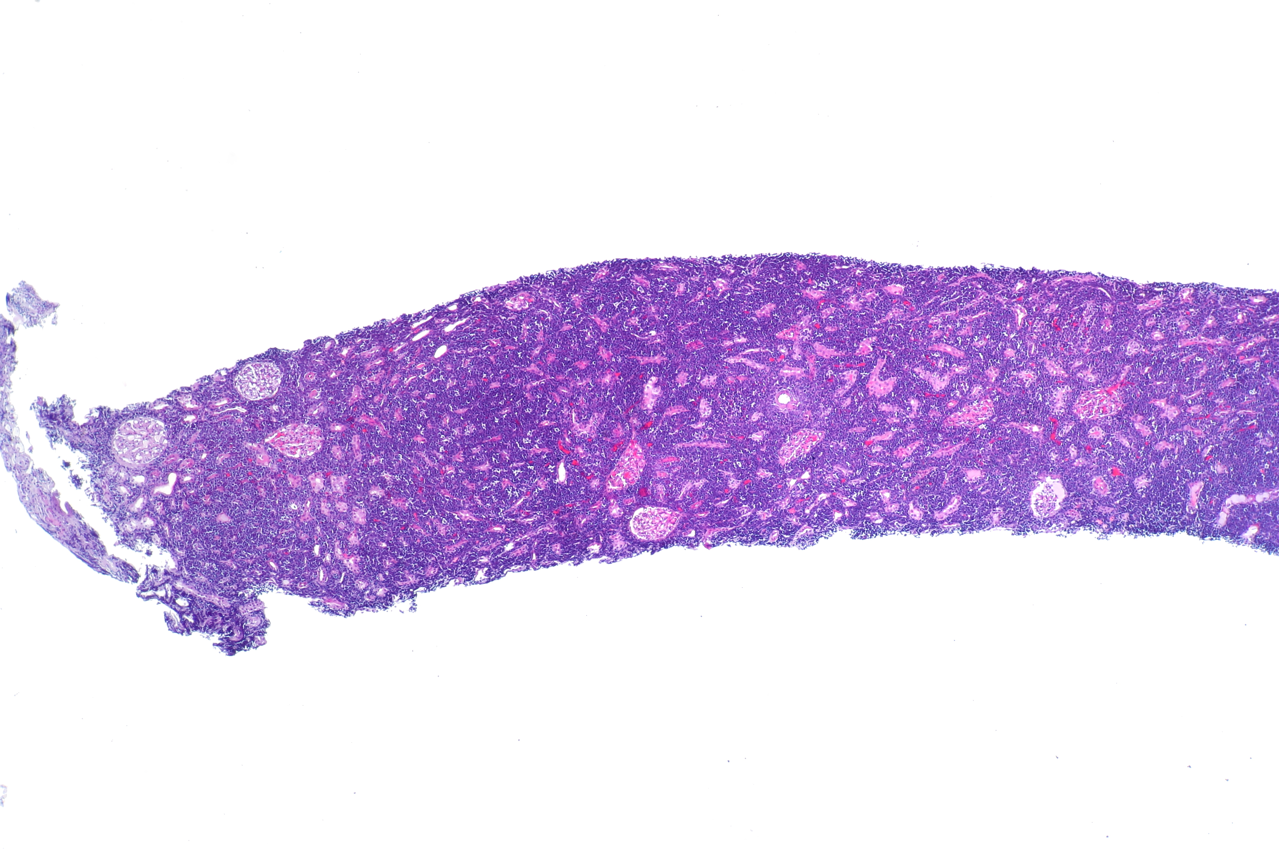
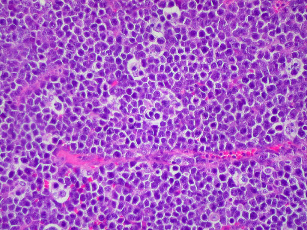
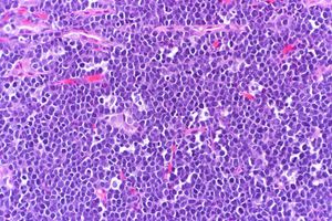
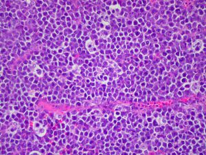
버킷림프종은 증식 및 세포자살이 자주 일어나는 중형 림프구가 여러 겹으로 쌓인 형태로 구성되어 있다. 가염소체(tingible-body) 대식세포가 흩어져 있는 모습은 현미경의 조명을 약하게 했을 때 마치 "별이 빛나는 밤"처럼 보인다.[70]
버킷림프종 종양 세포는 CD10, BCL6, CD20, CD22, CD19 등 B세포 분화 마커를 높은 빈도로 발현하지만, CCL2와 TdT는 발현하지 않는다. 높은 유사 분열 빈도를 보여 Ki67 염색약에 거의 대부분의 세포가 염색된다.[71]
거의 모든 버킷 림프종 사례는 면역글로불린 유전자 증폭기 제어하에 myc 유전자를 위치시키는 세 가지 염색체 전좌 중 하나에 의해 ''c-myc'' 유전자 조절 장애로 특징지어진다.[3][11] MYC 유전자는 8q24에 위치한다.
- 가장 흔한 변이는 t(8;14)(q24;q32)로, 약 70~80%의 사례를 차지한다.[12] 이는 c-myc 종양 유전자가 8번 염색체에서 14번 염색체의 Ig 중쇄 영역으로 전좌되는 것을 포함한다. 3방향 전좌 t(8;14;18)도 확인되었다.[13]
- 다른 변이는 t(2;8)(p12;q24)이다.[14] 이는 myc 종양 유전자가 8번 염색체에서 2번 염색체의 Ig 카파 유전자좌로 전좌되는 것을 포함하며, 버킷 림프종 사례의 15%에서 나타난다.
- 드문 변이는 t(8;22)(q24;q11)이다.[14] 이 유형은 myc 종양 유전자가 8번 염색체에서 22번 염색체의 Ig 람다 유전자좌로 전좌되는 것을 포함하며, 버킷 림프종 사례의 약 5%와 관련 있다.
8번 염색체에서 발견되는 c-myc 유전자는 세포 전사 조절자 역할을 하는 MYC 유전자군에 속하며 버킷 림프종과 관련 있다.[15][30] c-myc 유전자 발현은 전사 인자 합성을 초래하여 유산소 해당 작용 관련 다른 유전자 발현을 증가시킨다.[15] 유산소 해당 작용 증가는 세포 성장에 필요한 에너지를 제공한다.[15] c-myc 유전자가 IGH, IGK, IGL 영역으로 전좌되면 유전자가 면역글로불린 증폭기 근처 게놈 위치로 이동하여 c-myc 유전자 발현이 증가한다.[15] 이러한 전좌는 버킷 림프종에서 발견되는 세포 증식 증가로 이어진다.[15] 점 돌연변이는 전좌된 c-myc 유전자에도 존재할 수 있으며, 발현된 c-myc 단백질이 과활성화되게 한다.[15]
여포 림프종 및 기타 B세포 비호지킨 림프종에서 자주 나타나는 Bcl-2 전좌는 버킷 림프종에서는 발생하지 않는다.[12]
MYC 전좌는 버킷 림프종 사례의 90%에서 나타나지만, 종양 유전자 전좌만으로는 림프종을 유발하기에 충분하지 않으며, 다른 돌연변이도 존재해야 한다.[12] 추가적인 돌연변이에는 종양 억제 인자 TP53 돌연변이가 있으며, 이는 p53과 상호 작용한다. p53은 조절 장애 MYC 종양 단백질을 운반하는 B세포에서 세포 사멸을 유발하지만, TP53과 p53이 돌연변이되면 세포 사멸이 차단되고 종양 유전자 B세포가 제어되지 않고 증식할 수 있게 된다.[12] ARF, USP7도 버킷 림프종에서 자주 돌연변이가 발생하여 p53의 MDM2 억제를 유발하고, 이는 종양 발생을 증가시킨다.[12] MYC 조절자로서 MYC를 탈아세틸화하여 억제하는 SIN3A는 버킷 림프종에서 자주 비활성화된다.[12] RNA 합성에 관여하는 RNA 헬리케이스의 순차적인 돌연변이인 DDX3X (x 염색체에서 발견), DDX3Y (y 염색체에서 발견)는 버킷 림프종에서 MYC 종양 발생을 유발한다.[16] DDX3X 돌연변이는 번역(단백질 합성)을 제한하여 림프종 세포가 MYC 유도성 단백독성 스트레스 및 세포 사멸을 피하도록 하고, DDX3Y 돌연변이는 고수준 단백질 합성을 복원하고(번역 기계 생산) 종양 세포 증식을 증가시킨다.[16] 이러한 순차적인 DDX3X, DDX3Y 돌연변이는 DDX3Y RNA 헬리케이스가 Y 염색체에서만 발견되기 때문에 버킷 림프종이 남성에게 더 흔한 이유를 부분적으로 설명한다.[12]
전사 인자 TCF3, 음성 조절자 ID3에 영향 미치는 돌연변이는 버킷 림프종 사례의 약 70%에서 발견된다.[12][3] 이러한 돌연변이는 ID3가 TCF3에 결합하여 억제하는 것을 방지하므로, 과활성 TCF3는 B 세포 수용체를 활성화하여 PI3K, mTOR, Ig 중쇄, 경쇄 유전자를 활성화하여 종양 발생에 기여한다.[15][12] TCF3, ID3 돌연변이는 버킷 림프종에서 보이는 높은 수준 증식을 설명하는 지속적으로 활성 B세포 수용체를 유발한다.[12] ID3, TCF3 돌연변이는 다른 공격적인 B세포 림프종에서는 드물게 나타나므로, 식별되면 추가 의학적 진단을 지시하는 데 사용할 수 있다.[3]
세포 주기 조절 인자 Cyclin D3, p16도 버킷 림프종에서 각각 활성화, 비활성화될 수 있으며, 이는 대규모 종양 세포 증식으로 이어진다.[12]
일부 후성 유전적 메커니즘이 버킷 림프종 병인에 역할을 한다. FBXO11은 염색질 조절 인자이다. 유비퀴틴 리가제를 활성화함으로써 FBXO11은 BCL6 유비퀴틴화를 유발하여 프로테아좀 분해를 표적으로 한다.[12] BCL6는 B세포가 배 중심에서 성숙하고, 만난 항원에 특정한 항체를 생성하는 데 도움을 준다. 버킷 림프종에서 FBXO11 비활성화는 BCL6 활성 증가로 이어져 배 중심 B세포 증식을 증가시키고 성숙을 감소시켜 림프종 발생을 촉진한다.[12]
EBV 관련 버킷 림프종은 활성화 유도 시티딘 탈아미노 효소 발현 활성이 증가하여 돌연변이 유발을 촉진하며, 이는 EBV 관련 버킷 림프종이 비-EBV 유형보다 더 많은 돌연변이를 갖게 한다. 비-EBV 유형 버킷 림프종은 사이클린 D3 조절 장애, 돌연변이된 비활성 p53을 더 흔하게 갖는다.[12]



악성 림프종 세포에서 형태학적 소견, 면역학적 표지자, 유전자 이상을 확인하면 확정 진단이 된다.
- 아폽토시스된 세포를 대식세포가 탐식하기 때문에, 곳곳에 염색이 빠지는 '''별하늘 모양(starry sky appearance)'''이라는 특징적인 소견이 관찰된다. 단, 이 소견은 DLBCL에서도 나타나기 때문에, 형태만으로는 진단할 수 없다.
- 전형적인 소견은 균일한 핵을 가진 중간 크기 세포가 미만성으로 증식하는 것이지만, 비전형적인 소견에서는 핵 크기와 형태가 불균일하다. 이 비전형적인 소견은 DLBCL과 BL의 중간적인 림프종에서 흔히 나타난다.
- 다른 악성 림프종 병리 조직에서는 반응성 소형 T 세포가 혼재되는 경우가 많지만, 버킷 림프종에서는 매우 적다.
- 골수 도말 검사에서, 종양 세포가 지방 과립을 가지고 있기 때문에, 메이-김자 염색 과정에서 알코올 처리로 용출되어 세포질에 공포가 생긴다(질환 정보 BOX 사진 참조). PAS 염색, 수단 III 염색에서 양성을 보인다.
유세포 분석이나 조직 표본 면역 염색 소견은 다음과 같다.
| 양성 | |
|---|---|
| 범B세포 항원 | CD19, CD20, CD22, CD79a, SIgM |
| 기타 림프구계 항원 | CD10, CD38, CD43, CD77, HLA-DR |
| 기타 | BCL6, Ki-67(MIB-1)[42] - 대부분의 세포(99% 이상)에서 양성.[43] DLBCL에서는 이만큼 양성으로 나타나지 않으므로 감별점이 된다. |
| 음성 | |
|---|---|
| 범T세포 항원 | CD3, CD5, CD23 |
| 기타 | TdT, BCL2 - 음성 또는 약양성. 강양성인 경우에는 버킷 림프종으로 분류하지 않고 DLBCL과의 중간형으로 분류한다. |
FISH법, 서던 블롯법으로 c-myc 유전자[45], 면역글로불린 유전자[46] 상호 전좌를 검출한다.
- t(8;14)(q24;q32) - 75~90%가 이 타입이다.
- t(2;8)(p12;q24)
- t(8;22)(q24;q11)
t(8;14), t(14;18)이 동시에 출현하는 경우가 있다. 또한 c-myc 유전자, 면역글로불린 중쇄 유전자, BCL1이 모두 전좌 융합되어 있는 경우가 있다[47]。어느 경우든 예후가 극히 불량해진다.
- 특징적인 검사 소견으로 EB 바이러스 양성 경우가 있다. 풍토성 버킷 림프종에서는 거의 모든 예에서 양성이지만, 일본에서 발생하는 산발성 버킷 림프종에서 양성은 드물다.[48] 면역 결핍 관련 버킷 림프종에서는 20~40%에서 양성이 된다.
- 임상 검사에서는 LDH, 가용성 IL-2 수용체, β2-마이크로글로불린 상승을 보인다. 특히 LDH 고치는 예후 불량 인자이다.
- FDG-PET는 감도, 특이도가 모두 높지만[49], 병세 악화가 심하기 때문에 치료 전에 실시하는 것이 어려운 경우가 있다.
7. 치료
버킷 림프종은 빠르게 진행하는 질환이므로, 진단 즉시 집중적인 항암 화학 요법을 시작해야 한다. 일반적으로 1차 치료는 화학 요법으로, 다음과 같은 방법들이 사용된다.[23]
| 치료법 | 설명 |
|---|---|
| GMALL-B-ALL/NHL2002 프로토콜 | |
| 수정된 Magrath 요법 (R-CODOX-M/IVAC) | [72] |
| COPADM | [73] |
| hyper-CVAD | 리툭시맙과 함께 사용 가능.[74][75] |
| CALGB 8811 | 리툭시맙과 함께 사용 가능.[74][75] |
| EPOCH | 리툭시맙과 함께 용량 조절하여 고령 환자에게 사용 가능.[76] |
CHOP 요법은 다른 비호지킨 림프종에는 많이 사용되지만, 버킷 림프종에는 효과가 적어(장기 생존율 약 10%) 사용되지 않는다. 고용량 항암제를 포함한 치료(대량 투여법)가 필요하다.
일본에서 주로 시행되는 치료는 다음과 같다.
중추 신경 침윤이 많기 때문에, 이러한 치료들은 혈액뇌관문을 통과하는 대량의 시타라빈, 메토트렉세이트 투여와 척수강 내 주사를 병행한다. 고령자나 합병증이 있는 경우에는 R-DA-EPOCH 요법을 고려할 수 있다.[54]
리툭시맙 병용은 Hyper-CVAD 요법이나 DA-EPOCH 요법에서 효과가 보고되었지만,[53][54] CODOX-M/IVAC 요법에서는 명확한 효과가 입증되지 않았다.[55]
버킷 림프종은 화학 요법에 빠르게 반응하지만, 종양 용해 증후군의 위험이 있으므로 주의해야 한다.[59] 환자를 면밀히 관찰하고 적절한 수분 공급을 해야 하며, 수액 및 라스부리카제 투여가 권장된다.[59][60] 또한, 중추 신경계로 전파되는 경향이 있어, 전신 화학 요법과 함께 메토트렉세이트 및/또는 ARA-C 및/또는 프레드니솔론을 이용한 지주막하강 내 화학 요법이 시행된다.
화학 요법에 사용되는 약물은 다음과 같다.
다른 치료법으로는 면역 요법, 골수 이식, 줄기 세포 이식, 종양 제거 수술, 방사선 요법 등이 있다.
초회 치료로 관해에 도달한 경우에는 방사선 치료 추가나 조혈모세포 이식은 권장되지 않는다.
치료 강도가 높기 때문에 감염증이나 약물 유해 사례도 많아 이에 대한 대처도 필요하다. 재발·난치성 환자의 구제 요법은 표준 요법이 확립되어 있지 않다.
8. 예후
버킷 림프종은 치료 반응이 좋은 편이지만, 재발하거나 치료에 불응하는 경우 예후가 좋지 않다. 선진국에서의 전체 완치율은 약 90%에 달하지만,[4] 개발도상국이나 후진국에서는 이보다 낮다.[66] 성인의 경우 소아보다 예후가 좋지 않다.[4]
초기 치료에 실패하거나 6개월 이내에 재발하는 경우, 예후가 좋지 않다.[30] 초기 치료에 사용된 약물은 재발 후 치료 옵션을 제한할 수 있다.[30] 특히, 적절한 치료를 받기 어려운 지역에서는 재발 시 치료 옵션이 부족할 수 있다.[30]
젖산 탈수소 효소(LDH) 수치, CD4 수치, 세포 유전학적 연구 결과 등도 예후와 관련이 있다.[30] LDH 수치가 정상 상한치의 두 배를 초과하거나, CD4 수치가 감소하거나, 특정 유전자 돌연변이(13q 결실, 7q 획득, ID3 및 CCND3 이중 타격 돌연변이, 18q21 CN-LOH 돌연변이 등)가 있는 경우 예후가 좋지 않을 수 있다.[30]
양전자 방출 단층 촬영 및 CT 스캔과 같은 영상 진단법을 통해 병기를 설정하고, 종양 부담 및 중추 신경계 침범 여부를 확인하는 것이 예후 예측에 도움이 된다.[29][30]
재발하거나 치료에 불응하는 환자의 경우 표준 치료법이 확립되어 있지 않다. DAHP 요법, R-ICE 요법, 독소루비신 + 토포테칸 병용 요법 등이 보고되고 있다.[58] 이러한 구제 요법에 반응이 있는 경우 자가 조혈모세포 이식을 통해 효과를 기대할 수 있다.[58] 구제 요법에 반응하지 않는 경우 동종 조혈모세포 이식을 고려할 수 있지만, 효과를 뒷받침하는 충분한 데이터는 없다.[61][62]
고령(40세 이상), 골수나 중추 신경계 침범, 10cm 이상의 절제 불가능한 거대 종괴, 고 LDH 혈증, +7q 및 del(13) 염색체 이상은 예후 불량 인자로 알려져 있다.[55][63]
성인 초발 환자의 경우 CODOX-M/IVAC 요법으로 70~95%가 완전 관해를 보였고, 2년 전체 생존율은 약 70%였다.[50][51][52] R-Hyper-CVAD 요법에서는 60세 이상 환자의 3년 전체 생존율이 89%였다.[53] 성인 재발 환자에서 구제 요법 후 자가 조혈모세포 이식을 시행한 결과 3년 전체 생존율은 37%였지만, 치료 불응성인 경우에는 7%에 불과했다.[58]
9. 연구 동향
거의 모든 버킷 림프종은 세 가지 염색체 전좌 중 하나에 의해 ''c-myc'' 유전자의 조절 장애로 특징지어진다.[3][11] 8q24에 위치한 MYC 유전자는 세포 전사의 조절자 역할을 하며, 유산소 해당 작용과 관련된 다른 유전자의 발현을 증가시켜 세포 성장에 필요한 에너지를 제공한다.[15] c-myc 유전자가 IGH, IGK 또는 IGL 영역으로 전좌되면 면역글로불린 증폭기 근처로 이동하여 발현이 증가하고, 이는 세포 증식 증가로 이어진다.[15]
버킷 림프종에서 나타나는 세 가지 염색체 전좌는 다음과 같다.
| 유형 | 설명 | 발생 빈도 |
|---|---|---|
| t(8;14)(q24;q32) | c-myc 종양 유전자가 8번 염색체에서 14번 염색체의 Ig 중쇄 영역으로 전좌 | 70~80%[12] |
| t(2;8)(p12;q24) | myc 종양 유전자가 8번 염색체에서 2번 염색체의 Ig 카파 유전자좌로 전좌 | 15% |
| t(8;22)(q24;q11) | myc 종양 유전자가 8번 염색체에서 22번 염색체의 Ig 람다 유전자좌로 전좌 | 약 5% |
MYC 전좌는 버킷 림프종 사례의 90%에서 나타나지만, 림프종을 유발하기 위해서는 다른 돌연변이도 필요하다.[12] 종양 억제 인자 TP53의 돌연변이는 p53의 세포 사멸을 차단하고, ARF와 USP7의 돌연변이는 p53의 MDM2 억제를 유발하여 종양 발생을 증가시킨다.[12] MYC 조절자인 SIN3A는 버킷 림프종에서 자주 비활성화된다.[12] DDX3X 및 DDX3Y의 순차적인 돌연변이는 MYC 종양 발생을 유발하며, 이는 버킷 림프종이 남성에게 더 흔한 이유를 부분적으로 설명한다.[12][16]
전사 인자 TCF3와 그 음성 조절자 ID3에 영향을 미치는 돌연변이는 버킷 림프종 사례의 약 70%에서 발견된다.[12][3] 이러한 돌연변이는 지속적으로 활성 B세포 수용체를 유발하여 높은 수준의 증식을 초래한다.[12]
세포 주기 조절 인자 Cyclin D3와 p16도 버킷 림프종에서 각각 활성화 및 비활성화될 수 있다.[12] FBXO11의 비활성화는 BCL6 활성을 증가시켜 림프종 발생을 촉진하는 후성 유전적 메커니즘으로 작용한다.[12]
EBV 관련 버킷 림프종은 활성화 유도 시티딘 탈아미노 효소의 발현 활성이 증가하여 돌연변이 유발을 촉진한다.[12] 버킷 림프종의 ''TCF3'' 및 ''ID3'' 유전자 변이는 표적 치료에 적합할 수 있는 세포 생존 경로와 관련이 있다.[35]
참조
[1]
WhoNamedIt
[2]
논문
A sarcoma involving the jaws in African children
[3]
서적
Williams Hematology
McGraw Hill
[4]
논문
Burkitt's lymphoma
https://eprints.whit[...]
2012-04
[5]
논문
EBV-Positive Lymphoproliferations of B- T- and NK-Cell Derivation in Non-Immunocompromised Hosts.
2018-03-07
[6]
논문
Burkitt's lymphoma: new insights into molecular pathogenesis
2003-03
[7]
논문
The Epstein-Barr virus and the pathogenesis of lymphoma
2015-01
[8]
논문
Treating Burkitt Lymphoma in Adults
2015-09
[9]
논문
Epstein-Barr virus (EBV)-associated lymphoid proliferations, a 2018 update
2018-09
[10]
논문
Genome-wide discovery of somatic coding and noncoding mutations in pediatric endemic and sporadic Burkitt lymphoma
2019-03-21
[11]
서적
Hematology : basic principles and practice
http://www.mdconsult[...]
Churchill Livingstone/Elsevier
[12]
논문
Burkitt's Lymphoma
2022-09-22
[13]
논문
t(8;14;18): a 3-way chromosome translocation in two patients with Burkitt's lymphoma/leukemia
[14]
논문
An unusual p53 mutation detected in Burkitt's lymphoma: 30 bp duplication
2008-10
[15]
서적
Robbins & Cotran pathologic basis of disease
https://www.worldcat[...]
2021
[16]
논문
Sequential inverse dysregulation of the RNA helicases DDX3X and DDX3Y facilitates MYC-driven lymphomagenesis
2021-10
[17]
서적
Robbins & Cotran pathologic basis of disease
https://www.worldcat[...]
2021
[18]
논문
Virus-encoded microRNA contributes to the molecular profile of EBV-positive Burkitt lymphomas
https://www.oncotarg[...]
2015-07-31
[19]
서적
Hematology : basic principles and practice
https://www.worldcat[...]
2018
[20]
논문
Burkitt Lymphoma: Pathogenesis and Immune Evasion
[21]
논문
Early stage of Epstein–Barr virus lytic infection leading to the "starry sky" pattern formation in endemic Burkitt's lymphoma
https://www.archives[...]
2004-05
[22]
서적
WHO classification of tumours of haematopoietic and lymphoid tissues
Lyon, France : International Agency for Research on Cancer
[23]
논문
Evaluation of the addition of rituximab to CODOX-M/ IVAC for Burkitt's lymphoma: a retrospective analysis
[24]
논문
Risk factors and treatment of childhood and adolescent Burkitt lymphoma/leukaemia
[25]
웹사이트
Burkitt Lymphoma and Burkitt-like Lymphoma: Practice Essentials, Background, Etiology and Pathophysiology
http://emedicine.med[...]
2017-06-29
[26]
웹사이트
BHS Guidelines for the treatment of Burkitt's lymphoma
http://www.bhs.be/fr[...]
2022-03-17
[27]
논문
Phase II Study of Dose-Adjusted EPOCH-Rituximab in Untreated Diffuse Large B-cell Lymphoma with Analysis of Germinal Center and Post-Germinal Center Biomarkers
[28]
논문
Biology and treatment of Burkitt's lymphoma
[29]
서적
Hematology : basic principles and practice
https://www.worldcat[...]
2018
[30]
간행물
Burkitt Lymphoma
http://www.ncbi.nlm.[...]
StatPearls Publishing
2022
[31]
논문
Burkitt and Burkitt-Like Lymphomas: a Systematic Review
https://pubmed.ncbi.[...]
2020-03-06
[32]
논문
The role of EBV in the pathogenesis of Burkitt's Lymphoma: an Italian hospital based survey
[33]
논문
The presence of Epstein-Barr virus significantly impacts the transcriptional profile in immunodeficiency-associated Burkitt lymphoma
2015
[34]
웹사이트
NIH study shows Burkitt lymphoma is molecularly distinct from other lymphomas
http://cancer.gov/ne[...]
National Cancer Institute
2012-10-19
[35]
논문
Burkitt Lymphoma Pathogenesis and Therapeutic Targets from Structural and Functional Genomics
[36]
서적
WHO classification of Tumours of Haematpietic and Lymphoid Tissue
IRAC Press, Lyon
[37]
논문
Proposals for the classification of the acute leukaemias. French-American-British(FAB)cooperative group
[38]
서적
World Health Organization classification of tumours : pathology and genetics : tumours of haematopoietic and lymphoid tissues
IARC Press, Lyon
[39]
웹사이트
synd
[40]
논문
A sarcoma involving the jaws in African children
[41]
논문
A clinical evaluation of the International Lymphoma Study Group classification of non-Hodgkin's lymphoma. The Non-Hodgkin's Lymphoma Classification Project.
[42]
문서
ヒトの増殖期の細胞の核で陽性となるタンパク質。MIB-1は抗Ki-67モノクローナル抗体の一つ。
[43]
논문
The distinction between Burkitt lymphoma and diffuse large B-Cell lymphoma with c-myc rearrangement.
[44]
논문
An aggressive case of Burkitt's lymphoma with t(8;14) and c-myc rearrangement transformed from CD5+ B-cell lymphoma.
[45]
문서
8番染色体(8q24)に存在する。
[46]
문서
重鎖遺伝子は14番染色体(14q32)、κ軽鎖遺伝子は2番染色体(2p12)、λ軽鎖遺伝子は[[22番染色体]](22q11)に存在する。
[47]
논문
医薬出版株式会社
[48]
논문
Clinical and genetic characteristics of Japanese Burkitt lymphomas with or without leukemic presentation.
[49]
논문
18F-FDG PET and PET/CT in Burkitt's lymphoma.
[50]
논문
Adults and children with small non-cleaved-cell lymphoma have a similar excellent outcome when treated with the same chemotherapy regimen.
[51]
논문
An international evaluation of CODOX-M and CODOX-M alternating with IVAC in adult Burkitt's lymphoma: results of United Kingdom Lymphoma Group LY06 study.
[52]
논문
Modified cyclophosphamide, vincristine, doxorubicin, and methotrexate (CODOX-M)/ifosfamide, etoposide, and cytarabine (IVAC) therapy with or without rituximab in Japanese adult patients with Burkitt lymphoma (BL) and B cell lymphoma, unclassifiable, with features intermediate between diffuse large B cell lymphoma and BL.
[53]
논문
Chemoimmunotherapy with hyper-CVAD plus rituximab for the treatment of adult Burkitt and Burkitt-type lymphoma or acute lymphoblastic leukemia.
[54]
논문
A prospective study of dose-adjusted (DA) EPOCH with rituximab in adults with newly diagnosed Burkitt lymphoma: a regimen with high efficacy and low toxicity. Presentation at the 10th International Conference on Malignant Lymphoma
[55]
논문
Evaluation of the addition of rituximab to CODOX-M/IVAC for Burkitt's lymphoma: a retrospective analysis.
[56]
논문
Combined modality therapy for adults with small noncleaved cell lymphoma (Burkitt's and non-Burkitt's types).
[57]
논문
Intensive chemotherapy with and without cranial radiation for Burkitt leukemia and lymphoma: final results of Cancer and Leukemia Group B Study 9251.
[58]
논문
Adult Burkitt's and Burkitt-like non-Hodgkin's lymphoma--outcome for patients treated with high-dose therapy and autologous stem-cell transplantation in first remission or at relapse: results from the European Group for Blood and Marrow Transplantation.
[59]
논문
Incidence of tumor lysis syndrome in children with advanced stage Burkitt's lymphoma/leukemia before and after introduction of prophylactic use of urate oxidase.
[60]
논문
Guidelines for the management of pediatric and adult tumor lysis syndrome: an evidence-based review.
[61]
논문
An EBMT registry matched study of allogeneic stem cell transplants for lymphoma: allogeneic transplantation is associated with a lower relapse rate but a higher procedure-related mortality rate than autologous transplantation.
[62]
문서
症例数が少ないので比較臨床試験が困難という理由もある。
[63]
논문
Specific cytogenetic abnormalities are associated with a significantly inferior outcome in children and adolescents with mature B-cell non-Hodgkin's lymphoma: results of the FAB/LMB 96 international study.
[64]
웹사이트
synd
[65]
논문
A sarcoma involving the jaws in African children
[66]
논문
Burkitt's lymphoma
http://eprints.white[...]
2012-04
[67]
논문
EBV-Positive Lymphoproliferations of B- T- and NK-Cell Derivation in Non-Immunocompromised Hosts.
2018-03-07
[68]
논문
Epstein–Barr virus and Burkitt lymphoma
2007-12
[69]
논문
Burkitt's lymphoma: new insights into molecular pathogenesis
2003-03
[70]
논문
Early stage of Epstein–Barr virus lytic infection leading to the "starry sky" pattern formation in endemic Burkitt's lymphoma
https://www.archives[...]
2004-05
[71]
서적
WHO classification of tumours of haematopoietic and lymphoid tissues
Lyon, France : International Agency for Research on Cancer
[72]
저널
Evaluation of the addition of rituximab to CODOX-M/ IVAC for Burkitt's lymphoma: a retrospective analysis
http://annonc.oxford[...]
[73]
저널
Risk factors and treatment of childhood and adolescent Burkitt lymphoma/leukaemia
[74]
저널
Burkitt Lymphoma and Burkitt-like Lymphoma: Practice Essentials, Background, Etiology and Pathophysiology
http://emedicine.med[...]
2017-06-29
[75]
웹인용
보관된 사본
http://www.bhs.be/fr[...]
2020-04-28
[76]
저널
Phase II Study of Dose-Adjusted EPOCH-Rituximab in Untreated Diffuse Large B-cell Lymphoma with Analysis of Germinal Center and Post-Germinal Center Biomarkers
[77]
저널
Novel Treatment of Burkitt Lymphoma with Dose-Adjusted EPOCH-Rituximab: Preliminary Results Showing Excellent Outcome.
http://www.bloodjour[...]
2006-11-16
[78]
서적
Clinical hematology: theory and procedures
https://archive.org/[...]
Lippincott Williams & Wilkins
[79]
저널
The role of EBV in the pathogenesis of Burkitt's Lymphoma: an Italian hospital based survey
본 사이트는 AI가 위키백과와 뉴스 기사,정부 간행물,학술 논문등을 바탕으로 정보를 가공하여 제공하는 백과사전형 서비스입니다.
모든 문서는 AI에 의해 자동 생성되며, CC BY-SA 4.0 라이선스에 따라 이용할 수 있습니다.
하지만, 위키백과나 뉴스 기사 자체에 오류, 부정확한 정보, 또는 가짜 뉴스가 포함될 수 있으며, AI는 이러한 내용을 완벽하게 걸러내지 못할 수 있습니다.
따라서 제공되는 정보에 일부 오류나 편향이 있을 수 있으므로, 중요한 정보는 반드시 다른 출처를 통해 교차 검증하시기 바랍니다.
문의하기 : help@durumis.com
