난소
"오늘의AI위키"의 AI를 통해 더욱 풍부하고 폭넓은 지식 경험을 누리세요.
1. 개요
난소는 여성의 생식 기관으로, 난자를 생성하고 주기적으로 배출하며 호르몬을 분비하는 역할을 한다. 난소는 아몬드 모양으로, 피질과 수질로 구성되어 있으며, 난포에서 난자가 성숙하여 배란된다. 난소는 에스트로겐, 안드로겐, 프로게스토겐 등 다양한 호르몬을 분비하여 여성의 생식 기능을 조절하고, 사춘기 발달과 임신에 중요한 역할을 한다. 난소는 난소 노화, 질환, 종양 등 다양한 문제에 직면할 수 있으며, 난소 조직 동결 보존과 같은 기술이 생식 능력 보존을 위해 활용된다.
더 읽어볼만한 페이지
- 골반 - 자궁
자궁은 여성 골반 내에 위치한 배 모양의 생식 기관으로, 수정란 착상과 태아 발달을 담당하며 자궁저부, 자궁체부, 자궁협부, 자궁경부의 네 부분과 자궁내막, 자궁근층, 자궁외막의 세 층으로 구성되어 임신과 여성 생식 건강에 중요한 역할을 하지만 다양한 질병에 취약하다. - 골반 - 방광
방광은 골반저에 위치하여 소변을 저장하고 배출하는 속이 빈 근육 기관으로, 요관과 요도가 연결되어 있으며, 배뇨근으로 팽창과 수축을 하고, 뇌간의 배뇨 중추에 의해 배뇨가 조절된다. - 여성의 생식 기관 - 질
질은 여성 생식 기관의 일부로 외음부에서 자궁경부까지 이어지는 근육관이며, 월경혈 배출, 성교, 출산에 중요한 역할을 하고 질 내 미생물총은 건강 유지에 기여하지만 감염과 질환의 위험, 노화 및 출산으로 인한 변화, 그리고 사회적 편견에 직면하기도 한다. - 여성의 생식 기관 - 자궁
자궁은 여성 골반 내에 위치한 배 모양의 생식 기관으로, 수정란 착상과 태아 발달을 담당하며 자궁저부, 자궁체부, 자궁협부, 자궁경부의 네 부분과 자궁내막, 자궁근층, 자궁외막의 세 층으로 구성되어 임신과 여성 생식 건강에 중요한 역할을 하지만 다양한 질병에 취약하다. - 해부학에 관한 - 림프
림프는 림프관을 통해 순환하는 체액으로, 혈장과 유사한 성분으로 체액 균형 유지, 면역 반응, 지방 흡수 및 운반 등의 역할을 수행한다. - 해부학에 관한 - 신경
신경은 중추신경계와 말초신경계를 연결하는 신경섬유 다발 조직으로, 삼중막 구조로 둘러싸여 있고, 구심성, 원심성, 혼합 신경 등으로 분류되며, 활동전위를 통해 정보를 전달하고 손상 시 재생될 수 있지만 완전한 회복은 어려울 수 있다.
| 난소 | |
|---|---|
| 기본 정보 | |
![]() | |
![]() | |
| 라틴어 | ovarium |
| 어원 | 라틴어 "ōvārium" (계란) |
| 계통 | 생식계통 |
| 동맥 | 난소 동맥 자궁 동맥 |
| 정맥 | 난소 정맥 |
| 신경 | 난소 신경얼기 |
| 림프 | 대동맥 주위 림프절 |
| 기본 정보 (일본어) | |
![]() | |
| 일본어 | 卵巣 (らんそう) |
| 영어 | Ovary |
| 기본 정보 (한국어) | |
| 한국어 | 난소 |
| 라틴어 | ovarium |
| 영어 | ovary |
| 기능 | |
| 역할 | 난자 생산 |
| 호르몬 생성 | 에스트로겐 프로게스테론 |
| 추가 정보 (일본어) | |
| 위치 | 좌우에 2개 존재, 자궁 후방에 위치 |
| 난자 개수 | 개인차 존재 |
| 관련 질병 (일본어) | |
| 질병 | 난소낭종 난소 종양 난소암 |
2. 난소의 구조
난소는 아몬드 모양으로, 대략 길이 3cm, 너비 1.5cm, 두께 1cm 정도이다. 난소는 백색의 섬유성 낭으로 덮여 있으며, 내부는 섬유결합조직과 혈관이 있는 수질(속질)과 난자가 자라는 피질(겉질)로 나뉜다.[68] 난소의 피막은 치밀 결합조직으로 이루어져 있으며, 백막이라고 불린다.[4]
고환과 달리 난소에는 정세관과 같은 관이 없다. 대신 각각의 난자는 '''난포'''에서 자라나서 난포가 터지는 것처럼 배란될 때 방출된다. 아동기의 난소는 표면이 부드럽지만, 가임기 여성의 난소는 여러 난포가 성장하면서 표면이 불룩해져 주름이 생긴다.[68] 일반적으로 배란은 두 난소 중 하나에서 발생하여 각 월경 주기마다 난자를 방출한다.
각 난소는 흰색을 띠며 자궁의 측벽 옆, 난소와라 불리는 부위에 위치한다. 난소와는 외장골동맥에 의해 경계가 지어지고, 요관과 내장골동맥 앞쪽에 있으며, 약 4cm x 3cm x 2cm 크기이다.[3][5]
난소의 다른 구조로는 문이 있다. 정상 여성은 난소가 2개 있으며, 월경 시를 포함하여 2cm~4cm의 엄지손가락 길이 정도의 장타원형 또는 약간 편평한 모양을 하고 있다. 무게는 1개당 약 14g[66]이다. 자궁 상단의 좌우에 위치하며, 난소고유인대라고 불리는 끈 모양의 결합조직으로 자궁과 연결되어 있지만, 관으로 직접 연결되어 있지는 않다. 골반 내측 벽으로부터는 골반깔때기인대라고 불리는 끈 모양의 조직으로 외부에서도 지지된다. 난소 바로 근처에는 난관채라고 하는 나팔관의 개구부가 있으며, 나팔관은 자궁 내부와 연결된 관으로, 나팔 모양으로 넓어져 관의 바깥쪽을 향해 열려 있다.
난소의 표면은 1층의 세포로 이루어진 장막(배상피)과 결합조직성 백막으로 덮여 있다. 내부는 대부분을 차지하는 피질과 중심부의 수질로 나뉜다.
2. 1. 난소의 인대
난소는 몇 개의 결합조직으로 된 인대에 의해 고정되어 있다. 난관에 가장 가까운 난소의 측면은 난소인대에 의해 연결되고,[3] 다른 쪽은 아래쪽을 향하여 자궁에 난소고유인대를 통해 부착된다. 난소는 복강 내 자궁의 양쪽에 위치하며, 난소인대로 불리는 섬유질 끈으로 자궁에 부착되어 있다. 난소는 복강 내에서는 노출되어 있지만, 자궁 광인대의 뒤쪽 연장인 난소고유인대를 통해 체벽에 고정되어 있다. 난소를 덮고 있는 자궁 광인대의 일부는 난소간막으로 알려져 있다.[5]2. 2. 난소의 미세 해부학
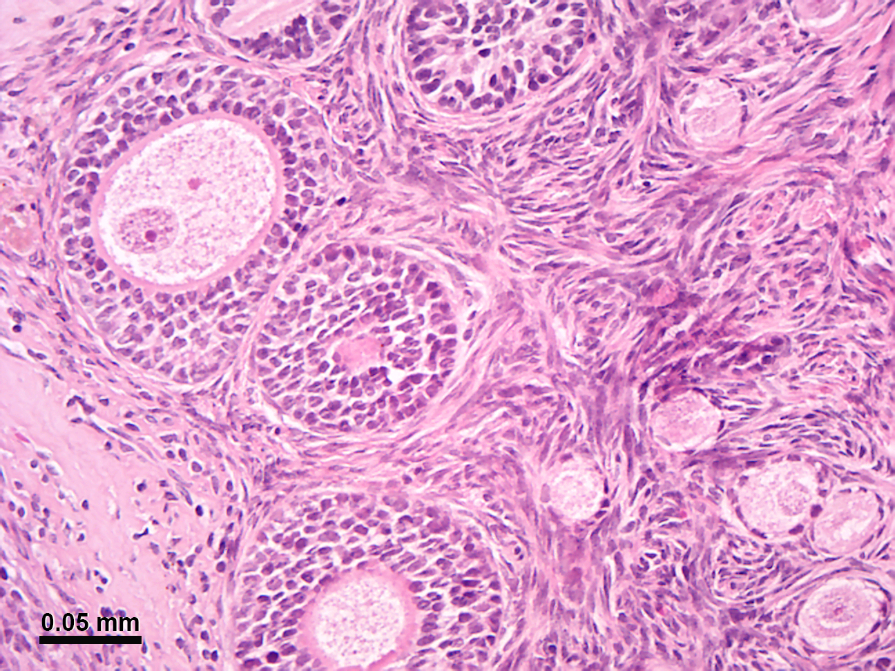
난소는 백색의 섬유성 낭에 덮여 있으며, 난소의 내부는 안쪽으로는 섬유결합조직과 혈관인 수질(속질, medulla), 난자가 자라는 곳인 바깥쪽의 피질(겉질, cortex)로 구분된다.[68] 피막은 치밀 결합조직으로 이루어져 있으며, 백막으로 알려져 있다.[4]난소의 표면은 단층 입방 상피에서 원주 상피 모양의 중피 세포로 이루어진 막, 즉 생식 상피로 덮여 있다.[7] 바깥층은 난소 피질이며, 그 사이에는 난포와 기질이 있다. 난포에는 난구, 과립막(그리고 그 안의 과립막 세포), 방사관, 투명대, 그리고 1차 난모세포가 포함된다. 난포막, 난포강과 난포액도 난포에 포함된다. 또한 피질에는 난포에서 유래된 황체가 있다. 가장 안쪽 층은 난소 수질이다.[8] 피질과 수질을 구분하기 어려울 수 있지만, 수질에는 일반적으로 난포가 없다. 난소에는 혈관과 림프관도 있다.[9]

난포 세포는 난소를 덮는 표면 상피에서 유래한 편평 상피세포이다. 이 세포들은 편평 세포에서 입방형으로 변하고 증식하여 중층 상피를 생성하는 과립막 세포로 둘러싸여 있다.
고환과 달리 난소에는 고환의 정세관같은 관(duct)가 없으며, 대신 각각의 난자는 '''난포'''에서 자라나서 난포가 터지는 것처럼 배란될 때 방출된다. 아동기의 난소는 표면이 부드럽지만, 가임기에 있는 여성의 난포는 여러 난포가 성장하면서 난포의 표면을 불룩하게 만들기 때문에 표면에 주름이 있다.[68] 일반적으로 배란은 두 난소 중 하나에서 발생하여 각 월경 주기마다 난자를 방출한다.
'''난포'''는 난소 안에 다수 존재하는 구상의 세포 덩어리로, 그 안에는 1개의 난자 세포가 포함되어 있으며, 난소의 세포가 그것을 둘러싸고 있는 구조이다. 난포는 배란이 일어날 때의 기능적 단위이다. 난포는 그 발달 단계에 따라 다른 이름으로 불린다.
- '''원시난포''': 난소 안에 항상 무수히 축적되어 있는 휴면 상태의 난포이다. 1개의 난자 세포와 그것을 둘러싸는 1층의 세포층으로 구성된다. 둘러싸고 있는 세포는 '''난포상피세포'''라고 불린다. 난소의 표면 근처에 빽빽하게 나란히 늘어서 있다.
- '''1차 난포''': 휴면에서 깨어난 원시난포는 발달을 시작하는데, 그 처음 며칠 동안의 난포이다. 이 기간 동안, 난자 세포를 둘러싸는 난포상피세포가 세포 분열을 반복하여 그 수를 늘리면, 난자 세포를 둘러싸는 층이 처음에는 1층의 세포였던 것이 2층, 3층으로 늘어난다. 난자 세포 자체의 크기는 변하지 않지만, 난포의 크기는 점차 커진다. 다층화된 난포상피세포의 층을 '''과립층'''이라고도 부른다. 또 이것을 둘러싸는 것처럼, 그 바깥쪽에 난포막 또는 피막이라고 불리는 구조가 나타난다. 난포막은 1~수층의 편평한 세포층이다.
- '''2차 난포''': 1차 난포 이후, 배란에 이르는 최종 발달 단계까지의 난포를 말한다. 난포상피세포가 증식을 반복하고 과립층이 두꺼워지면, 이 안에 난포강이라고 불리는 공동이 나타나기 시작한다. 난포강에는 과립층의 세포에서 히알루론산 등에 풍부한 액체가 분비되어 축적되고, 점차 난자 세포를 난포 내의 끝으로 밀어낼 정도로 넓어진다. 또, 난포의 가장 바깥쪽에 있는 난포막은 2종류의 세포로 구성된 2층으로 나뉘어, 외난포막, 내난포막(외피막, 내피막)이 구별될 수 있게 된다. 최종적으로 배란 직전에는 1개의 난포의 크기는 18~20mm 정도가 되는데, 이 배란 직전의 난포를 '''성숙난포'''('''그라프난포''')라고 부른다.
원시난포가 발달을 시작하는 것은 월경기 직전이며, 그 후 이 난포는 1차 난포, 2차 난포가 되어 발달을 계속하고, 다음 배란기에 성숙난포가 된다. 이 난포의 발달은 뇌하수체의 난포자극호르몬(FSH)에 의해 촉진된다. 이 기간은 약 20일 정도의 매우 빠른 변화이다. 이때, 처음에 휴면에서 깨어나는 난포는 다수이지만, 최종적으로 배란에 이르는 크기까지 발달하는 것은 1개의 난포뿐이다. 나머지 난포는 발달 과정의 어딘가에서 발달을 멈추고, 아포토시스에 의해 세포가 사멸하여 흡수된다. 이 현상을 난포폐쇄라고 부르고, 발달을 멈추고 흡수되어 가는 과정의 난포를 '''폐쇄난포'''라고 부른다. 난포폐쇄는 FSH 자극의 부족이 원인이라고 생각되며, 발달이 느린 난포는 폐쇄되지만, 발달이 진행된 난포에서는 FSH 수용체의 발현량이 높고, 저농도의 FSH 자극에서도 생존, 발달한다. 폐쇄는 인간의 난소에서 특히 현저하게 관찰된다.
난포에서는 에스트로겐(난포호르몬)이 분비되는데, 이것은 내난포막의 세포가 생산, 분비한 안드로겐을 과립층의 세포가 흡수하고, 이 세포가 가지고 있는 아로마타제라고 불리는 전환 효소로 에스트로겐으로 전환하여 분비하고 있다고 생각된다. 에스트로겐의 분비량은 난포의 발달과 함께 증가하기 때문에, 월경기 후, 배란기가 가까워짐에 따라 혈중 에스트로겐 농도는 상승하고, 배란 시에 최고조에 달한다.
3. 난소의 기능
사춘기가 되면 난소는 호르몬 분비량을 늘리기 시작하고, 이 호르몬들의 영향으로 2차 성징이 나타난다.[2] 난소는 호르몬을 조절하여 임신과 임신 및 생식 능력에 중요한 역할을 한다. 난소에서 난자(난모세포)가 배출될 때, 내분비계가 자극을 받아 호르몬 수치가 변하는데,[10] 이는 시상하부와 뇌하수체의 조절을 받는다.
포유류인 인간의 난소 안에는 여러 개의 난포가 있으며, 난포는 난자를 성숙시키고 배란을 일으킨다. 난포에서는 에스트로겐이, 황체에서는 프로게스테론과 에스트로겐이 분비된다. 이러한 호르몬들은 난포와 난자의 성숙, 배란으로 인해 자궁에서 일어나는 월경 주기를 조절하고, 에스트로겐과 프로게스테론의 변화를 일으킨다.[64][65]
난포가 커지면서 에스트로겐 분비량도 증가하여 혈중 에스트로겐 농도가 높아진다. 그러면 시상하부에서 성선자극호르몬 방출 호르몬(GnRH) 분비량이 늘고, 뇌하수체에서 난포자극호르몬(FSH)과 황체형성호르몬(LH) 분비가 증가한다. 배란 직전에는 난소의 에스트로겐 분비, 시상하부의 GnRH 분비, 뇌하수체의 FSH, LH 분비가 급격히 증가하여 배란이 일어난다.
배란으로 난포 벽에 구멍이 생기고 난자가 나오면 난포는 쪼그라든다. 난포의 잔해는 황체로 변하고, 황체 세포는 프로게스테론과 에스트로겐을 분비한다. 프로게스테론은 수정란이 자궁에 잘 착상하도록 자궁벽(자궁내막)을 변화시킨다.
3. 1. 배우자 생성 (난자 생성)
난소는 여성 배우자인 난자를 생성하고 주기적으로 방출하는 기관이다. 난소에서 발달 중인 난자(혹은 난모세포)는 체액으로 채워진 난포에서 성숙한다. 일반적으로 한 번에 하나의 난모세포만 발달하지만, 다른 난모세포들도 동시에 성숙할 수 있다.[11]난모세포가 난소에서 성숙을 완료하면 황체형성호르몬이 뇌하수체에서 분출되어 난포가 파열되며 난모세포를 방출하는데, 이 과정을 배란이라고 한다.[12] 난포는 기능을 유지하며 황체로 재구성되어 프로게스테론을 분비하여 궁극적으로 자궁에 착상할 배아를 준비한다.[11]
생식세포인 난자는 원래 2n=46개의 염색체에 해당하는 디옥시리보핵산(DNA)를 가지고 있는 세포이지만, 정자와 수정하기 전에 감수분열을 한다. 이를 통해 미리 핵 내 DNA량을 절반으로 줄여 n=23개의 염색체 분량의 DNA만을 가지게 되어 수정에 대비한다. 감수분열은 2회의 세포분열이 연속적으로 일어나는 현상이며, 각 단계에서 난자는 아래와 같이 다른 명칭으로 불린다.
- 난자모세포(난원세포): 감수분열 전의 세포. 사람의 경우 태아기에만 존재한다.
- 1차 난모세포(난모세포): 감수분열 제1분열 중인 세포.
- 2차 난모세포(난자세포): 감수분열 제2분열 중인 세포.
- 난자(난): 감수분열 완료 후의 세포. 정자의 핵과 핵융합을 하면 2n=46개의 DNA를 다시 가지게 되고, 배 발생이 시작된다.
사람의 난자 감수분열은 여성의 평생에 걸쳐 일어나는 긴 과정이다. 태아의 난소 안에 있는 난자는 난자모세포 또는 난원세포이다. 출생 전후까지 모든 난자모세포는 1회 분열하여 1차 난모세포가 된다. 태어난 후 사춘기가 될 때까지 원시난포 속의 난자는 그대로 1차 난모세포이다. 난포가 발달하기 시작하여 배란 직전의 성숙난포가 되면 다시 1회 분열하여 2차 난모세포가 된다. 배란될 때에도 난자는 2차 난모세포 상태이며, 그 후 정자와의 수정이 자극이 되어 마지막 분열이 일어나 난자가 되고, 정자의 핵과 핵융합을 한다.
여성의 고령 출산은 염색체나 유전자의 선천적 이상 확률이 상승하는 것으로 알려져 있는데, 이는 감수분열에 매우 긴 시간이 걸리는 것과 밀접한 관련이 있다. 감수분열과 같은 세포분열 중인 세포는 방사선이나 화학물질 등 DNA에 손상을 주는 인자의 영향을 받기 쉽다. 이는 출생 후 계속 감수분열 도중에 멈춰 있는 난모세포가 DNA 손상을 받기 쉽다는 것을 의미한다.
난자의 감수분열이 일반적인 세포분열이나 정자 형성 과정의 감수분열과 다른 점은 분열 후 2개의 세포 크기가 같지 않다는 것이다. 핵이 2개로 분열해도, 이를 둘러싼 세포질은 2개로 나뉘지 않고, 어느 한쪽 핵이 난자의 세포질에서 밀려나듯 배출된다. 밀려나온 핵을 '''극체'''라고 부른다. 감수분열 제1분열, 제2분열 각각에서 극체가 방출되므로 각각 제1극체, 제2극체라고 부른다.
3. 2. 호르몬 분비
사춘기가 되면 난소는 호르몬 분비량이 증가하기 시작하며, 이러한 호르몬의 영향으로 2차 성징이 발달하기 시작한다.[2] 난소는 호르몬 조절 기능을 가지고 있어 임신과 임신 및 생식 능력에도 중요한 역할을 한다. 난관에서 난자(난모세포)가 배출될 때, 다양한 피드백 기전이 내분비계를 자극하여 호르몬 수치를 변화시킨다.[10] 이러한 피드백 기전은 시상하부와 뇌하수체에 의해 조절되며, 난소는 자체 호르몬을 방출한다.성숙기에 이르면 난소는 에스트로겐, 안드로겐,[13][14] 이니히빈, 프로게스토겐을 분비한다.[15][2] 폐경 전 여성의 경우, 테스토스테론의 50%는 난소에서 생성되어 혈류로 직접 방출된다. 에스트로겐은 사춘기에 여성의 제2성징 발현과 생식기의 성숙 및 유지를 담당한다. 프로게스테론은 자궁을 임신에, 유선을 수유에 준비시키며, 에스트로겐과 함께 자궁내막에서 월경 주기 변화를 촉진한다.
포유류를 포함한 인간의 난소 내부에는 여러 개의 난포라는 구조가 있으며, 난포는 난자를 성숙시키고, 배란을 일으킨다. 난소에서는 난포에서 에스트로겐이, 황체에서는 프로게스테론과 에스트로겐이 분비된다. 이러한 호르몬은 난포와 난자의 성숙과 배란에 의해 자궁의 사이클에서 발생하는 월경과 여성 호르몬인 에스트로겐과 프로게스테론의 변화를 형성한다.[64][65]
난포가 크게 발달하면 난포에서 분비되는 에스트로겐의 양도 점차 증가하여 혈중 에스트로겐 농도가 높아진다. 이에 따라 시상하부에서 분비되는 고나도트로핀 방출 호르몬(GnRH)의 분비 패턴이 변화하여 분비량이 증가하고, 뇌하수체에서 난포자극호르몬(FSH)과 황체형성호르몬(LH)의 분비가 증가한다. 결과적으로 배란 직전 시기에 난포에서의 에스트로겐 분비, 시상하부에서의 GnRH 분비, 뇌하수체에서의 FSH, LH 분비가 잇따라 급격한 피크에 이른다. 여기서 배란이 유발된다.
배란으로 인해 난포의 벽에는 큰 구멍이 생기고, 그 안에 있던 난자는 흘러나온다. 내압을 잃은 난포는 쪼그라들고, 벽의 구멍으로는 혈액 등이 유입된다. 난포의 잔해에 남은 세포는 황체로 변화한다. 황체의 세포는 원래 난포의 과립층이었던 과립층 황체세포와 내난포막이었던 난포막 황체세포로 구성되어 있다. 거대한 세포 덩어리가 된 황체의 내부에는 혈관이 발달하고, 세포에서 분비되는 프로게스테론, 에스트로겐이 혈액으로 운반된다. 프로게스테론은 배란된 난자가 수정될 경우 자궁에 착상하기 쉽도록 자궁벽(자궁내막)을 변화시키는 역할을 한다.
4. 난소의 노화
여성은 나이가 들면서 생식 능력이 저하되어 폐경에 이르게 된다. 이러한 저하는 난소 난포 수의 감소와 관련이 있다. 인간의 난소에는 출생 시 약 100만 개의 난자(oocyte)가 존재하지만, 실제로 배란되는 난자는 약 500개(약 0.05%)에 불과하며 나머지는 배란되지 않는다.[16] 난소 저장량(ovarian reserve)은 나이가 들면서 꾸준히 감소하며,[16] 약 52세가 되면 거의 완전히 고갈된다. 나이가 들면서 난소 저장량과 생식 능력이 감소함에 따라 임신 실패와 감수 분열 오류가 증가하여 염색체 이상이 있는 수정이 발생한다.
난소 노화 과정은 아직 명확하지 않지만, 환경 요인, 생활 습관, 유전적 요인이 영향을 줄 수 있다.[17] DNA 복구 유전자 BRCA1에 유전적 돌연변이가 있는 여성은 조기에 폐경을 경험하는데,[18] 이는 난자에서 자연적으로 발생하는 DNA 손상이 덜 효율적으로 복구되어 조기 생식 기능 저하가 발생하기 때문이다. BRCA1 단백질은 DNA 이중 가닥 절단을 정확하게 복구하는 상동 재조합 복구(homologous recombinational repair)에서 중요한 역할을 한다. Titus 등[19]은 원시 난포(primordial follicle)의 인간과 마우스에서 DNA 이중 가닥 절단이 나이가 들면서 축적됨을 보여주었다. 원시 난포에는 감수 분열의 중간 단계(전기 I)에 있는 난자가 포함되어 있다. 감수분열은 진핵 생물에서 생식 세포가 형성되는 일반적인 과정이며, 특히 이중 가닥 절단과 같은 DNA 손상을 생식선 DNA에서 제거하기 위한 적응으로 여겨진다(감수분열의 기원과 기능 참조).[20] 상동 재조합 복구는 감수 분열 중에 특히 촉진된다. Titus 등[19]은 DNA 이중 가닥 절단의 상동 재조합 복구에 필요한 4가지 주요 유전자(BRCA1, MRE11, RAD51 및 ATM)의 발현이 인간과 마우스의 난자에서 나이가 들면서 감소한다는 것을 발견했다. 이들은 DNA 이중 가닥 절단 복구가 난자 저장량 유지에 필수적이며, 나이가 들면서 복구 효율이 감소하는 것이 난소 노화의 주요 원인이라고 가정했다. 한 연구에서는 난소 노화의 유전적 결정 인자 290개를 확인했고, DNA 손상 반응 과정이 관련되어 있으며, 여성의 생식 능력 연장의 가능한 영향은 골 건강 개선, 2형 당뇨병 위험 감소 및 호르몬 의존성 암 위험 증가를 포함한다고 제시했다.[21][22]
4. 1. 난소 노화 검사
여성은 나이가 들면서 생식 능력이 저하되어 폐경에 이르게 되는데, 이는 난소 난포 수의 감소와 관련이 있다. 난소 저장량과 생식 능력은 20~30세경에 최적이며,[17] 45세경에는 월경 주기가 변하고 난포 풀(follicle pool)이 크게 감소한다.[17] 난소 노화 과정은 명확하지 않지만, 환경 요인, 생활 습관, 유전적 요인이 영향을 줄 수 있다.[17]모성 연령에 따른 생식 능력을 결정하기 위해 다양한 검사 방법을 사용할 수 있다. FSH 및 GnRH 호르몬 수치를 측정하는 검사가 일반적이며, AMH(항뮬러관 호르몬) 수치 및 AFC(난포 수) 측정과 같은 방법으로 난소 노화를 예측할 수 있다. AMH 수치는 난소 난포의 질을 결정할 수 있으므로 난소 노화의 지표 역할을 한다.[23]
5. 난소 질환
난소 질환은 내분비 장애 또는 생식계 장애로 분류될 수 있다.
난소의 난포에서 난자가 방출되지 않으면 난소낭종이 형성될 수 있다. 작은 난소낭종은 건강한 여성에게서 흔히 발생한다. 일부 여성은 평소보다 더 많은 난포를 가지고 있는데(다낭성 난소 증후군), 이는 난포가 정상적으로 성장하는 것을 억제하여 생리 주기의 불규칙성을 유발한다.
| 질환명 | 참고 |
|---|---|
| 난소 종양 | |
| 생식세포 종양 | 젊은 여성이나 사춘기 소녀에게서 가장 흔하게 나타난다. 다른 생식세포 종양으로는 내배엽성 낭종과 기형종이 있다.[24] |
| 난소암 | 난소 상피암 포함[25][26][27] |
| 황체종 | 임신 중에 나타난다. |
| 난소염 | 난소염의 동의어 |
| 난소 잔존 증후군 | 난소 절제술 중 조직의 불완전한 제거[28] |
| 자궁내막증 | 난소를 포함한 다양한 생식 기관에서 흔히 발견된다.[29] |
| 저고나드트로피즘 | 중추성과 일차성의 두 가지 형태가 있다. 중추성 저고나드트로피즘은 시상하부와 뇌하수체의 기능 장애로 인한 질환이다. |
| 과형성증 | 난소 간질 내에 배세포가 존재한다.[30] |
| 난소 염전 | 드물게 발생한다. 모든 연령에서 발생할 수 있다.[31] |
| 난소 혈전 (파열) | 대부분 난소낭종으로 인해 발생한다. 드물게 이 질환은 출혈과 사망을 유발할 수 있다.[32] |
| 조기 난소 부전 | 이 장애는 유전적, 환경적 및 자가면역 질환과 관련이 있다.[33] |
| 다낭성 난소 증후군 | 생식 연령의 여성에게 영향을 미친다.[29] |
| 무배란 | 다양한 질환으로 인해 발생한다.[34] |
| 난소 여포 낭종 | 폐경 후 또는 임신 가능 연령 중에 발생할 수 있다.[35] |
| 황체낭종 | 보통 분만 후에 발생한다.[36] |
| 초콜릿 낭종 | 이 유형의 낭종이 존재하는 것은 자궁내막증의 지표이다.[37] |
| 난소 생식세포 종양 | 양성[38] |
| 배세포종 | 일반적으로 10~30세 사이의 젊은 여성에게서 발생한다.[39] |
| 융모막암 | 산부인과학적 증상 없이 발생할 수 있다.[40] |
| 난황낭 종양 | 악성. 어린아이에게서 발생한다.[41] |
| 기형종 | 매우 드물다. 종종 신생아에게서 발생한다. |
| 난소 장액성 낭선종 | 양성 병변[42] |
| 장액성 낭선암 | 악성. 생존율이 낮다.[43] |
| 점액성 낭선암 | 드물고 악성이다.[43] |
| 브레너 종양 | 이 양성 종양은 종종 폐경 후 여성에게서 발견된다.[44] |
| 과립막 세포 종양 | 드물다. 에스트로겐 수치를 증가시킨다.[45] |
| 크루켄베르크 종양 | 전이성이며, 위에서 기원한다.[46] |


- 난소종양 - 양성, 경계악성, 악성으로 나뉜다.
- 자궁내막증성 난소낭종 - 난소에서 발생하는 자궁내막증.
- 원발성 난소 기능부전 - 난소에서 분비되는 여성호르몬의 부족이나 분비의 불균형으로 인해 난소가 정상적으로 기능하지 않는 상태[67]
6. 난소와 사회 문화
갈레노스 등 고대 의학 저술가들은 난소를 "여성의 고환"이라고 부르며 남성의 고환과 유사한 기관으로 보았다.
6. 1. 난소 조직 동결 보존
난소 조직의 동결보존은 자연적인 한계를 넘어 생식 기능을 보존하거나 암 치료로 인해 생식 잠재력이 위협받는 여성들에게 관심을 받고 있다.[47] 혈액 악성 종양이나 유방암 환자가 그러한 예이다.[49] 이 시술은 난소의 일부를 채취하여 느린 속도로 동결시킨 후, 치료가 진행되는 동안 액체 질소에 보관한다. 이후 조직을 해동하여 난관 근처에 이식할 수 있는데, 이식 위치는 원위치(orthotopic, 자연 위치) 또는 이소성(heterotopic, 복벽)일 수 있다.[49] 이식된 조직은 새로운 난자를 생성하기 시작하여 정상적인 임신을 가능하게 한다.[48] 60건의 시술에 대한 연구 결과, 난소 조직 채취는 안전한 것으로 나타났다.[49] 또한, 난소 조직을 SCID 마우스에 이식하여 거부반응을 피할 수 있으며, 성숙한 난포가 발달한 후 조직을 채취할 수도 있다.[50]6. 2. 역사적 관점
옛날 의학 저술가들, 예를 들어 갈레노스는 여성의 난소를 "여성의 고환"이라고 언급했다.7. 기타 동물에서의 난소
조류는 기능하는 난소가 하나(왼쪽)만 있고, 나머지 하나는 흔적기관으로 남아 있다. 인간을 포함한 포유류에서 암컷의 난소는 수컷의 고환과 상동기관이다. 둘 다 생식샘이자 내분비샘이기 때문이다. 많은 무척추동물의 암컷 생식계에서도 어떤 종류의 난소가 발견되는데, 이는 유성생식을 하는 종들이다. 그러나 대부분의 무척추동물에서 척추동물과는 매우 다른 방식으로 발달하며, 진정한 상동기관은 아니다.[51]
인간 난소에서 발견되는 많은 특징들은, 난포세포, 백막 등의 존재를 포함하여 모든 척추동물에게 공통적이다. 그러나 많은 종들이 인간보다 훨씬 더 많은 알을 평생 동안 생산한다. 따라서 어류와 양서류에서는 어느 시점에서든 수백 또는 수백만 개의 수정 가능한 알이 난소에 존재할 수 있다. 이러한 종에서는 일생 동안 생식 상피에서 새로운 알이 계속해서 발달할 수 있다. 황체는 포유류와 일부 상어목 어류에서만 발견되며, 다른 종에서는 난포의 잔해가 난소에 의해 빠르게 흡수된다. 조류, 파충류 및 단공류에서는 알이 상대적으로 크고 난포를 채우며 성숙기에 난소의 모양을 변형시킨다.[51]
양서류와 파충류는 난소 수질이 없다. 난소의 중앙 부분은 속이 비어 있고 림프로 채워진 공간이다.[52]
경골어류의 난소도 종종 속이 비어 있지만, 이 경우 알은 난관으로 열리는 공간으로 배출된다.[51] ''필로메트라(Philometra)'' 속의 특정 선형동물은 해양 어류의 난소에 기생하며, 암컷의 길이가 40cm에 달하고, 이 길이의 절반인 물고기의 난소에 감겨 있는 경우도 있다.[53] 대부분의 암컷 척추동물은 두 개의 난소를 가지고 있지만, 모든 종에서 그런 것은 아니다. 대부분의 조류와 오리너구리에서는 오른쪽 난소가 성숙하지 않으므로 왼쪽 난소만 기능한다. (예외적으로 키위와 일부, 그러나 모든 맹금류가 아닌 경우에는 두 개의 난소가 모두 남아 있다.[54][55]) 일부 상어목에서는 오른쪽 난소만 완전히 발달한다. 원시적인 무악류와 일부 경골어류에서는 배아에서 쌍을 이룬 기관이 융합되어 하나의 난소만 존재한다.[51]
많은 동물의 알은 식용으로 사용되지만, 알을 포함한 난소 자체를 식용으로 하는 경우도 많다. 알은 성숙하면 난소 밖으로 방출(배란)되므로, 난소를 먹을 때는 미성숙한 알을 함께 먹는다고 할 수 있다. 특히 어류의 난소는 ‘하라코(腹子)’라고 불린다.
아래는 난소를 식용으로 사용하는 동물과 난소의 명칭이다.
| 동물 | 명칭 |
|---|---|
| 닭 | 난소에 난관이 붙어 있는 것을 초우친(提灯)이나 타마히모(玉紐)라고 부르며, 꼬치구이나 조림 등에 사용한다. 노른자가 많은 미성숙 알이 가득 차 있다. |
| 연어과 어류 | 소금절임이나 간장절임 등으로 만든 것을 명란젓이라고 부르며 먹는다. 더 성숙한 난소를 사용하고 알을 풀어서 만든 것이 연어알이다. |
| 대구(명태류) | 명란젓, 코다리알젓. |
| 철갑상어 | 염장품인 캐비어는 세계 3대 진미 중 하나이다. |
| 날치 | 소금절임한 것을 날치알(토비코)라고 부르며 스시 재료 등으로 사용된다. |
| 청어 | 소금절임이나 건어물 등으로 만든 것을 청어알젓이라고 부르며, 일본의 정월에 경사스러운 음식으로 먹는다. |
| 복어 | 난소에도 강한 독을 가지고 있기 때문에 일반적인 방법으로는 먹을 수 없다. 하지만 이것을 발효시켜 해독한 복어알젓이 있으며, 가나자와의 명물이 되고 있다. |
| 숭어 | 소금절임한 것을 햇볕에 말려 만든 카라스미는 술안주로 귀하게 여겨진다. |
| 성게 | 생으로, 찐 것, 소금절임을 스시 재료나 술안주 등으로 사용한다. 성게로 일반적으로 식용되는 것은 난소와 정소 모두이며, 외관이나 맛으로는 거의 구별할 수 없다. 이들은 성게의 몸에 방사상으로 5개 들어 있다. |
| 해삼 | 해삼알젓(쿠치코)이라는 이름으로 식용한다. 소금절임한 것을 생쿠치코(생해삼알젓), 건어물로 만든 것을 히쿠치코(말린 해삼알젓)라고 한다. |
참조
[1]
웹사이트
Dorlands Medical Dictionary
http://www.mercksour[...]
2017-11-20
[2]
논문
Anatomy of female puberty: The clinical relevance of developmental changes in the reproductive system
2013-01-01
[3]
서적
Manual of Obstetrics, 3rd Edition
Elsevier
2011
[4]
웹사이트
Ovaries
https://training.see[...]
2019-12-12
[5]
서적
Williams gynecology
McGraw-Hill Medical
2012
[6]
서적
Munro Kerr's Operative Obstetrics E-Book
https://books.google[...]
Elsevier Health Sciences
2014
[7]
웹사이트
Southern Illinois University School of Medicine
http://www.siumed.ed[...]
2017-11-20
[8]
웹사이트
Foundational Model of Anatomy
http://xiphoid.biost[...]
Structural Informatics Group at the University of Washington.
2017-11-20
[9]
논문
Blood and lymphatic vasculature in the ovary: Development, function and disease
[10]
논문
The ovary: basic biology and clinical implications
2010-04-01
[11]
서적
Histology: A Text and Atlas
Lippincott Williams & Wilkins
[12]
서적
Williams Textbook of Endocrinology
Saunders
2011
[13]
뉴스
Normal Testosterone and Estrogen Levels in Women
http://webmd.com/wom[...]
2017-11-19
[14]
웹사이트
Testosterone: MedlinePlus Medical Encyclopedia
https://www.nlm.nih.[...]
2017-11-19
[15]
서적
Anatomy & physiology
Benjamin-Cummings
[16]
논문
A new model of reproductive aging: the decline in ovarian non-growing follicle number from birth to menopause
[17]
논문
An Update on Ovarian Aging and Ovarian Reserve Tests
2016
[18]
논문
Premature menopause in patients with BRCA1 gene mutation
[19]
논문
Impairment of BRCA1-related DNA double-strand break repair leads to ovarian aging in mice and humans
[20]
논문
Genetic damage, mutation, and the evolution of sex
1985-09-20
[21]
뉴스
Researchers identify new genes linked to longer reproductive lifespan in women
https://medicalxpres[...]
2021-09-21
[22]
논문
Genetic insights into biological mechanisms governing human ovarian ageing
2021-08
[23]
논문
Is the measurement of anti-Müllerian hormone essential?
2012-06
[24]
웹사이트
Ovarian Germ Cell Tumors Treatment
https://www.cancer.g[...]
2017-12-01
[25]
웹사이트
Gynecologic Malignancies, Chapter 117
https://accessmedici[...]
MGraw-Hill Medical
2017-06-24
[26]
웹사이트
Defining Cancer
http://www.cancer.go[...]
2007-09-17
[27]
웹사이트
NCI Dictionary of Cancer Terms
https://www.cancer.g[...]
2011-02-02
[28]
웹사이트
Ovarian remnant syndrome
https://rarediseases[...]
2019-12-11
[29]
논문
Molecular signatures of ovarian diseases: Insights from network medicine perspective
2016-07-03
[30]
웹사이트
Postmenopausal Ovarian Hyperthecosis
http://applications.[...]
[31]
논문
A review of ovary torsion
2017
[32]
웹사이트
Ovarian apoplexy, ovarian and the IUCD
https://www.ejog.org[...]
[33]
논문
Pathogenesis and Causes of Premature Ovarian Failure: An Update
2011
[34]
논문
Anovulation
2003-09-06
[35]
웹사이트
Ovarian Cysts - ACOG
https://www.acog.org[...]
2019-12-11
[36]
논문
Bilateral theca lutein cysts: A rare cause of acute abdomen in pregnancy
2004
[37]
웹사이트
Chocolate cysts from ovarian follicles
https://www.fertster[...]
[38]
웹사이트
Treatment for Germ Cell Tumors of the Ovary
https://www.cancer.o[...]
[39]
논문
Dysgerminoma
[40]
논문
Medical Presentations of Choriocarcinoma
1971-06-12
[41]
웹사이트
Yolk sac tumor
http://www.pathology[...]
2019-12-11
[42]
웹사이트
Ovarian serous cystadenoma Radiology Reference Article Radiopaedia.org
https://radiopaedia.[...]
2019-12-11
[43]
논문
OVARIAN LOW-GRADE AND HIGH-GRADE SEROUS CARCINOMA: Pathogenesis, Clinicopathologic and Molecular Biologic Features, and Diagnostic Problems
2009-09
[44]
웹사이트
Brenner tumor of ovary Genetic and Rare Diseases Information Center (GARD) – an NCATS Program
https://rarediseases[...]
2019-12-11
[45]
웹사이트
Granulosa cell tumor of the ovary Genetic and Rare Diseases Information Center (GARD) – an NCATS Program
https://rarediseases[...]
2019-12-11
[46]
서적
Cancer, Krukenberg Tumor
http://www.ncbi.nlm.[...]
StatPearls Publishing
2019-12-11
[47]
논문
Human ovarian tissue vitrification versus conventional freezing: morphological, endocrinological, and molecular biological evaluation.
[48]
뉴스
Livebirth after orthotopic transplantation of cryopreserved ovarian tissue
https://web.archive.[...]
The Lancet
2004-09-24
[49]
논문
Ovarian cryopreservation and transplantation for fertility preservation for medical indications: report of an ongoing experience
2008-11
[50]
논문
Tissue culture before transplantation of frozen-thawed human fetal ovarian tissue into immunodeficient mice
2008-12
[51]
서적
The Vertebrate Body
Holt-Saunders International
[52]
웹사이트
Animal reproductive system - Accessory glands
https://www.britanni[...]
[53]
논문
Philometrids (Nematoda: Philometridae) in carangid and serranid fishes off New Caledonia, including three new species
[54]
논문
Unilateral and bilateral ovaries in raptorial birds
[55]
논문
The consistent presence of paired ovaries in the Kiwi(Apteryx) with some discussion of this condition in other birds
[56]
웹사이트
卵巣のう腫茎捻転 (らんそうのうしゅけいねんてん)とは
https://www.saiseika[...]
社会福祉法人 恩賜財団 済生会
2024-04-09
[57]
웹사이트
卵巣腫瘍とは
https://www.jsog.or.[...]
公益社団法人 日本産科婦人科学会
2018-06-16
[58]
웹사이트
卵巣がん 基礎知識
https://www.med.jrc.[...]
日本赤十字社医療センター
2023-11-02
[59]
웹사이트
卵巣のトラブル・病気 からだの情報 ロリエ
https://www.kao.co.j[...]
Kao 花王株式会社
2024-03-12
[60]
웹사이트
卵巣ってどんな役割?病気の種類やなりやすい人など詳しく解説
https://minerva-clin[...]
ミネルバクリニック
2024-09-04
[61]
웹사이트
ご来院の方へ 卵巣
https://medical.kame[...]
亀田IVFクリニック幕張
2023-09-30
[62]
웹사이트
卵の数はどれくらい?? -AMHについて-
https://www.omori.me[...]
東邦発 E-health |東邦大学 東邦大学医学部
2023-11-02
[63]
웹사이트
エストロゲンとプロゲステロン
https://www.meno-sg.[...]
公益社団法人女性の健康とメノポーズ協会
2023-11-02
[64]
웹사이트
女性ホルモン検査 女性特有の検査 健康診断を知る
https://www.pluswell[...]
プラスウェルネス
2024-03-08
[65]
웹사이트
Ⅰ.テストステロンの参考基準範囲
https://www-user.yok[...]
www-user.yokohama-cu.ac.jp
2024-03-07
[66]
웹사이트
ご来院の方へ 卵巣
https://medical.kame[...]
亀田IVFクリニック幕張
2023-09-30
[67]
웹사이트
原発性卵巣機能不全
https://www.msdmanua[...]
2024-04-23
[68]
서적
인체 구조와 기능
수문사
본 사이트는 AI가 위키백과와 뉴스 기사,정부 간행물,학술 논문등을 바탕으로 정보를 가공하여 제공하는 백과사전형 서비스입니다.
모든 문서는 AI에 의해 자동 생성되며, CC BY-SA 4.0 라이선스에 따라 이용할 수 있습니다.
하지만, 위키백과나 뉴스 기사 자체에 오류, 부정확한 정보, 또는 가짜 뉴스가 포함될 수 있으며, AI는 이러한 내용을 완벽하게 걸러내지 못할 수 있습니다.
따라서 제공되는 정보에 일부 오류나 편향이 있을 수 있으므로, 중요한 정보는 반드시 다른 출처를 통해 교차 검증하시기 바랍니다.
문의하기 : help@durumis.com
