컴퓨터단층촬영
"오늘의AI위키"의 AI를 통해 더욱 풍부하고 폭넓은 지식 경험을 누리세요.
1. 개요
컴퓨터 단층 촬영(CT)은 X선 발생기와 검출기를 사용하여 인체 내부를 횡단면 영상으로 촬영하는 기술이다. 원리는 X선으로 얻은 시노그램을 역 라돈 변환하여 횡단면 영상을 얻는 것이며, 각 픽셀은 하운스필드 단위(HU)로 표시되는 감쇠율을 나타낸다. CT는 단일 검출기 CT부터 다중 검출기 CT, 나선형 CT, 이중 에너지 CT, PET-CT 등 다양한 종류가 있으며, 의료 분야에서 암 조기 진단, 혈관성 질환 진단, 3차원 영상 진단 등에 활용된다. CT는 기존 2차원 X선 촬영보다 우수한 해상도를 제공하지만, 방사선 피폭과 조영제 부작용의 위험이 있으며, 영상 품질을 높이기 위한 다양한 기술이 개발되고 있다.
더 읽어볼만한 페이지
- 1972년 도입된 제품 - 죠리퐁
죠리퐁은 오리온에서 생산하는 대한민국의 과자로, 2001년 라디오 프로그램의 놀이와 여성 관련 괴담으로 알려져 있으며, 한 봉지에는 평균 약 1393개에서 1647개의 알맹이가 들어있다. - 1972년 도입된 제품 - 킨더 서프라이즈
킨더 서프라이즈는 페레로 사에서 출시한 초콜릿 과자로, 초콜릿 쉘 안에 장난감을 넣어 아이들에게 즐거움을 주는 제품이지만, 장난감 부품 삼킴 위험으로 일부 국가에서 판매가 금지되기도 했다. - 의학 영상 - 자기공명영상
자기공명영상(MRI)은 강한 자기장과 라디오파를 사용하여 인체 내부를 영상화하는 기술로, 수소 원자핵의 자기 공명 현상을 이용하여 신체 조직의 이완 시간 차이를 통해 영상을 얻으며, 다양한 부위의 질환 진단에 활용되지만 검사 시간이 길고 비용이 높으며 금속성 물질에 의한 제약이 있을 수 있다. - 의학 영상 - 조영제
조영제는 의료 영상 촬영에서 내부 장기나 혈관을 돋보이게 하는 의약품으로, 투여 경로와 목적에 따라 다양한 검사에 사용되지만 알레르기 반응, 신장 손상 등의 부작용을 유발할 수 있어 주의가 필요하다. - 영국의 발명품 - 수력 발전
수력 발전은 물의 위치 에너지를 이용하여 전기를 생산하는 방식으로, 수차와 발전기를 통해 운동 에너지를 전기 에너지로 변환하며, 다양한 운용 방식이 존재하나 댐 건설로 인한 환경 문제 등의 과제도 안고 있는 탄소 중립 시대의 중요한 신재생 에너지원이다. - 영국의 발명품 - 텔레비전
텔레비전은 움직이는 영상과 소리를 전기 신호로 변환하여 전송하고 수신 측에서 다시 영상과 소리로 바꾸는 기술을 이용한 매체로, 닙코프 원판을 이용한 초기 기계식 방식에서 음극선관 발명을 통해 전자식으로 발전하여 디지털 기술과 다양한 디스플레이 기술 발전을 거쳐 현재에 이르렀으며 사회, 문화, 경제적으로 큰 영향을 미치지만 건강 문제 및 부정적 콘텐츠 노출 등의 부작용도 존재한다.
2. 원리
컴퓨터단층촬영(CT)은 X선 발생기와 검출기를 사용하여 피험자 주위를 회전하며 X선 영상을 촬영한다. 이때 얻어지는 원본 영상을 '''시노그램'''(sinogram)이라고 하며,[289][197] 컴퓨터가 역 라돈 변환 계산을 통해 복원하여 횡단면 영상을 얻는다.[290] 횡단면 영상의 각 픽셀은 해당 부분의 감쇠율을 나타내며, 이는 하운스필드 단위(HU)를 사용하여 물의 감쇠율과 비교한 상대적 값으로 표시된다.[202] 일반적으로 공기는 -1,000 HU, 물은 0 HU, 해면골은 400 HU, 두개골은 2,000 HU 이상이다.[291][203] 금속의 경우 티타늄은 1,000 HU 정도이며, 철은 X선을 완전히 통과시키지 못해 선형 잡음이 발생한다.[203]
영상 획득 및 절차에 따라 다양한 유형의 CT 스캐너가 시장에 나와 있다.
획득된 횡단면 영상은 디지털 기하학 처리를 통해 3차원 영상으로 변환될 수 있으며,[204] 3차원 영상의 각 화소는 복셀이라고 한다.[202] CT 영상은 일반적으로 환자의 발에서 위를 올려다보는 것처럼 렌더링되므로, 이미지의 왼쪽은 환자의 오른쪽이고 그 반대이다.[203]
CT 영상 재구성법은 해석적 재구성법, 대수적 재구성법, 통계적 재구성법으로 크게 나눌 수 있다.[246][244] 역투영법은 해석적 재구성법에 속하며, 한 번의 계산으로 재구성된 영상을 얻을 수 있다.[244][246][249] 순차 근사 영상 재구성법은 대수적 재구성법과 통계적 재구성법에 속하며, 초기 영상을 가정하고 실제 측정된 투영과의 정합성을 반복 계산을 통해 높여가는 방식이다.[246][251][250] 최근에는 필터 보정 역투영법(FBP법[244][247]) 외에도 영상 노이즈 감소 및 인공물 감소 효과가 있는 순차 근사 영상 재구성법(IR법[248])이 증가하고 있다.[244][246] 다열 검출기 CT(MDCT)에서는 신호 왜곡을 보정하기 위해 펠트캄프법[252]이 사용되며, 콘 빔 CT(CBCT[253])에서는 콘 빔 역투영법이라는 발전된 알고리즘이 사용된다.
3. 종류
; 단일 검출기 CT(구형 CT)
: 초기의 CT는 검출기가 1열밖에 없어, 1회 회전으로 1장의 영상밖에 얻을 수 없어 촬영 시간이 길다는 단점이 있었다.
; 다중 검출기 CT(MDCT[256])
: X선을 부채꼴 모양으로 비교적 넓은 각도로 조사하고, 반대편의 검출기 자체를 세분화하여 다열화한 CT로, 1회의 선원의 회전으로 더 넓은 범위를 촬영할 수 있다. 1998년에는 4열 이상의 검출기를 갖춘 CT가 개발되었고, 2002년에는 16열 이상의 검출기를 갖춘 CT가 개발되어 널리 보급되었다. 2012년[257]에는 최대 320열의 검출기를 갖춘 MDCT가 판매되어, 1회전에 심장이나 뇌의 거의 전체를 촬영하는 것이 가능하게 되었다.
; 순차적 CT
순차적 CT는 스텝 앤 슛 CT라고도 하며, 컴퓨터단층촬영 테이블이 단계별로 움직이는 스캔 방식이다.[7] 테이블은 특정 위치로 이동한 다음 멈추고, 그 후에 X선관이 회전하여 슬라이스를 획득한다. 그런 다음 테이블이 다시 이동하고 또 다른 슬라이스가 촬영된다. 슬라이스를 촬영하는 동안 테이블의 움직임은 멈춘다.[7]
논-헬리컬 스캔은 1 슬라이스마다 베드의 이동과 정지를 차례로 반복하면서 촬영하는 구조이다. 구래의 방법이라는 의미로 컨벤셔널 스캔[254]이라고 부르기도 하지만, 최근에는 헬리컬 CT에 대한 용어로 논-헬리컬 CT라고 말하는 경우가 많다. 클러스터 스캔[255]이라고도 한다. 촬영 시간이 길어지지만, 인공물이 적어진다는 이점을 활용하여, 미묘한 농도 차이를 검출할 필요가 있는 뇌의 루틴 촬영에서는, 계속해서 두꺼운 슬라이스를 사용한 논-헬리컬 스캔이 일반적으로 이루어지고 있다. 이로 인해 스캔 시간이 증가한다.[7]
; 나선형 CT

나선형 CT(헬리컬 CT)는 스캔되는 영역의 중심 축을 중심으로 전체 X선 튜브가 회전하는 영상 기술이다.[8][9] 이 방식은 더 오래 생산되었고 생산 및 구매 비용이 저렴하여 시장에서 지배적인 스캐너 유형이다. 나선형 CT의 주요 제한 사항은 X선 튜브 어셈블리와 원의 반대편에 있는 검출기 어레이의 부피와 관성으로 인해 장비의 회전 속도가 제한된다는 것이다. 일부 디자인에서는 시간 분해능을 향상시키기 위해 각도만큼 오프셋된 두 개의 X선 소스 및 검출기 어레이를 사용하기도 한다.[8][9]
CT 촬영 방식은 크게 논-헬리컬 스캔과 헬리컬 스캔으로 나뉜다. 논-헬리컬 스캔은 1 슬라이스마다 베드의 이동과 정지를 반복하며 촬영하는 방식으로, 컨벤셔널 스캔[254] 또는 클러스터 스캔[255]이라고도 한다. 촬영 시간이 길지만 인공물이 적다는 장점이 있어, 뇌와 같이 미묘한 농도 차이 검출이 필요한 부위의 촬영에 주로 사용된다.
헬리컬 스캔은 연속 회전하는 X선 발생장치 안에서 베드를 일정 속도로 움직이며 촬영하는 방식이다. 환자 입장에서는 선원이 나선형으로 움직이는 것처럼 보인다. 스파이럴(나선) 스캔이라고도 불리는 이 방식은 논-헬리컬 스캔에 비해 촬영 시간을 단축할 수 있으며, 한 번의 숨 참기로 체간부 전체를 촬영하는 것도 가능하다. 현재 시판되는 CT 스캐너는 모두 이 촬영 방식을 지원한다. 다만, 골 주변 등 X선 산란이 많은 상황에서는 화질이 저하될 수 있다. 경부 이하의 촬영에서는 특수한 검사를 제외하고는 대부분 헬리컬 스캔 방식이 사용된다.
; 전자빔 단층촬영(EBT)
전자빔 단층촬영(EBT)은 X선관의 음극과 양극 사이를 이동하는 전자의 경로만을 편향 요크를 사용하여 회전시키는 특수한 형태의 컴퓨터 단층촬영이다.[10] 스캔 속도가 빨라 심장과 동맥과 같이 움직이는 구조의 이미지를 덜 흐리게 만들 수 있다.[11] 그러나 X선관과 검출기 어레이를 제작하는 데 비용이 많이 들고, 해부학적 범위가 제한적이라는 단점 때문에 회전 튜브 유형에 비해 적게 생산되었다.[12]
; 이중 에너지 CT
이중 에너지 CT(Dual Energy CT, DECT)는 전산화 단층 촬영(CT)의 발전된 형태로, 두 가지 에너지를 사용하여 두 세트의 데이터를 생성한다.[13] 이중 에너지 CT는 두 개의 소스를 이용하거나, 에너지 전환 방식의 단일 소스를 이용하여 두 개의 서로 다른 데이터 세트를 얻을 수 있다.[14]
이중 소스 CT(Dual source CT)는 기존의 단일 튜브 시스템과 달리 두 개의 X-선 튜브 검출기 시스템을 갖춘 고급 스캐너이다.[15][16] 이 두 개의 검출기 시스템은 단일 갠트리에 90° 간격으로 동일 평면에 장착된다.[17] 이중 소스 CT 스캐너는 절반 회전만으로 전체 CT 슬라이스를 획득하여 빠른 스캔과 더 높은 시간 해상도를 제공한다. 빠른 이미징은 높은 심박수에서 움직임 흐림을 줄여 호흡 유지 시간을 단축할 수 있다. 이는 호흡을 유지하기 어렵거나 심박수 감소 약물을 복용할 수 없는 환자에게 특히 유용하다.[17][18]
단일 소스 CT는 단일 튜브를 사용하여 에너지를 빈번하게 전환하여 두 가지 다른 에너지로 작동한다.[19][20]
; CT 관류 영상
CT 관류 영상은 조영제를 주입하면서 혈관을 통한 혈류를 평가하는 CT의 특정 형태이다.[21] 혈류량, 혈액 이동 시간 및 장기 혈액량은 모두 합리적인 민감도 및 특이도로 계산할 수 있다.[21] 이러한 유형의 CT는 심장에 사용할 수 있지만, 이상을 감지하는 민감도와 특이도는 다른 형태의 CT보다 여전히 낮다.[22] 또한 뇌에도 사용할 수 있으며, CT 관류 영상은 일반적인 나선형 CT 스캔을 사용하여 감지되기 훨씬 전에 뇌 관류 부전을 감지할 수 있다.[21][23] 이는 다른 CT 유형보다 뇌졸중 진단에 더 적합하다.[23]
다이내믹 CT와 마찬가지로 조영제 급속 정맥 주사 시행 후, 다수의 시상을 촬영하여 조영제 농도의 시간 변화를 컬러 이미지화한다.[261] 주로 뇌 혈류 평가에 사용되며, 비방사성 제논을 흡입하면서 촬영하는 제논 CT도 있다.
; PET-CT
양전자 방출 단층 촬영(PET) 스캐너와 X선 컴퓨터단층촬영(CT) 스캐너를 단일 갠트리에서 결합한 하이브리드 CT 방식이다.[24] 동일 세션에서 두 장치로부터 순차적 이미지를 획득하여 단일 중첩된(공동 등록된) 이미지로 결합한다. 따라서 신체의 대사 또는 생화학적 활성의 공간적 분포를 나타내는 PET에 의해 획득된 기능적 영상은 CT 스캔에 의해 획득된 해부학적 영상과 보다 정확하게 정렬하거나 상관 관계를 가질 수 있다.[24]
PET-CT는 검사 대상 장기의 해부학적 및 기능적 세부 사항을 모두 제공하며 다양한 유형의 암을 감지하는 데 도움이 된다.[25][26]
3. 1. 순차적 CT
순차적 CT는 스텝 앤 슛 CT라고도 하며, 컴퓨터단층촬영 테이블이 단계별로 움직이는 스캔 방식이다.[7] 테이블은 특정 위치로 이동한 다음 멈추고, 그 후에 X선관이 회전하여 슬라이스를 획득한다. 그런 다음 테이블이 다시 이동하고 또 다른 슬라이스가 촬영된다. 슬라이스를 촬영하는 동안 테이블의 움직임은 멈춘다.[7]
논-헬리컬 스캔은 1 슬라이스마다 베드의 이동과 정지를 차례로 반복하면서 촬영하는 구조이다. 구래의 방법이라는 의미로 컨벤셔널 스캔[254]이라고 부르기도 하지만, 최근에는 헬리컬 CT에 대한 용어로 논-헬리컬 CT라고 말하는 경우가 많다. 클러스터 스캔[255]이라고도 한다. 촬영 시간이 길어지지만, 인공물이 적어진다는 이점을 활용하여, 미묘한 농도 차이를 검출할 필요가 있는 뇌의 루틴 촬영에서는, 계속해서 두꺼운 슬라이스를 사용한 논-헬리컬 스캔이 일반적으로 이루어지고 있다. 이로 인해 스캔 시간이 증가한다.[7]
3. 2. 나선형 CT
나선형 CT(헬리컬 CT)는 스캔되는 영역의 중심 축을 중심으로 전체 X선 튜브가 회전하는 영상 기술이다.[8][9] 이 방식은 더 오래 생산되었고 생산 및 구매 비용이 저렴하여 시장에서 지배적인 스캐너 유형이다. 나선형 CT의 주요 제한 사항은 X선 튜브 어셈블리와 원의 반대편에 있는 검출기 어레이의 부피와 관성으로 인해 장비의 회전 속도가 제한된다는 것이다. 일부 디자인에서는 시간 분해능을 향상시키기 위해 각도만큼 오프셋된 두 개의 X선 소스 및 검출기 어레이를 사용하기도 한다.[8][9]
CT 촬영 방식은 크게 논-헬리컬 스캔과 헬리컬 스캔으로 나뉜다. 논-헬리컬 스캔은 1 슬라이스마다 베드의 이동과 정지를 반복하며 촬영하는 방식으로, 컨벤셔널 스캔[254] 또는 클러스터 스캔[255]이라고도 한다. 촬영 시간이 길지만 인공물이 적다는 장점이 있어, 뇌와 같이 미묘한 농도 차이 검출이 필요한 부위의 촬영에 주로 사용된다.
헬리컬 스캔은 연속 회전하는 X선 발생장치 안에서 베드를 일정 속도로 움직이며 촬영하는 방식이다. 환자 입장에서는 선원이 나선형으로 움직이는 것처럼 보인다. 스파이럴(나선) 스캔이라고도 불리는 이 방식은 논-헬리컬 스캔에 비해 촬영 시간을 단축할 수 있으며, 한 번의 숨 참기로 체간부 전체를 촬영하는 것도 가능하다. 현재 시판되는 CT 스캐너는 모두 이 촬영 방식을 지원한다. 다만, 골 주변 등 X선 산란이 많은 상황에서는 화질이 저하될 수 있다. 경부 이하의 촬영에서는 특수한 검사를 제외하고는 대부분 헬리컬 스캔 방식이 사용된다.
3. 3. 전자빔 단층촬영 (EBT)
전자빔 단층촬영(EBT)은 X선관의 음극과 양극 사이를 이동하는 전자의 경로만을 편향 요크를 사용하여 회전시키는 특수한 형태의 컴퓨터 단층촬영이다.[10] 스캔 속도가 빨라 심장과 동맥과 같이 움직이는 구조의 이미지를 덜 흐리게 만들 수 있다.[11] 그러나 X선관과 검출기 어레이를 제작하는 데 비용이 많이 들고, 해부학적 범위가 제한적이라는 단점 때문에 회전 튜브 유형에 비해 적게 생산되었다.[12]
3. 4. 이중 에너지 CT
이중 에너지 CT(Dual Energy CT, DECT)는 전산화 단층 촬영(CT)의 발전된 형태로, 두 가지 에너지를 사용하여 두 세트의 데이터를 생성한다.[13] 이중 에너지 CT는 두 개의 소스를 이용하거나, 에너지 전환 방식의 단일 소스를 이용하여 두 개의 서로 다른 데이터 세트를 얻을 수 있다.[14]
이중 소스 CT(Dual source CT)는 기존의 단일 튜브 시스템과 달리 두 개의 X-선 튜브 검출기 시스템을 갖춘 고급 스캐너이다.[15][16] 이 두 개의 검출기 시스템은 단일 갠트리에 90° 간격으로 동일 평면에 장착된다.[17] 이중 소스 CT 스캐너는 절반 회전만으로 전체 CT 슬라이스를 획득하여 빠른 스캔과 더 높은 시간 해상도를 제공한다. 빠른 이미징은 높은 심박수에서 움직임 흐림을 줄여 호흡 유지 시간을 단축할 수 있다. 이는 호흡을 유지하기 어렵거나 심박수 감소 약물을 복용할 수 없는 환자에게 특히 유용하다.[17][18]
단일 소스 CT는 단일 튜브를 사용하여 에너지를 빈번하게 전환하여 두 가지 다른 에너지로 작동한다.[19][20]
3. 5. CT 관류 영상
CT 관류 영상은 조영제를 주입하면서 혈관을 통한 혈류를 평가하는 CT의 특정 형태이다.[21] 혈류량, 혈액 이동 시간 및 장기 혈액량은 모두 합리적인 민감도 및 특이도로 계산할 수 있다.[21] 이러한 유형의 CT는 심장에 사용할 수 있지만, 이상을 감지하는 민감도와 특이도는 다른 형태의 CT보다 여전히 낮다.[22] 또한 뇌에도 사용할 수 있으며, CT 관류 영상은 일반적인 나선형 CT 스캔을 사용하여 감지되기 훨씬 전에 뇌 관류 부전을 감지할 수 있다.[21][23] 이는 다른 CT 유형보다 뇌졸중 진단에 더 적합하다.[23]
다이내믹 CT와 마찬가지로 조영제 급속 정맥 주사 시행 후, 다수의 시상을 촬영하여 조영제 농도의 시간 변화를 컬러 이미지화한다.[261] 주로 뇌 혈류 평가에 사용되며, 비방사성 제논을 흡입하면서 촬영하는 제논 CT도 있다.
3. 6. PET-CT
양전자 방출 단층 촬영(PET) 스캐너와 X선 컴퓨터단층촬영(CT) 스캐너를 단일 갠트리에서 결합한 하이브리드 CT 방식이다.[24] 동일 세션에서 두 장치로부터 순차적 이미지를 획득하여 단일 중첩된(공동 등록된) 이미지로 결합한다. 따라서 신체의 대사 또는 생화학적 활성의 공간적 분포를 나타내는 PET에 의해 획득된 기능적 영상은 CT 스캔에 의해 획득된 해부학적 영상과 보다 정확하게 정렬하거나 상관 관계를 가질 수 있다.[24]
PET-CT는 검사 대상 장기의 해부학적 및 기능적 세부 사항을 모두 제공하며 다양한 유형의 암을 감지하는 데 도움이 된다.[25][26]
4. 활용
CT는 주로 의학 분야에서 사용된다. CT는 아주 작은 인체조직의 밀도차이도 구별할 수 있어 인체의 어느 부위에나 검사의 적용이 가능하다. 주로 암의 조기진단 및 진행성 염증성 질환의 진단, 혈관성 질환의 진단, 영상 재구성에 의한 3차원 영상 진단에 쓰인다.[27]
1970년대에 도입된 이후 CT는 기존의 X-ray 영상 촬영 및 의료 초음파를 보완하는 의료 영상 분야의 중요한 도구가 되었다. 더 최근에는 질병의 예방 의학 또는 선별 검사에 사용되고 있는데, 예를 들어 가상 대장 내시경은 대장암 고위험군 환자에게, 전신 심장 스캔은 심장 질환 고위험군 환자에게 사용된다. 일부 기관에서는 일반인을 대상으로 전신 스캔을 제공하지만, 이는 주로 적용되는 방사선량 때문에 이 분야의 많은 전문 단체의 권고와 공식 입장에 위배된다.[28]
CT 스캔의 사용은 지난 20년 동안 많은 국가에서 급격히 증가했다.[29] 2007년 미국에서 약 7,200만 건의 스캔이 시행되었으며, 2015년에는 8,000만 건 이상이 시행된 것으로 추정된다.[30][31]
; 머리
머리 CT 스캔은 일반적으로 경색(뇌졸중), 종양, 석회화, 출혈, 그리고 뼈 외상을 감지하는 데 사용된다.[32] 위에서, 저밀도 (어두운) 구조는 부종과 경색을 나타낼 수 있으며, 고밀도 (밝은) 구조는 석회화와 출혈을 나타내고 뼈 외상은 뼈 창에서 불연속으로 나타날 수 있다. 종양은 부종과 해부학적 변형에 의해, 또는 주변 부종에 의해 감지될 수 있다. 머리 CT 스캔은 또한 뇌종양, 동정맥 기형 및 N-로컬라이저라고 하는 장치를 사용하여 수술로 치료 가능한 기타 질환의 치료를 위한 CT-유도 정위 수술 및 방사선 수술에 사용된다.[33][34][35][36][37][38]
; 목
조영 증강 CT는 일반적으로 성인의 목 덩이에 대한 초기 검사로 선택된다.[39] 갑상선 CT는 갑상선암 평가에 중요한 역할을 한다.[40] CT 스캔은 종종 우연히 갑상선 이상을 발견하므로, 갑상선 이상에 대한 선호되는 검사 방식이다.[40]
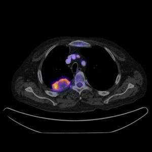
; 폐
CT 스캔은 폐 조직의 급성 및 만성 변화를 모두 감지하는 데 사용된다.[41] 일반적인 2차원 X-레이는 이러한 결함을 나타내지 않기 때문에 이 경우 특히 유용하다.
폐기종 및 섬유증과 같은 만성 간질성 과정 평가를 위해[42] 높은 공간 주파수 재구성을 사용한 얇은 단면을 사용하며, 흡기와 호기 모두에서 스캔을 수행하기도 한다. 이 특수 기술은 고해상도 CT라고 불린다.[43]
기관지 벽 두께 증가는 폐 CT에서 볼 수 있으며, 일반적으로 기관지 염증을 의미한다.[44]
증상이 없는 상태에서 우연히 발견된 결절(우연종)은 양성 또는 암일 수 있는 종양을 나타낼 수 있다는 우려를 제기할 수 있다.[45] 그러나 확립된 지침에 따르면 과거 암 이력이 없고 고형 결절이 2년 이상 성장하지 않은 환자는 악성 암에 걸릴 가능성이 낮다.[46]
기관지와 폐동맥은 원칙적으로 인접하여 평행하게 주행하며 폐구역, 아구역, 소엽의 중심을 주행한다. CT에서는 기관지에 인접한 혈관이 폐동맥이다. 정상적인 사람에서는 기관지는 아구역까지 밖에 추적할 수 없다. 폐의 기능 동맥은 폐동맥이지만, 그 외에 영양 혈관으로 기관지 동맥이 존재한다.
폐의 구조를 이해하는 데 필수적인 개념이 이차 소엽이다. 이차 소엽의 중앙을 기관지와 폐동맥이, 소엽 간격벽의 안을 폐정맥이 지나간다.
폐의 아구역을 동정하려면 기관지를 따라가는 것이 이해하기 쉽다. 원칙적으로 구역 기관지의 번호와 폐 구역의 번호는 일치한다.
우상엽, 우중엽, 우하엽, 좌상엽, 좌하엽등으로 나뉘어 지며, 각 부위별로 구역들이 존재한다.
기강성 음영은 폐포강을 거의 완전히 액체나 기타 물질이 점거한 상태이다. 유리 갈음 음영(ground glass opacity, GGO)은 옅은 농도 상승으로 기존 폐 혈관이 투시되는 음영을 말하며, 폐포 단백증, 폐렴등에서 보인다.
세기관지벽, 세혈관벽 비후의 경우 미만성 범세기관지염에서 전형적인 예를 볼 수 있다.
소엽 간격벽 비후상은 흉막에 직교하는 이상 선상 음영으로 간질성 병변에 수반된다. 벌집 폐는 섬유화된 폐의 최종 형태이다. 폐기종은 종말 세기관지보다 말초의 기강의 이상한 확장이다.
종괴성 병변은 암인지 양성 질환인지 구별하는 것이 매우 중요하다. 종괴성 병변의 CT 소견으로는, 2년 이상 증대가 관찰되지 않거나, 종괴의 거의 전체가 짙게 석회화되어 있거나, 종괴 내에 지방을 보일 경우에는 양성이다.
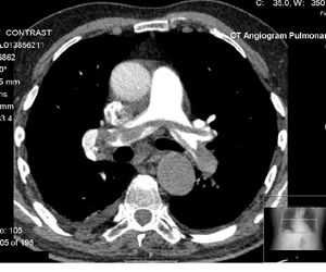
; 혈관 조영술
컴퓨터 단층 혈관 조영술(CTA)은 몸 전체의 동맥과 정맥을 시각화하기 위한 일종의 조영 CT이다.[47] 이는 뇌에 혈액을 공급하는 동맥부터 폐, 신장, 팔, 다리에 혈액을 공급하는 동맥까지 다양하다. 이러한 유형의 검사의 예로는 CT 폐동맥 혈관 조영술(CTPA)이 있으며, 이는 폐색전증(PE)을 진단하는 데 사용된다. 이 검사는 컴퓨터 단층 촬영과 요오드 조영제를 사용하여 폐동맥의 영상을 얻는다.[48][49][50] CT 스캔은 시술 전에 임상의에게 혈전의 위치와 수에 대한 더 많은 정보를 제공함으로써 혈관 조영술의 위험을 줄일 수 있다.[51][52]
특수한 조영 CT 촬영법은 다음과 같다.
- '''다이내믹 CT:''' 조영제를 급속 정맥 주사(매초 3mL 이상)하고, 각 시간대(대부분 동맥기, 평형기, 정맥기)의 타이밍에 같은 부위를 반복 촬영하는 방법이다. 병변의 검출이 쉬워지고, 질적 진단에도 기여하지만, 피폭량도 증가한다.
- '''퍼퓨전 CT'''[261]: 다이내믹 CT와 마찬가지로 조영제 급속 정맥 주사 시행 후, 다수의 시상을 촬영하여 조영제 농도의 시간 변화를 컬러 이미지화하는 방법이다.
- '''CT 혈관 촬영(CTA'''[262]): 조영제를 급속 정맥 주사하고, 동맥 내 조영제 농도가 가장 높아지는 타이밍(동맥기)에 CT를 촬영함으로써, 관상동맥 등의 혈관 주행을 명확하게 묘출하는 촬영 방법이다. 동맥류 등 동맥 질환의 진단에 사용된다. 특히 3차원 렌더링과의 친화성이 높은 검사 방법이다.
- '''IVR-CT:'''카테터 검사 중에 실시하는 CT이다. 카테터 위치 확인에 사용하는 외에, 특정 동맥이나 정맥에 직접 조영제를 주입하면서 CT 촬영을 하면, 목표로 한 혈관이나 장기만을 강하게 조영할 수 있으며, 정진율이 높아질 것으로 기대된다. 시설에 따라 IVR-CT 전용 CT 장치가 카테터 검사실 내에 병설되어 있는 경우도 있다.
- '''점적 정맥 주사 담낭 조영 CT(DIC CT):''' 담즙 중에 배설되는 특수한 조영제를 투여한 후 상복부를 촬영하여, 담도계를 묘출하는 조영 검사이다.
- '''제논 CT:''' 주로 뇌 혈류 평가에 실시되며, 비방사성 제논을 흡입하면서 촬영한다.
; 심장
심장 CT 스캔은 심장 또는 관상동맥 해부학에 대한 정보를 얻기 위해 수행된다.[53] 전통적으로 심장 CT 스캔은 관상동맥 질환을 감지, 진단 또는 추적하는 데 사용된다.[54] 최근에는 CT가 빠르게 발전하는 중재적 심장학 분야, 특히 심장 판막의 경피적 수리 및 교체에 핵심적인 역할을 하고 있다.[55][56][57]
심장 CT 스캔의 주요 형태는 다음과 같다.
- 관상동맥 CT 혈관 조영술 (CCTA): 심장의 관상동맥을 평가하기 위한 CT 사용. 대상자는 정맥 주사로 방사선 조영제를 투여받고, 고속 CT 스캐너를 사용하여 심장을 스캔하여 방사선과 전문의가 관상동맥의 폐쇄 정도를 평가할 수 있으며, 일반적으로 관상동맥 질환을 진단한다.[58][59]
- 관상동맥 CT 칼슘 스캔: 또한 관상동맥 질환의 심각도를 평가하는 데 사용된다. 구체적으로 동맥을 좁히고 심장 마비의 위험을 증가시킬 수 있는 관상동맥의 칼슘 침착물을 찾는다.[60] 전형적인 관상동맥 CT 칼슘 스캔은 방사선 조영제를 사용하지 않고 수행되지만, 조영 증강된 영상에서도 가능합니다.[61]
해부학을 더 잘 시각화하기 위해 영상의 후처리가 일반적이다.[54] 가장 일반적인 것은 다중 평면 재구성 (MPR) 및 체적 렌더링이다. 심장 판막 중재술과 같이 더 복잡한 해부학 및 절차의 경우, 이러한 CT 영상을 기반으로 진정한 3차원 재구성 또는 3D 인쇄를 생성하여 더 깊이 이해한다.[62][63][64][65]
끊임없이 빠르게 움직이는 심장은 CT가 가장 어려워하는 장기 중 하나였지만, 다열 검출기 CT를 사용하여 고속으로 광범위한 촬영이 가능해졌고, 심전도 동기 기술과 선원 고속 회전 기술도 발전하면서 심장 분야에서도 CT가 위력을 발휘하게 되었다. 현재는 심장 표면의 지름 2mm 혈관의 협착까지 묘사하여 일부 혈관 카테터 검사를 대체할 수 있게 되었다. 도시바 메디칼 시스템즈(현 캐논 메디컬 시스템즈)의 320열 검출기 CT나 GE의 256열 검출기 CT 등 초다열 검출기 CT의 등장으로, 움직이는 심장의 3차원 영상을 애니메이션으로 표시하는 것까지 가능하게 되었다. 뇌동맥류의 박동을 조사하여, 파열되지 않은 뇌동맥류의 파열 위험을 예측하려는 연구에도 사용되기 시작했다.
; 복부 및 골반

CT는 크론병,[66] 위장관 출혈과 같은 복부 질환의 진단, 암의 진단 및 병기 결정, 그리고 치료 반응 평가를 위한 암 치료 후 추적 관찰에 정확한 기술이다.[67] 이는 일반적으로 급성 복통을 조사하는 데 사용된다.[68]
비조영 CT는 오늘날 요로 결석을 진단하는 데 있어 표준 검사법이다.[69] 결석의 크기, 부피 및 밀도를 추정하여 임상의가 추가 치료를 안내하도록 도울 수 있으며, 크기는 특히 결석의 자연 배출을 예측하는 데 중요하다.[70]
간의 부위 진단에서는 구역 해부가 매우 중요하며, 이는 부위에 따라 수술 방법이 다르기 때문이다. 간 외과의 수술로는 아구역 절제, 구역 절제, 엽 절제, 확대 우엽 절제가 알려져 있다. 간의 구역 진단을 할 때는 간의 구조물을 단서로 삼는 경우가 많다. '''간문'''은 좌엽 내측구(S4)와 미상엽(S1) 사이의 틈새로, 문맥, 간동맥, 담관의 출입구이다. '''간원삭열'''은 간원삭(태생기의 제정맥)이 붙는 곳이며, 외측구(S2, S3)와 내측구(S4)를 경계한다. '''정맥관열'''은 태생기의 정맥관이 지나던 틈새로, 미상엽(S1)과 외측구(S2, S3)를 경계한다. 하대정맥구와 담낭와를 잇는 선을 '''컨트리선'''이라고 하며, 외과적 좌엽과 우엽을 경계한다. 이들은 CT에서 항상 확인할 수 있는 것은 아니지만, 후술할 혈관 계통이 확인하기 어려울 때 매우 유용하다. 간 구역, 간 아구역을 진단하는 데에는 혈관 계통이 가장 이해하기 쉽다. '''간의 혈관의 기본 구조는 각 아구역의 중앙을 문맥이, 각 아구역의 경계를 간정맥이 주행하는 것이다.''' 문맥에는 간동맥과 담관이 나란히 주행하며, 이 구조는 간소엽 레벨까지 유지된다. 간정맥은 크게 좌, 중, 우의 3개를 기본으로 한다. 좌간정맥 본간은 좌엽 외측구(S2, S3)의 중앙을 지나며, 외측후아구역(S2)과 외측전아구역(S3)을 경계한다. 중간정맥 본간은 내측구(S4)와 우엽 전구(S5, S8)를 경계한다. 이는 컨트리선과 거의 일치하는 경계가 된다. 우간정맥 본간은 우엽의 중앙을 관통하며, 우엽 전구(S5, S8)와 후구(S6, S7)를 경계한다. 신기하게도 우엽의 상하 아구역을 경계하는 구조는 존재하지 않는다. 문맥 본간은 좌엽 주가지와 우엽 주가지로 나뉜다. 좌엽지는 간원삭열로 들어가, 먼저 외측후아구역지를 분지하고, 더 나아가 복측으로 뻗어 좌우로 외측전아구역지와 내측구역지로 나뉜다. 이 부분은 예전에 제정맥이 교통했기 때문에 U점이라고 한다. 우엽지는 전구역지와 후구역지로 나뉜다. 전구역지는 전상아구역지, 전하아구역지로 나뉜다. 후구역지 분지부는 P점이라고 한다. 후구역지는 후상아구역지와 후하아구역지로 나뉜다. 문맥은 지배하는 구역에 맞춰 Px로 표현하기도 한다. 예를 들어, 전상아구역(S7)의 중앙을 지나는 문맥은 P7이다.
퀴노 분류는 간 아구역의 표현에 자주 사용되며, 이는 간의 내장면에서 시계 반대 방향으로 번호를 매긴 것이다. 내장면에서 확인할 수 없는 우엽 전상아구를 S8으로 한다.
상장간막동맥(SMA)은 L1 수준에서 복부 대동맥에서 앞으로 분지되어 좌측 신정맥과 십이지장 수평부 앞을 하행한다. 중결장동맥, 회장동맥, 우결장동맥이 분지된다. 상장간막정맥(SMV)은 SMA의 오른쪽을 상행하여 췌체부 배측을 통과하여 비정맥과 합류한다. 하장간막동맥(IMA)은 L3 수준에서 복부 대동맥에서 앞으로 분지되어 좌하방으로 향한다. 좌결장동맥, S상 결장동맥이 분지된다. 하장간막정맥은 IMA의 좌측을 상행하여 L3 수준에서 비정맥과 합류한다. 좌측 난소(정삭)정맥은 좌측 신정맥에 합류하기 때문에 머리쪽으로 추적이 불가능하여 구별한다.
; 축성 골격 및 사지
축성 골격과 사지의 경우, CT는 여러 평면에서 관심 영역을 재구성하는 능력 때문에 복잡한 골절, 특히 관절 주변의 골절을 영상화하는 데 자주 사용된다. 골절, 인대 부상, 탈구는 0.2mm 해상도로 쉽게 인식할 수 있다.[71][72] 최신 듀얼 에너지 CT 스캐너를 사용하면 통풍 진단을 돕는 등 새로운 사용 영역이 확립되었다.[73]
4. 1. 의학적 사용
CT는 주로 의학 분야에서 사용된다. CT는 아주 작은 인체조직의 밀도차이도 구별할 수 있어 인체의 어느 부위에나 검사의 적용이 가능하다. 주로 암의 조기진단 및 진행성 염증성 질환의 진단, 혈관성 질환의 진단, 영상 재구성에 의한 3차원 영상 진단에 쓰인다.[27]1970년대에 도입된 이후 CT는 기존의 X-ray 영상 촬영 및 의료 초음파를 보완하는 의료 영상 분야의 중요한 도구가 되었다. 더 최근에는 질병의 예방 의학 또는 선별 검사에 사용되고 있는데, 예를 들어 가상 대장 내시경은 대장암 고위험군 환자에게, 전신 심장 스캔은 심장 질환 고위험군 환자에게 사용된다. 일부 기관에서는 일반인을 대상으로 전신 스캔을 제공하지만, 이는 주로 적용되는 방사선량 때문에 이 분야의 많은 전문 단체의 권고와 공식 입장에 위배된다.[28]
CT 스캔의 사용은 지난 20년 동안 많은 국가에서 급격히 증가했다.[29] 2007년 미국에서 약 7,200만 건의 스캔이 시행되었으며, 2015년에는 8,000만 건 이상이 시행된 것으로 추정된다.[30][31]
; 머리
머리 CT 스캔은 일반적으로 경색(뇌졸중), 종양, 석회화, 출혈, 그리고 뼈 외상을 감지하는 데 사용된다.[32] 위에서, 저밀도 (어두운) 구조는 부종과 경색을 나타낼 수 있으며, 고밀도 (밝은) 구조는 석회화와 출혈을 나타내고 뼈 외상은 뼈 창에서 불연속으로 나타날 수 있다. 종양은 부종과 해부학적 변형에 의해, 또는 주변 부종에 의해 감지될 수 있다. 머리 CT 스캔은 또한 뇌종양, 동정맥 기형 및 N-로컬라이저라고 하는 장치를 사용하여 수술로 치료 가능한 기타 질환의 치료를 위한 CT-유도 정위 수술 및 방사선 수술에 사용된다.[33][34][35][36][37][38]
; 목
조영 증강 CT는 일반적으로 성인의 목 덩이에 대한 초기 검사로 선택된다.[39] 갑상선 CT는 갑상선암 평가에 중요한 역할을 한다.[40] CT 스캔은 종종 우연히 갑상선 이상을 발견하므로, 갑상선 이상에 대한 선호되는 검사 방식이다.[40]
; 폐
CT 스캔은 폐 조직의 급성 및 만성 변화를 모두 감지하는 데 사용된다.[41] 일반적인 2차원 X-레이는 이러한 결함을 나타내지 않기 때문에 이 경우 특히 유용하다.
폐기종 및 섬유증과 같은 만성 간질성 과정 평가를 위해[42] 높은 공간 주파수 재구성을 사용한 얇은 단면을 사용하며, 흡기와 호기 모두에서 스캔을 수행하기도 한다. 이 특수 기술은 고해상도 CT라고 불린다.[43]
기관지 벽 두께 증가는 폐 CT에서 볼 수 있으며, 일반적으로 기관지 염증을 의미한다.[44]
증상이 없는 상태에서 우연히 발견된 결절(우연종)은 양성 또는 암일 수 있는 종양을 나타낼 수 있다는 우려를 제기할 수 있다.[45] 그러나 확립된 지침에 따르면 과거 암 이력이 없고 고형 결절이 2년 이상 성장하지 않은 환자는 악성 암에 걸릴 가능성이 낮다.[46]
기관지와 폐동맥은 원칙적으로 인접하여 평행하게 주행하며 폐구역, 아구역, 소엽의 중심을 주행한다. CT에서는 기관지에 인접한 혈관이 폐동맥이다. 정상적인 사람에서는 기관지는 아구역까지 밖에 추적할 수 없다. 폐의 기능 동맥은 폐동맥이지만, 그 외에 영양 혈관으로 기관지 동맥이 존재한다.
폐의 구조를 이해하는 데 필수적인 개념이 이차 소엽이다. 이차 소엽의 중앙을 기관지와 폐동맥이, 소엽 간격벽의 안을 폐정맥이 지나간다.
폐의 아구역을 동정하려면 기관지를 따라가는 것이 이해하기 쉽다. 원칙적으로 구역 기관지의 번호와 폐 구역의 번호는 일치한다.
우상엽, 우중엽, 우하엽, 좌상엽, 좌하엽등으로 나뉘어 지며, 각 부위별로 구역들이 존재한다.
기강성 음영은 폐포강을 거의 완전히 액체나 기타 물질이 점거한 상태이다. 유리 갈음 음영(ground glass opacity, GGO)은 옅은 농도 상승으로 기존 폐 혈관이 투시되는 음영을 말하며, 폐포 단백증, 폐렴등에서 보인다.
세기관지벽, 세혈관벽 비후의 경우 미만성 범세기관지염에서 전형적인 예를 볼 수 있다.
소엽 간격벽 비후상은 흉막에 직교하는 이상 선상 음영으로 간질성 병변에 수반된다. 벌집 폐는 섬유화된 폐의 최종 형태이다. 폐기종은 종말 세기관지보다 말초의 기강의 이상한 확장이다.
종괴성 병변은 암인지 양성 질환인지 구별하는 것이 매우 중요하다. 종괴성 병변의 CT 소견으로는, 2년 이상 증대가 관찰되지 않거나, 종괴의 거의 전체가 짙게 석회화되어 있거나, 종괴 내에 지방을 보일 경우에는 양성이다.
; 혈관 조영술
컴퓨터 단층 혈관 조영술(CTA)은 몸 전체의 동맥과 정맥을 시각화하기 위한 일종의 조영 CT이다.[47] 이는 뇌에 혈액을 공급하는 동맥부터 폐, 신장, 팔, 다리에 혈액을 공급하는 동맥까지 다양하다. 이러한 유형의 검사의 예로는 CT 폐동맥 혈관 조영술(CTPA)이 있으며, 이는 폐색전증(PE)을 진단하는 데 사용된다. 이 검사는 컴퓨터 단층 촬영과 요오드 조영제를 사용하여 폐동맥의 영상을 얻는다.[48][49][50] CT 스캔은 시술 전에 임상의에게 혈전의 위치와 수에 대한 더 많은 정보를 제공함으로써 혈관 조영술의 위험을 줄일 수 있다.[51][52]
특수한 조영 CT 촬영법은 다음과 같다.
- '''다이내믹 CT:''' 조영제를 급속 정맥 주사(매초 3mL 이상)하고, 각 시간대(대부분 동맥기, 평형기, 정맥기)의 타이밍에 같은 부위를 반복 촬영하는 방법이다. 병변의 검출이 쉬워지고, 질적 진단에도 기여하지만, 피폭량도 증가한다.
- '''퍼퓨전 CT'''[261]: 다이내믹 CT와 마찬가지로 조영제 급속 정맥 주사 시행 후, 다수의 시상을 촬영하여 조영제 농도의 시간 변화를 컬러 이미지화하는 방법이다.
- '''CT 혈관 촬영(CTA'''[262]): 조영제를 급속 정맥 주사하고, 동맥 내 조영제 농도가 가장 높아지는 타이밍(동맥기)에 CT를 촬영함으로써, 관상동맥 등의 혈관 주행을 명확하게 묘출하는 촬영 방법이다. 동맥류 등 동맥 질환의 진단에 사용된다. 특히 3차원 렌더링과의 친화성이 높은 검사 방법이다.
- '''IVR-CT:'''카테터 검사 중에 실시하는 CT이다. 카테터 위치 확인에 사용하는 외에, 특정 동맥이나 정맥에 직접 조영제를 주입하면서 CT 촬영을 하면, 목표로 한 혈관이나 장기만을 강하게 조영할 수 있으며, 정진율이 높아질 것으로 기대된다. 시설에 따라 IVR-CT 전용 CT 장치가 카테터 검사실 내에 병설되어 있는 경우도 있다.
- '''점적 정맥 주사 담낭 조영 CT(DIC CT):''' 담즙 중에 배설되는 특수한 조영제를 투여한 후 상복부를 촬영하여, 담도계를 묘출하는 조영 검사이다.
- '''제논 CT:''' 주로 뇌 혈류 평가에 실시되며, 비방사성 제논을 흡입하면서 촬영한다.
; 심장
심장 CT 스캔은 심장 또는 관상동맥 해부학에 대한 정보를 얻기 위해 수행된다.[53] 전통적으로 심장 CT 스캔은 관상동맥 질환을 감지, 진단 또는 추적하는 데 사용된다.[54] 최근에는 CT가 빠르게 발전하는 중재적 심장학 분야, 특히 심장 판막의 경피적 수리 및 교체에 핵심적인 역할을 하고 있다.[55][56][57]
심장 CT 스캔의 주요 형태는 다음과 같다.
- 관상동맥 CT 혈관 조영술 (CCTA): 심장의 관상동맥을 평가하기 위한 CT 사용. 대상자는 정맥 주사로 방사선 조영제를 투여받고, 고속 CT 스캐너를 사용하여 심장을 스캔하여 방사선과 전문의가 관상동맥의 폐쇄 정도를 평가할 수 있으며, 일반적으로 관상동맥 질환을 진단한다.[58][59]
- 관상동맥 CT 칼슘 스캔: 또한 관상동맥 질환의 심각도를 평가하는 데 사용된다. 구체적으로 동맥을 좁히고 심장 마비의 위험을 증가시킬 수 있는 관상동맥의 칼슘 침착물을 찾는다.[60] 전형적인 관상동맥 CT 칼슘 스캔은 방사선 조영제를 사용하지 않고 수행되지만, 조영 증강된 영상에서도 가능합니다.[61]
해부학을 더 잘 시각화하기 위해 영상의 후처리가 일반적이다.[54] 가장 일반적인 것은 다중 평면 재구성 (MPR) 및 체적 렌더링이다. 심장 판막 중재술과 같이 더 복잡한 해부학 및 절차의 경우, 이러한 CT 영상을 기반으로 진정한 3차원 재구성 또는 3D 인쇄를 생성하여 더 깊이 이해한다.[62][63][64][65]
끊임없이 빠르게 움직이는 심장은 CT가 가장 어려워하는 장기 중 하나였지만, 다열 검출기 CT를 사용하여 고속으로 광범위한 촬영이 가능해졌고, 심전도 동기 기술과 선원 고속 회전 기술도 발전하면서 심장 분야에서도 CT가 위력을 발휘하게 되었다. 현재는 심장 표면의 지름 2mm 혈관의 협착까지 묘사하여 일부 혈관 카테터 검사를 대체할 수 있게 되었다. 도시바 메디칼 시스템즈(현 캐논 메디컬 시스템즈)의 320열 검출기 CT나 GE의 256열 검출기 CT 등 초다열 검출기 CT의 등장으로, 움직이는 심장의 3차원 영상을 애니메이션으로 표시하는 것까지 가능하게 되었다. 뇌동맥류의 박동을 조사하여, 파열되지 않은 뇌동맥류의 파열 위험을 예측하려는 연구에도 사용되기 시작했다.
; 복부 및 골반
CT는 크론병,[66] 위장관 출혈과 같은 복부 질환의 진단, 암의 진단 및 병기 결정, 그리고 치료 반응 평가를 위한 암 치료 후 추적 관찰에 정확한 기술이다.[67] 이는 일반적으로 급성 복통을 조사하는 데 사용된다.[68]
비조영 CT는 오늘날 요로 결석을 진단하는 데 있어 표준 검사법이다.[69] 결석의 크기, 부피 및 밀도를 추정하여 임상의가 추가 치료를 안내하도록 도울 수 있으며, 크기는 특히 결석의 자연 배출을 예측하는 데 중요하다.[70]
간의 부위 진단에서는 구역 해부가 매우 중요하며, 이는 부위에 따라 수술 방법이 다르기 때문이다. 간 외과의 수술로는 아구역 절제, 구역 절제, 엽 절제, 확대 우엽 절제가 알려져 있다. 간의 구역 진단을 할 때는 간의 구조물을 단서로 삼는 경우가 많다. '''간문'''은 좌엽 내측구(S4)와 미상엽(S1) 사이의 틈새로, 문맥, 간동맥, 담관의 출입구이다. '''간원삭열'''은 간원삭(태생기의 제정맥)이 붙는 곳이며, 외측구(S2, S3)와 내측구(S4)를 경계한다. '''정맥관열'''은 태생기의 정맥관이 지나던 틈새로, 미상엽(S1)과 외측구(S2, S3)를 경계한다. 하대정맥구와 담낭와를 잇는 선을 '''컨트리선'''이라고 하며, 외과적 좌엽과 우엽을 경계한다. 이들은 CT에서 항상 확인할 수 있는 것은 아니지만, 후술할 혈관 계통이 확인하기 어려울 때 매우 유용하다. 간 구역, 간 아구역을 진단하는 데에는 혈관 계통이 가장 이해하기 쉽다. '''간의 혈관의 기본 구조는 각 아구역의 중앙을 문맥이, 각 아구역의 경계를 간정맥이 주행하는 것이다.''' 문맥에는 간동맥과 담관이 나란히 주행하며, 이 구조는 간소엽 레벨까지 유지된다. 간정맥은 크게 좌, 중, 우의 3개를 기본으로 한다. 좌간정맥 본간은 좌엽 외측구(S2, S3)의 중앙을 지나며, 외측후아구역(S2)과 외측전아구역(S3)을 경계한다. 중간정맥 본간은 내측구(S4)와 우엽 전구(S5, S8)를 경계한다. 이는 컨트리선과 거의 일치하는 경계가 된다. 우간정맥 본간은 우엽의 중앙을 관통하며, 우엽 전구(S5, S8)와 후구(S6, S7)를 경계한다. 신기하게도 우엽의 상하 아구역을 경계하는 구조는 존재하지 않는다. 문맥 본간은 좌엽 주가지와 우엽 주가지로 나뉜다. 좌엽지는 간원삭열로 들어가, 먼저 외측후아구역지를 분지하고, 더 나아가 복측으로 뻗어 좌우로 외측전아구역지와 내측구역지로 나뉜다. 이 부분은 예전에 제정맥이 교통했기 때문에 U점이라고 한다. 우엽지는 전구역지와 후구역지로 나뉜다. 전구역지는 전상아구역지, 전하아구역지로 나뉜다. 후구역지 분지부는 P점이라고 한다. 후구역지는 후상아구역지와 후하아구역지로 나뉜다. 문맥은 지배하는 구역에 맞춰 Px로 표현하기도 한다. 예를 들어, 전상아구역(S7)의 중앙을 지나는 문맥은 P7이다.
퀴노 분류는 간 아구역의 표현에 자주 사용되며, 이는 간의 내장면에서 시계 반대 방향으로 번호를 매긴 것이다. 내장면에서 확인할 수 없는 우엽 전상아구를 S8으로 한다.
상장간막동맥(SMA)은 L1 수준에서 복부 대동맥에서 앞으로 분지되어 좌측 신정맥과 십이지장 수평부 앞을 하행한다. 중결장동맥, 회장동맥, 우결장동맥이 분지된다. 상장간막정맥(SMV)은 SMA의 오른쪽을 상행하여 췌체부 배측을 통과하여 비정맥과 합류한다. 하장간막동맥(IMA)은 L3 수준에서 복부 대동맥에서 앞으로 분지되어 좌하방으로 향한다. 좌결장동맥, S상 결장동맥이 분지된다. 하장간막정맥은 IMA의 좌측을 상행하여 L3 수준에서 비정맥과 합류한다. 좌측 난소(정삭)정맥은 좌측 신정맥에 합류하기 때문에 머리쪽으로 추적이 불가능하여 구별한다.
; 축성 골격 및 사지
축성 골격과 사지의 경우, CT는 여러 평면에서 관심 영역을 재구성하는 능력 때문에 복잡한 골절, 특히 관절 주변의 골절을 영상화하는 데 자주 사용된다. 골절, 인대 부상, 탈구는 0.2mm 해상도로 쉽게 인식할 수 있다.[71][72] 최신 듀얼 에너지 CT 스캐너를 사용하면 통풍 진단을 돕는 등 새로운 사용 영역이 확립되었다.[73]
4. 1. 1. 머리
머리 CT 스캔은 일반적으로 경색(뇌졸중), 종양, 석회화, 출혈, 그리고 뼈 외상을 감지하는 데 사용된다.[32] 위에서, 저밀도 (어두운) 구조는 부종과 경색을 나타낼 수 있으며, 고밀도 (밝은) 구조는 석회화와 출혈을 나타내고 뼈 외상은 뼈 창에서 불연속으로 나타날 수 있다. 종양은 부종과 해부학적 변형에 의해, 또는 주변 부종에 의해 감지될 수 있다. 머리 CT 스캔은 또한 뇌종양, 동정맥 기형 및 N-로컬라이저라고 하는 장치를 사용하여 수술로 치료 가능한 기타 질환의 치료를 위한 CT-유도 정위 수술 및 방사선 수술에 사용된다.[33][34][35][36][37][38]
4. 1. 2. 목
조영 증강 CT는 일반적으로 성인의 목 덩이에 대한 초기 검사로 선택된다.[39] 갑상선 CT는 갑상선암 평가에 중요한 역할을 한다.[40] CT 스캔은 종종 우연히 갑상선 이상을 발견하므로, 갑상선 이상에 대한 선호되는 검사 방식이다.[40]4. 1. 3. 폐
CT 스캔은 폐 조직의 급성 및 만성 변화를 모두 감지하는 데 사용된다.[41] 일반적인 2차원 X-레이는 이러한 결함을 나타내지 않기 때문에 이 경우 특히 유용하다.폐기종 및 섬유증과 같은 만성 간질성 과정 평가를 위해[42] 높은 공간 주파수 재구성을 사용한 얇은 단면을 사용하며, 흡기와 호기 모두에서 스캔을 수행하기도 한다. 이 특수 기술은 고해상도 CT라고 불린다.[43]
기관지 벽 두께 증가는 폐 CT에서 볼 수 있으며, 일반적으로 기관지 염증을 의미한다.[44]
증상이 없는 상태에서 우연히 발견된 결절(우연종)은 양성 또는 암일 수 있는 종양을 나타낼 수 있다는 우려를 제기할 수 있다.[45] 그러나 확립된 지침에 따르면 과거 암 이력이 없고 고형 결절이 2년 이상 성장하지 않은 환자는 악성 암에 걸릴 가능성이 낮다.[46]
기관지와 폐동맥은 원칙적으로 인접하여 평행하게 주행하며 폐구역, 아구역, 소엽의 중심을 주행한다. CT에서는 기관지에 인접한 혈관이 폐동맥이다. 정상적인 사람에서는 기관지는 아구역까지 밖에 추적할 수 없다. 폐의 기능 동맥은 폐동맥이지만, 그 외에 영양 혈관으로 기관지 동맥이 존재한다.
폐의 구조를 이해하는 데 필수적인 개념이 이차 소엽이다. 이차 소엽의 중앙을 기관지와 폐동맥이, 소엽 간격벽의 안을 폐정맥이 지나간다.
폐의 아구역을 동정하려면 기관지를 따라가는 것이 이해하기 쉽다. 원칙적으로 구역 기관지의 번호와 폐 구역의 번호는 일치한다.
우상엽, 우중엽, 우하엽, 좌상엽, 좌하엽등으로 나뉘어 지며, 각 부위별로 구역들이 존재한다.
기강성 음영은 폐포강을 거의 완전히 액체나 기타 물질이 점거한 상태이다. 유리 갈음 음영(ground glass opacity, GGO)은 옅은 농도 상승으로 기존 폐 혈관이 투시되는 음영을 말하며, 폐포 단백증, 폐렴등에서 보인다.
세기관지벽, 세혈관벽 비후의 경우 미만성 범세기관지염에서 전형적인 예를 볼 수 있다.
소엽 간격벽 비후상은 흉막에 직교하는 이상 선상 음영으로 간질성 병변에 수반된다. 벌집 폐는 섬유화된 폐의 최종 형태이다. 폐기종은 종말 세기관지보다 말초의 기강의 이상한 확장이다.
종괴성 병변은 암인지 양성 질환인지 구별하는 것이 매우 중요하다. 종괴성 병변의 CT 소견으로는, 2년 이상 증대가 관찰되지 않거나, 종괴의 거의 전체가 짙게 석회화되어 있거나, 종괴 내에 지방을 보일 경우에는 양성이다.
4. 1. 4. 혈관 조영술
컴퓨터 단층 혈관 조영술(CTA)은 몸 전체의 동맥과 정맥을 시각화하기 위한 일종의 조영 CT이다.[47] 이는 뇌에 혈액을 공급하는 동맥부터 폐, 신장, 팔, 다리에 혈액을 공급하는 동맥까지 다양하다. 이러한 유형의 검사의 예로는 CT 폐동맥 혈관 조영술(CTPA)이 있으며, 이는 폐색전증(PE)을 진단하는 데 사용된다. 이 검사는 컴퓨터 단층 촬영과 요오드 조영제를 사용하여 폐동맥의 영상을 얻는다.[48][49][50] CT 스캔은 시술 전에 임상의에게 혈전의 위치와 수에 대한 더 많은 정보를 제공함으로써 혈관 조영술의 위험을 줄일 수 있다.[51][52]특수한 조영 CT 촬영법은 다음과 같다.
- '''다이내믹 CT:''' 조영제를 급속 정맥 주사(매초 3mL 이상)하고, 각 시간대(대부분 동맥기, 평형기, 정맥기)의 타이밍에 같은 부위를 반복 촬영하는 방법이다. 병변의 검출이 쉬워지고, 질적 진단에도 기여하지만, 피폭량도 증가한다.
- '''퍼퓨전 CT'''[261]: 다이내믹 CT와 마찬가지로 조영제 급속 정맥 주사 시행 후, 다수의 시상을 촬영하여 조영제 농도의 시간 변화를 컬러 이미지화하는 방법이다.
- '''CT 혈관 촬영(CTA'''[262]): 조영제를 급속 정맥 주사하고, 동맥 내 조영제 농도가 가장 높아지는 타이밍(동맥기)에 CT를 촬영함으로써, 관상동맥 등의 혈관 주행을 명확하게 묘출하는 촬영 방법이다. 동맥류 등 동맥 질환의 진단에 사용된다. 특히 3차원 렌더링과의 친화성이 높은 검사 방법이다.
- '''IVR-CT:'''카테터 검사 중에 실시하는 CT이다. 카테터 위치 확인에 사용하는 외에, 특정 동맥이나 정맥에 직접 조영제를 주입하면서 CT 촬영을 하면, 목표로 한 혈관이나 장기만을 강하게 조영할 수 있으며, 정진율이 높아질 것으로 기대된다. 시설에 따라 IVR-CT 전용 CT 장치가 카테터 검사실 내에 병설되어 있는 경우도 있다.
- '''점적 정맥 주사 담낭 조영 CT(DIC CT):''' 담즙 중에 배설되는 특수한 조영제를 투여한 후 상복부를 촬영하여, 담도계를 묘출하는 조영 검사이다.
- '''제논 CT:''' 주로 뇌 혈류 평가에 실시되며, 비방사성 제논을 흡입하면서 촬영한다.
4. 1. 5. 심장
심장 CT 스캔은 심장 또는 관상동맥 해부학에 대한 정보를 얻기 위해 수행된다.[53] 전통적으로 심장 CT 스캔은 관상동맥 질환을 감지, 진단 또는 추적하는 데 사용된다.[54] 최근에는 CT가 빠르게 발전하는 중재적 심장학 분야, 특히 심장 판막의 경피적 수리 및 교체에 핵심적인 역할을 하고 있다.[55][56][57]심장 CT 스캔의 주요 형태는 다음과 같다.
- 관상동맥 CT 혈관 조영술 (CCTA): 심장의 관상동맥을 평가하기 위한 CT 사용. 대상자는 정맥 주사로 방사선 조영제를 투여받고, 고속 CT 스캐너를 사용하여 심장을 스캔하여 방사선과 전문의가 관상동맥의 폐쇄 정도를 평가할 수 있으며, 일반적으로 관상동맥 질환을 진단한다.[58][59]
- 관상동맥 CT 칼슘 스캔: 또한 관상동맥 질환의 심각도를 평가하는 데 사용된다. 구체적으로 동맥을 좁히고 심장 마비의 위험을 증가시킬 수 있는 관상동맥의 칼슘 침착물을 찾는다.[60] 전형적인 관상동맥 CT 칼슘 스캔은 방사선 조영제를 사용하지 않고 수행되지만, 조영 증강된 영상에서도 가능합니다.[61]
해부학을 더 잘 시각화하기 위해 영상의 후처리가 일반적이다.[54] 가장 일반적인 것은 다중 평면 재구성 (MPR) 및 체적 렌더링이다. 심장 판막 중재술과 같이 더 복잡한 해부학 및 절차의 경우, 이러한 CT 영상을 기반으로 진정한 3차원 재구성 또는 3D 인쇄를 생성하여 더 깊이 이해한다.[62][63][64][65]
끊임없이 빠르게 움직이는 심장은 CT가 가장 어려워하는 장기 중 하나였지만, 다열 검출기 CT를 사용하여 고속으로 광범위한 촬영이 가능해졌고, 심전도 동기 기술과 선원 고속 회전 기술도 발전하면서 심장 분야에서도 CT가 위력을 발휘하게 되었다. 현재는 심장 표면의 지름 2mm 혈관의 협착까지 묘사하여 일부 혈관 카테터 검사를 대체할 수 있게 되었다. 도시바 메디칼 시스템즈(현 캐논 메디컬 시스템즈)의 320열 검출기 CT나 GE의 256열 검출기 CT 등 초다열 검출기 CT의 등장으로, 움직이는 심장의 3차원 영상을 애니메이션으로 표시하는 것까지 가능하게 되었다. 뇌동맥류의 박동을 조사하여, 파열되지 않은 뇌동맥류의 파열 위험을 예측하려는 연구에도 사용되기 시작했다.
4. 1. 6. 복부 및 골반
CT는 크론병,[66] 위장관 출혈과 같은 복부 질환의 진단, 암의 진단 및 병기 결정, 그리고 치료 반응 평가를 위한 암 치료 후 추적 관찰에 정확한 기술이다.[67] 이는 일반적으로 급성 복통을 조사하는 데 사용된다.[68]
비조영 CT는 오늘날 요로 결석을 진단하는 데 있어 표준 검사법이다.[69] 결석의 크기, 부피 및 밀도를 추정하여 임상의가 추가 치료를 안내하도록 도울 수 있으며, 크기는 특히 결석의 자연 배출을 예측하는 데 중요하다.[70]
간의 부위 진단에서는 구역 해부가 매우 중요하며, 이는 부위에 따라 수술 방법이 다르기 때문이다. 간 외과의 수술로는 아구역 절제, 구역 절제, 엽 절제, 확대 우엽 절제가 알려져 있다. 간의 구역 진단을 할 때는 간의 구조물을 단서로 삼는 경우가 많다. '''간문'''은 좌엽 내측구(S4)와 미상엽(S1) 사이의 틈새로, 문맥, 간동맥, 담관의 출입구이다. '''간원삭열'''은 간원삭(태생기의 제정맥)이 붙는 곳이며, 외측구(S2, S3)와 내측구(S4)를 경계한다. '''정맥관열'''은 태생기의 정맥관이 지나던 틈새로, 미상엽(S1)과 외측구(S2, S3)를 경계한다. 하대정맥구와 담낭와를 잇는 선을 '''컨트리선'''이라고 하며, 외과적 좌엽과 우엽을 경계한다. 이들은 CT에서 항상 확인할 수 있는 것은 아니지만, 후술할 혈관 계통이 확인하기 어려울 때 매우 유용하다. 간 구역, 간 아구역을 진단하는 데에는 혈관 계통이 가장 이해하기 쉽다. '''간의 혈관의 기본 구조는 각 아구역의 중앙을 문맥이, 각 아구역의 경계를 간정맥이 주행하는 것이다.''' 문맥에는 간동맥과 담관이 나란히 주행하며, 이 구조는 간소엽 레벨까지 유지된다. 간정맥은 크게 좌, 중, 우의 3개를 기본으로 한다. 좌간정맥 본간은 좌엽 외측구(S2, S3)의 중앙을 지나며, 외측후아구역(S2)과 외측전아구역(S3)을 경계한다. 중간정맥 본간은 내측구(S4)와 우엽 전구(S5, S8)를 경계한다. 이는 컨트리선과 거의 일치하는 경계가 된다. 우간정맥 본간은 우엽의 중앙을 관통하며, 우엽 전구(S5, S8)와 후구(S6, S7)를 경계한다. 신기하게도 우엽의 상하 아구역을 경계하는 구조는 존재하지 않는다. 문맥 본간은 좌엽 주가지와 우엽 주가지로 나뉜다. 좌엽지는 간원삭열로 들어가, 먼저 외측후아구역지를 분지하고, 더 나아가 복측으로 뻗어 좌우로 외측전아구역지와 내측구역지로 나뉜다. 이 부분은 예전에 제정맥이 교통했기 때문에 U점이라고 한다. 우엽지는 전구역지와 후구역지로 나뉜다. 전구역지는 전상아구역지, 전하아구역지로 나뉜다. 후구역지 분지부는 P점이라고 한다. 후구역지는 후상아구역지와 후하아구역지로 나뉜다. 문맥은 지배하는 구역에 맞춰 Px로 표현하기도 한다. 예를 들어, 전상아구역(S7)의 중앙을 지나는 문맥은 P7이다.
퀴노 분류는 간 아구역의 표현에 자주 사용되며, 이는 간의 내장면에서 시계 반대 방향으로 번호를 매긴 것이다. 내장면에서 확인할 수 없는 우엽 전상아구를 S8으로 한다.
상장간막동맥(SMA)은 L1 수준에서 복부 대동맥에서 앞으로 분지되어 좌측 신정맥과 십이지장 수평부 앞을 하행한다. 중결장동맥, 회장동맥, 우결장동맥이 분지된다. 상장간막정맥(SMV)은 SMA의 오른쪽을 상행하여 췌체부 배측을 통과하여 비정맥과 합류한다. 하장간막동맥(IMA)은 L3 수준에서 복부 대동맥에서 앞으로 분지되어 좌하방으로 향한다. 좌결장동맥, S상 결장동맥이 분지된다. 하장간막정맥은 IMA의 좌측을 상행하여 L3 수준에서 비정맥과 합류한다. 좌측 난소(정삭)정맥은 좌측 신정맥에 합류하기 때문에 머리쪽으로 추적이 불가능하여 구별한다.
4. 1. 7. 축성 골격 및 사지
축성 골격과 사지의 경우, CT는 여러 평면에서 관심 영역을 재구성하는 능력 때문에 복잡한 골절, 특히 관절 주변의 골절을 영상화하는 데 자주 사용된다. 골절, 인대 부상, 탈구는 0.2mm 해상도로 쉽게 인식할 수 있다.[71][72] 최신 듀얼 에너지 CT 스캐너를 사용하면 통풍 진단을 돕는 등 새로운 사용 영역이 확립되었다.[73]4. 2. 생체역학적 사용
CT는 생체역학에서 생물학적 조직의 형상, 해부학, 밀도 및 탄성 계수를 빠르게 파악하는 데 사용된다.[74][75]4. 3. 기타 용도
고대 미라[282] 등 고고학적으로 귀중한 유물이나 문화재로 보호되고 있는 불상 등에 대해 손상시키지 않고 내부를 조사하는 비파괴 검사를 위해 사용된다.[244][283]
방사선 피폭에 의한 건강 영향이나 생명체를 다루는 데서 오는 불가피한 움직임 제한 등이 없어진다면 CT의 해상도는 더욱 높일 수 있다.
현재 CT를 통해 대상 물체의 현미경 수준의 미세한 구조를 그려낼 수 있다.[244]
4. 3. 1. 산업적 사용
산업용 CT 스캔(산업용 컴퓨터단층촬영)은 X선 장비를 사용하여 부품의 외부와 내부를 3차원적으로 나타내는 과정이다. 산업용 CT 스캔은 부품 내부 검사를 위해 많은 산업 분야에서 사용되어 왔다. CT 스캔의 주요 용도는 결함 감지, 고장 분석, 계측, 조립 분석, 이미지 기반 유한 요소법[76] 및 리버스 엔지니어링 응용 분야이다. CT 스캔은 또한 박물관 유물의 영상화 및 보존에도 사용된다.[77]5. 영상의 표현 및 해석
CT 스캔의 결과는 복셀의 볼륨으로 표현되며, 이는 다양한 방식으로 시각화될 수 있다.[96] 주요 표현 방식은 다음과 같다.
- 단면 영상: 얇은 단면은 일반적으로 3 mm 미만의 두께를, 두꺼운 단면은 3 mm에서 5 mm 사이의 두께를 가진 평면으로 간주된다.[93][94][95] CT로 얻을 수 있는 기본적인 영상은 신체의 단면을 나타내는 흑백 영상이다. 영상 상의 흰 부분(CT값이 높은 부분)은 X선 흡수도가 높은 부분이며, 검은 부분(CT값이 낮은 부분)은 X선 흡수가 낮은 부분이다.[263] 흡수율의 단위로는 공기를 -1000HU, 물을 0HU로 정의한 HU(Hounsfield Unit)가 사용되며,[264] 금속은 매우 높은 CT값, 뼈는 수백 HU 정도의 높은 CT값을 나타낸다. 지방은 음의 CT값을 가지므로 CT로 쉽게 검출 가능하다.
- 투영 영상: 최대 강도 투영(MIP)과 평균 강도 투영 등이 있다.[96] 임의의 방향으로 복셀 값을 적분하여 X선 사진과 유사한 영상을 만들거나, 임의의 일직선상에서 가장 CT값이 높은 값을 평면에 투영한 MIP 영상을 만들 수 있다.[266]
- 체적 렌더링(VR): 체적 렌더링은 2차원 디스플레이에서 투영으로 표현되지만, 색상 지정 및 음영 처리를 혼합하여 현실적인 표현을 만든다.[97][98]

− 평균 강도 투영
− 최대 강도 투영
− 얇은 단면 (중앙면)
− 체적 렌더링 (방사선 밀도를 위한 높고 낮은 임계값 사용)
2차원 CT 이미지는 환자의 발에서 위를 올려다보는 것처럼 렌더링되어, 이미지의 왼쪽은 환자의 오른쪽, 전면은 환자의 전면에 해당한다.[203][99]
CT값의 다이내믹 레인지는 넓지만, 인간의 눈의 농도 분해능에는 한계가 있어, 관찰 목적에 맞는 CT값을 할당하는 "조건"을 설정하여 관찰한다. 예를 들어, 폐 내부 구조 관찰 시에는 폐포 내 공기와 기관지, 혈관이 구별될 수 있는 조건을 사용하며, 이 경우 다른 장기는 영상에서 하얗게 표시된다. 컴퓨터 모니터 상에서는 실시간으로 조건을 전환하며 CT 영상을 관찰할 수 있다.
5. 1. 표현 방식
CT 스캔의 결과는 복셀의 볼륨으로 표현되며, 이는 다양한 방식으로 시각화될 수 있다.[96] 주요 표현 방식은 다음과 같다:- 단면 영상: 얇은 단면은 일반적으로 3 mm 미만의 두께를, 두꺼운 단면은 3 mm에서 5 mm 사이의 두께를 가진 평면으로 간주된다.[93][94][95] CT로 얻을 수 있는 기본적인 영상은 신체의 단면을 나타내는 흑백 영상이다. 영상 상의 흰 부분(CT값이 높은 부분)은 X선 흡수도가 높은 부분이며, 검은 부분(CT값이 낮은 부분)은 X선 흡수가 낮은 부분이다.[263] 흡수율의 단위로는 공기를 -1000HU, 물을 0HU로 정의한 HU(Hounsfield Unit)가 사용되며,[264] 금속은 매우 높은 CT값, 뼈는 수백 HU 정도의 높은 CT값을 나타낸다. 지방은 음의 CT값을 가지므로 CT로 쉽게 검출 가능하다.
- 투영 영상: 최대 강도 투영(MIP)과 평균 강도 투영 등이 있다.[96] 임의의 방향으로 복셀 값을 적분하여 X선 사진과 유사한 영상을 만들거나, 임의의 일직선상에서 가장 CT값이 높은 값을 평면에 투영한 MIP 영상을 만들 수 있다.[266]
- 체적 렌더링(VR): 체적 렌더링은 2차원 디스플레이에서 투영으로 표현되지만, 색상 지정 및 음영 처리를 혼합하여 현실적인 표현을 만든다.[97][98]
2차원 CT 이미지는 환자의 발에서 위를 올려다보는 것처럼 렌더링되어, 이미지의 왼쪽은 환자의 오른쪽, 전면은 환자의 전면에 해당한다.[203][99]
CT값의 다이내믹 레인지는 넓지만, 인간의 눈의 농도 분해능에는 한계가 있어, 관찰 목적에 맞는 CT값을 할당하는 "조건"을 설정하여 관찰한다. 예를 들어, 폐 내부 구조 관찰 시에는 폐포 내 공기와 기관지, 혈관이 구별될 수 있는 조건을 사용하며, 이 경우 다른 장기는 영상에서 하얗게 표시된다. 컴퓨터 모니터 상에서는 실시간으로 조건을 전환하며 CT 영상을 관찰할 수 있다.
5. 2. 회색조
컴퓨터 단층 촬영으로 얻은 영상의 픽셀은 상대적인 방사선 밀도로 표시된다. 픽셀은 하운스필드 단위(HU)에서 +3,071 (가장 감쇠)에서 −1,024 (가장 감쇠되지 않음)까지의 척도로 해당 픽셀에 해당하는 조직의 평균 감쇠에 따라 표시된다.[100] 물은 0 HU, 공기는 −1,000 HU, 해면골은 일반적으로 +400 HU, 두개골은 2,000 HU에 도달할 수 있다.[101] CT값[264]은 X선 흡수도의 상대값으로, 금속은 매우 높은 값(수천 HU)을, 뼈는 수백 HU 정도의 값을 나타낸다. 근육, 뇌, 간 등 체내 대부분의 장기는 20HU에서 70HU 정도의 "연부 조직 농도"로 총칭되는 비교적 좁은 영역에 분포하며, 지방은 음의 CT값(마이너스 20HU 전후)을 나타내어 CT로 쉽게 검출 가능하다.[263]CT의 화소값 다이내믹 레인지는 넓지만, 인간의 눈의 농도 분해능에는 한계가 있어, 관찰 목적에 맞게 CT값을 할당하는 "조건"을 설정하여 관찰한다. 예를 들어, 폐 내부 구조 관찰 시에는 폐포 내 공기와 기관지, 혈관이 구별되는 조건을 사용하며, 이 경우 지방, 심장, 식도 등은 영상에서 하얗게 표시된다.
5. 3. 윈도잉
CT 데이터 세트는 동적 범위가 매우 높아 이를 표시하거나 인쇄할 때 축소해야 한다. 이는 일반적으로 "윈도잉" 과정을 통해 수행되며, 픽셀 값의 범위(이하 "윈도우")를 회색조로 매핑한다.[103] 예를 들어, 뇌의 CT 이미지는 일반적으로 0 HU에서 80 HU까지의 윈도우로 볼 수 있다. 0 이하의 픽셀 값은 검은색으로 표시되고, 80 이상의 값은 흰색으로 표시되며, 윈도우 내의 값은 윈도우 내에서의 위치에 비례하는 회색 강도로 표시된다.[103] 표시에 사용되는 윈도우는 가시적인 세부 사항을 최적화하기 위해 관심 대상의 X선 밀도와 일치해야 한다.[104]CT로 얻을 수 있는 기본적인 영상은 신체의 단면을 나타내는 흑백 영상이다. 영상 상의 흰 부분(CT값이 높은 부분)이 X선 흡수도가 높은 부분이며, 검은 부분(CT값이 낮은 부분)이 X선 흡수가 낮은 부분에 해당한다. 흡수율의 단위로는 공기를 -1000HU, 물을 0HU로 정의한 HU[263]라는 단위가 이용되며, 이에 따른 투과율의 표현을 특히 "CT값[264]"이라고 부른다.
CT 화소값의 동적 범위는 넓지만, 장기 관찰에서는 수 HU 정도의 농도 차이도 문제가 된다. 인간의 눈의 농도 분해능에는 한계가 있어, -1000HU에서 5000HU까지를 균등하게 흑백 영상에 할당하면 주요 장기의 대부분은 콘트라스트 불량으로 거의 관찰할 수 없다. 따라서 관찰하고 싶은 장기에 맞춘 CT값을 할당하여 관찰하며, 이 할당 방법을 "조건"이라고 부른다. 예를 들어 폐 내부 구조를 관찰하는 경우, 폐포 내 공기와 기관지 및 혈관이 구별될 수 있는 조건으로 영상을 관찰해야 한다.
컴퓨터 모니터 상에서 관찰하는 것이 보급된 이후에는, 진단 의는 실시간으로 여러 조건을 전환하면서 CT 영상을 관찰할 수 있게 되었다. 윈도우 폭 및 윈도우 레벨 매개변수는 스캔의 윈도잉을 제어하는 데 사용된다.[105]
5. 4. 다중 평면 재구성 및 투영
다중 평면 재구성(MPR)은 횡단면과 같은 하나의 해부학적 평면 데이터를 다른 평면으로 변환하는 과정이다.[106] 이는 얇은 단면뿐만 아니라 투영에도 사용될 수 있다. 현재 CT 스캐너는 거의 등방성 해상도를 제공하여 다중 평면 재구성을 가능하게 한다.[106]MPR은 척추 검사에 자주 사용된다.[107] 축상면의 척추 이미지는 한 번에 하나의 척추 뼈만 표시하지만, 다른 평면으로 데이터를 재구성하면 시상면과 관상면에서 척추 뼈의 상대적 위치를 시각화할 수 있다.[108]


최근 소프트웨어는 비직교(사선) 평면에서 데이터를 재구성하여 직교 평면에 있지 않은 장기를 시각화하는 데 도움을 준다.[109][110] 이는 기관지의 해부학적 구조를 시각화하는 데 더 적합하다.[111]
곡면 평면 재구성(CPR)은 주로 혈관 평가를 위해 수행된다. 이 재구성은 혈관의 굴곡을 펴서 전체 혈관을 단일 이미지 또는 여러 이미지로 시각화하는 데 도움을 준다.[112] 혈관이 "펴진" 후 단면적 및 길이와 같은 측정을 할 수 있어 수술 전 평가에 유용하다.[112]
빔 아이 뷰는 방사선 치료의 품질 보증 및 외부 빔 방사선 치료 계획에 사용되는 2D 투영을 위한 디지털 재구성 방사선 사진을 만드는 데 사용된다.
CT 기술 발달로 0.5mm 두께와 같이 매우 얇은 슬라이스 촬영이 가능해져 방대한 양의 단면 이미지가 출력된다. 이러한 이미지는 모니터를 통해 동영상처럼 페이지를 넘기면서 관찰할 수 있다.
또한, 3차원 이미지 재구성도 가능해졌다. 한 번의 촬영으로 얻어진 모든 화소를 CT 값의 3차원 행렬인 복셀로 파악한다.
임의 방향으로 충분한 해상도를 가진 3차원의 복셀 데이터를 얻고, 이를 처리할 수 있는 장치들이 저렴해짐에 따라 다양한 CT 관찰 방법이 사용되고 있다.
임의 방향의 단면을 재구성하여 표시하는 것을 임의 단면 재구성(MPR[244][265])이라고 한다. MPR은 가는 혈관 주행이나 종양 진행 등 1 단면만으로는 파악하기 어려운 진단에 크게 기여한다. 횡단면에 직행하는 시상면·관상면 이외의 평면을 재구성하는 경우는 옵릭 MPR 등으로 부르며, 두부 CT에서는 안와-이공선에 평행한 옵릭 MPR을 이용한다.
복셀 데이터를 원주면이나 베지어 곡선 위에 투영하는 방법도 있으며, 척추체를 따라 곡면을 재구성하여 변형된 척추 병변을 진단하거나, 턱뼈를 따라 곡면을 재구성하여 치과 영역에서 진단하는 데 응용된다.
복셀 값을 적분한 레이섬 영상[266]에 의해, 그 방향에서 X선을 조사했을 때의 엑스선 사진과 유사한 영상을 만들 수 있다. 또한 임의의 일직선상에서 가장 CT값이 높은 값을 평면에 투영한 MIP 영상 등이 있다.
(생후 13개월 환자의 오른쪽 신장에서 발생한 신모세포종)
5. 5. 3차원 체적 렌더링
방사선 밀도의 임계값은 조작자에 의해 설정되며(예: 뼈에 해당하는 수준), 가장자리 감지 이미지 처리 알고리즘을 사용하면 초기 데이터에서 3D 모델을 구성하여 화면에 표시할 수 있다.[114] 여러 임계값을 사용하여 여러 모델을 구성 할 수 있는데, 근육, 뼈 및 연골과 같은 각 해부학적 구성 요소는 서로 다른 색상을 기준으로 구별할 수 있다.[114] 그러나 이 작동 모드에서는 내부 구조를 표시할 수 없다.[114]표면 렌더링은 특정 임계 밀도를 충족하고 뷰어를 향하는 표면만 표시하므로 제한적인 기술이다. 그러나 체적 렌더링에서는 투명도, 색상 및 음영이 사용되어 단일 이미지로 볼륨을 쉽게 표시할 수 있다. 예를 들어, 골반 뼈를 반투명하게 표시하여 비스듬한 각도에서도 이미지의 한 부분이 다른 부분을 가리지 않도록 할 수 있다.[115]
CT로 얻을 수 있는 것은 기본적으로 평면상의 이미지(슬라이스)의 집합이다. 나선형 스캔이나 다열 검출기 CT와 같은 촬영 기술의 발달로, 0.5 mm (500 µm) 두께와 같이 매우 얇은 슬라이스로 촬영하는 것이 일상적으로 가능해지면서, 방대한 양의 단면 이미지가 출력되게 되었다.
충분한 해상도를 가진 3차원의 복셀 데이터를 얻을 수 있게 되었고, 이를 기억·처리할 수 있는 메모리나 처리 장치도 저렴해졌기 때문에, 아래에 언급하는 것과 같은 다양한 CT 관찰 방법이 이용되고 있다.
볼륨 렌더링은 충분한 해상도의 복셀 데이터는 컴퓨터로 적절한 음영 처리와 원근감을 부여하여 인간이 직관적으로 파악할 수 있는 3차원 그래픽으로 표시 할 수 있다. 주요 3차원 렌더링 방법에는 일정 임계값 이상의 덩어리 표면을 보는 "표면 렌더링"과 불투명도를 변경하여 내부도 볼 수 있는 "볼륨 렌더링"의 두 가지 종류가 있다[244]。
5. 6. 영상 품질
오늘날 방사선 촬영 분야의 중요한 문제는 영상의 질을 저하시키지 않으면서 CT 검사 시 방사선량을 줄이는 것이다. 일반적으로 방사선량이 높을수록 더 높은 해상도의 영상을 얻을 수 있지만,[116] 방사선량이 낮을수록 영상 잡음이 증가하고 영상이 선명하지 않게 된다. 그러나 방사선량 증가는 방사선 유발 암의 위험을 포함한 부작용을 증가시킨다. 복부 CT 4회 촬영은 흉부 X-레이 300회 촬영과 동일한 방사선량을 제공한다.[117]
CT 스캔 시 이온화 방사선 노출을 줄일 수 있는 여러 방법이 존재한다.[118] 새로운 소프트웨어 기술은 필요한 방사선량을 현저하게 줄일 수 있다. 새로운 반복 단층 재구성 알고리즘 (''예'': 반복 희소 점근 최소 분산)은 더 높은 방사선량을 필요로 하지 않고도 초고해상도를 제공할 수 있다.[119] 검사를 개별화하고, 검사 대상 신체 유형과 신체 장기에 맞게 방사선량을 조정할 수 있다. 신체 유형과 장기에 따라 필요한 방사선량이 다르다.[120] 작은 폐 종괴를 감지하는 경우와 같이 더 높은 해상도가 항상 적합한 것은 아니다.[121]
CT 영상 재구성법은 해석적 재구성법, 대수적 재구성법, 통계적 재구성법으로 크게 나뉘며, 역투영법은 해석적 재구성법에 분류되고, 순차 근사 영상 재구성법은 대수적 재구성법과 통계적 재구성법에 분류된다[246][244]。 지금까지 CT 영상 재구성법의 주류는 필터 보정 역투영법(FBP법[244][247])이었지만, 최근에는 영상 노이즈 감소 효과나 인공물 감소 효과가 기대되는 순차 근사 영상 재구성법(IR법[248])이 증가하고 있다[244][246]。 IR법의 약점인 영상 재구성에 걸리는 시간을 극복하기 위해, FBP법에 IR법의 원리를 조합한, 순차 근사 응용 재구성법도 존재한다.
역투영법에서는 1회의 계산으로 해(재구성상)를 구할 수 있다.[244][246] 순차 근사법은 처음에 초기 영상을 가정하고 이 영상으로부터 계산으로 작성한 투영(순투영)과 실측 투영과의 정합성을 반복 계산을 통해 높여가는 수법으로, 반복 계산에 의해 계산 시간을 많이 필요로 하지만, 컴퓨터의 고속화에 따라 통계 잡음의 성질, 장치의 분해능, 피사체의 매끄러움 등 사전 정보를 식 중에 포함할 수 있는 유연성이나 최근 발전이 현저한 압축 센싱 이론을 도입함으로써 점차 증가하고 있다.[246][251]。
또한, X선 CT의 발전에 의해 생겨난 다열 검출기 CT (MDCT)에서는, 64열, 256열, 320열로 검출기 열수가 많아지면 신호가 두부-미저 방향으로 왜곡되기 때문에, 이를 보정할 목적으로 펠트캄프법[252]이 사용된다. 부채꼴 빔이 아닌 원추형 빔을 사용함으로써, 두부-미저 방향으로 피험자를 이동시키지 않아도 3차원 투영상을 얻을 수 있는 콘 빔 CT(원추형 빔 CT, CBCT[253])에서는, 역투영법을 발전시킨 알고리즘인 콘 빔 역투영법을 사용한다. 순차 근사 영상 재구성법을 사용하는 CBCT 장치도 존재한다.
5. 7. 인공물
CT(컴퓨터 단층 촬영) 영상은 여러 가지 인공물에 취약하다.[204][122]- 줄무늬 인공물: 금속이나 뼈와 같이 대부분의 X-선을 차단하는 물질 주변에서 자주 관찰된다.[123] 언더 샘플링, 광자 기아, 움직임, 빔 경화, 컴프턴 산란 등이 원인이다. 뇌의 후두와나 금속 임플란트가 있는 경우에 흔히 발생하며, 금속 인공물 감소(MAR) 기술이나 스펙트럼 이미징을 통해 줄일 수 있다.[124][125][126]
- 부분 용적 효과: 가장자리 "흐림"으로 나타나며, 스캐너가 소량의 고밀도 물질과 다량의 저밀도 물질을 구별하기 어려워 발생한다.[127] 얇은 슬라이스를 사용하거나 등방성 획득을 통해 부분적으로 극복할 수 있다.[128]
- 링 인공물: 이미지 내에 하나 또는 여러 개의 "링"이 나타나는 현상으로, 2차원 X선 감지기 요소의 결함이나 잘못된 보정이 원인이다.[129] 강도 정규화(평탄장 보정)나 극좌표 공간 변환을 통해 억제할 수 있다.[130][129][131]
- 노이즈: 이미지에 입자 모양으로 나타나며, 낮은 신호 대 잡음비가 원인이다. 얇은 슬라이스 두께를 사용하거나 X선 튜브 전력이 부족할 때 더 흔하게 발생한다.[132]
- 풍차: 감지기가 재구성 평면과 교차할 때 줄무늬가 나타나는 현상으로, 필터 사용이나 피치 감소를 통해 줄일 수 있다.[133][134]
- 빔 경화: 회색조를 높이로 시각화할 때 "컵 모양"으로 나타나는 현상이다. 다색 스펙트럼을 방출하는 X선 튜브의 특성상, 높은 광자에너지 수준의 광자가 감쇠가 덜 되기 때문에 발생한다.[123][135][136]
6. 장점 및 단점
CT 스캔은 기존의 2차원 의료 방사선 촬영술보다 여러 가지 장점을 가지고 있다. 첫째, CT는 관심 영역 밖의 구조물에 대한 이미지 중첩을 제거한다.[137] 둘째, CT 스캔은 더 높은 영상 해상도를 가지고 있어 더 미세한 세부 사항을 검사할 수 있다. CT는 조직의 방사선 밀도 차이가 1% 이하인 경우에도 구별할 수 있다.[138] 셋째, CT 스캔은 다면 재구성 영상을 가능하게 한다. 스캔 데이터는 진단 작업에 따라 횡단 (또는 축), 관상, 또는 시상 평면으로 시각화할 수 있다.[139]
CT의 향상된 해상도는 새로운 검사법 개발을 가능하게 했다. 예를 들어, CT 혈관조영술은 카테터를 침습적으로 삽입하는 것을 피할 수 있다. CT 스캔은 전통적인 대장 내시경보다 더 정확하고 환자에게 덜 불편하게 가상 대장 내시경을 수행할 수 있다.[140][141] 가상 대장 내시경은 종양을 발견하는 데 있어 바륨 관장보다 훨씬 더 정확하며 더 낮은 방사선량을 사용한다.[142]
CT는 중등도에서 높은 방사선 진단 기술이다. 특정 검사에 대한 방사선량은 스캔된 부피, 환자의 체형, 스캔 프로토콜의 수와 유형, 원하는 해상도 및 영상 품질과 같은 여러 요인에 따라 달라진다.[143] 두 개의 나선형 CT 스캔 매개변수, 관 전류 및 피치는 쉽게 조정할 수 있으며 방사선에 큰 영향을 미친다. CT 스캔은 전방 추간체 유합을 평가하는 데 2차원 방사선 사진보다 더 정확하지만, 유합 범위를 과대 평가할 수 있다.[144]
6. 1. 장점
컴퓨터단층촬영(CT)은 기존의 2차원 의료 방사선 촬영술보다 여러 가지 장점을 가지고 있다.[137] CT는 관심 영역 밖의 구조물에 대한 이미지 중첩을 제거하며,[137] 영상 해상도가 높아 조직의 방사선 밀도 차이가 1% 이하인 경우에도 구별할 수 있다.[138] CT 스캔은 다면 재구성 영상을 가능하게 하여, 스캔 데이터를 횡단 (또는 축), 관상, 또는 시상 평면으로 시각화할 수 있다.[139]CT의 향상된 해상도는 새로운 검사법 개발을 가능하게 했다. CT 혈관조영술은 카테터를 침습적으로 삽입하는 것을 피할 수 있게 해준다.[140] 가상 대장 내시경은 전통적인 대장 내시경보다 더 정확하고 환자에게 덜 불편하며, 종양을 발견하는 데 있어 바륨 관장보다 훨씬 더 정확하고 더 낮은 방사선량을 사용한다.[141][142]
6. 2. 단점
CT는 MRI에 비해 검사 시간이 짧고, 검사 기기에 의한 압박감도 적지만, 중증 폐쇄 공포증 환자의 경우 공포와 공황을 유발하여 시행이 어려울 수 있다.==== 방사선 피폭 ====
CT 스캔에 사용되는 이온화 방사선은 DNA 분자를 포함한 신체 세포를 손상시켜 방사선 유발 암을 유발할 수 있다.[145] CT 스캔으로 받는 방사선량은 가변적이다. 가장 낮은 선량의 X선 기술과 비교하여 CT 스캔은 일반 X선보다 100~1,000배 더 높은 선량을 가질 수 있다.[146] 그러나 요추 X선은 머리 CT와 유사한 선량을 갖는다.[147] 일반적으로 복부 CT 검사는 평균 자연 방사선 3년 치와 유사한 방사선량을 갖는다.[148]
대규모 인구 기반 연구에서 CT 스캔에서 나오는 낮은 선량의 방사선이 다양한 암 발생률에 영향을 미친다는 것이 일관되게 입증되었다.[149][150][151][152] 호주 대규모 인구 기반 코호트 연구에서 뇌암의 최대 3.7%가 CT 스캔 방사선에 의해 발생한다는 사실이 밝혀졌다.[153] CT 스캔 1,800번당 1번 꼴로 암이 과도하게 발생했다. 평생 암 발생 위험이 40%라면 CT 후에는 절대 위험이 40.05%로 증가한다. CT 스캔 방사선의 위험은 1~5년의 짧은 기간 내에 반복적인 CT 스캔을 받는 환자에게 특히 중요하다.[154][155][156]
사람의 나이는 암 발생 위험에 중요한 역할을 한다.[193] 한 살 된 아이의 복부 CT로 인한 평생 암 사망 위험은 0.1% 또는 스캔 1,000번당 1번이다.[193] 40세의 위험은 20세의 절반이며 노인에게는 위험이 훨씬 적다.[193] 국제방사선방호위원회는 10 mGy에 노출된 태아의 경우 20세 이전에 암 발생률이 0.03%에서 0.04%로 증가한다고 추정한다.[178] CT 스캔은 소아의 노출을 줄이기 위해 다른 설정으로 수행할 수 있으며, 2007년 현재 대부분의 CT 스캔 제조업체는 이 기능을 내장하고 있다.[229]
CT에 의한 피폭 선량은 각종 방사선 검사 중 많은 쪽에 속한다[274]。 피폭량은 검사 부위나 검사 방법, 장비의 성능과 설정에 따라 다르지만, 검사에 따라서는 한 번에 수십 mSv - 100mSv를 넘는 X선 피폭을 받기도 한다. CT에서 문제가 되는 것은 수 개월에서 수십 년 후에 처음으로 현저하게 나타나는 발암 리스크의 증가[274], 혹은 자손에게의 유전적 영향이다. 따라서 방사선 검사는 필요 최소한으로만 실시하고 불필요한 피폭을 하지 않도록 하는 것이 원칙이다.
베링턴과 다비는 영국, 미국, 일본 등 14개국[275]의 발암의 0.6%에서 3.2%가 CT 등 진단용 방사선에 의한 것이라고 평가하고 있다[274]。그러나 일본의 원자 폭탄 피폭자 추적 결과와 대조하여 추정되고 있다는 점과[274], 직선 무역치 가설을 채용하고 있기 때문에[274], 이에 의거한 평가에 의문을 제기하는 목소리도 있으며, 전문가 사이에서도 의견이 엇갈리고 있다. 또한, 특히 젊은 층에서 방사선 감수성이 높은 부위(생식기나 유방 등)의 촬영을 반복하는 경우에는 영향을 받기 쉽다.
임산부의 경우에는 발암 이외에 태아 기형 발생이 문제가 될 수 있지만, 국제 방사선 방호 위원회는 100밀리 Gy (=100밀리 Sv) 이하의 태아 피폭에서는 통계적으로 유의미한 기형 증가가 없다고 결론짓고 있으며, 골반부를 직접 CT로 촬영한 경우에도 태아가 이 양의 피폭을 받는 일은 거의 없다고 한다[276]。
==== 조영제 부작용 ====
CT 조영제의 부작용에 대한 더 자세한 내용은 요오드 조영제#부작용을 참고하십시오.
CT 검사에 사용되는 조영제는 대부분 요오드 조영제이며, 메스꺼움, 구토, 가려운 발진과 같은 경미한 부작용부터 드물게는 생명을 위협하는 심각한 반응까지 유발할 수 있다.[167] 전체적으로 비이온성 조영제의 경우 1~3%, 이온성 조영제의 경우 4~12%에서 반응이 나타난다.[169] 피부 발진은 환자의 3% 미만에서 1주일 이내에 나타날 수 있다.[167]
과거의 조영제는 1%의 경우에서 아나필락시스를 유발했지만, 새로운 저삼투압 조영제는 0.01~0.04%의 경우에서 반응을 일으킨다.[167][168] 사망은 투여 100만 건당 약 2~30명에서 발생하며, 새로운 조영제가 더 안전하다.[169][170] 여성, 노인 또는 건강이 좋지 않은 환자에게서 사망 위험이 더 높으며, 일반적으로 아나필락시스 또는 급성 신부전이 그 원인이다.[171]
조영제는 조영제 유발 신병증을 유발할 수 있다.[172] 이는 조영제를 투여받은 사람의 2~7%에서 발생하며, 기존의 신부전이 있거나,[172] 기존의 당뇨병이 있거나, 혈관 내 혈액량이 감소한 환자에게서 위험이 더 크다. 경미한 신기능 장애가 있는 환자는 주사 전후 몇 시간 동안 충분한 수분 공급을 권장받는다. 중등도 신부전의 경우, 요오드 조영제 사용을 피해야 한다. 이는 CT 대신 다른 기술을 사용하는 것을 의미할 수 있다. 신부전이 심하여 신장 투석이 필요한 환자는 덜 엄격한 예방 조치를 필요로 한다. 이들의 신장은 기능이 거의 남아 있지 않아 추가적인 손상이 감지되지 않을 것이고 투석이 조영제를 제거할 것이기 때문이다. 그러나 조영제 투여 후 가능한 한 빨리 투석을 시행하여 조영제의 부작용을 최소화하는 것이 일반적으로 권장된다.
경미한 경우에는 일시적인 메스꺼움이나 피부 가려움증 등으로 조영제를 사용하는 환자의 수%에서 발생한다. 치료가 필요한 호흡 곤란이나 알레르기 반응도 1% 미만으로 발생한다. 극히 드물게 요오드 조영제에 의한 아나필락시스 쇼크나 급성 신부전 등의 심각한 부작용이 발생할 수 있으며, 조영 검사 수십만 건당 1건 정도의 빈도로 사망에 이르는 예가 있다.[278]
6. 2. 1. 방사선 피폭
CT 스캔에 사용되는 이온화 방사선은 DNA 분자를 포함한 신체 세포를 손상시켜 방사선 유발 암을 유발할 수 있다.[145] CT 스캔으로 받는 방사선량은 가변적이다. 가장 낮은 선량의 X선 기술과 비교하여 CT 스캔은 일반 X선보다 100~1,000배 더 높은 선량을 가질 수 있다.[146] 그러나 요추 X선은 머리 CT와 유사한 선량을 갖는다.[147] 일반적으로 복부 CT 검사는 평균 자연 방사선 3년 치와 유사한 방사선량을 갖는다.[148]대규모 인구 기반 연구에서 CT 스캔에서 나오는 낮은 선량의 방사선이 다양한 암 발생률에 영향을 미친다는 것이 일관되게 입증되었다.[149][150][151][152] 호주 대규모 인구 기반 코호트 연구에서 뇌암의 최대 3.7%가 CT 스캔 방사선에 의해 발생한다는 사실이 밝혀졌다.[153] CT 스캔 1,800번당 1번 꼴로 암이 과도하게 발생했다. 평생 암 발생 위험이 40%라면 CT 후에는 절대 위험이 40.05%로 증가한다. CT 스캔 방사선의 위험은 1~5년의 짧은 기간 내에 반복적인 CT 스캔을 받는 환자에게 특히 중요하다.[154][155][156]
사람의 나이는 암 발생 위험에 중요한 역할을 한다.[193] 한 살 된 아이의 복부 CT로 인한 평생 암 사망 위험은 0.1% 또는 스캔 1,000번당 1번이다.[193] 40세의 위험은 20세의 절반이며 노인에게는 위험이 훨씬 적다.[193] 국제방사선방호위원회는 10 mGy에 노출된 태아의 경우 20세 이전에 암 발생률이 0.03%에서 0.04%로 증가한다고 추정한다.[178] CT 스캔은 소아의 노출을 줄이기 위해 다른 설정으로 수행할 수 있으며, 2007년 현재 대부분의 CT 스캔 제조업체는 이 기능을 내장하고 있다.[229]
CT에 의한 피폭 선량은 각종 방사선 검사 중 많은 쪽에 속한다[274]。 피폭량은 검사 부위나 검사 방법, 장비의 성능과 설정에 따라 다르지만, 검사에 따라서는 한 번에 수십 mSv - 100mSv를 넘는 X선 피폭을 받기도 한다. CT에서 문제가 되는 것은 수 개월에서 수십 년 후에 처음으로 현저하게 나타나는 발암 리스크의 증가[274], 혹은 자손에게의 유전적 영향이다. 따라서 방사선 검사는 필요 최소한으로만 실시하고 불필요한 피폭을 하지 않도록 하는 것이 원칙이다.
베링턴과 다비는 영국, 미국, 일본 등 14개국[275]의 발암의 0.6%에서 3.2%가 CT 등 진단용 방사선에 의한 것이라고 평가하고 있다[274]。그러나 일본의 원자 폭탄 피폭자 추적 결과와 대조하여 추정되고 있다는 점과[274], 직선 무역치 가설을 채용하고 있기 때문에[274], 이에 의거한 평가에 의문을 제기하는 목소리도 있으며, 전문가 사이에서도 의견이 엇갈리고 있다. 또한, 특히 젊은 층에서 방사선 감수성이 높은 부위(생식기나 유방 등)의 촬영을 반복하는 경우에는 영향을 받기 쉽다.
임산부의 경우에는 발암 이외에 태아 기형 발생이 문제가 될 수 있지만, 국제 방사선 방호 위원회는 100밀리 Gy (=100밀리 Sv) 이하의 태아 피폭에서는 통계적으로 유의미한 기형 증가가 없다고 결론짓고 있으며, 골반부를 직접 CT로 촬영한 경우에도 태아가 이 양의 피폭을 받는 일은 거의 없다고 한다[276]。
6. 2. 2. 조영제 부작용
CT 조영제의 부작용에 대한 더 자세한 내용은 요오드 조영제#부작용을 참고하십시오.CT 검사에 사용되는 조영제는 대부분 요오드 조영제이며, 메스꺼움, 구토, 가려운 발진과 같은 경미한 부작용부터 드물게는 생명을 위협하는 심각한 반응까지 유발할 수 있다.[167] 전체적으로 비이온성 조영제의 경우 1~3%, 이온성 조영제의 경우 4~12%에서 반응이 나타난다.[169] 피부 발진은 환자의 3% 미만에서 1주일 이내에 나타날 수 있다.[167]
과거의 조영제는 1%의 경우에서 아나필락시스를 유발했지만, 새로운 저삼투압 조영제는 0.01~0.04%의 경우에서 반응을 일으킨다.[167][168] 사망은 투여 100만 건당 약 2~30명에서 발생하며, 새로운 조영제가 더 안전하다.[169][170] 여성, 노인 또는 건강이 좋지 않은 환자에게서 사망 위험이 더 높으며, 일반적으로 아나필락시스 또는 급성 신부전이 그 원인이다.[171]
조영제는 조영제 유발 신병증을 유발할 수 있다.[172] 이는 조영제를 투여받은 사람의 2~7%에서 발생하며, 기존의 신부전이 있거나,[172] 기존의 당뇨병이 있거나, 혈관 내 혈액량이 감소한 환자에게서 위험이 더 크다. 경미한 신기능 장애가 있는 환자는 주사 전후 몇 시간 동안 충분한 수분 공급을 권장받는다. 중등도 신부전의 경우, 요오드 조영제 사용을 피해야 한다. 이는 CT 대신 다른 기술을 사용하는 것을 의미할 수 있다. 신부전이 심하여 신장 투석이 필요한 환자는 덜 엄격한 예방 조치를 필요로 한다. 이들의 신장은 기능이 거의 남아 있지 않아 추가적인 손상이 감지되지 않을 것이고 투석이 조영제를 제거할 것이기 때문이다. 그러나 조영제 투여 후 가능한 한 빨리 투석을 시행하여 조영제의 부작용을 최소화하는 것이 일반적으로 권장된다.
경미한 경우에는 일시적인 메스꺼움이나 피부 가려움증 등으로 조영제를 사용하는 환자의 수%에서 발생한다. 치료가 필요한 호흡 곤란이나 알레르기 반응도 1% 미만으로 발생한다. 극히 드물게 요오드 조영제에 의한 아나필락시스 쇼크나 급성 신부전 등의 심각한 부작용이 발생할 수 있으며, 조영 검사 수십만 건당 1건 정도의 빈도로 사망에 이르는 예가 있다.[278]
7. 검사 절차
CT 스캔 절차는 연구 유형과 촬영되는 장기에 따라 다르다. 환자는 CT 테이블에 눕게 되며, 테이블의 중심은 신체 부위에 따라 맞춰진다. 조영 증강 CT의 경우 정맥 주사 라인이 확보된다. 압력 주입기에서 적절한 조영제와 주입 속도를 선택한 후, 스카우트 영상을 촬영하여 스캔을 위치시키고 계획한다. 계획이 선택되면 조영제를 투여한다. 원시 데이터는 연구에 따라 처리되며, 스캔의 진단을 용이하게 하기 위해 적절한 윈도잉이 수행된다.[195]
조영제를 사용하지 않고 촬영하는 것을 단순 CT라고 한다. 일반적인 선별 검사로 사용되는 경우가 많다. 검사 목적에 따라 조영이 역효과를 낼 수 있으므로, 적극적으로 단순 CT가 선택되기도 한다.
또한, 병원에서 원인 불명의 사망으로 사망한 사람의 사인을 규명하기 위한 사후 영상 진단에도 사용된다. 사후 영상 진단에서는 피검사자에 대한 방사선 피폭에 의한 방사선 장애를 고려할 필요가 없으므로, 고선량을 사용하여 가능한 한 높은 영상 분해능, 콘트라스트 분해능으로 촬영을 한다. 피검사자에게는 혈행 순환이나 호흡 등의 생리적 기능이 소실되어 있으므로, 조영제를 사용할 수 없다.
조영제 투여 후에 촬영하는 것을 조영 CT라고 부른다. CT에서는 X선 흡수율이 높은 요오드 조영제를 혈관 내(통상은 사지의 정맥 내)에 주사하여 촬영하는 것이 일반적이다. 통상 조영 CT라고 하면 이것을 가리키며, 다른 조영제를 사용하는 경우, 다른 특수한 이름으로 부르는 경우가 많다.
조영제는 주입된 후, 혈류를 따라 전신의 혈관에 분포하고, 더 나아가 모세 혈관으로부터의 확산에 의해 천천히 혈관 외의 세포외액으로도 이행하여, 각종 장기의 실질을 물들인다. 혈관 내나, 혈류가 풍부한 조직이 짙게(하얗게) 묘출되어, 영상의 콘트라스트가 명료해지고, 보다 상세한 관찰이 가능하게 된다.
촬영의 목적에 따라, 조영 후 어느 타이밍에 촬영해야 하는지가 다르다. 대략적으로 말하면, 혈관의 평가가 주된 목적이라면 조기상(주입 개시 후 15초 - 30초)에서의 촬영이, 장기의 평가가 목적이라면 문맥상 또는 지연상(주입 개시 후 80초 이후)에서의 촬영이 적합하다. 조영제의 주입 속도나 조영제의 요오드 농도도 검사의 목적에 따라 다양하게 선택된다.
CT용 요오드 조영제로서, 이오헥솔(Omnipaque, 옴니파크), 이오파미돌(Iopamiro, 이오파미론), 이오메프로르(Iomeron, 이오메론), 이오페르솔(Optiray, 옵티레이) 등이 사용된다(괄호 안은 일본 내에서의 상품명).
7. 1. 준비
환자 준비는 촬영 유형에 따라 다를 수 있다.[195] 일반적인 환자 준비에는 동의서 서명, 관심 영역에서 금속 물체와 장신구 제거, 병원 프로토콜에 따라 병원 가운으로 갈아입는 것 등이 있다.[195] 특히 조영 CT의 경우 신장 기능을 확인하며, 크레아티닌 및 요소 수치를 확인한다.[196]8. 역사
X선 컴퓨터단층촬영(CT)의 역사는 1917년 라돈 변환의 수학적 이론으로 거슬러 올라간다.[208][209] 1953년에는 히로사키 대학의 다카하시 신지가 "X선 회전 횡단 촬영 장치"를 개발했는데,[241][242][243] 이는 컴퓨터를 사용하지 않는 아날로그 방식의 기계적 단층 촬영 장치였다. 1963년 10월, 윌리엄 H. 올덴도르프는 "밀도가 높은 물질에 가려진 내부 물체의 선택된 영역을 조사하기 위한 방사 에너지 장치"에 대한 미국 특허를 획득했다.[210]
최초의 상업용 CT 스캐너는 1972년 고드프리 하운스필드에 의해 발명되었다.[211] 하운스필드는 매사추세츠주 터프츠 대학교의 앨런 코맥의 이론을 기반으로 연구를 진행했으며, 이들은 1979년 노벨 생리학·의학상을 공동 수상했다. 1971년에 제작된 원형은 1° 간격으로 160개의 병렬 판독 스캔을 수행했으며, 180°에 걸쳐 스캔하는 데 5분 이상이 걸렸다. 영상은 스캔 후, 대형 컴퓨터로 2.5시간을 들여 라돈 변환 및 그 역변환을 반복하는 토모그래픽 복원을 통해 얻어졌다. 최초로 생산된 X선 CT(EMI 스캐너라고 불렸다)는 뇌의 단층 촬영에 사용되었으며, 두 개의 단층 데이터를 얻는 데 약 4분이 걸렸다. 그리고 단층 영상을 얻는 데 데이터 제너럴사의 미니 컴퓨터를 사용하여 영상 한 장당 약 7분이 걸렸다.
1960년대 비틀즈의 음반 판매 수익이 EMI에서 최초의 CT 스캐너 개발 자금을 지원하는 데 도움이 되었다는 이야기가 있다.[212] EMI는 비틀즈로 인하여 벌어들인 막대한 수입으로 하운스필드가 이끄는 연구팀의 개발비를 충당할 수 있었으며, 과장되게 "CT는 비틀즈의 가장 위대한 유산"이라고 불리기도 한다. 하지만, 당연하게도 본업에서 너무나 동떨어진 사업이었기 때문에 큰 적자를 냈고, 현재는 CT 사업에서 철수했다.
일본에서는 도시바가 1975년 8월에 CT를 처음 도입하여 도쿄 여자 의과 대학 병원에 설치하고 뇌종양을 포착했다. 그러나 이 스캐너는 매우 고가여서 일본 정부 측에서 연구 자금을 지원했다. 이후 도시바 메디컬에 의해 국내 생산이 시작되었고, 히타치 제작소도 자체 개발한 최초의 국산 CT 기기를 1975년 10월 후지타 보건위생대학에 설치했다.
이후 1986년에 헬리컬 CT(헬리컬 스캔)가 개발되었고, 1998년에는 4열 MDCT가 등장했다. 2000년대 이후 CT 기술은 더욱 발전하여, 반복 근사법을 사용하는 영상 재구성 알고리즘, 듀얼 에너지 CT, 최대 320열의 MDCT, 플랫 패널 디텍터를 사용한 CT 등이 등장했다.
9. 사회와 문화
2017년 기준 경제협력개발기구(OECD) 회원국의 인구 100만 명당 CT 스캐너 수는 다음과 같다.[221]
표에서 보듯, 일본이 111.49대로 압도적으로 가장 많은 CT 스캐너를 보유하고 있으며, 대한민국은 38.18대로 OECD 국가 중 8위를 기록하고 있다. 이는 한국의 의료 기술 수준이 상당히 높음을 보여주는 지표 중 하나로 해석할 수 있다.
컴퓨터 단층 촬영(CT)의 사용은 지난 20년 동안 급격히 증가했다.[29] 2007년 미국에서 약 7,200만 건의 스캔이 수행되었으며,[30] 이는 방사선 및 핵의학 시술로 인한 1인당 총 선량률의 거의 절반을 차지한다.[226] 유럽과 아시아에서도 이와 유사한 증가가 나타났다.[193] 캐나다 캘거리에서는 응급 상황으로 응급실에 내원한 환자 중 12.1%가 CT 스캔을 받았으며, 이는 주로 머리 또는 복부였다. 그러나 CT를 받은 환자의 비율은 환자를 진료한 응급 의학 전문의에 따라 1.8%에서 25%까지 큰 차이를 보였다.[227] 미국의 응급실에서는 2007년 기준 부상으로 내원한 환자의 15%가 CT 또는 MRI 촬영을 받았으며, 이는 1998년의 6%에서 증가한 수치이다.[228]
CT 스캔의 사용 증가는 성인 스크리닝과 소아 CT 영상 촬영의 두 분야에서 가장 두드러졌다. 스캔 시간을 약 1초로 단축하여 피검자가 가만히 있거나 진정제를 투여받을 필요가 없어지면서 소아 인구에서 CT 사용이 크게 증가한 주요 이유 중 하나가 되었다.[145] 2007년 현재, 미국에서는 CT 스캔의 일부가 불필요하게 수행되고 있다.[229] 일부 추정치에 따르면 이 숫자는 30%에 달한다.[178] 이에는 법적 문제, 재정적 인센티브, 대중의 욕구 등 여러 가지 이유가 있다.[229] 예를 들어, 일부 건강한 사람들은 스크리닝 목적으로 전신 CT 스캔을 받기 위해 기꺼이 비용을 지불한다. 이 경우, 이점이 위험과 비용보다 훨씬 크다는 것이 전혀 명확하지 않다. 우연종을 치료할지 여부와 방법을 결정하는 것은 복잡하며, 방사선 노출은 무시할 수 없고, 스캔 비용에는 기회 비용이 수반된다.[229]
공공의 우려 증가와 최상의 관행의 지속적인 발전에 대응하여, 소아 영상의 방사선 안전을 위한 연합이 소아 방사선학회 내에 결성되었다. 미국 방사선 기술자 학회, 미국 방사선 학회 및 미국 의학 물리학회와 협력하여 소아 방사선학회는 소아 환자에게 가능한 가장 낮은 선량과 최상의 방사선 안전 관행을 사용하면서 고품질 영상 검사를 유지하도록 설계된 Image Gently 캠페인을 개발하고 시작했다.[222] 이 이니셔티브는 전 세계의 다양한 전문 의료 기관에서 지지하고 적용하고 있으며, 방사선학에 사용되는 장비를 제조하는 회사로부터 지원과 도움을 받았다.
Image Gently 캠페인의 성공에 이어, 미국 방사선 학회, 북미 방사선 학회, 미국 의학 물리학회 및 미국 방사선 기술자 학회는 성인 인구에서 이 문제를 해결하기 위해 Image Wisely라는 유사한 캠페인을 시작했다.[223]
세계 보건 기구(WHO)와 유엔의 국제 원자력 기구(IAEA) 또한 이 분야에서 활동해 왔으며, 최상의 관행을 확대하고 환자 방사선 선량을 낮추기 위한 지속적인 프로젝트를 진행하고 있다.[224][225]
GE 헬스케어(GE HealthCare), 지멘스 헬시니어스(Siemens Healthineers), 캐논 메디컬 시스템즈(Canon Medical Systems Corporation)(구 도시바 메디컬 시스템즈), 필립스(Koninklijke Philips N.V.), 후지필름 헬스케어(Fujifilm Healthcare)(구 히타치 메디컬 시스템즈) 등이 컴퓨터 단층 촬영 장치 및 장비의 주요 제조업체이다.[230]
9. 1. 캠페인
공공의 우려 증가와 최상의 관행의 지속적인 발전에 대응하여, 소아 영상의 방사선 안전을 위한 연합이 소아 방사선학회 내에 결성되었다. 미국 방사선 기술자 학회, 미국 방사선 학회 및 미국 의학 물리학회와 협력하여 소아 방사선학회는 소아 환자에게 가능한 가장 낮은 선량과 최상의 방사선 안전 관행을 사용하면서 고품질 영상 검사를 유지하도록 설계된 Image Gently 캠페인을 개발하고 시작했다.[222] 이 이니셔티브는 전 세계의 다양한 전문 의료 기관에서 지지하고 적용하고 있으며, 방사선학에 사용되는 장비를 제조하는 회사로부터 지원과 도움을 받았다.Image Gently 캠페인의 성공에 이어, 미국 방사선 학회, 북미 방사선 학회, 미국 의학 물리학회 및 미국 방사선 기술자 학회는 성인 인구에서 이 문제를 해결하기 위해 Image Wisely라는 유사한 캠페인을 시작했다.[223]
세계 보건 기구(WHO)와 유엔의 국제 원자력 기구(IAEA) 또한 이 분야에서 활동해 왔으며, 최상의 관행을 확대하고 환자 방사선 선량을 낮추기 위한 지속적인 프로젝트를 진행하고 있다.[224][225]
9. 2. 보급 현황
컴퓨터 단층 촬영(CT)의 사용은 지난 20년 동안 급격히 증가했다.[29] 2007년 미국에서 약 7,200만 건의 스캔이 수행되었으며,[30] 이는 방사선 및 핵의학 시술로 인한 1인당 총 선량률의 거의 절반을 차지한다.[226] 유럽과 아시아에서도 이와 유사한 증가가 나타났다.[193] 캐나다 캘거리에서는 응급 상황으로 응급실에 내원한 환자 중 12.1%가 CT 스캔을 받았으며, 이는 주로 머리 또는 복부였다. 그러나 CT를 받은 환자의 비율은 환자를 진료한 응급 의학 전문의에 따라 1.8%에서 25%까지 큰 차이를 보였다.[227] 미국의 응급실에서는 2007년 기준 부상으로 내원한 환자의 15%가 CT 또는 MRI 촬영을 받았으며, 이는 1998년의 6%에서 증가한 수치이다.[228]CT 스캔의 사용 증가는 성인 스크리닝과 소아 CT 영상 촬영의 두 분야에서 가장 두드러졌다. 스캔 시간을 약 1초로 단축하여 피검자가 가만히 있거나 진정제를 투여받을 필요가 없어지면서 소아 인구에서 CT 사용이 크게 증가한 주요 이유 중 하나가 되었다.[145] 2007년 현재, 미국에서는 CT 스캔의 일부가 불필요하게 수행되고 있다.[229] 일부 추정치에 따르면 이 숫자는 30%에 달한다.[178] 이에는 법적 문제, 재정적 인센티브, 대중의 욕구 등 여러 가지 이유가 있다.[229] 예를 들어, 일부 건강한 사람들은 스크리닝 목적으로 전신 CT 스캔을 받기 위해 기꺼이 비용을 지불한다. 이 경우, 이점이 위험과 비용보다 훨씬 크다는 것이 전혀 명확하지 않다. 우연종을 치료할지 여부와 방법을 결정하는 것은 복잡하며, 방사선 노출은 무시할 수 없고, 스캔 비용에는 기회 비용이 수반된다.[229]
9. 3. 제조업체
GE 헬스케어(GE HealthCare), 지멘스 헬시니어스(Siemens Healthineers), 캐논 메디컬 시스템즈(Canon Medical Systems Corporation)(구 도시바 메디컬 시스템즈), 필립스(Koninklijke Philips N.V.), 후지필름 헬스케어(Fujifilm Healthcare)(구 히타치 메디컬 시스템즈) 등이 컴퓨터 단층 촬영 장치 및 장비의 주요 제조업체이다.[230]10. 연구 동향
광자 계수 전산화 단층 촬영(Photon-counting computed tomography)은 현재 개발 중인 CT 기술이다. 일반적인 CT 스캐너는 에너지 적분 검출기를 사용하는데, 이 검출기는 잡음 및 X선 강도 대 전압 관계의 선형성에 영향을 받을 수 있다.[231] 반면 광자 계수 검출기(PCD)는 잡음의 영향을 받지만 광자 측정 횟수는 변하지 않아 신호 대 잡음비 개선, 선량 감소, 공간 해상도 개선, 여러 조영제 구별 등 여러 잠재적 이점을 가진다.[232][233] PCD는 데이터 처리 기술 발전으로 최근 CT 스캐너에서 실현 가능해졌다. 2016년 2월 현재, 세 곳에서 광자 계수 CT가 사용되고 있다.[234] 초기 연구에 따르면 유방 영상 촬영을 위한 광자 계수 CT의 선량 감소 가능성이 매우 유망하다.[235]
반복적인 CT 스캔으로 인한 환자의 높은 누적 선량 문제를 해결하기 위해, CT 스캔 과정에서 환자에 대한 이온화 방사선 선량을 밀리시버트(mSv) 이하 수준으로 줄이기 위한 연구가 오랫동안 진행 중이다.[236][155][156][157]
11. MRI와의 비교
X선 CT와 자기 공명 영상(MRI)는 원리가 전혀 다르지만, 동일한 단층 영상 검사로서 자주 비교된다. X선 CT는 MRI에 비해 다음과 같은 장점과 단점을 가진다.
장점
- 검사 시간이 짧다.
- 공간 분해능이 높다.
- 자기장을 사용하지 않으므로 심장 박동기 등 금속 사용자에게도 시행 가능하다(단, 심장 박동기에 대해서는 부작용 란도 참조).
- 아티팩트(영상의 흐트러짐)가 적고, 광범위한 촬영이 가능하다.
- 소음이나 폐쇄감이 적다.
- 보급률이 높고, 상대적으로 저렴하다.
단점
- 방사선 피폭이 있다.
- 연부 조직의 조직학적 변화가 잘 반영되지 않는다.
- 뇌저, 하악 등 뼈에 둘러싸인 부위에서 아티팩트가 발생하기 쉽다(최근 기종에서는 개선되고 있다).
- 조영제 부작용의 빈도는 CT용 요오드 조영제에서 높다.
골 질환, 폐 질환, 소화관 질환, 또는 출혈 등의 응급 질환의 경우 MRI보다 CT가 유용한 경우가 많다. 반면, 뇌종양이나 자궁, 난소, 근육 등의 질환에서 MRI의 연부 조직 분해능이 위력을 발휘하는 경우가 많다.
참조
[1]
웹사이트
CT scan – Mayo Clinic
http://www.mayoclini[...]
mayoclinic.org
2016-10-20
[2]
간행물
CT-scan Image Production Procedures
https://www.ncbi.nlm[...]
StatPearls Publishing
2022
[3]
웹사이트
Patient Page
https://www.arrt.org[...]
[4]
웹사이트
Individual State Licensure Information
http://www.asrt.org/[...]
American Society of Radiologic Technologists
2013-07-19
[5]
웹사이트
The Nobel Prize in Physiology or Medicine 1979
https://www.nobelpri[...]
2019-08-10
[6]
웹사이트
The Nobel Prize in Physiology or Medicine 1979
https://www.nobelpri[...]
2023-10-28
[7]
서적
Spiral CT of the Abdomen
https://books.google[...]
Springer Science & Business Media
2012-12-06
[8]
서적
Spiral CT: Principles, Techniques, and Clinical Applications
https://books.google[...]
Raven Press
1995
[9]
서적
Computed Tomography: Principles, Design, Artifacts, and Recent Advances
https://books.google[...]
SPIE Press
2003
[10]
서적
Cardiovascular Computed Tomography
https://books.google[...]
Oxford University Press
2020-01-02
[11]
논문
Electron beam CT scan is a valuable and safe imaging tool for the pediatric surgical patient
2004-12
[12]
논문
Electron beam computed tomography: Challenges and opportunities
2008-07-31
[13]
서적
Dual Energy CT in Clinical Practice
https://books.google[...]
Springer Science & Business Media
2011-01-18
[14]
서적
Dual Energy CT in Clinical Practice
https://books.google[...]
Springer Science & Business Media
2011-01-18
[15]
서적
Dual-Energy CT in Cardiovascular Imaging
https://books.google[...]
Springer
2015-10-03
[16]
논문
Principles and applications of dual source CT
2020-11-01
[17]
서적
Dual Source CT Imaging
https://books.google[...]
Springer Science & Business Media
2008-05-24
[18]
논문
Principles and applications of dual source CT
https://www.physicam[...]
2020-11-01
[19]
논문
Rapid Switching kVp Dual Energy CT: Value of Reconstructed Dual Energy CT Images and Organ Dose Assessment in Multiphasic Liver CT Exams
2018-05
[20]
논문
Dual-Energy CT: General Principles
https://www.ajronlin[...]
2012-11
[21]
논문
CT-perfusion imaging of the human brain: Advanced deconvolution analysis using circulant singular value decomposition
2008-01-01
[22]
논문
CT myocardial perfusion imaging: current status and future directions
2016-08-01
[23]
논문
Perfusion CT and acute stroke imaging: Foundations, applications, and literature review
2015-02-01
[24]
논문
PET/CT: form and function
https://pubmed.ncbi.[...]
2007-02
[25]
논문
Radiation treatment planning with an integrated positron emission and computer tomography (PET/CT): a feasibility study
https://doi.org/10.1[...]
2003-11
[26]
논문
PET/CT in oncology
2012-08
[27]
서적
Christensen's Physics of Diagnostic Radiology
https://books.google[...]
Lippincott Williams & Wilkins
1990
[28]
웹사이트
CT Screening
http://hps.org/docum[...]
2018-05-01
[29]
논문
Radiation dose associated with common computed tomography examinations and the associated lifetime attributable risk of cancer
2009-12
[30]
논문
Projected cancer risks from computed tomographic scans performed in the United States in 2007
2009-12
[31]
웹사이트
Dangers of CT Scans and X-Rays – Consumer Reports
https://www.consumer[...]
2018-05-16
[32]
서적
Critical Care Transport
https://books.google[...]
Jones & Bartlett Learning
2017-03-20
[33]
서적
Image-Guided Neurosurgery
https://books.google[...]
Elsevier
[34]
서적
Principles and Practice of Stereotactic Radiosurgery
https://books.google[...]
Springer
[35]
서적
Stereotactic Radiosurgery and Stereotactic Body Radiation Therapy
CRC Press
[36]
서적
Brain Stimulation
https://books.google[...]
Elsevier
[37]
서적
Textbook of Stereotactic and Functional Neurosurgery
https://books.google[...]
Springer-Verlag
[38]
논문
Invention of the N-localizer for stereotactic neurosurgery and its use in the Brown-Roberts-Wells stereotactic frame
2012-06
[39]
웹사이트
Evaluation of a neck mass in adults
https://www.uptodate[...]
[40]
논문
Thyroid computed tomography imaging: pictorial review of variable pathologies
[41]
서적
Computed Tomography of the Lung
https://books.google[...]
Springer Berlin Heidelberg
[42]
서적
High-resolution CT of the Lung
https://books.google[...]
Lippincott Williams & Wilkins
[43]
서적
Specialty Imaging: HRCT of the Lung E-Book
https://books.google[...]
Elsevier Health Sciences
2017-07-22
[44]
웹사이트
Bronchial wall thickening
https://radiopaedia.[...]
2018-01-05
[45]
논문
"What do you mean, a spot?": A qualitative analysis of patients' reactions to discussions with their doctors about pulmonary nodules
[46]
간행물
Five Things Physicians and Patients Should Question
http://www.choosingw[...]
American College of Chest Physicians and American Thoracic Society
2013-09
[47]
서적
Chapter 10 – Critical care in acute ischemic stroke
Elsevier
2017-01-01
[48]
웹사이트
Computed Tomography Angiography (CTA)
https://www.hopkinsm[...]
2021-03-21
[49]
논문
CT angiography.
1995-11-01
[50]
서적
Vascular Imaging of the Central Nervous System: Physical Principles, Clinical Applications, and Emerging Techniques
https://books.google[...]
John Wiley & Sons
2014-03-31
[51]
논문
Computed Tomography Cardiac Angiography Before Invasive Coronary Angiography in Patients With Previous Bypass Surgery: The BYPASS-CTCA Trial
2023-10-31
[52]
논문
CT scan reduces the complications of angiography after bypass surgery
https://evidence.nih[...]
2024-08-06
[53]
웹사이트
Cardiac CT Scan – NHLBI, NIH
https://www.nhlbi.ni[...]
2017-11-22
[54]
웹사이트
Cardiac CT {{!}} Radiology Reference Article {{!}} Radiopaedia.org
https://radiopaedia.[...]
2017-11-22
[55]
논문
Role of Cardiac CT Before Transcatheter Aortic Valve Implantation (TAVI)
2016-02
[56]
논문
Complementary role of cardiac CT in the assessment of aortic valve replacement dysfunction
2016-11-01
[57]
논문
Computed Tomography for Structural Heart Disease and Interventions
2015-09
[58]
서적
Multidetector-Row CT Angiography
https://books.google[...]
Springer Science & Business Media
2006-03-30
[59]
웹사이트
Coronary Computed Tomography Angiography (CCTA)
https://www.radiolog[...]
2021-03-19
[60]
웹사이트
Heart scan (coronary calcium scan)
http://www.mayoclini[...]
Mayo Clinic
2015-08-09
[61]
논문
Assessment of Agatston Coronary Artery Calcium Score Using Contrast-Enhanced CT Coronary Angiography
[62]
논문
Cardiac 3D Printing and its Future Directions
2017-02
[63]
논문
Innovative Mitral Valve Treatment with 3D Visualization at Henry Ford
http://www.materiali[...]
2017-11-22
[64]
논문
Predicting LVOT Obstruction After TMVR
2016-11
[65]
논문
3D-Imaging of cardiac structures using 3D heart models for planning in heart surgery: a preliminary study
2008-02
[66]
논문
Cross-sectional Imaging in Crohn Disease
2004-05-01
[67]
서적
CT of the Acute Abdomen
https://books.google[...]
Springer Berlin Heidelberg
[68]
서적
Diseases of the Abdomen and Pelvis
Springer Milan
[69]
서적
EAU Guidelines on Urolithiasis
https://uroweb.org/g[...]
European Association of Urology
2022-03
[70]
논문
Time to stone passage for observed ureteral calculi: a guide for patient education
1999-09
[71]
웹사이트
Ankle Fractures
http://orthoinfo.aao[...]
American Association of Orthopedic Surgeons
2010-05-30
[72]
논문
Musculoskeletal Imaging with Multislice CT
2000-09-11
[73]
논문
Role of dual-energy CT in the diagnosis and follow-up of gout: systematic analysis of the literature
2018-03-01
[74]
논문
Biomechanical computed tomography-noninvasive bone strength analysis using clinical computed tomography scans
2010-03
[75]
서적
Computed Tomography Based Biomechanics
https://books.google[...]
Frontiers Media SA
2019-03-07
[76]
논문
Transient thermal finite element analysis of CFC–Cu ITER monoblock using X-ray tomography data
https://www.research[...]
2015-05-28
[77]
논문
Imaging Techniques in Conservation
http://discovery.ucl[...]
[78]
서적
Anomaly Detection and Imaging with X-Rays (ADIX) III
2018
[79]
서적
Second International Conference on Image Formation in X-Ray Computed Tomography
2015-04-05
[80]
서적
Signals, Systems and Computers (ASILOMAR), 2012 Conference Record of the Forty Sixth Asilomar Conference on
IEEE
2015-04-05
[81]
서적
Security Technology (ICCST), 2013 47th International Carnahan Conference on
IEEE
2015-04-05
[82]
서적
Proc. International Conference on Image Processing
IEEE
2013-11-05
[83]
서적
Proc. International Conference on Image Processing
IEEE
2013-11-05
[84]
논문
A Comparison of 3D Interest Point Descriptors with Application to Airport Baggage Object Detection in Complex CT Imagery
http://www.durham.ac[...]
2013-11-05
[85]
웹사이트
Laboratory {{!}} About Chikyu {{!}} The Deep-sea Scientific Drilling Vessel CHIKYU
http://www.jamstec.g[...]
2019-10-24
[86]
논문
A New Method for Quality Control of Geological Cores by X-Ray Computed Tomography: Application in IODP Expedition 370
2019
[87]
논문
A virtual world of paleontology
https://linkinghub.e[...]
2014
[88]
논문
From damage to discovery via virtual unwrapping: Reading the scroll from En-Gedi
[89]
웹사이트
A Letter Sealed for Centuries Has Been Read—Without Even Opening It
https://www.wsj.com/[...]
2021-03-02
[90]
논문
Unlocking history through automated virtual unfolding of sealed documents imaged by X-ray microtomography
2021-03-02
[91]
웹사이트
CT FOR ART
https://www.nicas-re[...]
2023-07-04
[92]
논문
Three-Dimensional X-Ray Imaging and Analysis of Fungi on and in Wood
https://www.cambridg[...]
2009-10
[93]
논문
Principles of CT: Multislice CT
[94]
논문
Brain Hemorrhage Extended (BHX): Bounding box extrapolation from thick to thin slice CT images v1.1
2020-07-29
[95]
논문
Differentiating autoimmune pancreatitis from pancreatic ductal adenocarcinoma with CT radiomics features
2020-09-01
[96]
논문
Volume Rendering versus Maximum Intensity Projection in CT Angiography: What Works Best, When, and Why
[97]
논문
Automatic perceptual color map generation for realistic volume visualization
[98]
서적
Vision, Modeling, and Visualization 2006: Proceedings, November 22-24, 2006, Aachen, Germany
https://books.google[...]
IOS Press
2006
[99]
논문
Mirror-Image Reversal of Coronal Computed Tomography Scans
2004-09
[100]
서적
Brant and Helms' fundamentals of diagnostic radiology
https://books.google[...]
Lippincott Williams & Wilkins
2019-01-24
[101]
서적
Brain mapping: the methods
Academic Press
2002
[102]
서적
The essential physics of medical imaging
Lippincott Williams & Wilkins
2002
[103]
서적
Neuroimaging Part I
2016-01-01
[104]
서적
Cardiovascular Computed Tomography
https://books.google[...]
Oxford University Press
2020-01-02
[105]
서적
Practical Radiographic Imaging
https://books.google[...]
Charles C Thomas Publisher
2007
[106]
서적
3D Imaging in Medicine, Second Edition
https://books.google[...]
CRC Press
1999-09-28
[107]
논문
Use of multi-planar reconstruction (MPR) and 3-dimentional [sic] (3D) CT to assess stability criteria in C2 vertebral fractures
http://www.jpccr.eu/[...]
2007-06-30
[108]
논문
Technical aspects of CT imaging of the spine
2010-10-21
[109]
웹사이트
CT imaging: Where are we going? (Proceedings)
https://www.dvm360.c[...]
2010-04-01
[110]
서적
Orthopedics in Disasters: Orthopedic Injuries in Natural Disasters and Mass Casualty Events
https://books.google[...]
Springer
2016-05-30
[111]
논문
Modern imaging of the tracheo-bronchial tree
2010-07-28
[112]
논문
Role of curved planar reformations using multidetector spiral CT in diagnosis of pancreatic and peripancreatic diseases
2004-07-01
[113]
논문
Informatics in radiology (infoRAD): introduction to the language of three-dimensional imaging with multidetector CT
2005-09-01
[114]
논문
Three-dimensional Volume Rendering of Spiral CT Data: Theory and Method
https://pubs.rsna.or[...]
1999-05-01
[115]
논문
Noninvasive Coronary Imaging Using Electron Beam CT: Surface Rendering Versus Volume Rendering
http://www.ajronline[...]
2003-01-01
[116]
논문
The Reconstruction of a Three-Dimensional Structure from Projections and its Application to Electron Microscopy
[117]
논문
Radiation Exposures to Patients from CT: Reality, Public Perception, and Policy
http://www.ajronline[...]
2001-08-01
[118]
간행물
Adaptive Compressed Tomography Sensing
http://www.cv-founda[...]
Proceedings of the IEEE Conference on Computer Vision and Pattern Recognition 2013
2016-03-13
[119]
서적
Proceedings
https://books.google[...]
IEEE
1995-01-01
[120]
웹사이트
Radiation – Effects on organs of the body (somatic effects)
https://www.britanni[...]
2021-03-21
[121]
논문
Thoracic computed tomography: principles and practice
[122]
논문
Mitigating motion artifacts in FDK based 3D Cone-beam Brain Imaging System using markers
2012-05-28
[123]
논문
A Method for Simultaneous Image Reconstruction and Beam Hardening Correction
https://engineering.[...]
2014-04-23
[124]
논문
Evaluation of Two Iterative Techniques for Reducing Metal Artifacts in Computed Tomography
[125]
논문
An Experimental Survey of Metal Artefact Reduction in Computed Tomography
http://www.durham.ac[...]
[126]
논문
Virtual Monochromatic Spectral Imaging with Fast Kilovoltage Switching: Reduction of Metal Artifacts at CT
[127]
논문
Estimation of the partial volume effect in MRI
2002-12-01
[128]
논문
Volumetric Segmentation
2000-01-01
[129]
논문
Adaptive center determination for effective suppression of ring artifacts in tomography images
2014-01-01
[130]
논문
Dynamic intensity normalization using eigen flat fields in X-ray imaging
http://www.zora.uzh.[...]
2015-01-01
[131]
논문
Reduction of ring artefacts in high resolution micro-CT reconstructions
2004-01-01
[132]
서적
Radiology of the Skull and Brain: Technical aspects of computed tomography
https://books.google[...]
Mosby
1971-01-01
[133]
서적
Protocols for Multislice CT
https://books.google[...]
Springer Science & Business Media
2006-01-16
[134]
서적
Pitfalls in Musculoskeletal Radiology
https://books.google[...]
Springer
2017-08-11
[135]
논문
A model-based correction method for beam hardening artefacts in X-ray microtomography
[136]
논문
Iterative correction of beam hardening artifacts in CT
[137]
서적
Medical Imaging Technology
https://books.google[...]
Elsevier
2013-08-23
[138]
서적
Radiology for the Dental Professional
https://books.google[...]
Elsevier Mosby
[139]
서적
Heart's Vortex: Intracardiac Blood Flow Phenomena
https://books.google[...]
PMPH-USA
2009-11-01
[140]
논문
Virtual colonoscopy for colorectal cancer screening: current status: Wednesday 5 October 2005, 14:00–16:00
International Cancer Imaging Society
2005-11-01
[141]
논문
Clinical validation of high-resolution fast spin-echo MR colonography after colon distention with air
2005-09
[142]
웹사이트
CT Colonography
https://www.radiolog[...]
[143]
논문
A low dose simulation tool for CT systems with energy integrating detectors
2013-03
[144]
웹사이트
Reliability and accuracy of fine-cut computed tomography scans to determine the status of anterior interbody fusions with metallic cages
http://www.spinemd.c[...]
[145]
논문
Computed tomography – an increasing source of radiation exposure
http://www.columbia.[...]
2007-11
[146]
뉴스
We Are Giving Ourselves Cancer
https://www.nytimes.[...]
New York Times
2014-01-30
[147]
웹사이트
Medical X-ray Imaging – What are the Radiation Risks from CT?
https://www.fda.gov/[...]
2018-05-01
[148]
웹사이트
Patient Safety – Radiation Dose in X-Ray and CT Exams
https://www.acr.org/[...]
2021-04-06
[149]
논문
Cancer risk in 680 000 people exposed to computed tomography scans in childhood or adolescence: data linkage study of 11 million Australians
[150]
논문
Radiation exposure from CT scans in childhood and subsequent risk of leukaemia and brain tumours: a retrospective cohort study.
2012-08-04
[151]
논문
Radiation Exposure From Pediatric CT Scans and Subsequent Cancer Risk in the Netherlands
2019-03-01
[152]
논문
Relationship between paediatric CT scans and subsequent risk of leukaemia and brain tumours: assessment of the impact of underlying conditions
2016-02
[153]
논문
Computed tomography scan radiation and brain cancer incidence
2023-01-14
[154]
논문
What is the lifetime risk of developing cancer?: the effect of adjusting for multiple primaries
[155]
논문
Patients undergoing recurrent CT scans: assessing the magnitude
[156]
논문
Multinational data on cumulative radiation exposure of patients from recurrent radiological procedures: call for action
[157]
논문
Patients undergoing recurrent CT exams: assessment of patients with non-malignant diseases, reasons for imaging and imaging appropriateness
[158]
논문
Answers to Common Questions About the Use and Safety of CT Scans
https://www.mayoclin[...]
2015-10-01
[159]
웹사이트
Expert opinion: Are CT scans safe?
https://www.scienced[...]
2019-03-14
[160]
논문
Answers to Common Questions About the Use and Safety of CT Scans
https://www.mayoclin[...]
2015-10-01
[161]
웹사이트
No evidence that CT scans, X-rays cause cancer
https://www.medicaln[...]
2019-03-14
[162]
논문
Radiation exposure from Chest CT: Issues and Strategies
2004-04
[163]
논문
Ultra-low-dose, low-dose, and standard-dose CT of the kidney, ureters, and bladder: is there a difference? Results from a systematic review of the literature
[164]
논문
[Diagnostic radiation exposure in children and cancer risk: current knowledge and perspectives]
2012-01
[165]
논문
Informing parents about CT radiation exposure in children: it's OK to tell them
2007-08
[166]
간행물
Radiology Patient Safety and Communication
https://www.ncbi.nlm[...]
StatPearls Publishing
2023-11-24
[167]
논문
X-ray contrast media – an overview
2005-04-15
[168]
논문
Preventing and managing drug-induced anaphylaxis
[169]
논문
Agents that induce pseudo-allergic reaction
2011-10
[170]
서적
Anaphylaxis and hypersensitivity reactions
https://books.google[...]
Humana Press
2010-12-09
[171]
논문
Adverse reactions to intravenous iodinated contrast media: a primer for radiologists
2006-07
[172]
논문
Toxicity of MRI and CT contrast agents
2009-04
[173]
논문
When to Order Contrast-Enhanced CT
https://www.aafp.org[...]
2013-09-01
[174]
서적
Trends in Contrast Media
https://books.google[...]
Springer Science & Business Media
2012-12-06
[175]
논문
Use of Intravenous Iodinated Contrast Media in Patients with Kidney Disease: Consensus Statements from the American College of Radiology and the National Kidney Foundation
[176]
웹사이트
What are the Radiation Risks from CT?
https://www.fda.gov/[...]
[177]
간행물
Doses from Computed Tomography (CT) examinations in the UK – 2003 Review
http://www.hpa.org.u[...]
2011-09-22
[178]
논문
The risks of radiation exposure related to diagnostic imaging and how to minimise them
2011-02-25
[179]
논문
Cancer risks from diagnostic radiology
2008-05
[180]
논문
Nuclear energy and health: and the benefits of low-dose radiation hormesis
[181]
서적
A half century of health physics
https://books.google[...]
Lippincott Williams & Wilkins
[182]
논문
Dynamics of DNA damage response proteins at DNA breaks: a focus on protein modifications
2011-03
[183]
간행물
The Measurement, Reporting, and Management of Radiation Dose in CT
http://www.aapm.org/[...]
2017-06-23
[184]
논문
A preliminary study of the novel application of normoxic polymer gel dosimeters for the measurement of CTDI on diagnostic X-ray CT scanners
[185]
서적
Clinical Arrhythmology and Electrophysiology
Elsevier
2019-01-01
[186]
웹사이트
Absorbed, Equivalent, and Effective Dose – ICRPaedia
http://icrpaedia.org[...]
2021-03-21
[187]
서적
Radiation Quantities and Units, Definitions, Acronyms
https://www.ncbi.nlm[...]
National Academies Press (US)
1999
[188]
서적
Interventional Radiology: Fundamentals of Clinical Practice
https://books.google[...]
Oxford University Press
2018-12-03
[189]
웹사이트
The 2007 Recommendations of the International Commission on Radiological Protection
http://www.icrp.org/[...]
[190]
웹사이트
Do CT scans cause cancer?
https://www.health.h[...]
2017-12-09
[191]
웹사이트
Radiation and pregnancy: A fact sheet for clinicians
https://www.cdc.gov/[...]
2021-03-21
[192]
간행물
Radiation Exposure In Pregnancy
http://www.ncbi.nlm.[...]
StatPearls Publishing
2021-03-21
[193]
서적
Radiography and Radiology for Dental Care Professionals E-Book
https://books.google[...]
Elsevier Health Sciences
2008-10-10
[194]
논문
FDA investigates the safety of brain perfusion CT
2010-01
[195]
서적
Clark's Procedures in Diagnostic Imaging: A System-Based Approach
https://books.google[...]
CRC Press
2020-01-06
[196]
논문
Are screening serum creatinine levels necessary prior to outpatient CT examinations?
https://pubmed.ncbi.[...]
2000-08
[197]
논문
Alignment Solution for CT Image Reconstruction using Fixed Point and Virtual Rotation Axis
[198]
웹사이트
Computed Tomography (CT)
https://www.nibib.ni[...]
2021-03-20
[199]
서적
Radiation Exposure and Image Quality in X-Ray Diagnostic Radiology: Physical Principles and Clinical Applications
https://books.google[...]
Springer Science & Business Media
2011-10-25
[200]
서적
Statistical Image Reconstruction Algorithms Using Paraboloidal Surrogates for PET Transmission Scans
https://books.google[...]
University of Michigan
1999
[201]
웹사이트
CT Image Reconstruction Basics
https://radiologykey[...]
2021-03-20
[202]
서적
Cardiovascular Computed Tomography
https://books.google[...]
Oxford University Press
2020-01-02
[203]
웹사이트
Computerized Tomography chapter
http://fitsweb.uchc.[...]
2016-03-04
[204]
서적
Computed Tomography: Principles, Design, Artifacts, and Recent Advances
https://books.google[...]
SPIE Press
2003
[205]
웹사이트
computed tomography – Definition from the Merriam-Webster Online Dictionary
http://www.merriam-w[...]
2009-08-18
[206]
서적
Fundamentals of Body CT
https://books.google[...]
Elsevier Health Sciences
2014
[207]
서적
Fundamentals of Body CT
https://books.google[...]
Elsevier Health Sciences
2006-01-01
[208]
서적
Classic Papers in Modern Diagnostic Radiology
https://books.google[...]
Springer Science & Business Media
2005-12-05
[209]
논문
On the determination of functions from their integral values along certain manifolds
1986-12-01
[210]
논문
The quest for an image of brain: a brief historical and technical review of brain imaging techniques
[211]
논문
Obituary – Sir Godfrey Hounsfield
[212]
웹사이트
The Nobel Prize in Physiology or Medicine 1979
https://www.nobelpri[...]
[213]
서적
The Mathematics of Computerized Tomography (Classics in Applied Mathematics)
Society for Industrial and Applied Mathematics
[214]
서적
Mental Health and Mental Disorders: An Encyclopedia of Conditions, Treatments, and Well-Being [3 volumes]: An Encyclopedia of Conditions, Treatments, and Well-Being
https://books.google[...]
ABC-CLIO
2015-12-14
[215]
논문
The E.M.I. Scanner
1977
[216]
웹사이트
"What's the difference between a CAT-Scan and a CT-Scan? - Cincinnati Children's Blog"
https://blog.cincinn[...]
2021-03-19
[217]
웹사이트
Difference Between CT Scan and CAT Scan {{!}} Difference Between
http://www.differenc[...]
2021-03-19
[218]
서적
Conquer Your Headaches
https://books.google[...]
International Headache Management
[219]
웹사이트
MeSH Browser
https://meshb.nlm.ni[...]
[220]
논문
Linograms in Image Reconstruction from Projections
1987-12
[221]
웹사이트
Computed tomography (CT) scanners
https://data.oecd.or[...]
OECD
[222]
웹사이트
Image Gently
http://www.pedrad.or[...]
The Alliance for Radiation Safety in Pediatric Imaging
2013-07-19
[223]
웹사이트
Image Wisely
http://www.imagewise[...]
Joint Task Force on Adult Radiation Protection
2013-07-19
[224]
웹사이트
Optimal levels of radiation for patients
http://new.paho.org/[...]
World Health Organization
2013-07-19
[225]
웹사이트
Global Initiative on Radiation Safety in Healthcare Settings
https://www.who.int/[...]
World Health Organization
2013-07-19
[226]
논문
Radiologic and Nuclear Medicine Studies in the United States and Worldwide: Frequency, Radiation Dose, and Comparison with Other Radiation Sources — 1950-2007
[227]
논문
CT ordering all over the map
2010-08-03
[228]
논문
Use of advanced radiology during visits to US emergency departments for injury-related conditions, 1998–2007
2010-10
[229]
논문
Imaging strategies to reduce the risk of radiation in CT studies, including selective substitution with MRI
2007-05
[230]
웹사이트
Global Computed Tomography (CT) Scanners Devices and Equipment Market Report 2020: Major Players are GE Healthcare, Koninklijke Philips, Hitachi, Siemens and Canon Medical Systems – ResearchAndMarkets.com
https://www.business[...]
Business Wire
2019-11-07
[231]
서적
Quantitative x-ray spectrometry
https://archive.org/[...]
Dekker
1995
[232]
논문
Photon counting computed tomography: Concept and initial results
2005
[233]
논문
Vision 20/20: Single photon counting x-ray detectors in medical imaging
2013
[234]
웹사이트
NIH uses photon-counting CT scanner in patients for the first time
https://www.nih.gov/[...]
2016-07-28
[235]
웹사이트
Photon-counting breast CT measures up
http://medicalphysic[...]
2016-07-28
[236]
논문
Is it possible to kill the radiation risk issue in computed tomography?
https://www.physicam[...]
2020-03-01
[237]
문서
multi-planar reconstruction
[238]
문서
maximum intensity projection
[239]
문서
ヘリカルCTもしくはスパイラルCT
[240]
문서
ノンヘリカルCT、もしくはコンベンショナルCT。
[241]
간행물
『エックス線回転横断撮影装置(座位)- CT の概念構築のさきがけ -』
https://sts.kahaku.g[...]
産業技術史資料情報センター(国立科学博物館)
[242]
논문
X線回転撮影法の研究
1951年
[243]
논문
Rotation Radio1ogy
Japan Society for the Promotion of Science
1957-03
[244]
서적
X線CT―産業・理工学でのトモグラフィー実践活用
共立出版
2019-02-05
[245]
문서
高速フーリエ変換
[246]
간행물
CT画像再構成法の現状を 理解しよう!
http://www.innervisi[...]
[247]
문서
filtered back projection
[248]
문서
iterative reconstruction
[249]
문서
back projection
[250]
문서
iterative reconstruction
[251]
논문
逐次近似法を用いたCT画像再構成法の考え方と驚異
https://doi.org/10.1[...]
2005
[252]
문서
Feldkamp
[253]
문서
cone-beam CT
[254]
문서
conventional scan
[255]
문서
cluster scan
[256]
문서
multi detector-row CT
[257]
뉴스
320列検出器搭載Aquilion ONEの国内すべてのシステムに低線量撮影技術を提供 ~最大で75%の被ばく低減を実現~
http://www.toshiba-m[...]
東芝メディカルシステムズ
2012-03-29
[258]
문서
autopsy imaging
[259]
문서
post-mortem imaging
[260]
문서
contrast enhanced CT
[261]
문서
perfusion CT
[262]
문서
CT angiography
[263]
문서
hounsfield unit
[264]
문서
CT number
[265]
문서
multiplanar reconstruction
[266]
문서
RaySUM image
[267]
문서
既知の電子密度を有する物体をCTで撮影することによって、得られたCT値とその電子密度を紐づけすることで作成される。
[268]
문서
inter-fractional error
[269]
문서
intra-fractional error
[270]
문서
アキュレイ社トモテラピー、Varian社Halcyonなど。
[271]
웹사이트
Radiation Dose in X-Ray and CT Exams
https://www.radiolog[...]
Radiological Society of North America
2017-10-23
[272]
논문
An overview of kidney stone imaging techniques
Springer Nature
[273]
논문
Image Quality and Radiation Dose of Lower Extremity CT Angiography Using 70 kVp, High Pitch Acquisition and Sinogram-Affirmed Iterative Reconstruction
[274]
문서
Berrington, Darby
2004
[275]
문서
オーストラリア、カナダ、クロアチア、チェコ、フィンランド、ドイツ、日本、クウェート、オランダ、ノルウェー、ポーランド、スウェーデン、スイス、アメリカ合衆国
[276]
간행물
Pregnancy and Medical Radiation
2000
[277]
뉴스
日本発の半導体技術が医療に革新 CTの放射線量を100分の1に (SankeiBiz 2022年4月26日記事)
https://www.iza.ne.j[...]
SankeiBiz
2022-04-26
[278]
논문
非イオン性ヨード造影剤およびガドリニウム造影剤の重症副作用および死亡例の頻度調査
2005-07-25
[279]
뉴스
「画像診断報告書」相次ぐ確認不足 重要情報共有されず/再発防ぐ対策続々
https://www.nikkei.c[...]
日本経済新聞
2018-03-19
[280]
웹사이트
これからのCT画像はAIで診断支援!類似症例の正解率は85%、診断時間は6分の1
http://journal.jp.fu[...]
富士通
2018-04-01
[281]
문서
歯科用CT装置は全てコーンビームCTである。
[282]
뉴스
エジプトの猫ミイラ、新X線技術で撮影に成功/巻いた布を剥がずに内部の組成を解き明かす
https://natgeo.nikke[...]
ナショナルジオグラフィック日本語サイト
2017-12-19
[283]
뉴스
仏像も、CTスキャンする時代 胎内の把握・「健康診断」で活躍
https://www.asahi.co[...]
朝日新聞
2017-11-21
[284]
웹인용
CT scan – Mayo Clinic
http://www.mayoclini[...]
mayoclinic.org
2016-10-20
[285]
웹인용
computed tomography—Definition from the Merriam-Webster Online Dictionary
http://www.merriam-w[...]
2009-08-18
[286]
웹인용
Patient Page
https://www.arrt.org[...]
[287]
웹인용
Individual State Licensure Information
http://www.asrt.org/[...]
American Society of Radiologic Technologists
2013-07-19
[288]
웹인용
The Nobel Prize in Physiology or Medicine 1979
https://www.nobelpri[...]
2019-08-10
[289]
저널
Alignment Solution for CT Image Reconstruction using Fixed Point and Virtual Rotation Axis
[290]
서적
Fundamentals of computerized tomography: Image reconstruction from projection
Springer
[291]
웹사이트
Computerized Tomography chapter
http://fitsweb.uchc.[...]
본 사이트는 AI가 위키백과와 뉴스 기사,정부 간행물,학술 논문등을 바탕으로 정보를 가공하여 제공하는 백과사전형 서비스입니다.
모든 문서는 AI에 의해 자동 생성되며, CC BY-SA 4.0 라이선스에 따라 이용할 수 있습니다.
하지만, 위키백과나 뉴스 기사 자체에 오류, 부정확한 정보, 또는 가짜 뉴스가 포함될 수 있으며, AI는 이러한 내용을 완벽하게 걸러내지 못할 수 있습니다.
따라서 제공되는 정보에 일부 오류나 편향이 있을 수 있으므로, 중요한 정보는 반드시 다른 출처를 통해 교차 검증하시기 바랍니다.
문의하기 : help@durumis.com





