자궁외임신
"오늘의AI위키"의 AI를 통해 더욱 풍부하고 폭넓은 지식 경험을 누리세요.
1. 개요
자궁외 임신은 수정란이 자궁 외부에 착상하여 발생하는 임신으로, 주로 난관에 발생한다. 골반 염증성 질환, 불임, IUD 사용, 흡연, 이전 자궁외 임신 등이 위험 요인으로 작용하며, 임산부의 10%는 증상이 없을 수 있고, 질 출혈, 하복부 통증, 골반 통증 등이 나타날 수 있다. 진단은 hCG 검사, 초음파 검사, 복강경 등을 통해 이루어지며, 임신 위치가 불확실한 경우도 있다. 치료는 환자의 상태에 따라 기대 요법, 약물 치료(메토트렉세이트), 수술(난관 절제술 또는 난관 절개술) 등을 시행한다. 치료 시 산모의 예후는 양호하지만, 재발 위험이 있으며, 가톨릭 교회에서는 치료 방법에 대한 윤리적 논쟁이 있다.
더 읽어볼만한 페이지
- 산부인과 병리학 - 산욕열
산욕열은 출산 후 여성 생식 기관에 세균 감염으로 인해 발열, 오한, 복통, 악취 나는 분비물 등의 증상이 나타나는 질환으로, 장기간 분만이나 제왕절개 등이 위험 요인으로 작용하며, 항생제 치료가 중요하고, 과거 높은 사망률을 보였으나 현재는 감소 추세이나 저소득 국가에서는 여전히 모성 사망의 주요 원인이다. - 산부인과 병리학 - 사산
사산은 임신 20주 또는 WHO 기준 28주 이후에 태아가 사망하여 출생하는 것으로, 탯줄 관련 사고, 감염, 선천성 기형, 모체 질환 등 다양한 원인으로 발생하며 유산과는 구별되고 부모에게 심리적 고통을 줄 수 있다. - 급성 통증 - 강간
- 급성 통증 - 화상
화상은 열, 화학물질, 전기, 방사선 등으로 피부와 조직이 손상되는 것으로, 심한 정도에 따라 증상이 다르게 나타나며 원인에 따라 다양한 치료법이 적용되고 심각한 경우 생명을 위협할 수 있다. - 통증 - 진통제
진통제는 통증을 완화하는 약물로, 비스테로이드성 항염증제, 오피오이드, COX-2 억제제 등 종류가 다양하며, 통증 종류와 강도에 따라 적절한 선택과 전문가의 처방이 중요하고, 알코올, 의료용 대마, 침술 등의 사용은 신중해야 한다. - 통증 - 치욕
치욕은 자신을 낮춰보는 주관적 감정으로, 심리적 불안과 사회적 지위 상실을 초래하며 역사적으로 억압의 수단으로 사용되었고 사회 불안정과 폭력으로 이어질 수 있는 심각한 문제이다.
2. 원인
자궁외 임신의 원인은 다양하며, 여러 복합적인 요인에 의해 발생할 수 있다. 다양한 위험 요인이 알려져 있지만, 상당수(약 3분의 1[13]에서 절반[14])의 경우에는 명확한 원인을 찾기 어렵다. 주요 위험 요인과 상세한 발생 기전에 대해서는 아래 하위 문단에서 설명한다.
2. 1. 위험 요인
자궁외 임신의 위험 요인은 여러 가지가 있지만, 많게는 3분의 1[13]에서 절반[14] 정도는 특별한 위험 요인이 발견되지 않기도 한다. 위험 요인으로는 골반 염증성 질환, 불임, 자궁 내 장치(IUD) 사용 경험, 과거 디에틸스틸베스트롤 (DES) 노출 경험, 난관 수술 이력, 소파술과 같은 자궁 내 수술 경험, 흡연, 과거 자궁외 임신 경험, 자궁내막증, 난관 결찰 등이 있다.[15][16] 과거에 유도 낙태를 경험한 것은 자궁외 임신 위험을 높이지 않는 것으로 보인다.[17]자궁 내 장치(IUD)는 자궁외 임신 자체의 위험을 높이지는 않지만, IUD를 사용 중인 상태에서 임신이 되면 자궁 내 임신보다는 자궁외 임신일 가능성이 더 높다.[18] 클라미디아 감염 후 자궁외 임신 위험은 낮은 편이다.[19] 클라미디아가 자궁외 임신 위험을 높이는 정확한 이유는 아직 명확하지 않지만, 일부 연구에서는 감염이 나팔관 구조에 영향을 줄 수 있다고 본다.[20]
자궁내막증은 자궁 안쪽을 덮는 자궁내막 조직과 유사한 세포가 자궁 밖에서 자라는 질병이다. 이러한 병변에 배아가 착상하면 자궁외 임신이 될 수 있다. 2015년 유럽 인간 생식 및 발생학회(ESHRE) 연례 회의에서 발표된 30년간의 연구 결과에 따르면(14,000명 이상의 가임기 여성 대상), 자궁내막증이 있는 여성은 그렇지 않은 여성에 비해 유산 위험이 76%, 자궁외 임신 위험은 270% 더 높았다.[28] 이는 자궁내막증으로 인한 골반 내 염증 증가와 자궁 내막의 구조적, 기능적 변화 때문인 것으로 추정된다.
2. 2. 상세 원인
자궁외 임신의 위험 요인은 다양하지만, 많게는 3분의 1[13]에서 절반[14]에 이르는 사례에서는 명확한 위험 요인이 확인되지 않기도 한다. 주요 위험 요인으로는 골반 염증성 질환, 불임, 자궁 내 장치(IUD) 사용, 과거 디에틸스틸베스트롤(DES) 노출 경험, 난관 수술, 소파술과 같은 자궁 내 수술, 흡연, 이전 자궁외 임신 경험, 자궁내막증, 난관 결찰 등이 있다.[15][16] 이전의 유도 낙태 경험은 자궁외 임신 위험을 증가시키지 않는 것으로 보인다.[17] 자궁 내 장치(IUD)는 그 자체로 자궁외 임신 위험을 높이지는 않지만, IUD를 사용 중인 상태에서 임신이 될 경우, 정상적인 자궁 내 임신보다 자궁외 임신일 가능성이 더 높다.[18] 클라미디아 감염 후 자궁외 임신의 위험은 비교적 낮다.[19] 클라미디아가 자궁외 임신 위험을 증가시키는 정확한 기전은 불분명하지만, 감염이 나팔관의 구조에 영향을 미칠 수 있다는 연구 결과가 있다.[20]

난관 임신은 수정란이 나팔관에 착상할 때 발생한다. 나팔관 내부 표면에 있는 털 모양의 섬모는 수정란을 자궁으로 운반하는 역할을 하는데, 자궁외 임신 후에는 이 섬모의 수가 감소하는 경우가 많아 섬모 손상이 자궁외 임신을 유발할 수 있다는 가설로 이어진다.[22] 흡연 여성은 난관 임신 위험이 더 높은데, 흡연은 섬모 손상 및 파괴의 위험 요인이기 때문이다.[22] 섬모가 손상되면 수정란이 자궁에 도달하는 데 걸리는 시간이 길어진다. 수정란이 제때 자궁에 도달하지 못하면 비부착성 투명대에서 부화하여 나팔관 내벽에 착상하게 되고, 이것이 자궁외 임신으로 이어진다.
골반 염증성 질환(PID)이 있는 여성은 자궁외 임신 발생률이 높다.[23] 이는 염증으로 인해 나팔관에 흉터 조직이 형성되고 섬모가 손상되기 때문이다.[35] 그러나 만약 양쪽 나팔관이 완전히 막혀 정자와 난자가 물리적으로 만날 수 없다면, 자연적인 수정 자체가 불가능하므로 정상 임신과 자궁외 임신 모두 발생할 수 없다. 아셔만 증후군에서 나타나는 자궁 내 유착(IUA)은 자궁 경부 자궁외 임신을 유발할 수 있으며, 유착이 개구부로의 접근을 부분적으로 막는 경우 난관 자궁외 임신을 유발할 수도 있다.[24][25][26] 아셔만 증후군은 일반적으로 자궁 소파술과 같은 자궁 내 수술 후에 발생한다.[24] 자궁 내막, 골반, 생식기 결핵 역시 아셔만 증후군의 또 다른 원인이 될 수 있으며, 이 경우 감염이 자궁 내 유착 외에도 난관 유착을 유발할 수 있어 자궁외 임신으로 이어질 수 있다.[27]
난관 결찰 수술은 자궁외 임신을 유발할 수 있다. 나팔관 멸균술 반전술(나팔관 복원술)은 자궁외 임신의 위험을 수반한다. 이 위험은 난관 결찰 시 사용된 방법이 파괴적일수록(예: 난관 소작술, 난관 부분 제거) 덜 파괴적인 방법(예: 난관 클립핑)보다 더 높다. 과거 난관 임신 경험이 있으면 향후 다시 자궁외 임신이 발생할 위험이 약 10% 증가한다.[35] 이러한 위험은 다른 나팔관이 정상적으로 보이더라도 영향을 받은 나팔관을 제거해도 줄어들지 않는다. 자궁외 임신을 진단하는 가장 좋은 방법은 조기 초음파 검사를 실시하는 것이다.
자궁내막증은 자궁 내부를 덮는 조직인 자궁내막과 유사한 세포가 자궁 밖에서 성장하는 질환이다. 배아가 그러한 병변에 부착되면 자궁외 임신으로 이어진다. 2015년 유럽 인간 생식 및 발생학회(ESHRE) 연례 회의에서 14,000명 이상의 가임기 여성을 대상으로 30년간 진행된 연구 결과가 발표되었다.[28] 연구 그룹의 39%는 수술로 자궁내막증을 확진받았다. 동년배에 비해 자궁내막증 하위 그룹은 유산 위험이 76% 더 높았고, 자궁외 임신 위험은 270% 더 높았다. 자궁내막증으로 인한 높은 위험은 골반 염증 증가와 자궁 내막의 구조적 및 기능적 변화 때문인 것으로 분석되었다.
3. 증상

자궁외 임신은 환자에 따라 다양한 증상을 보이며, 최대 10%는 아무런 증상을 느끼지 못하고, 약 3분의 1은 의학적 징후가 나타나지 않기도 한다.[5] 나타나는 증상들도 낮은 특이성을 가져 충수염, 난관염, 황체 낭종 파열, 유산, 난소 염전 또는 요로 감염과 같은 다른 비뇨생식기 질환이나 위장 질환의 증상과 유사하여 구별이 어려울 수 있다.[5] 일반적으로 증상은 마지막 정상 월경 후 평균 7.2주(4주~8주 사이)에 나타나지만, 진단 기술 접근성이 낮은 지역에서는 더 늦게 발견되기도 한다.
3. 1. 일반적인 증상
자궁외 임신 환자 중 최대 10%는 아무런 증상을 느끼지 못하며, 약 3분의 1은 의학적 징후가 나타나지 않는다.[5] 나타나는 증상들도 충수염, 난관염, 황체 낭종 파열, 유산, 난소 염전 또는 요로 감염과 같은 다른 비뇨생식기 질환이나 위장 질환과 비슷하여 구별하기 어려운 경우가 많다.[5] 일반적으로 자궁외 임신의 증상은 마지막 정상 월경일로부터 평균 7.2주(대략 4주에서 8주 사이) 후에 나타난다. 현대적인 진단 기술이 부족한 지역에서는 증상이 더 늦게 나타나는 경향이 있다.
자궁외 임신의 주요 징후와 증상은 다음과 같다.[3][5]
초음파 검사나 hCG 수치 확인 없이 심한 질 출혈만 있는 경우, 유산으로 잘못 진단될 수도 있다.[5] 메스꺼움, 구토, 설사와 같은 증상은 비교적 드물게 나타난다.[5]
만약 자궁외 임신이 파열되면 다음과 같은 심각한 증상이 나타날 수 있다.[5]
자궁외 임신이 파열된 환자는 똑바로 누우면 통증이 심해질 수 있어 앉거나 서 있는 자세를 선호하는 경향이 있다. 이는 골반 내 출혈이 복강 내에 고여 통증을 유발하기 때문이다.[9]
증상은 파열 전과 후로 나누어 볼 수 있으며, 병원을 찾는 경우는 대부분 파열 후이다.
3. 2. 드문 증상
메스꺼움, 구토 및 설사는 자궁외 임신의 더 드문 증상이다.[5]
3. 3. 파열 시 증상
자궁외 임신 파열은 복부 팽만, 압통, 복막 자극 및 저혈량 쇼크와 같은 증상으로 이어질 수 있다.[5] 자궁외 임신이 파열된 사람은 평평하게 누울 때 통증을 경험할 수 있으며, 골반 내 혈류가 복강 부종으로 이어져 추가적인 통증을 유발할 수 있으므로 똑바로 서 있는 자세를 유지하는 것을 선호할 수 있다.[9]
4. 진단
복통이나 질 출혈이 있으면서 임신 테스트 결과가 양성인 모든 여성은 자궁외 임신 가능성을 염두에 두어야 한다.[3] 자궁외 임신이 의심될 경우, 진단의 주요 목표는 단순히 임신의 정확한 위치를 찾는 것보다 환자의 위험 상태를 평가하고 분류하는 데 있다.[5]
진단 과정은 일반적으로 소변 hCG 검사를 통해 임신 여부를 먼저 확인한 후, 초음파 검사, 복강경 검사 등을 이용하여 수정란이 자궁강 바깥에 착상했는지 확인하는 방식으로 진행된다. 만약 유산이 동반된 경우, 심한 하복부 통증, 더글라스와(직장자궁오목) 압통, 복막 자극 증상 등이 나타날 수 있다. 이러한 경우 초음파 검사에서 더글라스와에 액체가 고인 소견(에코 프리 스페이스)을 확인하거나, 더글라스와 천자를 통해 혈액이 흡인되는지를 확인함으로써 진단에 도움을 받을 수 있다.
하지만 어떤 검사 방법도 즉각적으로 확실한 결과를 제공하기는 어려우며, 특히 증상이 뚜렷하지 않은 임신 초기 단계에서는 진단이 더욱 까다로울 수 있다.
4. 1. 진단 방법
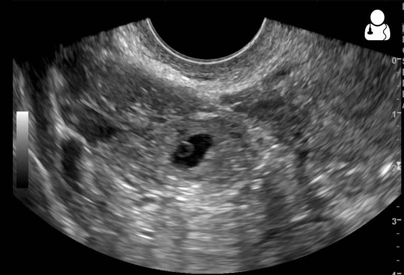
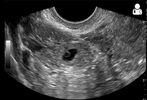
초음파 검사는 자궁외 임신 진단의 핵심적인 방법이다. 특히 질식 초음파 검사는 나팔관 내에 임신낭이 있고 태아 심장이 보이는 경우 자궁외 임신 진단에 매우 높은 특이성을 보인다. 이 검사는 질 내에 변환기를 삽입하여 진행하며[32], 자궁외 임신에 대해 최소 90%의 민감도를 가진다.[5]진단적 초음파 소견은 다음과 같다:
- 부속기 덩어리: 난소와 별도로 움직이는 덩어리가 관찰된다.
- 얼룩 징후 (Blob sign): 약 60%에서 보이는 비균질성 또는 비낭성 덩어리. 구형이 일반적이나 혈관 부종 시 관 모양일 수 있다. 민감도 84%, 특이도 99%로 추정된다.[5]
- 베이글 징후 (Bagel sign): 약 20%에서 보이는 비어 있는 자궁외 임신낭.[5]
- 임신낭 시각화: 약 20%에서는 난황낭이나 배아가 포함된 임신낭이 보인다.[5] 심장 활동이 보이면 "생존 가능한 자궁외 임신"이라 불린다.[5]
- 가성낭: 양성 임신 검사 결과에도 불구하고 자궁 내 임신이 아닌 액체 덩어리인 가성낭이 최대 20%의 여성에게서 나타날 수 있어 자궁외 임신 가능성을 배제할 수 없다.[5]
- 복강 내 액체: 직장자궁와에서 소량의 무에코성 액체는 자궁내 임신과 자궁외 임신 모두에서 흔히 발견된다.[5] 그러나 에코 발생성 액체(혈액 추정)는 자궁외 임신 여성의 28~56%에서 발견되며, 복강 내 혈종을 강력히 시사한다.[5] 이는 반드시 나팔관 파열이 아니며, 원위 나팔관 개구부 누출 결과일 수 있다.[5] 액체가 자궁저에 도달하거나 방광자궁와에 존재하면 의미있는 소견으로 간주된다.[5] 간신와에 액체가 보이면 심각한 복강 내 출혈의 표지자이다.[5]

현재 도플러 초음파 검사는 자궁외 임신 진단에 크게 기여하지 않는 것으로 여겨진다.[5] 궁형 자궁에서 측면에 위치한 정상 자궁내 임신을 간질성 임신으로 오진하는 경우가 흔하다.[5]
초음파 검사에서 자궁내 임신(IUP)이 보이지 않을 경우, 혈중 β-hCG 수치 측정이 진단에 도움을 줄 수 있다. 낮은 β-hCG 수치는 임신이 자궁 내에 있지만 너무 작아 초음파로 보이지 않음을 시사할 수 있다. 특정 β-hCG 역치(예: 1500 mIU/mL) 이상에서 IUP가 보이지 않으면 자궁외 임신을 의심하기도 하지만, 자궁외 임신을 확진하는 단일 역치는 없으며 고해상도 질식 초음파 검사가 가장 중요하다.[3] 질식 초음파에서 IUP 없이 부속기 종괴가 있으면 자궁외 임신 가능성이 100배 증가하며(LR+ 111), 부속기 이상이 없으면 가능성이 감소한다(LR- 0.12).[3] 진단이 불확실하면 며칠 후(보통 48시간 후) β-hCG 수치를 반복 측정하고 초음파 검사를 다시 시행한다. 절대적인 단일 혈청 hCG 수치보다는 혈청 hCG 비율 변화나 로지스틱 회귀 모델이 더 유용하다.[34] β-hCG가 감소하면 자연 유산이나 파열을 강력히 시사한다. 48시간 동안의 혈청 hCG 감소율은 'hCG 비율 = (48시간 후 hCG) / (0시간 hCG)'로 계산할 수 있다.[5]
hCG 비율이 0.87(48시간 동안 13% 감소)이면 임신 위치 불명(PUL)의 실패를 93%의 민감도와 97%의 특이도로 예측한다.[5] 대부분의 자궁외 임신은 정상 자궁내 임신보다 β-hCG 증가 속도가 느리거나('최적 이하 증가'), 실패하는 PUL보다 감소 속도가 느리다. 그러나 자궁외 임신의 약 20%는 정상 자궁내 임신과 유사한 hCG 배증 시간을 보이며, 약 10%는 실패하는 PUL과 유사한 hCG 감소 패턴을 보인다.[5]
다른 진단 방법들은 다음과 같다:
- 복강경 검사 또는 개복술: 급성 복부 징후나 저혈량 쇼크가 있는 여성에게 주로 시행되며, 자궁외 임신을 직접 눈으로 확인한다.[5] 나팔관 유산이나 파열 시 임신 조직을 찾기 어려울 수 있으며, 매우 초기에는 나팔관이 정상처럼 보일 수도 있다.
- 복강천자: 질과 직장 사이 공간(더글라스와)에서 체액을 채취하여 내출혈 여부를 확인하는 덜 일반적인 검사. 혈액이 발견되면 파열된 자궁외 임신을 시사할 수 있다.
- 프로게스테론 수치: 20 nmol/L 미만은 임신 실패 가능성이 높고, 25 nmol/L 이상은 임신 유지 가능성을, 60 nmol/L 이상은 강력하게 예측한다. 위험도가 낮은 실패한 PUL을 식별하여 추적 관찰 필요성을 줄이는 데 도움이 될 수 있다.[5] 인히빈 A도 PUL의 자연 소실 예측에 사용될 수 있으나 프로게스테론만큼 정확도는 낮다.[5]
- 수학적 모델: 여러 매개변수를 기반으로 임신 결과를 예측하거나(로지스틱 회귀 모델, 베이즈 네트워크 등), 저위험 PUL(실패하는 PUL, IUP)을 식별하는 데 사용될 수 있다.[5]
- 자궁소파술(D&C): 생존 가능한 자궁내 임신을 배제할 수 있는 상황에서 자궁외 임신과 생존 불가능한 자궁내 임신을 구별하기 위해 사용될 수 있다. 구체적인 적응증은 다음과 같다:[5]
- 혈청 hCG가 2000 mIU/mL 이상인데도 질식 초음파에서 자궁내 임신이 보이지 않는 경우.
- hCG 수치가 비정상적으로 상승하는 경우 (48시간 동안 35% 미만 상승).
- hCG 수치가 비정상적으로 감소하는 경우 (이틀 동안 20% 미만 감소).
요약하면, 먼저 소변 hCG 검사로 임신을 확인한 후, 초음파 단층 촬영이나 복강경 검사로 자궁강 외 착상 여부를 진단한다. 유산이 발생하면 심한 하복부 통증, 더글라스와 압통, 복막 자극 증상을 보이며, 이는 초음파상 더글라스와 내 에코 프리 스페이스(무에코 공간)나 더글라스와 천자 시 혈액이 흡인되는 것으로 확인될 수 있다.
그러나 어떤 검사도 즉각적으로 확실한 결과를 제공하기 어려우며, 특히 특징이 뚜렷하지 않은 초기 상태에서는 진단이 어려울 수 있다.
4. 2. 임신 위치 불명 (PUL)
임신 위치 불명(Pregnancy of Unknown Location, PUL)은 임신 반응 검사에서는 양성이지만, 질식 초음파 검사를 통해서는 자궁 내 또는 자궁 외 임신을 확인할 수 없는 상태를 말한다.[5] 초기 임신 전문 부서에서 초음파 검사를 받는 여성의 약 8%에서 10%가 PUL로 분류될 수 있다.[5] PUL의 실제 상태는 진행 중인 정상적인 자궁내임신(IUP), 유산된 임신, 자궁외임신, 또는 드물게 지속 PUL(Persistent PUL)일 수 있다.[5]
초음파 검사에서 자궁내임신(IUP)이 보이지 않을 때, 사람융모성 생식선자극호르몬(β-hCG) 수치 측정이 진단에 도움을 줄 수 있다. 낮은 β-hCG 수치는 임신이 자궁 내에 있지만 초음파로 보기에 너무 작다는 것을 의미할 수 있다. 일부에서는 β-hCG 수치가 약 1500 mIU/mL 이상일 때 질식 초음파 검사에서 자궁내임신이 보여야 한다고 보지만, 자궁외임신을 확진하는 단일 β-hCG 역치는 없으며, 고해상도 질식 초음파 검사가 가장 중요한 진단 도구이다.[3] 질식 초음파 검사에서 자궁내임신이 없으면서 부속기(난소, 난관 등)에 종괴가 보이면 자궁외임신 가능성이 크게 높아진다(LR+ 111). 반대로 부속기 이상이 없으면 자궁외임신 가능성은 낮아진다(LR- 0.12).[3] β-hCG 수치가 1500 mIU/mL 이상인데도 자궁이 비어있는 것으로 보이면 자궁외임신의 증거일 수 있지만, 매우 작은 자궁내임신일 가능성도 배제할 수 없다.[3]
진단이 불확실하면 며칠 후 β-hCG 수치를 다시 측정하고 초음파 검사를 반복한다. 특히 48시간 동안의 β-hCG 변화율(hCG ratio)이 진단에 유용하다.[34] 혈청 hCG 비율은 다음과 같이 계산한다:[5]
48시간 동안 β-hCG 수치가 감소하면 자연 유산이나 파열을 강력히 시사한다. hCG 비율이 0.87 (즉, 48시간 동안 13% 감소)이면 임신 실패를 예측하는 데 민감도 93%, 특이도 97%를 보인다.[5] 대부분의 자궁외임신은 β-hCG 수치가 정상 자궁내임신보다 느리게 증가하거나('최적 이하 증가'), 실패하는 PUL보다 느리게 감소하는 양상을 보인다. 하지만 자궁외임신의 약 20%는 정상 자궁내임신과 유사한 hCG 증가 속도를 보이며, 약 10%는 실패하는 PUL과 유사한 hCG 감소 패턴을 보일 수 있다.[5]
초음파 검사 결과가 모호한 경우가 많아, PUL 상태는 다음과 같이 분류될 수 있다:[5]
PUL로 진단된 여성 중 약 6%에서 20%는 실제로 자궁외임신이다.[5] 특히 출혈 병력이 있는 PUL 여성의 경우 약 6%가 자궁외임신일 수 있다.[5] PUL 여성의 30%에서 47%는 결국 정상적인 자궁내임신으로 확인되며, 대다수(50-70%)는 결국 임신 실패(유산)로 진단되고 임신 위치는 끝내 확인되지 않는다.[5]
지속 PUL (Persistent PUL)은 hCG 수치가 자연적으로 감소하지 않으면서, 추적 초음파 검사에서도 자궁내임신 또는 자궁외임신이 확인되지 않는 경우를 말한다.[5] 이는 눈에 보이지 않는 작은 자궁외임신이거나, 자궁내막에 영양 배엽 조직이 남아있는 상태일 수 있다.[5] 치료는 생존 가능한 자궁내임신 가능성이 확실히 배제된 후에만 고려해야 한다.[5] ''치료된 지속 PUL''은 임신 위치를 확인하지 않고 메토트렉세이트와 같은 약물로 치료하는 경우를 의미하며, ''해결된 지속 PUL''은 특별한 치료 없이 기다리거나 자궁 내용물 제거술 후 hCG 수치가 비임신 수준(보통 5 IU/L 미만)으로 떨어지고 조직 검사에서 융모 융모의 증거 없이 자궁 내용물 제거술 후 혈청 hCG가 비임신 수치(일반적으로 5 IU/L 미만)에 도달하는 경우를 정의한다.[5] 반대로, 비교적 낮으면서도 해결되지 않는 hCG 수치는 hCG 분비 종양의 가능성을 시사할 수도 있다.[5]
5. 분류
자궁외 임신은 수정란이 착상하는 위치에 따라 다음과 같이 분류할 수 있다.
- 난관 임신: 자궁외 임신의 약 99%를 차지하며, 난관에 착상하는 경우이다.
- 난소 임신: 난소에 착상하는 경우이다.
- 복막 임신: 복강 내에 착상하는 경우로, 진단이 매우 어렵다. 드물게 복강 내에서 태아가 성장하여 출산에 이른 사례도 보고된다.
- 자궁경부 임신: 자궁경부에 착상하는 경우이다. 이 부위는 탈락막이 없고 굵은 혈관이 많아 심각한 외부 출혈을 일으킬 위험이 크다.
5. 1. 난관 임신
자궁외 임신의 대부분은 난관에 착상되는 경우이다. 임신은 난관의 여러 부위에서 발생할 수 있는데, 구체적으로는 난관 채 끝(전체 자궁외 임신의 5%), 팽대부(80%), 협부(12%), 난관의 각부 및 간질 부분(2%) 등이다.[35] 특히 협부나 난관의 간질 부분에 착상된 경우, 해당 부위의 혈관 분포가 많아 갑작스러운 대량 내부 출혈이 발생할 위험이 커 사망률이 더 높다.[35] 2010년에 발표된 한 검토에서는 난관 자궁외 임신이 손상된 배아-난관 수송으로 인해 배아가 난관 내에 잔류하게 되고, 동시에 초기 착상을 허용하는 난관 환경의 변화가 복합적으로 작용하여 발생하는 것으로 추정한다.[36]5. 2. 비난관 자궁외 임신
자궁외 임신의 약 2%는 난관 외 다른 부위에서 발생한다. 여기에는 난소, 자궁경부, 복강 내 임신 등이 포함된다.- 난소 임신: 슈피겔베르크 기준에 의해 난관 임신과 구별된다.[37]
- 자궁경부 임신: 질식 초음파 검사로 대개 감지할 수 있다. 탈락막이 없고 굵은 혈관이 많은 자궁경부에 착상하여 가장 심각한 외부 출혈을 일으키기 쉽다.
- 복강 임신: 복강 내에 착상하는 경우로, 진단이 매우 어렵다. 자궁외 임신 태아는 일반적으로 생존할 수 없지만, 매우 드물게 복강 임신에서 생존한 아기가 분만되기도 한다. 이 경우 태반은 복강 내 장기(장, 장간막, 신장, 간, 대동맥 등)나 복막에 위치하며 혈액 공급을 받는다.[38][39][40] 거의 생존 가능한 수준까지 임신이 유지되는 경우가 드물게 보고되지만, 대부분은 임신 16~20주 사이에 진단된다. 이러한 태아는 개복술로 분만해야 한다. 태반을 부착된 장기에서 제거하려 할 때 조절하기 어려운 출혈이 발생할 수 있어 산모의 이환율 및 사망률이 높다.[38][39][40] 태반이 부착된 장기를 제거할 수 있다면 함께 제거해야 하지만, 매우 드문 경우라 경험적 데이터보다는 개별 사례 보고에 의존한다. 대부분의 복강 임신은 출혈 위험 때문에 태아 생존 가능성이 생기기 훨씬 전에 개입이 필요하다.
- 제왕 절개 부위 자궁외 임신 (Cesarean Scar Pregnancy, CSP): 전 세계적으로 제왕 절개술 시행이 증가하면서,[41][42] CSP도 드물지만 점차 흔해지고 있다. 발생률은 정확히 알려지지 않았으나, 1:1800~1:2216 정도로 추정된다.[43][44] CSP는 이전 제왕 절개 부위의 흉터에 수정란이 비정상적으로 착상하는 것이 특징이며,[45] 임신이 진행되면 자궁 파열 및 출혈과 같은 심각한 합병증을 유발할 수 있다.[44] CSP 환자는 증상이 없는 경우도 많지만, 통증 유무와 관계없이 질 출혈이 나타날 수 있다.[46][47] 진단은 초음파 검사로 이루어지며, 다음과 같은 특징을 보인다:
1. 비어있는 자궁강과 밝은 고에코 자궁내막 줄무늬
2. 비어있는 자궁경부관
3. 자궁 협부 앞쪽에 위치한 자궁내 임신 산물
4. 앞쪽 자궁 근육층의 부재 또는 방광과 임신 낭 사이의 얇아짐/부재 (5mm 미만).[45][48][49]
CSP는 드물기 때문에 치료법은 사례 보고를 통해 다양하게 제시된다. 메토트렉세이트나 염화칼륨(KCl)을 이용한 약물 치료,[50] 자궁 경부 확장 및 소파술,[51] 자궁 쐐기 절제술, 자궁 절제술 등의 수술적 치료가 있다.[47] 이중 풍선 카테터 기술도 자궁 보존 방법으로 보고되었다.[52] CSP의 재발 위험은 알려져 있지 않으며, 다음 임신 시 조기 초음파 검사가 권장된다.[45]
- 이소성 임신: 드물게 수정란 두 개가 각각 자궁 안과 밖에 착상하는 경우이다.[3] 자궁외 임신의 응급 상황 때문에 자궁 내 임신은 더 늦게 발견되는 경우가 많다. 자궁외 임신 제거 후에도 hCG 수치가 계속 상승하면 자궁 내 임신이 유지되고 있을 가능성이 있으며, 이는 초음파 검사로 확인된다. 이소성 임신은 시험관 아기 시술의 증가와 함께 늘어나는 추세이며, 자궁 내 태아의 생존율은 약 70%이다.[53]
- 잔존 각 임신: 뮬러관 발달 이상으로 생긴 단각 자궁의 작은 잔존 각에 수정란이 착상하는 드물지만 생명을 위협하는 상태이다. 임신 10~15주 사이에 잔존 각이 파열될 수 있어 이환율과 사망률이 높다.[54]
- 지속성 자궁외 임신: 자궁외 임신 제거 수술 후에도 영양막 조직이 계속 성장하는 것을 의미한다. 특히 난관 절개술처럼 난관을 보존하는 수술 후 약 15~20%에서 발생할 수 있는데, 제거되지 않고 깊숙이 남아있던 영양막 조직이 계속 자라 hCG 수치를 다시 상승시킨다.[55] 몇 주 후 출혈 등 새로운 증상이 나타날 수 있으므로, 수술 후 hCG 수치를 모니터링하여 감소를 확인해야 한다. 경우에 따라 수술 시 예방적으로 메토트렉세이트를 투여하기도 한다.
6. 치료
자궁외 임신의 치료는 환자의 상태, 임신의 크기와 위치, 향후 임신 계획 등을 종합적으로 고려하여 결정된다. 주요 치료 방법으로는 기대 요법, 약물 치료(메토트렉세이트 투여 등), 수술 치료(복강경 수술, 개복술을 통한 난관 절제술 등)가 있다. 특히 자궁외 임신 파열로 인한 쇼크 등 응급 상황에서는 즉각적인 수액 공급, 수혈 및 응급 수술이 필요할 수 있다.
6. 1. 기대 요법 (Expectant management)
대부분의 PUL 여성은 혈청 hCG 수치 측정과 반복적인 TVS 검사를 통해 최종 진단이 확인될 때까지 추적 관찰을 받는다.[5] 임신 실패로 보이는 저위험 PUL 사례는 2주 후에 소변 임신 검사를 받고 이후 전화 상담을 받을 수 있다.[5] 자궁내 임신일 가능성이 높은 저위험 PUL 사례는 생존 가능성을 평가하기 위해 2주 후에 TVS를 다시 받을 수 있다.[5] 고위험 PUL 사례는 48시간 이내에 TVS를 받거나 추가 hCG 측정을 통해 추가 평가가 필요하다.[5]6. 2. 약물 치료
자궁외 임신의 조기 치료에서 메토트렉세이트는 1980년대에 개발된 수술의 대안적인 치료법이다.[57] 임신 초기에 투여하면 메토트렉세이트는 배아의 성장을 멈추게 하며, 이후 배아는 체내에 흡수되거나 월경을 통해 배출될 수 있다. 그러나 간, 신장, 혈액 질환이 있거나 자궁외 임신으로 인한 배아 덩어리가 3.5cm보다 큰 경우에는 메토트렉세이트를 사용할 수 없다.메토트렉세이트 치료는 자궁 내 임신을 의도치 않게 중단시키거나, 임신이 유지될 경우 태아에게 심각한 기형을 유발할 위험이 있다.[5] 따라서 메토트렉세이트는 혈중 hCG 농도를 48시간 간격으로 측정하여 그 상승률이 35% 미만일 때, 즉 정상적인 자궁 내 임신 가능성이 매우 낮다고 판단될 경우에만 투여하는 것이 권장된다.[5]
난관 외 다른 부위에서 발생한 자궁외 임신, 특히 제왕절개 흉터 임신(CSP)의 경우, 메토트렉세이트 치료와 수술(자궁 동맥 색전술 또는 자궁 동맥 화학 색전술)을 비교했을 때 치료 성공률, 합병증 및 부작용 측면에서 메토트렉세이트의 효과는 아직 불확실하다.[58]
메토트렉세이트 투여 방식은 국가별로 차이가 있다. 미국에서는 일반적으로 여러 번에 걸쳐 약물을 투여하는 다중 용량 프로토콜을 사용하며, 이때 약물의 부작용을 줄이기 위해 엽산을 함께 근육 주사한다. 반면 프랑스에서는 한 번만 투여하는 단일 용량 프로토콜을 따르지만, 이 방식은 치료 실패 확률이 더 높은 것으로 알려져 있다.[59]
6. 3. 수술 치료


자궁외 임신으로 인해 이미 출혈이 발생했다면 수술적 치료가 필요할 수 있다. 그러나 초음파 검사에서 혈전의 증거가 거의 없는 안정적인 상태의 환자에게 수술을 시행할지 여부는 결정하기 어려운 문제일 수 있다.
의사는 복강경이나 개복술을 통해 골반 내부에 접근한다. 수술 방법으로는 영향을 받은 난관을 절개하여 임신 조직만 제거하는 난관 절개술과, 임신 조직과 함께 해당 난관 자체를 제거하는 난관 절제술이 있다. 자궁외 임신에 대한 첫 번째 성공적인 수술은 1883년 로버트 로슨 테이트에 의해 이루어졌다.[60] 위치 불명 임신(PUL, Pregnancy of Unknown Location) 환자 중 결국 수술을 받게 되는 비율은 0.5%에서 11% 사이로 추정된다.[5]
난관 절제술과 난관 절개술을 받은 환자들 사이에서 다시 자궁외 임신이 발생할 확률은 각각 5%와 8%로 비슷한 수준이다. 또한, 이후 자궁내 임신에 성공할 확률도 각각 56%와 61%로 유사하다.[61]
수술 중 복강 내에 출혈이 많은 경우, 환자 자신의 혈액을 모아 다시 수혈하는 자가수혈이 도움이 될 수 있다.[62]
과거에 자궁외 임신된 배아를 자궁 내로 재이식하여 출산까지 성공했다는 보고가 있었으나, 이는 사실이 아닌 것으로 밝혀졌다.[63]
7. 예후

자궁외 임신의 가장 흔한 합병증은 파열과 내부 출혈이며, 이로 인해 저혈량성 쇼크가 발생할 수 있다. 또한 나팔관 손상은 향후 임신을 어렵게 만들 수 있다. 그러나 여성의 다른 쪽 나팔관이 정상적으로 기능한다면 임신이 가능하다. 손상된 한쪽 나팔관을 제거한 후에도 자연 임신이 가능하며, 양쪽 나팔관이 모두 제거된 경우에는 체외 수정이 임신을 위한 선택지가 될 수 있다.[10][11][12]
자궁외 임신을 치료했을 때 서구 국가에서의 산모 예후는 매우 좋은 편이다. 산모 사망은 드물지만, 태아는 생존하기 어렵다. 예를 들어, 영국에서는 2003년부터 2005년까지 발생한 32,100건의 자궁외 임신 중 산모 사망은 10명(자궁외 임신 여성 3,210명 중 1명 사망)이었다.[64] 2006년부터 2008년까지 영국의 산모 사망 조사에서는 자궁외 임신이 6명의 산모 사망 원인(임신 10만 건당 0.26명 사망)으로 밝혀졌다.[18]
그러나 개발도상국, 특히 아프리카에서는 자궁외 임신으로 인한 사망률이 매우 높으며, 가임기 여성의 주요 사망 원인 중 하나이다.
자궁외 임신을 경험한 여성이 다음 임신에서 다시 자궁외 임신을 할 위험은 약 10%이다.[65]
자궁외 임신 후의 임신 능력은 여러 요인에 따라 달라지는데, 가장 중요한 것은 과거 불임 이력이다.[66] 치료 방법 자체는 임신 능력에 큰 영향을 미치지 않는 것으로 보인다. 2013년 연구에 따르면, 자궁외 임신 치료 후 2년 내 자궁 내 임신율은 근치적 수술(나팔관 제거 등) 후 약 64%, 약물 치료(메토트렉세이트 등) 후 67%, 보존적 수술(나팔관 보존) 후 70%로 나타나 큰 차이가 없었다.[67] 이는 일반 인구에서 40세 미만 여성의 2년간 누적 임신율이 90% 이상인 것과 비교된다.[68]
메토트렉세이트 치료는 향후 불임 치료에 영향을 주지 않는다. 메토트렉세이트 치료 전후에 채취된 난자의 수는 변하지 않는 것으로 확인되었다.[69]
난소에서 발생한 자궁외 임신의 경우, 이후 다시 자궁외 임신이 발생하거나 불임이 될 위험은 낮은 편이다.[70]
마사지가 자궁외 임신 후 임신 능력을 향상시킨다는 의학적 증거는 없다.[71]
8. 사회와 문화
난관절제술은 자궁외 임신 치료법 중 하나로, 때로는 이중 효과의 원리를 통해 배아의 사망을 불가피한 결과로 받아들이는 방식으로 정당화되기도 한다.[73] 이는 특히 낙태에 반대하는 입장에서 고려될 수 있는 관점이다.
가톨릭 교회 내에서는 특정 치료법에 대한 윤리적 논쟁이 존재한다. 다수의 가톨릭 윤리학자들은 메토트렉세이트 사용이나 난관절개술이 직접적으로 배아를 파괴하는 행위이므로 "도덕적으로 용납될 수 없다"고 본다. 그러나 산모의 건강이 위험한 상황에서, 발달 중인 배아를 포함한 나팔관 전체를 제거하는 경우는 다르게 간주되기도 한다.[74][75]
자궁외 임신을 경험한 사람들을 돕기 위해 정보와 지원을 제공하는 단체들이 있다. 연구에 따르면 자궁외 임신을 겪은 사람들은 외상 후 스트레스, 우울증, 불안 등을 경험할 수 있으며, 이 경우 전문적인 치료가 필요할 수 있다.[76] 파트너 역시 외상 후 스트레스를 경험할 수 있다.[77]
참조
[1]
논문
MANAGEMENT OF RUPTURED CORPUS LUTEUM WITH HEMOPERITONEUM IN EARLY PREGNANCY – A CASE REPORT
2018-12
[2]
논문
Full-term abdominal pregnancy: a case report and review of the literature
2008
[3]
논문
Does this woman have an ectopic pregnancy?: the rational clinical examination systematic review
2013-04
[4]
논문
Methotrexate for ectopic pregnancy: when and how
2014-09
[5]
논문
Diagnosing ectopic pregnancy and current concepts in the management of pregnancy of unknown location
[6]
논문
Tubal ectopic pregnancy: diagnosis and management
2009-04
[7]
웹사이트
Interventions for tubal ectopic pregnancy
http://apps.who.int/[...]
The WHO Reproductive Health Library
2015-03-12
[8]
서적
Merriam-Webster's vocabulary uilder
https://books.google[...]
Merriam-Webster
1998
[9]
논문
A new clinical sign in ruptured ectopic pregnancy
2011-12
[10]
웹사이트
Ectopic pregnancy
http://nhp.gov.in/di[...]
2018-12-04
[11]
서적
Pediatric clinical advisor : instant diagnosis and treatment
Mosby Elsevier
2007
[12]
논문
Ectopic pregnancy
2000-02
[13]
논문
Ectopic pregnancy
[14]
논문
Ectopic pregnancy--an analysis of 180 cases
2007-06
[15]
웹사이트
BestBets: Risk Factors for Ectopic Pregnancy
http://www.bestbets.[...]
[16]
논문
Ectopic pregnancy: a review
2013-10
[17]
서적
Management of Unintended and Abnormal Pregnancy: Comprehensive Abortion Care
John Wiley & Sons
2011
[18]
논문
Tubal ectopic pregnancy
2015-11
[19]
논문
Chlamydia trachomatis and ectopic pregnancy: recent epidemiological findings
2008-02
[20]
논문
Diagnosis and management of ectopic pregnancy
2011-10
[21]
논문
Ectopic pregnancy: History, incidence, epidemiology, and risk factors
2012-06
[22]
논문
The reproductive significance of human Fallopian tube cilia
[23]
논문
Ectopic pregnancy
2000-08
[24]
논문
Intrauterine adhesions: an updated appraisal
1982-05
[25]
논문
'[Cervical pregnancy in Asherman''s syndrome]'
1987-01
[26]
논문
Etiology of cervical pregnancy. Association with abortion, pelvic pathology, IUDs and Asherman's syndrome
1985-01
[27]
논문
Total corporal synechiae due to tuberculosis carry a very poor prognosis following hysteroscopic synechialysis
1999-08
[28]
웹사이트
'ESHRE2015: Endometriosis associated with a greater risk of complications in pregnancy'
https://endometriosi[...]
European Society of Human Reproduction and Embryology
2024-02-14
[29]
논문
Diethylstilbestrol exposure
http://www.aafp.org/[...]
2004-05
[30]
논문
The expression of inducible nitric oxide synthase in the human fallopian tube during the menstrual cycle and in ectopic pregnancy
2010-08
[31]
논문
Association between socioeconomic status and ectopic pregnancy rate in the Republic of Korea
2013-08
[32]
웹사이트
Pelvic Ultrasound
https://www.hopkinsm[...]
2022-04-26
[33]
웹사이트
UOTW#61 - Ultrasound of the Week
https://www.ultrasou[...]
2015-10-14
[34]
논문
Diagnostic value of serum hCG on the outcome of pregnancy of unknown location: a systematic review and meta-analysis
[35]
서적
Clinical Gynecological Endocrinology and Infertility, 6th Ed.
Lippincott Williams & Wilkins (1999)
[36]
논문
Current knowledge of the aetiology of human tubal ectopic pregnancy
2010-01
[37]
웹사이트
Spiegelberg's criteria
[38]
뉴스
'Special' baby grew outside womb
http://news.bbc.co.u[...]
2006-07-14
[39]
뉴스
Bowel baby born safely
http://news.bbc.co.u[...]
2006-11-10
[40]
논문
Full-term abdominal pregnancy: a case report and review of the literature
[41]
웹사이트
Rates of Cesarean Delivery -- United States, 1993
https://www.cdc.gov/[...]
2020-08-11
[42]
논문
The Increasing Trend in Caesarean Section Rates: Global, Regional and National Estimates: 1990-2014
2016-02-05
[43]
논문
First-trimester diagnosis and management of pregnancies implanted into the lower uterine segment Cesarean section scar
2003-03
[44]
논문
Cesarean scar pregnancy: issues in management
2004-03
[45]
논문
How to diagnose and treat cesarean scar pregnancy
https://www.contempo[...]
2020-08-11
[46]
논문
Cesarean scar ectopic pregnancies: etiology, diagnosis, and management
2006-06
[47]
논문
Caesarean scar pregnancy
2007-03
[48]
서적
Williams obstetrics
2018-04-12
[49]
논문
Effect of early pregnancy on a previous lower segment cesarean section scar
2002-06
[50]
논문
An ectopic pregnancy developing in a previous caesarian section scar
1997-02
[51]
논문
Cesarean scar pregnancy treated by curettage and aspiration guided by laparoscopy
2015-08-01
[52]
논문
Minimally Invasive Treatment of Cesarean Scar and Cervical Pregnancies Using a Cervical Ripening Double Balloon Catheter: Expanding the Clinical Series
2019-03
[53]
논문
Conservative medical and surgical management of interstitial ectopic pregnancy
1999-08
[54]
논문
Obstetric morbidity and the diagnostic dilemma in pregnancy in rudimentary horn: retrospective analysis
Springer Science and Business Media LLC
2009-03-13
[55]
논문
Can We predict patients at risk for persistent ectopic pregnancy after laparoscopic salpingotomy?
1994-02
[56]
논문
Management of ectopic pregnancy: a two-year study
[57]
웹사이트
History, Diagnosis and Management of Ectopic Pregnancy
http://www.ectopicpr[...]
2015-10-05
[58]
논문
Interventions for non-tubal ectopic pregnancy.
2020-07-01
[59]
논문
Overview and guidelines of off-label use of methotrexate in ectopic pregnancy: report by CNGOF
2016-10
[60]
웹사이트
eMedicine - Surgical Management of Ectopic Pregnancy: Article Excerpt by R Daniel Braun
http://www.emedicine[...]
2007-09-17
[61]
논문
New Evidence to Guide Ectopic Pregnancy Diagnosis and Management
2017-10
[62]
논문
Autotransfusion for ruptured ectopic pregnancy
2003-02
[63]
논문
Research misconduct: the poisoning of the well
2006-05
[64]
웹사이트
Ectopic Pregnancy
http://patient.info/[...]
2015-10-22
[65]
서적
The Boston IVF Handbook of Infertility: A Practical Guide for Practitioners Who Care for Infertile Couples, Third Edition
https://books.google[...]
CRC Press
2011
[66]
서적
Advances in Reproductive Endocrinology and Infertility: Current Trends and Developments
Informa Healthcare
[67]
논문
Fertility after ectopic pregnancy: the DEMETER randomized trial
2013-05
[68]
간행물
Fertility: assessment and treatment for people with fertility problems
http://guidance.nice[...]
NICE guidelines
2013-02-23
[69]
논문
Ovarian responsiveness in women receiving fertility treatment after methotrexate for ectopic pregnancy: a systematic review and meta-analysis
2014-09
[70]
논문
Ovarian ectopic pregnancy: A 10 years' experience and review of literature
2014-12
[71]
논문
Fertility Massage: an Unethical Practice?
2018-03
[72]
논문
Tubal pregnancy with embryo
2014
[73]
웹사이트
Pro-Life Open Forum, Apr 10, 2013 (49min40s)
http://www.catholic.[...]
2014-09-02
[74]
웹사이트
When Pregnancy Goes Awry
http://www.ncbcenter[...]
National Catholic Bioethics Center
[75]
간행물
Ectopic Pregnancy and Catholic Morality
http://johnpaulbioet[...]
National Catholic Bioethics Quarterly
2016-04-18
[76]
논문
Post-traumatic stress, anxiety and depression following miscarriage and ectopic pregnancy: a multicenter, prospective, cohort study.
[77]
웹사이트
Post-traumatic stress experienced by partners following miscarriage
https://www.imperial[...]
2020-10-09
[78]
뉴스
Registry Reports
http://www.ardms.org[...]
ARDMS The Ultrasound Choice
2011-06-22
[79]
뉴스
Miracle baby
http://web.ksl.com/d[...]
Utah News from KSL-TV
2011-06-22
[80]
뉴스
Doctors hail 'miracle' baby
http://news.bbc.co.u[...]
2009-09-10
[81]
뉴스
Baby Born After Rare Ovarian Pregnancy
http://ap.google.com[...]
2008-05-30
[82]
뉴스
Miracle baby may be a world first
http://www.news.com.[...]
2008-05-30
[83]
간행물
腹膜妊娠の3例
http://www.med.hiros[...]
2021-06-28
본 사이트는 AI가 위키백과와 뉴스 기사,정부 간행물,학술 논문등을 바탕으로 정보를 가공하여 제공하는 백과사전형 서비스입니다.
모든 문서는 AI에 의해 자동 생성되며, CC BY-SA 4.0 라이선스에 따라 이용할 수 있습니다.
하지만, 위키백과나 뉴스 기사 자체에 오류, 부정확한 정보, 또는 가짜 뉴스가 포함될 수 있으며, AI는 이러한 내용을 완벽하게 걸러내지 못할 수 있습니다.
따라서 제공되는 정보에 일부 오류나 편향이 있을 수 있으므로, 중요한 정보는 반드시 다른 출처를 통해 교차 검증하시기 바랍니다.
문의하기 : help@durumis.com
![[[복강경]]으로 본 자궁외 임신. [[자궁]] (파란색 화살표)이 보인다. 왼쪽 [[난관]]에는 자궁외 임신과 [[혈관난관류|출혈]] (빨간색 화살표)이 있다. 오른쪽 난관은 정상이다.](https://cdn.onul.works/wiki/noimage.png)