전골수구
"오늘의AI위키"의 AI를 통해 더욱 풍부하고 폭넓은 지식 경험을 누리세요.
1. 개요
전골수구는 백혈구의 일종으로, 과립구로 분화하는 과정의 중간 단계 세포이다. 조혈모세포 분화 과정에서 증식, 분화, 성숙을 거쳐 호중구, 호산구, 호염기구와 같은 과립구로 분화하며, 면역 및 숙주 방어 기전에 중요한 역할을 한다. 전골수구의 이상은 급성 전골수성 백혈병, 골수형성이상 증후군과 같은 혈액 질환을 유발할 수 있으며, 전혈구 검사, 혈액 도말, 유세포 분석, 세포유전학적 분석 등을 통해 평가한다.
더 읽어볼만한 페이지
| 전골수구 | |
|---|---|
| 세포 개요 | |
![]() | |
| 전구 세포 | 골수모세포 |
| 분화 후 세포 | 골수구 |
| 위치 | 골수 |
2. 분화
전골수구의 분화는 조혈모세포에서 시작하여 여러 단계를 거쳐 이루어진다. 이 과정은 다양한 성장 인자, 사이토카인, 전사 인자에 의해 조절되며, 백혈구의 균형 잡힌 생성을 보장하여 적절한 면역 기능을 유지하는 데 중요한 역할을 한다.[3] 전골수구는 성숙한 과립구로 이어지는 분화 경로의 중간체 역할을 하며, 조혈 과정에서 중요한 단계를 담당한다.[4]
골수 내의 조혈모세포는 활발하게 분열하고 분화하여 다양한 혈액 세포를 생성한다. 그 중 호중구는 조혈모세포, 골수계 줄기 세포, 과립구·단구계 전구 세포, 골수아세포, 전골수구, 골수구, 후골수구를 거쳐 막대핵구 또는 분엽핵구로 성숙한다.[17] 호산구나 호염기구 또한 호중구와 유사한 성숙 과정을 거치며, '호산성' 또는 '호염기성'이라는 용어가 추가로 붙기도 한다.
2. 1. 과립구의 성숙
전골수세포의 조혈모세포 분화는 적절한 면역 기능을 위해 백혈구의 균형 잡힌 생성을 보장하는 다양한 성장 인자, 사이토카인, 전사 인자에 의해 조절된다.[3] 전골수세포는 성숙한 과립구로 이어지는 분화 경로의 중간체 역할을 함으로써 조혈 과정에서 중요한 역할을 한다.[4]
그림에서는 골수아세포에서 호산구, 호염기구에 이르는 과정이 생략되어 있지만, 이 계통도 호중구와 상동하는 골수아세포, 전골수구, 골수구, 후골수구, 막대핵구, 분엽핵구라는 일련의 과정을 거치는 것으로 여겨진다. 다만 전골수구 단계에서는 3종의 계통 각각에 특이적인 염색성의 발현이 아직 충분하지 않기 때문에, 형태학적으로 이들을 감별하는 것은 쉽지 않다.
골수 내의 조혈모세포에서 분화하기 시작한 어린 혈액 세포는 활발하게 분열하여 수를 늘리면서 조금씩 분화를 진행해 간다. 과립구 중 큰 비율을 차지하는 호중구를 예로 들면, 조혈모세포에서 시작하여, 골수계 줄기 세포 (골수계 전구 세포), 과립구·단구계 전구 세포를 거쳐, 골수아세포, 전골수구, 골수구, 후골수구로 순차적으로 변화해, 최종적으로 말초 혈액에서 보이는 막대핵구 또는 분엽핵구와 같은, 소위 호중구로 성숙한다.[17] 일련의 성숙 과정은 연속적이며, 전골수구의 경우, 초기의 것은 골수아세포와, 후기의 것은 골수구와 중간적인 형태를 보이는 것이 관찰되기도 한다.
호산구나 호염기구의 경우도 마찬가지이며, 골수아세포, 전골수구, 골수구, 후골수구와 같은 호중구와 상동하는 성숙 과정이 관찰되며, 필요에 따라 이러한 용어에 "호산성", "호염기성"이 붙기도 한다. 이로 인해 과립구는, 이상과 같은 공통의 성숙 과정을 통해 일원적으로 설명하는 것이 가능하다. 또한, 조혈모세포가 어떤 과립구로 분화하는지는 전구 세포 단계에서 이미 결정되어 있다는 것이 알려져 있다.
3. 기능
전골수구의 기능은 호중구, 호산구, 호염기구를 포함하는 성숙한 과립구로의 분화와 밀접하게 연관되어 있다.[5] 이러한 기능은 탐식작용, 염증, 면역 감시를 포함한 선천 면역 및 숙주 방어 기전에 필수적이다.
4. 형태
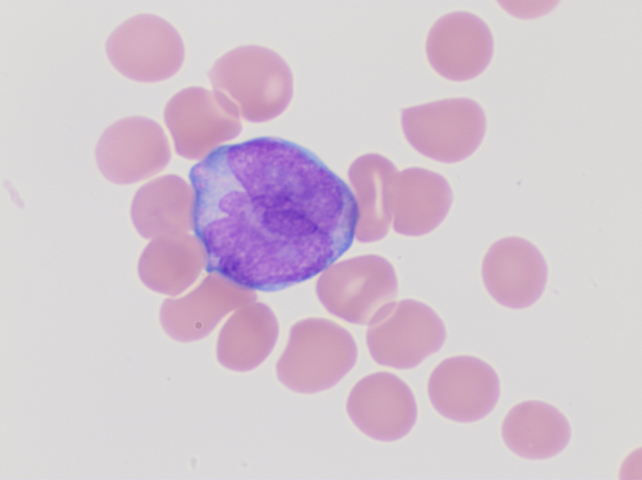
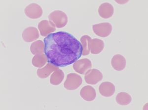
전골수구는 직경 15um~25um이며 백혈구 계통 분화 과정 중 가장 큰 세포이다. 핵은 골수아세포 정도는 아니지만 크고 둥글며, 크로마틴 구조는 약간 응축되기 시작하여 골수아세포보다는 거칠지만 이후 분화 단계의 세포에 비하면 섬세하다. 1~2개의 핵소체를 포함하며, 세포 분열 능력을 가지고 있고, 30시간 정도의 세포 주기로 2번 정도 세포 분열을 한다. 세포질은 다소 호염기성이며 크고 눈에 띄는 아주르 과립을 풍부하게 포함한다[18][19][20].
전골수구는 호중구 계통, 호산구 계통, 호염기구 계통의 3종이 존재한다. 그러나 실제로는 각 계통에 특이적인 염색성 발현이 아직 충분하지 않기 때문에, 이것들을 형태학적으로 감별하는 것은 쉽지 않다. 최근에는 면역 마커 등의 수법을 이용하여 감별하기도 한다.
더 성숙해지면 핵이 응축되고 세포 자체도 축소되어 골수구가 된다[19]. 골수구에서는 아주르 과립이 감소하는 대신 이차 과립이 증가하기 때문에, 3종 계통 각각의 염색성 차이가 뚜렷해진다.
5. 임상적 의의
전골수구의 발달 또는 기능 이상은 심각한 임상적 영향을 미쳐 다양한 혈액 질환을 유발할 수 있다. 전골수구와 관련된 주요 질환으로는 급성 전골수성 백혈병, 골수형성이상 증후군, 감염/염증성 질환 등이 있다.[6] 전골수구는 신체의 면역 체계에서 필수적인 역할을 하며, 숙주 방어 및 염증 반응에 관여하는 성숙 과립구의 전구체이다. 따라서 전골수구의 특성, 기능 및 임상적 중요성을 이해하는 것은 다양한 혈액 질환의 진단, 관리 및 치료에 매우 중요하다.
5. 1. 급성 전골수성 백혈병 (APL)

급성 전골수성 백혈병(APL)은 급성 골수성 백혈병의 한 종류로, 골수에서 비정상적인 전골수구가 과도하게 증식하는 특징을 보인다. 이로 인해 백혈구, 적혈구, 혈소판 등 다른 혈액 세포들이 부족해진다.[8][9] APL은 종종 17번 염색체의 레티노산 수용체 알파 (RARα) 유전자와 15번 염색체의 전골수성 백혈병 유전자를 포함하는 특정 염색체 전좌와 관련이 있다.[11]
5. 1. 1. 저과립형 APL
급성 전골수성 백혈병(APL)은 골수에서 비정상적이고 굵고 밀집된 과립의 전골수구가 축적되는 특징을 가진 급성 골수성 백혈병의 한 아형이다.[7] 전골수구의 과도한 증식은 골수 내 골수 세포의 최소 30%를 차지하며, 백혈구, 적혈구, 혈소판을 포함한 혈액 세포의 고갈을 초래한다.[8][9] 이 변이는 과립이 많은 전골수구가 세포질 내에 밀집된 아주르 과립 농축으로 특징지어져 '과립형' APL이라고도 불린다.[10] APL은 종종 17번 염색체의 레티노산 수용체 알파 (RARα) 유전자와 15번 염색체의 전골수성 백혈병 유전자를 포함하는 특정 염색체 전좌와 관련이 있다.[11]APL의 덜 흔한 변이인 저과립형 APL에서 환자는 과도한 비정상 전골수구 농축 외에도 백혈구 증가증을 나타낸다. 저과립형 APL의 세포는 일반적인 과립형 APL보다 더 미세한 과립을 가진 불규칙한 핵을 가지고 있다.[12]
5. 1. 2. APL 치료
급성 골수성 백혈병의 한 아형인 급성 전골수성 백혈병(APL)은 골수에서 비정상적이고 굵고 밀집된 과립의 전골수구가 축적되는 특징을 보인다.[7] 전골수구의 과도한 증식은 골수 내 골수 세포의 최소 30%를 차지하며, 백혈구, 적혈구, 혈소판을 포함한 혈액 세포의 고갈을 초래한다.[8][9] 과립이 많은 전골수구가 세포질 내에 밀집된 아주르 과립 농축으로 특징지어지는 이 변이는 '과립형' APL이라고도 불린다.[10] APL은 종종 17번 염색체의 레티노산 수용체 알파 (RARα) 유전자와 15번 염색체의 전골수성 백혈병 유전자를 포함하는 특정 염색체 전좌와 관련이 있다.[11]저과립형 APL은 APL의 덜 흔한 변이로, 환자는 과도한 비정상 전골수구 농축 외에도 백혈구 증가증을 나타낸다. 저과립형 APL의 세포는 일반적인 과립형 APL보다 더 미세한 과립을 가진 불규칙한 핵을 가지고 있다.[12]
APL의 치료는 유도기, 공고기, 유지기의 세 단계로 진행된다. 유도기는 백혈병 세포 수를 줄여 APL을 관해 상태로 만드는 역할을 하며, 약 2개월 동안 지속된다. 이 단계에서는 전부 트랜스 레티노산(ATRA)과 삼산화 비소(ATO), 화학 요법, 또는 화학 요법과 ATO의 조합이 사용된다. 공고기는 환자를 관해 상태로 유지하고 남아있는 백혈병 세포를 파괴하기 위한 것으로, 수개월 동안 지속되며 ATRA와 ATO, ATRA와 화학 요법, 또는 화학 요법 단독으로 사용한다. 마지막 단계인 유지기는 환자의 재발 위험을 줄이기 위해 더 낮은 용량의 약물을 사용하며 약 1년 동안 지속된다.[13]
5. 2. 골수형성이상 증후군 (MDS)
골수형성이상 증후군(MDS)은 골수 내 일부 골수 계통에서 비효율적인 조혈 또는 형성 이상 변화를 보이는 질환군이다. 전골수구 성숙 이상은 MDS 발병 기전과 관련된 합병증을 유발할 수 있다.[6] 이러한 합병증에는 빈혈, 재발성 감염, 과다 출혈, 그리고 골수/혈액 세포 암(백혈병) 위험 증가 등이 있다.[14] MDS 치료는 질병 진행을 늦추기 위해 수혈, 약물 치료, 골수 이식 등을 사용하지만, 현재까지 MDS를 완치할 수 있는 방법은 없다.5. 3. 진단 검사
전골수구 이상을 평가하는 데 일반적으로 사용되는 검사실 검사에는 전혈구 검사, 혈액 도말의 형태학적 평가, 유세포 분석, 골수 생검 및 흡인을 포함한 세포유전학적 분석이 있다.[15]참조
[1]
웹사이트
Promyelocyte – LabCE.com, Laboratory Continuing Education
https://www.labce.co[...]
2018-11-21
[2]
웹사이트
Promyelocyte
https://imagebank.he[...]
2024-03-06
[3]
논문
Influence of growth factors and substrates on differentiation of haemopoietic stem cells
1993-12
[4]
논문
Hematopoiesis
2013-06
[5]
웹사이트
'Basophil Granulocyte - an overview {{!}} ScienceDirect Topics'
https://www.scienced[...]
2024-04-13
[6]
논문
Myelodysplasia-related acute myeloid leukemia and acute promyelocytic leukemia: concomitant occurrence of two molecularly distinct diseases
2018-09
[7]
논문
Acute Promyelocytic Leukemia (APL)
https://openeducatio[...]
2019-06-27
[8]
웹사이트
Acute promyelocytic leukemia: MedlinePlus Genetics
https://medlineplus.[...]
2024-03-06
[9]
논문
Acute Promyelocytic Leukemia: A Summary
2018-03
[10]
웹사이트
'Promyelocyte - an overview {{!}} ScienceDirect Topics'
https://www.scienced[...]
2024-03-10
[11]
논문
Acute Promyelocytic Leukemia: A Constellation of Molecular Events around a Single ''PML-RARA'' Fusion Gene
2020-03
[12]
웹사이트
Acute Promyelocytic Leukemia: A Review and Discussion of Variant Translocations
https://meridian.all[...]
2024-03-10
[13]
웹사이트
Treatment of Acute Promyelocytic Leukemia (APL)
https://www.cancer.o[...]
2024-04-12
[14]
웹사이트
Myelodysplastic syndromes - Symptoms and causes
https://www.mayoclin[...]
2024-04-12
[15]
웹사이트
Acute Promyelocytic Leukemia (APL) Workup: Approach Considerations, Laboratory Studies, Other Tests
https://emedicine.me[...]
2024-04-12
[16]
웹사이트
APL with PML-RARA
https://www.patholog[...]
[17]
서적
三輪血液病学 第3版
[18]
서적
三輪血液病学 第3版
[19]
서적
三輪血液病学 第3版
[20]
서적
朝倉『内科学』
[21]
웹인용
Promyelocyte - LabCE.com, Laboratory Continuing Education
https://www.labce.co[...]
2018-11-21
본 사이트는 AI가 위키백과와 뉴스 기사,정부 간행물,학술 논문등을 바탕으로 정보를 가공하여 제공하는 백과사전형 서비스입니다.
모든 문서는 AI에 의해 자동 생성되며, CC BY-SA 4.0 라이선스에 따라 이용할 수 있습니다.
하지만, 위키백과나 뉴스 기사 자체에 오류, 부정확한 정보, 또는 가짜 뉴스가 포함될 수 있으며, AI는 이러한 내용을 완벽하게 걸러내지 못할 수 있습니다.
따라서 제공되는 정보에 일부 오류나 편향이 있을 수 있으므로, 중요한 정보는 반드시 다른 출처를 통해 교차 검증하시기 바랍니다.
문의하기 : help@durumis.com
