사레
"오늘의AI위키"의 AI를 통해 더욱 풍부하고 폭넓은 지식 경험을 누리세요.
1. 개요
사레는 음식물, 이물질, 위 내용물 등이 기도로 잘못 들어가 발생하는 현상을 의미한다. 고령자, 어린이, 신경학적 손상 환자, 폐 질환 환자, 약물 복용자 등 다양한 원인으로 발생하며, 쌕쌕거림, 기침, 호흡 곤란, 발열 등의 증상을 동반할 수 있다. 흉부 X-레이, CT 스캔, 투시경 검사 등을 통해 진단하며, 흡인성 폐렴, 멘델슨 증후군, 사망 등의 합병증을 유발할 수 있다. 예방을 위해 기침과 연하 작용과 같은 보호 반사를 유지하고, 위험 환자에게는 기관 내 삽관, 회복 자세 등을 취하며, 치료는 기도 폐쇄 정도에 따라 다르며, 이물질 제거를 위한 다양한 조치가 시행된다. 치과 치료 중에도 발생할 수 있으며, 말기 고령 환자에게서도 나타날 수 있다.
더 읽어볼만한 페이지
- 마취 - 국소마취제
국소 마취제는 통증을 일시적으로 차단하는 약물로, 나트륨 채널을 차단하여 신경 신호 전달을 억제하며, 아미드형과 에스터형으로 분류되고, 다양한 수술 및 시술, 통증 치료에 사용된다. - 마취 - 전신마취
전신마취는 의식 소실, 진통, 기억상실, 부동화, 마비 등을 유도하여 수술을 가능하게 하는 마취 방법으로, 초기에는 통선산이나 에테르 흡입 마취가 사용되었으나 현대에는 약물 및 모니터링 기술 발전으로 안전성과 유효성이 개선되었다. - 폐질환 - 규폐증
규폐증은 실리카 먼지 흡입으로 발생하는 만성 폐 질환이며, 폐에 염증과 섬유화를 일으켜 호흡 곤란, 기침, 피로 등의 증상을 유발하고, 예방을 위해 실리카 노출을 줄이는 것이 중요하며 현재 완치법은 없다. - 폐질환 - 폐부종
폐부종은 폐포 내에 체액이 과도하게 축적되는 병리적 상태로, 심인성 및 비심인성 원인으로 나뉘며 호흡곤란, 저산소증, 객혈 등의 증상을 보이고 흉부 X선 촬영 등으로 진단하여 산소 공급, 이뇨제 투여 등으로 치료한다.
2. 원인 및 위험 요인
사레는 다양한 원인으로 발생한다. 목 주변 근육이나 연수의 기능이 약해진 고령자에게서 자주 발생하며, 흡인성 폐렴으로 이어지기도 한다.[26] 어린이의 경우 음식을 잘 씹지 않고 삼켜 사레가 발생하여 사망하는 경우도 있다.
성문 부위의 신경 지배 장애나 물리적 폐쇄로 인해 폐쇄 부전이 일어나 사레가 발생할 수 있다. 또한, 너무 뜨겁거나(40°C 이상) 찬(12°C 이하) 물이나 음료, 구강 청결제 등으로 가글을 할 때, 기관지가 자율 신경계의 반응으로 수축하여 일시적으로 천식과 유사한 상태가 되어 사레가 발생할 수 있다. 특히 의식이 저하된 상태이거나 물가에서는 익사의 위험도 있으므로 주의해야 한다.[26]
연령대에 관계없이 구토물 흡인으로 인해 사레가 발생할 수 있으며, 이 또한 흡인성 폐렴의 원인이 되므로 주의해야 한다.
2. 1. 신경학적 손상
외상성 뇌 손상, 알코올 중독, 약물 과다 복용, 의학적 진정, 뇌졸중, 전신 마취 등 의식 수준 저하를 유발하는 모든 상태는 인두 분비물의 폐 흡인으로 이어질 수 있다.[3] 뇌성마비, 파킨슨병, 근이영양증 등 근육 조절 및 자세에 영향을 미치는 신경학적 질환 역시 흡인 위험을 증가시킬 수 있다.2. 2. 폐 질환
기침이 약하거나 1초간 노력성 호기량이 낮은 폐 질환 환자는 분비물을 기도로 배출하는 능력이 저하되어 흡인 위험이 증가한다.[4] 기계적 환기가 필요한 모든 상태 또한 흡인의 위험 요소이다.2. 3. 구강인두 질환
성문 위에서 연하 작용의 협응을 방해하는 질환은 환자의 흡인 위험을 증가시킨다. 이를 구강인두 연하 곤란이라고 하며, 다음과 같은 원인으로 발생할 수 있다.[5]- 구조적 이상: 협착, 협착증, 종격동 및 목의 종괴 등
- 결합 조직 질환
- 신경병증
- 기타 중추 신경계 관련 질환: 뇌졸중, 두부 외상, ALS, 길랭-바레 등
2. 4. 약물
진정제, 수면제, 항정신병제와 같은 약물은 의식 수준을 낮추고 기침 및 연하 반사를 억제하여 사레의 위험을 높일 수 있다.[7] 프로톤 펌 억제제를 장기간 사용하면 위장 내 세균이 과도하게 증식하여 사레 위험이 증가할 수 있다.[8] 항히스타민제와 항우울제는 구강건조증(입 안 분비물 감소)을 유발하여 사레를 일으킬 수 있다.[4]2. 5. 이물질 흡인
이물질 흡인은 특히 어린이에게 흔하며, 음식, 동전, 장난감, 풍선 등 이물질이 입에서 기도로 흡입될 때 발생한다.[9] 따라서 연령과 발달 지연 또한 흡인의 위험 요소로 간주된다. 기관 내강은 오른쪽 주 기관지의 내강이 왼쪽 주 기관지보다 더 수직이고 약간 더 넓기 때문에, 흡인된 이물질이 이 기관지 또는 그 이후 분기점으로 들어갈 가능성이 더 높다.[10]구강 내로의 흡인의 특별한 예로 치과 치료 도중 기구나 재료를 실수로 떨어뜨려 기관 내 또는 소화관 내로 삼킨 경우에도 이 용어를 사용한다. 특히 고령자로 구토 반사가 저하된 환자의 치료 시 주의가 필요하다. 흡인을 일으킨 재료로는, 시적 시의 인레이, 크라운, 브릿지, 의치 등이 있다. 치료 기구로는, 리머, 파일류, 버류 등이 있다. 특히 리머, 파일류의 흡인 방지에는 러버댐 방습법이 필수적이다.
2. 6. 기타 요인
고온(기후나 개인의 연하 능력에 따라 다르지만 대략 40°C 이상) 및 저온(기후나 개인의 연하 능력에 따라 다르지만 대략 12°C 이하)의 뜨거운 물 및 찬물 또는 구강 청결제・구강 세정제로 가글을 할 때, 또는 마찬가지로 고온 및 저온의 뜨거운 물 및 찬물 또는 음료를 복용할 때에도 기관지가 자율 신경계의 피드백에 의해 무의식적으로 수축하여 일시적으로 천식과 비슷한 상태가 되어 소량의 물이나 액체가 기관지로 흡입되어 흡인을 일으키는 경우가 있다. 특히 의식 저하 시나 물가에서는 익사를 유발하는 요인이 되므로 주의해야 한다.[26]목 주변의 근육이나 연하 중추(연수)의 기능이 쇠퇴한 고령자에 의한 사고가 많으며, 이후 흡인성 폐렴을 초래하는 경우도 있다.[26] 일본에서는 앞으로 고령화가 진행됨에 따라 삼키기 쉬운 기능성 식품 (병원식과 일반식의 중간 위치를 차지하는 식품) 개발이 진행되고 있다.
그 외에도, 연령대에 관계없이 구토물을 잘못 흡인하여 흡인하는 경우도 있다. 이 경우도 위에서 언급한 음식물 흡인과 마찬가지로 흡인성 폐렴을 일으키는 원인이 되므로 주의가 필요하다.
3. 증상
단순 흡인은 일반적으로 쌕쌕거림, 기침 등의 증상을 보인다. 복잡한 흡인은 호흡 곤란, 저산소혈증(혈중 산소 부족), 빈맥(빠른 심박수), 발열, 폐 검사 시 수포음 또는 천명음 등의 증상을 동반할 수 있다.[1]
4. 진단
흡인 및 흡인 관련 합병증의 평가 및 진단에는 영상 검사 또는 실험실 검사가 포함될 수 있다.[11]
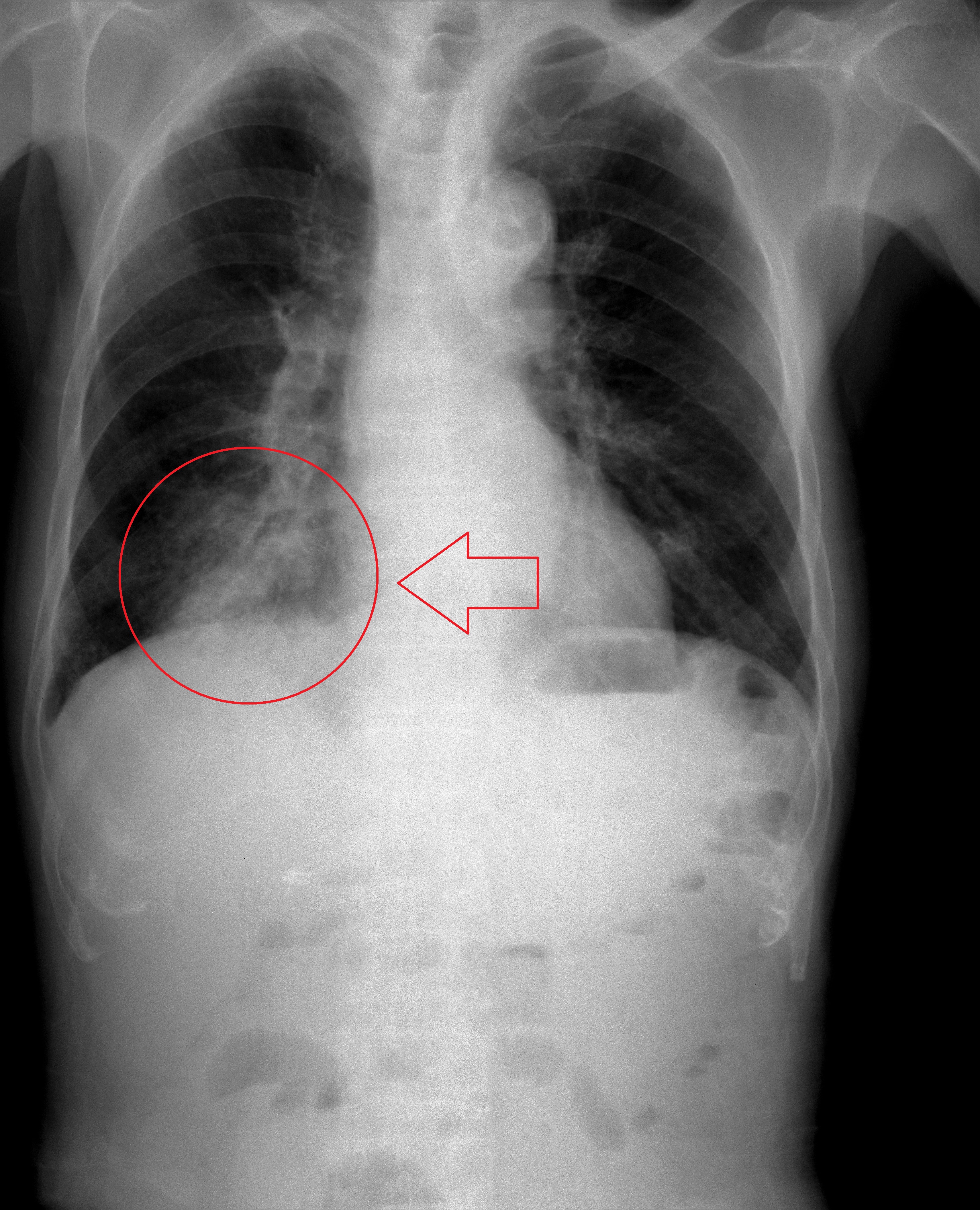
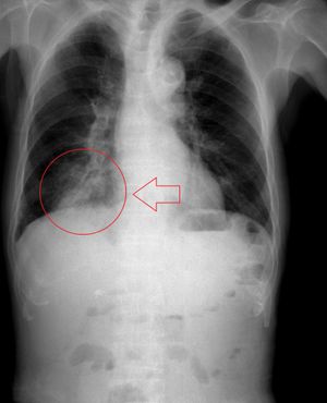
흉부 X-레이는 흡인성 폐렴 진단에 유용할 수 있지만, 초기에는 음성으로 나타날 수 있다.[12] 흉부 CT 스캔 또한 폐렴의 존재를 확인할 수 있으며, 농양, 이물 또는 흉막 질환의 특성 파악에도 도움이 될 수 있다.
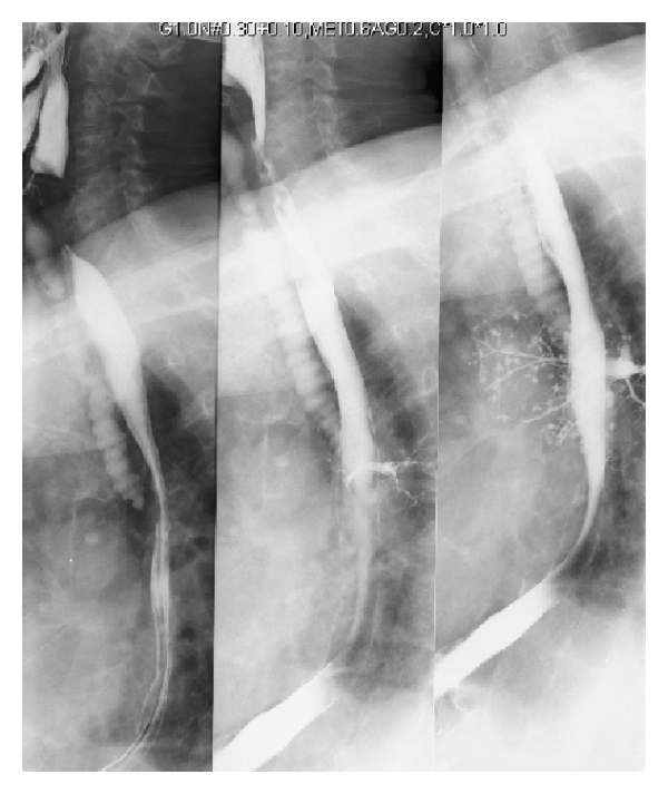
투시경 검사 연하 검사는 연하곤란 또는 운동 장애가 흡인의 원인으로 생각되는 경우에 수행할 수 있다. 음식과 음료를 바륨 조영제와 혼합하여 X-레이를 사용하여 연하를 평가한다. 조영제가 성대 아래로 기관으로 흘러 들어가는 경우 흡인으로 진단할 수 있다.[13]
미생물학적 검사는 흡인 관련 폐 감염이 의심되는 경우에 수행할 수 있다. 검사실 검사에는 환자의 혈액, 객담 또는 흉수 배양 검사가 포함될 수 있으며, 이는 환자의 사례와 치료 팀의 임상적 판단에 따라 달라진다.
5. 합병증
흡인은 다양한 합병증을 유발할 수 있다. 주요 합병증으로는 세균이 호흡기로 유입되어 폐 감염을 일으키는 흡인성 폐렴, 역류된 위산으로 폐 조직이 화학적으로 손상되는 흡인성 폐렴(멘델슨 증후군)이 있다. 흡인은 여러 기전을 통해 환자를 사망에 이르게 할 수 있으며, 특히 기저 질환이 있는 노인 환자에게서 흔히 발생하지만 종종 인지되지 못하는 경우가 많다.[18]
5. 1. 흡인성 폐렴
흡인성 폐렴은 세균이 흡인을 통해 호흡기로 유입되어 폐 감염을 일으키는 경우를 말한다. 기도 내로 흡인된 모든 물질 또는 물체는 감염원을 호흡기로 함께 운반할 수 있다. 이는 주로 노인에게 영향을 미치며, 학습 장애 또는 삼킴 장애가 있는 환자에게 특히 심각할 수 있다.목 주변의 근육이나 연하 중추(연수)의 기능이 쇠퇴한 고령자에 의한 사고가 많으며, 이후 흡인성 폐렴을 초래하는 경우도 있다.[26] 일본에서는 앞으로 고령화가 진행됨에 따라 삼키기 쉬운 기능성 식품 (병원식과 일반식의 중간 위치를 차지하는 식품) 개발이 진행되고 있다.
어린이도 고형 식품을 잘 씹지 않고 삼켜서 흡인이 일어나는 경우도 있으며, 사망 사례도 있기 때문에 일본의 학교나 보육원, 유치원 급식에서 주의해야 할 식품이 정부 지침으로 예시되어 열거되어 있다.[27]
성문 부위의 국소적인 신경 지배 장애, 물리적인 폐쇄 장애로 인해 폐쇄 부전이 일어나 흡인이 일어날 수 있다.
또한, 젊은 층이나 중장년층이라도 인식 밖의 고온(기후나 개인의 연하 능력에 따라 다르지만 대략 40°C 이상) 및 저온(기후나 개인의 연하 능력에 따라 다르지만 대략 12°C 이하)의 뜨거운 물 및 찬물 또는 구강 청결제・구강 세정제로 가글을 할 때, 또는 마찬가지로 고온 및 저온의 뜨거운 물 및 찬물 또는 음료를 복용할 때에도 기관지가 자율 신경계의 피드백에 의해 무의식적으로 수축하여 일시적으로 천식과 비슷한 상태가 되어 소량의 물이나 액체가 기관지로 흡입되어 흡인을 일으키는 경우가 있다. 특히 의식 저하 시나 물가에서는 익사도 유발하는 요인이 되므로 주의해야 한다.
그 외에도, 연령대에 관계없이 구토물을 잘못 흡인하여 흡인하는 경우도 있다. 이 경우도 위에서 언급한 음식물 흡인과 마찬가지로 흡인성 폐렴을 일으키는 원인이 되므로 주의가 필요하다.
5. 2. 흡인성 폐렴(멘델슨 증후군)
역류된 위산의 흡인에 의해 발생하는 폐 조직의 화학적 손상이다.[15] 이 증후군은 마취 투여 후 임산부에서 처음 기술되었지만,[16] 위 내용물이 흡인되는 모든 상황에서 발생할 수 있다.[17]5. 3. 사망
흡인은 다양한 기전을 통해 환자 사망을 초래할 수 있다. 환자 결과를 개선하기 위해서는 조기에 이를 인식하고 진단하는 것이 중요하다. 흡인 및 흡인 관련 증후군으로 인한 사망은 기저 위험 요인이 있는 노인 환자에게서 가장 흔하게 발생하지만, 종종 인식되지 못한다.[18]6. 예방
흡인 예방을 위한 조치는 상황과 환자에 따라 다르다.
목 주변 근육이나 연하 중추(연수)의 기능이 쇠퇴한 고령자에게서 사고가 많이 발생하며, 이후 흡인성 폐렴을 초래하는 경우도 있다.[26] 일본에서는 고령화가 진행됨에 따라 삼키기 쉬운 기능성 식품 (병원식과 일반식의 중간 위치) 개발이 진행되고 있다.
어린이도 고형 식품을 잘 씹지 않고 삼켜서 흡인이 일어나는 경우가 있으며, 사망 사례도 있기 때문에 일본의 학교나 보육원, 유치원 급식에서 주의해야 할 식품이 정부 지침으로 예시되어 있다.[27]
또한 성문 부위의 국소적인 신경 지배 장애, 물리적인 폐쇄 장애로 인해 폐쇄 부전이 일어나 흡인이 일어날 수 있다.
젊은 층이나 중장년층이라도 인식 밖의 고온(기후나 개인의 연하 능력에 따라 다르지만 대략 40~42 ℃ 이상) 및 저온(기후나 개인의 연하 능력에 따라 다르지만 대략 12~13℃ 이하)의 뜨거운 물 및 찬물 또는 구강 청결제・구강 세정제로 가글을 할 때, 또는 마찬가지로 고온 및 저온의 뜨거운 물 및 찬물 또는 음료를 복용할 때에도 기관지가 자율 신경계의 피드백에 의해 무의식적으로 수축하여 일시적으로 천식과 비슷한 상태가 되어 소량의 물이나 액체가 기관지로 흡입되어 흡인을 일으키는 경우가 있다. 특히 의식 저하 시나 물가에서는 익사의 요인이 되므로 주의해야 한다.
연령대에 관계없이 구토물을 잘못 흡인하여 흡인하는 경우도 있다. 이 경우도 위에서 언급한 음식물 흡인과 마찬가지로 흡인성 폐렴을 일으키는 원인이 되므로 주의가 필요하다.
6. 1. 일반적인 예방 조치
폐는 일반적으로 기침과 연하 작용과 같은 일련의 ''보호 반사''에 의해 흡인으로부터 보호된다. 심각한 흡인은 보호 반사가 없거나 심각하게 감소한 경우(신경 질환, 혼수, 약물 과다 복용, 진정 또는 전신 마취)에만 발생할 수 있다. 중환자실에서 환자를 앉은 자세로 유지하면 폐 흡인 및 인공호흡기 관련 폐렴의 위험을 줄일 수 있다.[19]흡인을 예방하기 위한 조치는 상황과 환자에 따라 다르다. 흡인의 임박한 위험이 있는 환자의 경우, 훈련된 의료 전문가가 수행하는 기관 내 삽관이 최고의 보호를 제공한다. 구현할 수 있는 더 간단한 중재는 환자를 회복 자세로 옆으로 눕히는 것이다(응급 처치 및 심폐 소생술 수업에서 가르침). 이렇게 하면 환자가 생성한 구토물이 인두로 다시 흘러 들어가는 대신 입 밖으로 배출된다. 일부 마취과 의사는 위의 낮은 pH를 중화하기 위해 구연산 나트륨을 사용하고, 위를 비우기 위해 메토클로프라미드 또는 돔페리돈(운동 촉진제)을 사용할 것이다. 수의학 환경에서는 진정 전에 구토제를 사용하여 위를 비울 수 있다.
삼킴에 영향을 미치는 신경 질환이 있는 입원 환자의 흡인 예방을 위한 한 가지 전략은 언어 치료사의 삼킴 평가 후 환자에게 점조성 액체 식단을 제공하는 것이다. 그러나 식단 변경의 영향에 대해서는 논란이 있으며 환자의 삶의 질에 영향을 미칠 수 있다.[19] 또한, 매우 점조한 액체에서는 인두 잔류물이 더 흔하다. 이는 결국 흡인되어 더 심각한 폐렴으로 이어질 수 있다.[20]
6. 2. 신경 질환 환자의 흡인 예방
폐는 일반적으로 기침과 연하 작용과 같은 일련의 ''보호 반사''에 의해 흡인으로부터 보호된다. 심각한 흡인은 보호 반사가 없거나 심각하게 감소한 경우(신경 질환, 혼수, 약물 과다 복용, 진정 또는 전신 마취)에만 발생할 수 있다.삼킴에 영향을 미치는 신경 질환이 있는 입원 환자의 흡인 예방을 위한 한 가지 전략은 언어 치료사의 삼킴 평가 후 환자에게 점조성 액체 식단을 제공하는 것이다. 그러나 식단 변경의 영향에 대해서는 논란이 있으며 환자의 삶의 질에 영향을 미칠 수 있다.[19] 또한, 매우 점조한 액체에서는 인두 잔류물이 더 흔하다. 이는 결국 흡인되어 더 심각한 폐렴으로 이어질 수 있다.[20]
7. 치료
이물질 흡입의 치료는 환자의 연령과 기도의 폐쇄 정도에 따라 결정된다.[21] 부분적인 기도 폐쇄가 발생한 경우, 환자는 대개 기침을 통해 이물질을 스스로 제거할 수 있다. 그러나 기도가 완전히 막힌 경우에는 즉각적인 응급 처치가 필요하다. 1세 미만의 영아는 등 두드리기와 가슴 압박을 번갈아 시행하고, 1세 이상의 환자는 하이믈리히법을 사용한다. 응급 처치 중 환자가 의식을 잃으면 심폐 소생술(CPR)을 시작해야 한다. 기본적인 조치로 이물질이 제거되지 않으면, 훈련된 의료진에 의한 후두경 검사, 기관 내 삽관, 기관 절개술, 윤상 갑상선 절개술 등의 전문적인 치료가 필요하다. 환자가 적절한 환기를 유지할 수 있는 경우에는 전신 마취 하에 경성 기관지경 검사를 시행할 수 있다.
7. 1. 기본 치료
부분적인 기도 폐쇄가 발생한 경우, 환자는 대개 기침을 통해 이물질을 스스로 제거할 수 있다.[21] 그러나 기도가 완전히 막힌 경우에는 즉각적인 응급 처치가 필요하다.[21]이물질이 기도를 막았다고 의심될 때, 입안을 손가락으로 훑어내는 행동은 오히려 이물질을 기도 깊숙이 밀어 넣을 수 있으므로 삼가야 한다.[21]
1세 미만의 영아가 사레들려 질식하는 경우에는, 구조자는 아이를 팔 위에 엎드린 자세로 눕힌다.[21] 그 후 손바닥 아랫부분으로 아이의 등을 두드리고, 이어서 아이를 뒤집어 가슴 압박을 실시한다.[21] 구조자는 이물질이 제거될 때까지 등 두드리기 다섯 번과 가슴 압박 다섯 번을 번갈아 시행해야 한다.[21] 1세 이상의 환자가 사레들린 경우에는 하이믈리히법을 사용하여 이물질을 제거한다.[21] 만약 응급 처치 중 환자가 의식을 잃으면, 즉시 심폐 소생술(CPR)을 시작해야 한다.[21]
7. 2. 전문 치료
기본적인 조치로 이물질이 제거되지 않고 적절한 환기가 회복될 수 없는 경우, 훈련된 의료진의 치료가 필요하다.[21] 비침습적인 기도 확보 기술이 실패할 경우 반응이 없는 환자에게 후두경 검사를 시행해야 한다.[22] 후두경 검사는 기도의 뒤쪽을 시각화하기 위해 입 안에 장치를 삽입하는 것이다.[22] 이물질이 보이면 겸자를 사용하여 제거할 수 있다.[22] 그런 다음 시술 후 염증으로 인한 기도의 손상을 예방하기 위해 기관 내 삽관을 삽입해야 한다.[22] 이물질이 보이지 않으면 기도 손상으로 인해 반응이 없는 환자의 기도를 회복하기 위해 삽관, 기관 절개술 또는 바늘 윤상 갑상선 절개술을 시행할 수 있다.[21]비침습적 조치로 이물질이 제거되지 않고 환자가 적절한 환기를 유지할 수 있는 경우, 경성 기관지경 검사를 전신 마취 하에 시행해야 한다.[21] 보조 산소, 심장 모니터링, 맥박 산소 측정기를 환자에게 적용해야 한다.[22] 환자를 진정시키고 기도를 더 손상시키는 것을 방지하기 위해 환자를 자극하지 않도록 노력해야 한다.[22] 진단 또는 이물질의 위치가 불분명한 경우에는 경성 기관지경 검사보다 연성 기관지경 검사가 사용될 수 있다.[23] 연성 기관지경을 사용하는 경우, 제거에 선호되는 접근 방식이므로 일반적으로 경성 기관지경 검사가 대기 상태로 준비되어 있다.[23] 경성 기관지경 검사는 우수한 기도 조절, 즉시 출혈 관리, 더 나은 시각화, 다양한 겸자로 흡입된 물체를 조작할 수 있는 능력을 제공한다.[23] 연성 기관지경 검사는 원위부 접근이 필요하고 시술자가 이 기술에 능숙한 경우 추출에 사용될 수 있다.[23] 잠재적인 장점으로는 전신 마취를 피할 수 있고, 주 기관지보다 직경이 작고 호흡기 아래에 있는 분절 하 기관지에 도달할 수 있다는 점이 있다.[23] 연성 내시경을 사용할 때의 주요 단점은 물체를 더 밀어내어 기도를 손상시킬 위험이 있다는 것이다.[23] 기관지경 검사는 약 95%의 경우에서 이물질 제거에 성공하며 합병증 발생률은 1%에 불과하다.[23]
이물질이 제거된 후 환자는 기도를 추가로 보호하기 위해 네뷸라이저를 이용한 베타 아드레날린성 약물과 흉부 물리 치료를 받아야 한다.[21] 스테로이드성 항염증제와 항생제는 특정 시나리오를 제외하고는 정기적으로 투여되지 않는다.[21] 이러한 시나리오에는 이물질을 제거하기 어렵거나 불가능한 경우, 문서화된 호흡기 감염이 있는 경우, 이물질 제거 후 기도 내 부종이 발생하는 경우 등이 포함된다.[23] 글루코코르티코이드는 이물질이 염증 조직으로 둘러싸여 있고 추출이 어렵거나 불가능할 때 투여할 수 있다.[23] 이러한 경우, 염증을 줄이기 위해 짧은 기간 동안 글루코코르티코이드를 투여한 후 다음 시도를 할 수 있다.[23] 이러한 환자는 이물질이 밀려날 수 있으므로 성공적인 추출이 이루어질 때까지 병원에서 관찰해야 한다.[23] 항생제는 감염이 발생했을 때 적절하지만 추출을 지연시켜서는 안 된다.[23] 실제로, 객체를 제거하는 것은 감염원 제거뿐만 아니라 기관지경 검사 중 채취한 배양을 사용하여 항생제를 선택함으로써 감염 관리를 개선할 수 있다.[23] 기도 부종 또는 부기가 발생하면 환자는 천명음을 낼 수 있다. 이러한 경우 글루코코르티코이드, 에어로졸화된 에피네프린, 또는 헬륨 산소 요법을 관리 계획의 일부로 고려할 수 있다.[23]
추출 후 보조 산소가 필요하지 않고 임상적으로 안정된 환자는 시술 당일 퇴원할 수 있다.[24] 증상이 지속되거나 악화되거나, 환자가 이전에 정상으로의 회복을 확인하기 위해 영상 검사 이상이 있었던 경우가 아니면 추적 흉부 엑스레이와 같은 일상적인 영상 검사는 필요하지 않다.[24] 대부분의 어린이는 시술 후 24시간 이내에 퇴원한다.[25]
8. 치과 치료 중 흡인
치과 치료 중 기구나 재료를 실수로 떨어뜨려 기관 내 또는 소화관 내로 삼키는 경우에도 흡인이라고 한다. 특히 고령자나 구토 반사가 저하된 환자의 치료 시 주의해야 한다. 흡인을 일으킨 재료로는 인레이, 크라운, 브릿지, 의치 등이 있다. 치료 기구로는 리머, 파일류, 버류 등이 있다. 특히 리머, 파일류의 흡인 방지에는 러버댐 방습법이 필수적이다.
9. 말기 고령 환자와 흡인
요양 시설에서는 노인을 환자가 아닌 시설에서 생활하는 생활자로 생각하기 때문에, 설령 말기의 노인이라도 가능한 한 식사를 제공하는 것이 원칙이다.
참조
[1]
논문
Pulmonary aspiration
https://linkinghub.e[...]
2010-10
[2]
논문
Global, regional, and national incidence, prevalence, and years lived with disability for 301 acute and chronic diseases and injuries in 188 countries, 1990–2013: A systematic analysis for the Global Burden of Disease Study 2013
[3]
논문
Pharyngeal aspiration in normal adults and patients with depressed consciousness
[4]
간행물
Chronic Aspiration
https://www.ncbi.nlm[...]
StatPearls Publishing
2024-11-10
[5]
논문
Exploration and approach to artificial airway dysphagia
https://www.scienced[...]
2012-08-01
[6]
논문
Medications to Modify Aspiration Risk: Those That Add to Risk and Those That May Reduce Risk
https://pubmed.ncbi.[...]
2024-10-25
[7]
간행물
Chapter 10 - Designing safe procedural sedation: adopting a resilient culture
https://www.scienced[...]
Elsevier
2024-11-10
[8]
논문
Proton pump inhibitor-associated pneumonia: Not a breath of fresh air after all?
2011
[9]
간행물
Foreign Body Aspiration
https://www.ncbi.nlm[...]
StatPearls Publishing
2024-11-10
[10]
논문
When is asthma not guilty?
2021-12-01
[11]
웹사이트
Aspiration Pneumonia Causes and Diagnoses
https://www.nm.org/c[...]
2024-12-16
[12]
논문
Detection failure rate of chest radiography for the identification of nursing and healthcare-associated pneumonia
https://pubmed.ncbi.[...]
2015-07
[13]
간행물
Swallowing Study
https://www.ncbi.nlm[...]
StatPearls Publishing
2024-11-22
[14]
간행물
Aspiration Pneumonia
https://www.ncbi.nlm[...]
StatPearls Publishing
2024-11-12
[15]
논문
Aspiration Pneumonitis and Aspiration Pneumonia
http://www.nejm.org/[...]
2001-03
[16]
논문
The aspiration of stomach contents into the lungs during obstetric anesthesia
https://pubmed.ncbi.[...]
1946-08
[17]
논문
Pulmonary aspiration syndromes
http://journals.lww.[...]
2011-05
[18]
논문
Aspiration-related deaths in 57 consecutive patients: autopsy study
2014
[19]
뉴스
Use of modified diets to prevent aspiration in oropharyngeal dysphagia: is current practice justified?
https://doi.org/10.1[...]
BMC Geriatrics
2018-07
[20]
뉴스
Comparison of 2 interventions for fluid aspiration on pneumonia incidence: a randomised trial
Ann Intern Med
2008
[21]
서적
Current Diagnosis & Treatment: Pediatrics, 24e, "Respiratory Tract & Mediastinum"
McGraw-Hill
[22]
서적
Current Diagnosis & Treatment: Emergency Medicine, 8e, "Respiratory Distress"
McGraw-Hill
[23]
서적
Airway foreign bodies in adults
In: UpToDate, Post, TW (Ed), UpToDate, Waltham, MA
[24]
웹사이트
Foreign Body Aspiration
https://www.dynamed.[...]
2020-11-02
[25]
논문
Pediatric Foreign Body Aspiration
http://pedsinreview.[...]
2000-03-01
[26]
웹사이트
誤嚥性肺炎
http://www.jrs.or.jp[...]
[27]
뉴스
子どもの誤嚥死 調査へ/いり豆やブドウ 10年108人/こども家庭庁「リンゴは避ける」年度内に具体策
https://www.yomiuri.[...]
読売新聞
2024-10-17
[28]
문서
알기쉬운 의학용어풀이집
고려의학
본 사이트는 AI가 위키백과와 뉴스 기사,정부 간행물,학술 논문등을 바탕으로 정보를 가공하여 제공하는 백과사전형 서비스입니다.
모든 문서는 AI에 의해 자동 생성되며, CC BY-SA 4.0 라이선스에 따라 이용할 수 있습니다.
하지만, 위키백과나 뉴스 기사 자체에 오류, 부정확한 정보, 또는 가짜 뉴스가 포함될 수 있으며, AI는 이러한 내용을 완벽하게 걸러내지 못할 수 있습니다.
따라서 제공되는 정보에 일부 오류나 편향이 있을 수 있으므로, 중요한 정보는 반드시 다른 출처를 통해 교차 검증하시기 바랍니다.
문의하기 : help@durumis.com
